Acute abdominal emergencies: appendicitis, bowel obstruction, perforation
Dealing with an acute abdomen is like being a medical detective—you have to figure out if the patient needs a surgeon right now or if it's something that can be managed medically. Appendicitis, bowel obstruction, and perforation are the "big three" surgical emergencies you'll see constantly in the ER.
Let's break down the high-yield clinical features and management for each of these.
This is the most common reason for emergency abdominal surgery. The classic presentation is a "migratory" pain pattern.
Most SBOs are caused by post-surgical adhesions, while large bowel obstructions are more often due to malignancy.
This is a true "surgical "catastrophe." Whether it's from a peptic ulcer, diverticulitis, or trauma, the result is peritonitis.
I'll pull up some high-yield lessons and a diagnostic algorithm to help you visualize how to differentiate these in a clinical setting.
📚 Acute Abdomen Lessons
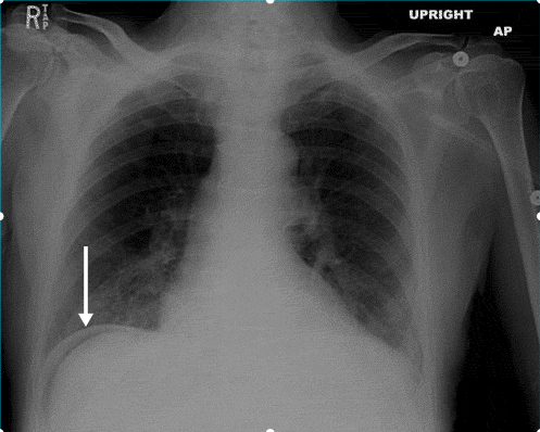
That upright X-ray is a classic "spot diagnosis" for perforation. When you see that crescent of air under the diaphragm, it's a surgical emergency.
To help you keep these straight for your exams and clinical rounds, I've put together a comparison table and a diagnostic flowchart.
| Feature | Appendicitis | Bowel Obstruction | Perforation |
|---|---|---|---|
| Pain Onset | Gradual (Periumbilical $\rightarrow$ RLQ) | Sudden, Colicky/Crampy | Sudden, "Explosive" |
| Vomiting | Follows pain | Early (High SBO) or Late (Low SBO) | Variable |
| Physical Exam | McBurney's tenderness, Guarding | Distension, Tinkling BS | Rigid, Board-like abdomen |
| Key Imaging | CT (Adults), US (Kids/Pregnancy) | X-ray (Air-fluid levels) | Upright CXR (Free air) |
| Initial Step | NPO, IV Fluids, Antibiotics | NPO, NG Tube decompression | NPO, IV Fluids, Emergent Surgery |

The comparison table and algorithm should give you a solid framework for these emergencies. Remember, the most important first step in any patient with a suspected perforation or high-grade obstruction is making them NPO (nothing by mouth) and starting aggressive IV fluid resuscitation.
For appendicitis, keep an eye out for the Alvarado Score (MANTRELS mnemonic) in your exams—it's a classic way to decide who needs imaging versus who goes straight to the OR.
Would you like to try some practice questions on these topics to see how they're tested, or should we look at some flashcards for the key physical exam signs?
Setting up chat...