75% OFFLimited time offer
GET 75% OFF

Erythrocytes and Hemoglobin

Erythrocytes and Hemoglobin

Erythrocytes and Hemoglobin

On this page

Erythrocyte Basics - Red Cell Roundup

  • Biconcave, anucleated discs; ~7-8 µm diameter. Lifespan: ~120 days. 📌 Mnemonic: RBCs = Biconcave, Elastic, Anucleated Discs.
    • Shape (spectrin); flexible for capillary passage. Energy: Anaerobic glycolysis.
  • Normal count: Men 4.5-5.5 million/µL; Women 4.0-5.0 million/µL.
  • Erythropoiesis (RBC production):
    • Stimulus: Erythropoietin (EPO) from kidneys (hypoxia).
    • Sites: Bone marrow (adults); Yolk sac, liver, spleen (fetus).
    • Maturation: ~7 days. Key stages in marrow: Proerythroblast → Normoblast (nucleus loss) → Reticulocyte.
  • Destruction: Macrophages in spleen ("RBC graveyard"), liver, bone marrow.

Scanning electron micrograph of biconcave erythrocytes

⭐ Reticulocyte count (normal: 0.5-2.5% of RBCs) is a crucial indicator of bone marrow's erythropoietic response.

Hemoglobin Details - Oxygen's Best Friend

  • Structure: Quaternary; 4 globin chains + 4 heme groups (Iron $Fe^{2+}$ + Porphyrin).
    • HbA ($α_2β_2$): >95% (Adult)
    • HbA2 ($α_2δ_2$): 2-3.5%
    • HbF ($α_2γ_2$): <2% (in adults); ↑ $O_2$ affinity.
  • Function: $O_2$ transport (oxyHb), $CO_2$ transport (carbaminoHb ~20-25%), buffer (histidine residues).
  • Oxygen Binding: Cooperative; 1 Hb binds 4 $O_2$ molecules, increasing affinity with each $O_2$ bound.
    • $P_{50}$: $O_2$ tension for 50% saturation (Normal: 26.6 mmHg).

O2-Hb Dissociation Curve and Shifts

  • ODC Shifts: 📌 CADET, face Right! (CO2, Acid, 2,3-DPG, Exercise, Temp for right shift)

  • Key Derivatives:

    • Carboxyhemoglobin (HbCO): CO affinity ~200-250x > $O_2$. Cherry-red appearance.
    • Methemoglobin (MetHb): Iron in $Fe^{3+}$ (ferric) state, no $O_2$ binding. Chocolate-brown blood. ⭐ > Methemoglobinemia: $Fe^{2+}$ in heme is oxidized to $Fe^{3+}$. Causes include nitrites, dapsone, local anesthetics. Presents with cyanosis and chocolate-brown blood. Treatment: Methylene blue.
  • Normal Values (g/dL):

