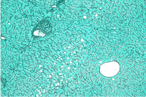
The stain demonstrates reticular fibers of the liver and hence has to be _____ stain.

aflatoxicosis is caused by _____
_____ pigment gallstones (color) are radio-opaque and composed of calcium bilirubinate
Hepatocellular carcinoma is CK 7 _____ and CK 20 negative
Strawberry gallbladder is seen in _____ and is associated with cholesterol stones.
_____ bodies in hepatocytes occur because of aggregation of intermediate filament cytokeratin 8 and 18
_____ syndrome is due to a deficiency of bilirubin canalicular transport protein
_____ syndrome is characterized by micro-vesicular fatty change
Risk factors for _____ carcinoma include aflatoxins derived from Aspergillus
Pyogenic bacteria typically gain access to the liver through either a _____ or portal vein pyemia
Jaundice and Cholestasis
Flashcards
Viral Hepatitis
Flashcards
Alcoholic and Non-alcoholic Fatty Liver Disease
Flashcards
Drug and Toxin Induced Liver Injury
Flashcards
Cirrhosis and Its Complications
Flashcards
Metabolic Liver Diseases
Flashcards
Liver Tumors
Flashcards
Gallbladder and Biliary Tract Diseases
Flashcards
Congenital Liver Diseases
Flashcards
Liver Transplantation Pathology
Flashcards
These Liver and Biliary Pathology flashcards are designed for NEET-PG Pathology preparation, using active recall to help you retain high-yield concepts, clinical correlations, and commonly tested facts. Each card prompts you to retrieve information from memory rather than passively reviewing notes, which research shows leads to significantly better exam performance.
The 104 cards in this deck cover the most important topics in Liver and Biliary Pathology, including key mechanisms, diagnostic criteria, treatment protocols, and clinical pearls that frequently appear in NEET-PG examinations. Cards are organised by chapter so you can focus on specific areas or work through the entire topic systematically.
For personalised spaced repetition scheduling that adapts to your performance, unlimited flashcards, and detailed progress analytics, download the Oncourse app.
Get full access to all flashcards, spaced repetition, and progress tracking.
Start For Free