_____ end of the Ayre's spatula is used for taking Pap smear (from squamocolumnar junction, portion vaginalis of cervix)

What are the contents of red kit? _____ *partner rx?
_____ end of the Ayre's spatula is used for taking samples for vaginal cytology

The instrument shown in the image is _____ speculum

Transvaginal _____ is done to differentiate between the bicornuate uterus and a septate uterus if either is suspected on HSG

Identify the type of hymen: _____

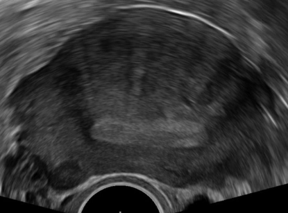
Venetian blind appearance on USG is suggestive of _____

CDC criteria for the diagnosis of PID: No answer _____

_____ vaginalis presents with a yellow-green discharge (color)
_____ is elephantiasis of female external genital organs, seen in late stage of Lymphogranuloma venerum
These Gynecological Disorders flashcards are designed for NEET-PG Obstetrics and Gynecology preparation, using active recall to help you retain high-yield concepts, clinical correlations, and commonly tested facts. Each card prompts you to retrieve information from memory rather than passively reviewing notes, which research shows leads to significantly better exam performance.
The 135 cards in this deck cover the most important topics in Gynecological Disorders, including key mechanisms, diagnostic criteria, treatment protocols, and clinical pearls that frequently appear in NEET-PG examinations. Cards are organised by chapter so you can focus on specific areas or work through the entire topic systematically.
For personalised spaced repetition scheduling that adapts to your performance, unlimited flashcards, and detailed progress analytics, download the Oncourse app.
Get full access to all flashcards, spaced repetition, and progress tracking.
Start For Free