A 30-year-old male gang member is brought to the emergency room with a gunshot wound to the abdomen. The patient was intubated and taken for an exploratory laparotomy, which found peritoneal hemorrhage and injury to the small bowel. He required 5 units of blood during this procedure. Following the operation, the patient was sedated and remained on a ventilator in the surgical intensive care unit (SICU). The next day, a central line is placed and the patient is started on total parenteral nutrition. Which of the following complications is most likely in this patient?
A 45-year-old man is brought to the trauma bay by emergency services after a motorbike accident in which the patient, who was not wearing a helmet, hit a pole of a streetlight with his head. When initially evaluated by the paramedics, the patient was responsive, albeit confused, opened his eyes spontaneously, and was able to follow commands. An hour later, upon admission, the patient only opened his eyes to painful stimuli, made incomprehensible sounds, and assumed a flexed posture. The vital signs are as follows: blood pressure 140/80 mm Hg; heart rate 59/min; respiratory rate 11/min; temperature 37.0℃ (99.1℉), and SaO2, 95% on room air. The examination shows a laceration and bruising on the left side of the head. There is anisocoria with the left pupil 3 mm more dilated than the right. Both pupils react sluggishly to light. There is an increase in tone and hyperreflexia in the right upper and lower extremities. The patient is intubated and mechanically ventilated, head elevated to 30°, and sent for a CT scan. Which of the following management strategies should be used in this patient, considering his most probable diagnosis?
An 18-year-old man presents to the emergency department with complaints of sudden severe groin pain and swelling of his left testicle. It started roughly 5 hours ago and has been progressively worsening. History reveals that he has had multiple sexual partners but uses condoms regularly. Vital signs include: blood pressure 120/80 mm Hg, heart rate 84/min, respiratory rate 18/min, and temperature 36.6°C (98.0°F). Physical examination reveals that he has an impaired gait and a tender, horizontal, high-riding left testicle and absent cremasteric reflex. Which of the following is the best next step for this patient?
A 63-year-old female with known breast cancer presents with progressive motor weakness in bilateral lower extremities and difficulty ambulating. Physical exam shows 4 of 5 motor strength in her legs and hyper-reflexia in her patellar tendons. Neurologic examination 2 weeks prior was normal. Imaging studies, including an MRI, show significant spinal cord compression by the metastatic lesion and complete erosion of the T12 vertebrae. She has no metastatic disease to the visceral organs and her oncologist reports her life expectancy to be greater than one year. What is the most appropriate treatment?
A 25-year-old man is brought to the emergency department because of a 6-day history of fever and chills. During this period, he has had generalized weakness, chest pain, and night sweats. He has a bicuspid aortic valve and recurrent migraine attacks. He has smoked one pack of cigarettes daily for 5 years. He does not drink alcohol. He has experimented with intravenous drugs in the past but has not used any illicit drugs in the last two months. Current medications include propranolol and a multivitamin. He appears ill. His temperature is 39°C (102.2°F), pulse is 108/min, respirations are 14/min, and blood pressure is 150/50 mm Hg. Diffuse crackles are heard. A grade 3/6 high-pitched, early diastolic, decrescendo murmur is best heard along the left sternal border. An S3 gallop is heard. The remainder of the physical examination shows no abnormalities. Laboratory studies show: Hemoglobin 13.1 g/dL Leukocyte count 13,300/mm3 Platelet count 270,000/mm3 Serum Glucose 92 mg/dL Creatinine 0.9 mg/dL Total bilirubin 0.4 mg/dL AST 25 U/L ALT 28 U/L Three sets of blood cultures are sent to the laboratory. Transthoracic echocardiography confirms the diagnosis. In addition to antibiotic therapy, which of the following is the most appropriate next step in management?
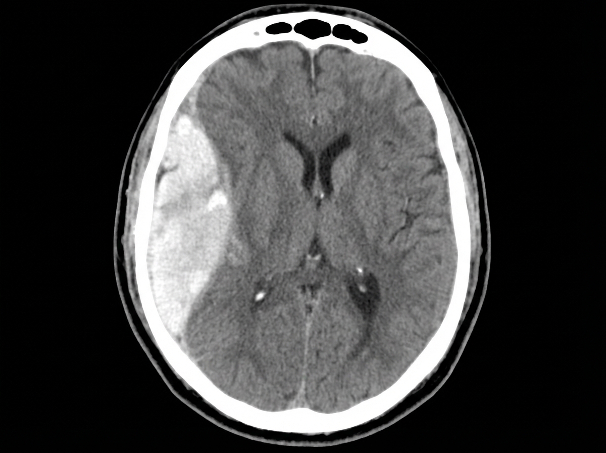
A 47-year-old man is admitted to the emergency room after a fight in which he was hit in the head with a hammer. The witnesses say that the patient initially lost consciousness, but regained consciousness by the time emergency services arrived. On admission, the patient complained of a diffuse headache. He opened his eyes spontaneously, was verbally responsive, albeit confused, and was able to follow commands. He could not elevate his left hand and leg. He did not remember the events prior to the loss of consciousness and had difficulty remembering information, such as the names of nurses or doctors. His airway was not compromised. The vital signs are as follows: blood pressure, 180/100 mm Hg; heart rate, 59/min; respiratory rate, 12/min; temperature 37.0℃ (98.6℉); and SaO2, 96% on room air. The examination revealed bruising in the right frontotemporal region. The pupils are round, equal, and show a poor response to light. The neurologic examination shows hyperreflexia and decreased power in the left upper and lower limbs. There is questionable nuchal rigidity, but no Kernig and Brudzinski signs. The CT scan is shown in the image. Which of the following options is recommended for this patient?

A 65-year-old man is brought to his primary care provider by his concerned wife. She reports he has had this "thing" on his eye for years and refuses to seek care. He denies any pain or discharge from the affected eye. A picture of his eye is shown below. Given the diagnosis, what are you most likely to discover when taking this patient's history?

A 31-year-old woman is brought to the emergency department 25 minutes after sustaining a gunshot wound to the neck. She did not lose consciousness. On arrival, she has severe neck pain. She appears anxious. Her temperature is 37°C (98.6°F), pulse is 105/min, respirations are 25/min, and blood pressure is 100/70 mm Hg. Pulse oximetry on room air shows an oxygen saturation of 96%. She is oriented to person, place, and time. Examination shows a bullet entrance wound in the right posterior cervical region of the neck. There is no exit wound. Carotid pulses are palpable bilaterally. There are no carotid bruits. Sensation to pinprick and light touch is normal. The lungs are clear to auscultation. Cardiac examination shows no murmurs, rubs, or gallops. In addition to intravenous fluid resuscitation, which of the following is the most appropriate next step in the management of this patient?
A 41-year-old man is brought to the emergency department 3 hours after falling while mountain biking and hitting his head. Initially, he refused treatment, but an hour ago he began to develop a severe headache, nausea, and left leg weakness. He has no visual changes and is oriented to person, time, and place. His temperature is 37°C (98.6°F), pulse is 68/min, respirations are 17/min and regular, and blood pressure is 130/78 mm Hg. Examination shows a 5-cm bruise on the right side of his skull. The pupils are equal, round, and reactive to light and accommodation. Muscle strength is 0/5 in his left knee and foot. Which of the following is the most likely cause of this patient's presentation?
A 27-year-old woman presents with right knee pain over the last 3 weeks. The pain is moderate in severity but makes any physical activity that involves bending her knee extremely uncomfortable. Her pain worsens with running and squatting, in particular. The patient has no history of medical conditions nor does she have any immediate family member with a similar condition. At the physician's office, her vitals are normal. On physical examination, there is localized pain in the right anterior knee. There are no passive or active movement limitations at her knee joint. Erythema, swelling, and crepitations are not present. Which of the following is the best option for definitively managing this patient's condition?
Explanation: ***Sepsis*** - This patient has undergone **major abdominal surgery** after a **gunshot wound**, which carries a high risk of **peritoneal contamination** and subsequent infection. - He also has several risk factors for sepsis, including **intubation**, central line placement, and possibly prolonged ventilation, all of which increase the risk of nosocomial infections and subsequent sepsis. *Mesenteric ischemia* - While possible in critically ill patients, there is no direct evidence such as advanced age, atherosclerosis, or specific signs of **bowel ischemia** (e.g., severe abdominal pain disproportionate to exam, bloody diarrhea) presenting in this case. - The initial injury was to the small bowel, but the current context points more to systemic complications rather than a focal vascular event. *Hypocalcemia* - Hypocalcemia can occur in critically ill patients due to various reasons, but it is not the *most likely* complication given the patient's presentation primarily focused on surgical trauma and subsequent interventions. - Dilutional effects from massive transfusions or **citrate toxicity** could contribute to temporary hypocalcemia, but sepsis poses a more immediate and widespread threat. *Refeeding syndrome* - Refeeding syndrome occurs when severely malnourished patients are rapidly refed, leading to shifts in **electrolytes** (especially **phosphate**, potassium, magnesium). - Although the patient is starting **total parenteral nutrition (TPN)**, there's no indication of prior severe malnutrition, making sepsis a more prominent immediate concern due to the gunshot wound and surgery. *Cholelithiasis* - **Cholelithiasis** (gallstones) can be a long-term complication of total parenteral nutrition (TPN) due to gallbladder stasis. - However, it is unlikely to develop so acutely within a day of starting TPN and is thus not the most immediate or likely complication for this patient's acute critical state.
Explanation: ***Surgical evacuation*** - This patient presents with a classic picture of **epidural hematoma** (EDH) with signs of herniation, indicated by the rapid neurological decline, **anisocoria**, and contralateral motor deficits. **Urgent surgical evacuation** is the definitive treatment for EDH to relieve mass effect. - The rapid progression from responsive to severely neurologically compromised, coupled with a history of head trauma and a potential lucid interval, points to an expanding intracranial lesion requiring immediate decompression. *Middle meningeal artery embolization* - While the **middle meningeal artery** is often the source of bleeding in EDH, embolization is typically reserved for cases where surgery is contraindicated or as an adjunct for persistent bleeding, not as a primary definitive treatment in an unstable patient. - It does not immediately relieve the mass effect from a large, established hematoma, which is the acute life-threatening issue. *Ventricular drainage* - **Ventricular drainage** is primarily used to reduce **intracranial pressure** (ICP) in cases of **hydrocephalus** or intraventricular hemorrhage. - It is not the primary treatment for an epidural hematoma, which is an extra-axial collection of blood. *Decompressive craniectomy* - **Decompressive craniectomy** involves removing a portion of the skull to allow the brain to swell and reduce ICP, often used in cases of diffuse brain injury and intractable ICP elevation refractory to other measures. - In cases of an epidural hematoma with a treatable mass, **direct evacuation of the hematoma** and closure is preferred over decompressive craniectomy alone, although craniectomy might be needed if there's underlying brain swelling. *Conservative management with hyperosmolar solutions* - **Hyperosmolar solutions** (like mannitol or hypertonic saline) can acutely reduce ICP by drawing fluid from the brain, but they are a temporizing measure. - They are used to manage ICP while preparing for definitive treatment or in diffuse brain injury, not as a primary treatment for a large, surgically accessible mass lesion causing rapid deterioration and herniation.
Explanation: ***Surgery*** - The patient presents with classic signs of **testicular torsion**, including sudden severe groin pain, a tender, horizontal, high-riding testicle, and absent cremasteric reflex, which constitutes a surgical emergency. - Due to the onset of symptoms 5 hours ago, **immediate surgical exploration and detorsion** within 6 hours significantly increases the chances of testicular salvage. *Ultrasound of the scrotum* - While a scrotal ultrasound with Doppler flow can confirm the diagnosis of testicular torsion by showing **absent blood flow**, it should **not delay immediate surgical intervention**, especially when clinical suspicion is high. - Given the classic presentation and the time-sensitive nature of testicular torsion, delaying surgery for an ultrasound could lead to **irreversible testicular ischemia** and loss. *Analgesia and rest* - Administering analgesia and recommending rest would only **manage symptoms temporarily** without addressing the underlying pathology. - This approach would **delay definitive treatment** for testicular torsion, leading to prolonged ischemia and increased risk of testicular necrosis. *Antibiotics* - Antibiotics are indicated for **epididymo-orchitis**, which usually presents with a more gradual onset of pain, fever, and a positive cremasteric reflex. - The patient's presentation with acute, severe pain, and an absent cremasteric reflex, along with a normal temperature, makes infection less likely as the primary cause. *Urinalysis* - Urinalysis is primarily useful for diagnosing **urinary tract infections** or **kidney stones**, which can sometimes cause testicular pain. - However, the classic physical examination findings observed in this patient are much more indicative of testicular torsion, making urinalysis less of a priority compared to surgical consultation.
Explanation: ***Surgical decompression and postoperative radiotherapy*** - There is **spinal cord compression** by a metastatic lesion in a patient with a good prognosis (>1 year life expectancy) and rapidly progressive neurological deficits. **Surgical decompression** offers immediate relief of compression, while **postoperative radiotherapy** helps local tumor control. - This combined approach is superior in preserving neurological function and improving quality of life for patients with **epidural spinal cord compression (ESCC)** in this clinical context. *Palliative pain management consultation* - While pain management is important in cancer care, this option alone does not address the **progressive neurological deficits** due to spinal cord compression. - This patient's condition requires active treatment to prevent further neurological compromise and is not solely focused on comfort measures at this stage given her prognosis. *Spinal dose corticosteroids and clinical observation* - **Corticosteroids** can temporarily reduce edema around the spinal cord, but they do not resolve the mechanical compression caused by the eroded T12 vertebrae. - **Clinical observation** without definitive intervention risks irreversible neurological damage given the rapid progression of symptoms. *Radiation therapy alone* - While radiation therapy is effective for local tumor control, it may not provide **rapid enough decompression** for acute or rapidly progressing neurological deficits due to significant mechanical compression. - In cases of severe compression, such as bone erosion and cord involvement, surgery is usually needed prior to or in combination with radiation. *Chemotherapy alone* - **Chemotherapy** for breast cancer is a systemic treatment and may take time to reduce tumor burden, which is not suitable for urgent relief of **spinal cord compression**. - It does not provide immediate mechanical decompression and is generally not the primary treatment for acute ESCC, especially with bone involvement.
Explanation: ***Porcine valve replacement of the aortic valve*** - The patient presents with **infective endocarditis** (fever, history of IV drug use, bicuspid aortic valve) complicated by **severe aortic regurgitation** with **hemodynamic compromise** (wide pulse pressure 150/50 mmHg, diffuse crackles, S3 gallop indicating heart failure). The presence of heart failure, severe regurgitation, and hemodynamic instability are **class I indications for urgent surgical valve replacement** in infective endocarditis. - For this **25-year-old with a history of IV drug use**, a **bioprosthetic (porcine) valve** is preferred over mechanical valve because it **avoids the need for lifelong anticoagulation**. In patients with **history of substance abuse**, there are significant concerns about **compliance with warfarin therapy** and the associated bleeding risks. Additionally, the risk of **recurrent endocarditis** from future IV drug use makes avoiding anticoagulation particularly important, as warfarin increases bleeding complications. - The **new diastolic murmur**, **S3 gallop**, and **low diastolic blood pressure (50 mmHg)** indicate critical hemodynamic compromise requiring prompt surgical intervention once antibiotic therapy is initiated. *Mechanical valve replacement of the aortic valve* - While mechanical valves offer **greater durability** and are often considered for young patients due to longevity (avoiding repeat surgery), they require **lifelong anticoagulation with warfarin**. - In this patient with **recent IV drug use history** (stopped only 2 months ago), there are significant concerns about **medication compliance** and the **high risk of bleeding complications** with anticoagulation. The risk of **recurrent IV drug use** and potential for trauma also makes anticoagulation particularly hazardous. - Though mechanical valve is a viable option, the **patient's social history** makes bioprosthetic valve the safer choice despite his young age. *Transcatheter aortic valve implantation (TAVI)* - **TAVI** is primarily indicated for **aortic stenosis** in elderly or high-surgical-risk patients, not for **aortic regurgitation** in young patients. - The presence of **active infection** is a **relative contraindication** to TAVI due to risk of seeding the new prosthetic valve and technical challenges with valve seating in an inflamed annulus. *Repeat echocardiography in 4 weeks* - Delayed follow-up would be appropriate for **stable, medically managed endocarditis** or mild valve dysfunction. - This patient has **acute, severe heart failure** with hemodynamic instability requiring **urgent surgical intervention**, not watchful waiting. *Cardiac MRI* - While cardiac MRI provides detailed anatomical and functional information, it is **not indicated** when the diagnosis has already been **confirmed by echocardiography** and the patient requires **urgent surgical management**. - Further imaging would only delay necessary treatment in a hemodynamically unstable patient.
Explanation: ***Surgical evacuation of the clots*** - The CT scan image shows a **biconvex (lenticular) hyperdensity** consistent with an **epidural hematoma (EDH)**, which typically results from arterial bleeding (often from the **middle meningeal artery**). This patient's **"lucid interval"** (initial loss of consciousness, regain consciousness, then deterioration) is classic for EDH. - Given the patient's neurological deterioration (left-sided weakness, pupillary changes, confusion, memory issues) and signs of increased intracranial pressure (hypertension, bradycardia - part of Cushing's triad), urgent surgical evacuation of the hematoma is indicated to relieve pressure and prevent herniation. *Lumbar puncture* - A lumbar puncture is **contraindicated** in the setting of suspected or confirmed **increased intracranial pressure (ICP)**, as it can precipitate **cerebral herniation**. - The CT scan clearly demonstrates a space-occupying lesion, making a lumbar puncture unnecessary and potentially dangerous. *Decompressive craniectomy* - While decompressive craniectomy is a neurosurgical procedure used to reduce ICP, it is generally considered when other measures have failed or in cases of **diffuse brain swelling** or large **intracerebral hematomas** not amenable to simple evacuation. - In this case of a localized epidural hematoma with a clear surgical target, direct evacuation is the primary and most effective intervention. *Administration of levetiracetam* - Levetiracetam is an **anticonvulsant** used to prevent seizures. While seizures can occur after traumatic brain injury, there is no indication that the patient is currently seizing. - Prophylactic anticonvulsants are sometimes used in severe TBI, but addressing the life-threatening hematoma takes **precedence** over seizure prophylaxis. *Administration of methylprednisolone* - **Corticosteroids** like methylprednisolone are generally **contraindicated** in traumatic brain injury (TBI) as studies have shown **worse outcomes** and increased mortality. - They are primarily used for their **anti-inflammatory effects** in conditions like spinal cord injury or vasogenic edema from tumors, not for acute head trauma with hematoma.
Explanation: ***He grew up in Ecuador, where he worked outdoors as a farmer for 30 years*** - The image shows a **pterygium**, a triangular growth of conjunctival tissue that extends onto the cornea, often associated with chronic **UV exposure**. - A history of working outdoors in a sunny climate like Ecuador strongly supports the development of a pterygium due to **sunlight exposure** and **environmental irritants**. *He suffered from recurrent conjunctivitis in his youth* - While recurrent **conjunctivitis** can cause chronic ocular irritation, it is not typically associated with the fleshy, vascularized growth onto the cornea characteristic of a **pterygium**. - Conjunctivitis usually resolves without leaving such a specific corneal lesion. *He experienced shingles three years ago, with a positive Hutchinson's sign* - **Herpes zoster ophthalmicus** with Hutchinson's sign indicates involvement of the nasociliary nerve, which can lead to complications such as **keratitis**, uveitis, and glaucoma, but not a pterygium. - The lesion seen is morphologically distinct from sequelae of herpes zoster. *He suffered a burn to his eye while cleaning his bathroom with bleach 5 years earlier* - A **chemical burn** to the eye can cause significant corneal and conjunctival damage, including scarring, opacification, and symblepharon (adhesion of the conjunctiva to itself or the cornea). - However, it does not typically result in the characteristic triangular, vascularized tissue growth of a **pterygium**. *He was involved in a bar fight and experienced a ruptured globe 10 years ago* - A **ruptured globe** is a severe ocular trauma that would cause extensive damage, including vision loss, corneal and scleral lacerations, and intraocular contents prolapse, often leading to surgical repair and significant scar tissue. - This type of injury is inconsistent with the appearance of a **pterygium**, which is a chronic, benign growth, not an acute traumatic rupture.
Explanation: ***CT angiography*** - This patient has a **penetrating neck injury** with significant concern for vascular compromise given the mechanism (gunshot wound) and location (posterior cervical region). - **CT angiography** is the most appropriate initial imaging study to evaluate for **vascular injury** (e.g., artery dissection, pseudoaneurysm, active bleeding) and often provides information about potential airway or esophageal damage. *Laryngoscopy* - While airway injury is a concern with neck trauma, this patient has a **stable airway** (oxygen saturation 96%, no stridor, clear lungs). - Laryngoscopy is more indicated for direct evaluation of the **larynx and pharynx** if there are signs of airway compromise or difficulty breathing. *Surgical exploration* - **Surgical exploration** is typically reserved for patients with clear signs of **hemodynamic instability** or definitive evidence of significant injury (e.g., expanding hematoma, pulsatile bleeding) after initial imaging. - Given the patient's relative stability, a less invasive diagnostic approach is warranted first. *Barium swallow* - A **barium swallow** (esophagography) is used to evaluate for **esophageal injury**. - While esophageal damage is possible with a gunshot wound to the neck, CTA can often provide indirect evidence and is generally performed first due to the higher index of suspicion for vascular injury. *Esophagoscopy* - **Esophagoscopy** is a more invasive procedure for directly visualizing the esophagus. - It would be considered if there is suspicion for esophageal injury, especially after initial imaging, but **CTA is preferred first** for broader assessment of vascular and other structures.
Explanation: ***Epidural hematoma*** - The presentation of a **traumatic brain injury** with a **lucid interval** (initially alert, then deteriorating hours later) is the **classic presentation** of an epidural hematoma, typically caused by rupture of the **middle meningeal artery** following skull fracture. - **Left-sided weakness** indicates a lesion affecting the contralateral (right) motor cortex, consistent with a right-sided epidural hematoma at the site of the **5-cm bruise on the right side of his skull**. - The **rapid neurological deterioration** after a lucid interval is characteristic of **arterial bleeding** in the epidural space, which expands quickly and causes mass effect. - Epidural hematomas appear as **lens-shaped (biconvex)** collections on CT scan that do not cross suture lines. *Subdural hematoma* - Subdural hematomas typically result from tearing of **bridging veins** between the cortex and dural sinuses, causing slower **venous bleeding**. - They **rarely present with a classic lucid interval**; instead, they more commonly cause gradual symptom onset or are seen in elderly patients, alcoholics, or those on anticoagulation. - Acute subdural hematomas that occur in trauma usually present with **immediate symptoms** rather than a delayed lucid interval presentation. - On CT, subdural hematomas appear **crescent-shaped** and can cross suture lines. *Diffuse axonal injury* - **Diffuse axonal injury (DAI)** results from widespread shearing forces in the brain due to rotational acceleration-deceleration injury. - DAI typically causes **immediate and prolonged loss of consciousness** from the time of injury, not a lucid interval followed by deterioration. - Patients with DAI often remain comatose or in a persistent vegetative state, which is inconsistent with this patient's initial alertness. *Subarachnoid hemorrhage* - **Traumatic subarachnoid hemorrhage** presents with sudden, severe headache and often **meningeal signs** such as nuchal rigidity and photophobia. - While it can cause headache and nausea, it typically does not cause **focal motor deficits** as the primary presenting symptom. - The lucid interval with progressive focal neurological deficit points more toward an expanding extra-axial hematoma (epidural) rather than subarachnoid blood. *Cerebral contusion* - A **cerebral contusion** is bruising of brain parenchyma itself and can cause neurological symptoms depending on location and severity. - Contusions typically present with **immediate symptoms** at the time of injury rather than a lucid interval. - While contusions can worsen due to edema, the **classic lucid interval** followed by rapid deterioration with focal deficits is pathognomonic for epidural hematoma, not contusion.
Explanation: ***Quadriceps strengthening*** - The patient's symptoms of **anterior knee pain** worsening with running and squatting, without signs of inflammation or structural damage, are classic for **patellofemoral pain syndrome (PFPS)**. - **Quadriceps strengthening**, particularly of the vastus medialis obliquus, is the **mainstay of treatment** for PFPS to improve patellar tracking and reduce stress on the joint. *Colchicine* - **Colchicine** is primarily used to treat **gout** and sometimes pseudogout, conditions that involve crystal deposition and acute inflammation. - The patient's presentation lacks any signs of acute inflammation, swelling, or a history that would suggest a crystal-induced arthropathy. *Intra-articular glycosaminoglycan polysulfate injections* - **Intra-articular glycosaminoglycan polysulfate injections** are typically used in the management of **osteoarthritis**, primarily to reduce pain and improve joint function by providing components of cartilage. - The patient's young age, lack of crepitus, and absence of movement limitations make osteoarthritis an unlikely diagnosis. *Nonsteroidal anti-inflammatory drugs (NSAIDS)* - While **NSAIDs** can provide symptomatic relief for pain, they do not address the underlying biomechanical issues contributing to **patellofemoral pain syndrome**. - Long-term use of NSAIDs carries risks, and they are not considered a definitive management strategy for PFPS, which requires addressing muscle imbalances. *Intra-articular steroid injections* - **Intra-articular steroid injections** are used for conditions with significant inflammation within the joint, such as **rheumatoid arthritis** or **osteoarthritis with effusion**. - The patient's physical examination reveals no erythema, swelling, or other signs of inflammation, making steroid injections inappropriate and not a definitive treatment.
Explanation: ***Immediate surgical exploration*** - The patient presents with signs of **hemodynamic instability** (BP 85/60, pulse 110/min, agitation) and imaging findings consistent with **left renal artery avulsion** and devascularization (no enhancement of the left kidney, visible only proximally, extravasated blood). These findings necessitate immediate surgical intervention to control hemorrhage and assess kidney viability. - The goal is to revascularize the kidney if possible, perform a nephrectomy if the kidney is unsalvageable, and manage hemorrhage to stabilize the patient. *Observation with delayed repair* - This approach is typically reserved for **hemodynamically stable** patients with renal injuries, especially lower-grade injuries that do not involve complete vessel avulsion or ongoing significant hemorrhage. - Delaying intervention in a hemodynamically unstable patient with a presumed renal artery avulsion can lead to further decompensation, irreversible kidney damage, and increased mortality. *Conservative management* - **Conservative management** is appropriate for hemodynamically stable patients with minor renal injuries, such as contusions or small lacerations, or for very selected cases of more severe injuries that have spontaneously tamponaded and are not causing significant clinical compromise. - The patient's **hemodynamic instability** and direct evidence of renal artery injury preclude conservative management in this case. *Renal artery embolization* - **Renal artery embolization** is a highly effective, minimally invasive technique for controlling bleeding from renal injuries. However, it is primarily indicated for **hemodynamically stable patients** with contained hemorrhage or specific pseudoaneurysms/AV fistulas. - In a hemodynamically unstable patient with a complete renal artery avulsion and non-perfused kidney, embolization is unlikely to revascularize the kidney and may even hinder subsequent surgical repair if revascularization is deemed possible. Furthermore, it might not be sufficient to control diffuse or extensive bleeding associated with avulsion. *Renal artery embolization with delayed nephrectomy* - While embolization can precede nephrectomy in certain scenarios for better hemorrhage control, it is not the primary immediate step in a **hemodynamically unstable** patient with renal artery avulsion and a non-enhancing kidney. - The primary concern is the patient's instability, which requires immediate surgical control, and delaying nephrectomy after embolization often isn't feasible if the kidney is completely devascularized and the patient is unstable. The decision for nephrectomy typically occurs during the initial surgical exploration.
Explanation: ***MRI scan of the left knee*** - The patient's presentation with a **popping sound**, inability to run, **medial joint line tenderness**, limited extension, and a clicking sound suggests a **meniscal tear**, which is not visible on X-ray. - An **MRI scan** is the *most appropriate* next step as it is the **gold standard** for diagnosing meniscal tears and other soft tissue injuries of the knee. *Reassurance and follow-up* - This option is *inappropriate* given the clear signs and symptoms of a **significant knee injury** that warrants further investigation. - Delaying diagnosis and treatment could lead to **worsening of the injury** and chronic pain. *Arthrocentesis of the left knee* - Arthrocentesis involves aspirating joint fluid, which is primarily indicated for diagnosing **septic arthritis** or **gout**, neither of which is suggested by this patient's acute trauma history. - While a meniscal tear can cause an effusion, the primary diagnostic goal here is imaging the soft tissue injury, not analyzing synovial fluid. *Open meniscal repair* - **Open meniscal repair** is a surgical intervention, and it is *premature* to consider surgery before a definitive diagnosis is established. - The *most appropriate* initial step after physical exam and X-ray is often an MRI to confirm the pathology. *Arthroscopy of the left knee* - **Arthroscopy** is both a **diagnostic and therapeutic procedure**, but it is generally reserved after non-invasive imaging like MRI has been performed. - Although it can confirm a meniscal tear, an MRI is less invasive and can provide comparable if not superior detail for surgical planning.
Explanation: ***Perform carotid endarterectomy on left side only*** - The patient's symptoms (right-sided weakness) are consistent with **transient ischemic attacks (TIAs)** affecting the left cerebral hemisphere, fed by the **left carotid artery**. - Her left carotid artery shows **88% stenosis**, which is a high-grade stenosis in a symptomatic patient, warranting intervention like **carotid endarterectomy (CEA)** to prevent stroke. *Repeat carotid ultrasound in 6 months* - This approach is appropriate for **asymptomatic patients** with moderate stenosis (e.g., 50-79%) or for those with low-grade stenosis. - Given the patient's **symptomatic TIAs** and **high-grade stenosis (88%)** on the left, waiting 6 months would significantly increase her risk of stroke. *Perform carotid endarterectomy on both sides* - The patient's symptoms are localized to the right side, implicating the **left carotid artery**. - While the right carotid artery has 52% stenosis, it is currently **asymptomatic** and does not meet current guidelines for immediate surgical intervention. *Increase atorvastatin to 80 mg daily* - While **high-intensity statin therapy (atorvastatin 80 mg)** is crucial for **atherosclerosis management** and stroke prevention, it is not the primary next step for a symptomatic patient with high-grade carotid stenosis. - Medical therapy alone is insufficient to address the immediate stroke risk posed by the **88% left carotid stenosis**. *Perform carotid artery angioplasty with stenting (CAS)* - **Carotid artery stenting (CAS)** is an alternative to CEA, but it generally carries a **higher stroke risk** in older patients (over 70-75 years) and those without specific indications (e.g., high surgical risk for CEA, previous neck radiation, recurrent stenosis after CEA). - For an 81-year-old, **CEA is generally preferred over CAS** for symptomatic high-grade stenosis due to a lower risk of periprocedural stroke.
Explanation: ***Rotator cuff tear*** - The patient's inability to hold her arm up when asked to lower it slowly from 90 degrees of abduction (the **drop arm test**) is a classic sign of a significant **rotator cuff tear**. - **Weakness** and pain during active abduction, especially between 60 and 120 degrees, along with normal passive range of motion, further support this diagnosis. *Biceps tendinitis* - This condition typically presents with localized pain in the **anterior shoulder** or bicipital groove, often exacerbated by resisted forearm supination or shoulder flexion. - While it can cause pain with movement, it typically does not result in the marked **weakness** and inability to sustain abduction seen in this patient. *Calcific tendinitis* - Characterized by the deposition of **calcium crystals** within the rotator cuff tendons, leading to acute, severe pain, often worse at night. - While it causes pain with movement, it generally does not present with the specific weakness or positive drop arm test indicative of a **structural tear**. *Cervical radiculopathy* - Pain from cervical radiculopathy typically radiates down the arm, often accompanied by **neurological deficits** such as numbness, tingling, or weakness in specific dermatomes and myotomes. - The patient's pain is localized to the top of the shoulder, and her passive range of motion is normal, making **nerve root compression** less likely. *Subacromial bursitis* - This condition causes pain that is often reproduced with active and passive abduction, and a **lidocaine injection** into the subacromial space would typically provide at least temporary pain relief and improved range of motion. - The failure of the lidocaine injection to relieve pain and the positive **drop arm test** make isolated bursitis less likely, as these point to a more significant underlying structural issue.
Explanation: ***Invasive ductal carcinoma*** - The presentation of a persistent **nipple rash** and a subareolar mass with **axillary lymphadenopathy** is highly suggestive of **Paget's disease of the nipple**, which is almost always associated with an underlying invasive or non-invasive ductal carcinoma. - The mammogram showing **subareolar microcalcifications** further supports the presence of a ductal carcinoma, as these are common findings in ductal carcinoma. *Medullary carcinoma* - This is a rare type of breast cancer characterized by a relatively **good prognosis** and often seen in younger women, but it typically presents as a well-circumscribed mass and is less commonly associated with Paget's disease. - It often lacks the typical signs of Paget's disease and microcalcifications are less prominent. *Lobular carcinoma in situ* - This is a **non-invasive condition** that increases the risk of developing invasive cancer in either breast. - It does not typically present with a nipple rash, palpable mass, or axillary lymphadenopathy, as it is confined to the lobules and does not form a distinct mass or spread. *Ductal carcinoma in situ* - While **ductal carcinoma in situ (DCIS)** can be associated with Paget's disease and microcalcifications, the presence of a **palpable mass** and **axillary lymphadenopathy** strongly indicates an **invasive component** rather than just an in situ lesion. - Lymph node involvement signifies invasion beyond the basement membrane. *Invasive lobular carcinoma* - This type of cancer is characterized by its **diffuse growth pattern** and often presents as a subtle thickening or change in breast contour rather than a discrete palpable mass. - It is **less commonly associated with Paget's disease** and microcalcifications compared to ductal carcinomas.
Explanation: **MRI of the spine** - The patient presents with clear signs of a **spinal cord injury** (flaccid paralysis, absent reflexes, decreased sensation below the shoulders, severe neck pain after trauma). **MRI** is the most sensitive and specific imaging modality to visualize soft tissue injuries, including the spinal cord, ligaments, and disc herniations, which are crucial for diagnosing and guiding treatment for a spinal cord injury. - Given the patient's **hemodynamic stability** after initial resuscitation and intubation, and the suspicion of spinal cord injury, a thorough evaluation with MRI is the next appropriate step to delineate the extent and location of the injury. *Cervical x-ray* - While cervical X-rays are often performed in trauma cases, they have **limited sensitivity** for detecting all spinal injuries, especially soft tissue damage, ligamentous injuries, or non-displaced fractures. - In a patient with clear neurological deficits suggesting spinal cord involvement, X-rays alone are **insufficient** for a definitive diagnosis and treatment planning. *CT of the head* - A CT scan of the head would be appropriate if there were signs of a **head injury**, such as focal neurological deficits suggestive of intracranial pathology, or a change in mental status not fully explained by other injuries. - In this case, the predominant neurological signs point to a **spinal cord injury** rather than a primary head injury, making head CT a lower priority at this stage. *Intravenous dexamethasone therapy* - The use of high-dose corticosteroids like dexamethasone for acute spinal cord injury is **controversial** and its routine use is **not recommended** by current guidelines due to a lack of clear benefit and potential for harm. - Imaging to characterize the injury is a more urgent and appropriate step before considering any pharmacological interventions for spinal cord protection. *Placement of Foley catheter* - While a **Foley catheter** will likely be needed for this patient to manage neurogenic bladder dysfunction that often accompanies spinal cord injury, it is a supportive measure. - It does not address the immediate diagnostic need to characterize the spinal cord injury, which is paramount for guiding surgical or medical management and preventing further damage.
Explanation: ***Perform an ultrasound of the left breast*** - A palpable breast mass that is not visualized on a **mammogram**, especially in a woman with **dense breast tissue** or a small mass, warrants further imaging with **ultrasound**. - **Ultrasound** can differentiate between solid and cystic masses and guide biopsy if necessary, providing a clearer picture of the mass characteristics. *Repeat a mammogram in 6 months* - Delaying further evaluation for 6 months after a palpable and growing mass is inappropriate and could allow a potential malignancy to progress. - A repeated mammogram is unlikely to visualize a mass that was missed initially, especially if the issue is **breast density** or mass size. *Observe for 6 months and biopsy the mass if it persists* - Observing a **palpable and enlarging mass** for 6 months without further diagnostic imaging is medically negligent. - Biopsy should be considered based on initial imaging findings, not solely after prolonged observation, particularly for a growing mass. *Reassurance* - Reassurance is inappropriate given the presence of a **palpable, growing breast mass** which requires thorough investigation to rule out malignancy. - While many breast masses are benign, a new or changing mass cannot be simply dismissed without proper diagnostic workup. *Begin tamoxifen therapy* - **Tamoxifen** is used for **breast cancer treatment** or prevention, but it should only be initiated after a definitive diagnosis of cancer, which is currently lacking. - Starting empirical treatment without a confirmed diagnosis is not the correct approach as it delays diagnosis and potentially correct treatment.
Explanation: ***Open surgery*** - The patient presents with classic signs of **necrotizing fasciitis**, including rapid progression of skin changes (**necrotic patches**, **crepitus**), **severe pain out of proportion to examination**, **fever**, **tachycardia**, **hypotension**, and **confusion**, all of which indicate systemic toxicity and septic shock. - **Early surgical debridement** is critical for both diagnosis (biopsy for histology and culture) and treatment of necrotizing fasciitis, making it the most appropriate immediate step in establishing a definitive diagnosis and improving survival. *Computed tomography (CT) scan* - While CT scans can reveal **gas in soft tissues** and **fascial thickening** indicative of necrotizing fasciitis, they delay definitive treatment which is surgical debridement. - In a critically ill patient with rapidly progressing infection, the time spent for imaging can be detrimental and should only be performed if the diagnosis is unclear. *Response to empirical antibiotics* - Administering **empirical antibiotics** is crucial in managing sepsis, but it cannot definitively diagnose necrotizing fasciitis or address the rapidly progressing tissue destruction. - Delaying surgical debridement while awaiting a response to antibiotics in necrotizing fasciitis is dangerous and carries a very high mortality rate. *No further testing is indicated* - This statement is incorrect because, while the clinical picture strongly suggests **necrotizing soft tissue infection**, a definitive diagnosis requires **surgical exploration and debridement** with tissue biopsy and culture for pathogen identification. - The patient's critical condition warrants aggressive intervention, not a lack of further action or diagnostics. *Magnetic resonance imaging (MRI)* - While MRI is highly sensitive for detecting **soft tissue edema** and fluid collections, it is generally **not the preferred initial diagnostic tool** in an unstable patient with suspected necrotizing fasciitis. - MRI is time-consuming and often difficult to perform in critically ill patients, thereby delaying emergent surgical intervention.
Explanation: ***Split-thickness skin graft*** - A **split-thickness skin graft (STSG)** is appropriate for covering large, clean skin defects without exposed vital structures (e.g., bone, tendon, nerve). The wound on the dorsal ankle, after debridement and without signs of infection, meets these criteria. - STSGs are typically used on the ankle due to the limited availability of local tissue for other closure methods and offer good cosmetic and functional outcomes when the defect is over well-vascularized tissue. *Full-thickness skin graft* - **Full-thickness skin grafts (FTSGs)** are generally reserved for smaller defects where cosmetic appearance is paramount, such as on the face or hands, and when there is a good vascular bed. - They have a higher metabolic demand and lower take rate compared to STSGs, making them less suitable for larger areas or areas with potentially compromised vasculature like the lower leg. *Musculocutaneous flap* - A **musculocutaneous flap** involves transferring muscle, subcutaneous tissue, and skin, and is indicated when there is exposed bone, tendon, or hardware, or when substantial soft tissue bulk is required. - Since the question states a "skin defect" and no exposed vital structures, a musculocutaneous flap is an overly complex solution for this wound. *Free tissue transfer flap* - **Free tissue transfer flaps** are complex microsurgical procedures used for very large defects, composite tissue loss, or when local tissue options are unavailable, often involving revascularization. - This method is reserved for much more severe injuries or specific functional requirements, which are not suggested by the description of a simple skin defect. *Primary closure* - **Primary closure** is ideal for small, clean wounds with minimal tension where the edges can be directly approximated. - A "skin defect" on the dorsal ankle often implies a larger area of skin loss that cannot be closed primarily without excessive tension, especially given the limited skin mobility in the ankle region.
Explanation: ***Obtain a retrograde urethrogram (RUG), including a pre-injection kidney, ureter, and bladder (KUB) film*** - The combination of **blood at the urethral meatus**, a **high-riding ballotable prostate** on DRE, and a **pelvic fracture** are classic signs of a **urethral injury**, specifically a posterior urethral tear. - A **retrograde urethrogram (RUG)** is the gold standard diagnostic test to confirm urethral injury and determine its location and extent, which is crucial before any attempt at catheterization. *Insert a Foley catheter* - **Insertion of a Foley catheter is contraindicated** in suspected urethral injuries, as it can worsen a partial tear into a complete transection or create a false passage. - Doing so blindly could lead to further damage, stricture formation, and increased morbidity. *Take the patient emergently to the operating room and check for a urethral injury with IV indigo carmine* - This approach is premature before confirming the diagnosis and extent of urethral injury; **indigo carmine is used to assess ureteral integrity**, not urethral injury. - Surgical exploration for urethral injury as an initial step is typically reserved for cases where RUG cannot be performed or for severe complex injuries with other indications for immediate surgery. *Obtain a urinalysis to detect microscopic hematuria* - While microscopic hematuria would likely be present, it is a **nonspecific finding** and does not provide information about the integrity of the urethra itself. - It would not change the need for a RUG to assess for urethral injury in the presence of more specific signs. *Perform a suprapubic cystostomy* - A **suprapubic cystostomy** is the appropriate method for urinary diversion in a patient with a confirmed urethral injury if a Foley catheter cannot be safely placed. - However, it is an intervention chosen *after* diagnosing the injury with a RUG, not the initial diagnostic step itself.
Explanation: ***Excision and grafting*** * The burn is described as **dry, white, and leathery**, which are classic features of a **full-thickness (third-degree) burn**. * Full-thickness burns destroy all skin layers including the dermis, and typically have **loss of sensation** at the burn site due to nerve ending destruction. * **Excision and grafting** is the definitive treatment for full-thickness burns, involving removal of necrotic tissue and skin grafting to promote healing and prevent infection. * The patient has intact pulses and sensations in all extremities (indicating no compartment syndrome or vascular compromise), making her a good candidate for this procedure. *Bacitracin* * **Bacitracin** is an antibiotic ointment used for **superficial (first-degree) or minor partial-thickness burns**. * It is insufficient for a **full-thickness burn**, which requires surgical debridement and grafting for proper healing. *Amputation* * **Amputation** is reserved for cases of **irreversible tissue damage** with compromised vascularity, extensive non-viable tissue, or severe crush injuries. * This patient has **intact pulses and sensations in all extremities**, indicating the limb is viable and perfused, making amputation inappropriate. *Mafenide acetate* * **Mafenide acetate** is a topical antimicrobial agent that penetrates eschar and can be used for deep burns to prevent infection. * While useful as adjunctive therapy, it does **not replace the need for surgical excision and grafting**, which is the definitive treatment for full-thickness burns. *Pain relievers* * **Pain relievers** are important supportive care for burn patients but are **not definitive treatment**. * They manage symptoms but do not address the underlying need for debridement and wound closure through grafting.
Explanation: ***Circumcision*** - **Circumcision**, especially when performed in infancy, is strongly associated with a **reduced risk** of penile squamous cell carcinoma (SCC). - This protective effect is thought to be due to improved penile hygiene, which prevents chronic inflammation and the accumulation of smegma, both risk factors for SCC. - Circumcision also reduces the risk of phimosis and HPV infection. *Smoking* - **Smoking** is a well-established **risk factor** for many cancers, including penile SCC. - Carcinogens in tobacco smoke can directly damage DNA and contribute to the development of malignant cells. *Having frequent intercourse* - While frequent intercourse itself is not directly protective, certain sexual practices increase the risk of sexually transmitted infections (STIs), particularly **HPV**. - The risk is more closely tied to exposure to **high-risk HPV types**, rather than the frequency of intercourse. *UV light treatments for psoriasis* - **PUVA therapy** (psoralen plus ultraviolet A light) used to treat psoriasis is a **known risk factor** for genital squamous cell carcinoma, not a protective factor. - Chronic UV exposure from PUVA can cause DNA damage and increase malignancy risk in genital skin. *Testing positive for HPV 16 or 18* - Infection with high-risk human papillomavirus (HPV) types, particularly **HPV 16 and 18**, is a **major risk factor** for penile SCC, not a reduced risk. - HPV 16 and 18 are responsible for a significant percentage of penile SCC cases.
Explanation: ***Epidural hematoma*** - The initial **loss of consciousness** followed by a lucid interval, and then subsequent neurological deterioration (vomiting, headache, seizure, bradycardia, hypertension), is classic for an **epidural hematoma**. - This condition typically occurs after head trauma, often involving the **middle meningeal artery**, and presents with a characteristic biconvex shape on imaging. *Idiopathic intracranial hypertension* - This condition presents with symptoms of increased intracranial pressure, but it is not typically associated with **acute head trauma** or a rapid decline in neurological status. - It is more common in **obese women** of childbearing age and often presents with chronic headaches and visual disturbances. *Subarachnoid hemorrhage* - While a subarachnoid hemorrhage can cause sudden severe headache and can be precipitated by trauma, the classic presentation is a **"thunderclap headache"** and often involves meningeal irritation. - It typically does not demonstrate the classic **lucid interval** seen in this patient's presentation. *Intracerebral hemorrhage* - An intracerebral hemorrhage can lead to neurological deficits and seizures, but it would not typically present with a **lucid interval** after initial loss of consciousness if it were the primary injury from trauma. - Traumatic intracerebral hemorrhages are usually **deeper parenchymal bleeds** without the characteristic temporal bone fracture association seen in epidural hematomas. *Ischemic stroke* - An ischemic stroke is caused by a **blockage of blood flow** to the brain, leading to tissue death. - It is highly unlikely to result from **acute head trauma** in a young, healthy individual with no risk factors for stroke.
Explanation: ***Radical inguinal orchiectomy*** - This is the appropriate initial management for suspected testicular cancer, allowing for **pathological confirmation** while preventing tumor cell spread via testicular lymphatic drainage. - The suspected nature of the mass (hypoechoic, homogeneous, sharp margins, and lymph node involvement) points towards a **malignant tumor**, making surgical removal via an inguinal approach critical. *Radiation therapy* - This is typically used for **adjuvant treatment** in certain types of testicular cancer, especially seminomas, after the primary tumor has been removed. - It is not the initial treatment for an unconfirmed testicular mass and would not provide the necessary **histological diagnosis**. *Open testicular biopsy* - An open testicular biopsy is generally avoided due to the risk of **tumor seeding** into the scrotum or inguinal region, which can alter lymphatic drainage patterns and complicate staging. - **Radical inguinal orchiectomy** allows for complete tumor removal and pathological diagnosis without these risks. *Systemic polychemotherapy* - Chemotherapy is indicated for **metastatic testicular cancer** or as adjuvant therapy for high-risk tumors, not as the primary treatment for the initial testicular mass. - It is usually administered after the primary tumor has been removed and the **histology and stage** are known. *Scrotal orchiectomy* - Similar to an open testicular biopsy, a scrotal orchiectomy is contraindicated for suspected testicular cancer due to the high risk of **scrotal contamination** and altered lymphatic drainage. - This approach can increase the chances of local recurrence and **poor prognosis**.
