Lung transplantation candidacy US Medical PG Practice Questions and MCQs
Practice US Medical PG questions for Lung transplantation candidacy. These multiple choice questions (MCQs) cover important concepts and help you prepare for your exams.
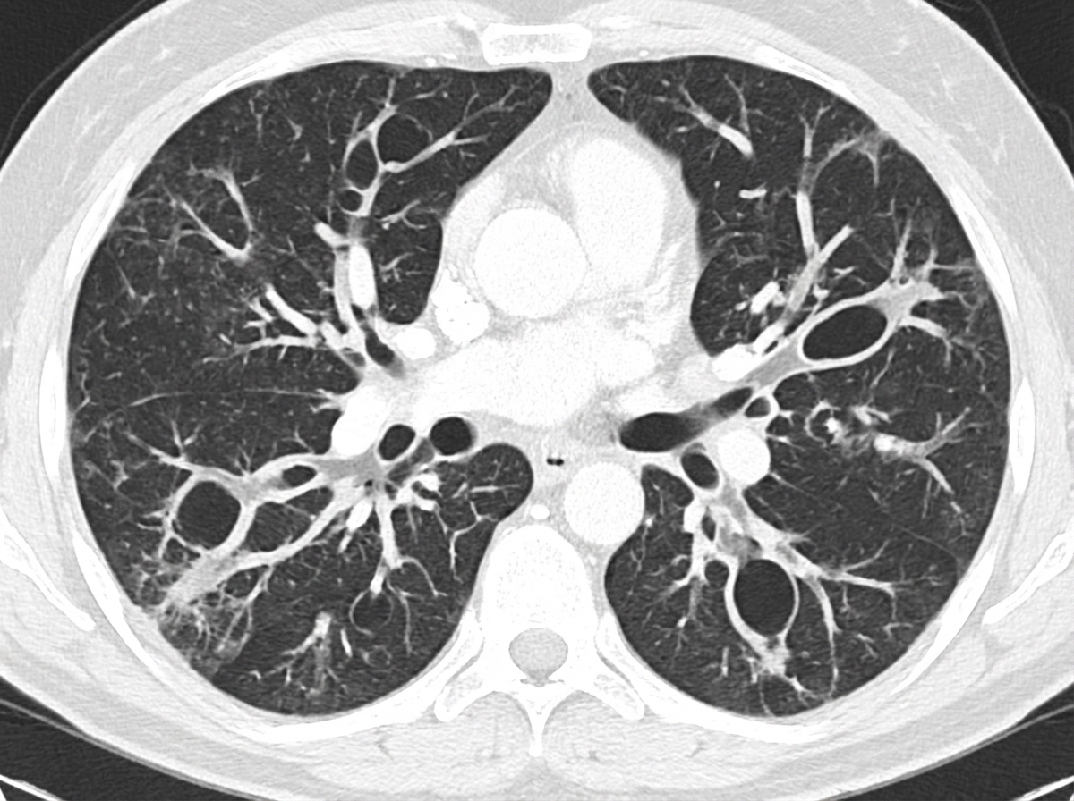
Lung transplantation candidacy US Medical PG Question 1: A 47-year-old man comes to the physician because of a 7-week history of cough, shortness of breath, and daily copious sputum production. He has had frequent respiratory tract infections over the past several years. Current medications include dextromethorphan and guaifenesin as needed. He does not smoke cigarettes. His temperature is 37.1°C (98.8°F), pulse is 88/min, respirations are 21/min, and blood pressure is 133/84 mm Hg. Pulse oximetry on room air shows an oxygen saturation of 95%. Diffuse crackles and wheezing are heard on auscultation over bilateral lung fields. A CT scan of the chest is shown. The patient is at greatest risk for which of the following complications?
- A. Dysfunction of left ventricle
- B. Infection with Rhizopus species
- C. Neoplastic growth of pleural cells
- D. Damage to bronchial vessels (Correct Answer)
- E. Rupture of pulmonary blebs
Lung transplantation candidacy Explanation: ***Damage to bronchial vessels***
- The patient's presentation with chronic cough, copious sputum, frequent infections, and diffuse crackles/wheezing, along with the CT scan findings suggestive of **bronchiectasis**, indicates severe and chronic airway inflammation and dilation.
