Bioterrorism agents represent a unique intersection of infectious disease, public health emergency, and national security-pathogens deliberately weaponized to cause mass casualties and societal disruption. You'll learn to recognize the clinical signatures that distinguish intentional outbreaks from natural disease, master the rapid diagnostic and treatment protocols that save lives in the critical first hours, and understand your essential role within the coordinated public health response system. This knowledge transforms you from a passive observer of hypothetical threats into a frontline sentinel capable of detecting an attack early, protecting patients and communities, and maintaining clinical composure when it matters most.
The strategic classification system divides bioterrorism agents into three distinct categories, each representing escalating levels of threat sophistication and potential impact:
📌 Remember: SPABVT - Smallpox, Plague, Anthrax, Botulism, VHF, Tularemia represent the "Big Six" Category A agents requiring immediate recognition and response protocols
⭐ Clinical Pearl: Category A agents share three critical characteristics: aerosol transmissibility, high mortality without treatment, and potential for person-to-person spread creating secondary outbreaks
The weaponization potential of biological agents depends on multiple factors that determine their effectiveness as instruments of terror. Stability in aerosol form represents the primary delivery mechanism, with particles sized 1-5 micrometers optimal for deep lung penetration and systemic infection.
| Agent Category | Mortality Rate | Incubation Period | Contagiousness | Aerosol Stability | Treatment Window |
|---|---|---|---|---|---|
| Anthrax (inhalational) | >80% untreated | 1-6 days | Non-contagious | Excellent | <24 hours post-exposure |
| Smallpox | 30% unvaccinated | 7-17 days | Highly contagious | Good | 4 days post-exposure |
| Pneumonic Plague | 100% untreated | 1-6 days | Person-to-person | Moderate | <24 hours symptom onset |
| Botulism | 60% untreated | 12-72 hours | Non-contagious | Excellent | <24 hours optimal |
| Tularemia | 35% untreated | 3-5 days | Non-contagious | Good | <48 hours symptom onset |
Environmental persistence varies dramatically among agents, influencing their strategic utility. Bacillus anthracis spores remain viable for decades in soil, while Variola virus survives only days to weeks in optimal conditions. This persistence factor determines both immediate threat duration and long-term decontamination requirements.
⚠️ Warning: Francisella tularensis requires only 10-50 organisms to cause infection via aerosol route, making it among the most infectious agents known to medicine
The syndromic approach to bioterrorism recognition focuses on pattern identification rather than specific agent diagnosis. Fever with respiratory distress in multiple patients suggests aerosol exposure, while gastrointestinal symptoms in clustered cases indicate food or water contamination. Neurological presentations with descending paralysis specifically suggest botulinum toxin exposure.
Understanding bioterrorism agents requires mastering their dual nature as both natural pathogens and weaponized threats, where enhanced virulence through genetic modification or optimized delivery systems can dramatically alter expected clinical presentations and outcomes.
Anthrax (Bacillus anthracis) stands as the prototype bioweapon, with spores surviving decades in environmental conditions while maintaining full virulence. The 2001 postal attacks demonstrated its psychological impact, causing 5 deaths from only 22 cases but generating nationwide panic and $6 billion in decontamination costs.
📌 Remember: ANTHRAX - Aerosol transmission, No person-to-person spread, Toxin-mediated pathogenesis, High mortality untreated, Radiographic widening, Antibiotic responsive early, eXtremely stable spores
Smallpox (Variola virus) represents the only eradicated human disease, making any appearance immediately suspicious for bioterrorism. Routine vaccination ceased in 1980, leaving >70% of the global population susceptible to infection.
⭐ Clinical Pearl: Smallpox vs. Chickenpox differentiation - Smallpox shows synchronous lesions all in same stage, centrifugal distribution, and deep-seated pustules, while chickenpox displays asynchronous lesions in multiple stages with centripetal distribution
Plague (Yersinia pestis) transforms from endemic flea-borne disease to bioweapon through aerosol delivery, creating pneumonic plague with 100% mortality if untreated beyond 24 hours.
| Plague Form | Transmission | Mortality Untreated | Mortality Treated | Contagious Period |
|---|---|---|---|---|
| Bubonic | Flea bite | 60% | <5% | Non-contagious |
| Septicemic | Flea bite/progression | 100% | <15% | Non-contagious |
| Pneumonic | Aerosol/droplet | 100% | <15% | Highly contagious |
| Pharyngeal | Ingestion | 100% | <10% | Moderately contagious |
| Meningeal | Hematogenous spread | 100% | <25% | Non-contagious |
Botulinum toxin represents the most potent biological toxin known, with an LD50 of 1-3 nanograms per kilogram body weight. Type A toxin remains the primary bioweapon concern due to its stability and prolonged paralysis lasting 2-6 months.