Explanation: ***Normal saline*** - The patient is in **hypovolemic shock** due to **hemorrhage** from trauma, as indicated by profound **hypotension**, **tachycardia**, and **altered mental status** after a significant mechanism of injury. - **Rapid intravenous infusion of isotonic crystalloids** like **normal saline** is the initial and best treatment to expand intravascular volume and restore perfusion in hypovolemic shock. *Whole blood* - While ultimately necessary for significant hemorrhage, **whole blood** or **packed red blood cells** are not the immediate first-line intervention for initial volume resuscitation in the emergency setting due to the time required for cross-matching and administration. - **Crystalloids** are faster to administer and effective for initial stabilization before blood products are ready. *Steroids and neurosurgical intervention* - **Steroids** are generally not indicated for traumatic brain injury and can worsen outcomes. - While a **head injury** is present, **neurosurgical intervention** is not the initial treatment for **hypotension**; addressing shock is paramount before definitive neurological interventions. *Dobutamine* - **Dobutamine** is a positive inotrope primarily used for **cardiogenic shock** or heart failure to improve contractility, not for volume resuscitation in **hypovolemic shock**. - Administering it to a hypovolemic patient would only worsen their condition by increasing myocardial oxygen demand without addressing the underlying volume deficit. *Norepinephrine* - **Norepinephrine** is a **vasopressor** used to increase peripheral vascular resistance and blood pressure, often used in **distributive shock** (e.g., septic shock) or when fluid resuscitation alone is insufficient. - In **hypovolemic shock**, administering norepinephrine without adequate volume resuscitation can be detrimental as it constricts already depleted vessels, further compromising organ perfusion.
Explanation: ***Reassurance*** - The core biopsy showing **foam cells and multinucleated giant cells** is **pathognomonic for fat necrosis**, providing a definitive benign histological diagnosis. - While fat necrosis can mimic breast cancer clinically (hard mass, skin tethering) and radiologically (irregular mass with microcalcifications), **histological confirmation of fat necrosis excludes malignancy**. - Once the diagnosis is confirmed by core biopsy, **no further surgical intervention is necessary** - reassurance and clinical follow-up are appropriate. - Fat necrosis is a benign condition often related to trauma, prior surgery, or radiation, and does not require treatment unless symptomatic. *Wide excision of the lump* - Wide excision would be indicated if the biopsy showed **malignancy** or if the biopsy was **non-diagnostic**. - Since the core biopsy has already provided a definitive benign diagnosis (fat necrosis), surgical excision is unnecessary and would represent overtreatment. - The biopsy has already "definitively excluded malignancy" through histological examination. *Lumpectomy with axillary staging* - This is appropriate management for **confirmed invasive breast cancer**, not for biopsy-proven benign conditions. - The pathology showing foam cells and giant cells rules out malignancy, making this extensive surgical procedure inappropriate. *Neoadjuvant chemotherapy* - **Neoadjuvant chemotherapy** is used for **confirmed breast cancer** to downstage tumors before surgery. - Since the biopsy confirms a benign process (fat necrosis), chemotherapy has no role in management. *Modified radical mastectomy* - This extensive surgery is reserved for **invasive breast cancer**, particularly multicentric disease or cases where breast conservation is not feasible. - It is completely inappropriate for biopsy-proven benign disease.
Explanation: ***Fasciotomy*** - The patient's symptoms (severe pain, swelling, pain with passive dorsiflexion, weak pulses, pale/cool skin, and prolonged capillary refill) after a traumatic injury are highly suggestive of **acute compartment syndrome**. - **Fasciotomy** is the definitive treatment for acute compartment syndrome to relieve pressure and prevent irreversible tissue damage. *Above knee cast* - While a cast is used for immobilization of fractures, it would worsen **compartment syndrome** by externally compressing an already swollen limb. - This patient has signs of compartment syndrome which requires urgent surgical decompression, not just immobilization. *IVC filter placement* - **IVC filter placement** is indicated for preventing pulmonary embolism in patients with deep vein thrombosis (DVT) who have contraindications to anticoagulation. - There is no clinical evidence to suggest DVT in this patient, and the primary concern is acute compartment syndrome. *Low molecular weight heparin* - **Low molecular weight heparin (LMWH)** is an anticoagulant used for DVT prophylaxis or treatment. - It is not indicated for the immediate management of acute compartment syndrome and could increase the risk of bleeding in a patient who likely needs urgent surgery. *Open reduction and internal fixation* - **Open reduction and internal fixation (ORIF)** is a surgical procedure to stabilize complex fractures, which may be needed later for a tibial fracture if present. - However, the immediate priority is to address the limb-threatening acute compartment syndrome before performing definitive fracture repair.
Explanation: **_Absent distal radial pulse_** - A **supracondylar humerus fracture** with **anterior displacement of the proximal fragment** specifically puts the **brachial artery** at high risk of injury, as it courses anterior to the humerus in the antecubital fossa. - Injury to the brachial artery can lead to **vascular compromise** distally, manifesting as an **absent distal radial pulse**, which is a critical finding requiring immediate attention to prevent limb ischemia. *Radial deviation of the wrist* - **Radial deviation of the wrist** is often associated with problems involving the **ulnar nerve** or muscle imbalance, but not directly with supracondylar humerus fractures unless there is significant secondary nerve damage, which is not the primary expected complication. - While nerve damage can occur, direct radial deviation is not the most common or immediate finding following acute supracondylar fractures. *Atrophy of the thenar eminence* - **Atrophy of the thenar eminence** indicates **chronic median nerve compression** or injury. - This is a long-term neurological deficit and is highly unlikely to be an acute finding 30 minutes after a fall and fracture. *Inability to abduct shoulder* - **Inability to abduct the shoulder** suggests injury to the **deltoid muscle** or its innervation by the **axillary nerve**. - A supracondylar humerus fracture is located distally at the elbow and does not directly affect shoulder abduction mechanics or innervation. *Inability to flex the elbow* - **Inability to flex the elbow** would suggest injury to the **biceps muscle** or its innervation by the **musculocutaneous nerve**. - While nerve injury can occur, the primary concern with a displaced supracondylar fracture is often **vascular compromise**, and the ability to flex the elbow may be limited by pain and swelling, but not necessarily by nerve transection or severe muscle damage acutely.
Explanation: ***Retrograde cystography*** - The presence of **gross hematuria** in a patient with a **pelvic fracture** necessitates ruling out **bladder injury**. A retrograde cystography directly visualizes the bladder and can detect extravasation of contrast if a bladder rupture is present. - This imaging study specifically investigates the bladder using retrograde contrast filling, which is crucial for diagnosing **intraperitoneal** or **extraperitoneal bladder rupture**. *Intravenous pyelography* - This study evaluates the **kidneys** and **ureters** for injury, but the primary concern with gross hematuria and pelvic fracture is the bladder. - An IV pyelogram provides less detailed imaging of the bladder compared to a retrograde cystogram and is less effective for detecting bladder rupture. *External fixation of the pelvis* - While the patient has a pelvic fracture, the immediate priority in a hemodynamically stable patient with gross hematuria is to identify and manage potential **life-threatening urologic injuries** before definitive orthopedic repair. - **Pelvic external fixation** is primarily indicated for **unstable pelvic fractures** or those causing significant hemorrhage, neither of which is explicitly described as an immediate concern requiring intervention before urologic evaluation. *Cystoscopy* - **Cystoscopy** is an endoscopic procedure that allows direct visualization of the bladder's interior. While it can identify bladder injuries, it is generally considered after imaging studies like **retrograde cystography** to confirm findings or address specific issues like clot evacuation or stent placement. - The initial diagnostic step should focus on assessing for rupture via contrast study, which is often less invasive than a direct endoscopic procedure in the acute trauma setting. *Retrograde urethrography* - **Retrograde urethrography (RUG)** is used to evaluate for **urethral injury**, especially when there is blood at the urethral meatus, a high-riding prostate, or an inability to pass a Foley catheter. - The patient's Foley catheter was successfully placed, and there was **no blood at the urethral meatus**, making urethral injury less likely and thus RUG a lower priority as the initial step compared to assessing for bladder injury.
Explanation: ***Duplex ultrasonography*** - The patient has suffered a **gunshot wound** to the thigh with a **diminished pedal pulse**, indicating potential **vascular injury** (a "soft sign" requiring imaging). - Given his **significantly elevated creatinine (3.1 mg/dL)** and **type 1 diabetes mellitus**, imaging studies requiring **IV iodinated contrast** carry substantial risk for **contrast-induced nephropathy** and further renal deterioration. - **Duplex ultrasonography** is a **non-invasive, contrast-free method** to assess vascular flow and identify injuries like **arterial dissection**, **thrombosis**, or **pseudoaneurysm**. While operator-dependent, it is the most appropriate initial diagnostic step in this hemodynamically stable patient with significant renal impairment. - This allows vascular assessment while **minimizing nephrotoxic risk** in a patient with pre-existing renal dysfunction. *CT angiography* - **CT angiography** is the **gold standard** for evaluating penetrating extremity trauma with soft signs of vascular injury in most cases, offering rapid and highly accurate vascular imaging. - However, it requires administration of **intravenous iodinated contrast**, which poses significant risk for **contrast-induced nephropathy** in this patient with **baseline creatinine of 3.1 mg/dL** and **diabetes mellitus**. - While CTA would typically be preferred in trauma settings, the severe renal impairment makes duplex ultrasonography the safer initial choice in this stable patient. *Digital subtraction angiography* - This is an **invasive angiographic technique** that uses **iodinated contrast** and carries even higher contrast load than CTA, posing substantial risk for **contrast-induced nephropathy** given the patient's **elevated creatinine**. - While it offers high resolution and therapeutic capability, the risks associated with contrast and invasive arterial access outweigh its benefits for initial assessment in this scenario. - Reserved for cases where intervention is anticipated or non-invasive imaging is inconclusive. *Wound cleaning and tetanus toxoid* - These are essential components of wound care for any penetrating injury but do not address the immediate concern of **potential vascular injury** causing the diminished pedal pulse. - Prioritizing definitive diagnosis of vascular compromise is critical before focusing solely on local wound management, as a missed arterial injury could lead to limb loss. *Fasciotomy* - **Fasciotomy** is a surgical procedure to relieve **compartment syndrome**, which can develop secondary to vascular injury, reperfusion, or significant soft tissue trauma. - While compartment syndrome is a risk with this injury, there is no immediate clinical evidence of it (no severe pain out of proportion to exam, no tense compartments documented). - Diagnosis of the vascular injury should be established first, as fasciotomy may be needed later if ischemia is prolonged or after revascularization.
Explanation: ***Emergency laparotomy*** - The patient presents with **hypotension (83/62 mmHg), tachycardia (131/min)**, diffuse abdominal tenderness, and signs of significant trauma (diffuse bruising, superficial lacerations, motor vehicle accident with roll-over). Despite receiving **several liters of intravenous fluids, her blood pressure does not improve**, indicating ongoing hemodynamic instability likely due to uncontrolled intra-abdominal bleeding. - An **equivocal FAST exam** in a hemodynamically unstable patient, coupled with failure to respond to fluid resuscitation, necessitates immediate surgical intervention to identify and control the source of hemorrhage, making **emergency laparotomy** the most appropriate next step. *Diagnostic laparoscopy* - While diagnostic laparoscopy can be used to evaluate abdominal injuries, it is a **minimally invasive procedure** that may not be suitable for a hemodynamically unstable patient with suspected active hemorrhage, as it can be time-consuming and risks missing larger bleeders. - In this patient's unstable condition, a **more rapid and definitive intervention** is required to control bleeding. *Chest radiograph* - A chest radiograph is important for evaluating intrathoracic injuries, but the patient's presentation of **abdominal tenderness, diffuse bruising over her abdomen, and equivocal FAST exam** points more towards an abdominal source of instability. - While it might be performed as part of a trauma workup, it is **not the best next step to address the immediate life-threatening abdominal bleeding** in a hemodynamically unstable patient. *Abdominal CT* - An abdominal CT scan is a valuable diagnostic tool for evaluating abdominal injuries but requires the patient to be **hemodynamically stable** to be safely transported to and through the scanner. - This patient's **persistent hypotension and tachycardia despite fluid resuscitation** indicate ongoing instability, making transport to CT potentially dangerous and delaying definitive treatment. *Diagnostic peritoneal lavage* - Diagnostic peritoneal lavage (DPL) is a highly sensitive test for detecting intra-abdominal hemorrhage but has largely been replaced by the **Focused Assessment with Sonography for Trauma (FAST) exam** in many trauma centers. - The FAST exam was already performed and was **equivocal**, and given the patient's clinical picture of instability, proceeding directly to **emergency laparotomy** is more efficient and life-saving than performing another diagnostic test that would delay definitive treatment.
Explanation: ***Posterior cruciate ligament*** - The mechanism of injury, falling on a **flexed knee** with direct impact to the **proximal tibia**, is classic for a **posterior cruciate ligament (PCL)** injury. - The finding of **8 mm of backward translation** of the foreleg with pressure applied to the proximal tibia (positive **posterior drawer test**) is diagnostic for PCL injury. *Anterior cruciate ligament* - **Anterior cruciate ligament (ACL)** injuries typically result from sudden stopping, pivoting, or direct blows to the **front of the knee**, often causing **anterior translation** of the tibia. - The **anterior drawer test** or **Lachman test** would show increased anterior translation, not posterior. *Medial collateral ligament* - **Medial collateral ligament (MCL)** injuries usually occur due to a force applied to the **outside of the knee** (valgus stress), causing instability on the medial side. - Associated with tenderness over the medial knee joint line and instability with **valgus stress testing**. *Lateral collateral ligament* - **Lateral collateral ligament (LCL)** injuries typically result from a force applied to the **inside of the knee** (varus stress), leading to instability on the lateral aspect. - Associated with tenderness over the lateral knee joint line and instability with **varus stress testing**. *Lateral meniscus* - **Meniscal injuries** often present with mechanical symptoms such as clicking, locking, or catching, and pain that might worsen with specific movements like twisting or squatting. - While a fall could potentially injure the meniscus, the specific finding of **posterior tibial translation** points more directly to a ligamentous injury.
Explanation: ***Ultrasound and fine needle aspiration*** - The presence of a **tender**, **fluctuant breast mass** with accompanying **fever** in a breastfeeding woman is highly suggestive of a **breast abscess**. - **Ultrasound-guided needle aspiration** is the **first-line treatment** for breast abscess according to current guidelines (ACOG, WHO). - This approach is **less invasive** than incision and drainage, allows for better cosmetic outcomes, and enables easier continuation of breastfeeding. - Aspiration can be **repeated if necessary**, and most abscesses (80-90%) resolve with aspiration plus antibiotics. *Incision and drainage* - While this was historically the standard treatment, it is now considered **second-line therapy** for breast abscesses. - Reserved for cases where **needle aspiration fails**, or for **complex/multiloculated abscesses**. - More invasive with greater tissue disruption and potentially more difficult breastfeeding recovery. *No intervention necessary* - The patient presents with clear signs of **infection** (fever, pain, erythema) and a **palpable abscess**, indicating urgent need for intervention. - Ignoring these symptoms could lead to worsening infection, systemic sepsis, or more complex surgical intervention. *Ice packs and breast pumping* - **Ice packs** and **breast pumping** are supportive measures for managing **mastitis** or engorgement but will not resolve a formed **abscess**. - These interventions would delay appropriate treatment and potentially worsen the infection. *Vancomycin and discharge home* - **Antibiotics** like vancomycin are crucial adjunctive therapy for breast abscesses, especially considering potential **MRSA involvement**. - However, for a **fluctuant abscess**, antibiotics alone are insufficient without **drainage** (aspiration or incision); discharging without drainage is inappropriate.
Explanation: ***Splinting*** - This patient's symptoms are highly suggestive of **carpal tunnel syndrome (CTS)**, given the **pain and numbness** in the distribution of the **median nerve** (first three and a half digits) that is exacerbated by repetitive wrist movements (typing) and reproduced by **Tinel's sign** (tapping the wrist). - **Splinting** the wrist, especially at night, is the **first-line conservative treatment** for CTS, as it keeps the wrist in a neutral position, reducing pressure on the median nerve. *Local steroid injections* - While local steroid injections can provide **temporary relief** for CTS, they are typically considered if splinting and activity modification are unsuccessful. - They are not the **initial treatment** of choice due to potential side effects and the less invasive nature of splinting. *Carpal tunnel release surgery* - **Carpal tunnel release surgery** is a definitive treatment for CTS but is reserved for cases that fail conservative management, show signs of **thenar atrophy**, or have objective evidence of severe nerve compression on **electromyography/nerve conduction studies**. - It is an **invasive procedure** and not appropriate as a first-line intervention. *A trial of gabapentin* - **Gabapentin** is an anticonvulsant often used to treat **neuropathic pain**, but it is generally reserved for more generalized or refractory neuropathic conditions. - It is not the primary treatment for localized nerve compression like CTS when less invasive and more targeted options are available. *Short-acting benzodiazepines* - **Benzodiazepines** are primarily used for anxiety, insomnia, or muscle spasms and have **no direct role** in treating the underlying nerve compression or symptoms of carpal tunnel syndrome. - They do not address the pathology and carry risks of dependency.
Explanation: ***Hemothorax*** - The combination of **absent breath sounds**, **dullness to percussion** on the left, and **hypotension with flat neck veins** following trauma strongly suggests a massive hemothorax causing **hypovolemic shock** from significant blood loss into the pleural space. - The injury site at the **left fourth intercostal space** (midaxillary line) is a common location for vascular injury. Dullness to percussion indicates fluid (blood) accumulation, not air. - **Flat neck veins** are the key finding distinguishing hypovolemic shock (blood loss) from obstructive shock (tension pneumothorax or tamponade would cause distended neck veins). - Tracheal deviation away from the affected side can occur with massive hemothorax due to mediastinal shift from fluid accumulation. *Bronchial rupture* - While possible with severe trauma, bronchial rupture typically presents with significant **air leak**, leading to subcutaneous emphysema and persistent pneumothorax, rather than **dullness to percussion** (which indicates fluid, not air). - Usually causes **hyperresonance** on percussion, not dullness. Does not typically cause immediate massive hypovolemic shock with flat neck veins. *Cardiac tamponade* - Characterized by **Beck's triad**: hypotension, muffled heart sounds, and **distended neck veins** (due to impaired venous return). - This patient has **flat neck veins**, which rules out tamponade. Additionally, cardiac examination shows no abnormalities (would expect muffled heart sounds in tamponade). *Flail chest* - Involves **paradoxical chest wall movement** due to multiple rib fractures creating a free-floating segment. While it causes pain and respiratory distress, it does not explain absent breath sounds, dullness to percussion, tracheal deviation, or hypovolemic shock. - The primary issue is usually underlying pulmonary contusion, not massive blood loss into the pleural space. *Tension pneumothorax* - Classic presentation includes **absent breath sounds**, **hyperresonance to percussion** (air accumulation), **tracheal deviation** away from affected side, and **distended neck veins** (obstructive shock). - This patient has **dullness to percussion** (fluid, not air) and **flat neck veins** (hypovolemic, not obstructive shock), making tension pneumothorax incompatible with the clinical picture.
Explanation: ***In a sterile plastic bag wrapped in saline moistened gauze on ice*** - The amputated digit should be wrapped in **saline-moistened gauze** to prevent tissue desiccation and then placed in a **sterile plastic bag**. - This bag should then be placed on **ice** (indirect contact) to cool the tissue and minimize ischemic damage, preserving viability for potential re-implantation. *In a sterile bag of tap water* - Placing the digit directly in **tap water** can cause significant cellular damage due to osmotic differences, leading to cell lysis and making re-implantation less successful. - Tap water is also not sterile, increasing the risk of **infection** for the amputated part. *In the pocket of a coat or a jacket* - Transporting the digit in a pocket provides no **temperature control** or **sterility**, leading to rapid tissue degradation and increased risk of bacterial contamination. - This method offers no protection against **trauma or loss** of the amputated part. *Wrapped in a towel* - Wrapping the digit in a towel alone does not provide adequate **sterility** or **moisture**, leading to tissue desiccation and increased contamination risk. - A towel offers no means of **cooling** the tissue, which is crucial for preserving cell viability. *In a sterile plastic bag wrapped in saline moistened gauze* - While wrapping in **saline-moistened gauze** and a sterile bag is a good start, the absence of **cooling** (ice) significantly reduces the time window for successful re-implantation. - Without cooling, the **metabolic rate** of the tissue remains high, accelerating ischemic damage and tissue death.
Explanation: ***Aortic isthmus*** - The **aortic isthmus** is the most common site of blunt **aortic injury** due to its relative immobility compared to the more mobile ascending aorta and arch. The deceleration forces experienced in a motor vehicle collision can cause a shearing injury at this location. - The patient's **hypotension** and **tachycardia** are signs of significant hemorrhage, which is a common presentation of aortic injury. The chest wall hematoma also suggests significant trauma to the chest. *Papillary muscle* - Injury to the **papillary muscles** typically leads to severe **mitral regurgitation**, presenting with acute heart failure symptoms like pulmonary edema rather than primarily hypovolemic shock. - While possible in trauma, the primary symptoms would involve a new significant murmur and rapid deterioration of cardiac function due to valve incompetence. *Left main coronary artery* - A **left main coronary artery** injury would likely lead to acute **myocardial ischemia** or infarction, manifesting as severe chest pain, ECG changes indicative of ischemia, and potentially cardiogenic shock, not hypovolemic shock. - While trauma to the chest can cause coronary artery dissection, it is less common for blunt force to directly injure this artery without other, more widespread myocardial damage. *Inferior vena cava* - An injury to the **inferior vena cava (IVC)** would primarily cause severe internal bleeding, leading to hypovolemic shock. However, while possible, blunt force trauma to the chest is less likely to directly injure the retroperitoneal IVC without significant associated abdominal or lumbar spine injuries. - The chest wall hematoma and focus on the chest suggests damage within the thoracic cavity, making an aortic injury more probable given the mechanism. *Aortic valve* - An injury to the **aortic valve** could cause acute **aortic regurgitation**, leading to acute heart failure and potentially cardiogenic shock with a new diastolic murmur. - While possible, pure aortic valve injury from blunt trauma alone, without rupture of the aorta itself, is less common than aortic tear from shearing forces.
Explanation: ***Pericardiectomy*** - This patient presents with signs and symptoms of **constrictive pericarditis**, including **fatigue**, **abdominal distension** (ascites), **bilateral leg swelling** (edema), **jugular venous distension** (Kussmaul sign), and an **early diastolic knocking sound**. The **chest X-ray** demonstrating **pericardial calcification** (arrows) is highly suggestive of this condition. - As medical therapies are generally ineffective for constrictive pericarditis, **surgical pericardiectomy** (removal of the pericardium) is the definitive treatment to relieve the constriction and improve cardiac function. *Percutaneous aspiration with high-flow oxygen* - This treatment is typical for a **tension pneumothorax**, which involves air accumulation in the pleural space, compressing the lung and mediastinum. - The patient's symptoms and imaging, especially the chest X-ray showing pericardial calcification, are inconsistent with pneumothorax. *Pleurodesis* - **Pleurodesis** is a procedure used to prevent recurrent **pleural effusions** or **pneumothorax** by adhering the parietal and visceral pleura. - This patient's presentation points to pericardial, not pleural, pathology, and there is no mention of recurrent pleural effusions or pneumothorax. *Ibuprofen, plus colchicine* - This combination is the standard treatment for **acute pericarditis**, which is characterized by chest pain, pericardial friction rub, and EKG changes. - The patient's chronic symptoms, signs of fluid overload, and pericardial calcification indicate **constrictive pericarditis**, not acute inflammation, making anti-inflammatory agents ineffective. *Pericardiocentesis* - **Pericardiocentesis** is indicated for **pericardial tamponade** or large, symptomatic **pericardial effusions** to relieve pressure. - While fluid overload is present, the key underlying issue is chronic pericardial constriction due to calcification, not a large acute effusion amenable to simple drainage.
Explanation: ***Femoral artery aneurysm*** - A **pulsatile mass** with a **palpable thrill** and a **harsh continuous murmur** heard over the mass in the groin is highly indicative of an aneurysm with turbulent flow. - The patient's history of **smoking** and **hypercholesterolemia** are significant risk factors for **atherosclerosis**, which is the most common cause of peripheral aneurysms. *Femoral lymphadenopathy* - Lymphadenopathy typically presents as a **nontender, firm, rubbery mass** that is usually **non-pulsatile**. - It would not typically be associated with a **thrill** or a **harsh continuous murmur**, which are signs of vascular flow. *Femoral abscess* - An abscess would present with signs of **inflammation**, such as redness, warmth, tenderness, and possibly fever, none of which are mentioned here. - An abscess is typically a **non-pulsatile, fluctuant mass** and would not exhibit a thrill or a continuous murmur. *Femoral hernia* - A hernia is a protrusion of abdominal contents through a weakened area, often reducible and typically **non-pulsatile**. - A hernia would not characteristically present with a **thrill** or a **harsh continuous murmur**, which are vascular findings. *Arteriovenous fistula of the femoral vessels* - While an AV fistula can cause a **pulsatile mass**, **thrill**, and **continuous murmur**, it typically arises from trauma or iatrogenic injury, which is not present in this case. - An AV fistula would also likely involve more immediate symptoms and potentially distal ischemia or signs of venous congestion, which are not described.
Explanation: ***Thromboembolectomy*** - The sudden onset of severe leg pain, numbness, and weakness with absent pulses, a cold, pale limb, and an irregular pulse suggests **acute limb ischemia** likely due to an **arterial embolus**, which requires emergent surgical removal. - Given the symptoms and history of an irregular pulse (suggesting possible atrial fibrillation), a thromboembolectomy is the most appropriate first-line treatment to restore blood flow and prevent permanent damage. *Antibiotics* - Antibiotics are used to treat **bacterial infections** and are not indicated for acute limb ischemia caused by a vascular occlusion. - There are no signs of infection present, such as fever, redness, or purulent discharge, that would warrant antibiotic therapy. *Warfarin* - Warfarin is an **anticoagulant** used for long-term prevention of clot formation, particularly in conditions like atrial fibrillation or deep vein thrombosis. - While anticoagulation may eventually be part of management to prevent future events, it is insufficient as immediate therapy for an acute, established arterial embolus causing critical limb ischemia. *Fasciotomy* - Fasciotomy is performed to relieve **compartment syndrome**, which occurs when increased pressure within a muscle compartment compromises circulation and nerve function. - While compartment syndrome can be a complication of reperfusion after prolonged ischemia, it is not the primary treatment for the initial arterial occlusion; the first step is to restore blood flow to prevent the need for it. *Amputation* - Amputation is a last resort considered when the limb is **irreversibly ischemic** and non-viable, or when revascularization attempts have failed and there is extensive tissue necrosis or infection. - In this case, there is no significant tissue compromise or nerve damage mentioned, indicating that the limb is still salvageable with timely intervention.
Explanation: ***Retrograde urethrogram*** - The presence of **blood at the urethral meatus**, **difficulty urinating**, and a **pelvic fracture** are highly suggestive of a **urethral injury**. - A retrograde urethrogram is the appropriate diagnostic step to evaluate the integrity of the urethra before any attempt at catheterization. *IV pyelogram* - An IV pyelogram primarily assesses the **kidneys and ureters** for injury, which is not the immediate concern given the signs of urethral trauma. - It would not provide the necessary detail to evaluate the **urethra** itself. *Foley catheterization* - Attempting Foley catheterization in the presence of suspected urethral injury is **contraindicated** as it can worsen the injury or create a false passage. - The urethra needs to be assessed for integrity first to guide safe bladder drainage. *Contrast-enhanced CT scan of the abdomen* - While a CT scan of the abdomen might be performed later to assess other possible abdominal injuries, it is **not the primary imaging modality for urethral trauma**. - A CT scan would not adequately visualize the **urethra** to rule out an injury. *Retroperitoneal ultrasound* - A retroperitoneal ultrasound evaluates for **fluid collections** or **organ injury** in the retroperitoneum, but it is not the most effective method for diagnosing **urethral tears**. - It provides insufficient detail to assess the integrity of the urethra.
Explanation: ***Surgical evacuation*** - The CT scan reveals a **high-density, crescentic collection**, strongly indicative of an **acute subdural hematoma**, which is causing significant neurological deficits and mass effect (e.g., increased intracranial pressure symptoms like headache, nausea, vomiting, and altered mental status, and focal neurological signs). - Given the patient's **acute neurological decline**, significant mass effect from the 15-mm hematoma, and age, prompt **surgical evacuation** is the definitive treatment to relieve pressure and prevent further brain injury. *Recombinant tissue plasminogen activator administration* - **tPA** is indicated for **acute ischemic stroke**, not hemorrhagic stroke or subdural hematoma. Administering tPA in this context would be harmful, potentially worsening the hemorrhage. - The patient's CT scan clearly shows a **hemorrhagic lesion**, not an ischemic event. *Obtain an Electroencephalography* - **EEG** is primarily used to evaluate **seizure disorders** or certain types of encephalopathy. While the patient has altered mental status, the primary issue identified on CT is a subdural hematoma requiring immediate intervention. - EEG would not provide information relevant to the immediate management of an **acute subdural hematoma**. *Obtain an MRI of the head* - An **MRI** can provide more detailed imaging, but in the context of an **acute subdural hematoma** with significant neurological compromise, it would delay crucial and time-sensitive surgical intervention. - The **CT scan** has already provided sufficient diagnostic information to warrant immediate surgical planning. *Observation* - **Observation** is not appropriate for a patient with a rapidly expanding **acute subdural hematoma** causing significant neurological deficits and a 15-mm collection, especially given the patient's age and clinical presentation. - Delaying treatment would likely lead to further neurological deterioration, **herniation**, and potentially death.
Explanation: ***Obtain intraosseous access*** - The patient is in **hypotensive shock** (BP 90/48 mmHg, HR 150/min) after a severe trauma, and **IV access cannot be obtained**. **Intraosseous (IO) access** provides a rapid and reliable route for fluid and medication administration in emergent situations when peripheral IV access is difficult or impossible. - While central line placement is also a viable option, **IO access is generally faster and easier to establish** in an emergency setting by a wide range of providers, making it the **best initial step** when peripheral IV fails. *Reattempt intravenous access* - Although obtaining IV access is critical, the question states that it "is unable to be obtained," implying initial attempts have failed or are proving too difficult/time-consuming given the patient's critical state. - Persisting with repeated attempts risks significant delay in resuscitation, which is detrimental for a patient in shock. *Place a central line* - A central line provides reliable access for fluid and medication, but its placement is generally **more time-consuming** and technically challenging than IO access, especially in an agitated, unstable patient in a chaotic emergency setting. - The immediate priority is rapid access for fluids to address the patient's shock, for which IO is superior in terms of speed of establishment. *Administer oral fluids* - The patient is **unstable**, **incoherently responding**, and likely has significant internal injuries given the mechanism of injury (head-on collision, impalement). - Oral fluids would be **ineffective** and potentially dangerous (risk of aspiration) in this critical, hemodynamically unstable patient who requires immediate intravenous fluid resuscitation. *Exploratory laparotomy* - While the patient likely has significant internal injuries requiring surgical intervention (impalement, hypovolemic shock), an **exploratory laparotomy** is a definitive treatment step, not the *best next step in management* for immediate resuscitation. - **Hemodynamic stabilization** with fluid resuscitation must occur *before* or *simultaneously with* definitive surgical intervention to improve survival chances.
Explanation: ***Laceration of the liver*** - **Morrison's pouch** (hepatorenal recess) is located between the **liver and right kidney** in the **right upper quadrant**, making it the primary collection site for blood from **liver injuries**. - The presence of **free fluid in Morrison's pouch** on FAST exam is the classic finding for **hepatic trauma** with intraperitoneal bleeding. - **Vomiting** after resuscitation can occur with significant abdominal trauma and irritation from blood in the peritoneal cavity. - Liver lacerations are among the most common solid organ injuries in blunt abdominal trauma from motor vehicle accidents. *Laceration of the spleen* - While splenic injuries are common in blunt abdominal trauma, free fluid from splenic laceration typically collects in the **left upper quadrant** (splenorenal recess) or **left paracolic gutter** first, not primarily in Morrison's pouch. - Morrison's pouch is anatomically distant from the spleen, making this a less likely diagnosis with this specific FAST finding. *Duodenal hematoma* - A duodenal hematoma typically presents with **gastric outlet obstruction symptoms** like epigastric pain and persistent vomiting days after injury. - This injury is **retroperitoneal** and rarely causes significant **intraperitoneal free fluid** that would be detected in Morrison's pouch unless there is an associated perforation. *Rupture of the inferior vena cava* - A ruptured IVC would cause **massive retroperitoneal hemorrhage** and result in rapid circulatory collapse with profound shock. - This is a **retroperitoneal structure**, so bleeding would not typically present as free intraperitoneal fluid in Morrison's pouch. - The patient's ability to become responsive after resuscitation makes this catastrophic injury unlikely. *No signs of internal trauma* - The presence of **free fluid in Morrison's pouch** on FAST exam is definitive evidence of **intraperitoneal bleeding**, indicating significant internal trauma. - This finding directly contradicts the statement of no internal trauma, making this option clearly incorrect.
Explanation: ***Exploratory laparotomy*** - The patient presents with **multiple stab wounds** to the abdomen and signs of **hemorrhagic shock** (BP 74/54 mmHg, HR 180/min), which are clear indications for immediate surgical intervention. - An exploratory laparotomy allows for direct visualization and repair of internal injuries, which is critical in this life-threatening situation. *Diagnostic peritoneal lavage* - While DPL can detect intra-abdominal bleeding, it is an **invasive procedure** and may delay definitive treatment in a hemodynamically unstable patient with obvious penetrating trauma. - It is **less specific** than a laparotomy for identifying the exact location and nature of injuries, and it has largely been replaced by imaging studies or direct surgical exploration in unstable patients. *CT scan of the abdomen and pelvis* - A CT scan requires a **hemodynamically stable** patient and time for scanning and interpretation, which this patient does not have. - Delaying definitive treatment for imaging in a patient with severe shock could lead to worse outcomes. *Exploratory laparoscopy* - Although less invasive, laparoscopy can be time-consuming and may not be feasible or safe in a patient with **profound hemorrhagic shock** and extensive injuries, especially if major vascular or visceral damage is suspected. - Conversion to a **laparotomy** is often necessary in cases of significant injury, making immediate open exploration more efficient. *FAST exam* - A FAST exam can rapidly detect free fluid in the abdomen, suggesting internal bleeding, but it does **not provide specific information** about the source or extent of the injuries. - While useful in the initial assessment, a positive FAST exam in a hemodynamically unstable patient with penetrating trauma directly points to the need for immediate surgical intervention, not further diagnostic delay.
Explanation: ***NSAIDs and conservative measures*** - The patient presents with symptoms and MRI findings consistent with **rotator cuff tendinitis**, common in overhead athletes. Initial treatment should focus on **reducing inflammation** and pain, and promoting healing. - **NSAIDs** combined with conservative measures like **rest from inciting activities** and **ice application** are the mainstay of initial treatment for tendinitis, aiming to alleviate pain and improve function. *No further treatment is needed* - This option is incorrect because the patient is experiencing significant pain, limitation in his sport, and MRI findings of **tendinitis**, which warrants intervention. - Doing nothing would likely lead to worsening symptoms and potentially chronic issues, especially given his athletic demands. *Acromioplasty* - **Acromioplasty** is a surgical procedure typically reserved for cases of **subacromial impingement syndrome** that have failed extensive conservative management, or for larger, more symptomatic tears. - The patient's presentation suggests **tendinitis** without clear evidence of chronic impingement or a full-thickness tear requiring immediate surgical intervention. *Intra-articular corticosteroid injection* - **Corticosteroid injections** can provide temporary pain relief but are generally reserved for cases that have failed conservative therapy with oral NSAIDs and physical therapy. - They also carry risks like **tendon weakening** and potential for rupture, which is particularly concerning in an athlete with tendinitis. *Conservative measures (rest and ice)* - While **rest and ice** are crucial components of conservative management, this option is incomplete as it omits the important role of **NSAIDs** in managing the inflammatory component of tendinitis. - Simply resting and icing might not be sufficient for adequate pain control and inflammation reduction in an active individual with this degree of symptoms.
Explanation: ***Bilateral surgical procedure*** - This patient presents with classic signs of **testicular torsion**, including acute, severe testicular pain, an elevated and horizontally positioned testicle, and absence of the **cremasteric reflex**. - **Surgical exploration** is the definitive treatment for testicular torsion, involving detorsion of the affected testis and bilateral orchidopexy to prevent recurrence in the affected testis and torsion of the contralateral testis. *Ceftriaxone* - **Ceftriaxone** is an antibiotic used to treat bacterial infections, often combined with doxycycline for sexually transmitted infections like **epididymitis**. - Testicular torsion is a **surgical emergency** caused by twisting of the spermatic cord, not an infection, so antibiotics are not indicated as a primary treatment. *Ciprofloxacin* - **Ciprofloxacin** is a fluoroquinolone antibiotic used for various bacterial infections, including some urinary tract infections and epididymitis. - Testicular torsion requires immediate surgical intervention; antibiotics are ineffective as the pathology is **mechanical**, not infectious. *Manual detorsion* - **Manual detorsion** can be attempted as a temporary measure while preparing for surgery, but it is not definitive because it doesn't prevent recurrence. - Even if successful, **surgical exploration** and **fixation (orchidopexy)** are still required to confirm viability and prevent future episodes. *Surgical debridement* - **Surgical debridement** involves removing necrotic tissue, which might be necessary if testicular ischemia progresses to **necrosis**. - However, initially, the goal is to **restore blood flow** via detorsion and fixation; debridement would only be considered if the testis is non-viable after attempts to salvage the testis.
Explanation: ***Supracondylar humerus fracture*** - The classic presentation of a **fall on an outstretched arm** with **crepitus above the elbow** is highly indicative of a supracondylar humerus fracture. - **Decreased sensation along the thumb** and inability to make an **"OK" sign** points to **anterior interosseous nerve (AIN)** palsy, a common complication of this fracture type due to compression or injury. *Scaphoid fracture* - This fracture typically presents with **pain in the anatomical snuffbox** and occurs at the wrist, not above the elbow. - While it can result from a fall on an outstretched hand, it does not explain the crepitus above the elbow or the specific nerve palsy described. *Distal ulnar fracture* - This injury would cause pain and swelling at the **distal forearm/wrist**, not crepitus above the elbow. - Nerve involvement, if present, would typically affect the **ulnar nerve**, not the anterior interosseous nerve. *Distal radius fracture* - Also known as a **Colles fracture** when dorsal displacement is present, this injury occurs at the wrist and presents with pain and deformity there. - It does not account for the crepitus above the elbow or the specific AIN palsy symptoms. *Midhumerus fracture* - While a midhumerus fracture can occur from a fall on an outstretched arm and cause crepitus, it would be located in the **middle third of the upper arm**, not specifically above the elbow joint. - The specific AIN palsy is less commonly associated with mid-shaft humeral fractures, which are more likely to involve the **radial nerve**.
Explanation: ***Surgical repair*** - The presence of **mediastinal air** on CT scan and confirmation of **esophageal perforation** by contrast swallow study indicate a surgical emergency. - **Emergency surgical repair** is crucial to prevent widespread mediastinitis, sepsis, and potential mortality from corrosive ingestion. *Ceftriaxone* - While **antibiotics** like Ceftriaxone might be used as adjuncts to prevent infection, they are not the primary treatment for an established esophageal perforation. - Antibiotics alone will not address the structural defect or contain the leakage of corrosive material into the mediastinum. *Oral antidote* - For corrosive ingestions, administering an **oral antidote** is contraindicated as it can worsen tissue damage or induce vomiting, leading to further esophageal injury. - The immediate priority is managing the perforation, not neutralizing the corrosive agent internally. *Dexamethasone* - **Corticosteroids** like dexamethasone are sometimes considered in the management of corrosive ingestions to reduce stricture formation, but their role is controversial and they are not the initial treatment for an acute perforation. - In an active perforation, corticosteroids would not address the immediate life-threatening issue of mediastinal contamination. *Nasogastric lavage* - **Nasogastric lavage** is contraindicated in corrosive ingestions, especially with suspected or confirmed perforation. - Passing a tube could further injure the already damaged tissue and increase the risk of perforation or exacerbate an existing one.
Explanation: ***Stress fracture*** - The patient's presentation of worsening **forefoot pain** with activity (marathon training), tenderness over the **fifth metatarsal shaft**, and pain with pushing the fifth toe inwards strongly suggest a stress fracture. She is at high risk due to her frequent use of **stilettos** and intense physical activity. - **Stress fractures** often present with insidious onset of pain that worsens with activity and improves with rest, and localized tenderness over the affected bone. *Acute osteomyelitis* - This typically involves signs of **infection** such as fever, warmth, and systemic symptoms, which are not present in this patient. - While it can cause pain and swelling, the lack of an obvious portal of entry for infection and the activity-related nature of her pain make it less likely. *Morton's neuroma* - This condition is characterized by **neuropathic pain** in the forefoot, often described as burning or tingling, typically between the third and fourth toes. - The pain is usually exacerbated by tight shoes and relieved by removing shoes, but localized tenderness over a metatarsal shaft is not typical. *Freiberg disease* - This is an **osteochondrosis** that primarily affects the **second metatarsal head**, causing pain and stiffness, especially during weight-bearing. - The patient's pain is localized to the **fifth metatarsal shaft**, making Freiberg disease less likely. *Plantar fasciitis* - This condition causes pain on the **bottom of the heel**, particularly with the first steps in the morning or after a period of rest. - The current patient's pain is located in the **forefoot** and on a metatarsal shaft, which is inconsistent with plantar fasciitis.
Explanation: ***Lobular cancer is the most common breast cancer in males*** - This statement is **FALSE** and is the correct answer. The most common type of breast cancer in males is **invasive ductal carcinoma (IDC)**, accounting for about 80-90% of cases. - **Invasive lobular carcinoma** is rare in men because men have very few lobules in their breast tissue. *Gynecomastia may be caused by certain medications* - This statement is **TRUE**. Medications such as spironolactone, cimetidine, finasteride, antipsychotics, and anabolic steroids can cause gynecomastia. - However, the clinical presentation described (firm mass, nipple retraction, skin fixation, axillary nodes) is consistent with **malignancy**, not gynecomastia. *BRCA2 mutations are associated with increased risk* - This statement is **TRUE**. Male breast cancer is strongly associated with **BRCA2 mutations** (and less commonly BRCA1), which are hereditary. - Men with BRCA2 mutations have a 5-10% lifetime risk of developing breast cancer, compared to less than 0.1% in the general male population. *These are positive for estrogen receptor* - This statement is **TRUE**. A vast majority (over 90%) of male breast cancers are **estrogen receptor (ER) positive**, which makes them responsive to endocrine therapy. - This high rate of ER positivity is even greater than in female breast cancers. *Endocrine therapy plays an important role in treatment* - This statement is **TRUE**. Given the high prevalence of ER positivity (over 90%), endocrine therapy such as **tamoxifen** or aromatase inhibitors is a cornerstone of treatment for male breast cancer. - Endocrine therapy is used in both adjuvant and metastatic settings for hormone receptor-positive disease.
Explanation: ***Cricothyroidotomy*** - The patient has an actively bleeding airway that cannot be managed with suction, and **endotracheal intubation** failed, indicating a need for an **emergency surgical airway**. - **Cricothyroidotomy** is the most rapid and effective method to establish a definitive airway in such a circumstance, bypassing the upper airway obstruction caused by blood and trauma. *Continuous positive airway pressure (CPAP)* - **CPAP** provides positive pressure ventilation and is used for respiratory support in conditions like **sleep apnea** or **congestive heart failure**, not for airway obstruction due to trauma and bleeding. - It would not address the actively bleeding airway or the inability to ventilate, and could potentially worsen the situation by pushing blood further into the lungs. *Cardiopulmonary resuscitation* - **CPR** is indicated for **cardiac arrest** or profound bradypnea/apnea, which is not the primary issue here, as the patient still has a pulse and blood pressure. - While the patient's airway is compromised, his vital signs do not indicate the need for chest compressions or rescue breaths as the initial intervention. *Nasogastric tube* - A **nasogastric tube** is used for **gastric decompression** or **enteral feeding**, and it does not play a role in securing an airway in an emergency situation. - Attempting to place an NG tube would divert critical time and resources away from establishing a patent airway. *Endotracheal intubation* - **Endotracheal intubation** was already attempted and **failed** due to the patient's severe facial and neck trauma, and the continuous bleeding. - This option is therefore not viable, and a surgical airway is required as the next step.
Explanation: ***Avascular necrosis of the scaphoid bone*** - The patient's symptoms (wrist pain after a fall, decreased grip strength, and tenderness in the anatomical snuffbox—between the **extensor pollicis longus** and **extensor pollicis brevis** tendons) are classic for a **scaphoid fracture**. - X-rays may initially be normal, and the **scaphoid's tenuous blood supply**, primarily from its distal pole, makes its proximal pole particularly vulnerable to **avascular necrosis** following a fracture. *Hypesthesia of the hypothenar eminence* - This symptom is related to injury to the **ulnar nerve**, which typically affects the little finger and ulnar half of the ring finger, as well as the hypothenar eminence. - A scaphoid fracture does not directly impact the **ulnar nerve** distribution in this manner. *Paralysis of the abductor pollicis brevis muscle* - The **abductor pollicis brevis** muscle is innervated by the **median nerve**. - Injury to the median nerve would be required for its paralysis, which is not directly associated with a scaphoid fracture. *Contracture of the palmar aponeurosis* - This condition is known as **Dupuytren's contracture**, a painless progressive fibrosis of the **palmar aponeurosis**. - It results in flexion deformities of the digits and is not caused by acute trauma like a fall, nor is it a complication of a scaphoid fracture. *Osteoarthritis of the radiocarpal joint* - While wrist trauma can predispose to **osteoarthritis** in the long term, it typically develops over many years. - Avascular necrosis is a more immediate and severe complication following a **scaphoid fracture**, and is a distinct pathology from general osteoarthritis of the radiocarpal joint.
Explanation: ***Valgus stress test*** - The patient's presentation with a lateral blow to the knee while the foot was planted, tenderness over the **medial knee**, and an effusion strongly suggests an injury to the **medial collateral ligament (MCL)**. - The **valgus stress test** assesses the integrity of the MCL by applying an outward (valgus) force to the knee, checking for excessive gapping on the medial side. *Pivot shift test* - The **pivot shift test** primarily assesses for **anterior cruciate ligament (ACL)** instability, particularly rotational laxity of the tibia on the femur. - While an ACL injury is possible with this mechanism, the specific tenderness to palpation medially points more directly to an MCL injury. *Varus stress test* - The **varus stress test** evaluates the integrity of the **lateral collateral ligament (LCL)** by applying an inward (varus) force to the knee. - This patient's mechanism of injury (lateral blow) and medial tenderness are inconsistent with an isolated LCL injury. *Anterior drawer test* - The **anterior drawer test** assesses the integrity of the **anterior cruciate ligament (ACL)** by pulling the tibia forward on the femur. - While ACL injury is a concern with knee trauma, the focal tenderness on the medial side is not directly evaluated by this test. *Lachman's test* - **Lachman's test** is considered the most reliable clinical test for evaluating the integrity of the **anterior cruciate ligament (ACL)**, even in the acute setting with an effusion. - However, the primary findings of medial tenderness after a lateral blow specifically point to an MCL injury, which is best assessed by the valgus stress test.
Explanation: ***Irrigate with water*** - The immediate and most crucial step for a **chemical burn** is copious **irrigation with water** to remove the offending agent and prevent further tissue damage. - This action minimizes the duration of contact between the **corrosive substance** and the skin, halting the chemical reaction. *Apply split-thickness skin graft* - A **skin graft** is a surgical procedure typically reserved for **deep burns** and is not the immediate first step for chemical exposure. - It would be considered later in management if the burn resulted in **full-thickness tissue loss** and incomplete wound healing. *Apply silver sulfadiazine* - **Silver sulfadiazine** is an antimicrobial cream used to prevent infection in **thermal burns** after initial wound care. - It is not indicated as the first line of treatment for a **chemical burn** and would not remove the chemical agent from the skin. *Apply mineral oil* - Applying **mineral oil** is not the appropriate initial treatment for a **chemical burn** and could potentially trap the chemical, worsening the injury. - The priority is to dilute and remove the chemical, which mineral oil cannot do effectively. *Perform escharotomy* - An **escharotomy** is a surgical incision through burn eschar used to relieve pressure in **circumferential full-thickness burns** that compromise circulation. - This procedure is not indicated as the initial management for a **chemical burn** and is only considered for severe, deep burns with vascular compromise.