- In **bronchiectasis**, the bronchial arteries undergo **hypertrophy and neovascularization** in response to chronic inflammation, becoming tortuous and fragile.
- These hypertrophied bronchial vessels are at **systemic arterial pressure** (unlike low-pressure pulmonary vessels) and are prone to rupture, leading to **hemoptysis** (can be life-threatening massive hemoptysis in severe cases).
- This is the **most serious acute complication** of bronchiectasis, accounting for 50-90% of massive hemoptysis cases.
*Dysfunction of left ventricle*
- While chronic respiratory illness can lead to **right ventricular dysfunction (cor pulmonale)** due to pulmonary hypertension, it's less directly associated with **left ventricular dysfunction** as a primary complication of bronchiectasis itself.
- The patient's vital signs and oxygen saturation do not immediately indicate acute cardiac compromise.
*Infection with Rhizopus species*
- **Rhizopus** species cause **mucormycosis**, an opportunistic fungal infection primarily seen in immunocompromised individuals (e.g., diabetics, neutropenic patients, those on immunosuppressants).
- There is no information in the vignette to suggest the patient is immunocompromised or has risk factors for mucormycosis.
*Neoplastic growth of pleural cells*
- **Pleural cell neoplasia (mesothelioma)** is typically associated with a history of **asbestos exposure**, which is not mentioned in the patient's history.
- The clinical picture and CT findings are more consistent with chronic inflammatory airway disease than with pleural malignancy.
*Rupture of pulmonary blebs*
- **Pulmonary blebs** are typically associated with **emphysema** or other lung conditions that cause air trapping and are a risk factor for **spontaneous pneumothorax**.
- While the patient has respiratory symptoms, the primary features point towards **bronchiectasis**, and bleb rupture is not the most direct or common complication of this condition.
Lung transplantation candidacy US Medical PG Question 2: A 56-year-old man comes to the emergency department because of progressively worsening shortness of breath and fever for 2 days. He also has a nonproductive cough. He does not have chest pain or headache. He has chronic myeloid leukemia and had a bone marrow transplant 3 months ago. His current medications include busulfan, mycophenolate mofetil, tacrolimus, and methylprednisolone. His temperature is 38.1°C (100.6°F), pulse is 103/min, respirations are 26/min, and blood pressure is 130/70 mm Hg. Pulse oximetry on room air shows an oxygen saturation of 93%. Pulmonary examination shows diffuse crackles. The spleen tip is palpated 4 cm below the left costal margin. Laboratory studies show:
Hemoglobin 10.3 g/dL
Leukocyte count 4,400/mm3
Platelet count 160,000/mm3
Serum
Glucose 78 mg/dL
Creatinine 2.1 mg/dL
D-dimer 96 ng/mL (N < 250)
pp65 antigen positive
Galactomannan antigen negative
Urinalysis is normal. An x-ray of the chest shows diffuse bilateral interstitial infiltrates. An ECG shows sinus tachycardia. Which of the following is the most appropriate pharmacotherapy?
- A. Levofloxacin
- B. Ganciclovir (Correct Answer)
- C. Valganciclovir
- D. Azithromycin
- E. Acyclovir
Lung transplantation candidacy Explanation: ***Ganciclovir***
- The patient's **positive pp65 antigen** confirms **cytomegalovirus (CMV) infection**, the most common viral infection in immunocompromised bone marrow transplant recipients.
- This patient has **severe, life-threatening CMV pneumonitis** evidenced by hypoxia (O2 sat 93%), tachypnea, and diffuse bilateral interstitial infiltrates.
- **Intravenous ganciclovir** is the **first-line treatment** for severe CMV disease due to its potent antiviral activity and reliable bioavailability in critically ill patients.
*Valganciclovir*
- **Valganciclovir** is an **oral prodrug of ganciclovir** with excellent bioavailability, but it is primarily reserved for **CMV prophylaxis** or **maintenance therapy** after initial IV treatment.
