The internal carotid artery is a derivative of which pharyngeal arch?
Cochlear function in the fetus develops between which gestational weeks?
Which of the following is NOT one of the phases of implantation of the embryo?
A double aortic arch is due to persistent?
The dorsal panus of the ventral mesogastrium forms which of the following structures?
A 5-day-old male infant is diagnosed with Hirschsprung disease. CT scan examination reveals an abnormally dilated colon. Which of the following is the most likely embryologic mechanism responsible for Hirschsprung disease?
A patient at 22 weeks gestation is diagnosed with intra-uterine fetal demise (IUFD) that occurred at 17 weeks. The patient is at increased risk of which of the following complications?
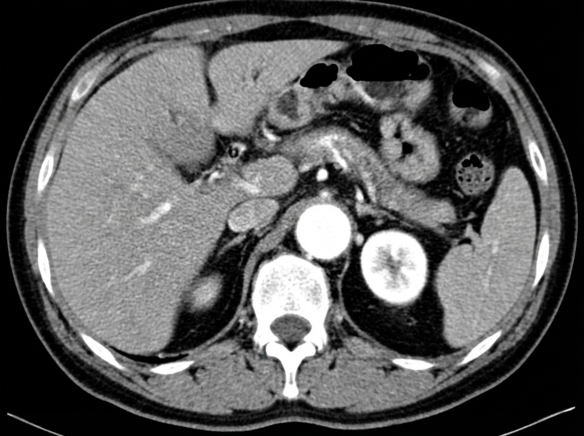
Complete regression of which of the following veins causes this anomaly in the development of the Inferior Vena Cava?

Which cranial nerve supplies the musculature of the first pharyngeal arch?
Merkel cells of the epidermis are derived from which embryonic structure?
Explanation: The arterial system of the head and neck develops from the **Aortic Arches**, which are a series of six pairs of mesenchymal vessels. Each pharyngeal arch is associated with a specific aortic arch derivative. ### **Explanation of the Correct Answer** **Option B (Third pharyngeal arch)** is correct. The third aortic arch is responsible for forming the **Common Carotid Artery** and the **proximal part of the Internal Carotid Artery (ICA)**. The distal portion of the ICA is derived from the cranial part of the dorsal aorta. ### **Why Other Options are Incorrect** * **Option A (First pharyngeal arch):** This arch largely disappears, but its remnants contribute to the **Maxillary artery**. (Mnemonic: **1st** is **M**axillary). * **Option C (Fourth pharyngeal arch):** This arch has different fates on each side. On the **left**, it forms part of the **Arch of Aorta**; on the **right**, it forms the proximal segment of the **Right Subclavian Artery**. * **Option D (Sixth pharyngeal arch):** Also known as the pulmonary arch, it gives rise to the **Pulmonary arteries** on both sides and the **Ductus Arteriosus** on the left. ### **High-Yield NEET-PG Clinical Pearls** * **Second Arch:** Gives rise to the **Stapedial** and Hyoid arteries. * **Fifth Arch:** This arch is rudimentary and either never forms or regresses completely in humans. * **Recurrent Laryngeal Nerve:** The relationship between the nerves and the arches explains why the Left Recurrent Laryngeal nerve hooks around the Ligamentum Arteriosum (6th arch derivative), while the Right hooks around the Subclavian artery (4th arch derivative). * **Carotid Body:** Also develops from the third pharyngeal arch mesenchyme.