Explanation: ***Urgent needle decompression*** - The patient presents with sudden onset **respiratory distress**, **tracheal deviation** to the left (away from the affected right side), **decreased breath sounds** on the right, and **hypotension** with **tachycardia**. These are classic signs of a **tension pneumothorax**, which requires immediate needle decompression. - This is a life-threatening emergency where air accumulates in the pleural space under positive pressure, collapsing the lung and shifting mediastinal structures, compromising venous return to the heart. *D-dimer levels* - While helpful in the workup for pulmonary embolism, **D-dimer levels** are not relevant as the immediate next step for a patient in acute respiratory distress with clear signs of tracheal deviation and decreased breath sounds, which points toward a mechanical lung issue. - The patient's presentation with acute, severe respiratory symptoms and hemodynamic instability mandates immediate life-saving intervention. *Nebulization with albuterol* - **Albuterol** is used for bronchospasm, as seen in asthma or COPD exacerbations. This patient's symptoms are sudden and severe, with clear signs of a **tension pneumothorax**, which would not respond to bronchodilators. - There is no indication of wheezing or a history of reactive airway disease to suggest this as a primary treatment. *Chest X-ray* - A **chest X-ray** would confirm the diagnosis of tension pneumothorax. However, given the patient's severe respiratory distress, hypotension, and classic physical findings (tracheal deviation, absent breath sounds), performing an X-ray would delay life-saving intervention. - In a true tension pneumothorax, diagnosis is clinical, and immediate intervention takes precedence over imaging. *Heimlich maneuver* - The **Heimlich maneuver** is indicated for foreign body airway obstruction. The patient is verbally responsive, which indicates a patent airway, and there are no direct signs of choking on food. - Although the patient was having dinner, the distinct clinical signs of **tracheal deviation** and unilateral decreased breath sounds do not support an airway obstruction requiring the Heimlich maneuver.
Explanation: ***Presence of wet gangrene*** - The presence of **wet gangrene**, evidenced by black discoloration, blistering, and purulent discharge, indicates widespread tissue necrosis and severe infection. - Wet gangrene progresses rapidly and is associated with a high risk of **sepsis** and mortality, often necessitating amputation to save the patient's life. *Positive blood cultures* - While positive blood cultures for **Staphylococcus aureus** indicate a serious infection, they do not, by themselves, directly necessitate amputation. - They guide antibiotic therapy but do not confirm the extent of tissue damage (e.g., gangrene) that mandates amputation. *Diminished peripheral pulses* - **Diminished peripheral pulses** (1+ bilaterally) suggest peripheral artery disease, which contributes to poor wound healing and infection risk. - However, poor circulation alone is not an immediate indication for amputation; the presence of irreversible tissue death (gangrene) is the critical factor. *Poorly managed blood glucose* - **Poorly managed diabetes** is a significant risk factor for peripheral neuropathy, impaired immunity, and vascular disease, predisposing to foot infections. - While it contributes to the overall severity and complexity of the patient's condition, it is not an acute indication for amputation. *Smoking history* - A **20-pack-year smoking history** contributes to vascular disease and impaired wound healing, increasing the risk for foot complications. - This is a long-term risk factor and contributor to the patient's overall health status, but not an immediate surgical indication for amputation itself.
Explanation: ***Emergency laparotomy*** - The patient remains **hemodynamically unstable** (BP 97/62 mmHg, HR 115/min after 2L IV fluids) with evidence of **intra-abdominal fluid on FAST exam** (fluid in Morison's pouch). - This clinical picture indicates active intra-abdominal hemorrhage requiring **immediate surgical intervention** to identify and control the source of bleeding. *Diagnostic peritoneal lavage* - **Diagnostic peritoneal lavage (DPL)** has largely been replaced by the focused abdominal sonography for trauma (FAST) exam and CT scans. - While it can detect intra-abdominal bleeding, it is **invasive** and would delay definitive treatment in a hemodynamically unstable patient with positive FAST. *Upper gastrointestinal endoscopy* - This procedure is primarily for diagnosing and treating **upper gastrointestinal bleeding** or mucosal abnormalities. - It is **not indicated** for evaluating traumatic intra-abdominal hemorrhage or hemodynamic instability following blunt abdominal trauma. *Close observation* - Close observation is appropriate for **hemodynamically stable patients** with blunt abdominal trauma and minor injuries or equivocal findings. - This patient's persistent hypotension, tachycardia, and positive FAST findings rule out observation as a safe or appropriate next step. *Diagnostic laparoscopy* - **Diagnostic laparoscopy** is a minimally invasive surgical procedure used to evaluate the abdominal cavity. - While it can be diagnostic, it is generally **contraindicated in hemodynamically unstable patients** as it can prolong the time to definitive hemorrhage control if a major injury is found.
Explanation: ***Musculoskeletal ultrasound*** - The patient's symptoms (pain, inability to adduct arm after passive abduction to 90° - **positive drop arm sign**, limited external rotation, tenderness of the **greater tuberosity**) are highly suggestive of a **rotator cuff tear**. - **Ultrasound** is a validated imaging modality for assessing soft tissue structures like tendons and can readily identify rotator cuff tears with high sensitivity and specificity. - While **MRI is considered the gold standard** for rotator cuff evaluation, ultrasound is a reasonable initial imaging choice when available, especially given the failed diagnostic lidocaine injection pointing to structural pathology. - Ultrasound can demonstrate the presence, size, and location of rotator cuff tears and guide further management decisions. *CT scan of the shoulder* - A **CT scan** is primarily used for evaluating **bony structures** and complex fractures, which are not the primary concern here given the symptoms pointing to soft tissue injury. - While it can indirectly show rotator cuff pathology through secondary signs, it is **less sensitive** than ultrasound or MRI for direct visualization of tendon tears. - The x-ray findings (sclerosis) already provide adequate bony detail for this clinical scenario. *Reassurance* - Given the severe, persistent pain, functional deficit (inability to adduct - **positive drop arm sign**), and specific physical exam findings, **reassurance alone** is inappropriate and would delay necessary diagnosis and intervention. - The patient clearly has a significant underlying shoulder pathology requiring further investigation and likely treatment. *Surgical fixation* - **Surgical fixation** is a treatment, not a diagnostic step. It would only be considered after a definitive diagnosis, such as a severe rotator cuff tear, has been made with imaging confirmation. - The immediate next step should be diagnostic imaging to confirm the nature, extent, and characteristics of the suspected injury. *Biopsy of the humerus* - A **biopsy of the humerus** would be indicated if there was suspicion of a bony tumor or infection, which is not suggested by the patient's presentation. - The x-ray findings (sclerosis of acromion and humeral head) are consistent with chronic degenerative changes or impingement syndrome, not neoplastic or infectious processes. - The clinical picture clearly points to a **soft tissue injury** rather than primary bone pathology requiring biopsy.
Explanation: **Low-density areas within the splenic parenchyma** - The patient's history of trauma, initial left rib fractures, LUQ pain, and **Kehr's sign** (left shoulder pain from diaphragmatic irritation), followed by sudden decompensation and anemia, are highly indicative of **delayed splenic rupture**. - On CT scan, **low-density areas** (fluid collections or hematomas) within the splenic parenchyma or around the spleen are characteristic findings of splenic injury and rupture, including intraparenchymal hematomas or subcapsular hematomas. *Subdiaphragmatic air collection* - This finding suggests a **perforated viscus**, such as the stomach or intestine, allowing air to escape into the peritoneal cavity. - While blunt trauma can cause hollow organ injury, the patient's symptoms (Kehr's sign, LUQ pain, initial rib fractures) and the delayed presentation of hypovolemic shock are more consistent with splenic rupture than perforation. *Heterogeneous parenchymal enhancement of the pancreatic tail* - This symptom is indicative of **pancreatic injury**, which can occur with blunt abdominal trauma, especially with rapid deceleration. - However, the patient's presentation, particularly the prominent Kehr's sign and the context of left rib fractures, points more strongly towards splenic involvement rather than primary pancreatic injury. *Herniation of the stomach into the thoracic cavity* - This describes a **diaphragmatic rupture**, which can occur in severe blunt trauma and lead to gastric herniation. - While possible with severe trauma, the immediate presentation of **Kehr's sign** and the progressive symptoms are more characteristic of splenic rupture than an acute diaphragmatic hernia with gastric displacement. *Irregular linear areas of hypoattenuation in the liver parenchyma* - These findings suggest **hepatic lacerations** or hematomas, indicating liver injury. - Although liver injury is a common finding in blunt abdominal trauma, the patient's specific presentation of **left-sided pain**, **left shoulder pain**, and left rib fractures points preferentially to **splenic injury** rather than liver injury.
Explanation: ***A narrowing of the superficial femoral artery*** - The patient's history of **claudication** (pain relieved by dangling the foot) and severely diminished pulses (0 in dorsalis pedis and posterior tibial) in the left foot indicates significant **peripheral artery disease (PAD)**. - The superficial femoral artery is a common site for atherosclerotic narrowing, which would impede blood flow to the lower leg and foot, leading to **ischemic ulcers**. *An occluded posterior tibial artery on the left foot* - While there is diminished flow in the posterior tibial artery, the symptoms like **claudication** and the presence of a **painless ulcer** on the sole of the foot suggest a more proximal and significant arterial obstruction. - An isolated posterior tibial artery occlusion usually doesn't cause such widespread distal ischemia without involvement of other major arteries. *An occlusion of the first dorsal metatarsal artery* - An occlusion here would primarily affect the dorsal aspect of the foot or possibly the first toe, but it is unlikely to cause a **painless ulcer on the sole** of the foot or the described **claudication symptoms**. - While contributing to local ischemia, it's generally a more distal and less significant cause of such pervasive symptoms. *An occlusion of the deep plantar artery* - The deep plantar artery is a branch of the **dorsalis pedis artery** and primarily supplies the plantar arch and toes. - Its occlusion alone would not explain the severe **claudication** and diffuse absence of pulses in both the dorsalis pedis and posterior tibial arteries. *An absent dorsalis pedis pulse with an absent posterior tibial pulse in the left foot* - While this finding is present and crucial, it describes the *result* of significant ischemia in the foot, not the *principal cause*. - The underlying cause of these absent pulses and the resulting ulcer is a more proximal obstruction in the arterial supply to the lower limb.
Explanation: ***CT of the chest, abdomen, and pelvis*** - A suspected **traumatic diaphragmatic rupture** requires a comprehensive imaging study to assess the diaphragm, surrounding organs, and potential associated injuries. - **CT scan** of the chest, abdomen, and pelvis provides detailed anatomical information, can identify herniated abdominal contents, and is essential for surgical planning in trauma settings. *Chest fluoroscopy* - While fluoroscopy can detect diaphragmatic motion, it is **less sensitive** for identifying tears or herniated contents in the **acute trauma setting**. - It does not provide the comprehensive view of surrounding organs and associated injuries often needed in trauma. *Barium study* - A barium study is primarily used to evaluate the **gastrointestinal tract**, but it is generally **not the initial imaging modality** for diaphragmatic rupture due to its limited ability to visualize the diaphragm itself or other solid organ injuries. - It would be performed after suspicion is increased or for very specific indications, not as a primary diagnostic tool. *MRI chest and abdomen* - While MRI offers excellent soft tissue contrast, its use in **acute trauma** is limited by **longer acquisition times**, potential contraindications with metallic implants (though less common in acute trauma), and lower availability compared to CT. - CT remains the **gold standard** for rapid, comprehensive imaging in unstable trauma patients. *ICU admission and observation* - While observation in the ICU is important for monitoring and supportive care, it is **not the next step for diagnosis** of a suspected diaphragmatic rupture. - Definitive diagnosis through imaging (CT) is crucial before determining specific management strategies, including potential surgical intervention.
Explanation: ***Subfalcine herniation*** - The patient's presentation with a **traumatic brain injury** followed by **delayed neurological symptoms** including severe headache, nausea, and contralateral leg weakness suggests a mass effect on the brain. - **Subfalcine herniation** occurs when the **cingulate gyrus** is pushed under the **falx cerebri**, often compressing the **anterior cerebral artery** and causing **contralateral leg weakness** as seen in this patient. *Upward brainstem herniation* - This type of herniation typically involves the cerebellum moving upward through the **tentorial incisura**, often presenting with **oculomotor nerve dysfunction** and **loss of consciousness**. - The patient's mental status is preserved, and she does not exhibit typical signs of brainstem compression. *Extracranial herniation* - **Extracranial herniation** refers to brain tissue protruding outside the cranial vault, usually through a **skull defect** or after **craniectomy**. - This patient has no mention of a skull defect or prior surgery that would predispose her to this type of herniation. *Uncal herniation* - **Uncal herniation** involves the medial temporal lobe (uncus) moving over the **tentorium cerebelli**, classically causing ipsilateral **fixed and dilated pupil** due to **oculomotor nerve (CN III) compression**. - The patient's pupils are equal, round, and reactive to light, which rules out major uncal herniation. *Tonsillar herniation* - **Tonsillar herniation** involves the **cerebellar tonsils** descending through the **foramen magnum**, compressing the brainstem and often leading to **respiratory and cardiac irregularities**. - The patient's vital signs are stable, and she does not have respiratory or cardiac symptoms indicative of tonsillar herniation.
Explanation: ***Hospitalization and frequent ultrasounds*** - The patient has a **small, contained splenic hematoma** (grade I-II) and remains **hemodynamically stable**, which are key indicators for **nonoperative management (NOM)** in blunt splenic trauma. Frequent ultrasounds can monitor for expansion of the hematoma or development of free fluid. - **Serial physical exams** and **vital signs monitoring** are crucial to detect any signs of splenic injury progression or hemodynamic instability, which would necessitate a change in management. *Discharge home and follow up closely* - Discharging a patient with a documented **splenic hematoma**, even if small and stable, carries a significant risk of **delayed rupture** or progression of the injury, making it an unsafe initial management strategy. - While the patient is currently stable, internal bleeding can worsen rapidly, requiring close observation in a hospital setting for at least 24-48 hours. *Coil embolization of short gastric vessels* - **Angioembolization** is typically indicated for **higher-grade splenic injuries** (grades III-V), active contrast extravasation, pseudoaneurysms, or continued bleeding despite nonoperative management. - In this case, there is **no contrast extravasation** and the injury is low-grade, making embolization an overly aggressive first-line intervention. *Exploratory laparotomy and splenectomy* - **Laparotomy** and **splenectomy** are reserved for patients with **hemodynamic instability** that doesn't respond to resuscitation, signs of ongoing significant hemorrhage, or higher-grade injuries unsuitable for nonoperative management. - The patient is currently **hemodynamically stable** and has a low-grade splenic injury, making immediate surgery unnecessary and potentially leading to higher morbidity without clear benefit. *Laparoscopic splenectomy* - Similar to open splenectomy, **laparoscopic splenectomy** is a surgical intervention used for significant splenic injuries that fail nonoperative management or cause hemodynamic instability. - Given the patient's **stable condition** and low-grade injury, immediate surgical removal of the spleen is not indicated and would remove the opportunity for spleen preservation.
Explanation: ***Carotid stenting*** - The patient experienced a **transient ischemic attack (TIA)** with **90% stenosis of the right internal carotid artery**, which is a high-grade stenosis. - **Carotid revascularization** is highly recommended for symptomatic patients with **high-grade carotid stenosis** (70–99%) to prevent future strokes. - Both **carotid endarterectomy (CEA)** and **carotid stenting** are acceptable options. In this elderly patient (79 years) with significant comorbidities (COPD, prior MI, 50 pack-year smoking history), **carotid stenting** may be preferred as it avoids the surgical risks of general anesthesia and neck dissection. *Warfarin* - **Warfarin** is primarily used for preventing strokes in patients with **atrial fibrillation** or mechanical heart valves. - It is **not the first-line treatment** for stroke prevention directly caused by symptomatic carotid artery stenosis. *Low molecular weight heparin* - **Low molecular weight heparin (LMWH)** is typically used for acute treatment of **deep vein thrombosis** and **pulmonary embolism**, or in certain acute coronary syndromes. - It does not address the underlying **structural issue of severe carotid stenosis** for long-term stroke prevention. *Hypercoagulability studies* - While hypercoagulability can cause strokes, the patient's symptoms are clearly attributed to **severe carotid stenosis**. - These studies are usually reserved for patients with strokes of **unexplained etiology**, especially younger patients, or those with unusual clot locations. *Aspirin and clopidogrel* - **Dual antiplatelet therapy (aspirin and clopidogrel)** is often used after a TIA or minor stroke, but typically for a limited duration (e.g., 21-90 days), and it is an adjunct to revascularization in severe carotid stenosis. - Although important for **secondary stroke prevention**, it does not address the critical **90% carotid stenosis** that warrants revascularization.
Explanation: ***Mesenteric angiography*** - Mesenteric angiography is indicated for **active lower GI bleeding** when the bleeding rate is high (2-3 mL/min) and colonoscopy is challenging due to massive bleeding. It can localize the source of bleeding and allow for therapeutic embolization. - The patient's presentation with **massive rectal bleeding**, signs of hypovolemia, and the exclusion of upper GI bleeding (bile without blood in NG tube) points to a lower GI source. *Exploratory laparotomy with segmental bowel resection* - This is an **invasive surgical procedure** typically reserved for cases where other less invasive diagnostic and therapeutic methods have failed, or in cases of uncontrolled life-threatening hemorrhage. - Doing an exploratory laparotomy without clear localization of the bleeding site carries significant risks and may lead to unnecessary bowel resections. *Radiolabeled RBC scan* - A radiolabeled RBC scan is a highly sensitive diagnostic tool for **detecting intermittent or slow GI bleeding**, but it requires a very low rate of bleeding (as low as 0.1 mL/min). - Given the patient's **active and massive bleeding** (2-3 mL/min), a more rapid and precise localization method like angiography is preferred. *Colonoscopy* - While colonoscopy is the primary diagnostic tool for lower GI bleeding, it is often **challenging to perform effectively in the presence of massive active bleeding**, as the view can be obscured by blood. - The patient's hemodynamic instability has been corrected, but the high bleeding rate makes a diagnostic colonoscopy difficult. *EGD* - EGD (Esophagogastroduodenoscopy) is used to diagnose **upper GI bleeding**, which has been effectively ruled out by the nasogastric tube draining bile without blood. - This procedure would not be helpful for localizing a lower GI bleeding source.
Explanation: ***Medial meniscus tear*** - The injury mechanism (tackle from the side) and symptoms (popping sound, severe pain, swelling, locking sensation, and pain on external rotation) are highly characteristic of a **meniscal tear**. - **Locking** and pain with specific rotational movements are classic signs of a meniscal injury, and the **medial meniscus** is more frequently injured due to its stronger attachment to the **medial collateral ligament** and less mobility. *Posterior cruciate ligament* - Injuries to the **PCL** typically result from direct trauma to the anterior aspect of the tibia with the knee flexed, or from hyperextension, neither of which is consistent with the described injury mechanism. - A torn PCL primarily causes posterior instability of the tibia, and a **locking sensation** is less common. *Medial collateral ligament* - An **MCL injury** is usually caused by a valgus stress (force from the side, pushing the knee inward), which could occur from a lateral tackle. - While it would cause pain and swelling, an isolated MCL injury does not typically present with a **popping sound**, **locking sensation**, or pain exacerbated by **external rotation** in the same manner as a meniscal tear. *Anterior cruciate ligament* - **ACL tears** commonly result from non-contact or contact injuries involving sudden deceleration, cutting, or jumping, often accompanied by a **popping sound**. - While it causes instability and swelling, an ACL tear generally does not present with a **mechanical locking sensation**; rather, patients often complain of feeling the knee "give way." *Lateral meniscus tear* - While a **lateral meniscus tear** can also cause popping, pain, and locking, the mechanism described (tackle from the side, implying a valgus force) typically puts more stress on the **medial aspect** of the knee. - Pain on **external rotation** is more indicative of a medial meniscal injury compared to a lateral one, which would more likely be aggravated by internal rotation.
Explanation: ***Chest tube insertion*** - The patient presents with **respiratory distress**, a **stab wound to the chest**, and the chest X-ray likely shows a **hemothorax** or **pneumothorax**, as indicated by the dullness to percussion and the imaging description. - **Chest tube insertion** is the definitive treatment for significant hemothorax or pneumothorax, allowing for drainage of blood/air and lung re-expansion. *ABG* - While an **arterial blood gas (ABG)** can provide information about oxygenation and ventilation, it is a diagnostic test and not a primary therapeutic intervention for acute respiratory distress due to chest trauma. - Addressing the underlying cause (hemothorax/pneumothorax) is paramount before detailed physiologic assessment, which might delay life-saving treatment. *Needle aspiration* - **Needle aspiration** (thoracentesis or needle decompression) can be used for simple pneumothorax or small effusions but is generally insufficient for a large hemothorax or tension pneumothorax, especially in a patient with signs of hypovolemic shock (low BP). - Given the stab wound and patient's unstable status, a more definitive and continuous drainage method is required. *CT scan* - A **CT scan** provides detailed imaging but is generally not indicated in an unstable patient with acute chest trauma who likely has a life-threatening condition like hemothorax or pneumothorax. - Delaying definitive treatment for further imaging in an unstable patient can be detrimental. *Thoracotomy* - **Thoracotomy** is an invasive surgical procedure indicated for massive hemothorax (e.g., >1500 mL blood drainage immediately or >200 mL/hr for 2-4 hours) or ongoing hemorrhage not controlled by a chest tube. - It is a more aggressive step and not the first-line intervention in this scenario, where a chest tube is typically needed first to assess the extent of bleeding and lung re-expansion.
Explanation: ***A palpable click with passive motion of the knee*** - The patient's presentation with a **football injury**, **severe knee pain**, **inflammation**, and **laxity with valgus stress** (suggesting MCL injury) points towards significant knee trauma. A palpable click can indicate a torn meniscus, which is a common accompanying injury in such forceful knee trauma, particularly with a simultaneous MCL tear. - While the primary injury might involve ligaments, the absence of synovial fluid abnormalities upon arthrocentesis makes a pure ligamentous tear without associated meniscal damage less likely to produce a palpable click, and given the forceful impact, meniscal injury is highly probable. *Anterior displacement of the femur relative to the tibia* - This finding would indicate a **posterior cruciate ligament (PCL) injury**, which typically results from a direct blow to the tibiofemoral joint while the knee is in flexion, or a hyperextension injury. - The mechanism described (hit from behind with valgus stress) and the laxity to valgus stress are not consistent with a PCL injury. *Severe pain with compression of the patella* - Severe pain with patellar compression is characteristic of **patellofemoral pain syndrome** or **chondromalacia patellae**, which are typically overuse injuries or degenerative conditions. - This finding is less likely to be the primary presentation following acute, forceful traumatic injury to the knee resulting in ligamentous laxity. *Anterior displacement of the tibia relative to the femur* - This is the classic sign of an **anterior cruciate ligament (ACL) tear**, which is tested using the **Lachman test** or **anterior drawer test**. - While an ACL tear can occur in football, the described injury mechanism ("hit from behind" and "valgus stress") is more indicative of MCL damage, and an isolated ACL tear does not directly correlate with the valgus laxity observed. *Laxity to varus stress* - Laxity to varus stress indicates an injury to the **lateral collateral ligament (LCL)**. - The clinical presentation specifically mentions laxity with **valgus stress**, which points to a medial collateral ligament (MCL) injury, not an LCL injury.
Explanation: ***Tearing of the posterior urethra*** - The combination of **pelvic fractures**, **blood at the urethral meatus**, inability to void despite a sensation to do so, and a **high-riding prostate** are classic signs of posterior urethral injury. - The posterior urethra, particularly the membranous portion, is vulnerable to shear forces and tearing during severe pelvic trauma. *Tearing of the anterior urethra* - Anterior urethral injuries are typically associated with a **straddle injury** or direct trauma to the perineum, not necessarily pelvic fractures. - While blood at the meatus can occur, the **high-riding prostate** and extensive pelvic fractures point away from an isolated anterior injury. *Rupture of the corpus cavernosum* - This is usually a result of "penile fracture" during sexual intercourse and presents with sudden pain, detumescence, and a characteristic "eggplant" deformity, which are not described here. - It does not explain the inability to void, high-riding prostate, or association with pelvic fractures. *Tearing of the ureter* - Ureteral injuries are typically associated with penetrating trauma or iatrogenic injury during surgery; they rarely occur with blunt pelvic trauma of this nature. - Symptoms would include flank pain, hematuria, or urine leakage into the retroperitoneum, not significant urethral bleeding or a high-riding prostate. *Rupture of the bladder* - Bladder rupture can be intra- or extraperitoneal and is often associated with pelvic fractures. However, it typically causes gross hematuria and often free fluid in the peritoneum (intraperitoneal rupture) or extravasation into the space of Retzius (extraperitoneal rupture). - While a distended bladder is noted, the presence of **blood at the urethral meatus** and a **high-riding prostate** strongly implicate urethral injury rather than primarily bladder rupture.
Explanation: ***Right-sided hemiplegia*** - The patient has a **right-sided subdural hematoma** causing **uncal herniation** with significant midline shift (18 mm). - **Kernohan's notch phenomenon** is a false localizing sign where the contralateral cerebral peduncle (left side) is compressed against the edge of the tentorium cerebelli by the herniating brain. - This contralateral peduncle compression paradoxically produces **ipsilateral hemiplegia** (same side as the lesion) - in this case, right-sided hemiplegia from a right-sided mass. - This is an **early sequela** of severe herniation and represents a classic false localizing sign in neurosurgery. *Multifocal myoclonus* - This indicates widespread cortical irritability or **metabolic encephalopathy** (e.g., uremia, hypoxia, drug toxicity). - Not a typical early focal sequela of subdural hematoma with uncal herniation. - May occur later with diffuse hypoxic brain injury but is not the most likely early finding. *Right eye esotropia and elevation* - **Oculomotor nerve (CN III) palsy** causes the eye to be displaced "**down and out**" (exotropia and depression), not esotropia and elevation. - The right fixed dilated pupil indicates CN III compression from uncal herniation, but this would cause lateral deviation and depression of the eye. - The described eye position is inconsistent with CN III palsy. *Bilateral lower limb paralysis* - Would require **bilateral cerebral involvement** of motor cortices or **spinal cord injury**. - A unilateral subdural hematoma, even with herniation, would not typically cause isolated bilateral lower limb paralysis as an early sequela. - Not consistent with the focal nature of this injury. *Left-side facial nerve palsy* - While **contralateral hemiplegia** (left-sided weakness) would be expected from direct mass effect of a right-sided lesion, isolated facial nerve palsy is less likely. - **Central facial palsy** (upper motor neuron) would affect the lower face and could occur contralaterally, but complete hemiplegia including the face would be more common than isolated CN VII palsy. - Kernohan's notch phenomenon specifically affects the motor pathways in the cerebral peduncle, making ipsilateral hemiplegia the most characteristic early motor sequela.
Explanation: ***Intubation with positive pressure ventilation*** - The patient presents with **flail chest** (paradoxical chest wall movement with pain and crepitus), respiratory distress (tachypnea, shallow breathing), and **hypoxemia** (SpO2 83% on 100% oxygen) despite initial fluid resuscitation and analgesia. These are clear indications for **endotracheal intubation** and mechanical ventilation to stabilize the chest wall, improve oxygenation, and reduce the work of breathing. - **Positive pressure ventilation** helps to internally splint the flail segment, enabling more effective gas exchange and preventing further atelectasis. *Bedside thoracotomy* - **Bedside thoracotomy** is typically reserved for patients in traumatic cardiac arrest who have witnessed signs of life on arrival or are in profound shock unresponsive to other resuscitative measures, making it inappropriate here. - This patient is **hemodynamically stable** (BP 145/90 mmHg) and does not show signs of massive hemorrhage or cardiac tamponade requiring immediate thoracotomy. *Surgical fixation of right third to sixth ribs* - **Surgical fixation of rib fractures** is a more definitive treatment for flail chest but is not an immediate life-saving intervention in the setting of acute respiratory failure and hypoxemia. - While it can be considered later to reduce pain and improve pulmonary mechanics, the priority is to stabilize the patient's respiratory status through **ventilation**. *Placement of a chest tube* - **Placement of a chest tube** is indicated for pneumothorax, hemothorax, or empyema. While a pneumothorax or hemothorax could be present given the trauma and rib fractures, the primary issue driving this patient's acute respiratory failure is the **flail chest leading to inadequate ventilation and oxygenation**. - There is no mention of diminished breath sounds or hyperresonance/dullness to percussion, which would suggest pneumothorax or hemothorax as the primary and immediate problem after initial resuscitation. *CT scan of the chest* - A **CT scan of the chest** is an important diagnostic tool to assess the extent of injuries, but it is not an immediate therapeutic intervention for a patient in acute respiratory failure and severe hypoxemia. - Delaying definitive airway management for a diagnostic test in an unstable patient is **inappropriate** and could worsen the patient's condition.
Explanation: ***CT angiography*** - **CT angiography** is the most appropriate next step for **stable patients** with penetrating neck trauma, like this patient, to evaluate for vascular and airway injuries. - It offers **rapid, non-invasive assessment** of the extent of injury and helps guide further management. *Bedside neck exploration* - **Bedside neck exploration** is typically reserved for patients with **hard signs** of vascular injury (e.g., active hemorrhage, expanding hematoma, pulsatile hematoma) or **signs of airway compromise**, which are absent here. - This patient is **hemodynamically stable** and has a non-expanding hematoma. *Conventional angiography* - **Conventional angiography** is more **invasive** and time-consuming than CTA, carrying risks such as arterial dissection or stroke. - It is usually reserved for **diagnostic confirmation** or **therapeutic intervention** (e.g., embolization) after initial imaging, especially when CTA findings are equivocal or reveal treatable lesions. *MRI* - **MRI** is generally **contraindicated** in acute trauma situations, especially when the presence of metallic foreign bodies (e.g., bullet fragments) is a concern. - Its **longer acquisition time** and **lack of immediate availability** in the emergency setting make it less suitable for initial evaluation of penetrating neck trauma. *Plain radiography films* - **Plain radiographs** can identify **bony fractures** and the general location of foreign bodies, but they offer **limited information** regarding soft tissue and vascular structures. - They are insufficient for comprehensively evaluating potential vascular or airway injuries in penetrating neck trauma.
Explanation: ***Testicular torsion*** - The sudden onset of **severe scrotal pain** with associated **vomiting**, an **elevated testis**, **transverse lie**, and an **absent cremasteric reflex** are classic signs of testicular torsion. - This condition is a surgical emergency requiring prompt diagnosis and intervention to prevent testicular ischemia and necrosis. *Mumps orchitis* - This typically occurs in post-pubertal males with a history of **mumps infection** and presents with testicular swelling and pain, but usually after the onset of parotitis. - While it can cause pain and swelling, the **acute onset** and specific findings like absent cremasteric reflex and transverse lie are less characteristic. *Spermatocele* - A spermatocele is a **painless, fluid-filled cyst** originating from the epididymis, typically found on the superior aspect of the testis. - It does not present with acute, severe pain, vomiting, or signs of testicular compromise. *Epididymitis* - Epididymitis commonly presents with **gradual onset** of scrotal pain, swelling, and tenderness, often associated with a urinary tract infection or sexually transmitted infection. - The cremasteric reflex is typically **preserved**, and elevation of the testicle (Prehn's sign) may relieve pain. *Germ cell tumor* - Testicular tumors usually present as a **painless lump** or mass in the testis, though some may cause a dull ache or sensation of heaviness. - Acute severe pain, vomiting, and findings like an absent cremasteric reflex are not typical presentations of a testicular tumor.
Explanation: ***Medial collateral ligament injury*** - The patient experienced a **valgus stress** injury (tackled from the left, forcing the knee inward) and presents with **medial joint line tenderness** and **medial joint laxity** upon valgus stress, all highly indicative of a medial collateral ligament (MCL) injury. - The MCL is a primary stabilizer against valgus forces, and its damage leads to instability and pain on the medial side of the knee. *Medial meniscus injury* - While a **meniscus injury** can cause swelling and pain, the primary finding of **medial joint laxity with valgus stress** points more directly to a ligamentous injury. - Meniscus injuries are often associated with mechanical symptoms like **locking or catching**, which are not described here. *Posterior cruciate ligament injury* - A **posterior cruciate ligament (PCL) injury** typically results from a direct blow to the **anterior tibia** or hyperflexion, which is not consistent with the mechanism of injury described ("tackled from the left side"). - PCL injuries are tested with a **posterior drawer test** or Sag sign, not valgus stress. *Anterior cruciate ligament injury* - An **anterior cruciate ligament (ACL) injury** usually occurs with a **twisting motion** or hyperextension, commonly associated with a "pop" sensation and rapid swelling due to hemarthrosis. - While the patient is unable to bear weight, the specific findings of **medial joint line tenderness** and **valgus laxity** are not primary indicators of an ACL tear. *Lateral collateral ligament injury* - A **lateral collateral ligament (LCL) injury** results from a **varus stress** (force from the inside pushing the knee outward), which is opposite to the mechanism of injury described. - LCL injuries would present with **lateral joint line tenderness** and laxity on varus stress.
Explanation: ***Cricothyrotomy*** - In a trauma patient with **failed endotracheal intubation** and declining oxygen saturation (from 91% to 84% despite bag-mask ventilation), an emergent cricothyrotomy is indicated for **immediate airway control**. - This procedure provides a definitive airway in a **can't intubate/can't ventilate** scenario, preventing further hypoxia and potential brain damage. *Nasotracheal intubation* - **Nasotracheal intubation** is generally contraindicated in patients with suspected **facial or skull base fractures** due to the risk of intracranial intubation. - Given the high-speed collision and facial bruises, such fractures are possible, making this a less safe option compared to cricothyrotomy. *Video laryngoscopy* - While **video laryngoscopy** can be helpful for difficult airways, it was already implied that intubation was attempted and failed, suggesting the issue might be with visualization or access, not just technique. - Critically, the patient's oxygen saturation is dropping rapidly, requiring a quicker, more definitive solution than another attempt at orotracheal intubation. *Comfort measures only* - The patient has **no advance directive**, and family members have not arrived to make decisions regarding end-of-life care. - Despite the severity of his injuries, the patient is still alive and does not have clear indications for **comfort measures only** at this stage; resuscitative efforts are warranted. *Tracheostomy* - **Tracheostomy** is a surgical procedure for establishing a long-term airway and is not suitable for **emergent airway management** in a rapidly decompensating trauma patient. - It typically requires specialized surgical expertise and takes longer to perform than a cricothyrotomy, which is a faster, life-saving measure in this acute situation.
Explanation: ***Insertion of a chest tube*** - The sudden increase in **plateau airway pressure**, decreased breath sounds over the left lung base, worsening hypoxemia (O2 sat 89%) despite high FiO2, and **deepening of the costophrenic angle on the left side** indicate a **traumatic hemothorax**. - Deepening of the costophrenic angle on chest X-ray is a classic sign of **pleural fluid accumulation** (hemothorax or pleural effusion), not pneumothorax. - In a trauma patient (high-speed motor vehicle collision) on day 3 of mechanical ventilation, this represents a **delayed hemothorax** requiring immediate drainage. - **Chest tube insertion** is the definitive management to evacuate blood, re-expand the lung, and improve ventilation and oxygenation. *CT scan of the chest* - While CT scan would provide detailed anatomical information, the clinical presentation with sudden respiratory decompensation and clear chest X-ray findings of hemothorax requires **immediate intervention**. - Delaying treatment to obtain CT imaging in an unstable ventilated patient could worsen hypoxemia and lead to cardiovascular compromise. - CT scan may be obtained later if needed to evaluate for ongoing bleeding or other injuries. *Administer levofloxacin* - Antibiotics would be appropriate for **pneumonia or empyema**, but the patient has no clear signs of infection (afebrile at 37.3°C, acute presentation over hours not days). - The primary problem is **mechanical compression** from pleural fluid accumulation, not infection. - Antibiotics do not address the life-threatening respiratory compromise from hemothorax. *Close observation* - Close observation is inappropriate given the acute deterioration with increased plateau pressures and worsening hypoxemia. - The patient requires urgent intervention to prevent further respiratory failure and potential cardiovascular collapse. - Expectant management would be negligent in this clinical scenario. *Increase the PEEP* - Increasing **Positive End-Expiratory Pressure (PEEP)** would worsen the situation by increasing intrathoracic pressure against an already compressed lung. - Higher PEEP could impair venous return, decrease cardiac output, and potentially convert a simple hemothorax to a tension physiology. - PEEP adjustments do not address the underlying problem of pleural space fluid accumulation requiring drainage.
Explanation: ***Wrist drop*** - A **midshaft humerus fracture** is classically associated with injury to the **radial nerve**, which wraps around the humerus at this level. - **Radial nerve injury** causes paralysis of the extensors of the wrist and fingers, leading to a characteristic **wrist drop** presentation. *Hand of benediction* - This presentation, where the **index and middle fingers remain extended** while the ring and little fingers flex, is characteristic of a **proximal median nerve injury**. - A midshaft humerus fracture is less likely to cause a proximal median nerve injury given the anatomical course of the nerve. *Hypothenar atrophy* - **Hypothenar atrophy** is indicative of **ulnar nerve damage**, usually at the cubital tunnel or Guyon's canal. - While the ulnar nerve courses near the humerus, it is less commonly injured in midshaft fractures compared to the radial nerve. *Flattened deltoid* - A **flattened deltoid** is a sign of **axillary nerve injury** or shoulder dislocation, leading to paralysis of the deltoid muscle. - The axillary nerve is more commonly injured in **proximal humerus fractures** or shoulder trauma, not typically midshaft fractures. *Elbow flexion deficits* - **Elbow flexion deficits** are primarily associated with injury to the **musculocutaneous nerve** or the C5/C6 nerve roots. - While a severe humeral fracture could potentially affect these structures, it is not the most direct or common neurological complication of a midshaft fracture, which targets the radial nerve.
Explanation: ***Femoral head smaller than contralateral side and posterior to acetabulum*** - This presentation is consistent with a **posterior hip dislocation**, which typically occurs with an **axial load** on a flexed hip, common in head-on collisions. - On radiographs, the femoral head appears **smaller** due to magnification differences and is displaced **posteriorly** relative to the acetabulum. The affected leg is classically **shortened, adducted, and internally rotated**. *Fracture line extending between the greater and lesser trochanters* - This describes an **intertrochanteric hip fracture**, which typically presents with the leg **externally rotated** and **abducted**, not internally rotated and adducted. - While caused by trauma, the clinical presentation does not align with the patient's physical exam findings. *Femoral head larger than contralateral side and inferior to acetabulum* - This describes an **anterior hip dislocation**, which is far less common and would present with the leg typically held in **abduction** and **external rotation**. The femoral head would also appear **larger** due to magnification from being anteriorly displaced. - The patient's presentation of adduction and internal rotation is inconsistent with an anterior dislocation. *Fracture line extending through the femoral neck* - A **femoral neck fracture** usually presents with the leg in **external rotation** and **shortening**, and often involves older patients with osteoporosis after falls. - While a severe impact could cause this, the characteristic adduction and internal rotation point more strongly to a dislocation. *Fracture line extending through the subtrochanteric region of the femur* - A **subtrochanteric fracture** involves the shaft of the femur just below the trochanters and commonly presents with significant pain and inability to bear weight. - This type of fracture does not typically result in the specific adducted and internally rotated leg position seen with hip dislocations.
Explanation: ***Inflammatory breast cancer*** - The rapid onset of **diffuse erythema**, **edema** (peau d'orange appearance due to lymphatic involvement), **skin thickening**, ulceration, and the palpable **axillary and cervical adenopathy** are classic signs of inflammatory breast cancer. - The mammographic findings of **parenchymal distortion**, extensive soft tissue, **trabecular thickening**, and especially the **dermal lymphatic invasion** by tumor cells on biopsy confirm this aggressive diagnosis. *Infiltrating ductal carcinoma* - While **infiltrating ductal carcinoma** is the most common type of breast cancer, it typically presents as a **palpable mass** or an abnormal mammogram finding without the prominent inflammatory signs seen here. - It usually does not involve such widespread **dermal lymphatic invasion** and rapid progression with skin changes, unless it is a specific variant with inflammatory features. *Infiltrating lobular carcinoma* - This type of carcinoma often grows in a **diffuse pattern** and may not form a distinct mass, sometimes making it difficult to detect by mammography. - However, it rarely presents with the prominent **inflammatory signs** (erythema, edema, skin thickening) and ulceration indicative of extensive dermal lymphatic involvement as described. *Ductal carcinoma in situ (DCIS)* - **DCIS** is a non-invasive form of breast cancer confined to the breast ducts, meaning it has not spread beyond the ductal basement membrane. - It typically presents as **microcalcifications** on mammography and does not exhibit a rapidly progressing **painful ulceration**, **skin changes**, or **lymph node involvement**. *Lobular carcinoma in situ (LCIS)* - **LCIS** is a non-invasive condition that increases the risk of developing invasive breast cancer in either breast. - It is an **incidental finding** on biopsy for another reason, does **not form a mass**, and does not cause the **clinical signs of inflammation**, skin changes, or ulceration.
Explanation: ***Lower lung lobe*** - A stab wound at the **8th rib in the left midaxillary line** is located within the anatomical boundaries of the **lower lobe of the left lung**. The diaphragm can rise to the level of the 5th intercostal space during expiration, and the lung extends into this region. - The patient's **hypotension** and **tachycardia** are consistent with potential **hemorrhage** or **pneumothorax/hemothorax** due to lung injury. *Left kidney* - The left kidney is located retroperitoneally, typically at the level of the **T12 to L3 vertebrae**, making it less likely to be injured by a stab wound at the 8th rib in the midaxillary line of a standing or supine patient. - Injury to the kidney would likely cause **hematuria**, which is not mentioned in the presentation as an immediate concern. *Left ventricle* - The left ventricle is located more medially and anteriorly within the chest, deep to the **sternum** and **costal cartilages**, making a stab wound at the 8th rib in the midaxillary line an unlikely entry point. - Cardiac tamponade or severe hemorrhage from left ventricular injury would typically present with more rapid and profound hemodynamic collapse. *Intercostal nerve* - While an intercostal nerve would certainly be injured by a stab wound through the intercostal space, injury to the nerve alone would not explain the patient's **hemodynamic instability** (hypotension and tachycardia). - Isolated intercostal nerve injury primarily causes **localized pain** and potentially some sensory or motor deficits in the distribution of that nerve. *Spleen* - The spleen is located in the left upper quadrant, typically lying beneath the **9th to 11th ribs**, making injury to the spleen possible with a deeper wound. However, it is situated more laterally and posteriorly than the lung at the 8th rib midaxillary line. - While splenic injury can cause **hypotension** and **tachycardia**, the lung lies in a more superficial and posterior plane relative to the 8th rib in the midaxillary line, making it a more direct target for injury.
Explanation: ***Rotator cuff tendinopathy*** - The patient's presentation of gradual onset shoulder pain, worse with overhead activities, tenderness of the **lateral shoulder** to palpation, and pain with active abduction beyond 90 degrees and passive internal rotation and lifting is highly characteristic of **rotator cuff tendinopathy**. - **Full active range of motion** despite pain indicates that the tendon is intact, but inflamed, making tendinopathy more likely than a tear. *Biceps tendinopathy* - This condition typically causes pain in the anterior shoulder, especially with **lifting** or **carrying heavy objects**, and tenderness in the **bicipital groove**. - The patient's pain is primarily located in the lateral shoulder and is reproduced with abduction and internal rotation, which are less typical for biceps tendinopathy. *Adhesive capsulitis* - Characterized by significant **restriction of both active and passive range of motion** in multiple planes, often described as a "frozen shoulder." - This patient maintains full passive and active range of motion, which rules out adhesive capsulitis. *Glenohumeral osteoarthritis* - While it can cause pain and stiffness, osteoarthritis typically presents with **crepitus**, **limited range of motion** (both active and passive) with an insidious onset, and pain that often worsens with activity but does not specifically point to subacromial involvement. - The patient's full passive range of motion makes severe osteoarthritis unlikely. *Rotator cuff tear* - A rotator cuff tear usually presents with **weakness** in specific movements (e.g., abduction, external rotation) and often **limited active range of motion**, even if passive range of motion is preserved. - The patient's ability to maintain full active range of motion and 5/5 strength makes a complete tear less likely, although a partial tear could be considered if tendinopathy doesn't improve with conservative management.
Explanation: ***Transrectal ultrasound-guided prostate biopsy*** - The presence of a **firm nodule** on digital rectal examination (DRE) and an **elevated PSA level (6.5 ng/mL)** in this patient are highly suspicious for **prostate cancer**. - A definitive diagnosis requires **histological examination** of prostate tissue, which is obtained via **transrectal ultrasound-guided prostate biopsy**. *Simple prostatectomy* - This procedure is a treatment for **benign prostatic hyperplasia (BPH)**, not for suspected prostate cancer. - While the patient has symptoms consistent with BPH, the DRE finding and elevated PSA necessitate ruling out malignancy first. *Cystoscopy* - **Cystoscopy** allows direct visualization of the urethra and bladder but is not the primary diagnostic tool for evaluating a suspicious prostate nodule. - It would not provide the tissue sample needed for a definitive cancer diagnosis. *CT scan of the abdomen and pelvis* - A **CT scan** is typically used for **staging prostate cancer** (once diagnosed) to assess for local invasion or distant metastasis. - It is not the initial diagnostic step for confirming the presence of prostate cancer. *Repeat PSA level in one year* - Given the highly suspicious DRE finding (firm nodule) and the significantly **elevated PSA level (6.5 ng/mL)**, waiting one year to repeat the PSA would be an inappropriate delay in diagnosis. - Such findings warrant immediate investigation for prostate cancer.
Explanation: **Critical limb ischemia** - The patient exhibits classic symptoms of **critical limb ischemia (CLI)**, including **rest pain** in the lower extremities that is relieved by dependency (hanging foot off the bed), along with **diminished pulses** and significant risk factors like **smoking, hypertension, and diabetes**. - The image further supports CLI by showing **ischemic changes** in the toes, such as **gangrene** of the second and third toes and **subungual hemorrhage** in the great toe, indicative of severe arterial insufficiency. *Pseudogout* - Pseudogout typically presents as acute, painful arthritis of a single joint, most commonly the **knee**, due to calcium pyrophosphate crystal deposition. - It does not cause diffuse leg pain, diminished pulses, or ischemic changes in the toes as seen in this patient. *Raynaud's phenomenon* - Raynaud's phenomenon is characterized by episodic **vasospasm** leading to blanching, cyanosis, and redness, primarily affecting the fingers and toes, often triggered by cold or stress. - While it involves digital ischemia, it is usually episodic, affects multiple digits symmetrically, and does not explain the chronic rest pain, diminished pulses, or gangrenous changes seen here. *Venous ulcer* - Venous ulcers are typically found around the **malleoli**, have irregular borders, and are associated with **edema**, **stasis dermatitis**, and normal pulses. - The patient's symptoms of rest pain, relief with dependency, and digital gangrene, along with diminished arterial pulses, are not consistent with venous disease. *Cellulitis* - Cellulitis is a bacterial skin infection characterized by **erythema**, **warmth**, **swelling**, and pain, often with a rapidly spreading border. - Although the image shows some redness, the patient's chronic symptoms, diminished pulses, and clear signs of tissue necrosis in the toes are inconsistent with primary cellulitis and point towards an underlying vascular etiology.
Explanation: ***Physical therapy*** - The patient's symptoms of radiated lower back pain, positive straight leg test, and MRI findings of a **herniated disc at L5** are classic for **radiculopathy** caused by disc herniation. - **Conservative management**, including physical therapy, is the most appropriate initial step for symptomatic lumbar disc herniation, aiming to reduce pain and improve function. *Dexamethasone* - While corticosteroids like dexamethasone can reduce inflammation and pain, they are typically considered for **short-term relief** in severe cases or as an adjunct, not as the primary or sole treatment for herniated disc. - In the context of the elevated IgG monoclonal component and plasma cells, dexamethasone is part of treatment regimens for **multiple myeloma**, but the primary issue presented is disc herniation. *Thalidomide* - Thalidomide is an **immunomodulatory drug** used in the treatment of multiple myeloma, particularly in combination with dexamethasone. - It has no role in the management of **lumbar disc herniation** or radiculopathy. *Autologous stem cell transplantation* - This is a treatment option for **multiple myeloma** once a patient achieves remission, especially in younger, fitter patients. - It is an aggressive procedure and **not indicated** for the treatment of a herniated disc, nor as an initial step for myeloma given the current presentation. *Plasmapheresis* - Plasmapheresis is used to remove **excess proteins** or antibodies from the blood, often in conditions like hyperviscosity syndrome or specific autoimmune diseases. - It is **not a treatment** for herniated disc and would only be considered for multiple myeloma in cases of severe hyperviscosity, which is not indicated by the current lab values.
