The following image shows \qquad and the test being performed is \qquad ?

All the following statements regarding this condition are true except:

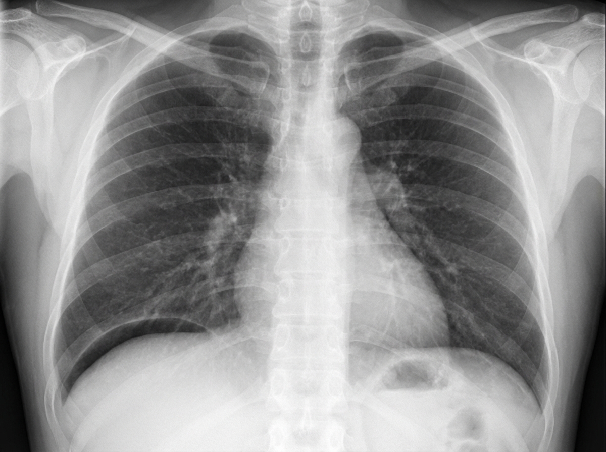
A 34-year-old male patient complains of sudden severe epigastric pain along with vomiting, tenderness, guarding. On examination there is abdominal rigidity and tachycardia. He admits to taking NSAIDs for pain. The radiological examination of the patient is given below. All statements given below are true except?

Identify the tube shown in the image:

Identify the structure held with artery forceps:

The following is appearance of bowel intraoperatively. Which is correct about the condition?

A 30-year-old man presents with abdominal pain and fever for one day. He has history of diarrhea for last several months which contains blood. What is the diagnosis?