Explanation: ### Explanation **1. Why 22 to 25 weeks is correct:** The development of the auditory system is a complex chronological process. While the inner ear structures (cochlea and semicircular canals) reach their adult size by 20 weeks, functional maturity—the ability to perceive sound—occurs later. Between **22 and 25 weeks**, the Organ of Corti matures, and the neural pathways from the cochlea to the brainstem become functional. Studies using vibroacoustic stimulation show that the fetus begins to consistently respond to sound (via heart rate changes or movement) starting around the 24th to 25th week. **2. Why the other options are incorrect:** * **12 to 15 weeks:** At this stage, the cochlear duct is still elongating and has not yet completed its 2.5 turns. The sensory hair cells are not yet differentiated. * **18 to 20 weeks:** Although the ossicles are ossifying and the cochlea has reached adult size, the internal hair cells and the central auditory pathway are not yet sufficiently integrated to transmit sound signals to the brain. * **30 to 34 weeks:** By this time, the fetus can not only hear but also discriminate between different sounds and voices. This stage represents advanced auditory processing rather than the onset of function. **3. High-Yield Clinical Pearls for NEET-PG:** * **Embryological Origin:** The internal ear develops from the **otic vesicle (otocyst)**, which is an ectodermal derivative. * **Adult Size:** The internal ear is one of the few structures that reaches adult size by the 20th week of gestation. * **First Sense:** Hearing is one of the earliest senses to become functional, allowing for maternal voice recognition in utero. * **Teratogenic Window:** The critical period for ear development is **4 to 9 weeks** [1]; insults during this time (e.g., Rubella) often lead to congenital deafness.
Explanation: **Explanation:** Implantation is the process by which the blastocyst attaches to and embeds within the maternal endometrium. This process occurs in three distinct, sequential phases: **Apposition, Adhesion, and Invasion.** [1] 1. **Why "Epithelialization" is the correct answer:** Epithelialization is a process of tissue repair and wound healing where epithelial cells migrate to cover a denuded surface. It is **not** a phase of implantation. In fact, during implantation, the uterine epithelium must be breached and displaced (apoptosis) rather than formed, making this term the odd one out. 2. **Analysis of the phases of implantation:** * **Apposition (Option B):** The initial, unstable attachment of the blastocyst to the uterine wall. It usually occurs at the "implantation window" (Days 20–24 of a 28-day cycle) and is mediated by **pinopodes**. [1], [2] * **Adhesion/Adherence (Option C):** A stronger, physical attachment where the trophoblast cells bind to the endometrial epithelium via cell adhesion molecules like **integrins, selectins, and cadherins**. [1] * **Invasion (Option D):** The final phase where the syncytiotrophoblast secretes proteolytic enzymes (like metalloproteinases) to degrade the endometrial extracellular matrix, allowing the embryo to embed deep into the uterine stroma. [1], [2] **NEET-PG High-Yield Pearls:** * **Timing:** Implantation begins on **Day 6** after fertilization and is completed by **Day 10–12**. [1], [4] * **Site:** The most common site is the **posterior wall of the fundus** of the uterus. * **Molecular Marker:** **L-selectin** on the blastocyst and its receptors on the endometrium are crucial for the initial "rolling" and apposition. [1] * **Decidable Reaction:** The transformation of endometrial stromal cells into secretory cells following implantation is essential for providing nutrients to the early embryo. [3]
Explanation: ### Explanation **1. Why Option A is Correct:** In normal embryonic development, the **left 4th aortic arch** persists to form the definitive adult aortic arch, while the **right 4th aortic arch** regresses (except for its proximal portion, which forms the right subclavian artery). A **Double Aortic Arch** occurs when the right 4th aortic arch fails to regress and persists alongside the left [1]. This results in a vascular ring that encircles and compresses both the trachea and the esophagus. **2. Why Other Options are Incorrect:** * **Option B (Right 6th arch):** The 6th arch is the "pulmonary arch." The right 6th arch forms the right pulmonary artery; its distal part disappears. * **Option C (Left 4th arch):** This is the normal precursor of the definitive aortic arch. Persistence of only the left 4th arch is the physiological state. * **Option D (Left 6th arch):** The left 6th arch forms the left pulmonary artery and the **ductus arteriosus** (which becomes the ligamentum arteriosum after birth). **3. High-Yield Clinical Pearls for NEET-PG:** * **Vascular Rings:** Double aortic arch is the most common cause of a symptomatic vascular ring [1]. * **Clinical Presentation:** Infants often present with "Stridor" (tracheal compression) and "Dysphagia lusoria" (difficulty swallowing due to esophageal compression) [1]. * **Radiology:** On a Barium swallow, a double aortic arch typically shows **bilateral indentations** on the esophagus [1]. * **Derivatives Summary:** * **1st Arch:** Maxillary artery. * **2nd Arch:** Stapedial artery. * **3rd Arch:** Common Carotid and proximal Internal Carotid. * **4th Arch:** Left = Arch of Aorta; Right = Right Subclavian. * **6th Arch:** Pulmonary arteries and Ductus Arteriosus.