Explanation: ***Radiation therapy*** - This patient's presentation is highly suggestive of **basal cell carcinoma (BCC)**, given the reddish, pearly papule with telangiectasias on a sun-exposed area, a history of growth over two years, bleeding, and his prior occupation as a construction worker. **Radiation therapy** is an excellent option for **localized BCC** when surgery is contraindicated or not feasible due to patient preferences, tumor location (e.g., cosmetic areas), or medical comorbidities. - **Definitive radiation therapy** can achieve high cure rates for BCC, comparable to Mohs surgery for appropriately selected superficial and nodular types, and is particularly useful in older patients. *Imiquimod* - **Imiquimod** is an **immune-response modifier** used topically for superficial BCCs, actinic keratoses, and external genital warts. - While effective for **superficial BCCs**, its efficacy is lower for nodular or infiltrative BCCs, which appears more likely given the size (2 cm) and depth implied by chronic bleeding and growth over 2 years. *Interferon* - **Interferon** has been explored as an intralesional treatment for BCC, but it is **not a first-line or standard treatment option** due to variable response rates and the availability of more effective and reliable modalities. - Its use is generally reserved for more advanced or difficult-to-treat cases, typically as part of clinical trials or for very specific indications, not as a primary treatment for a localized BCC where surgery or radiation is an option. *5-fluorouracil* - **5-fluorouracil (5-FU)** is a **topical chemotherapeutic agent** used primarily for **actinic keratoses** and **superficial BCCs**. - Similar to imiquimod, its efficacy is limited to **superficial lesions** and is less effective for nodular, infiltrative, or larger BCCs due to insufficient penetration and risk of recurrence. *Photodynamic therapy* - **Photodynamic therapy (PDT)** involves applying a photosensitizing agent followed by exposure to specific wavelengths of light, primarily used for **actinic keratoses** and **superficial BCCs**. - While effective for superficial lesions, its efficacy significantly decreases for **nodular BCCs** or those with deeper invasion, making it less suitable for a 2 cm lesion that has been growing and bleeding.
Explanation: ***Immediate transfer to the emergency department for management*** - The patient presents with classic symptoms of **cauda equina syndrome**, including bilateral lower extremity weakness, severe sciatica, **urinary incontinence (new-onset)**, and **saddle anesthesia**. These constitute a **neurological emergency** requiring urgent evaluation and intervention. - Cauda equina syndrome results from compression of the neural elements below the conus medullaris (typically L2-L5 and sacral nerve roots). - **Immediate management** includes urgent **MRI of the lumbosacral spine** (gold standard for diagnosis) and **emergent neurosurgical consultation** for **surgical decompression within 48 hours** (ideally within 24 hours) to prevent permanent neurological deficits, including irreversible bladder/bowel dysfunction and paralysis. *Outpatient management with a 3-day course of meloxicam and tolperisone and reassess* - Administering **NSAIDs (meloxicam)** and **muscle relaxants (tolperisone)** for outpatient management would **delay critical care** for a rapidly progressing neurological emergency. - This approach is inappropriate given the **acute onset of incontinence** and **saddle anesthesia**, which are red flags for cauda equina syndrome requiring immediate intervention. *Recommend non-emergent inpatient spinal manipulation program* - **Spinal manipulation** is absolutely **contraindicated** in cases of suspected cauda equina syndrome due to the risk of exacerbating spinal cord or nerve root compression. - Such a program is designed for less severe, chronic back pain conditions, not for an **acute neurological emergency** with progressive deficits. *Outpatient management with a 3-day course of diclofenac and gabapentin and reassess* - While diclofenac (NSAID) and gabapentin (for neuropathic pain) can manage some back pain, they are **insufficient** for cauda equina syndrome, which requires **urgent diagnosis and surgical intervention**. - Delaying definitive treatment for a few days to "reassess" would likely lead to **irreversible neurological damage**, including permanent bladder dysfunction and paralysis. *Outpatient management with 3 days of strict bed rest and reassess* - **Strict bed rest** is generally **not recommended** for acute low back pain and can often be detrimental, potentially leading to deconditioning. - More importantly, it does nothing to address the underlying **spinal compression** causing the cauda equina syndrome and would lead to **critical delays** in care, risking permanent neurological sequelae.
Explanation: ***Emergency laparotomy*** - The patient presents with **hemodynamic instability** (BP 82/51 mmHg, HR 136/min) and a **positive FAST exam** showing fluid in the perisplenic space, indicating intra-abdominal hemorrhage. - According to **ATLS guidelines**, a hemodynamically unstable patient with a positive FAST exam requires **immediate operative intervention** to control bleeding. This is the definitive management for ongoing hemorrhage. - While fluid resuscitation is initiated simultaneously (en route to OR), **surgical control of the bleeding source** is the priority and should not be delayed. *Fluid resuscitation* - Fluid resuscitation with IV crystalloids is essential and should be started immediately in this patient with hypovolemic shock. - However, in a patient with **uncontrolled intra-abdominal hemorrhage** (positive FAST, hemodynamic instability), fluids alone will not stop the bleeding. Continued fluid resuscitation without surgical intervention can lead to dilutional coagulopathy and worsening outcomes. - Fluid resuscitation occurs **concurrently with preparation for surgery**, not as a separate step that delays definitive management. *Diagnostic peritoneal lavage* - DPL is an invasive diagnostic procedure that has largely been replaced by FAST exam in modern trauma care. - Given that the **FAST is already positive**, DPL would provide no additional useful information and would only **delay definitive surgical management**. - In hemodynamically unstable patients with positive FAST, proceeding directly to laparotomy is indicated. *Abdominal radiograph* - Plain radiographs have **limited sensitivity** for detecting intra-abdominal bleeding or solid organ injury. - They may show free air (indicating hollow viscus perforation) but cannot assess for fluid or characterize solid organ injuries. - This would **delay necessary operative intervention** without providing actionable information. *Abdominal CT* - CT abdomen is the imaging modality of choice for **hemodynamically stable** trauma patients to characterize injuries and guide management. - For **unstable patients**, CT is **contraindicated** as it delays definitive treatment and removes the patient from a resuscitation environment where deterioration can be immediately addressed.
Explanation: ***Chest X-rays*** - The patient's presentation with **sudden onset dyspnea** and **sharp chest pain** post-exercise, along with **hyperresonance** and **diminished lung sounds** in the right lung field, is highly suggestive of a **spontaneous pneumothorax**. - However, the patient is **hemodynamically stable** (BP 105/67, HR 78/min) with no signs of tension physiology (no severe hypotension, marked tachycardia, or cardiovascular collapse). - In a stable patient with suspected pneumothorax, **chest X-ray is the appropriate first step** to confirm the diagnosis, determine the size of the pneumothorax, and guide subsequent management (observation for small pneumothorax <20%, aspiration, or tube thoracostomy for larger pneumothoraces). - Immediate intervention without imaging is reserved for unstable patients with tension pneumothorax. *Tube insertion* - Chest tube insertion is the definitive treatment for large pneumothoraces (>20%) or hemodynamically unstable patients with tension pneumothorax. - In this **stable patient**, proceeding directly to tube insertion without imaging confirmation would be premature and not following standard of care. - The diagnosis should be confirmed and the size estimated via chest X-ray before determining if tube thoracostomy is necessary. *CT scan* - CT scan is not indicated as the initial diagnostic test for suspected pneumothorax. - It provides more detail than needed for this clinical scenario and causes unnecessary delay and radiation exposure when chest X-ray is sufficient. - CT may be useful for detecting small pneumothoraces not visible on X-ray or evaluating underlying lung disease, but is not the first-line test. *ABG* - An Arterial Blood Gas (ABG) might show hypoxia and respiratory alkalosis, providing information about gas exchange. - However, ABG does not confirm the diagnosis of pneumothorax or guide immediate management decisions. - It is an adjunctive test that does not take priority over diagnostic imaging in this scenario. *Sonogram* - Lung ultrasound can rapidly detect pneumothorax by showing absent lung sliding and is increasingly used in emergency settings, particularly for bedside evaluation. - While potentially useful, **chest X-ray remains the standard initial imaging modality** for suspected pneumothorax in most emergency departments, as it provides clear documentation of pneumothorax size and is more universally available and interpreted. - Ultrasound may be preferred in specific situations (unstable patients, point-of-care evaluation), but chest X-ray is the conventional first-line imaging test.
Explanation: ***Incised wound*** - An **incised wound** is caused by a sharp object, such as a broken bottle, resulting in a clean, straight cut with well-defined edges and minimal tissue damage. - The characteristics of the injury (sharp object mechanism, 4 cm linear wound) and the clinical decision that suturing was not required suggest a relatively clean incised wound with edges that could approximate well. - Incised wounds typically heal with **fine linear scars** as shown in the image, especially when the edges are well-approximated. *Abrasion* - An abrasion is a **superficial wound** caused by friction or scraping, leading to removal of the epidermis and sometimes the superficial dermis. - This mechanism does not match the described injury from a broken bottle, and abrasions produce broad, shallow wounds rather than deep linear cuts. - Abrasions heal with minimal scarring and would not produce the linear scar pattern shown. *Laceration* - A laceration is a wound with **irregular, torn edges** typically caused by blunt force trauma or crushing injury. - While broken glass can sometimes cause lacerations, the description of a clean "4 cm wound" from falling on a broken bottle more strongly suggests a sharp cutting mechanism rather than tearing. - Lacerations have jagged edges with more tissue damage and typically require debridement or careful closure. *Avulsion* - An **avulsion** involves forcible tearing away of tissue, often resulting in significant tissue loss with irregular, gaping wounds. - This injury pattern is much more severe than described and would typically require complex surgical management, including possible skin grafting. - The mechanism (falling on broken glass) and the relatively straightforward healing do not support an avulsion injury. *Puncture* - A puncture wound is caused by a **pointed object** penetrating the skin, creating a small entry hole with depth greater than width. - The description of a "4 cm wound" indicates a linear length, not a deep narrow penetration typical of puncture wounds. - Puncture wounds carry high infection risk and would not produce the linear scar pattern shown in the image.
Explanation: **Needle thoracostomy at the 2nd intercostal space, midclavicular line** - The patient presents with classic signs of **tension pneumothorax**, including respiratory distress, hypotension, tachycardia, jugular venous distention, absent breath sounds, hyperresonance to percussion, tracheal deviation away from the affected side, and mediastinal shift. - **Needle thoracostomy** in the 2nd intercostal space at the midclavicular line is the most appropriate *initial* life-saving intervention for tension pneumothorax, as it rapidly decompresses the pleural space. *Tube thoracostomy at the 2nd intercostal space, midclavicular line* - While a **tube thoracostomy (chest tube insertion)** is the definitive treatment for pneumothorax, it is not the immediate first step for a **tension pneumothorax** due to the time constraint and the need for immediate decompression. - The 2nd intercostal space, midclavicular line, is an appropriate site for needle decompression, but a chest tube is typically inserted at a different location (5th intercostal space, anterior axillary line). *Tube thoracostomy at the 5th intercostal space, midclavicular line* - This location is not the standard site for either needle decompression or definitive chest tube insertion. The **midaxillary or anterior axillary line** is preferred for chest tube placement to avoid neurovascular bundles. - Again, while a chest tube is needed, it is not the *immediate* first step for a **tension pneumothorax**. *Tube thoracostomy at the 5th intercostal space, anterior axillary line* - This is the **correct anatomical location** for definitive chest tube insertion for a pneumothorax or hemothorax. - However, in the setting of acute **tension pneumothorax**, **needle decompression** is required first to rapidly decompress the intrathoracic pressure and stabilize the patient before a chest tube can be placed. *Needle thoracostomy at the 5th intercostal space, midclavicular line* - The **5th intercostal space** is too low for an effective needle decompression of a tension pneumothorax. - The standard site for needle decompression of a tension pneumothorax is the **2nd intercostal space, midclavicular line**, due to its safety and effectiveness in accessing the pleural space.
Explanation: ***Endoscopic ligation of the sphenopalatine artery*** - The patient presents with **severe, recurrent epistaxis** that is unresponsive to conservative measures, anterior and posterior packing, indicating a **posterior nasal bleed**. The sphenopalatine artery is the primary blood supply to the posterior nasal cavity. - **Ligation of the sphenopalatine artery** is a highly effective surgical intervention for intractable posterior epistaxis, providing definitive control of bleeding in such cases. *Endoscopic ligation of the anterior ethmoidal artery* - The **anterior ethmoidal artery** primarily supplies the superior and anterior nasal septum and lateral nasal wall; ligation would be considered for **anterior superior epistaxis** that is difficult to control. - Given the failed extensive packing and the severity of bleeding without an obvious anterior source, the bleeding is likely posterior and more widespread than the anterior ethmoidal artery territory. *Endoscopic ligation of the greater palatine artery* - The **greater palatine artery** primarily supplies the hard palate; it is not a major source of epistaxis and its ligation would not address the severe, persistent posterior nasal bleeding. - This artery's contribution to nasal bleeding is minimal, and it is not typically involved in **recurrent severe epistaxis** that requires surgical intervention. *Endoscopic ligation of the posterior ethmoidal artery* - The **posterior ethmoidal artery** supplies a small area of the superior posterior nasal septum and lateral wall. While it can contribute to posterior epistaxis, it is a less common source and less significant than the sphenopalatine artery. - Ligation of the posterior ethmoidal artery alone would be insufficient if the bleeding is primarily from the **sphenopalatine artery territory**, which supplies a much larger area of the posterior nasal cavity. *Endoscopic ligation of the lesser palatine artery* - The **lesser palatine artery** supplies the soft palate and tonsillar area; it is not a significant source of epistaxis and its ligation would not be relevant to controlling severe nasal bleeding. - This artery plays no substantial role in the blood supply of the nasal cavity and would not be targeted for the treatment of **epistaxis**.
Explanation: ***Ludwig angina*** - This patient presents with **rapidly progressive submandibular and anterior neck swelling**, dysphagia, fever, and a history of a recent dental infection (decayed molar with pus drainage). These are classic signs of **Ludwig angina**, a severe cellulitis of the floor of the mouth. - The patient's **poorly controlled diabetes** and **obesity** are risk factors for severe infections, and the elevated leukocyte count further supports an active bacterial infection. *Angioedema* - **Angioedema** typically presents with rapid swelling of the face, lips, tongue, or larynx, but it is usually **non-pitting** and **painless**, without systemic signs of infection (fever, pus, elevated leukocytes). - While lisinopril can cause angioedema, the presence of **fever, pus drainage from a tooth, and tenderness** makes an infectious etiology more likely than an allergic or bradykinin-mediated angioedema. *Peritonsillar abscess* - A **peritonsillar abscess** is characterized by severe **sore throat**, **trismus**, **"hot potato" voice**, and a **uvular deviation**, which are not reported in this patient. - While it can cause dysphagia and fever, the primary swelling in this case is submandibular and anterior neck, not peritonsillar. *Lymphadenitis* - **Cervical lymphadenitis** involves painful, enlarged **lymph nodes**, often in response to an infection. While the patient has an infection, lymphadenitis would present as discrete node enlargement rather than diffuse, board-like swelling of the floor of the mouth and submandibular space. - The extensive swelling, dysphagia, and involvement of fascial planes are more consistent with a spreading cellulitis like Ludwig angina. *Sublingual hematoma* - A **sublingual hematoma** would typically result from **trauma** or a **coagulopathy**, neither of which is indicated in this patient's history. - It would also not explain the fever, pus drainage, and elevated leukocyte count indicative of an active infection.
Explanation: ***Pulmonary contusion*** - The patient's presentation with **hypoxia**, increasing shortness of breath after a high-speed motor vehicle collision, and **patchy, irregular infiltrates** on chest x-ray despite initial hydration, are highly suggestive of **pulmonary contusion**. - The coarse breath sounds over the right lung base further support the presence of parenchymal injury and hemorrhage in the lung tissue. *Pneumothorax* - While a pneumothorax is common after trauma, the chest x-ray would typically show a **collapsed lung** and **absence of lung markings** in the affected area, which is not described. - The presence of coarse breath sounds suggests air entry, not a complete absence due to collapsed lung. *Aspiration pneumonia* - Although the patient had one episode of vomiting, **aspiration pneumonia** typically develops hours to days after aspiration, presenting with fever and signs of infection. - The acute onset of symptoms within minutes of trauma and the lack of fever make aspiration pneumonia less likely as the primary diagnosis immediately following the accident. *Acute respiratory distress syndrome* - **Acute respiratory distress syndrome (ARDS)** is a severe inflammatory lung injury that typically develops **24 to 72 hours** after an initial insult, not immediately. - While the patient has hypoxia, the diffuse bilateral infiltrates characteristic of ARDS are not seen, and his symptoms are too acute for ARDS to be the primary cause at 35 minutes post-injury. *Pulmonary embolism* - A **pulmonary embolism** would typically present with sudden onset of shortness of breath and pleuritic chest pain, often without significant findings on chest x-ray or presenting with a **wedge-shaped infiltrate**. - Given the direct chest trauma and immediate onset of respiratory compromise, a pulmonary contusion is a more direct and acute consequence.
Explanation: ***Increased intrapharyngeal pressure*** - The symptoms of **dysphagia**, **regurgitation of undigested food**, and a **neck mass prominent with coughing** are classic for a **Zenker's diverticulum**, which results from increased intrapharyngeal pressure causing herniation of mucosa through Killian's triangle. - The barium swallow showing **contrast accumulation** and the location of the mass further support this diagnosis, as Zenker's diverticula are pseudo-diverticula caused by pulsion from high pressure during swallowing. *Remnant of the embryological omphalomesenteric duct* - An **omphalomesenteric duct remnant** typically presents as a **Meckel's diverticulum** in the small intestine or an umbilical fistula, not as a neck mass with swallowing difficulties. - This embryological anomaly is related to the midgut development and has no connection to pharyngeal issues. *Inadequate relaxation of lower esophageal sphincter* - **Inadequate relaxation of the lower esophageal sphincter** (LES) is characteristic of **achalasia**, which causes dysphagia and regurgitation, but typically of *fermented* rather than *undigested* food, and does not present with a palpable neck mass as described. - Achalasia involves the distal esophagus and does not lead to a pharyngeal outpouching. *Remnant of the thyroglossal duct* - A **thyroglossal duct cyst** is a midline neck mass that moves with swallowing and tongue protrusion, which is not consistent with the lateral, pulsion-type mass that becomes prominent with coughing. - While it can be found in the upper third of the neck, its embryological origin and presentation differ significantly from a Zenker's diverticulum. *Remnant of the second branchial cleft* - A **second branchial cleft cyst** is typically a lateral neck mass, often located anterior to the sternocleidomastoid muscle, but it is congenital and does not typically present with progressive dysphagia and regurgitation of undigested food in adulthood, nor does it typically become prominent with coughing due to increased intrapharyngeal pressure. - These cysts are usually asymptomatic unless infected and are not directly related to swallowing mechanics.
Explanation: ***Needle thoracostomy*** - The patient's sudden deterioration with **tachycardia**, **hypotension**, and **jugular venous distension** (JVD) in the setting of positive pressure ventilation strongly suggests a **tension pneumothorax**. - **Needle decompression** is the immediate life-saving intervention for suspected tension pneumothorax, as delaying treatment for diagnostic imaging could be fatal. *Tube thoracostomy* - While a **tube thoracostomy** (chest tube insertion) is the definitive treatment for pneumothorax, it requires more time and resources than needle decompression. - In a true emergency with signs of tension, needle decompression should be performed first to stabilize the patient, followed by a chest tube. *FAST exam* - A **Focused Assessment with Sonography for Trauma (FAST) exam** is primarily used to detect free fluid (usually blood) in the abdomen or pericardium in trauma patients. - While it can sometimes identify pneumothorax, it is not the fastest or most direct intervention for a suspected tension pneumothorax causing hemodynamic instability. *Chest radiograph* - A **chest radiograph (CXR)** is the standard diagnostic tool for pneumothorax, but obtaining and interpreting it would delay urgent intervention in a hemodynamically unstable patient with suspected tension pneumothorax. - The diagnosis of tension pneumothorax is primarily clinical; treatment should not wait for imaging. *Thoracotomy* - A **thoracotomy** is a major surgical procedure involving opening the chest, typically reserved for severe trauma, massive hemorrhage, or complex thoracic issues. - It is an overly aggressive and inappropriate initial intervention for a suspected tension pneumothorax.
Explanation: ***Persistent intraabdominal bleeding*** - The patient's initial presentation with **uncontrolled hemorrhage due to multiple stab wounds** is the most likely cause of his subsequent decompensation and cardiac arrest. Despite transfusion, persistent bleeding would lead to ongoing **hypovolemic shock**, explaining the worsening hypotension and tachycardia. - The patient's complaint of shortness of breath and wheezing could be a **reaction to hypovolemic shock** or a **transient pulmonary response** related to the ongoing volume loss and metabolic state, rather than a primary respiratory obstructive process. *COPD* - While the patient has a smoking history, his age (18 years old) makes significant **COPD** unlikely to be established enough to cause such a rapid and severe decompensation. - The **wheezing** could be a non-specific response to shock or hypoperfusion, not necessarily indicative of COPD exacerbation in this acute setting. *Congenital long QT syndrome* - This condition is a **cardiac electrical disorder** predisposing to arrhythmias, but it is not directly linked to the traumatic injury or the progressive hypovolemic shock in this clinical scenario. - There is no specific information in the vignette to suggest an **arrhythmia originating from a prolonged QT interval** as the primary cause of his cardiac arrest. *Heart failure* - Although the patient has a history of heart failure, his primary and overwhelming problem is **acute hemorrhagic shock** from the stab wounds. The dramatic drop in blood pressure and rise in heart rate point to volume loss, not primarily cardiogenic shock exacerbation. - While heart failure can complicate resuscitation, it is not the **direct cause of decompensation** in the face of active, life-threatening hemorrhage. *IgA deficiency* - **IgA deficiency** is an immunodeficiency associated with recurrent infections, but it has no direct pathophysiological link to acute traumatic hemorrhage or the rapid cardiovascular collapse experienced by this patient. - It would not explain the sudden severe signs of **hypovolemic shock** or cardiac arrest in this context.
Explanation: ***Emergent surgery*** - The pulsatile bleeding from a thigh wound near the inguinal ligament is highly suggestive of a major arterial injury, such as to the **femoral artery**. - Given the potential for rapid blood loss and hemodynamic instability, **emergent surgical exploration and repair** are necessary to control the bleeding and prevent further compromise. *CT lower extremities* - While CT angiography could further delineate vascular injury, the presence of **active pulsatile bleeding** necessitates immediate surgical intervention rather than delaying for imaging. - Delaying surgery for imaging risks **exsanguination** and worsening patient outcomes, especially with a blood pressure of **100/50 mmHg** and a heart rate of **110 bpm**, indicating early shock. *Radiograph lower extremities* - A radiograph would primarily visualize bone structures and foreign bodies but would not provide adequate information regarding the **vascular injury** and active bleeding. - It would not change the urgent need for **surgical exploration** to address the pulsatile hemorrhage. *Coagulation studies and blood typing/crossmatch* - These are important preparatory steps for major surgery involving significant blood loss, but they should be carried out **concurrently with preparations for emergent surgery**, not instead of it. - Delaying surgery to await these results would be inappropriate when facing **active arterial bleeding**. *Tourniquet of proximal lower extremity* - While a tourniquet can be used for temporary hemorrhage control, especially in an uncontrolled external hemorrhage, the current bleeding is being controlled by **direct pressure**. - Applying a tourniquet could cause **ischemic damage** to the extremity if applied for too long, and for a deep stab wound, direct compression is often effective until surgical control can be achieved.
Explanation: ***Local radiation*** - The patient has a new **sclerotic lesion at L5** causing severe, unremitting pain, which is characteristic of **metastatic prostate cancer** to the bone. - **Local radiation therapy** is highly effective for localized bone pain due to metastases, providing significant pain relief and preventing further bone destruction. *Prostatectomy* - **Prostatectomy** is a treatment for localized prostate cancer and would not address existing **metastatic bone disease** causing spinal pain. - The patient has already undergone bilateral orchiectomy, which achieves **androgen deprivation**, making prostatectomy for pain management inappropriate. *Flutamide* - **Flutamide** is an **anti-androgen** used in hormone-sensitive prostate cancer, but the patient has already had an orchiectomy, indicating he is likely on maximum androgen deprivation. - In cases of progression after initial androgen deprivation, **second-line hormonal therapies** or chemotherapy would be considered, but **local radiation** is more targeted for immediate pain relief from a specific bone lesion. *Spinal surgery* - **Spinal surgery** is typically reserved for cases of **spinal cord compression**, neurological deficits (e.g., limb weakness, incontinence), or spinal instability. - Since the patient has no signs of **spinal cord compression** or neurological deficits, surgical intervention is not the most appropriate initial step for pain management from a bone lesion. *Denosumab* - **Denosumab** is a **RANK ligand inhibitor** used to prevent skeletal-related events (SREs) and manage bone pain in metastatic cancer. - While it helps in overall bone health and pain over time, **local radiation** offers more rapid and direct pain relief for a specific, painful metastatic lesion.
Explanation: ***Removal of nasal packing*** - This patient presents with classic **toxic shock syndrome (TSS)** caused by nasal packing following her nasal fracture repair 2 days ago. - Key diagnostic features include: **purpuric rash** (diffuse macular erythroderma with petechiae), hypotension (90/48 mmHg), tachycardia (150/min), fever, and altered mental status. - TSS is caused by **Staphylococcus aureus** toxin production, with nasal packing being a well-known risk factor. - **Immediate removal of the nasal packing** (the source of infection) is the critical first step, followed by fluid resuscitation and empiric anti-staphylococcal antibiotics. *Urine toxicology screen and empiric naloxone* - While the patient is an IV drug user, opioid overdose does **not** explain the **purpuric rash**, which is the key diagnostic finding. - Opioid overdose typically presents with **respiratory depression** (low respiratory rate), not tachypnea (24/min) with normal oxygen saturation. - The clinical picture is dominated by TSS, not drug toxicity. *Nafcillin* - While **nafcillin** (anti-staphylococcal antibiotic) will be needed for TSS treatment, the **first step** is removal of the source (nasal packing). - Source control takes precedence over antibiotics in foreign body-associated infections. *Vancomycin* - Similar to nafcillin, **vancomycin** is appropriate for empiric TSS coverage (especially for MRSA), but must come **after** removal of nasal packing. - Antibiotics without source control will not adequately treat TSS. *Norepinephrine* - While the patient is hypotensive and may eventually require vasopressor support, the **immediate priority** is removing the infectious source. - TSS-induced shock should be managed with aggressive fluid resuscitation first, and vasopressors are added if fluid resuscitation fails.
Explanation: ***Kidney*** - The patient's presentation with **flank pain**, **ecchymoses over the flank**, and **hypotension** following a fall from height is highly suggestive of **renal injury**. The absence of intraperitoneal fluid on FAST scan further supports an injury to a retroperitoneal organ like the kidney. - The **significantly decreased hemoglobin (7.6 g/dL)** indicates substantial blood loss, which is consistent with the vascular nature of the kidney and potential for severe hemorrhage following trauma. *Liver* - While liver injury can cause **hypotension** and **abdominal pain** after trauma, the primary pain would typically be in the **right upper quadrant**, not specifically the flank. - Liver injuries often result in **intraperitoneal fluid collections** (hemoperitoneum), which were explicitly absent on the FAST scan in this patient. *Stomach* - Stomach injuries typically result from penetrating trauma or severe blunt force, leading to **peritonitis** and potential **gastric content leakage**, which would cause diffuse abdominal pain and potentially peritonitis signs. - It is an **intraperitoneal organ**, and injury might be seen on a FAST scan as free fluid, which is not present here. *Small bowel* - Small bowel injuries typically present with **diffuse abdominal pain**, **peritoneal signs**, and can lead to **sepsis** due to contamination. - These injuries often cause **intraperitoneal fluid** or air, neither of which is reported. *Spleen* - Splenic injuries typically cause **left upper quadrant pain** and can lead to significant **intraperitoneal bleeding**, which would be detected by a FAST scan. - The patient's symptoms are localized to the **right side** and flank, making splenic injury less likely.
Explanation: ***Pericardiocentesis*** - The patient's presentation with **hypotension**, **tachycardia**, **distended neck veins**, and **distant heart sounds** after a chest stab wound is classic for **cardiac tamponade** (Beck's triad). - **Pericardiocentesis** is the immediate life-saving procedure to drain the pericardial fluid and relieve pressure on the heart, improving cardiac output. - In penetrating trauma, this serves as a **bridge to definitive surgical management** (thoracotomy or sternotomy). *Heparin* - **Heparin** is an anticoagulant and would worsen the situation by increasing bleeding into the pericardial space due to the stab wound. - It is contraindicated in active bleeding and traumatic injury. *Intravenous fluids* - While **IV fluid resuscitation is recommended** in cardiac tamponade to maintain preload and support cardiac output, fluids alone **do not address the underlying mechanical obstruction**. - The primary issue is **extrinsic compression of the heart** requiring drainage, not hypovolemia alone. - Fluids are supportive but not definitive—**pericardiocentesis is the life-saving intervention**. *Aspirin* - **Aspirin** is an antiplatelet agent and would increase the risk of bleeding, exacerbating the patient's condition. - It is used for conditions like myocardial infarction or stroke prevention, not for acute traumatic bleeding. *Intravenous colloids* - Similar to crystalloid fluids, **colloids** may provide temporary hemodynamic support but do not relieve the mechanical compression of the heart. - They are supportive measures that **do not substitute for definitive pericardial drainage**.
Explanation: ***Clouding of maxillary sinus*** - This patient's symptoms (periorbital swelling, globe displacement, infraorbital rim tenderness, limited upward gaze) are strongly suggestive of an **orbital floor (blowout) fracture**. The orbital floor is the roof of the **maxillary sinus**, so a fracture often causes blood to leak into the sinus, leading to **clouding on imaging**. - Limited upward gaze is a classic sign due to **entrapment of the inferior rectus muscle** or its surrounding soft tissues in the fracture site. *Cerebrospinal fluid leak* - A CSF leak is associated with fractures involving the **skull base**, particularly the **cribriform plate** or **petrous bone**, which is not directly indicated by these symptoms. - While possible with severe facial trauma, it's less direct consequence of the localized orbital floor fracture described. *Pneumatization of frontal sinus* - **Pneumatization** refers to the development of air cells within a bone, a normal physiological process, not an acute traumatic finding. - The frontal sinus is located superior to the orbit, and while it can be involved in trauma, the described symptoms point specifically to the **orbital floor** and infraorbital region. *Injury to lacrimal duct system* - Injury to the lacrimal duct system typically presents with **epiphora** (excessive tearing) or dacryocystitis. - This type of injury is more common with trauma to the **medial canthus** or nasal area, not primarily the infraorbital rim. *Disruption of medial canthal ligament* - Disruption of the medial canthal ligament would lead to a widened space between the eyelids (telecanthus) and often involve the **lacrimal drainage system**. - This is typically associated with fractures of the **naso-orbital-ethmoid complex**, which is distinct from the orbital floor fracture described.
Explanation: ***Local anal trauma*** - The patient's history of **anal intercourse**, severe **anal pain** during bowel movements, **bright red bleeding**, and a markedly **increased anal sphincter tone** with inability to perform a DRE due to pain are highly indicative of an **anal fissure** caused by local trauma. - The dull, throbbing pain suggests associated spasm of the internal anal sphincter, a common complication of anal fissures. *Rectal prolapse and paradoxical contraction of the puborectalis muscle* - **Rectal prolapse** typically presents with a sensation of a mass protruding from the anus and difficulty with bowel movements, not usually intense, sharp pain and bright red bleeding. - **Paradoxical contraction of the puborectalis muscle** (anismus) causes difficult defecation and straining but is not typically associated with acute, severe pain and bright red bleeding as primary symptoms. *Inflammatory bowel disease* - While IBD can cause rectal bleeding and anal pain (e.g., in Crohn's disease with perianal fistulas or fissures), the presentation here is acute and highly suggestive of a mechanical cause, without other systemic symptoms of IBD like diarrhea, weight loss, or abdominal pain. - The **isolated acute anal pain** and bleeding linked to defecation and anal intercourse are less typical for an initial presentation of IBD without other associated symptoms. *Anorectal abscess* - Anorectal abscesses typically present with severe, constant, throbbing **perianal pain** that is often worse when sitting, and may be accompanied by fever, chills, and localized swelling or erythema, which are not described here. - While an abscess might cause throbbing pain, the association with **defecation-induced pain** and **bright red bleeding** from a visible source like an anal fissure is less characteristic. *Hemorrhoidal disease* - Hemorrhoids often cause **painless bright red bleeding** during defecation or can cause itching and discomfort. **Thrombosed external hemorrhoids** can cause acute, severe pain but usually present with a palpable, tender nodule. - The description of **intense, sharp anal pain** during bowel movements, increased sphincter tone, and inability to perform a digital rectal exam are more consistent with an anal fissure than typical hemorrhoidal disease.
Explanation: ***Irrigation*** - Immediate and copious **irrigation** is the most crucial step in managing a chemical eye injury to dilute and remove the corrosive substance, preventing further ocular damage. - Delaying irrigation can lead to irreversible damage, especially with **acid burns** from battery acid (sulfuric acid). *Visual acuity test* - While important, assessing **visual acuity** should occur *after* initial irrigation to prioritize minimizing chemical exposure and preserving ocular health. - Performing it before irrigation delays critical treatment, potentially worsening the prognosis. *Slit lamp exam* - A **slit lamp exam** is essential for evaluating the extent of ocular damage but should only be performed *after* adequate irrigation has been completed. - It provides detailed information on corneal and conjunctival integrity but is not the immediate priority in an acute chemical exposure. *CT orbits* - A **CT scan of the orbits** is not indicated for a chemical eye injury unless there is suspicion of a **globe rupture** or **orbital fracture**, which are not suggested by the patient's presentation. - This imaging study would unnecessarily delay vital treatment for the chemical burn. *Surgical debridement* - **Surgical debridement** is reserved for severe cases of chemical burns with significant tissue necrosis or foreign bodies that cannot be removed by irrigation. - It is not the initial management step and would be considered much later, if at all, based on the severity of the injury after initial stabilization.
Explanation: ***Administer 6 liters of intravenous crystalloids over the next 24 hours*** - The **Parkland formula** is 4 mL × weight (kg) × %TBSA burn. The patient's weight is 55 kg. The burns cover the anterior chest (9%), anterior abdomen (9%), and anterior surfaces of both upper extremities (4.5% + 4.5% = 9%), totaling **27% TBSA**. - Calculation: 4 mL × 55 kg × 27% = **5,940 mL ≈ 6 liters**. Half is given in the first 8 hours (approximately 3 L), and the remaining half over the next 16 hours (approximately 3 L). Total fluid in 24 hours is approximately **6 liters of crystalloids**. *Administer 4 liters of intravenous colloids over the next 8 hours* - The Parkland formula primarily uses **crystalloids** (lactated Ringer's solution) for initial fluid resuscitation in burn patients, not colloids. - Administering only 4 liters would be insufficient given the patient's 27% TBSA burn, and colloids are not first-line. *Administer 5 liters of intravenous colloids over the next 6 hours* - **Colloids** are not the first-line fluid for initial burn resuscitation under the Parkland formula; crystalloids are used. - The timing of 6 hours does not align with the Parkland formula's 24-hour resuscitation period (half in first 8 hours, half in next 16 hours). *Administer 5 liters of intravenous crystalloids over the next 6 hours* - While **crystalloids** are appropriate, 5 liters over 6 hours represents an inappropriately rapid infusion rate that does not follow the Parkland formula timing. - The first 8 hours should receive approximately 3 liters, not 5 liters over 6 hours, which could lead to complications such as **pulmonary edema or compartment syndrome**. *Administer 8 liters of intravenous colloids over the next 12 hours* - This option incorrectly specifies **colloids** instead of crystalloids as the primary fluid for burn resuscitation according to the Parkland formula. - The volume of 8 liters exceeds the calculated requirement of 6 liters for this patient's 27% TBSA burn.
Explanation: ***Anterior translation of the tibia relative to the femur*** - The rapid onset of a "snapping" sensation, immediate swelling, and instability after a traumatic event involving twisting or hyperextension of the knee is highly suggestive of an **anterior cruciate ligament (ACL) tear**. - A torn ACL allows for excessive **anterior translation** of the tibia relative to the femur, which is assessed clinically with tests like the **Lachman test** or **anterior drawer test**. *Laxity to valgus stress* - **Laxity to valgus stress** indicates injury to the **medial collateral ligament (MCL)**. While MCL tears can occur with ACL tears, the mechanism described (legs grabbed from behind, taken to the floor, resulting in instability) more directly points to an ACL injury rather than primarily an MCL tear, which often results from a direct blow to the lateral knee. - The patient's primary complaint of a single "snapping" event followed by instability is more characteristic of an ACL tear than an isolated MCL injury. *Clicking and locking of the joint with motion* - **Clicking and locking** of the joint are classic signs of a **meniscal tear**, which can accompany ACL injuries but are not the primary or most likely *initial* physical exam finding for an acute ACL tear. - While instability is also present in meniscal tears, the immediate swelling and "snapping" described are more characteristic of ligamentous damage. *Laxity to varus stress* - **Laxity to varus stress** indicates injury to the **lateral collateral ligament (LCL)**, which is much less common than ACL or MCL tears and typically results from a varus force applied to the knee. - The mechanism described (being taken to the floor from behind) does not strongly suggest an LCL injury as the primary lesion. *Posterior translation of the tibia relative to the femur* - **Posterior translation of the tibia relative to the femur** is indicative of a **posterior cruciate ligament (PCL) tear**, which usually results from a direct blow to the anterior tibia when the knee is flexed (dashboard injury) or a fall onto a flexed knee. - The mechanism of injury in this patient (legs grabbed from behind, twisting/hyperextension) is not typical for a PCL injury.
Explanation: ***Dacrocystitis*** - The presentation of **eye pain**, swelling inferior to the eye near the **lacrimal duct**, and the presence of **expressible pus** upon pressure strongly indicates dacryocystitis, which is an infection of the **lacrimal sac**. - The history of a recent orbital fracture, while not directly causing the infection, could predispose the area to inflammation or obstruction leading to infection. *Orbital cellulitis* - This condition would present with more severe symptoms, including **pain with eye movement**, **proptosis** (exophthalmos), **ophthalmoplegia**, and vision changes, which are not described. - Infection is **posterior to the orbital septum**, often extending from sinusitis, and is a medical emergency. *Hordeolum* - A hordeolum (stye) is an acute infection of the glands of the eyelid, presenting as a **tender, red bump on the eyelid margin**, not inferior to the eye near the lacrimal duct. - It typically involves the **sebaceous glands** (external hordeolum) or **Meibomian glands** (internal hordeolum). *Periorbital cellulitis* - Also known as preseptal cellulitis, this involves infection of the tissues **anterior to the orbital septum**, causing eyelid swelling and redness but **without pain on eye movement**, proptosis, or vision changes. - Unlike dacryocystitis, the infection is more diffuse around the periorbital area and not specifically focused on the lacrimal sac with expressible pus. *Abscess* - While dacryocystitis can lead to an abscess of the lacrimal sac, "abscess" alone is a general term. **Dacryocystitis** specifically describes the infection and inflammation of the lacrimal sac, which is the most precise diagnosis here given the location and expressible pus. - An abscess typically implies a **localized collection of pus** within a tissue, but dacryocystitis defines the primary affected structure.
Explanation: ***Full-thickness (3rd degree)*** - The description of **blackened, charred appearance**, **loss of pain sensation**, **minimal blanching**, and **leathery texture** are classic signs of a **full-thickness (3rd-degree) burn**. - **Full-thickness burns** destroy the entire dermis, including nerve endings, leading to a painless area. - The leathery texture results from protein coagulation in the destroyed dermis. *Superficial (1st degree)* - This type of burn affects only the **epidermis**, causing redness, pain, and no blistering. - The patient's presentation of charred skin and insensitivity to pain is inconsistent with a **superficial burn**. *Superficial-partial thickness (2nd degree)* - **Superficial partial-thickness burns** involve the epidermis and superficial dermis, characterized by painful blisters and redness. - The absence of pain and presence of charred skin rule out this type of burn. *Deep-partial thickness (deep 2nd degree)* - **Deep partial-thickness burns** extend into the deep dermis and may have **decreased pain sensation** due to nerve damage. - However, these burns typically appear **mottled red or white** rather than blackened and charred, and usually have some blanching response. - The completely charred, blackened appearance with absent pain indicates full-thickness injury. *Full-thickness with extension to underlying structures (4th degree)* - A **4th-degree burn** extends beyond the skin into **muscle, bone, or tendons**, often with visible destruction of these structures. - The affected area would typically be **very firm or hard** with exposed deeper tissues. - While the burn is severe, the description focuses on skin characteristics without obvious involvement of deeper anatomical structures like muscle or bone.
Explanation: ***Tear of the supraspinatus muscle*** - Pain on **palpation of the anterolateral aspect of the shoulder**, pain with **elevation** and **abduction**, and **restricted active range of motion** with normal but painful passive range of motion are classic signs of rotator cuff injury, often involving the supraspinatus in athletes. - The volleyball player's history of **dull shoulder pain** after a game, worsened by sleeping on the arm or abducting/elevating it, further points towards a **rotator cuff tear** or tendinopathy, with the supraspinatus being the most commonly affected. *Intervertebral disk protrusion at the C4-5 level* - **Cervical radiculopathy** would typically present with **neuropathic pain**, sensory deficits, or motor weakness in a dermatomal or myotomal distribution, which is not evident here. - The localized shoulder pain and tenderness, along with pain on **active movement** but normal passive movement, are more indicative of a local shoulder issue rather than a cervical spine problem. *Shoulder joint dislocation* - A shoulder dislocation would present with **severe pain**, **obvious deformity** of the shoulder joint, and a complete inability to move the arm, which is not described. - The patient has restricted active range of motion but normal passive range of motion, and no bony deformities or swelling, ruling out a dislocation. *Intra-articular humeral fracture* - A fracture would cause **severe, acute pain**, **swelling**, **bruising**, and a likely **deformity** of the shoulder, along with an inability to move the arm actively or passively. - The absence of swelling, deformity, and severe acute pain that would typically follow a fracture makes this diagnosis less likely. *Entrapment of the axillary nerve* - **Axillary nerve entrapment** would primarily cause **deltoid muscle weakness**, leading to difficulty with abduction, and **sensory loss over the lateral shoulder**. - While there is some weakness with abduction, the specific point tenderness and pain with active movement point more towards a musculoskeletal injury rather than isolated nerve entrapment.
Explanation: ***Surgical exploration*** - The patient presents with classic symptoms of **testicular torsion**, including sudden-onset severe scrotal pain radiating to the thigh, an **elevated and tender testicle**, and absence of the **cremasteric reflex**. - Given the time-sensitive nature of testicular torsion (viability decreases significantly after 6 hours), **immediate surgical exploration** is warranted to confirm the diagnosis and detorse the testicle, ideally within 4-6 hours from symptom onset. *Testicular doppler ultrasound* - While a **doppler ultrasound** can confirm the absence of blood flow, it may **delay definitive treatment**. - In cases with a classic presentation and high clinical suspicion for testicular torsion, the diagnostic value of ultrasound is often outweighed by the critical need for rapid surgical intervention. *Observation and morphine* - **Observation** is inappropriate given the emergent nature of testicular torsion, which can lead to **testicular necrosis** if not promptly addressed. - While **morphine** can manage pain, it does not address the underlying pathology and crucial time would be lost. *IV antibiotics* - **IV antibiotics** are indicated for infections like **epididymitis**, which typically presents with a more gradual onset of pain, less severe pain, relief with elevation of the testicle (Prehn's sign), and an intact cremasteric reflex. - The clinical picture provided does not support an infectious cause. *CT scan of abdomen and pelvis* - A **CT scan** of the abdomen and pelvis is not indicated for the evaluation of acute scrotal pain and would expose the patient to **unnecessary radiation** and cause a significant **delay in diagnosis and treatment**. - It would not provide the necessary information to diagnose testicular torsion or other acute scrotal pathology.
Explanation: ***Intermetatarsal neuroma*** - The patient's presentation of a **burning sensation** between the third and fourth metatarsals, radiating to the digits, along with the reproduction of pain and an **audible click** (Mulder's sign) on palpation, are classic signs of an intermetatarsal neuroma, commonly known as **Morton's neuroma**. - **Tinel's sign** (pain with tapping) in the affected area confirms nerve involvement, and wearing high heels is a common predisposing factor. *Ganglion cyst* - While ganglion cysts can cause pain, they typically present as a **palpable, mobile mass** and do not characteristically cause a burning sensation that radiates to the digits, or an audible click. - The symptoms described are more consistent with **nerve compression** rather than a space-occupying lesion alone. *Metatarsal osteochondrosis* - This condition, such as **Freiberg's disease**, typically affects the **metatarsal head**, most commonly the second metatarsal, and presents with pain and swelling exacerbated by activity. - It does not usually involve a radiating **burning sensation** or the characteristic click observed in this patient. *Osteomyelitis* - Osteomyelitis is a bone infection characterized by **severe, constant pain**, fever, redness, and swelling, often with elevated **inflammatory markers** (ESR, CRP). - The patient's skin is intact, vital signs are normal, and there are no signs of infection, making this diagnosis unlikely. *Third metatarsal stress fracture* - A stress fracture typically causes ** localized pain** in the bone, which worsens with weight-bearing or activity and improves with rest. - It would not typically involve a **burning sensation** radiating into the toes or an audible click, which are indicative of nerve pathology.
Explanation: ***Wrap thumb in saline-moistened, sterile gauze and place in sterile bag*** - This method provides a **moist, sterile environment** for the amputated part, which is crucial for preserving tissue viability. - The use of a sterile bag helps prevent contamination and allows the part to be placed inside a cooler without direct ice contact, preventing **frostbite**. *Place thumb in cup of cold milk* - While cold milk might offer some cooling, it is **not sterile** and could introduce bacteria, increasing the risk of infection. - Milk's composition is **not ideal for cell preservation** compared to saline, which is more isotonic. *Wrap thumb in sterile gauze and submerge in a cup of saline* - Submerging the amputated part directly in saline, even with sterile gauze, can lead to **tissue maceration** due to overhydration. - This method also makes it more difficult to prevent contamination during transportation if the cup is not sealed. *There is no need to save the thumb* - **Replantation surgery** is often possible and highly desirable for thumb amputations due to its critical functional role. - Dismissing the amputated part would deprive the patient of a chance to restore function, especially given the short time since amputation. *Place thumb directly into cooler of ice* - Direct contact with ice can cause **frostbite** and **tissue damage**, compromising the viability of the amputated part. - The preferred method is to keep the amputated part cool, but not frozen, usually by placing it in a sealed bag within an ice-filled container.
