A 65-year-old patient presents with symptoms of bone pain, anemia, hypercalcemia, and renal impairment. A bone marrow biopsy confirms the diagnosis of multiple myeloma. The patient is started on a treatment regimen. Which of the following treatments is most likely associated with the reactivation of herpes zoster?
A patient with HIV who is currently on antiretroviral therapy consisting of zidovudine, lamivudine, and nevirapine is diagnosed with tuberculosis. Considering potential drug interactions, which of the following TB drugs should be changed in this patient?
A 28-year-old primigravid woman at 38 weeks' gestation is brought to the emergency department in active labor. She has not had regular prenatal care. She has a history of HIV infection but is not currently on antiretroviral therapy. Her previous viral load is unknown. Treatment with intravenous zidovudine is begun to reduce perinatal transmission of the virus. Which of the following processes is most likely affected by this drug?
The physician recommends that the patient receive an influenza vaccine. The patient becomes nervous and reports that he has never received an influenza vaccination because of an allergy to eggs. The allergy was diagnosed many years ago, after he developed hives upon eating scrambled eggs. Which of the following is the most appropriate next step in management?
A 35-year-old male is found to be infected with an HIV strain resistant to saquinavir and zidovudine. Which of the following best explains the drug resistance observed in this patient?
A 72-year-old man presents to the emergency department with a change in his behavior. The patient is brought in by his family who state that he is not acting normally and that his responses to their questions do not make sense. The patient has a past medical history of diabetes and Alzheimer dementia. His temperature is 103°F (39.4°C), blood pressure is 157/98 mmHg, pulse is 120/min, respirations are 19/min, and oxygen saturation is 98% on room air. Physical exam reveals a systolic murmur heard along the right upper sternal border. HEENT exam reveals a normal range of motion of the neck in all 4 directions and no lymphadenopathy. A mental status exam reveals a confused patient who is unable to answer questions. Laboratory values are ordered and a lumbar puncture is performed which demonstrates elevated white blood cells with a lymphocytic predominance, a normal glucose, and an elevated protein. The patient is started on IV fluids and ibuprofen. Which of the following is the next best step in management?
A 44-year-old man comes to the physician for a follow-up examination. Ten months ago, he was diagnosed with HIV infection and appropriate antiretroviral therapy was initiated. Physical examination shows no abnormalities. Laboratory studies show increased viral load despite ongoing treatment. His pharmacotherapy is switched to a new combination drug regimen including an agent that binds to glycoprotein 41. The expected effect of this drug is most likely due to inhibition of which of the following?
A 55-year-old man with HIV on antiretroviral therapy comes to the physician for a follow-up examination. His HIV viral load is 559 copies/mL (N<49). His physician is concerned about the development of drug resistance. The result of HIV genotype testing shows reduced viral susceptibility to darunavir and ritonavir. Which of the following molecular processes is most likely affected by this mutation?
A 63-year-old HIV-positive man comes to the physician for a routine health maintenance examination. Four years ago, he was diagnosed with HIV and was started on cART therapy. He tells the physician that he has been having difficulty adhering to his medication regimen. He has been unemployed for the past couple of years and relies on unemployment benefits to cover the costs of daily living. His father died of lymphoma at the age of 60 years. He wants more information about his risk of developing DLBCL. Which of the following is the greatest risk factor for the development of DLBCL in HIV-positive patients?
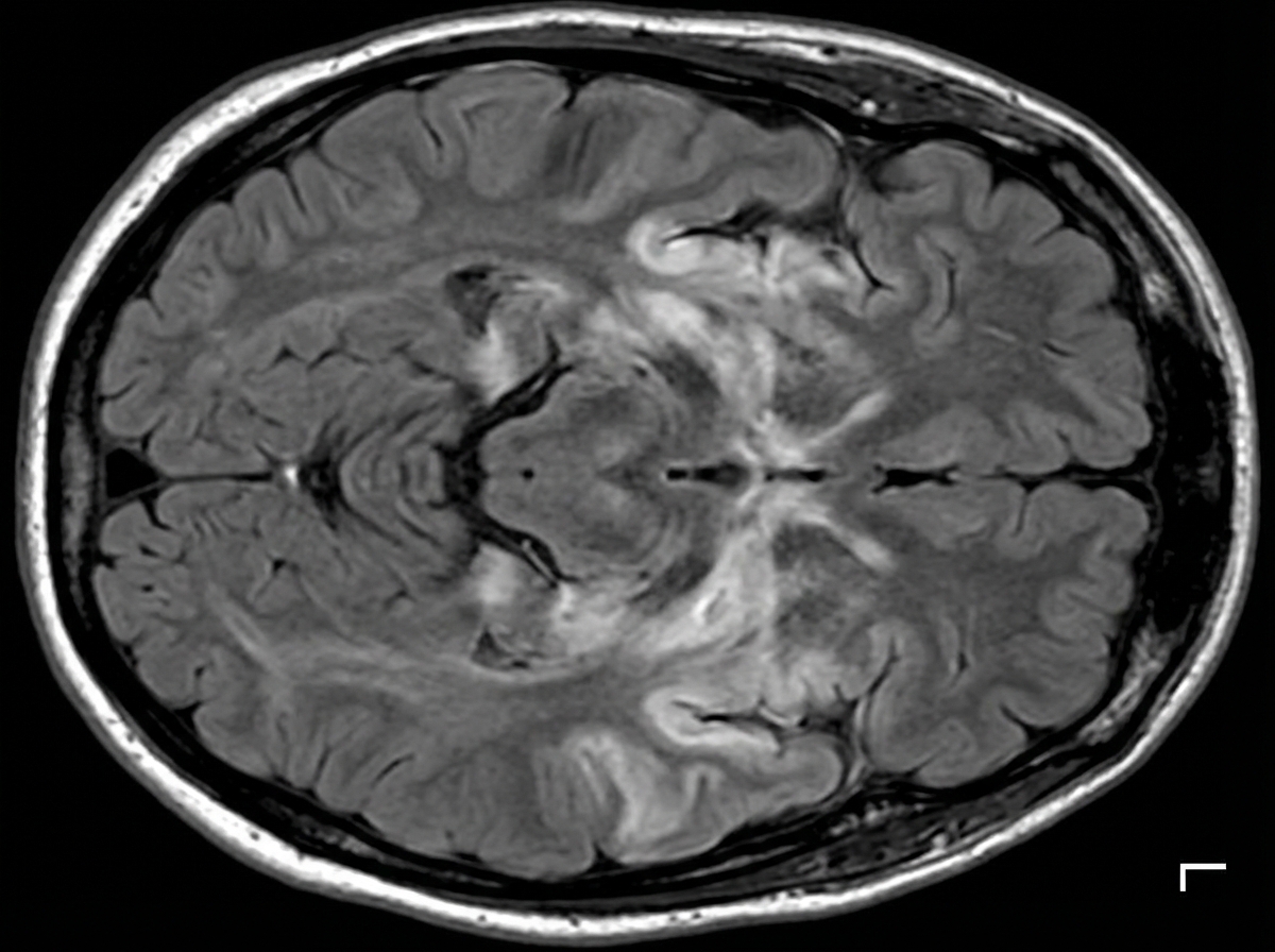
A 27-year-old man is brought to the emergency department by his friends in a confused state. He was doing fine 5 days ago when he started to complain of fever and flu-like symptoms. His fever was low-grade and associated with a headache. For the past 2 days, he has become increasingly irritable, confused, and was getting angry at trivial things. Past medical history is unremarkable. He is a college student and is physically active. He smokes cigarettes occasionally. He drinks alcohol socially. He is sexually active with his girlfriend and they use condoms inconsistently. Physical examination reveals: blood pressure 120/80 mm Hg, heart rate 108/min, respiratory rate 10/min, and temperature 37.4°C (99.4°F). He is confused and disoriented. Pupils are 3 mm in diameter and respond to light sluggishly. He is moving all his limbs spontaneously. His neck is supple. MRI of the brain is shown in the picture. Cerebrospinal fluid (CSF) reveals an opening pressure of 16 cm of H20, a total leukocyte count of 112/mm3 with 85% lymphocytes, the protein of 42 mg/dL, and glucose of 58 mg/dL. What is the best treatment for this condition?

Explanation: ***Bortezomib*** - **Bortezomib**, a **proteasome inhibitor**, is known to increase the risk of herpes zoster reactivation in patients with multiple myeloma due to its immunosuppressive effects. - Prophylaxis with antiviral agents (e.g., acyclovir) is often recommended during bortezomib treatment to prevent this complication. - Studies show herpes zoster incidence of 10-15% in bortezomib-treated patients without prophylaxis. *Lenalidomide* - While lenalidomide is an **immunomodulatory drug** used in multiple myeloma, it is generally associated with a lower risk of herpes zoster reactivation compared to proteasome inhibitors. - It primarily acts by inhibiting angiogenesis and stimulating T-cell and natural killer cell activity. *Daratumumab* - **Daratumumab** is a **monoclonal antibody** targeting CD38 on myeloma cells, leading to their destruction. - Although it has immunosuppressive effects, it is less commonly associated with herpes zoster reactivation than bortezomib. *Melphalan* - **Melphalan** is an **alkylating agent** used in chemotherapy for multiple myeloma, particularly in conditioning regimens for stem cell transplantation. - While it causes myelosuppression and general immunosuppression, the direct association with herpes zoster reactivation is not as prominent or specific as with bortezomib. *Dexamethasone* - **Dexamethasone** is a **corticosteroid** commonly used in combination regimens for multiple myeloma (e.g., RVD, VCD). - While corticosteroids cause immunosuppression and can increase infection risk, the specific association with herpes zoster reactivation is less pronounced than with bortezomib.
Explanation: **Rifampicin** - **Rifampicin** is a potent **CYP450 enzyme inducer**, which significantly increases the metabolism of **nevirapine**, a non-nucleoside reverse transcriptase inhibitor (NNRTI), leading to subtherapeutic levels and potential treatment failure. - In patients on **nevirapine-based ART**, **rifampicin** is typically avoided or replaced with other rifamycins (like **rifabutin**), or the antiretroviral regimen is switched to one that is less affected by enzyme induction. *Isoniazid* - **Isoniazid** does not have significant, clinically problematic interactions with the antiretroviral regimen mentioned (zidovudine, lamivudine, nevirapine), and is generally well-tolerated. - It is a cornerstone of TB treatment and is usually continued without dose adjustment or substitution in this scenario. *Pyrazinamide* - **Pyrazinamide** is part of the standard first-line TB treatment regimen and does not have clinically significant drug interactions with zidovudine, lamivudine, or nevirapine. - It can be safely continued without dose adjustment in patients on this ART regimen. *Ethambutol* - **Ethambutol** primarily causes **optic neuritis** as a side effect and does not have significant pharmacokinetic interactions with the antiretroviral drugs listed. - Its use in TB treatment alongside this ART regimen is generally safe and does not require a change. *Streptomycin* - **Streptomycin** is an **aminoglycoside antibiotic** primarily used for multi-drug resistant TB or in specific situations, and its main toxicity is **ototoxicity** and **nephrotoxicity**. - It does not have known significant drug interactions with zidovudine, lamivudine, or nevirapine that would necessitate a change.
Explanation: ***Elongation of viral DNA*** - **Zidovudine (AZT)** is a **nucleoside reverse transcriptase inhibitor (NRTI)** that mimics thymidine and gets incorporated into the growing viral DNA strand by HIV reverse transcriptase. - Its incorporation causes **chain termination** because it lacks a 3'-hydroxyl group, preventing further phosphodiester bond formation and thus inhibiting the elongation of viral DNA. *Cleavage of viral polypeptides* - This process is targeted by **protease inhibitors**, which prevent the HIV protease enzyme from cleaving large precursor polypeptides into functional proteins. - Zidovudine's mechanism of action is distinct from protease inhibition. *Fusion of virus with T cells* - This step is inhibited by **fusion inhibitors**, which block the interaction between the viral envelope glycoprotein (gp120/gp41) and the host cell receptors (CD4 and co-receptors like CCR5 or CXCR4). - Zidovudine does not interfere with viral entry into the host cell. *Integration of viral genome* - This process is targeted by **integrase inhibitors**, which prevent the HIV integrase enzyme from inserting the viral DNA into the host cell's genome. - Zidovudine acts earlier in the viral life cycle by inhibiting reverse transcription, before integration occurs. *Action of viral RNA polymerase* - HIV is a retrovirus and uses **reverse transcriptase** to convert its RNA genome into DNA, not a viral RNA polymerase for genome replication. - While host RNA polymerase II is used to transcribe viral DNA into mRNA, zidovudine specifically targets reverse transcriptase, not RNA polymerase.
Explanation: ***Administer inactivated influenza vaccine*** - The patient's reported allergy to eggs (hives after eating scrambled eggs) is a **mild allergic reaction** and does not contraindicate receiving an inactivated influenza vaccine. - The **ACIP guidelines** state that individuals with a history of **mild egg allergy** can safely receive any FDA-approved influenza vaccine suitable for their age and health status. *Administer oseltamivir* - **Oseltamivir** is an antiviral medication used for the treatment or prevention of influenza, not for vaccination. - Administering oseltamivir before potential exposure or as a treatment is not the same as providing the patient with the recommended influenza vaccine. *Prescribe oseltamivir for standby emergency treatment* - This option involves prescribing an antiviral for potential future use, which is not the primary goal of vaccinating against influenza and does not address the patient's need for immunization. - Standby treatment does not provide the **prophylactic benefits** of vaccination. *Administer influenza immunoglobulins* - **Influenza immunoglobulins** are not a standard or routine method for providing protection against seasonal influenza in healthy individuals. - They are typically reserved for specific situations involving severe immunocompromised patients or high-risk exposures. *End the examination without additional measures* - This would mean neglecting the recommendation for influenza vaccination and not addressing the patient's misconception about egg allergy. - Healthcare providers should take steps to ensure patients receive recommended vaccinations, especially when the perceived contraindication is manageable.
Explanation: ***Correct: pol mutation*** - Saquinavir is a **protease inhibitor** and zidovudine is a **reverse transcriptase inhibitor (NRTI)**. Both target enzymes encoded by the **pol gene** in HIV. - Mutations in the **pol gene** alter the structure of protease and reverse transcriptase enzymes, preventing drug binding and leading to resistance. - This is the direct molecular mechanism explaining resistance to both drugs in this patient. *Incorrect: HBV co-infection* - **HBV co-infection** can complicate HIV treatment and lead to liver damage, but it does not directly cause resistance to antiretroviral drugs. - While it may influence overall treatment strategy (e.g., choosing drugs active against both viruses), it does not explain the specific drug resistance mechanism observed. *Incorrect: env mutation* - The **env gene** encodes HIV **envelope proteins (gp120 and gp41)**, which are crucial for viral entry into host cells. - Mutations in env typically affect **viral tropism** (CCR5 vs CXCR4 usage) or immune evasion, not resistance to protease or reverse transcriptase inhibitors. *Incorrect: HIV evasion of host response* - HIV's ability to evade the **host immune response** (through high mutation rate, latency, and immune cell destruction) is a general mechanism for chronic infection. - This does not specifically explain resistance to particular antiretroviral drugs, which results from mutations in the viral proteins that drugs target. *Incorrect: CCR5 mutation* - **CCR5** is a host coreceptor that HIV uses to enter cells; a mutation in this gene (e.g., CCR5-Δ32 deletion) can confer natural resistance to HIV infection. - However, **host** CCR5 mutations do not cause resistance to HIV drugs like saquinavir or zidovudine, which target **viral enzymes**, not host entry receptors.
