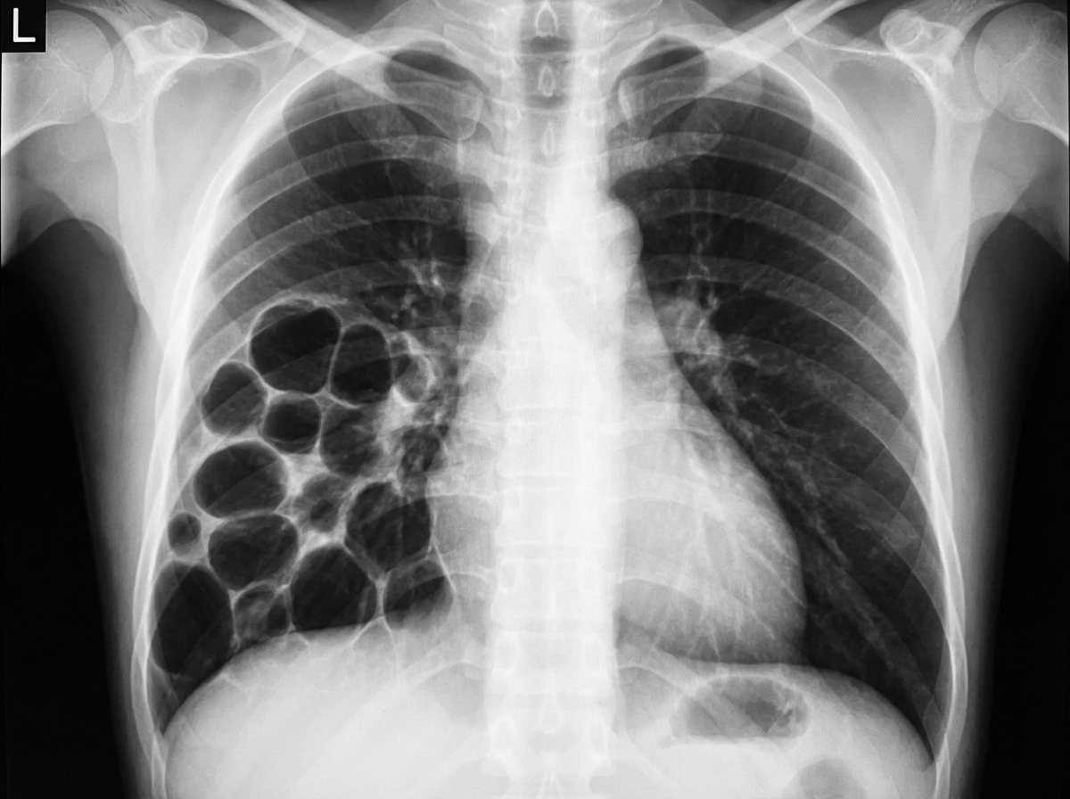
A 3-year-old child presents with respiratory distress and a history of recurrent respiratory infections. Based on the provided imaging, what is the most likely diagnosis?

A 2 -month-old child presents with the following condition as shown in the image. What is the ideal management protocol?

A 13-year-old boy presents with jaundice, fatigue, muscle stiffness, tremors, and behavioral changes. Examination reveals an enlarged liver and spleen. A Kayser-Fleischer ring was noted. What is the definitive diagnostic test?
A patient presents with an X-ray showing cardiomegaly, along with symptoms of hypotonia, macroglossia, hepatomegaly, and floppy baby syndrome. The X ray of the infant is shown below. What is the most likely diagnosis?

What is the diagnosis based on the image shown 

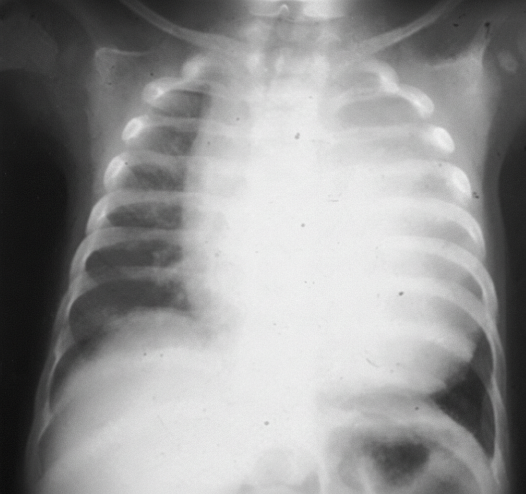
A 6-week-old baby is brought in by the mother with complaints of vomiting. An X-ray shows a single bubble appearance. What is the most likely diagnosis?

A 3-year-old child presents to the OPD with a history of recurrent urinary tract infections, poor urinary stream, and difficulty voiding. The radiological image is shown below. What is the most appropriate management?

A 6-week-old child with a history of vomiting undergoes an ultrasound, which shows an antral nipple sign or target sign, as shown in the image. What is the diagnosis?

A 2-year-old boy presents with a history of recurrent urinary tract infections, poor urinary stream, and failure to thrive. A voiding cystourethrogram (VCUG) is performed, and the images provided show dilated posterior urethra and a thickened bladder wall with a keyhole appearance. Based on these findings, the diagnosis of posterior urethral valves (PUV) is made. What is the management for this condition?

A child presents with a webbed neck, short stature, and a low posterior hairline. What is the most likely diagnosis?
Explanation: ***CPAM (Congenital Pulmonary Airway Malformation)*** - The imaging shows **cystic lesions** within the lung parenchyma, which are characteristic of CPAM. These lesions can cause **respiratory distress** and predispose to **recurrent infections**. - The age of the child (3 years old) and the history of recurrent respiratory infections are consistent with CPAM, as these malformations often manifest with symptoms in early childhood. *Lung abscess* - A lung abscess typically presents as a **cavity with an air-fluid level** and surrounding consolidation, usually in a single, well-defined area. - While recurrent infections can occur, the widespread cystic appearance on imaging makes an abscess less likely than CPAM. *Pyopneumothorax* - Pyopneumothorax is characterized by the presence of both **pus and air in the pleural space**, leading to a visible air-fluid level that occupies the pleural cavity. - The imaging does not show evidence of gas and fluid within the pleural space, nor the typical chest wall separation seen in pneumothorax. *CDH (Congenital Diaphragmatic Hernia)* - CDH involves the **herniation of abdominal contents** into the chest cavity, displacing lung tissue and often causing severe respiratory distress from birth due to pulmonary hypoplasia. - The images show cystic changes within the lung parenchyma, not abdominal organs in the chest, and the age of presentation makes a new diagnosis of uncorrected CDH less likely, as it usually presents as a neonatal emergency. *Pulmonary sequestration* - Pulmonary sequestration is a congenital malformation characterized by **non-functioning lung tissue with aberrant systemic arterial supply**, typically from the aorta. - While it can present with recurrent infections, the imaging typically shows a **solid or mixed solid-cystic mass**, often in the lower lobes with visible feeding vessels on contrast imaging, rather than the predominantly multicystic appearance seen in CPAM.
Explanation: ***Medical management*** - The image shows **epicanthal folds**, which are normal in many Asian infants and children. They are **congenital, benign skin folds** that cover the inner corner of the eye. - In a 2-month-old child, these folds are a normal variant and typically **recede with age**. No medical intervention, surgical or otherwise, is usually required. *Operate immediately* - **No medical indication** for immediate surgery as epicanthal folds are not a pathological condition requiring urgent correction. - Surgical intervention for cosmetic purposes is typically considered much later in life, if at all, when facial features are more developed. *Surgery after 6 months of age* - Epicanthal folds are **still a normal finding** in infants up to 6 months of age and often persist for several years. - Premature surgical correction could be unnecessary as the folds may resolve naturally with the development of the **nasal bridge**. *Surgery after 2 years of age* - While epicanthal folds can still be present at 2 years of age, surgery is **rarely indicated** unless they cause significant vision problems (e.g., pseudostrabismus) or severe cosmetic concerns that persist into later childhood. - By this age, many children will have developed a more prominent nasal bridge, which can lessen the appearance of the folds naturally. *Refer to pediatric ophthalmology for evaluation* - While specialist referral might be considered if there are concerns about **vision impairment or true strabismus**, isolated epicanthal folds in a 2-month-old infant are a **normal anatomical variant** that does not require specialist evaluation. - Referral would be appropriate only if there were functional concerns beyond the cosmetic appearance of the folds.
Explanation: ***Hepatic parenchymal copper concentration*** - This is considered the **gold standard** for diagnosing **Wilson's disease**, as it directly measures the accumulation of copper in the liver, which is the hallmark of the condition. - A concentration of **>250 mcg/g of dry liver weight** is diagnostic of Wilson's disease, irrespective of other laboratory findings. *Urinary copper* - While **elevated 24-hour urinary copper excretion** is a common finding in Wilson's disease, it can also be influenced by other conditions and may not always be definitively diagnostic on its own. - It is a **screening tool** and part of the diagnostic workup, but not the definitive diagnostic test as it's an indirect measure of copper overload. *Serum ceruloplasmin* - **Low serum ceruloplasmin levels** are characteristic of Wilson's disease because ceruloplasmin is the primary copper-carrying protein in the blood. - However, ceruloplasmin levels can be **normal in some Wilson's patients**, especially those presenting with hepatic manifestations, and can be low in other conditions like severe liver failure or malabsorption. *Slit lamp examination* - A **slit lamp examination** is used to identify **Kayser-Fleischer rings**, which are corneal copper deposits. - While their presence is highly suggestive of Wilson's disease, especially with neurological symptoms, they **may be absent in up to 30-50% of patients** with hepatic-only presentations, and their absence does not rule out the disease. *Genetic testing for ATP7B mutation* - **Molecular genetic testing** can identify mutations in the ATP7B gene, which encodes the copper-transporting ATPase. - While highly specific for confirming Wilson's disease and useful for family screening, it is a **confirmatory test** rather than the definitive diagnostic test, as over 500 different mutations exist and not all are identified in routine testing. - Hepatic copper measurement remains the diagnostic standard as it directly demonstrates the pathophysiologic defect.
Explanation: ***Pompe's disease*** - Pompe's disease (Type II glycogen storage disease) is characterized by a deficiency of **alpha-glucosidase**, leading to **glycogen accumulation** in lysosomes. - This accumulation results in **cardiomegaly**, **hypotonia** ("floppy baby"), **hepatomegaly**, and **macroglossia**, which perfectly match the clinical presentation. *Ebstein anomaly* - This is a congenital heart defect involving the **tricuspid valve**, leading to its displacement into the right ventricle. - While it causes cardiomegaly, it does not typically present with the systemic features like **hypotonia, macroglossia, or hepatomegaly** described. *Transposition of great arteries* - This is a complex congenital heart defect where the **aorta and pulmonary artery are switched**, resulting in two separate circulatory systems. - It causes severe cyanosis and cardiomegaly but does not explain the widespread glycogen storage symptoms such as **hypotonia** or **hepatomegaly**. *Von Gierke's disease* - **Von Gierke's disease** (Type I glycogen storage disease) is caused by a deficiency of **glucose-6-phosphatase**. - It primarily affects the **liver and kidneys**, causing severe hypoglycemia, hepatomegaly, and **nephromegaly**, but typically not significant cardiomegaly or profound hypotonia. *Congenital hypothyroidism* - Can present with **macroglossia, hypotonia, and hepatomegaly** similar to Pompe's disease. - However, the **massive cardiomegaly** seen on X-ray is not typical of hypothyroidism, and other features like prolonged jaundice, constipation, and umbilical hernia would be more prominent.
Explanation: ***Bladder exstrophy*** - The image distinctly shows an **exposed urinary bladder** on the abdominal wall, a hallmark of bladder exstrophy. - This congenital anomaly results from a **failure of midline closure** of the infraumbilical abdominal wall and bladder. *Omphalocele* - An omphalocele involves protrusion of **abdominal viscera** (intestines, liver) into the base of the umbilical cord. - The herniated organs are typically **covered by a sac** composed of peritoneum and amnion, which is absent in the image. *Umbilical hernia* - An umbilical hernia is a protrusion of abdominal contents through the **umbilical ring**, but the skin remains intact and covers the defect. - The image clearly shows an **exposed organ** without skin coverage, ruling out an umbilical hernia. *Gastroschisis* - Gastroschisis involves the **evisceration of intestines** through a full-thickness abdominal wall defect, usually to the right of the umbilical cord. - Unlike the image, the defect in gastroschisis is typically **much smaller** and primarily involves the bowel, not the bladder, and there is no covering sac. *Epispadias* - Epispadias is a **urethral defect** where the urethral opening is on the dorsal (upper) surface of the penis or anterior bladder neck. - While epispadias is part of the **exstrophy-epispadias complex** and often associated with bladder exstrophy, it does not present with an **exposed bladder** on the abdominal wall as seen in the image.
Explanation: ***Congenital hypertrophic pyloric stenosis (CHPS)*** - The **single bubble appearance** observed in the X-ray, along with vomiting in a 6-week-old, is characteristic of an obstruction at the gastric outlet due to **pyloric stenosis**. The "bubble" represents the dilated stomach. - Infants with CHPS typically present with **non-bilious projectile vomiting** around 3-6 weeks of age, often accompanied by good appetite. *Duodenal atresia* - This condition classically presents with a **"double bubble" sign** on X-ray, representing dilation of the stomach and the proximal duodenum. - Vomiting is usually **bilious** and occurs earlier, often from birth. *Annular pancreas* - Annular pancreas can cause duodenal obstruction, leading to a **"double bubble" sign** similar to duodenal atresia. - The presentation would also be earlier, typically with **bilious vomiting** from birth or shortly thereafter. *Jejunal atresia* - Jejunal atresia would result in **multiple dilated loops of small bowel** proximal to the obstruction with air-fluid levels, rather than a single bubble. - The vomiting would be **bilious** and abdominal distension would be more prominent. *Malrotation with midgut volvulus* - This presents with **bilious vomiting** and can occur at any age, though commonly in the first few weeks of life. - X-ray findings include a **"corkscrew" or "whirl" sign** on contrast studies, or a gasless abdomen if complete obstruction occurs. - Unlike the single bubble of pyloric stenosis, malrotation typically shows abnormal bowel gas patterns or a paucity of gas in the abdomen.
Explanation: ***Endoscopic ablation*** - The image shows a distended bladder with a dilated, elongated posterior urethra and a narrow stream of contrast beyond the bladder neck, characteristic findings of **posterior urethral valves (PUV)**. - **Endoscopic ablation (incision or fulguration)** of the valves is the definitive treatment for PUV to relieve obstruction and prevent further kidney damage. - This is the **gold standard primary treatment** for PUV in children who are large enough to undergo the procedure safely. *Dilation of urethra* - **Dilation** is generally ineffective because PUV are folds of tissue that require incision rather than simple stretching. - This approach does not address the underlying anatomical obstruction caused by the valves and could potentially cause damage to the urethra. *Dilation of urethra and bladder* - **Dilation of the urethra** is not an effective treatment for PUV. The bladder is already dilated due to the obstruction, and further dilation would not resolve the issue. - This approach would not remove the obstruction and could worsen bladder function or lead to further complications like reflux. *Conservative* - **Conservative management** with watchful waiting is not appropriate for PUV, as untreated obstruction can lead to progressive and irreversible kidney damage, bladder dysfunction, and recurrent UTIs. - Timely intervention is crucial to preserve renal function and improve long-term outcomes in boys with PUV. *Vesicostomy* - **Vesicostomy** (temporary bladder diversion) is reserved for specific scenarios such as neonates or very young infants too small for safe endoscopic ablation, severe hydronephrosis with renal failure, or failed primary ablation. - In this **3-year-old child**, endoscopic ablation is preferred as the primary definitive treatment rather than temporary diversion, which would require a second procedure later.
Explanation: ***Congenital pyloric stenosis*** - The ultrasound findings of an **antral nipple sign** and **target sign** are classic indicators of **hypertrophic pyloric stenosis**. - This condition presents with **projectile vomiting** in infants, typically between 3-6 weeks of age, due to hypertrophy of the pyloric muscle. *Umbilical hernia* - An **umbilical hernia** is a protrusion of abdominal contents through the umbilical ring. It is usually diagnosed clinically and presents as a bulge, not with vomiting. - Ultrasound for an umbilical hernia would show bowel loops or omentum protruding through the abdominal wall defect, not the specific pyloric signs described. *Small bowel obstruction* - While small bowel obstruction can cause vomiting, the ultrasound findings would typically show **dilated loops of bowel** and a **transition point**, not an antral nipple or target sign specifically at the pylorus. - Other clinical features, such as abdominal distention and absence of stool, would also be more prominent. *Jejunal atresia* - **Jejunal atresia** is a congenital anomaly where part of the jejunum is underdeveloped or absent, leading to a complete obstruction. - Ultrasound would reveal **dilated loops of small bowel**, typically without peristalsis past the obstruction, and polyhydramnios antenatally, but not the specific pyloric ultrasound signs. *Duodenal atresia* - **Duodenal atresia** is a congenital obstruction of the duodenum that typically presents with bilious vomiting soon after birth. - The characteristic ultrasound finding is the **"double bubble" sign**, representing a distended stomach and proximal duodenum, not the target or antral nipple sign seen at the pylorus.
Explanation: ***Endoscopic valve ablation*** - This is the **definitive treatment** for posterior urethral valves (PUV) as it directly addresses the anatomical obstruction. - Ablating the valves with a **cystoscope** relieves the outflow obstruction, preventing further damage to the bladder and kidneys. *Antibiotic prophylaxis and monitoring* - While important for managing recurrent UTIs and preventing future infections in children with PUV, it does **not address the underlying anatomical obstruction**. - Without surgical intervention, the obstruction would persist, leading to progressive urinary tract damage despite antibiotic use. *Suprapubic cystostomy* - This procedure involves placing a catheter directly into the bladder via the abdominal wall to **divert urine**. - It is typically a **temporary measure** used for initial decompression in severely ill patients or those with complete obstruction, not the definitive management. *Urinary diversion with vesicostomy* - Vesicostomy creates an opening between the bladder and abdominal wall for temporary urinary diversion. - This may be used in **very young infants** or critically ill patients as a temporizing measure, but **endoscopic ablation remains the definitive treatment**. *Observation with follow-up imaging* - **Observation is not appropriate** for symptomatic PUV due to the risk of progressive and irreversible renal damage. - The condition requires **prompt intervention** to relieve the obstruction and prevent long-term complications like renal failure.
Explanation: ***Turner syndrome*** - **Turner syndrome** is characterized by the presence of a **single X chromosome (45,XO)** and is associated with a **webbed neck**, **short stature**, and a **low posterior hairline**. - Other classic features include **gonadal dysgenesis**, **cardiac anomalies** (e.g., coarctation of the aorta), and **renal anomalies**. - **Occurs only in females** due to the chromosomal abnormality. *Edwards syndrome* - **Edwards syndrome** (Trisomy 18) is characterized by severe developmental delays, a **rocker-bottom feet deformity**, **micrognathia**, and **clenched hands with overlapping fingers**. - **Webbed neck** and **short stature** are not primary distinguishing features of Edwards syndrome. *Patau syndrome* - **Patau syndrome** (Trisomy 13) is associated with severe midline defects, including **cleft lip and palate**, **polydactyly**, **microphthalmia**, and **holoprosencephaly**. - It does not typically present with a **webbed neck** or a **low posterior hairline**. *Down syndrome* - **Down syndrome** (Trisomy 21) is typically characterized by **upslanting palpebral fissures**, a **single palmar crease**, **intellectual disability**, and **cardiac defects**. - While **short stature** can be present, the classic combination of a **webbed neck** and **low posterior hairline** is not characteristic of Down syndrome. *Noonan syndrome* - **Noonan syndrome** shares phenotypic similarities with Turner syndrome, including **webbed neck**, **short stature**, and **cardiac defects** (especially pulmonary stenosis). - However, it occurs in **both males and females** with a **normal karyotype** and is caused by mutations in genes of the RAS-MAPK pathway. - Key differentiating features include **pectus excavatum**, **cryptorchidism in males**, and the absence of gonadal dysgenesis.
Explanation: ***Hypochloremic metabolic alkalosis*** - The persistent **vomiting** in CHPS leads to a significant loss of gastric acid (HCl), causing profound **hypochloremia** and an increase in serum bicarbonate. - This loss of stomach acid results in a shift towards alkalinity, manifesting as a **metabolic alkalosis**. - **Hypokalemia** also develops due to renal compensation mechanisms and urinary potassium losses. *Mixed acid-base disorder with hyperkalemia* - While electrolyte imbalances can be complex, **hyperkalemia** is not a characteristic finding; rather, **hypokalemia** is common due to renal compensation for metabolic alkalosis. - A **mixed acid-base disorder** is less specific than the classic hypochloremic metabolic alkalosis seen in CHPS. *Metabolic acidosis with hyperchloremia* - **Metabolic acidosis** would imply a gain of acid or loss of alkali, which is contrary to the loss of acid from vomiting in CHPS. - **Hyperchloremia** is also incorrect; the characteristic finding is **hypochloremia** due to the loss of gastric HCl. *Respiratory alkalosis with hyponatremia* - **Respiratory alkalosis** is caused by hyperventilation and is not directly related to the pathophysiology of CHPS. - While **hyponatremia** can occur in severe dehydration, it is not the primary or most characteristic electrolyte derangement in CHPS, which is marked by hypochloremia and hypokalemia. *Hyperchloremic metabolic acidosis with hypokalemia* - This combines incorrect elements: **hyperchloremia** and **metabolic acidosis** are opposite to what occurs in CHPS. - While **hypokalemia** is correct, the acid-base and chloride abnormalities are wrong. - CHPS causes **hypochloremia** and **metabolic alkalosis**, not hyperchloremia and acidosis.
Explanation: ***Bone mineral density*** - **Pancreatic enzyme replacement therapy (PERT)** improves digestion and absorption of nutrients, including fat-soluble vitamins like **vitamin D** and calcium. - Improved nutrient absorption directly leads to better **bone mineralization** and increased **bone mineral density**, addressing the malabsorption-related bone issues common in **cystic fibrosis (CF)**. *Hypoglycemia* - **PERT** primarily addresses **exocrine pancreatic insufficiency**, improving the digestion of carbohydrates, fats, and proteins. - While CF can eventually lead to **CF-related diabetes mellitus (CFRD)** with **hyperglycemia**, PERT does not directly treat endocrine dysfunction or regulate blood glucose levels. - **Hypoglycemia** is not a typical manifestation of CF; PERT's role is in nutrient absorption, not blood glucose regulation. *A lack of respiratory infections* - **PERT** is specifically designed to alleviate symptoms related to **pancreatic insufficiency**, such as malabsorption and nutritional deficiencies. - It does not directly affect the underlying **CFTR gene defect** in the lungs, which is responsible for the thick mucus and susceptibility to **respiratory infections**. *Expression of the autosomal recessive mutations of CFTR gene* - **PERT** provides exogenous digestive enzymes to compensate for the lack of endogenous enzymes in individuals with **cystic fibrosis**. - It treats the symptoms of **pancreatic insufficiency** but does not alter the underlying **genetic mutation** or its expression. *Nasal polyps* - **Nasal polyps** are a common manifestation of **cystic fibrosis**, resulting from chronic inflammation and mucus accumulation in the nasal passages. - **PERT** targets digestive issues and has no direct impact on the development or resolution of **nasal polyps**.
Explanation: ***Reversal of left-to-right shunting*** - The presence of **fixed splitting of the second heart sound** is a classic sign of an **atrial septal defect (ASD)**, a left-to-right shunt. - Without adequate treatment, a long-standing left-to-right shunt can lead to **pulmonary hypertension** and eventual **Eisenmenger syndrome**, characterized by reversal of the shunt (right-to-left shunting) and cyanosis. *Extra-cardiac left-to-right shunting* - An ASD is an **intra-cardiac** shunt, not an extra-cardiac shunt. - **Extra-cardiac shunts** typically involve vessels outside the heart, such as a patent ductus arteriosus (PDA) which connects the aorta and pulmonary artery. *Acute endocarditis* - Patients with **secundum ASDs** (the type causing fixed splitting of S2) have a **low risk for infective endocarditis** and do not require prophylaxis according to current guidelines. - While the patient's history of **streptococcal pharyngitis** (sore throat at age 7) could suggest **rheumatic fever**, the key finding of fixed S2 splitting points to a congenital heart defect (ASD), not acquired valvular disease. *Mitral stenosis* - **Mitral stenosis** is a narrowing of the mitral valve, often caused by **rheumatic fever**. While the patient's history of a high fever following a sore throat at age 7 might suggest rheumatic fever, fixed splitting of S2 is not a characteristic finding of mitral stenosis. - Instead, mitral stenosis typically presents with a **diastolic murmur** and signs of left atrial enlargement. *Mitral regurgitation* - **Mitral regurgitation** is the leakage of blood backward through the mitral valve. Like mitral stenosis, it can be a complication of **rheumatic heart disease**. - However, fixed splitting of S2 is not a typical finding for isolated mitral regurgitation, which presents with a **holosystolic murmur** best heard at the apex with radiation to the axilla.
Explanation: ***Optic glioma*** - The constellation of **skin findings** (axillary/groin freckling, numerous hyperpigmented macules, soft painless nodules), seizure disorder, developmental delay, and Lisch nodules (iris nodules) are classic for **Neurofibromatosis type 1 (NF1)**. - Patients with NF1 are at significantly increased risk for various tumors, including **optic gliomas**, which can cause vision problems and are typically low-grade astrocytomas of the optic nerve. *Giant cell astrocytoma* - **Subependymal giant cell astrocytomas (SEGAs)** are characteristic tumors of **Tuberous Sclerosis Complex (TSC)**, not NF1. - While both NF1 and TSC are neurocutaneous syndromes, their hallmark features and associated tumors differ. *Renal cell carcinoma* - Although certain genetic syndromes can be associated with an increased risk of renal cell carcinoma, it is **not a primary feature or high-risk complication of NF1**. - **Von Hippel-Lindau disease** is a classic syndrome associated with an increased risk of renal cell carcinoma. *Glaucoma* - While glaucoma can be seen in some genetic conditions or as a secondary complication, it is **not a direct, highly prevalent feature or increased risk condition specifically associated with NF1**. - **Lisch nodules** (iris hamartomas) are characteristic of NF1, not glaucoma. *Non-Hodgkin lymphoma* - There is **no strong, consistent evidence** linking NF1 directly to a significantly increased risk of developing non-Hodgkin lymphoma. - While cancer risk is generally elevated in NF1, a specific predilection for non-Hodgkin lymphoma is not a hallmark.
Explanation: ***Upper gastrointestinal contrast series*** - The presence of **bilious vomiting** in a neonate is a surgical emergency until proven otherwise, as it suggests an **intestinal obstruction** distal to the ampulla of Vater. The x-ray showing no gas distal to the duodenum further supports a proximal small bowel obstruction. - An **upper GI contrast series** is the diagnostic study of choice to evaluate for **malrotation with midgut volvulus**, which is a life-threatening condition that can present with bilious vomiting in the first few weeks of life. - Classic findings include an abnormally positioned duodenojejunal junction and a "corkscrew" appearance of the small bowel if volvulus is present. *Abdominal ultrasound* - While ultrasound can identify conditions like **pyloric stenosis** (which presents with non-bilious projectile vomiting), it is less sensitive for diagnosing **malrotation and volvulus**. - In the context of bilious vomiting and absent distal gas, an upper GI contrast series is preferred due to its higher diagnostic yield for surgically urgent obstructions. *Emergent exploratory laparotomy* - Although **bilious vomiting** represents a surgical emergency, a definitive diagnosis is usually sought first to guide the surgical approach, especially when the patient is hemodynamically stable. - Immediate laparotomy without prior imaging would be indicated if the patient showed signs of peritoneal irritation, hemodynamic instability, or obvious bowel compromise, which are not present in this case. *Laparoscopy* - **Laparoscopy** is a surgical procedure and not a primary diagnostic imaging modality for neonatal bowel obstruction. - It may be used for definitive diagnosis and treatment after imaging studies have established a strong suspicion or confirmed malrotation, but it is not the appropriate next diagnostic step. *Flexible sigmoidoscopy* - **Flexible sigmoidoscopy** examines the rectum and sigmoid colon, which is irrelevant for a suspected **proximal intestinal obstruction** manifesting as bilious vomiting and absence of distal bowel gas. - This procedure would be indicated for lower GI pathology such as bleeding or colitis, not for upper GI obstruction.
Explanation: ***Malformation*** - **Developmental dysplasia of the hip (DDH)** is a classic example of a **malformation**, which is a morphologic defect resulting from an **intrinsically abnormal developmental process**. - In DDH, the **acetabulum develops with decreased concavity** (shallow socket) and the hip joint structures form abnormally during embryonic/fetal development. - The **Barlow maneuver** (adduction with posterior force) dislocates an unstable hip, while the **Ortolani maneuver** (abduction with anterior force) reduces the dislocated hip with an audible "clunk." - While mechanical factors like **breech position** or **oligohydramnios** may contribute, the primary defect is **abnormal formation of the acetabular socket and femoral head relationship** from the developmental process itself. *Deformation* - A **deformation** is an abnormal form, shape, or position of a body part caused by **mechanical forces acting on normally formed structures**. - Examples include **positional foot deformities** (metatarsus adductus from intrauterine constraint) or **plagiocephaly** (skull flattening from positioning). - In DDH, the acetabulum is **intrinsically malformed** (shallow), not a normally formed structure that was mechanically deformed. *Disruption* - A **disruption** is breakdown of or interference with an **originally normal developmental process**, resulting from an **extrinsic destructive force**. - Examples include **digital amputation from amniotic bands** or **porencephalic cysts** from vascular disruption. - DDH involves abnormal development from the start, not destruction of normally developing tissue. *Sequence* - A **sequence** is a pattern of multiple abnormalities arising from a **single primary malformation or disruption**. - Example: **Potter sequence** (renal agenesis → oligohydramnios → compressed facies, pulmonary hypoplasia, limb positioning defects). - DDH is a single structural defect, not a cascade of multiple abnormalities. *Mutation* - A **mutation** refers to a **change in DNA sequence** that can lead to genetic disorders. - While DDH can have genetic predisposition, the question asks about the **classification of the anatomic defect itself**, not the underlying cause. - The appropriate embryologic classification for the acetabular abnormality is malformation.
Explanation: ***Continuous, flow murmur best heard in the interscapular region*** - The clinical presentation, including **short stature**, a **broad chest with widely spaced nipples**, **short fourth metacarpal**, **kyphosis**, and **hypertension**, is highly suggestive of **Turner syndrome**. A common cardiac anomaly in Turner syndrome is **coarctation of the aorta**, which can manifest as a **continuous flow murmur** heard best in the interscapular region due to collateral circulation. - The significantly **elevated blood pressure** (155/94 mmHg) in a nine-year-old further supports the diagnosis of coarctation of the aorta, as **upper extremity hypertension** is a classic finding. *Continuous, machine-like murmur best heard in the left subclavicular region* - This describes a **Patent Ductus Arteriosus (PDA)**. While PDA can occur in individuals with Turner syndrome, it is not the most typical or defining cardiac finding, nor does it directly explain the severe hypertension observed. - The machine-like murmur of a PDA is usually heard best at the **left upper sternal border**, not predominantly in the left subclavicular region as described. *Systolic ejection murmur best heard at the left upper sternal border* - This murmur description is characteristic of **pulmonic stenosis** or, less commonly, **aortic stenosis**. While bicuspid aortic valve (a risk factor for aortic stenosis) can be associated with Turner syndrome, the overall clinical picture with marked hypertension points more strongly to coarctation. - The high blood pressure in this patient is more indicative of a **post-ductal obstructive lesion** like coarctation rather than isolated pulmonic or aortic stenosis. *Holosystolic, harsh-sounding murmur best heard at the left lower sternal border* - This describes a **Ventricular Septal Defect (VSD)**. VSDs are common congenital heart defects, but they are not specifically or primarily associated with Turner syndrome or the severe hypertension seen in this case. - While VSDs can cause pulmonary hypertension in the long term, they typically present with volume overload symptoms earlier and do not commonly present with systemic hypertension as the primary cardiovascular sign. *Late systolic, crescendo murmur at the apex with mid-systolic click* - This classic description points to **mitral valve prolapse (MVP)**. While MVP can be found incidentally in the general population, and sometimes in congenital heart disease, it is not a hallmark feature of Turner syndrome or the cause of the severe hypertension shown in this patient. - MVP is a relatively benign condition in most cases and would not account for the **high blood pressure** and other systemic features suggestive of coarctation of the aorta.
Explanation: ***Three sign*** - The **"3 sign"** (or "figure-3 sign") on chest X-ray is a **classic radiological finding** associated with **aortic coarctation**, created by pre-stenotic dilation, the indentation at the coarctation site, and post-stenotic dilation forming a "3" shape on the left heart border. - The clinical presentation of a mottled, cyanotic infant with **discrepant pulses** (**strong brachial, absent femoral**) and signs of heart failure (wet rales, hypotension, poor perfusion) is pathognomonic for **critical coarctation of the aorta**. - **Note:** In neonates with critical coarctation, chest X-ray more commonly shows **cardiomegaly and pulmonary edema/vascular congestion** rather than the "3 sign," which develops with chronic coarctation in older children and adults. However, among the given options, the "3 sign" is the radiological finding most specifically associated with this cardiac lesion. *Tram tracking* - **Tram tracking** (parallel lines representing thickened bronchial walls) is seen in **bronchiectasis** due to chronic inflammation and airway dilation. - This finding is associated with chronic respiratory conditions and recurrent infections, not the acute cardiac emergency presenting in this neonate. *Target sign* - The **target sign** (or "doughnut sign") is seen on **abdominal imaging** (ultrasound or CT) and indicates **intussusception**, where bowel telescopes into itself. - This is an abdominal pathology, not a chest X-ray finding, and does not explain the cardiovascular findings in this case. *Tubular artery sign* - This is **not a standard recognized radiological sign** associated with congenital heart disease or the clinical presentation described. - It does not correspond to any established chest X-ray finding in cardiovascular pathology. *Tree-in-bud pattern* - The **tree-in-bud pattern** on chest CT (occasionally visible on X-ray when severe) represents **bronchiolar impaction** with mucus, pus, or fluid, seen in **infectious bronchiolitis or tuberculosis**. - While this infant has respiratory distress, it is secondary to cardiac failure, not primary small airway disease or infection.
Explanation: ***Microdeletion at chromosome 5*** - The constellation of a **high-pitched, cat-like cry** ("squeaky door"), **microcephaly**, **developmental delay** (feeding difficulties, poor weight gain) and distinctive facial features (mandibular hypoplasia, broad nasal bridge, widely-spaced eyes, down-slanting palpebral fissures, round face) are characteristic of **Cri-du-chat syndrome**. - **Cri-du-chat syndrome** is caused by a **deletion on the short arm of chromosome 5** (5p deletion). The presence of a **pansystolic murmur** suggests a congenital heart defect, which is also common in this syndrome. *Translocation at chromosome 21* - A translocation involving chromosome 21 is associated with **Down syndrome**, which presents with a **single palmar crease**, **up-slanting palpebral fissures** (not down-slanting as in this patient), and hypotonia, but typically not the characteristic cat-like cry. - The cry in Down syndrome is typically **hoarse**, not high-pitched and squeaky. Down syndrome also features a **flat facial profile** and **protruding tongue**, different from the mandibular hypoplasia and broad nasal bridge seen here. *X-linked gene mutation* - **X-linked gene mutations** cause a wide range of disorders, but none are specifically associated with the unique combination of a **cat-like cry**, specific facial dysmorphology, and congenital heart defects seen in this patient. - Examples include **Fragile X syndrome**, which causes intellectual disability, but has different physical characteristics (long face, large ears, macroorchidism in males) and typically no cat-like cry. *Trisomy of chromosome 13* - **Trisomy 13 (Patau syndrome)** presents with severe malformations including **microcephaly**, **microphthalmia**, **cleft lip/palate**, and **polydactyly**, often with profound intellectual disability and severe heart defects. - While there is overlap in some features (e.g., microcephaly, heart defects), the characteristic **cat-like cry**, mandibular hypoplasia, and specific facial features described here are not typical of Patau syndrome. *Maternal hypothyroidism* - **Congenital hypothyroidism** (which can result from maternal hypothyroidism) can cause poor feeding, poor weight gain, and developmental delay. However, it does not typically cause the specific **craniofacial dysmorphic features**, microcephaly, or the characteristic **cat-like cry** seen in this patient. - The murmur is also not a direct consequence of maternal hypothyroidism, but rather a structural heart defect consistent with a genetic syndrome.
Explanation: ***Aortic stenosis*** - The patient's presentation with **short stature**, **low-set posterior hairline**, **webbed neck**, **widely spaced nipples**, and **shortened 4th metacarpals** is classic for **Turner syndrome (45,X)**. - Individuals with Turner syndrome are at increased risk for **cardiovascular abnormalities**, particularly **bicuspid aortic valve** (30-50% of cases) and **coarctation of the aorta** (10-15% of cases). - **Bicuspid aortic valve** commonly progresses to **aortic stenosis** over time due to abnormal leaflet mechanics and increased mechanical stress. - Other cardiac complications include **aortic root dilation** and increased risk of **aortic dissection**. *Precocious puberty* - **Turner syndrome** is characterized by **gonadal dysgenesis** (streak ovaries), leading to **primary amenorrhea** and **delayed or absent puberty**, not precocious puberty. - The lack of estrogen production in Turner syndrome typically results in insufficient development of secondary sexual characteristics. *Acute lymphoblastic leukemia* - While individuals with certain genetic syndromes (e.g., **Down syndrome**) have an increased risk of leukemia, there is **no established link** between **Turner syndrome** and increased risk of acute lymphoblastic leukemia. - The risk of ALL is not a characteristic complication of Turner syndrome. *Lens dislocation* - **Lens dislocation** is a characteristic feature of conditions like **Marfan syndrome** (upward displacement) or **homocystinuria** (downward displacement). - It is **not associated** with Turner syndrome. *Intellectual disability* - The majority of individuals with **Turner syndrome** have **normal intelligence**. - While some may experience specific **visuospatial or nonverbal learning difficulties**, there is no generalized intellectual disability.
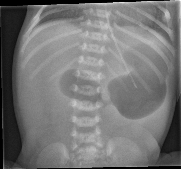
Explanation: ***Duodenum*** - The abdominal X-ray shows the classic **"double bubble" sign**, indicating duodenal obstruction. This sign is formed by gas trapped in the stomach and the proximal duodenum, separated by the pylorus. - **Bilious vomiting** in a neonate strongly suggests an obstruction distal to the ampulla of Vater, which is located in the second part of the duodenum. *Esophagus* - Esophageal obstruction, such as esophageal atresia, would primarily present with **inability to feed**, drooling, and respiratory distress, not typically with significant abdominal distention or bilious vomiting. - An abdominal X-ray in this case would show a **small or absent stomach bubble** if there is complete atresia and no tracheoesophageal fistula. *Pylorus* - Pyloric obstruction, such as pyloric stenosis, typically presents with **non-bilious vomiting** and generally occurs later, around 3-6 weeks of age, not within 24 hours of birth. - The X-ray would show a **dilated stomach** but without the second bubble characteristic of duodenal obstruction. *Ileum* - Obstruction in the ileum (e.g., meconium ileus, ileal atresia) would lead to widespread **multiple dilated loops of small bowel** on X-ray, sometimes with air-fluid levels, and more generalized abdominal distention, not the localized double bubble sign. - While it causes bilious vomiting, the X-ray findings are distinct. *Common bile duct* - Obstruction of the common bile duct, like biliary atresia, causes **jaundice** (often appearing later, after 1-2 weeks of age) and **acholic (pale) stools**, but usually does not cause significant intestinal obstruction, abdominal distention, or bilious vomiting in the immediate newborn period. - The X-ray would not show a characteristic "double bubble" sign.
Explanation: ***Persistent blood flow between the pulmonary artery and descending aorta*** - The combination of **bounding radial pulses**, **differential cyanosis** (bluish discoloration and bulbous enlargement of distal toes with normal finger oxygen saturation), and **shortness of breath on exertion** in an older child suggests a patent ductus arteriosus (PDA) with **Eisenmenger syndrome**. - In PDA, the **ductus arteriosus** (a fetal connection between the pulmonary artery and aorta) fails to close, leading to persistent blood flow. If unrepaired, pulmonary hypertension can develop, eventually causing right-to-left shunting and the observed differential cyanosis where deoxygenated blood from the pulmonary artery shunts into the descending aorta. *Single overriding great vessel arising from the heart* - This describes **truncus arteriosus**, a complex congenital heart defect where a single great artery arises from both ventricles, overriding a ventricular septal defect. - While it causes cyanosis and pulmonary hypertension, it typically presents much earlier with severe symptoms and **does not cause differential cyanosis** as observed in this patient. *Abnormal narrowing of the aorta at the aortic isthmus* - This is **coarctation of the aorta**, characterized by a narrowing of the aorta, often presenting with **hypertension in the upper extremities**, diminished femoral pulses, and a **difference in blood pressure** between the upper and lower limbs. - It does not typically cause the described differential cyanosis or bounding radial pulses unless there's a coexisting PDA with right-to-left shunting through it, but the primary pathology is the narrowing. *Anomalous shunting of blood through a defect in atrial septum* - This describes an **atrial septal defect (ASD)**, which typically involves left-to-right shunting, leading to volume overload of the right heart. - While large, unrepaired ASDs can eventually lead to pulmonary hypertension and Eisenmenger syndrome, they usually present with **generalized cyanosis** (if present) and **do not cause differential cyanosis** with normal finger saturation and toe cyanosis. *Positioning of the ascending aorta directly over a ventricular septal defect* - This is a characteristic feature of **tetralogy of Fallot**, a complex congenital heart defect including a **ventricular septal defect**, **pulmonary stenosis**, an **overriding aorta**, and **right ventricular hypertrophy**. - Patients with tetralogy of Fallot typically present with **generalized cyanosis** (blue spells), clubbing, and exertional dyspnea, but not the specific differential cyanosis pattern described with bounding radial pulses.
Explanation: ***Overexpression of the N-myc oncogene*** - The combination of a posterior mediastinal mass, periorbital bruising (**raccoon eyes**), and proptosis in a 2-year-old child with recurrent infections and failure to thrive is highly suggestive of **neuroblastoma**. - **N-myc oncogene amplification** is a common genetic abnormality found in high-risk neuroblastoma and correlates with aggressive disease and poor prognosis. *Unregulated B-cell proliferation in the mediastinum* - This would suggest a **lymphoma**, which typically presents with anterior or superior mediastinal masses and often involves lymphadenopathy. - The specific ocular findings of periorbital ecchymoses and proptosis are not characteristic of lymphoma but are classic for metastatic neuroblastoma. *Acid-fast bacteria on sputum microscopy* - This finding is indicative of **tuberculosis**, which can cause mediastinal lymphadenopathy and pulmonary symptoms. - However, tuberculosis would not typically cause a large heterogeneous posterior mediastinal mass with associated periorbital ecchymoses and proptosis. *Increased lymphoblast count in the bone marrow* - This points to **acute lymphoblastic leukemia (ALL)**. While ALL can cause mediastinal masses (T-cell ALL often presents with an anterior mediastinal mass) and systemic symptoms, the **periorbital bruising and proptosis** are specific features that distinguish neuroblastoma. - Also, a significantly increased lymphoblast count in the bone marrow is the defining diagnostic criterion for leukemia, which is not directly suggested by the initial presentation beyond general systemic illness. *Autoantibodies against nicotinic acetylcholine receptors* - This finding is characteristic of **myasthenia gravis**, an autoimmune neuromuscular disorder. - Myasthenia gravis presents with **muscle weakness and fatigue**, not a posterior mediastinal mass, recurrent pneumonia, failure to thrive, or ocular bulging/bruising as described.
Explanation: ***Ventricular septal defect*** - A **small ventricular septal defect (VSD)** often presents with a loud **holosystolic murmur** at the left sternal border and can close spontaneously, explaining why surgical intervention may not be required. - The infant's normal growth, activity, and lack of symptoms suggest a less severe defect, consistent with a small VSD with **left-to-right shunting**. *Patent ductus arteriosus* - This condition presents with a **continuous "machinery" murmur** at the upper left sternal border, not a holosystolic murmur. - Though it can spontaneously close, the characteristic murmur is different from what is described. *Coarctation of aorta* - This defect typically causes **differential blood pressures** between the upper and lower extremities and can lead to absent or weak femoral pulses, which are not mentioned. - While it can present with a murmur, it is usually not holosystolic and the clinical picture does not fit. *Tetralogy of Fallot* - This is a cyanotic heart defect characterized by **four distinct anomalies** leading to right-to-left shunting and **cyanosis**, which is absent in this thriving infant. - Infants with Tetralogy of Fallot often experience **"tet spells"** and have failure to thrive. *Atrial septal defect* - An ASD typically presents with a **systolic ejection murmur** at the upper left sternal border due to increased pulmonary flow, and often a fixed split S2. - While many ASDs can be asymptomatic and close spontaneously, the murmur described as holosystolic is more characteristic of a VSD.
Explanation: ***Aplastic anemia*** - The combination of **pancytopenia** (very low Hgb, WBC, and platelets), a **low reticulocyte count** (indicating bone marrow failure), and a **hypocellular bone marrow with fatty tissue** is diagnostic for aplastic anemia. - Aplastic anemia represents **bone marrow failure affecting all cell lines**, leading to the production of insufficient red blood cells, white blood cells, and platelets. - This can be **triggered by viral infections** (such as Parvovirus B19, EBV, hepatitis viruses) in susceptible individuals, as well as medications, toxins, or idiopathic causes. - The history of **abdominal and thigh pain** with family history of "blood disease" is a red herring suggesting sickle cell disease, but the profound pancytopenia with hypocellular bone marrow clearly indicates aplastic anemia rather than a hemolytic process. *Iron deficiency anemia* - This typically presents with **microcytic hypochromic anemia (MCV <80)**, but not severe pancytopenia. - While the MCV of 81 is on the lower end of normal, the profound leukopenia and thrombocytopenia are not characteristic of iron deficiency. - Bone marrow would show **increased iron stores absent** but normal cellularity. *Hypersplenism associated anemia* - While hypersplenism can cause **cytopenias through sequestration and destruction**, it leads to a **compensatory increase in reticulocytes** as the bone marrow attempts to compensate. - The bone marrow would typically appear **hypercellular** (due to increased production), which contradicts the hypocellular marrow with fatty replacement described. *Anemia of chronic disease* - This usually presents as a **mild to moderate normocytic or microcytic anemia** with normal or slightly reduced WBC and platelet counts. - It would not explain the severe pancytopenia or the extremely hypocellular bone marrow seen in this case. - Bone marrow iron studies would show **increased storage iron but decreased availability**. *Folate deficiency anemia* - This is a **macrocytic anemia** (MCV >100), often with hypersegmented neutrophils on peripheral smear. - The **MCV of 81** is not consistent with macrocytic anemia, and the bone marrow would typically be **hypercellular with megaloblastic changes**, not hypocellular with fatty replacement.
Explanation: ***Microdeletion of maternal 15q11-q13*** - This describes **Angelman syndrome**, characterized by **developmental delay**, severe speech impairment, ataxia, prominent **happy demeanor with inappropriate laughter**, and seizures, consistent with the patient's presentation. - Angelman syndrome results from the absence of expression of the maternally inherited copy of the **UBE3A gene** within the 15q11-q13 region, often due to a microdeletion. *Microdeletion of paternal 15q11-q13* - This genetic abnormality leads to **Prader-Willi syndrome**, which presents with **neonatal hypotonia**, feeding difficulties in infancy, intellectual disability, and later **hyperphagia leading to obesity**. - While both syndromes involve the same chromosomal region, the specific clinical features and parent-of-origin effect differentiate them from the given case. *MECP2 gene mutation* - A mutation in the **MECP2 gene** is the cause of **Rett syndrome**, which almost exclusively affects girls. - It presents with **normal early development followed by regression** of language and motor skills, **stereotypic hand movements**, and microcephaly, distinct from the boy's symptoms. *Trisomy of chromosome 21* - This is the genetic basis for **Down syndrome**, characterized by specific **facial features** (e.g., epicanthic folds, upslanting palpebral fissures), intellectual disability, and often **hypotonia**, but not the characteristic happy demeanor or severe motor and speech delays seen here. - While intellectual disability is present, the specific constellation of symptoms, particularly the unique behavioral traits and motor dysfunction, does not align with Down syndrome. *Microdeletion of 22q11.2* - This microdeletion causes **DiGeorge syndrome**, known for **cardiac defects** (e.g., conotruncal abnormalities), **T-cell immunodeficiency**, **palatal abnormalities**, and **hypocalcemia**. - None of the key features described in the patient, such as the characteristic behavioral profile or motor difficulties, are typical of DiGeorge syndrome.
Explanation: ***Right axis deviation on ECG*** - The presentation of **cyanotic spells** ("blue lips for several minutes", "lips and fingers begin to turn blue" with crying), **poor weight gain**, and **hypoxemia** (SpO2 90%) in an infant strongly suggests a **cyanotic congenital heart defect** like **Tetralogy of Fallot** (TOF). - TOF is characterized by **right ventricular outflow tract obstruction**, leading to **right ventricular hypertrophy** and subsequently **right axis deviation** on ECG. *Pulmonary vascular congestion on x-ray of the chest* - **Pulmonary vascular congestion** is typically seen in conditions with **increased pulmonary blood flow** or **left-sided heart failure**, such as a large ventricular septal defect or patent ductus arteriosus. - In Tetralogy of Fallot, there is often **decreased pulmonary blood flow** due to right ventricular outflow tract obstruction, leading to a **clear lung fields** on chest x-ray. *Anomalous pulmonary venous return on MR angiography* - **Total anomalous pulmonary venous return (TAPVR)** is a cyanotic heart defect where all pulmonary veins drain into the systemic circulation. - While it causes cyanosis, it typically presents with **pulmonary congestion** and signs of **right heart strain**, which is less consistent with the spells described. *Diminutive left ventricle on echocardiogram* - A **diminutive left ventricle** is characteristic of **hypoplastic left heart syndrome**, which is a severe cyanotic defect. - However, patients with hypoplastic left heart syndrome usually present with **severe heart failure** and shock much earlier in infancy, often in the neonatal period, which is not described here. *Machine-like hum on auscultation* - A **machine-like hum** is the classic auscultatory finding for a **patent ductus arteriosus (PDA)**. - While a PDA can cause cyanosis if pulmonary hypertension is severe (Eisenmenger syndrome), isolated PDA typically presents with **left-to-right shunting** and **pulmonary overcirculation**, not the classic cyanotic spells seen with activities like crying, characteristic of TOF.
Explanation: ***Left-to-right shunt through the ventricular septum*** - A **holosystolic murmur** at the **left lower sternal border** is characteristic of a **ventricular septal defect (VSD)**, an acyanotic congenital heart disease causing a **left-to-right shunt**. - The **soft mid-diastolic murmur** at the apex is due to increased flow across the **mitral valve (relative mitral stenosis)**, resulting from the large volume of blood returning to the left atrium through the VSD and the pulmonary circulation. *Communication between the pulmonary artery and the thoracic aorta* - This describes a **patent ductus arteriosus (PDA)**, which typically presents with a **continuous "machinery-like" murmur** loudest at the left infraclavicular area, not a holosystolic murmur at the lower sternal border. - A significant PDA can cause pulmonary overcirculation but presents with distinct auscultatory findings. *Right-to-left shunt through the ventricular septum* - A right-to-left shunt through the ventricular septum (e.g., in **Tetralogy of Fallot**) would typically cause **cyanosis**, which is not mentioned, and often a **systolic ejection murmur** (due to pulmonary stenosis), not a holosystolic murmur at the left lower sternal border. - While there is a VSD component, the primary flow direction in this clinical scenario (acyanotic with good growth) points away from a significant right-to-left shunt. *Right ventricular outflow obstruction* - This would result in a **systolic ejection murmur** loudest at the upper left sternal border or pulmonary area (e.g., in **pulmonic stenosis**). - It would not typically produce a holosystolic murmur at the left lower sternal border or a mid-diastolic murmur at the apex. *Right-to-left shunt through the atrial septum* - A right-to-left shunt through the atrial septum (e.g., in **tricuspid atresia** or severe pulmonary hypertension with an **atrial septal defect**) would cause **cyanosis**. - The murmur associated with an isolated atrial septal defect is typically a **systolic ejection murmur** due to increased flow across the pulmonic valve, not a holosystolic murmur, and would not cause an apical diastolic rumble.
Explanation: ***It contains all the layers of the GI tract*** - Meckel's diverticulum is a **true diverticulum**, meaning it involves all three layers of the bowel wall: mucosa, submucosa, and muscularis propria. - This is in contrast to a **pseudodiverticulum**, which only involves the mucosa and submucosa herniating through the muscular layer. *It is a remnant of the allantois* - The **allantois** is a fetal membrane that contributes to the formation of the urinary bladder and urachus, not Meckel's diverticulum. - Meckel's diverticulum is a remnant of the **vitelline duct (omphalomesenteric duct)**, which connects the primitive gut to the yolk sac. *It is typically found in the descending colon* - Meckel's diverticulum is typically located in the **distal ileum**, usually within 2 feet (60 cm) of the ileocecal valve. - The **descending colon** is a much more distal part of the large intestine. *It typically affects females more than males* - Meckel's diverticulum is more common in **males** than females, with a male-to-female ratio of about 2:1. - It follows the "rule of 2s": 2% of the population, 2 feet from the ileocecal valve, 2 inches long, 2 types of ectopic tissue, symptomatic in 2% of cases, and typically presents before age 2. *It is typically symptomatic* - Only about **2-4%** of individuals with Meckel's diverticulum are ever symptomatic and the vast majority remain asymptomatic throughout their lives. - When symptomatic, it can present with complications like **bleeding (most common in children)**, intussusception, obstruction, or diverticulitis.
Explanation: ***Sturge-Weber syndrome*** - The patient's presentation with a **port-wine stain** (purple-pink patch) on the face, **seizures** (twitching movements of the left arm), and **glaucoma** (firm right eyeball, cupping of the right optic disc) is highly characteristic of Sturge-Weber syndrome. - This neurocutaneous disorder is caused by a **vascular malformation** (angioma) that affects the brain, eye, and skin. *Neurofibromatosis type 1* - Characterized by **café-au-lait spots**, **axillary/groin freckling**, **neurofibromas**, and **Lisch nodules** in the iris. - While it can cause seizures, the patient's specific constellation of facial birthmark, glaucoma, and focal neurological deficits points away from NF1. *Klippel-Trenaunay syndrome* - This syndrome involves a triad of **port-wine stain**, **venous malformations** (often varicose veins), and **limb overgrowth** of the affected extremity. - It does not typically present with the neurological and ophthalmic findings such as seizures and glaucoma that are seen in this patient. *Hereditary hemorrhagic telangiectasia* - Also known as **Osler-Weber-Rendu disease**, it is characterized by **mucocutaneous telangiectasias** and **arteriovenous malformations (AVMs)**, primarily affecting the lungs, liver, and brain. - While it can cause neurological symptoms due to brain AVMs, the characteristic facial birthmark and glaucoma are not typical features. *Ataxia telangiectasia* - This is a rare, neurodegenerative, inherited disorder characterized by progressive **cerebellar ataxia**, **oculocutaneous telangiectasias** (especially in the conjunctiva), and **immunodeficiency**. - The patient's symptoms of a facial port-wine stain, seizures, and glaucoma do not align with the classic presentation of ataxia telangiectasia.
