Ventricular System and CSF - Brain's Fluid Spaces
- Ventricular Anatomy:
- Lateral Ventricles (paired): Largest. Connect via Foramen of Monro to 3rd.
- Third Ventricle: Midline slit. Cerebral Aqueduct (Sylvius) connects to 4th.
- Fourth Ventricle: Diamond-shaped. Outflow via Foramina Luschka (2 lateral) & Magendie (1 median) to subarachnoid space.
- Cerebrospinal Fluid (CSF):
- Production: Choroid plexus (all ventricles, mainly lateral).
- Absorption: Arachnoid granulations into dural venous sinuses.
- Volume:
150 ml. Rate: 20 ml/hr (500 ml/day).
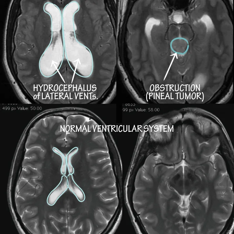
⭐ Obstruction of the narrow cerebral aqueduct (Sylvius) is a common cause of non-communicating hydrocephalus. 📌 Mnemonic (CSF Flow): Love My 3 Amazing 4 Little Monkeys (Lateral Ventricle → Monro → 3rd Ventricle → Aqueduct → 4th Ventricle → Luschka/Magendie).
Ventricular System and CSF - The Cranial Elixir
- Ventricles: Paired Lateral, Third, Fourth. Connected by:
- Foramen of Monro (Lateral → 3rd)
- Cerebral Aqueduct (of Sylvius) (3rd → 4th)
- Foramina of Luschka (2 lateral) & Magendie (1 medial) (4th → Subarachnoid space)

- CSF Production: Choroid plexus (mainly lateral, also 3rd & 4th ventricles).
- Rate: 0.3-0.4 mL/min; ~20 mL/hr; 450-500 mL/day.
- Total volume: 125-150 mL. Turnover: 3-4 times/day.
- CSF Composition (vs Plasma): Clear, colorless.
- ↓ Protein (<45 mg/dL), ↓ Glucose (50-80 mg/dL or ~⅔ plasma), ↓ K⁺, ↓ Ca²⁺.
- ↑ Cl⁻, ↑ Mg²⁺. Cells: 0-5 lymphocytes/mm³.
- Functions: Buoyancy (reduces effective brain weight from ~1400g to <50g), shock absorption, waste removal, nutrient/hormone transport.
⭐ Xanthochromia (yellow CSF) indicates previous subarachnoid hemorrhage; bilirubin from RBC breakdown appears after 2-4 hours, peaks 24-48 hours, can last 2-4 weeks.
Ventricular System and CSF - The Great CSF Flow
-
CSF Genesis & Properties:
- Produced mainly by choroid plexus (specialized ependymal cells + capillaries) in lateral, then 3rd & 4th ventricles. Some extrachoroidal production.
- Formation rate: 0.3-0.4 mL/min; ~500 mL/day. Total volume: ~125-150 mL.
- Normal pressure: 5-15 mmHg (70-180 mmH₂O). Clear, colorless, acellular; low protein, glucose ~2/3 of plasma.
-
The Great CSF Flow Path:
-
Vital Functions:
- Buoyancy: Reduces effective brain weight from ~1400g to ~50g.
- Protection: Acts as a crucial mechanical shock absorber for the CNS.
- Homeostasis: Intracranial pressure regulation, nutrient supply, and metabolic waste removal.
⭐ The Aqueduct of Sylvius, being the narrowest part of the ventricular system, is a common site for obstructive (non-communicating) hydrocephalus, especially congenital.
📌 Mnemonic for 4th ventricle outlets: Luschka = Lateral (paired); Magendie = Median (single).
Ventricular System and CSF - Pressure & Problems
- Normal CSF Pressure: Adults 5-15 mmHg (70-180 mmH₂O); Children 3-7 mmHg.
- Increased ICP (>20 mmHg):
- Causes: Mass, bleed, hydrocephalus, edema, meningitis.
- Symptoms: Headache (AM), vomiting, papilledema, AMS.
- Cushing's Triad (late): Hypertension, bradycardia, irregular respiration. 📌 HIB.
- Hydrocephalus: Excess CSF.
- Communicating: ↓Absorption (post-meningitis, SAH). Symmetric ventricular enlargement.
- Non-communicating (Obstructive): Flow block (aqueductal stenosis, tumor). Proximal ventricular dilation.
- NPH: Dementia, gait apraxia, urinary incontinence. 📌 "Wet, Wobbly, Wacky". LP pressure normal.

- Lumbar Puncture (LP):
- Site: L3-L4 / L4-L5. 📌 Cord ends L1-L2 (adults), L3 (infants).
- Contraindications: ↑ICP + mass, coagulopathy, local infection.
⭐ Bacterial meningitis CSF: Glucose <40 mg/dL (<40% serum), Protein >45 mg/dL, ↑PMNs, ↑Pressure.
High‑Yield Points - ⚡ Biggest Takeaways
- CSF produced mainly by choroid plexus; total volume ~150 mL, daily production ~500 mL.
- Flow: Lateral ventricles → Foramen of Monro → 3rd ventricle → Sylvian aqueduct → 4th ventricle → Foramina of Luschka & Magendie → Subarachnoid space.
- Absorbed by arachnoid granulations into dural venous sinuses.
- Normal CSF pressure: 70-180 mm H2O.
- Aqueduct of Sylvius: narrowest point; its obstruction causes non-communicating hydrocephalus.
- Communicating hydrocephalus results from impaired CSF absorption by arachnoid villi.
Unlock the full lesson and continue reading
Signup to continue reading this lesson and unlimited access questions, flashcards, AI notes, and more