Explanation: ***Acyclovir*** - The patient's presentation with **fever**, **altered mental status**, and **lymphocytic pleocytosis** in the CSF strongly suggests **viral encephalitis**, particularly **herpes simplex virus (HSV) encephalitis**, given the elderly age and rapid deterioration. - **Empiric acyclovir** treatment should be initiated immediately for suspected HSV encephalitis because delayed treatment significantly increases morbidity and mortality. *MRI* - While an **MRI of the brain** would be helpful in confirming the diagnosis, showing characteristic temporal lobe abnormalities, it should not delay the empirical treatment with acyclovir. - Doing an MRI first could waste precious time, especially in a potentially life-threatening condition like HSV encephalitis. *CSF culture* - A **CSF culture** is useful for identifying **bacterial pathogens**, but the CSF analysis shows a **lymphocytic predominance** and **normal glucose**, which are more consistent with viral infection rather than bacterial meningitis. - This test would be critical in bacterial meningitis, but less so as a *next best step* for this specific presentation. *CSF polymerase chain reaction* - **CSF PCR** for HSV is the **gold standard** for diagnosing HSV encephalitis and should be performed. - However, the results take time, and treatment should not be delayed while awaiting these results due to the urgency of management for HSV encephalitis. *Ceftriaxone, vancomycin, and ampicillin* - This combination of **antibiotics** is used for **empiric treatment of bacterial meningitis**, which typically presents with **neutrophilic pleocytosis**, **low CSF glucose**, and **elevated protein**. - Given the **lymphocytic predominance** and **normal glucose** in the CSF, bacterial meningitis is less likely, making these antibiotics not the most appropriate *next best step*.
Explanation: ***Viral fusion and entry into host cells*** - The drug described binds to **glycoprotein 41 (gp41)**, a transmembrane protein on the HIV envelope critical for **viral fusion** with the host cell membrane. - By binding to gp41, the drug prevents the conformational changes necessary for the virus to complete the fusion process, thereby **inhibiting its entry** into the host cell. *Viral genome transcription* - This process is primarily targeted by **reverse transcriptase inhibitors**, which prevent the conversion of viral RNA into DNA. - Drugs affecting gp41 do not directly interfere with the transcription of the viral genome once inside the host cell. *Viral docking and attachment to host cells* - **Docking and attachment** are primarily mediated by **glycoprotein 120 (gp120)** on the viral surface binding to CD4 receptors and co-receptors (CCR5 or CXCR4) on the host cell. - While gp41 is part of the same envelope protein complex, drugs targeting gp41 act subsequent to attachment, specifically during the fusion step. *Viral genome integration into host cells* - **Integration** of the viral DNA into the host cell genome is catalyzed by the **integrase enzyme**. - Drugs targeting integrase prevent the irreversible insertion of viral DNA, which is a much later step in the viral life cycle than fusion. *Viral particle assembly* - **Viral assembly** involves the collection of viral components and their packaging into new virions, a process often targeted by **protease inhibitors**. - Drugs acting on gp41 prevent the virus from entering the cell in the first place, thus not affecting the later stages of viral particle assembly.
Explanation: ***Modification of translated proteins*** - **Darunavir** and **ritonavir** are both **protease inhibitors**, which act by blocking the HIV protease enzyme. - The protease enzyme is crucial for cleaving long polypeptide chains into functional proteins needed for viral assembly and maturation. A mutation leading to reduced susceptibility to these drugs implies an altered protease that is less inhibited, thus continuing to modify translated proteins. *Binding of aminoacyl-tRNA to ribosomes* - This process is primarily involved in **bacterial protein synthesis** and is the target of various antibiotics. - It is not directly related to the mechanism of action of HIV protease inhibitors or HIV replication. *Synthesis of DNA from an RNA template* - This process is catalyzed by **reverse transcriptase**, which is targeted by nucleoside and non-nucleoside reverse transcriptase inhibitors. - The patient's drugs, darunavir and ritonavir, are protease inhibitors, not reverse transcriptase inhibitors. *Binding of glycoproteins to T-cell receptors* - This step is part of the **viral entry mechanism**, where HIV's envelope glycoproteins (e.g., gp120) bind to CD4 receptors and co-receptors on host T-cells. - This process is targeted by entry inhibitors, not protease inhibitors. *Integration of DNA into the host genome* - This step is mediated by the **HIV integrase enzyme**, which is targeted by integrase inhibitors (e.g., raltegravir, dolutegravir). - The drugs mentioned, darunavir and ritonavir, do not inhibit integrase.
Explanation: **Poor adherence to cART** - **Poor adherence** to cART leads to **uncontrolled HIV replication** and persistent **immunosuppression**, which significantly increases the risk of developing **DLBCL**. - **Immune dysregulation** caused by HIV directly contributes to a higher incidence of **AIDS-defining malignancies**, including DLBCL. *Income below $30,000 per year* - While **socioeconomic factors** can impact access to care and medication adherence, low income itself is not a direct biological risk factor for DLBCL. - Its influence is secondary to its effect on adherence and overall health status, rather than a primary risk factor for the malignancy. *Positive family history of cancer* - Although a family history of cancer can increase the risk for some malignancies, it is generally **not a significant risk factor** for **HIV-associated DLBCL**. - The primary drivers of HIV-associated DLBCL are linked to HIV-induced immunodeficiency, not specific inherited genetic predispositions for lymphoma. *Age over 55 years* - While the incidence of many cancers increases with **age**, for **HIV-associated DLBCL**, age is less prominent than the degree of **immunodeficiency** caused by HIV. - The stronger prognostic factor remains the state of the immune system, particularly a **low CD4 count**, which is often exacerbated by poor cART adherence. *Male sex* - While there are minor differences in cancer incidence between sexes, **male sex** is not a primary or significant independent risk factor for **HIV-associated DLBCL**. - The risk is predominantly driven by factors related to HIV infection itself and the resulting immune dysfunction.
Explanation: ***Acyclovir*** - The patient's presentation with **fever**, **flu-like symptoms** followed by **irritability**, **confusion**, and **MRI findings** suggestive of temporal lobe involvement, along with **lymphocytic pleocytosis** in CSF, is highly indicative of **herpes simplex encephalitis (HSE)**. - **Acyclovir** is the treatment of choice for HSE, as it is an antiviral drug effective against the **herpes simplex virus (HSV)**. Prompt administration significantly improves outcomes. *Intravenous immunoglobulin* - **Intravenous immunoglobulin (IVIG)** is generally used for certain **immunodeficiencies** or **autoimmune conditions**, not for acute viral encephalitis like HSE. - There is no evidence to support the use of IVIG as a primary treatment for HSV encephalitis. *High-dose steroids* - While steroids can reduce cerebral edema and inflammation, their routine use in **viral encephalitis** like HSE is **controversial** and not a first-line treatment. - Steroids might be considered in specific cases of severe cerebral edema, but not as the primary antiviral therapy. *Rituximab* - **Rituximab** is a **monoclonal antibody** targeting **CD20-positive B cells**, primarily used in certain **lymphomas** and **autoimmune diseases** like **rheumatoid arthritis** or **multiple sclerosis**. - It has no role in the treatment of acute viral encephalitis. *Ceftriaxone* - **Ceftriaxone** is a broad-spectrum **antibiotic** used to treat **bacterial meningitis** or other bacterial infections. - It is ineffective against viral infections such as HSV encephalitis.
Explanation: ***Rabies vaccination*** - This patient has a history of receiving **post-exposure prophylaxis (PEP)** for rabies 9 years ago, meaning he has been previously immunized. For individuals with prior rabies vaccination, treatment for a new exposure consists solely of a **rabies vaccine** series. - **Rabies immunoglobulin (RIG)** is not indicated for previously vaccinated individuals because their immune system is primed to produce antibodies rapidly upon re-exposure. *Rabies immunoglobulin and vaccine* - **Rabies immunoglobulin (RIG)** is administered as part of post-exposure prophylaxis for **unvaccinated individuals** to provide immediate passive immunity. - Since this patient has a history of rabies PEP, he is considered previously vaccinated, making RIG unnecessary and potentially interfering with the active immune response. *No action needed* - An **unprovoked attack by a raccoon** is considered a high-risk exposure for rabies, requiring intervention even in previously vaccinated individuals. - Despite prior vaccination, a **booster series of rabies vaccine** is indicated to rapidly reactivate the immune response and ensure protection. *Tetanus booster, rabies immunoglobulin* - The patient's tetanus immunization history (Tdap at age 16) indicates he is **up-to-date on tetanus** and would not require a booster for this wound unless more than 5 years had passed since the last dose and the wound was clean. - As explained, **rabies immunoglobulin (RIG)** is not given to previously vaccinated individuals. *Tetanus booster* - The patient received a Tdap booster at age 16, and given he is 20, his tetanus immunization is **still considered current** (up to 10 years for clean wounds, 5 years for dirty wounds). - While a tetanus booster might be considered depending on the exact timing of his last dose and wound characteristics, it is **not the primary or sole action needed** given the high-risk rabies exposure.
Explanation: ***Ribavirin*** - The patient's history of **intravenous drug use**, fatigue, joint pain, decreased appetite, and **scleral icterus** are highly suggestive of **chronic Hepatitis C virus (HCV) infection**. The description of the virus as a **small, enveloped, single-stranded positive-sense RNA virus** confirms HCV. The patient is started on a drug that resembles a **purine RNA nucleotide** and is instructed not to get pregnant, which is characteristic of Ribavirin. - **Ribavirin** is a **guanosine analog** that interferes with viral RNA synthesis and is known to be **teratogenic**, necessitating strict contraception during and after treatment. *Sofosbuvir* - While **Sofosbuvir** is used to treat Hepatitis C and is a **nucleotide analog** (specifically a uridine analog), it is a **prodrug** that mimics a uridine nucleotide, not a purine, and it is **not associated with the severe teratogenicity** that requires a two-contraception rule like Ribavirin. - Sofosbuvir is a **direct-acting antiviral (DAA)** that inhibits the HCV RNA-dependent RNA polymerase, but the description of a purine RNA nucleotide points away from this drug. *Cidofovir* - **Cidofovir** is a **cytosine nucleotide analog** primarily used to treat **cytomegalovirus (CMV)** retinitis in HIV/AIDS patients. - It works by inhibiting viral DNA polymerase, and it is **not used for Hepatitis C infection**. *Simeprevir* - **Simeprevir** is an **HCV protease inhibitor**, not a nucleotide analog. It specifically targets the **NS3/4A protease** of the Hepatitis C virus. - Although it is an effective DAA for HCV, its mechanism of action and class are different from the described "purine RNA nucleotide." *Interferon-alpha* - **Interferon-alpha** was historically used to treat Hepatitis C, but it is a **cytokine** that modulates the immune response, not a nucleoside/nucleotide analog. - Its use has largely been replaced by more effective and better-tolerated direct-acting antivirals due to significant side effects and lower efficacy.
Explanation: ***Steroid therapy*** - The patient presents with unilateral facial weakness affecting both the upper and lower face (inability to close the eye, flattened nasolabial fold, no forehead wrinkles), which is characteristic of **Bell's palsy**, an idiopathic **facial nerve paralysis**. - **Corticosteroids** (e.g., prednisone) are the most appropriate initial treatment for Bell's palsy, especially when started within 72 hours of symptom onset, to reduce inflammation and improve recovery rates. *Acyclovir therapy* - While Bell's palsy is often associated with reactivation of **herpes simplex virus**, routine antiviral therapy (like acyclovir) in addition to corticosteroids for Bell's palsy does not provide significant additional benefit over corticosteroids alone. - Antivirals are typically reserved for severe cases or those with evidence of **herpes zoster oticus (Ramsay Hunt syndrome)**, which is not indicated here. *Reassurance* - Although Bell's palsy often resolves spontaneously, simply reassuring the patient without offering treatment is not appropriate management given the availability of effective therapies. - Delaying treatment with corticosteroids can lead to a lower chance of full recovery. *Surgical decompression* - **Surgical decompression** of the facial nerve is a controversial and rarely indicated treatment for Bell's palsy. - It is typically reserved for very severe cases with complete facial paralysis and evidence of nerve compression, and its efficacy is not consistently proven. *Surgical repair* - **Surgical repair** is usually reserved for facial nerve paralysis caused by trauma with confirmed nerve transection, which is not suggested by the patient's presentation or prior CT scan. - Bell's palsy is an inflammatory rather than structural injury to the nerve.
Explanation: ***Varicella zoster virus*** - The **varicella zoster vaccine is a live attenuated vaccine**, which is generally contraindicated in individuals with severe **immunodeficiency**, such as HIV patients with a **CD4+ count below 200 cells/mm³**. - Administering a live vaccine to an immunocompromised patient can lead to **uncontrolled viral replication** and potentially cause the disease it is meant to prevent. *Clostridium tetani* - The **tetanus vaccine** is a **toxoid vaccine**, meaning it contains inactivated bacterial toxins, not live organisms. - It is **safe and recommended** for individuals with HIV, regardless of their CD4+ count, to provide protection against tetanus. *Human papillomavirus* - The **HPV vaccine** is a **recombinant vaccine**, consisting of viral-like particles (VLPs) and containing no live virus. - It is **safe and recommended** for HIV-positive individuals and helps prevent HPV-related cancers. *Bordetella pertussis* - The **pertussis vaccine** (part of DTaP or Tdap) is an **acellular vaccine**, containing purified bacterial components, not live bacteria. - It is **safe and recommended** for HIV patients to protect against whooping cough. *Haemophilus influenzae* - The **Haemophilus influenzae type b (Hib) vaccine** is a **conjugate vaccine**, made from bacterial capsular polysaccharide linked to a carrier protein. - It is **safe and recommended** for HIV-positive individuals, as they are at increased risk for invasive Hib disease.
Explanation: ***Discontinue didanosine*** - The patient presents with **acute pancreatitis**, characterized by sudden onset of severe upper abdominal pain radiating to the back, nausea, vomiting, and elevated serum amylase. Acute pancreatitis is a known adverse effect of **didanosine**. - Given the recent change in her antiretroviral therapy to include didanosine and the absence of other common causes like gallstones or hypertriglyceridemia, discontinuing **didanosine** is the most appropriate initial step. *Discontinue enfuvirtide* - **Enfuvirtide** is a fusion inhibitor used in HIV treatment, but it is not commonly associated with **acute pancreatitis**. - Its most common side effects are injection site reactions, hypersensitivity reactions, and increased risk of bacterial pneumonia. *Discontinue fosamprenavir* - **Fosamprenavir** is a protease inhibitor, and while some protease inhibitors have been linked to metabolic side effects, it is **less commonly implicated in acute pancreatitis** compared to nucleoside reverse transcriptase inhibitors (NRTIs) like didanosine. - Its adverse effects usually include gastrointestinal disturbances, rash, and elevations in liver enzymes. *Discontinue dolutegravir* - **Dolutegravir** is an integrase strand transfer inhibitor (INSTI) and is generally well-tolerated, with a low incidence of serious adverse events. - It is **not associated with acute pancreatitis**. Common side effects include insomnia and headache. *Discontinue abacavir* - **Abacavir** is an NRTI, but it is **not directly linked to acute pancreatitis** as a common or significant adverse effect. - The most concerning adverse reaction associated with abacavir is a potentially life-threatening **hypersensitivity reaction**, which typically presents with fever, rash, and systemic symptoms, not pancreatitis.
