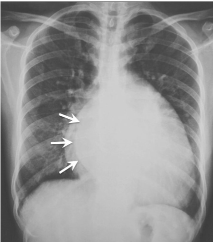
The x-ray given in the question shows the _____ sign suggestive of LA enlargement

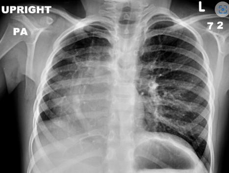
The X-ray shows _____ sign which is suggestive of partial anomalous pulmonary venous return.

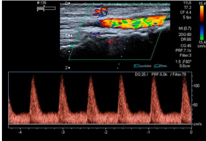
The given Doppler waveform is _____phasic, which is seen in severe stenosis of the artery:

_____ sign is seen in the appearance of splanchnic arteries in segmental arterial mediolysis (SAM).
Oreo cookie sign is seen in _____ on lateral view
_____ is a congenital heart disease characterized by a single large vessel arising from both ventricles before eventually splitting X-ray shows: "sitting duck heart" appearance
_____ is the first and only contrast agent approved by the FDA for the use of cardiac MRI in adult patients with known or suspected coronary artery disease
Cardiac CT is done in _____ assisted by synchronous ECG gating.
_____ on fluoroscopy is due to vigorous pulmonary artery pulsations which are seen in ASD.
The _____ sign is the acute angle formed at the edge of the false lumen in aortic dissection in axial cross-section
Cardiovascular Anatomy
Flashcards
Cardiac CT Techniques
Flashcards
Cardiac MRI Techniques
Flashcards
Ischemic Heart Disease Imaging
Flashcards
Valvular Heart Disease
Flashcards
Cardiomyopathies
Flashcards
Pericardial Diseases
Flashcards
Congenital Heart Disease
Flashcards
Aortic and Great Vessel Imaging
Flashcards
Peripheral Vascular Imaging
Flashcards
Cardiovascular Interventional Procedures
Flashcards
Post-Surgical Cardiovascular Imaging
Flashcards
These Cardiovascular Radiology flashcards are designed for NEET-PG Radiology preparation, using active recall to help you retain high-yield concepts, clinical correlations, and commonly tested facts. Each card prompts you to retrieve information from memory rather than passively reviewing notes, which research shows leads to significantly better exam performance.
The 21 cards in this deck cover the most important topics in Cardiovascular Radiology, including key mechanisms, diagnostic criteria, treatment protocols, and clinical pearls that frequently appear in NEET-PG examinations. Cards are organised by chapter so you can focus on specific areas or work through the entire topic systematically.
For personalised spaced repetition scheduling that adapts to your performance, unlimited flashcards, and detailed progress analytics, download the Oncourse app.
Get full access to all flashcards, spaced repetition, and progress tracking.
Start For Free