Intro to Variations - Spot the Difference!
- Variation: Common, minor deviations from typical anatomy; usually asymptomatic. Think "normal range."
- Anomaly: More significant structural defect, often congenital; may be symptomatic.
- Pathology: Disease state causing structural/functional change.
- Why "Spot the Difference" matters in imaging:
- Avoids misinterpreting a variation as pathology.
- Essential for safe surgical/interventional planning.
- Explains unexpected clinical findings.

⭐ Many variations are incidental findings; their clinical significance varies widely.
Variation Hotspots - System Surprises
| System | Variation | Key Imaging Finding(s) |
|---|---|---|
| CNS | Persistent Trigeminal Artery | ICA-basilar connection (Angio/MRA/CTA); "Tau" sign. |
| Cavum Septum Pellucidum/Vergae | CSF space between frontal horns +/- posterior extension (MRI/CT). | |
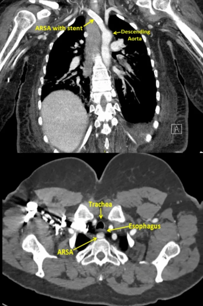
| CVS | Aberrant Rt. Subclavian (Arteria Lusoria) | Last arch branch, retro-esophageal (CT, Barium); Dysphagia. |
| Coronary Anomalies (e.g., ALCAPA) | Abnormal origin/course (CTA); ALCAPA: LCA from PA → ischemia. | |
| Resp. | Azygos Lobe | Azygos vein in accessory fissure, Rt. upper lobe (CXR/CT); "comma". |
| Tracheal Bronchus | Aberrant bronchus from trachea/main bronchus to upper lobe (CT). | |
| GIT | Situs Inversus (Totalis/Partialis) | Mirror-image (totalis) or partial organ reversal (CXR/CT/US). |
| Intestinal Malrotation | Abnormal SMA/SMV relation (US/UGI/CT); "whirlpool" sign. | |
| GUT | Horseshoe Kidney | Fused lower poles, anterior to great vessels (CT/US/IVU); ↑ PUJO/stone risk. |
| Duplex Collecting System | Two pelvicalyceal systems; Weigert-Meyer rule (complete) (IVU/CT/US). | |
| MSK | Cervical Rib | Bony process from C7; Thoracic Outlet Syndrome risk (CXR/CT). |
| Os Trigonum | Posterior talar ossicle; symptomatic with plantarflexion (X-ray/MRI). |
Imaging Toolkit - Peeking Inside
-
X-ray (Radiography):
- Initial, cost-effective for osseous variations (e.g., cervical rib, coalition, sesamoids).
- Limited soft tissue detail; uses ionizing radiation.
-
Ultrasound (USG):
- Real-time, no radiation; good for superficial soft tissue, visceral (e.g., ectopic kidney), & vascular variations (e.g., aberrant renal artery).
- Operator-dependent; limited by bone/gas.
-
Computed Tomography (CT):
- Excellent detail for complex osseous, vascular (with contrast - CTA), & organ anomalies. Multiplanar reformats (MPR).
- Higher radiation dose; contrast risks.
-
Magnetic Resonance Imaging (MRI):
- Superior soft tissue contrast; ideal for neurological (e.g., corpus callosum agenesis), complex syndromic, & fetal anomalies.
- No ionizing radiation. Higher cost, longer scan time.
⭐ For suspected vascular rings or slings causing tracheoesophageal compression, CT Angiography or MR Angiography are the imaging modalities of choice for definitive diagnosis and surgical planning.
Clinical Impact - Don't Get Fooled!
- Diagnostic Pitfalls:
- Variations can mimic pathology (e.g., accessory fissures vs. pneumothorax, azygos lobe vs. mass).
- May obscure underlying disease, leading to delayed diagnosis.
- Can result in misdiagnosis & unnecessary investigations or procedures.
- Surgical & Interventional Significance:
- Crucial for pre-procedural planning (e.g., variant hepatic arteries in liver transplant, aberrant renal arteries in nephrectomy).
- Reduces risk of iatrogenic injury (e.g., nerve, vessel damage).
- Impacts surgical approach & technique selection.
- Effective Reporting: ⚠️
- Clearly describe the variation and its anatomical relations.
- Comment on potential clinical implications or association with symptoms.
- Differentiate from true pathology to avoid confusion.

⭐ An aberrant right subclavian artery (arteria lusoria) is a common aortic arch anomaly (~1% population) that can cause dysphagia (dysphagia lusoria) or be an incidental finding. Its presence is critical for thoracic surgery planning.
High-Yield Points - ⚡ Biggest Takeaways
- Anatomical variations are often incidental findings on imaging studies.
- Differentiating variations from true pathology is crucial to avoid misdiagnosis.
- Knowledge of common variants (e.g., accessory ossicles, azygos lobe) is vital.
- Vascular anomalies (e.g., aberrant subclavian artery, renal artery variants) are frequently tested.
- Situs inversus and laterality disorders show characteristic imaging patterns.
- Some variations are clinically significant, impacting symptoms or surgical planning.
- CT and MRI excel in delineating complex anatomical variations.
Unlock the full lesson and continue reading
Signup to continue reading this lesson and unlimited access questions, flashcards, AI notes, and more