Explanation: ### Explanation The development of the peritoneal folds is determined by the rotation of the stomach and the growth of organs within the primitive mesenteries. **1. Why the Correct Answer is Right:** The **ventral mesogastrium** is the part of the primitive mesentery that attaches the stomach and upper duodenum to the anterior abdominal wall. The liver develops within this mesentery, dividing it into two distinct parts [1]: * **Ventral part:** Connects the liver to the anterior abdominal wall, forming the **falciform ligament** [1]. * **Dorsal part (Dorsal panus):** Connects the liver to the lesser curvature of the stomach and the first part of the duodenum, forming the **lesser omentum** (comprising the hepatogastric and hepatoduodenal ligaments) [1]. **2. Why the Other Options are Incorrect:** * **A. Greater omentum:** This is derived from the **dorsal mesogastrium** (specifically the part that hangs down from the greater curvature of the stomach). * **C. Falciform ligament:** As mentioned above, this is derived from the **ventral part** of the ventral mesogastrium, not the dorsal part [1]. * **D. Lineorenal (Splenorenal) ligament:** This is derived from the **dorsal mesogastrium**, specifically the portion between the left kidney and the spleen. **3. NEET-PG High-Yield Pearls:** * **Ventral Mesogastrium Derivatives:** Falciform ligament, Lesser omentum, and Coronary/Triangular ligaments of the liver [1]. * **Dorsal Mesogastrium Derivatives:** Greater omentum, Gastrosplenic ligament, and Lineorenal ligament. * **The Spleen:** Develops within the dorsal mesogastrium (mesodermal origin), which is why its ligaments are dorsal mesogastrium derivatives. * **The Liver:** Develops within the ventral mesogastrium [1].
Explanation: **Explanation:** **Hirschsprung Disease (Congenital Aganglionic Megacolon)** is a developmental disorder characterized by the absence of autonomic ganglion cells (Auerbach’s and Meissner’s plexuses) in the distal colon [3]. **1. Why Option A is Correct:** During normal development (weeks 5–12), **neural crest cells** migrate in a cranio-caudal direction from the neural tube to the gastrointestinal tract. In Hirschsprung disease, there is a **failure of these neural crest cells to migrate** into the distal bowel wall. This results in an aganglionic segment (most commonly the rectosigmoid) that cannot relax, leading to functional obstruction and proximal "abnormal dilation" (megacolon) [1]. **2. Why Other Options are Incorrect:** * **Option B:** Incomplete separation of the cloaca by the urorectal septum leads to **anorectal malformations** (e.g., rectovesical or rectovaginal fistulas), not aganglionosis. * **Option C:** Failure of recanalization typically causes **intestinal atresia or stenosis** (common in the duodenum). The colon does not undergo a solid-cord stage like the small intestine. * **Option D:** Defective rotation (malrotation) of the midgut (not hindgut) leads to **volvulus** or Ladd’s bands, causing mechanical obstruction rather than a lack of innervation. **Clinical Pearls for NEET-PG:** * **Genetic Association:** Strongly linked to mutations in the **RET proto-oncogene**. * **Associated Condition:** Frequently seen in infants with **Down Syndrome** (Trisomy 21) [4]. * **Clinical Presentation:** Delayed passage of meconium (>48 hours), abdominal distension, and "squirt sign" on rectal exam. * **Diagnosis:** Gold standard is a **rectal suction biopsy** showing absence of ganglion cells and hypertrophied nerve bundles [2],[3].