Explanation: ***Surgical exploration of the scrotum*** - The sudden onset of severe testicular pain, vomiting, an **absent cremasteric reflex**, and testicular tenderness that **persists on elevation (negative Prehn's sign)** are highly suggestive of **testicular torsion**. - **Testicular torsion** is a surgical emergency requiring immediate exploration to salvage the testis; delaying surgery beyond 6-8 hours significantly increases the risk of **testicular ischemia** and necrosis. *Urine dipstick* - While a **urine dipstick** can help rule out a **urinary tract infection** or **epididymitis**, these conditions typically present with more gradual pain and often have associated urinary symptoms, which are not the primary concern here. - Delaying definitive treatment for a suspected **testicular torsion** by performing non-urgent diagnostic tests can lead to irreversible damage to the testis. *Ceftriaxone and doxycycline therapy* - This antibiotic regimen is typically used to treat **epididymitis** or **orchitis**, especially in sexually active adolescents, or cases suspected of bacterial infection. - The acute, severe nature of the pain and the absence of fever or urinary symptoms make **bacterial epididymitis** less likely, and administering antibiotics would delay the critical intervention needed for **testicular torsion**. *Close observation* - **Close observation** is inappropriate given the highly suspicious symptoms of **testicular torsion**, which is a time-sensitive emergency. - Delaying intervention can result in irreversible **ischemic damage** to the testicle, leading to its loss. *CT scan of the abdomen and pelvis* - A **CT scan** is not the appropriate initial diagnostic step for acute scrotal pain; it exposes the patient to radiation and would delay definitive diagnosis and treatment. - While it could identify other sources of abdominal pain, the clinical presentation is characteristic of a local scrotal pathology, and **ultrasound with Doppler** is preferred if imaging is needed to confirm **testicular torsion**, though clinical suspicion often warrants direct surgical exploration.
Explanation: ***Additional fluids and escharotomy*** - The patient has **circumferential full-thickness burns** on both arms (dry, nontender), which require **escharotomy** to prevent compartment syndrome and vascular compromise to the limbs. - The **oliguria** (10 mL urine output) despite a 1L fluid bolus indicates **inadequate fluid resuscitation** from burn shock. With approximately 40% TBSA burns, the patient requires aggressive fluid resuscitation per the Parkland formula (4 mL/kg/% TBSA), which would be approximately 11 liters in the first 24 hours. Adequate resuscitation targets urine output of 0.5-1 mL/kg/hr (35-70 mL/hr for this patient). - Both interventions are immediately necessary: fluids for burn shock and escharotomy for circumferential burns. *Escharotomy* - While **escharotomy** is essential for the circumferential full-thickness burns to prevent compartment syndrome, it alone will not address the **severe fluid deficit** causing oliguria and hypoperfusion. - The low urine output reflects systemic hypovolemia from burn shock, not just local compartment issues, requiring aggressive fluid resuscitation. *Continuous observation* - **Continuous observation** is inappropriate given the patient's critical findings: circumferential full-thickness burns requiring urgent escharotomy and oliguria indicating inadequate resuscitation. - Delaying escharotomy can lead to irreversible ischemic damage to the limbs, and inadequate fluid resuscitation can progress to multiorgan failure. *Moist dressings and discharge* - This option is completely inappropriate for a patient with **extensive deep burns** (approximately 40% TBSA) including full-thickness injuries requiring hospitalization and specialized burn care. - Discharge would lead to severe complications including infection, inadequate fluid resuscitation, compartment syndrome, and potential limb loss. *Additional fluids and admission to the ICU* - While ICU admission and additional fluids are necessary components of care, this option is **incomplete** because it omits **escharotomy**, which is urgently needed for the circumferential full-thickness burns. - Escharotomy is a time-sensitive procedure that must be performed promptly to prevent ischemic injury to the limbs from vascular compromise.
Explanation: ***Focused Abdominal Sonography for Trauma (FAST) exam*** - A **FAST exam** is the most appropriate next step in a hemodynamically unstable blunt trauma patient with suspected intra-abdominal injury after initial fluid resuscitation. - It is a rapid, non-invasive, and repeatable bedside assessment that can quickly identify the presence of free fluid (blood) in the peritoneal, pericardial, or pleural spaces. - **ATLS protocol:** In an unstable patient, a positive FAST exam confirms the need for immediate laparotomy without further imaging. *Abdominal CT* - An **abdominal CT** scan is generally the imaging modality of choice for hemodynamically stable blunt trauma patients to identify specific organ injuries. - However, performing a CT on an **unstable patient** like this one would delay critical interventions and further destabilize them due to the need to transport them to the scanner. *Diagnostic laparoscopy* - **Diagnostic laparoscopy** is a surgical procedure that is more invasive and time-consuming than a FAST exam. - While it can identify injuries, it is typically reserved for hemodynamically stable patients when other non-invasive diagnostic tests are inconclusive or specific injuries are strongly suspected. *Diagnostic peritoneal lavage* - **Diagnostic peritoneal lavage (DPL)** is an invasive procedure with a high false-positive rate and has largely been replaced by the FAST exam and CT scans in blunt abdominal trauma. - It involves inserting a catheter into the peritoneum to aspirate fluid, which is then analyzed for blood or other contents, but it is less specific for organ injury. *Emergency laparotomy* - An **emergency laparotomy** is the definitive surgical intervention for life-threatening intra-abdominal hemorrhage or organ injury. - In this unstable patient, laparotomy would be performed immediately **after** a positive FAST exam confirms hemoperitoneum, or in cases of obvious peritonitis or hemodynamic collapse where the patient cannot wait even for FAST. - Proceeding directly to laparotomy without FAST would bypass a rapid 2-3 minute diagnostic test that confirms the indication and location of bleeding.
Explanation: ***Aspiration and surgical drainage*** - The MRI shows a **ring-enhancing lesion** with surrounding edema, consistent with a **brain abscess**, indicated by the patient's symptoms (headache, nausea, seizures, fever, optic disc swelling from increased intracranial pressure) and history of ear infections. - Due to the size of the lesion and the associated mass effect (seizures, altered mental status, papilledema), **surgical drainage** is crucial to relieve pressure, obtain a pathogen sample for targeted antibiotic therapy, and achieve rapid improvement, especially in cases where empiric antibiotics alone may not be sufficient or the abscess is large. *Pyrimethamine and sulfadiazine therapy* - This regimen is the primary treatment for **Toxoplasma gondii encephalitis**, which typically occurs in immunocompromised individuals (e.g., HIV with low CD4 count). - The patient's **CD4 count is within the reference range**, making toxoplasmosis less likely, and the MRI appearance of a single, large ring-enhancing lesion is not as typical for multifocal toxoplasmosis. *Ciprofloxacin and metronidazole therapy* - While metronidazole is often used for anaerobic coverage in brain abscesses, ciprofloxacin is a broad-spectrum antibiotic but not the first-line choice for typical brain abscess pathogens originating from otitis media (e.g., Strep species, anaerobes). - **Empiric antibiotic therapy** is typically initiated, but given the significant mass effect and neurological compromise, **surgical intervention is generally prioritized alongside antibiotics** for symptomatic abscesses. *Albendazole therapy* - **Albendazole** is an **anti-parasitic medication** used to treat infections like neurocysticercosis, which can present with ring-enhancing lesions. - However, the patient's history (ear infections, no travel to endemic areas for neurocysticercosis) and the imaging characteristics (single, thick-walled cavity) make a bacterial abscess more probable. *Metronidazole and cefotaxime therapy* - This is a common **empiric antibiotic regimen for brain abscesses**, covering both anaerobic bacteria (metronidazole) and common streptococcal species (cefotaxime, a third-generation cephalosporin). - While appropriate as medical therapy, given the patient's **acute neurological symptoms** (seizures, altered mental status from high intracranial pressure) and the size of the abscess on MRI, **surgical aspiration and drainage** are equally, if not more, important as an initial step to reduce mass effect and obtain cultures, rather than relying solely on antibiotics.
Explanation: ***Shoulder pain*** - The presence of **fluid in Morrison's pouch** (hepatorenal recess) on FAST exam indicates **intra-abdominal bleeding**, likely from a liver or spleen injury. - **Diaphragmatic irritation** due to intra-abdominal hemorrhage often manifests as referred **shoulder pain** (Kehr's sign), especially on the left side with splenic injury or right side with liver injury. *Pain radiating to the back* - While pancreatic injury can cause pain radiating to the back, the primary finding of **fluid in Morrison's pouch** points towards hemoperitoneum, less specifically to pancreatic trauma. - Significant pancreatic injury would likely involve more severe abdominal tenderness and potentially elevated **amylase/lipase**, which are not mentioned here. *Gross hematuria* - **Gross hematuria** would suggest a **renal or urologic injury**, but the patient's primary finding is intra-abdominal fluid in Morrison's pouch, which is more indicative of solid organ injury like the liver or spleen. - Though concurrent injuries are possible in trauma, hepatorenal fluid points specifically to **hemoperitoneum**, not necessarily kidney damage. *Muffled heart sounds* - **Muffled heart sounds** are a component of **Beck's triad** (along with hypotension and jugular venous distension), indicative of **cardiac tamponade** due to fluid around the heart. - There is no clinical information in the stem suggestive of cardiac injury or tamponade; the fluid is specifically mentioned in the abdomen. *Free air on chest radiograph* - **Free air on chest radiograph** (pneumoperitoneum) indicates a **perforated hollow viscus**, such as the bowel or stomach. - The FAST exam finding of fluid in Morrison's pouch is characteristic of **hemoperitoneum** from a solid organ injury, not free air from a perforation.
Explanation: ***Correct: Cricothyroidotomy*** - This patient has **impending complete airway obstruction** evidenced by inspiratory stridor, severe tachypnea (34/min), hypoxia (O2 sat 89%), and a large obstructing laryngeal mass - **Cricothyroidotomy** is the emergent surgical airway procedure of choice when there is **imminent or actual complete upper airway obstruction** and endotracheal intubation cannot be safely performed - The subglottic mass makes endotracheal intubation **extremely dangerous** - instrumentation could precipitate complete obstruction and inability to ventilate - Cricothyroidotomy provides **immediate airway access** (can be performed in 30-60 seconds) below the level of obstruction, making it life-saving in this emergency - In the "cannot intubate, cannot ventilate" scenario, cricothyroidotomy is the definitive emergency intervention per ATLS and airway management guidelines *Incorrect: Tracheostomy* - While tracheostomy provides definitive airway management, it is a **controlled, elective procedure** typically performed in the OR that takes 20-30 minutes - This patient requires **immediate airway access** - waiting for OR setup and performing tracheostomy risks complete airway collapse and death - Tracheostomy may be performed later as a planned procedure once the airway is secured with cricothyroidotomy - The presence of stridor indicates **critical airway narrowing** requiring emergency intervention, not elective surgery *Incorrect: Comfort care measures* - The patient is **alert and oriented** without an advanced directive indicating wishes for comfort care only - This is an **acute, reversible condition** with appropriate emergency airway intervention - Presumed consent applies in life-threatening emergencies when the patient cannot formally consent but intervention would be life-saving - Comfort care would be inappropriate without documented patient wishes or irreversible terminal condition *Incorrect: Intramuscular epinephrine* - Epinephrine is indicated for **anaphylaxis** or angioedema causing airway edema from allergic/inflammatory mechanisms - This patient has **mechanical obstruction** from a solid tumor mass, which will not respond to epinephrine - Epinephrine causes vasoconstriction and reduces mucosal edema but cannot reduce tumor mass - Would delay definitive airway management and not address the underlying problem *Incorrect: Tracheal stenting* - Tracheal stenting requires **bronchoscopy** in a controlled setting and is used for palliation of tracheal narrowing - Cannot be performed emergently in an unstable patient with impending airway obstruction - The obstruction is at the **laryngeal/subglottic level**, not typically amenable to emergency stenting - Requires time for procedure setup and sedation, which this patient cannot afford given the critical airway emergency
Explanation: ***Take the patient to the OR for an exploratory laparotomy*** - The patient is **hemodynamically unstable** (BP 78/37 mm Hg, pulse 122/min) with signs of hemorrhagic shock (cold and clammy skin, drowsy, tachycardia) and **hypotension persists despite IV fluid resuscitation**. - FAST examination shows **retroperitoneal fluid collection** (presumed blood), flank ecchymoses (Grey Turner sign), and hematocrit of 22% indicating **significant blood loss**. - According to **ATLS (Advanced Trauma Life Support) protocols**, hemodynamically **unstable patients with positive FAST exams require immediate surgical intervention** and should not be delayed for further imaging. - **Exploratory laparotomy** allows for immediate identification and control of bleeding sources, which is life-saving in this persistently hypotensive patient. The retroperitoneal hematoma can be explored and bleeding vessels ligated or repaired. *CT of the abdomen and pelvis with contrast* - CT scan is the **appropriate next step for hemodynamically STABLE trauma patients** or those who **respond to initial resuscitation** to characterize injuries and guide management. - This patient has **persistent hypotension despite resuscitation**, making him too unstable to safely transport to the CT scanner. Delaying surgery for imaging in an unstable patient increases mortality risk. - The principle is: **"Blood pressure is better than pictures"** - unstable patients need operative hemorrhage control, not diagnostic imaging. *Perform an MRI scan of the abdomen and pelvis* - **MRI has no role in acute trauma evaluation** due to long acquisition time (30-60 minutes), limited availability, and inability to adequately monitor critically ill patients in the MRI suite. - This would be an inappropriate and potentially fatal delay in a patient with ongoing hemorrhage and hemodynamic instability. *Perform a diagnostic peritoneal lavage* - **Diagnostic peritoneal lavage (DPL)** has been largely replaced by FAST examination for detecting intraperitoneal hemorrhage in the modern trauma algorithm. - While DPL can detect intra-abdominal blood, the **FAST has already identified retroperitoneal fluid**, and the patient's persistent instability mandates immediate surgical intervention rather than additional diagnostic procedures. - DPL also does not evaluate the retroperitoneum well and would not change management in this unstable patient. *Obtain a retrograde urethrogram* - **Retrograde urethrogram (RUG)** is indicated when urethral injury is suspected (blood at meatus, high-riding prostate, perineal hematoma, inability to void). - This patient has **normal external genitalia** and only microscopic hematuria (6 RBC/HPF), which is nonspecific in blunt trauma. - The immediate life-threatening issue is **hemorrhagic shock from retroperitoneal bleeding**, not potential urethral injury. RUG would be an inappropriate delay in management and can be performed later if clinically indicated.
Explanation: ***Fasciotomy*** - The patient exhibits classic signs of **acute compartment syndrome**, including severe pain out of proportion to injury, pain on passive stretch, pallor, decreased sensation, and cool extremity, despite a palpable pulse. These symptoms necessitate immediate surgical intervention to relieve pressure. - A **fasciotomy** is the definitive treatment for acute compartment syndrome to prevent irreversible muscle and nerve damage, and potentially limb loss. *IV fluids* - While fluid resuscitation is important in trauma, the patient's current vital signs (BP 110/70 mmHg, pulse 100/min) do not indicate immediate shock requiring aggressive IV fluid administration over addressing the limb-threatening compartment syndrome. - Prioritizing IV fluids without addressing **compartment syndrome** could lead to permanent loss of limb function. *Analgesics* - Administering analgesics might mask the escalating pain a key symptom of compartment syndrome, which could delay diagnosis and definitive treatment. - While pain control is important, it should not supersede measures to prevent irreversible tissue damage. *Pressure measurement* - While compartment pressure measurement can confirm the diagnosis of compartment syndrome, the clinical presentation in this case is so compelling that delaying definitive treatment for pressure measurement is not the best next step. - Clinical signs and symptoms are often sufficient for diagnosis, and surgical intervention should not be deferred pending pressure readings in clear-cut cases. *Detoxification* - Detoxification for alcohol intoxication is not an emergent and immediate priority in comparison to the limb-threatening condition of acute compartment syndrome. - Addressing the **compartment syndrome** is critical for preserving limb viability, whereas detoxification can be managed once acute medical emergencies are controlled.
Explanation: ***Bronchoscopy*** - A **bronchoscopy** would be highly considered to **visualize** the lesion, obtain a **biopsy**, and potentially **remove** any obstructing foreign bodies or mucous plugs contributing to recurrent infections. - Given the description of a lesion < 2 cm with glands and cysts, it is crucial to further characterize it to guide definitive treatment and rule out possibilities like a **bronchial anomaly** or a **benign tumor**. *Lobectomy* - **Lobectomy** is a surgical procedure to remove an entire lung lobe; it might be considered if the lesion is definitively diagnosed as a **congenital pulmonary airway malformation (CPAM)** or other localized, symptomatic anomaly, but not as the initial management step without a clear diagnosis. - Doing a lobectomy without proper diagnosis might be too invasive and aggressive when other less invasive management options are available. *Antibiotics* - **Antibiotics** are appropriate for treating the recurrent respiratory infections themselves but will not address the underlying structural lesion causing them. - While they might provide temporary relief from infections, they do not offer a long-term solution for the **structural abnormality** described. *Observation* - **Observation** might be considered for small, asymptomatic lesions, but this child has **recurrent respiratory infections**, suggesting the lesion is clinically significant and warrants intervention. - Delaying diagnosis and treatment could lead to persistent morbidity and potentially irreversible lung damage. *Pneumonectomy* - **Pneumonectomy**, the removal of an entire lung, is a major and highly aggressive surgery reserved for extensive, **life-threatening conditions** such as large malignancies or widespread irreversible lung disease. - Given the lesion is < 2 cm and localized to one lobe, a pneumonectomy is an **overly extreme measure** and not indicated at this stage.
Explanation: **Intravenous ampicillin and sulbactam therapy** - The patient presents with a **mild esophageal leak** into the mediastinum following self-induced vomiting, strongly suggesting **Boerhaave syndrome** or esophageal perforation. This condition is prone to rapid infection due to contamination from esophageal contents. - **Broad-spectrum antibiotics**, such as ampicillin and sulbactam, are crucial to prevent or treat **mediastinitis** and sepsis, which are life-threatening complications of esophageal perforation. *Diagnostic endoscopy* - **Endoscopy is contraindicated** in suspected esophageal perforation as insufflation of air can worsen the mediastinal contamination and increase the size of the perforation. - It is generally reserved for stable patients with upper gastrointestinal bleeding or foreign body removal when perforation is not suspected. *CT scan with contrast* - A **CT scan with oral and intravenous contrast** would be the *next diagnostic step* to better delineate the extent of the esophageal injury and mediastinal involvement. However, it is not the *most appropriate initial management step*, which should prioritize stabilizing the patient and preventing infection. - The question asks for the **most appropriate *next step in management*** after a diagnosis of a mild leak has been made by gastrografin esophagram, not the next diagnostic test. *Intravenous labetalol therapy* - **Labetalol is a beta-blocker** used to reduce blood pressure and heart rate, typically in conditions like hypertensive urgency/emergency or aortic dissection. - There is no indication for labetalol in this patient, as her blood pressure and pulse are stable, and the primary issue is esophageal perforation. *Intravenous octreotide therapy* - **Octreotide** is a somatostatin analog primarily used to reduce portal pressure in **variceal bleeding** or to manage neuroendocrine tumors. - It has no role in the management of esophageal perforation or mediastinal leak.
Explanation: ***Emergency laparotomy*** - The patient presents with **hemodynamic instability** unresponsive to fluid resuscitation, coupled with clear signs of **perforation** (hyperresonance, absent hepatic dullness, free air on FAST limited view). This clinical picture is a direct indication for immediate surgical intervention. - The presence of bloody nasogastric tube contents, diffuse tenderness with rebound and guarding, and a history of significant blunt trauma further support the need for urgent exploratory **laparotomy** to identify and repair the source of injury. *Emergency laparoscopy* - While laparoscopy can be used for abdominal exploration, it is **contraindicated in hemodynamically unstable patients** due to the need for pneumoperitoneum, which can further compromise cardiovascular stability. - In cases of suspected visceral perforation with extensive free air and massive bleeding, **laparoscopy may be technically challenging** and less efficient than open laparotomy for rapid control of hemorrhage and contamination. *Abdominal ultrasound* - An abdominal ultrasound (**FAST exam**) has already been partially performed, revealing free fluid and raising suspicion of free air, making further ultrasound redundant. - While useful for initial trauma assessment, an ultrasound **cannot definitively rule out all abdominal injuries**, especially hollow viscus perforations or retroperitoneal hematomas, and is insufficient for unstable patients with clear signs of peritonitis. *Diagnostic peritoneal lavage (DPL)* - **DPL is largely replaced by FAST and CT scans** in most trauma centers, especially given the availability of imaging. - Although it can detect intraperitoneal bleeding or perforation, it is an **invasive procedure** with potential complications and would only confirm what is already strongly suspected clinically; it does not address the need for immediate therapeutic intervention in an unstable patient. *CT scan* - A CT scan would be the imaging modality of choice for a **hemodynamically stable** patient with blunt abdominal trauma. - However, performing a CT scan on an **unstable patient** would unnecessarily delay definitive surgical management, which is critical given the signs of ongoing internal bleeding and likely perforation.
Explanation: ***Needle thoracostomy*** - The patient presents with classic signs of **tension pneumothorax** developing after a penetrating chest injury (gunshot wound), including severe respiratory distress, agitation, tachypnea, and subcutaneous emphysema (crepitus). - The combination of penetrating chest trauma with entrance and exit wounds, rapid onset of severe respiratory distress, and crepitus strongly suggests air accumulation under pressure in the pleural space. - **Needle thoracostomy** is the most urgent and life-saving intervention to decompress the pressurized pleural space, allowing lung re-expansion and improved hemodynamics. - In a combat or field setting with clinical diagnosis of tension pneumothorax, immediate needle decompression takes precedence over imaging or other interventions. *Endotracheal intubation* - While the patient is in severe respiratory distress, intubation is not the immediate solution for the underlying mechanical problem of a **tension pneumothorax**. - Intubation with positive pressure ventilation without prior decompression can worsen a **tension pneumothorax** by increasing positive pressure within the chest, further impairing venous return and cardiac output. *Intravenous administration of fentanyl* - Administering an opioid like fentanyl would address pain but does not resolve the acute, life-threatening **respiratory compromise** caused by **tension pneumothorax**. - Pain relief is secondary to addressing the cause of respiratory failure in this acute setting. *Ultrasonography of the chest* - **Point-of-care ultrasound (POCUS)** can diagnose a pneumothorax, but it is not the most appropriate *next step* in a patient presenting with clear clinical signs of **tension pneumothorax** where time is critical. - Clinical diagnosis and immediate intervention like **needle thoracostomy** take precedence over diagnostic imaging when the diagnosis is highly probable and the patient is unstable. *Administration of supplemental oxygen* - Supplemental oxygen is a supportive measure for hypoxemia, which would be present, but it does not address the underlying mechanical cause of **tension pneumothorax** where air is trapped under pressure, preventing lung expansion. - While oxygen should be administered, it is not the definitive "next step" to relieve the severe respiratory distress.
Explanation: **Balloon catheter embolectomy** - The patient presents with **acute limb ischemia** characterized by sudden onset of severe pain, cool extremity, absent pulses, motor weakness, and sensory deficits. The **irregularly irregular pulse** and **absent P waves on ECG** are highly suggestive of **atrial fibrillation**, a common source of arterial emboli. - Given the acute nature, the presence of a probable embolic source, and the Doppler findings of an **inaudible arterial signal**, **balloon catheter embolectomy** (e.g., using a Fogarty catheter) is the most appropriate and rapid intervention to restore blood flow and salvage the limb. This procedure directly retrieves the embolus. *Surgical bypass of the affected vessel* - **Surgical bypass** is typically indicated for **chronic limb ischemia** or extensive, complex occlusions that are not amenable to less invasive techniques. - It is a more extensive procedure with a longer recovery time and is not the first-line treatment for acute embolic occlusion. *Percutaneous transluminal angioplasty* - **Percutaneous transluminal angioplasty** (PTA) is generally used for **atherosclerotic stenoses** or occlusions rather than acute arterial emboli. - While it can be performed in some cases of acute limb ischemia, it is less effective than embolectomy for removing a fresh, mobile clot, especially in large vessels. *Amputation of the affected limb* - **Amputation** is considered only when the limb is **irreversibly ischemic** and non-viable, or when revascularization attempts have failed. - In this case, the patient has moderate weakness and decreased sensation, indicating that the limb is still viable and potentially salvageable. *Open embolectomy* - **Open embolectomy** is a surgical procedure to remove an embolus, similar in goal to balloon catheter embolectomy but often performed with a larger incision. - While effective, **balloon catheter embolectomy** is generally preferred due to its less invasive nature and ability to be performed rapidly, especially in emergent situations.
Explanation: ***Fibrosis of tunica albuginea*** - This presentation is highly suggestive of **Peyronie's disease**, characterized by **fibrous plaques** within the **tunica albuginea** of the penis, leading to penile curvature, pain, and sometimes erectile dysfunction. - The onset of **penile curvature** with associated pain during intercourse, without a history of trauma, points towards this condition, which is a localized fibrotic disorder. *Fibrosis of corpus cavernosa* - While fibrosis can occur in the corpus cavernosa, **Peyronie's disease specifically involves the tunica albuginea**, which is the fibrous sheath surrounding the erectile tissue. - Fibrosis within the corpus cavernosa itself might affect erectile function more broadly rather than causing a distinct curvature like that seen in Peyronie's. *Congenital hypospadias* - **Hypospadias** is a congenital condition where the **urethral opening is on the underside** of the penis, often associated with a ventral curvature (chordee). - This patient is 40 years old and reports recent onset of symptoms, indicating an **acquired condition**, not a congenital malformation that would have been present since birth. *Hypertrophy of corpus cavernosa* - **Hypertrophy** (enlargement) of the corpus cavernosa would likely cause a general increase in penile size or rigidity, but generally **would not lead to a localized curvature or pain** during erection. - Curvature is typically caused by asymmetric tissue changes, such as fibrosis, rather than uniform hypertrophy. *Syphilitic chancre* - A **syphilitic chancre** is a **painless ulcer** that often appears on the genitals and is a sign of primary syphilis. - Although the patient reports unprotected sexual encounters, a chancre is an **open lesion** and would not cause gradual penile curvature or pain during intercourse without other symptoms, and the physical examination was unremarkable except for the curvature.
Explanation: ***Perform surgical clipping*** - The clinical presentation of **sudden-onset severe headache** ("thunderclap headache"), **nausea, vomiting, neck stiffness (positive Brudzinski's sign)**, and the CT scan showing **blood in the subarachnoid space** strongly indicate a **subarachnoid hemorrhage (SAH)** from a ruptured cerebral aneurysm. - Definitive treatment requires **securing the aneurysm** to prevent **rebleeding**, which carries 40-50% mortality. Modern management includes **endovascular coiling** (first-line for most cases) or **surgical clipping**. - **Surgical clipping** involves placing a metal clip across the aneurysm neck to exclude it from circulation. It remains the preferred approach for certain aneurysm locations (MCA), wide-necked aneurysms, or when accompanied by hematoma requiring evacuation. - Among the options provided, surgical clipping is the only definitive intervention that secures the ruptured aneurysm. *Perform burr hole surgery* - **Burr hole surgery** is used for draining **subdural hematomas** or accessing the brain for procedures like biopsy or external ventricular drain placement. - While burr holes may be needed for complications of SAH (e.g., hydrocephalus requiring EVD), this is not the primary intervention for securing the ruptured aneurysm itself. *Administer intravenous alteplase* - **Alteplase** (tPA) is a **thrombolytic agent** used for **acute ischemic stroke** within 4.5 hours of symptom onset. - Administering thrombolytics in **hemorrhagic stroke** (like SAH) is **absolutely contraindicated** as it would worsen bleeding and cause catastrophic neurological deterioration or death. *Administer intravenous vancomycin and ceftriaxone* - **Vancomycin and ceftriaxone** treat **bacterial meningitis**, which can present with headache, fever, and meningeal signs. - Although the patient has low-grade fever (likely from blood irritating meninges, not infection) and neck stiffness, the **sudden-onset thunderclap headache** and **CT findings of SAH** make ruptured aneurysm the diagnosis, not meningitis. The fever in SAH is typically from aseptic meningeal irritation. *Perform decompressive craniectomy* - **Decompressive craniectomy** removes skull bone to relieve **elevated intracranial pressure** from massive brain swelling (severe TBI, malignant MCA infarction). - While SAH can cause elevated ICP, craniectomy does not secure the aneurysm. The immediate priority is preventing **rebleeding** by securing the aneurysm source, not managing secondary complications.
Explanation: ***Application of moist sterile dressing + tetanus vaccine*** - This approach is appropriate for a **contaminated, high-risk avulsion wound** to prevent infection and promote healing by secondary intention. - The patient needs an updated **tetanus vaccine** because his last one was six years ago, and he has a contaminated wound. *Apposition of wound edges under tension + rifampin* - **Closing a contaminated wound under tension** is contraindicated as it increases the risk of infection and necrosis. - **Rifampin is generally not the first-line prophylactic antibiotic** for this type of wound injury and is not needed if the wound has been thoroughly cleaned. *Surgical treatment with skin flap + ciprofloxacin* - This is an **overly aggressive initial approach** for an acute, contaminated wound, as the priority is preventing infection before definitive closure or reconstruction. - **Ciprofloxacin** is not typically the first-choice prophylactic antibiotic for contaminated soft tissue wounds. *Surgical treatment with skin graft + tetanus vaccine* - A **skin graft** is a definitive reconstructive procedure and is not indicated as the immediate next step for a fresh, contaminated avulsion wound. - The wound first needs to be thoroughly cleaned and monitored for infection before considering graft options. *Tension-free apposition of wound edges + sterile dressing* - While **tension-free closure** is ideal, this wound is **heavily contaminated with soil and dirt** and has some avulsion, making primary closure risky due to a high infection rate. - **Allowing the wound to heal by secondary intention** with a moist dressing is safer in this situation.
Explanation: ***X-ray of the spine*** - A **high-energy calcaneal fracture** (especially from a fall from height) is often associated with other injuries, particularly to the **spine**, due to axial loading. - Approximately **10% of calcaneal fractures** are associated with **lumbar spine compression fractures**, making imaging of the spine an essential next step to rule out this potentially serious concomitant injury. *Short leg splint and orthopedic consultation* - While a **short leg splint** is appropriate for initial immobilization and pain control of the ankle fracture, and **orthopedic consultation** is necessary, these steps do not address the immediate need to exclude other critical injuries like spinal fractures in high-impact trauma. - This option represents definitive management of the ankle rather than comprehensive early trauma assessment in a high-risk patient. *Broad-spectrum antibiotic therapy* - **Antibiotic therapy** is primarily indicated for **open fractures** to prevent infection, or in cases of significant soft tissue injury with high contamination risk; the provided information describes an extra-articular fracture with abrasions, but not explicitly an open fracture requiring immediate broad-spectrum antibiotics. - The focus should first be on skeletal integrity elsewhere and definitive fracture management rather than presumptive infection prevention unless an open fracture is confirmed. *MRI of the right ankle* - While an **MRI** can provide detailed imaging of soft tissues, ligaments, and cartilage, and may be useful later for surgical planning or to assess subtle injuries, a plain **X-ray has already confirmed a calcaneal fracture**. - The immediate priority after a high-energy trauma is to rule out other significant, potentially disabling or life-threatening bony injuries, particularly to the spine, rather than further detailed imaging of the already-identified ankle fracture. *Open reduction and internal fixation* - **Open reduction and internal fixation (ORIF)** is a surgical procedure for definitive management of certain fractures; however, it is not the **immediate next step** in the emergency department for initial patient assessment following trauma. - Before surgical intervention, a comprehensive assessment to rule out other injuries (especially spinal fractures) and to thoroughly plan the specific surgical approach is required.
Explanation: ***Patellofemoral pain syndrome*** - The patient's presentation of **anterior knee pain** exacerbated by **prolonged sitting** and **climbing stairs** (classic for "theater sign" and "runner's knee") is highly characteristic of patellofemoral pain syndrome. - Pain reproduced by **direct patellar pressure** and increased **patellar laxity** further support this diagnosis, indicating issues with patellar tracking and cartilage irritation. *Prepatellar bursitis* - This condition typically presents with **localized swelling**, **tenderness**, and **warmth directly over the patella**, often due to direct trauma or repetitive kneeling. - The patient's symptoms are more diffuse anterior knee pain, and there is no mention of visible swelling or warmth. *Osgood-Schlatter's disease* - This condition primarily affects **adolescents** experiencing growth spurts and is characterized by pain and swelling at the **tibial tuberosity** due to repetitive stress from quadriceps pull. - The patient is a 27-year-old woman, outside the typical age range for Osgood-Schlatter's, and her pain is localized to the patella, not the tibial tuberosity. *Iliotibial band syndrome* - Iliotibial band syndrome causes **lateral knee pain**, often felt just above the joint line, and is exacerbated by running, especially downhill. - The patient's pain is on the **front of her knee**, not the lateral aspect, and typical iliotibial band tenderness is absent. *Patellar tendonitis* - Also known as "jumper's knee," this condition presents with localized pain and tenderness at the **inferior pole of the patella** or along the patellar tendon, typically seen in athletes involved in jumping sports. - While running can contribute, the primary symptoms here are more consistent with patellofemoral pain syndrome, particularly the association with prolonged sitting and specific patellar findings.
Explanation: ***Orotracheal intubation*** - The patient's **muffled voice** suggests an impending **airway compromise** due to trauma, making securing the airway a priority. - While other methods might be considered, **orotracheal intubation** is generally the quickest and most effective method for establishing a definitive airway in a trauma setting, especially given the potential for significant facial and neck injuries. *Administration of 100% oxygen* - Administering oxygen is an important initial step in trauma resuscitation, but it does not address the underlying problem of a **potentially compromised airway** in this patient. - Oxygenation alone will not prevent future airway obstruction if swelling or hematoma progresses. *Laryngeal mask* - A laryngeal mask airway (LMA) is a **supraglottic device** that may not provide a definitive, secure airway, especially in a patient with potential cervical spine injuries or significant upper airway trauma where the anatomy may be distorted. - LMAs are often considered a temporizing measure but not the primary choice for definitive airway management in patients with significant trauma. *Nasotracheal intubation* - **Nasotracheal intubation** is contraindicated in patients with **suspected facial or skull base fractures** due to the risk of intracranial intubation. - The patient has possible multiple facial bone fractures, making this route unsafe. *Cricothyroidotomy* - **Cricothyroidotomy** is a surgical airway technique typically reserved for a "cannot intubate, cannot ventilate" situation when other attempts at intubation have failed. - It is an invasive procedure and generally not the first line of airway management when conventional intubation is still feasible.
Explanation: ***The patient can be initially managed conservatively with corticosteroids and observation.*** - The patient has a **small, nondisplaced orbital floor fracture** (0.4 cm) and minimal diplopia that only mildly increases with upward gaze, making **conservative management** appropriate. - **Corticosteroids** can help reduce swelling and inflammation, and close **observation** is necessary to monitor for any worsening of symptoms, especially diplopia or enophthalmos. *MRI is the best method to evaluate the patient’s condition.* - While MRI can provide detailed soft tissue imaging, **CT scan** of the orbit is generally preferred for evaluating **orbital fractures** as it better visualizes bony structures and foreign bodies. - The initial diagnosis was made with a CT scan, and for a small, nondisplaced fracture, a repeat or alternative imaging is not immediately necessary unless symptoms worsen. *Surgical intervention within 3 days would allow to prevent enophthalmos in this patient.* - **Early surgical intervention** (within days) is typically reserved for larger fractures (>50% of the orbital floor), significant enophthalmos, severe diplopia in primary gaze, or muscle entrapment. - With a **small, nondisplaced fracture** and minimal symptoms, surgical intervention within 3 days is not indicated for this patient to prevent enophthalmos, as many such fractures heal spontaneously. *The patient’s condition warrants emergency surgery.* - **Emergency surgery** is reserved for severe cases, such as vision-threatening injuries (e.g., orbital compartment syndrome), globe rupture, or severe entrapment with oculocardiac reflex. - This patient's vital signs are stable, visual acuity is relatively preserved, and the fracture is small and nondisplaced, indicating that emergency surgery is not required. *There is a low chance of spontaneous improvement of the ocular motility.* - For small, nondisplaced orbital floor fractures, **spontaneous improvement** of ocular motility and diplopia is common. - The patient's minimal and gaze-dependent diplopia suggests that the issue might be related to local edema or soft tissue contusion, which often resolves with conservative management, rather than severe muscle entrapment.
Explanation: ***Bronchial rupture*** - The presence of a **mediastinal crunching sound (Hamman's sign)** synchronous with the heartbeat, along with **subcutaneous emphysema (crepitation)** and a significant mechanism of injury (high-speed MVA), points strongly towards a bronchial injury. - **Decreased breath sounds** and **dullness to percussion** on the right side, combined with severe hypoxemia and hypercapnia, suggest a major airway disruption leading to air trapping and potential collapse of the lung. *Pulmonary embolism* - While pulmonary embolism can cause **dyspnea** and **hypoxemia**, it typically presents with clear lung auscultation and does not cause **crepitation** or a **mediastinal crunching sound**. - The mechanism of injury and immediate onset of symptoms are more consistent with a traumatic injury rather than an embolic event. *Flail chest* - **Flail chest** involves paradoxical movement of a segment of the chest wall due to multiple rib fractures, which would lead to respiratory distress and crepitation. - However, flail chest does not typically cause a **mediastinal crunching sound** or the severe degree of hypoxemia and hypercapnia seen with a major airway injury without other concomitant severe lung injury. *Tension pneumothorax* - A **tension pneumothorax** would cause severe respiratory distress, diminished breath sounds, and tracheal deviation (which is not described). - While it can cause crepitation (subcutaneous emphysema) and hypoxemia, it usually presents with **hyperresonance** to percussion, not dullness, and does not produce a **mediastinal crunching sound** as prominently. *Hemopneumothorax* - A **hemopneumothorax** would explain **decreased breath sounds** and **dullness to percussion** due to the presence of blood and air in the pleural space. - However, it would not typically cause a **mediastinal crunching sound** (Hamman's sign), which is highly specific for pneumomediastinum, often secondary to tracheobronchial injury.
Explanation: ***Establish intraosseous access*** - The patient is in **hemorrhagic shock** (tachycardia, hypotension) and requires rapid fluid resuscitation, but peripheral intravenous access is difficult to obtain. **Intraosseous (IO) access** provides a rapid and reliable route for fluids and medications, especially in emergencies when IV access is challenging. - IO access is a **bridge to definitive venous access** and is crucial for immediate life-saving interventions in trauma. *Irrigate the shrapnel wounds* - While wound irrigation is important for preventing infection, it is **not the immediate priority** when the patient is in hemorrhagic shock. - Addressing the circulatory compromise takes precedence over local wound care. *Perform endotracheal intubation* - The patient is **alert and oriented** with symmetric chest rise and clear lungs, indicating he does not currently have an airway crisis requiring intubation. - Intubation is an invasive procedure that carries risks and should only be performed when indicated for airway protection or respiratory failure. *Establish central venous access* - While central venous access is useful for long-term fluid management and monitoring, it is generally **more time-consuming and technically challenging** to establish than IO access, especially in an emergent, unstable patient. - Given the urgency of rapid fluid administration, IO access is preferred as the immediate next step. *Replace the tourniquet with a pressure dressing* - The patient has an above-elbow amputation, suggesting significant injury, and the tourniquet is currently controlling the bleed. Removing the tourniquet prematurely without proximal surgical control can lead to **recurrent catastrophic hemorrhage**. - A definitive surgical approach is needed to manage the amputation, not simply replacing the tourniquet with a pressure dressing, which may be insufficient to control arterial bleeding.
Explanation: ***Fasciotomy*** - The patient presents with classic signs and symptoms of **acute compartment syndrome**, including unrelieved pain by analgesics, paresthesias, pain with passive stretching, and a tense compartment due to the bus door trauma. - **Fasciotomy** is the definitive and urgent treatment to relieve pressure within the muscle compartments, prevent muscle ischemia, and avoid permanent nerve damage or limb loss. *Lower limb CT scan* - A **CT scan** is primarily used to evaluate bony structures and soft tissue injuries but is not the most immediate or definitive diagnostic tool for acute compartment syndrome. - Delaying **fasciotomy** for imaging in a clear case of compartment syndrome can lead to irreversible damage. *Lower limb ultrasound* - **Ultrasound** can assess vascular flow and some soft tissue aspects but is not accurate or rapid enough for diagnosing compartment syndrome. - It would not provide the necessary information to guide urgent surgical intervention. *Splinting and limb rest* - This approach is appropriate for fractures or soft tissue injuries without compartment syndrome; however, in acute compartment syndrome, **splinting or limb rest** will worsen the condition. - **Immobilization** and elevation are contraindicated as they can further decrease blood flow and increase compartment pressure. *Lower limb X-ray in two projections* - An **X-ray** is useful for ruling out fractures but will not provide information about compartment pressure or muscle viability. - While a fracture can sometimes cause compartment syndrome, the immediate concern here is the compartment syndrome itself, for which **X-rays** are not diagnostic.
Explanation: ***Extrinsic impingement of the recurrent laryngeal nerve*** - The combination of **hoarseness**, **irregular pulse**, **exertional dyspnea**, a **soft diastolic murmur**, and **hepatomegaly** in an older patient strongly suggests heart failure with left atrial enlargement, which can compress the **left recurrent laryngeal nerve** (Ortner's syndrome). - The recurrent laryngeal nerve controls the intrinsic muscles of the larynx, and its compression leads to **vocal cord paralysis** and hoarseness. *Carcinoma arising from the mucosa of the larynx* - While laryngeal carcinoma can cause hoarseness, the additional symptoms of **exertional dyspnea**, **irregular pulse**, **diastolic murmur**, and **hepatomegaly** are not typically associated with primary laryngeal cancer. - The patient's lack of smoking and alcohol history makes laryngeal carcinoma less likely, although not impossible. *Laryngeal inflammation due to chemical irritant* - This would typically present with hoarseness and possibly cough, but it would not explain the systemic findings of **irregular pulse**, **dyspnea**, **diastolic murmur**, or **hepatomegaly**. - Without exposure to irritants, this cause is less probable. *Circulating acetylcholine receptor antibodies* - This condition is **myasthenia gravis**, which can cause generalized weakness, including weakness of laryngeal muscles leading to hoarseness and dyspnea. - However, the other findings like an **irregular pulse**, **diastolic murmur**, and **hepatomegaly** are not characteristic features of myasthenia gravis, making it less likely. *Bacterial infection of the vocal folds* - A bacterial infection (laryngitis) would typically present with acute onset hoarseness, sore throat, and possibly fever. - It would not account for the chronic nature of the symptoms (5 months) or the associated cardiac and hepatic findings.
Explanation: ***MRI*** - An **MRI is the gold standard** for diagnosing soft tissue injuries of the shoulder, including **rotator cuff pathology**, which is highly suspected given the patient's symptoms (pain with abduction and external rotation, subacromial tenderness, and weakness). - It provides detailed imaging of tendons, ligaments, and cartilage, allowing for precise identification of **tears, inflammation, or impingement**. *Ultrasound* - While ultrasound can assess **rotator cuff integrity** and identify fluid collections, it is highly operator-dependent and may not provide the same level of detail as MRI for complex tears or associated pathologies. - It can be a good initial screening tool but might **underestimate the extent** of an injury compared to MRI. *Radiography* - **Radiography (X-rays)** primarily visualizes bone structures and would be useful for detecting fractures, dislocations, or significant degenerative joint disease. - It would **not directly visualize** the soft tissue injuries of the rotator cuff or other tendons that are likely causing this patient's symptoms. *CT* - **CT scans** provide excellent detail of bone structures and can identify subtle fractures, erosions, or bony impingement. - However, like X-rays, they are **less effective for visualizing soft tissues** like tendons and ligaments compared to MRI. *Physical exam and history* - The **physical exam and history** are crucial for narrowing down the differential diagnosis and guiding further imaging. - While strongly suggestive of a rotator cuff injury, they alone **cannot definitively confirm the extent or nature** of the underlying soft tissue pathology.
Explanation: ***Chest tube placement*** - The patient's presentation with **sudden dyspnea**, **pleuritic chest pain**, **decreased lung sounds**, **hyperresonance**, **tachycardia**, and **tracheal shift** indicates a **tension pneumothorax**, which requires immediate **chest tube insertion** for definitive management. - While the tracheal shift might suggest tension pneumothorax, the patient's relative **hemodynamic stability** (BP 100/76, pulse 125/min) and the fact that he was stable for 6 hours implies it's a large **primary spontaneous pneumothorax** rather than an emergent tension pneumothorax. A chest tube is the appropriate next step for symptomatic patients with a large pneumothorax. *Needle decompression* - This procedure is reserved for true **tension pneumothorax** where there is imminent **hemodynamic compromise** (e.g., hypotension, severe tachycardia, hypoxemia) due to severe intrathoracic pressure buildup. - The patient's blood pressure is stable, indicating that while there is a significant pneumothorax, it's not immediately life-threatening enough to warrant needle decompression before chest tube placement. *CT scan for apical blebs* - A **CT scan** might be useful for identifying the cause of the pneumothorax, such as **apical blebs**, but it's not an immediate management step for an acute, symptomatic pneumothorax. - Prioritizing definitive treatment to reinflate the lung and relieve symptoms is crucial before investigating the underlying cause. *Observe for another six hours for resolution* - Observation is only appropriate for **small, asymptomatic pneumothoraces**. - This patient is symptomatic with significant findings (dyspnea, chest pain, decreased lung sounds, hyperresonance, slight tracheal shift), making observation an unsafe option. *Pleurodesis* - **Pleurodesis** is a procedure used to prevent recurrent pneumothoraces and is typically performed after the acute event has been resolved, or for patients with **recurrent pneumothoraces**. - It is not an acute management step for a new, symptomatic pneumothorax.
Explanation: ***CT scan of the chest with contrast*** - The patient has suffered a **blunt chest trauma** with symptoms including shortness of breath, chest pain, and signs of potential internal bleeding (pale, anxious, tachycardia, mild hypotension). - A chest X-ray was performed; however, a **CT scan with contrast** is essential to further evaluate for **aortic injury**, **pulmonary contusions**, or other subtle thoracic injuries that may not be evident on plain radiographs, especially given the mechanism of injury (unrestrained passenger in a MVA). *Placement of a chest tube* - This intervention is indicated for conditions like **pneumothorax** or **hemothorax**, which would typically present with **diminished breath sounds** on the affected side or characteristic X-ray findings. - The patient's lungs are described as **clear to auscultation**, and no specific X-ray findings are mentioned that would necessitate immediate chest tube placement. *Pericardiocentesis* - This procedure is performed for **cardiac tamponade**, which would manifest with muffled heart sounds, jugular venous distention, and pulsus paradoxus. - The patient has **normal heart sounds** and **flat neck veins**, making cardiac tamponade less likely. *Abdominal ultrasonography* - While the patient has bruising and mild tenderness in the abdomen, suggesting potential **abdominal injury**, the primary life-threatening concerns based on his presentation (shortness of breath, chest pain, chest X-ray ordered) are thoracic. - A **Focused Assessment with Sonography for Trauma (FAST) exam** would be appropriate if the abdominal tenderness was more pronounced or if there were signs of active intra-abdominal bleeding, but the immediate priority is to rule out life-threatening thoracic injuries. *Intubation with positive pressure ventilation* - This is indicated for patients with **respiratory failure** or an inability to protect their airway. The patient's respiratory rate is 20/min (within normal limits), and he is **alert and oriented**. - While high-flow oxygen and fluid resuscitation have been initiated, there is no indication of impending respiratory collapse that would necessitate immediate intubation.
Explanation: ***A 15 mm Hg decrease in systolic blood pressure during inspiration*** - The patient's presentation with **hypotension**, **tachycardia**, **muffled heart sounds**, and **jugular venous distention** following a chest stab wound is characteristic of **cardiac tamponade**, a component of **Beck's triad**. - **Pulsus paradoxus**, defined as an inspiratory drop in systolic blood pressure greater than 10 mmHg, is a classic finding in cardiac tamponade due to increased right ventricular filling and bowing of the interventricular septum into the left ventricle during inspiration. *Inward collapse of part of the chest with inspiration* - This finding, known as a **flail chest**, occurs when three or more adjacent ribs are fractured in two or more places, leading to a segment of the chest wall paradoxically moving inward with inspiration. - While it indicates significant chest trauma, it doesn't align with the present signs of **cardiac tamponade**, which is primarily a pericardial issue. *Subcutaneous crepitus on palpation of the chest wall* - **Subcutaneous crepitus** suggests the presence of air in the subcutaneous tissues, typically from a **pneumothorax** or **ruptured bronchus**. - Although possible with chest trauma, the patient's normal breath sounds bilaterally and the specific symptoms pointing to cardiac tamponade make this a less likely primary finding compared to pulsus paradoxus. *Cough productive of frank blood* - **Hemoptysis** (coughing up blood) is indicative of airway or lung parenchymal injury, such as a **tracheobronchial tear** or **pulmonary contusion**. - This symptom does not directly explain the classic triad of cardiac tamponade (hypotension, muffled heart sounds, JVD) observed in this patient. *Lateral shift of the trachea toward the right side* - A **tracheal shift** to the contralateral side is a hallmark sign of a **tension pneumothorax**, where air accumulates in the pleural space, compressing the lung and mediastinum. - The patient's breath sounds are described as normal bilaterally, which makes a tension pneumothorax with tracheal deviation highly unlikely in this scenario.