- In this patient with **acute, severe CMV pneumonitis** requiring urgent intervention (hypoxia, respiratory distress), **IV ganciclovir is strongly preferred** for faster, more reliable drug delivery and higher tissue concentrations.
*Levofloxacin*
- This **fluoroquinolone antibiotic** treats **bacterial infections**, not viral pathogens like CMV.
- The **positive pp65 antigen** specifically identifies CMV as the etiology, and negative galactomannan rules out invasive aspergillosis.
- While empiric antibacterial coverage might be considered in febrile neutropenic patients, the clear viral diagnosis directs therapy toward antivirals.
*Azithromycin*
- **Azithromycin** is a macrolide antibiotic effective against atypical bacteria (Mycoplasma, Chlamydophila) and some other bacterial pathogens.
- It has **no activity against CMV** and would not address the confirmed viral etiology.
*Acyclovir*
- **Acyclovir** is effective against **herpes simplex virus (HSV)** and **varicella-zoster virus (VZV)**, but has **poor activity against CMV** due to inadequate phosphorylation by CMV enzymes.
- The positive pp65 antigen specifically indicates CMV, for which ganciclovir (not acyclovir) is required.
Lung transplantation candidacy US Medical PG Question 3: Which of the following physiologic changes decreases pulmonary vascular resistance (PVR)?
- A. Inhaling the inspiratory reserve volume (IRV)
- B. Exhaling the entire vital capacity (VC)
- C. Exhaling the expiratory reserve volume (ERV)
- D. Breath holding maneuver at functional residual capacity (FRC)
- E. Inhaling the entire vital capacity (VC) (Correct Answer)
Lung transplantation candidacy Explanation: ***Inhaling the entire vital capacity (VC)***
- As lung volume increases from FRC to TLC (which includes inhaling the entire VC), alveolar vessels are **stretched open**, and extra-alveolar vessels are **pulled open** by the increased radial traction, leading to a decrease in PVR.
- This **maximizes the cross-sectional area** of the pulmonary vascular bed, lowering resistance.
*Inhaling the inspiratory reserve volume (IRV)*
- While inhaling IRV increases lung volume, it's not the maximal inspiration of the entire VC where **PVR is typically at its lowest**.
- PVR continues to decrease as lung volume approaches total lung capacity (TLC).
*Exhaling the entire vital capacity (VC)*
- Exhaling the entire vital capacity leads to very low lung volumes, where PVR significantly **increases**.
- At low lung volumes, **alveolar vessels become compressed** and extra-alveolar vessels **narrow**, increasing resistance.
*Exhaling the expiratory reserve volume (ERV)*
- Exhaling the ERV results in a lung volume below FRC, which causes a **marked increase in PVR**.
- This is due to the **compression of alveolar vessels** and decreased radial traction on extra-alveolar vessels.
*Breath holding maneuver at functional residual capacity (FRC)*
- At FRC, the PVR is at an **intermediate level**, not its lowest.
- This is the point where the opposing forces affecting alveolar and extra-alveolar vessels are somewhat balanced, but not optimized for minimal resistance.
Lung transplantation candidacy US Medical PG Question 4: A previously healthy 64-year-old woman comes to the physician because of a dry cough and progressively worsening shortness of breath for the past 2 months. She has not had fever, chills, or night sweats. She has smoked one pack of cigarettes daily for the past 45 years. She appears thin. Examination of the lung shows a prolonged expiratory phase and end-expiratory wheezing. Spirometry shows decreased FEV1:FVC ratio (< 70% predicted), decreased FEV1, and a total lung capacity of 125% of predicted. The diffusion capacity of the lung (DLCO) is decreased. Which of the following is the most likely diagnosis?
- A. Bronchiectasis
- B. Interstitial lung disease
- C. Chronic obstructive pulmonary disease (Correct Answer)
- D. Hypersensitivity pneumonitis
- E. Bronchial asthma
Lung transplantation candidacy Explanation: ***Chronic obstructive pulmonary disease***
- The patient's long history of **smoking (45 pack-years)**, **prolonged expiratory phase**, and **end-expiratory wheezing** are classic signs of airway obstruction.