Explanation: ***Acyclovir*** - The patient presents with **fever**, **headache**, **confusion**, **focal neurological deficits** (right-sided weakness, incoherent speech), **nuchal rigidity**, and a **seizure**, all highly suggestive of **herpes simplex encephalitis (HSE)**. The MRI findings would typically support this with abnormalities in the temporal lobes. - **Acyclovir** is the treatment of choice for HSV encephalitis and should be initiated empirically when HSE is suspected, given its high morbidity and mortality if untreated. *Ceftriaxone and vancomycin* - This combination is appropriate for empirical treatment of **bacterial meningitis**. - While the patient has signs of central nervous system infection (**fever, headache, nuchal rigidity, confusion**), the **focal neurological deficits** and **seizure** specifically point towards encephalitis rather than uncomplicated meningitis. *Ceftriaxone, vancomycin, and ampicillin* - This regimen adds **ampicillin** to cover for *Listeria monocytogenes*, which is particularly important in older adults, immunocompromised individuals, and neonates. - Although the patient's age (46) is not extreme, the **focal neurological deficits** and **seizure activity** make bacterial meningitis less likely as the primary diagnosis compared to encephalitis. *Recombinant tissue plasminogen activator* - **tPA** is used to treat acute **ischemic stroke** by dissolving blood clots. - The patient's symptoms (fever, headache, nuchal rigidity) and the progression over days are more consistent with an **infectious process** rather than an acute thromboembolic event. *Amphotericin B* - **Amphotericin B** is an antifungal medication indicated for serious **fungal infections**, including fungal meningitis or encephalitis. - While fungal infections can cause similar symptoms, they typically have a more **subacute or chronic course** and are less common in an otherwise relatively healthy individual, making it less likely given the acute presentation.
Explanation: ***Pancytopenia*** - **Valganciclovir** is a known cause of **bone marrow suppression**, leading to **pancytopenia** (low red blood cells, white blood cells, and platelets). - The patient is also on **zidovudine**, an antiretroviral that can cause **myelosuppression**, thus the combined use significantly increases the risk of pancytopenia. *Hepatic steatosis* - **Hepatic steatosis** (fatty liver) is a rare but known adverse effect of some nucleoside reverse transcriptase inhibitors (NRTIs), particularly older ones. - While lamivudine is an NRTI, **valganciclovir** is not primarily associated with hepatic steatosis, and the combination does not specifically heighten this risk more than other options. *Abnormal dreams* - **Abnormal dreams** are a common side effect associated with certain antiretroviral drugs, particularly the non-nucleoside reverse transcriptase inhibitor **efavirenz**. - This patient is on dolutegravir (an integrase inhibitor), zidovudine, and lamivudine, none of which are primarily known for causing abnormal dreams as a prominent side effect, and valganciclovir does not contribute to this. *Orthostatic dysregulation* - **Orthostatic dysregulation** (orthostatic hypotension) can be a side effect of various medications, but it is not a prominent adverse effect of either **valganciclovir** or the patient's current antiretroviral regimen. - While dehydration from diarrhea can cause it, the medication itself does not directly increase this risk in particular. *Hyperglycemia* - **Hyperglycemia** can be a side effect of certain antiretroviral drugs, particularly some **protease inhibitors** and older NRTIs. - However, the patient's current regimen (zidovudine, lamivudine, dolutegravir) and **valganciclovir** are not strongly associated with hyperglycemia as a primary adverse effect compared to other options.
Explanation: ***Tenofovir therapy*** - This patient has **chronic hepatitis B** with evidence of **active viral replication** (positive HBsAg, HBeAg, and elevated liver enzymes), indicating a need for antiviral treatment. - **Tenofovir** is a highly effective and well-tolerated oral antiviral agent for chronic hepatitis B, suitable for initial therapy. *Pegylated interferon alpha therapy* - While an option for chronic hepatitis B, **pegylated interferon alpha** has more significant side effects and is generally avoided in patients with **systemic lupus erythematosus (SLE)** due to the risk of exacerbating the autoimmune condition. - It also requires subcutaneous injections and has a lower rate of HBeAg seroconversion compared to nucleos(t)ide analogs in many patient populations. *Referral to a liver transplantation center* - This patient currently shows **elevated liver enzymes** but no immediate signs of **decompensated liver disease** (e.g., ascites, encephalopathy, variceal bleeding) or severe liver failure that would warrant urgent transplantation. - Treatment with antiviral medication is the first step to prevent progression to end-stage liver disease. *Reassurance and follow-up* - The patient has **elevated transaminases** and markers of **active viral replication** (positive HBeAg), indicating ongoing liver injury and potential progression to cirrhosis. - Simply observing the patient without treatment would be inappropriate and could lead to irreversible liver damage. *Lamivudine therapy* - **Lamivudine** is an older nucleos(t)ide analog for hepatitis B that has a significantly **higher rate of drug resistance** compared to newer agents like tenofovir. - It is generally not recommended as a first-line treatment due to its resistance profile.
Explanation: ***Nucleoside reverse transcriptase inhibitor*** - The patient presents with **macrocytic anemia** (Hgb 11.2, MCV 102), **leukopenia** (2600), **lactic acidosis** (lactate 6.0, pH 7.34, HCO3- 14, pCO2 55), and is on a regimen including **zidovudine** and **lamivudine**. - **Zidovudine** (AZT), a nucleoside reverse transcriptase inhibitor (NRTI), is well-known for causing **myelosuppression** (anemia, leukopenia) and **mitochondrial toxicity**, which can lead to lactic acidosis due to impaired oxidative phosphorylation. *Entry inhibitor* - Entry inhibitors like **enfuvirtide** and **maraviroc** block HIV from entering CD4+ cells; side effects are mainly injection site reactions or hepatotoxicity. - They are not associated with macrocytic anemia, leukopenia, or lactic acidosis. *Dihydrofolate reductase inhibitor* - **Trimethoprim-sulfamethoxazole (TMP-SMX)**, listed as a current medication, is a dihydrofolate reductase inhibitor that can cause **bone marrow suppression** mimicking folate deficiency. - However, the patient's folate levels are normal, and the significant lactic acidosis points away from TMP-SMX as the primary cause of all findings. *Integrase inhibitor* - Integrase inhibitors like **raltegravir** or **dolutegravir** prevent the integration of viral DNA into the host genome. - Their primary side effects are typically gastrointestinal (nausea, diarrhea), headache, or insomnia, and they do not cause macrocytic anemia, leukopenia, or lactic acidosis. *Protease inhibitor* - **Atazanavir**, a protease inhibitor from the patient's regimen, can cause **hyperbilirubinemia** and **lipodystrophy** but is not directly linked to the bone marrow suppression and severe lactic acidosis seen here. - Other protease inhibitors can cause metabolic complications, but not this specific constellation of hematologic and metabolic abnormalities.
Explanation: ***Draw her repeat HIV serology and immediately initiate three-drug antiretroviral therapy*** - This approach ensures that baseline **HIV status** is established while simultaneously providing **post-exposure prophylaxis (PEP)** as quickly as possible. Time is critical for PEP efficacy. - The patient has a high-risk exposure (percutaneous injury, high viral load source) warranting immediate initiation of a **three-drug antiretroviral regimen** to prevent seroconversion. *Draw her repeat HIV serology and initiate three-drug antiretroviral therapy if positive* - Waiting for serology results before initiating therapy would delay PEP, significantly reducing its effectiveness in potentially preventing **HIV transmission**. - If the student is already HIV-positive from a prior undisclosed exposure, PEP for a new exposure is not the primary concern; rather, she would need full **HIV treatment**. However, the immediate concern after an exposure is always prevention. *Immediately initiate three-drug antiretroviral therapy* - While immediate initiation of PEP is correct, it is still crucial to obtain a **baseline HIV serology** for the exposed individual. - This baseline allows for clear documentation of the pre-exposure HIV status, which is vital for any future testing and counseling following the exposure. *Draw her repeat HIV serology and initiate three-drug antiretroviral therapy if negative* - Waiting for serology results to return before starting PEP is incorrect as this would significantly delay the initiation of therapy. - The critical window for effective PEP is within hours of exposure, ideally within 72 hours. *Perform genotype testing on source patient and initiate antiretroviral therapy tailored to results* - While **genotype testing** on the source patient provides valuable information about drug resistance, it should not delay the immediate initiation of **empiric PEP** for the exposed individual. - PEP must be started as soon as possible, and the regimen can be adjusted later if the genotype results indicate resistance to the initial drugs.
Explanation: ***Famciclovir*** - This patient presents with classic **herpes zoster** (shingles): **prodrome of burning/tingling pain** followed by a **vesicular rash in a dermatomal distribution (T4)**. - **Antiviral therapy** with famciclovir, valacyclovir, or acyclovir is the **primary treatment** for acute herpes zoster. - Most effective when initiated **within 72 hours of rash onset** to reduce duration of pain, accelerate rash healing, and **decrease risk of postherpetic neuralgia (PHN)**. - Famciclovir is a **prodrug of penciclovir** with excellent oral bioavailability. *Prednisone* - Corticosteroids are **not the primary treatment** for acute herpes zoster and do not prevent viral replication. - Evidence for corticosteroids reducing **postherpetic neuralgia** is limited and controversial. - May be used as **adjunctive therapy** in select cases for severe inflammation, but antivirals remain first-line. *Valganciclovir* - Valganciclovir is specific for **cytomegalovirus (CMV)** infections, not **varicella-zoster virus (VZV)**. - While structurally related to other antivirals, it has **poor activity against VZV** compared to famciclovir, valacyclovir, or acyclovir. - Used primarily in immunocompromised patients with CMV retinitis or organ transplant recipients. *Gabapentin* - Gabapentin is an **antiepileptic/neuropathic pain agent** used to treat **postherpetic neuralgia (PHN)** after it develops. - Does **not treat the acute viral infection** or prevent PHN when started during acute phase. - Started if chronic neuropathic pain persists **>90 days** after rash onset. *Amitriptyline* - Amitriptyline is a **tricyclic antidepressant (TCA)** effective for managing chronic **neuropathic pain** including PHN. - Like gabapentin, it treats the **chronic pain complication**, not the acute viral infection. - Does not prevent PHN development when used during acute shingles phase.
Explanation: ***Ganciclovir*** - The patient's presentation with **painful swallowing**, **serpiginous ulcers in the distal esophagus**, and **large cytoplasmic inclusion bodies** on biopsy, especially in an immunocompromised patient (kidney transplant recipient), is highly suggestive of **cytomegalovirus (CMV) esophagitis**. - **Ganciclovir** is the first-line antiviral treatment for CMV infections, including esophagitis, particularly in transplant patients. *Budesonide* - **Budesonide** is a corticosteroid often used for inflammatory conditions like Crohn's disease or eosinophilic esophagitis. - It is not indicated for viral infections and could potentially worsen the patient's immunocompromised state. *No pharmacotherapy at this time* - The patient has a clear symptomatic infection with characteristic findings (ulcers, inclusion bodies) in an immunocompromised state (post-transplant). - Delaying treatment could lead to serious complications and dissemination of the CMV infection. *Fluconazole* - **Fluconazole** is an antifungal medication primarily used to treat *Candida* esophagitis, which typically presents with **linear, white plaques** and not serpiginous ulcers with cytoplasmic inclusion bodies. - The biopsy findings rule out candidal infection, for which fluconazole would be appropriate. *Pantoprazole* - **Pantoprazole** is a proton pump inhibitor (PPI) used to reduce stomach acid, commonly prescribed for esophagitis due to reflux disease. - While acid suppression can be part of supportive care, it does not address the underlying **viral etiology** of this patient's symptoms (CMV esophagitis).
Explanation: ***Hypocalcemia*** - The drug described is **foscarnet**, which inhibits viral DNA polymerase by binding to **pyrophosphate-binding sites** and is used to treat CMV retinitis, common in HIV patients. - A known side effect of foscarnet is **electrolyte abnormalities**, including **hypocalcemia** and **hypomagnesemia**, which can precipitate seizures. *Hypoglycemia* - While hypoglycemia can cause seizures, it is not a direct known side effect of foscarnet or typically associated with the treatment of CMV retinitis. - The clinical presentation does not suggest **low blood sugar** as the primary cause for the seizure. *Demyelination* - Demyelination can be seen in HIV infection (e.g., **PML**), but it's a slower process and less likely to cause an acute, sudden seizure following initiation of an antiviral drug for CMV retinitis. - There is no direct link between foscarnet administration and acute demyelination leading to seizures. *Encephalitis* - Encephalitis can cause seizures, but the primary clinical picture describes **CMV retinitis** and a subsequent seizure after starting a specific antiviral medication. - While HIV patients are susceptible to various CNS infections, the acute onset seizure directly linked to the initiation of foscarnet therapy points to a drug-related adverse effect rather than a new infection. *Lactic acidosis* - Lactic acidosis can occur in HIV patients, particularly with certain antiretroviral therapies (**NRTIs**), but it is not a direct or common side effect of foscarnet. - While severe lactic acidosis can cause neurological symptoms, it primarily manifests with other systemic signs (e.g., nausea, vomiting, tachypnea) not described here.
Explanation: ***Renal failure*** - The patient's symptoms (painful genital rash, erosive vesicles, inguinal lymphadenopathy) are highly suggestive of **herpes simplex virus (HSV) infection**, likely genital herpes. - The drug described is an antiviral agent like **acyclovir, valacyclovir, or famciclovir**, which require **viral thymidine kinase** for activation and are known to cause **renal impairment** (nephrotoxicity) as an adverse effect, especially with high doses or in dehydrated patients due to crystal nephropathy. *Photosensitivity* - **Photosensitivity** is a common side effect of some antibiotics (e.g., tetracyclines, sulfonamides), diuretics (e.g., thiazides), and antifungals, but it is **not a prominent adverse effect of acyclovir or its derivatives**. - While theoretical, it is not a clinically significant or frequently observed adverse effect associated with the class of antiviral drugs used for HSV. *Deafness* - **Ototoxicity**, leading to deafness or hearing loss, is a well-known adverse effect of certain classes of drugs, such as **aminoglycoside antibiotics** (e.g., gentamicin) and **loop diuretics** (e.g., furosemide). - It is **not an adverse effect** associated with antiviral medications like acyclovir. *Gingival hyperplasia* - **Gingival hyperplasia** (overgrowth of gum tissue) is a recognized side effect of specific medications including **phenytoin** (an anticonvulsant), **cyclosporine** (an immunosuppressant), and **calcium channel blockers** (e.g., nifedipine, amlodipine). - This adverse effect is **not associated with antiviral drugs** used to treat herpes simplex. *Pulmonary fibrosis* - **Pulmonary fibrosis** is a serious adverse effect linked to various drugs like **amiodarone** (an antiarrhythmic), **bleomycin** (a chemotherapeutic agent), **methotrexate** (an immunosuppressant/chemotherapeutic), and **nitrofurantoin** (an antibiotic). - **Antiviral medications for HSV** do not typically cause pulmonary fibrosis.
Explanation: ***Two doses of vaccine*** - According to **CDC/ACIP guidelines**, adults without evidence of immunity to varicella should receive **two doses of varicella vaccine** (4-8 weeks apart) without prior serologic testing. - The patient has no documentation of vaccination or prior disease, and works in a **high-risk setting (childcare center)** with frequent exposure to children. - **Routine serologic testing is NOT recommended** before vaccination as it delays protection, is cost-ineffective, and the vaccine is safe even if the person is already immune. - Two doses provide **97% protection** against varicella and significant protection against breakthrough disease. *Serology then administer the vaccine (2 doses)* - While the two-dose schedule is correct, obtaining serology first is **not recommended by CDC** for routine adult varicella vaccination. - Serologic testing delays protection and is cost-ineffective; the vaccine is safe to give even if immunity already exists. - Serology may be considered in special circumstances (e.g., for healthcare workers when cost-benefit analysis favors testing), but not routinely. *One dose of the vaccine* - A single dose provides only **80-85% protection** and is insufficient for adults. - **Two doses are required** for optimal immunity in adults without evidence of immunity. *Wait until patient turns 50* - This confuses the **varicella (chickenpox) vaccine** with the **herpes zoster (shingles) vaccine** (Shingrix), which is recommended at age 50. - The patient needs immediate protection due to high-risk occupational exposure and current susceptibility. *Serology then administer the vaccine (1 dose)* - This option is incorrect for two reasons: serology is not routinely recommended, and one dose is insufficient for adult vaccination. - Adults require a **two-dose series** for adequate protection against varicella.