⚠️ Warning: Foodborne botulism typically affects 2-8 people from shared source, while bioterrorism would present as multiple simultaneous cases without common food exposure
Tularemia (Francisella tularensis) requires only 10-50 organisms for infection, making it extremely suitable for bioweapon development. Type A strains found in North America show higher virulence than Type B European strains.
Viral Hemorrhagic Fevers (VHFs) encompass multiple virus families with case fatality rates ranging from 25-90% depending on specific agent and strain.
Understanding Category A agents requires recognizing their engineered potential for mass destruction while maintaining clinical focus on early recognition patterns that enable life-saving interventions.
Temporal Clustering represents the most reliable indicator of bioterrorism. Natural outbreaks typically show gradual onset over weeks to months, while bioweapon attacks create sharp epidemic curves with multiple simultaneous cases presenting within 24-72 hours.

Natural Outbreak Characteristics
Bioterrorism Attack Patterns
📌 Remember: BIOTERROR - Bizarre epidemiology, Indoor clustering, Outbreak explosive, Temporal compression, Everyone affected equally, Rare disease appearing, Respiratory predominance, Odd geographic distribution, Rapid progression
Syndromic Surveillance focuses on symptom patterns rather than specific diagnoses, enabling earlier detection before laboratory confirmation. Emergency department chief complaints provide real-time monitoring of potential bioterrorism events.
| Syndrome | Key Features | Bioterrorism Agents | Timeline to Recognition |
|---|---|---|---|
| Respiratory | Fever + cough + dyspnea | Anthrax, Plague, Tularemia | 24-48 hours |
| Neurological | Descending paralysis | Botulism | 12-24 hours |
| Hemorrhagic | Fever + bleeding | VHFs | 48-72 hours |
| Vesicular | Fever + rash | Smallpox | 7-14 days |
| Gastrointestinal | Nausea + vomiting + diarrhea | Multiple agents | 6-24 hours |
Inhalational Anthrax Recognition requires distinguishing it from common respiratory infections. The biphasic presentation with initial improvement followed by rapid deterioration provides a critical diagnostic clue.
Phase 1 (Prodromal) - 1-3 days
Phase 2 (Fulminant) - 24-48 hours

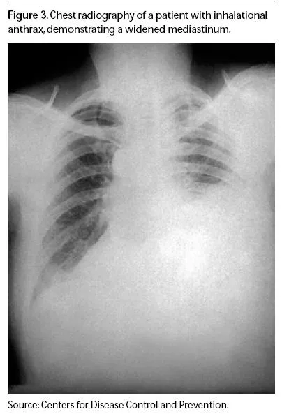
💡 Master This: Inhalational anthrax shows widened mediastinum in >90% of cases - any flu-like illness with mediastinal widening in multiple patients requires immediate bioterrorism response
Smallpox Recognition depends on rash characteristics that distinguish it from chickenpox and other vesicular diseases. The centrifugal distribution and synchronous development provide pathognomonic features.
Smallpox Rash Progression
Differential Diagnosis Clues
Pneumonic Plague Recognition focuses on rapid progression from flu-like symptoms to respiratory failure within 24-48 hours. The absence of buboes in primary pneumonic plague distinguishes it from bubonic forms.
⚠️ Warning: Pneumonic plague patients become highly contagious within 24 hours of symptom onset, requiring immediate respiratory isolation and contact tracing for all exposed individuals
Understanding bioterrorism recognition patterns enables healthcare providers to serve as the critical first detectors in the public health surveillance system, where early identification saves lives and prevents widespread casualties.