Explanation: ***Surgical irrigation, debridement, and amoxicillin-clavulanic acid*** - The presence of deep lacerations over the metacarpophalangeal joints, combined with an injury mechanism suggestive of a **fight bite** (laceration from striking another person's teeth), mandates **aggressive surgical management**. - **Amoxicillin-clavulanic acid** is the appropriate antibiotic choice for **human bite wounds** due to its broad spectrum covering common oral flora like *Eikenella corrodens*, *Streptococci*, and anaerobes. *Closure of the wound with sutures* - **Primary closure** of human bite wounds, especially those on the hand, is strongly **contraindicated** due to the high risk of severe infection. - These wounds should be left open to drain and heal by **secondary intention** following thorough debridement. *Clindamycin and topical erythromycin* - **Clindamycin** has good anaerobic coverage but lacks sufficient coverage for common aerobes found in human bites like *Eikenella corrodens*. - **Topical erythromycin** is ineffective for deep soft tissue infections and does not provide systemic protection against the likely pathogens. *Ciprofloxacin and topical erythromycin* - **Ciprofloxacin** has limited activity against many oral anaerobes and *Eikenella corrodens*, making it a poor choice for human bite prophylaxis. - As mentioned, **topical antibiotics** are insufficient for preventing serious infections in deep bite wounds. *No further management necessary* - This patient has sustained a **deep, contaminated wound** with a high risk of serious infection, potentially involving joints or tendons. - Failing to provide further management, including surgical exploration and appropriate antibiotics, would likely lead to severe complications such as **osteomyelitis** or **septic arthritis**.
Explanation: ***Laryngeal carcinoma*** - The patient's long history of **smoking**, chronic **hoarseness** (lasting months), and especially the new onset of **hemoptysis** (coughing up blood) are highly suspicious for laryngeal carcinoma. The **rough vegetating lesion** on the vocal cord seen on laryngoscopy further supports this diagnosis. - Alcohol consumption, in addition to smoking, significantly increases the risk of head and neck cancers, including **laryngeal carcinoma**. The duration of symptoms and the nature of the lesion point towards a malignant process rather than a benign or acute condition. *Acute laryngitis* - This is typically an **acute inflammatory condition** of the larynx, often viral in origin, lasting a few days to a couple of weeks, and usually resolves spontaneously. - The patient's symptoms have been present for **months**, and the finding of a distinct **vegetating lesion** is not characteristic of acute laryngitis. *Polypoid corditis* - Also known as **Reinke's edema**, this condition is characterized by **edematous degeneration** of the vocal cords, primarily due to chronic irritation from smoking. - While it causes hoarseness, it rarely presents with **hemoptysis** and the lesion described as "rough vegetating" is more suggestive of malignancy than the smooth, baggy appearance of Reinke's edema. *Leukoplakia* - **Leukoplakia** refers to white patches on mucous membranes that cannot be scraped off and are often **premalignant**. They can be caused by chronic irritation, such as smoking. - Although leukoplakia can progress to carcinoma, the presence of **hemoptysis** and a "vegetating lesion" indicates a more advanced, likely malignant process rather than just a benign or premalignant white patch. *Vocal cord nodule* - **Vocal cord nodules** are benign growths, often bilateral, resulting from vocal abuse or misuse, and typically cause hoarseness and vocal fatigue. - Nodules are usually **smooth** and rarely cause **hemoptysis** or appear as a "vegetating lesion." The patient's smoking history and hemoptysis point away from simple vocal cord nodules.
Explanation: ***Partially occlusive dressing*** - The patient presents with classic signs of an **open pneumothorax** (sucking chest wound), including a penetrating chest injury with bubbling of blood at the wound site, shortness of breath, hyperresonance, and decreased breath sounds. - Applying a partially occlusive dressing (e.g., a **three-sided dressing**) prevents air from entering the pleural space during inspiration while allowing trapped air to escape during expiration, thus preventing tension pneumothorax. *Supplemental oxygen* - While **supplemental oxygen** is a general supportive measure for shortness of breath and hypoxemia, it does not address the underlying mechanical issue of air entering the pleural space in an open pneumothorax. - It would be administered after addressing the life-threatening chest wound, not as the primary immediate intervention. *Needle thoracostomy* - **Needle thoracostomy** is indicated for a **tension pneumothorax**, which presents with signs such as marked respiratory distress, hypotension, tracheal deviation, and jugular venous distention. - This patient does not exhibit these signs, as his trachea is midline, blood pressure is stable, and there is no jugular venous distention. *Emergency pericardiocentesis* - **Emergency pericardiocentesis** is indicated for **cardiac tamponade**, which is characterized by Becks triad (hypotension, muffled heart sounds, and jugular venous distention) and pulsus paradoxus. - There is no clinical evidence in the patient's presentation to suggest cardiac tamponade. *Emergency echocardiography* - **Emergency echocardiography** could be useful in diagnosing cardiac tamponade or other cardiac injuries, but it is not the most appropriate immediate life-saving intervention for an open pneumothorax. - The urgency of the open pneumothorax requires immediate physical intervention to seal the wound.
Explanation: ***Catheter-based thrombectomy / thrombolysis*** - This patient presents with acute limb ischemia characterized by **sudden onset pain**, **pallor**, **pulselessness**, **paresthesia**, and **paralysis** (the five P's), suggesting an acute arterial occlusion requiring urgent revascularization. - **Catheter-based thrombectomy or thrombolysis** can directly remove or dissolve the clot, restoring blood flow and improving limb viability. *Warfarin* - **Warfarin** is an anticoagulant used for long-term prevention of thromboembolic events, especially in conditions like atrial fibrillation. - While indicated for preventing future clots, its **delayed onset of action** and need for INR monitoring make it unsuitable for acute limb ischemia requiring immediate revascularization. *Percutaneous transluminal stent implantation* - **Percutaneous transluminal stent implantation** is primarily used to treat **atherosclerotic stenosis** that causes chronic limb ischemia or claudication. - It is not the first-line treatment for an **acute embolic occlusion** without underlying significant atherosclerotic narrowing. *Heparin* - **Heparin** is an anticoagulant that can prevent further clot propagation once a thrombus has formed. - While it may be used as an adjunct to prevent further thrombosis, it does **not actively dissolve or remove existing large clots** causing acute limb ischemia. *Rivaroxaban* - **Rivaroxaban** is a direct oral anticoagulant (DOAC) that can be used for long-term anticoagulation in conditions like atrial fibrillation or for venous thromboembolism. - Similar to warfarin, its primary role is **prevention of clot formation**, not the acute dissolution or mechanical removal of an existing, symptomatic arterial embolism.
Explanation: ***Adequate analgesia and conservative management*** - The patient has **nondisplaced rib fractures** with clear lung fields and stable vitals, indicating that conservative management with **adequate analgesia** is the most appropriate initial step. - Pain control is crucial to prevent complications such as **pneumonia** and **atelectasis** by allowing the patient to breathe deeply and cough effectively. *Internal fixation* - **Internal fixation** is generally reserved for patients with severe rib fractures, such as **flail chest**, significant displacement, or those who fail conservative management, which is not the case here. - This patient's fractures are **nondisplaced**, and he is hemodynamically stable without signs of respiratory compromise requiring surgical intervention. *Admission and surveillance in the intensive care unit* - Admission to the **intensive care unit (ICU)** is typically indicated for patients with **flail chest**, severe respiratory distress, or significant associated injuries, which are absent in this patient. - While rib fractures can be serious, stable patients with **nondisplaced fractures** do not automatically require ICU admission; a general medical ward or even outpatient management (depending on overall stability and pain control) might be sufficient. *Prophylactic antibiotic therapy* - There is currently **no evidence of infection** (e.g., fever, elevated white blood cell count, purulent sputum) to warrant prophylactic antibiotic therapy. - Rib fractures themselves, without an open wound or lung contusion leading to pneumonia, do not routinely require **antibiotics**. *Continuous positive airway pressure* - **Continuous positive airway pressure (CPAP)** is used for respiratory support in conditions like **acute respiratory failure** or **sleep apnea**, or in severe chest wall injuries like flail chest causing significant respiratory compromise. - This patient has an **oxygen saturation of 96%** on room air and mild shortness of breath, indicating he does not currently require CPAP.
Explanation: ***Surgical resection*** - The MRI shows a **single, well-demarcated lesion** with surrounding edema, suggestive of a **brain tumor** in a patient with progressive neurological deficits and new-onset headaches. - Given the patient's symptoms (paresthesia, weakness, difficulty walking, hyperreflexia) and the MRI findings, **surgical resection** is the most appropriate initial management to obtain a definitive diagnosis, relieve mass effect, and potentially cure if the tumor is resectable. (The mass needs to be resected to relieve symptoms and pressure) *Stereotactic brain biopsy* - While a biopsy is essential for diagnosis, **surgical resection** often combines the benefits of diagnosis and treatment for single, resectable lesions with significant mass effect. - A biopsy might be preferred for deep, unresectable, or multiple lesions, or when the goal is primarily to establish a diagnosis without attempting complete removal. *Intrathecal methotrexate therapy* - This therapy is typically used for **leptomeningeal carcinomatosis** or certain types of lymphoma affecting the central nervous system, which is not indicated by the MRI findings of a solitary mass. - It would not address the immediate mass effect or provide a definitive diagnosis for a potentially resectable solid tumor. *Whole brain radiotherapy* - This is usually reserved for patients with **multiple brain metastases**, widespread disease, or as a palliative measure for unresectable tumors, which is not the case here as there is only one lesion found in the MRI. - It carries significant side effects and is not the first-line treatment for a single, potentially resectable lesion. *Stereotactic radiosurgery* - This is an option for **small, well-defined tumors** that are either surgically inaccessible or in patients who are poor surgical candidates. - Given the patient's progressive symptoms and the potential for a complete resection, surgery is generally favored first for larger or symptomatic lesions that can be safely removed.
Explanation: ***Test sensation of the lateral shoulder*** - The patient presents with classic signs of an **anterior shoulder dislocation**, including **externally rotated** and **abducted upper extremity**, an **empty glenoid fossa**, and a **humeral head palpated below the coracoid**. - Assessing sensation of the **lateral shoulder** is crucial to check for **axillary nerve injury**, which is a common complication of shoulder dislocations and can cause deltoid weakness and sensory loss over the lateral deltoid region. *Drop arm test* - The **drop arm test** is used to evaluate for a **rotator cuff tear**, particularly involving the supraspinatus muscle. - In this scenario, the primary concern is an acute shoulder dislocation, not a rotator cuff tear, although the latter can coexist. *Closed reduction* - While **closed reduction** is the definitive treatment for an acute shoulder dislocation, it should only be performed *after* neurovascular status has been thoroughly assessed. - Reducing the dislocation before checking for nerve damage could mask an existing injury or worsen it. *Neer impingement test* - The **Neer impingement test** is used to diagnose **rotator cuff impingement syndrome**, a condition where soft tissues are compressed in the subacromial space. - This patient's symptoms are indicative of an acute dislocation, not chronic impingement. *Arthroscopic shoulder repair* - **Arthroscopic shoulder repair** is a surgical procedure for certain shoulder conditions, often for recurrent instability or significant structural damage, after initial closed reduction has failed or if there are contraindications to closed reduction. - It is not the immediate next step in managing an acute, primary shoulder dislocation before proper assessment.
Explanation: ***Exploratory laparotomy*** - The patient is **hemodynamically unstable** (BP 85/60, pulse 121) following blunt abdominal trauma with **clinical signs of intra-abdominal injury** (abdominal pain, bruising, tenderness). - When FAST is **inconclusive** in a hemodynamically unstable patient with high clinical suspicion for intra-abdominal hemorrhage, **immediate exploratory laparotomy** is indicated per current ATLS guidelines. - Delaying surgery for additional diagnostic tests in an unstable patient risks life-threatening blood loss and death. - The patient's persistent hypotension despite fluid resuscitation indicates ongoing hemorrhage requiring urgent surgical control. *Diagnostic peritoneal lavage* - DPL was historically used after inconclusive FAST exams, but it has been **largely replaced** by FAST and CT in modern trauma management. - While DPL is highly sensitive (98%), it is **not specific** and can detect clinically insignificant injuries, potentially leading to unnecessary laparotomies. - More importantly, in a **hemodynamically unstable** patient like this one, DPL would **delay definitive surgical treatment** without changing management—the patient needs operative intervention regardless. - DPL may still have limited utility in resource-limited settings or when other modalities are unavailable. *CT scan of the abdomen* - CT is the **gold standard** for evaluating abdominal trauma in **hemodynamically stable** patients, providing detailed anatomic information. - However, this patient's **persistent hypotension and tachycardia** make CT inappropriate—it requires transporting the patient away from resuscitation capabilities and delays necessary surgical intervention. - CT should only be performed once hemodynamic stability is achieved. *X-ray of the abdomen* - Abdominal X-ray can identify **free air** (bowel perforation) or **bony injuries**, but it has **poor sensitivity** for solid organ injury and intra-abdominal hemorrhage. - It does not provide the rapid, actionable information needed in this hemodynamically unstable patient. - Plain films have minimal role in modern blunt abdominal trauma evaluation. *Nasogastric tube insertion* - NG tube placement is a **supportive measure** to decompress the stomach, prevent aspiration, and facilitate subsequent procedures. - While often performed in trauma patients, it does not address the **urgent need for hemorrhage control** in this unstable patient. - It is not a diagnostic or definitive therapeutic intervention for intra-abdominal bleeding.
Explanation: ***Measure forearm compartment pressures*** - This patient presents with classic signs and symptoms of **acute compartment syndrome** in the forearm: severe pain out of proportion to injury, pain with passive stretching of fingers, and a history of vascular injury and reperfusion. - Measuring compartment pressures is the definitive diagnostic step to confirm the diagnosis and guide the need for urgent **fasciotomy**. *Nerve block* - While a nerve block could alleviate pain temporarily, it would **mask critical symptoms** of compartment syndrome and delay diagnosis and treatment. - Delaying definitive treatment for compartment syndrome can lead to irreversible muscle and nerve damage. *Watchful waiting* - **Acute compartment syndrome is a surgical emergency**, and watchful waiting would only exacerbate the condition, leading to permanent functional deficits. - Irreversible muscle damage begins within a few hours of untreated compartment syndrome. *Compressive bandage* - Applying a compressive bandage would **worsen the compartment syndrome** by further increasing pressure within the already compromised fascial compartments. - The goal is to relieve pressure, not increase it. *Increase his dose of hydromorphone* - Increasing analgesia would simply **mask the escalating pain**, which is a crucial indicator of worsening compartment syndrome. - This would delay recognizing the need for surgical intervention, leading to potentially devastating long-term consequences.
Explanation: ***Hepatoduodenal ligament*** - The **Pringle maneuver** involves clamping the **hepatoduodenal ligament** to control bleeding from the liver. This ligament contains the **hepatic artery**, **portal vein**, and **bile duct**. - Clamping the hepatoduodenal ligament effectively stops blood flow into the liver, allowing for temporary control of hemorrhage during hepatic trauma repair. *Aorta above celiac axis* - Clamping the **aorta above the celiac axis** would severely compromise blood flow to multiple vital organs, including the stomach, spleen, and most of the intestines, leading to widespread ischemia. - This is a much more extensive and dangerous clamping maneuver typically reserved for massive intra-abdominal hemorrhage not controllable by other means, rather than liver-specific bleeding. *Splenic artery only* - Clamping the **splenic artery** would only stop blood flow to the spleen and would not significantly impact bleeding from the liver. - The described trauma is to the liver, so addressing the splenic artery would not be the primary intervention for a liver hemorrhage. *Hepatic artery only* - While clamping the **hepatic artery** would reduce arterial blood flow to the liver, the liver also receives a significant blood supply from the portal vein. - Therefore, clamping only the hepatic artery would not completely stop the blood flow into the liver, making it less effective than the Pringle maneuver (which includes the portal vein). *Hepatic vein only* - Clamping the **hepatic vein** would obstruct blood outflow from the liver, leading to **hepatic venous congestion**, but it would not stop the inflow of blood from the hepatic artery and portal vein. - This would worsen rather than control an exsanguinating hemorrhage from a liver injury.
Explanation: ***CT scan of the abdomen and pelvis*** - This patient has suffered significant trauma to the lower abdomen, as indicated by colliding with a parked car and handlebar impact, along with **hematuria** (urine dipstick positive for blood, 20 RBCs/hpf). - A CT scan of the abdomen and pelvis is crucial to assess for potential **intra-abdominal organ injury**, particularly to the kidneys, bladder, or bowel, given the mechanism of injury and the presence of hematuria. *Intravenous pyelography* - While IVP can visualize the urinary tract, it is generally **less sensitive and specific** than CT scanning for detecting trauma-related urinary tract injuries and concurrent injuries to other abdominal organs. - Furthermore, modern trauma care primarily utilizes **CT scanning** due to its superior anatomical detail and ability to assess multiple organ systems simultaneously. *Laparotomy* - **Exploratory laparotomy** is a surgical procedure indicated for patients with signs of **hemodynamic instability**, peritonitis, or clear evidence of severe intra-abdominal injury, none of which are present in this hemodynamically stable patient. - Performing a laparotomy without further diagnostic imaging in a stable patient is premature and carries unnecessary risks. *Observation and follow-up* - While the patient is currently hemodynamically stable and the abdomen is soft and non-tender, the **mechanism of injury** (handlebar impact to the lower abdomen) combined with **hematuria** suggests a high likelihood of significant internal injury that requires further evaluation. - **Observation alone** without imaging could lead to delayed diagnosis and treatment of a potentially serious injury to the urinary tract or other abdominal organs. *Suprapubic catheterization* - **Suprapubic catheterization** is used to drain the bladder when urethral catheterization is not possible or contraindicated, for example in cases of suspected urethral injury. - There is no indication of urethral injury here (**unremarkable rectal exam**, no gross blood at the meatus), and the primary concern is evaluation of the organs, not bladder drainage.
Explanation: ***Posterior cruciate ligament injury*** - The patient's mechanism of injury, **falling on the anterior aspect of the knee** (dashboard injury), is highly suggestive of a **PCL injury**. - The finding of the **tibia displacing posteriorly** when force is applied to the proximal tibia after flexing the knee (positive **posterior drawer sign**) is a classic sign of PCL rupture. *Anterior cruciate ligament injury* - An **ACL injury** typically results from a twisting injury, hyperextension, or direct blow to the lateral aspect of the knee, not direct anterior impact. - The **anterior drawer sign** (tibia displacing anteriorly) or **Lachman test** (increased anterior translation at 30 degrees of flexion) would be positive, not the posterior drawer sign. *Lateral meniscus injury* - **Meniscal injuries** often involve twisting or direct trauma, but the primary indicator would be clicking, locking, or catching of the knee, along with joint line tenderness. - While an avulsion fracture is present, the posterior displacement of the tibia points more specifically to a ligamentous injury. *Medial meniscus injury* - Similar to a lateral meniscus injury, a **medial meniscus tear** would typically present with symptoms like clicking, locking, and pain along the medial joint line. - The specific physical exam finding of posterior tibial displacement is not characteristic of a meniscus injury. *Medial collateral ligament injury* - An **MCL injury** usually occurs due to a **valgus stress** (force applied to the lateral side of the knee), causing pain on the medial side. - The primary physical exam finding would be **instability with valgus stress**, not posterior tibial displacement.
Explanation: ***Arterial embolism*** - The sudden onset of severe unilateral limb pain, pallor, coolness, and absent pulses in a patient with risk factors for **atherosclerosis** and possible **arrhythmias** (given the history of hypertension and diabetes) strongly suggests acute limb ischemia due to an arterial embolism. - The patient's presentation aligns with the "6 P's" of acute limb ischemia: **pain, pallor, pulselessness, paresthesias, poikilothermia (coolness), and paralysis** (weakness). *Popliteal artery aneurysm* - While a popliteal artery aneurysm can cause acute limb ischemia due to thrombosis or embolism within the aneurysm, it is more commonly associated with chronic limb ischemia or rupture, and a **palpable pulsatile mass** is typically present, which is not mentioned. - The suddenness and severity of symptoms are more indicative of an embolic event rather than a thrombotic event within an aneurysm, which often presents less acutely. *Atherosclerotic narrowing of the artery* - **Atherosclerotic narrowing** typically causes chronic limb ischemia with symptoms like **claudication**, which is pain that worsens with exercise and improves with rest. The patient explicitly denies claudication. - Acute worsening of atherosclerotic narrowing, often due to **plaque rupture and thrombosis**, would usually affect a limb with pre-existing claudication, and the onset might be less abrupt than described. *Arterial vasospasm* - **Arterial vasospasm** (e.g., Raynaud's phenomenon) primarily affects the small arteries and arterioles, typically in the digits, and is often triggered by cold or stress. - It would not typically cause acute, severe, and widespread limb ischemia with absent pedal pulses in a large artery, and the patient's symptoms are not consistent with known vasospastic disorders affecting large vessels. *Atheroembolism* - **Atheroembolism** (e.g., "blue toe syndrome") typically involves multiple, small cholesterol emboli showering downstream, causing patchy ischemia, livedo reticularis, and renal or gastrointestinal involvement. - While the patient has significant atherosclerotic risk factors, the sudden, complete obliteration of flow to the entire right leg, indicated by absent pedal pulses and diffuse symptoms, points more towards a **single, larger embolic occlusion** rather than diffuse microemboli.
Explanation: ***Perform escharotomy*** - The patient's symptoms of **reduced capillary return**, **peripheral pallor**, and **low oxygen saturation** in the setting of an elevated arm indicate **compartment syndrome** due to circumferential burn-related edema. - **Escharotomy** is the appropriate immediate intervention to relieve pressure and restore circulation in deep circumferential burns. *Perform fasciotomy* - **Fasciotomy** is indicated for compartment syndrome due to **non-burn-related trauma** or other causes, where the tight fascia is the primary constricting factor. - In burns, the **tough, inelastic eschar** itself is usually the constricting element, requiring escharotomy. *Obtain split-thickness skin graft* - A **split-thickness skin graft** is a reconstructive procedure performed after the burn wound has been adequately debrided and the patient is stable. - It is not an emergent intervention to address acute limb ischemia from compartment syndrome. *Decrease rate of IV fluids* - While excessive fluid resuscitation can contribute to edema, the immediate and critical issue is the **compromised circulation** due to the constricting eschar, not solely fluid overload. - Reducing IV fluids would not rapidly reverse the existing limb ischemia and could potentially lead to **hypoperfusion** if the patient is already under-resuscitated. *Perform right upper extremity amputation* - **Amputation** is a last resort, considered only after all attempts to salvage the limb, including escharotomy, have failed and there is irreversible tissue necrosis. - It is not the appropriate first-line response to acute compartment syndrome from burns.
Explanation: ***Retinal detachment*** - The patient's symptoms of **decreased vision**, **black spots** (floaters), **flashes of light** (photopsia), and the sensation of a "**curtain hanging over the eye**" are classic signs of **retinal detachment**. - Recent **cataract surgery** is a significant risk factor for retinal detachment, and the visual field defects (nasal and inferior) noted in the confrontation test are consistent with the detached retina. *Degenerative retinoschisis* - While retinoschisis can cause visual field defects, it typically presents with **asymptomatic peripheral vision loss** and **does not usually cause photopsia or floaters**. - It is a **splitting of the retina**, often stable and less likely to cause a sudden, symptomatic curtain-like vision loss. *Endophthalmitis* - Endophthalmitis is a severe intraocular infection characterized by **pain**, **redness**, and significant **vision loss**, often with **hypopyon** (pus in the anterior chamber). - The patient has no pain or redness, and the anterior chamber is unremarkable, making endophthalmitis unlikely. *Hemorrhagic choroidal detachment* - This condition is often associated with **severe pain**, a **deepening of the anterior chamber**, and can occur post-operatively after intraocular surgery. - While vision loss can be profound, the absence of pain and a normal anterior chamber make this diagnosis less likely. *Acute angle-closure glaucoma* - This condition presents with **sudden, severe eye pain**, **redness**, **halos around lights**, and often **nausea and vomiting**. - The patient denies pain and redness, and the symptoms described are more consistent with retinal pathology than acute angle-closure glaucoma.
Explanation: ***Medial meniscus*** - The patient's history of knee trauma during a wrestling match, followed by **locking** and **clicking** sensations, is highly indicative of a meniscal tear. - **Medial joint line tenderness** specifically points towards involvement of the medial meniscus, which is more commonly injured than the lateral meniscus. *Lateral meniscus* - While a meniscal tear is likely, the presence of **medial joint tenderness** makes a lateral meniscus tear less probable. - A lateral meniscus tear would typically present with pain localized to the **lateral aspect** of the knee. *Lateral collateral ligament* - Injury to the LCL typically results from a **varus stress** to the knee, often causing pain on the lateral side and instability, which are not primary complaints here. - The physical exam did not describe any instability on **varus stress testing**, making an isolated LCL injury less likely. *Anterior cruciate ligament* - ACL injuries usually involve a distinct "pop" sensation and **knee instability**, particularly during activities requiring pivoting or cutting. - The **absent anterior displacement** on the anterior drawer test effectively rules out an acute ACL tear. *Medial collateral ligament* - MCL injuries result from a **valgus stress** to the knee, causing pain and tenderness along the medial aspect of the knee and often **instability** during valgus stress testing. - While there is medial tenderness, the presence of **locking and clicking** strongly points towards a meniscal injury rather than an isolated ligamentous injury, and significant instability is not described.
Explanation: ***Immediate surgical decompression and stabilization*** - The patient presents with clear signs of **spinal cord compression** (paralysis, absent pinprick sensation below the umbilicus, absent rectal tone) and **vertebral displacement** after trauma. - **Prompt surgical decompression** is crucial in cases of acute spinal cord injury with ongoing compression to prevent further neurological damage and improve functional outcomes. *Spinal immobilization and transfer to trauma center* - **Spinal immobilization** is an initial crucial step at the scene and during transport to prevent further injury, but it is not the definitive next step once in the emergency department with confirmed compression. - While transfer to a trauma center is important, **surgical intervention** takes precedence once the diagnosis of vertebral displacement with neurological deficit is established and resources are available. *High-dose intravenous methylprednisolone* - The use of **high-dose corticosteroids** for acute spinal cord injury is controversial and no longer routinely recommended due to a lack of clear benefit and potential side effects. - Its administration would delay definitive treatment and has not been shown to significantly improve neurological outcomes. *MRI of the spine* - While **MRI provides more detailed imaging** of soft tissues and spinal cord, CT and plain films have already confirmed vertebral displacement and ongoing spinal cord compression. - Delaying surgical intervention to obtain an MRI is not advisable when there is clear evidence of **neurological deficit due to mechanical compression**. *Conservative management with bed rest* - Given the patient's **severe neurological deficits** and confirmed vertebral displacement, conservative management with bed rest is entirely inappropriate and will likely lead to permanent neurological damage. - This approach is reserved for stable spinal injuries without significant neurological compromise.
Explanation: **Early excision and split-thickness skin grafting** - **Early excision and split-thickness skin grafting** is the most appropriate next step for **deep 3rd-degree burns** of this size to prevent infection, reduce inflammation, and promote wound healing. - The burns cover 11% TBSA, which is a significant area where **skin grafting** would be beneficial to minimize scarring and improve functional outcomes. *Delayed excision and skin grafting* - **Delayed excision and grafting** increases the risk of **infection, sepsis, and prolonged hospitalization**. - Early intervention is crucial for **optimal outcomes** in large, deep burns. *Fluid resuscitation with Ringer’s lactate solution per the Parkland formula* - While **fluid resuscitation** is critical in burn management, it is typically initiated **immediately upon presentation** and often pre-hospital or in the emergency department. - The question asks for the "most appropriate next step in management" after initial evaluation and stabilization, implying that urgent surgical intervention is being considered for the **definitive wound closure**. *Topical antibiotic application of mafenide acetate* - **Topical antibiotics** like mafenide acetate are used to prevent **wound infection** but are primarily adjuncts to surgical treatment for deep burns. - They do not address the need for **wound closure and definitive healing** in deep burns covering a significant TBSA. *Early excision and full-thickness skin grafting* - **Full-thickness skin grafts** are typically reserved for smaller, deeper defects in areas where cosmesis and durability are paramount, such as the face or hands. - For **large-area 3rd-degree burns** like those on the thigh and lower limbs, **split-thickness skin grafts** are preferred due to their greater availability and ability to cover larger areas.
Explanation: ***Urgent assessment for amputation or revascularization*** - The patient presents with classic signs of **acute limb ischemia** (severe pain, numbness, coolness, pallor, and diminished pulse) in the setting of chronic atrial fibrillation and medication non-compliance, indicating an **embolic event**. - **Immediate surgical consultation** for revascularization and limb salvage is critical to prevent irreversible tissue damage and potential amputation. *Decompressive laminectomy* - This procedure is indicated for conditions like **spinal stenosis** or **herniated disc** causing nerve root compression, typically presenting with radicular pain, weakness, or sensory deficits. - The patient's acute onset of symptoms, limb ischemia signs, and irregular pulse are not consistent with a spinal compressive neuropathy. *Oral acetaminophen and topical capsaicin* - These are **palliative treatments** for pain that is typically chronic and less severe, such as osteoarthritis or neuropathic pain. - They are entirely inadequate for the management of **acute limb ischemia**, which requires urgent intervention to restore blood flow. *Arthroscopic synovectomy* - This is a surgical procedure to remove inflamed synovial tissue from a joint, typically performed for conditions like **rheumatoid arthritis** or other inflammatory arthropathies that have not responded to medical management. - It is irrelevant to the management of acute vascular compromise of a limb. *Cilostazol* - **Cilostazol** is a phosphodiesterase inhibitor used in the long-term management of **intermittent claudication** due to peripheral artery disease to improve walking distance and reduce symptoms. - It has no role in the acute treatment of **severe limb ischemia**, which is an emergency requiring immediate revascularization, not a medication for chronic symptoms.
Explanation: **Obtain an immediate portable chest radiograph to evaluate line placement** - The most appropriate next step after central venous catheter placement is to **confirm its correct position** and rule out complications like **pneumothorax** via imaging. - A **chest radiograph** is the standard and immediate method to confirm proper placement of the tip in the lower superior vena cava and rule out pneumothorax, especially given the patient's critical condition. *Confirm line placement by ultrasound* - While ultrasound is used during placement to visualize the vessel and guide needle insertion, it is **not sufficient for confirming the final tip position** of the catheter or for ruling out pneumothorax. - Ultrasound confirmation usually involves visualizing a **saline flush** in the right atrium, but a chest X-ray is still required for comprehensive evaluation. *Begin to use the line after documenting the return of dark, non-pulsatile blood from all ports* - Documenting blood return confirms that the catheter is in a vein but does not confirm **optimal tip placement** or exclude potential complications like **pneumothorax**. - Using the line without radiological confirmation can lead to administering medications into incorrect locations (e.g., subclavian artery) or exacerbating unnoticed complications. *Begin infusion of normal saline through a central line* - Administering fluids before confirming proper line placement carries the risk of **extravasation** or infusing into an artery or other unintended space, which could worsen the patient's condition. - Although IV fluids are needed in this septic patient, **confirmation of line placement** is a higher priority before commencing infusions. *Begin infusion of norepinephrine to maintain systolic blood pressure over 90 mm Hg* - While norepinephrine is crucial for managing septic shock and **hypotension** in this patient, starting it before confirming central line placement is dangerous. - **Vasopressors require a secure central line** to prevent severe local tissue damage if extravasation occurs.
Explanation: ***Chest tube insertion in the fifth intercostal space at the midaxillary line*** - The patient's symptoms (worsening chest pain, dyspnea, pallor, anxiety, tachycardia, tachypnea, hypotension, hypoxemia) and signs (decreased breath sounds, dullness to percussion, increased opacity on X-ray, rib fractures) are highly suggestive of a **hemothorax** secondary to trauma, which requires urgent drainage. - Placement of a **large-bore chest tube** in the **fifth intercostal space at the midaxillary line** is the appropriate intervention for evacuating blood and air from the pleural space, allowing lung re-expansion and improving respiratory and hemodynamic status. *Pericardiocentesis* - This procedure is indicated for **cardiac tamponade**, which is characterized by jugular venous distension, muffled heart sounds, and pulsus paradoxus, none of which are classic findings here. - The patient's symptoms are more consistent with a pleural space issue rather than pericardial compression. *Emergency thoracotomy* - This is an invasive surgical procedure typically reserved for patients with severe, life-threatening thoracic trauma, such as massive hemorrhage or penetrating cardiac injury, who are unresponsive to less invasive resuscitation efforts. - While the patient is unstable, a chest tube is the initial, less invasive, and often sufficient intervention for hemothorax. *Admission to the ICU and observation* - The patient's **hemodynamic instability** (ongoing hypotension, tachycardia), **respiratory distress** (tachypnea, hypoxemia), and clear radiographic evidence of a significant pleural effusion/hemothorax (increased opacity, tracheal deviation) indicate an urgent need for intervention, not just observation. - Delaying definitive treatment for a large hemothorax can lead to further decompensation and poor outcomes. *Needle thoracentesis in the eighth intercostal space at the posterior axillary line* - While needle thoracentesis can be used for pleural fluid sampling or temporary relief of tension pneumothorax, it is insufficient for draining a significant **hemothorax**, which involves large volumes of blood and often clots. - A chest tube is required for adequate drainage in such cases. The eighth intercostal space is also lower than the typical placement for chest tube insertion in trauma for drainage of general fluid/air and might be less effective for complete drainage or carry a higher risk of abdominal organ injury if fluid levels are typical.
Explanation: ***Flail chest*** - The inward movement of the **left chest wall during inspiration (paradoxical movement)** is a classic sign of **flail chest**, caused by fractures of three or more adjacent ribs in two or more places. - This condition is often associated with significant pain, **shortness of breath**, and can compromise ventilation, leading to **tachycardia** and **hypotension** due to impaired gas exchange and hypovolemia from associated injuries. *Cardiac tamponade* - While it causes **tachycardia and hypotension**, it typically presents with muffled heart sounds, jugular venous distension, and pulsus paradoxus, which are not described. - The primary respiratory findings would not be *absent breath sounds* or *paradoxical chest wall motion*. *Diaphragmatic rupture* - This typically presents with **abdominal contents in the chest**, leading to respiratory distress and potentially absent breath sounds on the affected side. - However, it does not explain the **diffuse crepitus at the left shoulder level** or the **paradoxical chest wall movement**. *Phrenic nerve paralysis* - **Unilateral phrenic nerve paralysis** would lead to paralysis of the diaphragm on one side, causing **elevated hemidiaphragm** on chest X-ray and reduced lung expansion. - It would not cause *diffuse crepitus*, *paradoxical chest wall movement*, or the acute, severe presentation described after trauma. *Sternal fracture* - A sternal fracture can cause severe chest pain and can be associated with cardiac contusion or other intrathoracic injuries. - However, it does not directly explain **absent breath sounds** or **paradoxical chest wall movement** as the primary cause of respiratory distress, although it can coexist with flail chest.
Explanation: ***Monitoring of peripheral pulses and capillary filling*** - The presence of a **dry, nontender, leathery, white burn** encircling the right upper extremity suggests a **full-thickness (third-degree) burn**. - Circumferential full-thickness burns create an **inelastic eschar** that can act as a tourniquet, causing vascular compromise as underlying tissue edema develops. - **Immediate monitoring** of peripheral pulses, capillary refill, and neurovascular status is essential to detect early signs of vascular compromise that would necessitate **escharotomy**. - If vascular compromise is detected (diminished pulses, poor capillary refill, paresthesias), emergent escharotomy must be performed to release the constricting eschar. *Soft-tissue ultrasound* - While ultrasound can assess tissue depth, it is not the **initial priority** for evaluating potential vascular compromise in a circumferential burn. - The immediate need is clinical assessment of perfusion through pulse checks and capillary refill, not imaging studies. *X-ray of the chest* - A chest X-ray would be indicated if there were concerns for **inhalational injury** or other thoracic trauma, such as abnormalities on cardiopulmonary examination or signs of respiratory distress. - The patient's pulse oximetry is 98%, respirations are normal, and cardiopulmonary exam shows no abnormalities, making a chest X-ray not the most appropriate immediate next step. *Intravenous ampicillin therapy* - **Prophylactic antibiotic therapy** is not routinely administered for burn injuries due to concerns about promoting antibiotic resistance; it is reserved for confirmed infections. - Management priorities in the immediate post-burn period focus on fluid resuscitation, pain control, wound care, and preventing vascular compromise from circumferential burns. *Serial arterial blood gas analysis* - **Arterial blood gas (ABG) analysis** is primarily used to assess for respiratory compromise, such as inhalational injury, carbon monoxide poisoning, or cyanide toxicity. - The patient's normal pulse oximetry (98% on room air) and unlabored respirations suggest that ABG analysis is not an immediate priority.
Explanation: ***CT scan of the head*** - Given the **first-time seizure** in an adolescent, especially with a history of head trauma (falling while skateboarding) and subsequent confusion, a **CT scan of the head** is crucial to rule out acute structural lesions like hemorrhage, mass, or edema. - It is vital for identifying **life-threatening causes** of seizure that require immediate intervention, such as an **intracranial hematoma** or **mass lesion**, which could have been precipitated or exacerbated by the fall. *Electroencephalography* - **EEG** is appropriate for later evaluation to diagnose and classify seizure disorders, but it is not the *most appropriate initial step* in the emergency setting for a first-time seizure with a possible traumatic etiology. - An EEG might be normal shortly after a seizure, and it does not rule out acute structural brain pathology that requires urgent management. *Lumbar puncture* - A **lumbar puncture** is indicated if there's suspicion of meningoencephalitis (e.g., fever, nuchal rigidity, immunocompromised status), which are not prominent features in this patient. - The patient's vital signs are stable, and there are no signs of infection, making this a less urgent initial diagnostic step compared to imaging. *Lorazepam therapy* - **Lorazepam** is a benzodiazepine used to terminate ongoing seizures (**status epilepticus**), but this patient's generalized contractions have already stopped. - Administering lorazepam when the seizure has resolved is unnecessary and would only cause further sedation. *Reassurance and follow-up* - While reassurance is part of patient care, it is *insufficient* as the sole next step for a **first-time seizure** episode in an adolescent, especially with features suggesting a possible underlying acute cause. - A thorough diagnostic workup, beginning with neuroimaging, is necessary to ensure there is no serious underlying pathology before considering discharge and follow-up.
Explanation: ***Testicular tumor*** - A **painless, firm, and nontender solid mass** in the testis that does not transilluminate and is not reducible is highly suspicious for a testicular tumor. - The patient's age (25 years old) is within the typical demographic for **testicular cancer**, and the recent discovery further supports this diagnosis. *Testicular torsion* - Characterized by **sudden onset of severe pain**, scrotal swelling, and tenderness, often associated with nausea and vomiting. - The patient in this case presents with a **painless** mass, which makes testicular torsion unlikely. *Scrotal hernia* - A hernia typically presents as a **reducible mass** that may increase in size with maneuvers like coughing, and it often transilluminates. - The mass described here is **not reducible** and does not transilluminate, ruling out a simple scrotal hernia. *Hydrocele testis* - A hydrocele is a collection of fluid in the tunica vaginalis, which typically presents as a **painless, soft, and transilluminating** scrotal swelling. - The mass in this patient is described as **solid** and does not transilluminate, making hydrocele unlikely. *Orchitis* - Orchitis is an **inflammation of the testis**, which usually presents with pain, tenderness, swelling, and sometimes fever. - The patient's mass is explicitly described as **painless** and nontender, which is inconsistent with orchitis.
Explanation: ***Placement of shunt*** - This patient presents with the classic triad of **normal pressure hydrocephalus (NPH)**: **dementia**, **gait disturbance** ("does not lift his feet off the ground," tripping), and **urinary incontinence**. - **Ventricular shunting** is the primary and most effective treatment for NPH, as it diverts excess cerebrospinal fluid (CSF) and can lead to significant improvement in symptoms. *Galantamine* - **Galantamine** is an **acetylcholinesterase inhibitor** used in the treatment of **Alzheimer's disease** and other dementias to improve cognitive function, but it would not address the underlying pathology of NPH or the gait and incontinence symptoms. - While dementia is present, the specific combination of symptoms points away from typical Alzheimer's and towards NPH. *Tetrabenazine* - **Tetrabenazine** is a **dopamine depletor** used to treat **chorea** in **Huntington's disease** and **tardive dyskinesia**. - It would not be effective for the dementia, gait, or incontinence associated with NPH. *Better control of diabetes and hypertension* - While **vascular risk factors** like hypertension and diabetes can contribute to **vascular dementia**, the specific triad of symptoms (dementia, gait disturbance, and incontinence) strongly suggests NPH. - Controlling these conditions is important for overall health, but it is not the primary or most effective treatment for the NPH symptoms presented. *Selegiline* - **Selegiline** is an **MAO-B inhibitor** used in the treatment of **Parkinson's disease** to manage motor symptoms. - It is not indicated for the symptoms of NPH and would not address the CSF dynamics involved.
Explanation: ***Midshaft humerus*** - A **midshaft humerus fracture** is classically associated with **radial nerve injury**, which manifests as **wrist drop** (inability to extend the wrist). The mechanism of injury (high-impact trauma) also supports this. - The radial nerve courses along the spiral groove of the humerus, making it vulnerable to direct injury or entrapment during a midshaft fracture. *Humeral neck* - Fractures of the **humeral neck** are more commonly associated with **axillary nerve injury**, leading to deltoid weakness and sensory deficits over the lateral shoulder, not wrist drop. - This type of fracture is also more common in elderly individuals due to falls. *Supracondylar* - **Supracondylar fractures** of the humerus, particularly in children, are associated with injury to the **median nerve** or **brachial artery**, potentially leading to Volkmann's ischemic contracture. - While they can cause neurological deficits, isolated **wrist drop** as described is not the typical presentation. *Radial head* - **Radial head fractures** primarily affect the **elbow joint** and typically present with pain, swelling, and limited pronation/supination. - They are not typically associated with **wrist drop** because the pattern of nerve injury would more commonly involve the posterior interosseous nerve (causing finger extensor weakness) rather than the radial nerve proper. *Ulnar* - **Ulnar fractures** (e.g., in the forearm) can be isolated or part of more complex injuries like a Monteggia fracture. - These fractures are typically associated with injury to the **ulnar nerve**, leading to sensory deficits in the medial hand and weakness of intrinsic hand muscles, not wrist drop.
Explanation: ***Escharotomy*** - The patient's symptoms (cold toes, edema, absent pulses in the left lower extremity) and a **delta pressure of 25 mmHg** (compartment pressure of 50 mmHg assuming diastolic pressure of 75 mmHg) are highly indicative of **compartment syndrome** due to a circumferential burn. - **Escharotomy** is an emergent surgical procedure to relieve pressure caused by a constricting eschar, restoring blood flow and preventing permanent tissue damage. *Intravenous fluid infusion based on Parkland formula* - While fluid resuscitation is essential for burn patients, the immediate priority in this case is to address the limb-threatening **compartment syndrome**, not just overall fluid balance. - Applying the Parkland formula would be part of general burn care but does not directly resolve the acute vascular compromise. *Transfer to burn center* - Transfer to a burn center is appropriate for specialized burn care, but the **acute limb ischemia** requires immediate intervention that cannot wait for transfer. - Delaying treatment for transfer would significantly increase the risk of permanent damage or limb loss. *Fasciotomy* - **Fasciotomy** is performed to relieve compartment syndrome caused by internal swelling of the muscles, typically in trauma cases. - In this burn injury, the compression is primarily due to the constricting **eschar**, which is initially treated with an escharotomy. *Amputation* - Amputation is a measure of last resort for irreversible tissue necrosis or overwhelming infection, which has not yet occurred and is preventable with timely escharotomy. - Performing an amputation at this stage would be premature and an inappropriate first step given the potential for limb salvage.
Explanation: ***Surgical resection*** - Given the patient's history of **breast carcinoma** and the presence of a **solitary, accessible brain lesion** on MRI (4-cm temporal hyperintense mass near the surface), surgical resection is the most appropriate initial management. - **Surgical removal** offers both a **definitive diagnosis** (biopsy) and **symptomatic relief** by reducing mass effect, and can potentially improve survival in carefully selected patients with solitary resectable metastases. *Whole brain radiation therapy* - **Whole brain radiation therapy (WBRT)** is typically reserved for patients with **multiple brain metastases**, large lesions that are not surgically resectable, or as an adjuvant treatment after surgical resection or stereotactic radiosurgery. - It carries risks of cognitive decline and other side effects, making it a less preferred first-line treatment for a single, resectable lesion. *Chemotherapy* - **Chemotherapy** for brain metastases from breast cancer often has limited efficacy due to the **blood-brain barrier**, and is generally not the initial treatment of choice for a solitary, symptomatic lesion. - Systemic chemotherapy might be considered if there's widespread systemic disease or as part of a multimodal approach after local control of the brain lesion. *Palliative care* - While supportive **palliative care** is an important aspect of managing advanced cancer, recommending it as the *next step in management* for a surgically resectable brain metastasis that is likely causing her symptoms is premature. - The patient has a potential to benefit from active treatment to improve quality of life and potentially extend survival. *Antibiotic therapy* - The patient's presentation with a history of cancer and a temporal mass is highly suggestive of a **brain metastasis**, not an infection. - There are no signs of infection (e.g., fever, meningeal signs, increased inflammatory markers) that would warrant **antibiotic therapy**.
Explanation: ***Initiation of aspirin and atorvastatin*** - This patient experienced a **transient ischemic attack (TIA)** as evidenced by transient neurological symptoms (right-sided weakness, slurred speech) that resolved completely within 24 hours. The presence of **80% left internal carotid artery stenosis** and a **carotid bruit** identifies the source of the embolic event. - **Antiplatelet therapy (aspirin)** and **high-intensity statin therapy (atorvastatin)** are critical for **secondary stroke prevention** in patients with TIA due to atherosclerotic disease. Aspirin reduces platelet aggregation, and atorvastatin stabilizes plaques and lowers cholesterol. *Administration of tissue plasminogen activator (tPA)* - **tPA** is indicated for **acute ischemic stroke** within a specific time window (typically 3-4.5 hours from symptom onset) and requires confirmation of **active stroke (not TIA)** and absence of contraindications. This patient's symptoms **resolved completely**, indicating a TIA, not an acute ischemic stroke that would benefit from tPA. - Furthermore, tPA carries a significant risk of **hemorrhagic transformation**, which is not warranted in a patient whose symptoms have already resolved. *Brain MRI* - While a **brain MRI** (diffusion-weighted imaging) is highly sensitive for detecting acute ischemic changes and can help confirm a TIA diagnosis by ruling out small infarcts, it is not the **next best step in long-term management** after already identifying significant carotid stenosis as the likely source. - The immediate priority for long-term management is to prevent future, potentially disabling, ischemic events through medical therapy. *Initiation of lisinopril* - **Lisinopril**, an ACE inhibitor, is an appropriate medication for managing **hypertension**, which is a significant risk factor for TIA and stroke. The patient's blood pressure of 160/95 mmHg indicates uncontrolled hypertension. - However, while important for overall cardiovascular health, **blood pressure control alone** is not the most immediate and comprehensive step for **secondary prevention of ischemic events** given the specific finding of significant carotid stenosis; **antiplatelet and statin therapy** are more directly targeted at preventing recurrent embolic events from the plaque. *Carotid endarterectomy* - **Carotid endarterectomy (CEA)** is a surgical procedure to remove atherosclerotic plaque from the carotid artery and is considered for patients with symptomatic **carotid artery stenosis of 70-99%**. Given the 80% stenosis, this procedure is a strong consideration. - However, for patients with symptomatic carotid stenosis, medical management (aspirin and statin) is typically **initiated first** and often continued even after CEA. CEA, while highly effective, is an invasive procedure with its own risks and requires careful patient selection and timing in conjunction with optimal medical therapy.