Explanation: ***IPV is known to produce higher titers of serum IgG antibodies than OPV*** - The **injectable polio vaccine (IPV)** is an **inactivated vaccine** that primarily induces a systemic immune response, leading to high levels of **serum IgG antibodies**. These antibodies are crucial for preventing **viremia** and subsequently protecting against paralytic poliomyelitis. - While OPV (oral polio vaccine) induces both mucosal and humoral immunity, IPV's strength lies in its ability to generate robust systemic immunity without the risk of vaccine-associated paralytic polio (VAPP), a rare but serious complication of OPV. *IPV is known to produce higher titers of mucosal IgG antibodies than OPV* - IPV primarily stimulates **systemic immunity** rather than strong mucosal immunity, meaning it does not typically produce higher titers of mucosal IgG antibodies than OPV. - Mucosal immunity, especially IgA, is better stimulated by vaccines administered orally, like **OPV**, as it directly interacts with the gut-associated lymphoid tissue. *IPV is known to produce virus-specific CD4+ T cells that produce interleukins and interferons to control polio viruses* - Both IPV and OPV can induce **CD4+ T cell responses**, but this statement does not highlight a distinct advantage of IPV over OPV. - While CD4+ T cells are important for immune coordination and antibody production, the primary advantage of IPV is its **safety profile** and systemic antibody levels, not necessarily a superior CD4+ T cell response. *IPV is known to produce higher titers of mucosal IgA antibodies than OPV* - **OPV**, being an oral vaccine, is highly effective at inducing a strong **mucosal IgA response** in the gut, which is important for preventing viral shedding and transmission. - **IPV**, administered parenterally, produces minimal to no mucosal IgA response, making this statement incorrect. *IPV is known to produce virus-specific CD8+ T cells that directly kill polio-infected cells* - **Cytotoxic CD8+ T cells** are primarily involved in clearing cells infected with intracellular pathogens. - While both vaccines may induce some cellular immunity, their primary mechanism for protecting against polio is through **neutralizing antibodies**, and the induction of CD8+ T cells is not the principal advantage of IPV over OPV.
Explanation: ***Cidofovir*** - This is the best choice because **cidofovir** does not require **thymidine kinase** for its activation; it is phosphorylated by cellular kinases. - Since the varicella-zoster virus (VZV) strain is **thymidine kinase-deficient**, drugs dependent on this enzyme (like acyclovir, famciclovir, ganciclovir) would be ineffective. *Famciclovir* - This is a prodrug that is converted to **penciclovir**, which requires **viral thymidine kinase** for its initial phosphorylation. - Due to the VZV strain's **thymidine kinase deficiency**, famciclovir would not be effectively activated and thus not offer therapeutic benefit. *Ganciclovir* - Similar to acyclovir, ganciclovir requires **phosphorylation by viral thymidine kinase** (or phosphotransferase in CMV) for its antiviral activity. - The **thymidine kinase-deficient VZV** would render ganciclovir ineffective against this specific resistant strain. *Amantadine* - **Amantadine** is an antiviral agent specifically used for **influenza A virus** and has no activity against VZV. - Its mechanism of action involves inhibiting the M2 proton channel of influenza A, which is not relevant for herpesviruses. *Acyclovir* - **Acyclovir** is a nucleoside analog that requires **viral thymidine kinase** for its initial phosphorylation and subsequent activation. - A **thymidine kinase-deficient VZV** strain would be resistant to acyclovir, making it an ineffective treatment.
Explanation: ***Nucleic acid synthesis*** - This patient likely has **cytomegalovirus (CMV) retinitis**, characterized by **blurred vision**, **floaters**, and **necrotizing retinitis** in an HIV-positive individual with a **low CD4 count (100 cells/mm3)**. - The initial drug, **ganciclovir**, targets nucleic acid synthesis by inhibiting viral DNA polymerase. If ganciclovir fails, a common second-line agent like **foscarnet** or **cidofovir** is used, and both also inhibit viral **nucleic acid (DNA) synthesis** through different mechanisms (foscarnet directly inhibits DNA polymerase, cidofovir is a nucleotide analog). *Protein synthesis* - This mechanism is targeted by certain antibacterial and antifungal drugs, but not typically by antiviral medications used for CMV. - Antiviral drugs generally target specific viral processes, distinct from host protein synthesis, to limit toxicity. *Progeny virus release* - This mechanism is primarily targeted by **neuraminidase inhibitors** (e.g., oseltamivir, zanamivir) used to treat influenza, which prevent the release of new viral particles from infected cells. - It is not a common mechanism for CMV antivirals. *Viral penetration into host cells* - Medications that inhibit viral penetration or entry, such as **fusion inhibitors** (e.g., enfuvirtide for HIV) or **CCR5 antagonists** (e.g., maraviroc for HIV), prevent the virus from entering the host cell. - These mechanisms are not relevant to the treatment of CMV retinitis. *Viral uncoating* - **Amantadine** and **rimantadine** are examples of antiviral drugs that inhibit **viral uncoating** by interfering with the M2 ion channel in influenza A. - This mechanism is specific to influenza viruses and is not involved in the action of CMV antiviral medications.
Explanation: ***Post-herpetic neuralgia*** - This condition is characterized by **persistent pain** (burning, throbbing, or shooting) and **allodynia** (hypersensitivity to light touch) in the dermatomal distribution of a resolved herpes zoster rash. - It occurs due to **nerve damage** caused by the varicella-zoster virus and is more common in older adults, with symptoms persisting for months to years, consistent with the patient's presentation and the statistic of 20-30% incidence. *Ramsay-Hunt syndrome* - This syndrome is a complication of **herpes zoster oticus**, affecting the facial nerve (cranial nerve VII). - It presents with **facial paralysis**, rash in the ear or mouth, and sometimes hearing loss or vertigo, which is not described in this patient's symptoms. *Recurrent zoster* - While possible, **recurrent zoster** would involve the reappearance of the vesicular rash and associated acute pain, not persistent burning and hypersensitivity after the original rash has resolved. - The patient describes a "resolved" outbreak, indicating the skin lesions are gone, and only the nerve pain remains. *Secondary bacterial infection* - A **secondary bacterial infection** would manifest as redness, warmth, swelling, pus, and increased acute pain at the site of the skin lesions. - The patient's symptoms of chronic burning and hypersensitivity in the absence of active lesions are not consistent with a bacterial infection. *Acute herpetic neuralgia* - **Acute herpetic neuralgia** refers to the pain experienced *during* the active herpes zoster outbreak and up to 30 days after the rash onset. - In this case, the pain persists six months *after resolution* of the rash, indicating a chronic condition rather than acute pain.
Explanation: ***Simeprevir*** - Simeprevir is a **first-generation direct-acting antiviral (DAA)**, specifically a **protease inhibitor (NS3/4A inhibitor)**, highly effective against **HCV genotype 1**. - Adding simeprevir to a regimen of **pegylated interferon-alpha and ribavirin** significantly increases the likelihood of achieving a **sustained virologic response** for patients who previously failed interferon-based therapy. - **Note:** While this triple therapy approach was standard practice historically, current guidelines (as of 2024-2025) favor **interferon-free DAA combination regimens** (such as sofosbuvir/ledipasvir or glecaprevir/pibrentasvir) as first-line treatment for HCV genotype 1. However, among the options provided, simeprevir remains the only appropriate HCV-specific antiviral agent. *Emtricitabine* - This is a **nucleoside reverse transcriptase inhibitor (NRTI)** primarily used in the treatment of **HIV infection** and sometimes for hepatitis B. - It has **no significant role** in the treatment of **hepatitis C viral infection**. *Entecavir* - Entecavir is an **antiviral agent** specifically used for the treatment of **chronic hepatitis B virus (HBV)** infection. - It has **no established efficacy** against the **hepatitis C virus (HCV)**. *Tenofovir* - Tenofovir is a **nucleotide reverse transcriptase inhibitor** primarily used for treating **HIV infection** and **chronic hepatitis B virus (HBV)** infection. - It is **not effective** against **hepatitis C virus (HCV)**. *Telbivudine* - Telbivudine is an **oral antiviral agent** indicated specifically for the treatment of **chronic hepatitis B virus (HBV)** infection. - It does **not have antiviral activity** against the **hepatitis C virus (HCV)**.
Explanation: ***Foscarnet*** - The patient presents with **cytomegalovirus (CMV) pneumonitis** post-lung transplant, evidenced by **diffuse bilateral ground-glass opacities** and **intranuclear inclusions with a clear halo** on biopsy, and initial treatment with **ganciclovir failed**. - **Foscarnet** is an alternative antiviral that does not require activation by viral kinases and is effective against viruses that develop **ganciclovir resistance** due to mutations in UL97 phosphotransferase, which activates ganciclovir. It also has known activity against **HIV** and **HBV**, fitting the description. *Lamivudine* - **Lamivudine** is a **nucleoside reverse transcriptase inhibitor (NRTI)** primarily used for **HIV** and **HBV** infections. - It has **no activity against CMV** and would not be used to treat CMV pneumonitis, especially after ganciclovir failure. *Elvitegravir* - **Elvitegravir** is an **integrase inhibitor** used in combination therapy for **HIV infection**. - It has **no activity against CMV** and would not be effective in treating CMV pneumonitis. *Zanamivir* - **Zanamivir** is a **neuraminidase inhibitor** used to treat and prevent **influenza A and B viruses**. - It has **no activity against CMV** and is not indicated for the patient's condition. *Acyclovir* - **Acyclovir** is a guanosine analog primarily used to treat **herpes simplex virus (HSV)** and **varicella-zoster virus (VZV)** infections. - It has **limited to no activity against CMV** at therapeutic doses and would not be effective in this case.
Explanation: ***Indinavir*** - This patient presents with signs of **lipodystrophy**, specifically **lipoaccumulation** (breast enlargement, "buffalo hump" at the nape of the neck) and **lipoatrophy** (hollow cheeks), along with **dyslipidemia**. - **Protease inhibitors (PIs)**, such as indinavir, are well-known to cause these metabolic complications, including **lipodystrophy** and **hyperlipidemia**, in patients with HIV. *Nevirapine* - Nevirapine is a **non-nucleoside reverse transcriptase inhibitor (NNRTI)**. - While NNRTIs can be associated with some metabolic side effects, they are less commonly implicated in severe **lipodystrophy** and **dyslipidemia** compared to protease inhibitors. *Enfuvirtide* - Enfuvirtide is a **fusion inhibitor** and generally has a favorable metabolic profile. - It is not typically associated with **lipodystrophy** or significant **dyslipidemia**. *Abacavir* - Abacavir is a **nucleoside reverse transcriptase inhibitor (NRTI)**. - While some NRTIs (especially stavudine and zidovudine) were strongly linked to lipoatrophy, abacavir is much less likely to cause this severe form of **lipodystrophy** or **hyperlipidemia**. *Raltegravir* - Raltegravir is an **integrase strand transfer inhibitor (INSTI)**. - INSTIs are increasingly used due to their generally good metabolic profile and are not a common cause of **lipodystrophy** or **dyslipidemia**.
Explanation: ***Penciclovir cream*** - This patient presents with recurrent outbreaks of **herpes labialis**, commonly known as cold sores, characterized by painful vesicular lesions on the lip, tingling sensation preceding the lesions, and recurrence, often triggered by sun exposure. - **Penciclovir cream** is a topical antiviral agent that is highly effective in reducing the healing time and duration of pain from recurrent herpes labialis when applied early in the course of the outbreak. *Docosanol cream* - Docosanol cream is an over-the-counter topical treatment for herpes labialis, but it primarily acts by **inhibiting viral fusion** with human cells. - While it can be effective, it generally has a **less potent antiviral effect** and may not reduce healing time as significantly as prescription antivirals like penciclovir, especially in recurrent, symptomatic cases. *Imiquimod* - Imiquimod is an **immune response modifier** primarily used to treat external genital and perianal warts, actinic keratosis, and superficial basal cell carcinoma. - It works by stimulating the immune system to produce **interferon and other cytokines**, which is not the primary mechanism of action for treating acute herpetic lesions. *No treatment necessary* - While herpes labialis lesions can resolve spontaneously, the patient experiences **painful lesions** and has a history of recurrent outbreaks. - Providing antiviral therapy can **alleviate symptoms**, reduce healing time, and potentially decrease viral shedding, which is beneficial for patient comfort and preventing transmission. *Oral cidofovir* - Oral cidofovir is a broad-spectrum antiviral agent primarily used for severe viral infections, such as **cytomegalovirus retinitis** in immunocompromised patients, or certain mucocutaneous infections caused by **acyclovir-resistant HSV**. - It is an **intravenous medication** in its primary formulation for serious systemic infections and not a standard treatment for uncomplicated recurrent herpes labialis due to its **toxicity profile** and specific indications.
Explanation: ***Sorafenib*** - This patient's presentation with chronic hepatitis B, cirrhosis, a liver mass, and an **elevated alpha-fetoprotein** is highly suggestive of **hepatocellular carcinoma (HCC)**, also known as hepatoma. - **Sorafenib** is a **multi-targeted tyrosine kinase inhibitor** that inhibits tumor cell proliferation and angiogenesis by targeting VEGFR, PDGFR, Raf kinases, and other kinases involved in tumor progression. - It was the **first systemic therapy approved for advanced-stage HCC** and remains an important first-line treatment option for patients with advanced disease who are not candidates for surgical or locoregional therapies. *Ustekinumab* - **Ustekinumab** is a monoclonal antibody that targets the **p40 subunit of IL-12 and IL-23**, primarily used in the treatment of **psoriasis** and psoriatic arthritis, not HCC. - It works by blocking inflammatory pathways involved in autoimmune conditions. *Daclizumab* - **Daclizumab** is a humanized monoclonal antibody that targets the **CD25 subunit of the IL-2 receptor**; it was previously used for treating **multiple sclerosis** but has been largely discontinued due to safety concerns. - It is not indicated for the treatment of any form of cancer. *Abciximab* - **Abciximab** is a monoclonal antibody that targets the **glycoprotein IIb/IIIa receptor** on platelets, used as an **antiplatelet agent** in patients undergoing percutaneous coronary intervention. - Its mechanism of action is related to inhibition of platelet aggregation and thrombosis, not cancer therapy. *Palivizumab* - **Palivizumab** is a monoclonal antibody used for the **prevention of serious lower respiratory tract disease** caused by **respiratory syncytial virus (RSV)** in high-risk infants. - It provides passive immunity against RSV and has no role in cancer treatment.
Explanation: ***Organism has no cell membrane*** - The patient likely has a **cold sore**, which is caused by the **Herpes Simplex Virus (HSV)**. Viruses are **acellular organisms** and lack a **cell membrane**, which is the target of polymyxin. - Polymyxin is an **antibiotic** that targets the **bacterial cell membrane**, making it ineffective against viruses. *Topical antiviral creams are not effective for cold sores* - While it's true that the efficacy of topical antivirals can be limited, they are the **standard treatment** for cold sores, especially if applied early. - **Acyclovir, penciclovir, and docosanol** are commonly used topical antiviral creams for HSV infections. *Organism has become resistant* - **Antibiotic resistance** typically occurs in bacteria due to mechanisms like altered drug targets or efflux pumps, which are not relevant to viral infections. - Since polymyxin targets **bacterial cell membranes**, and cold sores are viral, resistance is not the reason for treatment failure here. *Cold sore is non-infective in nature* - This statement is incorrect; **cold sores are highly infective** and caused by the **Herpes Simplex Virus (HSV)**, making them viral infections. - HSV spreads through direct contact and can cause recurrent outbreaks. *Cold sores are treated by applying heat* - This is an incorrect assertion; cold sores are typically treated with **antiviral medications** (oral or topical) or symptom-relieving agents, not heat. - **Heat application** is not a recommended or effective treatment for cold sores.