Explanation: ### Explanation **Correct Option: C. Consumptive coagulopathy with hypofibrinogenemia** The primary risk associated with a **prolonged retained dead fetus** (usually >4 weeks) is **Disseminated Intravascular Coagulation (DIC)** [1], specifically presenting as consumptive coagulopathy [3]. **Pathophysiology:** When a fetus dies and remains in utero, the necrotic fetal tissues and placenta release **thromboplastin** (tissue factor) into the maternal circulation [3]. This triggers the extrinsic coagulation pathway, leading to the systemic conversion of prothrombin to thrombin. This results in the massive consumption of clotting factors, most notably **fibrinogen**, leading to hypofibrinogenemia and a high risk of hemorrhage [1], [2]. In this case, the fetus has been dead for 5 weeks (17 to 22 weeks), crossing the critical 4-week threshold for this complication [3]. **Analysis of Incorrect Options:** * **A. Septic abortion:** This refers to an infected miscarriage. While infection can occur, the classic systemic risk of a long-retained sterile IUFD is hematological rather than infectious [3]. * **B & D. Future infertility / Ectopic pregnancy:** IUFD itself does not damage the fallopian tubes or the endometrium in a way that predisposes the patient to infertility or ectopic pregnancies, provided the evacuation is performed without complications like Asherman syndrome or pelvic inflammatory disease. **High-Yield Clinical Pearls for NEET-PG:** * **The "4-Week Rule":** The risk of DIC in IUFD becomes clinically significant if the dead fetus is retained for more than 4 weeks [3]. * **Monitoring:** In expectant management of IUFD, maternal **fibrinogen levels** and platelet counts should be monitored weekly. * **Critical Level:** A fibrinogen level **<150 mg/dL** is a warning sign of impending DIC [2] (Normal pregnancy fibrinogen is elevated, usually 300–600 mg/dL). * **Management:** Prompt evacuation of the uterus and replacement of clotting factors (Cryoprecipitate or FFP) if coagulopathy develops.
Explanation: ***Right supra-cardinal vein*** - The **right supra-cardinal vein** forms the **suprarenal segment** of the IVC; its complete regression leads to **left-sided IVC** anomaly where the IVC continues on the left side. - Normal development requires the right supra-cardinal vein to persist while the left regresses, so complete regression of the right causes the left to persist abnormally. *Right vitelline vein* - The **right vitelline vein** forms the **hepatic segment** of the IVC and **hepatic veins**; its regression would cause **absence of hepatic IVC segment**. - This would result in **hepatic drainage anomalies** rather than a left-sided IVC, as the hepatic segment is the most cranial portion. *Left vitelline vein* - The **left vitelline vein** normally regresses during development and does not contribute to the mature IVC structure. - Its abnormal **persistence** (not regression) would cause hepatic drainage anomalies, but its regression is part of normal development. *Left supra-cardinal vein* - The **left supra-cardinal vein** normally regresses during development while the right persists to form the suprarenal IVC segment. - Complete regression of the left supra-cardinal vein is **normal embryological development** and does not cause any anomaly.
