Umbilical vessel cannulation can be performed in the first _____ of life before umbilical stump gets detatched

Area shaded _____ is preferred site for heel prick testing in newborns

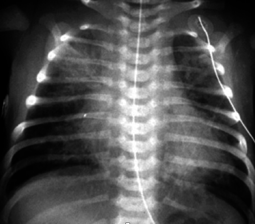
Which pediatric disorder will present with hyperinflation, patchy infiltrates and coarse streaking on chest x-ray? _____
SILVERMAN ANDERSON SCORE: No answer _____

Exclusion criteria for therapeutic hypothermia in neonates: No answer _____

Which pediatric disorder will present with overaeration, prominent pulmonary vascular markings and fluid in interlobar fissure on chest x-ray? _____
_____ is aka 8 th day disease
MC cause of neonatal death is _____
birth weight should be <_____ to be upgraded to (SNCU)special new born care unit
neonatal time is from _____
Neonatal Resuscitation
Flashcards
Care of the Normal Newborn
Flashcards
Prematurity and Low Birth Weight
Flashcards
Respiratory Distress Syndrome
Flashcards
Neonatal Jaundice
Flashcards
Neonatal Sepsis
Flashcards
Necrotizing Enterocolitis
Flashcards
Intraventricular Hemorrhage
Flashcards
Persistent Pulmonary Hypertension
Flashcards
Perinatal Asphyxia
Flashcards
Neonatal Seizures
Flashcards
Congenital Anomalies
Flashcards
These Neonatology flashcards are designed for NEET-PG Pediatrics preparation, using active recall to help you retain high-yield concepts, clinical correlations, and commonly tested facts. Each card prompts you to retrieve information from memory rather than passively reviewing notes, which research shows leads to significantly better exam performance.
The 207 cards in this deck cover the most important topics in Neonatology, including key mechanisms, diagnostic criteria, treatment protocols, and clinical pearls that frequently appear in NEET-PG examinations. Cards are organised by chapter so you can focus on specific areas or work through the entire topic systematically.
For personalised spaced repetition scheduling that adapts to your performance, unlimited flashcards, and detailed progress analytics, download the Oncourse app.
Get full access to all flashcards, spaced repetition, and progress tracking.
Start For Free