Explanation: ***Acyclovir*** - The patient's symptoms of **burning, itching**, and a **vesicular rash around the orbit** are highly suggestive of **herpes zoster ophthalmicus**, a reactivation of the varicella-zoster virus (shingles). - **Antiviral medications** like acyclovir, valacyclovir, or famciclovir are the mainstay of treatment and should be initiated promptly (within 72 hours of rash onset) to reduce the severity and duration of the rash, prevent new lesions, and decrease the risk of post-herpetic neuralgia and ocular complications. *Removal of gluten-containing products from the diet* - This intervention is appropriate for **dermatitis herpetiformis**, an intensely pruritic, vesicular rash associated with **celiac disease**. - While the patient has mild diarrhea, his rash distribution and the characteristic burning/itching are inconsistent with dermatitis herpetiformis, and there is no evidence of underlying celiac disease. *Topical steroids* - Topical steroids are used for various inflammatory skin conditions but are **contraindicated** in viral infections like herpes zoster, especially around the eye, as they can worsen ocular involvement and viral replication. - They would not address the underlying viral etiology and could delay healing or increase complications. *Topical mupirocin* - **Mupirocin is an antibiotic** used for bacterial skin infections, such as impetigo or secondary bacterial infections of skin lesions. - The primary rash described is viral (vesicular), and there is no mention of signs of bacterial superinfection, such as pustules, purulent discharge, or increasing redness and warmth. *Oral steroids* - Oral steroids might be considered for severe cases of post-herpetic neuralgia or to reduce inflammation in specific circumstances, but they are generally **not recommended as primary therapy** for acute herpes zoster due to limited evidence of benefit and potential for adverse effects. - They also do not treat the underlying viral cause and can potentially suppress the immune system, which is generally undesirable in a viral infection.
Explanation: ***Acyclovir administration*** - This patient, with a history of **acute lymphoblastic leukemia (ALL)** and ongoing chemotherapy, is **immunocompromised**. The rash described, with **multiple crops of macules and papules**, excoriations, and crusted lesions, along with a preceding history of "pink eyes" (possibly conjunctivitis), is highly suggestive of **chickenpox (varicella)**. - Due to his immunocompromised state, chickenpox places him at high risk for severe and disseminated disease, including **varicella pneumonia** or **encephalitis**. **Intravenous acyclovir** is the treatment of choice in these patients to prevent life-threatening complications. *Symptomatic therapy* - While symptomatic relief (e.g., antipruritics) is part of care, it is **insufficient as the sole treatment** for an immunocompromised patient with suspected varicella. - Symptomatic therapy **does not address the underlying viral replication** or mitigate the risk of severe complications in this high-risk patient. *Immunoglobulin administration* - **Varicella-zoster immunoglobulin (VZIG)** may be given post-exposure to **prevent infection** in high-risk, unvaccinated individuals. - It is **not effective as treatment once symptoms** and rash have developed, as the infection is already established. *Penicillin V administration* - **Penicillin V** is an **antibiotic** used to treat **bacterial infections**, primarily those caused by streptococci or staphylococci. - Varicella is a **viral infection**, so penicillin V would be **ineffective** against the virus itself. *Vitamin A administration* - **Vitamin A supplementation** is primarily indicated in cases of **vitamin A deficiency**, often presenting with **night blindness** and **xerophthalmia**. - It has **no role in the treatment of viral infections** like varicella.
Explanation: ***Foscarnet*** - The presence of **recurrent, painful vesicular ulcerations** in an HIV-positive patient, especially with **gingivostomatitis-like symptoms** (sloughing gums, buccal mucosa), points to a severe **herpes simplex virus (HSV) infection**, likely resistant to nucleoside analogues given the **phosphotransferase mutation**. - **Foscarnet** is a pyrophosphate analog that directly inhibits viral DNA polymerase without requiring phosphorylation by viral thymidine kinase, making it effective against **acyclovir-resistant HSV** strains, which often develop resistance via mutations in viral phosphotransferases or thymidine kinase. *Acyclovir* - **Acyclovir** is a nucleoside analog that requires phosphorylation by viral thymidine kinase (a phosphotransferase) to become active. - A **mutation in viral phosphotransferases** would render the virus resistant to acyclovir, making it an ineffective treatment. *Famciclovir* - **Famciclovir** is a prodrug of penciclovir, which is also a nucleoside analog that requires phosphorylation by viral thymidine kinase for activation. - Similar to acyclovir, a **mutation in viral phosphotransferases** would lead to resistance and make famciclovir ineffective. *Cidofovir* - **Cidofovir** is a nucleotide analog that does not require phosphorylation by viral enzymes for its initial activation. - While it can be effective against some resistant strains, **foscarnet is generally preferred** for severe, resistant HSV infections as cidofovir is primarily used for **CMV retinitis** and is associated with significant nephrotoxicity. *Ganciclovir* - **Ganciclovir** is a nucleoside analog primarily used for **CMV infections**, and it also requires phosphorylation by viral kinases for activation. - It is not the first-line treatment for HSV, and the **phosphotransferase mutation** would likely confer resistance to ganciclovir as well.
Explanation: ***Inhibition of DNA polymerase*** - The patient's symptoms (fever, neck stiffness, drowsiness, focal seizure, temporal lobe hypodensities) and CSF findings (lymphocytic pleocytosis, elevated protein) are highly suggestive of **herpes simplex encephalitis (HSE)**. - The primary treatment for HSE is **acyclovir**, which works by inhibiting **viral DNA polymerase**. *Fusion inhibition* - This mechanism is characteristic of **antiviral drugs used for HIV**, such as enfuvirtide, which block the entry of the virus into host cells by preventing fusion of the viral and cellular membranes. - This mechanism is not relevant to the treatment of herpes simplex virus. *Nucleoside reverse transcriptase inhibition* - This mechanism is also primarily associated with **antiretroviral drugs for HIV** (e.g., zidovudine). - These drugs inhibit the enzyme **reverse transcriptase**, which HIV uses to convert its RNA into DNA. *Binding with ergosterol in the cell membrane* - This is the mechanism of action for certain **antifungal medications**, such as **amphotericin B** and **nystatin**, which bind to ergosterol in fungal cell membranes, leading to cell lysis. - This mechanism is not applicable to antiviral treatment for HSE. *Cell wall synthesis inhibition* - This mechanism describes the action of many **antibacterial agents** (e.g., penicillins, cephalosporins) that interfere with the formation of the bacterial cell wall. - This is not relevant to viral infections like HSE.
Explanation: ***Tenofovir*** - This patient has **chronic active hepatitis B infection**, as indicated by **positive HBsAg**, **HBeAg**, and elevated liver enzymes. Antiviral therapy with **tenofovir** is highly effective and appropriate to suppress viral replication. - The coexistence of **Systemic Lupus Erythematosus (SLE)** and **hydroxychloroquine** use increases the importance of managing HBV, as immunosuppression can lead to viral reactivation; tenofovir effectively targets the virus without significant interactions. *Acyclovir* - **Acyclovir** is an antiviral medication primarily used to treat infections caused by **herpes simplex virus (HSV)** and **varicella-zoster virus (VZV)**. - It has **no efficacy** against hepatitis B virus (HBV) and therefore would not be appropriate for this patient's condition. *Pegylated interferon-alpha* - **Pegylated interferon-alpha** is an immunomodulatory agent used to treat chronic hepatitis B and C; however, it has a **less favorable side effect profile** and is often reserved for patients who cannot tolerate or respond to nucleoside/nucleotide analogs. - The patient's underlying **SLE** could be **exacerbated by interferon**, making tenofovir a safer and more appropriate first-line choice given its better tolerability and potent antiviral effect. *Dolutegravir* - **Dolutegravir** is an **integrase inhibitor** used in the treatment of **HIV infection**. - It has **no antiviral activity** against the hepatitis B virus and is therefore not indicated for this patient's condition. *Sofosbuvir* - **Sofosbuvir** is a direct-acting antiviral agent primarily used to treat **chronic hepatitis C virus (HCV) infection**. - It is **not effective** against hepatitis B virus (HBV) and would not be the correct treatment for this patient.
Explanation: ***gp120*** - **gp120** is an **envelope glycoprotein** on the surface of HIV, responsible for binding to CD4 receptors on host cells. - Antibodies against **gp120** are generated during natural infection and are detected by diagnostic assays, making it a primary target for therapeutic antibody development. *p24* - **p24** is a **capsid protein** of HIV, forming the conical core of the virus, but it is not an envelope protein. - While antibodies against **p24** are produced during infection and are detectable, it's an internal protein, not exposed on the viral surface for direct neutralization. *CXCR4* - **CXCR4** is a **chemokine co-receptor** found on the surface of host cells (e.g., T-lymphocytes), used by some HIV strains (T-tropic) for entry. - It is a host cell protein, not an HIV viral protein, so it would not be a target for antibodies aiming to directly neutralize the virus. *CCR5* - **CCR5** is another **chemokine co-receptor** on host cells (e.g., macrophages, T-lymphocytes) used by other HIV strains (M-tropic) for viral entry. - Similar to CXCR4, it is a host cell protein, not an HIV envelope protein, and therefore not a direct target for neutralizing antibodies against the virus itself. *p17* - **p17** is an HIV **matrix protein** located just beneath the viral envelope, playing a role in viral assembly and budding. - Similar to p24, it is an internal structural protein, not an external envelope protein, making it less accessible for neutralizing antibodies.
Explanation: ***Cidofovir*** - The patient's presentation with **seeing specks and blurry vision** (floaters) along with a **CD4+ count of 27 cells/mL** strongly suggests **CMV retinitis**, a common opportunistic infection in advanced HIV/AIDS. - **Cidofovir** is a nucleotide analog that **does NOT require viral kinases for activation** - it remains unphosphorylated when mixed with HSV or CMV proteins, as stated in the question. - However, cidofovir **DOES require phosphorylation by host cellular kinases** (specifically cellular kinases, not viral kinases) to become the active triphosphate form. This matches the drug property showing it **becomes phosphorylated with human proteins**. - This unique activation mechanism (host-dependent, viral-independent) distinguishes it from other antivirals and matches the experimental findings described. *Foscarnet* - **Foscarnet** is also used for CMV retinitis and **does NOT require ANY phosphorylation** - neither viral nor host enzymes. - It acts as a **pyrophosphate analog** that directly inhibits viral DNA polymerase without requiring activation. - The drug properties show phosphorylation occurs with human proteins, which is **inconsistent with foscarnet** that remains unphosphorylated under all conditions. *Ganciclovir* - **Ganciclovir** requires phosphorylation by **viral kinase UL97 in CMV** (or thymidine kinase in HSV) for initial activation, followed by host kinases. - The drug properties state it remains unphosphorylated with CMV proteins, which is **inconsistent with ganciclovir's mechanism**. *Acyclovir* - **Acyclovir** is primarily used for **HSV and VZV infections**, not CMV retinitis in AIDS patients. - It requires initial phosphorylation by **viral thymidine kinase** (HSV-TK), which contradicts the finding that it remains unphosphorylated with HSV proteins. *Oseltamivir* - **Oseltamivir** is a **neuraminidase inhibitor** used for **influenza treatment**. - It has no role in CMV retinitis and does not act via phosphorylation-dependent DNA polymerase inhibition.
Explanation: ***Urolithiasis*** - The patient is receiving **indinavir**, a protease inhibitor known to cause **nephrolithiasis** (kidney stones) due to the drug's poor solubility. - Patients on indinavir should be well-hydrated to reduce the risk of stone formation. *Stevens-Johnson syndrome* - This severe skin reaction is more commonly associated with non-nucleoside reverse transcriptase inhibitors (NNRTIs) like **nevirapine** and **efavirenz**, or with sulfonamide antibiotics, rather than indinavir. - While possible with many drugs, it is not the *greatest risk* among the options for this specific regimen. *Hypersensitivity reaction* - While hypersensitivity can occur with many drugs, particularly abacavir (an NRTI not included in this regimen), it is not the most prominent or specific adverse effect for the given combination, especially indinavir. - Symptoms usually include fever, rash, and multi-organ involvement, which can be acute. *Chronic kidney disease* - While some antiretrovirals, particularly **tenofovir disoproxil fumarate (TDF)**, can cause renal tubular dysfunction and lead to chronic kidney disease, TDF is not part of this patient's regimen. - Indinavir's primary renal complication is acute stone formation, not typically chronic kidney disease in the absence of pre-existing conditions or other nephrotoxic drugs. *Pancreatitis* - Pancreatitis is a known adverse effect of some NRTIs, particularly **didanosine** and **stavudine**, neither of which are in this patient's treatment plan. - Lamivudine and zidovudine have a lower risk of pancreatitis compared to other NRTIs.
Explanation: ***Administer hepatitis B immunoglobulin and 3-dose regimen of hepatitis B vaccine*** - This patient had prior vaccination but current serology shows **negative HBsAb**, indicating **non-response** to the vaccine (failure to develop protective antibodies). - Given exposure to a hepatitis B positive patient, immediate post-exposure prophylaxis with **HBIG** is crucial for passive immunity and immediate protection. - A **complete 3-dose revaccination series** should be initiated simultaneously, as per **CDC/ACIP guidelines** for vaccine non-responders with occupational exposure [1]. - This provides both immediate passive protection (HBIG) and attempts to establish active immunity through revaccination [1]. *Revaccinate with 3-dose regimen of hepatitis B vaccine* - While revaccination is necessary due to the non-response, starting a 3-dose regimen alone without **HBIG** would leave the patient vulnerable during the initial period before vaccine response develops. - After high-risk exposure in a non-responder, both passive (HBIG) and active (vaccine) immunity are required. *Revaccinate with two doses of hepatitis B vaccine* - A 2-dose regimen is insufficient; the standard revaccination schedule for non-responders is **3 doses** at 0, 1, and 6 months [1]. - Additionally, this option lacks **HBIG** for immediate protection after the high-risk exposure. *Administer hepatitis B immunoglobulin* - **HBIG** alone provides immediate passive immunity, which is crucial given the recent exposure and the patient's non-immune status. - However, offering only HBIG without initiating active immunization (vaccine series) would leave the patient unprotected once the passive immunity wanes (approximately 3-6 months). - This approach fails to address the need for long-term protection through revaccination. *Administer hepatitis B immunoglobulin and single dose hepatitis B vaccine* - While HBIG is appropriate for immediate protection, giving only a **single dose** of vaccine is inadequate. - Standard post-exposure management for vaccine non-responders requires initiating a **complete 3-dose revaccination series**, not just one dose [1]. - A single dose would not provide adequate long-term protection for this non-responder.
Explanation: ***Ganciclovir*** - The patient's **positive pp65 antigen** confirms **cytomegalovirus (CMV) infection**, the most common viral infection in immunocompromised bone marrow transplant recipients. - This patient has **severe, life-threatening CMV pneumonitis** evidenced by hypoxia (O2 sat 93%), tachypnea, and diffuse bilateral interstitial infiltrates. - **Intravenous ganciclovir** is the **first-line treatment** for severe CMV disease due to its potent antiviral activity and reliable bioavailability in critically ill patients. *Valganciclovir* - **Valganciclovir** is an **oral prodrug of ganciclovir** with excellent bioavailability, but it is primarily reserved for **CMV prophylaxis** or **maintenance therapy** after initial IV treatment. - In this patient with **acute, severe CMV pneumonitis** requiring urgent intervention (hypoxia, respiratory distress), **IV ganciclovir is strongly preferred** for faster, more reliable drug delivery and higher tissue concentrations. *Levofloxacin* - This **fluoroquinolone antibiotic** treats **bacterial infections**, not viral pathogens like CMV. - The **positive pp65 antigen** specifically identifies CMV as the etiology, and negative galactomannan rules out invasive aspergillosis. - While empiric antibacterial coverage might be considered in febrile neutropenic patients, the clear viral diagnosis directs therapy toward antivirals. *Azithromycin* - **Azithromycin** is a macrolide antibiotic effective against atypical bacteria (Mycoplasma, Chlamydophila) and some other bacterial pathogens. - It has **no activity against CMV** and would not address the confirmed viral etiology. *Acyclovir* - **Acyclovir** is effective against **herpes simplex virus (HSV)** and **varicella-zoster virus (VZV)**, but has **poor activity against CMV** due to inadequate phosphorylation by CMV enzymes. - The positive pp65 antigen specifically indicates CMV, for which ganciclovir (not acyclovir) is required.
