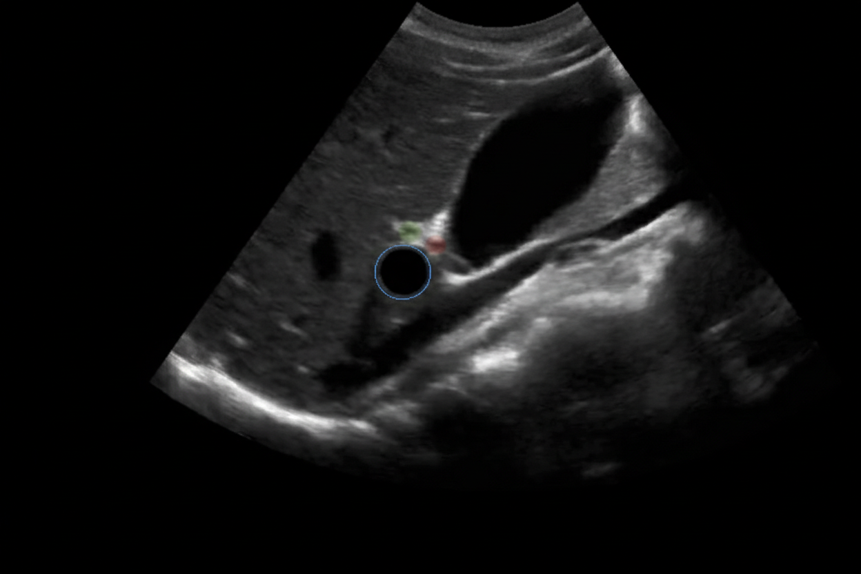
A 6-year-old baby is brought to the hospital by her parents complaining about right upper quadrant pain. On examination the baby is found to have jaundice and palpable abdominal mass. USG of the baby is shown below. What is the most likely cause?

A 12-year-old patient with esophageal varices is managed by the procedure shown in the image. All of the following statements regarding this condition are true except:

What does the intraoperative image shown below depict?

Which of the following is true regarding this condition?

A 3-month-old child presents with umbilical discharge. The appearance is shown below. Which of the following is the next step in management of this patient? (AIIMS May 2018)

All of the following are usually associated findings in the given condition except? (AIIMS May 2018)

A 9-month-old child presents with excessive cry and presentation shown below. On examination right iliac fossa sausage shaped lump is felt. What is the best treatment?

The structure shown in the image on the left represents which of the following?

