A 72-year-old man presents to the emergency department with a 1 hour history of bruising and bleeding. He says that he fell and scraped his knee on the ground. Since then, he has been unable to stop the bleeding and has developed extensive bruising around the area. He has a history of gastroesophageal reflux disease, hypertension, and atrial fibrillation for which he is taking an oral medication. He says that he recently started taking omeprazole for reflux. Which of the following processes is most likely inhibited in this patient?
You are seeing a patient in clinic who recently started treatment for active tuberculosis. The patient is currently being treated with rifampin, isoniazid, pyrazinamide, and ethambutol. The patient is not used to taking medicines and is very concerned about side effects. Specifically regarding the carbohydrate polymerization inhibiting medication, which of the following is a known side effect?
A drug discovery team is conducting research to observe the characteristics of a novel drug under different experimental conditions. The drug is converted into the inactive metabolites by an action of an enzyme E. After multiple experiments, the team concludes that as compared to physiologic pH, the affinity of the enzyme E for the drug decreases markedly in acidic pH. Co-administration of an antioxidant A increases the value of Michaelis-Menten constant (Km) for the enzyme reaction, while co-administration of a drug B decreases the value of Km. Assume the metabolism of the novel drug follows Michaelis-Menten kinetics at the therapeutic dose, and that the effects of different factors on the metabolism of the drug are first-order linear. For which of the following conditions will the metabolism of the drug be the slowest?
A 76-year-old man comes to the physician for a follow-up examination. One week ago, he was prescribed azithromycin for acute bacterial sinusitis. He has a history of atrial fibrillation treated with warfarin and metoprolol. Physical examination shows no abnormalities. Compared to one month ago, laboratory studies show a mild increase in INR. Which of the following best explains this patient's laboratory finding?
A 46-year-old male with a history of recurrent deep venous thromboses on warfarin presents to his hematologist for a follow-up visit. He reports that he feels well and has no complaints. His INR at his last visit was 2.5 while his current INR is 4.0. His past medical history is also notable for recent diagnoses of hypertension, hyperlipidemia, and gastroesophageal reflux disease. He also has severe seasonal allergies. He reports that since his last visit, he started multiple new medications at the recommendation of his primary care physician. Which of the following medications was this patient likely started on?
A 72-year-old woman with a history of atrial fibrillation on warfarin, diabetes, seizure disorder and recent MRSA infection is admitted to the hospital. She subsequently begins therapy with another drug and is found to have a supratherapeutic International Normalized Ratio (INR). Which of the following drugs is likely contributing to this patient's elevated INR?
A 66-year-old man was referred for endoscopic evaluation due to iron deficiency anemia. He has had anorexia and weight loss for two months. Three years ago, the patient had coronary artery bypass grafting and aortic mechanical valve replacement. He has a 12-year history of diabetes mellitus and hypertension. He takes warfarin, lisinopril, amlodipine, metformin, aspirin, and carvedilol. His blood pressure is 115/65 mm Hg, pulse is 68/min, respirations are 14/min, temperature is 36.8°C (98.2°F), and blood glucose is 220 mg/dL. Conjunctivae are pale. Heart examination reveals a metallic click just before the carotid pulse. Which of the following is the most appropriate switch in this patient’s drug therapy before the endoscopy?
A 39-year-old female presents to the clinic with the complaints of dry skin for a few months. She adds that she also has constipation for which she started eating vegetables and fruits but with no improvement. She lives with her husband and children who often complain when she turns the air conditioning to high as she cannot tolerate low temperatures. She has gained 5 kgs (11.2 lb) since her last visit 2 months back although her diet has not changed much. Her past medical history is relevant for cardiac arrhythmias and diabetes. She is on several medications currently. Her temperature is 98.6° F (37° C), respirations are 15/min, pulse is 57/min and blood pressure is 132/98 mm Hg. A physical examination is within normal limits. Thyroid function test results are given below: Serum TSH: 13.0 μU/mL Thyroxine (T4): 3.0 μg/dL Triiodothyronine (T3): 100 ng/dL Which of the following medications is most likely to be responsible for her symptoms?
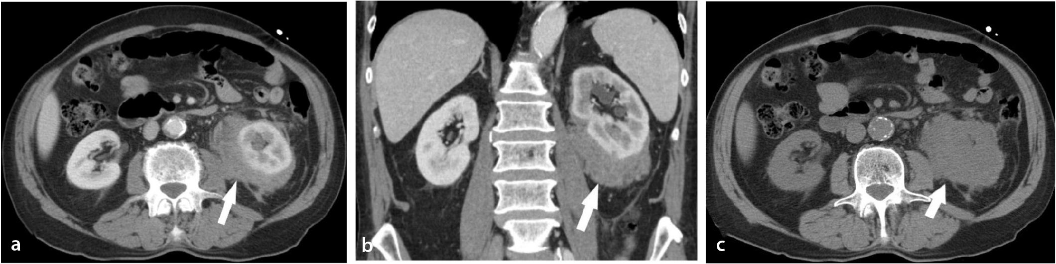
A 30-year-old woman presents to her primary care provider with blood in her urine and pain in her left flank. She has a 5-year history of polycystic ovarian syndrome managed with oral contraceptives and metformin. She is single and is not sexually active and denies a history of kidney stones or abdominal trauma. She has a 15-pack-year smoking history but denies the use of other substances. Her family history is significant for fatal lung cancer in her father at age 50, who also smoked, and recently diagnosed bladder cancer in her 45-year-old brother, who never smoked. On review of systems, she denies weight loss, fever, fatigue, paresthesia, increased pain with urination, or excessive bleeding or easy bruising. She is admitted to the hospital for a workup and observation. Her vital signs and physical exam are within normal limits. A urine pregnancy test is negative. PT is 14 sec and PTT is 20 sec. The rest of the laboratory results including von Willebrand factor activity and lupus anticoagulant panel are pending. A CT angiogram is ordered and is shown in the picture. What is indicated at this time to prevent a potential sequela of this patient’s condition?

A 65-year-old man with a history of myocardial infarction is admitted to the hospital for treatment of atrial fibrillation with rapid ventricular response. He is 180 cm (5 ft 11 in) tall and weighs 80 kg (173 lb). He is given an intravenous bolus of 150 mg of amiodarone. After 20 minutes, the amiodarone plasma concentration is 2.5 mcg/mL. Amiodarone distributes in the body within minutes, and its elimination half-life after intravenous administration is 30 days. Which of the following values is closest to the volume of distribution of the administered drug?
Get full access to all questions, explanations, and performance tracking.
Scan to download app