Identify the somato-receptor marked as $X$.

Which of the following is correct about the type of neuron shown below?

Identify the cells marked X in the image shown below.

Which of the following is the constituent of the marked area in the given electron microscope picture of the muscle?

What is incorrect about the shown basement membrane?

Which of the following has maximum smooth muscle as compared to wall thickness?

Identify the cell in the given histological image which does not migrate from the base of the crypt to ends of villi: (Recent NEET Pattern 2016-17)

Which of the following is Paneth cell?

Name the epithelium shown in the picture:

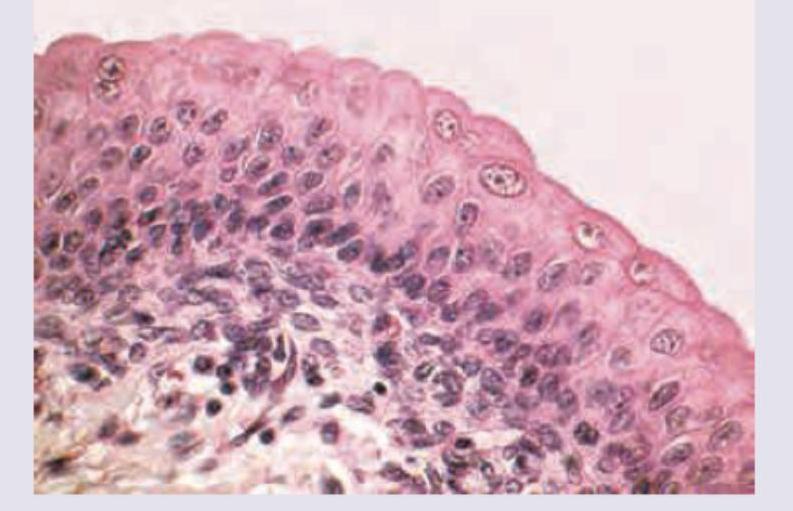
Identify the epithelium shown in the picture.