Explanation: ***Choledochal cyst*** - The classic triad of **abdominal pain**, **jaundice**, and a **palpable right upper quadrant mass** in a child is highly suggestive of a choledochal cyst. - The ultrasound image shows a **cystic dilatation of the common bile duct** (labeled X), which is the hallmark of a choledochal cyst. *Pseudo pancreatic cyst* - Pancreatic pseudocysts usually develop after **pancreatitis** or pancreatic trauma, and are typically located in the **epigastric region**. - They are not directly associated with jaundice related to biliary obstruction, though large cysts can cause obstruction via compression. *Hydatid cyst* - Hydatid cysts are typically seen in the **liver** and are caused by *Echinococcus granulosus*, often presenting with a **multiloculated appearance** and daughter cysts. - While they can cause hepatomegaly and pain, jaundice and a palpable mass, they do not typically manifest as a primary dilatation of the bile duct. *Amoebic liver abscess* - An amoebic liver abscess is caused by *Entamoeba histolytica* and typically presents with **fever**, **right upper quadrant pain**, and sometimes hepatomegaly. - While it can cause biliary obstruction in rare cases, the ultrasound appearance is usually that of a **hypoechoic lesion** within the liver parenchyma, not a distinct cystic dilatation of the bile duct. *Biliary atresia* - Biliary atresia typically presents in **early infancy** (first 2-3 months of life) with progressive jaundice and acholic stools. - While it causes biliary obstruction, the ultrasound findings show **absent or atretic bile ducts** rather than cystic dilatation, and the age of presentation (6 years) makes this diagnosis unlikely.
Explanation: ***This is the definitive treatment*** - The image shows a **Sengstaken-Blakemore tube** being used, which is a temporary measure for controlling **bleeding esophageal varices**. - It is an emergency treatment used for stabilization and does not address the underlying cause of varices or prevent future bleeding. - **Definitive treatments** include endoscopic variceal ligation (EVL), sclerotherapy, or TIPS procedure. *Sengstaken-Blakemore tube* - The device shown in the image, with balloons and multiple lumens, is indeed a **Sengstaken-Blakemore tube**, used for **tamponade of actively bleeding esophageal varices**. - This tube features a gastric balloon and an esophageal balloon, along with lumens for suction, designed to exert pressure on the bleeding varices. *Gastric balloon is inflated with 400 mL of air* - The **gastric balloon** of a Sengstaken-Blakemore tube is typically inflated with **200-500 mL of air** (often around 250-300 ml in adults, 150 ml in children) to anchor the tube and compress gastric varices. - While 400 mL is within the general range, the exact volume can vary based on patient size and clinical protocol. *Esophageal balloon is inflated with 40 mm Hg pressure of air* - The **esophageal balloon** is indeed inflated to a pressure of **20-45 mmHg (typically 30-45 mmHg)** to compress esophageal varices. - This pressure application is critical for achieving local hemostasis in acute bleeding episodes. *Should be kept inflated for a maximum of 24-48 hours* - The balloons should be deflated after **24-48 hours maximum** to prevent complications such as **esophageal necrosis, ulceration, or perforation**. - Prolonged inflation can cause pressure necrosis of the esophageal or gastric mucosa.
Explanation: ***Intussusception*** - The image clearly shows a segment of bowel telescoping into an adjacent segment, characteristic of **intussusception** - This condition involves the invagination of one part of the intestine into another, often presenting clinically with abdominal pain, vomiting, and **"red jelly" stools** - The classic intraoperative finding is the appearance of bowel within bowel, creating a sausage-shaped mass *Transverse colon volvulus* - **Transverse colon volvulus** involves the twisting of the transverse colon around its mesentery, which would appear as a dilated, twisted loop of bowel - The image does not show the characteristic twisting or significant dilation associated with a volvulus *Meckel's diverticulum* - A **Meckel's diverticulum** is a true diverticulum, a remnant of the vitelline duct, which appears as a small pouch or bulge on the wall of the small intestine - The image depicts a larger-scale bowel obstruction caused by one segment of bowel entering another, not an abnormal outpouching *Intestinal duplication cyst* - **Intestinal duplication cysts** are spherical or tubular structures that share a common wall with the bowel and are lined with gastrointestinal mucosa - These appear as separate cystic masses adjacent to the bowel, not as telescoping segments *Malrotation with midgut volvulus* - **Malrotation with midgut volvulus** presents with twisting of the small bowel around the superior mesenteric artery, creating a characteristic "whirlpool" or "corkscrew" appearance - The image shows telescoping of bowel segments rather than the rotational twisting pattern seen in volvulus
Explanation: ***Needle aspiration yields fluid that does not coagulate*** - The image depicts a large, translucent, fluid-filled cystic mass, characteristic of a **cystic hygroma** (lymphatic malformation). - Aspiration of a cystic hygroma typically yields **clear to straw-colored fluid** that is rich in protein but **does not coagulate** because it is lymphatic fluid, not blood. *Most common site is anterior triangle neck* - While cystic hygromas most commonly occur in the **neck**, they are typically found in the **posterior triangle**, not the anterior triangle. - The lesion in the image appears to be a large, diffuse cystic mass extending from the neck into the mediastinum or axilla. *It is due to vascular malformation* - This condition is a **lymphatic malformation**, specifically a cystic hygroma, not a vascular malformation. - **Vascular malformations** involve blood vessels and would typically present with different characteristics, such as being compressible and potentially blanching. *Usually decreases on crying* - Crying or straining typically **increases the size** of a cystic hygroma due to increased intrathoracic pressure, which impedes lymphatic flow and causes distention of the lymphatic sacs. - This characteristic helps differentiate it from conditions that might decrease in size with pressure. *Typically appears after 5 years of age* - Cystic hygromas are **congenital malformations** that are usually present at birth or become apparent within the **first 2 years of life** (approximately 90% by age 2). - Late presentation after 5 years of age is uncommon and would be unusual for this condition.
