75% OFFLimited time offer
GET 75% OFF

Interstitial Lung Diseases

Interstitial Lung Diseases

Interstitial Lung Diseases

On this page

ILD Overview - The Lung Labyrinth

  • Definition: Diverse group of diffuse parenchymal lung diseases affecting the interstitium, causing inflammation and/or fibrosis.
  • Key Symptoms: Progressive exertional dyspnea, persistent dry cough.
  • Key Sign: Bibasilar fine inspiratory crackles ('Velcro rales'). Clubbing possible.
  • Basic Pathophysiology: Alveolitis → Chronic Inflammation → Fibrosis → Impaired gas exchange, stiff lungs.
  • PFTs: Restrictive pattern: ↓TLC, ↓DLCO; normal or ↑ $FEV_1/FVC$ ratio.
  • Broad Classification:
    • Known causes: Drugs (amiodarone, bleomycin), CTD (RA, SSc), environmental (asbestosis, silicosis).
    • Idiopathic Interstitial Pneumonias (IIPs): e.g., IPF, NSIP.
    • Granulomatous: Sarcoidosis, Hypersensitivity Pneumonitis (HP).
    • Rare ILDs. Alveolar-capillary unit and fibrosis in ILD

⭐ Bibasilar 'Velcro' crackles are a characteristic auscultatory finding in many ILDs, especially IPF.

IPF - Scarred Scenery

  • Most common, severe Idiopathic Interstitial Pneumonia (IIP).
  • Affects older adults (>60 yrs), M>F predominance.
  • Pathology: Usual Interstitial Pneumonia (UIP) pattern (hallmark: spatial & temporal heterogeneity).
  • HRCT Chest (essential for diagnosis):
    • Bilateral, basal, subpleural reticulation.
    • Honeycomb cysts.
    • Traction bronchiectasis.
    • Absence of: extensive Ground Glass Opacities (GGO), nodules, consolidation.
  • Diagnosis of exclusion: Rule out Connective Tissue Disease (CTD), drug toxicity, chronic Hypersensitivity Pneumonitis (HP).
  • Prognosis: Poor; median survival 3-5 years.
  • Management:
    • Antifibrotics: Pirfenidone, Nintedanib (slow Forced Vital Capacity (FVC) decline).
    • Supportive: O2, pulmonary rehabilitation.
    • Lung transplant.
  • HRCT chest showing UIP pattern with honeycombing
  • ⭐ > The UIP pattern on HRCT, characterized by subpleural, basal predominant honeycombing, is crucial for IPF diagnosis.