- Spirometry findings of a **decreased FEV1:FVC ratio** (< 70% predicted), **decreased FEV1**, **increased total lung capacity (TLC)**, and **decreased DLCO** are all highly indicative of **emphysema**, a subtype of COPD.
*Bronchiectasis*
- While it shares symptoms like cough and SOB, **bronchiectasis** is characterized by permanent **dilatation of bronchi** and profuse, chronic **sputum production**, which is not mentioned here.
- Spirometry typically shows **obstructive patterns**, but the marked increase in TLC and decreased DLCO are more specific to emphysema.
*Interstitial lung disease*
- This condition primarily causes a **restrictive lung pattern**, meaning a decreased TLC and normal or increased FEV1:FVC ratio.
- The patient's **increased TLC** and **obstructive spirometry** rule out a purely restrictive process.
*Hypersensitivity pneumonitis*
- This is an inflammatory response to inhaled antigens, often presenting with **recurrent episodes** of fever, chills, and cough, and can lead to restrictive physiology.
- The patient lacks a history of specific **antigen exposure** and presents with an obstructive pattern and increased TLC.
*Bronchial asthma*
- While asthma shares obstructive features like wheezing and a decreased FEV1:FVC ratio, it is characterized by **reversibility** of airway obstruction and typically does not cause a significantly **elevated TLC** or **decreased DLCO** in uncomplicated cases.
- The patient's long smoking history points away from asthma as the primary diagnosis.
Lung transplantation candidacy US Medical PG Question 5: Which mechanism is primarily responsible for the increase in pulmonary diffusing capacity during exercise?
- A. Decreased airway resistance
- B. Reduced membrane thickness
- C. Increased alveolar ventilation
- D. Pulmonary capillary recruitment (Correct Answer)
Lung transplantation candidacy Explanation: ***Pulmonary capillary recruitment***
- During exercise, more **pulmonary capillaries** that were previously unperfused or poorly perfused open up, increasing the **surface area available for gas exchange**.
- This **recruitment** directly enhances the pulmonary diffusing capacity by providing more sites for oxygen to cross from the alveoli into the blood.
*Decreased airway resistance*
- While airway resistance can decrease during exercise due to **bronchodilation**, this primarily affects **airflow** and ventilation, not the efficiency of gas diffusion across the alveolar-capillary membrane.
- Reduced airway resistance facilitates getting air into and out of the lungs but does not expand the surface area for diffusion or thin the membrane.
*Reduced membrane thickness*
- The thickness of the **alveolar-capillary membrane** is a structural characteristic that does not significantly change acutely during exercise.
- While a thinner membrane would improve diffusion, this is not the primary mechanism behind the exercise-induced increase in diffusing capacity.
*Increased alveolar ventilation*
- Increased alveolar ventilation ensures a higher **partial pressure of oxygen** in the alveoli.
- While essential for delivering oxygen, it primarily affects the **driving pressure for diffusion** rather than the physical capacity of the diffusion barrier itself.
Lung transplantation candidacy US Medical PG Question 6: A 14-year-old boy has undergone kidney transplantation due to stage V chronic kidney disease. A pre-transplantation serologic assessment showed that he is negative for past or present HIV infection, viral hepatitis, EBV, and CMV infection. He has a known allergy for macrolides. The patient has no complaints 1 day after transplantation. His vital signs include: blood pressure 120/70 mm Hg, heart rate 89/min, respiratory rate 17/min, and temperature 37.0°C (98.6°F). On physical examination, the patient appears to be pale, his lungs are clear on auscultation, heart sounds are normal, and his abdomen is non-tender on palpation. His creatinine is 0.65 mg/dL (57.5 µmol/L), GFR is 71.3 mL/min/1.73 m2, and urine output is 0.9 mL/kg/h. Which of the following drugs should be used in the immunosuppressive regimen in this patient?
- A. Belatacept
- B. Sirolimus
- C. Omalizumab
- D. Daclizumab
- E. Basiliximab (Correct Answer)
Lung transplantation candidacy Explanation: **Basiliximab**
- **Basiliximab** is a **monoclonal antibody** that targets the **IL-2 receptor (CD25)** on activated T cells, preventing their proliferation and inducing immunosuppression.
