Protozoa: Gut & Blood - Microbe Mayhem
-
Gut Protozoa
- Giardia lamblia (Giardiasis):
- Greasy, foul stools; steatorrhea.
- Dx: Stool (cysts/trophozoites).
- Rx: Metronidazole.
- 📌 "Giardia gives Gas & Greasy stools."
- Entamoeba histolytica (Amoebiasis):
- Dysentery; liver abscess (anchovy sauce).
- Flask-shaped ulcers.
- Dx: Stool (trophozoites + RBCs).
- Rx: Metronidazole + Diloxanide.
⭐ Amoebic liver abscess: most common extra-intestinal manifestation.
- Giardia lamblia (Giardiasis):
-
Blood Protozoa
- Plasmodium spp. (Malaria):
- Cyclical fever, anemia, splenomegaly.
- P. falciparum: Severe, cerebral malaria. Rx: ACTs.
- P. vivax/ovale: Hypnozoites (Primaquine).
- Dx: Smear (ring forms).
- Leishmania donovani (Kala-azar/Visceral Leishmaniasis):
- Fever, HSM, pancytopenia, weight loss.
- Dx: LD bodies (BM/spleen aspirate).
- Rx: Amphotericin B.
- Plasmodium spp. (Malaria):

Protozoa: Systemic & Congenital - Silent System Invaders
- Toxoplasmosis (Toxoplasma gondii)
- Transmission: Oocysts (cat feces), tissue cysts (undercooked meat); transplacental.
- Congenital (📌 Sabin's Triad): Chorioretinitis (most common), hydrocephalus, intracranial calcifications.

- Diagnosis: Maternal serology (IgM/IgG avidity); PCR (amniotic fluid); Neonatal IgM.
- Treatment: Pyrimethamine + Sulfadiazine + Folinic acid for 1 year (congenital).
⭐ Reactivation in AIDS (CD4 < 100) causes multiple ring-enhancing brain lesions.
- Malaria (Plasmodium spp.)
- Congenital: Rare; fever, anemia, jaundice, hepatosplenomegaly. Risk ↑ with maternal malaria near term.
- Systemic (Peds): High fever, chills, sweats, splenomegaly. Severe: cerebral malaria, profound anemia.
- Diagnosis: Peripheral blood smears (Giemsa); RDTs.
- Treatment: Artemisinin-based Combination Therapies (ACTs).
Helminths: Intestinal Roundworms - Roundworm Rumble
- Ascaris lumbricoides (Giant Roundworm):
- Most common. Larval migration → Loeffler's.
- Intestinal obstruction, malnutrition.
- Dx: Bile-stained, mammillated eggs (stool).
- Tx: Albendazole/Mebendazole.
- Trichuris trichiura (Whipworm):
- Rectal prolapse, dysentery, anemia.
- Dx: Barrel-shaped eggs, bipolar plugs (stool).
- Tx: Albendazole/Mebendazole.
- Ancylostoma duodenale & Necator americanus (Hookworms):
- Ground itch; IDA (blood loss).
- Dx: Non-bile stained, thin-shelled eggs (stool).
- Tx: Albendazole/Mebendazole; Iron.
- Enterobius vermicularis (Pinworm):
- Nocturnal perianal itching.
- Dx: Scotch tape test (eggs).
- Tx: Albendazole/Mebendazole; treat family.
- Strongyloides stercoralis:
- Autoinfection; hyperinfection (immunocompromised).
- Dx: Larvae in stool.
- Tx: Ivermectin (DOC), Albendazole.
📌 Mnemonic: "Roundworms Are Nasty Trouble" (RANT: Roundworm, Ancylostoma, Necator, Trichuris).

⭐ Loeffler's syndrome (eosinophilic pneumonitis): Ascaris larval lung migration.
Helminths: Tissue & Tapeworms - Tapeworm Terrors & Tissue Trials
Tapeworms (Cestodes):
- Taenia solium (Pork):
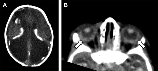
- Causes cysticercosis; Neurocysticercosis (NCC) is a major cause of seizures.
- Dx: CT/MRI (ring-enhancing lesions, scolex), EITB. Rx: Albendazole + steroids for viable cysts.
- Taenia saginata (Beef): Taeniasis only. Rx: Praziquantel.
- Echinococcus granulosus (Dog):
- Hydatid disease: Forms cysts (liver, lung). "Eggshell calcification" characteristic.
- Rx: PAIR, Albendazole, surgery. ⚠️ Anaphylaxis risk on cyst rupture.
- Hymenolepis nana (Dwarf): Most common human tapeworm. Autoinfection cycle. Rx: Praziquantel.
Tissue Nematodes:
- Trichinella spiralis: From undercooked pork. Classic triad: myalgia, periorbital edema, eosinophilia. Rx: Albendazole, steroids.
- Dracunculus medinensis (Guinea worm): Painful skin ulcer with visible emerging worm. Rx: Slow extraction.
- Larva Migrans:
- Cutaneous (CLM): Hookworm larvae. Itchy, serpiginous skin eruptions. Rx: Albendazole.
- Visceral (VLM): Toxocara spp. Fever, hepatomegaly, marked eosinophilia. Rx: Albendazole.
⭐ > Neurocysticercosis is the most common preventable cause of epilepsy in the developing world.

High‑Yield Points - ⚡ Biggest Takeaways
- Malaria: P. falciparum causes cerebral malaria; peripheral smear for diagnosis.
- Giardiasis: Presents with chronic, foul-smelling, fatty diarrhea; treat with Metronidazole.
- Amebiasis: Can cause bloody dysentery and liver abscess; Metronidazole is key.
- Ascariasis: Commonest helminth; may cause intestinal obstruction or Loeffler's syndrome.
- Hookworm: Leads to iron deficiency anemia due to chronic blood loss.
- Visceral Leishmaniasis (Kala-azar): Features fever, massive splenomegaly, pancytopenia; LD bodies confirm.
- Neurocysticercosis: Common cause of acquired seizures in endemic areas.
Unlock the full lesson and continue reading
Signup to continue reading this lesson and unlimited access questions, flashcards, AI notes, and more