Explanation: ***DiGeorge syndrome*** - This syndrome is characterized by **Cleft palate**, **Abnormal facies**, **Thymic hypoplasia (leading to diminished cell-mediated immunity and recurrent infections)**, **Cardiac defects**, and **Hypocalcemia (due to parathyroid hypoplasia)**, which aligns with the patient's presentation **(CATCH-22)**. - It results from a **microdeletion on chromosome 22q11**, impacting the development of the third and fourth pharyngeal pouches. *Adenosine deaminase (ADA) deficiency* - This is a cause of **severe combined immunodeficiency (SCID)**, predominantly affecting both **T and B cell function**. - While it causes recurrent infections, it does not typically present with the specific constellation of **facial anomalies, cardiac defects, cleft palate, and hypocalcemia** seen in DiGeorge syndrome. *Severe combined immunodeficiency (SCID)* - SCID encompasses a group of disorders characterized by profound defects in **T- and B-lymphocyte function**, leading to severe recurrent infections. - However, SCID does not typically present with the associated **structural anomalies (cleft palate, malformed jaw, cardiac defects)** and **hypocalcemia** observed in this patient. *Chediak-Higashi syndrome* - This is an **autosomal recessive disorder** characterized by **partial oculocutaneous albinism**, recurrent pyogenic infections, and **neurological abnormalities**. - It involves defective lysosomal trafficking, leading to giant lysosomes in phagocytes, but does not include **cleft palate, cardiac defects, or hypocalcemia**. *Wiskott-Aldrich syndrome* - This is an **X-linked recessive disorder** characterized by the triad of **eczema**, **thrombocytopenia** (leading to bleeding issues), and **immunodeficiency**. - While it causes recurrent infections, it does not present with the specific **structural anomalies, cleft palate, or hypocalcemia** as described in the patient.
Explanation: ***Increased number of benign nevi*** - The constellation of symptoms (primary **amenorrhea**, hypoplastic nails, short 4th and 5th metacarpals, cubitus valgus, lack of breast development with widely spaced nipples, high arched palate, low hairline, and recurrent otitis media) is highly suggestive of **Turner syndrome** (45,XO). - Patients with **Turner syndrome** frequently have an **increased number of benign melanocytic nevi** on their skin. *Cutaneous angiomas* - While various skin findings can occur in genetic syndromes, **cutaneous angiomas** are not a characteristic or common feature specifically associated with Turner syndrome. - They are more typically seen in conditions like **hereditary hemorrhagic telangiectasia** or certain vascular malformations. *Acanthosis nigricans* - **Acanthosis nigricans** is characterized by velvety, hyperpigmented plaques, typically found in intertriginous areas. - It is strongly associated with **insulin resistance**, obesity, and certain malignancies, none of which are directly indicated as primary features of Turner syndrome. *Elastosis perforans serpiginosa* - This is a rare dermatosis characterized by **papules** and **plaques** with central umbilication, often arranged in a serpiginous pattern. - It is associated with conditions like **Ehlers-Danlos syndrome**, Marfan syndrome, and osteogenesis imperfecta, not Turner syndrome. *Xerosis* - **Xerosis**, or dry skin, is a common non-specific skin finding that can occur due to various reasons, including environmental factors or other medical conditions. - It is not a specific diagnostic feature or a highly prevalent finding uniquely associated with Turner syndrome.
Explanation: ***45,X*** - This karyotype represents **Turner syndrome**, characterized by the absence of one X chromosome, which accounts for the patient's **primary amenorrhea**, **short stature**, **webbed neck**, and **broad chest with widely spaced nipples**. - These features are classic findings in Turner syndrome, a condition associated with **gonadal dysgenesis** leading to ovarian failure and lack of secondary sexual characteristics. *47,XXY* - This karyotype corresponds to **Klinefelter syndrome**, which affects males and presents with **hypogonadism**, **gynecomastia**, and **reduced fertility**. - It does not explain the physical findings in a female, such as primary amenorrhea, short stature, or webbed neck. *Trisomy 21* - This is the genetic abnormality seen in **Down syndrome**, characterized by distinct facial features (**epicanthal folds**, **flat nasal bridge**), **intellectual disability**, and various congenital anomalies. - While patients with Down syndrome can have some developmental delays, the clinical presentation here with specific physical features like webbed neck and widely spaced nipples, along with primary amenorrhea, is not typical for Trisomy 21. *21-hydroxylase deficiency* - This is a form of **congenital adrenal hyperplasia (CAH)**, which can lead to **virilization in females** due to excessive androgen production, causing **ambiguous genitalia** at birth or later development of hirsutism and menstrual irregularities. - It does not explain the specific phenotypic features presented, such as short stature, webbed neck, or widely spaced nipples, nor is primary amenorrhea the sole presenting symptom in classic CAH. *46,XX, t(14;21)* - This describes a **Robertsonian translocation involving chromosomes 14 and 21**, which is a genetic rearrangement. In a Robertsonian translocation, two acrocentric chromosomes fuse, resulting in 46 total chromosomes (not 45). If balanced, it typically results in a phenotypically normal individual. - If unbalanced, it can lead to **translocation Down syndrome** (effectively Trisomy 21), or other conditions depending on the specific chromosomal material duplication or deletion, but this specific karyotype notation is not directly associated with the presented classic Turner syndrome features.
Explanation: ***It results from failure of the genital folds to fuse*** - The condition described, a **ventral urethral meatus inferior to the glans**, is known as **hypospadias**. - **Hypospadias** occurs due to the **incomplete fusion of the urethral (genital) folds** during the development of the penile urethra. *Younger age of the mother is a major risk factor for this condition* - **Advanced maternal age**, rather than younger age, is considered a potential risk factor for hypospadias, although the association is not strong. - Other risk factors include **low birth weight**, **twin pregnancies**, and possibly **hormonal exposures**. *Such anatomy is formed before the 12th week of intrauterine development* - The **formation of the male urethra** by the fusion of the urethral folds occurs between the **8th and 12th weeks of gestation**. - Therefore, the anomaly of hypospadias develops during this specific period, not before the 8th week. *Hypospadias repair before the age of 3 years is associated with increased incidence of urethrocutaneous fistula* - Current recommendations generally suggest **hypospadias repair between 6 and 18 months of age** to prevent psychological issues and facilitate toilet training. - There is **no established evidence** that repair before age 3 significantly increases the incidence of **urethrocutaneous fistula**; in fact, early repair is often preferred. *It results from failure of the genital swellings to fuse* - The **genital swellings** develop into the scrotum in males and the labia majora in females; their failure to fuse would lead to **bifid scrotum** or other anomalies of the external genitalia, not specifically hypospadias. - **Hypospadias** is specifically related to the **urethral folds**, not the genital swellings.
Explanation: ***Voiding cystourethrogram*** - The history of **recurrent UTIs**, **hydronephrosis**, and **scarring** on ultrasound strongly suggests a diagnosis of **vesicoureteral reflux (VUR)**. - A **voiding cystourethrogram (VCUG)** is the definitive diagnostic test for VUR, as it directly visualizes the retrograde flow of urine from the bladder to the ureters. *Urine culture and sensitivity* - While a **urine culture** is essential to confirm the current UTI and guide antibiotic therapy, it does not identify the underlying anatomical cause of the recurrent infections and hydronephrosis. - The child presents with signs of an active UTI (fever, dysuria, suprapubic tenderness), so a culture would be performed, but it's not the *next most appropriate step* for evaluating the **cause of recurrent UTIs and renal damage**. *Magnetic resonance imaging* - **MRI** is not typically the first-line imaging modality for evaluating recurrent UTIs and suspected VUR due to its higher cost, longer scan time, and need for sedation in children. - It would be considered if more complex anatomical anomalies or soft tissue involvement were suspected, which is not indicated here. *Ultrasonography of the abdomen and pelvis* - An **ultrasound has already been performed** and revealed hydronephrosis and scarring, which are findings suggestive of VUR or obstruction. - Repeating the ultrasound would not provide additional diagnostic information regarding the presence or grading of VUR, which is crucial for management. *Complete blood count* - A **CBC** would show signs of infection, such as **leukocytosis**, and is important for general patient assessment. - However, it does not help in definitively diagnosing the underlying anatomical issue leading to recurrent UTIs and renal damage.
Explanation: ***Pulmonary artery*** - The patient's presentation is consistent with a **ventricular septal defect (VSD)**, characterized by a **harsh, holosystolic murmur** at the left lower sternal border. The **increased blood flow from the left to the right heart** leads to elevated pressure in the pulmonary vasculature. - Over time, persistent **pulmonary hypertension** due to a VSD can cause **irreversible changes in the pulmonary arterioles** through remodeling, leading to **Eisenmenger syndrome**, where the shunt reverses and causes cyanosis. *Superior vena cava* - The superior vena cava carries deoxygenated blood from the upper body to the right atrium; it is generally not directly affected by the increased pressure or flow associated with a VSD. - While it may experience some pressure changes with significant right heart strain, it does not undergo the same irreversible remodeling as the pulmonary vasculature. *Right atrium* - In a VSD, the right atrium generally receives normal venous return from the body and is not directly subjected to the high-pressure shunt. - While the right ventricle bears the brunt of the increased volume and pressure, the right atrium would typically only be affected by severe, long-standing right ventricular failure. *Mitral valve* - The mitral valve is on the left side of the heart, separating the left atrium from the left ventricle, and is not directly involved in the shunt dynamics of a VSD. - Although VSDs can sometimes be associated with other congenital cardiac abnormalities, the changes in the mitral valve itself are not the primary irreversible consequence of an isolated VSD. *Ascending aorta* - The ascending aorta is responsible for carrying oxygenated blood from the left ventricle to the systemic circulation. - While a large VSD can affect left ventricular function, the ascending aorta itself does not experience the direct pressure overload or irreversible remodeling seen in the pulmonary artery.
Explanation: ***Ash-leaf spots*** - This 6-month-old presents with **jerky movements** and a **left ventricular mass**, strongly indicative of **tuberous sclerosis complex (TSC)**. - **Ash-leaf spots** (hypopigmented macules) are classic cutaneous findings in TSC. *Cavernous hemangioma of the skin* - While a **hemangioma** is a vascular lesion, it is not specifically associated with **tuberous sclerosis complex**, which involves hamartomas. - This finding is more characteristic of conditions like **Sturge-Weber syndrome** (facial angioma). *Cutaneous neurofibromas* - **Cutaneous neurofibromas** are pathognomonic for **Neurofibromatosis type 1 (NF1)**. - NF1 is also associated with plexiform neurofibromas and optic pathway gliomas, but not typically cardiac rhabdomyomas. *Cafe-au-lait spots* - **Cafe-au-lait spots** are a hallmark feature of **Neurofibromatosis type 1 (NF1)**. - While also a neurocutaneous disorder, NF1 presents with neurofibromas and optic gliomas, not the cardiac rhabdomyoma seen here. *Port-wine stain* - A **port-wine stain** (nevus flammeus) is the characteristic cutaneous finding in **Sturge-Weber syndrome**. - This condition is associated with leptomeningeal angiomas and glaucoma, not cardiac rhabdomyomas or the neurological symptoms described.
Explanation: ***Epistaxis*** - The patient presents with **prolonged bleeding after tooth extraction** and normal PT/PTT findings, which points to a **platelet function defect** or **von Willebrand disease (vWD)**. Epistaxis (nosebleeds) is a common symptom of these conditions due to **impaired primary hemostasis**. - **vWD** is the most common inherited bleeding disorder, often presenting with mucocutaneous bleeding symptoms like epistaxis, easy bruising, and menorrhagia. *Purpura fulminans* - Characterized by **widespread thrombosis** and **skin necrosis**, often triggered by severe infection (e.g., meningococcemia) or protein C deficiency. - This condition involves widespread clotting and consumption of coagulation factors, leading to purpuric skin lesions, which is not suggested by the patient's presentation of isolated bleeding from an extraction site. *Hemarthrosis* - **Bleeding into joints** (hemarthrosis) is a hallmark symptom of **severe coagulation factor deficiencies**, such as hemophilia A or B. - The patient's normal PTT (35 seconds) makes severe hemophilia less likely, as hemophilia typically causes a significantly prolonged PTT. *Intracranial hemorrhage* - While possible in severe bleeding disorders, **intracranial hemorrhage** is a very serious and often life-threatening complication, typically associated with profound defects in coagulation (e.g., severe hemophilia or severe thrombocytopenia). - The presented symptoms of prolonged oozing from a tooth extraction site in an otherwise healthy child do not immediately suggest such a severe and acute risk without more alarming neurological symptoms or significantly deranged coagulation parameters. *Muscular hematoma* - **Deep tissue bleeds** and **large muscle hematomas** are more characteristic of **severe coagulation factor deficiencies** (e.g., hemophilia). - The patient's clinical picture of persistent oozing from a mucosal surface and normal PTT makes a defect in secondary hemostasis, which would typically cause such deep bleeds, less probable.
Explanation: ***Deletion 11-p-13*** * This describes the genetic abnormality associated with **WAGR syndrome**, which stands for **Wilms tumor**, **Aniridia**, **Genitourinary anomalies** (like undescended testes), and **intellectual disability** (though not explicitly mentioned, it's part of the syndrome). * The presence of a **nephroblastoma (Wilms tumor)**, **absent irises (aniridia)**, and **undescended testes** in a newborn strongly points to WAGR syndrome, caused by a deletion on chromosome 11 at band p13, affecting the *WT1* gene locus. *WT-1 missense mutation* * While *WT1* gene mutations are associated with Wilms tumor, a **missense mutation** specifically in *WT1* is more commonly linked to **Denys-Drash syndrome**, which presents with Wilms tumor, diffuse mesangial sclerosis (nephropathy), and male pseudohermaphroditism, but typically *not aniridia*. * The constellation of symptoms including aniridia and undescended testes together with a Wilms tumor is more characteristic of a larger deletion encompassing *PAX6* (responsible for aniridia) and *WT1*. *Duplication of 11-p-15* * A **duplication of 11p15** is associated with **Beckwith-Wiedemann syndrome**, which includes macrosomia, macroglossia, omphalocele, and an increased risk of Wilms tumor. * However, Beckwith-Wiedemann syndrome does *not* typically present with aniridia or undescended testes as core features. *Amplification of MYCN (N-myc) proto-oncogene* * **MYCN amplification** is a significant genetic alteration found in neuroblastoma, a common extracranial solid tumor of childhood, originating from neural crest cells. * **Neuroblastoma** is distinct from Wilms tumor (which is intra-renal) and does not typically present with the specific features of aniridia or undescended testes as co-occurring symptoms. *Trisomy 18* * **Trisomy 18 (Edwards syndrome)** is characterized by severe developmental delays, distinctive facial features, rocker-bottom feet, and various congenital anomalies affecting multiple organ systems (e.g., heart defects, kidney abnormalities, omphalocele). * While kidney abnormalities can occur, **aniridia** and **isolated undescended testes combined with a Wilms tumor** are not classic features of Trisomy 18.
Explanation: **Technetium-99m pertechnetate scan** - The presentation of painless **dark red rectal bleeding** in a toddler, coupled with signs of **anemia** (pale conjunctivae, hemoglobin 9.5 g/dL, MCV 68 μm³), strongly suggests a **Meckel's diverticulum** with ectopic gastric mucosa. - A **Technetium-99m pertechnetate scan** specifically detects **ectopic gastric mucosa**, which is the most common cause of bleeding in a Meckel's diverticulum, making it the definitive diagnostic test. *Colonoscopy* - While useful for evaluating lower gastrointestinal bleeding, a **colonoscopy** is less likely to detect a Meckel's diverticulum, which often lies beyond the reach of a standard colonoscope. - It involves more invasive preparation and carries higher risks for a young child compared to a nuclear scan for this specific suspicion. *Water-soluble contrast enema* - A **water-soluble contrast enema** is primarily used to diagnose conditions like intussusception or colonic obstructions by visualizing the bowel lumen. - It is unlikely to visualize a Meckel's diverticulum or identify the bleeding source directly, especially one involving ectopic gastric mucosa. *Esophagogastroduodenoscopy* - An **esophagogastroduodenoscopy (EGD)** evaluates the upper gastrointestinal tract (esophagus, stomach, duodenum). - The symptom of **dark red rectal bleeding** indicates a lower GI source, making an EGD a less appropriate initial diagnostic step. *Plain abdominal x-ray* - A **plain abdominal x-ray** is useful for identifying bowel obstruction, perforation, or foreign bodies, but it does not directly visualize or diagnose causes of GI bleeding like a Meckel's diverticulum. - It provides limited information regarding the source of internal bleeding or the presence of anomalous tissue.
Explanation: ***Triphalangeal thumb*** - This patient's presentation with **macrocytic anemia**, **growth retardation**, **cervical vertebral fusion** (Klippel-Feil anomaly), and distinctive **facial features** (micrognathia, flat nasal bridge, microophthalmos, widely set eyes, strabismus) is highly suggestive of **Diamond-Blackfan anemia (DBA)**. - **Triphalangeal thumb** or other **thumb/radial abnormalities** are present in 30-50% of DBA patients and are a characteristic feature of this condition. *Exocrine pancreatic dysfunction* - **Exocrine pancreatic dysfunction** is characteristic of **Shwachman-Diamond syndrome**, which also presents with bone marrow failure but typically involves **neutropenia** and skeletal abnormalities different from those seen here. - While both can cause anemia, the specific constellation of features in the patient (macrocytic anemia, craniofacial dysmorphisms, Klippel-Feil) points away from Shwachman-Diamond syndrome. *Mild neutropenia* - Although **neutropenia** can be seen in some bone marrow failure syndromes, **Diamond-Blackfan anemia** is primarily characterized by isolated **red cell aplasia**, leading to severe anemia with normal leukocyte and platelet counts initially. - The patient's **leukocyte count of 5400/mm3** is within the normal range for an infant, indicating no neutropenia. *Target cells* - **Target cells** are typically associated with **thalassemias**, **hemoglobinopathies**, or **liver disease**, which cause microcytic or normocytic anemia. - This patient has **macrocytic anemia** (MCV 125 μm3), making target cells an unlikely finding. *Spherocytes* - **Spherocytes** are characteristic of **hereditary spherocytosis** or **autoimmune hemolytic anemia**, conditions that cause hemolytic anemia. - While these can cause anemia, they do not typically present with the specific congenital anomalies and macrocytic picture seen in this patient.
Explanation: ***Oligohydramnios*** - This patient presents with the classic features of **oligohydramnios sequence (Potter sequence)**, which results from prolonged oligohydramnios in utero causing fetal compression. - **Key features present**: bilateral club feet, multiple extremity contractures (arthrogryposis), respiratory distress at birth (from **pulmonary hypoplasia**), and characteristic **Potter facies** (widely separated eyes, epicanthal folds, broad nasal bridge, low-set ears, receding chin). - The **respiratory distress** is particularly significant, as oligohydramnios prevents normal lung development, leading to pulmonary hypoplasia—a life-threatening complication at birth. - The **facial features and limb contractures** are direct consequences of mechanical compression from insufficient amniotic fluid, not intrinsic developmental defects. *Chromosomal abnormality* - While chromosomal abnormalities can cause multiple congenital anomalies, the **specific constellation of findings** in this case—particularly the **Potter facies, pulmonary hypoplasia with respiratory distress, and compression-related deformities**—is pathognomonic for oligohydramnios sequence. - Chromosomal abnormalities typically present with a different pattern of malformations depending on the specific syndrome and would not specifically cause the compression-related findings seen here. *Polyhydramnios* - **Polyhydramnios** (excessive amniotic fluid) is associated with conditions preventing fetal swallowing (esophageal/duodenal atresia) or increased urine production (twin-twin transfusion syndrome, fetal anemia). - It causes **increased space** for fetal movement, which would prevent rather than cause contractures and deformities. - Polyhydramnios does not cause the compression-related features seen in this patient. *Maternal hypertension* - **Maternal hypertension** can lead to **intrauterine growth restriction (IUGR)**, placental insufficiency, and preterm birth. - However, it does not directly cause oligohydramnios severe enough to produce Potter sequence, nor does it cause the specific facial and limb deformities described. *Intrauterine infection* - **Intrauterine infections** (TORCH infections) can cause microcephaly, intracranial calcifications, chorioretinitis, hepatosplenomegaly, and hearing loss. - They do not typically cause the **mechanical compression deformities** (club feet, contractures, Potter facies) or **pulmonary hypoplasia** characteristic of oligohydramnios sequence.
Explanation: ***Thyroid dysgenesis*** - The constellation of **poor feeding**, **hoarse cry**, **lethargy**, **scleral icterus**, **enlarged tongue (macroglossia)**, **hypotonia**, **distended abdomen**, and an **umbilical hernia** (reducible, soft protruding mass) is highly suggestive of **congenital hypothyroidism**, most commonly caused by **thyroid dysgenesis** (absent or ectopic thyroid gland). - The large head circumference reflects **delayed bone maturation** and **persistent open fontanelles**, common in untreated congenital hypothyroidism. - The patient was born in Mozambique, where newborn screening may not be universally available, leading to delayed diagnosis. *Congenital toxoplasmosis* - This typically presents with the classic triad of **chorioretinitis**, **hydrocephalus**, and **intracranial calcifications**. - While it can cause **scleral icterus** (due to liver involvement), the other prominent features like hoarse cry, enlarged tongue, hypotonia, and umbilical hernia are not characteristic. *Beckwith-Wiedemann syndrome* - Key features include **macrosomia** (large body size), **macroglossia** (large tongue), **omphalocele** or **umbilical hernia**, and **visceromegaly**. - Although this patient has macroglossia and umbilical hernia, the absence of macrosomia (70th percentile for weight is normal) and the presence of **lethargy**, **hoarse cry**, **prolonged jaundice**, and **hypotonia** point away from this genetic overgrowth disorder. *Acid maltase deficiency* - This lysosomal storage disorder (also known as **Pompe disease**) involves glycogen accumulation and primarily causes severe **cardiomyopathy**, **muscle weakness**, and **hypotonia**. - It does not typically present with hoarse cry, enlarged tongue, prolonged jaundice, or umbilical hernia. *Biliary atresia* - The primary symptom is **persistent jaundice** (scleral icterus) due to impaired bile flow, typically appearing after 2-3 weeks of life, along with **acholic (pale) stools** and **dark urine**. - While it explains the icterus, it does not account for the other pervasive symptoms of **hoarse cry**, **lethargy**, **enlarged tongue**, **hypotonia**, and **umbilical hernia**, which are hallmarks of congenital hypothyroidism.
Explanation: ***Patent ductus arteriosus*** - The continuous "machinery-like" murmur heard throughout systole and diastole, loudest at the **second left intercostal space** and radiating to the **left clavicle**, is classic for a PDA. - Symptoms of **feeding difficulty**, **tachypnea**, and **diaphoresis** indicate heart failure due to increased pulmonary blood flow, consistent with a significant PDA. *Aortopulmonary window* - This defect causes a **continuous murmur**, but it's typically heard more centrally, and the specific radiation to the left clavicle is less characteristic. - While it can present with similar symptoms of heart failure, the precise murmur description points away from this diagnosis. *Supracristal ventricular septal defect with aortic regurgitation* - A VSD murmur is typically **holosystolic**, not continuous, and would be loudest at the lower left sternal border. - The added aortic regurgitation would cause a diastolic murmur, but the classic "machinery-like" continuous murmur is not characteristic. *Congenital mitral insufficiency* - **Mitral insufficiency** would cause a **holosystolic murmur** loudest at the apex and radiating to the axilla, which does not match the description. - The murmur in this condition would not be continuous throughout systole and diastole. *Ruptured congenital sinus of Valsalva aneurysm* - A ruptured sinus of Valsalva aneurysm usually presents with **sudden onset chest pain** and acute heart failure symptoms in an older child or adult. - While it can cause a continuous murmur, the presentation in a 6-week-old without acute distress is less likely.
Explanation: ***Toxoplasmosis*** - The triad of **chorioretinitis**, **hydrocephalus**, and **intracranial calcifications** is classic for congenital toxoplasmosis. - The mother's exposure to **cats** (definitive hosts) and poor prenatal care supports the diagnosis of an acute maternal infection with vertical transmission. *Rubella* - Congenital rubella presents with **sensorineural hearing loss**, **cardiac defects** (e.g., patent ductus arteriosus, pulmonary artery stenosis), and **cataracts**, not chorioretinitis and intracranial calcifications. - While it can cause microcephaly, the specific **hydrocephalus** and diffuse calcifications seen here are not typical. *Syphilis* - Congenital syphilis manifests with early symptoms like **hepatosplenomegaly**, **rash**, and **rhinitis**, and later signs such as **Hutchinson's teeth** and **saddle nose**. - **Chorioretinitis** and the specific pattern of **intracranial calcifications** observed are not characteristic features of congenital syphilis. *CMV* - Congenital cytomegalovirus (CMV) often causes **periventricular calcifications**, **microcephaly**, and **sensorineural hearing loss**, but typically not the diffuse punctate calcifications and subcortical ring-enhancing lesions seen in this case. - While chorioretinitis can occur, the overall clinical picture with **hydrocephalus** points away from CMV as the most likely diagnosis. *HSV* - Congenital herpes simplex virus (HSV) infection typically presents with **skin vesicles**, **keratoconjunctivitis**, and encephalitis, often with focal brain lesions. - The lack of skin lesions and the specific pattern of diffuse **intracranial calcifications** and **chorioretinitis** make HSV less likely.
Explanation: ***LV: normal, RV: increased, SC: normal*** - The patient's presentation with easy fatigability, dyspnea on exertion, and a **holosystolic murmur** at the **lower left sternal border** strongly suggests a **ventricular septal defect (VSD)**. These symptoms result from a **left-to-right shunt**, leading to increased blood flow and pressure in the **right ventricle (RV)** and pulmonary circulation. - In a VSD, highly oxygenated blood from the **left ventricle (LV)** shunts into the RV. This increases the **oxygen tension** in the RV, while the LV and systemic circulation (SC) typically maintain normal oxygen tension if the shunt is not so large that it causes **pulmonary hypertension** with **Eisenmenger syndrome**. *LV: normal, RV: normal, SC: normal* - This profile would indicate a **normal cardiovascular system** without any significant shunting or cardiac anomaly. - It does not align with the patient's symptoms of easy fatigability, dyspnea, and the presence of a pathological murmur. *LV: decreased, RV: increased, SC: decreased* - A **decreased oxygen tension in the left ventricle** and **systemic circulation** typically indicates a **right-to-left shunt** or severe **pulmonary disease**, often associated with **cyanosis**, which is noted as absent in this patient. - While RV oxygen tension *could* be increased in some complex congenital heart diseases with right-to-left shunting (e.g., mixing lesions), the overall profile does not fit the characteristic presentation of a VSD without cyanosis. *LV: decreased, RV: normal, SC: decreased* - This profile with **decreased oxygen tension in the left ventricle** and **systemic circulation** suggests a condition where oxygenated blood supply to the systemic circulation is compromised, such as severe **left ventricular dysfunction** or a **right-to-left shunt**. - A **normal RV oxygen tension** without **cyanosis** makes this unlikely in the context of the patient's symptoms. *LV: normal, RV: normal, SC: decreased* - A **decreased oxygen tension in the systemic circulation** with **normal LV and RV oxygen tension** is inconsistent with a **VSD**. - This profile might be observed in conditions like severe **anemia** or **hypoxia** without a primary cardiac shunt.
Explanation: ***Bilateral renal agenesis*** - The combination of **amniotic fluid index (AFI) of 3 cm** (indicating **oligohydramnios**) and multiple facial and limb anomalies strongly suggests **Potter sequence**. - **Bilateral renal agenesis** is the most common cause of **Potter sequence**, leading to absence of fetal urine production and subsequent oligohydramnios, which restricts fetal movement and lung development. *Unilateral renal agenesis* - **Unilateral renal agenesis** typically does not cause **oligohydramnios** because the single functioning kidney can produce sufficient urine. - While it can be associated with other anomalies, the severe extent of Potter sequence features described here is unlikely with only unilateral involvement. *An extra 18th chromosome* - An extra 18th chromosome refers to **Edwards syndrome (Trisomy 18)**, which presents with severe intellectual disability, micrognathia, prominent occiput, and rocker-bottom feet. - While Edwards syndrome is associated with a variety of anomalies, including renal issues, the constellation of features (especially the clear link to oligohydramnios and respiratory distress) points more directly to Potter sequence. *Autosomal recessive polycystic kidney disease (ARPKD)* - **ARPKD** causes **enlarged, cystic kidneys** and can lead to **oligohydramnios** and respiratory distress due to renal insufficiency. - However, the description of **epicanthal folds, low-set ears, widely set eyes, and a broad, flat nose** is more characteristic of the **Potter facies** seen in severe oligohydramnios, rather than specific to ARPKD itself. *A microdeletion in chromosome 22* - A microdeletion in chromosome 22 typically refers to **22q11.2 deletion syndrome (DiGeorge syndrome)**, which is associated with **cardiac defects**, **abnormal facies**, **thymic hypoplasia**, **cleft palate**, and **hypocalcemia**. - While renal anomalies can occur in DiGeorge syndrome, the primary presentation is not characterized by the severe oligohydramnios and classic Potter sequence features described.
Explanation: ***Congenital Toxoplasma gondii infection*** - **Ventricular dilatation** with widespread **hyperechoic foci** (calcifications) in the brain, along with **posterior uveitis**, highly suggests congenital toxoplasmosis. - Other features like **generalized convulsions**, **icterus**, **purpura**, and **microcephaly** (indicated by 5th percentile weight/length vs 99th percentile head circumference discrepancy suggesting hydrocephalus with macrocephaly) are also consistent with this diagnosis. *Congenital parvovirus infection* - Primarily causes severe **anemia**, **hydrops fetalis**, and **myocarditis**; it does not typically present with extensive cerebral calcifications or uveitis. - While it can lead to neurological issues, the specific brain imaging findings and ocular involvement described are not characteristic. *Congenital Treponema pallidum infection* - Characterized by rhinitis (**snuffles**), **hepatosplenomegaly**, **bone abnormalities** (e.g., osteochondritis), and **rash**. - While it can cause CNS involvement and developmental delays, the distinct pattern of brain calcifications and uveitis is not typical. *Congenital cytomegalovirus infection* - Can cause **periventricular calcifications**, but the widespread, diffuse calcifications (cortex, basal ganglia, periventricular) are less typical than with toxoplasmosis, which often shows more diffuse parenchymal calcifications. - While it shares features like small for gestational age, icterus, and purpura, **posterior uveitis** is more strongly associated with toxoplasmosis. *Congenital rubella infection* - Classic triad includes **cataracts** (or glaucoma), **sensorineural hearing loss**, and **congenital heart defects** (e.g., PDA, pulmonary artery stenosis). - While CNS involvement (e.g., intellectual disability, microcephaly) can occur, the widespread cerebral calcifications and posterior uveitis are not characteristic.
Explanation: ***Supravalvular aortic stenosis*** - The clinical presentation, including **dysmorphic facial features**, **growth restriction**, and **intellectual disability**, coupled with a **deletion on the long arm of chromosome 7**, is highly suggestive of **Williams syndrome**. - **Supravalvular aortic stenosis** is a classic cardiovascular finding in **Williams syndrome**, present in about 75% of affected individuals. *Absent thymus gland* - An absent thymus gland is characteristic of **DiGeorge syndrome**, which is caused by a **deletion on chromosome 22q11**. - This patient's genetic analysis indicates a deletion on **chromosome 7**, not chromosome 22. *Brushfield spots on the iris* - **Brushfield spots** are characteristic of **Down syndrome** (**trisomy 21**). - The genetic finding of a **deletion on chromosome 7** rules out Down syndrome as the underlying cause. *Testicular enlargement* - **Testicular enlargement** is a hallmark feature of **Fragile X syndrome**, a genetic condition caused by an **FMR1 gene mutation** on the X chromosome. - This patient's symptoms and genetic findings of a **chromosome 7 deletion** are not consistent with Fragile X syndrome. *Hand flapping movements* - **Hand flapping** is a common repetitive behavior observed in individuals with **autism spectrum disorder** and is also seen in some other genetic conditions like **Rett syndrome**. - While individuals with Williams syndrome may have unique behavioral profiles, hand flapping is not a specific or typical feature of the syndrome, and the genetic finding points to Williams syndrome.
Explanation: ***Echocardiography*** - This patient presents with classic signs of **Marfan syndrome**, including tall stature, high-arched palate, arachnodactyly (**positive wrist and thumb signs**), and **ectopia lentis** (lens subluxation). - Patients with Marfan syndrome are at increased risk for **aortic dilation**, **aneurysm formation**, and **dissection**, which can be identified and monitored through echocardiography. *Karyotyping* - **Chromosomal abnormalities** typically manifest with more global developmental delays and dysmorphic features which are not the primary concern here. - While Marfan syndrome is a genetic disorder, it's caused by a mutation in the *FBN1* gene, not a large chromosomal aberration detectable by standard karyotyping. *IGF-1 measurement* - **IGF-1 (insulin-like growth factor 1)** levels are used to assess for **growth hormone disorders**, such as gigantism or acromegaly. - While the patient is tall, his other features (arachnodactyly, ectopia lentis, cardiac murmur) are not consistent with **growth hormone excess**. *Thyroid biopsy* - **Thyroid biopsy** is indicated for the evaluation of **thyroid nodules** or suspicious masses to rule out malignancy. - This patient has no clinical signs or symptoms suggestive of a thyroid disorder. *Measure plasma homocysteine concentration* - Elevated **homocysteine levels** are characteristic of **homocystinuria**, a genetic disorder that can present with some similar features to Marfan syndrome, such as lens subluxation and skeletal abnormalities. - However, homocystinuria typically involves **downward lens subluxation**, intellectual disability, and a higher risk of **thrombotic events**, which are not described in this patient.
Explanation: **Chediak-Higashi syndrome** - The presence of **recurrent bacterial infections**, **light-colored skin and silver hair**, and **large cytoplasmic vacuoles within neutrophils** is pathognomonic for Chediak-Higashi syndrome. - This condition is an **autosomal recessive disorder** characterized by impaired lysosomal trafficking, affecting phagocyte function and melanosome formation. *Leukocyte adhesion deficiency-1* - This disorder is characterized by **recurrent bacterial infections** due to a defect in integrins, preventing neutrophils from adhering to endothelial cells and migrating to infection sites. - However, it typically presents with **delayed umbilical cord separation** and lacks the distinctive features of light-colored skin/silver hair and giant cytoplasmic granules. *Common variable immunodeficiency* - This condition is characterized by **recurrent bacterial infections** due to low levels of immunoglobulins, leading to impaired B-cell function. - It typically presents later in childhood or adulthood and does not involve abnormalities in skin pigmentation or neutrophil morphology. *Acquired immunodeficiency syndrome* - **AIDS** is caused by the **Human Immunodeficiency Virus (HIV)** and leads to a progressive decline in CD4+ T cells, resulting in opportunistic infections. - While it causes recurrent infections, the clinical presentation in a **6-month-old infant** with silver hair and giant neutrophil granules is not consistent with AIDS unless there's a strong perinatal exposure history, which is not mentioned. *Congenital thymic aplasia* - Also known as **DiGeorge syndrome**, this condition involves **T-cell immunodeficiency** due to hypoplasia or aplasia of the thymus, leading to recurrent viral, fungal, and parasitic infections. - It is also associated with **hypocalcemia** and **congenital heart defects**, but it does not present with recurrent bacterial infections combined with light skin/silver hair and giant neutrophil granules.
Explanation: ***Chromosome 7*** - This patient's symptoms (recurrent pneumonia, foul-smelling stools/steatorrhea) are classic for **cystic fibrosis (CF)**. The most common mutation in CF is a **3-base pair deletion for phenylalanine** (ΔF508), located on the **CFTR gene** on **chromosome 7**. - The cystic fibrosis transmembrane conductance regulator (CFTR) gene, which is defective in CF, is found on **the long arm (q) of chromosome 7** at position 31.2. *Chromosome 4* - **Chromosome 4** is associated with genetic disorders such as **Huntington's disease** and **Wolf-Hirschhorn syndrome**, which do not match the clinical presentation of recurrent pneumonia and steatorrhea. - Huntington's disease involves trinucleotide repeats and primarily affects neurological function later in life. *Chromosome 22* - **Chromosome 22** is implicated in conditions like **DiGeorge syndrome** (22q11.2 deletion syndrome) and certain leukemias, none of which present with the described gastrointestinal and pulmonary symptoms. - DiGeorge syndrome is characterized by cardiac defects, abnormal facies, thymic hypoplasia, cleft palate, and hypocalcemia. *Chromosome 17* - **Chromosome 17** is associated with diseases such as **Neurofibromatosis type 1** and **hereditary breast and ovarian cancer** (BRCA1 gene), which are inconsistent with the patient's symptoms. - Neurofibromatosis type 1 primarily involves the skin, nervous system, and bones, with manifestations like café-au-lait spots and neurofibromas. *Chromosome 15* - **Chromosome 15** is linked to disorders like **Prader-Willi syndrome** and **Angelman syndrome**, which are distinct neurodevelopmental disorders not characterized by recurrent respiratory infections and malabsorption. - These syndromes result from genomic imprinting defects and present with intellectual disability, developmental delay, and specific physical features.
Explanation: ***Karyotyping*** - The patient's presentation with **tall stature**, **long extremities**, **gynecomastia**, **small testes**, and **learning difficulties** is highly suggestive of **Klinefelter syndrome (47,XXY)**. - **Karyotyping** is the definitive diagnostic test for Klinefelter syndrome as it identifies the presence of an extra X chromosome. *Urinalysis* - This test is used to detect various kidney and urinary tract conditions and would not identify a **chromosomal abnormality**. - While it can reveal issues like **proteinuria** or **hematuria**, these are not consistent with the primary presenting symptoms. *Southern blot* - This technique detects specific **DNA sequences** and is used for conditions like **fragile X syndrome** or **gene deletions**, but it is not the primary diagnostic tool for **aneuploidies** like Klinefelter syndrome. - Karyotyping provides a broader overview of the entire **chromosome set**, which is necessary to identify an extra chromosome. *Slit-lamp examination* - This examination is used to visualize the eyes and is relevant for conditions like **Marfan syndrome** (**ectopia lentis**) or other ocular abnormalities, which are not the primary concern here. - There are no symptoms presented that would suggest the need for a **slit-lamp examination**. *Serum IGF-1 measurement* - **Insulin-like growth factor 1 (IGF-1)** is measured to assess **growth hormone levels** and diagnose conditions like **acromegaly** or **dwarfism**. - While the patient is tall, his other features (gynecomastia, small testes, learning difficulties) point strongly to a **chromosomal disorder** rather than a primary growth hormone abnormality.
Explanation: ***STAT3*** - The patient's presentation with recurrent **abscesses**, widespread eczematous rash, and characteristic facial features (thickened skin, wide-set nose) is highly suggestive of **Job syndrome**, also known as hyper-IgE syndrome. - Job syndrome is an autosomal dominant primary immunodeficiency caused by mutations in the **STAT3 gene**, leading to impaired Th17 cell function and recurrent infections, particularly with *Staphylococcus aureus*. *IL-12 receptor* - Mutations in the **IL-12 receptor** lead to a predisposition to infections with intracellular bacteria and mycobacteria (e.g., disseminated atypical mycobacterial infections, salmonella) due to impaired Th1 immune response. - This condition is not typically associated with recurrent abscesses, eczematous rashes, or the specific facial features seen in this patient. *WAS* - Mutations in the **WAS gene** cause Wiskott-Aldrich syndrome, characterized by the triad of **thrombocytopenia** (leading to bleeding diathesis), **eczema**, and recurrent infections. - While eczema is present in the patient, the absence of thrombocytopenia and the presence of recurrent abscesses and specific facial features make Wiskott-Aldrich syndrome less likely. *LYST* - Mutations in the **LYST gene** cause Chédiak-Higashi syndrome, an autosomal recessive disorder characterized by partial **oculocutaneous albinism**, recurrent pyogenic infections, and neurological abnormalities. - The patient's presentation does not include albinism or significant neurological findings, nor the giant lysosomes characteristic of this syndrome. *Adenosine deaminase* - Deficiency of **adenosine deaminase (ADA)** leads to severe combined immunodeficiency (SCID), a profound impairment of both T and B cell immunity. - Patients typically present with severe, life-threatening infections, chronic diarrhea, and failure to thrive early in life, a much more severe and generalized immunodeficiency than described in this patient.
Explanation: ***Elevated prothrombin time*** - This patient's presentation is highly suggestive of **cystic fibrosis**, characterized by recurrent respiratory infections, **malabsorption** (loose, foul-smelling stools, failure to thrive), and a history of **meconium ileus**. - **Malabsorption** in cystic fibrosis leads to deficiencies of **fat-soluble vitamins** (A, D, E, K). **Vitamin K deficiency** impairs the synthesis of clotting factors II, VII, IX, and X, leading to a **prolonged prothrombin time (PT)**. *Decreased residual volume on spirometry* - Patients with cystic fibrosis often develop **obstructive lung disease** due to thick mucus, leading to **air trapping** and subsequent **increased residual volume** on spirometry, not decreased. - Decreased residual volume is typically associated with **restrictive lung diseases**, which are not characteristic of early cystic fibrosis. *Cytoplasmic anti-neutrophil cytoplasmic antibodies* - **c-ANCA** (cytoplasmic anti-neutrophil cytoplasmic antibodies) are associated with **granulomatosis with polyangiitis (Wegener's)**, a vasculitic condition, and are not typically found in cystic fibrosis. - While cystic fibrosis can cause chronic inflammation, the specific autoantibodies for vasculitis are not characteristic. *Metabolic acidosis* - While severe lung disease can lead to **respiratory acidosis** (due to CO2 retention), metabolic acidosis is not a primary or typical feature of cystic fibrosis itself. - In cases of severe dehydration or other complications, metabolic acidosis could occur, but it's not a defining characteristic of the chronic disease. *Glutamic acid decarboxylase antibodies* - **Glutamic acid decarboxylase (GAD) antibodies** are markers for **Type 1 diabetes mellitus**, an autoimmune condition affecting pancreatic beta cells. - While diabetes can be a complication of cystic fibrosis (cystic fibrosis-related diabetes), GAD antibodies are not a direct finding in cystic fibrosis itself, nor are they the most immediate or common complication at this age.
Explanation: **Ultrasound of the hips** - The clinical findings of **leg length discrepancy**, **asymmetrical gluteal folds**, and a **palpable clunk** (consistent with an **Ortolani sign**) are highly suggestive of **developmental dysplasia of the hip (DDH)**. - An **ultrasound of the hips** is the most appropriate initial diagnostic imaging modality for DDH in infants younger than 4-6 months because their femoral heads are primarily cartilaginous and not yet ossified, making X-rays less informative. *Observation with follow-up in 6 months* - Given the strong clinical signs of **DDH**, simple observation is **inappropriate** as early diagnosis and treatment are crucial to prevent long-term complications such as avascular necrosis and degenerative joint disease. - Delaying diagnosis could lead to more invasive treatments and worse outcomes. *Magnetic resonance image (MRI) of the lumbosacral spine* - An MRI of the lumbosacral spine would be indicated for spinal cord abnormalities or other neurological concerns, which are **not suggested** by the patient's symptoms or physical examination findings. - The present clinical picture points directly to a hip pathology. *Ultrasound of the lumbosacral spine* - An ultrasound of the lumbosacral spine is typically used to investigate **spinal dysraphism** or other spinal anomalies if there are cutaneous markers (e.g., sacral dimple, hairy patch) suggesting a spinal problem. - While a **blue macule (Mongolian spot)** is noted, it is a benign finding and **not an indication** for spinal imaging in the absence of other neurological signs or deeper dimples/sinuses. *X-ray of the hips* - X-rays are **not effective** for diagnosing DDH in infants younger than 4-6 months because the **femoral head** is largely **cartilaginous** and not well-visualized on plain radiographs. - X-rays become more useful after the femoral head ossification center develops, typically around 4-6 months of age.
Explanation: ***47, XY, +21*** - The patient's presentation with **short stature**, a **flat face**, **low-set ears**, a **large tongue**, a **single palmar crease (Simian crease)**, and **learning difficulties** are classic diagnostic features of **Down syndrome**. - **Down syndrome** is caused by the presence of an extra copy of chromosome 21, leading to a karyotype of **47, XY, +21** (if male) or 47, XX, +21 (if female). The mention of the parents' age (born after 20 years of marriage implies an older maternal age) is a significant risk factor for Down syndrome. *47, XXX* - This karyotype describes **Triple X syndrome**, which affects females. Individuals usually present with normal appearance, learning difficulties, and often do not have distinct physical features like those described in the case. - The patient is a 5-year-old boy, immediately ruling out Triple X syndrome. *47, XY, +18* - This karyotype indicates **Edwards syndrome (Trisomy 18)**. While it presents with developmental delay and distinctive physical features, these typically include a **rocker-bottom feet**, **clenched hands**, and other severe abnormalities often leading to early demise. - The specific features described in the patient, such as a **flat face** and **single palmar crease**, are not characteristic of Edwards syndrome. *47, XXY* - This karyotype describes **Klinefelter syndrome**, which affects males. This condition is characterized by **tall stature**, **hypogonadism**, and often **learning difficulties**, but the patient's features like **short stature**, **flat face**, and **single palmar crease** are not consistent with Klinefelter syndrome. - The phenotype of Klinefelter syndrome becomes more evident in adolescence and adulthood. *45, XO* - This karyotype describes **Turner syndrome**, which affects females. Features include **short stature**, **webbed neck**, and **gonadal dysgenesis**. - The patient is a 5-year-old boy, which rules out Turner syndrome.
Explanation: **Autosomal dominant** - The clinical presentation with **rhizomelic dwarfism**, normal intelligence, and macrocephaly is highly suggestive of **achondroplasia**, which is inherited in an **autosomal dominant** pattern. - Achondroplasia is caused by a mutation in the **fibroblast growth factor receptor 3 (FGFR3)** gene, which inhibits chondrocyte proliferation in the growth plate, leading to disproportionate short stature. *Mitochondrial pattern of inheritance* - This pattern is characterized by transmission only through the **mother** to all offspring, and typically affects tissues with high energy demands like muscle and brain due to impaired oxidative phosphorylation. - The presented symptoms of disproportional dwarfism are not characteristic of common mitochondrial disorders. *X-linked recessive* - This pattern primarily affects **males**, with carrier mothers passing the trait to sons, and affected males not passing it to their sons. - The described condition affects a female infant and the pattern of inheritance does not align with typical X-linked recessive disorders. *Autosomal recessive* - This pattern requires **two copies of the mutated gene** for the disease to manifest, meaning both parents are usually asymptomatic carriers. - While some forms of dwarfism can be autosomal recessive, the specific clinical features and prevalence of achondroplasia point towards an autosomal dominant inheritance. *X-linked dominant* - This pattern affects both males and females, but often more severely in males, and affected fathers pass the trait to **all their daughters** but none of their sons. - The symptoms described do not fit the typical presentation or inheritance pattern of X-linked dominant disorders, which are generally rarer for forms of skeletal dysplasia.
Explanation: ***Atrial septal defect*** - The patient presents with a **grade II systolic ejection murmur at the left upper sternal border** (pulmonic area due to increased flow across the pulmonic valve) and a **mid-diastolic rumble at the left sternal border** (tricuspid area due to increased flow across the tricuspid valve). - The **fixed splitting of S2** (splitting of S2 that does not change with inspiration) is a classic auscultatory finding for an ASD due to persistent delay in pulmonic valve closure caused by a continuous overload of the right ventricle. *Ventricular septal defect* - The murmur of a VSD is typically a **holosystolic murmur** best heard at the **lower left sternal border**, not a systolic ejection murmur at the upper left sternal border. - While VSDs can cause pulmonary overflow and a diastolic rumble, the **fixed splitting of S2** is characteristic of an ASD, not a VSD. *Hypertrophic cardiomyopathy* - HCM typically presents with a **harsh systolic murmur** that **increases with Valsalva maneuver** and decreases with squatting, reflecting dynamic outflow tract obstruction. - It does not usually present with a mid-diastolic rumble or fixed splitting of S2. *Rheumatic heart disease* - Rheumatic heart disease often leads to **mitral stenosis**, which would present with a **loud S1** and an **opening snap** followed by a mid-diastolic rumble. Aortic involvement can also occur. - While a mid-diastolic rumble is present, the absence of a history of rheumatic fever, a systolic ejection murmur at the pulmonic area, and fixed S2 splitting makes ASD more likely. *Bicuspid aortic valve* - A bicuspid aortic valve can cause an **early systolic ejection click** and a **systolic ejection murmur** at the **right upper sternal border** (aortic area) if stenosis is present. - It does not typically cause a mid-diastolic rumble or fixed splitting of S2 unless severe aortic regurgitation or coexisting lesions are present, which are not suggested here.
Explanation: ***Ultrasound of the abdomen*** - This patient presents with classic signs and symptoms of **intussusception**, including **intermittent colicky abdominal pain** (drawing knees to chest), **bilious vomiting**, **currant jelly stools** (blood and mucus), and a **sausage-shaped mass** in the right upper quadrant. - **Ultrasound** is the **first-line diagnostic test** for suspected intussusception, showing the characteristic **target sign** (donut sign) on transverse view and **pseudokidney sign** on longitudinal view. - While clinical findings are highly suggestive, **imaging confirmation is required** before attempting therapeutic reduction to rule out lead points or complications. - After ultrasound confirms the diagnosis, **air or contrast enema** can be used for therapeutic reduction. *Air enema* - Air enema (pneumatic reduction) is an **appropriate therapeutic intervention** for intussusception, but it is typically performed **after ultrasound confirmation** of the diagnosis. - It is both diagnostic and therapeutic, with success rates of 80-90% for uncomplicated cases. - However, the question asks for the **most appropriate NEXT step**, which is imaging confirmation first. *MRI of the abdomen* - While MRI can visualize abdominal structures, it is **not the usual first-line diagnostic modality** for intussusception. - It is **more time-consuming** and less readily available in an emergency setting compared to ultrasound. - MRI would be unnecessary when ultrasound can rapidly confirm the diagnosis. *X-ray of the abdomen* - An **X-ray of the abdomen** can show signs of obstruction (e.g., dilated bowel loops, air-fluid levels, paucity of gas in right lower quadrant) but is **not sensitive or specific enough** to diagnose intussusception definitively. - It does not offer therapeutic benefit, and **ultrasound** is the preferred initial imaging modality (sensitivity ~98-100%). *Stool cultures* - **Stool cultures** are used to identify bacterial or viral pathogens causing **gastroenteritis**, which would not explain the classic findings like a sausage-shaped mass or currant jelly stools. - They would not be appropriate for managing acute abdominal obstruction with clear physical examination findings. *Exploratory laparotomy* - **Exploratory laparotomy** is a surgical procedure reserved for cases where **non-operative reduction fails**, there are signs of **perforation or peritonitis**, or there is **irreducible intussusception**. - It is an **invasive procedure** and not the initial management step when the patient is hemodynamically stable without signs of perforation.
Explanation: ***Meiotic nondisjunction*** - This patient's presentation with **tall stature**, **gynecomastia**, **sparse facial hair**, and **small, firm testes** is highly characteristic of **Klinefelter syndrome (47, XXY)**. - **Klinefelter syndrome** typically results from **meiotic nondisjunction**, leading to an extra X chromosome. The elevated **FSH** and **LH** indicate **primary hypogonadism**, common in this condition. *CGG trinucleotide repeat disorder* - This refers to **Fragile X syndrome**, characterized by **intellectual disability**, **macroorchidism**, and **distinct facial features**, none of which fully align with this patient's presentation beyond potential ADHD comorbidity. - Fragile X syndrome is not directly associated with the specific hormonal profile (elevated FSH/LH with small, firm testes) and phenotypic presentation of Klinefelter syndrome. *CTG trinucleotide repeat disorder* - This points to **myotonic dystrophy**, which presents with **progressive muscle wasting**, **myotonia**, and other systemic features like cataracts and cardiac conduction defects. - While hypogonadism can be a feature, the constellation of symptoms (tall stature, gynecomastia, small testes) and the hormonal profile are not typical for myotonic dystrophy. *Failure of neuronal migration* - This can lead to various **neurodevelopmental disorders** and **epilepsy**, but it is not directly linked to the specific constellation of primary hypogonadism, tall stature, and gynecomastia observed in this patient. - There is no direct causal link between neuronal migration defects and the endocrine and phenotypic features described. *Anabolic steroid use* - While anabolic steroid use can cause **gynecomastia** and **testicular atrophy** due to suppression of endogenous testosterone, it would typically lead to **low FSH and LH levels** due to negative feedback, not the elevated levels seen in this patient. - The patient's reported healthy diet and general presentation also do not strongly suggest steroid abuse.
Explanation: ***Aniridia*** - The clinical presentation of a **palpable, painless abdominal mass** that does not cross the midline, along with **hypertension** and symptoms suggesting a urinary tract infection (fever, dysuria, abdominal pain) in a 3-year-old girl, is highly indicative of **Wilms tumor (nephroblastoma)**. - **Aniridia** (absence of the iris) is a congenital anomaly strongly associated with **Wilms tumor**, particularly as part of the **WAGR syndrome** (Wilms tumor, Aniridia, Genitourinary anomalies, and intellectual disability), caused by a deletion on chromosome 11 that includes the *WT1* gene. *Ash leaf spots* - **Ash leaf spots** are hypopigmented macules characteristic of **tuberous sclerosis complex**, a genetic disorder associated with hamartomas in various organs, including the brain, kidney, heart, and skin. - While tuberous sclerosis can be associated with kidney lesions (e.g., angiomyolipomas), it does not typically present with a solitary renal mass like a Wilms tumor, nor are ash leaf spots directly linked to nephroblastoma. *Opsoclonus myoclonus* - **Opsoclonus-myoclonus syndrome (OMS)**, also known as **dancing eyes-dancing feet syndrome**, is a rare neurological disorder characterized by rapid, chaotic eye movements (opsoclonus) and involuntary muscle jerks (myoclonus). - In children, OMS is most commonly a **paraneoplastic syndrome associated with neuroblastoma**, a tumor of the sympathetic nervous system, which typically presents with an abdominal mass that **often crosses the midline** and can present with systemic symptoms like pallor and periorbital ecchymoses, rather than the specific renal origin suggested by the lack of midline crossing. *Epstein-Barr virus* - The **Epstein-Barr virus (EBV)** is the causative agent of **infectious mononucleosis** and is implicated in various lymphoproliferative disorders and certain cancers, such as **Burkitt lymphoma** and nasopharyngeal carcinoma. - While Burkitt lymphoma can present as an abdominal mass, EBV is not directly associated with Wilms tumor. *11;22 chromosome translocation* - The **t(11;22)(q24;q12) translocation** is the characteristic cytogenetic abnormality found in **Ewing sarcoma**, a highly aggressive malignant tumor of bone and soft tissue. - Ewing sarcoma can present as a soft tissue mass, but it is not a renal tumor and does not typically present with the specific clinical features of Wilms tumor such as severe hypertension or aniridia.
Explanation: ***Serial abdominal ultrasonography*** - The combination of **macrosomia**, **omphalocele**, **hemihyperplasia**, **visceromegaly** (large kidneys and liver), **macroglossia** (large tongue), and **facial anomalies** is highly suggestive of **Beckwith-Wiedemann Syndrome (BWS)**. - Children with BWS have an increased risk of developing specific **embryonal tumors**, including **Wilms tumor** and **hepatoblastoma**, making regular abdominal ultrasonography crucial for early detection. - **Current guidelines recommend abdominal ultrasound every 3 months until age 8** for tumor surveillance. - Note: The mild hypoglycemia (60 mg/dL) should be monitored, as neonatal hypoglycemia is common in BWS, but tumor surveillance is the critical long-term management priority. *Serum 17-hydroxyprogesterone measurement* - This test is used to screen for **congenital adrenal hyperplasia (CAH)**. - The clinical presentation does not suggest CAH, as there are no signs of **ambiguous genitalia** or **salt-wasting crisis**. *Serum TSH measurement* - **Thyroid-stimulating hormone (TSH)** is measured to screen for **congenital hypothyroidism**. - While lethargy and feeding difficulties can occur in hypothyroidism, the described constellation of anomalies, especially macrosomia and omphalocele, is not characteristic of this condition. *Serum IGF-1 measurement* - **Insulin-like growth factor 1 (IGF-1)** levels are primarily evaluated in cases of suspected **growth hormone deficiency** or **excess (gigantism/acromegaly)**. - While BWS involves overgrowth, the initial diagnostic and screening approach for associated tumor risk does not involve IGF-1 measurement. *Cranial MRI* - **Cranial MRI** is indicated for neurological symptoms or suspected brain anomalies. - The patient's presentation does not include any neurological deficits or signs suggesting intracranial pathology as the primary concern.
