Enter your email to get your 85% OFF code and unlock the full USMLE question bank on the app.
A 25-year-old woman is brought to the emergency department after being involved in a rear-end collision, in which she was the restrained driver of the back car. On arrival, she is alert and active. She reports pain in both knees and severe pain over the right groin. Temperature is 37°C (98.6°F), pulse is 116/min, respirations are 19/min, and blood pressure is 132/79 mm Hg. Physical examination shows tenderness over both knee caps. The right groin is tender to palpation. The right leg is slightly shortened, flexed, adducted, and internally rotated. The remainder of the examination shows no abnormalities. Which of the following is the most likely diagnosis?
A 76-year-old man is brought to the emergency room because of one episode of epistaxis. His pulse is 110/min. Physical examination shows pallor; there is blood in the oral cavity. Examination of the nasal cavity with a nasal speculum shows active bleeding from the posterior nasal cavity. Tamponade with a balloon catheter is attempted without success. The most appropriate next step in the management is ligation of a branch of a vessel of which of the following arteries?
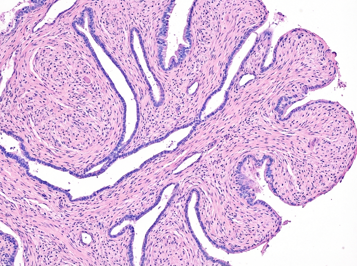
A 48-year-old woman comes to the physician for the evaluation of a left breast mass that she noticed 4 weeks ago. It has rapidly increased in size during this period. Vital signs are within normal limits. Examination shows large dense breasts; a 6-cm, nontender, multinodular mass is palpated in the upper outer quadrant of the left breast. There are no changes in the skin or nipple. There is no palpable cervical or axillary adenopathy. Mammography shows a smooth polylobulated mass. An image of a biopsy specimen is shown. Which of the following is the most likely diagnosis?

A 22-year-old man is rushed to the emergency department after a motor vehicle accident. The patient states that he feels weakness and numbness in both of his legs. He also reports pain in his lower back. His airway, breathing, and circulation is intact, and he is conversational. Neurologic exam is significant for bilateral lower extremity flaccid paralysis and impaired pain and temperature sensation up to T10-T11 with normal vibration sense. A computerized tomography scan of the spine is performed which shows a vertebral burst fracture of the vertebral body at the level of T11. Which of the following findings is most likely present in this patient?
A 61-year-old woman presents to her physician with a persistent cough. She has been unable to control her cough and also is finding it increasingly difficult to breathe. The cough has been persistent for about 2 months now, but 2 weeks ago she started noticing streaks of blood in the sputum regularly after coughing. Over the course of 4 months, she has also observed an unusual loss of 10 kg (22 lb) in her weight. She has an unchanged appetite and remains fairly active, which makes her suspicious as to the cause of her weight loss. Another troublesome concern for her is that on a couple occasions over the past few weeks, she has observed herself drenched in sweat when she wakes up in the morning. Other than having a 35 pack-year smoking history, her medical history is insignificant. She is sent for a chest X-ray which shows a central nodule of about 13 mm located in the hilar region. Which of the following would be the next best step in the management of this patient?
A 67-year-old woman has fallen from the second story level of her home while hanging laundry. She was brought to the emergency department immediately and presented with severe abdominal pain. The patient is anxious, and her hands and feet feel very cold to the touch. There is no evidence of bone fractures, superficial skin wounds, or a foreign body penetration. Her blood pressure is 102/67 mm Hg, respirations are 19/min, pulse is 87/min, and temperature is 36.7°C (98.0°F). Her abdominal exam reveals rigidity and severe tenderness. A Foley catheter and nasogastric tube are inserted. The central venous pressure (CVP) is 5 cm H2O. The medical history is significant for hypertension. Which of the following is best indicated for the evaluation of this patient?
A 20-year-old male comes into your office two days after falling during a pick up basketball game. The patient states that the lateral aspect of his knee collided with another player's knee. On exam, the patient's right knee appears the same size as his left knee without any swelling or effusion. The patient has intact sensation and strength in both lower extremities. The patient's right knee has no laxity upon varus stress test, but is more lax upon valgus stress test when compared to his left knee. Lachman's test and posterior drawer test both have firm endpoints without laxity. Which of the following structures has this patient injured?
A 68-year-old man presents to the emergency department with leg pain. He states that the pain started suddenly while he was walking outside. The patient has a past medical history of diabetes, hypertension, obesity, and atrial fibrillation. His temperature is 99.3°F (37.4°C), blood pressure is 152/98 mmHg, pulse is 97/min, respirations are 15/min, and oxygen saturation is 99% on room air. Physical exam is notable for a cold and pale left leg. The patient’s sensation is markedly diminished in the left leg when compared to the right, and his muscle strength is 1/5 in his left leg. Which of the following is the best next step in management?
Chest trauma management
Practice Questions
Head trauma management
Practice Questions
Spinal trauma
Practice Questions
Blunt abdominal trauma
Practice Questions
Penetrating abdominal trauma
Practice Questions
Pelvic fractures and hemorrhage
Practice Questions
Extremity trauma and vascular injuries
Practice Questions
Burns assessment and management
Practice Questions
Traumatic shock management
Practice Questions
Resuscitative thoracotomy
Practice Questions
Focused Assessment with Sonography in Trauma (FAST)
Practice Questions
Trauma in pregnancy
Practice Questions
Pediatric trauma considerations
Practice Questions
Get full access to all questions, explanations, and performance tracking.
Scan to download app