Explanation: ***USG abdomen*** - An **urgent ultrasound** of the abdomen is the initial step for umbilical discharge in an infant, especially with a suspected **patent omphalomesenteric duct** or **urachus**, which USG can visualize and identify. - It's a **non-invasive** and readily available method to confirm the diagnosis and assess the extent of the connection or any associated complications without exposing the infant to radiation. *MRI abdomen* - **MRI** is typically reserved for cases where **ultrasound is inconclusive** or if there is a strong suspicion of more complex anatomical abnormalities that require higher resolution imaging. - It involves **longer scan times** and may require **sedation** in infants, making it less ideal as a first-line diagnostic tool for this presentation. *CECT* - **CECT (Contrast-Enhanced Computed Tomography)** involves significant **radiation exposure**, which is generally avoided in infants unless absolutely necessary and other modalities have failed. - While it provides detailed anatomical information, the **risks of radiation** and potential need for **contrast material** make it an unsuitable initial diagnostic choice for umbilical discharge. *MCUG* - **MCUG (Micturating Cystourethrogram)** is specifically used to evaluate the **bladder and urethra** during voiding, primarily for vesicoureteral reflux or urethral abnormalities. - While it may be considered if a **patent urachus** with bladder connection is suspected, it is **not the first-line investigation** for umbilical discharge and involves **radiation exposure** and catheterization. *Exploratory laparotomy* - **Exploratory laparotomy** is a **surgical procedure** and is considered a definitive treatment or a last resort for diagnosis when other imaging modalities have been exhausted and the clinical picture remains unclear, or in cases of acute complications like **peritonitis** or **bowel obstruction**. - Performing an invasive surgery as the first step for diagnosis without prior imaging is **not standard medical practice** and carries significant risks for an infant.
Explanation: ***Absent kidney*** - **Absent kidney (renal agenesis)** is not a typical associated finding in biliary atresia. - Biliary atresia primarily involves malformations of the **bile ducts** and is not directly linked to renal agenesis. - This is the correct answer to this "EXCEPT" question. *Hepatic artery anomalies* - **Hepatic artery anomalies**, such as aberrant or hypoplastic hepatic arteries, are frequently associated with biliary atresia. - These vascular malformations can contribute to the pathogenesis or progression of the disease. *Malrotation of gut* - **Intestinal malrotation** is a common abdominal anomaly found in conjunction with biliary atresia. - The altered embryological development affecting the biliary system can simultaneously impact gut rotation. *Polysplenia* - **Polysplenia**, a condition with multiple small spleens, is part of the heterotaxy syndrome often linked with biliary atresia. - This association reflects a broader developmental defect affecting left-right body axis determination. *Cardiac anomalies* - **Cardiac anomalies** are recognized associations with biliary atresia, particularly in the syndromic form. - These can include various congenital heart defects as part of the broader malformation syndrome.
Explanation: ***IVF- Antibiotic-Air enema*** - The clinical picture (9-month-old with excessive cry, **"currant jelly" stool** (image), and a **right iliac fossa sausage-shaped lump**) is classic for **intussusception**. - Initial management involves **resuscitation** (IV fluids), **antibiotics** to prevent sepsis from bowel ischemia, and then an **air enema** for both diagnosis and non-surgical reduction. - Air enema has a **success rate of 70-90%** for uncomplicated cases and is the **first-line treatment**. *IVF- Antibiotic- NG tube* - While IVF and antibiotics are appropriate initial steps for an ill child with presumed intussusception, an **NG tube** alone is insufficient for treating the intussusception itself. - An NG tube is primarily used for **gastric decompression** in cases of bowel obstruction, which may be a complication of intussusception, but it does not resolve the invagination. *IVF-Antibiotics- Barium enema* - A **barium enema** can also be used for reduction, but an **air enema** is generally preferred due to a **lower risk of peritoneal contamination** if perforation occurs and better visualization under fluoroscopy. - While it has diagnostic and therapeutic potential, air enema is often considered safer and equally effective. *IVF- Antibiotics-Warm saline enema* - This option lacks the specific pressure-based mechanism required to reduce an intussusception effectively. - A **warm saline enema** is a general type of enema, but it does not provide the controlled pressure needed for hydrostatic or pneumatic reduction of intussusception. *IVF- Antibiotics- Laparotomy* - **Laparotomy** (surgical reduction) is reserved for cases where **pneumatic reduction fails**, **signs of peritonitis** are present, or there is **suspected bowel perforation**. - Initial management should always attempt non-surgical reduction first unless contraindications exist (free air, hemodynamic instability, peritonitis).
Explanation: ***Correct: Ventriculoperitoneal shunt*** - The image on the left clearly depicts a **ventriculoperitoneal (VP) shunt**, showing the catheter originating from the lateral ventricle in the head and ending in the **peritoneal cavity** (represented by the abdominal area) - VP shunts are the **most common type** of shunt used for treating hydrocephalus in children - They drain excess **cerebrospinal fluid (CSF)** from the brain's ventricles to the peritoneal cavity where it can be absorbed - The purpose is to **relieve elevated intracranial pressure** caused by hydrocephalus *Incorrect: Ventriculoatrial shunt* - A VA shunt is shown in the image on the **right**, not the left - VA shunts terminate in the **right atrium of the heart**, not the peritoneal cavity - The left image clearly shows termination in the abdominal cavity, not the chest *Incorrect: Ventriculopleural shunt* - A ventriculopleural shunt would drain CSF into the **pleural space** around the lungs - The image shows drainage to the **abdomen**, not the thoracic cavity - This is a less common alternative when VP shunting is not feasible *Incorrect: Lumboperitoneal shunt* - A lumboperitoneal shunt originates from the **lumbar subarachnoid space** in the lower back, not from the ventricles in the head - The image clearly shows the catheter originating from the **cranium/head**, indicating a ventricular origin *Incorrect: External ventricular drain* - An external ventricular drain (EVD) is a **temporary** system that drains CSF externally into a collection bag - The image shows an **internalized, permanent** shunt system with subcutaneous tubing - EVDs are used for short-term management, not long-term treatment like the shunt depicted
Biliary atresia and Kasai procedure
Practice Questions
Congenital abdominal wall defects
Practice Questions
Congenital diaphragmatic hernia
Practice Questions
Congenital heart defects requiring surgery
Practice Questions
Hirschsprung disease management
Practice Questions
Intussusception reduction techniques
Practice Questions
Necrotizing enterocolitis surgical management
Practice Questions
Neonatal surgical emergencies
Practice Questions
Pediatric fluid and electrolyte management
Practice Questions
Pediatric trauma considerations
Practice Questions
Pyloric stenosis diagnosis and pyloromyotomy
Practice Questions
Tracheoesophageal fistula repair
Practice Questions
Undescended testis and orchiopexy
Practice Questions
Get full access to all questions, explanations, and performance tracking.
Start For Free