Explanation: ***Pavlik harness*** - A Pavlik harness is the **gold standard treatment** for **developmental dysplasia of the hip (DDH)** in infants younger than 6 months. It maintains the hips in a **flexed and abducted position**, promoting proper acetabular development and hip reduction. - The patient's age (6 weeks), clear diagnosis of **acetabular dysplasia**, and a dislocated hip on ultrasound make the Pavlik harness the **most appropriate and least invasive initial treatment**. *Closed reduction and spica casting* - This treatment is typically reserved for children older than 6 months or those who **fail Pavlik harness treatment**. - It involves a more aggressive reduction technique, often requiring **anesthesia**, and is followed by prolonged immobilization in a **spica cast**. *Observation* - **Observation is not appropriate** for a 6-week-old infant with a **diagnosed dislocated hip** and **acetabular dysplasia**. - Untreated DDH can lead to **permanent hip instability**, pain, and early arthritis. *Physiotherapy* - While physiotherapy may play a role in rehabilitation after other interventions, it is **not sufficient as a primary treatment** for a dislocated hip in an infant. - It cannot achieve or maintain the necessary **reduction and stabilization** required for proper hip development. *Open reduction and femoral osteotomy* - This is an **invasive surgical procedure** typically reserved for older children (older than 18-24 months) or in cases of **failed non-operative management** and closed reduction, especially in irreducible or severely dysplastic hips. - It involves directly opening the joint to reduce the hip and may include reshaping bone (osteotomy) to improve hip stability. This is **premature** for a 6-week-old.
Explanation: ***Delayed pulse in lower extremities*** - The patient's symptoms, including **recurrent nosebleeds**, **headaches**, **leg pain with activity**, **hypertension** (especially in the right arm), and a **systolic murmur in the left paravertebral region**, are highly suggestive of **coarctation of the aorta**. - A key physical finding in coarctation of the aorta is a **delayed and diminished femoral pulse** compared to the radial pulse due to obstruction of blood flow to the lower body. *Inferior rib notching* - This finding is characteristic of **collateral circulation** developing around a coarctation in older children and adults, as the **intercostal arteries** become enlarged to supply blood to the lower body. - While associated with coarctation, it is typically seen on **chest X-rays** in older patients and is less likely to be present or pronounced in a 3-year-old. *Interarm difference in tissue oxygenation* - While coarctation can cause an **interarm blood pressure difference**, it typically does not directly cause a significant interarm difference in **tissue oxygenation** unless severe unilateral subclavian artery involvement is present, which is not the primary mechanism. - The primary oxygenation concern in coarctation is usually related to overall cardiac output or systemic effects rather than a localized interarm difference. *Pulmonary valve stenosis* - **Pulmonary valve stenosis** would typically present with a **systolic ejection murmur** heard best at the left upper sternal border, often radiating to the back. - It does not explain the specific constellation of symptoms such as **hypertension in the upper extremities**, **leg pain with activity**, or differential pulses characteristic of coarctation of the aorta. *Left-axis deviation on ECG* - **Left-axis deviation** on an ECG is often associated with conditions causing **left ventricular hypertrophy** or conduction defects. - While severe coarctation can lead to left ventricular hypertrophy, left-axis deviation is not a specific or direct diagnostic finding for coarctation and is less characteristic than the described physical exam findings.
Explanation: ***Endoscopy*** - Due to the **inherent danger of caustic ingestion**, regardless of initial symptoms, **esophagogastroduodenoscopy (EGD)** is the gold standard for assessing the extent and severity of injury to the upper gastrointestinal tract. This procedure is crucial within the first 12-24 hours to guide further management. - While the patient is asymptomatic, **caustic injuries** can progress and develop into strictures or perforations even without immediate obvious symptoms, making direct visualization essential. *Dilute hydrochloric acid* - **Neutralizing alkalis with acids** (or vice-versa) is contraindicated as it can cause an **exothermic reaction**, leading to further thermal injury and worsening the damage. - Chemical neutralization can also produce gas, which increases the **risk of esophageal perforation**. *Polyethylene glycol* - **Polyethylene glycol (PEG)** is an osmotic laxative used for **bowel preparation** or as a treatment for constipation but has no role in the management of caustic ingestion. - It would not remove the caustic substance from the esophagus or stomach, nor would it mitigate the chemical damage. *Observation* - Despite being asymptomatic initially, **caustic ingestions** can lead to delayed and severe complications such as **stricture formation**, perforation, and mediastinitis. - **Asymptomatic presentation** does not rule out significant internal injury, particularly because the full extent of the ingestion is unknown, making observation alone an unsafe approach. *Intubation* - While airway compromise is a potential complication of caustic ingestion, the patient is currently in no acute distress and is tolerating oral secretions, indicating a **patent airway**. - **Prophylactic intubation** is not indicated at this stage unless there are signs of respiratory distress, stridor, or significant oropharyngeal edema.
Explanation: ***Prominent intraparenchymal white matter calcification*** - The presentation of a **facial birthmark (port-wine stain)**, seizures, and the patient's age (2 years old) are highly characteristic of **Sturge-Weber syndrome**. - **Intraparenchymal calcifications**, particularly in the gyri ("tram-track" calcifications), are a hallmark of Sturge-Weber syndrome seen on **CT scans**, reflecting underlying vascular malformations. *A non-enhancing hemispheric lesion* - This finding is too general and does not specifically point to Sturge-Weber syndrome. - While Sturge-Weber involves brain abnormalities, the characteristic imaging finding is **calcification**, not just a non-enhancing lesion. *Subependymal giant cell astrocytoma* - This is a common finding in **Tuberous Sclerosis Complex**, another neurocutaneous disorder. - Tuberous sclerosis typically presents with **ash-leaf spots**, facial angiofibromas, and other organ involvement, which are not described here. *Intraparenchymal hemorrhage* - While seizures can sometimes be caused by hemorrhage, the presence of a **port-wine stain** and the chronicity implied by a "birthmark" makes hemorrhage less likely to be the primary cause of the underlying syndrome. - Hemorrhage would usually present with more acute and severe neurological deficits. *Subependymal nodule* - Similar to subependymal giant cell astrocytoma, **subependymal nodules** are characteristic of **Tuberous Sclerosis Complex**. - The clinical presentation with a facial port-wine stain points away from tuberous sclerosis and towards Sturge-Weber syndrome.
Explanation: ***Absence of the vas deferens*** - The patient's symptoms (recurrent respiratory infections, bulky foul-smelling stools, failure to thrive, and nasal polyps) are highly suggestive of **cystic fibrosis**. - Congenital bilateral absence of the **vas deferens** is a common **reproductive complication** in males with cystic fibrosis due to the abnormal development of the Wolffian ducts. *Apical impulse to the right of the sternum* - This finding suggests **dextrocardia**, which is a feature of **primary ciliary dyskinesia** (Kartagener's syndrome), not typically seen in cystic fibrosis. - Although both conditions involve recurrent respiratory infections, **PCD** is characterized by immotile cilia and **situs inversus**, which is distinct from the pancreatic insufficiency and malabsorption seen in cystic fibrosis. *Positive methacholine challenge test* - A positive methacholine challenge test indicates **bronchial hyperresponsiveness**, which is characteristic of **asthma**. - While some patients with cystic fibrosis may have reactive airway disease, asthma alone would not explain the **gastrointestinal symptoms** (bulky stools, failure to thrive) or **nasal polyps**. *Deficiency of immunoglobulin A* - **IgA deficiency** is the most common primary immunodeficiency and can lead to recurrent respiratory and gastrointestinal infections. - However, IgA deficiency does not typically cause **malabsorption** with bulky, foul-smelling stools or **nasal polyps**, which are key features of cystic fibrosis. *Antibodies to endomysium* - Antibodies to endomysium are serological markers for **celiac disease**, an autoimmune disorder triggered by gluten consumption. - While celiac disease causes malabsorption and failure to thrive, it does not typically lead to **recurrent respiratory infections** or **nasal polyps**.
Explanation: ***The degree of right ventricular outflow tract obstruction*** - The severity of **pulmonary stenosis** in **tetralogy of Fallot** dictates the amount of blood shunted from the right ventricle to the aorta via the **ventricular septal defect (VSD)**. - A **less severe obstruction** allows more blood to flow to the lungs, leading to less right-to-left shunting and consequently **less cyanosis**. *The ratio of reduced hemoglobin to oxyhemoglobin* - While this ratio directly reflects the presence of cyanosis, it does not explain its *cause* in the context of the given congenital heart defect. - The question asks what *correlates* with the presence or absence of cyanosis, implying a causal or pathophysiological link rather than a descriptive measure. *The concentration of hemoglobin* - **Hemoglobin concentration** affects the *visibility* of cyanosis (e.g., polycythemia can make mild desaturation appear more cyanotic), but it doesn't primarily determine the *presence* or *absence* of shunt-related cyanosis itself. - A patient can be significantly desaturated with a normal hemoglobin concentration, and the degree of desaturation is largely driven by the shunt. *The size of ventricular septal defect* - In tetralogy of Fallot, the **VSD is typically large and non-restrictive**, meaning its size itself doesn't limit blood flow between the ventricles. - The **pulmonary stenosis** is the primary determinant of the shunt direction and magnitude, not the size of the VSD. *The concentration of pulmonary surfactant* - **Pulmonary surfactant** is crucial for maintaining alveolar stability and preventing atelectasis, thereby ensuring efficient gas exchange in the lungs. - While important for overall respiratory function, it does not directly correlate with the degree of shunting and cyanosis in **tetralogy of Fallot**.
Explanation: ***Obstruction of the extrahepatic biliary tree*** - The elevated **direct bilirubin** (3.8 mg/dL out of 4.6 mg/dL total) in a 1-month-old, along with **scleral icterus** and **dark urine**, is highly suggestive of **biliary atresia**, which is an extrahepatic biliary obstruction. - While other forms of cholestasis can occur, this presentation with significant direct hyperbilirubinemia in a young infant points strongly towards a structural issue in the extrahepatic bile ducts. *Increased production of bilirubin* - This would primarily cause an elevation in **unconjugated (indirect) bilirubin**, as the liver would conjugate it efficiently. - The patient's lab results show a predominant elevation in **direct (conjugated) bilirubin**, making overproduction less likely as the primary cause. *Increased enterohepatic circulation of bilirubin* - This typically occurs in **physiologic jaundice** of the newborn, characterized by increased **unconjugated bilirubin** returning to the liver, often exacerbated by poor feeding. - The predominance of **direct bilirubin** in this case rules out increased enterohepatic circulation as the main etiology. *Decreased metabolism of bilirubin* - Conditions causing decreased bilirubin metabolism, such as **Crigler-Najjar syndrome** or **Gilbert's syndrome**, primarily affect the **conjugation process**, leading to elevated **unconjugated bilirubin**. - This patient presents with predominantly **conjugated hyperbilirubinemia**, indicating that conjugation is occurring but excretion is impaired. *Obstruction of the intrahepatic biliary tree* - While intrahepatic cholestasis can cause conjugated hyperbilirubinemia, conditions like **Alagille syndrome** or progressive familial intrahepatic cholestasis typically lack the complete obstruction seen in biliary atresia. - Biliary atresia is a more common and severe cause of **extrahepatic obstruction** presenting similarly to this case, often requiring surgical intervention.
Explanation: ***Ventriculoperitoneal shunt*** - The patient presents with symptoms and signs of **hydrocephalus** (e.g., rapidly increasing head circumference, bulging fontanelle, vomiting, irritability, gait disturbance, hypertonia, hyperreflexia). An MRI showing **symmetrical enlargement of all four ventricles** confirms communicating hydrocephalus. - A **ventriculoperitoneal (VP) shunt** is the most appropriate long-term treatment for symptomatic hydrocephalus, diverting CSF from the ventricles to the peritoneal cavity. *Cerebral aqueductoplasty* - This procedure is indicated for **aqueductal stenosis**, which causes **obstructive (non-communicating) hydrocephalus**, where only the ventricles proximal to the obstruction are dilated (e.g., third and lateral ventricles). - The MRI in this case shows **symmetrical enlargement of all four ventricles**, indicating **communicating hydrocephalus**, making aqueductoplasty unsuitable. *Acetazolamide therapy* - **Acetazolamide** is a carbonic anhydrase inhibitor that can reduce CSF production, typically used in cases of **idiopathic intracranial hypertension** or as a temporary measure in some forms of hydrocephalus. - However, in a symptomatic infant with significant hydrocephalus and rapid head growth, medical therapy alone is usually insufficient for long-term management and does not address the underlying CSF drainage issue. *Furosemide therapy* - **Furosemide**, a loop diuretic, can also reduce CSF production but is generally not considered a primary treatment for hydrocephalus, especially in symptomatic infants. - Its effects on CSF reduction are often transient and not as robust as surgical intervention for established hydrocephalus with neurological deficits. *Serial lumbar punctures* - **Serial lumbar punctures** can temporarily relieve pressure in **communicating hydrocephalus**, especially in neonates or patients awaiting shunt placement. - However, they are not a long-term solution for symptomatic hydrocephalus in an older infant with ongoing symptoms and a need for definitive management and are associated with risks of infection and discomfort.
Explanation: ***Cystic dilation of the collecting ducts in the kidney*** - This finding is characteristic of **autosomal recessive polycystic kidney disease (ARPKD)**, which leads to **Potter sequence/Potter syndrome**. - **Potter sequence** results from severe **oligohydramnios** (often due to bilateral renal disease causing inadequate urine production), leading to: - **Pulmonary hypoplasia** (lungs cannot expand properly without adequate amniotic fluid) - **Characteristic facial features** (Potter facies): low-set ears, flattened nose, recessed chin - **Limb deformities** (positional abnormalities from mechanical compression in utero) - The **persistent difficulty maintaining oxygenation despite appropriate interventions** is the key clinical clue - this indicates **structural pulmonary hypoplasia**, not simply respiratory distress from prematurity or other causes that would respond to treatment. - Potter sequence is the most likely diagnosis given this specific constellation of findings. *Chromosomal abnormality* - While **trisomy 18 (Edwards syndrome)** or **trisomy 13 (Patau syndrome)** can present with multiple congenital anomalies including facial dysmorphisms and limb deformities, they typically have additional characteristic findings (cardiac defects, rocker-bottom feet, holoprosencephaly, etc.). - The **specific triad** of Potter facies + limb deformities + **refractory respiratory distress due to pulmonary hypoplasia** is pathognomonic for Potter sequence, not chromosomal abnormalities. - Chromosomal abnormalities would not typically cause the severe oligohydramnios that leads to pulmonary hypoplasia. *Maternal diabetes* - Maternal diabetes can cause **macrosomia**, **hypoglycemia**, **respiratory distress syndrome (RDS)**, and rarely congenital anomalies (cardiac, neural tube defects). - It does not cause the specific pattern of **Potter facies** (low-set ears, flattened nose) and **limb deformities** seen in Potter sequence. - The mother is described as healthy with regular obstetric follow-up, making uncontrolled diabetes unlikely. *PKD1 gene mutation* - **PKD1 mutation** causes **autosomal dominant polycystic kidney disease (ADPKD)**, which typically presents in **adulthood** with hypertension, flank pain, and progressive renal failure. - While rare severe cases can present in utero, PKD1 mutation does not cause the **cystic dilation of collecting ducts** - that finding is specific to **ARPKD** (associated with PKHD1 gene mutation). - ADPKD involves cysts throughout the cortex and medulla, not specifically in collecting ducts. *Failure to administer betamethasone* - **Betamethasone** is given to mothers at risk of preterm delivery (before 34 weeks) to accelerate **fetal lung maturity** and reduce the severity of **respiratory distress syndrome (RDS)**. - While this infant is preterm (34 weeks) and has respiratory distress, betamethasone failure would cause RDS due to **surfactant deficiency**, which typically **responds to surfactant administration and respiratory support**. - This does not explain the **structural pulmonary hypoplasia** (indicated by refractory oxygenation issues) or the **facial and limb deformities**. - Betamethasone is typically given before 34 weeks; at 34 weeks, the benefit is limited.
Explanation: ***Transillumination test followed by scrotal ultrasound*** - The **transillumination test** is a quick and effective bedside tool to differentiate between fluid-filled hydroceles (which transilluminate brightly) and solid masses like hernias or tumors (which do not). - If transillumination suggests a fluid collection, a **scrotal ultrasound** will confirm the presence and nature of the fluid, rule out other masses, and assess testicular anatomy. *Standard urinalysis* - A standard urinalysis assesses kidney function and detects urinary tract infections but provides no information about scrotal contents or the **patency of the processus vaginalis**. - This test is unrelated to diagnosing a **hydrocele** or inguinal hernia. *Evaluation of cremasteric reflex on physical exam* - The **cremasteric reflex** assesses nerve integrity and can be absent in conditions like testicular torsion, but it does not help differentiate between a hydrocele, hernia, or other scrotal masses. - An intact reflex wouldn't rule out the suspected condition, and an absent reflex wouldn't confirm it. *Measurement of AFP and hCG levels* - **Alpha-fetoprotein (AFP)** and **beta-human chorionic gonadotropin (hCG)** are tumor markers primarily used in cases of suspected testicular cancer or germ cell tumors. - These markers are not indicated for the diagnosis of a **painless, transilluminating scrotal enlargement** in an infant, which is highly suggestive of a hydrocele. *Measurement of serum testosterone levels* - **Serum testosterone levels** are used to evaluate hormonal imbalances, developmental disorders, or delayed puberty. - This measurement offers no diagnostic value for a **scrotal fluid accumulation** in an infant and would not help differentiate a hydrocele from other scrotal conditions.
Explanation: ***Hydrocephalus*** - The patient's presentation with an **enlarged posterior fossa** and a **malformed cerebellar vermis** indicates **Dandy-Walker malformation**, which is frequently complicated by **hydrocephalus**. - Hydrocephalus results from impaired cerebrospinal fluid (CSF) flow due to the posterior fossa abnormalities, leading to increased intracranial pressure and worsening neurological symptoms. *Syringomyelia* - **Syringomyelia** is characterized by a **fluid-filled cyst (syrinx)** within the spinal cord, often associated with Chiari malformations, but it is not the primary abnormality described here. - While it can cause neurological deficits, it doesn't directly explain the **enlarged posterior fossa** or **malformed cerebellar vermis**. *Fetal alcohol syndrome* - **Fetal alcohol syndrome** is caused by maternal alcohol consumption during pregnancy and is associated with distinct facial features, growth restriction, and developmental delays, but not specifically with **Dandy-Walker malformation** or its characteristic brain abnormalities. - It is a **teratogenic condition** with a different set of diagnostic criteria. *Polyhydramnios* - **Polyhydramnios** refers to an **excess amount of amniotic fluid** during pregnancy. While it can be associated with various fetal anomalies, it is a prenatal finding and not a direct neurological condition or complication of Dandy-Walker malformation itself. - It is related to impaired fetal swallowing or increased urination, not inherently to specific brain malformations. *Vocal cord paralysis* - **Vocal cord paralysis** is a disorder affecting the movement of the vocal cords, which can be caused by various neurological conditions or injury, but it is not a direct or common association with **Dandy-Walker malformation**. - It is a specific symptom rather than a primary condition linked to the broader neurological picture described.
Explanation: ***Subdural hematoma*** - The presentation of **tense fontanelles**, decreased arousability, and difficulty feeding in an infant following a reported fall, combined with **bilateral optic disc swelling** and **dot-and-blot hemorrhages extending to the ora serrata** (classic signs of **retinal hemorrhages**) is highly suspicious for a **subdural hematoma** due to **abusive head trauma (shaken baby syndrome)**. - **Retinal hemorrhages**, particularly those extending to the ora serrata, are very specific for **abusive head trauma**, which commonly causes subdural hematomas from tearing of bridging veins. *Bacterial meningitis* - While bacterial meningitis can cause **tense fontanelles** and decreased arousability, it would typically present with **fever**, **irritability**, and often **neck stiffness**, which are not mentioned. - **Retinal hemorrhages** as described are not typical features of bacterial meningitis. *Basilar skull fracture* - A basilar skull fracture can cause neurological symptoms, but the presence of **tense fontanelles** and specifically **retinal hemorrhages** are not typical consequences. - It might present with signs like **Battle's sign** or **raccoon eyes** if severe, which are not described. *Periventricular hemorrhage* - **Periventricular hemorrhage** is most common in **premature infants** and typically presents with symptoms such as apnea, bradycardia, and lethargy, often without obvious trauma. - While it can cause increased intracranial pressure, the distinctive **retinal hemorrhages** seen here are not characteristic of periventricular hemorrhage. *Epidural hematoma* - An **epidural hematoma** is typically caused by arterial bleeding, often after a skull fracture, and usually presents with a **lucid interval** followed by rapid neurological deterioration. - While it can cause increased intracranial pressure and tense fontanelles, the specific **retinal hemorrhages** described are more indicative of **subdural hematoma** from non-accidental trauma.
Explanation: ***Mutation in MECP2 gene on X-chromosome*** - The patient's presentation with **normal early development** followed by **regression of speech and motor skills**, social withdrawal, and characteristic **hand-wringing stereotypies** in a 4-year-old girl is highly suggestive of **Rett syndrome**. - **Rett syndrome** is overwhelmingly caused by a mutation in the **MECP2 gene** (methyl-CpG binding protein 2) located on the X-chromosome. - Rett syndrome is an X-linked dominant disorder that almost exclusively affects females, as the mutation is typically lethal in males. *Partial deletion of short arm of chromosome 5* - This chromosomal abnormality is associated with **Cri-du-chat syndrome**, characterized by a **high-pitched cry** resembling a cat, intellectual disability, and microcephaly, which are not the primary features described here. - Patients with Cri-du-chat typically present with severe developmental delay from birth and **dysmorphic facial features**, unlike the regression pattern seen in this patient. *CGG trinucleotide repeat in FMR1 gene on X-chromosome* - This mutation causes **Fragile X syndrome**, which is characterized by intellectual disability, **large ears**, prominent jaw, and **macroorchidism** in males. - While it causes developmental delay and often presents with features of autism, it typically does not involve a distinct period of **normal development followed by regression** as seen in this patient. *Partial deletion of long arm of chromosome 7* - Deletions on the long arm of chromosome 7 are associated with various conditions, but a well-known example is **Williams syndrome** caused by a microdeletion at 7q11.23. - Williams syndrome involves intellectual disability, distinctive **"elfin" facial features**, and cardiovascular problems (e.g., supravalvular aortic stenosis), which do not align with the patient's symptoms of developmental regression and hand stereotypies. *CTG trinucleotide repeat in DMPK gene on chromosome 19* - This mutation is responsible for **Myotonic dystrophy type 1**, an autosomal dominant disorder characterized by progressive muscle weakness and myotonia, often presenting in adolescence or adulthood. - It does not present with a period of normal development followed by global developmental regression and specific hand stereotypies in early childhood.
Explanation: ***Thyroid hormone replacement therapy with levothyroxine*** - The patient's symptoms of **lethargy, constipation, dry skin, and hypothermia** are classic signs of **hypothyroidism** - The **flattened, reddish 2 cm lump at the base of the tongue** causing **dysphagia** is highly suggestive of a **lingual thyroid**, a developmental anomaly where thyroid tissue fails to descend from the base of the tongue during embryonic development - In **90% of lingual thyroid cases**, this ectopic tissue represents the **only functioning thyroid tissue** in the body, leading to hypothyroidism - **Levothyroxine replacement** is the first-line management, addressing the hypothyroidism and often reducing the size of the lingual thyroid mass, improving swallowing difficulties - Surgical excision is reserved for cases where medical management fails or severe airway/swallowing obstruction persists *Week-long course of penicillin* - Penicillin is an **antibiotic** used to treat **bacterial infections** - The patient's symptoms indicate an **endocrine disorder** (hypothyroidism) and **developmental anomaly** (lingual thyroid), not an infectious process - No signs of infection such as fever, leukocytosis, or acute inflammation are present *No treatment is necessary, counsel mother on alternative feeding techniques* - Given the **significant systemic symptoms** of hypothyroidism (lethargy, constipation, dry skin, hypothermia) and feeding difficulties, **treatment is clearly necessary** - **Untreated congenital hypothyroidism** in a child leads to severe developmental delays, intellectual disability, and growth retardation (cretinism) - While feeding techniques may help with dysphagia, they do not address the underlying hypothyroidism requiring urgent treatment *Combination therapy of methimazole and Beta-blockers* - **Methimazole** (antithyroid medication) and **beta-blockers** are used to treat **hyperthyroidism** (overactive thyroid) - The patient's symptoms (lethargy, constipation, hypothermia, dry skin) are characteristic of **hypothyroidism** (underactive thyroid), making antithyroid therapy completely inappropriate - This would further suppress thyroid function and worsen the patient's condition *Radioactive iodine ablation* - **Radioactive iodine (I-131) ablation** is used to treat **hyperthyroidism** (Graves' disease, toxic nodules) or **thyroid cancer** - It is a **destructive treatment** that eliminates thyroid tissue - In this patient with a **lingual thyroid likely representing the only functioning thyroid tissue**, ablation would cause **complete thyroid failure** and severe, permanent hypothyroidism - Radioactive iodine is also **contraindicated in children** except for specific cases of thyroid cancer
Explanation: **_Trisomy 18_** - The constellation of findings, including **micrognathia**, prominent occiput, **low-set ears**, short palpebral fissures, **clenched fists with overlapping fingers**, widely spaced nipples, and **rocker-bottom feet**, are classic signs of **Edwards syndrome (Trisomy 18)**. - The **holosystolic murmur** suggests a **ventricular septal defect (VSD)**, which is commonly associated with Trisomy 18. *Deletion of Chromosome 5p* - This is associated with **Cri-du-chat syndrome**, characterized by a **cat-like cry**, microcephaly, and intellectual disability. - The classic features described in the case, such as rocker-bottom feet and overlapping fingers, are not typical of Cri-du-chat syndrome. *Trisomy 13* - This is **Patau syndrome**, characterized by **polydactyly**, cleft lip/palate, microphthalmia, and cutis aplasia. - While it shares some features of severe developmental abnormalities, the specific hand posture and ear/facial anomalies point away from Trisomy 13. *Fetal alcohol syndrome* - This condition presents with **facial dysmorphology** (short palpebral fissures, thin upper lip, smooth philtrum), growth restriction, and intellectual disability. - It does not typically include the prominent occiput, micrognathia, or characteristic finger positioning and foot deformities seen in this patient. *Trisomy 21* - Also known as **Down syndrome**, characterized by features such as **epicanthal folds**, upslanting palpebral fissures, a single palmar crease, and hypotonia. - While some features like a VSD can overlap, the specific facial features and skeletal anomalies (e.g., clenched fists with overlapping fingers, rocker-bottom feet) are distinctly different from Down syndrome.
Explanation: ***CMV*** - The combination of **jaundice**, **microcephaly**, **hepatosplenomegaly**, and **periventricular calcifications** on neuroimaging (as seen in the image) is highly characteristic of congenital CMV infection. - While other congenital infections can cause some of these symptoms, the specific pattern of **periventricular calcifications** is a hallmark of CMV. *Toxoplasmosis* - Congenital toxoplasmosis also causes **microcephaly** and **hydrocephalus**, but the calcifications are typically **scattered throughout the brain parenchyma**, not predominantly periventricular. - While **hepatosplenomegaly** and **jaundice** can occur, the neuroimaging findings help differentiate it from CMV. *Syphilis* - Congenital syphilis can present with **hepatosplenomegaly** and **jaundice**, but typically involves findings like **maculopapular rash**, **bone abnormalities** (e.g., osteochondritis), and **snuffles**, which are not mentioned. - **Intracranial calcifications** are not a typical feature of congenital syphilis. *Varicella* - Congenital varicella syndrome is rare and typically presents with **skin scarring (cicatricial lesions)**, **limb hypoplasia**, and **ophthalmologic abnormalities**. - **Microcephaly** and **intracranial calcifications** are not primary features, nor is significant **hepatosplenomegaly** or **jaundice**. *Rubella* - Congenital rubella syndrome (CRS) classical triad includes **cataracts/glaucoma**, **sensorineural hearing loss**, and **congenital heart defects** (e.g., PDA, pulmonary artery stenosis). - While **microcephaly** and **hepatosplenomegaly** can occur, the characteristic **periventricular calcifications** seen in the image are not typical for CRS.
Explanation: ***Cystic dilation of collecting duct*** - The combination of **renal dysfunction** (implied by Potter sequence features and periportal fibrosis) and **respiratory distress** points to **autosomal recessive polycystic kidney disease (ARPKD)**. - ARPKD is characterized by **cystic dilation of collecting ducts** and often presents with **Potter sequence** (low-set ears, retrognathia, limb deformities like club feet) due to oligohydramnios, and **hepatic fibrosis**. *Mutation on the short arm of chromosome 16* - A mutation on the short arm of chromosome 16 (specifically, the *PKD1* gene) is associated with **autosomal dominant polycystic kidney disease (ADPKD)**. - ADPKD typically presents later in adulthood with large renal cysts, hypertension, and renal failure, and is not usually the cause of neonatal death with Potter sequence. *Valvular obstruction of urine outflow* - **Posterior urethral valves (PUV)** can cause **obstructive uropathy** leading to decreased urine output, oligohydramnios, and Potter sequence, as well as renal dysplasia. - While PUV can lead to similar features, the presence of **periportal fibrosis** strongly points away from a purely obstructive cause and towards a genetic renal-hepatic syndrome like ARPKD. *Bilateral hypoplasia of kidneys* - **Bilateral renal hypoplasia** refers to underdeveloped kidneys that are too small and may cause renal insufficiency and Potter sequence. - However, it does not typically include the **periportal hepatic fibrosis** seen in this neonate, which is a hallmark of ARPKD. *Nondisjunction of chromosome 18* - **Trisomy 18 (Edwards syndrome)**, caused by nondisjunction of chromosome 18, is associated with various congenital anomalies, including low-set ears, retrognathia, and limb deformities, and can lead to early death. - However, Trisomy 18 does not typically cause **periportal fibrosis** of the liver, and while renal anomalies can occur, **cystic dilation of collecting ducts** as a primary cause of death is more specific to ARPKD in this context.
Explanation: ***Sensorineural hearing loss*** - The infant's symptoms, including **intracranial calcifications** (white deposits in the brain), **small for gestational age (SGA)**, and **petechiae** (blue dots), are classic signs of congenital cytomegalovirus (CMV) infection. - **Sensorineural hearing loss** is the most common long-term sequela of congenital CMV, affecting a significant portion of symptomatic infants, and can be progressive. *Continuous machine-like murmur* - A **continuous machine-like murmur** is characteristic of a **patent ductus arteriosus (PDA)**, a common finding in congenital **rubella syndrome** and prematurity, but less specific to CMV. - While CMV can cause various congenital anomalies, PDA is not a primary or defining feature of **congenital CMV infection**. *Skin vesicles* - **Skin vesicles**, especially in a dermatomal pattern, are characteristic of **congenital varicella syndrome** or **herpes simplex virus (HSV)** infection. - CMV typically presents with **petechiae** or a **blueberry muffin rash** due to extramedullary hematopoiesis, not vesicles. *Hutchinson teeth* - **Hutchinson teeth** are a classic sign of **congenital syphilis**, along with interstitial keratitis and sensorineural hearing loss (the **Hutchinson triad**). - The symptoms described do not align with other features of congenital syphilis. *Limb hypoplasia* - **Limb hypoplasia** is a hallmark finding of **congenital varicella syndrome**, often associated with cutaneous scarring and ocular defects. - It is not a typical manifestation of congenital CMV infection, which primarily affects the central nervous system, hematopoietic system, and growth.
Explanation: ***Chromosome 11*** - This clinical presentation, particularly the **solitary renal mass** in a 4-year-old and the imaging findings of a **pseudocapsule** and displacement of the collecting system, is highly suggestive of **Wilms tumor (nephroblastoma)**. - **Wilms tumor** is associated with genetic abnormalities, most notably mutations in the **WT1 gene** located on **chromosome 11p13**, and the **WT2 locus** on **chromosome 11p15.5**. *Chromosome 13* - Abnormalities on **chromosome 13** are primarily associated with **retinoblastoma**, linked to mutations in the **RB1 gene**. - While retinoblastoma is a childhood cancer, its presentation involves ocular tumors, not renal masses. *Chromosome 1* - Genetic abnormalities on **chromosome 1** are implicated in various cancers and conditions, but they are not the primary or most characteristic genetic defect associated with **Wilms tumor**. - Specific translocations or deletions on chromosome 1 can be seen in certain leukemias and lymphomas, which do not fit the clinical picture. *Chromosome 3* - **Chromosome 3** abnormalities are well-known in various malignancies, most notably **renal cell carcinoma (RCC)**, particularly the **von Hippel-Lindau (VHL) gene** at 3p25-26. - RCC is typically a cancer of adulthood, and VHL disease presents with multiple organ system involvement, differing from a solitary renal mass in a young child. *Chromosome 22* - Abnormalities on **chromosome 22** are frequently associated with conditions like **neurofibromatosis type 2** (NF2 gene) and **DiGeorge syndrome** (22q11 deletion). - The presentation of a renal mass in a child is not characteristic of genetic defects on chromosome 22.
Explanation: ***Imperforate anus*** - The combination of a **distended abdomen**, **flat perineal region without an opening**, and **dark green discharge from the vulva** (indicating meconium passage through a rectovaginal fistula) is pathognomonic for imperforate anus. - This congenital anomaly results from abnormal development of the **hindgut** and **urogenital sinus**, leading to a spectrum of anorectal malformations. *Hirschsprung disease* - Characterized by the absence of **ganglion cells** in the distal colon, leading to functional obstruction. - While it can cause **abdominal distension** and delayed meconium passage, it typically presents with a **normal-appearing anus** and no meconium from the vulva. *Meconium plug syndrome* - This is a transient obstruction of the colon by a **mucous plug**, without an anatomical defect of the anus. - The anus would be **patent**, and though abdominal distension might occur, meconium would not be seen exiting the vulva. *Meconium ileus* - This condition involves obstruction of the **small bowel** by thick, inspissated meconium, primarily associated with **cystic fibrosis**. - It would cause abdominal distension and delayed meconium passage, but the anus would be **patent**, and meconium would not be expelled through the vulva. *Colonic atresia* - This is a congenital complete obstruction of the colon, causing abdominal distension and vomiting. - However, the **perineum would appear normal**, and there would be no meconium discharge from the vulva.
Explanation: ***A nasal transepithelial potential difference*** - This test directly measures the **ion transport** across the nasal epithelium, which is abnormal in cystic fibrosis due to **CFTR protein dysfunction**. - It specifically assesses the ability of chloride channels to transport chloride ions, which helps diagnose **cystic fibrosis** even when sweat chloride tests are equivocal or normal, as might occur in some CFTR mutations. *A urinalysis* - A urinalysis assesses **kidney function** and detects urinary tract infections or metabolic disorders, which are not directly related to chronic respiratory or digestive issues seen in cystic fibrosis. - While cystic fibrosis can cause complications like **nephrolithiasis** (kidney stones), a urinalysis is not a primary diagnostic tool for the disease itself. *A chest radiograph* - A chest radiograph can show changes associated with chronic lung disease like **hyperinflation**, **bronchial cuffing**, and **infiltrates** in cystic fibrosis, but it is not specific for confirming the diagnosis. - It is often used for initial assessment and monitoring of lung disease progression, but does not provide definitive evidence of CFTR dysfunction. *A chest CT scan* - A chest CT provides more detailed images of the lungs, revealing abnormalities like **bronchiectasis**, **mucus plugging**, which are characteristic of advanced cystic fibrosis lung disease. - However, like a chest radiograph, it shows the **consequences** of the disease rather than directly diagnosing the underlying CFTR defect, and it is not a primary diagnostic test for CF. *A complete blood count* - A CBC evaluates **blood components** (red cells, white cells, platelets) and can indicate general conditions like anemia or infection, which can be present in cystic fibrosis. - It is a **nonspecific test** and does not provide any diagnostic information about the CFTR gene mutation or the underlying pathophysiology of cystic fibrosis.
Explanation: ***Degree of pulmonic stenosis*** - The **degree of pulmonic stenosis** is the primary determinant of right ventricular outflow obstruction, which dictates the amount of right-to-left shunting through the VSD and, consequently, the severity of cyanosis. - More severe stenosis leads to higher right ventricular pressure, forcing a larger volume of deoxygenated blood into the aorta, thus increasing **hypoxemia** and **cyanosis**. *Size of ventricular septal defect (VSD)* - While a VSD is necessary for right-to-left shunting, its size primarily affects the magnitude of the shunt, but the **resistance to outflow** from the right ventricle (pulmonic stenosis) is the critical factor for cyanosis in Tetralogy of Fallot. - A very small VSD in the presence of severe pulmonic stenosis would still result in significant right-to-left shunting. *Degree of right ventricular hypertrophy (RVH)* - **Right ventricular hypertrophy** is a compensatory response to the increased pressure load caused by pulmonic stenosis, but it is not the direct cause or primary predictor of cyanosis. - RVH is a *consequence* of the obstruction, not the fundamental variable determining the severity of right-to-left shunting. *Degree to which aorta overrides right ventricle* - The **overriding aorta** allows for the mixing of deoxygenated blood from the right ventricle into the systemic circulation, but its degree of override does not independently determine the amount of deoxygenated blood shunted. - The amount of blood flowing into the aorta from the right ventricle is primarily controlled by the outflow obstruction, not the aorta's position itself. *Presence of S3* - An **S3 heart sound** is typically associated with volume overload or ventricular dysfunction (e.g., congestive heart failure) and is not a characteristic finding or predictor of cyanosis in Tetralogy of Fallot. - The key signs in Tetralogy of Fallot relating to cyanosis are often related to the right ventricular outflow obstruction.
Explanation: ***Dysfunctional lymphatic system*** - The combination of **swelling of extremities**, **low-set ears**, **low posterior hairline**, **broad chest**, and **nuchal folds** (skin folds running down the sides of the neck) in a female newborn strongly points towards **Turner syndrome**. - In Turner syndrome, **lymphedema** is common due to **lymphatic dysplasia**, leading to fluid accumulation and swelling in the affected areas. *Renal retention of sodium* - This would typically present with more **generalized edema** and signs of fluid overload, which are not specifically described in this localized manner. - While possible in some conditions, other classic dysmorphic features presented in the vignette make this less likely. *Impaired protein synthesis* - **Hypoproteinemia**, due to impaired synthesis, can cause generalized edema, but it would not explain the specific dysmorphic features like low-set ears or nuchal folds seen in this patient. - Conditions causing impaired protein synthesis are often related to liver dysfunction or severe malnutrition. *Increased capillary permeability* - This can lead to edema, often seen in conditions like **sepsis** or **anaphylaxis**, causing a rapid and generalized fluid shift from capillaries into the interstitial space. - It does not account for the characteristic dysmorphic features and chronic nature of the swelling often associated with the underlying genetic condition. *Urinary protein loss* - Significant urinary protein loss (e.g., in **nephrotic syndrome**) leads to **hypoalbuminemia** and subsequent generalized edema. - Similar to impaired protein synthesis, this mechanism would not explain the specific dysmorphic features observed in the newborn.
Explanation: ***Transposition of great vessels*** - This condition presents with **severe cyanosis** that is unresponsive to oxygen, a **single S2**, and no murmur (often due to lack of significant shunting). The **chest X-ray findings** of an "egg-on-a-string" heart with a narrow mediastinum are characteristic due to the abnormal great artery positions. - **Maternal diabetes** is a known risk factor for congenital heart defects, including transposition of the great arteries (TGA). *Esophageal atresia* - This condition presents with **feeding difficulties**, **choking**, and **respiratory distress** due to aspiration, not primarily severe cyanosis from cardiac causes. - While it can manifest early, there are no specific cardiac findings or X-ray features of TGA. *Arteriovenous malformation* - An arteriovenous malformation would typically cause **high-output cardiac failure** or localized symptoms depending on its location, rather than generalized severe cyanosis like in this case. - It does not present with the characteristic cardiac findings or X-ray features seen here. *Tetralogy of Fallot* - While Tetralogy of Fallot also causes **cyanosis**, it usually presents with a **harsh systolic murmur** due to pulmonary stenosis and a "boot-shaped" heart on X-ray, which are absent in this presentation. - Cyanosis in Tetralogy of Fallot can worsen with crying or feeding, but the immediate severe cyanosis with a single S2 and no murmur points away from this diagnosis. *Congenital diaphragmatic hernia* - This condition presents with **severe respiratory distress** and **scaphoid abdomen** due to abdominal contents displacing lung tissue. - While it can cause cyanosis due to pulmonary hypoplasia, it would not typically present with the specific cardiac findings (single S2, no murmur) or the X-ray appearance of an "egg-on-a-string" heart.
Explanation: ***Infertility*** - **Infertility** is the **most common long-term complication** in patients with **cystic fibrosis**, affecting **95-98% of males** due to **congenital bilateral absence of the vas deferens (CBAVD)**. - Approximately **20% of females** with CF also experience reduced fertility due to thick cervical mucus. - While not immediately evident in a 2-year-old, it is the most statistically prevalent complication when considering the lifetime course of the disease. *Inferior lens dislocation* - **Inferior lens dislocation** is characteristic of **homocystinuria**, a disorder of methionine metabolism, and is not associated with cystic fibrosis. - Other features of homocystinuria include skeletal abnormalities (Marfanoid habitus), intellectual disability, and thrombotic events. *Lymphoma* - **Lymphoma** is a malignancy of the **lymphatic system** and is not a common complication directly associated with cystic fibrosis. - While chronic inflammation found in CF could theoretically increase cancer risk, lymphoma is not a characteristic or common CF-related malignancy. *Meconium ileus* - **Meconium ileus** occurs in approximately **15-20% of CF patients** and presents **at birth or in the neonatal period** due to thickened meconium obstructing the intestines. - While it is an important CF-related complication, it is **less common than infertility** (which affects 95%+ of patients) and would have already occurred in this 2-year-old patient if present. - The question asks for the "most common complication," making infertility the correct answer based on prevalence. *Asthma* - While **asthma** can cause respiratory symptoms, CF-related lung disease is distinct, involving chronic infection, inflammation, and bronchiectasis due to thick mucus, rather than reversible airway hyperreactivity characteristic of asthma. - The severe, progressive nature of the respiratory disease (recurrent bronchiectasis, chronic sinusitis, nasal polyps, rhonchi) and the malabsorption point specifically to **cystic fibrosis**, not typical asthma.
Explanation: ***Deficiency of 21β-hydroxylase*** - The combination of **precocious puberty** (early sexual development, acne, coarse hair), elevated **DHEA-S**, and low **cortisol** with **low-normal DOC** confirms 21β-hydroxylase deficiency, causing **congenital adrenal hyperplasia (CAH)**. - This enzyme deficiency blocks cortisol and aldosterone synthesis, shunting precursors towards **androgen production**, causing **adrenal androgen excess** and virilization. - The **low DOC level (2.5 ng/dL, below normal 3.5-11.5)** is the key finding that distinguishes this from 11β-hydroxylase deficiency. - The mild hypertension may be due to increased androgen-mediated effects or represents an atypical presentation. *Idiopathic overproduction of GnRH* - This would cause **central precocious puberty**, characterized by activation of the **hypothalamic-pituitary-gonadal axis** (HPGA). - While it causes precocious puberty, it would not typically lead to isolated elevation of **adrenal androgens** like DHEA-S with concurrent low cortisol, which points to an adrenal rather than central cause. - Laboratory findings would show elevated LH, FSH, and gonadal sex steroids rather than adrenal androgens. *Constitutive activation of adenylyl cyclase* - This is linked to conditions like **McCune-Albright syndrome**, which can cause peripheral precocious puberty but typically presents with the classic triad: **café-au-lait spots**, **fibrous dysplasia of bone**, and **autonomous endocrine hyperfunction**. - The hormonal profile reflects the specific endocrine gland involved (often gonadal), not the pattern of **adrenal androgen excess** with low cortisol and low DOC seen here. *Deficiency of 11β-hydroxylase* - This is the second most common cause of CAH and also causes adrenal androgen excess leading to virilization and precocious puberty. - However, 11β-hydroxylase deficiency results in **accumulation of deoxycorticosterone (DOC)**, which causes **hypertension** and **hypokalemia**. - This patient's **DOC is LOW (2.5 ng/dL, below normal range 3.5-11.5)**, which definitively rules out this diagnosis despite the presence of hypertension. *Deficiency of 17α-hydroxylase* - This deficiency impairs synthesis of **cortisol** and **sex steroids**, but increases production of mineralocorticoids (DOC and corticosterone). - Patients present with **hypertension**, **hypokalemia**, sexual infantilism, and in XY individuals, **female external genitalia** due to lack of androgens. - This is the opposite of the **virilization and elevated DHEA-S** seen in this patient.
Explanation: ***Ultrasonography of the neck*** - The presentation of a **midline cystic neck mass** in a child that moves with **tongue protrusion** is classic for a **thyroglossal duct cyst**. - **Ultrasonography** is the preferred initial imaging modality to confirm the cystic nature, rule out other neck masses, and importantly, verify the presence of a **normally located thyroid gland** to ensure the cyst is not the only functional thyroid tissue. *Excision of the cyst* - While ultimately surgical excision is the definitive treatment for a thyroglossal duct cyst, it is not the most appropriate *next step in management* before imaging is performed. - **Pre-operative imaging** (especially ultrasound) is crucial to differentiate the cyst from other neck masses and confirm the presence of a normally located thyroid gland, which influences surgical planning. *Excision of the cyst, track, and hyoid bone* - This describes the **Sistrunk procedure**, which is the definitive surgical management for a thyroglossal duct cyst and has a lower recurrence rate. - However, performing this procedure without prior imaging to confirm the diagnosis and the presence of a functional thyroid gland would be premature and potentially unsafe. *Thyroid scintigraphy* - **Thyroid scintigraphy** would be considered if there is suspicion that the cyst contains ectopic thyroid tissue or if ultrasonography fails to identify a normally located thyroid gland. - It is not typically the first-line imaging study but may be used when there are concerns about the functional status or location of the thyroid gland. *CT scan of the neck* - A **CT scan of the neck** would involve radiation exposure and is generally reserved for cases where the diagnosis is unclear after ultrasound, or if there's suspicion of malignancy or involvement of deeper structures. - For a suspected thyroglossal duct cyst, **ultrasound** is sufficient and safer as the initial imaging choice.
Explanation: ***Bladder exstrophy*** - The findings of a **triangular defect in the lower anterior abdominal wall**, an **open bladder plate with an exposed urethra**, a **low set umbilicus**, an **anteriorly displaced anus**, and affected external genitalia including a **shortened penis with pronounced upward curvature** (epispadias) are pathognomonic for **bladder exstrophy**. - This condition results from a developmental failure of the infraumbilical abdominal wall and anterior bladder wall to close, leading to the bladder being open to the outside and often associated with epispadias due to abnormal tubercle development. *Posterior urethral valves* - This condition is characterized by **obstructive membranes within the posterior urethra of male infants**, leading to urinary obstruction and hydronephrosis. - It does not involve an open bladder plate or abdominal wall defect, and the external genitalia are typically normal save for potential complications of urinary outflow obstruction. *Body stalk anomaly* - This is a severe congenital malformation characterized by **defects of the abdominal wall, thorax, and limbs**, with the fetus usually attached to the placenta by a short, thick umbilical cord. - While it involves abdominal wall defects, it does not typically present with an exposed bladder plate and exposed urethra as the primary defect, nor is it specifically associated with epispadias. *Cloacal exstrophy* - Cloacal exstrophy is a more severe and complex defect than bladder exstrophy, involving the **exstrophy of both the bladder and a portion of the hindgut (intestine)**, often with omphalocele. - The absence of an **omphalocele** and the specific description of an **open bladder plate** without obvious intestinal exposure make bladder exstrophy a more likely diagnosis. *Urachal cyst* - An urachal cyst is a **remnant of the allantois** that persists as a cystic structure between the bladder and the umbilicus, often presenting as a palpable mass or a discharge from the umbilicus. - It does not involve an open abdominal wall defect, exposed bladder, or epispadias, which are central to the patient's presentation.
Explanation: ***Abnormal rotation of the midgut*** - The presentation of **bilious vomiting** in a neonate, along with abdominal distension and tenderness, is highly suggestive of a **malrotation with midgut volvulus**. This condition results from an incomplete or abnormal rotation of the fetal midgut during development, leading to an improperly fixed mesentery. - The narrow mesenteric base, characteristic of malrotation, predisposes to twisting of the bowel around the superior mesenteric artery, causing **bowel obstruction and ischemia**. The provided image would likely show findings consistent with obstruction, such as dilated loops of bowel and possibly signs of compromised blood flow (e.g., pneumatosis intestinalis in severe cases, though not explicitly mentioned for this image). *Hypertrophy of the pylorus* - This condition is known as **pyloric stenosis** and typically presents with **non-bilious projectile vomiting** around 3-6 weeks of age, not bilious vomiting. - While it causes gastric outlet obstruction, the vomiting is non-bilious because the obstruction is proximal to the entry of bile ducts into the duodenum. *Ischemia-reperfusion injury in premature neonate* - This mechanism is associated with **necrotizing enterocolitis (NEC)**, which primarily affects **premature neonates** and presents with abdominal distension, feeding intolerance, and bloody stools. - The patient in the question is a **term neonate**, making NEC less likely, and the primary symptom is bilious vomiting rather than bloody stools. *Partial absence of ganglion cells in large intestine* - This describes **Hirschsprung disease**, which typically presents with **constipation**, abdominal distension, and failure to pass meconium, rather than acute bilious vomiting as the primary symptom in an infant. - While it can cause bowel obstruction, the pathology involves the large intestine and often has a more chronic presentation of obstructive symptoms. *Telescoping segment of bowel* - This describes **intussusception**, which is characterized by sudden onset of **intermittent, crampy abdominal pain**, **vomiting (often bilious)**, and "currant jelly" stools. - While intussusception can cause bilious vomiting and bowel obstruction, it typically occurs in infants aged 6 months to 3 years and is less common in a 2-week-old neonate where malrotation/volvulus is more prominent for acute obstructive symptoms.
Explanation: ***Hirschsprung disease*** - The combination of **failure to pass meconium** at birth, **abdominal distention**, **green emesis**, and **rectal prolapse** with an **explosive expulsion of gas and stool** on digital rectal examination is highly suggestive of Hirschsprung disease. - This condition is caused by the **absence of ganglion cells** in the distal colon, leading to a functional obstruction. *Enterobiasis* - **Enterobiasis**, or pinworm infection, commonly causes **perianal itching**, especially at night. - It does not typically present with **rectal prolapse**, **abdominal distention**, or **vomiting** in infants. *Cystic fibrosis* - While cystic fibrosis can cause **meconium ileus** (failure to pass meconium), other symptoms like **malabsorption**, **respiratory issues**, and specific laboratory findings (e.g., sweat chloride test) would be expected. - Rectal prolapse in cystic fibrosis is mainly due to chronic **straining from constipation** or **malabsorption**, not a primary motility disorder causing obstruction. *Malnutrition* - **Malnutrition** can lead to various symptoms, but it does not directly cause an acute presentation of **rectal prolapse**, **bowel obstruction**, and **explosive stool** on digital rectal examination. - This patient's symptoms point to a specific congenital anatomical or functional issue. *Myelomeningocele* - A **myelomeningocele** is a severe form of spina bifida and involves a sac protruding from the back containing spinal cord and nerves, leading to neurological deficits. - While it can cause **neurogenic bowel dysfunction** and chronic constipation, it does not typically present with acute **rectal prolapse** and other signs of immediate functional obstruction as observed here.
Explanation: ***Increased 17-hydroxyprogesterone*** - The combination of **ambiguous genitalia** (clitoromegaly, posterior labial fusion) in a female newborn, followed by signs of **salt-wasting crisis** (hyponatremia, hyperkalemia, hypotension), is highly suggestive of **congenital adrenal hyperplasia (CAH)**. - The most common cause of CAH (>90%) is **21-hydroxylase deficiency**, which leads to an accumulation of steroid precursors, primarily **17-hydroxyprogesterone (17-OHP)**, proximal to the enzymatic block. *Increased 11-deoxycorticosterone* - An increase in **11-deoxycorticosterone** would typically be seen in **11β-hydroxylase deficiency**, another form of CAH. - While 11β-hydroxylase deficiency also causes virilization in females, it is associated with **hypertension** due to the accumulation of mineralocorticoid precursors, rather than the hypotension seen in this patient. *Increased corticosterone* - **Corticosterone** is an intermediate product in the cortisol synthesis pathway, but its independent increase without other specific markers is not characteristic of the described presentation. - A deficiency in 17α-hydroxylase can lead to increased corticosterone, but this condition typically presents with **female pseudohermaphroditism** in XY individuals and **primary amenorrhea** in XX individuals, along with hypertension and hypokalemia. *Decreased renin activity* - In salt-wasting CAH, the lack of aldosterone production leads to renal salt loss, **volume depletion**, and **hyponatremia**, which in turn stimulates the **renin-angiotensin-aldosterone system**. - Therefore, **renin activity** would be **increased**, not decreased, in an attempt to compensate for the hypovolemia and electrolyte imbalances. *Decreased dehydroepiandrosterone* - **Dehydroepiandrosterone (DHEA)** is an androgen precursor produced in the adrenal cortex. In 21-hydroxylase deficiency, the shunting of steroid precursors towards the **androgen pathway** results in **increased DHEA** and other androgens, leading to virilization. - Therefore, DHEA levels would be **increased**, not decreased, in this condition.
Explanation: ***Tetralogy of Fallot*** - **Cyanosis** and **dyspnea relieved by squatting** are the hallmark clinical features of **Tetralogy of Fallot**, making this the correct diagnosis. - The condition consists of four anatomic abnormalities: **ventricular septal defect (VSD)**, **right ventricular outflow tract obstruction**, **right ventricular hypertrophy**, and **overriding aorta**. - The right-to-left shunt across the VSD causes **deoxygenated blood** to enter systemic circulation, producing **cyanosis**. - **Squatting increases systemic vascular resistance (SVR)**, which decreases the right-to-left shunt, improves pulmonary blood flow, and relieves cyanosis and dyspnea during **"tet spells"**. *Atrial septal defect* - ASDs typically cause **left-to-right shunts** and are **acyanotic lesions**. - Patients may be asymptomatic or present with **exertional dyspnea** and **fatigue** in later childhood or adulthood. - Cyanosis would only occur if **Eisenmenger syndrome** develops (reversal to right-to-left shunt due to pulmonary hypertension), which is rare at age 4 and does not improve with squatting. *Coarctation of the aorta* - This is an **acyanotic** lesion characterized by **narrowing of the descending aorta**. - Classic findings include **upper extremity hypertension**, **diminished or delayed femoral pulses**, and **lower extremity hypotension**. - Does not cause cyanosis or squatting relief. *Bicuspid aortic valve* - A common **acyanotic** congenital abnormality that may lead to **aortic stenosis** or **regurgitation** over time. - Usually asymptomatic in childhood; may present with **murmur**, chest pain, or syncope in adulthood. - Does not cause cyanosis or relief with squatting. *Ventricular septal defect* - Isolated VSDs typically cause **left-to-right shunts** and are **acyanotic**. - May present with **heart failure symptoms** (tachypnea, poor feeding, failure to thrive) in infancy if the defect is large. - Cyanosis occurs only if **Eisenmenger syndrome** develops (usually takes years to decades), and symptoms are not relieved by squatting.
Explanation: ***Left-axis deviation on electrocardiogram*** - The combination of **cyanosis**, a **holosystolic murmur**, and defects in the **interatrial and interventricular septa** along with an **imperforate tricuspid valve** (muscular septum between the right atrium and right ventricle) is highly suggestive of **tricuspid atresia** with a **ventricular septal defect (VSD)** and an **atrial septal defect (ASD)**. - In tricuspid atresia, the **right ventricle is hypoplastic**, leading to LV dominance and a characteristic **left-axis deviation** on the ECG due to an enlarged left ventricle taking over the pumping action for the systemic and pulmonary circulation. *Elfin facies* - **Elfin facies** is a characteristic feature of **Williams syndrome**, which is associated with **supravalvular aortic stenosis** and not typically with cyanotic heart defects like tricuspid atresia. - There is no clinical information in the vignette that suggests features of Williams syndrome. *Tracheal bowing on chest x-ray* - **Tracheal bowing or compression** is commonly seen in conditions like a **vascular ring** or **large mediastinal masses**, which can cause respiratory distress but generally do not present with the specific cardiac findings described. - This finding is not characteristic of tricuspid atresia. *Increased pulmonary vascular markings on chest x-ray* - In tricuspid atresia, **pulmonary blood flow is often decreased** due to reduced flow to the right ventricle and pulmonary artery, especially if the VSD is restrictive or there's pulmonary stenosis. This would lead to **decreased, not increased, pulmonary vascular markings**. - Increased pulmonary vascular markings suggest conditions with **left-to-right shunting** or **pulmonary venous congestion**, which is contradictory to the physiology of complicated tricuspid atresia. *Delta wave on electrocardiogram* - A **delta wave** on an ECG is characteristic of **Wolff-Parkinson-White (WPW) syndrome**, indicating a pre-excitation pathway. - While WPW can occur with congenital heart disease, it is not a direct or expected consequence of tricuspid atresia and does not explain the cyanosis or specific cardiac defects mentioned.
