A 38-year-old female presents to the physician with complaints of excessive thirst and urination for the past 4 weeks. Her appetite has been normal and she has not had diarrhea. Blood chemistry showed mildly elevated glucose and glucagon. Physical examination reveals tenderness in the left upper quadrant and an erythematous necrotizing skin eruption on her legs. Radiographic studies show a tumor in the pancreas. Which of the following cells is responsible for this lesion?
A patient with a known brain tumor learns that his pituitary stalk has been affected. Secretion of which of the following hormones is increased after the sectioning of the pituitary stalk?
Prolactin secreting gland develops from -
Where is the density of the parafollicular cells (C-cells) in the thyroid gland at its maximum?
Melatonin is secreted from which cells of pineal gland?
Epithelial lining of the urinary bladder is?
Biopsy of the exposed surface of the palatine tonsil reveals which type of tissue?
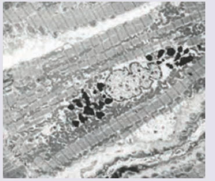
Identify the structure marked in the image of cardiac myocyte. (AIIMS Nov 2018)

Reinke's layer is seen in:
The nasopharynx is primarily lined by which type of epithelium?
Explanation: ### Alpha cell - The constellation of **excessive thirst and urination (polyuria/polydipsia)**, **mildly elevated glucose**, **elevated glucagon**, **necrolytic migratory erythema (NME)**, and a **pancreatic tumor** is highly characteristic of a **glucagonoma**. [1] - Glucagonomas originate from **pancreatic alpha cells**, which are responsible for glucagon production. [2] ### Beta cell - **Beta cell tumors** (insulinomas) primarily cause **hypoglycemia** due to excessive insulin secretion, which is antithetical to the patient's symptoms of elevated glucose. [2] - While beta cell tumors can be found in the pancreas, they are not associated with necrolytic migratory erythema or glucagon excess. [1] ### Acinar cell - **Acinar cell carcinomas** are exocrine pancreatic tumors that can cause symptoms related to their size and local invasion (e.g., pain, weight loss, jaundice) but are not typically associated with specific hormonal syndromes such as glucagon excess. - They do not cause the characteristic skin rash or metabolic disturbances seen in this patient. ### Delta cell - **Delta cells** produce **somatostatin**, and tumors originating from these cells (somatostatinomas) can cause symptoms like diabetes, steatorrhea, and gallstones. - However, they do not typically present with elevated glucagon or the characteristic necrolytic migratory erythema.
Explanation: ***Prolactin*** - Prolactin is **unique** among anterior pituitary hormones as it is under **tonic inhibitory control** by dopamine from the hypothalamus. - Sectioning of the pituitary stalk disrupts dopamine delivery via the hypothalamic-hypophyseal portal system. - This leads to a **loss of tonic inhibition**, causing an **increase in prolactin secretion** from the anterior pituitary. - This phenomenon is known as the **"stalk effect"** or **hyperprolactinemia due to stalk section**. *FSH* - **Follicle-stimulating hormone (FSH)** secretion is regulated by **gonadotropin-releasing hormone (GnRH)** from the hypothalamus, which is **stimulatory**. - Stalk section interrupts GnRH delivery via the portal system, leading to a **decrease** in FSH secretion. *TSH* - **Thyroid-stimulating hormone (TSH)** secretion is positively regulated by **thyrotropin-releasing hormone (TRH)** from the hypothalamus. - Interruption of the pituitary stalk reduces TRH delivery, causing a **decrease** in TSH secretion. *ACTH* - **Adrenocorticotropic hormone (ACTH)** secretion is positively regulated by **corticotropin-releasing hormone (CRH)** from the hypothalamus. - Damage to the pituitary stalk diminishes CRH stimulation, resulting in a **decrease** in ACTH secretion.