Explanation: ### Explanation The pharyngeal (branchial) arches are fundamental structures in head and neck development. Each arch contains a central cartilaginous rod, a muscular component, an artery (aortic arch), and a specific **cranial nerve** that supplies all derivatives of that arch. **1. Why Trigeminal Nerve (V) is Correct:** The **first pharyngeal arch (Mandibular arch)** is associated with the **Trigeminal nerve**, specifically its **Mandibular division (V3)**. This nerve supplies all muscles derived from the first arch mesoderm, which include: * **Muscles of Mastication:** Masseter, Temporalis, Medial and Lateral Pterygoids. * **Others:** Anterior belly of digastric, Mylohyoid, Tensor tympani, and Tensor veli palatini. **2. Why the Other Options are Incorrect:** * **Option B (Facial Nerve - VII):** Supplies the **second pharyngeal arch (Hyoid arch)**. It innervates the muscles of facial expression, posterior belly of digastric, stylohyoid, and stapedius. * **Option C (Glossopharyngeal Nerve - IX):** Supplies the **third pharyngeal arch**. Its only muscular derivative is the **Stylopharyngeus**. * **Option D (Vagus Nerve - X):** Supplies the **fourth and sixth pharyngeal arches**. The Superior Laryngeal branch (4th arch) supplies the cricothyroid and pharyngeal constrictors, while the Recurrent Laryngeal branch (6th arch) supplies the intrinsic muscles of the larynx. **High-Yield Clinical Pearls for NEET-PG:** * **Skeletal Derivatives:** The 1st arch forms **Meckel’s cartilage**, which gives rise to the Malleus and Incus. The 2nd arch forms **Reichert’s cartilage** (Stapes, Styloid process). * **Treacher Collins Syndrome:** Results from the failure of first arch neural crest cell migration, leading to mandibular hypoplasia and zygomatic bone defects. * **Mnemonic:** "Eat (V), Smile (VII), Swallow (IX), Speak (X)" represents the primary functions of the nerves of arches 1, 2, 3, and 4/6 respectively.
Explanation: **Explanation:** **1. Why Neural Crest is Correct:** Merkel cells are specialized mechanoreceptors located in the basal layer of the epidermis, responsible for light touch sensation [1]. Historically, their origin was debated, but modern embryological studies (including lineage tracing) have confirmed that they are derived from **Neural Crest Cells**. These cells are "pluripotent" migratory cells that detach from the neural folds during neurulation and migrate throughout the body to form various structures, including the peripheral nervous system and specific skin components like melanocytes and Merkel cells [2]. **2. Why Other Options are Incorrect:** * **Neural tube:** This structure gives rise to the Central Nervous System (CNS), including the brain, spinal cord, and motor neurons. It does not contribute to the sensory cells of the skin. * **Notochord:** This is a midline structure that induces the overlying ectoderm to form the neural plate. In adults, its only remnant is the **nucleus pulposus** of the intervertebral disc. * **Neural pore:** These are the temporary openings at the cranial (anterior) and caudal (posterior) ends of the neural tube. Failure of these to close leads to neural tube defects (e.g., Anencephaly or Spina Bifida), but they are not a source of cell lineages. **3. High-Yield Clinical Pearls for NEET-PG:** * **Merkel Cell Carcinoma:** A highly aggressive neuroendocrine carcinoma of the skin. It stains positive for **Cytokeratin 20 (CK20)** in a characteristic "perinuclear dot-like" pattern. * **Neural Crest Derivatives (Mnemonic: MOTHER):** **M**elanocytes, **O**dontoblasts, **T**racheal cartilage, **H**eart (conotruncal septum), **E**nteric nervous system, **R**elated glands (Adrenal medulla/Parafollicular C-cells). * **Location:** Merkel cells are most densely concentrated in highly sensitive areas like fingertips and lips.
Gametogenesis and Fertilization
Practice Questions
Early Embryonic Development
Practice Questions
Placentation
Practice Questions
Development of Nervous System
Practice Questions
Development of Cardiovascular System
Practice Questions
Development of Gastrointestinal System
Practice Questions
Development of Urogenital System
Practice Questions
Development of Musculoskeletal System
Practice Questions
Development of Head and Neck
Practice Questions
Congenital Anomalies
Practice Questions
Teratology
Practice Questions
Molecular Mechanisms in Development
Practice Questions
Get full access to all questions, explanations, and performance tracking.
Start For Free