Explanation: ***Orchidopexy*** - Since the testicle is **palpable in the inguinal canal** at 7 months, it is unlikely to spontaneously descend, making **orchidopexy** the definitive surgical treatment. - Recommended by 6-12 months of age to prevent complications such as **infertility** and increased risk of **testicular cancer**. *Gonadotropin therapy* - **Gonadotropin therapy** is rarely used and has limited efficacy for **cryptorchidism**, especially for palpable undescended testes. - It's typically reserved for specific cases and has a lower success rate compared to surgery. *Exploration under anesthesia* - While exploration is part of any surgical correction for an undescended testicle, **orchidopexy** specifically describes the complete procedure of bringing the testicle into the scrotum and fixing it there. - **Exploration under anesthesia** alone is not a complete management step; it precedes the definitive repair. *Reassurance* - An undescended testicle at 7 months of age is unlikely to descend spontaneously and carries risks if left untreated, so **reassurance** is inappropriate. - Intervention is necessary to prevent potential long-term complications. *Serum testosterone level* - **Serum testosterone level** evaluation is typically reserved for cases of **bilateral non-palpable testes** to assess for anorchia or other endocrine disorders. - In a case with a palpable inguinal testicle and a normal contralateral testicle, it is not the next best step.
Explanation: ***Posterior urethral valves*** - The combination of **respiratory distress** and distinctive craniofacial and limb abnormalities (low-set ears, broad auricles, flattened nasal tip, micrognathia, club foot) in a premature infant suggests **Potter sequence**, which is usually caused by **severe oligohydramnios**. - **Posterior urethral valves** are the most common cause of lower urinary tract obstruction in male infants, leading to **oligohydramnios** and subsequent Potter sequence. *Pulmonary hypoplasia* - While present in this case due to Potter sequence, **pulmonary hypoplasia** is a consequence, not the underlying cause. - It results from the lung compression due to **oligohydramnios**, preventing normal lung development. *Fetal anemia* - Fetal anemia typically manifests as **hydrops fetalis**, characterized by severe edema, ascites, and pleural effusions, which are not described here. - It does not directly lead to the specific constellation of craniofacial and limb anomalies seen in this patient. *Anencephaly* - **Anencephaly** is a severe form of neural tube defect involving absence of a major portion of the brain and skull. - While associated with **polyhydramnios** (due to impaired fetal swallowing), it does not cause the specific features of Potter sequence. *Esophageal atresia* - **Esophageal atresia** often presents with **polyhydramnios** due to the inability of the fetus to swallow amniotic fluid. - The primary clinical sign after birth is excessive salivation and inability to pass a feeding tube, not the craniofacial and limb anomalies described.
Explanation: **Complete atrioventricular septal defect** - The patient's presentation with **low-set ears**, **upslanting palpebral fissures**, and a **hypoplastic fifth finger**, combined with the mother's advanced maternal age, are classic features suggestive of **Down syndrome (Trisomy 21)**. - **Complete atrioventricular septal defect (AVSD)** is the most common cardiac anomaly seen in individuals with Down syndrome, occurring in approximately 40-50% of cases. *Bicuspid aortic valve* - A **bicuspid aortic valve** is a common congenital heart defect but is not specifically associated with Down syndrome. - It is more commonly seen in familial cases or associated with conditions like **Turner syndrome**, which presents differently. *Aortic root dilation* - **Aortic root dilation** is characteristic of connective tissue disorders such as **Marfan syndrome** or **Ehlers-Danlos syndrome**. - These conditions have distinct phenotypic features not described in this patient. *Coarctation of the aorta* - **Coarctation of the aorta** is often associated with Turner syndrome, which affects females, or isolated cases. - It presents with differences in blood pressure between the upper and lower extremities, a finding not noted here. *Truncus arteriosus* - **Truncus arteriosus** is a severe congenital heart defect typically associated with **DiGeorge syndrome (22q11.2 deletion syndrome)**. - Patients with DiGeorge syndrome often present with specific facial dysmorphisms, hypocalcemia, and immunodeficiency, none of which are described.
Explanation: ***Congenital rubella infection*** - The constellation of **congenital cataracts** (cloudy lenses), **patent ductus arteriosus** (continuous murmur), **sensorineural hearing loss** (failed auditory screening), and **blueberry muffin rash** (discolored, non-blanchable skin areas) is highly characteristic of congenital rubella syndrome. - The mother's lack of prenatal care and unknown immunization status, coupled with immigration from Brazil where rubella might be more prevalent, increases the likelihood of an unvaccinated mother acquiring the infection during pregnancy. *Congenital CMV infection* - While CMV can cause **sensorineural hearing loss**, it typically presents with **periventricular calcifications** on neuroimaging, **microcephaly**, and often **hepatosplenomegaly** and **thrombocytopenia**, which are not mentioned here. - Although CMV can cause chorioretinitis and cataracts, the classic cardiac and skin findings of rubella are absent. *Congenital syphilis* - Congenital syphilis can present with a wide range of manifestations, including **hepatosplenomegaly**, **snuffles**, **bone lesions** (e.g., periostitis), and a **rash**, but the specific combination of cataracts, patent ductus arteriosus, and blueberry muffin rash is not typical. - Eye involvement in syphilis is usually interstitial keratitis, not cataracts, and cardiac defects are less common or different. *Congenital parvovirus B19 infection* - Parvovirus B19 is primarily associated with **hydrops fetalis**, severe **anemia**, and sometimes myocarditis. - It does not typically cause **cataracts**, **patent ductus arteriosus**, or the characteristic rash seen in this case. *Congenital toxoplasmosis* - Congenital toxoplasmosis classically presents as a triad of **hydrocephalus**, **intracranial calcifications**, and **chorioretinitis**. - It does not typically cause **congenital cataracts**, **patent ductus arteriosus**, or the "blueberry muffin" rash.
Explanation: ***Normal kidneys*** - Autosomal dominant polycystic kidney disease (ADPKD), caused by a mutation in **PKD1 or PKD2**, typically presents with **cysts that develop later in life**, usually in adulthood. - At birth, the kidneys of an infant with the ADPKD mutation are usually **structurally normal** and do not yet show macroscopic cyst formation on ultrasound. *Microscopic cysts* - While the genetic mutation is present, significant **macroscopic cyst formation** detectable by standard abdominal ultrasound does not typically occur at birth in ADPKD. - The cysts develop and enlarge over decades, leading to symptoms later in adulthood. *Adrenal atrophy* - **Adrenal atrophy** is not a feature of polycystic kidney disease and is caused by other conditions like autoimmune diseases or prolonged corticosteroid use. - The adrenal glands are distinct from the kidneys and are not directly affected by PKD1 mutations. *Horseshoe kidney* - **Horseshoe kidney** is a congenital anomaly where the kidneys are fused, usually at the lower poles, and is not associated with PKD1 mutations. - This condition is a **developmental fusion defect** during embryogenesis. *Bilateral kidney enlargement* - Bilateral kidney enlargement due to multiple cysts is characteristic of **ADPKD in adulthood**, not at birth. - Though ADPKD is a genetic condition, the **phenotypic expression (cyst growth)** progresses over time.
Explanation: ***Biliary cyst*** - The combination of **jaundice**, **pruritus**, **light stools**, **dark urine**, an **RUQ mass**, and **fusiform dilation of the extrahepatic bile duct** on ultrasound is highly suggestive of a biliary cyst (specifically a choledochal cyst). - The **elevated direct bilirubin** and **GGT** are consistent with **biliary obstruction**, while normal AST/ALT suggest minimal hepatocellular injury. *Biliary atresia* - Characterized by **progressive obliteration of the extrahepatic bile ducts**, typically presenting with persistent jaundice in the **first few weeks of life**, not at 2 years old. - Ultrasound in biliary atresia often shows a **nondilated, atretic or absent common bile duct** and a **small or absent gallbladder**, which contradicts the findings of gallbladder dilation and a fusiform mass. *Mirizzi syndrome* - This syndrome involves **common hepatic duct obstruction** due to external compression by an impacted **gallstone in the cystic duct or gallbladder neck**. - It is typically seen in **adults** and would not explain a congenital fusiform dilation of the extrahepatic bile duct. *Pancreatic pseudocyst* - A pancreatic pseudocyst is a **collection of pancreatic fluid** usually resulting from **pancreatitis or pancreatic trauma**. - While it can cause an abdominal mass and obstructive symptoms, it would typically be located near the pancreas, not specifically presenting as a fusiform dilation of the bile duct, and pancreatic enzyme elevations would be more prominent. *Hepatic abscess* - A hepatic abscess is a **localized collection of pus in the liver**, often presenting with **fever, RUQ pain**, and elevated inflammatory markers. - It would show as a **fluid collection within the liver parenchyma** on ultrasound, not a fusiform dilation of the bile duct.
Explanation: ***TSC1*** - The image shows a **Shagreen patch**, a connective tissue nevus often described as having an "orange peel" or cobblestone texture, which is **pathognomonic for Tuberous Sclerosis Complex (TSC)**. - The description of **synchronous spasmodic movements** (seizures) in this 8-year-old boy is a common neurological manifestation of TSC. While TSC patients may present with **infantile spasms in early childhood**, older children typically develop other seizure types including **generalized tonic-clonic or myoclonic seizures**. - Mutations in the **TSC1** (hamartin gene on chromosome 9q34) or **TSC2** (tuberin gene on chromosome 16p13.3) genes are responsible for this autosomal dominant condition affecting the mTOR pathway. *NF2* - Mutations in the *NF2* gene cause **Neurofibromatosis type 2**, characterized primarily by **bilateral vestibular schwannomas** (acoustic neuromas) leading to hearing loss. - Dermatological manifestations include **cafe-au-lait spots** (fewer than NF1) and **cutaneous schwannomas**, not Shagreen patches. *GNAQ* - The *GNAQ* gene is associated with **Sturge-Weber syndrome**, which presents with a **port-wine stain (facial nevus flammeus)** typically in the trigeminal distribution and neurological symptoms such as seizures and developmental delays. - This patient's Shagreen patch is not consistent with the vascular malformation seen in Sturge-Weber syndrome. *VHL* - Mutations in the *VHL* gene cause **Von Hippel-Lindau disease**, which predisposes individuals to various tumors including **cerebellar and retinal hemangioblastomas**, **renal cell carcinoma**, and **pheochromocytomas**. - The clinical picture of a Shagreen patch and seizures is not characteristic of Von Hippel-Lindau disease. *NF1* - Mutations in the *NF1* gene cause **Neurofibromatosis type 1**, characterized by **multiple cafe-au-lait spots** (≥6), **axillary/inguinal freckling (Crowe's sign)**, cutaneous neurofibromas, **Lisch nodules** (iris hamartomas), and optic gliomas. - While it is a neurocutaneous disorder, the skin lesion presented (Shagreen patch) is specific to TSC, not NF1.
Explanation: ***Surgical closure of the defect*** * This newborn exhibits **symptoms of severe heart failure** due to a large VSD, including poor weight gain, feeding difficulties, and hepatomegaly, despite maximal medical therapy. * A **Qp:Qs ratio of 2.8:1** indicates a significant left-to-right shunt, which, combined with the clinical picture, necessitates **surgical intervention** to prevent irreversible pulmonary vascular disease and improve prognosis. *Continue medical treatment and provide reassurance about spontaneous closure of the defect* * While some small VSDs close spontaneously, this child has a **large VSD** with **symptoms of severe heart failure** that require aggressive medical management (furosemide, captopril) and show no signs of improvement. * **Reassurance of spontaneous closure** is inappropriate given the significant hemodynamic compromise and the potential for long-term complications without surgical intervention. *Hybrid surgery using both transcatheter device and surgical repair* * Hybrid approaches are typically reserved for **complex congenital heart defects** or specific anatomical challenges where a purely transcatheter or open surgical approach is not feasible or optimal. * For a large membranous VSD requiring definitive closure, a **direct surgical approach** is generally preferred and more effective. *Transcatheter occlusion of the defect* * **Transcatheter occlusion** is generally indicated for **smaller, hemodynamically insignificant VSDs** or in specific anatomical situations, and it is usually performed in older children. * A **large membranous VSD** with significant shunt and symptoms of heart failure is typically **not amenable to transcatheter closure** due to the size and location of the defect, and the risk of complications. *Addition of digoxin to the current medical regimen with regular follow-up until spontaneous closure occurs* * The child is already on **maximal medical therapy** (furosemide, captopril) and still experiencing severe symptoms, indicating medicine alone is insufficient. * While digoxin can improve myocardial contractility, it is unlikely to significantly alter the natural history or **resolve the large shunt** in a VSD of this magnitude, and waiting for spontaneous closure would be detrimental.
Explanation: ***Hypertrophic muscularis externa*** - The presented symptoms, including **projectile vomiting** in a 3-week-old, **non-bilious** emesis, post-vomiting **hunger**, and a **palpable olive-shaped mass** in the epigastrium, are classic signs of **pyloric stenosis**. This condition is caused by the **hypertrophy of the pyloric sphincter's muscularis externa**. - Pyloric stenosis commonly presents between **2-8 weeks of age** and leads to an obstruction of gastric outflow, causing the characteristic vomiting and signs of dehydration like **dry mucous membranes** and **delayed capillary refill**. *Failure of neural crest cell migration into the rectum* - This describes **Hirschsprung disease**, which typically presents with **constipation**, **abdominal distension**, and a **failure to pass meconium** in the neonatal period. - While it involves GI obstruction, its symptoms and location of obstruction are distinctly different from the projectile vomiting seen in this case. *Telescoping of the small bowel into the large bowel* - This is known as **intussusception**, which usually presents with **intermittent, colicky abdominal pain**, **"currant jelly" stools** (due to blood and mucus), and a sausage-shaped abdominal mass, typically in older infants (3 months to 3 years). - The type of vomiting (often bilious) and stool characteristics are different from the patient's presentation. *Patent tract between the trachea and esophagus* - This describes a **tracheoesophageal fistula (TEF)**, often associated with esophageal atresia. Infants with TEF typically present with **choking, coughing, and cyanosis** during feeds, as well as aspiration, due to misdirection of fluid into the lungs. - The symptoms are immediate and severe with initial feeds and do not typically involve progressive projectile vomiting after several weeks of life. *Failure of duodenal lumen recanalization* - This leads to **duodenal atresia**, which typically presents with **bilious vomiting** within the first 24-48 hours of life, and the classic "double bubble" sign on X-ray. - The vomiting in this case is **non-bilious** and started later, which rules out duodenal atresia.
Explanation: **Bluish discoloration of lips** - The presence of **tricuspid atresia** and **pulmonary outflow tract obstruction** means that deoxygenated blood cannot effectively reach the lungs for oxygenation. - This leads to a right-to-left shunt of deoxygenated blood through the **patent ductus arteriosus (PDA)** and **ventricular septal defect (VSD)** into the systemic circulation, causing **cyanosis** which would visibly manifest as bluish discoloration of the lips. *Hepatomegaly* - **Hepatomegaly** is typically observed in states of **right-sided heart failure** due to congestion of the liver. While structural heart defects can lead to heart failure, cyanosis due to shunting is a more immediate and direct consequence of the described anatomy. - It would develop later as the heart struggles over time, not as the first sign. *Peripheral edema* - **Peripheral edema** is also a sign of **heart failure**, usually **right-sided heart failure**, and would indicate significant fluid retention. - Like hepatomegaly, this symptom is not expected to be the very first manifestation, as the immediate problem is the lack of oxygenated blood. *Clubbing of finger nails* - **Clubbing of fingernails** is a **chronic sign of hypoxemia**, developing over weeks to months in response to persistent low oxygen levels. - This condition requires sustained cyanosis over a longer period and would not be an initial finding in a newborn. *Diaphoresis while sucking* - **Diaphoresis while sucking** is a classic sign of **congestive heart failure** in infants, indicating increased metabolic demand and effort for feeding. - While the infant may eventually develop heart failure symptoms, the immediate issue of inadequate pulmonary blood flow leads to central cyanosis as the earliest and most direct manifestation.
Explanation: ***Hypertrophy of the pylorus muscle*** - The classic presentation of **pyloric stenosis** includes **non-bilious projectile vomiting** in an infant, followed by continued hunger, a palpable **"olive-like" mass** in the right upper quadrant, and findings of **hypochloremic, hypokalemic metabolic alkalosis** due to fluid and acid loss from vomiting. - The hypertrophy of the pylorus obstructs gastric emptying, leading to the characteristic vomiting pattern and subsequent electrolyte imbalances. *Intussusception* - This condition presents with sudden onset of intermittent, **severe abdominal pain**, often drawing the legs up to the chest, and produces **"currant jelly" stools** (blood and mucus). - A palpable **sausage-shaped mass** may be felt, but projectile vomiting and the classic electrolyte abnormalities described are not typical features. *Achalasia* - Achalasia is a motility disorder of the **esophagus** characterized by impaired relaxation of the lower esophageal sphincter and absence of esophageal peristalsis. - While it causes **dysphagia** and regurgitation, it does not typically present in a **3-week-old infant** with projectile vomiting or an "olive-like" mass. *Duodenal atresia* - This is a congenital obstruction of the duodenum, often presenting with **bilious vomiting** within the first 24-48 hours of life, and a characteristic **"double bubble" sign** on abdominal X-ray. - It does not involve a palpable "olive-like" mass or the specific electrolyte imbalance seen in pyloric stenosis. *Aganglionic colon segment* - This describes **Hirschsprung disease**, which is characterized by the absence of ganglion cells in the distal colon, leading to **functional obstruction**. - Symptoms typically involve **delayed passage of meconium** and chronic constipation, abdominal distension, and sometimes bilious vomiting, not the projectile non-bilious vomiting or palpable mass of pyloric stenosis.
Explanation: ***Ablation of urethral valves*** - The patient's presentation with a **urinary tract infection (UTI)**, **lethargy**, **poor feeding**, **incessant crying during urination**, and a **palpable lower abdominal mass** in a male newborn strongly suggests **posterior urethral valves (PUV)**. - **PUV** are the most common cause of **severe urinary tract obstruction** in male infants, leading to **reflux**, **hydronephrosis**, and **renal damage**; ablation is the definitive treatment. *Urethral diverticulectomy* - A **urethral diverticulum** is a sac-like protrusion from the urethra, which can cause symptoms such as **dysuria, post-void dribbling, and recurrent UTIs.** - While it can cause UTIs, it is less common as a cause of severe obstruction and a palpable bladder mass in newborns compared to PUV. *Endoscopic dextranomer gel injection* - This procedure is primarily used to treat **vesicoureteral reflux (VUR)** by bulking up the ureterovesical junction. - While VUR can be associated with PUV, this injection does not address the underlying **urethral obstruction** which is the primary problem here. *Meatotomy* - **Meatotomy** is a surgical procedure to enlarge the **urethral meatus**, typically performed for conditions like **meatal stenosis**. - While meatal stenosis can cause obstructive symptoms, it would not typically lead to the severe bladder distension and upper urinary tract damage suggested by the abdominal mass and systemic symptoms of UTI in this case. *Vesicostomy* - A **vesicostomy** involves creating an opening between the **bladder and the abdominal wall** to allow continuous urine drainage. - While it may be used as a **temporary initial measure** in critically ill neonates to decompress the bladder before valve ablation can be performed, it is a **diversion procedure** and not the definitive treatment to correct the underlying obstruction.
Explanation: ***CGG trinucleotide repeats on X-chromosome*** - The constellation of **developmental delay** (not talking at 2 years), **social and communication deficits** (avoids eye contact, no friends, repetitive behaviors), and **dysmorphology** (elongated facial features, large ears, large head circumference at 95th percentile) are highly suggestive of **Fragile X syndrome**. - **Fragile X syndrome** is caused by an expansion of **CGG trinucleotide repeats** in the _FMR1_ gene on the X chromosome, leading to reduced or absent **fragile X mental retardation protein (FMRP)**. - This is the most common inherited cause of intellectual disability and a leading genetic cause of autism spectrum disorder. *An additional X chromosome* - An additional X chromosome (e.g., **XXY karyotype**) is characteristic of **Klinefelter syndrome**, which primarily affects males, leading to **hypogonadism**, **infertility**, and sometimes mild cognitive deficits, but typically does not present with the specific facial features and social deficits seen here. - While developmental delays can occur, the prominent **autism-like features** and distinct facial dysmorphism point away from Klinefelter syndrome. *Mutation on chromosome 15* - A **mutation on chromosome 15** is associated with disorders like **Prader-Willi syndrome** or **Angelman syndrome**, depending on whether the mutation is maternal or paternal in origin. - **Prader-Willi syndrome** presents with **hypotonia** and **hyperphagia** leading to obesity, while **Angelman syndrome** presents with severe developmental delay, ataxia, and inappropriate laughter (happy puppet syndrome); these do not match the patient's presentation. *Three copies of the same chromosome* - Having **three copies of the same chromosome** (autosomal **trisomy**) is characteristic of conditions like **Down syndrome (Trisomy 21)**, **Edwards syndrome (Trisomy 18)**, or **Patau syndrome (Trisomy 13)**. - While these syndromes cause developmental delays and distinct dysmorphic features, the specific combination of **elongated face**, **large ears**, and **autism-like behaviors** is not typical for these trisomies. *Defective phenylalanine hydroxylase activity* - **Defective phenylalanine hydroxylase activity** is the underlying cause of **phenylketonuria (PKU)**. - **PKU** leads to intellectual disability, seizures, and a musty odor if untreated, but it does not cause the specific physical dysmorphology or the prominent social and communication deficits observed in this patient.
Explanation: ***Osteoporosis*** - This patient's presentation with **short stature**, high blood pressure, **webbed neck** (implied by low posterior hairline), and **wide-spaced nipples** is highly suggestive of **Turner syndrome (45,X0)**. - Turner syndrome is characterized by **gonadal dysgenesis**, leading to **estrogen deficiency**, which is a major risk factor for developing **osteoporosis**. - Without estrogen replacement therapy, patients with Turner syndrome have significantly increased risk of **low bone mineral density** and **fractures**. *Pulmonary stenosis* - While Turner syndrome is associated with **cardiac anomalies** such as **bicuspid aortic valve** and **coarctation of the aorta**, these are typically **congenital defects** present from birth rather than complications that develop over time. - **Pulmonary stenosis** itself is not a primary cardiac finding in Turner syndrome. - The question asks about complications that develop without treatment, making **osteoporosis** more appropriate as it progressively worsens due to chronic **estrogen deficiency**. *Alzheimer disease* - **Alzheimer disease** is a neurodegenerative disorder primarily associated with aging and genetics, not typically a direct complication of Turner syndrome. - While cognitive profiles in Turner syndrome can differ (particularly with visuospatial skills), there is no established increased risk of Alzheimer disease. *Hyperphagia* - **Hyperphagia** (excessive eating) is characteristically associated with **Prader-Willi syndrome** due to hypothalamic dysfunction. - It is not a feature or complication of **Turner syndrome**. *Severe acne* - **Severe acne** is often related to increased androgen levels or hormonal fluctuations during puberty. - In Turner syndrome, there is typically **hypogonadism** and **estrogen deficiency**, which would not predispose to severe acne.
Explanation: ***Ventricular septal defect (VSD)*** - A **holosystolic murmur** at the **left sternal border** with an associated **thrill** is a classic finding for a VSD. - The patient's fatigue and shortness of breath (evidencing activity intolerance) are signs of **left-to-right shunting** causing increased pulmonary blood flow and eventual heart failure. *Atrial septal defect (ASD)* - An ASD typically presents with a **systolic ejection murmur** at the upper left sternal border due to increased flow across the pulmonic valve, not a holosystolic murmur. - While it can cause fatigue and dyspnea, a thrill is less common, and the murmur quality is distinct. *Endocardial cushion defect* - This defect involves the atrioventricular septum, often resulting in a **split S2** and a **holosystolic murmur** best heard at the lower left sternal border. - However, it is strongly associated with **Down syndrome**, which is ruled out by the normal genetic testing. *Patent ductus arteriosus (PDA)* - PDA is characterized by a **continuous "machinery" murmur** best heard below the left clavicle, which is distinct from the holosystolic murmur described. - The associated symptoms of fatigue and dyspnea can occur, but the murmur differentiates it. *Tetralogy of Fallot* - This condition presents with **cyanosis** and a **crescendo-decrescendo systolic ejection murmur** at the left sternal border, not a holosystolic murmur with a thrill. - Patients often exhibit "tet spells" and **clubbing**, which are absent in this presentation.
Explanation: ***Increased sodium concentration in sweat*** - The clinical picture of **abdominal distention**, **vomiting**, failure to pass meconium, and **microcolon** in a preterm infant, combined with **elevated immunoreactive trypsinogen (IRT)**, is highly suggestive of **cystic fibrosis with meconium ileus**. - In cystic fibrosis, the dysfunctional **cystic fibrosis transmembrane conductance regulator (CFTR) protein** impairs **chloride and sodium reabsorption** in sweat ducts, leading to **increased sodium and chloride concentration in sweat**. - The **sweat chloride test** (which also measures sodium) is the **gold standard diagnostic test** for cystic fibrosis and is the most likely additional laboratory finding. *Decreased hydrogen ion concentration in renal collecting duct* - This finding is characteristic of **metabolic alkalosis** or certain forms of **renal tubular acidosis** where there is an inability to excrete hydrogen ions, which is not directly related to the pathophysiology of cystic fibrosis. - While electrolyte imbalances can occur in cystic fibrosis due to gastrointestinal losses, this specific renal finding is not a primary or direct diagnostic feature. *Increased chloride concentration in alveolar fluid* - While it is true that cystic fibrosis causes **increased chloride concentration in airway surface liquid** due to defective CFTR, this is **not a routinely measurable laboratory test** used for diagnosis. - The airway chloride concentration is a **local pathophysiologic finding** at the tissue level, not a practical diagnostic laboratory test. - The question asks for an "additional **laboratory finding**," and the sweat chloride/sodium test is the standard diagnostic laboratory test, not measurement of alveolar fluid chloride. *Increased bicarbonate concentration in pancreatic secretions* - Patients with cystic fibrosis typically have **decreased bicarbonate secretion** in pancreatic secretions due to the dysfunctional CFTR channel, leading to acidic pancreatic fluid and precipitation of proteins, causing duct obstruction. - This leads to **pancreatic insufficiency**, not increased bicarbonate concentration. *Increased serum calcium concentration* - **Hypercalcemia** is not a characteristic finding in cystic fibrosis; rather, patients with cystic fibrosis may be at risk for **osteopenia** or **osteoporosis** due to malabsorption of fat-soluble vitamins (including vitamin D) and chronic inflammation, potentially leading to **decreased serum calcium** in severe cases. - This finding would suggest other conditions like hyperparathyroidism or malignancy.
Explanation: ***Beta-thalassemia major*** - The presentation of severe **microcytic anemia**, **hepatosplenomegaly**, **bone deformities** (**frontal and parietal bossing**), and **failure to thrive** in an infant from an endemic area (Sudan) is classic for **beta-thalassemia major** (Cooley's anemia). - The reticulocyte count of 2.1% is **inadequate for the degree of anemia**, reflecting **ineffective erythropoiesis**, a hallmark of thalassemia, while the peripheral smear findings of **target cells** and **nucleated red cells** are also characteristic. *Sickle cell disease* - While sickle cell disease is also common in individuals of African descent, it typically presents with **vaso-occlusive crises**, **dactylitis**, or **splenic sequestration crises**, rather than the prominent bone deformities and extreme microcytic anemia seen here. - The peripheral smear would show **sickle cells**, which are not mentioned. *Congenital dyserythropoietic anaemia* - This is a rare group of genetic disorders characterized by **ineffective erythropoiesis** and **morphological abnormalities** of erythroblasts in the bone marrow. - Although it can cause anemia and hepatosplenomegaly, the distinct skeletal changes like frontal bossing are less typical, and the peripheral smear findings usually include **anisopoikilocytosis** rather than prominent target cells and nucleated red cells in the absence of severe marrow stress. *Alpha-thalassemia major* - This condition, also known as **hydrops fetalis**, is usually **lethal in utero** or shortly after birth due to severe anemia and massive edema. - It is incompatible with a 13-month-old surviving infant. *Glucose-6-phosphate dehydrogenase deficiency* - This condition causes **hemolytic anemia** typically triggered by **oxidative stress** (e.g., certain foods like fava beans, medications, or infections). - It presents with **acute hemolytic episodes** and generally leads to **normocytic or macrocytic anemia** with Heinz bodies, not the chronic microcytic anemia with skeletal deformities seen here.
Explanation: ***Sweat chloride test*** - The patient exhibits classic symptoms of **cystic fibrosis**, including recurrent respiratory infections, failure to thrive (low height and weight percentiles), and greasy, bulky stools suggestive of **pancreatic insufficiency**. - A **sweat chloride test** measures the concentration of chloride in sweat and is the **most reliable initial screening test** for cystic fibrosis, given the characteristic clinical presentation. *X-ray of the chest* - While chest X-rays can show evidence of pulmonary involvement (e.g., **bronchiectasis**, hyperinflation), a previous X-ray showed no abnormalities, and it does not directly determine the **underlying etiology** of the multiple symptoms. - It would be part of the respiratory assessment but is not the best initial test for diagnosing the systemic genetic disorder. *Genetic testing* - **Genetic testing** confirms the diagnosis of cystic fibrosis by identifying specific mutations in the **CFTR gene**. - However, in a patient with a strong clinical suspicion, the **sweat chloride test** is typically performed first as a more accessible and cost-effective initial diagnostic test in many settings, with genetic testing used for confirmation or when sweat test results are equivocal. *Serum immunoglobulin level* - **Serum immunoglobulin levels** would assess for **immunodeficiency**, which can cause recurrent infections. - While recurrent infections are present, the combination of **malabsorption** (greasy stools, failure to thrive) and respiratory symptoms points more strongly towards **cystic fibrosis** than a primary immunodeficiency. *Stool analysis* - **Stool analysis** can identify **malabsorption** (e.g., fecal fat content) or indicate **gastrointestinal infections**. - While it could confirm pancreatic insufficiency, it does not directly diagnose the underlying cause of both respiratory and gastrointestinal symptoms as effectively as a sweat chloride test for cystic fibrosis.
Explanation: ***A similar condition in girls could involve the canal of Nuck.*** - The boy's symptoms (painless, fluctuating, translucent testicular swelling, decreasing in supine position, positive cough impulse) are classic for a **communicating hydrocele**. This condition results from the **incomplete closure of the processus vaginalis**. - In females, the **canal of Nuck** is the remnant of the processus vaginalis that extends along the round ligament into the labia majora. A persistent patency of the canal of Nuck can lead to a **hydrocele of the canal of Nuck**, which is analogous to a communicating hydrocele in males. *The structure shown does not communicate with the peritoneal cavity.* - The description of the swelling decreasing in the **supine position** and a **positive cough impulse** strongly indicates a **communicating hydrocele**, meaning there *is* communication with the peritoneal cavity. - In a non-communicating hydrocele, there is no communication with the peritoneum, and the fluid volume remains relatively constant regardless of position or intra-abdominal pressure changes. *It is most likely a result of viral replication within testicular tissue.* - The presentation of a **painless, transilluminating, gradually increasing swelling** over years is not consistent with a viral infection of the testes (**orchitis**), which would typically be acute, painful, and associated with systemic symptoms like fever. - Viral orchitis, often caused by mumps, more commonly presents with **pain, tenderness, and inflammation** rather than the chronic, painless swelling described. *Puncture of this structure will yield blood.* - A **hydrocele** contains **serous fluid**, which is typically straw-colored and translucent, not blood. - Puncturing a structure and yielding blood would suggest a **hematocele**, which is usually associated with trauma or a bleeding disorder, and would not transilluminate. *Impaired lymphatic drainage from the scrotum is the cause of the patient’s condition.* - **Impaired lymphatic drainage** (e.g., due to filariasis) leads to **lymphedema** or **chylocele**, which is typically non-translucent, firm, and often starts later in life, especially in endemic areas. - The patient's history of not visiting tropical countries and the physical findings of translucency negate filariasis as a likely cause for this hydrocele.
Explanation: ***Patent ductus arteriosus*** - A **patent ductus arteriosus (PDA)** can cause differential cyanosis and clubbing (lower extremities more affected than upper) due to preferential flow of deoxygenated blood through the PDA to the descending aorta. - The classic **continuous machine-like murmur** auscultated in the precordium is highly characteristic of a PDA. *Tetralogy of Fallot* - Patients typically present with **cyanosis and clubbing of all four extremities** due to right-to-left shunting at the ventricular level, not isolated toe cyanosis. - While it can cause exertional dyspnea, the murmur is typically a **systolic ejection murmur** from pulmonary stenosis, not a continuous machine-like murmur. *Coarctation of the aorta* - This condition presents with **differential blood pressures and pulses** between the upper and lower extremities, with elevated upper extremity pressures. - It does not typically cause cyanosis or a continuous machine-like murmur. *Ventricular septal defect* - A **ventricular septal defect (VSD)** typically causes a **holosystolic murmur** loudest at the lower left sternal border. - Cyanosis develops late due to Eisenmenger syndrome, and if it occurs, it's typically central, affecting all extremities. *Atrial septal defect* - An **atrial septal defect (ASD)** usually presents with a **fixed split S2** and a **systolic ejection murmur** at the upper left sternal border due to increased flow across the pulmonic valve. - Significant cyanosis is rare and occurs only in advanced stages with Eisenmenger syndrome, affecting all extremities if present.
Explanation: ***Hydrocortisone and fludrocortisone therapy*** - The newborn presents with **clitoromegaly** and electrolyte abnormalities including **hyponatremia** and **hyperkalemia**, which are characteristic findings of **salt-wasting congenital adrenal hyperplasia (CAH)**. - CAH is caused by a deficiency in 21-hydroxylase enzyme, leading to inadequate production of cortisol and aldosterone. **Hydrocortisone** (glucocorticoid) and **fludrocortisone** (mineralocorticoid) are essential for replacing these deficient hormones and preventing adrenal crisis. *Spironolactone therapy* - **Spironolactone** is an **aldosterone antagonist** and would worsen the existing salt-wasting state and hyperkalemia seen in CAH. - It works by blocking aldosterone, leading to increased sodium excretion and potassium retention, which is the opposite of what is needed in CAH. *Estrogen replacement therapy* - **Estrogen replacement therapy** is not indicated at this stage. It would not address the underlying hormonal deficiencies (cortisol and aldosterone) or correct the electrolyte imbalances in CAH. - Estrogen is involved in female sexual development but does not play a primary role in the acute management of adrenal insufficiency in newborns with CAH. *Dexamethasone therapy* - **Dexamethasone** is a potent **glucocorticoid**, but it is generally not the first-line treatment for chronic management in infants with CAH due to its prolonged half-life and higher risk of growth suppression compared to hydrocortisone. - While it could address the cortisol deficiency, it does not provide mineralocorticoid activity, which is crucial for managing the salt-wasting component. *Genital reconstruction surgery* - **Genital reconstruction surgery** may be considered later in life for cosmetic or functional reasons, but it is not the immediate or most appropriate next step in managing a newborn with CAH. - The immediate priority is to stabilize the child's hormonal and electrolyte balance to prevent potentially life-threatening adrenal crisis.
Explanation: ***Hydroxyurea*** - **Hydroxyurea** increases the production of **fetal hemoglobin (HbF)**, which reduces the sickling of red blood cells and prevents vaso-occlusive crises - By reducing sickling, it decreases the frequency and severity of pain crises, acute chest syndrome, and the need for hospitalizations in patients with sickle cell disease - This is the **only FDA-approved disease-modifying therapy** for sickle cell disease that addresses the underlying pathophysiology *Opiates* - **Opiates** are used for **pain management** during acute sickle cell crises but do not address the underlying pathology or prevent future episodes - While essential for symptom relief during vaso-occlusive crises, they do not decrease the **frequency or severity** of future episodes *Exchange transfusion* - **Exchange transfusion** is an acute treatment for severe complications of sickle cell disease, such as **acute chest syndrome** or **stroke**, by rapidly reducing the percentage of sickled cells - It is not a long-term preventative measure to decrease crisis frequency or severity and carries risks like **alloimmunization** and iron overload *Normal saline* - **Normal saline** is used for **hydration** during sickle cell crises to improve blood flow and reduce sickling, but it is a supportive measure for acute episodes only - It does not modify the disease course or prevent future crises, making its benefit primarily symptomatic during an acute event *Oxygen* - **Oxygen** therapy is indicated in sickle cell crises when the patient is **hypoxic**, as hypoxia can trigger or worsen sickling - It is an acute supportive treatment and does not prevent the underlying pathophysiology or reduce the frequency of future crises
Explanation: ***Seizures*** - This infant presents with features highly suggestive of **DiGeorge syndrome** (22q11.2 deletion syndrome), including **cleft palate**, **congenital heart defects** (Tetralogy of Fallot, indicated by VSD, pulmonary stenosis, overriding aorta, RV hypertrophy and boot-shaped heart), **low-set ears**, **micrognathia**, and **thymic aplasia/hypoplasia**. - **Thymic aplasia** leads to **T-cell immunodeficiency**, and **parathyroid hypoplasia** (often associated with DiGeorge syndrome due to shared developmental origin from pharyngeal pouches) leads to **hypocalcemia**, which is the most common cause of **seizures** in these infants. *Catlike cry* - A **catlike cry** (or cri du chat) is characteristic of **Cri-du-chat syndrome** (5p deletion), which is not indicated by the constellation of symptoms presented. - While Cri-du-chat syndrome can cause micrognathia and heart defects, it typically does not involve thymic aplasia or significant hypocalcemia leading to seizures. *Increased phenylalanine in the blood* - This is characteristic of **phenylketonuria (PKU)**, an inborn error of metabolism, which has no direct link to the symptoms described. - PKU primarily causes neurological damage if untreated, but not the specific craniofacial or cardiac anomalies seen here. *Webbing of the neck* - **Webbing of the neck** is a common feature of **Turner syndrome** (45,XO), particularly with lymphedema, and also seen in **Noonan syndrome**. - These syndromes have different clinical presentations and genetic etiologies than what is described in this infant. *Hyperthyroidism* - **Hyperthyroidism** is not typically associated with DiGeorge syndrome or the specific symptoms presented here. - While some genetic syndromes can affect thyroid function, the primary concern in DiGeorge syndrome related to endocrine function is **parathyroid hypoplasia** leading to hypocalcemia.
Explanation: ***Increased systemic vascular resistance*** * The **knee-chest position** is a classic intervention for **tet spells** in infants with **TOF (tetralogy of Fallot)**. * By compressing the femoral arteries, this maneuver increases **systemic vascular resistance (SVR)**, thereby reducing right-to-left shunting across the **ventricular septal defect (VSD)** and improving pulmonary blood flow. * *Decreased obstruction of the choanae* * This maneuver has no impact on the patency of the **choanae** (the posterior nasal openings). * **Choanal atresia** is a separate congenital anomaly that causes respiratory distress, which is not suggested by this patient's presentation. * *Decreased pulmonary vascular resistance* * The knee-chest position primarily affects SVR, not **pulmonary vascular resistance (PVR)**. * While decreasing PVR would be beneficial by increasing pulmonary blood flow, this is not the direct mechanism of the knee-chest position. * *Increased systemic venous return* * While the knee-chest position can transiently affect venous return, its primary therapeutic effect in tet spells is on **SVR**. * Increased venous return alone would not counteract the right-to-left shunt in TOF. * *Decreased systemic vascular resistance* * A decrease in **SVR** would worsen the patient's condition by exacerbating the right-to-left shunt across the VSD, leading to more **cyanosis**. * The goal of the knee-chest position is precisely the opposite: to increase SVR.
Explanation: ***Turner syndrome*** - The patient's presentation with **primary amenorrhea**, **lack of breast development**, **short stature**, **bounding brachial pulses** with **diminished femoral pulses** (suggesting coarctation of the aorta), and a **short neck with excessive skin** (webbed neck) are classic features of **Turner syndrome (45,XO)**. - **Poor athletic performance** and **fatigue** can be attributed to the cardiovascular defect (coarctation), which reduces blood flow to the lower body and can lead to claudication or muscle weakness. *Friedreich ataxia* - This is a **neurodegenerative disorder** characterized by **progressive ataxia**, dysarthria, and scoliosis, often presenting in childhood or adolescence. - While it can cause **cardiomyopathy** and fatigue, it does not typically present with the specific physical stigmata like webbed neck, short stature, or primary amenorrhea. *Marfan syndrome* - Characterized by tall stature, **arachnodactyly (long, slender fingers)**, **pectus excavatum**, **joint laxity**, and cardiovascular abnormalities like **aortic root dilation** and dissection. - It does not cause short stature, webbed neck, primary amenorrhea, or coarctation of the aorta. *Kartagener's syndrome* - A subset of **primary ciliary dyskinesia**, characterized by the triad of **situs inversus**, **chronic sinusitis**, and **bronchiectasis**. - This condition affects ciliary function and is not associated with the **gonadal dysgenesis**, **short stature**, or specific cardiovascular and physical anomalies seen in the patient. *Down syndrome* - Caused by **trisomy 21**, typically presenting with **intellectual disability**, **distinctive facial features** (e.g., epicanthic folds, upslanting palpebral fissures), single palmar crease, and often **congenital heart defects** (e.g., AV septal defects). - While it can be associated with short stature and heart defects, it does not cause primary amenorrhea due to gonadal dysgenesis, webbed neck as a primary feature, or coarctation in the pattern described.
Explanation: ***Portal hypertension*** * The presentation of **oligohydramnios**, **pulmonary hypoplasia**, and **enlarged, echogenic kidneys with multiple cysts** in a newborn is consistent with **autosomal recessive polycystic kidney disease (ARPKD)**. * ARPKD is invariably associated with **congenital hepatic fibrosis**, which leads to **portal hypertension** due to periportal fibrosis and obstruction of intrahepatic portal blood flow. This is the hallmark extra-renal complication of ARPKD. *Subarachnoid hemorrhage* * Subarachnoid hemorrhage from berry aneurysm rupture is associated with **autosomal dominant polycystic kidney disease (ADPKD)**, not ARPKD. * There are no specific clinical features or imaging findings in this case that would suggest intracranial hemorrhage as the highest risk complication. *Acute renal failure* * While neonates with ARPKD can develop renal insufficiency and progressive chronic kidney disease, the question asks for the "highest risk **complication**" rather than the primary disease manifestation. * **Portal hypertension from congenital hepatic fibrosis** is the most significant distinct complication that develops as a consequence of ARPKD, often manifesting in childhood with hepatosplenomegaly, esophageal varices, and hypersplenism. *Recurrent UTI* * Recurrent UTIs require structural abnormalities like vesicoureteral reflux or urinary stasis, which are not primary features of ARPKD. * While children with kidney disease may have increased infection risk, recurrent UTIs are not a direct or characteristic complication of the cystic kidney disease in ARPKD. *Emphysema* * **Pulmonary hypoplasia** (underdeveloped lungs from oligohydramnios/Potter sequence) is present in this case, but this is not the same as emphysema. * Emphysema involves destruction of alveolar walls and is typically seen in adults with chronic obstructive pulmonary disease or alpha-1 antitrypsin deficiency, not in neonates with pulmonary hypoplasia.
Explanation: ***Reassurance and follow-up*** - The presentation of an **intermittent, reducible, transilluminating scrotal swelling** in an infant, particularly one that resolves with rest, is characteristic of a **communicating hydrocele**. - Most communicating hydroceles in infants resolve spontaneously by **12-18 months of age** as the **processus vaginalis** closes, so watchful waiting is the most appropriate initial management. *Percutaneous drainage* - This procedure is generally not recommended for communicating hydroceles due to the **risk of infection**, recurrence, and injury to scrotal structures. - It does not address the underlying issue of the patent processus vaginalis, making it an ineffective long-term solution. *Ligation of the patent processus vaginalis* - This is the surgical treatment for a communicating hydrocele, but it is typically reserved for cases that **persist beyond 12-18 months of age** or those that cause complications. - Given the patient's age (6 months) and the benign nature of the swelling, immediate surgical intervention is not indicated. *Bilateral orchidopexy* - **Orchidopexy** (surgical repositioning of a testis) is performed for **undescended testes**, which is not indicated by the patient's presentation. - This patient has a scrotal swelling, and the testes are presumed to be in their normal position. *Surgical excision of the mass* - This is an overly aggressive and inappropriate intervention for a suspected communicating hydrocele. - The mass is fluid-filled and caused by a patent processus vaginalis, not a solid tumor requiring excision.
Explanation: ***Degree of right ventricular outflow obstruction*** - The severity of **right ventricular outflow tract (RVOT) obstruction** in **Tetralogy of Fallot** directly dictates the degree of right-to-left shunting through the VSD. - Increased RVOT obstruction leads to higher right ventricular pressure, forcing more deoxygenated blood into the aorta and causing **cyanosis**. *Degree of aortic override* - While **aortic override** is a characteristic feature of Tetralogy of Fallot, its *degree* does not directly determine the severity of cyanosis. - The override allows blood from both ventricles to enter the aorta, but the shunting direction and oxygenation depend on pressure differences. *Size of ventricular septal defect* - The **ventricular septal defect (VSD)** in Tetralogy of Fallot is typically **large and non-restrictive**, meaning it does not significantly impede blood flow between the ventricles. - Therefore, the *size* of the VSD itself is not the primary determinant of cyanosis; rather, it facilitates the shunt created by the RVOT obstruction. *Degree of left ventricular outflow obstruction* - **Left ventricular outflow tract (LVOT) obstruction** is not a feature of **Tetralogy of Fallot**; instead, the primary obstruction is in the right ventricular outflow tract. - Conditions involving LVOT obstruction, such as **aortic stenosis**, present with different clinical findings and cyanosis is typically not a cardinal symptom. *Degree of right ventricular hypertrophy* - **Right ventricular hypertrophy** is a consequence of the **RVOT obstruction** and the high pressures it must generate. - While it's an important feature of Tetralogy of Fallot, it is a *result* of the obstruction, not the direct cause of the cyanosis itself.
Explanation: ***Sweat test*** - A **sweat test** is the gold standard for diagnosing cystic fibrosis, measuring **chloride concentration** in sweat which is elevated in CF. - Given the elevated **immunoreactive trypsinogen (IRT)** on newborn screening, a confirmatory diagnostic test like the sweat test is the appropriate next step. *Nasal potential difference* - **Nasal potential difference (NPD)** measures the electrical potential across the nasal epithelium, reflecting **CFTR channel function**. - While used for CF diagnosis, it is typically employed in cases with **borderline sweat test results** or atypical presentations, not as a primary confirmatory test after positive newborn screening. *Intestinal current measurement* - **Intestinal current measurement (ICM)** assesses **chloride secretion** across the intestinal epithelium in response to secretagogues. - This is a highly specialized research tool, generally not used in routine clinical diagnosis for confirming cystic fibrosis. *Measurement of fecal elastase levels* - **Fecal elastase levels** are used to assess **pancreatic exocrine function**, which is often impaired in cystic fibrosis. - While relevant to CF, it primarily evaluates pancreatic involvement and is not the primary diagnostic test for CF itself following a positive newborn screen, but rather for assessing disease severity. *Mutation analysis* - **Mutation analysis** (genetic testing for **CFTR gene mutations**) can identify CF, especially if a sweat test is inconclusive or for screening purposes. - Although useful, it's often done *after* a positive sweat test or when the sweat test is equivocal, as the **sweat test** remains the initial confirmatory diagnostic test after elevated IRT.
Explanation: **Correct: 16** - The patient's features, including **microcephaly**, prominent forehead, **hypertelorism**, broad nasal bridge, **micrognathia**, hypotonia, and developmental delay, are characteristic of **Rubinstein-Taybi syndrome**. - Rubinstein-Taybi syndrome is caused by a mutation in the **CREBBP gene** located on chromosome **16p13.3**. *Incorrect: 6* - Abnormalities on chromosome 6 are associated with conditions like **hereditary hemochromatosis** or some forms of **epilepsy**, which do not match the presented clinical picture. - The distinctive facial dysmorphisms and developmental delays seen in this patient are not characteristic features of chromosomal aberrations on chromosome 6. *Incorrect: 4* - Chromosome 4 abnormalities are associated with conditions such as **Huntington's disease** or **Wolf-Hirschhorn syndrome**. - **Wolf-Hirschhorn syndrome** (4p-deletion) presents with a "Greek helmet" facies; however, the constellation of symptoms (e.g., prominent forehead, broad nasal bridge, micrognathia) doesn't fully align with the typical presentation of Wolf-Hirschhorn, and Rubinstein-Taybi is a more precise fit for these specific dysmorphic features. *Incorrect: 5* - Chromosome 5 abnormalities are linked to conditions like **Cri du Chat syndrome** (5p deletion) which is characterized by a high-pitched cry, microcephaly, and distinct facial features. - While there is microcephaly in this case, the other specific facial features and absence of a characteristic cry make Cri du Chat less likely than Rubinstein-Taybi syndrome. *Incorrect: 7* - Chromosome 7 abnormalities are associated with conditions such as **Williams syndrome** (deletion on 7q11.23) or conditions involving **cystic fibrosis** (7q31.2). - Williams syndrome involves an "elfin" facial appearance, outgoing personality, and cardiovascular anomalies, none of which are consistent with the patient's presentation.
Explanation: ***Digoxin and furosemide*** - This 1-month-old infant presents with classic signs of **heart failure** from a symptomatic **patent ductus arteriosus (PDA)**: tachycardia (170/min), tachypnea (55/min), poor feeding with prolonged feeding times, diaphoresis during feeds, and a continuous murmur at the left upper sternal border. - At **1 month of age**, the initial management focuses on **medical treatment of heart failure** with **furosemide** (loop diuretic to reduce volume overload) and **digoxin** (inotropic support to improve cardiac contractility). - This stabilizes the infant before definitive closure is considered if medical management fails. *Indomethacin infusion* - **Indomethacin** (NSAID/prostaglandin inhibitor) is effective for **PDA closure only in premature infants within the first 7-14 days of life**. - At **1 month of age** (approximately 40 weeks corrected gestational age), the ductus arteriosus is no longer responsive to prostaglandin inhibition, making indomethacin ineffective. - This would have been appropriate if the infant was still in the early neonatal period. *Percutaneous surgery* - **Percutaneous transcatheter closure** or surgical ligation may be required if medical management of heart failure fails or the PDA remains hemodynamically significant. - However, this is **not the initial step**—medical stabilization with heart failure management should be attempted first. - Procedural closure is typically considered after 6 months of age if spontaneous closure has not occurred. *X-ray of the chest* - A chest X-ray would show **cardiomegaly** and **increased pulmonary vascular markings** consistent with the left-to-right shunt from PDA. - However, the diagnosis has already been **confirmed by echocardiography**, and imaging does not constitute therapeutic management for this symptomatic infant. *Prostaglandin E1 infusion* - **Prostaglandin E1** is used to **maintain** ductal patency in **ductal-dependent congenital heart lesions** (e.g., critical coarctation, hypoplastic left heart syndrome, pulmonary atresia). - In this case with symptomatic PDA, the goal is to manage heart failure and potentially achieve ductal closure, making PGE1 **contraindicated**.
Explanation: ***Technetium-99m pertechnetate scan*** - The clinical picture of **iron-deficiency anemia refractory to iron therapy**, **occult blood in the stool**, and visible blood in a 14-month-old strongly suggests a **Meckel's diverticulum** that contains ectopic gastric mucosa. - This scan specifically detects **ectopic gastric mucosa**, which is the most common cause of bleeding from a Meckel's diverticulum, making it the **diagnostic gold standard**. *Colonoscopy* - While useful for evaluating the colon and rectum, **colonoscopy** is unlikely to identify a Meckel's diverticulum, which is located in the **small intestine**. - It's primarily used for conditions like colonic polyps, inflammatory bowel disease, or lower gastrointestinal bleeding from the large bowel. *Capsule endoscopy* - **Capsule endoscopy** can visualize the small bowel mucosa and detect bleeding, but it does not specifically identify **ectopic gastric mucosa** and may miss a Meckel's diverticulum, especially if it's not actively bleeding at the time of the study. - It is also less commonly used in very young children due to issues with capsule passage and retention. *Abdominal CT with contrast* - An **abdominal CT with contrast** can identify some structural abnormalities and inflammation but is generally not the primary diagnostic tool for a Meckel's diverticulum. - It has **limited sensitivity** for detecting ectopic gastric mucosa or the diverticulum itself, particularly if it's small or not inflamed. *Tagged red blood cell study* - A **tagged red blood cell study** can detect the site of active gastrointestinal bleeding, but it does not identify the **underlying cause** of the bleeding, such as a Meckel's diverticulum. - It requires active bleeding at a rate of at least 0.1 mL/min to be positive, and may be less specific than a Meckel's scan for this particular pathology.
Explanation: ***Intrauterine malposition*** - The combination of **congenital muscular torticollis** (head tilted left, chin rotated right) and **hip dysplasia** in a newborn strongly suggests **intrauterine confinement**. - **Malposition** *in utero* can restrict fetal movement and lead to musculoskeletal abnormalities due to prolonged pressure on developing structures. *Basal ganglia abnormalities* - **Basal ganglia abnormalities** typically present with movement disorders such as dyskinesias, dystonia, or rigidity, often without the specific musculoskeletal findings described. - While they can cause abnormal posturing, the concurrent **hip dysplasia** points away from a primary neurological cause. *Antenatal trauma* - **Antenatal trauma** (trauma occurring during pregnancy before labor) severe enough to cause these musculoskeletal findings would typically require significant force and would likely present with other signs of injury or complications during pregnancy. - The **unremarkable pregnancy** and **uncomplicated delivery** make trauma an unlikely cause. - These findings are better explained by chronic positional constraint rather than acute traumatic injury. *Congenital infection* - **Congenital infections** such as TORCH infections usually present with a broader range of symptoms including systemic illness, neurological impairments (e.g., microcephaly, seizures), or specific organ damage. - The isolated musculoskeletal findings of torticollis and hip dysplasia, without other signs, are not characteristic of a congenital infection. *Accessory nerve palsy* - **Accessory nerve palsy** would primarily affect the **sternocleidomastoid** and **trapezius muscles**, leading to weakness and potentially torticollis. - However, it would not explain the associated **hip dysplasia**, making it an incomplete diagnosis for the overall presentation.
Explanation: ***A 2-year-old boy with a 2-mm supracristal defect, without heart failure, pulmonary hypertension, or growth failure*** - This patient description most closely matches the criteria for requiring surgical repair. **Supracristal VSDs** are more prone to **aortic valve prolapse** and **aortic regurgitation**, even with small defects and absent or mild symptoms, thus warranting early surgical consideration. - While other symptomatic VSDs might require surgery, this specific type of VSD carries a unique risk to the aortic valve, making surgical intervention often necessary to prevent future complications. *A 7-year-old boy with an 11-mm muscular defect and severe pulmonary vascular disease non-responsive to pulmonary vasodilators* - This patient likely has **Eisenmenger syndrome**, characterized by **irreversible pulmonary vascular disease** and right-to-left shunting. - Surgical repair of the VSD is **contraindicated** in such cases and would likely worsen the patient's condition. *An 11-month-old female infant with a 6-mm membranous defect, without heart failure, pulmonary hypertension, or growth failure* - Small to moderate membranous VSDs in asymptomatic infants often **close spontaneously**, especially in the first year of life. - Without signs of **heart failure**, **pulmonary hypertension**, or **growth failure**, a watch-and-wait approach is typically preferred over immediate surgery. *A 4-month-old male infant with a 12-mm muscular defect, without heart failure, pulmonary hypertension or growth failure* - Although this is a **large muscular VSD**, the infant is currently **asymptomatic** without heart failure, pulmonary hypertension, or growth failure. - In the **absence of symptoms or hemodynamic compromise**, initial management includes close observation with medical therapy as needed. Surgery would be indicated if symptoms develop or significant shunting occurs. - Note: While small muscular VSDs (<5mm) often close spontaneously, large defects like this require vigilant monitoring as they may eventually require intervention. *A 5-year-old girl with a 2-mm membranous defect, no heart failure, a Qp:Qs ratio less than 2:1, and no growth failure* - A 2-mm membranous defect is considered a **small VSD**, and a Qp:Qs ratio less than 2:1 indicates an **insignificant shunt**. - Small VSDs, particularly in older children who are asymptomatic, very often close spontaneously or remain hemodynamically insignificant, and typically do not require surgical intervention.
