Intro & Protozoa - Tiny Terrors Takedown
Parasitic zoonoses: animal-to-human parasitic diseases. Groups: Protozoa, Helminths.
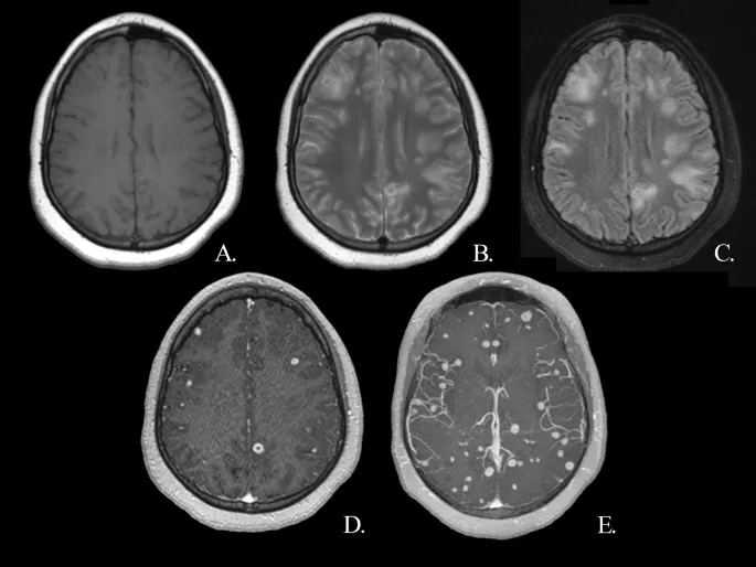
- Toxoplasmosis (T. gondii)
- Hosts: Cats (Definitive), Mammals/Birds (Intermediate).
- Transmission: Oocysts (feces), undercooked meat, congenital (📌 TORCH).
- Clinical: Immunocompromised (encephalitis); Congenital.
- Dx: Serology.
⭐ Congenital toxoplasmosis triad: chorioretinitis, hydrocephalus, intracranial calcifications.

- Leishmaniasis (India)
- Agents: L. donovani (Kala-azar), L. tropica (Cutaneous).
- Vector: Sandfly. Reservoirs: Dogs, rodents.
- Clinical: VL (fever, HSM, pancytopenia); CL (ulcers).
- Dx: LD bodies (microscopy).
- Cryptosporidiosis (Cryptosporidium spp.)
- Transmission: Waterborne oocysts (fecal-oral).
- Clinical: Watery diarrhea (severe in immunocompromised).
- Dx: Oocysts in stool (modified AFB).
Cestodes - Tapeworm Turmoil
- Echinococcosis & Cysticercosis Comparison:
Feature E. granulosus (Hydatid) T. solium (Cysticercosis) Agent Larvae Larvae (cysticercus) DH Dog Human (Taeniasis) IH Sheep, Human Pig, Human Trans. Ingest eggs (dog feces) Ingest T. solium eggs Clinical Hydatid cysts (liver/lung); WHO CE1-CE5 classification NCC (seizures, headache) Dx Imaging (USG/CT), Serology Imaging (CT/MRI: scolex), EITB Rx PAIR, Albendazole, Surgery Albendazole, Steroids, Praziquantel - E. multilocularis (Alveolar Echinococcosis): Foxes/Dogs (DH), Rodents/Humans (IH). Ingest eggs → invasive, tumor-like liver lesions. Rx: Albendazole (long-term), surgery.
- 📌 Eat Eggs for Echinococcus & Cysticercosis.
⭐ Neurocysticercosis is the most common parasitic infection of the CNS and a major cause of acquired epilepsy in developing countries.

Nematodes - Roundworm Riot
- Toxocariasis (VLM & OLM)
- Agent: Toxocara canis (dog), T. cati (cat).
- Host: Definitive: Dog/Cat; Accidental: Human.
- Transmission: Ingestion of embryonated eggs (soil, contaminated food).
- Features:
- VLM: Fever, hepatomegaly, ↑↑eosinophilia.
- OLM: Vision loss, strabismus, leukocoria.
- Dx: Serology, clinical findings, history of pica/pet exposure.
- Trichinellosis 📌 'Pork Worm'
- Agent: Trichinella spiralis.
- Host: Definitive: Pig, wild animals; Accidental: Human.
- Transmission: Ingestion of undercooked meat (esp. pork) with encysted larvae.
- Features: Myalgia, periorbital edema, fever, ↑eosinophilia, splinter hemorrhages.
- Dx: Muscle biopsy (larvae), serology, ↑CK.
- Cutaneous Larva Migrans (CLM)
- Agent: Ancylostoma braziliense, A. caninum (hookworms of dogs/cats).
- Host: Definitive: Dog/Cat; Accidental: Human.
- Transmission: Skin penetration by larvae (contaminated soil/sand).
- Features: Intense pruritus, erythematous, serpiginous (creeping) eruption/tracks.
- Dx: Clinical appearance, history of exposure.

⭐ Marked eosinophilia is a characteristic feature of Visceral Larva Migrans and Trichinellosis.
Trematodes & Control - Fluke & Fix Strategy
- Fascioliasis (F. hepatica/gigantica):
- Agent: Fasciola hepatica, F. gigantica.
- DH: Sheep, cattle, humans. IH: Snails (e.g., Lymnaea).
- MOT: Ingestion of metacercariae on aquatic plants (e.g., watercress).
- Clin: RUQ pain, hepatomegaly, fever, eosinophilia.
- Dx: Eggs in stool/bile; serology (ELISA).
- Schistosomiasis (Zoonotic: S. japonicum):
- Agent: Schistosoma japonicum.
- DH: Humans, domestic/wild mammals. IH: Snails (Oncomelania).
- MOT: Cercarial skin penetration in contaminated water.
- Clin: Acute (Katayama fever), Chronic (portal hypertension, hepatosplenomegaly).
- Dx: Eggs in stool; serology.
- General Diagnosis: Stool microscopy (ova/parasites), serology, imaging (USG, CT), PCR.
- General Prevention & Control ("Fluke & Fix"):
- Prevent ingestion of metacercariae (wash/cook aquatic plants).
- Avoid skin contact with cercariae-infested water.
- Snail control (vector).
- Mass drug administration (MDA) with Praziquantel where endemic.
- Treat infected livestock.
- Health education. 📌 Fluke Fighters: Food safety, Freshwater care, Farm animal checks.

⭐ Praziquantel is the drug of choice for most trematode (e.g., Schistosomiasis, Fasciolopsiasis) and cestode infections. For Schistosomiasis: 40-60 mg/kg orally.
High-Yield Points - ⚡ Biggest Takeaways
- Neurocysticercosis (Taenia solium) is a leading cause of adult-onset seizures in endemic areas.
- Hydatid disease (Echinococcus granulosus) forms cysts (liver, lungs); rupture risks anaphylaxis.
- Toxoplasma gondii infection is critical in pregnancy (congenital defects) and immunocompromised patients.
- Kala-azar (Leishmania donovani) via sandfly bite, causes fever, massive splenomegaly, pancytopenia.
- Cutaneous Larva Migrans appears as creeping eruptions from animal hookworm larvae.
- Trichinellosis (Trichinella spiralis) from raw pork causes myalgia, facial edema, marked eosinophilia.
Unlock the full lesson and continue reading
Signup to continue reading this lesson and unlimited access questions, flashcards, AI notes, and more