    • Male: 13.5-17.5
    • Female: 12.0-15.5

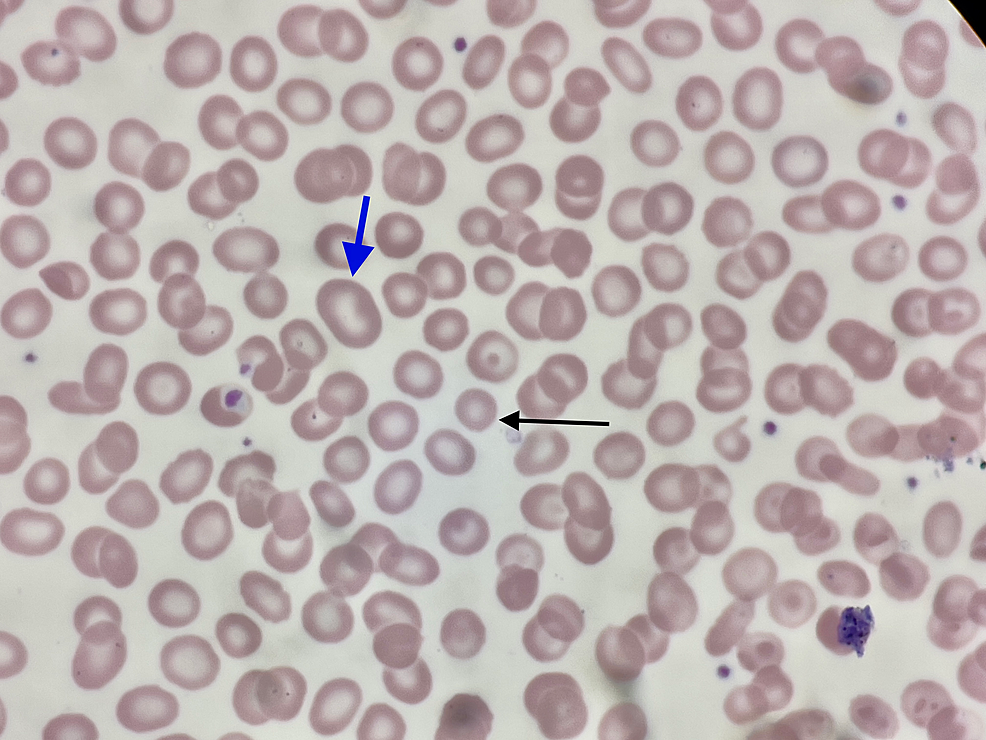
RBC Indices & Anemia - Count & Classify

  • RBC Indices: Essential for classifying anemias.

    • MCV (Mean Corpuscular Volume): Avg RBC size. $MCV = (PCV / RBC \text{ count}) \times 10$. Normal: 80-100 fL.
      • Microcytic: <80 fL
      • Normocytic: 80-100 fL
      • Macrocytic: >100 fL
    • MCH (Mean Corpuscular Hemoglobin): Avg Hb weight per RBC. $MCH = (Hb / RBC \text{ count}) \times 10$. Normal: 27-32 pg.
    • MCHC (Mean Corpuscular Hemoglobin Concentration): Avg Hb conc. in RBCs. $MCHC = (Hb / PCV) \times 100$. Normal: 32-36 g/dL.
      • Hypochromic: <32 g/dL
      • Normochromic: 32-36 g/dL
    • RDW (Red Cell Distribution Width): RBC size variation (anisocytosis). Normal: 11.5-14.5%. ↑ in IDA, megaloblastic.
  • Anemia: ↓ Hb or RBC count. WHO: Hb < 13 g/dL (M), < 12 g/dL (F non-preg).

  • Morphological Classification of Anemia:

![Peripheral blood smear: microcytic, normocytic, macrocytic](https://ylbwdadhbcjolwylidja.supabase.co/storage/v1/object/public/notes/L1/Physiology_Blood_and_Immunity_Erythrocytes_and_Hemoglobin/34bac34c-3de2-411d-88e9-cc0c8dfd76c1.png)

⭐ RDW is often the first index abnormal in early IDA, before MCV ↓ or anemia.

Iron Metabolism - The Heme Engine

  • Absorption: Duodenum (DMT1). Fe²⁺ (ferrous) absorbed; Vit C enhances. Ferroportin exports from enterocytes.
  • Transport: Transferrin (plasma protein) transports Fe³⁺. TIBC reflects transferrin.
  • Storage: Ferritin (main, soluble), Hemosiderin (insoluble, overload).
  • Regulation: Hepcidin (liver peptide) = key negative regulator.
    • Degrades ferroportin: ↓ absorption & ↓ macrophage iron release.
  • Utilization: Ferrochelatase adds Fe²⁺ to protoporphyrin IX → Heme (mitochondria).
  • Loss: Cell desquamation, minor bleeding. No active excretion.

Iron metabolism pathway and hepcidin regulation

⭐ Hepcidin, ↑ by inflammation (IL-6), causes iron sequestration leading to anemia of chronic disease.

High‑Yield Points - ⚡ Biggest Takeaways

  • Erythropoiesis needs iron, B12, folate; EPO (kidneys) is key stimulus.
  • RBC lifespan is ~120 days; spleen handles destruction.
  • Hemoglobin (Hb): 4 globin chains, 4 heme groups; each heme binds O2.
  • O2-Hb curve shifts right (↓O2 affinity) with ↑CO2, ↑H+, ↑2,3-DPG, ↑temperature.
  • HbF (α2γ2) has higher O2 affinity than HbA (α2β2), facilitating fetal oxygen uptake.
  • Iron absorption in duodenum, regulated by hepcidin; deficiency causes microcytic anemia.

Unlock the full lesson and continue reading

Signup to continue reading this lesson and unlimited access questions, flashcards, AI notes, and more

Scan to download app

Scan to download
UNLOCK FREE ACCESS
Rezzy — Oncourse's AI Study Mate

Have doubts about this lesson?

Ask Rezzy, your AI Study Mate, to explain anything you didn't understand

Everything you need for NEET-PG prep

Get full Oncourse access with lessons, practice questions, flashcards and AI study tools.

GET STARTED FOR FREE