Explanation: ***Deletion of short arm of chromosome 1*** - **Deletion of the short arm of chromosome 1 (1p deletion)** is a common genetic abnormality found in neuroblastoma and is consistently associated with a **poor prognosis**, indicating aggressive disease. - This genetic alteration is often correlated with other high-risk features, such as **MYCN amplification**, and is a critical factor in risk stratification for treatment planning. *Absence of nodular pattern* - The **absence of a nodular pattern** in ganglioneuroblastoma or ganglioneuroma indicates more favorable, mature differentiation. Nodularity, especially in younger patients with immature components, can suggest more aggressive neuroblastoma with poorer outcomes. - The biopsy here describes mature ganglion cells and spindle cells, consistent with a more differentiated tumor. *Absence of MYCN gene amplification* - The **absence of MYCN gene amplification** is a favorable prognostic indicator in neuroblastoma, *not* a poor one. MYCN amplification is strongly associated with aggressive tumor behavior, rapid progression, and poor clinical outcomes. *Detectable levels of homovanillic acid (HVA) and/or vanillylmandelic acid (VMA) in urine* - **Detectable levels of HVA and/or VMA** in urine are metabolic markers of catecholamine production, elevated in most neuroblastomas due to the tumor's origin from neural crest cells. - While their presence aids in diagnosis, detectability alone is not a poor prognostic factor. Very high levels or failure to normalize after treatment can indicate worse prognosis, but simple detectability is expected in these tumors. *Age younger than 18 months* - **Age younger than 18 months** at diagnosis is generally considered a **favorable prognostic factor** for neuroblastoma, especially in localized disease. - Younger patients often have better outcomes, even with advanced-stage disease, possibly due to a higher likelihood of spontaneous regression or maturation of the tumor. This patient's age of 7 years is actually an unfavorable prognostic factor.
Explanation: ***Stretching program*** - This infant presents with signs and symptoms consistent with **congenital muscular torticollis**, including head tilt, chin rotation, and a palpable mass (hematoma) in the **sternocleidomastoid muscle**. - For infants with congenital muscular torticollis due to muscle tightness, a **stretching program** and physical therapy are the primary and most effective initial treatments. *Botulinum toxin injection* - **Botulinum toxin injection** is typically reserved for older children or cases that do not respond to conservative management, as it is a more invasive treatment. - It works by temporarily paralyzing the affected muscle to allow for improved stretching and range of motion, but it is not the first-line treatment for infants. *X-ray of the cervical spine* - An **X-ray of the cervical spine** would be indicated if there were concerns for underlying bony abnormalities or dislocations, which are not suggested by the classic presentation of congenital muscular torticollis with a palpable mass. - While ruling out skeletal issues is important if torticollis persists or is atypical, the initial presentation points strongly to a muscular origin. *Myotomy* - **Myotomy** (surgical release of the sternocleidomastoid muscle) is considered a last resort for severe, persistent torticollis that has failed extensive non-surgical management, usually recommended after 1 year of age. - It is an invasive procedure and is not appropriate as an initial management step. *CT scan of the neck* - A **CT scan of the neck** would involve radiation exposure and is generally not indicated for the initial diagnosis or management of typical congenital muscular torticollis. - It might be considered if there is suspicion of atypical masses, bony anomalies, or neurological involvement not clarified by simpler imaging or clinical examination.
Explanation: ***Pulmonic stenosis*** - The description of a **harsh, systolic ejection murmur** at the **left upper sternal border** is characteristic of Pulmonic stenosis. - The **cyanosis during feeding** and the need for surgery suggest a **right-to-left shunt** or significant obstruction, and can be part of the tetralogy of Fallot, which is due to a **neural crest cell migration failure.** *Atrial septal defect* - Typically presents with a **systolic murmur at the left upper sternal border** due to increased pulmonary flow, but it is usually a **soft ejection murmur,** rarely harsh. - While it can cause cyanosis in severe cases with pulmonary hypertension leading to shunt reversal, it is **not primarily linked to neural crest cell migration failure.** *Transposition of the great vessels* - This condition would typically present with **severe cyanosis** much earlier in infancy, often within days of birth. - The murmur associated with transposition of the great arteries (TGA) can be variable but is not usually described as a harsh systolic ejection murmur specifically related to pulmonic outflow. TGA is also associated with **neural crest cell migration failure**. *Tricuspid atresia* - This condition leads to severe cyanosis and usually presents with a **single S2 heart sound** and often a **pansystolic or continuous murmur** depending on associated defects. - While it is a severe congenital heart defect requiring surgery, it is **not directly linked to neural crest cell migration failure**. *Coarctation of the aorta* - This anomaly causes a **systolic murmur** heard best over the **back** or left infraclavicular area and can lead to differential cyanosis (lower body), but not typically generalized cyanosis during feeding in this manner. - **Lower extremity hypertension** or disparity in pulses would be expected, which is not mentioned, and it is **not a neural crest cell migration defect**.
Explanation: ***Occurs due to a mutation in ribosomal protein genes*** - The described condition is **Diamond-Blackfan anemia (DBA)**, which is typically inherited as an **autosomal dominant** trait due to mutations in genes encoding **ribosomal proteins**, particularly RPS19 (and other ribosomal protein genes like RPL5, RPL11). - DBA is characterized by **macrocytic anemia** stemming from impaired erythropoiesis, often presenting in infancy, with normal neutrophil morphology, and can be associated with congenital anomalies including **short stature** and **craniofacial abnormalities**. - This is the **most specific** answer as it directly identifies the underlying genetic etiology of the condition. *Occurs due to auto-antibodies against the parietal cells of the stomach* - This description corresponds to **pernicious anemia**, which causes **vitamin B12 deficiency** leading to macrocytic anemia with **hypersegmented neutrophils**. - The clinical presentation explicitly states macrocytic red blood cells *without* hypersegmented neutrophils, and the inheritance pattern (autosomal dominant) with congenital anomalies does not fit pernicious anemia. *Occurs due to an inability to convert orotic acid to uridine monophosphate (UMP)* - This describes **orotic aciduria**, a rare inherited metabolic disorder caused by UMP synthase deficiency that leads to megaloblastic anemia. - However, it does not present with the specific features of ribosomal protein gene mutations or the characteristic congenital anomalies (short stature, craniofacial abnormalities) seen in DBA. - The anemia in orotic aciduria is typically responsive to uridine supplementation, and it is usually associated with **orotic acid crystals** in the urine. *Splenectomy is a treatment option* - **Splenectomy** is a treatment option for hemolytic anemias (e.g., hereditary spherocytosis, thalassemia with hypersplenism) where red blood cell destruction occurs primarily in the spleen. - It is generally *not* a primary treatment for Diamond-Blackfan anemia, whose pathophysiology involves **bone marrow failure** due to impaired erythropoiesis rather than splenic destruction of red blood cells. - DBA treatment focuses on corticosteroids, transfusions, and potentially bone marrow transplant. *Fetal hemoglobin level is elevated* - While this statement is actually **true** for Diamond-Blackfan anemia (elevated HbF is found in approximately 85% of DBA patients), it is a **supportive laboratory finding** rather than the underlying cause or defining pathophysiology. - The question asks "which of the following is true," and while both the ribosomal protein mutation and elevated HbF are true, the **mutation in ribosomal protein genes** is the better answer as it represents the fundamental genetic defect causing the condition. - Other conditions like beta-thalassemia and hereditary persistence of fetal hemoglobin (HPFH) also feature elevated HbF, making it less specific than the ribosomal protein gene mutation.
Explanation: ***A positive Chvostek's sign*** - The constellation of **cleft palate**, **abnormal facial appearance**, **recurrent infections**, and a **ventricular septal defect (VSD)** strongly suggests **DiGeorge syndrome**. - In DiGeorge syndrome, hypoparathyroidism leads to **hypocalcemia**, which can manifest as neuromuscular irritability, including a positive **Chvostek's sign** (facial muscle twitching upon tapping the facial nerve). *Kidney stones* - **Kidney stones** are typically associated with **hypercalcemia** or other metabolic disorders, not hypocalcemia seen in DiGeorge syndrome. - While DiGeorge patients can have renal anomalies, **nephrolithiasis** is not a characteristic feature of the syndrome. *B-cell deficiency* - DiGeorge syndrome is characterized by **T-cell deficiency** due to thymic hypoplasia or aplasia, not primarily B-cell deficiency. - While **B cells** may be secondarily affected due to lack of T-cell help, the primary immunodeficiency is related to T-lymphocytes. *Hypoactive deep tendon reflexes* - **Hypocalcemia** typically causes **hyperactive deep tendon reflexes** and increased neuromuscular excitability, not hypoactivity. - **Hypoactive reflexes** might suggest conditions like hypothyroidism or certain neurological disorders. *A shortened QT Interval* - **Hypocalcemia** is associated with a **prolonged QT interval** on an electrocardiogram, not a shortened one. - A **shortened QT interval** can occur in conditions like hypercalcemia or genetic channelopathies.
Explanation: ***Right ventricular outflow obstruction*** - The combination of **cyanosis** (dusky blue discoloration during feedings and crying — "tet spells"), a **harsh systolic murmur** at the left upper sternal border, **poor weight gain**, and a chest x-ray showing a **boot-shaped heart** in an infant strongly suggests **Tetralogy of Fallot (ToF)** with **right ventricular outflow obstruction**. - The **boot-shaped heart** (coeur en sabot) on chest x-ray reflects **right ventricular hypertrophy** (upturned cardiac apex) and **pulmonary artery hypoplasia** (concave left heart border), with decreased pulmonary vascularity — all hallmarks of ToF. - ToF consists of four defects: pulmonary stenosis (RVOTO), VSD, overriding aorta, and right ventricular hypertrophy. RVOTO drives the right-to-left shunt and cyanosis. *Anatomic reversal of aorta and pulmonary artery* - This describes **Transposition of the Great Arteries (TGA)**, which presents with severe cyanosis from birth due to parallel (non-mixing) circuits, often without a prominent murmur. - TGA classically shows an **"egg-on-a-string"** appearance on chest x-ray (narrow mediastinum), not a boot-shaped heart. *Hypoplasia of the left ventricle* - This refers to **Hypoplastic Left Heart Syndrome (HLHS)**, which causes profound cyanosis, circulatory shock, and heart failure shortly after birth as the ductus arteriosus closes. - HLHS does not produce the boot-shaped cardiac silhouette or the specific murmur described here. *Persistent connection between the aorta and pulmonary artery* - This describes a **Patent Ductus Arteriosus (PDA)**, which typically produces a **continuous "machinery" murmur** and, if large, causes left-to-right shunting with signs of pulmonary overcirculation. - Isolated PDA does not cause primary cyanosis or the right ventricular outflow obstruction pattern seen here. *Narrowing of the distal aortic arch* - This is **Coarctation of the Aorta**, which causes **upper-extremity hypertension** and **diminished lower-extremity pulses**, sometimes with differential cyanosis if preductal. - Coarctation involves left-sided outflow obstruction; its murmur is best heard over the back or left infraclavicular area, and it does not produce the boot-shaped heart or right-sided findings described.
Explanation: ***Sensorineural hearing loss*** - This patient presents with an episode of syncope, a **prolonged QTc interval** (470 ms; normal <450 ms in prepubertal females, diagnostic threshold >460 ms), and a family history of **sudden cardiac death**, highly suggestive of **Long QT syndrome (LQTS)**. - **Jervell and Lange-Nielsen syndrome** is a specific form of LQTS (autosomal recessive) characterized by both **prolonged QT interval** and **congenital sensorineural hearing loss**, making this the most likely additional finding. *Oblique palpebral fissures* - **Oblique palpebral fissures**, along with epicanthal folds and a flat facial profile, are characteristic features of **Down syndrome (Trisomy 21)**. - These features are not typically associated with cardiac arrhythmias or Long QT syndrome, and there is no other information to suggest a chromosomal abnormality. *Subvalvular ventricular outflow obstruction murmur* - A **subvalvular ventricular outflow obstruction murmur** is indicative of conditions like **hypertrophic obstructive cardiomyopathy (HOCM)**. - While HOCM can cause syncope and sudden cardiac death, the primary finding in this patient is a **prolonged QTc interval**, which is characteristic of LQTS, not HOCM. *Brachial-femoral pulse delay* - A **brachial-femoral pulse delay** is the classic physical exam finding for **coarctation of the aorta**, a congenital narrowing of the aorta. - There is no clinical information to suggest coarctation, and it does not explain the prolonged QTc interval and family history of sudden cardiac death. *Skin folds between the mastoid process and acromion* - **Skin folds between the mastoid process and acromion** (webbed neck or pterygium colli) are a classic sign of **Turner syndrome (XO)** or **Noonan syndrome**. - These conditions are not primarily associated with a prolonged QTc interval and exert their cardiac effects through structural defects like coarctation or pulmonary stenosis, not typically primary arrhythmias.
Explanation: ***Technetium-99m pertechnetate scan*** - This patient's presentation with **painless maroon-colored stools** and **anemia** in a 2-year-old strongly suggests a **Meckel's diverticulum** with ectopic gastric mucosa. - A **Technetium-99m pertechnetate scan** specifically identifies **ectopic gastric mucosa**, which is the bleeding source in 90% of symptomatic Meckel's diverticula. *Colonoscopy* - A colonoscopy would be appropriate for evaluating sources of lower GI bleeding such as **polyps, inflammatory bowel disease**, or **vascular malformations**. - However, it is unlikely to identify a Meckel's diverticulum, which is located in the **small intestine** and is the most probable cause of bleeding in this age group and presentation. *Stool culture and leukocytes* - These tests are used to diagnose **infectious colitis**, which typically presents with **diarrhea, fever, and abdominal pain**, none of which are prominent in this case aside from mild tenderness. - The patient's **painless maroon-colored stools** are more indicative of a structural anomaly rather than an infection. *Abdominal ultrasound* - An abdominal ultrasound can detect **intussusception** or other **abdominal masses**, but it is generally not the primary diagnostic tool for identifying a Meckel's diverticulum. - While it might show features indirectly, it lacks the specificity of a **Meckel's scan** for ectopic gastric mucosa. *Elimination of cow’s milk from the diet* - **Cow's milk protein-induced proctocolitis** can cause bloody stools in infants, but it typically presents earlier in infancy, and the blood is usually **streaky red** rather than maroon. - The age of the patient (2 years) and the nature of the bleeding (maroon stool, suggesting upper GI bleeding or slow transit from the small bowel) make this diagnosis less likely.
Explanation: ***Hearing impairment*** - This patient's presentation with **recurrent fractures**, short stature, spinal deformity (**kyphoscoliosis**), and joint hypermobility, along with a family history of fractures, is highly suggestive of **osteogenesis imperfecta (OI)**. - **Hearing impairment** (sensorineural or conductive due to ossicle abnormalities) is a common additional finding in many types of OI, particularly Type I. *Dislocated lens* - **Lens dislocation** (ectopia lentis) is a characteristic feature of **Marfan syndrome**, not primarily osteogenesis imperfecta. - While both conditions are connective tissue disorders, the constellation of symptoms (especially multiple fractures) points away from Marfan syndrome. *Cerebral berry aneurysm* - **Cerebral berry aneurysms** are associated with conditions like **Autosomal Dominant Polycystic Kidney Disease (ADPKD)** and **Ehlers-Danlos syndrome type IV**, not typically osteogenesis imperfecta. - The primary features of this patient's presentation do not align with the risk factors for berry aneurysms. *Increased head circumference* - **Increased head circumference** (macrocephaly) can be seen in various conditions, but it is not a hallmark feature of osteogenesis imperfecta. - It might suggest hydrocephalus or other neurological disorders, which are not indicated by the patient's symptoms. *Widely spaced permanent teeth* - **Widely spaced teeth** and other dental anomalies (like **opalescent dentin** due to **dentinogenesis imperfecta**) can occur in some types of OI, but "widely spaced permanent teeth" specifically is a less defining or universal feature compared to hearing impairment. - While dental issues are relevant, **hearing impairment** is a more prominent and often earlier manifestation in many OI cases.
Explanation: ***Microcephaly and stridor*** - This mother has **Graves' disease** (hyperthyroidism with exophthalmos), which produces **thyroid-stimulating hormone receptor antibodies (TRAb)** that can cross the placenta. - TRAb can cause **fetal/neonatal hyperthyroidism** and **fetal goiter**, which may compress the trachea leading to **stridor** and respiratory distress at birth—this is a well-recognized complication. - **Note:** Microcephaly is not typically associated with maternal Graves' disease; the primary neonatal risks include goiter, tachycardia, and craniosynostosis. However, among the given options, this is the most appropriate answer due to the presence of stridor. *Bradycardia and annular rash* - **Bradycardia** and **annular rash** are characteristic of **neonatal lupus erythematosus**, caused by transplacental passage of maternal anti-Ro/SSA and anti-La/SSB antibodies. - This is not associated with maternal hyperthyroidism or Graves' disease. *Umbilical hernia and erosive scalp lesion* - **Umbilical hernia** is common in conditions like **congenital hypothyroidism** or Down syndrome. - **Erosive scalp lesions** (aplasia cutis congenita) may be seen with methimazole exposure during pregnancy, but this combination is not a typical complication of untreated maternal Graves' disease. *Mechanical holosystolic murmur and tetany* - A **holosystolic murmur** suggests **ventricular septal defect (VSD)**, and **tetany** suggests **hypocalcemia**. - While neonatal thyrotoxicosis can cause tachyarrhythmias, these specific findings are not characteristic complications of maternal Graves' disease. *Macrosomia and shoulder dystocia* - **Macrosomia** and **shoulder dystocia** are classic complications of **maternal gestational diabetes**, where maternal hyperglycemia leads to fetal hyperinsulinemia and excessive growth. - Maternal hyperthyroidism typically causes **low birth weight** or **intrauterine growth restriction (IUGR)**, not macrosomia.
Explanation: ***Transposition of the great arteries with ventricular septal defect and pulmonary stenosis*** - The described echocardiogram findings point to **Truncus Arteriosus**, characterized by a single great artery overriding a **ventricular septal defect (VSD)** and severe **cyanosis**. - **Transposition of the great arteries (TGA)** with a VSD and pulmonary stenosis also presents with profound cyanosis, heart failure symptoms (poor feeding, tachypnea, tachycardia), and can lead to similar **hemodynamic instability** due to mixing of oxygenated and deoxygenated blood and outflow tract obstruction. *Infracardiac total anomalous pulmonary venous return* - This condition involves all pulmonary veins draining into the systemic venous circulation below the diaphragm, often into the **portal vein** or **ductus venosus**. - While it causes severe cyanosis and cardiopulmonary distress in infancy, the **echocardiogram findings** (single arterial trunk, VSD) are distinct from the typical features of infracardiac TAPVR, which would show abnormal pulmonary venous connection at the systemic level rather than a single great artery. *Pulmonary atresia with intact ventricular septum* - This involves a **complete obstruction of the pulmonary valve**, preventing blood flow from the right ventricle to the pulmonary artery, leading to severe cyanosis. - However, the echocardiogram description of a **single arterial trunk overriding a VSD** is not consistent with pulmonary atresia with an intact ventricular septum. *Severe Ebstein anomaly* - This anomaly is characterized by apical displacement of the **tricuspid valve leaflets**, leading to severe tricuspid regurgitation and functional hypoplasia of the right ventricle. - While it can cause cyanosis and heart failure, the echocardiogram findings of a single arterial trunk and overriding VSD are not typical of **Ebstein anomaly**. *Double-inlet ventricle with unobstructed pulmonary flow* - A double-inlet ventricle means both atria connect to a single functional ventricle, but with **unobstructed pulmonary flow**, there would likely be less severe cyanosis (or none) and more symptoms of **congestive heart failure** due to pulmonary overcirculation. - This condition's echocardiogram findings are also distinct from the described single arterial trunk and overriding VSD, which are characteristic of **Truncus Arteriosus**.
Explanation: ***Prostaglandin E1 administration*** - The echocardiogram findings of **pulmonary arteries arising from the posterior left ventricle** and the **aorta rising anteriorly from the right ventricle** are characteristic of **transposition of the great arteries (TGA)**. - In TGA, **prostaglandin E1** is crucial to maintain patency of the **ductus arteriosus**, which provides a mixing site for oxygenated and deoxygenated blood, improving systemic oxygenation. *Indomethacin administration* - **Indomethacin** is used to **close** a patent ductus arteriosus, which would be detrimental in a patient with TGA as ductal patency is required for survival. - Closing the ductus arteriosus in TGA would severely restrict blood mixing and worsen cyanosis. *Surgical repair* - While surgery (arterial switch operation) is the definitive treatment for TGA, it is not the *immediate* next step for a cyanotic neonate. - **Stabilization** with prostaglandin E1 to improve oxygenation is required before proceeding with surgery. *Obtain a CT Angiography* - An **echocardiogram** has already definitively diagnosed the cardiac anomaly (TGA). - A CT angiography is not typically required for initial diagnosis or acute management of TGA and would expose the neonate to unnecessary radiation. *Reassurance* - The newborn has significant **cyanosis (85% oxygen saturation)** and a serious congenital heart defect (TGA), requiring immediate medical intervention. - Reassurance is inappropriate given the critical condition of the neonate and the need for urgent treatment.
Explanation: ***Glaucoma*** - The clinical presentation, including recurrent headaches, complex partial seizures, developmental delay, and a **bluish discoloration on the left eyelid and cheek (facial port-wine stain)**, along with the CT scan showing **cortical calcifications**, is highly suggestive of **Sturge-Weber syndrome**. - **Glaucoma** is a common ocular manifestation of Sturge-Weber syndrome, particularly on the ipsilateral side of the facial port-wine stain, due to abnormal episcleral vasculature. *Ash leaf spots* - **Ash leaf spots** are hypopigmented macules characteristic of **Tuberous Sclerosis Complex**, which also manifests with seizures and intellectual disability but not typically with a facial port-wine stain or cortical calcifications in this pattern. - While both Sturge-Weber and Tuberous Sclerosis are **neurocutaneous syndromes**, their specific diagnostic features differ. *Charcot-Bouchard aneurysm* - **Charcot-Bouchard aneurysms** are small aneurysms that occur in the brain's small penetrating arteries, typically associated with **chronic hypertension**, and can cause **intracerebral hemorrhage**. - They are not related to the clinical picture of a facial port-wine stain, seizures, or developmental delay seen in this patient. *Café-au-lait spots* - **Café-au-lait spots** are hyperpigmented macules and are a hallmark feature of **Neurofibromatosis Type 1 (NF1)**, which is also associated with seizures and developmental delays. - However, NF1 does not typically present with the facial port-wine stain or the specific cortical calcifications seen in Sturge-Weber syndrome. *Iris hamartoma* - **Iris hamartomas**, also known as **Lisch nodules**, are characteristic ocular findings in **Neurofibromatosis Type 1 (NF1)**. - While NF1 can involve seizures and developmental delays, it does not present with a facial port-wine stain or the typical brain calcifications of Sturge-Weber syndrome.
Explanation: ***Death within the first year of life*** - This patient has Trisomy 18, also known as Edwards syndrome, which is characterized by a high mortality rate, with **90-95% of affected infants dying within the first year** due to severe congenital anomalies, especially cardiac defects. - **Rocker-bottom feet**, **clenched fists with overlapping fingers**, **microcephaly with a prominent occiput**, and **congenital heart defects** (such as ventricular septal defects or patent ductus arteriosus) are classic features of Trisomy 18. *Cutis aplasia* - **Cutis aplasia** (a congenital absence of skin) is a characteristic symptom of **Trisomy 13 (Patau syndrome)**, not Trisomy 18. - While both are chromosomal abnormalities, their specific phenotypic presentations differ, making cutis aplasia less likely in this case. *Macroglossia* - **Macroglossia** (an enlarged tongue) is a common feature of **Down syndrome (Trisomy 21)**. - It is not typically associated with Trisomy 18, which presents with distinct facial and oral features. *Alzheimer’s disease* - Individuals with **Down syndrome (Trisomy 21)** have an increased risk of developing **early-onset Alzheimer's disease**, often by middle age. - This is due to the triplication of the **APP gene**, located on chromosome 21, which is involved in amyloid-beta plaque formation. *Supravalvular aortic stenosis* - **Supravalvular aortic stenosis** (narrowing of the aorta above the aortic valve) is a characteristic cardiac finding in **Williams syndrome**, a microdeletion syndrome involving chromosome 7. - Williams syndrome is also associated with elfin facies, intellectual disability, and a friendly personality, none of which align with this patient's presentation.
Explanation: ***Symptoms may develop secondary to left ventricular outflow tract obstruction*** * The clinical description of **elfin facies**, extreme friendliness, mild mental retardation, and a deletion on **chromosome 7q11.23** (involving the **elastin gene**) are classic features of **Williams syndrome**. * **Supravalvular aortic stenosis (SVAS)**, a form of left ventricular outflow tract obstruction, is a common and serious cardiac anomaly in Williams syndrome due to the elastin gene deletion. *Vitamin D supplementation is recommended* * Patients with Williams syndrome often experience **hypercalcemia** in infancy, making vitamin D supplementation generally contraindicated rather than recommended. * This hypercalcemia usually resolves spontaneously in later childhood. *This patient is less likely to experience angina* * Due to the high prevalence of **supravalvular aortic stenosis** and other vascular abnormalities in Williams syndrome, these patients are actually **more likely** to experience cardiovascular symptoms, including **angina**, especially with physical exertion. * Stenosis can lead to increased myocardial oxygen demand, potentially causing angina. *Holosystolic murmur heard at the apex with radiation to the axilla* * A holosystolic murmur at the apex radiating to the axilla is characteristic of **mitral regurgitation**, which is not the primary or most common cardiac anomaly in Williams syndrome. * The characteristic murmur in Williams syndrome due to supravalvular aortic stenosis is typically a **systolic ejection murmur** heard best in the right upper sternal border, often radiating to the neck. *Carpopedal spasm induced by sphygmomanometer inflation* * **Carpopedal spasm** induced by sphygmomanometer inflation (Trousseau's sign) is indicative of **hypocalcemia**. * Patients with Williams syndrome typically experience **hypercalcemia**, not hypocalcemia, particularly during infancy.
Explanation: ***47,XXY*** - The patient's presentation with **tall stature**, **gynecomastia**, **small testes**, and **scant pubic hair** is characteristic of **Klinefelter syndrome**, which is caused by a **47,XXY karyotype**. - **Hypogonadism** in Klinefelter syndrome leads to **decreased testosterone production**, explaining the lack of facial hair and undeveloped secondary sexual characteristics. *45,XO/46,XX* - This mosaic karyotype is associated with **Turner syndrome**, which primarily affects females and presents with features like **short stature**, **gonadal dysgenesis**, and **webbed neck**. - Males with this karyotype are rare and would not exhibit the typical features described, such as **gynecomastia** and eunuchoid body habitus. *45,XO* - This is the classic karyotype for **Turner syndrome**, which is exclusively found in phenotypic females. - Individuals with 45,XO present with **short stature**, **streak gonads**, and a lack of secondary sexual characteristics, none of which align with the male patient's symptoms. *47,XYY* - Individuals with **XYY syndrome** (Jacob syndrome) are typically **tall** but usually have **normal sexual development** and **fertility**. - This karyotype does not explain the **gynecomastia**, **small testes**, or **decreased facial hair** seen in the patient. *46,XX/46,XY* - This karyotype indicates **gonadal mosaicism**, also known as **ovotesticular disorder of sex development (DSD)** or **chimerism**, where an individual has both ovarian and testicular tissue. - While it can present with ambiguous genitalia and mixed secondary sexual characteristics, the specific constellation of **tall stature**, **gynecomastia**, and **small testes** is more indicative of Klinefelter syndrome.
Explanation: ***Deletion of the chromosome 22q11*** - The combination of **hypocalcemia with low PTH** (due to **parathyroid hypoplasia**), recurrent infections (due to **thymic hypoplasia** leading to T-cell deficiency), and developmental delay is classic for **DiGeorge syndrome**. - **DiGeorge syndrome** is caused by a **microdeletion on chromosome 22q11.2**, affecting the development of structures derived from the **third and fourth pharyngeal pouches**. *Mutation in the WAS gene* - A mutation in the **WAS gene** causes **Wiskott-Aldrich syndrome**, characterized by **thrombocytopenia**, **eczema**, and **recurrent infections**. - It does not directly explain the **hypocalcemia with low PTH** or developmental delay present in this patient. *B cell development failure* - **B-cell development failure**, as seen in conditions like **X-linked agammaglobulinemia**, leads to recurrent bacterial infections due to absent antibodies. - However, it does not account for the **hypocalcemia** or developmental delay observed. *B cell maturation failure* - **B-cell maturation failure** results in impaired antibody production and recurrent infections but typically does not present with **hypocalcemia and low PTH** or developmental delay. - Conditions like **Common Variable Immunodeficiency (CVID)** involve mature B cells failing to differentiate into plasma cells. *Lysosomal trafficking regulator gene defect* - A defect in the **lysosomal trafficking regulator gene (LYST)** is associated with **Chediak-Higashi syndrome**, which involves impaired lysosomal function, leading to immunodeficiency, **partial albinism**, and neurological abnormalities. - This condition does not typically present with **hypocalcemia** or the specific constellation of symptoms seen in this case.
Explanation: ***Cystic fibrosis*** - Chronic respiratory symptoms (productive cough, recurrent infections, crackles, shortness of breath), malabsorption (foul-smelling, greasy stools, poor growth), and signs of right-sided heart failure (edema, JVD, hepatomegaly, loud S2 indicating **pulmonary hypertension**) are all classic manifestations of **cystic fibrosis**. - The combination of **respiratory, gastrointestinal, and cardiac involvement** in a child with a history of chronic respiratory issues and poor growth strongly points to this diagnosis. *Goodpasture syndrome* - Characterized by rapidly progressive **glomerulonephritis** and **pulmonary hemorrhage**, presenting with hemoptysis and renal dysfunction. - While it affects lungs, it does not typically cause chronic respiratory infections, malabsorption, or right-sided heart failure in this manner. *Hypertrophic cardiomyopathy* - Primarily a genetic disorder causing thickening of the heart muscle, leading to **diastolic dysfunction** and outflow obstruction. - It would not explain the chronic respiratory infections, malabsorption, or the systemic edema and JVD suggestive of right heart failure secondary to chronic lung disease. *Minimal change disease* - A cause of **nephrotic syndrome** in children, characterized by proteinuria, hypoalbuminemia, and edema. - While it causes significant edema, it does not explain the chronic respiratory symptoms, malabsorption, or the clear signs of cardiac and pulmonary involvement. *Protein malnutrition* - Can cause **edema** due to low oncotic pressure (kwashiorkor), and may lead to poor growth and increased susceptibility to infections. - However, it would not directly cause the specific chronic respiratory symptoms, productive cough, or the obstructive lung disease often indicated by signs of pulmonary hypertension.
Explanation: ***Paternal uniparental disomy of chromosome 15*** - The patient's presentation with **intellectual disability**, **seizures**, developmental delay (rolling over at 14 months, walking at 24 months), **ataxic gait**, **happy demeanor** with frequent smiling, and hand flapping are classic features of **Angelman syndrome**. - **Angelman syndrome** requires loss of function of the maternal UBE3A gene on chromosome 15, which is paternally imprinted (meaning only the maternal copy is active). - **Paternal uniparental disomy** means both copies of chromosome 15 come from the father, resulting in no functional maternal UBE3A gene, causing Angelman syndrome. - Other causes include maternal deletion of 15q11-q13 (most common), imprinting defects, and UBE3A mutations. *Maternal uniparental disomy of chromosome 15* - This causes **Prader-Willi syndrome**, not Angelman syndrome. - When both chromosome 15s come from the mother, there is no paternal contribution, and paternally expressed genes are lost. - Prader-Willi presents with **neonatal hypotonia**, **feeding difficulties**, later **hyperphagia** and **obesity**, which are not seen in this patient. *Imprinting defect on chromosome 11* - This is associated with **Beckwith-Wiedemann syndrome**, which presents with **macroglossia**, **omphalocele**, **hemihyperplasia**, and increased tumor risk. - The clinical presentation is distinctly different from this patient's features. *Trinucleotide repeat disorder* - Includes conditions such as **Fragile X syndrome**, **Huntington's disease**, and **Myotonic dystrophy**. - Fragile X syndrome can cause intellectual disability and seizures but typically presents with **macroorchidism** (in post-pubertal males), long face, large ears, and **autistic features** rather than the happy demeanor seen here. *Chromosomal macrodeletion on chromosome 5* - This is characteristic of **Cri du Chat syndrome** (5p deletion). - Presents with a distinctive **cat-like cry**, **microcephaly**, widely spaced eyes, and severe intellectual disability, which do not match this patient's presentation.
Explanation: ***Patent processus vaginalis*** - A **patent processus vaginalis** allows peritoneal fluid to flow into the scrotum, causing a **hydrocele** that **transilluminates** and a potential **indirect inguinal hernia** if abdominal contents protrude. - The mass increasing with crying and being easily reducible, alongside transillumination, are classic signs of an **indirect inguinal hernia** or a **communicating hydrocele**, both stemming from a patent processus vaginalis. *Lack of testicular fixation* - This condition is associated with **testicular torsion**, which typically presents with sudden onset of severe scrotal pain, testicular tenderness, and lack of transillumination. - The patient's symptoms (non-tender, transilluminating, reducible mass) are not consistent with **testicular torsion**. *Sperm collection in epididymal duct* - This describes a **spermatocele**, which is rare in infants and typically presents as a non-tender, firm cyst proximal to the testis, often not reducible or fluctuating with crying. - Spermatoceles are more common in older males and often do not transilluminate as clearly as hydroceles. *Dilation of pampiniform plexus* - This refers to a **varicocele**, which is a collection of dilated veins in the scrotum, typically described as a "bag of worms" and usually does not transilluminate. - Varicoceles are rare in infants and more commonly present in adolescents and adults. *Germ cell neoplasia* - **Testicular tumors** in infants are very rare and would typically present as a firm, non-tender, non-transilluminating mass that is not reducible. - While swelling is a symptom, the other characteristics (transillumination, reducibility, increase with crying) are not typical for a neoplastic process.
Explanation: ***Failure of the vitelline duct to close*** - The clinical presentation of a 2-year-old with recurrent episodes of abdominal pain, crying spells (curling legs to chest), and the passage of bright red blood in the diaper is highly suggestive of **intussusception**. This can be transiently relieved when the "curled" bowel straightens itself out, or gas/fecal matter is passed. The presence of **bright red blood** (often referred to as **currant jelly stools** when mixed with mucus) further supports this diagnosis, indicating ischemic bowel. - In children, intussusception is often idiopathic, but in a small percentage of cases, especially in older infants and children, an **anatomical lead point** can cause it. The most common anatomical lead point is a **Meckel's diverticulum**, which results from the **incomplete obliteration of the vitelline duct** (also known as the omphalomesenteric duct) during embryological development. The diverticulum can act as a foreign body that then telescopes into the adjacent bowel, causing intussusception. *Failure of the vitelline duct to open* - The vitelline duct should normally regress and disappear. Therefore, a "failure to open" is not a recognized embryological anomaly or pathology. - Problems related to the vitelline duct involve either its **incomplete closure** (leading to Meckel's diverticulum, vitelline cysts, or fistulas) or other abnormal remnants, not a failure to open. *Elevated anti-mitochondrial uptake* - This option refers to **anti-mitochondrial antibodies (AMAs)**, which are characteristic markers for **primary biliary cholangitis (PBC)**, an autoimmune disease primarily affecting the liver. - PBC is an adult-onset condition and is not associated with intussusception or the gastrointestinal symptoms described in the child. *Problem with bilirubin conjugation* - Issues with **bilirubin conjugation** primarily manifest as different types of **jaundice** (e.g., Crigler-Najjar syndrome, Gilbert's syndrome) due to the accumulation of unconjugated bilirubin. - These conditions do not cause abdominal pain, intussusception, or bloody stools. *Problem with bilirubin uptake* - Problems with **bilirubin uptake** by hepatocytes also lead to **unconjugated hyperbilirubinemia** and jaundice. - This condition is unrelated to acute abdominal emergencies like intussusception or gastrointestinal bleeding.
Explanation: ***Aortic dissection*** - The constellation of **tall stature**, **prominent sternum**, **joint hypermobility**, **hyperelastic skin**, and **upward lens subluxation (ectopia lentis)** in a young child strongly suggests **Marfan syndrome**. - **Aortic root dilation** and subsequent **aortic dissection** are the most serious cardiovascular complications in Marfan syndrome due to weakened connective tissue in the aortic wall caused by **fibrillin-1 deficiency**. - This is the **leading cause of mortality** in untreated Marfan syndrome. *Osteoarthritis* - While joint hypermobility can contribute to **joint instability** and accelerate degenerative changes, typical **osteoarthritis** is less common as a primary, severe complication in childhood Marfan syndrome. - Early-onset, severe osteoarthritis is not the major life-threatening complication associated with Marfan syndrome at this age. *Wilms tumor* - **Wilms tumor** is a type of kidney cancer typically associated with syndromes like **WAGR (Wilms tumor, Aniridia, Genitourinary anomalies, intellectual disability)** or **Beckwith-Wiedemann syndrome**, none of which fit the patient's presentation. - There is no known direct association between Wilms tumor and Marfan syndrome. *Medullary thyroid cancer* - **Medullary thyroid cancer** is a feature of **Multiple Endocrine Neoplasia type 2 (MEN 2) syndromes**, which also present with pheochromocytomas and parathyroid hyperplasia. - The clinical features described in the patient are not consistent with MEN 2. *Thromboembolic stroke* - While Marfan syndrome can lead to cardiovascular issues, a **thromboembolic stroke** is not a primary or characteristic complication, especially in comparison to the high risk of aortic dissection. - The main vascular pathology in Marfan is related to connective tissue weakness, not primarily hypercoagulability or mural thrombi leading to stroke. - Thromboembolic complications are more characteristic of **homocystinuria**, which presents with **downward** lens subluxation.
Explanation: **Reassurance of the parents and regular follow-up** - Most **small muscular VSDs (Ventricular Septal Defects)**, especially in asymptomatic children with normal growth and no signs of heart failure or pulmonary hypertension, **close spontaneously**. - Given the patient's normal development, stable vital signs, good feeding, and lack of pulmonary hypertension, a conservative approach with **monitoring for spontaneous closure** is appropriate. *Surgical closure of the defect using cardiopulmonary bypass* - **Surgical VSD closure** is typically reserved for large defects causing **symptoms, growth failure, pulmonary hypertension**, or those that fail to close spontaneously. - The patient in the scenario is asymptomatic and thriving, which does not warrant an invasive procedure at this time. *Oral digoxin and regular follow-up* - **Digoxin** is a medication used to improve **cardiac contractility** and manage symptoms of **heart failure**, which this patient does not exhibit. - It would only be considered if there were signs of **congestive heart failure** due to a large VSD, which is not the case here. *Antibiotic prophylaxis against infective endocarditis* - Current guidelines from the American Heart Association (AHA) generally **do not recommend routine antibiotic prophylaxis** for VSDs unless there's a history of infective endocarditis or uncorrected cyanotic heart disease. - The risk of **infective endocarditis** is very low in isolated VSDs and the potential side effects of prophylactic antibiotics outweigh the benefits. *Transcatheter occlusion closure of the defect* - **Transcatheter closure** is an option for certain types of VSDs, often **muscular VSDs**, but typically for those that are **larger, symptomatic**, and have not closed spontaneously. - Similar to surgical closure, this invasive procedure is not indicated for an **asymptomatic, thriving child** with a muscular VSD that is likely to close on its own.
Explanation: ***Duchenne muscular dystrophy*** - This 7-year-old presents with classic features of **Duchenne muscular dystrophy (DMD)**: **progressive proximal muscle weakness**, **calf pseudohypertrophy**, **Gowers' sign** (using arms to rise from a chair), and **markedly elevated creatine kinase**. - Genetic analysis confirms a **dystrophin gene mutation**, and muscle biopsy shows **reduced dystrophin**, consistent with DMD where dystrophin is absent or severely reduced (<3% of normal). - The **age of presentation (7 years)** is typical for DMD, as many boys are diagnosed between ages 3-7 when motor delays become apparent in school settings; the recent 3-month history of rapid decline is characteristic of DMD's progressive course. - Boys with DMD typically lose ambulation by age 12 and require wheelchair assistance, distinguishing it from the milder Becker variant. *Becker muscular dystrophy* - While also caused by a **dystrophin gene mutation**, Becker muscular dystrophy (BMD) presents **later** (typically age 8-25) with a **much milder and slower progression**. - In BMD, dystrophin is **reduced but functional** (3-20% or more of normal, often abnormal in size), not severely deficient as in this case. - Patients with BMD remain ambulatory into their 20s-30s or beyond, which contrasts with this patient's relatively early onset and rapid 3-month decline. - The clinical tempo and age of onset in this case are more consistent with Duchenne than Becker. *Fragile X syndrome* - This is a genetic disorder primarily characterized by **intellectual disability**, **developmental delays**, **autism spectrum features**, and distinct physical features (long face, large ears, macroorchidism). - It does not present with **progressive muscle weakness**, **calf pseudohypertrophy**, **elevated CK**, or **dystrophin gene mutations**. *Pompe disease* - This is a **lysosomal storage disorder** caused by deficiency of **acid alpha-glucosidase (GAA)**, leading to glycogen accumulation in lysosomes. - While it can cause **muscle weakness** and elevated CK, infantile-onset Pompe presents with **cardiomyopathy** and **hypotonia** ("floppy infant"), and late-onset Pompe presents with limb-girdle weakness and respiratory failure. - Pompe does **not involve dystrophin mutations** or **calf pseudohypertrophy**. *Spinal muscular atrophy* - This disorder results from **loss of motor neurons** in the spinal cord due to **SMN1 gene mutations**, causing muscle weakness and atrophy. - SMA presents with **hypotonia**, **areflexia**, and **muscle atrophy** (not hypertrophy), with **fasciculations** of the tongue in some cases. - It does **not involve dystrophin mutations**, **calf pseudohypertrophy**, or markedly elevated CK levels.
Explanation: ***Exchange transfusion*** - A critically high **unconjugated bilirubin level** (33 mg/dL) in a 5-day-old neonate with signs of **acute bilirubin encephalopathy** (hypotonia, lethargy, abnormal auditory response) requires **immediate exchange transfusion**. - **Exchange transfusion** is the most effective method for rapidly reducing dangerously high bilirubin levels and is indicated when bilirubin exceeds exchange thresholds (~25-30 mg/dL) or when neurological symptoms are present. - This procedure removes bilirubin-laden blood and replaces it with fresh blood, providing immediate reduction in bilirubin levels to prevent irreversible kernicterus. - Intensive phototherapy should be initiated simultaneously but is insufficient as monotherapy at this critical level. *Phototherapy* - While **intensive phototherapy** is an important treatment for neonatal hyperbilirubinemia, it works too slowly for this emergency situation. - Phototherapy alone is inadequate when bilirubin levels exceed exchange transfusion thresholds and neurological signs are present. - It should be used as an adjunct to exchange transfusion but cannot be the sole initial intervention at this critical bilirubin level. *Liver transplantation* - **Liver transplantation** is reserved for end-stage liver disease or severe hepatic failure, not for hyperbilirubinemia management. - The underlying issue here is likely hemolysis or metabolic disorder (suggested by consanguinity), not structural liver failure requiring transplantation. *Discontinue breastfeeding* - Discontinuing breastfeeding is insufficient for bilirubin levels of 33 mg/dL with neurological symptoms. - While breast milk jaundice can contribute to prolonged hyperbilirubinemia, this represents an acute emergency requiring immediate intervention beyond feeding modifications. *Phenobarbital* - **Phenobarbital** induces hepatic glucuronyl transferase and can help with chronic unconjugated hyperbilirubinemia (e.g., Crigler-Najjar syndrome type II). - Its onset of action is too slow (days to weeks) for acute management of severe hyperbilirubinemia with neurological symptoms. *No treatment is required* - A bilirubin of 33 mg/dL with neurological symptoms (hypotonia, impaired auditory response) represents **acute bilirubin encephalopathy**, a medical emergency. - Without immediate treatment, this progresses to **chronic kernicterus** with irreversible brain damage, cerebral palsy, hearing loss, and developmental disabilities.
Explanation: ***High levels of free T4 and total T3*** - This patient likely has **neonatal thyrotoxicosis** due to transplacental passage of **thyroid-stimulating immunoglobulins (TSIs)** from her mother with a history of Graves' disease and thyroidectomy. - The fetal heart rate of 180 bpm and the lack of a sagittal cranial suture (suggesting **craniosynostosis**, a known complication of neonatal hyperthyroidism) are consistent with severe **hyperthyroidism** and elevated thyroid hormone levels. *Pericardial effusion* - While hyperthyroidism can cause **cardiac complications** like high-output cardiac failure, **pericardial effusion** is not a typical or expected finding in neonatal thyrotoxicosis. - Pericardial effusion is more commonly associated with conditions like **congestive heart failure** of other etiologies, **hypothyroidism**, or infections. *Group B streptococcus in blood* - The mother denies any known fevers, chills, abnormal vaginal discharge, or STIs, and there is no indication of **chorioamnionitis** or other risk factors for **Group B Streptococcus (GBS)** infection. - While GBS can cause neonatal sepsis, the clinical presentation and maternal history strongly point towards an **endocrine disorder** rather than an infection. *Low hemoglobin* - **Anemia** is not a characteristic feature of **neonatal thyrotoxicosis**. - Hyperthyroidism can sometimes be associated with **increased red blood cell turnover** but usually does not lead to clinically significant low hemoglobin levels in neonates. *High thyroid-stimulating hormone* - **High TSH** levels would indicate **hypothyroidism**, not hyperthyroidism. - In neonatal thyrotoxicosis, due to elevated thyroid hormone levels, the **pituitary's TSH secretion is suppressed**, leading to low or undetectable TSH levels.
Explanation: ***Decreased CD43 expression on flow cytometry*** - This patient presents with classic symptoms of **Wiskott-Aldrich syndrome (WAS)**: recurrent infections, eczema (scaly skin lesions in flexural areas), and thrombocytopenia with small platelets leading to bleeding manifestations (bruising, petechiae). WAS is an X-linked recessive disorder caused by mutations in the *WAS* gene, which encodes the **WASp protein (Wiskott-Aldrich Syndrome protein)**. - The WASp protein is crucial for actin polymerization in hematopoietic cells. In WAS, the deficiency or dysfunction of WASp leads to **abnormal glycosylation of CD43 (sialophorin)**, a cell surface glycoprotein. This results in **decreased or abnormal CD43 expression on flow cytometry**, which serves as a diagnostic marker for this condition. - The characteristic findings include small platelets, impaired T-cell function, and the clinical triad of thrombocytopenia, eczema, and immunodeficiency. *Increased IgM on quantitative immunoglobulin serology* - Patients with WAS typically have **decreased IgM** levels and elevated IgA and IgE levels, not increased IgM. - This immunoglobulin profile is a characteristic feature that distinguishes WAS from other immunodeficiency disorders. *Decreased IgE on quantitative immunoglobulin serology* - Patients with WAS usually present with **elevated IgE levels**, contributing to the eczematous skin lesions and allergic manifestations. - A decreased IgE level would be inconsistent with the typical immunoglobulin profile found in WAS. *Decreased CD8/CD4 ratio on flow cytometry* - While T-cell function can be impaired in WAS, a **decreased CD8/CD4 ratio** is more commonly associated with conditions like **HIV infection** due to CD4+ T-cell depletion. - WAS primarily affects actin cytoskeleton rearrangement, impacting T-cell function and platelet production, but doesn't typically result in this specific T-cell subset imbalance. *Decreased CD18 expression on flow cytometry* - **Decreased CD18 expression** is characteristic of **Leukocyte Adhesion Deficiency (LAD)**, an X-linked disorder presenting with recurrent bacterial infections, impaired wound healing, and delayed umbilical cord separation. - This condition has a different clinical presentation than the one described, lacking the eczema and thrombocytopenia seen in WAS.
Explanation: ***Ventricular septal defect (VSD)*** - A **holosystolic murmur** loudest at the **left lower sternal border**, poor weight gain, and easy fatigability in a 2-year-old are classic signs of a **VSD**. - The symptoms arise from significant **left-to-right shunting**, leading to pulmonary overcirculation and heart failure symptoms. *Tetralogy of Fallot (TOF)* - TOF typically presents with **cyanosis** and **TET spells**, which are absent in this patient. - The murmur in TOF is usually an **ejection systolic murmur**, not holosystolic, and often associated with a single loud S2. *Atrial septal defect (ASD)* - An ASD typically presents with a **fixed, split S2** and an **ejection systolic murmur** at the upper left sternal border due to increased flow across the pulmonic valve. - Symptoms like poor weight gain and easy fatigability are less common in early childhood unless the shunt is very large. *Coarctation of aorta* - This condition is characterized by **femoral-radial delay** and **differential blood pressures** between the upper and lower extremities. - The murmur is typically heard in the **back** or subclavicular region, and symptoms usually include poor feeding, lethargy, and sometimes heart failure. *Patent ductus arteriosus (PDA)* - PDA is classically associated with a **continuous "machinery-like" murmur** loudest below the left clavicle. - While it can cause poor weight gain and fatigability, the type of murmur described is not consistent with a PDA.
Explanation: ***Osteosarcoma*** - The presence of **retinoblastoma**, indicated by the **white reflex** (leukocoria) in the right eye and an older sibling with a history of enucleation for eye disease, suggests a heritable form of retinoblastoma. - Patients with **heritable retinoblastoma** (especially those with germline mutations in the *RB1* tumor suppressor gene) are at significantly increased risk for developing other primary tumors, with **osteosarcoma** being the most common secondary malignancy. *Gastric cancer* - While gastric cancer is a serious malignancy, it is **not commonly associated** with germline *RB1* mutations or heritable retinoblastoma. - There is no direct genetic link or epidemiological evidence supporting an increased risk of gastric cancer in retinoblastoma patients. *Neuroblastoma* - **Neuroblastoma** is a childhood cancer originating from neuroblasts, often presenting in the adrenal glands or sympathetic nervous system. - It is **not typically linked** to retinoblastoma or *RB1* mutations; its genetic associations involve other genes such as MYCN amplification. *Wilms tumor* - **Wilms tumor**, a kidney cancer in children, is primarily associated with genetic conditions such as WAGR syndrome (Wilms tumor, aniridia, genitourinary anomalies, intellectual disability) involving the WT1 gene. - It does **not have a direct genetic association** with retinoblastoma or the RB1 gene. *Basal cell carcinoma* - **Basal cell carcinoma** is the most common type of skin cancer, primarily caused by UV radiation exposure. - It is **not a secondary malignancy commonly seen** in patients with heritable retinoblastoma. Such patients are more prone to sarcomas and other solid tumors.
Explanation: ***Eye enucleation*** * The presence of **retinoblastoma** with spreading along the **intrabulbar part of the optic nerve** and **vitreous seeding** indicates advanced disease where eye salvaging treatments are unlikely to succeed and carry a high risk of systemic metastasis. * **Enucleation** is the primary treatment for advanced retinoblastoma to remove the tumor completely and prevent local recurrence and metastatic spread, especially when the optic nerve is involved. *Laser coagulation* * **Laser coagulation** is typically used for very **small tumors** without vitreous or subretinal seeding, where the disease is localized and early. * In this case, the tumor's size, optic nerve involvement, and vitreous seeding make laser coagulation ineffective and insufficient. *Brachytherapy* * **Brachytherapy** (plaque radiotherapy) is considered for **medium-sized tumors** that are localized and not involving significant parts of the optic nerve, often to preserve some vision. * The extensive spread to the optic nerve and vitreous in this patient's case contraindicates brachytherapy as it would be unable to eradicate all tumor cells and increase the risk of recurrence and metastasis. *Chemotherapy* * **Chemotherapy** is often used as a **chemoreduction** strategy to shrink large tumors before local treatment or as adjuvant therapy for high-risk features like optic nerve invasion beyond the lamina cribrosa, or for metastatic disease. * While systemic chemotherapy might be part of a comprehensive treatment plan for retinoblastoma with optic nerve invasion, the primary treatment for this advanced stage with *vitreous seeding* and *intrabulbar optic nerve spread* is typically enucleation to prevent life-threatening systemic spread. *Cryotherapy* * **Cryotherapy** is effective for **small, peripheral tumors** and is applied to freeze and destroy tumor cells. * It is unsuitable for large tumors, especially those with optic nerve involvement and vitreous seeding, due to the inability to cover the entire tumor extent and the increased risk of incomplete tumor destruction.
Explanation: ***Indomethacin*** - The premature infant presents with **respiratory distress**, poor feeding, and signs of **congestive heart failure** (pulmonary edema, cardiomegaly), consistent with a **patent ductus arteriosus (PDA)**. - **Indomethacin** is a **prostaglandin synthesis inhibitor** that works by blocking cyclooxygenase, leading to ductal constriction and closure, which is the primary treatment for PDA. *Alprostadil* - **Alprostadil** (prostaglandin E1) is used to **maintain ductal patency** in infants with duct-dependent congenital heart defects (e.g., severe coarctation of the aorta, hypoplastic left heart syndrome). - Administering alprostadil in a PDA would worsen the condition by preventing ductal closure. *Dexamethasone* - **Dexamethasone** is a corticosteroid typically used in neonates to **prevent or treat bronchopulmonary dysplasia** or to accelerate **lung maturation** in preterm labor. - It does not directly affect the closure of a patent ductus arteriosus. *Methadone* - **Methadone** is an opioid used primarily for pain management or in the treatment of **neonatal abstinence syndrome** (NAS). - It has no role in the direct management of cardiac conditions like patent ductus arteriosus. *Caffeine* - **Caffeine** is a common treatment for **apnea of prematurity** as it stimulates the respiratory drive. - While this infant is premature, caffeine does not address the underlying cardiovascular issue of a patent ductus arteriosus.
Explanation: ***Target sign on abdominal ultrasound*** - This presentation is **classic for intussusception**: intermittent colicky abdominal pain with pain-free intervals, blood-streaked stools ("currant jelly stools"), and a palpable cylindrical/"sausage-shaped" mass in the right upper quadrant. - The **target (doughnut) sign** on abdominal ultrasound is the **diagnostic hallmark** of intussusception, showing the telescoped bowel segment in cross-section. - **Abdominal ultrasound** is the **first-line diagnostic test** for suspected intussusception with >95% sensitivity and specificity. - The knee-to-chest position providing relief is a classic sign as it increases intra-abdominal pressure and may temporarily reduce the intussusception. - Most cases in children under 2 years are **idiopathic** (due to lymphoid hyperplasia), making intussusception itself the primary diagnosis. *Meckel's diverticulum on technetium-99m scan* - **Meckel's diverticulum** classically presents with **painless rectal bleeding** in children under 2 years, not intermittent colicky pain. - While Meckel's diverticulum can serve as a **lead point** for intussusception in children **over 1 year**, it accounts for only a small percentage of cases. - A **technetium-99m pertechnetate scan** detects ectopic gastric mucosa in Meckel's diverticulum but is not the primary diagnostic test when clinical features strongly suggest intussusception. - The palpable mass and intermittent pain pattern point to intussusception as the primary pathology requiring immediate diagnosis. *Purpuric rash on lower extremities* - **Henoch-Schönlein purpura (HSP)** can cause abdominal pain and gastrointestinal bleeding with a characteristic purpuric rash on lower extremities and buttocks. - HSP typically presents with **palpable purpura**, arthralgias, and renal involvement, not a palpable abdominal mass. - The **absence of rash** and presence of a classic triad (pain, mass, bloody stools) make intussusception far more likely. *Malrotation with midgut volvulus on upper GI series* - **Midgut volvulus** is a surgical emergency presenting with **sudden onset bilious vomiting**, severe constant abdominal pain, and rapid progression to shock. - The **intermittent nature** of pain with complete resolution between episodes is **not consistent** with volvulus, which causes persistent severe pain. - This patient's stable vital signs and playful demeanor between episodes rule out volvulus. *Positive stool culture for Salmonella* - **Salmonella gastroenteritis** causes bloody diarrhea, fever, and cramping abdominal pain but does **not** cause a palpable abdominal mass. - The patient has **no fever**, no diarrhea, and the intermittent pain pattern with a palpable mass is pathognomonic for intussusception, not infectious enteritis. - Bacterial gastroenteritis would not improve with positional changes like knee-to-chest position.
