The labia majora develop from which embryological structure?
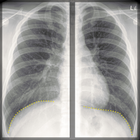
The ring is denoting the location of?

A patient was admitted with skull base trauma. The doctor was testing the marked structure in the pharyngeal region. Which of the following nerves was being tested?

Match the following: A) Glossopharyngeal nerve B) Spinal accessory nerve C) Facial nerve D) Mandibular nerve 1) Shrugging of shoulder 2) Touch sensation from the posterior one-third of the tongue 3) Chewing 4) Taste from the anterior two-thirds of the tongue
During your preoperative assessment, a 28-year-old woman complains of dyspnea on exertion. Upon auscultation of her heart, you notice a mid-diastolic rumbling murmur. This murmur is most characteristic of which valvular lesion?
A patient has dyspareunia, and dysmenorrhea with adnexal tenderness. What is the first step of investigation?
A child is being assessed for possible intussusception; which of the following would be LEAST likely to provide valuable information?
A patient came with complaints of lower limb weakness. Examiner places one hand under the patient's heel and patient is asked to raise his other leg against downward resistance. What is the name of this test?
A 15-year-old unmarried girl presents with complaints of dysmenorrhoea for about one year. She achieved menarche at 12 years of age. On abdominal and rectal examination, she has no abnormality. What will be the most appropriate management?
Lesion of facial nerve at level of stylomastoid foramen leads to:
Explanation: ***Labioscrotal swellings*** - The **labia majora** develop from the **labioscrotal swellings**, which are paired bilateral structures that appear around week 9-10 of development [1]. - These swellings arise lateral to the urogenital folds and do not fuse in females, forming the labia majora. - In males, these same structures fuse in the midline to form the scrotum. - This is a key example of **sexual differentiation** in embryological development [1]. *Urogenital folds* - The urogenital folds form the **labia minora** in females, not the labia majora. - In males, these folds fuse to form the ventral aspect of the penis and enclose the penile urethra. *Genital tubercle* - The genital tubercle forms the **clitoris** in females and the **glans penis** in males. - It does not contribute to the formation of the labia majora. *Müllerian ducts* - The Müllerian (paramesonephric) ducts form the **upper vagina, uterus, and fallopian tubes** in females. - They are internal structures and do not contribute to external genitalia like the labia majora.
Explanation: ***Tricuspid valve*** - The image likely displays a **cardiac outline** on an X-ray, and the ring points to the typical location of the **tricuspid valve** within the right side of the heart. - The tricuspid valve separates the **right atrium** from the **right ventricle**. *Pulmonary valve* - The pulmonary valve is located anterior and to the left of the tricuspid valve, separating the **right ventricle** from the **pulmonary artery**. - Its position is generally superior and more towards the midline compared to the ring's location. *Mitral valve* - The mitral valve is situated on the **left side of the heart**, between the **left atrium** and **left ventricle**. - Its location is distinctly different from the highlighted area. *Aortic valve* - The aortic valve is located between the **left ventricle** and the **aorta**, typically found superior and central in relation to the cardiac silhouette. - This position is away from the area indicated by the ring.
Explanation: ***Glossopharyngeal nerve*** - The image shows a probe stimulating the posterior part of the **pharynx**, which elicits the **gag reflex**. - The afferent limb of the **gag reflex** is mediated primarily by the **glossopharyngeal nerve (CN IX)**, which detects sensation from the posterior tongue and pharynx. *Trigeminal nerve* - The **trigeminal nerve (CN V)** primarily mediates sensation from the face, teeth, and anterior two-thirds of the tongue, and motor control of the **muscles of mastication**. - It does not have a primary role in the sensation or reflex of the posterior pharyngeal wall. *Facial nerve* - The **facial nerve (CN VII)** is responsible for the **muscles of facial expression**, taste from the anterior two-thirds of the tongue, and parasympathetic innervation to several glands. - While it contributes to some aspects of swallowing, it is not the main sensory nerve for the gag reflex from the posterior pharynx. *Vagus* - The **vagus nerve (CN X)** provides the efferent limb of the gag reflex, causing pharyngeal muscle contraction. - However, the sensory input from the posterior pharynx (the afferent limb being tested by the probe) is primarily carried by the **glossopharyngeal nerve**. *Hypoglossal nerve* - The **hypoglossal nerve (CN XII)** provides motor innervation to the intrinsic and extrinsic muscles of the tongue. - While it is relevant in skull base trauma, it does not mediate sensation from the pharynx or the gag reflex being tested in the image.
