CNS Tumors Intro & Astrocytomas - Brainy Beginnings & Star Cells
- WHO Classification: Grades I (benign) to IV (malignant).
- Clinical: ↑ ICP (headache, vomiting, papilledema), focal deficits.
- Astrocytomas (GFAP+):
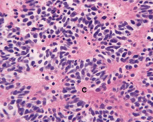
- Pilocytic Astrocytoma (WHO Grade I):
- Children, cerebellum.
- Rosenthal fibers, Eosinophilic Granular Bodies (EGBs). BRAF alterations.
⭐ Rosenthal fibers (corkscrew eosinophilic inclusions) are classic in Pilocytic Astrocytoma.
- Diffuse Astrocytoma (WHO Grade II):
- IDH-mutant (better prognosis) vs. IDH-wildtype.
- Anaplastic Astrocytoma (WHO Grade III):
- Higher grade; IDH-mutant vs. IDH-wildtype.
- Pilocytic Astrocytoma (WHO Grade I):
- Glioblastoma (GBM, WHO Grade IV):
- Most common primary malignant. GFAP+.
- IDH-wildtype (primary, older) vs. IDH-mutant (secondary, younger, from lower-grade).
- Histology: Pseudopalisading necrosis, microvascular proliferation.
- "Butterfly glioma" (crosses corpus callosum).
- MGMT promoter methylation: ↑ temozolomide response.
- 📌 GBM: Grim Butterfly Malignancy (GFAP+, Butterfly, Microvascular/Necrosis).

Oligo, Ependymal & Neuronal Tumors - Code Breakers & Neuron Nurturers
- Oligodendroglioma:
- Key: 1p/19q codeletion (favorable prognosis, chemo-predictive), IDH-mutant.
- Micro: 'Fried egg' cells (uniform, clear cytoplasm), 'chicken-wire' vasculature, calcification.

- Ependymoma:
- Location: Children (4th ventricle); adults (spinal cord, common intramedullary).
- Histo: Perivascular pseudorosettes (key), true ependymal rosettes (around lumen).
- Subtypes: Myxopapillary (cauda equina/filum terminale), Subependymoma (ventricular, incidental).
- Choroid Plexus Tumors:
- Papilloma (CPP): Benign, children, causes hydrocephalus (↑ CSF production).
- Carcinoma (CPC): Malignant, rare, aggressive, mainly children.
- Neuronal & Mixed Tumors:
- Ganglioglioma: Children, temporal lobe; cystic with mural nodule; chronic seizures.
- DNET (Dysembryoplastic Neuroepithelial Tumor): Children/young adults; cortical; drug-resistant seizures; 'floating neurons' in mucinous pools.
⭐ 1p/19q co-deletion in Oligodendroglioma is a key marker indicating favorable prognosis and predicts better chemotherapy response.
Embryonal, Meningeal & Metastatic Tumors - Tiny Terrors, Dural Dwellers & Unwanted Guests
- Embryonal: Medulloblastoma
- Children, cerebellum (vermis/4th ventricle roof). Highly malignant, radiosensitive; CSF dissemination.
- Histology: Small round blue cells, Homer Wright rosettes (neuroblastic).

- Molecular: WNT (best prognosis); SHH; Group 3 (MYC, worst); Group 4 (commonest).
⭐ Homer Wright rosettes are characteristic of Medulloblastoma.
- Meningioma
- Arachnoid cap cells. Usually benign (Grade I), slow-growing. Dural attachment ("dural tail").
- Common sites: Parasagittal, falx, sphenoid wing. ↑ Adult females (estrogen receptors).
- Histology types: Syncytial, fibroblastic, transitional. Psammoma bodies (calcified whorls). WHO Grades I-III.
- Metastatic Tumors
- Most common intracranial tumors in adults (vs. primary).
- Common primaries: 📌 LBM-RC (Lung, Breast, Melanoma, Renal, Colorectal).
- Multiple, well-circumscribed lesions at grey-white junction or watershed areas. Ring enhancement, vasogenic edema.
Molecular Markers & Syndromes - Code Red & Family Ties
- Molecular Markers:
- IDH1/2 mutations (gliomas - better prognosis).
- 1p/19q codeletion (oligodendrogliomas - chemosensitive).
- MGMT promoter methylation (GBM - predicts temozolomide response).
- TP53, ATRX, TERT promoter mutations.
- EGFR amplification (GBM).
- BRAF V600E (Pilocytic astrocytoma, Ganglioglioma).
- Neurocutaneous Syndromes & CNS Tumors:
Syndrome Key CNS Tumors Mnemonic NF1 Optic nerve gliomas, astrocytomas, neurofibromas. NF2 Bilateral vestibular schwannomas (acoustic neuromas), multiple meningiomas, ependymomas. 📌 MISME: Multiple Inherited Schwannomas, Meningiomas, and Ependymomas VHL Hemangioblastomas (cerebellum, retina, spinal cord), renal cell carcinoma, pheochromocytoma. TSC Subependymal giant cell astrocytomas (SEGA), cortical tubers, subependymal nodules. 📌 HAMARTOMAS
⭐ Bilateral vestibular schwannomas are pathognomonic for NF2.
High‑Yield Points - ⚡ Biggest Takeaways
- Glioblastoma: Most common adult primary; GFAP +ve; pseudopalisading necrosis; butterfly glioma.
- Pilocytic Astrocytoma: Most common childhood primary; Rosenthal fibers; GFAP +ve; biphasic pattern.
- Meningioma: Psammoma bodies; from arachnoid cap cells; dural tail sign; often benign.
- Medulloblastoma: Homer Wright rosettes; malignant childhood tumor (cerebellum); drop metastases.
- Oligodendroglioma: "Fried egg" cells; chicken-wire capillaries; often calcified; 1p/19q co-deletion.
- Ependymoma: Perivascular pseudorosettes; typically 4th ventricle (children); GFAP +ve.
- Craniopharyngioma: From Rathke's pouch; suprasellar calcification; "motor oil" fluid; bitemporal hemianopsia.
Unlock the full lesson and continue reading
Signup to continue reading this lesson and unlimited access questions, flashcards, AI notes, and more