Meningitis - Braincoat Baddies
Meningeal inflammation. Triad: fever, headache, nuchal rigidity.
- Bacterial: S. pneumo, N. menin, H. flu (↓vaccine), Listeria (age extremes, immunocomp).
- Viral: Enteroviruses, HSV, VZV.
- TB: M. tb.
- Fungal: C. neoformans (immunocomp).

CSF Analysis - The Decider!
| Feature | Bacterial | Viral (Aseptic) | TB | Fungal (Crypto) |
|---|---|---|---|---|
| Pressure | ↑↑↑ (>250) | N/Slight ↑ | ↑↑ (>200) | ↑↑ (>200) |
| WBC (cells/µL) | ↑↑↑ (>1000, PMN) | ↑ (<500, Lymph) | ↑ (100-500, Lymph) | ↑ (<500, Lymph) |
| Protein (mg/dL) | ↑↑ (>100) | N/Slight ↑ (<100) | ↑↑ (>100) | ↑ (>50) |
| Glucose (mg/dL) | ↓↓ (<40) | Normal | ↓ (<45) | ↓ (<45) |
| Appearance | Turbid | Clear | Xantho/Web | Viscous/Clear |
| Special | Gram +ve | PCR | AFB/ADA/PCR | India Ink/Ag |
| %%{init: {'flowchart': {'htmlLabels': true}}}%% | ||||
| flowchart TD |
Start["<b>🩺 Suspected Meningitis</b><br><span style='display:block; text-align:left; color:#555'>• Clinical concern</span><span style='display:block; text-align:left; color:#555'>• CNS symptoms</span>"]
LP["<b>🔬 LP and CSF Analysis</b><br><span style='display:block; text-align:left; color:#555'>• Lumbar puncture</span><span style='display:block; text-align:left; color:#555'>• Cell count, labs</span>"]
Bact["<b>💊 Empirical IV Abx</b><br><span style='display:block; text-align:left; color:#555'>• Rocephin plus Vanco</span><span style='display:block; text-align:left; color:#555'>• +/- Ampicillin</span>"]
Viral["<b>👁️ Viral Management</b><br><span style='display:block; text-align:left; color:#555'>• Supportive care</span><span style='display:block; text-align:left; color:#555'>• Acyclovir if HSV</span>"]
TB["<b>💊 TB Treatment</b><br><span style='display:block; text-align:left; color:#555'>• ATT regimen</span><span style='display:block; text-align:left; color:#555'>• Steroid therapy</span>"]
Fungal["<b>💊 Antifungals</b><br><span style='display:block; text-align:left; color:#555'>• AmphoB plus Flucy</span><span style='display:block; text-align:left; color:#555'>• Fungal pattern</span>"]
Start --> LP
LP -->|Bacterial| Bact
LP -->|Viral| Viral
LP -->|TB Pattern| TB
LP -->|Fungal| Fungal
style Start fill:#F7F5FD, stroke:#F0EDFA, stroke-width:1.5px, rx:12, ry:12, color:#6B21A8
style LP fill:#FFF7ED, stroke:#FFEED5, stroke-width:1.5px, rx:12, ry:12, color:#C2410C
style Bact fill:#F1FCF5, stroke:#BEF4D8, stroke-width:1.5px, rx:12, ry:12, color:#166534
style Viral fill:#EEFAFF, stroke:#DAF3FF, stroke-width:1.5px, rx:12, ry:12, color:#0369A1
style TB fill:#F1FCF5, stroke:#BEF4D8, stroke-width:1.5px, rx:12, ry:12, color:#166534
style Fungal fill:#F1FCF5, stroke:#BEF4D8, stroke-width:1.5px, rx:12, ry:12, color:#166534
> ⭐ In bacterial meningitis, CSF glucose is typically **<40** mg/dL or <2/3rd of blood glucose.
📌 **B**acterial = **B**ad CSF (↓Glucose, ↑Protein, ↑PMNs).
## Encephalitis & Myelitis - Brain & Cord Chaos
* **Encephalitis**: Brain inflammation; fever, headache, altered sensorium, seizures, focal deficits.
* **Myelitis**: Spinal cord inflammation; weakness, sensory loss, bladder/bowel dysfunction.
**Common Viral Causes & Features:**
* **Herpes Simplex Virus (HSV-1)**:
- Most common cause of sporadic fatal encephalitis.
- Affects **temporal lobes** (anosmia, gustatory hallucinations, personality changes).
- CSF: Lymphocytic pleocytosis, ↑RBCs.
- Rx: Acyclovir **10 mg/kg IV q8h** for **14-21 days**.