Explanation: ***Holosystolic murmur at the lower left sternal border*** - This presentation is classic for a **ventricular septal defect (VSD)**, which is the most common congenital heart defect. The murmur is **holosystolic** and best heard at the **lower left sternal border**. - The key physiological findings support VSD: the murmur **decreases with Valsalva** (decreased venous return → decreased left-to-right shunt) and **increases with handgrip and squatting** (increased systemic vascular resistance → increased left-to-right shunt across the defect). - **Exertional dyspnea** in a previously healthy child can occur with moderate-sized VSDs due to increased pulmonary blood flow. Small VSDs may be asymptomatic until increased activity demands reveal the limitation. *Continuous murmur inferior to the left clavicle* - This describes a **patent ductus arteriosus (PDA)**, which produces a continuous **"machinery-like" murmur** heard best in the infraclavicular area and under the left clavicle. - While PDA can cause exertional symptoms, the murmur characteristics don't match the holosystolic pattern described, and the dynamic maneuver responses differ from this case. *Holosystolic murmur at the apex radiating to the axilla* - This is the classic presentation of **mitral regurgitation**. The murmur would **increase with squatting** (increased preload), but the location (apex radiating to axilla) doesn't match the lower left sternal border location described. - Mitral regurgitation is uncommon in otherwise healthy children without rheumatic disease or structural abnormalities. *Crescendo-decrescendo systolic murmur radiating to carotids* - This describes **aortic stenosis**, which produces an **ejection systolic murmur** that radiates to the carotids. - Aortic stenosis has a crescendo-decrescendo (ejection) pattern, not holosystolic, and the location and radiation pattern don't match this patient's findings. *Late systolic murmur with a midsystolic click* - This is pathognomonic for **mitral valve prolapse (MVP)**. In MVP, the click and murmur **move earlier and become louder with Valsalva** (decreased ventricular volume allows earlier prolapse), which is opposite to this patient's findings. - MVP is the opposite response: louder with Valsalva, softer with squatting.
Explanation: ***Spasticity of bilateral lower extremities*** - The patient's clinical presentation with **vision problems**, **developmental delay** (not walking at 2 years), and the mother's history of infection during pregnancy after adopting a cat (suggesting **Toxoplasma gondii** exposure) is highly indicative of **congenital toxoplasmosis**. - The classic triad of congenital toxoplasmosis includes **chorioretinitis** (causing vision problems), **hydrocephalus**, and **intracranial calcifications** (typically diffuse, unlike periventricular calcifications in CMV). - **Spasticity** and **motor deficits** are common neurological sequelae resulting from brain damage caused by the parasitic infection, including damage to the **basal ganglia**, **cortical structures**, and development of **hydrocephalus**, which can be seen on the MRI. - These upper motor neuron findings often manifest as **spastic diplegia or quadriplegia** in affected children. *Continuous machinery murmur* - A **continuous machinery murmur** is characteristic of a **patent ductus arteriosus (PDA)**, which is commonly associated with **congenital rubella syndrome**, not toxoplasmosis. - While other TORCH infections can have cardiac involvement, PDA is a highly specific finding for rubella; congenital toxoplasmosis typically does not cause significant cardiac defects. *Loss of pain sensation in shawl distribution* - **Loss of pain sensation in a shawl distribution** is characteristic of **syringomyelia**, a disorder involving a cyst within the spinal cord, which is not associated with congenital toxoplasmosis. - This symptom reflects damage to the **spinothalamic tracts** at the cervical spinal cord level, representing a structural spinal cord abnormality unrelated to parasitic infection. *Pupils do not react to light but constrict with accommodation* - **Argyll Robertson pupils**, characterized by pupils that do not react to light but constrict with accommodation, are a classic sign of **neurosyphilis** (tertiary syphilis), not congenital toxoplasmosis. - While syphilis is also a TORCH infection, this specific pupillary finding is pathognomonic for neurosyphilis and would not be expected in congenital toxoplasmosis. *Tuft of hair over the lumbosacral area* - A **tuft of hair over the lumbosacral area** is a cutaneous marker for **spina bifida occulta** or other forms of **neural tube defects**. - This finding indicates a developmental anomaly of the spinal cord from failure of neural tube closure, which is not a manifestation of congenital toxoplasmosis.
Explanation: ***Absent vas deferens*** - This symptom is highly suggestive of **cystic fibrosis (CF)**, as over 95% of males with CF have **congenital bilateral absence of the vas deferens (CBAVD)**, leading to infertility. - The patient's history of **recurrent respiratory infections** (sinusitis), **nasal polyps**, **malabsorption** (bulky, foul-smelling, oily stools), and **failure to thrive** (low height and weight percentiles) are all classic features of CF. *Positive methacholine challenge test* - A positive methacholine challenge test indicates **bronchial hyperreactivity**, often seen in **asthma**. While some patients with cystic fibrosis may develop asthma-like symptoms, this is not the most definitive or specific finding for CF. - While patients with CF do experience chronic lung disease, conditions like **bronchiectasis** and recurrent infections are more characteristic than isolated bronchial hyperreactivity to methacholine. *Hypersensitivity to aspirin* - **Aspirin-exacerbated respiratory disease (AERD)** involves a triad of asthma, recurrent rhinosinusitis with nasal polyposis, and aspirin sensitivity. While nasal polyps and recurrent sinusitis are present, the absence of asthma and the strong evidence for malabsorption point away from AERD. - AERD is typically triggered by **NSAIDs** and causes acute respiratory symptoms, which is not the primary concern or most likely defining characteristic in this patient's presentation. *Selective IgA deficiency* - **Selective IgA deficiency** is characterized by recurrent infections, particularly in the respiratory and gastrointestinal tracts. However, it does not typically cause the severe malabsorption with **fatty stools (steatorrhea)** or **nasal polyps** seen in this patient. - Although it leads to recurrent infections, the pattern of symptoms including specific GI and respiratory involvement (sinusitis, nasal polyps, malabsorption) does not fit selective IgA deficiency as well as it fits CF. *Anti-tissue transglutaminase antibodies* - These antibodies are a hallmark of **celiac disease**, which presents with malabsorption and failure to thrive. However, celiac disease does not explain the **recurrent respiratory infections** and **nasal polyps** present in this case. - While celiac disease can cause gastrointestinal symptoms similar to CF, the presence of severe respiratory issues makes celiac disease a less likely primary diagnosis.
Explanation: ***Absence of ganglion cells demonstrated by rectal suction biopsy*** - The **absence of ganglion cells** in the colorectum, particularly on a **rectal suction biopsy**, is the definitive diagnostic feature of **Hirschsprung disease**. - This congenital condition is characterized by the **failure of neural crest cells to migrate** to the distal bowel, leading to an aganglionic segment that cannot relax, resulting in functional obstruction. *Barium enema demonstrating absence of a transition zone* - A **barium enema** is a useful initial imaging study for suspected **Hirschsprung disease**, often showing a **transition zone** between a constricted aganglionic segment and a dilated, normally innervated proximal bowel. - The *absence* of a transition zone would make **Hirschsprung disease** *less likely* or could indicate **total colonic aganglionosis**, but it is not a direct confirmatory diagnostic finding and still requires biopsy. *Atrophic nerve fibers and increased acetylcholinesterase activity* - While increased **acetylcholinesterase activity** in hypertrophied nerve fibers is a characteristic finding in the muscularis mucosa and submucosa of aganglionic segments in **Hirschsprung disease**, the description of "*atrophic* nerve fibers" is incorrect. - The abnormal nerve fibers are typically hypertrophic, and this finding from specialized staining on a biopsy supports the diagnosis but is not the primary confirmatory feature itself; the **absence of ganglion cells** is paramount. *Rectal manometry demonstrating relaxation of the internal anal sphincter with distension of the rectum* - **Rectal manometry** is used to assess the neuromuscular function of the rectum and anal sphincter. In **Hirschsprung disease**, there is a characteristic **failure of the internal anal sphincter to relax** when the rectum is distended. - Demonstrating normal *relaxation* of the internal anal sphincter would effectively *rule out* **Hirschsprung disease**, as the **failure of relaxation** is a key physiological abnormality. *Genetic testing confirming mutation in the RET oncogene* - Mutations in the **RET oncogene** are associated with **Hirschsprung disease**, especially in familial cases and those associated with syndromic forms like **MEN2A**. - While a positive genetic test can support the diagnosis and guide genetic counseling, it is **not sufficient for a definitive diagnosis** on its own, as penetrance is variable and the definitive diagnosis relies on histological confirmation of aganglionosis.
Explanation: ***Defect in the ventricular septum*** - A **ventricular septal defect (VSD)** causes a holosystolic, harsh murmur, often loudest at the **left lower sternal border**. - **Clenching the fist forcefully increases systemic vascular resistance (afterload)**, which enhances the left-to-right shunting through a VSD, thereby **increasing the intensity** of the murmur. *Failure of the ductus arteriosus to close* - A **patent ductus arteriosus (PDA)** typically presents with a **continuous "machinery-like" murmur**, not one that increases with clenching a fist. - The murmur of a PDA is usually best heard in the **pulmonary area** (left upper sternal border). *Defect in the atrial septum* - An **atrial septal defect (ASD)** usually causes a **systolic ejection murmur** over the pulmonic area due to increased flow across the pulmonary valve, and a **fixed split S2**. - Its intensity is generally **not significantly altered by acute changes in systemic vascular resistance** like clenching a fist. *Fusion of the right and left coronary leaflets* - This description is characteristic of a **bicuspid aortic valve** leading to **aortic stenosis**. - Aortic stenosis typically causes a **systolic ejection murmur** that **decreases** in intensity with maneuvers that increase afterload (like clenching a fist) due to reduced stroke volume. *Prolapse of the mitral valve* - **Mitral valve prolapse (MVP)** is characterized by a **mid-systolic click** followed by a **late-systolic murmur**. - **Increasing afterload** (clenching a fist) would typically **delay the click and shorten the murmur**, or make it softer, as it *reduces* the degree of prolapse.
Explanation: ***Knee to chest positioning*** - Knee-to-chest positioning increases **systemic vascular resistance (SVR)**, forcing more blood flow through the narrowed pulmonary artery and improving pulmonary blood flow and oxygenation by reducing the right-to-left shunt. - This maneuver is a hallmark intervention for a **tet spell** in infants with Tetralogy of Fallot, characterized by cyanosis, dyspnea, and decreased oxygen saturation, triggered by activities that increase right-to-left shunting. *Hyperextension of the neck* - This maneuver is primarily used to **open the airway** in cases of airway obstruction, not to improve cardiac shunting or oxygenation in congenital heart disease. - It would not address the underlying pathophysiology of a tet spell, which involves fixed right ventricular outflow tract obstruction and right-to-left shunting. *Elevation of the lower extremities* - Elevating the lower extremities primarily aims to **increase venous return** to the heart, which might be done in cases of hypovolemia or shock. - Increasing venous return would typically worsen a tet spell by increasing the right ventricular preload, potentially exacerbating the right-to-left shunt across the ventricular septal defect. *Cooling of the face* - Cooling the face can induce a **diving reflex**, which can cause bradycardia and peripheral vasoconstriction. - While it causes vasoconstriction, face cooling is not a primary or effective intervention for improving oxygenation in the context of a tet spell. *Administration of indomethacin* - Indomethacin is a prostaglandin inhibitor used to **close a patent ductus arteriosus (PDA)** in preterm infants. - In Tetralogy of Fallot, the ductus arteriosus may be critical for blood flow to the lungs in severe cases, and closing it could worsen pulmonary blood flow and increase cyanosis.
Explanation: **Prednisolone** - The patient presents with **edema**, **proteinuria (4+ protein)**, **hypoalbuminemia (2.4 g/dL)**, and **hyperlipidemia (triglycerides 250 mg/dL, cholesterol 300 mg/dL)**, which are the classic hallmarks of **nephrotic syndrome**. - Given his age (5 years old) and recent upper respiratory tract infection, **minimal change disease (MCD)** is the most likely cause of nephrotic syndrome in children, and **corticosteroids** like prednisolone are the first-line treatment. *Enalapril* - **Enalapril** is an **ACE inhibitor** used to reduce proteinuria by decreasing glomerular pressure, but it is not the primary treatment for inducing remission in minimal change disease. - While it may be used as an adjunct in patients with persistent proteinuria or hypertension, it is not the best initial monotherapy for acute presentation of nephrotic syndrome. *Prednisolone and cyclophosphamide* - **Cyclophosphamide** is an **immunosuppressant** reserved for patients who are **steroid-resistant** or **frequently relapsing** on steroid therapy. - It is not indicated as initial therapy for a first presentation of nephrotic syndrome in a child, where prednisolone alone is usually effective. *Albumin infusion* - **Albumin infusion** is used to temporarily increase intravascular volume and reduce severe edema, particularly in cases of severe hypoalbuminemia with hypovolemia or refractory edema. - It is typically not used as a sole initial therapy because it does not address the underlying pathology (proteinuria) and its effects are transient. *Oral antibiotic* - An **oral antibiotic** would be indicated if there was evidence of a bacterial infection, such as **peritonitis** or **skin infections**, which are complications of nephrotic syndrome. - While the patient had a recent URI, there are no current signs or symptoms of a bacterial infection that would warrant antibiotic treatment as the initial therapy for the nephrotic syndrome.
Explanation: ***Niemann-Pick disease type A*** - This presentation of a 4-month-old with **failure to thrive**, progressive **hepatosplenomegaly**, **hypotonia**, recurrent infections, **pancytopenia**, elevated transaminases, **cherry-red spots** on the macula, and **foamy histiocytes** in the liver biopsy is characteristic of Niemann-Pick disease type A. - Niemann-Pick disease type A is a **lysosomal storage disorder** caused by a deficiency of the enzyme **sphingomyelinase**, leading to the accumulation of **sphingomyelin** in various tissues. - The **foamy histiocytes** (lipid-laden macrophages) are a hallmark finding, and the **reticulonodular pattern** on chest X-ray represents pulmonary infiltration. *Incorrect: Tay-Sachs disease* - While Tay-Sachs disease also presents with **cherry-red spots** and progressive neurological deterioration in infancy, it is caused by **hexosaminidase A deficiency**. - Key differences: Tay-Sachs typically does **not** cause **hepatosplenomegaly** or **foamy histiocytes** in the liver; the primary pathology is neuronal accumulation of GM2 ganglioside. - Patients usually present with developmental regression, exaggerated startle response, and hypotonia, but without the prominent organomegaly seen here. *Incorrect: Gaucher disease* - While Gaucher disease also presents with **hepatosplenomegaly** and can cause bone marrow involvement leading to **pancytopenia**, it typically does **not** feature **cherry-red spots** or such severe early neurological regression. - It is caused by a deficiency of **glucocerebrosidase**, leading to accumulation of glucocerebroside in **Gaucher cells** (not foamy histiocytes). - The infantile neuronopathic form (type 2) can present early but lacks cherry-red spots. *Incorrect: Wolman disease* - Wolman disease is a lysosomal storage disorder caused by **lysosomal acid lipase deficiency**, presenting with hepatosplenomegaly, failure to thrive, and foamy histiocytes. - Key distinguishing feature: **bilateral adrenal calcifications** on imaging, which are pathognomonic for Wolman disease but not mentioned in this case. - Does **not** typically cause cherry-red spots on fundoscopic examination. *Incorrect: GM1 gangliosidosis* - GM1 gangliosidosis can present with hepatosplenomegaly, developmental delay, and **cherry-red spots** (in about 50% of cases). - However, it is characterized by distinctive **coarse facial features**, **skeletal dysplasia** (dysostosis multiplex), and **vacuolated lymphocytes** on blood smear. - The **foamy histiocytes** and prominent pulmonary involvement are more characteristic of Niemann-Pick disease type A.
Explanation: ***Meckel diverticulum*** - A **Meckel diverticulum** can serve as a **lead point for intussusception**, which is strongly suggested by the description of acute intermittent abdominal pain, drawing knees to the chest, and the ultrasound finding of concentric rings of bowel (**target sign**). - The history of a similar episode 3 months ago points to a recurrent problem, and a Meckel diverticulum is the most common congenital anomaly of the small intestine that can cause such recurrent symptoms, often manifesting as a lead point for intussusception or bleeding. *Incorrect Option: Acute appendicitis* - While appendicitis causes abdominal pain, it is typically **persistent and localized to the right lower quadrant** (often migrating from periumbilical), not intermittent and widespread as described. - The ultrasound finding of **concentric rings of bowel** is characteristic of intussusception, not appendicitis. *Incorrect Option: Malrotation with volvulus* - **Malrotation with volvulus** typically presents with **bilious vomiting** and severe, constant pain due to intestinal ischemia, which is not described in this patient. - The intermittent nature of the pain and the specific ultrasound findings are more indicative of intussusception rather than volvulus. *Incorrect Option: Intestinal adhesions* - **Intestinal adhesions** can cause intermittent abdominal pain and bowel obstruction, but usually, a history of **previous abdominal surgery** is present, which is not mentioned here. - Adhesions typically lead to a **mechanical obstruction pattern** on imaging, not the "target sign" characteristic of intussusception. *Incorrect Option: Intestinal polyps* - **Intestinal polyps**, especially in children, can act as **lead points for intussusception**, similar to a Meckel diverticulum. - However, the description of **intermittent pain**, the age of the patient, and the lack of specific mention of bleeding make **Meckel diverticulum** a more common and direct underlying cause for recurrent intussusception in this age group without other associated symptoms like significant rectal bleeding often seen with polyps.
Explanation: ***95% of these patients die in the 1st year of life.*** - The constellation of findings, including **microcephaly**, prominent occiput, **closed fists with overlapping fingers**, **rocker-bottom feet**, hypoplastic nails, and low birth weight, is characteristic of **Edwards syndrome (Trisomy 18)**. - Due to the severity of malformations and organ dysfunction in Trisomy 18, the prognosis is extremely poor, with **95% of affected infants dying within the first year of life**. *Thrombocytopenia is the least common hematologic abnormality in these patients.* - **Thrombocytopenia** is actually a **common hematologic abnormality** seen in patients with Trisomy 18. - Other common hematologic issues include **anemia** and **leukopenia**. *This condition is associated with teenage mothers.* - Trisomy 18, like other aneuploidies, is strongly associated with **advanced maternal age (mothers older than 35 years old)**, not teenage mothers. - The risk of non-disjunction errors increases significantly with increasing maternal age. *The condition is more common in males.* - Trisomy 18 shows a **slight female predominance** at birth, likely due to a higher mortality rate in affected male fetuses. - The sex ratio is typically reported as approximately 4 females to 1 male among live births with Trisomy 18. *The most common congenital heart disease is patent ductus arteriosus.* - While **patent ductus arteriosus (PDA)** can occur, the **most common congenital heart defects** in Trisomy 18 are **ventricular septal defects (VSDs)** and **atrial septal defects (ASDs)**. - Various other complex cardiac anomalies are also frequently observed.
Explanation: ***Fixed splitting of S2 (splitting present during both inspiration and expiration)*** - The echocardiogram finding of flow between the atria indicates an **atrial septal defect (ASD)**. - An ASD causes a **left-to-right shunt**, leading to increased blood volume in the right atrium and ventricle, delaying pulmonary valve closure and resulting in a **fixed split S2** because the delay is constant and not affected by respiration. *Increased splitting of S2 with inspiration* - While increased splitting of S2 is often heard in ASD, the key characteristic indicating ASD would be a **fixed split S2**, meaning the splitting does not vary with respiration. - **Normal physiological splitting** of S2 increases with inspiration due to delayed pulmonary valve closure and early aortic valve closure, but it is not fixed. *Normal splitting of S2* - This would not be expected in a patient with an **atrial septal defect (ASD)**, as the increased right ventricular volume invariably affects the timing of pulmonary valve closure. - A significant left-to-right shunt through an ASD will lead to an **abnormal S2 splitting pattern**. *Increased splitting of S1 with inspiration* - Splitting of S1 is typically due to the asynchronous closure of the **mitral and tricuspid valves**. - While various conditions can affect S1, a **fixed split S2** is the characteristic auscultatory finding for an ASD, not an altered S1 splitting due to respiration. *Decreased splitting of S1 with inspiration* - As with increased splitting of S1 with inspiration, changes in S1 splitting are not the hallmark auscultatory finding for an **atrial septal defect (ASD)**. - Decreased splitting of S1 would likely be caused by conditions affecting mitral or tricuspid valve closure simultaneity, not the volume overload associated with an **ASD**.
Explanation: ***Ebstein anomaly*** - Ebstein anomaly is characterized by **apical displacement of the tricuspid valve leaflets**, leading to a large atrialized right ventricle and severe tricuspid regurgitation, which can cause a **holosystolic murmur**. - This condition is frequently associated with **Wolff-Parkinson-White (WPW) syndrome**, which manifests on ECG as a **short PR interval** and a **delta wave** (slow upstroke of the QRS complex), explaining the patient's fast heartbeats (tachycardia due to re-entrant arrhythmias). *Pulmonic stenosis* - Pulmonic stenosis typically presents with a **systolic ejection murmur** heard best at the left upper sternal border, not a holosystolic murmur over the anterior chest. - While it can cause right ventricular hypertrophy, it does not typically lead to the characteristic ECG findings of a short PR interval and delta wave associated with arrhythmias. *Atrial septal defect* - An atrial septal defect (ASD) typically causes a **fixed wide splitting of S2** and a **systolic ejection murmur** due to increased flow across the pulmonic valve, not a holosystolic murmur. - While some arrhythmias can occur with ASDs over time, the specific ECG findings of a short PR interval and delta wave are not characteristic. *Tricuspid atresia* - Tricuspid atresia is characterized by the **absence of a tricuspid valve**, leading to complete obstruction of blood flow from the right atrium to the right ventricle. - It usually presents with **cyanosis** and can be associated with other defects like a VSD or ASD, but the ECG findings described (short PR and delta wave) are not typical for tricuspid atresia. *Tetralogy of Fallot* - Tetralogy of Fallot presents with **cyanosis**, a **systolic ejection murmur** (due to right ventricular outflow tract obstruction), and often a **"boot-shaped" heart on chest X-ray**. - While patients can experience syncopal episodes or "tet spells," the specific ECG abnormalities of a short PR interval and a delta wave are not a hallmark of Tetralogy of Fallot.
Explanation: ***Urine discharge from umbilicus*** - A **patent urachus** is a congenital anomaly where the **urachus**, a remnant of the **allantois**, fails to close completely, allowing a direct connection between the bladder and the umbilicus. - This patent tract results in the **continuous discharge of urine from the umbilicus**, especially upon crying or straining, as the bladder pressure increases. *Myelomeningocele* - **Myelomeningocele** is a severe form of **spina bifida** where the spinal cord and nerves protrude through an opening in the back. - It results from incomplete closure of the neural tube and is not directly related to the urachus or umbilical discharge. *Gastroschisis* - **Gastroschisis** is a birth defect where the intestines protrude through an opening in the abdominal wall, typically to the right of the umbilicus. - Unlike a patent urachus, it involves the protrusion of abdominal contents and is not associated with umbilical urine discharge. *Omphalocele* - An **omphalocele** is a birth defect in which parts of the abdominal organs, such as the intestines, liver, or stomach, protrude through the umbilical opening, covered by a sac. - This condition is also an abdominal wall defect but distinct from a patent urachus, which specifically involves the connection between the bladder and the umbilicus. *Meconium discharge from umbilicus* - **Meconium discharge from the umbilicus** would suggest a persistent communication between the bowel and the umbilicus, rather than the bladder. - This condition, known as a **patent vitelline duct** or omphalomesenteric duct, is anatomically distinct from a patent urachus.
Explanation: ***Myotonic dystrophy*** - This condition presents with **facial weakness (ptosis, high-arched palate)**, **distractibility, daytime sleepiness**, and **myotonia**, as evidenced by the delayed relaxation of the thenar eminence after percussion (difficulty relaxing grip). - The patient's **leg pain** and **school difficulties** are also consistent with the systemic manifestations of myotonic dystrophy. *Spinal muscular atrophy* - Characterized by **progressive muscle weakness and atrophy** due to degeneration of anterior horn cells, typically manifesting as symmetric weakness, poor muscle tone, and **absent deep tendon reflexes**. - It does not present with **myotonia** or the specific facial features like **ptosis** or a **high-arched palate** described in the patient. *Duchenne muscular dystrophy* - Presents with **progressive proximal muscle weakness**, leading to difficulties with standing and walking (Gower's sign), and often **calf pseudohypertrophy**. - While it can cause muscle weakness, it does not typically involve **myotonia**, **ptosis**, or significant **cognitive/sleep disturbances** as primary features. *McArdle disease* - This is a **glycogen storage disease (Type V)** characterized by **exercise intolerance**, muscle pain, and cramping, often with **myoglobinuria** during strenuous activity. - It does not present with **ptosis**, **myotonia**, or cognitive issues like **distractibility and daytime sleepiness**. *Juvenile dermatomyositis* - An **inflammatory myopathy** causing proximal muscle weakness and characteristic skin rashes (heliotrope rash, Gottron papules). - While it causes muscle weakness, it does not feature **myotonia**, cognitive symptoms like **distractibility**, or the specific facial findings seen in this patient.
Explanation: ***Measurement of sweat chloride levels*** - The patient's presentation with **chronic productive cough**, recurrent **sinusitis** and **pneumonia**, **nasal polyps**, **clubbing**, and **bronchiectasis** (dilated, "tram track" bronchi on HRCT involving upper lung fields) is highly suggestive of **cystic fibrosis**. - A **sweat chloride test** is the gold standard for diagnosing cystic fibrosis, which explains the constellation of symptoms. *Testing for swallowing function* - This test is primarily used to evaluate **dysphagia** or aspiration risk, neither of which are prominent features in this patient's presentation. - While aspiration can lead to chronic lung issues, the specific pattern of bronchiectasis (upper lobe predominance) and extra-pulmonary symptoms point away from a primary swallowing disorder. *Serum quantitative immunoglobulin levels* - This test is used to identify **primary immunodeficiency syndromes**, which can cause recurrent infections. - While immunodeficiency is a differential, the presence of **nasal polyps**, **clubbing**, and classic radiological findings of bronchiectasis make **cystic fibrosis** a more probable diagnosis to investigate first. *Sputum culture for acid-fast bacilli* - This test is used to diagnose **tuberculosis** or non-tuberculous mycobacterial infections. - While chronic cough and lung infiltrates can be seen in tuberculosis, the patient's history includes recurrent sinusitis and nasal polyps, which are not typical features of tuberculosis, and the HRCT findings are more indicative of bronchiectasis. *Skin testing for Aspergillus reactivity* - This test is used to diagnose **allergic bronchopulmonary aspergillosis (ABPA)**, which can cause bronchiectasis, particularly in patients with asthma or cystic fibrosis. - While ABPA is a possibility in patients with bronchiectasis, the prominent history of recurrent sinusitis and nasal polyps, along with systemic involvement suggested by clubbing, directs the initial investigation towards cystic fibrosis.
Explanation: ***Right ventricular heave*** - A **right ventricular heave** indicates **right ventricular hypertrophy** and **pulmonary hypertension**, which are hallmarks of Eisenmenger syndrome. - In Eisenmenger syndrome, increased pulmonary vascular resistance leads to shunting of deoxygenated blood from the right to the left side of the heart, resulting in cyanosis. *A loud first heart sound* - A **loud first heart sound (S1)** is often associated with **mitral stenosis** or **tachycardia**, not specifically with Eisenmenger syndrome. - While other abnormal heart sounds may be present in Eisenmenger, an isolated loud S1 does not confirm this diagnosis. *Lateral displacement of the apical impulse* - **Lateral displacement of the apical impulse** suggests **left ventricular enlargement**, which is typically seen in conditions with chronic volume overload of the left ventricle like **a large VSD with left-to-right shunt**, but not specifically Eisenmenger syndrome where the shunt has reversed. - In Eisenmenger syndrome, right ventricular hypertrophy becomes more prominent than left ventricular changes. *Prominence of the left precordium* - **Prominence of the left precordium** (e.g., precordial bulge) can occur with **chronic left ventricular enlargement** in young individuals. - While a large VSD initially causes left-sided volume overload, the development of Eisenmenger syndrome involves significant right-sided heart changes, making left precordial prominence less specific for this advanced stage. *A mid-diastolic low-pitched rumble at the apex* - A **mid-diastolic low-pitched rumble at the apex** is characteristic of increased flow across the **mitral valve**, often due to a large left-to-right shunt in a VSD causing **relative mitral stenosis**. - As Eisenmenger syndrome develops and the shunt reverses (right-to-left), the volume load on the left side of the heart decreases, making this murmur less prominent or absent.
Explanation: ***Meconium ileus*** - The patient's uncle's symptoms (recurrent pulmonary infections, chronic diarrhea, infertility) and early death are classic signs of **cystic fibrosis (CF)**. - The **deletion of Phe508 on chromosome 7** is the most common mutation causing CF, and **meconium ileus** is the earliest manifestation of CF in approximately 10-20% of newborns, occurring when thick, sticky meconium blocks the small intestine. *Neural tube defects* - Neural tube defects (e.g., **spina bifida**, **anencephaly**) are associated with **folate deficiency** or genetic factors unrelated to cystic fibrosis. - The CFTR mutation has no direct link to the development of neural tube defects. *Congenital megacolon* - Congenital megacolon, or **Hirschsprung disease**, is caused by a lack of ganglion cells in the distal bowel, leading to functional obstruction. - While it can present with intestinal obstruction, it is a separate genetic or developmental disorder not directly related to CFTR mutations or the pathogenesis of cystic fibrosis. *Duodenal atresia* - **Duodenal atresia** is a congenital malformation where the lumen of the duodenum is absent or obstructed, often associated with **Down syndrome**. - It is a structural defect of the gastrointestinal tract unrelated to the abnormal mucus production seen in cystic fibrosis. *Cardiac defects* - The CFTR gene primarily affects **exocrine glands**, leading to symptoms in the respiratory, digestive, and reproductive systems. - While CF patients can have secondary cardiac complications due to chronic lung disease (e.g., **cor pulmonale**), direct congenital cardiac defects are not a primary manifestation of the CFTR mutation.
Explanation: ***A grade 2/6 continuous murmur heard at the right supraclavicular region*** - A **venous hum** is a common **benign continuous murmur** in children, typically heard in the supraclavicular or infraclavicular region and often disappears with changes in head position or jugular venous compression. Its low grade (2/6) is also characteristic of a benign murmur. - The murmur is caused by **turbulent blood flow** in the jugular veins, a normal physiological finding. *A grade 3/6 systolic ejection murmur heard along the left lower sternal border that increases on valsalva* - A **grade 3/6 murmur** is often louder than characteristic of a benign murmur, raising suspicion for a pathological cause. - A murmur that **increases with Valsalva** maneuver suggests **hypertrophic obstructive cardiomyopathy**, which is a pathological condition. *A grade 4/6 midsystolic murmur at the right upper sternal border that increases on rapid squatting* - A **grade 4/6 murmur** indicates a significant intensity, typically associated with **pathological heart conditions**. Benign murmurs are usually grade 1 or 2. - A murmur that **increases on squatting** may suggest conditions like **aortic stenosis** or **hypertrophic obstructive cardiomyopathy**, which are not benign. *A grade 4/6 holosystolic murmur heard along the left lower sternal border that increases on hand grip* - A **grade 4/6 murmur** is indicative of a **pathological condition**, such as a ventricular septal defect or tricuspid regurgitation, not a benign murmur. - A **holosystolic murmur** heard at the left lower sternal border, especially if it **increases with handgrip**, suggests a **ventricular septal defect** or **tricuspid regurgitation**. *A grade 3/6 holosystolic murmur at the apex that increases on hand grip* - A **grade 3/6 holosystolic murmur** at the apex is suggestive of **mitral regurgitation**, a pathological condition, rather than a benign murmur. - A murmur that **increases with handgrip** (which increases afterload) is characteristic of **mitral regurgitation** or **ventricular septal defect.**
Explanation: ***Ventricular septal defect*** - A **holosystolic murmur** heard best at the **left sternal border** is characteristic of a VSD, caused by blood shunting from the left to the right ventricle during systole. - The murmur becoming louder with a maneuver that increases **afterload** (like making fists, which increases systemic vascular resistance) is consistent with a VSD, as it enhances the pressure gradient and shunting. *Aortic stenosis* - An aortic stenosis murmur is typically a **systolic ejection murmur**, not holosystolic, and is often heard best at the right upper sternal border with radiation to the carotids. - While it can be affected by maneuvers that change cardiac output, the description of a harsh, holosystolic murmur at the left sternal border is not typical for aortic stenosis. *Left ventricular hypertrophy* - **Left ventricular hypertrophy** (LVH) is an anatomical change in the heart muscle and is not a direct cause of a primary murmur itself. It is usually a consequence of other conditions like aortic stenosis or hypertension. - While significant LVH can alter heart sounds or be associated with murmurs from underlying conditions, it does not directly produce a harsh, holosystolic murmur with these specific characteristics. *Pulmonary hypertension* - Pulmonary hypertension can cause murmurs related to pulmonary regurgitation (a diastolic murmur) or tricuspid regurgitation (a holosystolic murmur), but these are usually associated with symptoms like dyspnea and fatigue, and a holosystolic murmur from **tricuspid regurgitation** is typically louder at the xiphoid process rather than the left sternal border and is often associated with venous distension. - An increase in systemic afterload (making fists) would generally decrease the intensity of a murmur due to tricuspid regurgitation, not increase it. *Tricuspid atresia* - **Tricuspid atresia** is a severe congenital heart defect where the tricuspid valve fails to form, resulting in no direct communication between the right atrium and right ventricle. It typically presents with cyanosis and severe symptoms early in life. - While it often coexists with a VSD (which would produce a murmur), the primary defect itself is not directly associated with the specific holosystolic murmur description that becomes louder with increased afterload in an otherwise apparently well 8-year-old.
Explanation: ***Nonsense mutation in DMD gene*** - The patient's symptoms, including **fatigue**, difficulty standing (**Gowers sign**), **waddling gait**, **pseudohypertrophy of calves**, and **decreased reflexes**, are classic for **Duchenne muscular dystrophy (DMD)**. - **Elevated CPK and LDH** are indicative of muscle damage, consistent with DMD. A **nonsense mutation in the DMD gene** leads to a truncated, non-functional **dystrophin protein**, causing this severe, X-linked recessive condition. *Mutation in WT gene* - A mutation in the **WT1 gene** is primarily associated with **Wilms tumor**, a kidney cancer, and occasionally with genitourinary abnormalities, but not with generalized muscle weakness and dystrophy. - This gene is involved in renal and gonadal development, not directly in muscle function. *Missense mutation in DMD gene* - While a missense mutation in the DMD gene would affect dystrophin, it typically leads to a less severe phenotype like **Becker muscular dystrophy**, which has a later onset and milder symptoms. - The severe, early-onset presentation with marked muscle weakness and pseudohypertrophy is more characteristic of the complete absence or severe dysfunction of dystrophin, usually caused by a nonsense or frameshift mutation. *Nonsense mutation in DMPK gene* - A nonsense mutation in the **DMPK gene** is associated with **myotonic dystrophy type 1**, which presents with **myotonia** (delayed muscle relaxation), muscle wasting, and often affects multiple systems (e.g., cataracts, cardiac conduction defects). - The patient's symptoms of progressive muscle weakness and pseudohypertrophy are not typical for myotonic dystrophy type 1. *Missense mutation in β-thalassemia gene* - A missense mutation in the **β-thalassemia gene** (HBB gene) leads to **beta-thalassemia**, a **hemoglobinopathy** characterized by **anemia**, **fatigue**, and often **splenomegaly**, but not primary muscular weakness, Gowers sign, or calf pseudohypertrophy. - The laboratory findings of elevated CPK and LDH point to muscle damage, not hematological issues.
Explanation: ***Treat using a harness*** - The presence of a **palpable clunk** during hip abduction (Ortolani sign) indicates **developmental dysplasia of the hip (DDH)**, specifically a dislocated hip that can be reduced. - Given the patient's age (2 weeks old) and the ultrasound finding (alpha angle of 50° indicating mild dysplasia), a **Pavlik harness** is the most appropriate initial treatment to maintain the hip in a flexed and abducted position, promoting proper acetabular development. *Obtain an X-ray of the right hip* - **X-rays** are not reliable for diagnosing DDH in newborns and infants under 4-6 months because their bones are largely cartilaginous and not yet ossified. - **Ultrasound** is the imaging modality of choice for infants in this age group, which has already been performed in this case. *Immobilize the hips with a spica cast* - A **spica cast** is typically reserved for older infants (usually >6 months) or cases of DDH that have failed Pavlik harness treatment or involve more severe, irreducible dislocations. - It is an overly aggressive and unnecessary intervention for a 2-week-old with a reducible hip. *Obtain an MRI of the right hip* - **MRI** is generally not indicated as a first-line diagnostic or follow-up tool for routine DDH management in newborns due to the need for sedation and higher cost. - Its use is usually limited to complex cases, pre-operative planning, or when other imaging modalities are inconclusive. *Reassure the mother and schedule follow-up appointment in 4 weeks* - The presence of a **positive Ortolani sign** and an abnormal hip ultrasound definitively indicates DDH, requiring immediate intervention. - Delaying treatment can lead to worsening dysplasia, making non-surgical management less effective and potentially necessitating more invasive procedures.
Explanation: ***↓ ↑ ↓*** - With a successful repair of a **ventricular septal defect (VSD)**, the **left-to-right shunting** of blood decreases significantly or resolves. This directly leads to a **reduction in the volume overload** on the left atrium and left ventricle. - Consequently, the **left atrial pressure will decrease** because less blood is returning from the pulmonary circulation, which was previously overloaded due to the shunt. The **right ventricular pressure will also decrease** as it no longer receives blood shunted from the left ventricle, reducing the pressure burden on the pulmonary circulation. The **left ventricular pressure, however, will increase** due to the increased afterload from the systemic circulation, as blood is no longer shunted to the lower-pressure pulmonary circulation, leading to a greater resistance to ejection. *↓ ↑ no change* - While left atrial pressure would decrease and left ventricular pressure would increase, it is unlikely for **right ventricular pressure to remain unchanged** given the significant change in blood flow dynamics. - The initial **left-to-right shunt** in VSD directly increases pulmonary blood flow, leading to higher pressures in the right ventricle. Repair of the VSD would alleviate this chronic overload, thereby reducing right ventricular pressure. *↑ ↑ ↑* - This option suggests an increase in all three pressures, which is inconsistent with the physiological outcome of a successful VSD repair. - A decrease in left-to-right shunting would lead to a reduction in volume load on the left atrium and right ventricle, thereby **decreasing their pressures**, not increasing them. *↓ ↓ ↓* - While left atrial and right ventricular pressures are expected to decrease, the **left ventricular pressure is expected to increase** after VSD repair. - The closure of the defect eliminates a low-resistance outflow path, forcing the left ventricle to eject blood against the higher systemic vascular resistance, thus increasing its pressure. *↑ ↑ ↓* - This option incorrectly predicts an increase in left atrial and left ventricular pressures, and a decrease in right ventricular pressure. - Post-repair, the **left atrial pressure should decrease** due to reduced pulmonary venous return, and while right ventricular pressure correctly decreases, the overall pattern is inconsistent with the physiological changes.
Explanation: ***Wilms' tumor*** - The presence of a **nontender, smooth abdominal mass** in a 4-year-old child, along with possible abdominal pain, is highly suggestive of a **Wilms' tumor (nephroblastoma)**. - This tumor is the most common primary renal malignancy in children, typically presenting as an asymptomatic abdominal mass. The elevated blood pressure may be due to **renin secretion** by the tumor. *Polycystic kidney disease* - While it can present with enlarged kidneys and abdominal masses, it is usually bilateral and associated with **renal dysfunction** (abnormal BUN and creatinine), which are normal in this patient. - **Autosomal recessive polycystic kidney disease** can present in childhood but often has more severe systemic manifestations and bilateral large kidneys. *Neuroblastoma* - This tumor typically presents as a **hard, irregular mass** that often **crosses the midline** and can be associated with systemic symptoms like fever, weight loss, and bone pain. - While it originates from neural crest cells and can present in the retroperitoneum, its characteristic features (firm, irregular, crossing midline) differ from the described smooth, left-sided mass. *Renal cell carcinoma* - This is primarily a **tumor of adults**, and it is exceedingly rare in young children. - It usually presents with a triad of **hematuria, flank pain, and palpable mass**, though this full triad is uncommon. *Lymphoma* - Abdominal lymphoma often presents with **generalized lymphadenopathy**, constitutional symptoms (fever, weight loss), and a rapidly growing, often ill-defined mass. - A primary renal lymphoma presenting as a solitary, smooth, nontender mass in a 4-year-old is highly improbable.
Explanation: ***Paradoxical embolism*** - The wide, fixed splitting of S2 is highly suggestive of an **atrial septal defect (ASD)**. An ASD allows for the passage of emboli from the venous circulation to the arterial circulation, bypassing the pulmonary filter, leading to **paradoxical embolism** (e.g., stroke). - In ASD, the continuous shunt of blood from the left atrium to the right atrium leads to increased right ventricular stroke volume, causing prolonged ejection and delayed closure of the pulmonic valve, resulting in a **fixed split S2** that does not vary with respiration. *Infective endocarditis* - While certain congenital heart defects increase the risk of infective endocarditis, isolated **atrial septal defect (ASD)** is not typically associated with a significantly elevated risk for infective endocarditis unless there are other associated defects or complications. - The **low-pressure shunt** through an ASD does not create turbulent flow patterns that commonly predispose to endocardial damage and subsequent infection. *Cerebral aneurysm* - There is no direct association between the presence of an **atrial septal defect (ASD)** and an increased risk of developing cerebral aneurysms. - Cerebral aneurysms are often linked to systemic conditions like **hypertension**, **atherosclerosis**, or specific genetic disorders, none of which are indicated here. *Left ventricular hypertrophy* - In an uncomplicated **atrial septal defect (ASD)**, the shunt is from the left atrium to the right atrium, leading to right ventricular volume overload, not left ventricular hypertrophy. - **Left ventricular hypertrophy** would typically be seen in conditions that increase left ventricular afterload (e.g., aortic stenosis, hypertension) or preload (e.g., mitral regurgitation), which are not suggested by the findings. *Sudden cardiac death* - While some congenital heart defects can lead to **sudden cardiac death**, an isolated, uncomplicated **atrial septal defect (ASD)** in an otherwise healthy adolescent usually does not directly predispose to this outcome. - Sudden cardiac death is more commonly associated with conditions like **hypertrophic cardiomyopathy**, **long QT syndrome**, or severe structural heart disease, which are not indicated by the clinical presentation.
Explanation: ***Serum creatine kinase level*** - **Serum creatine kinase (CK)** is the best initial test to confirm the diagnosis of **Duchenne muscular dystrophy (DMD)** in a patient with characteristic clinical features. - CK levels are typically **markedly elevated** (often 10-100 times the upper limit of normal, reaching 10,000-20,000 U/L or higher) due to ongoing muscle fiber degeneration. - In the context of this classic clinical presentation (Gower's sign, calf pseudohypertrophy, waddling gait, progressive proximal weakness), a significantly elevated CK effectively confirms the diagnosis. - This test is **non-invasive, readily available, and cost-effective** as the initial confirmatory step. *Genetic testing* - **Genetic testing** for DMD gene mutations (deletions, duplications, or point mutations) is the definitive test and is typically performed **after** an elevated CK level confirms muscle disease. - While genetic testing identifies the specific mutation and is important for prognosis and genetic counseling, it is not the "next step" - CK testing comes first in the diagnostic algorithm. - Genetic testing is more expensive and time-consuming than CK measurement. *Muscle biopsy* - A **muscle biopsy** showing absent or markedly reduced **dystrophin** on immunohistochemistry was historically the gold standard for diagnosis. - However, with the availability of **genetic testing**, muscle biopsy is now rarely needed and is generally reserved for cases where genetic testing is inconclusive. - It is invasive and not the preferred initial confirmatory test. *Electrocardiogram* - An **ECG** is important for monitoring **cardiac complications** (cardiomyopathy) in patients with established DMD. - However, it does not diagnose the primary muscle disorder and would be part of ongoing management rather than initial diagnostic confirmation. *Electromyogram* - An **EMG** would show **myopathic changes** (short-duration, low-amplitude, polyphasic motor unit action potentials). - While this confirms a myopathic process, it is not specific for DMD and does not provide definitive diagnosis. - EMG is rarely needed when the clinical presentation is classic and CK is markedly elevated.
Explanation: ***Prenatal alcohol exposure*** - The combination of **facial dysmorphology** (small head, wide-spaced eyes, short palpebral fissures, thin upper lip, sunken nasal bridge, small jaw), developmental delays (gross and fine motor, speech, inability to follow multi-step directions), and behavioral issues (inability to concentrate, poor social skills, hyperactivity) is highly suggestive of **Fetal Alcohol Spectrum Disorder (FASD)** caused by prenatal alcohol exposure. - The presence of a **pansystolic murmur** also points to a possible **congenital heart defect**, which is a common finding in FASD, particularly **ventricular septal defects (VSDs)**. *FMR1 gene mutation* - This mutation is associated with **Fragile X syndrome**, which presents with intellectual disability, behavioral problems (e.g., hyperactivity, autism-like features), and characteristic physical features. - While there is some overlap in symptoms, the **facial dysmorphology** described (small head, thin upper lip, sunken nasal bridge) is not typical for Fragile X syndrome, which often involves a long narrow face, prominent ears, and macroorchidism in males. *Deletion of long arm of chromosome 7* - This refers to **Williams syndrome**, characterized by an "elfin" facial appearance (small upturned nose, long philtrum, full lips), intellectual disability, and a distinct personality (overly friendly, excitable). - While it can present with **cardiovascular problems** (classically supravalvular aortic stenosis), the described facial features and behavioral issues do not precisely match Williams syndrome; for example, the patient's aggression and refusal to play with others are not typical. *Nondisjunction of chromosome 21* - This causes **Down syndrome**, characterized by intellectual disability, characteristic facial features (upslanting palpebral fissures, epicanthal folds, flat nasal bridge, small ears, single palmar crease), and a high incidence of congenital heart disease (e.g., AVSD). - The described facial features (small head, wide-spaced eyes, short palpebral fissures, thin upper lip, sunken nasal bridge, small jaw) are inconsistent with the classic presentation of Down syndrome. *Maternal intake of phenytoin* - **Fetal hydantoin syndrome** (or fetal phenytoin syndrome) is associated with prenatal phenytoin exposure and can cause growth deficiency, developmental delay, and craniofacial anomalies such as a broad nasal bridge, epicanthal folds, and widely spaced eyes. - However, the combination of specific facial features (e.g., thin upper lip, sunken nasal bridge, small jaw) and the prominent behavioral and developmental issues, particularly the hyperactivity and severe social difficulties, are more strongly indicative of FASD.
Explanation: ***Clubbed feet*** - **Oligohydramnios**, resulting from **multicystic dysplastic kidneys**, leads to reduced amniotic fluid, restricting fetal movement and causing **Potter sequence abnormalities**, including **clubfoot**. - The lack of amniotic fluid also impairs lung development, leading to **pulmonary hypoplasia** and the need for significant respiratory support at birth. *Spina bifida occulta* - **Spina bifida occulta** is a neural tube defect characterized by incomplete closure of the vertebral column, often with a tuft of hair or dimple on the back, and is not directly related to oligohydramnios or renal issues. - While it can occur as an isolated finding, it is not a characteristic component of the **Potter sequence**. *Macrosomia* - **Macrosomia** refers to a significantly larger-than-average baby, typically associated with conditions like **gestational diabetes**. - It is not a feature of **Potter sequence**; in fact, chronic intrauterine stresses can sometimes lead to **intrauterine growth restriction (IUGR)** rather than macrosomia. *Urachal fistula* - A **urachal fistula** is a persistent connection between the bladder and the umbilicus, allowing urine to drain from the navel. - While it is a urogenital anomaly, it is a discreet developmental defect and not a typical manifestation of the **Potter sequence** associated with bilateral multicystic dysplastic kidneys and oligohydramnios. *Esophageal atresia* - **Esophageal atresia** is a congenital condition where the esophagus does not develop properly, often presenting with polyhydramnios (excess amniotic fluid) due to the fetus's inability to swallow amniotic fluid. - This is the opposite of the given clinical scenario, which involves **oligohydramnios**.
Explanation: ***Von Recklinghausen disease*** - The combination of **generalized tonic-clonic seizures**, multiple **café-au-lait spots** (>5 mm), **axillary freckling**, and **Lisch nodules** (present in the eye examination as brown spots on the iris) is characteristic of **Neurofibromatosis type 1 (Von Recklinghausen disease)**. - Seizures in NF1 can result from **cortical dysplasia**, gliomas, or other neurological complications. *Wilson disease* - Characterized by **Kayser-Fleischer rings** in the cornea (copper deposits), not Lisch nodules, and typically presents with **hepatic** and **neurological symptoms** (e.g., tremor, dysarthria, dystonia, psychiatric disturbances) not primarily hyperpigmented skin lesions. - Seizures are less common and not associated with café-au-lait spots or axillary freckling. *Tuberous sclerosis* - Characterized by **ash-leaf spots** (hypopigmented macules), facial angiofibromas, shagreen patches, and periungual fibromas, along with neurologic manifestations like seizures and intellectual disability. - **Café-au-lait spots** and **axillary freckling** are not typical features. *Sturge-Weber disease* - Presents with a **port-wine stain** (facial cutaneous angioma) typically in the ophthalmic division of the trigeminal nerve, **leptomeningeal angioma**, and **glaucoma**. - **Café-au-lait spots**, axillary freckling, and Lisch nodules are not part of its diagnostic criteria. *Neurofibromatosis type 2* - Primarily associated with **bilateral vestibular schwannomas**, leading to hearing loss, tinnitus, and balance problems. - While it can cause skin lesions, they are typically fewer and less prominent than in NF1, and **Lisch nodules** are not a diagnostic criterion, nor is extensive axillary freckling.
Explanation: ***Alzheimer’s disease*** - The patient's features (flattened facial profile, prominent epicanthal folds, single palmar crease) are classic for **Down syndrome (Trisomy 21)**. Individuals with Down syndrome have an increased gene dosage of the **amyloid precursor protein (APP)** gene, located on chromosome 21, leading to an earlier and higher risk of developing **Alzheimer's disease**. - This increased APP production results in the accumulation of **amyloid-beta plaques**, a hallmark pathology of Alzheimer's disease, often starting in their 40s or 50s. *Amyotrophic lateral sclerosis* - **Amyotrophic lateral sclerosis (ALS)** is a progressive neurodegenerative disease affecting motor neurons, not typically associated with Down syndrome. - While it causes muscle weakness and atrophy, it lacks the specific genetic link to Trisomy 21 and amyloid pathology seen in Alzheimer's. *Parkinson’s dementia* - **Parkinson's disease** is characterized by motor symptoms (tremor, rigidity, bradykinesia) and can later develop into dementia. - It is primarily associated with the accumulation of **alpha-synuclein (Lewy bodies)**, not directly linked to Trisomy 21 or APP gene dosage. *Pick’s disease* - **Pick's disease** is a form of frontotemporal dementia characterized by personality changes, behavioral disinhibition, and language difficulties. - It involves the accumulation of **tau protein aggregates (Pick bodies)** and is not specifically associated with Down syndrome. *Lewy body dementia* - **Lewy body dementia (LBD)** presents with fluctuating cognition, visual hallucinations, and parkinsonian features. - The primary pathology involves **Lewy bodies (alpha-synuclein aggregates)**, which is distinct from the amyloid pathology associated with Down syndrome.
Explanation: ***Patent ductus arteriosus*** - A **continuous "machinery" murmur** heard over the **left upper sternal border** is the pathognomonic auscultatory finding for a patent ductus arteriosus (PDA). - The continuous quality results from blood flow throughout systole and diastole from the aorta to the pulmonary artery. - Cyanosis in a neonate with PDA can occur if there is associated pulmonary hypertension causing reversed (right-to-left) shunting, or if the PDA is associated with other ductal-dependent cardiac lesions. *Coarctation of the aorta* - This condition typically presents with **blood pressure differences** between the upper and lower extremities and diminished femoral pulses. - The classic murmur is **systolic** and best heard over the left back between the scapulae or left infraclavicular area, not a continuous murmur at the left upper sternal border. - While severe coarctation can cause cyanosis if associated with other defects, it does not produce a continuous murmur. *Ventricular septal defect* - VSD typically causes a **harsh holosystolic murmur** best heard at the **lower left sternal border**, not a continuous murmur. - Most VSDs cause left-to-right shunting and present with heart failure symptoms rather than cyanosis. - Cyanosis only occurs with Eisenmenger syndrome, which develops over months to years, not in the neonatal period. *Tetralogy of Fallot* - This congenital heart defect is characterized by **cyanosis** and a **systolic ejection murmur** at the upper left sternal border due to pulmonary stenosis. - The murmur is systolic, not continuous, and results from right ventricular outflow tract obstruction. - While TOF causes neonatal cyanosis, the murmur quality does not match this case. *Mitral valve prolapse* - Mitral valve prolapse is characterized by a **mid-systolic click** followed by a late systolic murmur, best heard at the apex. - It is extremely rare in neonates and does not cause cyanosis or present with a continuous murmur. - This is primarily a condition diagnosed in adolescents and adults.
Explanation: ***Holt-Oram syndrome*** - The combination of **thumb abnormalities** (agenesis on the right, shortened/deformed on the left) and an **acyanotic congenital heart defect with left-to-right shunt** (suggestive of an atrial septal defect by the wide, fixed S2 split) is highly characteristic of **Holt-Oram syndrome**. - This syndrome is also known as **heart-hand syndrome** and is caused by mutations in the *TBX5* gene, which is crucial for both cardiac and upper limb development. *Alagille syndrome* - This syndrome is characterized by **specific facial features**, **cholestasis** due to bile duct paucity, **vertebral anomalies**, and often **peripheral pulmonic stenosis** or other cardiac defects, but not typically agenesis of the thumb. - The hallmark cardiac defect seen in Alagille syndrome is often **pulmonary artery stenosis**, which is different from the likely atrial septal defect indicated here. *DiGeorge syndrome* - DiGeorge syndrome is associated with **conotruncal heart defects** (e.g., truncus arteriosus, tetralogy of Fallot), **thymic hypoplasia/aplasia** leading to immunodeficiency, **hypocalcemia** due to parathyroid hypoplasia, and distinct facial features. - It does not primarily involve **limb abnormalities**, particularly thumb agenesis, as a defining feature. *Marfan syndrome* - Marfan syndrome primarily affects connective tissue, leading to features such as **tall stature**, **arachnodactyly** (long, slender fingers), **lens dislocation**, and significant **aortic dilation** and dissection. - While it can involve the heart, it typically does not present with **thumb anomalies** or an atrial septal defect as described. *Williams-Beuren syndrome* - Williams syndrome is characterized by a distinctive **"elfin" facial appearance**, an outgoing and friendly personality, **supravalvular aortic stenosis**, and **intellectual disability**. - It is not typically associated with **thumb hypoplasia/agenesis** or an atrial septal defect.