Explanation: ***Sofosbuvir/Velpatasvir*** - This is a **pan-genotypic direct-acting antiviral (DAA)** combination that is highly effective for all HCV genotypes and is recommended as a **first-line regimen** by AASLD/IDSA guidelines. - It is particularly appropriate for patients with **significant fibrosis or compensated cirrhosis**, as seen in this patient with bridging fibrosis on biopsy. - The standard treatment duration is **12 weeks** for treatment-naive patients, with high sustained virologic response (SVR) rates exceeding 95%. - It has a favorable safety profile and is effective regardless of baseline viral load or HCV genotype. *Glecaprevir/Pibrentasvir* - While this is also an excellent **pan-genotypic DAA** combination with high efficacy, it requires longer treatment duration (12-16 weeks) in patients with **significant fibrosis (F3)** or cirrhosis. - It is **contraindicated in decompensated cirrhosis (Child-Pugh B/C)**, making sofosbuvir-based regimens more universally applicable for patients with advanced liver disease. - The often-cited 8-week treatment advantage applies primarily to patients **without cirrhosis**, not to this patient with bridging fibrosis. *Sofosbuvir/Ledipasvir* - This combination is primarily effective for **HCV genotypes 1, 4, 5, and 6** but is not truly pan-genotypic like sofosbuvir/velpatasvir. - It is an acceptable alternative for genotype 1 infection but has been largely superseded by newer pan-genotypic regimens that don't require genotype testing. - Treatment duration is typically **12 weeks** for treatment-naive patients without cirrhosis. *Ribavirin monotherapy* - **Ribavirin** is a nucleoside analog with **minimal antiviral activity** against HCV when used as monotherapy. - It is only used as an **adjunctive agent** in combination with DAAs in specific circumstances (e.g., treatment-experienced patients with cirrhosis). - Major side effect is **hemolytic anemia**, requiring close monitoring. *Interferon monotherapy* - **Interferon-alpha** monotherapy has very **poor efficacy** for chronic HCV, with sustained virologic response (SVR) rates of only 10-20%. - It is associated with significant side effects including flu-like symptoms, depression, and cytopenias, making it **poorly tolerated**. - This regimen is now **obsolete** and has been replaced by highly effective and well-tolerated DAA combinations.
Explanation: ***IV acyclovir*** - The combination of **seizures**, **vesicular lesions** on the face and trunk, **profuse lacrimation**, and **lymphocytic pleocytosis** in the CSF in a newborn is highly suggestive of **Neonatal Herpes Simplex Virus (HSV) infection**. - **Acyclovir** is the antiviral drug of choice for treating HSV infections, especially severe systemic or CNS forms in neonates, to reduce morbidity and mortality. *IV ceftriaxone* - **Ceftriaxone** is a broad-spectrum antibiotic primarily used to treat bacterial infections like neonatal sepsis or meningitis, but it has no activity against viruses. - The patient's clinical presentation, including vesicular lesions and specific CSF findings, points away from a primary bacterial infection. *Pyrimethamine* - **Pyrimethamine** is an antiparasitic drug used in combination with sulfadiazine for treating **toxoplasmosis**. - The patient's symptoms are not consistent with congenital toxoplasmosis, which typically involves chorioretinitis, hydrocephalus, and intracranial calcifications. *IV ganciclovir* - **Ganciclovir** is an antiviral primarily used for treating **cytomegalovirus (CMV) infections**, particularly in immunocompromised patients. - While CMV can cause CNS disease in neonates, the characteristic **vesicular lesions** and **profuse lacrimation** are far more indicative of HSV. *IV vancomycin* - **Vancomycin** is an antibiotic used to treat severe bacterial infections, especially those caused by **methicillin-resistant Staphylococcus aureus (MRSA)** or other gram-positive bacteria. - It is not effective against viral infections, and the clinical picture does not suggest a bacterial etiology requiring vancomycin.
Explanation: ***Famciclovir*** - This patient presents with hallmark symptoms and signs of **herpes zoster** (shingles), including **unilateral severe, sharp chest pain**, **dermatomal distribution**, and a **painful stripe of vesicular lesions**. Given his recent **chemotherapy** for CLL, he is **immunocompromised**, increasing his risk for severe or complicated zoster. - **Famciclovir** is an antiviral agent effective against **varicella-zoster virus (VZV)** and is a first-line treatment for shingles. It offers **better oral bioavailability** (~77%) compared to acyclovir (~15-30%) and **less frequent dosing** (3 times daily vs 5 times daily), which improves compliance. - While the patient has **renal impairment** (Cr 3.0 mg/dL), famciclovir can still be used with **appropriate dose adjustment** based on creatinine clearance. Treatment should be initiated promptly (ideally within 72 hours of rash onset) to reduce severity, duration, and risk of **postherpetic neuralgia**. *Acyclovir* - **Acyclovir** is also an effective first-line antiviral for herpes zoster and would be an acceptable alternative, particularly when given **intravenously** in severely immunocompromised patients. - However, oral acyclovir has **poor bioavailability** (15-30%) and requires **5 times daily dosing**, which may reduce compliance. Like famciclovir, it requires **dose adjustment** in renal impairment. - Both acyclovir and famciclovir are appropriate choices; the question favors famciclovir based on **pharmacokinetic advantages** (better bioavailability and dosing convenience), though either would require renal dose adjustment in this patient. *Rest and NSAIDs* - **Rest and NSAIDs** provide only symptomatic pain relief and do not address the underlying **VZV infection**. - Without antiviral therapy, especially in an **immunocompromised patient**, the disease severity and duration are prolonged, and the risk of complications including **postherpetic neuralgia**, **dissemination**, and **visceral involvement** is significantly increased. *Cardiac catheterization* - The **normal ECG** and **unremarkable chest radiograph**, combined with the presence of a **dermatomal vesicular rash**, make acute coronary syndrome highly unlikely. - The **unilateral, sharp, localized chest pain** with **tenderness to palpation** and **characteristic rash** clearly indicates herpes zoster, not a cardiac etiology, making catheterization unnecessary and inappropriate. *Ganciclovir* - **Ganciclovir** is primarily indicated for **cytomegalovirus (CMV) infections**, particularly in immunocompromised patients (e.g., transplant recipients, HIV/AIDS). - While ganciclovir has some activity against VZV, it is **not first-line** for herpes zoster. Additionally, it carries significant risk of **myelosuppression** (bone marrow toxicity), which is particularly problematic in this patient already receiving **chemotherapy** for CLL.
Explanation: ***Enfuvirtide*** - **Enfuvirtide** is a **fusion inhibitor** that binds specifically to the **gp41 subunit** of the HIV envelope glycoprotein. - By binding to gp41, Enfuvirtide prevents the **fusion of the viral and host cell membranes**, thereby blocking viral entry and replication. *Zidovudine* - **Zidovudine** is a **nucleoside reverse transcriptase inhibitor (NRTI)**. - It works by inhibiting the enzyme **reverse transcriptase**, which is responsible for converting viral RNA into DNA. *Saquinavir* - **Saquinavir** is a **protease inhibitor (PI)**. - This drug works by inhibiting the **HIV protease enzyme**, which is crucial for cleaving viral polyproteins into functional proteins required for viral assembly and maturation. *Amantadine* - **Amantadine** is an **antiviral agent** primarily used to treat **influenza A**. - It works by interfering with the **M2 proton channel** of the influenza A virus, thus inhibiting viral uncoating. *Rimantadine* - **Rimantadine** is another **antiviral agent** used for **influenza A treatment and prophylaxis**. - Similar to amantadine, it targets the **M2 proton channel** of the influenza A virus, preventing the uncoating step necessary for viral replication.
Explanation: ***HIV medication-related*** - The patient's recent **HIV diagnosis** and presentation with **acute pancreatitis** (elevated amylase/lipase, epigastric pain radiating to the back, imaging findings) strongly suggest drug-induced pancreatitis. - Many **antiretroviral drugs**, particularly nucleoside reverse transcriptase inhibitors (NRTIs) like didanosine (ddI) and stavudine (d4T), are known to cause pancreatitis as a serious side effect. *Abdominal trauma* - The patient **denies any history of trauma**, and there are no external signs or specific imaging findings suggestive of blunt abdominal injury. - While trauma can cause pancreatitis, it is typically associated with a direct injury to the abdomen, which is absent here. *Alcohol use* - Although alcohol is a common cause of pancreatitis, the patient reports only **moderate social alcohol use**, which typically does not lead to acute pancreatitis in the absence of chronic heavy use. - The acute onset in a patient with recent HIV diagnosis and new medications makes drug-induced pancreatitis a more probable cause. *Congenital anomaly of the pancreas* - Conditions like **pancreas divisum** can predispose to recurrent pancreatitis, but there's no mention of a history of recurrent episodes in this patient. - Imaging (CT) would usually reveal anatomical abnormalities if present, but the report only mentions an edematous pancreas and peripancreatic fluid, not a congenital anomaly. *Metformin* - While metformin can cause various gastrointestinal side effects (e.g., nausea, diarrhea), it is **not generally associated with acute pancreatitis**. - Its mechanism of action does not involve direct pancreatic damage or inflammation.
Explanation: ***No medical treatment required*** - The patient's symptoms (right eye irritation, redness, watery discharge, follicular conjunctivitis, enlarged preauricular lymph nodes) are characteristic of **viral conjunctivitis**, which is typically **self-limiting**. - Treatment is primarily **supportive**, focusing on comfort measures like cool compresses, as antiviral medications are usually not indicated unless there's evidence of herpes simplex keratitis, which is not present here. *Acyclovir ointment* - **Acyclovir ointment** is an antiviral medication used to treat **herpes simplex keratitis** or conjunctivitis. - The patient's presentation of **watery discharge** and **follicular conjunctivitis** is more consistent with adenovirus, but there are **no corneal lesions** or other features suggestive of herpes simplex virus. *Oral erythromycin* - **Oral erythromycin** is an antibiotic used for systemic bacterial infections or for chlamydial conjunctivitis in neonates. - It is **not indicated** for viral conjunctivitis, and there is no evidence of a bacterial infection in this case, given the watery discharge and lack of purulence. *Levofloxacin drops* - **Levofloxacin drops** are a topical antibiotic used to treat **bacterial conjunctivitis**. - The patient's **watery discharge**, follicular reaction, and enlarged preauricular lymph nodes are classic signs of **viral conjunctivitis**, which does not respond to antibiotics. *Tetracycline ointment* - **Tetracycline ointment** is an antibiotic primarily used for bacterial conjunctivitis, particularly for **Chlamydia trachomatis** infections. - The clinical presentation with watery discharge and follicular conjunctivitis, in this context, is more suggestive of a viral etiology than bacterial or chlamydial, making antibiotics inappropriate.
Explanation: **Monoclonal antibody against CD20+** - The patient's presentation with **progressive multifocal leukoencephalopathy (PML)**, characterized by neurological deficits, white matter lesions, and a positive PCR for a **double-stranded, circular DNA virus (JC virus)**, strongly suggests a compromised immune system, likely due to chronic lymphocytic leukemia (CLL) treatment. - **Rituximab**, a monoclonal antibody that targets **CD20+ B-lymphocytes**, is a common treatment for CLL and is associated with an increased risk of PML due to its immunosuppressive effects. *Monoclonal antibody against EGFR* - **Epidermal growth factor receptor (EGFR) inhibitors** (e.g., cetuximab, erlotinib) are used in various cancers but are not typically associated with the development of PML. - Side effects of EGFR inhibitors commonly include skin rashes, diarrhea, and stomatitis, not the neurological symptoms seen here. *Tyrosine kinase inhibitor* - **Tyrosine kinase inhibitors (TKIs)**, such as imatinib or ibrutinib, are used in certain leukemias and other cancers. - While TKIs can have various side effects, they are not primarily known for causing B-cell depletion or an increased risk of PML like rituximab. *Topoisomerase II inhibitor* - **Topoisomerase II inhibitors** (e.g., etoposide, doxorubicin) are chemotherapy agents that induce DNA damage. - Their primary toxicities include myelosuppression, cardiotoxicity (for anthracyclines), and secondary malignancies, not opportunistic viral infections like PML. *Free radical formation* - **Free radical formation** is a mechanism of action for certain chemotherapeutic agents like **bleomycin** or **anthracyclines**, which cause DNA damage. - While these drugs have significant side effects, they are not typically linked to the selective immunosuppression that leads to PML in the context of CLL treatment.
Explanation: **Guanosine analog that preferably inhibits viral DNA polymerase** * The clinical presentation (difficulty breathing, bilateral crackles, blurred vision, retinal lesion, and positive HIV test in a young, promiscuous male) is highly suggestive of **Cytomegalovirus (CMV) retinitis**, a common opportunistic infection in advanced HIV. * The primary treatment for CMV retinitis is **ganciclovir**, which acts as a guanosine analog and selectively inhibits viral DNA polymerase, preventing CMV replication. * *Inhibits A-site tRNA binding during translation* * This mechanism of action describes the antibiotic **tetracycline**, which targets bacterial ribosomes. * It is not relevant for the treatment of a viral infection like CMV. * *Blocks CCR5 receptor preventing viral entry* * This mechanism describes **maraviroc**, an antiretroviral drug used to treat HIV by preventing the virus from entering CD4+ cells. * While the patient is HIV positive, this mechanism does not directly address the *ocular symptoms* caused by CMV. * *A neuraminidase inhibitor preventing release of viral progeny* * This mechanism describes drugs like **oseltamivir** and **zanamivir**, which are used to treat influenza by inhibiting the release of new viral particles. * It is not indicated for the treatment of CMV infection. * *Prevents viral uncoating* * This mechanism is characteristic of **amantadine** and **rimantadine**, which are used to treat influenza A by interfering with the uncoating process of the virus. * This mechanism does not apply to CMV treatment.
Explanation: ***LAV requires stricter requirements for cold chain maintenance as compared to a subunit vaccine*** - Live attenuated vaccines (LAVs) contain live, albeit weakened, viruses that can "die" if not stored properly, making them exceptionally **sensitive to temperature fluctuations** and requiring a stringent **cold chain** for stability. - Subunit vaccines, consisting of isolated viral components, are generally more **thermally stable** and have less demanding storage requirements, simplifying logistics. *LAV produces poorer immunological memory than a subunit vaccine as the later contains only specific immunogenic antigens* - This statement is incorrect as LAVs typically induce a **robust and long-lasting immune response** resembling natural infection, including strong cellular and humoral immunity and excellent immunological memory. - Subunit vaccines often require **multiple doses and adjuvants** to achieve a comparable, though sometimes less comprehensive, immune memory. *LAV cannot cause symptomatic infection in a immunocompetent person and, therefore, is as safe as a subunit vaccine* - This statement is false because while rare, LAVs can cause **mild, self-limiting infections** in immunocompetent individuals and can lead to more serious, even **symptomatic, disease in immunocompromised** individuals due to residual virulence. - Subunit vaccines, containing only specific antigens, **cannot replicate** and thus pose no risk of causing infection, making them generally safer for vulnerable populations. *LAV is equally safe as a subunit vaccine for administration to a pregnant woman* - This statement is incorrect; LAVs are generally **contraindicated in pregnant women** due to the theoretical, albeit minimal, risk of **fetal infection** from the replicating attenuated virus. - Subunit vaccines are generally considered **safe for use during pregnancy** as they contain no live virus and cannot cause infection in the mother or fetus. *LAV has a less potential for immunization errors as compared to a subunit vaccine* - This statement is incorrect. Both vaccine types can be subject to immunization errors, but LAVs can have unique errors such as **improper reconstitution** or administration to contraindicated individuals, leading to potential adverse events. - Subunit vaccines, while also susceptible to administration errors, generally have a **lower risk of severe outcomes** from such errors due to their non-replicating nature.