* **Japanese Encephalitis (JE)**:
- Arbovirus (Flavivirus); mosquito vector (Culex).
- Affects thalamus, basal ganglia, brainstem, cerebellum, spinal cord.
- Features: Parkinsonism, acute flaccid paralysis, movement disorders.
- 📌 Mnemonic: **J**uvenile **E**xtrapyramidal **S**ymptoms (for JE).
* **Arboviruses (e.g., West Nile Virus)**:
- Often cause meningoencephalitis or encephalomyelitis.
- Features: Rash, lymphadenopathy, flaccid paralysis (WNV).
> ⭐ CSF PCR is the gold standard for diagnosing HSV encephalitis due to its high sensitivity and specificity, allowing for early and targeted antiviral therapy initiation.
* **Transverse Myelitis**: Segmental spinal cord inflammation; often post-infectious or autoimmune (e.g., NMO, MS).
## Brain Abscess & Other Focal Infections - Pus Pockets & Peril
* **Etiology**: Contiguous (sinusitis, otitis, dental); Hematogenous (lung, endocarditis); Trauma/surgery.
* **Organisms**: *Streptococci* (esp. *S. milleri*), *Staph. aureus*, anaerobes. Polymicrobial common.
* **Stages (Cerebritis → Abscess)**:
- Early (1-2 wks): Inflammation, edema.
- Late (2-3 wks): Central necrosis, early capsule.
> ⭐ Rupture into ventricles: high mortality (>**80%**).
- Capsule (>3 wks): Thick, vascular wall.
* **Imaging (CT/MRI)**: Ring-enhancing lesion, central necrosis (pus), surrounding edema. DWI: Restricted diffusion (key).

## Specific CNS Infections - Unique Invaders & Ills
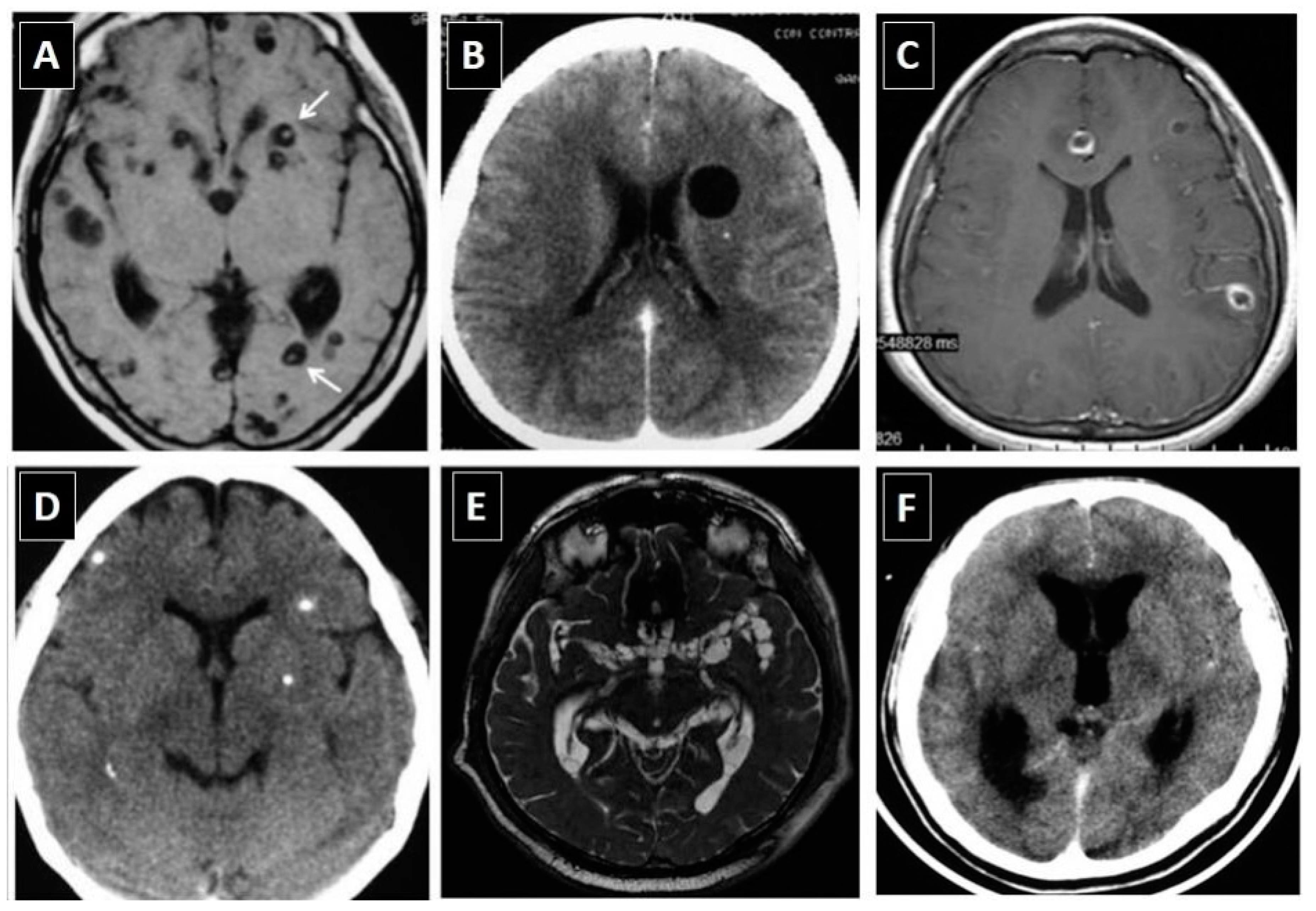
* **Neurocysticercosis** (*Taenia solium* larvae):
- Stages: Vesicular (scolex visible, pathognomonic), colloidal vesicular, granular nodular, calcified nodular.
- Imaging: CT/MRI shows cysts; "hole-with-dot" sign.