Explanation: ***A-2 , B-1 , C-4 , D-3*** - **A) Glossopharyngeal nerve (CN IX)** is responsible for **general sensation and taste from the posterior one-third of the tongue** [1]. (2). - **B) Spinal Accessory nerve (CN XI)** innervates the **sternocleidomastoid** and **trapezius muscles**, which are involved in shrugging the shoulders (1). - **C) Facial nerve (CN VII)** carries **taste sensation from the anterior two-thirds of the tongue** [1] (4) via the chorda tympani. - **D) Mandibular nerve (V3)**, a branch of the trigeminal nerve, innervates the muscles of mastication, enabling **chewing** (3). *A-3 , B-1 , C-4 , D-2* - This option incorrectly associates the **glossopharyngeal nerve** with chewing, which is a function of the mandibular nerve (V3). - It also incorrectly associates the **mandibular nerve** with touch sensation from the posterior one-third of the tongue, which is a function of the glossopharyngeal nerve [1]. *A-2 , B-3 , C-4 , D-1* - This option incorrectly links the **spinal accessory nerve** with chewing; this nerve primarily controls shoulder and neck movements. - It also incorrectly assigns shrugging of the shoulder to the **mandibular nerve** instead of the spinal accessory nerve. *A-4 , B-1 , C-2 , D-3* - This choice incorrectly attributes **taste from the anterior two-thirds of the tongue** to the glossopharyngeal nerve, which supplies the posterior one-third [1]. - It also incorrectly links **touch sensation from the posterior one-third of the tongue** to the facial nerve, which is involved in taste from the anterior two-thirds [1].
Explanation: ***Mitral stenosis*** - A **mid-diastolic rumbling murmur** is the classic auscultatory finding in **mitral stenosis**, caused by turbulent blood flow across a narrowed mitral valve during ventricular filling [1], [4]. - The associated **dyspnea on exertion** is due to increased left atrial pressure and pulmonary congestion resulting from the stenotic mitral valve [1]. *Aortic regurgitation* - Characterized by a **diastolic decrescendo murmur**, best heard at the left sternal border, not a rumbling mid-diastolic murmur. - Often presents with a **wide pulse pressure** and peripheral signs like head bobbing (De Musset's sign) or pulsating nail beds (Quincke's sign). *Aortic stenosis* - Typically produces a **systolic ejection murmur** that **radiates to the carotids**, best heard at the right upper sternal border. - Main symptoms include **dyspnea**, **angina**, and **syncope** on exertion [2]. *Mitral regurgitation* - Presents with a **holosystolic murmur** that **radiates to the axilla**, indicating continuous backflow of blood into the left atrium during systole. - Can lead to **dyspnea** and **fatigue** due to decreased forward cardiac output and pulmonary congestion [3].
Explanation: ***Transvaginal USG*** - This is the **first-line investigation** for evaluating pelvic pain, dyspareunia, dysmenorrhea, and adnexal tenderness due to its ability to provide **high-resolution images** of the uterus, ovaries, and surrounding structures to identify potential pathology like **endometriomas** or other adnexal masses. - It allows for detailed assessment of **ovarian cysts**, fibroids, and other pelvic abnormalities, which can explain the patient's symptoms. *Colposcopy* - This procedure is primarily used to closely examine the **cervix, vagina, and vulva** for abnormal cells, often following an abnormal Pap test. - It is not the initial step for investigating generalized pelvic pain, dyspareunia, or adnexal tenderness. *Diagnostic laparoscopy* - While a **diagnostic laparoscopy** can provide a definitive diagnosis for conditions like **endometriosis**, it is an **invasive surgical procedure** and typically reserved for cases where non-invasive imaging, such as transvaginal ultrasound, has not yielded a clear diagnosis or when conservative management has failed. - It is not considered the first-step investigation due to its **invasive nature** and associated risks. *Transabdominal pelvic ultrasound* - A **transabdominal pelvic ultrasound** provides a broader view of the pelvic organs but often has **lower resolution** and is less accurate for detailed assessment of the uterus, ovaries, and adnexa compared to transvaginal ultrasound, especially in obese patients. - It is often used if a transvaginal ultrasound is not feasible or for assessing larger pelvic masses, but the **transvaginal approach** is superior for detailed evaluation of the female reproductive organs.