- It is commonly used as **induction therapy** in kidney transplant recipients due to its good safety profile, especially in pediatric patients, without the nephrotoxicity associated with calcineurin inhibitors, minimizing acute rejection risks immediately post-transplant.
*Belatacept*
- **Belatacept** works by co-stimulation blockade, binding to **CD80 and CD86** on antigen-presenting cells to prevent T-cell activation.
- It is typically reserved for patients who cannot tolerate calcineurin inhibitors due to **nephrotoxicity** or require a steroid-sparing regimen, which is not indicated as an immediate need in this patient.
*Sirolimus*
- **Sirolimus** is an **mTOR inhibitor** that works by blocking T-cell proliferation and B-cell differentiation.
- It is associated with several side effects, including **delayed wound healing**, **thrombocytopenia**, and **hyperlipidemia**, which are undesirable in the immediate post-transplant period, especially in a growing adolescent.
*Omalizumab*
- **Omalizumab** is an **anti-IgE monoclonal antibody** primarily used for allergic asthma and chronic spontaneous urticaria.
- It has no role in **immunosuppression for organ transplantation** as its mechanism of action is unrelated to preventing graft rejection.
*Daclizumab*
- **Daclizumab** is another **monoclonal antibody** that also targets the **IL-2 receptor (CD25)**, similar to basiliximab.
- However, daclizumab has been **withdrawn from the market** due to serious adverse effects including severe liver injury and autoimmune encephalitis, making it unavailable for clinical use in transplantation.
Lung transplantation candidacy US Medical PG Question 7: A 72-year-old obese man presents as a new patient to his primary care physician because he has been feeling tired and short of breath after recently moving to Denver. He is a former 50 pack-year smoker and has previously had deep venous thrombosis. Furthermore, he previously had a lobe of the lung removed due to lung cancer. Finally, he has a family history of a progressive restrictive lung disease. Laboratory values are obtained as follows:
Oxygen tension in inspired air = 130 mmHg
Alveolar carbon dioxide tension = 48 mmHg
Arterial oxygen tension = 58 mmHg
Respiratory exchange ratio = 0.80
Respiratory rate = 20/min
Tidal volume = 500 mL
Which of the following mechanisms is consistent with these values?
- A. Shunt physiology
- B. High altitude
- C. V/Q mismatch
- D. Pulmonary fibrosis
- E. Hypoventilation (Correct Answer)
Lung transplantation candidacy Explanation: ***Hypoventilation***
- The arterial oxygen tension (PaO2) of 58 mmHg is consistent with hypoxemia, and the alveolar carbon dioxide tension (PACO2) of 48 mmHg (normal 35-45 mmHg) indicates **hypercapnia**, a hallmark of hypoventilation.
- The **alveolar-arterial (A-a) gradient** can be calculated using the alveolar gas equation: PAO2 = PiO2 - PACO2/R. Here, PAO2 = 130 mmHg - 48 mmHg/0.8 = 130 - 60 = 70 mmHg. The A-a gradient is PAO2 - PaO2 = 70 - 58 = 12 mmHg, which is within the normal range (5-15 mmHg), indicating that the hypoxemia is primarily due to **decreased alveolar ventilation**.
*Shunt physiology*
- A shunt would cause a significant reduction in PaO2 and a **widened A-a gradient** (typically >15 mmHg) due to deoxygenated blood bypassing ventilated areas.
- While shunts do not typically cause hypercapnia unless very severe, the normal A-a gradient here rules out a significant shunt as the primary mechanism for hypoxemia.
*High altitude*
- Moving to a high altitude (like Denver) causes a decrease in **inspired oxygen tension (PiO2)**, leading to hypoxemia.
- However, the provided inspired oxygen tension (130 mmHg) is above what would be expected for significant high-altitude hypoxemia at sea level equivalent, and the hypoxemia here is associated with hypercapnia, which is not a direct result of high altitude itself.
*V/Q mismatch*
- A V/Q mismatch leads to hypoxemia and a **widened A-a gradient**, as some areas of the lung are either underventilated or underperfused.