Explanation: ***Wrap finger tip in gauze damp with saline in a sealed plastic bag placed on ice water*** - This method ensures the **amputated part** remains **moist** and **cool** without direct contact with ice, which can cause **frostbite** and damage tissue viability. - The use of saline-dampened gauze prevents **desiccation**, while the sealed bag and ice water maintain a **hypothermic environment**, crucial for preserving tissue for potential **replantation**. *Preserve finger tip in warm saline water* - **Warm temperatures** accelerate **tissue degradation** and reduce the viability of the amputated part for replantation. - While saline prevents desiccation, the warmth is detrimental to **ischemic tissue**. *Wrap finger in gauze wet with iodine in a sealed plastic bag placed on ice* - **Iodine** is a **cytotoxic agent** that can damage delicate tissues and compromise the viability of the amputated part. - While cooling is important, the use of iodine makes this method unsuitable for preserving tissue for replantation. *Place finger tip on ice in a sealed plastic bag* - **Direct contact with ice** can lead to **frostbite** and **ischemic damage** to the amputated tissue, severely reducing the chances of successful replantation. - Although cooling is beneficial, it must be done indirectly to protect the tissue from freezing. *Preserve finger tip in cooled saline water* - While cooling is appropriate and saline prevents desiccation, immersing the tissue directly in water, even cooled saline, can cause **tissue maceration** and **cell lysis** due to osmotic effects. - The preferred method involves indirect cooling with a damp dressing to maintain optimal moisture and temperature without direct immersion.
Explanation: ***Lateral collateral ligament tear*** - **Varus stress laxity** is a classic sign of LCL injury, where the knee opens up on the lateral side when forced inward. - An LCL tear often results from a **direct blow to the medial side of the knee** or excessive varus (inward) force, consistent with a rugby tackle. *Posterior cruciate ligament tear* - A PCL tear specifically presents with a **posterior drawer sign**, indicating posterior instability of the tibia relative to the femur. - This injury is often caused by a **direct blow to the anterior tibia** when the knee is flexed or a hyperextension injury. *Meniscal tear* - A meniscal tear typically presents with mechanical symptoms like **locking, clicking, or catching**, which are not mentioned here. - Pain is often localized to the **joint line** and may worsen with rotation or squatting movements. *Medial collateral ligament tear* - An MCL tear would present with **valgus stress laxity**, where the knee opens up on the medial side when forced outward. - This injury commonly occurs from a **direct blow to the lateral side of the knee** or excessive valgus (outward) force. *Anterior cruciate ligament tear* - An ACL tear often presents with a **"pop" sound**, immediate swelling (hemarthrosis), and instability, particularly during pivot movements. - Physical exam would reveal a **positive Lachman test** or anterior drawer sign, which are not mentioned.
Explanation: ***Immediate laparotomy*** - **All gunshot wounds (GSW) to the abdomen require immediate surgical exploration**, regardless of hemodynamic stability, as they have a >90% rate of significant intraperitoneal injury requiring operative repair. - Unlike stab wounds (which may be managed selectively), **GSWs mandate laparotomy** due to the high-velocity nature causing unpredictable tissue damage and the near-certainty of organ injury. - The bullet trajectory from right upper quadrant to right lower back suggests potential injuries to the **liver, right kidney, colon, and retroperitoneal structures**, all of which require direct visualization and surgical repair. - Hemodynamic stability does NOT change the indication for immediate operative intervention in abdominal GSWs. *CT scan of the abdomen* - While CT is useful for **blunt abdominal trauma** or **selective management of stab wounds** in hemodynamically stable patients, it is **not indicated for gunshot wounds to the abdomen**. - CT imaging would only delay definitive surgical treatment and does not change management, as laparotomy is required regardless of CT findings. - The only exception might be tangential wounds with clear extraperitoneal trajectory, which is not the case here. *Diagnostic laparoscopy* - Diagnostic laparoscopy has a limited role in trauma and may miss retroperitoneal and diaphragmatic injuries. - It is sometimes used for **equivocal stab wounds**, but not for GSWs where exploratory laparotomy is the standard of care. *Close observation* - **Absolutely contraindicated** for penetrating abdominal gunshot wounds due to the extremely high likelihood (>90%) of significant intra-abdominal injury. - Even hemodynamically stable patients can have life-threatening injuries requiring surgical repair (bowel perforation, solid organ injury, vascular injury). *Diagnostic peritoneal lavage* - DPL was historically used for detecting intra-abdominal bleeding in **blunt trauma** but has been largely replaced by FAST and CT scanning. - It is **not indicated for GSWs**, which already have a clear indication for laparotomy without need for additional diagnostic testing. - DPL cannot provide anatomical detail and does not guide operative planning.
Explanation: ***Exploratory laparotomy*** - The patient presents with clear signs of **hemodynamic instability** (BP 90/60 mmHg, HR 103/min, lethargy, cool extremities, diminished cardiac sounds) following a **gunshot wound to the abdomen**. - In hemodynamically unstable trauma patients with penetrating abdominal injuries, immediate **exploratory laparotomy** is indicated to identify and control hemorrhage and repair organ damage. *Focused assessment with sonography for trauma (FAST)* - While FAST can detect free fluid (e.g., blood) in the abdomen, it is **not sufficient to rule out significant injury** in a hemodynamically unstable patient with a penetrating abdominal wound. - A positive FAST in a stable patient might prompt further imaging, but in this unstable case, it would delay definitive surgical intervention. *Abdominal CT* - Abdominal CT is useful for evaluating intra-abdominal injuries in **hemodynamically stable** patients. - Performing a CT on this unstable patient would delay critical surgical intervention and could lead to rapid deterioration in the scanner. *Abdominal X-ray* - An abdominal X-ray can sometimes identify the **location of a bullet** or **free air** under the diaphragm, but it has limited utility in assessing or quantifying intra-abdominal hemorrhage or solid organ injury. - It is not the definitive diagnostic or therapeutic step for an unstable patient with a penetrating abdominal injury. *Diagnostic peritoneal lavage* - DPL is an invasive procedure that can detect intra-abdominal bleeding or perforation, but it has largely been **replaced by FAST and CT scans** in hemodynamically stable patients. - For a hemodynamically unstable patient with a clear indication for surgery (penetrating trauma and instability), DPL would delay definitive surgical management and provides less information than direct visualization via laparotomy.
Explanation: ***With the patient in the sitting position, below the tip of the scapula midway between the spine and the posterior axillary line on the superior margin of the eighth rib*** - This position and entry point are ideal because the patient is **sitting upright**, allowing the fluid to pool dependently at the base of the lung, and the insertion site is chosen to avoid major anatomical structures. - The entry point ensures the needle is inserted **on the superior margin of the eighth rib** (8th intercostal space), reducing the risk of damaging the intercostal neurovascular bundle which runs along the inferior margin of the rib. *With the patient in the sitting position, just above the fifth rib in the anterior axillary line* - This location is too high anteriorly and risks damage to the **heart** or **major vessels**, especially with a large effusion. - It also increases the likelihood of causing a **pneumothorax** because the lung may not be fully compressed by the pleural fluid in this area. *With the patient in the supine position, in the fifth intercostal space right below the nipple* - The **supine position** is not optimal for thoracentesis as it does not allow gravity to aid in fluid collection, making it harder to localize the fluid and increasing the risk of puncturing the lung. - While the fifth intercostal space can be used, the **nipple line** is an imprecise landmark and may still be quite anterior, posing a risk to the heart. *With the patient in the supine position, just above the fifth rib in the midaxillary line* - Similar to the previous option, the **supine position** is generally avoided for thoracentesis unless absolutely necessary, due to the difficulty in fluid localization and increased risk. - While the midaxillary line is a common site, a higher insertion point like the fifth rib may still be too high with respect to the diaphragm, and the **supine position** may cause diaphragmatic elevation. *With the patient in the sitting position, at the midclavicular line on the second intercostal space* - The **midclavicular line on the second intercostal space** is the standard site for **needle decompression of a tension pneumothorax**, not for thoracentesis of a pleural effusion. - This site is too high and anterior for draining pleural fluid and risks injury to the **lung parenchyma** and **major vessels** without sufficient fluid accumulation there.
Explanation: ***Outpouching of the hypopharynx*** - The patient's history of coughing up undigested food and coughing during meals suggests **dysphagia** and potential **aspiration**, which can be caused by a **Zenker's diverticulum** (an outpouching of the hypopharynx). - This condition creates a pouch that can trap food, leading to regurgitation and repeated aspiration pneumonia, as evidenced by his recurrent pneumonia and current symptoms. - Zenker's diverticulum is the **underlying explanation** that accounts for *all* of this patient's symptoms: the regurgitation of undigested food, dysphagia, and recurrent aspiration pneumonia. *Weak tone of the lower esophageal sphincter* - A weak lower esophageal sphincter (LES) primarily causes **gastroesophageal reflux disease (GERD)**, often associated with heartburn and regurgitation of stomach contents, not undigested food. - While GERD can cause aspiration, the coughing up of *undigested food* is more indicative of a proximal esophageal issue or pharyngeal problem. *Unrestricted growth of pneumocytes with invasion of the surrounding tissue* - This describes **lung cancer**, which can present with cough, weight loss, and recurrent pneumonia due to bronchial obstruction. - However, the symptom of coughing up *undigested food* is not typical of primary lung malignancy, and the history strongly points to a swallowing disorder. *Uncoordinated contractions of the esophagus* - This refers to esophageal motility disorders like **achalasia** or **diffuse esophageal spasm**, which can cause dysphagia and regurgitation. - While these can lead to aspiration, the specific complaint of coughing up *undigested food* *after eating* is more characteristic of a pharyngeal pouch (Zenker's diverticulum) rather than general esophageal dysmotility. *Formation of a tissue cavity containing necrotic debris* - This describes a **lung abscess**, which is a possible *complication* of aspiration pneumonia, accounting for the fever, productive cough, and infiltrate. - However, the question asks for the **most likely explanation** for this patient's symptoms—a lung abscess is a *sequela* of aspiration, not the *underlying cause* of the repeated aspiration events. - It does not explain the pathognomonic finding of coughing up undigested food after eating, which points to Zenker's diverticulum as the root cause.
Explanation: ***Lateral meniscal tear*** - The sensation of **clicking and catching** in the knee joint during passive range of motion is highly suggestive of a **meniscal tear**. - The mechanism of injury (force from the **inside** of the knee creating **varus stress**) and subsequent **instability** during athletic activities are consistent with **lateral** meniscal damage. - Delayed onset of swelling (1-2 days post-injury) is typical for meniscal tears, as opposed to immediate hemarthrosis seen with ligamentous injuries. *Iliotibital band syndrome* - Characterized by **lateral knee pain** caused by friction between the **iliotibial band** and the lateral femoral epicondyle, often seen in runners. - It typically presents as a **gradual onset** of pain with repetitive activities, not an acute injury with immediate swelling and instability following trauma. *Medial collateral ligament tear* - This injury commonly results from a **valgus stress** (force to the **outside** of the knee) and would primarily cause **medial knee pain** and valgus instability on examination. - The mechanism described (medial blow/varus stress) does not match MCL injury patterns, and the prominent "clicking and catching" is more characteristic of meniscal pathology. *Anterior cruciate ligament tear* - ACL tears present with immediate onset of **severe pain**, rapid **swelling (hemarthrosis)** within hours, and typically a "popping" sensation at the time of injury. - While instability is also a key feature, the **delayed swelling** (occurred 2 days post-injury) and presence of "clicking and catching" makes a meniscal tear the more likely primary diagnosis. *Posterior cruciate ligament tear* - PCL tears usually result from a direct blow to the **anterior knee** when the knee is flexed (e.g., dashboard injury) or a **hyperextension injury**. - Symptoms include posterior knee pain and a positive posterior drawer test, but "clicking and catching" is not a hallmark symptom of isolated PCL injury.
Explanation: ***Urine output of 25 mL in 3 hours*** - A critically low urine output of **less than 0.5 mL/kg/hr** (or <30 mL/hr in an adult) over several hours is a direct and sensitive indicator of **renal hypoperfusion** due to inadequate fluid resuscitation, especially in the context of traumatic shock. - Oliguria suggests that the kidneys are not receiving sufficient blood flow to maintain normal function, indicating persistent systemic hypovolemia despite initial interventions. *Capillary refill time of 3 seconds* - A capillary refill time of 3 seconds, while slightly prolonged (normal <2 seconds), is less definitive for **severe ongoing hypovolemia** compared to oliguria. - It can be influenced by factors like **ambient temperature** and peripheral vasoconstriction, which are common in trauma but may not solely reflect inadequate fluid volume. *Base deficit of 1 mmol/L* - A base deficit of 1 mmol/L is essentially **within the normal range** (typically -2 to +2 mmol/L). - A normal or low base deficit suggests that **tissue perfusion is adequate** and there's no significant ongoing metabolic acidosis due to anaerobic metabolism, making it an indicator of *adequate* rather than *inadequate* resuscitation. *Glasgow coma score of 8* - A Glasgow Coma Scale (GCS) score of 8 (Eyes: 2, Verbal: 2, Motor: 4 from the stem) indicates **moderate head injury** or altered mental status. - While hypovolemic shock can affect mentation, a GCS of 8 is more indicative of **neurological damage** (e.g., from head trauma sustained in the fall) or other systemic issues rather than being a primary measure of fluid resuscitation status. *High pulse pressure* - A high pulse pressure (the difference between systolic and diastolic blood pressure) is typically seen in conditions like **sepsis** or **aortic regurgitation**. - In a patient with hypovolemic shock, **pulse pressure is usually narrowed** due to increased peripheral vascular resistance and decreased stroke volume.
Explanation: ***Scrotal ultrasonography*** - A definitive diagnosis of **epididymitis**, **orchitis**, or **testicular torsion** requires imaging, which can confirm blood flow to the testis. - Given the symptoms of testicular pain, tenderness, and inflammation in a sexually active young man, **epididymitis** is highly suspected, but **testicular torsion** must be ruled out as it's a surgical emergency. *CT scan of the abdomen and pelvis* - This imaging modality is **not indicated** for the initial evaluation of acute scrotal pain. - While it can identify other intra-abdominal pathology, it does **not provide sufficient detail** of the scrotal contents or blood flow. *Surgical exploration* - **Surgical exploration** is the treatment for **testicular torsion**, but it should only be performed after a clinical or ultrasound diagnosis of testicular torsion is made. - Doing an immediate surgical exploration without imaging may result in unnecessary surgery if the patient has epididymitis. *Measurement of serum mumps IgG titer* - While **mumps orchitis** can cause testicular pain, this patient has symptoms more consistent with an infection related to sexual activity or a potential torsion. - Measuring mumps titers would **delay diagnosis** and management for more urgent conditions like testicular torsion. *Measurement of serum α-fetoprotein level* - **Alpha-fetoprotein (AFP)** is a tumor marker primarily used for the diagnosis and monitoring of **testicular cancer**. - This patient presents with acute pain and inflammatory signs, which are **not typical for testicular cancer**; AFP measurement is not indicated in the acute setting.
Explanation: ***Surgical release*** - The patient presents with classic signs of **established Volkmann's ischemic contracture** (claw-like hand, firm fibrotic tissue, limited movement, decreased radial pulse), which is the end-stage result of untreated compartment syndrome that occurred during fracture healing. - Since this is **chronic contracture (one month post-injury)**, the appropriate surgical treatment involves **reconstructive procedures** such as muscle slide operations, tendon lengthening, tendon transfers, neurolysis, or in severe cases, free functional muscle transfer to restore hand function. - Emergency fasciotomy would have been appropriate for **acute compartment syndrome** (within 6-8 hours of onset), but at this stage, the treatment focuses on releasing fibrotic tissue and restoring function through reconstructive surgery. *Botulinum toxin injections* - **Botulinum toxin** is used to relax spastic muscles in neurological conditions (e.g., cerebral palsy, stroke), but it does not address the underlying **ischemic fibrosis and muscle necrosis** of Volkmann's contracture. - It would not improve the structural contracture or restore blood flow in this patient. *Collagenase injections* - **Collagenase injections** are used for localized fascial contractures like Dupuytren's contracture, where enzymatic breakdown of collagen cords can restore finger extension. - They are ineffective for **Volkmann's contracture**, which involves widespread ischemic muscle necrosis, fibrosis, and nerve damage requiring surgical reconstruction. *Needle fasciotomy* - **Needle fasciotomy** is a minimally invasive technique for Dupuytren's contracture, involving percutaneous disruption of fascial cords. - It is not suitable for **Volkmann's contracture**, which requires extensive surgical release of fibrotic muscle compartments, possible tendon transfers, and neurolysis—procedures that cannot be accomplished with needle techniques. *Corticosteroid injections* - **Corticosteroids** reduce inflammation in conditions like tenosynovitis or trigger finger. - They would not address the **ischemic muscle necrosis and fibrotic contracture** in Volkmann's contracture and could potentially delay appropriate surgical treatment.
Explanation: ***Anterior cruciate ligament*** - The mechanism of injury, described as a **cutting move** with the foot planted and knee buckled inward, is a classic non-contact mechanism for **ACL tears**. - A palpable or audible **'pop'** at the time of injury, followed by immediate pain and swelling, is highly characteristic of an **ACL rupture**. *Medial meniscus* - While meniscal tears can cause pain and swelling along the joint line, the history of a **'pop' and immediate swelling** is more indicative of ligamentous injury. - Absence of **locking or clicking** on the examination makes a primary meniscal tear less likely in this acute presentation. *Lateral meniscus* - The injury mechanism, an **external rotation force** on a planted foot, is less commonly associated with isolated lateral meniscal tears than with ACL or medial meniscal injuries. - Similar to the medial meniscus, the lack of **locking or clicking** makes an isolated lateral meniscal tear less probable. *Posterior cruciate ligament* - PCL injuries typically result from a **direct blow to the anterior tibia** with the knee flexed or from a hyperextension injury, which is inconsistent with the described mechanism. - A PCL injury would most likely present with **posterior laxity** on examination, rather than the general instability often associated with an ACL tear. *Medial collateral ligament* - MCL injuries result from a **valgus stress** to the knee, often without an audible 'pop' and usually causing localized pain on the medial side. - While a valgus force can occur, the prominent **'pop' and immediate, diffuse swelling** are more consistent with an ACL injury than an isolated MCL sprain.
Explanation: ***Diaphragmatic rupture*** - The patient's history of **high-speed motor vehicle collision**, **shortness of breath**, **chest pain**, **decreased breath sounds at the left base**, and **abdominal tenderness in the left upper quadrant** (suggesting possible visceral herniation) are all highly consistent with a diaphragmatic rupture. - A **chest X-ray** showing an elevated hemidiaphragm, abnormal bowel gas patterns in the chest, or gastric bubble in the thoracic cavity would further support this diagnosis, given the clinical context. *Pneumothorax* - While a **pneumothorax** can cause sudden shortness of breath and chest pain and decreased breath sounds, the presence of **left upper quadrant abdominal tenderness** and the mechanism of injury make diaphragmatic rupture more likely as the primary diagnosis. - A pneumothorax would typically present with a collapsed lung on chest X-ray but would not explain the abdominal symptoms. *Phrenic nerve palsy* - **Phrenic nerve palsy** typically causes paralysis of the diaphragm, leading to respiratory compromise and an elevated hemidiaphragm on imaging, but it's usually **atraumatic** or a complication of surgery, not acute trauma. - It would not explain the acute onset of pain and tenderness after a high-speed collision. *Esophageal perforation* - **Esophageal perforation** would cause severe chest pain, often radiating to the back, and can lead to mediastinitis, but it is less likely to present with decreased breath sounds at the base and left upper quadrant tenderness. - A history of significant **vomiting** or **instrumentation** is often associated with esophageal perforation, which is absent here. *Diaphragmatic eventration* - **Diaphragmatic eventration** is a congenital thinning of the diaphragm leading to its elevation, but it is a **chronic condition** and would not present acutely after a high-speed collision. - It is typically asymptomatic or causes chronic respiratory symptoms, not acute traumatic symptoms.
Explanation: ***Amputate the child’s arm at the elbow joint*** - In an emergency situation where a child's life is at risk and a procedure is immediately necessary to save their life or prevent significant harm, **implied consent** allows for medical intervention without explicit parental consent. The child's **hemodynamic instability** and **severe hemorrhage** indicate an immediate threat to life. - The decision to amputate to save the child's life is a **medically necessary emergency intervention**. Waiting for consent would cause a dangerous delay. *Obtain an emergency court order from a judge to obtain consent to amputate the child’s arm* - While court orders can be used in cases of parental refusal or unavailability for non-emergency procedures, the **urgent nature** of this life-threatening situation precludes waiting for a court order. - The delay in obtaining a court order could significantly worsen the child's prognosis or lead to death. *Find the child’s parents to obtain consent to amputate the child’s arm* - Although parental consent is generally required for minors, the child's **critical condition** and **hemodynamic instability** mean delaying life-saving treatment to locate parents would be medically irresponsible. - The principle of **beneficence** (acting in the best interest of the patient) and avoiding harm takes precedence in this emergency. *Wait for the child’s babysitter to recover from her injuries to obtain her consent to amputate the child’s arm* - A babysitter is generally not legally authorized to provide consent for major medical procedures for a child, especially an amputation. - Even if the babysitter had some form of temporary custody, her own injury makes her an unreliable source of consent, and the delay would be critical. *Wait for the child to gain consciousness to obtain his consent to amputate his arm* - An 8-year-old child is generally not considered mature enough to provide **informed consent** for such a major medical decision. - The child is **unconscious and hemodynamically unstable**, making it impossible to obtain consent and dangerously delaying a life-saving procedure.
Explanation: ***Immersion of affected extremities in warm water*** - The patient presents with **frostbite** (cyanotic, hard, waxy skin with decreased sensation after cold exposure), and **rapid rewarming** with warm water (37-39°C or 98.6-102.2°F) is the most effective initial treatment. - This method provides continuous, even heat transfer to optimize tissue perfusion and minimize damage. *Intravenous administration of warmed crystalloid* - While this patient has mild **hypothermia** (35.2°C), his vital signs are stable, and the primary concern is localized frostbite. - **Core rewarming** with warmed crystalloids is typically reserved for more severe hypothermia or hemodynamic instability. *Debridement of the affected tissue* - **Debridement** of frostbitten tissue is **contraindicated** in the initial stages as it can cause further damage and make the assessment of viable tissue more difficult. - Surgical intervention is usually delayed until the full extent of tissue damage is clear, which can take several days to weeks. *Intra-arterial administration of tissue plasminogen activator* - **Thrombolytics** like tPA might be considered in severe frostbite with evidence of **vascular compromise** if administered within 24 hours of thawing. - However, it is an **advanced and invasive treatment**, and the immediate priority is always rewarming. *Intravenous administration of antibiotics* - **Prophylactic antibiotics** are generally **not recommended** for frostbite as they do not prevent infection and can promote antibiotic resistance. - Antibiotics should only be used if there is clear evidence of **secondary infection**.
Explanation: ***9%*** - **2nd-degree (partial-thickness) burns** are characterized by blistering with an intact dermis that remains **painful and blanches with pressure**. - In this patient, the **right upper extremity** shows tense blisters that, when deroofed, reveal tender, pink skin that **blanches with pressure** - this is consistent with **superficial to mid-partial-thickness (2nd-degree) burns**. - Using the **Rule of Nines**: the entire upper extremity (arm) = **9%**. - The abdomen and anterior chest show **mottled, non-blanching skin**, which indicates **full-thickness (3rd-degree) burns**, NOT 2nd-degree. - The left thigh shows only **erythema with blanching**, consistent with **1st-degree (superficial) burns**. *18%* - This would represent two full segments using the Rule of Nines (e.g., both upper extremities or anterior trunk). - The described 2nd-degree burns affect only the right upper extremity (9%), not two segments. *36%* - This would represent the anterior chest (9%) + abdomen (9%) + both upper extremities (18%). - However, the abdomen and anterior chest show **non-blanching, mottled skin**, indicating **3rd-degree burns**, not 2nd-degree. *45%* - This represents approximately half the body surface area. - Far exceeds the single upper extremity affected by 2nd-degree burns in this patient. *54%* - This represents more than half the total body surface area. - Significantly overestimates the 2nd-degree burn involvement, which is limited to one upper extremity.
Explanation: **Bilateral periorbital ecchymosis** - The clinical presentation, including head trauma from a **high-speed motor vehicle collision**, neurological symptoms like **blood-tinged fluid draining from both nostrils with a halo sign**, and hemodynamic instability (tachycardia and hypotension), points towards a **basilar skull fracture**. - **Bilateral periorbital ecchymosis** (raccoon eyes) is a classic sign of a basilar skull fracture, particularly one involving the **anterior cranial fossa**, indicating extravasation of blood into the periorbital tissues. *Numbness of upper cheek area* - **Numbness of the upper cheek area** is associated with injury to the **infraorbital nerve**, which often occurs with **maxillary (Le Fort II or III) fractures** or **orbital floor fractures**. - While midface fractures can occur in severe trauma, the **halo sign** from the nostrils is more indicative of a **CSF leak** associated with a **basilar skull fracture**, rather than isolated maxillary injury. *Retroauricular ecchymosis* - **Retroauricular ecchymosis** (Battle's sign) is also a sign of a **basilar skull fracture**, but it specifically indicates a fracture involving the **middle cranial fossa** and the **temporal bone**. - While possible, the spontaneous draining of CSF from the nostrils (rhinorrhea) is more directly linked to an **anterior cranial fossa fracture** and involvement of the **cribriform plate**, making bilateral periorbital ecchymosis a more likely and specific finding in this context. *Cranial nerve XII palsy* - **Cranial nerve XII (hypoglossal) palsy** would result in **tongue deviation** and weakness, typically associated with injuries to the **posterior cranial fossa** or the **neck**. - This is not a common finding with the presented symptoms of **rhinorrhea with a halo sign**, which points to an **anterior cranial fossa fracture**. *Carotid artery dissection* - **Carotid artery dissection** can occur after significant trauma and may present with headaches, neck pain, and focal neurological deficits such as **hemiparesis** or **cranial nerve deficits (e.g., Horner's syndrome)**. - While trauma increases the risk, the specific symptom of **CSF rhinorrhea with a halo sign** is not characteristic of a carotid dissection but rather indicative of a **communication between the subarachnoid space and the nasal cavity** due to a skull base fracture.
Explanation: ***Above the superior border of the 8th rib in the midaxillary line*** - The patient presents with symptoms and signs suggestive of a **pleural effusion** (dullness to percussion, decreased fremitus, diminished breath sounds) and potentially an **empyema** given the fever and lung consolidation on the radiograph. - Thoracocentesis should be performed in the **midaxillary line** between the 6th and 9th ribs to avoid injuring the **diaphragm and abdominal organs**, which can rise as high as the 5th intercostal space during expiration. To prevent damage to the neurovascular bundle that runs along the inferior border of the ribs, the needle should be inserted just **above the superior border** of the rib below the chosen intercostal space. *Below the inferior border of the 7th rib in the midaxillary line* - Inserting below the inferior border of the 7th rib increases the risk of injuring the **neurovascular bundle** that runs along the inferior rib margin. - Such placement might also be too low, increasing the risk of penetrating the **diaphragm** or **abdominal organs**. This location would correspond to the 8th intercostal space, but the 'below inferior border' part is incorrect. *Above the superior border of the 5th rib in the midclavicular line* - The **midclavicular line** is typically used for needle decompression of a tension pneumothorax (2nd intercostal space) but is not the preferred site for thoracocentesis due to the risk of striking the lung parenchyma or internal mammary artery. - Even if considering a pneumothorax, the 5th intercostal space in the midclavicular line is not the standard site, and an effusion is indicated here. *Below the inferior border of the 5th rib in the midaxillary line* - Inserting below the inferior border of the 5th rib, similar to option A, risks injury to the **neurovascular bundle**. - While in the midaxillary line, the 5th rib might be too high for an effusion, and the technique of inserting below the inferior border is incorrect. *Above the superior border of the 7th rib in the midclavicular line* - The **midclavicular line** is generally avoided for thoracocentesis of effusions due to the risks mentioned previously and poor drainage if the effusion is posterior. - The 7th intercostal space in the midclavicular line is also a non-standard and less safe location for this procedure.
Explanation: ***Urgent assessment for revascularization*** - The patient presents with **critical limb ischemia (CLI)**, indicated by rest pain, non-healing wounds, and an extremely low ankle-brachial index (ABI) of 0.30. CLI requires urgent revascularization to prevent limb loss. - The clinical picture (rest pain relieved by dependency, long-standing risk factors like smoking, hypertension, diabetes, and faint pulses) points to severe **peripheral arterial disease (PAD)** that has progressed to a limb-threatening stage. *Cilostazol* - **Cilostazol** is a phosphodiesterase inhibitor used to improve walking distance in patients with intermittent claudication, but it is **contraindicated in patients with heart failure** and not indicated for critical limb ischemia. - It is not effective for relieving rest pain or preventing limb loss in severe PAD and would delay necessary definitive treatment. *Exercise therapy* - **Supervised exercise therapy** is recommended for patients with intermittent claudication to improve walking distance and quality of life. - However, for patients with **critical limb ischemia** and rest pain, exercise is typically too painful and not the primary intervention for limb salvage. *Amputation* - **Amputation** is a last resort when revascularization attempts have failed or are not feasible, and the limb is unsalvageable or poses an immediate threat to the patient's life. - It is premature to consider amputation before assessing the possibility of revascularization, which aims to restore blood flow and save the limb. *Systemic anticoagulation with heparin* - **Systemic anticoagulation with heparin** is primarily used for acute limb ischemia due to emboli or acute thrombosis, to prevent further clot propagation. - While this patient has severe PAD, which is a chronic condition, there's no indication of acute arterial occlusion necessitating systemic heparin; the immediate need is to address the chronic severe ischemia via revascularization.
Explanation: ***Head elevation, sedation, mannitol, hyperventilation*** - This patient presents with signs of **increased intracranial pressure (ICP)**, indicated by **Cushing's triad** (hypertension, bradycardia, irregular respirations) and a decreased Glasgow Coma Scale (GCS) after head trauma. **Head elevation** to 30 degrees promotes venous outflow from the brain, reducing ICP. - **Sedation** lowers metabolic demand and reduces agitation, which can otherwise increase ICP. **Mannitol** is an osmotic diuretic that rapidly draws fluid from the brain, decreasing cerebral edema. **Hyperventilation** temporarily reduces ICP by causing cerebral vasoconstriction through decreased pCO2. *Head elevation, sedation, hypertonic saline, hypoventilation* - While **head elevation**, **sedation**, and **hypertonic saline** (an alternative osmotic agent to mannitol) are appropriate for ICP management, **hypoventilation** would increase pCO2, causing cerebral vasodilation and worsening ICP. - The combination of effective and ineffective ICP-reducing strategies makes this an incorrect option. *Lower head, sedation, hypertonic saline, hypoventilation* - **Lowering the head** would impede venous drainage from the brain and increase ICP, which is detrimental in this scenario. - As mentioned, **hypoventilation** is contraindicated as it exacerbates cerebral edema and elevated ICP. *Head elevation, norepinephrine, mannitol, hyperventilation* - While **head elevation**, **mannitol**, and **hyperventilation** are appropriate, **norepinephrine** is primarily used to treat hypotension and maintain cerebral perfusion pressure (CPP) if blood pressure is dangerously low. - In this case, the patient is hypertensive (**blood pressure 172/102 mmHg**), so norepinephrine would further increase blood pressure and ICP. *Lower head, sedation, hypertonic saline, hyperventilation* - **Lowering the head** is contraindicated as it directly increases ICP by hindering venous outflow from the brain. - Although **sedation**, **hypertonic saline**, and **hyperventilation** are useful for ICP control, the incorrect positioning makes this option less suitable.
Explanation: ***Physical therapy*** - This patient presents with symptoms highly suggestive of **patellofemoral pain syndrome (PFPS)**, including anterior knee pain, pain worse with prolonged sitting and activity, and crepitus. **Physical therapy** focusing on quadriceps strengthening, hip abductor strengthening, and core stability is the cornerstone of PFPS management. - PFPS is often related to **biomechanical imbalances** and muscle weakness (e.g., weak vastus medialis obliquus or hip abductors), which can be effectively addressed through a structured physical therapy program. *Pain control and rest* - While **rest** can temporarily alleviate symptoms, it does not address the underlying biomechanical issues contributing to PFPS and can lead to **deconditioning**, potentially worsening the condition in the long term. - **Pain control**, often with NSAIDs, can be used adjunctively, but it is not the primary or sole management strategy for PFPS as it also does not address the root cause. *Synovial fluid analysis* - **Synovial fluid analysis** is indicated for suspected inflammatory or infectious arthritis, which is not suggested by this patient's presentation of an atraumatic, "achy" pain without signs of inflammation (e.g., warmth, effusion, erythema). - The patient's symptoms are more consistent with a **mechanical issue** rather than an intra-articular pathology requiring fluid analysis. *Intraarticular steroid injection* - **Intraarticular steroid injections** are generally not recommended for PFPS as the condition is typically not inflammatory within the joint space itself, but rather an issue of patellar tracking or soft tissue irritation. - Steroid injections carry risks and provide only **temporary symptom relief** for inflammatory conditions, and their efficacy in PFPS is limited. *Arthroscopy of the knee* - **Arthroscopy** is an invasive surgical procedure and is typically reserved for cases where conservative management has failed, or when there is suspicion of a specific intra-articular lesion like a meniscal tear or loose body, which are not indicated here. - This patient's symptoms are classic for PFPS, which is a **non-surgical condition** in the first line of management.
Explanation: ***Testicular torsion*** - The sudden onset of **unilateral scrotal pain** in an adolescent, accompanied by an **elevated testicle** with a **horizontal lie**, is highly suggestive of testicular torsion. The absence of scrotal swelling or discoloration in the early stages is also consistent. - Testicular torsion is a **surgical emergency** requiring prompt intervention to preserve testicular viability. *Traumatic urethral injury* - This would typically present with **dysuria**, **hematuria**, inability to void, and potentially **blood at the urethral meatus**, none of which are described. - A traumatic urethral injury often results from falls, straddle injuries, or pelvic fractures, not typically from playing football without direct trauma to the perineum. *Seminoma* - Seminoma is a type of **testicular cancer** that typically presents as a **painless testicular mass**. - It would not cause sudden, acute abdominal pain and would not manifest with an acutely elevated testicle and horizontal lie. *Appendicitis* - Although appendicitis can cause abdominal pain, the **non-tender abdomen** on examination and the specific findings on **testicular examination** (elevated testicle, horizontal lie) make appendicitis unlikely. - Appendicitis pain typically localizes to the right lower quadrant, often associated with fever, nausea, and vomiting. *Epididymitis* - Epididymitis causes **scrotal pain** and **swelling**, often with fever and **dysuria**, usually developing over days, not hours. - It is often associated with the **Prehn's sign** (pain relief with elevation of the testicle), which is usually absent or negative in torsion. The patient's sexual history might suggest an STI, but the acute presentation and examination findings point away from epididymitis.
Explanation: ***Transfuse packed RBC, fresh frozen plasma, and platelet concentrate in a 1:1:1 ratio*** - The patient exhibits signs of **massive hemorrhage and coagulopathy** (persistent oozing, decreasing hemoglobin, prolonged PT and aPTT, decreasing platelets) following severe trauma. - A **1:1:1 ratio transfusion** of packed red blood cells (RBCs), fresh frozen plasma (FFP), and platelet concentrate is the recommended **massive transfusion protocol** to address hypovolemia, anemia, and consumptive coagulopathy simultaneously. *Transfuse packed RBC* - While the patient is anemic (Hb dropped from 14.8 to 12.4 g/dL), transfusing only RBCs would not address the significant **coagulopathy** evidenced by prolonged PT/aPTT and decreasing platelets. - This option would correct **hypovolemia and oxygen-carrying capacity** but fail to resolve the underlying bleeding disorder, potentially worsening hemorrhage. *Transfuse packed RBC and fresh frozen plasma in a 1:1 ratio* - This approach addresses **anemia and coagulopathy** by providing clotting factors, but it neglects the patient's **thrombocytopenia** (platelets dropped from 175,000 to 102,000/mm3 with ongoing bleeding). - Platelet transfusion is crucial for **hemostasis**, especially in uncontrolled traumatic bleeding. *Transfuse fresh frozen plasma and platelet concentrate in a 1:1 ratio* - This option targets **coagulopathy and thrombocytopenia** but completely ignores the significant **anemia and hypovolemia** (Hb 12.4 g/dL with ongoing bleeding) that is likely contributing to hypoperfusion. - **RBCs** are essential to restore oxygen delivery to tissues and manage hemorrhagic shock. *Transfuse whole blood and administer vitamin K* - **Whole blood** is rarely used in civilian trauma settings due to practical limitations, and its components can be provided separately. - **Vitamin K** is primarily used for warfarin reversal or vitamin K deficiency, which is not the acute cause of coagulopathy in severe trauma; the issue is **dilutional and consumptive coagulopathy**.
Explanation: ***15 mmHg decrease in systolic blood pressure with inspiration*** - The constellation of muffled heart sounds, distended neck veins, and hypotension (implied by cold, sweaty, and pale appearance) following a precordial stab wound points to **cardiac tamponade**, an acutely life-threatening condition. - A significant drop in systolic blood pressure (>10 mmHg) during inspiration, known as **pulsus paradoxus**, is a classic sign of cardiac tamponade as the increased venous return to the right heart during inspiration bows the interventricular septum, impinging on left ventricular filling. *Decrease in central venous pressure by 5 mmHg with inspiration* - In cardiac tamponade, the **central venous pressure (CVP) is typically elevated** and would not decrease significantly with inspiration due to impaired right ventricular filling. - The elevated CVP contributes to the observed **distended neck veins**. *Decrease in the patient's heart rate by 15 beats per minute with inspiration* - In cardiac tamponade, the body attempts to compensate for reduced cardiac output with **reflex tachycardia**, so a decrease in heart rate is unexpected. - Heart rate usually remains elevated or variable as the heart struggles to maintain perfusion. *Steadily decreasing heart rate to 60 beats per minute* - A steadily decreasing heart rate to 60 bpm (bradycardia) is contrary to the expected physiological response of **tachycardia** in cardiac tamponade as the body compensates for hypoperfusion. - Bradycardia in this context would indicate severe decompensation and imminent cardiac arrest rather than a compensatory mechanism. *Elevated blood pressure to 170/110* - This patient is in **obstructive shock** due to cardiac tamponade; therefore, their blood pressure would be **hypotensive**, not hypertensive. - **Hypotension** is a key component of Beck's triad (muffled heart sounds, distended neck veins, hypotension) which strongly suggests cardiac tamponade.
Explanation: ***Lunate dislocation*** * A fall on an **outstretched hand** can lead to a **lunate dislocation**, particularly if the force is significant and causes hyperextension of the wrist. * The **numbness in the lateral 3 digits** and positive **Tinel's sign** reflect compression of the **median nerve**, which commonly occurs with lunate dislocations due to its close proximity to the lunate bone and the carpal tunnel. * The **inability to flex the lateral 2 digits** (thumb and index finger) indicates median nerve motor dysfunction affecting the thenar muscles and flexor digitorum superficialis/profundus to these digits. *Interosseous ligament rupture* * While a fall on an outstretched hand can cause ligamentous injuries, a pure **interosseous ligament rupture** typically does not present with specific **median nerve compression** symptoms like numbness in the lateral digits and Tinel's sign as the primary neurological finding. * It would usually lead to wrist instability and pain, possibly with clicking or popping, without the distinct neurological signs described. *Fracture of distal radius* * A **distal radius fracture** (e.g., Colles' fracture) is common after a fall on an outstretched hand and causes severe pain and deformity. * It can sometimes cause **median nerve compression** acutely, but the specific pattern of median nerve dysfunction with Tinel's sign over the anterior wrist (classic for median nerve entrapment due to lunate displacement into the carpal tunnel) is more indicative of a lunate dislocation. *Scaphoid fracture* * A **scaphoid fracture** is another common injury from falls on an outstretched hand, typically causing pain in the **anatomical snuffbox**. * It does not usually result in immediate and pronounced **median nerve compression symptoms** like numbness in the lateral 3 digits or a positive Tinel's sign unless there is significant associated soft tissue swelling or carpal instability. *Palmar aponeurosis tear* * A **palmar aponeurosis tear** is an uncommon injury from a fall and would primarily cause pain and tenderness in the palm, potentially affecting grip strength. * It does not explain the **median nerve symptoms** (numbness in lateral 3 digits, Tinel's sign) or the specific inability to flex the lateral 2 digits.
Explanation: ***Immediate transfer to the operating room*** - The patient's presentation with sudden onset chest pain, shortness of breath, profound cardiogenic shock, and a new **holosystolic murmur at the apex radiating to the back** in the context of a recent **STEMI**, strongly suggests **acute papillary muscle rupture** causing severe mitral regurgitation. This is a surgical emergency requiring immediate intervention. - The holosystolic murmur at the apex is pathognomonic for acute mitral regurgitation, distinguishing this from ventricular free wall rupture (which would present with tamponade physiology without a murmur). - The patient requires urgent surgical repair (mitral valve replacement or repair) to address this mechanical complication of **myocardial infarction (MI)**, which is causing severe hemodynamic compromise. *Immediate cardiac catheterization* - While cardiac catheterization is essential for diagnosing coronary artery disease and revascularization, in this emergent situation with profound shock and a mechanical complication (papillary muscle rupture), the primary issue is structural cardiac damage requiring surgical repair, not ongoing ischemia alone. - Delaying surgical intervention for catheterization in this hemodynamically unstable patient would be detrimental and potentially fatal. *Emergency pericardiocentesis* - Although there is a **pericardial effusion** on echocardiography, the patient's presentation with a new holosystolic murmur and profound shock after STEMI indicates **papillary muscle rupture with acute mitral regurgitation**, not cardiac tamponade. - The presence of a loud murmur excludes ventricular free wall rupture as the primary cause. The effusion is likely reactive or incidental. - Pericardiocentesis would not address the underlying mitral valve pathology causing the hemodynamic collapse. *Intra-aortic balloon counterpulsation* - **Intra-aortic balloon pump (IABP)** can improve cardiac output and reduce afterload, which may provide temporary hemodynamic support in cardiogenic shock. - However, in cases of **papillary muscle rupture** with severe acute mitral regurgitation, IABP provides only temporary support and does not fix the underlying structural problem. - It could be considered as a bridge to surgery, but the definitive treatment is surgical repair, which should be expedited without delay. *Administer dobutamine 5-10 mcg/kg/min IV* - **Dobutamine** is an inotrope that increases cardiac contractility. While it might improve cardiac output in some forms of cardiogenic shock, in the setting of **acute severe mitral regurgitation from papillary muscle rupture**, it cannot resolve the structural valvular incompetence. - Increasing contractility may paradoxically worsen the regurgitant fraction and further compromise forward cardiac output. - Medical management alone cannot resolve this mechanical complication, necessitating urgent surgical intervention.
Explanation: ***Blood loss*** - The patient's sudden decline, marked by **dizziness, palpitations, diaphoresis, pallor, cold/clammy skin, and hypotension (BP 70/30 mmHg)**, after a fall and hip injury, strongly suggests **hypovolemic shock due to significant blood loss**. - Given her age, history of osteoporosis, and fall mechanism (landing on her side), a **femoral neck fracture or intertrochanteric fracture** of the hip is highly likely, which can lead to substantial internal bleeding, especially in a patient on **anticoagulation (apixaban)**. *Brain herniation* - While the patient hit her head and has a mild headache, her **neurological examination (oriented, intact cranial nerves)** does not indicate the severe neurological deterioration expected with brain herniation. - Brain herniation typically presents with altered consciousness, pupillary changes, and focal neurological deficits, none of which are described. *Pulmonary embolism* - Although the patient has risk factors for PE (immobility due to hip pain, atrial fibrillation, advanced age), her symptoms of **acute hypotension, pallor, and diaphoresis following trauma** are more consistent with hypovolemic shock. - A PE would typically cause **dyspnea, pleuritic chest pain, and hypoxemia**, which are not the primary acute symptoms presented. *Sepsis* - The patient has an upper respiratory tract infection, but the **sudden and immediate onset of profound hypotension and shock symptoms** directly after a fall, without preceding signs of severe systemic infection or worsening respiratory distress, makes sepsis less likely as the primary cause of acute decline. - Sepsis typically evolves over a longer period, with signs such as fever, tachycardia, and altered mental status being prominent. *Cardiac tamponade* - Cardiac tamponade would cause similar signs of shock (hypotension, tachycardia, cold/clammy skin) but is typically associated with **jugular venous distension, muffled heart sounds, and pulsus paradoxus**. - The patient's cardiac exam showed no murmurs, rubs, or gallops, which does not support cardiac tamponade as the cause of her acute decline.
Explanation: ***Exercise and smoking cessation*** - This patient presents with symptoms highly suggestive of **peripheral artery disease (PAD)**, characterized by **intermittent claudication** (leg pain worsening with activity and improving with rest), and risk factors like diabetes, hypertension, hyperlipidemia, and smoking. - **Smoking cessation** is the single most important modifiable risk factor, and a supervised **exercise program** (walking to the point of claudication) is the most effective initial treatment to improve walking distance and quality of life for PAD patients. *Lovenox and atorvastatin* - **Atorvastatin** is appropriate for dyslipidemia and cardiovascular risk reduction in PAD patients, but **Lovenox (low molecular weight heparin)** is an anticoagulant typically used for acute thrombotic events or VTE prophylaxis, not initial management of chronic stable claudication. - While statins are important for secondary prevention, Lovenox does not directly address the primary management of claudication symptoms or underlying atherosclerotic progression in this stable setting. *Lisinopril and atorvastatin* - **Lisinopril** is an ACE inhibitor suitable for hypertension, which is important for overall cardiovascular health but not the primary initial treatment for claudication symptoms. - While both medications address risk factors, they do not directly target the improvement of walking function and symptom relief as effectively as exercise and smoking cessation in the initial phase. *Balloon angioplasty with stenting* - Invasive revascularization procedures like **balloon angioplasty with stenting** are typically reserved for patients with more severe symptoms (e.g., rest pain, non-healing ulcers, critical limb ischemia) or those who have failed conservative management like exercise therapy. - This is not the **best initial treatment** for a patient with stable claudication. *Femoral-popliteal bypass* - **Femoral-popliteal bypass** is a surgical revascularization procedure indicated for more severe PAD, particularly in cases of critical limb ischemia or long-segment occlusions that are not amenable to endovascular repair. - Like angioplasty, it is a more aggressive intervention and not the **initial treatment of choice** for intermittent claudication.
Explanation: ***Kidney laceration*** - A fracture of the **12th rib** often suggests significant force applied to the **posterolateral torso**, making the underlying **kidney** vulnerable to injury. - The kidneys are retroperitoneal organs located at the level of the T12-L3 vertebrae, so a fracture of the **12th rib** directly overlies this region. *Pneumothorax* - While rib fractures can cause pneumothorax, it is more commonly associated with fractures of the **upper and middle ribs (ribs 1-10)**, as these directly protect the lungs. - The **12th rib** is a floating rib, and its fracture is less likely to directly puncture the pleural cavity. *Liver hematoma* - The **liver** is located primarily under the **right lower ribs (ribs 7-11)**, and a fracture of the **left 12th rib** would not typically cause a liver injury. - Liver injuries usually result from significant direct trauma to the right upper quadrant or generalized anterior abdominal trauma. *Colon perforation* - The **colon** is located primarily within the abdominal cavity, either in the lower abdomen or more anteriorly, and is generally protected from direct injury by a **12th rib fracture**. - Colon injuries typically result from penetrating trauma or severe blunt force to the anterior abdomen, not localized posterior rib trauma. *Pancreatic transection* - The **pancreas** is a deep retroperitoneal organ located centrally in the upper abdomen. - Pancreatic injuries, particularly transection, usually result from severe **deceleration injuries** or direct compression to the epigastrium (e.g., handlebar injury), not from a **12th rib fracture**.