Explanation: ***Urolithiasis*** - **Indinavir**, a **protease inhibitor**, is known to cause **crystalluria** and **nephrolithiasis** (kidney stones) in a significant number of patients due to its poor solubility in urine. - Patients on indinavir therapy are often advised to drink plenty of fluids to prevent stone formation. *Pancreatitis* - While some antiretroviral drugs, particularly **didanosine** (a nucleoside reverse transcriptase inhibitor), can cause pancreatitis, it is not a primary adverse effect of the specific combination given (lamivudine, zidovudine, indinavir). - Lamivudine and zidovudine generally have a lower risk of pancreatitis compared to didanosine. *Stevens-Johnson syndrome* - This severe cutaneous reaction is more commonly associated with non-nucleoside reverse transcriptase inhibitors (NNRTIs) like **nevirapine** or certain sulfonamides, but not typically with indinavir or the NRTIs lamivudine and zidovudine. - It involves widespread blistering and shedding of the skin and mucous membranes. *Hepatotoxicity* - Hepatotoxicity can occur with many antiretroviral drugs, especially NNRTIs (e.g., nevirapine) and some protease inhibitors, but it's not the *most likely* adverse effect for *indinavir* specifically. - The combination used does not have hepatotoxicity as its most prominent or common severe side effect. *Hyperpigmentation of palms and soles* - This side effect, often referred to as **zebrafish skin**, is primarily associated with **zidovudine** (an NRTI), but typically involves the nails and mucous membranes more prominently than palms and soles. - While possible, indinavir's unique adverse effect of urolithiasis is more distinct and directly related to the drug's properties.
Explanation: ***Fat-soluble vitamin overuse*** - The patient's history of her mother giving her daughter medicine to prevent her from getting sick, combined with symptoms like **papilledema** and elevated **intracranial pressure (ICP)**, strongly suggests **vitamin A toxicity**. - **Pseudotumor cerebri (idiopathic intracranial hypertension)**, often induced by vitamin A overuse, manifests with severe headaches, papilledema, and normal CSF glucose. *Bacterial meningitis* - Would typically present with **fever**, **nuchal rigidity**, and altered mental status, which are not described. - Lumbar puncture would show **decreased glucose** and **elevated protein** in the cerebrospinal fluid. *Viral meningitis* - While it can cause headaches and photophobia, **papilledema** and chronic worsening symptoms are less typical. - Cerebrospinal fluid analysis would show **normal glucose** but usually **elevated lymphocytes**, which isn't explicitly mentioned here. *Subarachnoid hemorrhage* - Characteristically causes a sudden onset "thunderclap" headache, often with **meningeal irritation** and neurological deficits. - Cerebrospinal fluid would typically contain **xanthochromia** (yellow discoloration due to bilirubin), which is not present. *Migraine headache* - Although it fits the description of a severe, unilateral headache with **photophobia**, it does not explain the **papilledema** or elevated intracranial pressure. - Migraines are not typically associated with cerebral edema on MRI.
Explanation: ***Oral acyclovir*** - The patient's symptoms (stinging, burning, constant facial pain, history of chickenpox, recent MS flare, and prednisone use) are highly suggestive of a **herpes zoster (shingles) reactivation**, despite prior vaccination. Early antiviral therapy, such as oral acyclovir, is crucial to reduce the duration and severity of the acute pain and, more importantly, to prevent **postherpetic neuralgia (PHN)**. - Starting acyclovir within 72 hours of symptom onset significantly decreases the risk of developing long-term pain complications like PHN by inhibiting viral replication and reducing nerve damage. *Carbamazepine* - This medication is a first-line treatment for **trigeminal neuralgia**, characterized by brief, excruciating, shock-like pain triggered by specific stimuli, which differs from the patient's constant burning pain. - While it can manage neuropathic pain, it does not address the underlying viral cause of herpes zoster and will not prevent PHN. *Topical corticosteroids* - Topical corticosteroids are primarily used to reduce **inflammation and itching** associated with skin rashes, such as those that may occur with herpes zoster. - They do not possess antiviral properties and therefore will not *prevent* the long-term neurological complication of PHN. *Amitriptyline* - Amitriptyline, a tricyclic antidepressant, is a common treatment for **postherpetic neuralgia** once it has already developed, as well as other neuropathic pain conditions. - However, it is not used to prevent the development of PHN in the acute phase of a herpes zoster infection; early antiviral treatment is the preventative strategy. *Gabapentin* - Gabapentin is an effective medication for established **neuropathic pain**, including postherpetic neuralgia. - Similar to amitriptyline, gabapentin treats the *symptoms* of PHN once it is present but does not prevent its occurrence when used during the acute viral stage.
Explanation: ***Acyclovir*** - This patient presents with **acute confusion and fever** without an obvious infectious source, negative meningeal signs, and normal initial imaging, highly suggestive of **herpes simplex encephalitis (HSE)**. - HSE is a **medical emergency** with high mortality (70-80%) if untreated, but mortality drops to 20-30% with early acyclovir therapy. - **Empiric acyclovir must be started immediately** upon clinical suspicion of HSE, **without waiting for diagnostic confirmation**. - Standard management includes obtaining CSF for PCR **concurrently** with starting acyclovir, but treatment should never be delayed for diagnostic testing. - The best next step in **management** is initiating acyclovir; CSF PCR is obtained for confirmation but does not delay treatment. *PCR of the cerebrospinal fluid* - **CSF PCR for HSV** is the gold standard **diagnostic test** for HSE with high sensitivity (96%) and specificity (99%). - While lumbar puncture should be performed to obtain CSF for PCR, this is a **diagnostic step** that should be done **concurrently** with starting acyclovir, not instead of it. - The question asks for best next step in **management**, not diagnosis—acyclovir therapy takes precedence. - Delaying acyclovir while awaiting diagnostic confirmation significantly increases morbidity and mortality. *Vancomycin, ceftriaxone, ampicillin, and dexamethasone* - This broad-spectrum antibiotic regimen is empiric therapy for **bacterial meningitis** and should be considered in patients with fever and altered mental status. - However, the **absence of meningeal signs** (negative nuchal rigidity, negative jolt accentuation) makes bacterial meningitis less likely. - In practice, when HSE is suspected but bacterial meningitis cannot be excluded, both antimicrobial regimens may be initiated empirically, but the primary concern here is HSE given the clinical presentation. *MRI of the head* - **MRI with FLAIR sequences** is highly sensitive for HSE and typically shows **temporal lobe involvement** (especially medial temporal lobes). - However, MRI findings may be **normal early in the disease course** (first 48-72 hours). - MRI is useful for supporting the diagnosis but should **not delay empiric acyclovir therapy**. - Obtaining MRI before treatment would be inappropriate given the time-sensitive nature of HSE. *CT angiogram of the head and neck* - CT angiography evaluates vascular structures and is indicated for suspected **stroke, aneurysm, or vascular dissection**. - This patient lacks focal neurological deficits, signs of acute stroke, or vascular risk factors that would prioritize vascular imaging. - The presentation with fever and diffuse encephalopathy points toward an infectious/inflammatory process rather than a vascular etiology.
Explanation: **TNF-α** - The clinical presentation with **chronic lower back pain**, morning stiffness, **limited lumbar spine range of motion**, positive **HLA-B27**, and **fusion of lumbar vertebrae and sacroiliac joints** is highly suggestive of **ankylosing spondylitis**. - Biologic medications, specifically **TNF-α inhibitors**, are a cornerstone of treatment for ankylosing spondylitis, especially when conventional therapies like NSAIDs fail. The mention of screening for latent tuberculosis reactivation strongly points to the use of a TNF-α inhibitor, as these drugs increase the risk of TB reactivation. *mTOR kinase* - **mTOR inhibitors** (e.g., sirolimus, everolimus) are primarily used as **immunosuppressants** in organ transplantation and in some cancers. - They are not a first-line or common treatment for ankylosing spondylitis or other spondyloarthropathies. *Calcineurin* - **Calcineurin inhibitors** (e.g., cyclosporine, tacrolimus) are potent **immunosuppressants** used in transplant rejection prevention and some autoimmune diseases. - While they can have immunosuppressive effects, they are not the primary target for the treatment of ankylosing spondylitis. *NF-κB* - **NF-κB** is a crucial transcription factor involved in inflammation and immune responses. While relevant to inflammatory conditions, directly targeting NF-κB is not the primary mechanism of action for the most effective biologic therapies used in ankylosing spondylitis. - **Glucocorticoids** can inhibit NF-κB, but they are not the main long-term treatment for ankylosing spondylitis, and the context points to a biologic. *Inosine monophosphate dehydrogenase* - **Inosine monophosphate dehydrogenase (IMPDH) inhibitors** (e.g., mycophenolate mofetil) block purine synthesis, thus inhibiting lymphocyte proliferation. - These drugs are used in **transplantation** and some **autoimmune diseases** (e.g., lupus, vasculitis) but are not typically used for ankylosing spondylitis.
Explanation: ***Pneumocystis jirovecii*** - This patient's **CD4+ T-lymphocyte count of 162/mm3** is below the threshold of 200/mm3, indicating a significant risk for **Pneumocystis pneumonia (PCP)**, an opportunistic infection in HIV. - Prophylaxis with **trimethoprim-sulfamethoxazole (TMP-SMX)** is highly effective and recommended for HIV patients with CD4 counts less than 200/mm3. *Cytomegalovirus* - **CMV prophylaxis** is generally not recommended for all HIV patients, even with low CD4 counts, unless there is evidence of active disease or extremely low CD4 counts (e.g., <50/mm3) with high viral loads. - While CMV can cause end-organ disease in advanced HIV, routine primary prophylaxis is not standard for this CD4 level. *Toxoplasma gondii* - **Toxoplasma prophylaxis** is indicated for HIV patients with **CD4 counts less than 100/mm3** who are also seropositive for *Toxoplasma gondii*. - The patient's CD4 count is 162/mm3, and there's no mention of *Toxoplasma* serostatus, making it less appropriate than PCP prophylaxis. *Mycobacterium tuberculosis* - The patient's **interferon-gamma release assay (IGRA) is negative**, which suggests no **latent tuberculosis infection (LTBI)**, thus making primary prophylaxis unnecessary at this time. - While HIV patients are at high risk for TB, prophylaxis is typically given for LTBI or as secondary prophylaxis for those who have completed treatment for active TB. *Aspergillus fumigatus* - **Aspergillus infections** are typically seen in patients with severe **neutropenia** or those receiving high-dose corticosteroids, not primarily in HIV patients based solely on CD4 count. - Routine prophylaxis for Aspergillus is not recommended for HIV patients, even with low CD4 counts, unless there is a specific risk factor.
Explanation: ***Zidovudine*** - **Zidovudine (AZT)** is a nucleoside reverse transcriptase inhibitor (NRTI) that is well-known for causing **myelosuppression**, particularly **neutropenia** and **anemia**. - In an HIV-positive patient with a low **CD4+ count** and concurrent treatment for **CMV retinitis** (which often involves drugs like ganciclovir that can also cause myelosuppression), adding zidovudine significantly increases the risk of severe neutropenia. *Ritonavir* - **Ritonavir** is a protease inhibitor primarily known for its role as a **pharmacokinetic booster** in HIV therapy, enhancing the levels of other antiretrovirals. - While it can cause gastrointestinal side effects and hepatotoxicity, **myelosuppression** and specifically neutropenia are not its primary or common adverse effects. *Raltegravir* - **Raltegravir** is an integrase strand transfer inhibitor (INSTI) generally well-tolerated with a favorable side effect profile. - Common side effects include headache, nausea, and fatigue, but it is **not typically associated with significant myelosuppression** or neutropenia. *Foscarnet* - **Foscarnet** is an antiviral agent used for treating CMV retinitis, particularly in cases of ganciclovir resistance. - Its major dose-limiting toxicities include **nephrotoxicity** and **electrolyte disturbances** (e.g., hypocalcemia, hypomagnesemia), not primarily neutropenia. *Efavirenz* - **Efavirenz** is a non-nucleoside reverse transcriptase inhibitor (NNRTI) associated with central nervous system side effects such as dizziness, insomnia, and vivid dreams. - While skin rash and hepatotoxicity can occur, **bone marrow suppression** leading to neutropenia is not a characteristic or frequent adverse effect of efavirenz.
Explanation: ***Vm will decrease, Km will stay the same*** - **Tenofovir** is a **nucleotide reverse transcriptase inhibitor (NtRTI)** that acts as a **competitive substrate analog**. Once phosphorylated to **tenofovir diphosphate**, it competes with natural deoxyadenosine triphosphate (dATP) for incorporation into the viral DNA chain. - Upon incorporation, tenofovir acts as a **chain terminator** because it lacks a 3'-hydroxyl group necessary for further DNA elongation. This **irreversibly inactivates** the enzyme-DNA complex, effectively reducing the **maximum reaction rate (Vm)** by decreasing the amount of functional enzyme available. - Since tenofovir competes with natural nucleotides but doesn't affect the enzyme's affinity for its natural substrates, the **Michaelis constant (Km) remains unchanged**. The inhibition pattern shows characteristics of competitive inhibition with irreversible chain termination. *Vm will decrease, Km will increase* - This pattern is characteristic of a **mixed inhibitor**, where the inhibitor can bind to both the free enzyme and the enzyme-substrate complex, reducing Vm while also decreasing substrate affinity (increasing Km). - While tenofovir does reduce Vm through chain termination, it does not significantly alter the enzyme's affinity for natural nucleotide substrates. Tenofovir diphosphate **competes directly** with dATP rather than binding to an allosteric site, so Km remains unchanged rather than increasing. *Vm and Km will both decrease* - This effect is typical of an **uncompetitive inhibitor**, which binds only to the **enzyme-substrate complex**. Uncompetitive inhibitors decrease both Vm and Km, implying increased apparent substrate affinity. - Tenofovir does not function as an uncompetitive inhibitor. As a **nucleotide analog**, it competes for the active site and gets incorporated into DNA, causing chain termination. This mechanism does not involve preferential binding to the enzyme-substrate complex that would decrease Km. *Vm will stay the same, Km will increase* - This describes **pure reversible competitive inhibition**, where the inhibitor competes with substrate for the active site but can be overcome by increasing substrate concentration, leaving Vm unchanged. - While tenofovir diphosphate does **compete with natural nucleotides**, it acts as a **suicide substrate** that causes irreversible chain termination once incorporated. This **permanently inactivates** the enzyme-DNA complex, reducing the pool of functional enzyme and thus decreasing Vm, distinguishing it from simple reversible competitive inhibition. *Vm and Km will both increase* - An increase in both Vm and Km is not a standard pattern for enzyme inhibition and would suggest **reduced substrate affinity** with paradoxically increased catalytic capacity, which is inconsistent with any inhibitory mechanism. - This scenario contradicts the **intended therapeutic effect** of tenofovir, which is to inhibit HIV reverse transcriptase activity and prevent viral replication, not to enhance enzyme function.