Explanation: ***Pacinian corpuscle*** - The image shows a **large, encapsulated receptor** located deep in the dermis, which is characteristic of a **Pacinian corpuscle**. - **Pacinian corpuscles** are responsible for detecting **deep pressure and vibration**. *Ruffini nerve ending* - **Ruffini endings** are typically elongated, spindle-shaped receptors that detect **skin stretch** and are located deeper in the dermis than what is depicted for X. - They lack the distinct concentric lamellae seen in Pacinian corpuscles. *Merkel cell* - **Merkel cells** are located in the **stratum basale** of the epidermis, often associated with a nerve fiber. - They are primarily involved in **light touch and pressure sensation**, and their structure is different from the encapsulated receptor shown. *Meissner corpuscle* - **Meissner corpuscles** are typically found in the **dermal papillae**, closer to the epidermis, and are responsible for **light touch and discrimination**. - While encapsulated, their structure is more ovoid and smaller than the large deep receptor shown.
Explanation: ***Pseudo-unipolar cell*** - The image shows a neuron with a **single process** emerging from the cell body that then **divides into two branches** (one leading to dendrites and the other to the axon terminal), which is characteristic of a pseudo-unipolar neuron. - These neurons are typically found in **sensory ganglia**, such as the dorsal root ganglia, where they transmit sensory information. *Bipolar neuron* - A bipolar neuron has **two distinct processes** extending from the cell body: one axon and one dendrite. - Examples include neurons found in the **retina** and **olfactory epithelium**. *Unipolar cell* - A unipolar neuron has a **single process** extending from the cell body, which serves as both the dendrite and the axon. - These are typically found in **invertebrates**, though the term can sometimes be confusingly used for pseudo-unipolar neurons in some contexts. *All of the above* - This is incorrect because the neuron depicted specifically matches the morphology of a pseudo-unipolar cell, not all the listed types. - Each neuron type has distinct morphological features (number of poles/processes from the cell body).
Explanation: ***Mesangial cells*** - The cells labeled 'X' are situated within the **glomerular tuft**, between the capillaries of the glomerulus. - These cells provide **structural support** to the glomerulus and have contractile, phagocytic, and proliferative properties. *Lacis cells* - Lacis cells, or **extraglomerular mesangial cells**, are part of the juxtaglomerular apparatus but are typically located outside the glomerulus, between the afferent and efferent arterioles and the macula densa. - They are primarily involved in **regulating glomerular filtration rate** and modulating renin release. *Macula densa* - The macula densa consists of **specialized columnar cells** lining the wall of the distal convoluted tubule where it contacts the afferent and efferent arterioles. - Its main function is to **sense sodium chloride concentration** in the filtrate, thereby regulating renin secretion and glomerular filtration. *Podocytes* - Podocytes are highly specialized **epithelial cells** that form the visceral layer of Bowman's capsule, directly wrapping around the glomerular capillaries. - They contribute to the **filtration barrier** through their foot processes and slit diaphragms.
Explanation: ***$\alpha$-actinin*** - The image highlights the **Z-disc**, which is primarily composed of **$\alpha$-actinin**. - **$\alpha$-actinin** anchors the **thin filaments (actin)** at the Z-disc and helps maintain the structural integrity of the sarcomere. *Nebulin* - **Nebulin** is a large protein associated with thin filaments, regulating their **length** and contributing to their **stability**, but it is not the main constituent of the Z-disc. - It extends along the entire length of the thin filament, rather than forming the Z-disc itself. *Titin* - **Titin** is the largest known protein, responsible for the **elasticity** of muscle and connecting the Z-disc to the M-line. - While it associates with the Z-disc, it does not constitute the primary structural component of the Z-disc itself. *Tropomodulin* - **Tropomodulin** caps the **pointed (minus) end** of the **actin filaments**, regulating their length and ensuring stability in the sarcomere. - It is located at the ends of the thin filaments, away from the Z-disc.
Explanation: ***Only molecules which are larger than 50,000 Daltons can traverse the filtration barrier*** - This statement is **incorrect**. The **glomerular filtration barrier** is highly selective and allows molecules **smaller than 70,000 Daltons** to pass through, not larger ones. - The filtration barrier primarily restricts molecules **larger than 70 kDa** and maintains selectivity based on size and charge, preventing passage of most plasma proteins like **albumin**. *Part of filtration barrier* - The **glomerular basement membrane (GBM)** is indeed a crucial component of the **renal filtration barrier**, situated between the fenestrated endothelium and the podocytes. - It plays a vital role in selectively filtering plasma, preventing the passage of large molecules and negatively charged proteins into Bowman's capsule. - This is a **correct statement**. *Stained with PAS* - The **glomerular basement membrane** is rich in **glycoproteins** and **proteoglycans**, which are carbohydrates that stain intensely with **Periodic Acid-Schiff (PAS)** stain. - This staining property helps in visualizing the basement membrane in histological sections and diagnosing certain kidney diseases. - This is a **correct statement**. *It has Lamina Densa and Lamina Rara* - The **glomerular basement membrane** has a trilaminar structure consisting of **lamina rara externa**, **lamina densa** (central dense layer), and **lamina rara interna**. - The **lamina densa** provides structural support and size-based filtration, while the **lamina rara** layers contain proteoglycans that contribute to charge selectivity. - This is a **correct statement**.
Explanation: ***A*** - Structure A represents a **terminal bronchiole**, which has the **maximum proportion of smooth muscle relative to wall thickness** among all respiratory structures. - Terminal bronchioles lack cartilage and respiratory epithelium (no alveoli), making smooth muscle the dominant structural component of their walls, comprising a high percentage of the total wall thickness. - This abundant smooth muscle allows for precise control of **bronchoconstriction** and **bronchodilation**, which is crucial for regulating air distribution to the respiratory zones. *B* - Structure B appears to be a **respiratory bronchiole** or an **alveolar duct**, which is more distal than terminal bronchioles and has less smooth muscle relative to its wall thickness. - As airways progress distally from terminal bronchioles toward the alveoli, smooth muscle gradually decreases as the primary function shifts from conduction and airflow regulation to gas exchange. - Respiratory bronchioles have alveoli budding from their walls, which reduces the proportion of smooth muscle in the overall wall structure. *C* - Structure C points to an **alveolar sac**, which is composed primarily of **alveoli** clustered together. Alveolar walls are extremely thin to facilitate efficient gas exchange and contain very little to no smooth muscle. - The function of alveoli is gas exchange, not airflow regulation, hence they lack the contractile elements like smooth muscle that are abundant in conducting airways. *D* - Structure D points to an **individual alveolus**, which is the primary site of gas exchange. Alveolar walls are extremely thin and consist of type I pneumocytes (for gas exchange), type II pneumocytes (surfactant production), and alveolar macrophages. - **Alveoli** lack smooth muscle entirely, as their structure is optimized for diffusion and not for active constriction or dilation.