Explanation: ***Bulbous urethra*** - Straddle injuries (falling astride an object) cause **direct compression of the bulbous urethra** against the inferior pubic ramus - Classic triad: **blood at urethral meatus, perineal ecchymoses, and scrotal/perineal hematoma** (butterfly pattern) - The bulbous urethra is part of the **anterior urethra** and is most vulnerable in blunt perineal trauma - This is a **Buck's fascia injury** with characteristic perineal and scrotal swelling *Penile urethra* - More distal portion of anterior urethra within the penis - Typically injured by **direct penile trauma** (penile fracture, penetrating injury, instrumentation) - Would not produce the perineal ecchymoses and scrotal hematoma seen in this case *Membranous urethra* - Part of **posterior urethra** located within the urogenital diaphragm - Typically injured with **pelvic fractures** (pubic rami fractures), which are absent in this case - Would present with high-riding prostate on rectal exam and inability to void *Prostatic urethra* - Most proximal portion of posterior urethra, well-protected within the prostate - Injured in **severe pelvic trauma** with disruption of puboprostatic ligaments - Also associated with pelvic fractures, not straddle injuries *Anterior bladder wall* - Requires **pelvic fracture** or penetrating trauma - Would present with **gross hematuria** and suprapubic pain/tenderness - Blood at meatus is not typical; more likely to have abdominal distension and peritoneal signs
Explanation: ***Bleeding between dura mater and skull*** - The classic presentation of an **epidural hematoma** includes a brief **loss of consciousness** followed by a **lucent interval** (patient feeling well) and then rapid neurological deterioration with symptoms like **severe headache**, **nausea**, **vomiting**, and **seizures** due to increasing intracranial pressure. - This type of bleeding is typically arterial, usually from the **middle meningeal artery**, and occurs between the dura mater and the inner table of the skull. *Rupture of bridging veins* - This describes a **subdural hematoma**, which usually results in a more gradual onset of symptoms due to slower venous bleeding, often over days to weeks. - While a fall can cause it, the rapid deterioration after a lucid interval is less typical for a subdural hematoma. *Cerebrospinal fluid production/absorption mismatch* - This mechanism is associated with conditions like **hydrocephalus** or **idiopathic intracranial hypertension**, which typically present with a more gradual onset of symptoms such as chronic headache, visual changes, or gait disturbances. - It does not account for an acute traumatic event, loss of consciousness, and rapid deterioration seen in this patient. *Acute insufficiency of cerebral blood flow* - This typically refers to an **ischemic stroke** or **transient ischemic attack (TIA)**, where symptoms arise from a lack of oxygenated blood to brain regions. - While it can cause neurological deficits, the history of head trauma, lucid interval, and rapid progression to severe symptoms and seizures points away from a primary ischemic event. *Intracerebral hemorrhage* - This involves bleeding within the **brain parenchyma** itself, which can present acutely with headache, vomiting, and neurological deficits. - However, the distinct **lucid interval** following initial loss of consciousness, as described, is much more characteristic of an **epidural hematoma** rather than bleeding directly into the brain tissue.
Explanation: ***Physical therapy*** - This patient presents with symptoms highly suggestive of **adhesive capsulitis**, or **frozen shoulder**, characterized by progressive stiffness and limited range of motion, particularly in abduction and external rotation, following a history of injury and chronic inflammation. - **Physical therapy** is the cornerstone of treatment for frozen shoulder, focusing on stretching exercises and range-of-motion improvement to restore function. *NSAID prescription for 1–2 weeks* - While NSAIDs can manage pain and inflammation, the patient's pain has already subsided, and the primary issue is now **limited range of motion**, not acute pain. - NSAIDs alone will not address the underlying capsular restriction and will not improve the long-term functional outcome in this chronic phase. *Arthroscopic capsular release* - **Arthroscopic capsular release** is an invasive surgical procedure considered for severe, refractory cases of frozen shoulder that have not responded to extensive conservative management. - It is not typically the initial "next best step," especially before a trial of non-invasive treatments like physical therapy. *No interventions are required at this stage* - The patient has significant **functional impairment** and muscle atrophy, indicating a need for intervention to improve his quality of life and prevent further deterioration. - Ignoring these symptoms would lead to continued disability and potentially worsen muscle loss. *Corticosteroid injections* - **Corticosteroid injections** are more effective during the painful, early inflammatory (freezing) stage of adhesive capsulitis, helping to reduce pain and inflammation. - In the current "thawing" or chronic stiffness stage, where pain has subsided and the primary issue is mechanical restriction, their benefit is limited compared to physical therapy for restoring range of motion.
Explanation: ***Hemoglobin: 11 g/dL, Hematocrit: 33%, MCV: 88 µm^3*** - The patient experienced significant trauma and is experiencing **hemorrhagic shock**, as evidenced by his initial **hypotension** (BP 60/33 mmHg), **tachycardia** (pulse 180/min), and positive **FAST exam** for fluid in Morrison's pouch, indicating intra-abdominal bleeding. - The initial hemoglobin and hematocrit could be mildly decreased due to acute blood loss, but significant drops are often *not immediately apparent* as plasma volume has not yet moved into the intravascular compartment to dilute the remaining red blood cells. A hemoglobin of 11 g/dL and hematocrit of 33% are consistent with **acute blood loss** before significant hemodilution occurs. MCV of 88 µm^3 is within the normal range for **normocytic anemia** seen in acute hemorrhage. *Hemoglobin: 10 g/dL, Hematocrit: 30%, MCV: 110 µm^3* - While a hemoglobin of 10 g/dL and hematocrit of 30% are consistent with anemia due to blood loss, an **MCV of 110 µm^3** (macrocytic) is not typically seen in acute hemorrhage. - Macrocytic anemia usually results from conditions like **B12 or folate deficiency**, alcoholism, or liver disease, which are not suggested by the acute traumatic scenario. *Hemoglobin: 19 g/dL, Hematocrit: 55%, MCV: 95 µm^3* - This indicates **polycythemia** (abnormally high red blood cell count), which is the opposite of what would be expected in a patient experiencing acute hemorrhagic shock. - These values would suggest conditions like **polycythemia vera** or severe dehydration, which are not relevant in this acute trauma setting. *Hemoglobin: 7 g/dL, Hematocrit: 21%, MCV: 75 µm^3* - While a hemoglobin of 7 g/dL and hematocrit of 21% represent significant anemia consistent with major blood loss, these values are typically seen *later* as **hemodilution** occurs, or in cases of chronic blood loss. - An **MCV of 75 µm^3** (microcytic) is generally indicative of **iron deficiency anemia** or thalassemia, which develops over time and is not characteristic of acute traumatic blood loss. *Hemoglobin: 15 g/dL, Hematocrit: 45%, MCV: 90 µm^3* - These values are within the **normal range** for hemoglobin and hematocrit, which would not be expected in a patient presenting with signs of **hemorrhagic shock** and a positive FAST exam indicating significant internal bleeding. - This would suggest either very minor blood loss or that the values were taken before any bleeding had occurred or before hemodilution had a chance to manifest.
Explanation: ***CT scan of the cervical spine*** - This patient suffered a significant fall from a height, which is a **high-risk mechanism of injury** for cervical spine trauma, even without immediate neurologic deficits or midline tenderness. - Due to the high-energy trauma and the potential for severe consequences from an unstable cervical spine injury, a **CT scan** is the preferred imaging modality as it offers superior detail compared to plain X-rays, especially in complex anatomy. - The patient is **hemodynamically stable** with a benign abdominal exam, and the cervical collar is already in place, indicating that spinal precautions are the immediate priority before any further movement or transfers. *Focused Assessment with Sonography in Trauma (FAST)* - FAST exam is primarily used to detect **free fluid (hemorrhage)** in the pericardial, perihepatic, perisplenic, and pelvic spaces in trauma patients. - While important in trauma evaluation, this patient is **hemodynamically stable** (normal blood pressure, normal pulse) with a **soft, nontender abdomen**, making urgent FAST less critical than clearing the cervical spine. - The primary concern in a patient with a significant fall mechanism and cervical collar in place is ruling out **cervical spine instability** before further interventions or movement. *X-ray of the neck* - While an X-ray can assess the cervical spine, a **CT scan** is generally superior for detecting subtle fractures, ligamentous injuries, and malalignments, especially in patients with high-energy trauma. - Given the patient's mechanism of injury, an X-ray might miss critical injuries that a CT would identify, leading to potential delays in diagnosis and treatment. *X-ray of the chest* - A chest X-ray would be appropriate to assess the patient's **rib fractures** and potential associated injuries like pneumothorax or hemothorax. - However, the most immediate life-threatening injury in this context, after airway and breathing are secured, is an unstable cervical spine injury, which takes precedence in a stable patient with high-risk mechanism. *X-ray of the right wrist* - An X-ray of the right wrist is indicated to evaluate the **swollen and tender wrist** for a fracture or dislocation. - While important for comprehensive trauma management, it is not the most immediate or life-threatening concern compared to potential cervical spine injury from a high-impact fall.
Explanation: ***Figure-of-eight splinting*** - For **undisplaced or minimally displaced midshaft clavicle fractures**, conservative management with a **simple arm sling or figure-of-eight splint** is the preferred initial treatment. - Both methods provide **adequate immobilization** and support for healing, especially in pediatric and adolescent patients, with excellent functional outcomes. - Current evidence suggests **simple sling support** is equally effective and often better tolerated than figure-of-eight splinting. *Open reduction and internal fixation with a compression plate* - **ORIF with a compression plate** is typically reserved for **displaced or comminuted clavicle fractures** (displacement >2cm, shortening >2cm, or open fractures), or those with associated neurovascular compromise, which are not present in this non-displaced fracture. - Surgical intervention for non-displaced fractures carries **risks of infection, hardware irritation**, and non-union that often outweigh the benefits when conservative options are effective. *Open reduction and internal fixation with an intramedullary nail* - **Intramedullary nailing** is an alternative surgical option for some clavicle fractures but is generally considered for **displaced or comminuted fracture patterns**, and is not indicated for a non-displaced fracture. - It involves specific technical challenges and is **less commonly used** for routine, non-displaced mid-shaft clavicle fractures, especially when simpler conservative measures suffice. *Mobilization* - **Immediate mobilization** without any form of immobilization would **risk further displacement** of the non-displaced fracture and hinder proper bone healing in the acute phase. - Although early motion is introduced during the healing process, **initial support and immobilization** is crucial for stability and pain control. *Open reduction and internal fixation with lag screws* - **Lag screws** are primarily used for **interfragmentary compression** in specific oblique or spiral fracture patterns, which is not the typical mechanism for midshaft clavicle fractures. - This method is a form of surgical fixation, which is **not indicated for a non-displaced clavicle fracture** given the excellent outcomes (>95% union rate) with conservative care.
Explanation: ***Measurement of compartment pressure*** - The patient exhibits classic signs of **compartment syndrome**, including severe pain out of proportion to injury, pain with passive stretching, and a history of trauma followed by casting. Measuring compartment pressure is crucial for diagnosis despite palpable pulses. - Early measurement of compartment pressures can confirm the diagnosis and guide the decision for an **emergency fasciotomy** to prevent irreversible tissue damage. *Replace the cast with a sling* - This action would likely worsen the patient's condition by delaying the diagnosis and treatment of potential **compartment syndrome**. - A sling does not address the underlying issue of increased pressure within the muscle compartments. *Ibuprofen and reassurance* - Administering **Ibuprofen (NSAID)** might mask the pain but will not resolve the increased pressure within the compartment, which is a surgical emergency. - Reassurance without proper assessment of compartment syndrome could lead to irreversible muscle and nerve damage. *Emergency fasciotomy* - While a fasciotomy is the definitive treatment for confirmed compartment syndrome, it should only be performed **after compartment pressures have been measured** and the diagnosis confirmed, unless the clinical suspicion is extremely high and pressures cannot be obtained. - Performing a fasciotomy without objective confirmation is generally not the immediate next step, as it is an invasive procedure with its own risks. *Radiography* - **Radiography** would be useful to assess the healing of the fracture or rule out new fractures, but it will not provide information about the soft tissue pressure changes characteristic of compartment syndrome. - The patient's symptoms are more indicative of a circulatory or soft tissue issue rather than a new bony problem.
Explanation: ***Computed tomography (CT) scan of cervical spine, hips, and lumbar area*** - In **high-energy trauma** (fall from height), a CT scan is the **gold standard** for evaluating the **spine and pelvis**, providing detailed cross-sectional images superior to plain radiographs. - Since the **cervical exam was not performed**, cervical spine imaging is **mandatory** per ATLS (Advanced Trauma Life Support) protocols. High-energy falls carry significant risk of **cervical spine injury** even without obvious neurological symptoms. - CT allows comprehensive assessment of **hip fractures, pelvic injuries, and the entire spine** (cervical, thoracic, lumbar), identifying both obvious and **subtle fractures** that may be missed on plain films. - This approach provides the most **efficient and thorough evaluation** in the acute trauma setting, allowing for appropriate surgical planning and ruling out life-threatening spinal instability. *AP and lateral radiographs of hips* - Plain radiographs provide **limited detail** and may **miss subtle fractures**, particularly in complex areas like the pelvis and acetabulum. - This option **fails to address cervical spine clearance**, which is essential in all high-energy trauma patients, especially when cervical exam has not been performed. - Radiographs are insufficient for **comprehensive trauma evaluation** after a fall from height. *Lateral radiograph (x-ray) of hips* - A single lateral view is **grossly insufficient** for evaluating hip and pelvic fractures, providing only a **two-dimensional perspective** that can miss significant injuries. - This option **completely neglects spinal evaluation**, which is dangerous in an uncleared trauma patient with a high-energy mechanism. *Magnetic resonance imaging (MRI) of hips, knees, lumbar, and cervical area* - While MRI excels at evaluating **soft tissues, ligaments, and bone marrow**, it is **not the initial imaging modality** for acute bony trauma due to longer scan times and lower sensitivity for acute fractures compared to CT. - MRI is **time-consuming and impractical** in the emergency setting for initial fracture assessment, potentially delaying definitive treatment. - CT is superior for evaluating **acute skeletal injuries** in the trauma bay. *Anterior-posterior (AP) and lateral radiographs of hips, knees, lumbar, and cervical area* - Multiple plain radiographs have **limited sensitivity** for complex or non-displaced fractures, particularly in the **spine and pelvis**, making them inadequate for high-energy trauma evaluation. - Obtaining multiple radiographic views requires **numerous patient repositionings**, which risks further injury if **spinal instability** is present. - Plain films provide significantly **less diagnostic information** than CT scanning for trauma assessment.
Explanation: ***Tracheal deviation to the right*** - The patient's presentation with **absent breath sounds** on the left, **hyperresonance** to percussion, **distended neck veins**, and **hypotension** after trauma is highly suggestive of a **tension pneumothorax**. - In a tension pneumothorax, air accumulates under high pressure in the pleural space, pushing the **mediastinum** (including the trachea) to the **contralateral side**. *Collection of fluid in the left lung base* - A collection of fluid, such as in a **hemothorax** or **pleural effusion**, would typically cause **dullness to percussion**, not hyperresonance. - While possible with trauma, effusions do not typically cause the acute, severe hemodynamic compromise or tracheal deviation seen here. *Consolidation of the left lower lobe* - **Consolidation**, typically seen in pneumonia or atelectasis, would present with **dullness to percussion** and potentially **bronchial breath sounds** or crackles, which contrasts with the absent breath sounds and hyperresonance described. - It would also not explain the distended neck veins or mediastinal shift. *Bilateral fluffy infiltrates at the lung bases* - **Bilateral fluffy infiltrates** are characteristic of conditions like **pulmonary edema** or **Acute Respiratory Distress Syndrome (ARDS)**. - These conditions do not fit with the unilateral findings (absent breath sounds, hyperresonance on the left) or the acute traumatic etiology and signs of mediastinal shift. *Fractured rib on the left* - While a **fractured rib** is common in motor vehicle collisions, it is a cause rather than a direct radiographic finding that explains all the given symptoms. - A rib fracture itself would not cause absent breath sounds, hyperresonance, distended neck veins, or tracheal deviation unless it led to a more severe complication like a **pneumothorax**.
Explanation: ***Resting of the foot*** - The patient's symptoms are highly suggestive of **plantar fasciitis**, a common overuse injury, and **rest** is foundational for healing and reducing inflammation. - Given the patient's profession and upcoming performance, **activity modification** and rest are crucial to prevent further strain and allow the inflamed plantar fascia to recover. *Glucocorticoid injection* - While **glucocorticoid injections** can provide short-term pain relief, they carry risks such as **fascial rupture** and fat pad atrophy, especially in weight-bearing areas like the heel. - They are typically reserved for cases unresponsive to conservative measures due to potential side effects and the risk of **accelerating tissue degeneration**. *Orthotic shoe inserts* - **Orthotic shoe inserts** can help support the arch and reduce stress on the plantar fascia, but this is a **supportive measure**, not the primary treatment for acute inflammation. - While beneficial for **long-term management** and prevention of recurrence, they are not the immediate "best next step" for an acute, painful exacerbation that requires initial symptom reduction. *Ultrasound of the foot* - A **clinical diagnosis** of plantar fasciitis can usually be made based on the characteristic history and physical examination findings, making imaging often unnecessary. - An **ultrasound** might show thickening of the plantar fascia but is generally not required for initial diagnosis or management unless there is suspicion of other pathologies or if symptoms are atypical. *Plain radiograph of the foot* - **Plain radiographs** are typically not necessary for diagnosing plantar fasciitis as they primarily detect **bone abnormalities** and will generally be normal in this condition. - While a heel spur may be visible on X-ray, **heel spurs** are common even in asymptomatic individuals and are rarely the direct cause of pain, thus a radiograph would not change the initial management.
Explanation: ***2nd left intercostal space along the midclavicular line*** - The patient's symptoms (chest pain, dyspnea, hypotension, distended neck veins, tracheal deviation, hyperresonance, and decreased breath sounds on the left) are classic signs of a **tension pneumothorax**. - Immediate treatment for **tension pneumothorax** involves needle decompression at the **2nd intercostal space** in the midclavicular line to relieve pressure and restore hemodynamic stability. *5th left intercostal space along the midclavicular line* - This location is typically used for **chest tube insertion** in a more controlled setting, not for emergent needle decompression of a tension pneumothorax. - While it's a safe location for pleural access, it is not the **first-line site** for immediate life-saving decompression. *8th left intercostal space along the posterior axillary line* - This site is too low and posterior for effective needle decompression of a tension pneumothorax, which requires rapid access to the **apex of the lung**. - It is more commonly used for **thoracentesis** to drain fluid from the pleural cavity. *Subxiphoid space in the left sternocostal margin* - This location is primarily used for **pericardiocentesis** to drain fluid from the pericardial sac in cases of cardiac tamponade. - It is not appropriate for addressing a **pneumothorax**, which involves air in the pleural space. *5th left intercostal space along the midaxillary line* - This site is a common alternative for **chest tube insertion** but is not the preferred or most immediate site for needle decompression of a tension pneumothorax. - While it offers pleural access, the **2nd intercostal space** anteriorly is chosen for expediency and safety in an emergency.
Explanation: ***Graded exercise therapy*** - **Graded exercise therapy** is the recommended initial treatment for patients with **intermittent claudication** due to peripheral artery disease (PAD). It improves walking distance and reduces symptoms by promoting collateral circulation and endothelial function. - This patient's symptoms (bilateral calf pain with exertion, shiny skin, reduced hair, absent dorsal pedal pulse on the right, and low ABI scores) are classic for **PAD with claudication**. *Propranolol therapy* - **Propranolol** is a non-selective beta-blocker that can worsen claudication symptoms by inhibiting beta-2 mediated vasodilation in peripheral arteries. - While beta-blockers may be indicated for some cardiac conditions, they are generally avoided or used cautiously in PAD due to their potential to exacerbate peripheral vasoconstriction. *Vascular bypass surgery* - **Vascular bypass surgery** is typically reserved for patients with **severe, limb-threatening ischemia** (critical limb ischemia) or those with claudication that is refractory to conservative management. - This patient's symptoms, while significant, are consistent with intermittent claudication, which is usually managed initially with lifestyle modifications and exercise. *Spinal cord stimulation* - **Spinal cord stimulation** is a treatment option primarily for **refractory chronic neuropathic pain** or **critical limb ischemia** not amenable to revascularization, aiming to reduce pain and potentially improve wound healing. - It is not an initial treatment for intermittent claudication and doesn't address the underlying vascular obstruction causing claudication. *Percutaneous transluminal angioplasty with stenting* - **Percutaneous transluminal angioplasty with stenting** is a revascularization procedure considered when conservative therapies fail to improve claudication or for critical limb ischemia. - It is not the initial step in management for intermittent claudication. **Lifestyle modifications** and supervised exercise are the first-line treatments.
Explanation: ***Transmural tear*** - The patient's presentation with **profuse vomiting**, followed by **chest pain**, vomiting blood (**hematemesis**), and a **crunching/rasping sound** on cardiac auscultation (**Hamman's sign**), is highly indicative of esophageal rupture or Boerhaave syndrome. - A transmural tear of the esophagus leads to the leakage of gastric contents into the mediastinum, causing **mediastinitis** and potentially **pneumomediastinum**, which produces Hamman's sign. *Pericardial fluid accumulation* - While pericardial fluid accumulation (e.g., in cardiac tamponade) can cause chest pain, it doesn't typically present with **hematemesis** or a history of forceful vomiting. - The classic auscultatory finding for pericardial fluid accumulation is muffled heart sounds, not a crunching sound. *Inflammation of the pericardium* - Pericardial inflammation (**pericarditis**) causes sharp, pleuritic chest pain that often improves with leaning forward, and can be associated with a **pericardial friction rub**. - However, it does not typically cause **hematemesis** or a crunching/rasping sound associated with mediastinal air. *Dilated and tortuous veins* - **Dilated and tortuous veins** (esophageal varices) are common in patients with **cirrhosis** and can lead to profuse hematemesis. - While this patient has cirrhosis and hematemesis, the sudden onset of **chest pain** and the characteristic **Hamman's sign** point away from uncomplicated variceal bleeding and towards esophageal rupture. *Mucosal tear* - A mucosal tear (**Mallory-Weiss tear**) of the esophagus is a common cause of hematemesis after forceful vomiting, especially in alcoholics. - However, it is a **partial-thickness tear** and usually does not cause **chest pain** or **pneumomediastinum** (and thus Hamman's sign), which are hallmark features of a transmural tear.
Explanation: **High-output cardiac failure** - The pulsatile mass, thrill, and bruit over the stab wound indicate an **arteriovenous (AV) fistula**, where arterial blood shunts directly into a vein. - A large AV fistula significantly reduces systemic vascular resistance, increasing venous return and cardiac output, which can lead to **high-output cardiac failure** over time. *Erectile dysfunction* - While a vascular injury could, in rare cases, affect **penile blood supply**, the described injury in the anterior thigh (likely involving the femoral artery/vein) is not typically associated with erectile dysfunction as a primary or immediate complication. - Erectile dysfunction is often related to injuries to the **internal pudendal arteries** or nerve damage (e.g., sacral plexus), which are not directly implicated by a femoral AV fistula. *Pudendal nerve compression* - A stab wound in the **anterior thigh** is anatomically distant from the pudendal nerve, which is located more medially and posteriorly in the pelvis and perineum. - Pudendal nerve compression typically causes **perineal pain** or numbness, not symptoms related to a femoral AV fistula. *Femoral head necrosis* - **Avascular necrosis of the femoral head** is usually caused by disruption of the blood supply via the medial femoral circumflex artery, often due to trauma like hip dislocation or chronic corticosteroid use. - The described injury is to the **superficial femoral vessels** and is not directly upstream of the typical blood supply to the femoral head sufficient to cause necrosis. *Iliac artery aneurysm* - An aneurysm is a **localized dilation** of an artery, usually due to weakening of the vessel wall, and it's distinct from an AV fistula which involves a direct connection between an artery and a vein. - While the iliac artery feeds into the femoral artery, the pulsatile mass and bruit directly at the wound site are characteristic of a **traumatic AV fistula**, not an iliac artery aneurysm.
Explanation: ***Hb 15 g/dL, Hct 45%*** - This option represents **normal hemoglobin and hematocrit values**, which are expected in the **initial minutes following acute hemorrhage**. - In acute blood loss, **whole blood is lost** (both RBCs and plasma together), so the **concentration of RBCs remains unchanged** initially. - **Hemodilution has not yet occurred**, as there hasn't been enough time for fluid shifts from the extravascular to the intravascular space to dilute the blood. - This is a **critical teaching point**: early CBC values can be **falsely reassuring** and don't reflect the severity of hemorrhagic shock. *Hb 17 g/dL, Hct 20%* - This option shows a **medically implausible combination** - the normal Hb:Hct ratio is approximately **1:3**, so an Hb of 17 g/dL should correspond to an Hct of approximately 51%, not 20%. - This combination cannot occur physiologically and does not represent any stage of acute blood loss. *Hb 5 g/dL, Hct 30%* - This shows an **incorrect Hb:Hct ratio** (6:1 instead of the expected 3:1) - if Hb is 5 g/dL, the Hct should be approximately 15%, not 30%. - While severe anemia can occur with massive blood loss, this would only be apparent **hours after injury** once hemodilution from fluid shifts occurs, not within minutes. - The implausible ratio makes this medically incorrect. *Hb 20 g/dL, Hct 60%* - These values represent **polycythemia** (abnormally high red blood cell counts), which is the opposite of what would be expected after acute traumatic blood loss. - The Hb:Hct ratio is appropriate (1:3), but the elevated values suggest chronic hypoxemia, dehydration, or myeloproliferative disorders - not acute hemorrhage. *Hb 5 g/dL, Hct 20%* - This shows an **incorrect Hb:Hct ratio** (4:1 instead of the expected 3:1) - if Hb is 5 g/dL, the Hct should be approximately 15%, not 20%. - Even if we accept these as severe anemia values, they would only be seen **several hours after injury** when sufficient time has passed for fluid shifts and hemodilution to occur, not within minutes of the trauma.
Explanation: ***Testicular ultrasound*** - A **testicular ultrasound** is the diagnostic study of choice for evaluating a **scrotal mass** to determine if it is intratesticular or extratesticular, and to assess its characteristics (solid, cystic). - The patient's presentation with a **painless, firm, non-transilluminating testicular mass** is highly suspicious for a **testicular tumor**, making immediate ultrasound essential to confirm the diagnosis. *MRI abdomen and pelvis* - While MRI can provide detailed anatomical information, it is typically performed for **staging** a confirmed testicular cancer, not as the initial diagnostic step. - Its higher cost and longer imaging time make it less suitable for initial evaluation than ultrasound. *CT abdomen and pelvis* - CT scans are primarily used for **staging** testicular cancer, particularly to evaluate for **lymph node involvement** or distant metastases. - It does not provide the resolution needed for precise characterization of an intratesticular mass and exposes the patient to **ionizing radiation**. *Send labs* - **Tumor markers** such as **alpha-fetoprotein (AFP)**, **beta-human chorionic gonadotropin (beta-hCG)**, and **lactate dehydrogenase (LDH)** are important for the diagnosis, staging, and monitoring of testicular cancer. - However, blood tests alone cannot definitively diagnose a testicular mass or determine its nature; imaging is necessary. *Needle biopsy* - **Needle biopsy** is generally **contraindicated** for suspected testicular masses due to the risk of **tumor seeding** within the scrotum or along the biopsy tract. - Diagnosis and tumor removal are typically achieved through an **inguinal orchiectomy** if malignancy is suspected.
Explanation: ***Intubation and mechanical ventilation*** - The patient exhibits several signs of impending **airway compromise** due to **inhalation injury**, including perioral burns, black sediments in the nose and mouth, and being trapped in a fire. - While current oxygen saturation is 96%, **airway edema** can rapidly worsen, leading to respiratory failure. **Early intubation** is crucial to secure the airway before it becomes obstructed. *Insertion of nasogastric tube and enteral nutrition* - A nasogastric tube is often placed in burn patients to decompress the stomach and provide nutritional support, but it is **not the immediate priority** when there is a risk of airway obstruction. - **Enteral nutrition** is important but should be initiated only after airway control is established and the patient is stable for feeding. *Intravenous antibiotic therapy* - **Prophylactic antibiotics** are generally **not recommended** in the immediate management of burn patients unless there is clear evidence of infection, which is not present here. - Unnecessary antibiotic use can lead to **antibiotic resistance** and fungal infections. *Immediate bronchoscopy* - While **bronchoscopy** can confirm the extent of inhalation injury, it is not the primary immediate step. **Securing the airway** through intubation takes precedence over diagnostic procedures when airway compromise is imminent. - Bronchoscopy can be considered *after* intubation to assess the lower airway for damage and guide further management. *Intravenous corticosteroid therapy* - **Corticosteroids** are typically **contraindicated** in the management of inhalation injury because they can **impair immune function** and increase the risk of infection in burn patients. - Evidence does not support the routine use of corticosteroids to reduce inflammation in inhalation injury, and they may worsen outcomes.
Explanation: ***Absent radial pulse*** - The image likely shows a **supracondylar fracture** of the humerus, a common injury in children following a fall on an outstretched hand. - The **brachial artery** runs anterior to the humerus and is highly susceptible to injury or compression in supracondylar fractures, leading to an **absent radial pulse** and potential for **compartment syndrome** if not promptly managed. *Polymicrobial infection* - **Polymicrobial infections** are typically associated with open fractures, contaminated wounds, or immunocompromised states. - This patient's injury is described as a closed fracture with ecchymosis and swelling; there is no indication of an open wound or infection. *Impaired extension of the wrist and hand* - This symptom is characteristic of **radial nerve injury**, which is less commonly associated with supracondylar fractures than brachial artery or median nerve injury. - While possible, the immediate concern for a supracondylar fracture usually revolves around **vascular compromise**. *Adhesive capsulitis* - **Adhesive capsulitis** (frozen shoulder) is a condition primarily affecting the shoulder joint in adults, characterized by pain and stiffness. - It is not a typical complication of an acute elbow fracture in a child and is more of a chronic condition. *Avascular necrosis of the humeral head* - **Avascular necrosis of the humeral head** is a rare complication, usually associated with **proximal humerus fractures** or dislocations, chronic steroid use, or sickle cell disease. - It is not a direct or immediate complication of a **distal humerus (supracondylar) fracture**.
Explanation: ***Ultrasound-guided thrombin injection*** - The patient presents with a **post-catheterization pseudoaneurysm** as indicated by the pulsatile, tender mass with a bruit after recent femoral angiography, and confirmed by duplex ultrasonography showing an echolucent sac connected to the common femoral artery with pulsatile flow. - **Ultrasound-guided thrombin injection** is the preferred treatment for pseudoaneurysms that are larger than 2-3 cm or have been present for more than 1 week, as it effectively closes the pseudoaneurysm sac with a high success rate and minimal invasiveness. *Covered stent implantation* - This is a treatment for arterial injury or aneurysm, but it is generally reserved for **larger or more complex pseudoaneurysms**, or those that have failed less invasive treatments, due to its greater invasiveness and potential complications. - It involves placing a stent graft to exclude the pseudoaneurysm from the circulation. *Ultrasound-guided compression* - This technique involves applying sustained pressure to the pseudoaneurysm neck, which can lead to thrombosis. However, it has a **lower success rate** compared to thrombin injection, especially for larger pseudoaneurysms, and is often painful and time-consuming. - It is often considered a first-line therapy for smaller pseudoaneurysms (<2-3 cm) before thrombin injection, but in this case, the pseudoaneurysm is 3 cm. *Coil embolization* - This procedure is typically used to treat **arteriovenous malformations** or high-flow bleeding rather than pseudoaneurysms. - It involves placing coils into the vessel to induce thrombosis, but carries risks of distal embolization and might be overly aggressive for a femoral pseudoaneurysm. *Schedule surgical repair* - **Surgical repair** is indicated for pseudoaneurysms that are rapidly expanding, symptomatic with critical limb ischemia, infected, or those that have failed less invasive treatments. - In this case, given the patient's stable condition and the availability of less invasive options, surgical repair is not the initial best step.
Explanation: ***Continued management of his burn wounds*** - The patient, despite extensive third-degree burns and several laboratory abnormalities, is **hemodynamically stable**, afebrile, and has an unremarkable white blood cell count and differential, indicating no immediate need for aggressive interventions beyond ongoing burn care. - The abnormal laboratory values (e.g., elevated creatinine, AST/ALT, low T3) are common in critically ill patients with severe burns and often represent **"sick euthyroid syndrome"** or systemic stress responses rather than primary organ dysfunction requiring specific drug therapy. *Increase opioid dosage* - While burn patients experience significant pain, the patient is described as **unresponsive**, suggesting that his current pain management is likely adequate or that he is not consciously perceiving pain. - Increasing opioids in an unresponsive patient could lead to **respiratory depression** and further hemodynamic compromise, which is not indicated given his current stable vital signs. *Start patient on intravenous ceftriaxone and vancomycin* - Although burn wounds are prone to infection, the patient's **normal temperature**, stable vital signs, and **unremarkable leukocyte count** and differential do not suggest an active bacterial infection requiring broad-spectrum antibiotics at this time. - Prophylactic antibiotic use in burn patients is generally **discouraged** due to the risk of promoting antibiotic resistance and fungal infections. *Immediate administration of propanolol* - Propranolol is sometimes used in severe burn patients to modulate the hypermetabolic response, but this is typically a **long-term management strategy**, not an immediate intervention in the acute phase, especially with a BP of 92/64 mmHg. - Given his slightly low blood pressure, administering a beta-blocker like propranolol could **worsen hypotension** and reduce cardiac output. *Regular levothyroxine sodium injections* - The patient's low T3 and normal TSH are consistent with **"euthyroid sick syndrome,"** a common adaptive response to critical illness, including severe burns. - In euthyroid sick syndrome, **thyroid hormone replacement is not indicated** and may even be harmful, as it does not improve outcomes and can exacerbate catecholamine effects.
Explanation: ***Rupture of the flexor digitorum profundus tendon at its point of insertion*** - The inability to flex the **distal interphalangeal (DIP) joint** of the right ring finger, despite attempts to make a fist, is the hallmark sign of a **flexor digitorum profundus (FDP) tendon rupture**. - The mechanism of injury, where the finger is forcibly extended while trying to flex (e.g., getting caught in a jersey), is a classic presentation for an **FDP avulsion**, often referred to as "jersey finger." *Inflammation of the flexor digitorum profundus tendon sheath* - While inflammation of the **tendon sheath** (tenosynovitis) would cause pain and swelling, it would typically not result in a complete inability to flex the **DIP joint**. - Tendon sheath inflammation is often associated with repetitive strain or infection, not typically an acute traumatic avulsion like presented. *Closed fracture of the distal phalanx* - A **closed fracture** of the distal phalanx would cause pain and swelling, but finger extension would likely be impaired or severely painful, not specifically the isolated inability to flex the **DIP joint**. - While an avulsion fracture could occur with the FDP rupture, the primary functional deficit points more directly to the tendon injury itself. *Rupture of the extensor digitorum tendon at its point of insertion* - A rupture of the **extensor digitorum tendon** at its insertion (mallet finger) would lead to an inability to extend the **DIP joint**, causing the finger to remain in a flexed position. - The patient's finger is described as extended, and the issue is an inability to flex, which contradicts a **mallet finger** diagnosis. *Slipping of the central band of the extensor digitorum tendon* - Slipping of the **central band** of the extensor digitorum tendon is characteristic of a **Boutonnière deformity**, which results in flexion of the **proximal interphalangeal (PIP) joint** and hyperextension of the DIP joint. - This condition is typically chronic and progressive, not an acute traumatic event causing a sudden loss of DIP flexion.
Explanation: ***Posterior hip dislocation*** - The classic presentation of **posterior hip dislocation** involves the affected leg being **shortened, flexed, adducted, and internally rotated**, as described in the patient. - This type of injury commonly occurs in **motor vehicle collisions** where the knee strikes the dashboard (dashboard injury), transmitting force up the femur to the hip joint, often causing the femoral head to dislocate posteriorly. *Anterior hip dislocation* - This typically presents with the affected leg in a position of **hip flexion, abduction, and external rotation**, which is contrary to the findings in this patient. - Anterior dislocations are less common than posterior dislocations and usually result from a traumatic force applied to the hip while it is in **abduction and external rotation**. *Femoral neck fracture* - While a **femoral neck fracture** can cause pain and shortening of the leg, the typical presentation is usually one of **external rotation**, not internal rotation. - The distinct **flexion, adduction, and internal rotation** triad is highly suggestive of hip dislocation, not a fracture of the femoral neck. *Pelvic fracture* - A **pelvic fracture** would likely present with more diffuse pelvic pain, potentially instability upon palpation of the pelvis, and possibly lower extremity neurological deficits or genitourinary symptoms depending on the fracture type. - The specific limb positioning observed (shortened, flexed, adducted, internally rotated) is not a hallmark of an isolated pelvic fracture. *Femoral shaft fracture* - A **femoral shaft fracture** would cause severe pain along the shaft of the femur, significant swelling, and obvious deformity of the thigh. - While the leg might be shortened, the specific combination of **flexion, adduction, and internal rotation** primarily points towards a hip joint issue rather than a mid-shaft fracture.
Explanation: ***Maxillary artery*** - Posterior epistaxis, often severe and difficult to manage with local measures, typically arises from branches of the **sphenopalatine artery**, which is a terminal branch of the maxillary artery. - When initial attempts like balloon tamponade fail, **ligation or embolization** of the maxillary artery or its sphenopalatine branch is the most effective surgical intervention to control the bleeding. *Ophthalmic artery* - The ophthalmic artery primarily supplies structures within the orbit, such as the eye and orbital contents. - It is not a common source of posterior epistaxis, which typically originates from the nasopharynx. *Anterior cerebral artery* - The anterior cerebral artery is a major vessel supplying parts of the cerebrum and is located intracranially. - It does not supply the nasal cavity and is therefore not involved in epistaxis. *Occipital artery* - The occipital artery is a branch of the external carotid artery that supplies the posterior scalp and sternocleidomastoid muscle. - It does not supply the nasal cavity and has no role in epistaxis. *Facial artery* - The facial artery primarily supplies the face and some anterior nasal structures, particularly through its septal branch (Kiesselbach's plexus). - While it can contribute to anterior epistaxis, it is not the main source for severe posterior epistaxis that failed balloon tamponade.
Explanation: ***Phyllodes tumor*** - Presents as a rapidly growing, often large, **multinodular breast mass** in a middle-aged woman, consistent with the clinical scenario. - Histologically, they show a **biphasic appearance** with stromal and epithelial components, often exhibiting stromal overgrowth and cellularity. *Invasive ductal carcinoma* - Typically presents with a **fixed, irregular mass** and may have associated skin or nipple changes, which are absent here. - Mammographically, it often appears as a **spiculated or ill-defined mass**, not smoothly polylobulated. *Fibroadenoma* - While also a benign lesion with a smooth, movable nature, fibroadenomas are more common in **younger women** (ages 15-35) and usually do not grow as rapidly or attain such a large size (6 cm is large for fibroadenomas) as described. - Although it is also biphasic, the stromal component is typically less cellular and shows less overgrowth than a phyllodes tumor. *Invasive lobular carcinoma* - Often presents as a **diffuse thickening** or induration rather than a well-defined mass due to its infiltrative growth pattern. - Histologically characterized by cells invading in single-file lines, lacking the prominent stromal component seen in the image. *Comedocarcinoma* - This is a subtype of **ductal carcinoma in situ (DCIS)** characterized by prominent central necrosis, often presenting with microcalcifications on mammography. - It does not typically present as a large, rapidly growing multinodular mass, nor does it fit the given histological description.
Explanation: ***Bowel incontinence*** - The presented symptoms of acute **bilateral lower extremity flaccid paralysis**, **impaired pain and temperature sensation**, and a T11 **vertebral burst fracture** are highly indicative of **anterior cord syndrome**. - **Anterior cord syndrome** characteristically involves damage to the **anterior two-thirds of the spinal cord**, affecting the **corticospinal tracts** (motor control), **spinothalamic tracts** (pain and temperature sensation), and the **autonomic fibers** that control bladder and bowel function, leading to **bowel and bladder dysfunction**. *Intact vibration sense* - The sensation of **vibration** and **proprioception** is carried by the **dorsal columns** (posterior part of the spinal cord), which are typically **spared** in **anterior cord syndrome**. - Therefore, **intact vibration sense** is an expected finding, but the question asks for the **most likely finding** that represents a significant complication of the syndrome. *Flaccid paralysis at the level of the lesion* - While **flaccid paralysis** is present in the lower extremities, it occurs **below the level of the lesion** due to damage to the descending motor tracts (corticospinal tracts). - Flaccid paralysis *at* the level of the lesion would typically involve damage to the **lower motor neurons** at that specific segment, which is not the primary feature described for a burst fracture causing **anterior cord syndrome**. *Spasticity below the lesion* - **Spasticity** typically develops much **later** in spinal cord injuries, after the initial phase of **spinal shock** resolves (usually weeks to months). - In the acute phase following a significant spinal cord injury, **flaccid paralysis** is the more common finding below the lesion, reflecting spinal shock. *Impaired proprioception sense* - Similar to vibration sense, **proprioception** is primarily mediated by the **dorsal columns**, which are generally **spared** in **anterior cord syndrome**. - Therefore, **proprioception** would likely be **intact**, not impaired, in this specific type of spinal cord injury.
Explanation: ***Bronchoscopy*** - The patient's **smoking history**, persistent cough, hemoptysis, weight loss, and night sweats are highly suggestive of **lung cancer**. A **central nodule (13 mm)** in the hilar region on chest X-ray requires tissue diagnosis. - **Bronchoscopy** is the next best step for a central/hilar lung lesion as it allows **direct visualization** of the airways, **endobronchial biopsy** of the mass, and assessment of airway involvement. - This provides both **histologic diagnosis** and initial staging information, which are essential before determining treatment options. *Chemotherapy* - **Chemotherapy** is a treatment modality that should only be initiated after a definitive diagnosis and staging of lung cancer have been established through tissue biopsy. - Starting chemotherapy without confirming the diagnosis could lead to inappropriate and ineffective treatment. *Repeat surveillance after 6 months* - Given the patient's strong risk factors, alarming symptoms (hemoptysis, weight loss, night sweats), and a **suspicious 13 mm nodule**, a watchful waiting approach is **inappropriate and dangerous**. - This approach would delay diagnosis and treatment of a potentially aggressive cancer, significantly worsening the prognosis. *Radiotherapy* - **Radiotherapy** is a treatment option for lung cancer, but a definitive diagnosis and staging through tissue biopsy are necessary first to determine if it is the most appropriate treatment. - Initiating radiotherapy without histologic confirmation could result in suboptimal management. *Mediastinoscopy* - **Mediastinoscopy** is used for **staging mediastinal lymph nodes** (N2/N3 disease) after the diagnosis of lung cancer has been established. - It is not the first-line procedure for diagnosing a central lung mass, as bronchoscopy provides more direct access to the lesion and is less invasive for initial tissue diagnosis.
Explanation: ***CT scan*** - A **CT scan of the abdomen and pelvis** is the most indicated imaging modality for evaluating blunt abdominal trauma due to its high sensitivity and specificity in detecting solid organ injuries, free fluid, and active bleeding. - Given the patient's severe abdominal pain, rigidity, and tenderness after a significant fall, a CT scan will provide detailed anatomical information crucial for guiding further management. *X-Ray* - An **X-ray** is useful for detecting bone fractures, but it has limited utility in assessing soft tissue and organ injuries within the abdomen. - It would not effectively visualize internal bleeding or organ damage, which are primary concerns in this patient given the mechanism of injury and symptoms. *Ultrasound* - An **ultrasound (FAST exam)** is effective for rapid detection of free fluid in the abdomen (indicating bleeding or fluid leakage) and can be done at the bedside. - However, it is operator-dependent and less sensitive than CT for identifying specific organ injuries, retroperitoneal hematomas, or the source of bleeding. *Peritoneal lavage* - **Diagnostic peritoneal lavage (DPL)** is an invasive procedure primarily used to detect intra-abdominal bleeding in hemodynamically unstable patients, but it has largely been replaced by ultrasound and CT in stable patients. - While it can detect blood, it is less specific for identifying the source of bleeding and does not provide anatomical detail, and carries risks of complications like bowel perforation. *Diagnostic laparotomy* - **Diagnostic laparotomy** is a surgical procedure to directly visualize abdominal contents and is indicated in cases of clear signs of peritonitis, hemodynamic instability with confirmed intra-abdominal bleeding, or evisceration. - It is an invasive intervention and would not be the initial diagnostic step in a hemodynamically stable patient without clear indication for immediate surgery.
Explanation: ***Medial collateral ligament*** - A **valgus stress test** assesses the integrity of the MCL, and increased laxity indicates an injury to this ligament. - The impact to the lateral aspect of the knee against another player would create a **valgus force** on the knee, stressing the MCL. *Anterior cruciate ligament* - The **Lachman's test** assesses the ACL, and a firm endpoint suggests the ACL is intact. - ACL injuries usually present with significant **acute swelling** due to hemarthrosis, which is not noted here. *Lateral collateral ligament* - A **varus stress test** assesses the LCL, and the exam shows no laxity, indicating the LCL is intact. - An injury to the LCL would typically result from a **medial impact** to the knee, creating a varus force. *Posterior cruciate ligament* - The **posterior drawer test** evaluates the PCL, and a firm endpoint indicates no PCL laxity. - PCL injuries often occur from a direct blow to the **anterior tibia**, which is not described. *Medial meniscus* - Meniscus injuries frequently present with **clicking, locking, or catching** sensations in the knee, with pain often localized to the joint line, none of which are mentioned. - While a **valgus force** could damage the medial meniscus, the primary finding of valgus laxity points more directly to an MCL tear.
Explanation: ***Heparin drip*** - This patient presents with signs and symptoms of **acute limb ischemia** (sudden onset leg pain, cold and pale limb, diminished sensation, and motor weakness) in the setting of **atrial fibrillation**. - Immediate initiation of an **anticoagulant**, such as a heparin drip, is crucial to prevent further clot propagation while definitive treatment is being arranged. *Graded exercise and aspirin* - This management strategy is typically reserved for **chronic peripheral artery disease** (PAD) with intermittent claudication, not acute limb ischemia. - In acute limb ischemia, immediate reperfusion is critical to preserve limb viability, which cannot be achieved with exercise or aspirin alone. *Surgical thrombectomy* - While **surgical thrombectomy** may be the definitive treatment for acute limb ischemia, it is not the *immediate* next step in management. - Anticoagulation should be initiated *before* surgical intervention to stabilize the patient and prevent further thrombosis. *CT angiogram* - A **CT angiogram** is a valuable diagnostic tool to pinpoint the location and extent of the occlusion. - However, in a patient with clear signs of acute limb ischemia, **anticoagulation should not be delayed** for imaging alone. Heparin should be started immediately, and imaging can be performed concurrently if feasible or shortly thereafter. *Tissue plasminogen activator* - **Tissue plasminogen activator (tPA)** is a thrombolytic agent that can be used in some cases of acute limb ischemia, particularly for smaller, more distal thrombi or when surgical options are difficult. - However, its use carries a higher risk of bleeding complications and is generally considered after initial anticoagulation and a thorough assessment, sometimes guided by angiography. It's not typically the *first* step in an emergency presentation like this.
Chest trauma management
Practice Questions
Head trauma management
Practice Questions
Spinal trauma
Practice Questions
Blunt abdominal trauma
Practice Questions
Penetrating abdominal trauma
Practice Questions
Pelvic fractures and hemorrhage
Practice Questions
Extremity trauma and vascular injuries
Practice Questions
Burns assessment and management
Practice Questions
Traumatic shock management
Practice Questions
Resuscitative thoracotomy
Practice Questions
Focused Assessment with Sonography in Trauma (FAST)
Practice Questions
Trauma in pregnancy
Practice Questions
Pediatric trauma considerations
Practice Questions
Get full access to all questions, explanations, and performance tracking.
Start For Free