Non-Neoplastic Ovarian Lesions - Cystic Conundrums
- Follicular Cysts: Most common. Unruptured/resealed Graafian follicle. Usually < 2.5 cm. Often regress spontaneously.
- Corpus Luteum Cysts: Post-ovulation. May cause pain, delayed menses. Prone to hemorrhage. Often > 3 cm.
- Theca Lutein Cysts: Bilateral, multiple. Due to ↑ hCG (e.g., molar pregnancy, choriocarcinoma). Lined by luteinized theca cells.
- Endometriotic Cysts (Chocolate Cysts): Endometrial glands/stroma in ovary. "Chocolate" fluid (old blood).
⭐ Endometriotic cysts ("chocolate cysts") contain old, dark brown blood; strongly associated with dysmenorrhea and infertility.
Ovarian Tumor Classification - Tumor Terrain
- Ovarian tumors are primarily classified by their presumed cell of origin.
- Four main categories:
- Surface Epithelial-Stromal Tumors: Most common (~70%), arise from ovarian surface epithelium or cortical invaginations.
- Germ Cell Tumors: Originate from primordial germ cells (~20%), common in young females/adolescents.
- Sex Cord-Stromal Tumors: From ovarian stroma/sex cords (~8%), often hormonally active.
- Metastatic Tumors: Secondary to other primary cancers (~2%), e.g., Krukenberg tumor from GIT.
⭐ Serous cystadenocarcinoma is the most common malignant ovarian epithelial tumor overall, while dysgerminoma is the most common malignant germ cell tumor.
Epithelial Ovarian Tumors - Epithelial Exposé
- Most common group of ovarian tumors (65-75%).
- Derived from surface epithelium or Mullerian epithelium.
- Risk factors: Nulliparity, early menarche, late menopause, family history (BRCA1/2).
- Types:
- Serous: Most common (~30% of all ovarian tumors, 40% of malignant). Psammoma bodies. Often bilateral.
- Mucinous: Large, multicystic. Pseudomyxoma peritonei if ruptured.
- Endometrioid: Often associated with endometriosis or endometrial carcinoma. 15-30% bilateral.
- Clear cell: Associated with endometriosis, hypercalcemia. Hobnail cells.
- Brenner: Usually benign. Transitional (urothelial-like) epithelium. Coffee-bean nuclei.
- Tumor marker: CA-125 (non-specific, useful for monitoring).

⭐ Serous tumors are the most common malignant epithelial ovarian tumors, and BRCA1/2 mutations significantly increase risk, particularly for high-grade serous carcinoma (HGSC).
Germ Cell Ovarian Tumors - Germ Cell Galaxy
- From germ cells; affect young women/adolescents.
- Dysgerminoma: Most common malignant GCT; ↑LDH; radiosensitive. "Fried egg" cells.
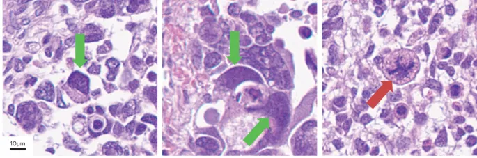
- Yolk Sac Tumor (Endodermal Sinus Tumor): ↑AFP; Schiller-Duval bodies (glomeruloid). Common in children.
- Teratoma:
- Mature (Dermoid Cyst): Most common GCT overall; benign; elements from ≥2 germ layers (e.g. hair, teeth).
- Immature: Malignant; graded by immature neuroepithelium.
- Monodermal: e.g., Struma ovarii (thyroid), carcinoid.
- Choriocarcinoma (Non-gestational): ↑hCG; aggressive; early hematogenous spread.
- Embryonal Carcinoma: Rare, malignant; ↑AFP & ↑hCG. Sheets of primitive cells.

⭐ Dysgerminoma is the ovarian counterpart of testicular seminoma and is highly radiosensitive.
Sex Cord-Stromal & Metastatic Tumors - Stromal & Seeding Stories
- Sex Cord-Stromal Tumors: Originate from ovarian stroma/sex cords.
- Granulosa Cell Tumor: Most common malignant. Produces estrogen (precocious puberty, endometrial hyperplasia). Call-Exner bodies (coffee-bean nuclei). Inhibin positive.
- Fibroma/Thecoma: Benign. Fibroma associated with Meigs' syndrome (ovarian tumor, ascites, pleural effusion).
- Sertoli-Leydig Cell Tumor: Secretes androgens (virilization). Reinke crystals.
- Metastatic Tumors (Secondary):
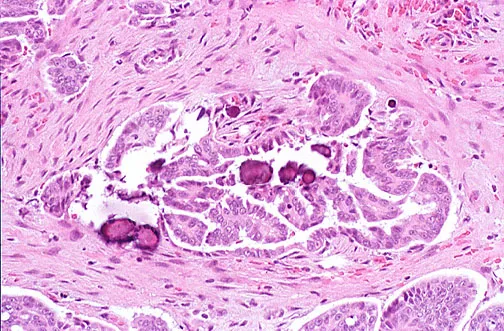
- Krukenberg Tumor: Bilateral metastases, typically from gastric adenocarcinoma. Signet-ring cells.
- Pseudomyxoma Peritonei: Mucinous ascites, often from appendiceal tumor.
⭐ Meigs' syndrome triad: ovarian fibroma (or other benign pelvic tumor), ascites, and pleural effusion. Resolves after tumor resection.
High‑Yield Points - ⚡ Biggest Takeaways
- Serous cystadenocarcinoma: Most common malignant ovarian tumor; CA-125 marker.
- Mature cystic teratoma (dermoid cyst): Most common germ cell tumor (benign); diverse tissues.
- Granulosa cell tumor: Produces estrogen; Call-Exner bodies; risk of endometrial hyperplasia.
- Krukenberg tumor: Metastatic signet ring cell adenocarcinoma (often gastric origin).
- Meigs syndrome: Triad of ovarian fibroma, ascites, and hydrothorax.
- Yolk sac tumor: Produces AFP; characteristic Schiller-Duval bodies.
- Dysgerminoma: Most common malignant GCT; radiosensitive; ↑LDH, ↑hCG.
Unlock the full lesson and continue reading
Signup to continue reading this lesson and unlimited access questions, flashcards, AI notes, and more