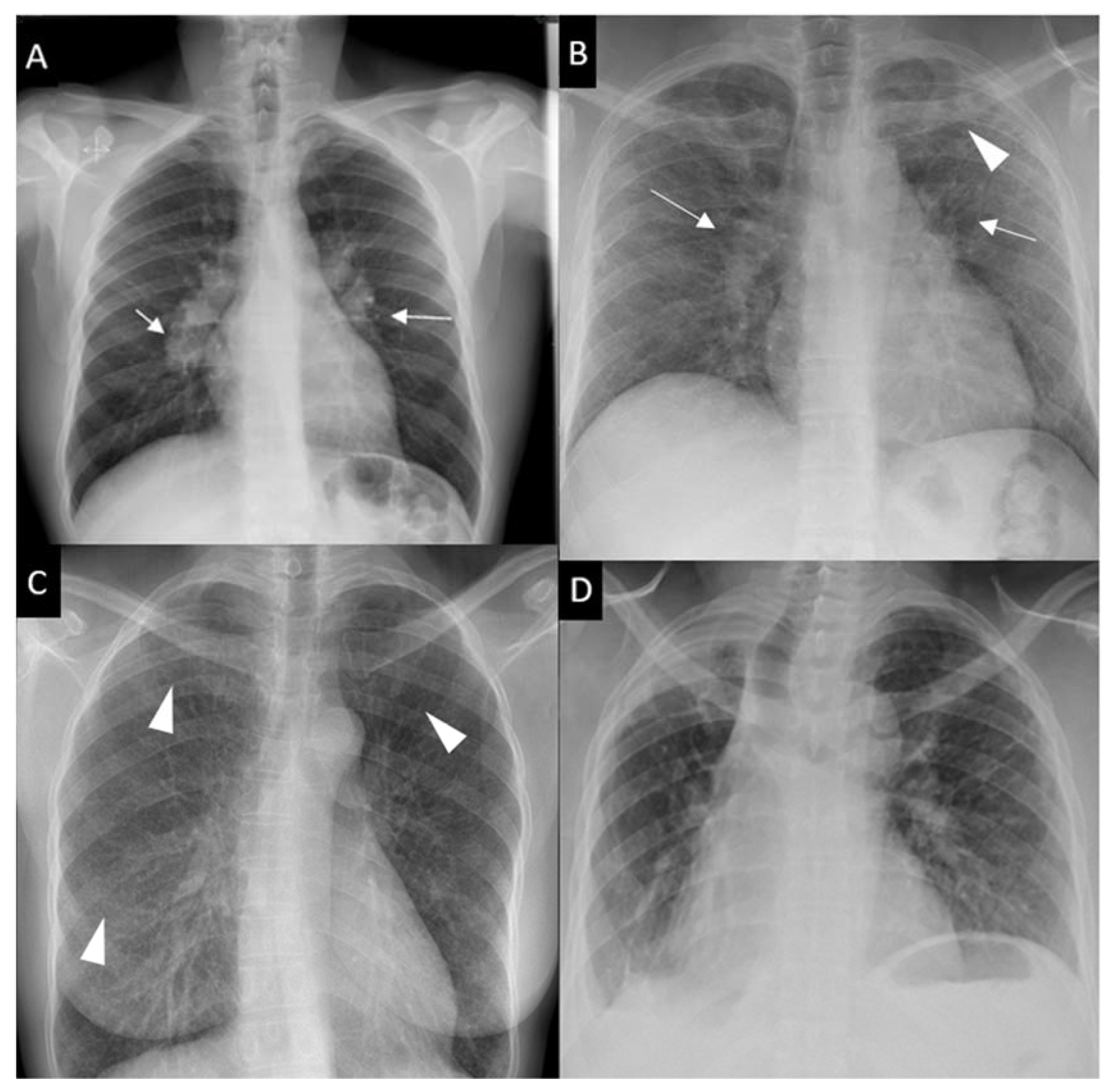
Sarcoidosis - Granuloma Galaxy

  • Unknown etiology multisystem disorder; hallmark: non-caseating granulomas.
  • Pulmonary involvement: >90% of cases.
  • CXR Staging (Scadding):
![CXR Sarcoidosis Stages I-IV](https://ylbwdadhbcjolwylidja.supabase.co/storage/v1/object/public/notes/L1/Internal_Medicine_Pulmonology_Interstitial_Lung_Diseases/30f05fd5-1ed8-465f-a93d-c21ac9db429c.png)
  • Extrapulmonary sites: Skin (erythema nodosum, lupus pernio, maculopapular rash), eyes (uveitis, conjunctivitis), lymph nodes, liver, spleen, heart, nervous system.

⭐ Löfgren's syndrome (acute arthritis, erythema nodosum, and bilateral hilar lymphadenopathy) is an acute form of sarcoidosis with a good prognosis.

  • Diagnosis: Compatible clinical/radiological findings + histological evidence of non-caseating granulomas + exclusion of other granulomatous diseases.
  • Lab findings: ↑ Serum Angiotensin-Converting Enzyme (ACE) (non-specific, reflects granuloma load). Hypercalcemia/hypercalciuria (due to macrophage $1\alpha$-hydroxylase activity).

Other Key ILDs - Diverse Diffusopathies

  • Hypersensitivity Pneumonitis (HP): Immune reaction to inhaled organic antigens (Farmer's lung, Bird fancier's lung).
    • Acute, subacute, chronic (can → fibrosis).
    • HRCT: Acute/Subacute - centrilobular ground-glass nodules, mosaic attenuation. Chronic - fibrosis. HRCT Nonfibrotic Hypersensitivity Pneumonitis Findings
    • Rx: Antigen avoidance, corticosteroids.
  • Connective Tissue Disease-Associated ILD (CTD-ILD): Common in Scleroderma (SSc), Rheumatoid Arthritis (RA), Polymyositis/Dermatomyositis (PM/DM).
    • Patterns: NSIP (SSc), UIP (RA-ILD, poorer prognosis), OP.
  • Pneumoconioses:
    • Silicosis: Silica dust. Upper lobe nodules, Progressive Massive Fibrosis (PMF). ↑ TB risk.

      ⭐ 'Egg-shell' calcification of hilar lymph nodes on chest X-ray is highly suggestive of silicosis.

    • Asbestosis: Asbestos fibers. Lower lobe fibrosis, pleural plaques. ↑ risk of lung cancer & mesothelioma.

High‑Yield Points - ⚡ Biggest Takeaways

  • IPF: UIP pattern (honeycombing, traction bronchiectasis) on HRCT; treat with Pirfenidone/Nintedanib.
  • Sarcoidosis: Non-caseating granulomas, bilateral hilar lymphadenopathy, ↑ACE, hypercalcemia; Lofgren's syndrome.
  • Hypersensitivity Pneumonitis: Antigen exposure (farmer's/bird fancier's lung); antigen avoidance is crucial.
  • CTD-ILD: Common with scleroderma, RA; NSIP pattern is frequent.
  • Pneumoconioses: Occupational dusts (silicosis: ↑TB risk; asbestosis: mesothelioma).
  • ILDs show restrictive PFTs (↓TLC, ↓FVC, ↓DLCO); key drug causes: Amiodarone, Bleomycin, Methotrexate.

Unlock the full lesson and continue reading

Signup to continue reading this lesson and unlimited access questions, flashcards, AI notes, and more

Scan to download app

Scan to download
UNLOCK FREE ACCESS
Rezzy — Oncourse's AI Study Mate

Have doubts about this lesson?

Ask Rezzy, your AI Study Mate, to explain anything you didn't understand

Everything you need for NEET-PG prep

Get full Oncourse access with lessons, practice questions, flashcards and AI study tools.

GET STARTED FOR FREE