- While it can cause hypoxemia, a V/Q mismatch is typically associated with **normal or low PaCO2** due to compensatory hyperventilation, not hypercapnia, and the A-a gradient would be elevated.
*Pulmonary fibrosis*
- Pulmonary fibrosis is a restrictive lung disease that leads to impaired gas exchange, causing hypoxemia primarily due to **V/Q mismatch** and **diffusion limitation**.
- This would result in a **widened A-a gradient** and often a **low PaCO2** due to compensatory hyperventilation, rather than the elevated PaCO2 observed in this patient.
Lung transplantation candidacy US Medical PG Question 8: A 70-year-old man with severe ischemic cardiomyopathy (EF 25%) has recurrent ventricular tachycardia despite optimal medical therapy and ICD placement. Cardiac MRI shows a large anteroseptal scar with viable myocardium in the lateral and inferior walls. He has three-vessel coronary disease. His daughter is advocating for heart transplantation, but he has multiple comorbidities including obesity (BMI 37) and active tobacco use. Evaluate the management priority and rationale.
- A. Left ventricular assist device as destination therapy
- B. Catheter ablation of VT with continued ICD monitoring
- C. Cardiac resynchronization therapy upgrade and medication adjustment
- D. List for heart transplantation immediately given severe cardiomyopathy
- E. CABG with surgical ventricular reconstruction and continued medical optimization (Correct Answer)
Lung transplantation candidacy Explanation: ***CABG with surgical ventricular reconstruction and continued medical optimization***
- The patient has **three-vessel disease** and **viable myocardium** in the lateral and inferior walls; **CABG** addresses the ischemic substrate and potentially improves **LVEF**.
- **Surgical ventricular reconstruction (SVR)** addresses the large **anteroseptal scar**, reducing left ventricular volume and providing better geometric stability to mitigate **ventricular tachycardia** (VT).
*Left ventricular assist device as destination therapy*
- While **LVAD** is an option for end-stage heart failure, the presence of **active tobacco use** and **obesity** (BMI 37) are significant relative contraindications.
- **Surgical revascularization** is prioritized when significant **viable myocardium** is present and surgical targets are available.
*Catheter ablation of VT with continued ICD monitoring*
- **VT ablation** target-treats the arrhythmia but does not address the underlying **remodelling** or **ischemia** causing the progressive cardiomyopathy.
- Given the **three-vessel disease**, surgical intervention is more comprehensive for long-term prognosis compared to percutaneous ablation alone.
*Cardiac resynchronization therapy upgrade and medication adjustment*
- The patient is already on **optimal medical therapy** with an **ICD**; simple medication adjustment is unlikely to control recurrent VT in the setting of structural scar and ischemia.
- **CRT** provides limited benefit if the primary issue is a large **anteroseptal scar** and **active ischemia** requiring revascularization.
*List for heart transplantation immediately given severe cardiomyopathy*
- Direct listing is contraindicated due to **active tobacco use** and a **BMI >35**, which are standard exclusion criteria for transplant programs.
- Heart transplantation is considered a last resort after maximizing options like **revascularization** and addressing **modifiable risk factors**.
Lung transplantation candidacy US Medical PG Question 9: A 49-year-old woman with myasthenia gravis undergoes CT chest showing a 5 cm anterior mediastinal mass with irregular borders. Biopsy confirms thymoma (WHO type B2). She has well-controlled myasthenic symptoms on pyridostigmine. Staging shows no distant metastases, but the mass abuts the pericardium without clear invasion. Evaluate the optimal treatment approach.
- A. Thymectomy with possible en bloc pericardial resection, followed by adjuvant radiation (Correct Answer)
- B. Increase immunosuppression then delayed surgery in 6 months
- C. Radiation therapy alone to preserve myasthenia control
- D. Immediate thymectomy followed by observation
- E. Neoadjuvant chemotherapy, then thymectomy and adjuvant radiation
Lung transplantation candidacy Explanation: ***Thymectomy with possible en bloc pericardial resection, followed by adjuvant radiation***
- Complete **surgical resection (R0)** is the cornerstone of treatment for **WHO type B2 thymomas**, especially when the mass is resectable despite abutting local structures like the **pericardium**.
