Polycystic Overview - The Cystic Titans

| Feature | ADPKD (Autosomal Dominant) | ARPKD (Autosomal Recessive) |
|---|---|---|
| Genetics | PKD1 ( | PKHD1 (fibrocystin) |
| Inheritance | Autosomal Dominant | Autosomal Recessive |
| Age of Onset | Adults (30-50 yrs) | Perinatal, infancy |
| Key Features | Massive bilateral cysts, enlarged kidneys, HTN, pain, hematuria, ESRD | Bilateral echogenic kidneys, small cysts (radial), oligohydramnios sequence (severe cases) |
| Associated | Hepatic cysts, Berry aneurysms (SAH risk), MVP | Congenital hepatic fibrosis (CHF), portal HTN, Caroli syndrome |
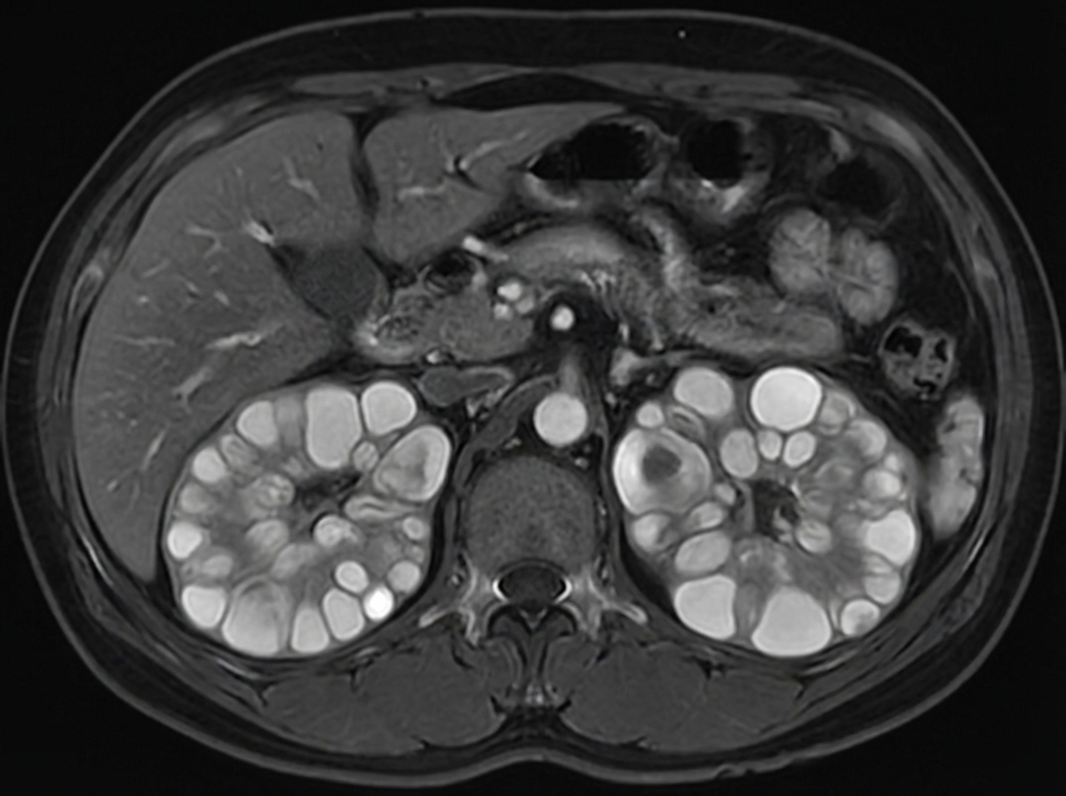
ADPKD - The Dominant Disruptor
- Genetics: Autosomal dominant.
- PKD1 (Chr 16, ~85%): Polycystin-1. More severe, earlier ESRD.
- PKD2 (Chr 4, ~15%): Polycystin-2. Milder, later ESRD.