Explanation: ***Meckel's Diverticulum, Technetium scan*** - The image on the left shows a **true diverticulum** of the small intestine, consistent with a **Meckel's diverticulum**, which is a remnant of the vitelline duct. The arrow indicates the diverticulum. - The images on the right show a **Technetium-99m pertechnetate scan**, demonstrating focal uptake (indicated by the arrows) in the lower abdomen, consistent with **ectopic gastric mucosa** typically found in a Meckel's diverticulum. *Carcinoid Tumor, Octreo-scan* - A **carcinoid tumor** is a neuroendocrine tumor, and while it can occur in the small bowel, its appearance on gross examination would be different from the diverticulum shown. - An **OctreoScan** (using somatostatin analogs) is used to detect neuroendocrine tumors like carcinoids due to their somatostatin receptors, but the scan image does not show a pattern consistent with this. *Extra-adrenal Pheochromocytoma, PET DOPA scan* - An **extra-adrenal pheochromocytoma** is a tumor of chromaffin cells outside the adrenal gland, and it would not appear as an intestinal diverticulum. - A **PET DOPA scan** (using 18F-DOPA) is used to localize pheochromocytomas, but the imaging pattern shown is not characteristic of this type of scan for such a tumor. *Adrenal Pheochromocytoma, MIBG scan* - An **adrenal pheochromocytoma** is a tumor of the adrenal gland, which is located in the retroperitoneum, completely distinct from the intestinal structure shown on the left. - An **MIBG scan** (using meta-iodobenzylguanidine) is used to localize pheochromocytomas because MIBG is selectively taken up by chromaffin cells, but the images do not represent an MIBG scan or an adrenal pathology. *Intestinal Lymphoma, PET-CT scan* - **Intestinal lymphoma** can occur in the small bowel but would typically present as a mass lesion or infiltrative process, not as an isolated diverticulum. - A **PET-CT scan** using fluorodeoxyglucose (FDG) is used for staging and evaluating lymphoma due to increased glucose metabolism in malignant cells, but the imaging pattern shown does not demonstrate the diffuse FDG uptake characteristic of PET-CT.
Explanation: ***Broad-base of this defect should be amputated at its base*** - This statement is incorrect. While a broad-based diverticulum (like Meckel's diverticulum shown) may require surgical resection, it should not be simply amputated at its base. Resection should involve removing the diverticulum along with a small segment of the adjacent ileum to reduce the risk of recurrence or complications due to heterotopic mucosa. - Simple amputation at a broad base can lead to **retained heterotopic mucosa**, increasing the risk of subsequent complications such as ulceration, bleeding, or perforation. *It is remnant of vitello intestinal duct* - This statement is correct. The image displays a **Meckel's diverticulum**, which is a **true diverticulum** representing a persistent portion of the embryonic **vitelline duct** (also known as the omphalomesenteric duct). - This duct normally connects the developing midgut to the yolk sac during fetal development and typically obliterates by the seventh week of gestation. *This condition can be a lead point for ileoileal or ileocolic intussusception* - This statement is correct. A Meckel's diverticulum can act as a **lead point** for **intussusception**, where one segment of the intestine telescopes into an adjacent segment. - The diverticulum's mobility and potential for invagination make it a common cause of intussusception, especially in children, leading to bowel obstruction. *This condition is mostly asymptomatic* - This statement is correct. Meckel's diverticulum is typically **asymptomatic** in a majority of individuals who have it. - While it can cause complications like bleeding, inflammation (diverticulitis), obstruction, or perforation, these complications occur in only a small percentage of affected individuals, demonstrating its generally silent nature. *It is the most common congenital anomaly of the gastrointestinal tract* - This statement is correct. Meckel's diverticulum is indeed the **most common congenital anomaly of the gastrointestinal tract**, occurring in approximately **2% of the population**. - It follows the **"rule of 2s"**: affects 2% of population, located approximately 2 feet from the ileocecal valve, is typically 2 inches long, and only 2% become symptomatic.
Explanation: ***Pain often radiates to groin*** - The clinical presentation (sudden severe epigastric pain, vomiting, tenderness, guarding, rigidity, tachycardia, NSAID use) and the radiological imaging showing **free air under the diaphragm** are highly suggestive of **perforated viscus**, likely a perforated peptic ulcer. - Pain from a perforated ulcer typically **radiates to the shoulder** (due to diaphragmatic irritation) or generalizes throughout the abdomen, but **not typically to the groin**. *Tenderness on per-rectal examination* - **Tenderness on per-rectal examination** can be present in cases of generalized peritonitis, as the inflammation can extend to the pelvic peritoneum. - This finding is consistent with the diffuse inflammation caused by a perforated viscus. *Blumberg sign is positive* - **Blumberg sign**, also known as **rebound tenderness**, is a classic sign of **peritoneal irritation** or peritonitis. - Given the severe abdominal pain, guarding, and rigidity, peritonitis is highly likely in this patient, making a positive Blumberg sign expected. *Dullness over flanks is observed* - **Dullness on percussion over the flanks** indicates the presence of **fluid** in the peritoneal cavity (ascites). - In a perforated viscus, gastric or intestinal contents, along with inflammatory exudates, can accumulate in the dependent areas of the abdomen, leading to dullness in the flanks.
Explanation: ***Sengstaken-Blakemore catheter*** - This catheter is identifiable by its **triple lumen** and **two inflatable balloons** (one esophageal, one gastric), designed to compress bleeding esophageal varices. - The image clearly displays these characteristic balloons and multiple ports, distinguishing it from other tubes. *Minnesota tube* - A Minnesota tube is similar to the Sengstaken-Blakemore catheter but has **four lumens** instead of three, with an additional **esophageal aspiration port** above the esophageal balloon. - While structurally similar, the specific lumen configuration visible in the image is consistent with the Sengstaken-Blakemore design. *Ryle's tube* - A Ryle's tube is a simple **nasogastric tube** with a single lumen, primarily used for feeding or gastric decompression. - It does not feature the complex balloon system seen in the image. *Malecot's catheter* - A Malecot's catheter is a **self-retaining catheter** with a mushroom-shaped tip, typically used for drainage (e.g., nephrostomy). - Its design is simple and lacks the inflatable balloons and multiple lumens characteristic of the depicted device. *Foley's catheter* - A Foley's catheter is a **urinary catheter** with a single inflatable balloon for retention in the bladder and two lumens (one for drainage, one for balloon inflation). - While it has an inflatable balloon, its overall structure and intended use are distinct from the esophageal-gastric balloon system shown.