Explanation: ***Family history*** - Intussusception is typically an **acute pediatric condition** with no strong genetic predisposition. - While certain genetic syndromes can increase risk, general family history of other conditions is **not directly relevant** to confirming or ruling out intussusception. *Pain pattern* - The classic **intermittent, colicky abdominal pain** that recurs every 15-20 minutes is a hallmark symptom of intussusception. - This pattern provides crucial diagnostic information about the **bowel telescoping and transient obstruction**. *Abdominal palpation* - Palpation can reveal a **sausage-shaped abdominal mass**, especially in the right upper quadrant, which is a classic physical finding. - Tenderness, distension, and signs of peritonitis can also be detected, indicating **bowel obstruction or perforation**. *Stool inspection* - The presence of "**currant jelly stool**" (blood and mucus) is a highly characteristic sign of intussusception, resulting from venous congestion and sloughing of the intestinal mucosa. - This finding provides clear evidence of **intestinal ischemia and bleeding**.
Explanation: ***Hoover test*** - This specific maneuver is used to detect **malingering or non-organic weakness** in the lower limbs [1]. The examiner expects an involuntary downward thrust from the heel of the seemingly weak leg when the patient attempts to lift the contralateral leg. - Absence of this expected downward pressure on the examiner's hand when the patient is asked to lift the "strong" leg suggests the patient is not genuinely attempting to lift the affected leg. *O'Donoghue test* - The O'Donoghue test assesses for **meniscal or ligamentous injury** in the knee joint by combining passive and resisted motions of the knee. - It involves motions like resisted flexion, extension, and rotation to elicit pain, which is different from the described procedure. *McBride test* - The McBride test is used to evaluate the integrity of the **collateral ligaments of the knee**, particularly after injury. - It involves specific manipulations of the knee and ankle to assess stability and pain, which is not what the question describes. *Waddell's test* - Waddell's signs are a set of five physical signs that indicate **non-organic or psychological components to low back pain**. - These signs include superficial tenderness, simulated axial loading pain, distraction signs, regional weakness/sensory disturbance, and overreaction during examination, none of which involve the specific maneuver for detecting lower limb motor weakness described in the question.
Explanation: ***Reassure her and prescribe analgesics*** - This presentation is typical for **primary dysmenorrhea**, which is common in adolescent girls and not associated with underlying pathology. - Initial management involves **reassurance** about the benign nature of the condition and symptomatic relief with **analgesics**, particularly **NSAIDs**. *Prescribe clotrimazole vaginal ovules* - **Clotrimazole** is an antifungal medication indicated for candidal vaginitis, which is not suggested by the presented symptoms or examination findings. - Dysmenorrhea is pain associated with menstruation, not typically a symptom of **vaginal infection**. *Perform dilatation and curettage* - **Dilatation and curettage (D&C)** is an invasive surgical procedure used for various uterine conditions, such as abnormal uterine bleeding or miscarriage. - It is completely inappropriate for the initial management of **primary dysmenorrhea** in an adolescent with a normal examination. *Prescribe antibiotics* - **Antibiotics** are indicated for bacterial infections, which are not suggested by the patient's complaints of dysmenorrhea and normal abdominal/rectal examination. - There is no clinical evidence of **pelvic inflammatory disease** or other infectious causes.
Explanation: ***Paralysis of orbicularis oculi muscle*** - The **facial nerve** is primarily responsible for innervating all **muscles of facial expression**, including the **orbicularis oculi**, after it exits the **stylomastoid foramen**. - A lesion at this level would therefore lead to paralysis of these muscles, causing an inability to close the eye on the affected side. *Loss of innervation to stapedius* - The nerve to the **stapedius muscle** branches off the facial nerve *before* it exits the stylomastoid foramen, within the **temporal bone**. - Therefore, a lesion *at* the stylomastoid foramen would occur *distal* to this branching point, sparing the nerve to the stapedius and preserving its function. *Loss of taste sensation from Ant. 2/3 of tongue* - **Taste sensation** from the anterior two-thirds of the tongue is carried by the **chorda tympani nerve**, which branches off the facial nerve *within the temporal bone*. - A lesion *at* the stylomastoid foramen would be *distal* to the origin of the chorda tympani, thus preserving taste sensation. *Loss of Lacrimal secretion* - **Lacrimal gland secretion** is mediated by parasympathetic fibers that branch off the facial nerve as the **greater petrosal nerve**, *much earlier and more proximally* within the temporal bone. - A lesion *at* the stylomastoid foramen would not affect the function of the greater petrosal nerve or lacrimal secretion.
Get full access to all questions, explanations, and performance tracking.
Start For Free