Explanation: ***Pulmonary infection*** - The patient's presentation (abdominal pain, distention, palpable mass, dilated ascending colon, air-fluid level, and abnormal nasal epithelial test) is highly suggestive of **cystic fibrosis (CF)** with a distal intestinal obstruction syndrome (DIOS). - **Pulmonary complications**, particularly recurrent infections leading to bronchiectasis and respiratory failure, are the leading cause of mortality in patients with CF. *Nephrolithiasis* - While patients with cystic fibrosis can have an increased risk of **renal stones** due to dehydration and electrolyte imbalances, it is not the most common cause of mortality. - **Kidney complications** are generally less severe and less frequently fatal compared to respiratory issues in CF. *Liver cirrhosis* - **Liver disease**, including cirrhosis and portal hypertension, can occur in CF due to inspissated bile, but it is a less common cause of mortality than pulmonary complications. - Significant liver disease typically affects a smaller subset of CF patients compared to the nearly universal pulmonary involvement. *Pulmonary embolism* - Although **pulmonary embolism** can occur in hospitalized patients, it is not specifically linked to cystic fibrosis as a primary cause of mortality. - The chronic lung disease in CF predisposes to other pulmonary issues like infection and respiratory failure, not primarily embolism. *Diabetes mellitus* - **Cystic fibrosis-related diabetes (CFRD)** is common in CF, resulting from pancreatic damage, but it is typically manageable and not a primary cause of mortality. - Complications from diabetes, while serious, do not outweigh the mortality risk posed by the progressive lung disease in CF.
Explanation: ***Laryngomalacia*** - The presentation of **inspiratory stridor** that is **worse when supine** and **improves when prone or leaning forward** (due to gravity pulling the epiglottis away from the glottis) is highly characteristic of **laryngomalacia**. - This condition is common in infants and typically involves the **omega-shaped epiglottis** prolapsing into the airway, causing partial obstruction. *Epiglottitis* - **Epiglottitis** typically presents with rapid onset of **high fever, dysphagia, drooling, and respiratory distress**, often in toxic-appearing children. - The child usually prefers to sit in the **tripod position** and symptoms are often severe, which is not consistent with this patient's presentation. *Foreign body aspiration* - **Foreign body aspiration** usually has a sudden onset of symptoms, including **choking spells, coughing, wheezing**, or stridor, often with a clear history of ingesting a small object. - While stridor can be present, the gradual worsening and positional improvement are less characteristic of an acute foreign body obstruction. *Laryngotracheitis* - **Laryngotracheitis**, or **croup**, is characterized by a **barking cough**, inspiratory stridor, and hoarseness, typically preceded by an upper respiratory infection. - The stridor in croup does not typically improve with positional changes (like leaning forward), and the characteristic cough is absent here. *Vascular ring* - **Vascular ring** can cause stridor, but it is typically due to **compression of the trachea or esophagus** by an aberrant blood vessel. - While stridor might be present, it typically doesn't show the marked positional variation (improvement with leaning forward) seen in laryngomalacia, and **dysphagia** is also a common symptom.
Explanation: ***Failed obliteration of an allantoic remnant*** - The leakage of **straw-colored fluid** from the umbilicus, especially when the newborn cries (which increases **intra-abdominal pressure**), suggests a persistent communication between the bladder and the umbilicus via a **patent urachus**. - The **urachus** is a remnant of the **allantois**, which normally obliterates to form the **median umbilical ligament**; failure to obliterate results in a urachal fistula. *Infection of the umbilical cord stump* - An infection would typically present with **erythema**, **purulent discharge**, and possibly fever or localized tenderness, not clear straw-colored fluid. - The described fluid leakage is consistent with urine, not an infectious exudate. *Failed closure of the vitelline duct* - A patent **vitelline duct** (also known as the **omphalomesenteric duct**) would connect the umbilicus to the ileum, resulting in a discharge of **enteric contents** (bile or fecal material), which is distinctly different from straw-colored fluid (urine). - Meconium or intestinal contents would be suspected if the vitelline duct failed to close. *Malformation of the medial umbilical ligament* - The **medial umbilical ligaments** are remnants of the **umbilical arteries** and are typically asymptomatic when malformed. - Failure of these ligaments to obliterate or malformation would not cause fluid leakage from the umbilicus. *Abnormal fusion of the urethral folds* - Abnormal fusion of the **urethral folds** leads to **hypospadias** or **epispadias**, conditions affecting the external genitalia and urethra. - While it involves the urinary system, it would cause abnormal urethral opening or urinary stream abnormalities, not leakage from the umbilicus, and the external genitalia are noted as normal in this case.
Explanation: ***Infantile hemangioma*** - These are **painless, benign vascular tumors** that typically appear shortly after birth, grow rapidly during the first year, and then slowly involute. - While they can occur anywhere, they commonly affect the **head and neck** (including the face), and their natural history aligns with the description of lesions present since birth. *Neurofibromas* - **Neurofibromas** are soft, fleshy skin tumors associated with **Neurofibromatosis type 1**, a genetic disorder. - While they can be present in childhood, they typically become more numerous and prominent during **adolescence** and adulthood, rather than appearing shortly after birth and remaining as stable, painless lesions on the face. *Molluscum contagiosum* - This is a **viral skin infection** causing small, firm, **umbilicated papules**. - They are typically itchy or mildly irritating and can spread, rather than being painless lesions present since birth. *Spider angioma* - A **spider angioma** is a focal red lesion with radiating capillaries, blanching with central pressure. - These are typically **small, solitary lesions** and do not present as multiple, widespread painless lesions on the face since birth. *Verruca vulgaris* - Also known as **common warts**, these are benign skin growths caused by the **human papillomavirus (HPV)**. - They tend to be rough, raised lesions and are not typically present since shortly after birth; they are also more likely to be numerous but discrete, not uniformly "lesions on his face."
Explanation: ***Repositioning and serial casting*** - The clinical description of **equinus, varus, adduction, and cavus** (EVA-C) in both feet, along with the **taut Achilles tendons** and **persistent deformity** despite passive attempts, is consistent with **congenital talipes equinovarus** (clubfoot). - The **Ponseti method**, which involves gentle **repositioning and serial casting** shortly after birth, is the gold standard and most appropriate initial treatment for clubfoot. *Physiotherapy* - While physiotherapy plays a role in the long-term management of clubfoot to maintain flexibility and strength, it is **not sufficient as the primary initial treatment** to correct the severe skeletal deformities. - **Isolated stretching and exercises** without casting will likely fail to achieve proper anatomical correction of the rigid foot deformities. *Foot abduction brace* - A **foot abduction brace** is typically used *after* successful serial casting and (often) Achilles tenotomy to **maintain the correction** and prevent relapse. - It is **not the initial treatment** to correct the deformity itself, but rather a crucial part of the maintenance phase. *Surgery* - **Extensive surgical correction** (posteromedial release) is usually reserved for **recalcitrant clubfoot** cases that do not respond to the Ponseti method or for relapses. - Initial management with casting is preferred as it is **less invasive** and has high success rates, leading to better long-term functional outcomes. *Reassurance* - This is an obvious and significant **structural deformity** that requires active intervention, not just reassurance. - **Untreated clubfoot** leads to severe functional impairment and disability.
Explanation: ***Esophageal atresia with tracheoesophageal fistula to the distal esophageal segment*** - This is **Type C EA/TEF**, the most common variant (85-90% of cases) - **Inability to pass NG tube** (coils in proximal blind pouch on X-ray) confirms esophageal atresia - **Foaming and drooling** occur because saliva cannot be swallowed past the atretic segment - **Mild abdominal distension** results from air entering the stomach via the **distal TEF** during breathing - **Cyanosis and crackles** indicate aspiration pneumonitis from gastric contents refluxing through the distal fistula into the trachea - Associated with **VACTERL anomalies** (cardiac murmur, anorectal malformation seen here) *H-type tracheoesophageal fistula without esophageal atresia* - In H-type TEF, there is **no esophageal atresia**, so the NG tube would pass normally into the stomach - Patients typically present later with **recurrent aspiration during feeds**, not immediate drooling at birth - Would not cause the **immediate foaming and drooling** seen in this newborn *Esophageal atresia with tracheoesophageal fistula to the proximal and distal esophageal segments* - This is **Type D EA/TEF** (very rare, 1-2% of cases) - Would cause **more severe abdominal distension** because air enters via both proximal and distal fistulas - The clinical presentation here is most consistent with the more common Type C *Esophageal atresia without tracheoesophageal fistula* - This is **Type A** (pure EA, 5-8% of cases) - Key differentiating feature: **scaphoid (flat) abdomen** because no air can enter the GI tract - The **mild abdominal distension** in this case indicates a distal fistula is present *Esophageal atresia with tracheoesophageal fistula to the proximal esophageal segment* - This is **Type B EA/TEF** (very rare, <1% of cases) - Would cause **severe aspiration** with feeding attempts as oral contents enter trachea via proximal fistula - Would have **scaphoid abdomen** (no air pathway to stomach), not the mild distension seen here
Explanation: ***Polycythemia*** - This patient likely has a large **ventricular septal defect (VSD)** leading to a left-to-right shunt, which can eventually cause **Eisenmenger syndrome** with shunt reversal leading to cyanosis. Chronic cyanosis stimulates erythropoietin production, resulting in **secondary polycythemia** as the body attempts to increase oxygen-carrying capacity. - The symptoms, including **shortness of breath**, low weight/height percentiles (suggesting **failure to thrive**), tachypnea, tachycardia, bilateral crackles, and the characteristic holosystolic and mid-diastolic murmurs, are consistent with a large VSD causing left-to-right shunting and eventual pulmonary hypertension, leading to right-to-left shunting and chronic hypoxemia. *Myocardial ischemia* - While congenital heart disease can cause cardiac stress, **myocardial ischemia** is not a common direct complication of an uncorrected VSD in this age group unless other risk factors or specific coronary anomalies are present. - The hemodynamics of a VSD primarily involve volume overload and pressure changes rather than acute coronary insufficiency. *Secondary hypertension* - This condition is more typically associated with **renal disease**, endocrine disorders, or coarctation of the aorta, none of which are suggested by the clinical picture or murmurs described here. - While pulmonary hypertension can develop from a large VSD, systemic hypertension is not a direct or anticipated chronic complication of an uncorrected VSD. *Thrombocytosis* - **Thrombocytosis** refers to an abnormally high platelet count, which is not a common or direct consequence of an uncorrected VSD or the resulting hypoxemia. - In some chronic hypoxic conditions, there might be effects on bone marrow, but polycythemia (red blood cell increase) is the more classic hematologic response. *Cerebral aneurysm* - While some congenital heart diseases are associated with an increased risk of **cerebral aneurysms**, particularly conditions like coarctation of the aorta or Marfan syndrome, it is not a direct or primary consequence of an uncorrected VSD. - The immediate and most likely hematologic complication of chronic hypoxemia from a VSD with shunt reversal is polycythemia.
Explanation: ***Morphine, oxygen, IV fluids, and beta blockers*** - The patient presents with classic signs of a **tet spell** (hypercyanotic spell) secondary to **tetralogy of Fallot**, including perioral cyanosis, a systolic ejection murmur, and improvement with squatting. Treatment involves **morphine** to decrease infundibular spasm and anxiety, **oxygen** for hypoxemia, **IV fluids** to increase preload, and **beta-blockers** to relax the right ventricular outflow tract. - **Squatting** increases systemic vascular resistance, decreasing the right-to-left shunt, suggesting the diagnosis of tetralogy of Fallot and reinforcing the need for interventions that improve pulmonary blood flow and reduce RVOT obstruction. *Antibiotics and supportive care* - This patient's symptoms are indicative of an acute cardiac event, not an infection. **Antibiotics** would not address the underlying pathophysiology of a tet spell. - While supportive care is generally part of management, it is insufficient without specific interventions to treat the underlying cardiac physiology. *Observation and reassurance* - The patient's presentation with loss of consciousness and profound cyanosis indicates a **medical emergency** that requires immediate intervention, not just observation. - **Reassurance** alone would be inappropriate and harmful, given the life-threatening nature of a hypercyanotic spell. *Diazepam* - While **diazepam** can help with anxiety and reduce systemic vascular resistance, it is not the primary or most comprehensive treatment for a tet spell compared to the combination of morphine, oxygen, fluids, and beta-blockers. - It doesn't directly address the critical components of improving pulmonary blood flow or relaxing the obstructed RVOT as effectively as beta-blockers. *Morphine, oxygen, nitroglycerin, and aspirin* - **Nitroglycerin** is a potent vasodilator and would be contraindicated in the setting of a tet spell, as it would decrease systemic vascular resistance and likely worsen the right-to-left shunt. - **Aspirin** is not indicated for the acute management of a tet spell; it is primarily used for antiplatelet effects or anti-inflammatory purposes, neither of which addresses the immediate crisis.
Explanation: ***Acute lymphoblastic leukemia*** - The description of the baby suggests **Down syndrome (Trisomy 21)**, characterized by **upward-slanting eyes**, a **flat face**, **short neck**, **protruding tongue**, **poor muscle tone**, and **excessive joint laxity**. - Individuals with Down syndrome have a significantly increased risk of developing **acute lymphoblastic leukemia (ALL)**, particularly during childhood, with a 10-20 fold increased risk compared to the general population. *Red blood cell sickling* - **Red blood cell sickling** is characteristic of **sickle cell anemia**, an autosomal recessive genetic disorder. - Sickle cell anemia is caused by a **point mutation** in the beta-globin gene, not a chromosomal abnormality like trisomy 21. *Chronic myelogenous leukemia* - **Chronic myelogenous leukemia (CML)** is typically associated with the **Philadelphia chromosome (t(9;22))**, a reciprocal translocation. - CML is **not associated with Down syndrome**. While Down syndrome increases risk of **acute lymphoblastic leukemia (ALL)** and **acute myeloid leukemia (AML)**, it does not increase the risk of chronic myelogenous leukemia. *Macroorchidism* - **Macroorchidism**, or abnormally large testes, is a characteristic feature of **Fragile X syndrome**. - Fragile X syndrome is caused by a **CGG trinucleotide repeat expansion** on the FMR1 gene on the X chromosome, not trisomy 21. *Immotile cilia syndrome* - **Immotile cilia syndrome** (also known as **primary ciliary dyskinesia** or PCD) is a genetic disorder affecting ciliary function. - It leads to recurrent respiratory infections, situs inversus, and infertility and is not associated with Down syndrome.
Explanation: ***Hip ultrasound within the next week*** - This infant has **risk factors for DDH** (breech presentation, female sex, family history of DDH in a first-degree relative), warranting screening. - An ultrasound is the preferred imaging modality for newborns as their **bones are cartilaginous** and not well-ossified, making X-rays less informative. Given the mother's anxiety, performing the ultrasound sooner rather than later is appropriate. *Hip ultrasound at 6 weeks of age* - While ultrasound is the correct modality, waiting until 6 weeks for a high-risk infant with an anxious mother is **not ideal when an earlier evaluation can be done**. - Delaying imaging could lead to increased maternal anxiety and potentially a missed opportunity for early intervention in a high-risk infant. *Hip radiograph at 5 months of age* - **Radiographs are not effective** for detecting DDH in infants younger than 4-6 months because their femoral heads and acetabular roofs are primarily cartilage. - Delaying imaging until 5 months would be a significant delay for early detection and intervention, which is crucial for successful DDH treatment. *Hip MRI at 6 weeks of age* - **MRI is not routinely used** for DDH screening due to its **high cost**, need for **sedation** in infants, and **limited availability** compared to ultrasound. - It offers no significant advantage over ultrasound for initial screening in this age group. *Hip radiograph at 6 weeks of age* - At 6 weeks of age, the infant's hip structures are still **predominantly cartilaginous**, making a radiograph **unreliable** for assessing the bony development of the hip joint. - **Ultrasound is the imaging of choice** for evaluating DDH in newborns and young infants due to its ability to visualize cartilaginous structures.
Explanation: ***Voiding cystourethrogram*** - This male newborn presents with **Potter sequence** (Potter facies, pulmonary hypoplasia, limb deformities) secondary to severe **oligohydramnios**. - The key finding of **bilateral hydronephrosis** (dilated renal pelvis and ureters) in a male newborn strongly suggests **obstructive uropathy**, most commonly due to **posterior urethral valves (PUV)**. - **Voiding cystourethrogram (VCUG)** is the diagnostic test of choice to visualize the urethra during voiding and identify posterior urethral valves or other lower urinary tract obstruction causing the bilateral hydronephrosis and subsequent oligohydramnios. - The oligohydramnios from urinary obstruction leads to pulmonary hypoplasia (explaining respiratory distress) and compression deformities (Potter facies and limb abnormalities). *Karyotyping* - While chromosomal abnormalities (trisomy 13, 18, 21) can cause multiple congenital anomalies, the specific pattern here points to **Potter sequence from obstructive uropathy** rather than a primary genetic syndrome. - The presence of **bilateral hydronephrosis** indicates the kidneys are present but obstructed, not absent or severely dysplastic as might occur with chromosomal syndromes. - Karyotyping would be indicated if there were additional features suggestive of specific aneuploidies, but the clinical picture is most consistent with anatomical urinary obstruction. *Echocardiography* - While cardiac defects can occur with genetic syndromes, echocardiography would not identify the **underlying urinary tract obstruction** causing the oligohydramnios and Potter sequence. - The primary pathology is in the **urinary system**, not the cardiovascular system. *Blood cultures* - Blood cultures are indicated for sepsis evaluation, but this presentation reflects **chronic intrauterine pathology** from oligohydramnios, not acute postnatal infection. - The constellation of Potter facies, limb deformities, and bilateral hydronephrosis indicates a developmental/structural problem, not infection. *X-ray of the chest* - Chest X-ray would show **pulmonary hypoplasia** (small lung volumes, bell-shaped chest) as a consequence of oligohydramnios but would not identify the **underlying cause** of the urinary obstruction. - While helpful for assessing the degree of pulmonary hypoplasia, it does not establish the diagnosis of posterior urethral valves or other obstructive uropathy.
Explanation: ***Extramedullary hematopoiesis due to thalassemia*** - The constellation of **massive splenomegaly**, **frontal bossing**, and **malar prominence** in a child from Bangladesh strongly suggests **beta-thalassemia major**, with expansion of bone marrow leading to characteristic facial features and extramedullary hematopoiesis causing splenomegaly. - The history of **reduced activity**, **declined appetite**, **vomiting**, **dusky complexion**, and **pale oral mucosa** are consistent with **chronic anemia**, a hallmark of thalassemia. *Glycogen storage disease* - While some types can cause **hepatomegaly**, **splenomegaly** is less common, and the characteristic skeletal changes like **frontal bossing** and **malar prominence** are not typically seen. - Patients usually present with **hypoglycemia** and muscle weakness, which are not clearly described here as the primary concern. *Graves disease* - This is an **autoimmune hyperthyroid condition** that primarily presents with **goiter**, **exophthalmos**, and symptoms of hypermetabolism like weight loss, tachycardia, and irritability, which are inconsistent with this patient's presentation. - It does not cause **splenomegaly** or the specific skeletal changes observed. *Renal failure* - **Chronic renal failure** in children can cause growth retardation, anemia, and bone deformities (renal osteodystrophy), but the specific facial features (**frontal bossing**, **malar prominence**) and **massive splenomegaly** described are not typical primary manifestations. - The patient's symptoms are more indicative of a hematologic disorder. *Lymphoma* - While lymphoma can cause **splenomegaly** and systemic symptoms like fatigue and weight loss, it typically does not lead to the specific skeletal changes such as **frontal bossing** and **malar prominence** seen in this patient. - The chronic nature of the symptoms and the specific physical findings point away from lymphoma as the primary diagnosis.
Explanation: ***MYCN*** - The clinical presentation with **opsoclonus-myoclonus syndrome**, elevated **urinary VMA**, an adrenal mass with a biopsy showing **neuroblasts arranged in a rosette pattern**, is classic for neuroblastoma. - **MYCN amplification** is the most commonly associated oncogene with neuroblastoma, found in ~20-25% of cases, and is the single most important prognostic indicator of aggressive disease. *JAK2* - **JAK2 mutations** are primarily associated with **myeloproliferative neoplasms** (e.g., polycythemia vera, essential thrombocythemia, primary myelofibrosis), which are hematologic malignancies and do not present as an adrenal mass. - There is no clinical or pathological evidence to suggest a myeloproliferative disorder in this patient. *RET* - **RET proto-oncogene mutations** are linked to **Multiple Endocrine Neoplasia type 2 (MEN2)** syndromes and **medullary thyroid carcinoma**. - These conditions typically involve endocrine tumors and do not present with opsoclonus-myoclonus syndrome or neuroblastoma histology. *ALK* - **ALK gene alterations** occur in ~10-15% of neuroblastomas and can be a therapeutic target, but are **less frequently amplified than MYCN** (20-25%). - While clinically important (especially for targeted therapy with ALK inhibitors), **MYCN amplification** remains the most common oncogenic driver and primary prognostic marker in neuroblastoma. *KRAS* - **KRAS mutations** are common in many adult solid tumors, such as **pancreatic adenocarcinoma**, **colorectal cancer**, and **non-small cell lung cancer**. - They are not typically associated with neuroblastoma.
Explanation: ***Air contrast enema*** - An **air contrast enema** is both diagnostic and therapeutic for **intussusception**, which is strongly suggested by the patient's symptoms (colicky abdominal pain, drawing legs to chest, currant jelly stools). - It uses air pressure to **reduce the intussusception**, avoiding surgery if successful and the bowel is not compromised. *Supportive care* - While supportive care (IV fluids, pain control) is important, it does not address the underlying mechanical issue of **intussusception** and would not resolve the condition. - Delaying definitive treatment for intussusception can lead to **bowel ischemia, necrosis, and perforation**, which are life-threatening. *Broad-spectrum antibiotics* - Antibiotics are not the primary treatment for **intussusception**, as it is a mechanical obstruction, not typically a primary infection. - They might be considered if there are signs of **perforation or peritonitis**, but the immediate goal is reduction. *Abdominal laparotomy* - An **abdominal laparotomy** is a surgical intervention reserved for cases where **non-operative reduction** (like an air enema) fails or if there are signs of **bowel perforation or gangrene**. - It is not the *first-line* next step after diagnosis, especially if non-invasive options remain viable. *Abdominal CT scan* - An **abdominal CT scan** can diagnose intussusception but is typically not the preferred initial imaging because it involves **radiation exposure** and **does not offer therapeutic benefit**, unlike an air contrast enema. - Abdominal ultrasound is usually sufficient for diagnosis and safer for pediatric patients.
Explanation: ***Malrotation of the gut*** - The question asks for the **underlying cause** of symptoms in a 5-year-old presenting with her **first episode** of acute bowel obstruction and **no prior surgical history**. **Malrotation** is the congenital anatomical abnormality that predisposes to **midgut volvulus**. - **Malrotation** occurs when the bowel fails to rotate properly during fetal development, leaving the mesentery on a narrow pedicle. This anatomical defect is the underlying cause that makes volvulus possible. - While volvulus (twisting) is the acute mechanical event causing obstruction, **malrotation is the underlying anatomical defect** being asked for in the question. - The presentation of **abdominal pain**, **vomiting**, **abdominal distension**, inability to pass **flatus or stool** for 72 hours, and **tympanic upper abdomen** indicates acute bowel obstruction from midgut volvulus occurring on the background of malrotation. *Volvulus* - **Volvulus** (twisting of the bowel) is the **acute complication** that occurs, not the underlying cause. - Volvulus is the mechanism of obstruction, but it occurs because of the underlying anatomical defect (malrotation). - The question specifically asks for "underlying cause" - volvulus is the acute event, while malrotation is the predisposing anatomical abnormality. *Duodenal atresia* - **Duodenal atresia** is a congenital complete obstruction that presents in the **neonatal period** with vomiting (bilious), the classic "double bubble" sign, and feeding intolerance. - This would have been diagnosed much earlier than 5 years of age and is not compatible with this presentation. *Pyloric stenosis* - **Pyloric stenosis** presents with **non-bilious projectile vomiting** in infants between **2 to 6 weeks of age**, not in a 5-year-old child. - Physical exam classically reveals an **olive-shaped mass** in the epigastrium and visible gastric peristaltic waves. *Meckel's diverticulum* - **Meckel's diverticulum** most commonly presents with **painless rectal bleeding** (from ectopic gastric mucosa causing ulceration) following the "rule of 2s." - While it can cause obstruction via intussusception or serve as a lead point, it is not the most likely underlying cause of this presentation in a 5-year-old with acute complete bowel obstruction and no prior symptoms.
Explanation: **Erythema toxicum** - Erythema toxicum is a **benign, self-limited rash** commonly seen in newborns, characterized by an **erythematous maculopapular rash** with pustules on an erythematous base. - The rash typically appears on the **trunk and extremities**, sparing the palms and soles, and is generally asymptomatic, matching the presentation in this 4-day-old infant. *Congenital syphilis* - Congenital syphilis would typically present with a rash that can involve the **palms and soles**, and is often accompanied by other systemic signs like **hepatosplenomegaly**, rhinitis, or skeletal abnormalities, which are absent here. - Although the mother had no prenatal care and a history of gonorrhea, no specific risk factors or clinical signs of congenital syphilis are present in the newborn's history or examination. *Acropustulosis* - Infantile acropustulosis is characterized by **recurrent crops of pruritic vesicles and pustules** predominantly on the **palms and soles**, which is contrary to the described sparing of these areas. - This condition typically presents with significant **itching**, which is not mentioned in the newborn's presentation. *Milia* - Milia consists of **tiny, pearly white or yellow papules** that are typically found on the face, especially the nose and cheeks, and are essentially clogged pores. - They are **not erythematous** and do not present as a generalized maculopapular rash with pustules on an erythematous base. *Pustular melanosis* - Transient neonatal pustular melanosis is characterized by pustules that rupture to leave a **collarette of scale** and then hyperpigmented macules, without an erythematous base. - The lesions are usually present at birth, and the characteristic residual hyperpigmented macules are a key diagnostic feature, which is not described.
Explanation: ***Outpatient follow-up*** - The patient has a **small ventricular septal defect (VSD)** (3 mm) and is **asymptomatic**, feeding well, and growing appropriately. Many small VSDs close spontaneously, so watchful waiting with outpatient follow-up is the most appropriate initial management. - The presence of a thrill and a loud holosystolic murmur with a small VSD is often due to the **high-velocity jet** of blood across a small opening, rather than indicative of severe hemodynamic instability. *Indomethacin therapy* - **Indomethacin** is used to close a **patent ductus arteriosus (PDA)**, not a VSD. - VSDs do not respond to indomethacin. *Cardiac catheterization* - **Cardiac catheterization** or surgical repair is typically reserved for **large, symptomatic VSDs** that cause heart failure, pulmonary hypertension, or significant growth failure, none of which are present in this case. - Performing an invasive procedure on an asymptomatic infant with a small VSD is unnecessary and carries risks. *Amoxicillin therapy* - **Amoxicillin** is an antibiotic and is not indicated for the management of a VSD. - While it can be used for endocarditis prophylaxis in some high-risk cardiac conditions, a small VSD is typically not considered a high-risk lesion requiring routine prophylaxis. *Prostaglandin E1 therapy* - **Prostaglandin E1 (PGE1)** is used to maintain the **patency of the ductus arteriosus** in ductal-dependent cardiac lesions (e.g., critical coarctation, hypoplastic left heart syndrome) to ensure systemic or pulmonary blood flow. - In this case, the VSD does not require the PDA to remain open; in fact, maintaining PDA patency would worsen a VSD by increasing pulmonary blood flow.
Explanation: ***Abdominal ultrasound*** - The history of **progressive non-bilious vomiting** after every feed, worsening over time, and **weight percentile drop** in a 4-week-old infant strongly suggests **pyloric stenosis**. The best next step for diagnosis is an abdominal ultrasound which can visualize the thickened pylorus (>3-4 mm muscle thickness, >14-16 mm channel length). - The physical exam finding of **dry mucous membranes** indicates dehydration, a common complication of recurrent vomiting. *Abdominal radiograph* - An abdominal radiograph is generally not the initial imaging of choice for diagnosing pyloric stenosis, as it is less sensitive and specific than ultrasound for visualizing soft tissue structures like the pylorus. - While it may show a **dilated stomach** or **absent gas in the distal bowel**, these findings are not diagnostic of pyloric stenosis and do not pinpoint the obstruction. *Trial of empiric proton pump inhibitor* - A proton pump inhibitor would be considered for **gastroesophageal reflux disease (GERD)**, but the **worsening pattern of vomiting after every feed** and **rapid weight loss** are atypical for simple GERD and point to a more serious mechanical obstruction. - Treating with a PPI would delay the proper diagnosis and treatment of pyloric stenosis, which requires surgical intervention (pyloromyotomy). *Supplement breastfeeding with formula* - While ensuring adequate nutrition is important, simply supplementing with formula will not resolve the underlying issue of **pyloric obstruction**, and the infant will likely continue to vomit and experience dehydration. - This approach would delay definitive diagnosis and treatment, potentially leading to further compromise of the infant's health. *Trial of cow's milk-free diet* - A cow's milk-free diet is indicated for suspected **cow's milk protein allergy (CMPA)**, which can present with vomiting, but typically also includes symptoms like **bloody stools**, **eczema**, or **colic**, which are not reported here. - The **progressive non-bilious vomiting after every feed** and rapid weight loss are more characteristic of a mechanical obstruction like pyloric stenosis than a dietary allergy.
Explanation: **Fundus examination** - The presence of a **white reflex (leukocoria)** in the right eye is a critical finding that suggests serious ocular pathology, such as **retinoblastoma**, congenital cataract, or retinopathy of prematurity. - A prompt **fundus examination** by an ophthalmologist is essential to identify the underlying cause and initiate appropriate treatment to preserve vision and potentially life, especially given the family history of osteosarcoma (which can be associated with retinoblastoma). *Screen for galactosemia* - Galactosemia can cause **cataracts**, leading to leukocoria; however, it's typically associated with other symptoms like **vomiting**, poor feeding, and **hepatomegaly**, which are not reported here. - While screening might be considered, the immediate and most critical step is to investigate the white reflex directly. *Visual training exercises* - **Visual training exercises** are typically used for amblyopia or strabismus, a deviation of the eye (which is present here). - However, they would only be considered *after* ruling out serious underlying causes of leukocoria, as the white reflex indicates a more urgent issue. *CT scan of the eye* - A **CT scan of the eye** could be used to evaluate for **intraocular tumors** like retinoblastoma or calcifications. - However, a **fundus examination** is typically the initial diagnostic step to visualize the retina and determine the nature of the white reflex, guiding subsequent imaging if needed. *Serum rubella titers* - **Congenital rubella syndrome** can cause cataracts (leukocoria) and other ocular abnormalities. - However, there are no other signs suggestive of congenital rubella infection (e.g., microcephaly, congenital heart defects, hearing loss), and testing for it is not the most immediate or highest priority given the acute finding of leukocoria.
Explanation: ***Use of mosquito repellant*** - The constellation of **microcephaly** (2nd percentile for head circumference), **spasticity**, **fixed joint contractures** (wrists in flexion), **retinal mottling**, and **hearing loss** (negative otoacoustic emissions) in a newborn whose mother traveled to Brazil during the first trimester is highly suggestive of **congenital Zika syndrome**. - **Zika virus** is primarily transmitted by mosquitoes, and preventing mosquito bites with repellents is the most effective way to prevent infection in endemic areas. *Discontinuation of mood stabilizer* - The mother's lithium use is likely for bipolar disorder, but fetal exposure to **lithium** is typically associated with **Ebstein's anomaly** (a congenital heart defect), not the neurological and ocular findings described here. - The newborn's symptoms do not align with known effects of lithium toxicity or teratogenicity. *Administration of antibiotic therapy* - **Bacterial infections** during pregnancy can cause congenital abnormalities, but the specific cluster of symptoms (microcephaly, spasticity, retinal mottling, hearing loss) is not typical for a bacterial congenital infection that would be preventable by routine antibiotic therapy. - This clinical picture strongly points towards a **viral etiology**, specifically Zika. *Avoid consumption of undercooked meat* - Avoiding undercooked meat is crucial for preventing **toxoplasmosis**, a parasitic infection that can cause congenital disease, presenting with hydrocephalus, intracranial calcifications, and chorioretinitis. - While some symptoms overlap, the prominent microcephaly and travel history to Brazil are more indicative of Zika, and **toxoplasmosis** typically involves more widespread brain calcifications and hydrocephalus rather than primarily microcephaly and spasticity with retinal mottling. *Daily intake of prenatal vitamins* - **Prenatal vitamins**, especially **folic acid**, are essential for preventing **neural tube defects** (e.g., spina bifida, anencephaly), which are structural abnormalities of the brain and spinal cord. - The presented symptoms of microcephaly, spasticity, and ocular/auditory issues are characteristic of a congenital infection rather than a vitamin deficiency-related developmental anomaly.
Explanation: ***Genetic testing*** - **Genetic testing** for mutations in the **dystrophin gene** is the **definitive confirmatory test** for Duchenne Muscular Dystrophy (DMD). - The clinical presentation of **progressive proximal weakness**, **calf pseudohypertrophy**, **waddling gait**, **delayed motor milestones** (walking at 15 months), and **easy fatigability** in a young boy is classic for DMD. - **Deletion or duplication analysis** of the dystrophin gene identifies mutations in approximately **98% of DMD cases**, making it the most appropriate test to **confirm the diagnosis**. - Current DMD care guidelines (2018) recommend genetic testing as the primary confirmatory diagnostic test. *Creatine kinase level* - **Elevated CK** (typically 10-100 times normal) is a hallmark finding in DMD and is often the **initial screening test**. - While highly sensitive, **CK elevation is not specific** to DMD—it can be elevated in other muscular dystrophies, inflammatory myopathies, and even after vigorous exercise. - CK levels confirm muscle damage but do not establish the specific diagnosis of DMD, making it an excellent screening tool but not a confirmatory test. *Muscle biopsy* - **Muscle biopsy** can demonstrate **dystrophic changes** (fiber size variation, necrosis, regeneration, endomysial fibrosis) and **absence or reduction of dystrophin protein** on immunohistochemistry. - This was historically the gold standard but is **more invasive** than genetic testing and is now typically reserved for cases where **genetic testing is inconclusive** or atypical presentations. *Nerve conduction study* - **Nerve conduction studies** evaluate peripheral nerve function and are used to diagnose **neuropathies** (e.g., Charcot-Marie-Tooth disease). - This patient has a **myopathy** (primary muscle disease), not a neuropathy, so NCS would be **normal** and not helpful for diagnosis. *Acetylcholine receptor antibody level* - **Acetylcholine receptor antibodies** are positive in **myasthenia gravis**, a neuromuscular junction disorder. - Myasthenia gravis presents with **fluctuating weakness** (worse with activity, improves with rest), often with **ptosis and diplopia**, which does not match this presentation of progressive proximal muscle weakness.
Explanation: ***Sickle cell disease*** - **Sickle cell disease** is characterized by recurrent episodes of **vaso-occlusive crises**, presenting as severe bone pain and abdominal pain due to tissue ischemia, consistent with this patient's symptoms and history. - The **peripheral blood smear** showing **target cells**, **elongated cells (sickle cells)**, and **erythrocytes with nuclear remnants (Howell-Jolly bodies)**, along with **normochromic normocytic anemia**, elevated reticulocytes (indicating hemolysis), and hyperbilirubinemia, are classic findings in sickle cell disease. *Von-Gierke’s disease* - **Von-Gierke's disease** is a **glycogen storage disorder** primarily affecting the liver and kidneys, causing **hypoglycemia**, elevated lactate, and hepatomegaly, none of which are consistent with the patient's presentation. - It does not explain the **anemia**, **jaundice**, or characteristic red blood cell morphology observed in this patient. *Sickle cell trait* - **Sickle cell trait** (heterozygous HbAS) is generally **asymptomatic**, as individuals usually produce enough normal hemoglobin to prevent significant sickling. - While it can manifest under extreme conditions (e.g., severe hypoxia), it would not cause the severe, recurrent vaso-occlusive crises, marked anemia, and extensive hemolytic signs seen here. *HbC* - **Hemoglobin C disease** can cause a **mild chronic hemolytic anemia** and splenomegaly, but typically presents with less severe clinical manifestations compared to sickle cell disease. - The characteristic red blood cell morphology for HbC includes numerous **target cells** and **HbC crystals**, but not prominent elongated sickle cells, and the severity of pain crises is usually much lower. *G6PD deficiency* - **G6PD deficiency** causes **hemolytic anemia** triggered by specific oxidative stressors (e.g., certain drugs, infections, fava beans), leading to **Heinz bodies** and **bite cells** on peripheral smear. - It does not typically cause recurrent vaso-occlusive crises or the specific elongated and sickle-shaped cells seen in this patient's smear.
Explanation: ***Trinucleotide (GAA) repeat expansion on chromosome 9*** - The patient's presentation with **progressive ataxia**, dysarthria (**slurred speech**), symmetric leg weakness, sensory deficits, and *pes cavus* (depicted in visual aids, though not explicitly described) is highly suggestive of **Friedreich's ataxia**. - **Friedreich's ataxia** is caused by a **GAA trinucleotide repeat expansion** in the *FXN* gene on chromosome 9, leading to reduced frataxin protein and mitochondrial dysfunction. *Genetic mutation on chromosome 11q22* - A mutation on chromosome 11q22 is associated with **Ataxia-telangiectasia**, which presents with ataxia, but also **oculocutaneous telangiectasias** and immunodeficiency, not mentioned in this case. - While both conditions cause ataxia, the absence of telangiectasias and the specific type of genetic defect differentiate it from Friedreich's ataxia. *Trinucleotide (CGG) repeat expansion on chromosome X* - A **trinucleotide (CGG) repeat expansion on the X chromosome** is characteristic of **Fragile X syndrome**, which primarily causes intellectual disability and behavioral issues, not progressive ataxia and spasticity. - While some individuals with Fragile X-associated tremor/ataxia syndrome (FXTAS) can present with ataxia later in life, it is typically in older males and does not fit the described childhood onset and specific neurological findings here. *Trinucleotide (CTG) repeat expansion on chromosome 19* - A **trinucleotide (CTG) repeat expansion on chromosome 19** is the genetic basis for **Myotonic dystrophy type 1**, characterized by muscle weakness, myotonia, and cataracts. - While it causes muscle weakness, the presenting features of ataxia, dysarthria, and specific sensory deficits are not typical for myotonic dystrophy type 1. *Infection with gram-negative rods* - An infection with **gram-negative rods** could potentially lead to neurological complications like **Guillain-Barré syndrome (GBS)**, characterized by ascending paralysis, often preceded by an infection. - However, GBS is typically an acute, monophasic illness with rapid progression over days to weeks, unlike the chronic, progressive course over a year described in this patient.
Explanation: ***There is a 100% chance he will be affected, but the severity may be different*** - The patient's symptoms (motor regression, seizures, red ragged fibers on muscle biopsy) are classic for a **mitochondrial disorder**, which are inherited via **maternal inheritance**. - All children of an affected mother will inherit the affected mitochondria; however, the **heteroplasmy** (proportion of mutated mitochondria inherited) can vary, leading to different disease severities. *There is a 50% chance he will be affected* - This inheritance pattern is typical for **autosomal dominant** disorders, or occasionally X-linked disorders in males. - Mitochondrial disorders do not follow autosomal dominant inheritance, as they are exclusively inherited from the mother. *There is a 100% chance he will be affected, and the severity will be the same* - While there is a 100% chance of inheriting the mutated mitochondria from an affected mother, the **phenotypic expression and severity can vary widely** due to heteroplasmy. - The proportion of mutated mitochondria can differ in various tissues and between offspring, leading to variable clinical manifestations. *There is a 25% chance he will be affected* - This represents the risk of inheritance for an **autosomal recessive** disorder when both parents are carriers. - Mitochondrial inheritance does not follow an autosomal recessive pattern. *He will be unaffected* - This would only be true if the mother's mitochondrial DNA were not affected or if the inheritance pattern allowed for some children to be completely spared, which is not the case for mitochondrial disorders. - Since the mother is the carrier of the mitochondrial mutation, all her children will inherit the mutated mitochondria.
Explanation: ***Pathologic fractures*** - Turner syndrome is associated with **estrogen deficiency**, which leads to **reduced bone mineral density** and increased risk of **osteoporosis** and **pathologic fractures**. - The patient's features (primary amenorrhea, short stature, low posterior hairline, widely spaced nipples, and high-arched palate) are classic for **Turner syndrome** (45,XO). *Severe acne* - Severe acne is typically associated with **androgen excess**, which is not characteristic of Turner syndrome; rather, **estrogen deficiency** is the primary hormonal imbalance. - While acne can occur, it is not a hallmark complication or a direct consequence of the underlying chromosomal abnormality in Turner syndrome. *Obsessive-compulsive disorder* - While individuals with Turner syndrome may experience **psychological challenges** or learning disabilities, obsessive-compulsive disorder is not a specifically elevated risk or characteristic complication. - Neurodevelopmental profiles in Turner syndrome often include difficulties in **spatial-visual skills** and executive function, rather than a direct predisposition to OCD itself. *Pulmonary stenosis* - **Cardiac anomalies** are common in Turner syndrome, but the most frequent are **bicuspid aortic valve** and **coarctation of the aorta**, not pulmonary stenosis. - While other cardiac defects can occur, pulmonary stenosis is less characteristic compared to left-sided obstructive lesions. *Ectopia lentis* - **Ectopia lentis** (dislocation of the lens) is a characteristic feature of **Marfan syndrome** due to abnormalities in fibrillin-1. - This condition is not associated with Turner syndrome, which primarily involves chromosomal abnormalities and related developmental issues.
Explanation: ***Hydrocele*** - The patient's symptoms (intermittent groin bulge with crying/straining) are classic for an **indirect inguinal hernia**, which, like a hydrocele, results from an **incompletely obliterated processus vaginalis**. - A **hydrocele** involves the accumulation of **serous fluid** within the persistent processus vaginalis, as opposed to abdominal contents in a hernia. *Diaphragmatic hernia* - This condition involves the protrusion of abdominal contents into the chest cavity through a defect in the **diaphragm**. - It is unrelated to the obliteration of the processus vaginalis but rather to **diaphragmatic development**. *Femoral hernia* - A femoral hernia involves protrusion through the **femoral canal**, inferior to the inguinal ligament. - It does not involve the processus vaginalis and is more common in **multiparous women**. *Testicular torsion* - This condition is a surgical emergency caused by the **twisting of the spermatic cord**, compromising blood supply to the testis. - It is not related to the processus vaginalis but often involves an inadequately fixed testis (bell-clapper deformity). *Varicocele* - A varicocele is an abnormal dilation of the **pampiniform venous plexus** within the spermatic cord. - It is caused by incompetent valves in the testicular veins and not by a patent processus vaginalis.
Explanation: ***Intubation and mechanical ventilation*** - The patient's presentation with **cyanosis**, **dyspnea**, **tachypnea**, **absent breath sounds on the left**, **shifted heart sounds (dextrocardia)**, **concave abdomen**, and **bowel loops in the left hemithorax on X-ray** is highly suggestive of **congenital diaphragmatic hernia (CDH)**. - **Intubation** and **mechanical ventilation** are crucial initial steps for **respiratory support** and to prevent further expansion of bowel gas with positive pressure ventilation, which can worsen lung compression. *Surfactant administration* - **Surfactant** is primarily used for **respiratory distress syndrome** in preterm infants with underdeveloped lungs, characterized by diffuse bilateral lung disease. - While CDH can lead to **pulmonary hypoplasia**, surfactant alone would not address the underlying anatomical defect or the severe respiratory compromise from bowel in the chest. *Chest tube placement* - **Chest tube placement** is indicated for **pneumothorax** or **pleural effusion**. - While a pneumothorax can cause respiratory distress, the X-ray and other clinical signs clearly point to CDH, not a pneumothorax requiring chest tube drainage. *Extracorporeal life support* - **Extracorporeal life support (ECLS)**, such as **ECMO**, is a highly advanced intervention reserved for severe respiratory or cardiac failure refractory to conventional management. - It is a consideration for CDH if mechanical ventilation fails, but it is not the *initial* appropriate step in management. *Surgical repair* - **Surgical repair** is the definitive treatment for CDH, as it involves repositioning the abdominal organs and closing the diaphragmatic defect. - However, it is an **elective procedure** performed once the infant is **stabilized**, as immediate surgery carries high risks due to the critically ill state of the neonate.
Explanation: **Defect of the septum secundum** - A **grade 3 midsystolic ejection murmur** that does not disappear when sitting up in an otherwise healthy 9-year-old child is characteristic of an **atrial septal defect (ASD)**. - Defects of the **septum secundum** are the most common type of ASD, allowing blood to shunt from the left to the right atrium, leading to increased pulmonary blood flow and the generation of such a murmur. *Physiologic conditions outside the heart* - A **physiologic murmur** (also known as a Still's murmur) is typically described as a grade 1-2 innocent murmur that often disappears or changes with positional changes (e.g., sitting up). - The **grade 3 intensity** and persistence with positional changes make a common physiologic murmur less likely in this case. *Inflammation of the visceral and parietal pericardium* - **Pericarditis** typically presents with chest pain that can worsen with inspiration and lying down, and a characteristic **pericardial friction rub**, not a midsystolic ejection murmur. - This condition is unlikely in an otherwise healthy child with no other systemic symptoms or signs of inflammation. *Failure of the septum primum to fuse with the endocardial cushions* - This describes a **primum ASD**, which is a type of ASD often associated with **endocardial cushion defects** and other congenital heart anomalies, such as cleft mitral valve. - While it is a type of ASD, the description typically refers to the larger, more clinically significant defects and doesn't explicitly refer to the most common type of ASD, which is the septum secundum defect. *Prolonged patency of the ductus arteriosus* - A **patent ductus arteriosus (PDA)** produces a **continuous, machine-like murmur** that is typically heard best at the left upper sternal border. - The murmur described in the patient is a **midsystolic ejection murmur**, which is distinct from the continuous murmur of a PDA.
Explanation: ***Anterior movement of ventricular septum during systole*** - The clinical presentation of poor feeding, easy fatigability, tachypnea, and a **holosystolic murmur at the left lower sternal border** strongly suggests a **ventricular septal defect (VSD)**. - In VSD with a **significant left-to-right shunt**, increased blood flow into the right ventricle causes **right ventricular volume overload**. - This RV volume overload can lead to **paradoxical septal motion**, where the interventricular septum moves **anteriorly (toward the RV) during systole** instead of the normal posterior motion. - This occurs due to altered pressure-volume relationships and is seen in conditions causing RV volume overload including large VSDs, though the most characteristic echo finding would be direct visualization of the defect itself with LV dilation. *Goose-neck deformity of left ventricular outflow tract* - This finding is characteristic of **atrioventricular canal defects (endocardial cushion defects)**, where there is elongation and narrowing of the left ventricular outflow tract. - While AV canal defects can present with heart failure, the holosystolic murmur in this case is most consistent with **isolated VSD** at the left lower sternal border, not the typical findings of AV canal defects. *Increased left ventricular shortening fraction* - Increased LV shortening fraction indicates **hyperdynamic left ventricular function**, typically seen in high-output states or early compensatory phases. - While the LV in VSD may initially have preserved or even increased contractility, this is **not a characteristic echocardiographic finding** used to diagnose VSD; the primary findings are chamber dilation and direct visualization of the defect. *Displacement of tricuspid valve leaflets inferiorly into right ventricle* - This describes **Ebstein's anomaly**, where the tricuspid valve leaflets are abnormally attached within the RV cavity rather than at the annulus. - Ebstein's anomaly presents with **cyanosis, arrhythmias**, and a different murmur pattern (tricuspid regurgitation), not the typical holosystolic murmur at the LLSB seen in VSD. *Decreased right ventricular end-diastolic dimension* - Decreased RV size suggests **RV hypoplasia** or severe obstruction (e.g., pulmonary atresia, critical pulmonary stenosis). - In VSD with left-to-right shunt, the right ventricle receives **increased volume**, leading to RV dilation and **increased (not decreased)** RV end-diastolic dimension over time.
Explanation: ***Congenital agenesis of an endocrine gland in the anterior neck*** - This description is highly suggestive of **congenital hypothyroidism**, caused by **thyroid dysgenesis** (agenesis or hypoplasia of the thyroid gland). - Symptoms include **lethargy**, **macroglossia** (large protruding tongue), **hypotonia**, **feeding difficulties**, **umbilical hernia**, and **hypothermia**, all consistent with the clinical picture. *Autosomal dominant mutation in the SERPING1 gene* - A mutation in the **SERPING1 gene** causes **hereditary angioedema**, characterized by recurrent episodes of unpredictable swelling in various body parts. - While swelling can affect the tongue, it is typically episodic, painful, and often triggered, which is not suggested by the chronic lethargy and physical signs described. *Genetic imprinting disorder affecting chromosome 11p15.5* - This describes **Beckwith-Wiedemann syndrome**, an overgrowth disorder caused by imprinting defects involving genes like **IGF2**, **H19**, and **CDKN1C** on chromosome 11p15.5. - Features include **macroglossia**, **macrosomia**, **umbilical hernia**, **hemihyperplasia**, and increased risk of embryonal tumors like **Wilms tumor**. - However, Beckwith-Wiedemann syndrome does not typically present with profound **lethargy** and **hypothermia** as seen in congenital hypothyroidism. *Type I hypersensitivity reaction* - A **Type I hypersensitivity reaction** (e.g., anaphylaxis) could cause acute **angioedema** of the tongue, but this would be an acute, rapidly progressing, and life-threatening event. - The infant's description of being "in no apparent distress" and exhibiting chronic signs like lethargy and hypothermia makes an acute allergic reaction unlikely. *Excess growth hormone secondary to pituitary gland tumor* - **Excess growth hormone** (gigantism in children, acromegaly in adults) can cause **macroglossia** and coarse facial features in the long term. - However, it does not explain the associated **lethargia**, **hypothermia**, and profound developmental delay seen in congenital hypothyroidism in an infant.
Explanation: ***Trisomy 21*** - The neonate's symptoms of **polyhydramnios** prenatally, followed by **bilious vomiting** and the **double-bubble sign** on abdominal X-ray (seen as dilated stomach and duodenum representing a duodenal atresia), are classic presentations of **duodenal atresia**. - **Duodenal atresia** is strongly associated with **Trisomy 21 (Down Syndrome)**, with approximately 30% of infants with duodenal atresia also having Down Syndrome. *47 XXY* - This karyotype corresponds to **Klinefelter syndrome**, which is characterized by **male hypogonadism**, infertility, and often tall stature. - It is not typically associated with congenital gastrointestinal malformations like duodenal atresia or the symptoms described. *45 XO* - This karyotype refers to **Turner syndrome**, which affects females and is characterized by **short stature**, **gonadal dysgenesis**, and various congenital anomalies including cardiac and renal defects. - It is not commonly associated with duodenal atresia or the clinical findings in this neonate, particularly not the bilious vomiting and specific X-ray finding. *Trisomy 13* - Also known as **Patau syndrome**, Trisomy 13 is a severe chromosomal disorder associated with **midline defects** (e.g., cleft lip/palate, holoprosencephaly), **polydactyly**, and severe intellectual disability. - While it has multiple organ system involvement, **duodenal atresia** is not a characteristic feature, and the overall clinical picture does not align with Patau syndrome. *Trisomy 18* - Also known as **Edwards syndrome**, Trisomy 18 is characterized by severe developmental delays, **growth restriction**, **rocker-bottom feet**, and characteristic facial features. - While it can involve multiple congenital anomalies, **duodenal atresia** is a less common association compared to its strong link with Trisomy 21, and the overall presentation is more consistent with Down Syndrome.
Explanation: ***Abdominal ultrasound; elongated pyloric channel and muscle hypertrophy*** - The clinical picture of **projectile vomiting** in a 4-week-old infant, **eagerness to feed** ("hungry vomiter"), and **palpable olive-shaped mass** in the right upper quadrant is classic for **pyloric stenosis**. - **Abdominal ultrasonography** is the gold standard for diagnosis, revealing an **elongated pyloric channel** (>16mm) and thickened pyloric muscle (>3-4mm). - Pyloric stenosis typically presents between 3-6 weeks of age with progressive non-bilious vomiting. *Barium upper GI series; GE junction and portion of the stomach in thorax* - A **barium upper GI series** showing the **GE junction and stomach in the thorax** would indicate a **hiatal hernia**, which is not consistent with the palpable mass or "hungry vomiter" presentation. - While hiatal hernias can cause vomiting and reflux, they typically don't present with this specific type of projectile vomiting or a palpable abdominal mass. *Air enema; filling defect and coil spring sign* - An **air enema** showing a **filling defect** and **coil spring sign** is characteristic of **intussusception**, which usually presents with sudden onset of **crampy abdominal pain**, **currant jelly stools**, and a palpable mass in the right lower quadrant. - The clinical presentation does not fit intussusception, which typically occurs in older infants (6-36 months) and has a more acute presentation. *Barium upper GI series; bird beak sign and corkscrewing* - A **barium upper GI series** showing a **bird beak sign** and **corkscrewing** is pathognomonic for **midgut volvulus**, a surgical emergency. - While volvulus can cause bilious vomiting and abdominal distension, the presentation of non-bilious vomiting with a palpable pyloric mass is more typical of pyloric stenosis. *Abdominal X-ray; 'double bubble' sign* - An **abdominal X-ray** revealing a **'double bubble' sign** is indicative of **duodenal atresia** or **annular pancreas**, leading to complete duodenal obstruction. - This condition typically presents with **bilious vomiting** shortly after birth (within first day of life) and does not involve a palpable hypertrophied pylorus.
Explanation: ***Activates 1-alpha-hydroxylase*** - This patient presents with **hypocalcemia** (Ca2+ 7.9 mg/dL), **cleft palate**, and characteristic facial dysmorphism (**periorbital fullness, hypoplastic nares, small dysmorphic ears**), along with seizures. These features are classic for **DiGeorge syndrome**, which involves **thymic and parathyroid aplasia/hypoplasia**. - The deficiency in **parathyroid hormone (PTH)**, due to parathyroid hypoplasia, impairs the activation of **1-alpha-hydroxylase** in the kidneys. This enzyme is crucial for converting **25-hydroxyvitamin D** to its active form, **1,25-dihydroxyvitamin D (calcitriol)**, which is essential for calcium absorption and regulation. *Inhibits 25-hydroxylase* - **25-hydroxylase** is responsible for the initial hydroxylation of vitamin D in the liver, forming **25-hydroxyvitamin D**. This enzyme's activity is not directly inhibited by PTH or a lack thereof. - The patient's condition primarily involves a disruption in the later steps of vitamin D activation and calcium regulation due to parathyroid dysfunction, not inhibition of early hydroxylation. *Activates 25-hydroxylase* - **25-hydroxylase**, involved in the first step of vitamin D activation in the liver, is not activated by parathyroid hormone. Its activity is largely dependent on substrate availability. - The primary hormonal regulation of vitamin D activation occurs at the **1-alpha-hydroxylase** step in the kidneys, which is precisely where PTH exerts its influence. *Activates 24-hydroxylase* - **24-hydroxylase** is an enzyme that inactivates **1,25-dihydroxyvitamin D** by converting it to 1,24,25-trihydroxyvitamin D, or inactivates 25-hydroxyvitamin D to 24,25-dihydroxyvitamin D. This enzyme is typically *induced* by high levels of 1,25-dihydroxyvitamin D and is not activated by PTH. - Its activation would lead to further reduction in active vitamin D and calcium levels, but it is not the primary mechanism by which PTH deficiency causes hypocalcemia. *Inhibits 1-alpha-hydroxylase* - **Parathyroid hormone (PTH)** *activates* **1-alpha-hydroxylase**, leading to increased production of active vitamin D and higher serum calcium. - A deficiency in PTH (as seen in DiGeorge syndrome) therefore leads to *decreased* activation of 1-alpha-hydroxylase, not an inhibition.
Explanation: **Conjunctival telangiectasias** - The constellation of symptoms including **clumsiness**, **ataxia** (difficulty walking, unstable gait), recurrent **sinusitis** and **pneumonia** (immunodeficiency), **hyperpigmented skin patches**, **decreased IgA and IgG**, and **increased alpha-fetoprotein** is highly indicative of **ataxia-telangiectasia**. - **Telangiectasias** are a hallmark feature of this disease, progressively appearing in the **conjunctiva**, skin, and other areas, usually between the ages of 3 to 6 years, explaining why they are the most likely complication to develop in the next 5 years. *Chronic lymphocytic leukemia* - While patients with ataxia-telangiectasia have an increased risk of malignancy, particularly **lymphomas** and **leukemias**, chronic lymphocytic leukemia is typically a disease of older adults and less common in childhood compared to other lymphoid malignancies. - The most common hematologic malignancies in ataxia-telangiectasia are acute lymphoblastic leukemia and non-Hodgkin lymphoma, not chronic lymphocytic leukemia. *Pes cavus* - **Pes cavus** (high arch foot) is a foot deformity that can be associated with various neurological conditions, but it is not a direct or defining feature of ataxia-telangiectasia. - The neurological manifestations in ataxia-telangiectasia primarily involve progressive cerebellar ataxia. *Cardiac rhabdomyoma* - **Cardiac rhabdomyomas** are benign tumors of the heart and are most commonly associated with **tuberous sclerosis complex**, not ataxia-telangiectasia. - There is no direct link between ataxia-telangiectasia and the development of cardiac rhabdomyomas. *Chronic eczema* - While patients with immunodeficiencies, including ataxia-telangiectasia, can have increased susceptibility to skin infections or inflammatory conditions due to impaired immune function, **chronic eczema** is not a specific or hallmark complication of ataxia-telangiectasia. - The skin manifestations of ataxia-telangiectasia are more typically related to telangiectasias and hyperpigmentation rather than widespread eczema.