- **Adjuvant radiation** is indicated for **Masaoka Stage II/III** disease or high-risk B2 histology to minimize the risk of **local recurrence**.
*Increase immunosuppression then delayed surgery in 6 months*
- Delaying surgery for a 5 cm **potentially invasive thymoma** allows for tumor progression and increases the risk of higher-stage disease.
- **Myasthenia gravis** symptoms are already **well-controlled**, making immediate surgical intervention safe and the preferred priority.
*Radiation therapy alone to preserve myasthenia control*
- **Radiation alone** is not a curative intent treatment for resectable thymoma and is usually reserved for **unresectable** or medically unfit patients.
- Thymectomy is actually a therapeutic part of managing **myasthenia gravis**, often leading to symptomatic improvement or remission.
*Immediate thymectomy followed by observation*
- Observation alone after surgery is insufficient for **B2 thymomas** that show irregular borders or high-risk features like **pericardial involvement**.
- The size over 5 cm and contact with the **pericardium** (Stage IIb/III) necessitate **postoperative radiotherapy** to improve oncologic outcomes.
*Neoadjuvant chemotherapy, then thymectomy and adjuvant radiation*
- **Neoadjuvant chemotherapy** is typically reserved for tumors deemed **primarily unresectable** on imaging, which is not the case here.
- Since the mass only **abuts** the pericardium and has no distant metastases, it is considered **upfront resectable**.
Lung transplantation candidacy US Medical PG Question 10: A 58-year-old man with coronary artery disease requires CABG. Preoperative angiography shows 90% left main stenosis, 95% proximal LAD stenosis, 80% circumflex stenosis, and chronic total occlusion of the RCA with collaterals. He has diabetes, renal insufficiency (Cr 2.1), and previous stroke. Evaluate the optimal grafting strategy to maximize long-term patency and outcomes.
- A. Bilateral internal mammary arteries with supplemental vein grafts
- B. Off-pump CABG with sequential vein grafts only
- C. LIMA to LAD, radial artery to circumflex, vein graft to RCA (Correct Answer)
- D. All saphenous vein grafts to minimize operative time
- E. LIMA to LAD, saphenous vein grafts to remaining vessels
Lung transplantation candidacy Explanation: ***LIMA to LAD, radial artery to circumflex, vein graft to RCA***
- The **LIMA-to-LAD** graft is the gold standard, providing the best long-term patency and survival outcomes in multi-vessel **CABG**.
- Using a **radial artery** for the circumflex system (high-grade stenosis) offers superior patency over vein grafts while avoiding the high risk of **sternal wound infection** associated with **BIMA** in diabetic patients.
*Bilateral internal mammary arteries with supplemental vein grafts*
- While **BIMA** provides excellent patency, it is associated with a significantly increased risk of **sternal dehiscence** and infection in patients with **Diabetes Mellitus**.
- The benefit of a second arterial graft is better achieved with the **radial artery** in this high-risk comorbid profile.
*Off-pump CABG with sequential vein grafts only*
- **Sequential vein grafts** have lower long-term patency compared to arterial conduits and do not capitalize on the survival benefit of the **LIMA-to-LAD**.
- Off-pump surgery might reduce some risks but using only vein grafts is suboptimal for a 58-year-old with **long-term** survival goals.
*All saphenous vein grafts to minimize operative time*
- **Saphenous vein grafts (SVG)** have much higher failure rates (approx. 50% at 10 years) compared to **internal mammary arteries**.
- Minimizing operative time does not justify the poor long-term clinical outcomes and higher **re-intervention rates** associated with an all-SVG strategy.
*LIMA to LAD, saphenous vein grafts to remaining vessels*
- This is a standard approach, but the addition of a second arterial conduit like the **radial artery** is preferred for younger patients with high-grade stenosis to maximize **patency**.
- In the setting of **90% left main** and **80% circumflex** stenosis, the radial artery is more durable than a vein graft for the circumflex target.
More Lung transplantation candidacy US Medical PG questions available in the OnCourse app. Practice MCQs, flashcards, and get detailed explanations.