* **Rabies** (Lyssavirus):
- Phases: Prodromal → acute neurologic (furious/paralytic with hydrophobia, aerophobia) → coma.
- Pathognomonic: Negri bodies (intracytoplasmic inclusions in hippocampal neurons).

* **Prion Diseases** (e.g., Creutzfeldt-Jakob Disease - CJD):
- Agent: PrP<sup>Sc</sup> (misfolded prion protein) causing spongiform encephalopathy.
- Types: Sporadic (sCJD **~85%**), variant (vCJD - younger, psychiatric symptoms), familial, iatrogenic.
- Key: Rapidly progressive dementia, myoclonus.
* **Progressive Multifocal Leukoencephalopathy (PML)**:
- Agent: JC virus (polyomavirus).
- Population: Severely immunocompromised (e.g., AIDS with CD4 < **200** cells/μL).
- Pathology: Multiple, non-enhancing demyelinating lesions in white matter.
> ⭐ **vCJD**: Pulvinar sign (hyperintensity in posterior thalamus) on MRI is characteristic of variant CJD.
## High‑Yield Points - ⚡ Biggest Takeaways
> * **Bacterial meningitis CSF**: ↑Protein, ↓Glucose, ↑Neutrophils. **Viral meningitis CSF**: Normal glucose, ↑Lymphocytes.
> * **TB meningitis CSF**: Markedly ↓Glucose & ↑Protein, ↑Lymphocytes, **cobweb coagulum**.
> * *S. pneumoniae*: **MCC adult bacterial meningitis**. Neonates: *GBS*, *E. coli*, *Listeria*.
> * **India Ink** for *Cryptococcus neoformans* in **HIV+ meningitis**.
> * **Neurocysticercosis** (*T. solium*): **Ring-enhancing lesions with scolex**.
> * **Herpes Simplex Encephalitis**: **Temporal lobe** involvement; CSF PCR diagnostic.
> * **Brain abscess**: **Ring-enhancing lesions**; *Streptococci*, *Staphylococci*.
Continue reading on Oncourse
Sign up for free to access the full lesson, plus unlimited questions, flashcards, AI-powered notes, and more.
CONTINUE READING — FREEor get the app
