Signs & Symptoms - Baby Clues Galore
| Category | Signs |
|---|---|
| Presumptive (Mother suspects) | Amenorrhea, Nausea/Vomiting (N/V), Breast changes (tenderness, enlargement), Fatigue, Urinary frequency, Quickening (fetal movements felt by mother: 18-20 wks primigravida, 16-18 wks multigravida). |
| Probable (Examiner suspects) | Hegar's sign (📌 Softening of Uterine Isthmus), Chadwick's sign (📌 Cyanosis of Cervix/Vagina), Goodell's sign (📌 Good and Soft Cervix), Positive pregnancy test (hCG), Uterine enlargement, Braxton Hicks contractions, Ballottement. |
| Positive (Definitive proof) | Fetal Heart Sounds (FHS) detected, Fetal movements felt by examiner, Ultrasound (USG) evidence (e.g., fetal cardiac activity). |
Hormonal Tests - hCG Hormone Hunt
- Human Chorionic Gonadotropin (hCG): Key hormone confirming pregnancy.
- Source: Syncytiotrophoblast of placenta.
- Structure: Glycoprotein; α-subunit (common: LH, FSH, TSH), β-subunit (unique).
⭐ The unique β-subunit of hCG (β-hCG) allows for specific pregnancy detection.
- Detection Methods & Sensitivity:
- Serum tests: Detect ~5-10 mIU/mL (earlier, more sensitive).
- Urine tests: Detect ~25 mIU/mL.
- Clinical Significance of hCG Levels:
- Doubling Time: Approx. every 48-72 hours in early viable IUP. 📌
- Peak Level: Around 8-10 weeks gestation, then declines.
- Discriminatory Zone: hCG 1500-2000 mIU/mL; IUP typically visible on TVS.
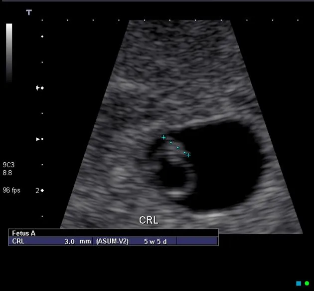
Early USG - Sono Peek-a-Boo
Early ultrasound (USG) is pivotal for confirming pregnancy viability and accurately establishing gestational age (GA). Transvaginal Sonography (TVS) offers earlier and more detailed visualization than Transabdominal Sonography (TAS).
-
Key TVS Milestones (approximate):
- Gestational Sac (GS): Visible at 4.5-5 weeks. First sign.
- Yolk Sac (YS): Visible at 5-5.5 weeks. Confirms intrauterine pregnancy (IUP).
- Fetal Pole (embryo) with Cardiac Activity: Visible & detectable at 5.5-6 weeks.
- TAS findings are typically observed approximately 1 week later than TVS.
-
GA Dating Parameters:
- 1st Trimester (Most Accurate):
- Crown-Rump Length (CRL): Most accurate, accuracy ±5-7 days.
- 2nd/3rd Trimester: Biparietal Diameter (BPD), Head Circumference (HC), Abdominal Circumference (AC), Femur Length (FL) are used.
- 1st Trimester (Most Accurate):
⭐ Crown-Rump Length (CRL) is the most accurate biometric parameter for gestational age assessment in the first trimester.

Dating & EDC - Due Date Detective
- Gestational Age (GA): From LMP (clinically used). Fetal Age: From conception (GA - 2 weeks).
- Naegele's Rule: For EDC. Assumes 28-day cycle. $EDC = (LMP_{day} + 7 days) / (LMP_{month} - 3 months) / (LMP_{year} + 1 year)$. LMP reliability crucial; if uncertain, use USG.
- Ultrasound (USG) Dating:
- 1st Trimester (Most Accurate): Crown-Rump Length (CRL). $GA (weeks) \approx CRL (cm) + 6.5$.
- Use if LMP uncertain or discrepancy >7 days vs LMP.
- 2nd Trimester: BPD, HC, FL, AC. Accuracy $\pm$7-10 days.
- 3rd Trimester: Least accurate for dating ($\pm$2-3 weeks); for growth.
- 1st Trimester (Most Accurate): Crown-Rump Length (CRL). $GA (weeks) \approx CRL (cm) + 6.5$.
- Correcting EDC:
⭐ If 1st-trimester USG dating differs from LMP by >7 days, EDC is based on USG.
- If 2nd-trimester USG (pre-20 wks) differs by >10-14 days, change EDC.
High‑Yield Points - ⚡ Biggest Takeaways
- β-hCG: Earliest serum marker (8-9 days post-ovulation).
- UPT: Positive around 4 weeks from LMP.
- Gestational sac: First USG sign (TVUS: 4.5-5 weeks).
- Yolk sac: Confirms IUP (TVUS: 5-6 weeks).
- Fetal cardiac activity: Seen by TVUS at 5.5-6 weeks.
- CRL: Most accurate for 1st trimester dating (up to 13+6 weeks).
- Naegele's rule: Estimates EDD (LMP - 3 months + 7 days), assumes 28-day cycle.
Unlock the full lesson and continue reading
Signup to continue reading this lesson and unlimited access questions, flashcards, AI notes, and more