LRN Laboratory Levels create a hierarchical system ensuring appropriate testing capabilities while maintaining biosafety standards:
Sentinel Laboratories (>25,000 facilities)
Reference Laboratories (>150 facilities)
National Laboratories (<10 facilities)
Rapid Diagnostic Methods prioritize speed over specificity for initial screening, with results available within 2-4 hours to guide immediate clinical decisions.
| Agent | Rapid Test | Sensitivity | Specificity | Time to Result | Confirmatory Method |
|---|---|---|---|---|---|
| Anthrax | Immunochromatography | >95% | >98% | <30 minutes | PCR + Culture |
| Plague | F1 antigen test | >90% | >95% | <15 minutes | PCR + Culture |
| Smallpox | Electron microscopy | >99% | >99% | <2 hours | PCR + Sequencing |
| Botulism | Mouse bioassay | >95% | 100% | 24-48 hours | ELISA + PCR |
| Tularemia | Antigen detection | >85% | >90% | <1 hour | PCR + Culture |
Anthrax Diagnostics utilize multiple specimen types depending on clinical presentation and disease stage. Blood cultures remain positive in >90% of cases during bacteremic phase.
Specimen Collection Priority
Laboratory Findings
⭐ Clinical Pearl: Anthrax blood cultures turn positive within 6-24 hours in >90% of inhalational cases, making blood culture the highest yield rapid diagnostic test
Smallpox Diagnostics require BSL-4 containment for live virus work, with electron microscopy providing rapid presumptive identification within 2 hours.
Specimen Collection
Diagnostic Methods
Plague Diagnostics emphasize rapid identification due to 24-hour treatment window for optimal outcomes. F1 antigen detection provides field-deployable testing capability.
Specimen Types by Clinical Form
Laboratory Characteristics
💡 Master This: Plague diagnosis requires immediate processing - F1 antigen testing provides results within 15 minutes with >90% sensitivity, enabling rapid treatment decisions before 24-hour window closes
Botulism Diagnostics rely on toxin detection rather than organism identification, with mouse bioassay remaining the gold standard despite 24-48 hour turnaround time.
Understanding bioterrorism laboratory diagnostics enables healthcare providers to optimize specimen collection and interpretation while coordinating with public health authorities for appropriate response escalation.
Anthrax Management focuses on early antibiotic therapy and supportive care for systemic toxicity. Post-exposure prophylaxis requires 60-day antibiotic courses due to spore persistence in lung tissue.
Inhalational Anthrax Treatment
Post-Exposure Prophylaxis (PEP)
📌 Remember: ANTHRAX Rx - Antibiotics early (IV combo), Never delay for culture, Toxin therapy if available, High-dose long-duration, Resistance possible, Adjunctive supportive care, eXtended prophylaxis (60 days)
Smallpox Management emphasizes supportive care and infection control, as no specific antiviral therapy has proven efficacy. Vaccination within 4 days of exposure provides >90% protection.
| Intervention | Timing | Efficacy | Duration | Special Considerations |
|---|---|---|---|---|
| Vaccination | <24 hours post-exposure | >95% protection | Lifelong immunity | Contraindicated in immunocompromised |
| Vaccination | 1-3 days post-exposure | >90% protection | Lifelong immunity | Modified disease possible |
| Vaccination | 4-7 days post-exposure | >50% protection | Variable immunity | May modify severity |
| Cidofovir | Any time | Unproven efficacy | Variable | Experimental use only |
| VIG | Complications | Limited benefit | Temporary | Severe adverse events |
⭐ Clinical Pearl: Smallpox vaccination provides maximum benefit when administered within 24 hours of exposure, but partial protection occurs up to 4 days post-exposure, making rapid contact tracing critical
Plague Management requires immediate antibiotic therapy within 24 hours of symptom onset to prevent mortality >90%. Respiratory isolation prevents person-to-person transmission.
Pneumonic Plague Treatment
Post-Exposure Prophylaxis
Botulism Management focuses on supportive care and antitoxin administration, with mechanical ventilation required in >60% of cases due to respiratory paralysis.
Antitoxin Therapy
Respiratory Support
💡 Master This: Botulism recovery requires 2-6 months for complete neurological recovery as nerve terminals regenerate, making long-term supportive care and rehabilitation essential components of management
Tularemia Management responds well to appropriate antibiotics with mortality <2% when treated promptly, compared to 35% mortality if untreated.
Understanding bioterrorism clinical management enables healthcare providers to deliver life-saving interventions while coordinating with public health authorities for comprehensive outbreak response and community protection.
Strategic National Stockpile (SNS) maintains emergency supplies sufficient to protect millions of Americans during bioterrorism events. 12-hour deployment capability ensures rapid availability of antibiotics, vaccines, and medical supplies.