- Pathophysiology: Defective polycystins → ciliary dysfunction → cyst formation.
- Clinical Triad: Flank pain, hematuria, palpable kidneys. Hypertension common.
- Extra-renal: Liver cysts (>70%), intracranial "berry" aneurysms (5-10%), MVP, colonic diverticula.
⭐ Intracranial berry aneurysms occur in 5-10% of ADPKD patients; rupture is a major cause of subarachnoid hemorrhage and mortality.
- Diagnosis (Ultrasound - Ravine modified for +ve family history):
- Age 15-39: ≥ 3 cysts (unilateral/bilateral).
- Age 40-59: ≥ 2 cysts in each kidney.
- Age ≥ 60: ≥ 4 cysts in each kidney.
ARPKD & NPHP/MCKD Complex - Recessive & Medullary Riddles
-
Autosomal Recessive Polycystic Kidney Disease (ARPKD):
- Gene: PKHD1 (fibrocystin).
- Presentation: Neonatal, Potter sequence.
- Kidneys: Bilateral, enlarged, echogenic; radial cysts.
- Liver: Congenital hepatic fibrosis (CHF), Caroli syndrome.
⭐ Congenital hepatic fibrosis is universally present in ARPKD and can lead to portal hypertension.
-
NPHP/MCKD Complex: Tubulointerstitial fibrosis, medullary cysts, progression to ESRD.
- Nephronophthisis (NPHP):
- AR; Childhood/Adolescent ESRD.
- Kidneys: Normal/small, shrunken later; loss of corticomedullary differentiation (CMD).
- Associations: Retinitis pigmentosa (Senior-Løken syndrome 📌), hepatic fibrosis, cerebellar ataxia.
- Medullary Cystic Kidney Disease (MCKD):
- AD (Types 1 & 2); Adult ESRD.
- Kidneys: Similar to NPHP. UMOD gene (MCKD2).
- Nephronophthisis (NPHP):
Other Renal Cysts - Cyst Classification Capers
- Simple Cysts: Common, benign, usually asymptomatic.
- Complex Cysts (Bosniak Classification): Key for management. 📌 Mnemonic: "One Fine Fellow, Maybe Malignant" (I, II, IIF, III, IV)
- I: Benign simple cyst. Malignancy risk: 0%.
- II: Benign; few thin septa/calcifications. Malignancy risk: 0%.
- IIF: Minimally complex; more septa/thicker calcifications. Requires Follow-up. Malignancy risk: ~5%.
- III: Indeterminate; thick/irregular septa/walls, measurable enhancement. Malignancy risk: ~50%.
- IV: Clearly malignant; enhancing soft tissue components. Malignancy risk: ~100%.
⭐ Bosniak category IV cysts have a nearly 100% risk of malignancy.
- Acquired Cystic Kidney Disease (ACKD): Associated with long-term dialysis. Increased risk of RCC.
- Medullary Sponge Kidney (MSK): Benign condition. Features medullary duct ectasia, nephrocalcinosis.

High‑Yield Points - ⚡ Biggest Takeaways
- ADPKD: Most common inherited; PKD1 (chr 16) > PKD2; berry aneurysms, hepatic cysts.
- ARPKD: PKHD1 (chr 6); infantile presentation, congenital hepatic fibrosis, Potter sequence.
- Medullary Sponge Kidney: Benign; papillary collecting duct ectasia; recurrent stones, hematuria.
- Nephronophthisis: Major cause of pediatric ESRD; tubulointerstitial fibrosis, corticomedullary cysts.
- Acquired Cystic Disease: Develops in ESRD/dialysis patients; increased risk of renal cell carcinoma.
- Von Hippel-Lindau: Multiple cysts; high risk of clear cell RCC, hemangioblastomas.
- Simple Renal Cysts: Common, usually asymptomatic, benign; smooth, anechoic on ultrasound.
Unlock the full lesson and continue reading
Signup to continue reading this lesson and unlimited access questions, flashcards, AI notes, and more