Explanation: ***Immunoglobulin and vaccination administration*** - This patient's symptoms, especially **agitation**, **hydrophobia** (refusal to drink due to painful spasms), **drooling**, and history of **cave exploration** (bat exposure), are highly suggestive of **rabies**. - **Post-exposure prophylaxis (PEP)** for rabies involves immediate administration of both **rabies immunoglobulin (RIG)** and the **rabies vaccine** to prevent the development of the disease, which is almost universally fatal once symptoms appear. *Corticosteroid therapy* - Corticosteroids are **immunosuppressants** and would not be effective in preventing a viral infection like rabies; in some cases, they might even worsen the outcome. - They are primarily used to reduce inflammation in various autoimmune or inflammatory conditions, which is not the primary issue here. *Plasmapheresis* - Plasmapheresis is a procedure used to remove harmful antibodies or other substances from the blood and is not indicated for preventing or treating acute viral infections like rabies. - It is typically considered for conditions such as **Guillain-Barré syndrome** or certain autoimmune diseases. *Antifungal therapy* - Antifungal medications target **fungal infections**, which do not align with the patient's symptoms or the suggested exposure (bats in caves are associated with rabies, not typically fungal meningitis in this acute, severe presentation). - The rapid progression and neurological symptoms are characteristic of a viral etiology, not a fungal one. *Antiviral therapy* - There are **no effective antiviral drugs** for rabies prevention or treatment; the virus has a unique pathogenesis that does not respond to standard antiviral medications. - **Specific post-exposure prophylaxis** with rabies immunoglobulin and vaccine is the only effective preventive measure after potential exposure, and must be given before symptom onset.
Explanation: ***Efavirenz and Delavirdine*** - Both **efavirenz** and **delavirdine** are **non-nucleoside reverse transcriptase inhibitors (NNRTIs)** and have been associated with an increased risk of **teratogenicity**, particularly neural tube defects, in early pregnancy. - Due to these potential risks, they are generally **avoided during the first trimester of pregnancy** or when pregnancy is being planned, unless no other suitable alternative exists. *Nelfinavir and Saquinavir* - **Nelfinavir** and **saquinavir** are **protease inhibitors (PIs)** which are generally considered **safe for use during pregnancy** and are often part of recommended regimens for HIV-positive pregnant women. - They do not carry the same significant teratogenic risks as some other antiretroviral drugs. *Abacavir and Didanosine* - **Abacavir** and **didanosine** are **nucleoside reverse transcriptase inhibitors (NRTIs)** commonly used in HIV treatment. - While didanosine can be associated with lactic acidosis and pancreatitis, neither drug is typically considered to significantly increase the risk of birth defects. *Lopinavir and Ritonavir* - **Lopinavir/ritonavir** is a commonly used **protease inhibitor (PI)** combination that is generally considered **safe and effective for use throughout pregnancy** to prevent mother-to-child transmission. - It does not have known significant teratogenic effects. *Lamivudine and Nevirapine* - **Lamivudine** is an **NRTI** and **nevirapine** is an **NNRTI**. Lamivudine is generally considered safe during pregnancy. - Nevirapine is used in pregnancy, particularly if started after the first trimester, and generally has a more favorable safety profile regarding birth defects compared to efavirenz and delavirdine.
Explanation: ***Neuraminidase inhibitor*** - The patient's symptoms (malaise, fatigue, myalgias, headache, fever) with rapid onset in **late December**, especially given her exposure to children in an elementary school, are highly suggestive of **influenza**. - **Neuraminidase inhibitors** (e.g., oseltamivir, zanamivir) are the primary antiviral treatment for influenza, preventing the release of new viral particles from infected cells. *Reverse transcriptase inhibitor* - **Reverse transcriptase inhibitors** are primarily used in the treatment of **HIV infection**, which typically presents with a different constellation of symptoms and has a chronic rather than acute course. - This class of drugs targets the enzyme **reverse transcriptase**, which is not central to the influenza virus replication cycle. *RNA-dependent polymerase inhibitor* - While **baloxavir marboxil** (an RNA polymerase inhibitor) is FDA-approved for influenza treatment, **neuraminidase inhibitors** remain the most commonly used first-line agents. - In this clinical scenario without specific contraindications to neuraminidase inhibitors, oseltamivir or zanamivir would be the most likely agents prescribed. *DNA polymerase inhibitor* - **DNA polymerase inhibitors** are primarily used to treat **DNA viral infections** such as herpes viruses (e.g., acyclovir for HSV/VZV) or cytomegalovirus (e.g., ganciclovir). - Influenza is an **RNA virus** and therefore does not have a DNA polymerase for replication. *Protease inhibitor* - **Protease inhibitors** are a class of antiviral drugs predominantly used in the treatment of **HIV** and **Hepatitis C virus** infections. - Influenza viruses do not have a protease target that is typically inhibited by these drugs for therapeutic purposes.
Explanation: ***Replace didanosine with lamivudine*** - **Didanosine (ddI)** is known to cause **pancreatitis** as a significant adverse effect and should be discontinued if pancreatitis occurs. Replacing it with **lamivudine** is appropriate because lamivudine is also a nucleoside reverse transcriptase inhibitor (NRTI) and does not typically cause pancreatitis. - This step ensures that the medication causing the adverse reaction is removed while maintaining an effective anti-retroviral regimen *Frequent monitoring of CD4+ cell count* - While **CD4+ cell count monitoring** is crucial in HIV management to assess immune status and treatment efficacy, it is a routine part of HIV care and not a specific precaution for resolving pancreatitis. - Pancreatitis itself does not directly alter the *frequency* of CD4+ monitoring beyond standard HIV care protocols. *Add ritonavir to the HIV treatment regimen* - **Ritonavir** is a **protease inhibitor** and a strong pharmacokinetic booster, but adding it without specific indication or considering potential drug interactions is not the appropriate first step for managing pancreatitis. - It might increase the risk of other side effects or alter the metabolism of other antiretrovirals, and is not directly related to managing didanosine-induced pancreatitis. *Replace efavirenz with nevirapine* - **Efavirenz** and **nevirapine** are both **non-nucleoside reverse transcriptase inhibitors (NNRTIs)**. Replacing efavirenz with nevirapine is a change within the NNRTI class and is not indicated as a direct result of didanosine-induced pancreatitis. - Both drugs have their own side effect profiles, and switching between them would be based on issues specific to the NNRTI chosen, not the pancreatitis induced by didanosine. *Check hemoglobin levels* - While **zidovudine (AZT)** can cause **bone marrow suppression** leading to **anemia** and requiring hemoglobin monitoring, this is a known side effect of zidovudine itself, not a specific precaution *after pancreatitis resolves* that was induced by didanosine. - Checking hemoglobin would be part of routine monitoring for patients on zidovudine, but not the primary intervention for pancreatitis resolution in this context.
Explanation: ***Hemolytic anemia*** - **Ribavirin** is a guanosine analog that causes **hemolytic anemia** by accumulating in red blood cells and disrupting their metabolism. - This side effect is common and often dose-limiting, requiring close monitoring of hemoglobin levels. *Leukopenia* - **Leukopenia** (low white blood cell count) is a known side effect of **interferon therapy**, not primarily ribavirin. - While patients on combination therapy may experience this, it's more directly attributable to the interferon component. *Rash* - **Rash** can occur with various medications, including combination hepatitis C therapy, but it is not a hallmark or most likely side effect specifically associated with **ribavirin**. - It's generally less clinically significant than hemolytic anemia. *Drug-associated lupus* - **Drug-associated lupus** is a rare and severe reaction, sometimes linked to certain drugs like **hydralazine** or **procainamide**, but not typically associated with **ribavirin** or hepatitis C treatment. - Its occurrence probability is much lower than hemolytic anemia. *Hyperthyroidism* - **Thyroid dysfunction**, including **hyperthyroidism** and hypothyroidism, is a known side effect of **interferon therapy**, due to its immunomodulatory effects. - It is not a primary side effect of **ribavirin**.
Explanation: ***Inhibits RNA-dependent RNA polymerase*** - Sofosbuvir is a **nucleotide analog** that targets the **HCV RNA-dependent RNA polymerase (NS5B)**, essential for viral replication. - By inhibiting NS5B, it acts as a **chain terminator**, preventing the synthesis of new viral RNA strands. *Inhibits reverse transcriptase* - This mechanism is characteristic of drugs used to treat **HIV infection**, as reverse transcriptase is an enzyme found in retroviruses. - Hepatitis C virus (HCV) is an **RNA virus** that replicates via an RNA intermediate, not DNA, and thus does not utilize reverse transcriptase. *Inhibits integrase* - Integrase inhibitors are a class of drugs primarily used in the treatment of **HIV infection**, preventing the viral DNA from integrating into the host genome. - HCV replication does not involve an integration step into the host DNA, making this mechanism irrelevant for HCV treatment. *Inhibits synthesis of DNA-dependent DNA polymerase* - Inhibition of DNA-dependent DNA polymerase primarily targets organisms that replicate their DNA, such as **herpesviruses** or host cell processes. - HCV is an RNA virus and does not synthesize or rely on a DNA-dependent DNA polymerase for its replication cycle. *Inhibits hepatitis C protease* - While **protease inhibitors (e.g., -previr drugs)** are an important class of anti-HCV drugs, sofosbuvir specifically targets the viral **RNA polymerase (NS5B)**. - Protease inhibitors block the **NS3/4A protease**, which is responsible for cleaving the large HCV polyprotein into functional proteins.
Explanation: ***Alpha-interferon*** - This patient's presentation with **multiple skin lesions** in the setting of **HIV infection** and a **CD4+ count of 450/mm3** is highly suggestive of **Kaposi's sarcoma (KS)**. The biopsy findings of **spindle-shaped cells** and **lymphocytic infiltrate** further support this diagnosis. Though chemotherapy regimens are common for widespread KS, **alpha-interferon** is an appropriate treatment for **localized or less aggressive KS**, especially given his relatively preserved immune status (CD4+ count). - Alpha-interferon exerts **antineoplastic effects** by inhibiting cell proliferation and stimulating host immune responses against tumor cells, making it suitable for managing KS. *Ganciclovir* - **Ganciclovir** is an antiviral agent primarily used for the treatment of **cytomegalovirus (CMV) infections**, such as retinitis or colitis, especially in immunocompromised patients. - The patient's symptoms are not consistent with CMV disease, and the biopsy findings point away from a viral infection typically treated by ganciclovir. *Amphotericin B* - **Amphotericin B** is a broad-spectrum antifungal medication used to treat severe, **invasive fungal infections** like candidiasis, aspergillosis, or cryptococcosis. - The clinical presentation and biopsy results (spindle cells, lymphocytic infiltrate) do not indicate a fungal etiology. *Doxycycline* - **Doxycycline** is a tetracycline antibiotic with broad antibacterial activity, used for infections like Lyme disease, chlamydia, or acne. It also has anti-inflammatory properties but is not a primary treatment for Kaposi's sarcoma. - While some research explores its potential in KS due to its anti-angiogenic properties, it is not considered first-line pharmacotherapy for established Kaposi's sarcoma at this stage. *Nitazoxanide* - **Nitazoxanide** is an antiparasitic medication used to treat certain parasitic infections, such as cryptosporidiosis and giardiasis. - The patient's symptoms and biopsy findings are not indicative of a parasitic infection.
Explanation: ***Oseltamivir*** - This patient presents with classic symptoms of **influenza** (fever, chills, headache, dry cough, malaise, myalgias) during an outbreak, making **antiviral therapy** like oseltamivir appropriate. - She is at risk for complications due to her history of **asthma**, and early treatment (within 48 hours of symptom onset) can reduce illness severity and duration. *Inactivated influenza vaccine* - An **inactivated influenza vaccine** is a **preventive measure** and is not effective as a treatment once symptoms have already begun. - Vaccination in the past fall would have been appropriate, but it will not help resolve her current acute illness. *Amantadine* - **Amantadine** is an older antiviral agent active only against **influenza A**, and its use is limited due to widespread **resistance**. - It is generally not recommended for routine influenza treatment due to its narrow spectrum and resistance profile. *Live attenuated influenza vaccine* - The **live attenuated influenza vaccine (LAIV)** is a **preventive measure** indicated for healthy individuals aged 2-49 years and is contraindicated in individuals with **asthma**. - Like the inactivated vaccine, it is not used for treating active influenza infection. *Supportive therapy only* - While supportive care (analgesia, hydration) is important, relying solely on it is not the most appropriate step given the patient's **risk factors** (asthma) and the availability of effective antiviral treatment. - Early antiviral therapy can reduce serious complications in at-risk individuals.
Explanation: ***A killed vaccine as soon as possible after exposure*** - This patient's symptoms (fever, headache, confusion, hallucinations, agitation with water) and exposure history (bats) are highly suggestive of **rabies**. - **Post-exposure prophylaxis (PEP)** for rabies includes a **killed rabies vaccine** administered in a series along with **rabies immune globulin (RIG)**, which should be given as soon as possible after exposure. - The vaccine series is typically given on days 0, 3, 7, and 14, with immunocompromised patients receiving a fifth dose on day 28. - When initiated promptly, rabies PEP is **nearly 100% effective** at preventing disease progression, but once symptoms appear (as in this patient), rabies is almost invariably fatal. *Oseltamivir within one week of exposure* - **Oseltamivir** is a neuraminidase inhibitor used to treat **influenza**, not rabies. - While influenza can cause fever and confusion, the agitation with water (**hydrophobia**) and bat exposure history are pathognomonic for rabies. *Doxycycline for one month after exposure* - **Doxycycline** is an antibiotic used for bacterial infections such as **Lyme disease** or **leptospirosis**. - The neurological symptoms, particularly hydrophobia, and the clinical course are not consistent with these bacterial conditions. *A toxoid vaccine within ten days of exposure* - **Toxoid vaccines** (e.g., tetanus, diphtheria) protect against diseases caused by bacterial toxins. - They are not relevant for preventing **viral infections** like rabies, which requires a killed or inactivated viral vaccine. *Venom antiserum within hours of exposure* - **Venom antiserum** neutralizes toxins from **envenomation** (snake or spider bites). - Bats do not produce venom, and this treatment is irrelevant for rabies prevention.
Explanation: ***Inhibition of neuraminidase*** - The patient's symptoms (fever, body aches, malaise, dry cough, conjunctivitis, rhinorrhea, erythematous tonsils), exposure history (daycare contact), and diagnosis of an **enveloped orthomyxovirus** strongly indicate **influenza**. - **Neuraminidase inhibitors** (e.g., oseltamivir, zanamivir) prevent viral release from infected cells by cleaving sialic acid residues, effectively halting the spread of the virus. *Inhibition of protease* - **Protease inhibitors** are primarily used to treat **HIV infection**, preventing the cleavage of viral polyproteins into functional enzymes. - This mechanism is not relevant for influenza virus, which utilizes different replication enzymes and strategies. *Inhibition of proton translocation* - **M2 inhibitors** (amantadine, rimantadine) act by blocking the viral M2 ion channel, which is essential for **viral uncoating** within the host cell. - However, due to widespread resistance, especially among influenza A strains, these drugs are generally not recommended for routine use. *Inhibition of nucleoside reverse transcriptase* - **Nucleoside reverse transcriptase inhibitors (NRTIs)** are a class of antiretroviral drugs used to treat **HIV infection** by inhibiting the reverse transcription of viral RNA into DNA. - This mechanism is specific to retroviruses and has no role in the treatment of orthomyxovirus infections like influenza. *Inhibition of DNA polymerase* - **DNA polymerase inhibitors** (e.g., acyclovir, ganciclovir) are used to treat **herpesvirus infections** by interfering with viral DNA replication. - Influenza is an RNA virus and does not rely on DNA polymerase for its replication cycle.
HIV protease inhibitors
Practice Questions
HIV reverse transcriptase inhibitors
Practice Questions
HIV integrase inhibitors
Practice Questions
HIV entry inhibitors
Practice Questions
Hepatitis B antivirals
Practice Questions
Hepatitis C direct-acting antivirals
Practice Questions
Influenza antivirals
Practice Questions
Herpesvirus antivirals
Practice Questions
Cytomegalovirus antivirals
Practice Questions
Respiratory syncytial virus therapies
Practice Questions
Broad-spectrum antivirals
Practice Questions
Antiretroviral resistance
Practice Questions
Antiviral prophylaxis strategies
Practice Questions
Get full access to all questions, explanations, and performance tracking.
Start For Free