SNS Components
Mass Prophylaxis Operations
📌 Remember: SNS DEPLOY - Strategic stockpile, National coordination, Supplies pre-positioned, Deployment 12-hour, Emergency distribution, Push packages ready, Local POD setup, Operations sustained, Year-round maintenance
Surveillance Systems provide early warning capabilities through syndromic monitoring and laboratory networks. BioSense and ESSENCE systems monitor emergency department visits for unusual patterns.
| Surveillance System | Data Source | Detection Time | Coverage | Sensitivity |
|---|---|---|---|---|
| BioSense | ED visits, lab orders | <24 hours | >4,000 facilities | >85% |
| ESSENCE | Military facilities | <12 hours | >300 sites | >90% |
| LRN | Laboratory results | <4 hours | >150 labs | >95% |
| NEDSS | Reportable diseases | <24 hours | All states | >80% |
| PulseNet | Foodborne pathogens | <48 hours | >80 labs | >90% |
⭐ Clinical Pearl: Syndromic surveillance detects bioterrorism events an average of 2-4 days earlier than traditional disease reporting, providing critical early warning for response activation
Quarantine and Isolation measures protect communities while balancing individual rights with public safety. Legal authorities vary by jurisdiction and disease characteristics.
Isolation (Sick individuals)
Quarantine (Exposed individuals)
Risk Communication maintains public trust and compliance during high-stress situations. Clear, consistent, and frequent messaging prevents panic and misinformation.
Communication Principles
Message Content
Decontamination Operations remove biological agents from people, equipment, and environments. Personal decontamination takes priority over environmental cleanup.
Personal Decontamination
Environmental Decontamination
💡 Master This: Effective public health response requires seamless coordination between clinical care, laboratory diagnostics, epidemiological investigation, and community protection measures, with success measured in lives saved rather than resources expended
Understanding public health response systems enables healthcare providers to function effectively within the broader emergency management framework while maintaining focus on individual patient care during bioterrorism events.
Essential Recognition Matrix - 30-Second Assessment Tool
| Agent | Key Clue | Timeline | Mortality Untreated | Treatment Window | Contagious |
|---|---|---|---|---|---|
| Anthrax | Widened mediastinum | 1-6 days | >80% | <24 hours | No |
| Smallpox | Centrifugal rash | 7-17 days | 30% | <4 days PEP | Yes |
| Plague | Hemoptysis + shock | 1-6 days | 100% | <24 hours | Yes |
| Botulism | Descending paralysis | 12-72 hours | 60% | <24 hours | No |
| Tularemia | Pneumonia + toxicity | 3-5 days | 35% | <48 hours | No |
| VHF | Fever + bleeding | 2-21 days | 50-90% | <72 hours | Variable |
Critical Drug Dosing - Emergency Reference
Anthrax Treatment
Plague Treatment
Botulism Treatment
⭐ Clinical Pearl: "When in doubt, treat" - Empirical therapy for suspected bioterrorism saves more lives than waiting for confirmation, especially for anthrax and plague with <24-hour treatment windows
Isolation Precautions - Immediate Implementation

Airborne Precautions (Smallpox)
Droplet Precautions (Pneumonic Plague × 48 hours)
Contact Precautions (VHF)
Specimen Collection Priorities - Maximum Yield Strategy
Before Antibiotics (when possible)
After Treatment Started
💡 Master This: Bioterrorism response success depends on simultaneous execution of clinical care, infection control, laboratory coordination, and public health notification - no single intervention alone prevents mass casualties
Emergency Contact Network - 24/7 Activation
Immediate Notifications (<30 minutes)
Rapid Escalation (<2 hours)
Mass Casualty Triage - Bioterrorism Modifications
Immediate (Red)
Delayed (Yellow)
Expectant (Black)
Understanding bioterrorism mastery tools enables healthcare providers to respond effectively during high-stress situations while maintaining clinical excellence and coordinating seamlessly with public health authorities for optimal patient and community outcomes.
Test your understanding with these related questions
A man with chills, fever, and headache is thought to have "atypical" pneumonia. History reveals that he raises chickens, and that approximately 2 weeks ago he lost a large number of them to an undiagnosed disease. Which of the following is the most likely diagnosis of this man's condition?
Get full access to all lessons, practice questions, and more.
Start Your Free Trial