Explanation: ***Paneth cell*** - **Paneth cells** are located at the base of the intestinal crypts and play a crucial role in innate immunity by secreting **antimicrobial peptides** (e.g., defensins) and **lysozyme**. - Unlike other intestinal epithelial cells that continuously proliferate and migrate upwards to the villi tips, Paneth cells are **long-lived** and remain stationary at the base of the crypt, acting as guardians of the stem cell niche. *Goblet cell* - **Goblet cells** are mucin-secreting cells that are relatively short-lived and **migrate from the crypts** towards the villi tips, continuously replaced. - They are responsible for producing **mucus** that protects the intestinal lining and aids in lubrication. *Oxyntic cell* - **Oxyntic cells**, also known as **parietal cells**, are found in the **gastric glands** of the stomach, not in the intestinal crypts or villi. - They are responsible for secreting **hydrochloric acid** and intrinsic factor, critical for digestion and vitamin B12 absorption. *Chief cell* - **Chief cells** (or peptic cells) are primarily located in the **gastric glands** of the stomach, secreting **pepsinogen** and gastric lipase. - They are not typically found in the intestinal crypts or villi and therefore do not participate in migration within the intestinal epithelium.
Explanation: ***Option 4 - Paneth Cells (Correct)*** - The cells indicated by **4** are located at the base of the intestinal crypts and are characterized by their prominent, brightly **eosinophilic (red-staining) granules** in the cytoplasm. - These **Paneth cells** secrete antimicrobial peptides and enzymes, such as **lysozyme and alpha-defensins**, which contribute to the innate immune defense of the intestinal lumen. *Option 1 - Lumen* - The arrow labeled **1** points to the **lumen** of the small intestine, which is the internal space within the villi and crypts. - This area is typically lined by **absorptive enterocytes** and goblet cells. *Option 2 - Intestinal Crypts* - The structures indicated by **2** are the **intestinal crypts (of Lieberkühn)**, which are glandular invaginations of the intestinal epithelium. - These crypts contain various cell types, including stem cells, enteroendocrine cells, and Paneth cells, but **2** specifically highlights the entire crypt structure rather than a single cell type. *Option 3 - Columnar Epithelial Cells* - The arrow labeled **3** points to an area occupied by **columnar epithelial cells**, likely **absorptive enterocytes** within the intestinal crypt. - These cells primarily function in nutrient absorption and do not exhibit the characteristic granular appearance of Paneth cells.
Explanation: ***Pseudostratified columnar epithelium*** - The image distinctly shows nuclei at **varying levels** within the epithelial layer, giving the false impression of multiple layers, characteristic of **pseudostratified epithelium**. - All cells rest on the **basement membrane**, but not all reach the apical surface, creating the pseudostratified appearance. - The cells themselves appear taller than they are wide, indicating a **columnar morphology**. *Simple cuboidal epithelium* - This type of epithelium is characterized by cells that are roughly **cube-shaped**, meaning their height and width are approximately equal. - The cells in the image are clearly taller than they are wide, ruling out cuboidal morphology. - Nuclei in simple cuboidal epithelium are typically **centrally located at the same level**, not at varying heights as seen here. *Simple ciliated columnar epithelium* - This would show a **single layer** of tall columnar cells with nuclei at the **same level** (typically basal), unlike the multiple nuclear levels seen in this image. - While pseudostratified columnar epithelium can also be ciliated (e.g., respiratory epithelium), the key distinguishing feature here is the **pseudostratification** pattern. - Simple columnar epithelium lacks the characteristic appearance of nuclei at varying heights that creates the false multilayered impression. *Transitional epithelium* - **Transitional epithelium** is typically found in the urinary tract and is characterized by its ability to stretch, with cells that can appear dome-shaped or umbrella-like in the superficial layer. - The cells in the image do not exhibit the characteristic **stratification** with distinct basal, intermediate, and superficial layers typical of transitional epithelium. - The uniform columnar appearance and nuclear arrangement rule out transitional epithelium.
Explanation: ***Transitional, Urinary bladder*** - The image displays multiple layers of cells, with superficial cells appearing **dome-shaped** or **umbrella-shaped**, characteristic of transitional epithelium. - This specialized epithelium is found in the **urinary system** (e.g., bladder, ureters) and allows for stretching and distension. *Pseudo stratified columnar, Respiratory system* - **Pseudostratified columnar epithelium** appears to have multiple layers of nuclei but all cells contact the basement membrane, and it typically contains **cilia** and **goblet cells** in the respiratory tract. - The cells in the image lack the characteristic cilia and clear goblet cells, and the superficial umbrella cells are not consistent with respiratory epithelium. *Cuboidal epithelium, Gastrointestinal system* - **Cuboidal epithelium** consists of cube-shaped cells and is typically found in glands or ducts, or lining small tubules, which is not what is shown in the image. - The gastrointestinal system primarily features **simple columnar epithelium** for absorption and secretion, not cuboidal epithelium in this multi-layered arrangement. *Ciliated columnar, Female genital system* - **Ciliated columnar epithelium** would show tall, column-shaped cells with cilia on their apical surface, often found in parts of the female reproductive tract like Fallopian tubes. - The cells in the image are not distinctly columnar, nor do they exhibit visible cilia, and the multi-layered arrangement does not match typical ciliated columnar epithelium.
Basic Tissue Types
Practice Questions
Cell Biology and Organelles
Practice Questions
Epithelial Tissue
Practice Questions
Connective Tissue
Practice Questions
Muscular Tissue
Practice Questions
Nervous Tissue
Practice Questions
Cardiovascular System Histology
Practice Questions
Lymphoid Organs and Immune System
Practice Questions
Endocrine System Histology
Practice Questions
Respiratory System Histology
Practice Questions
Digestive System Histology
Practice Questions
Urinary and Reproductive System Histology
Practice Questions
Get full access to all questions, explanations, and performance tracking.
Start For Free