Explanation: ***Rathke's pouch*** - The **anterior pituitary gland**, which secretes prolactin [2], develops embryologically from **Rathke's pouch**. - Rathke's pouch is an **ectodermal evagination** from the roof of the primitive oral cavity (stomodeum). *Infundibulum* - The **infundibulum** is also known as the pituitary stalk, connecting the hypothalamus to the posterior pituitary [1]. - It is derived from **neuroectoderm** and forms part of the posterior pituitary, not the prolactin-secreting anterior pituitary [1]. *Tuber cinereum* - The **tuber cinereum** is a part of the **hypothalamus**. - It is involved in regulating several bodily functions but does not directly give rise to the prolactin-secreting gland. *3rd ventricle* - The **3rd ventricle** is one of the four ventricles of the brain, filled with **cerebrospinal fluid**. - It is a part of the central nervous system and is not involved in the embryological development of the pituitary gland.
Explanation: ***Juncture of the upper one-third and lower two-thirds of the gland*** - **Parafollicular cells** (C-cells) are neuroectodermal cells derived from the **ultimobranchial body** that migrate into the thyroid during embryological development. - They are maximally concentrated at the **junction of the upper and middle thirds** of the lateral lobes, particularly in the **interfollicular spaces**. - This anatomical distribution is clinically significant as **medullary thyroid carcinoma**, which originates from C-cells, is most commonly found in this region [1]. - The C-cells are responsible for **calcitonin secretion**, which regulates calcium homeostasis [1]. *Upper one-third of the gland* - While C-cells are present in the upper portion of the thyroid, they are not maximally concentrated here. - The peak density occurs more at the **junction zone** rather than exclusively in the upper third. *Isthmus* - The **isthmus** contains relatively **fewer C-cells** compared to the lateral lobes [2]. - The isthmus is primarily composed of follicular thyroid tissue with lower parafollicular cell density. *Posterior part* - While C-cells are distributed throughout the thyroid gland, the **posterior aspect** does not represent the site of maximal concentration. - The **lateral lobes at the junction of upper and middle thirds** have the highest C-cell density.
Explanation: ***Pinealocytes*** - **Pinealocytes** are the primary secretory cells within the **pineal gland** responsible for synthesizing and secreting **melatonin**. - These cells exhibit rhythmic activity, secreting more melatonin during periods of **darkness** to regulate the **sleep-wake cycle**. *Glial cells* - **Glial cells** (specifically astroglial cells and microglial cells) are present in the pineal gland but primarily provide **structural support** and **immune surveillance**, not melatonin synthesis. - Their main function is to maintain the **neural environment** and respond to injury or infection. *Zymogen cells* - **Zymogen cells** are typically found in glands like the pancreas or stomach, where they secrete **inactive enzyme precursors**. - They are not associated with the pineal gland or **melatonin production**. *Oncocytes* - **Oncocytes** are cells characterized by abundant **mitochondria** and are typically found in endocrine glands like the thyroid or parathyroid, often in **neoplastic conditions**. - They are not the **normal secretory cells** of the pineal gland.
Explanation: ***Transitional epithelium*** - The urinary bladder is lined by **transitional epithelium**, also known as **urothelium** [1]. - This specialized epithelium can stretch and flatten when the bladder fills with urine, and then contract when it empties, a crucial adaptation for its function. *Squamous epithelium* - **Stratified squamous epithelium** is typically found in areas subject to abrasion, such as the skin, esophagus, and vagina. - It does not possess the unique distensibility required for the urinary bladder's function. *Cuboidal epithelium* - **Cuboidal epithelium** is commonly found in glands and kidney tubules, where it is involved in secretion and absorption. - It is not specialized for the significant stretching and recoiling seen in the urinary bladder. *Columnar epithelium* - **Columnar epithelium** is primarily involved in secretion and absorption and is found in regions like the gastrointestinal tract and some glandular ducts. - It lacks the necessary structural characteristics to accommodate the large volume changes of the urinary bladder.