Explanation: ***Appendix*** - The image shows a **vermiform appendix** — a small, finger-shaped organ projecting from the **large intestine** near the ileocecal junction. It is being held by artery forceps. - The characteristic blind-ended tubular structure attached to the cecum is clearly visible, consistent with the anatomical location and appearance of the appendix. *Meckel's diverticulum* - A Meckel's diverticulum is an **outpouching of the small intestine** (ileum), which would appear as an extension of the ileal wall, often with its own mesentery. - While it can be confused with the appendix, its origin from the small bowel and often broader base or different internal lining (gastric or pancreatic tissue) usually distinguishes it. *Zenker's diverticulum* - Zenker's diverticulum is an **outpouching of the pharyngeal mucosa** (a false diverticulum) located in the upper esophagus. - This structure is found in the **neck/mediastinum**, completely unrelated to the intra-abdominal organs shown in the image. *Colostomy stoma* - A colostomy stoma is a **surgically created opening** of the colon onto the surface of the abdomen, designed to divert fecal matter. - This image clearly depicts an **intra-abdominal organ** being manipulated during surgery, not an externalized stoma. *Fallopian tube* - The fallopian tube is a **paired tubular structure** in the female reproductive system extending from the uterus to the ovary. - While tubular, it has a different anatomical location (adnexa/pelvis) and arises from the uterus, not the cecum, with a more delicate, fimbriated distal end.
Explanation: ***Obliteration of liver dullness*** - The image shows a **perforation** of the bowel (indicated by the arrow), which leads to the escape of **free air into the peritoneal cavity**. - **Free air under the diaphragm** displaces the liver, causing the percussion note over the liver to change from dullness to tympany, thus "obliterating" liver dullness. *Increased bowel sounds* - **Peritonitis** resulting from bowel perforation often leads to a **paralytic ileus**, characterized by **decreased or absent bowel sounds**. - Increased bowel sounds are more common in **early bowel obstruction** or gastroenteritis. *Blood on per rectal examination* - While bowel pathologies can cause rectal bleeding, a simple **perforation** without significant mucosal injury or a vascular lesion is **not typically associated with blood on per rectal examination**. - This finding is more indicative of conditions like **colitis, hemorrhoids, or rectal tumors**. *Increased air fluid levels* - **Increased air fluid levels** are typically seen on **X-rays in cases of bowel obstruction**, where fluid and gas accumulate proximal to the obstruction. - In bowel perforation, **free air is outside the bowel lumen** in the peritoneal cavity, and while some ileus might be present, increased air-fluid levels inside the bowel are not the primary or most characteristic finding. *Shifting dullness* - **Shifting dullness** is a percussion finding used to detect **free fluid (ascites)** in the peritoneal cavity, not free air. - In bowel perforation, there is **pneumoperitoneum (free air)**, which causes **tympany**, not dullness. - Shifting dullness would be found in conditions like **cirrhosis with ascites, peritoneal carcinomatosis, or tuberculous peritonitis**.
Explanation: ***Toxic megacolon*** - The patient's history of **bloody diarrhea** for several months, followed by acute abdominal pain and fever, is highly suggestive of **inflammatory bowel disease (IBD)**, which is a common underlying cause of toxic megacolon. - The imaging shows **colonic dilatation (megacolon)**, supporting the diagnosis of toxic megacolon, an acute severe complication of inflammatory conditions of the colon. - Toxic megacolon is defined as **total or segmental colonic dilatation >6 cm** with systemic toxicity in the setting of severe colitis. *Pneumatosis intestinalis* - This condition is characterized by the presence of **gas in the bowel wall** and doesn't typically present with the specific history of chronic bloody diarrhea and acute fever leading to megacolon. - While it can occur in severe inflammatory conditions, the primary features of the clinical vignette and image point more directly to toxic megacolon. *Cecal volvulus* - A cecal volvulus would primarily present with features of **bowel obstruction**, often acute in onset, and typically not with a long history of bloody diarrhea directly preceding the acute event. - Imaging for cecal volvulus would show a **distended, air-filled cecum** often displaced from its normal anatomical position, which is not the predominant finding here. *Intestinal perforation* - Intestinal perforation would cause severe, acute abdominal pain, usually with signs of **peritonitis** and would typically show **free air under the diaphragm** on upright radiographs. - While chronic IBD can lead to perforation, the image primarily demonstrates colonic dilatation rather than obvious free air, and the initial diagnosis is toxic megacolon which can precede perforation. *Fulminant colitis* - While this patient does have severe colitis as the underlying condition, the presence of **marked colonic dilatation (>6 cm)** with systemic toxicity specifically defines toxic megacolon. - Fulminant colitis refers to **severe inflammation without the megacolon component**, with patients having >10 bloody stools per day, continuous bleeding, and systemic toxicity. - The imaging findings of significant colonic dilatation distinguish toxic megacolon from fulminant colitis.
Anorectal procedures
Practice Questions
Bariatric surgery procedures and complications
Practice Questions
Colorectal cancer resection principles
Practice Questions
Elective colorectal procedures
Practice Questions
Esophageal surgery procedures
Practice Questions
Gastric surgery procedures
Practice Questions
Hepatobiliary surgery basics
Practice Questions
Inflammatory bowel disease surgical management
Practice Questions
Liver resection principles
Practice Questions
Ostomy creation and management
Practice Questions
Pancreatic surgery procedures
Practice Questions
Small bowel resection and anastomosis
Practice Questions
Whipple procedure indications
Practice Questions
Get full access to all questions, explanations, and performance tracking.
Start For Free