Explanation: The palatine tonsils are part of the **oropharynx**, which is subjected to mechanical abrasion from food and drink. **Stratified squamous epithelium** provides robust protection against such friction and is characteristic of surfaces needing high wear resistance. *Simple squamous epithelium* - This type of epithelium is found in areas where **diffusion** or **filtration** is important, such as the lining of blood vessels (endothelium) and alveoli of the lungs. - It would not provide adequate protection for the exposed surface of the tonsil that is subject to frequent mechanical stress. *Simple columnar epithelium* - Characterized by cells taller than they are wide, often found in the **gastrointestinal tract** for absorption and secretion. - It lacks the multi-layered structure needed for protection against the abrasive forces typical in the oropharynx. *Pseudostratified columnar ciliated epithelium* - This epithelium is primarily found in the **respiratory tract**, where its cilia help move mucus and trapped particles. - While it offers some protection, its primary function is not mechanical resistance, and it is not found on the exposed surfaces of the palatine tonsils.
Explanation: ***Lipofuscin granules*** - The image displays electron-dense, irregular structures, characteristic of **lipofuscin granules**, which are wear-and-tear pigments accumulating in aging cardiac myocytes. - They are typically located near the nucleus and appear dark due to their complex lipid-protein composition. *Lysosomes* - Lysosomes are typically smaller, more uniformly shaped, and contain hydrolytic enzymes, which is not clearly depicted. - While involved in cellular waste breakdown, they do not typically accumulate as large, intensely electron-dense, irregular aggregates like those shown. *Phagolysosome* - A phagolysosome forms when a phagosome fuses with a lysosome, containing engulfed material often of foreign or cellular debris origin. - The image does not show evidence of recently engulfed material or the typical morphology of a phagocytic vesicle. *Inflammasome* - An inflammasome is a multi-protein intracellular complex involved in the inflammatory response, not a visibly distinct organelle with this characteristic electron microscopic appearance. - It is a signaling platform, not a storage granule, and would not appear as dense, granular deposits in a routine electron micrograph.
Explanation: ***Vocal cord*** - **Reinke's space**, also known as Reinke's layer, is the superficial layer of the **lamina propria** of the vocal cord. - This layer is crucial for the **vibration of the vocal folds**, which is essential for sound production. *Tympanic membrane* - The **tympanic membrane**, or eardrum, is a thin membrane that separates the external ear from the middle ear [1]. [2]. - It vibrates in response to **sound waves** and transmits these vibrations to the ossicles, playing a role in hearing, not vocalization [1], [2]. *Cochlea* - The **cochlea** is a spiral-shaped cavity in the inner ear involved in the sense of hearing [2]. - It contains the **organ of Corti**, which converts sound vibrations into nerve impulses but has no connection to vocal cord anatomy [2]. *Reissner's membrane* - **Reissner's membrane** (vestibular membrane) is a thin membrane that separates the scala vestibuli from the scala media within the cochlea. - Its primary function is to maintain the **composition of the endolymph** in the scala media, and it is part of the auditory system, not the larynx.
Explanation: ***Ciliated columnar*** - The **nasopharynx** is lined by **pseudostratified ciliated columnar epithelium** with goblet cells, also known as respiratory epithelium [2]. - This specialized epithelium is crucial for **warming**, **humidifying**, and **filtering** inhaled air before it reaches the lungs [1]. *Stratified squamous nonkeratinized* - This type of epithelium is found in areas subject to **abrasion** and needing protection, such as the **oral cavity**, pharynx (oropharynx and laryngopharynx), and esophagus. - It is not primary in the nasopharynx, which requires ciliary action for particle removal. *Stratified squamous keratinized* - This robust epithelium is characteristic of areas that require significant **protection against friction** and **drying**, such as the **epidermis of the skin**. - It is not found in the nasopharynx due to its lack of flexibility and ciliary function. *Cuboidal* - **Cuboidal epithelium** is typically found in glands and kidney tubules, where its function includes **secretion** and **absorption**. - It lacks the specialized cilia and goblet cells necessary for the respiratory function of the nasopharynx [2].
Get full access to all questions, explanations, and performance tracking.
Start For Free