Explanation: ***Webbed neck*** - The combination of **hypertension** with **unpalpable pedal pulses** and a **systolic click** in a pediatric patient strongly suggests **coarctation of the aorta**. - **Webbed neck** (or **pterygium colli**) is a classic phenotypic feature associated with **Turner syndrome**, which frequently co-occurs with coarctation of the aorta. *Long philtrum* - A **long philtrum** is a craniofacial feature sometimes associated with certain genetic syndromes like **fetal alcohol syndrome** or **Marfan syndrome**, but it is not specifically linked to coarctation of the aorta or Turner syndrome. - While these syndromes can have cardiovascular manifestations, a long philtrum does not directly point to the specific findings presented. *Prominent occiput* - A **prominent occiput** is a non-specific finding that can be seen in various conditions, including some **chromosomal abnormalities** or **skeletal dysplasias**. - It is not a characteristic feature of **Turner syndrome** or **coarctation of the aorta**. *Cleft palate* - **Cleft palate** is a birth defect affecting the roof of the mouth, often associated with a wide range of genetic or environmental factors. - While patients with cleft palate can have associated congenital heart defects, it is not a direct or common association with **Turner syndrome** or **coarctation of the aorta**. *Single palmar crease* - A **single palmar crease** (simian crease) is a dermatoglyphic feature often associated with **Down syndrome** (Trisomy 21). - While Down syndrome is associated with various congenital heart defects (e.g., AV septal defect), it is not typically associated with **coarctation of the aorta** or **Turner syndrome**.
Explanation: ***Congenital toxoplasmosis*** - The constellation of **hydrocephalus** (ventricular dilatation, large head circumference), **intracranial calcifications** (hyperechoic foci), and **chorioretinitis/uveitis** is pathognomonic for congenital toxoplasmosis. - Other supporting features include **seizures**, **icterus**, **purpura** (thrombocytopenia), and **growth restriction** (weight and length at 5th percentile). *Congenital rubella infection* - Characterized by a triad of **cataracts**, **sensorineural hearing loss** (failed auditory screening), and **patent ductus arteriosus** or other cardiac defects. - While rubella can cause microcephaly and purpura, the classic ocular finding is cataracts, not uveitis, and intracranial calcifications are not typical. *Congenital parvovirus infection* - Primarily causes **fetal hydrops**, **severe anemia**, and **myocarditis** due to its tropism for erythroid progenitor cells. - It is not associated with intracranial calcifications, uveitis, or hydrocephalus as seen in this case. *Congenital varicella infection* - Typically results in **skin scarring** (zigzag pattern), **limb hypoplasia**, **chorioretinitis**, and **neurological defects** such as cortical atrophy, but not significant hydrocephalus or extensive calcifications. - The absence of characteristic skin scarring and the presence of hydrocephalus and extensive calcifications make this diagnosis less likely. *Congenital syphilis infection* - Can present with varied symptoms, including **hepatosplenomegaly**, **bone abnormalities** (e.g., periostitis), **blueberry muffin rash** (due to dermal erythropoiesis), and **snuffles**. - While it can cause neurological symptoms, the classic triad of hydrocephalus, intracranial calcifications, and chorioretinitis is not typical for congenital syphilis.
Explanation: ***Obtain upper endoscopy*** - An **upper endoscopy** is crucial in evaluating the extent of injury to the **esophagus and stomach** after caustic ingestion. - This procedure helps in grading the severity of the burn, determining appropriate management, and predicting long-term complications such as **stricture formation**. *Administer activated charcoal* - **Activated charcoal** is ineffective in binding **caustic agents** such as acids or alkalis. - Furthermore, its administration could obscure endoscopic visualization and potentially lead to **aspiration**, which is already a concern in this patient. *Dilute the ingested agent* - While dilution might seem intuitive, it can be harmful as it may induce **vomiting**, leading to re-exposure of the esophagus to the caustic agent. - Dilution can also generate heat, potentially worsening the **thermal injury**. *Perform gastric lavage* - **Gastric lavage** is contraindicated in cases of caustic ingestion due to the risk of **perforation** of already damaged tissues. - It could also induce vomiting and re-expose the esophagus to the caustic substance, increasing the risk of aspiration. *Obtain barium upper gastrointestinal series* - A **barium swallow** is not recommended in the acute phase of caustic ingestion due to the risk of **barium extravasation** if there is a perforation. - It is typically reserved for later evaluation of potential **strictures** once the acute injury has resolved.
Explanation: ***Double aortic arch*** - A **double aortic arch** forms a complete vascular ring around the trachea and esophagus, causing symptoms that worsen with feeding and neck flexion due to increased pressure on these structures. - The characteristic relief with neck extension and symptoms like stridor, wheezing, and vomiting after feeding are classic signs of airway and esophageal compression by a **vascular ring**. *Laryngomalacia* - This condition involves the **collapse of supraglottic structures** during inspiration, typically causing inspiratory stridor, which is often louder when supine or agitated. - While symptoms can worsen with feeding and crying, the hallmark relief with neck extension and vomiting after feeding due to esophageal compression are not typical features. *Congenital subglottic stenosis* - This involves a **narrowing of the airway** below the vocal cords, leading to inspiratory and expiratory stridor, and often biphasic stridor. - The symptoms are usually persistent and are not characteristically relieved by neck extension or exacerbated by feeding and crying in such a distinct manner. *Gastroesophageal reflux disease* - While GERD can cause recurrent vomiting, cough, and even wheezing due to aspiration, it typically does not present with stridor. - The clear correlation of worsening with neck flexion and relief with neck extension strongly points away from isolated GERD as the primary cause. *Recurrent viral wheeze* - This common condition in infants involves episodes of wheezing that are often triggered by **viral respiratory infections**. - It usually lacks the specific exacerbating and relieving factors related to neck position and feeding, such as relief with neck extension and concurrent vomiting after feeding.
Explanation: ***Defect of the membranous interventricular septum*** - A **holosystolic, harsh murmur** is characteristic of a **ventricular septal defect (VSD)**, particularly one in the membranous septum due to its common occurrence and typical presentation. - The patient's lack of cyanosis or heart failure, despite the persistent murmur since birth, suggests a small to moderate VSD, which can often remain asymptomatic and sometimes close spontaneously. *Patent foramen ovale* - A **patent foramen ovale (PFO)** typically produces no murmur or a soft systolic ejection murmur, not a harsh holosystolic murmur. - PFOs are usually asymptomatic unless there's a significant pressure difference causing a right-to-left shunt, which is not indicated here. *Failure of endocardial cushion to form* - Failure of the **endocardial cushions** to form leads to **atrioventricular septal defects (AVSDs)**, which typically present with a combination of murmurs (systolic and sometimes diastolic) and often with symptoms of heart failure and recurrent respiratory infections. - AVSDs are usually associated with **Down syndrome** and present with more severe clinical features than described. *Defect of muscular interventricular septum* - While a **muscular VSD** can cause a holosystolic murmur, it often has a **rougher, "swiss cheese" appearance** on imaging due to multiple defects and is less common than membranous VSDs. - Small muscular VSDs are more prone to spontaneous closure and may have a different murmur intensity or location. *Defective dynein functioning* - **Defective dynein functioning** causes conditions like **Kartagener syndrome** (a type of primary ciliary dyskinesia), characterized by **situs inversus**, chronic sinusitis, bronchiectasis, and infertility. - This condition does not directly cause an isolated holosystolic heart murmur or structural heart defects like a VSD.
Explanation: ***Esophageal atresia*** - The triad of **cyanosis**, **foaming at the mouth** (due to inability to swallow saliva), and **intractable coughing** strongly suggests esophageal atresia, especially given the history of polyhydramnios (amniotic fluid index of 26) which often accompanies this condition. - The inability of the newborn to clear secretions due to the blind-ending esophagus leads to aspiration and respiratory distress. *Pulmonary hypoplasia* - This condition is characterized by underdeveloped lungs and would present with severe respiratory distress, but typically without the prominent signs of **excessive oral secretions** and **foaming at the mouth**. - Pulmonary hypoplasia is often associated with conditions causing oligohydramnios (e.g., renal agenesis), whereas this case presents with polyhydramnios. *Defective swallowing reflex* - While a defective swallowing reflex could lead to aspiration, it usually wouldn't cause the rapid accumulation of **foaming at the mouth** and intractable coughing to the degree seen with a complete esophageal obstruction. - This is a more generalized neurological issue, whereas esophageal atresia is a structural malformation. *Esophageal stricture* - An esophageal stricture would cause difficulty swallowing (dysphagia), but typically allows some passage of liquids and wouldn't present with immediate, complete inability to swallow saliva and copious **foaming at the mouth** from birth. - Strictures are more commonly acquired (e.g., from reflux or injury) rather than presenting congenitally with such acute and severe symptoms. *Achalasia* - Achalasia is a motility disorder of the esophagus characterized by impaired relaxation of the lower esophageal sphincter and absence of peristalsis; it is extremely rare in neonates. - Symptoms like **dysphagia** and **regurgitation** typically develop gradually and are less likely to cause the acute, severe respiratory distress and foaming at the mouth seen immediately after birth in this case.
Explanation: ***Neonatal ingestion of formula with high phosphate load*** - The newborn's symptoms, including **twitching, lip smacking, rapid breathing, poor feeding, irritability, jitteriness**, and intermittent spasms, are classic signs of **neonatal hypocalcemia with seizures**. - The lab results confirm **hypocalcemia (serum calcium 6 mg/dL)** with **elevated parathyroid hormone (PTH 150 pg/mL)**, indicating **secondary hyperparathyroidism** caused by high phosphate intake. - High-phosphate formulas (especially cow's milk-based formulas) can cause hyperphosphatemia, which binds calcium and stimulates PTH release, leading to this clinical picture. - The **tachycardia (pulse 230/min)** can occur as a compensatory response to metabolic stress and seizure activity in neonates with severe hypocalcemia. *Neonatal hypoglycemia* - While hypoglycemia can cause seizures and irritability, it typically presents with **blood glucose <40 mg/dL** and would not explain the specific calcium and PTH abnormalities seen. - The laboratory findings clearly point to a calcium-related disorder, not glucose dysregulation. *Increased neonatal thyroid hormone secretion* - **Neonatal hyperthyroidism** can present with **tachycardia, irritability, poor weight gain, and tremors**, which might seem to fit this case. - However, neonatal thyrotoxicosis typically causes **hypercalcemia** (from increased bone turnover), not hypocalcemia, making this an unlikely diagnosis. - Additionally, hyperthyroidism would not explain the markedly elevated PTH seen in this patient. *Maternal opioid abuse during pregnancy* - **Neonatal abstinence syndrome (NAS)** from maternal opioid abuse causes irritability, tremors, and poor feeding but typically includes specific signs like **nasal stuffiness, sneezing, yawning, high-pitched cry, and diarrhea**. - NAS would not directly lead to hypocalcemia with elevated PTH, and there is no mention of maternal substance use history. *Maternal familial hypocalciuric hypercalcemia* - When a mother has **familial hypocalciuric hypercalcemia (FHH)**, she has mild chronic hypercalcemia. - The fetus is exposed to elevated maternal calcium in utero, which **suppresses fetal parathyroid gland development**. - After birth, this results in **neonatal hypocalcemia with LOW or inappropriately normal PTH** (transient hypoparathyroidism), not the elevated PTH seen in this patient. - The markedly elevated PTH (150 pg/mL) effectively rules out this diagnosis.
Explanation: ***Cardiac defect*** - The presentation of a **sac-like structure containing intestine protruding from the abdominal wall** (suggesting an **omphalocele**) along with **microcephaly** (small head), **micrognathia** (small jaw), and **low birth weight** are classic features of **Patau syndrome (Trisomy 13)** or **Edwards syndrome (Trisomy 18)**. - These chromosomal abnormalities are strongly associated with various significant anomalies, including severe **cardiac defects** (e.g., ventricular septal defects, patent ductus arteriosus, atrial septal defects), which occur in **>80% of cases**. - **Omphalocele** itself is associated with cardiac anomalies in approximately **30-50% of cases**, making cardiac defects the most closely associated complication. *Lack of abdominal wall muscles* - This description is more indicative of **prune belly syndrome (Eagle-Barrett syndrome)**, characterized by absence or deficiency of abdominal wall musculature. - With **gastroschisis**, there is also an abdominal wall defect, but the defect is typically lateral to the umbilicus and there is no protective sac covering the bowel. *Dehydration and necrosis of bowel* - This complication is more characteristic of **gastroschisis** due to the direct exposure of the unprotected bowel to amniotic fluid, leading to inflammation, thickening, and potential vascular compromise. - In an **omphalocele**, the bowel is protected by a sac (containing peritoneum and amnion), significantly reducing the immediate risk of dehydration and necrosis unless the sac ruptures. *Duodenal atresia* - **Duodenal atresia** is strongly associated with **Down syndrome (Trisomy 21)**, characterized by a "double bubble" sign on imaging. - While omphalocele can occasionally occur with Trisomy 21, the constellation of findings in this case (microcephaly, micrognathia, low birth weight) is more consistent with Trisomy 13 or 18 rather than Trisomy 21. *Twisting of the bowel around itself* - **Volvulus** refers to the twisting of a loop of intestine around its mesentery, which can lead to bowel obstruction and ischemia. - While volvulus can occur with intestinal malrotation (which may be present with omphalocele), it is not the most closely associated **congenital** complication of the chromosomal syndrome suggested by this clinical presentation.
Explanation: **Holosystolic murmur** - The child exhibits classic features of **fetal alcohol syndrome** (FAS), including the distinctive facial anomalies (low set nasal bridge, smooth philtrum, small lower jaw) and developmental/behavioral issues (trouble focusing, acting out). - Up to 50% of children with FAS develop **congenital heart defects**, with **ventricular septal defects (VSDs)** being the most common, which are characterized by a **holosystolic murmur** at the lower left sternal border. *Cataracts* - **Cataracts** are not a typical feature of fetal alcohol syndrome but are often associated with congenital infections such as **rubella** or **cytomegalovirus**. - While some genetic syndromes can include cataracts, they are not a primary finding for the constellation of symptoms observed here. *Congenital deafness* - **Congenital deafness** is not a hallmark of fetal alcohol syndrome; rather, it is commonly associated with congenital infections like **rubella**, **CMV**, or genetic syndromes such as **CHARGE syndrome**. - Children with FAS may have hearing problems due to recurrent ear infections, but not typically congenital deafness. *Limb hypoplasia* - **Limb hypoplasia** is typically seen in conditions like **thalidomide embryopathy** or certain genetic syndromes, such as **Roberts syndrome**. - While growth restriction is common in FAS, significant limb hypoplasia as described is not a characteristic feature. *Wide notched teeth* - **Wide notched teeth**, also known as **Hutchinson teeth**, are pathognomonic for **congenital syphilis**. - This finding is unrelated to fetal alcohol syndrome, and the patient's other symptoms do not suggest congenital syphilis.
Explanation: ***Boot-shaped heart*** - The patient's presentation with **cyanosis**, **squatting spells**, and a **systolic ejection murmur** is classic for **Tetralogy of Fallot** (TOF). - A **boot-shaped heart** (Coeur en sabot) on chest X-ray is a characteristic finding in TOF, caused by **right ventricular hypertrophy** and an upturned cardiac apex, leading to a concave pulmonary artery segment. *Egg on a string* - This CXR finding is characteristic of **Transposition of the Great Arteries (TGA)**, where the aorta and pulmonary artery are switched, creating an "egg" outline with a narrow vascular pedicle ("string"). - TGA typically presents with severe **cyanosis** from birth and does not usually involve squatting spells or a loud systolic murmur from a prominent **right ventricular outflow tract obstruction**. *Increased pulmonary vascular markings* - This finding is common in conditions with **left-to-right shunting** or **increased pulmonary blood flow**, such as a **ventricular septal defect (VSD)** or **patent ductus arteriosus (PDA)**. - In Tetralogy of Fallot, there is typically **decreased pulmonary blood flow** due to **pulmonic stenosis**, leading to *decreased* pulmonary vascular markings. *Cardiomegaly with globular heart* - A **globular heart** is a non-specific finding often associated with **pericardial effusion** or **dilated cardiomyopathy**, where the heart appears enlarged and rounded. - While TOF can cause cardiomegaly (specifically **right ventricular hypertrophy**), the characteristic shape is "boot-shaped," not globally enlarged or globular. *Figure-3 sign* - The **figure-3 sign** on CXR is pathognomonic for **aortic coarctation**, caused by indentation of the aorta at the coarctation site and post-stenotic dilation. - This condition presents with signs of **heart failure**, **differential cyanosis** (if preductal), and **blood pressure discrepancies** between upper and lower extremities, not the cyanotic spells and squatting seen in this case.
Explanation: ***Digital clubbing*** - The presence of a **holosystolic murmur** at the left lower sternal border and a **diastolic rumble** at the apex, along with recurrent respiratory infections and poor growth, strongly suggests a significant **ventricular septal defect (VSD)** with subsequent pulmonary hypertension and eventual Eisenmenger syndrome. - **Clubbing** is a common manifestation of chronic hypoxemia, which occurs as shunt reversal develops in Eisenmenger syndrome due to severe pulmonary hypertension. *Thrombocytosis* - While some congenital heart defects can be associated with hematological changes, **thrombocytosis** is not a characteristic long-term complication of untreated VSD or Eisenmenger syndrome. - Instead, **polycythemia** (increased red blood cell count) is more likely due to chronic hypoxemia. *Secondary hypertension* - **Pulmonary hypertension** is a direct complication of a large, untreated VSD, but systemic **secondary hypertension** is not a typical consequence of this condition. - The primary issue is increased pressure in the pulmonary circulation, not systemic blood pressure dysregulation. *Aortic dissection* - **Aortic dissection** is primarily associated with conditions like uncontrolled **systemic hypertension**, Marfan syndrome, or Ehlers-Danlos syndrome. - It is not a direct or likely complication of an untreated large VSD or the resulting pulmonary hypertension. *Chronic kidney disease* - While long-standing cyanotic heart disease can sometimes lead to organ dysfunction, **chronic kidney disease** is not a primary or direct long-term complication of an untreated VSD or Eisenmenger syndrome. - Kidney issues in cardiac disease are typically related to severe heart failure or specific syndromes like cardiorenal syndrome, which are not the most prominent features here.
Explanation: ***Atrial septal defect*** - A **fixed split S2** is a hallmark physical finding, caused by delayed pulmonic valve closure due to increased right ventricular volume. - The symptoms of **rapid breathing**, **hepatomegaly**, **edema**, and **failure to thrive** are consistent with chronic volume overload on the right side of the heart, leading to pulmonary hypertension and eventual right-sided heart failure. *Liver failure* - While **hepatomegaly** and **edema** can occur in liver failure, the accompanying **fixed split S2** points primarily to a cardiac etiology. - Absence of jaundice, coagulopathy, or significant encephalopathy makes primary liver failure less likely. *Endocardial cushion syndrome* - This condition involves defects in the **atrial septum**, **ventricular septum**, and **AV valves**, leading to more severe and earlier onset heart failure symptoms, often with a different murmur profile. - It would typically present with a **loud systolic murmur** due to mitral or tricuspid regurgitation, or a Holosystolic murmur due to a VSD, which is not mentioned here. *Transposition of the great vessels* - This is a **cyanotic heart defect** presenting with profound cyanosis shortly after birth, which is not described in this 3-year-old child. - The clinical presentation with a **fixed split S2** and signs of chronic heart failure is not typical for an uncorrected transposition. *Patent foramen ovale* - A **patent foramen ovale (PFO)** is typically asymptomatic and usually doesn't cause significant shunting or symptoms like heart failure unless there are conditions leading to right-to-left shunting. - It does not typically present with a **fixed split S2** or the other widespread signs of chronic cardiac compromise seen in this patient.
Explanation: ***Atrial septal defect*** - An **atrial septal defect (ASD)** typically presents in older children or adults with symptoms like **fatigue** and **shortness of breath on exertion (dyspnea)** due to increased pulmonary blood flow, after years of being asymptomatic. - The absence of cyanosis and normal pulses are consistent with an ASD, as it's typically an **acyanotic heart defect** where shunting occurs from left to right. *Double-outlet right ventricle with subaortic ventricular septal defect* - This condition involves both great arteries originating from the **right ventricle**, often leading to **cyanosis** from birth or early infancy due to mixing of oxygenated and deoxygenated blood. - Patients typically present much earlier with signs of **heart failure**, **cyanosis**, and **failure to thrive**, which are not reported in this 7-year-old boy. *Coarctation of the aorta* - **Coarctation of the aorta** is characterized by a **narrowing of the aorta**, leading to a classic finding of **radio-femoral delay** and **different blood pressures in the upper and lower extremities**, which are specifically stated to be absent in this patient. - While it can cause shortness of breath and fatigue, the lack of radio-femoral delay makes this diagnosis unlikely. *Aortopulmonary window defect* - An **aortopulmonary window (APW)** is a rare defect involving a communication between the aorta and pulmonary artery, usually presenting in **infancy** with severe symptoms of **heart failure** and **pulmonary hypertension** due to a large left-to-right shunt. - This patient's presentation at 7 years of age without early severe symptoms makes APW less likely. *Complete atrioventricular septal defect* - A **complete atrioventricular septal defect (AVSD)** involves a defect in both the atrial and ventricular septa and a common AV valve, usually causing **severe symptoms of heart failure** and **pulmonary hypertension in infancy**. - It is also strongly associated with **Down syndrome**, which is not mentioned, and severe symptoms would have presented much earlier than age 7.
Explanation: ***Polydactyly*** - The constellation of findings, including **growth restriction**, **cleft lip**, **holosystolic murmur** (suggesting a VSD), **omphalocele**, **microcephaly** (3rd percentile), and severe brain abnormalities like a **single ventricle** and **fused basal ganglia**, is highly indicative of **trisomy 13 (Patau syndrome)**. - **Polydactyly** (extra fingers or toes) is a very common and characteristic skeletal anomaly seen in infants with trisomy 13. *Single palmar crease* - A **single palmar crease** (simian crease) is a common finding in **Down syndrome (Trisomy 21)**, which presents with a different phenotype. - While it can occasionally be seen in other conditions, it is not a primary or characteristic feature of Patau syndrome. *Hypoplastic philtrum* - A **hypoplastic philtrum** (thin upper lip and smooth philtrum) is a hallmark feature of **fetal alcohol syndrome**. - This patient's presentation does not align with the typical features of fetal alcohol syndrome. *Overlapping fingers* - **Overlapping fingers** (camptodactyly or syndactyly with overlapping) are a characteristic feature of **Edwards syndrome (Trisomy 18)**. - Edwards syndrome has distinct features like rocker-bottom feet, prominent occiput, and micrognathia, which differ from this patient's findings. *Webbed neck* - A **webbed neck** is a classic phenotypic feature associated with **Turner syndrome (XO)** and sometimes seen in Noonan syndrome. - This patient's findings, particularly the severe brain malformations and omphalocele, are not characteristic of Turner syndrome.
Explanation: **Right ventricular outflow obstruction** - This clinical scenario describes a **cyanotic heart defect**, most likely **Tetralogy of Fallot**, given the cyanosis, exertion intolerance, and murmur at the left upper sternal border with a single S2. - The severity of **right ventricular outflow tract obstruction (RVOTO)** directly dictates the amount of right-to-left shunting across a ventricular septal defect, which in turn determines the degree of **cyanosis**. - More severe RVOTO → greater resistance to pulmonary blood flow → more deoxygenated blood shunted right-to-left through the VSD → worse cyanosis. *Left ventricular outflow obstruction* - **Left ventricular outflow obstruction** typically causes symptoms related to **heart failure** or **syncope** due to reduced systemic blood flow, rather than cyanosis. - Examples include **aortic stenosis** or **coarctation of the aorta**, which do not present with significant cyanosis as a primary symptom. *Atrial septal defect* - An **atrial septal defect (ASD)** usually presents as a **left-to-right shunt**, leading to **acyanotic heart disease** and often symptoms of pulmonary overload. - Cyanosis in an ASD only occurs if there is **pulmonary hypertension** leading to shunt reversal (Eisenmenger syndrome), which is unlikely in a 2-week-old. *Right ventricular hypertrophy* - **Right ventricular hypertrophy** is a consequence of increased workload on the right ventricle, often due to **pulmonary hypertension** or **right ventricular outflow obstruction**. - While present in conditions causing cyanosis (like Tetralogy of Fallot), it is the *result* of the outflow obstruction, not the primary determinant of cyanosis severity itself. *Ventricular septal defect* - A **ventricular septal defect (VSD)** alone typically causes a **left-to-right shunt**, leading to **acyanotic heart disease** and symptoms of pulmonary overcirculation. - In Tetralogy of Fallot, a VSD is present, but it's the **pulmonary stenosis (RVOTO)** that forces deoxygenated blood through the VSD into the systemic circulation, causing cyanosis.
Explanation: ***Duodenal atresia*** - The constellation of **bilious vomiting**, **feeding intolerance**, specific dysmorphic features like **epicanthus**, **upward slanting of eyelids**, **low-set ears**, and a **single transverse palmar crease** strongly suggests **Down syndrome (Trisomy 21)**. Duodenal atresia is highly associated with Down syndrome. - The abdominal x-ray findings of a **distended stomach** and **distended duodenum** with a lack of gas distally (the **"double bubble" sign**) are pathognomonic for duodenal atresia. *Hirschsprung's disease* - While Hirschsprung's disease can cause **feeding intolerance** and **bilious vomiting**, it typically presents with **delayed passage of meconium** and a history of **constipation**. - The classic radiographic sign is a **dilated proximal bowel** transitioning to a **narrowed aganglionic segment**, not the "double bubble" sign. *Necrotizing enterocolitis* - This condition usually affects **premature infants** and presents with abdominal distension, feeding intolerance, and **bloody stools**, with potential for sepsis. - Radiographic findings include **pneumatosis intestinalis** (air in the bowel wall) and portal venous gas; the "double bubble" sign is not characteristic. *Meconium ileus* - **Meconium ileus** is often associated with **cystic fibrosis** and presents with failure to pass meconium, abdominal distension, and bilious vomiting. - The x-ray would show **dilated loops of small bowel** with a ground-glass appearance, rather than the specific double bubble of duodenal atresia. *Hypertrophic pyloric stenosis* - This condition typically presents with **non-bilious projectile vomiting** around 3-6 weeks of age, not in the immediate neonatal period. - The classic palpable finding is an **"olive-shaped" mass** in the epigastrium; imaging would show thickening of the pyloric muscle, not diffuse duodenal dilatation.
Explanation: ***Increased R wave amplitude in V5-V6 on ECG*** - The patient's presentation with **difficulty walking**, **cold feet**, **absent pedal pulses**, **hypertension** (135/85 mm Hg), and a **systolic murmur in the left paravertebral region** strongly suggests **aortic coarctation**. - Coarctation causes **increased afterload** on the left ventricle, leading to **left ventricular hypertrophy (LVH)**. - LVH manifests on ECG as **increased R wave amplitude in V5-V6**, which would be expected in a 2-year-old with established coarctation and hypertension. - This is a **direct consequence** of the chronic pressure overload and would be detected on further cardiovascular evaluation. *Interarm difference in blood pressure* - The classic finding in coarctation is **upper-to-lower extremity blood pressure difference** (arm vs. leg), not interarm difference. - **Interarm BP differences** suggest subclavian artery involvement or aberrant anatomy, not typical coarctation. - The key finding is **elevated BP in arms** with **reduced or absent pulses in legs**. *Rib notching* - **Rib notching** is a classic radiographic finding in **chronic aortic coarctation** due to collateral vessel development through intercostal arteries. - However, it typically develops over **many years** and is rarely evident in a 2-year-old. - It would be more expected in older children or adults with longstanding untreated coarctation. *Right ventricular outflow obstruction* - **Right ventricular outflow obstruction** is characteristic of conditions like **tetralogy of Fallot** or **pulmonic stenosis**. - These present with **cyanosis** or **right-sided murmurs**, not the clinical picture of upper extremity hypertension with lower extremity hypoperfusion. *Low tissue oxygenation in the legs* - While coarctation causes **reduced blood flow** distal to the obstruction, this results in **decreased perfusion** rather than primary hypoxia. - This is too vague and not a specific diagnostic finding compared to the clear ECG evidence of LVH.
Explanation: ***Wilms tumor*** - The constellation of **macrosomia**, **omphalocele**, **macroglossia**, and **hemihypertrophy** in a child points to **Beckwith-Wiedemann syndrome (BWS)**. - Children with BWS have a significantly increased risk of developing childhood cancers, most notably **Wilms tumor** (nephroblastoma) and **hepatoblastoma**. *Sudden infant death syndrome* - While macrosomia can be associated with some complications, **SIDS** is not a primary or significantly increased risk for children with BWS past infancy. - SIDS is typically defined as the sudden, unexplained death of an infant younger than one year of age. *Scoliosis* - **Scoliosis** is a curvature of the spine that can occur in some genetic syndromes, but it is not a hallmark or particularly increased risk feature of BWS. - **Hemihypertrophy** in BWS can cause limb length discrepancies, which might indirectly lead to scoliosis, but it's not a direct cancer risk associated with the syndrome. *Alzheimer's disease* - **Alzheimer's disease** is a neurodegenerative disorder that primarily affects older adults and is not associated with childhood syndromes like BWS. - There is no known genetic link between BWS and an increased risk of early-onset or childhood Alzheimer's. *Diabetes mellitus* - While individuals with BWS can have issues with **hypoglycemia** in infancy due to **pancreatic islet cell hyperplasia**, they are not typically at an increased risk of developing **type 1 or type 2 diabetes mellitus** later in childhood. - The initial hypoglycemia usually resolves over time.
Explanation: ***Administration of alprostadil*** - The patient presents with **lower-extremity cyanosis**, **differential blood pressures** (higher in arms, lower in legs), **delayed and diminished femoral pulses**, and a **continuous murmur in the interscapular area**. These findings are highly characteristic of **severe coarctation of the aorta**, possibly with a **patent ductus arteriosus (PDA)**. - **Alprostadil** (prostaglandin E1) is crucial to maintain the **patency of the ductus arteriosus**, which provides an alternative route for blood flow to the lower body, improving systemic perfusion and reducing cyanosis until surgical correction can be performed. *Indomethacin* - **Indomethacin** is a prostaglandin inhibitor used to **close a PDA**, which would worsen the patient's condition by further reducing blood flow to the lower extremities in the setting of severe coarctation. - Giving indomethacin would be contraindicated as it would exacerbate the circulatory compromise and potential organ ischemia in the lower body. *Lower extremity Doppler* - While a **lower extremity Doppler** could assess perfusion, the clinical presentation with **differential blood pressures** and **delayed femoral pulses** already strongly suggests an obstructive lesion like coarctation. - The immediate priority is to stabilize the patient's circulation rather than further diagnostic imaging that might delay critical treatment. *Echocardiography* - **Echocardiography** is the definitive diagnostic tool for coarctation of the aorta. However, in an unstable neonate with clear clinical signs of severe coarctation and compromise, the **most appropriate NEXT step** is to initiate stabilizing treatment. - While echocardiography will confirm the diagnosis and delineate the anatomy, it should be performed *after* alprostadil administration to support systemic circulation. *Arteriogram* - An **arteriogram** is an invasive procedure not typically used as a first-line diagnostic or management step for coarctation in neonates due to potential risks. - Less invasive imaging like echocardiography is preferred for diagnosis, and immediate medical stabilization with alprostadil is the priority.
Explanation: ***Echocardiogram*** - The patient's symptoms (difficulty feeding, cyanosis, fatigue during feeding, crescendo-decrescendo murmur at the left upper sternal border) are highly suggestive of a **congenital heart defect**, specifically **Tetralogy of Fallot** given the cyanosis with crying. - An **echocardiogram** is the gold standard for diagnosing and characterizing congenital heart defects, providing detailed visualization of cardiac structures, blood flow abnormalities, and ventricular function. *Chest radiograph* - While a chest radiograph can show overall heart size and pulmonary vasculature, it does not provide the detailed anatomical and functional information needed to definitively diagnose a specific **complex congenital heart defect**. - For example, in **Tetralogy of Fallot**, it might show a **boot-shaped heart** but cannot visualize the ventricular septal defect, pulmonary stenosis, or overriding aorta as clearly as an echocardiogram. *Electrocardiogram* - An **ECG** can assess electrical activity of the heart and detect arrhythmias or ventricular hypertrophy (e.g., right ventricular hypertrophy in TOF). - However, it does not provide anatomical information, which is crucial for the initial diagnosis and characterization of **structural heart defects**. *Genetic testing* - Some congenital heart defects can be associated with **genetic syndromes** (e.g., DiGeorge syndrome with Tetralogy of Fallot). - Genetic testing may be considered *after* a cardiac diagnosis is established to investigate underlying syndromes, but it is not the initial diagnostic test for the cardiac condition itself. *CT angiography* - **CT angiography** provides excellent anatomical detail, especially for vascular structures and complex anatomy, and can be useful pre-operatively for surgical planning in some cases. - However, it involves **radiation exposure** and usually requires sedation in infants, making an **echocardiogram** (non-invasive, no radiation, readily available) the preferred initial diagnostic imaging modality for congenital heart disease.
Explanation: ***Coarctation of the aorta*** - The classic presentation includes **hypertension in the upper extremities** and **diminished or delayed femoral pulses** due to narrowing of the aorta. - A **systolic murmur heard over the left sternal border and back** is characteristic, often accompanied by an ejection click. *Takayasu arteritis* - This is a **large vessel vasculitis** that can cause pulse discrepancies and hypertension, but it typically affects **adolescent girls and young women** and presents with systemic inflammatory symptoms, which are absent here. - While it can affect the aorta, the specific murmur and discrete pulse findings are more indicative of a fixed, congenital obstruction. *Essential hypertension* - Although the patient has hypertension, **essential hypertension** in a 5-year-old is rare and less likely to cause differential pulses (strong radial, weak femoral) and a specific cardiac murmur. - A secondary cause, like coarctation, should be ruled out first in pediatric hypertension. *Interrupted aortic arch* - This is a more severe congenital heart defect where the **aortic arch is completely discontinuous**, leading to profound shock and heart failure usually in the neonatal period, making survival to age 5 without prior diagnosis highly unlikely. - It would present with much more severe symptoms than described. *Pheochromocytoma* - This is a **catecholamine-secreting tumor** that causes episodic or sustained hypertension, sweating, and palpitations. - It does not typically cause **differential pulses** or a **systolic murmur** pathognomonic for an obstructive lesion.
Explanation: ***Continuous systolic and diastolic murmur at left upper sternal border*** - The infant's presentation with **pink upper extremities and torso** and **cyanotic lower extremities** (differential cyanosis) is pathognomonic for **patent ductus arteriosus (PDA) with right-to-left shunting**. - This occurs when **pulmonary hypertension** (which can develop in premature infants) causes **reversal of flow** through the PDA, sending deoxygenated blood from the pulmonary artery into the **descending aorta** (post-ductal circulation). - The upper body receives oxygenated blood from the ascending aorta (pre-ductal), while the lower body receives deoxygenated blood through the PDA, creating the classic **differential cyanosis**. - A PDA produces a **continuous "machinery-like" murmur** (systolic and diastolic components) best heard at the **left upper sternal border** due to persistent flow between aorta and pulmonary artery. - This finding is especially common in **premature infants** due to delayed ductal closure. *Holosystolic murmur radiating to the axilla* - This murmur is characteristic of **mitral regurgitation**, heard best at the apex with radiation to the axilla. - Mitral regurgitation does not cause differential cyanosis and would not explain the post-ductal cyanosis pattern. *Holosystolic murmur radiating to the right sternal border* - This describes **tricuspid regurgitation**, which causes right-sided heart findings. - Tricuspid regurgitation does not produce differential cyanosis and typically presents with systemic venous congestion. *Early diastolic decrescendo murmur at the left sternal border* - This murmur is characteristic of **aortic regurgitation**, heard best at the left sternal border in early diastole. - Aortic regurgitation causes a wide pulse pressure and volume overload but does not explain the differential cyanosis pattern. *Rumbling noise in late diastole* - A low-pitched **diastolic rumble** suggests **mitral stenosis** (apex) or **tricuspid stenosis** (left lower sternal border). - These valvular stenoses do not cause differential cyanosis and are extremely rare in neonates.
Explanation: ***Pulmonary hypoplasia*** - **Bilateral renal agenesis** (Potter sequence) leads to severely reduced or absent fetal urine production, causing **oligohydramnios**. - **Oligohydramnios** prevents normal lung development, resulting in **pulmonary hypoplasia**, which is the primary cause of respiratory distress and death in these newborns. *Displacement of intestines into the pleural cavity* - This describes a **congenital diaphragmatic hernia**, which can cause respiratory distress due to lung compression. - However, the autopsy finding of **bilateral renal agenesis** points to Potter sequence as the underlying cause, not a diaphragmatic hernia. *Injury to the diaphragmatic innervation* - Injury to the phrenic nerve (diaphragmatic innervation) can lead to **diaphragmatic paralysis** and respiratory distress. - This is not directly related to **bilateral renal agenesis** or the characteristic findings of Potter sequence. *Collapse of the supraglottic airway* - This describes conditions like **laryngomalacia** or other upper airway obstructions. - While these can cause respiratory distress, they are not typically linked to **bilateral renal agenesis** or the systemic consequences of **oligohydramnios**. *Decreased amniotic fluid ingestion* - Fetal swallowing of amniotic fluid is important for gastrointestinal development and recycling of fluid. - However, decreased ingestion primarily affects **gastrointestinal maturation** and amniotic fluid volume (if there is a swallowing problem), not directly lung development in the way oligohydramnios from renal agenesis does.
Explanation: ***CFTR gene mutation*** - The constellation of **recurrent respiratory infections** (otitis media, expiratory wheezing, rhonchi), **malabsorption** (large-volume, loose, greasy stools, poor growth), and signs suggestive of **vitamin D deficiency** (softening of occipital and parietal bones, or **craniotabes**) is highly indicative of **cystic fibrosis**. - **Cystic fibrosis** is caused by a mutation in the **CFTR gene**, leading to defective chloride transport, resulting in thick secretions that obstruct ducts in multiple organs. *Absent T cells* - **Absent T cells** would lead to **severe combined immunodeficiency (SCID)**, characterized by recurrent severe infections (especially opportunistic infections), but typically does not cause malabsorption or chronic lung disease with thick mucus plugs. - While infections are present, the detailed gastrointestinal and respiratory manifestations are not typical for SCID, and there is no mention of opportunistic infections. *Impaired ciliary function* - **Impaired ciliary function**, as seen in **primary ciliary dyskinesia (PCD)**, causes recurrent respiratory infections (bronchiectasis, otitis media, sinusitis) due to ineffective mucociliary clearance. - However, PCD typically does not involve **malabsorption** or **pancreatic insufficiency**, which are prominent features in this patient. *Gliadin autoantibodies* - **Gliadin autoantibodies** are indicative of **celiac disease**, which can cause malabsorption (loose, greasy stools, poor growth) due to gluten-induced damage to the intestinal villi. - While celiac disease causes gastrointestinal symptoms and poor growth, it does not explain the **recurrent respiratory infections**, **wheezing**, or physical findings such as **craniotabes**, which strongly point to a systemic disorder affecting multiple organ systems beyond the gut. *Deficient α1 antitrypsin* - **Alpha-1 antitrypsin deficiency** primarily affects the lungs (emphysema, bronchiectasis) and liver (cirrhosis), especially in adults, though it can present in childhood. - It would explain some respiratory symptoms, but it typically does not cause the severe **malabsorption** or the specific pattern of **recurrent infections** and growth failure seen in this patient, especially not craniotabes.
Explanation: **Hirschsprung’s disease** - The classic presentation includes **bilious vomiting**, **abdominal distention**, and failure to pass **meconium** in a newborn, all indicative of a distal bowel obstruction. - The definitive diagnosis is confirmed by a rectal biopsy showing the **absence of Meissner's (submucosal) and Auerbach's (myenteric) plexi**, which are essential for normal peristalsis. *Juvenile polyposis syndrome* - This is a condition characterized by the development of **multiple hamartomatous polyps** in the gastrointestinal tract, primarily in the colon. - It typically presents with **rectal bleeding** and anemia, and less commonly with obstruction; it is not associated with the absence of ganglion cells. *Ileocecal intussusception* - This condition involves the **telescoping of one part of the intestine into another**, often presenting with sudden onset of intermittent abdominal pain, "currant jelly" stools, and a palpable "sausage-shaped" mass. - It generally occurs in older infants and children and would not show an **absence of Meissner's and Auerbach's plexi**. *Volvulus of the sigmoid colon* - Sigmoid volvulus involves the **twisting of the sigmoid colon** around its mesentery, leading to obstruction and vascular compromise. - It is rare in newborns and more common in older adults or individuals with chronic constipation, and typically presents with a rapidly distending abdomen and severe pain, without primary neural tissue anomalies. *Meckel’s diverticulum* - This is a **congenital outpouching of the small intestine** resulting from incomplete obliteration of the vitelline duct. - While it can cause obstruction, bleeding, or inflammation (mimicking appendicitis), it usually presents with painless rectal bleeding or acute abdominal pain, and does not involve the absence of ganglion cells.
Explanation: ***Transplacental transmission of thyroxine*** - Maternal thyroid hormones, including **thyroxine (T4)**, can cross the placenta and provide sufficient thyroid hormone to the fetus, masking congenital hypothyroidism at birth. - This maternal hormone support explains the **normal physical examination findings** and Apgar scores despite the newborn's complete absence of a thyroid gland. *Degradation of thyroid-binding globulin* - The degradation of **thyroid-binding globulin (TBG)** would lead to *lower* total thyroid hormone levels, not higher or therapeutically sufficient levels. - This mechanism is associated with conditions like severe liver disease or acute illness, which are not suggested here. *Presence of lingual thyroid tissue* - While a **lingual thyroid** is a form of ectopic thyroid tissue, if it were sufficient to maintain euthyroidism, the TSH levels would not be elevated, and the neck ultrasound would likely show its presence, not a complete absence of the gland. - The elevated TSH suggests the body is trying to stimulate *non-existent* or insufficient thyroid tissue. *Production of TSH-receptor antibodies* - **TSH-receptor antibodies** are typically associated with conditions like Graves' disease (stimulating antibodies causing hyperthyroidism) or Hashimoto's thyroiditis (blocking antibodies causing hypothyroidism). - Activating antibodies would cause hyperthyroidism, while blocking antibodies would result in hypothyroidism and symptoms, not a normal presentation with elevated TSH. *Molecular mimicry of hCG subunit* - **Human chorionic gonadotropin (hCG)** has a similar alpha subunit to TSH and can weakly stimulate the thyroid gland. - This effect is seen in conditions like gestational thyrotoxicosis or molar pregnancies, causing *mild hyperthyroidism*, not masking primary congenital hypothyroidism.
Explanation: ***Multiple café-au-lait macules*** - The images show **Lisch nodules** (iris hamartomas), which are pathognomonic for **Neurofibromatosis type 1 (NF1)**. - **Café-au-lait macules** are the most common and often earliest manifestation of NF1, present in **>99% of patients**. - Diagnostic criteria require **≥6 café-au-lait macules** (>5mm in diameter prepubertal, >15mm postpubertal). - This is the **most likely additional finding** in a patient with Lisch nodules. *A family history of seizures and intellectual disability* - While **learning disabilities** occur in ~50% of NF1 patients and **seizures** can occur, this is not the most specific or common finding. - **Café-au-lait macules** and **cutaneous neurofibromas** are far more consistent and diagnostically significant. *A white tuft of scalp hair since birth* - A **white tuft of scalp hair** (poliosis) is characteristic of **Waardenburg syndrome**, not NF1. - Waardenburg syndrome presents with **hearing loss**, **heterochromia iridis**, and **dystopia canthorum**. *The presence of ash-leaf spots* - **Ash-leaf spots** (hypopigmented macules) are a hallmark of **Tuberous Sclerosis Complex (TSC)**. - TSC has different ocular findings like **retinal hamartomas**, not Lisch nodules. *Facial angiofibromas* - **Facial angiofibromas** (adenoma sebaceum) are a classic manifestation of **Tuberous Sclerosis Complex (TSC)**, not NF1. - NF1 typically presents with **cutaneous and plexiform neurofibromas**, not angiofibromas.
Explanation: ***Congenital rubella infection*** - The classic triad of congenital rubella includes **sensorineural hearing loss**, **ocular abnormalities** (e.g., cataracts, glaucoma), and **cardiac defects** (e.g., patent ductus arteriosus, pulmonary artery stenosis), all of which are present in this case. - The **blueberry muffin rash** (bluish macules) is also a characteristic, although non-specific, finding due to **extramedullary hematopoiesis**. *Congenital parvovirus infection* - Primarily causes **hydrops fetalis**, severe **anemia**, and fetal demise, often without the specific cardiac, ocular, and auditory defects described. - While it can cause skin lesions, the constellation of findings strongly points away from parvovirus. *Congenital cytomegalovirus infection* - Can cause **sensorineural hearing loss** and central nervous system abnormalities (e.g., **periventricular calcifications**, microcephaly), but **cardiac defects** and **cataracts** are less common than with rubella. - The typical skin lesions are often petechiae or purpura, not the distinct bluish macules seen here. *Congenital syphilis* - Presents with a wide range of manifestations, including **hepatosplenomegaly**, **rash** (often maculopapular or desquamating), **saddle nose deformity**, and bone abnormalities. - While it can cause some ocular (e.g., interstitial keratitis) and auditory issues, the specific combination of **cataracts**, **patent ductus arteriosus**, and **sensorineural deafness** is not its hallmark. *Congenital toxoplasmosis* - Characterized by the classic triad of **chorioretinitis**, **hydrocephalus**, and **intracranial calcifications**. - While it can cause hearing loss and some skin manifestations, the cardiac defect and cataracts described are not typical features.
Explanation: ***Palivizumab*** * The infant's symptoms (fever, cough, wheezing, subcostal retractions) and age, especially with a history of **prematurity** and **Tetralogy of Fallot**, strongly suggest **Respiratory Syncytial Virus (RSV) bronchiolitis**. * **Palivizumab** is a prophylactic monoclonal antibody specifically indicated for preventing severe RSV disease in high-risk infants, including those born prematurely or with significant congenital heart disease. * *Ceftriaxone* * **Ceftriaxone** is an antibiotic used to treat bacterial infections, and the patient's presentation is more consistent with a viral respiratory illness. * While bacterial superinfection can occur, ceftriaxone would not prevent the primary viral infection. * *Ganciclovir* * **Ganciclovir** is an antiviral medication used to treat **Cytomegalovirus (CMV)** infections, which typically present differently from RSV bronchiolitis. * There is no indication of CMV infection in this patient's clinical picture. * *Ribavirin* * **Ribavirin** is an antiviral sometimes used to treat severe RSV infections in specific high-risk populations, but it is not a prophylactic agent and its use is limited due to toxicity. * It would not have prevented the initial infection. * *Oseltamivir* * **Oseltamivir** is an antiviral medication used to treat **influenza virus** infections. * The clinical presentation, particularly the diffuse wheezing and commonality in infants, is more characteristic of RSV than influenza.
Explanation: ***Reassurance and follow-up*** - This 5-week-old infant (41 weeks postmenstrual age) with a PDA is **hemodynamically stable** with normal vital signs, appropriate weight gain (3500g), adequate urine output (6 wet diapers/day), and effective feeding despite longer feeding times. - The change in feeding pattern (40 minutes every 4 hours vs 15 minutes every 2 hours) actually represents **improved feeding efficiency** with the same total daily feeding time but longer intervals between feeds. - Despite the loud murmur (grade 4/6), there are **no signs of congestive heart failure** (no tachypnea, no hepatomegaly, no failure to thrive). - In a **clinically stable infant** without heart failure symptoms, **watchful waiting with close follow-up** is appropriate as many PDAs close spontaneously, particularly in infants born at 36 weeks gestation. - Intervention would be indicated if the infant develops signs of heart failure or failure to thrive. *Indomethacin infusion* - **Indomethacin** (a prostaglandin synthesis inhibitor) is only effective for PDA closure in the **early neonatal period** (typically first 7-10 days of life) when the ductus is still responsive to prostaglandins. - At **5 weeks of age** (41 weeks postmenstrual age), the ductus arteriosus has undergone structural maturation and is **no longer responsive** to prostaglandin inhibitors. - This infant is well past the window for pharmacologic closure with indomethacin. *Surgical ligation* - **Surgical ligation** would be indicated for a hemodynamically significant PDA causing heart failure symptoms that are refractory to medical management. - This infant is **hemodynamically stable** without signs of heart failure, so surgical intervention is not warranted at this time. - Surgery carries significant risks and should be reserved for cases where conservative management has failed. *Prostaglandin E1 infusion* - **Prostaglandin E1** is used to **maintain ductal patency** in ductal-dependent congenital heart lesions (e.g., critical coarctation, transposition of great arteries, pulmonary atresia). - This would be contraindicated in PDA as it would **worsen** the condition by keeping the ductus open. - The clinical picture suggests isolated PDA, not a ductal-dependent lesion. *Percutaneous device closure* - **Percutaneous device closure** is typically performed in **older infants and children** (usually >6 months old and >6 kg) with persistent hemodynamically significant PDA. - This 5-week-old infant weighing 3500g is **too small** for device closure. - Additionally, the infant is currently stable and may not require intervention if the PDA closes spontaneously.
Explanation: ***Prednisone therapy*** - This patient presents with symptoms and lab findings consistent with **nephrotic syndrome**: **marked edema** (periorbital, lower extremity), **hypoalbuminemia** (2.6 mg/dL), and **heavy proteinuria** (urine protein 4+, protein/creatinine ratio 6.8, numerous fatty casts). In a 4-year-old, nephrotic syndrome is most commonly **minimal change disease**, which is highly responsive to corticosteroids. - **Prednisone** is the **first-line treatment** for minimal change disease, leading to remission in over 90% of cases. Early initiation can prevent complications of protracted edema and proteinuria. *Enalapril therapy* - **Enalapril** is an **ACE inhibitor** that can reduce proteinuria by lowering intraglomerular pressure, but it is not the primary treatment for inducing remission in minimal change disease. - While it may be used as an **adjunctive therapy** for persistent proteinuria or hypertension, it will not address the underlying inflammatory process in minimal change disease. *Cyclosporine therapy* - **Cyclosporine** is an **immunosuppressant** reserved for patients with **steroid-resistant** or **steroid-dependent nephrotic syndrome**. - It is not the initial treatment choice for a first presentation of nephrotic syndrome in a child before steroid responsiveness has been assessed. *Anti-streptolysin O levels* - **Anti-streptolysin O (ASO) titers** are used to diagnose recent **Streptococcus pyogenes infection**, which can cause **post-streptococcal glomerulonephritis (PSGN)**. - PSGN typically presents with **nephritic syndrome** (hematuria, hypertension, mild proteinuria, low C3), which is different from the predominant **nephrotic picture** (heavy proteinuria, severe anasarca, normal C3) seen here. The normal complement levels also argue against PSGN. *Furosemide therapy* - **Furosemide** is a **loop diuretic** used to reduce severe edema by increasing urine output. - While it can provide **symptomatic relief** for the edema, it does not address the underlying pathology of heavy proteinuria and hypoalbuminemia that causes the edema, and it is not the primary treatment to induce remission.
Explanation: ***Medical management*** - Asymmetric interventricular septal hypertrophy in infants of diabetic mothers is a transient phenomenon, primarily managed with **beta-blockers** to improve ventricular outflow. - The condition typically **resolves spontaneously** within weeks to months as the infant's heart adapts to the extra-uterine environment and insulin levels normalize. *Cardiac catheterization* - This is an **invasive procedure** used primarily for diagnostic purposes or for certain interventional treatments, not typically the first-line for transient septal hypertrophy. - It would carry unnecessary risks for an infant with a condition that is likely to resolve with medical management. *Cardiac magnetic resonance imaging* - While it provides detailed anatomical and functional information, **CMR is not usually indicated** for initial management of this specific condition in neonates. - An echocardiogram has already provided sufficient diagnostic information to guide initial therapy. *Chest radiograph* - A chest radiograph provides information about **lung fields and heart size/shape**, but it offers very limited detail regarding specific cardiac structural abnormalities or function. - It would not be helpful for characterizing the interventricular septum or ventricular outflow tract. *Immediate surgical intervention* - **Surgical myectomy** is reserved for severe, persistent left ventricular outflow tract obstruction that is *unresponsive* to maximal medical therapy and is causing significant symptoms or hemodynamic compromise. - Given the transient nature of the condition associated with maternal diabetes, immediate surgery would be premature and overly aggressive.
Explanation: ***Correct: Hirschsprung disease*** - This diagnosis is characterized by the **failure of neural crest cells** to migrate, leading to an **aganglionic segment of the colon** that cannot relax. - Symptoms like **abdominal distension**, **vomiting**, and **failure to thrive** in an 8-month-old are consistent with Hirschsprung disease. *Incorrect: Duodenal atresia* - **Duodenal atresia** typically presents in the **neonatal period** with **bilious vomiting** and a **double-bubble sign** on imaging. - It is a congenital obstruction but does not involve the failed migration of specialized cells, and distension with tympany in the lower quadrant is not a primary feature. *Incorrect: Meckel diverticulum* - A **Meckel diverticulum** is a remnant of the **vitelline duct** and is often asymptomatic or can cause **painless rectal bleeding**. - It does not present with the described symptoms of abdominal distention and fussiness related to an intestinal obstruction or motility disorder caused by cellular migration failure. *Incorrect: Pyloric stenosis* - **Pyloric stenosis** typically presents with **projectile non-bilious vomiting** and an **olive-shaped mass** in the epigastrium, usually between 2 and 8 weeks of age. - The symptoms described, such as marked abdominal distention and crying intensifying with abdominal palpation, are not typical for pyloric stenosis. *Incorrect: DiGeorge syndrome* - **DiGeorge syndrome** is a genetic disorder associated with **thymic and parathyroid hypoplasia**, leading to **T-cell immunodeficiency** and **hypocalcemia**. - While it involves developmental anomalies, it does not directly present with gastrointestinal obstruction or motility issues caused by failed cell migration as the primary symptom.
Explanation: ***Cyst formation in a persistent thyroglossal duct*** - A **midline neck mass** that **moves with swallowing** is highly characteristic of a **thyroglossal duct cyst**, as it is anatomically connected to the hyoid bone and the base of the tongue. - The cyst forms from a remnant of the **thyroglossal duct**, the embryonic pathway of the thyroid gland's descent. *Thyroid hyperplasia due to iodine deficiency* - **Thyroid hyperplasia** (goiter) usually presents as a **diffuse or multinodular enlargement** of the thyroid gland, typically located **below the thyroid cartilage**, not above the hyoid bone. - While thyroid function tests are normal here, iodine deficiency would typically lead to elevated TSH and lower thyroid hormones in advanced stages. *Persistent thyroid tissue at the tongue base* - **Lingual thyroid**, or persistent thyroid tissue at the tongue base, would present as a mass **at the base of the tongue**, not a midline neck mass above the hyoid bone. - It would also typically move with tongue protrusion, rather than primarily with swallowing in the neck. *Deletion of the 22q11 gene* - **22q11 deletion syndrome** (DiGeorge syndrome) is associated with **cardiac defects**, **facial anomalies**, **palatal abnormalities**, and **thymic/parathyroid hypoplasia**, leading to immune deficiencies and hypocalcemia. - It does not typically present with a **midline neck cyst** that moves with swallowing; while a cervical thymic cyst can occur, it is uncommon and would typically be lateral or lower in the neck. *Lymph node enlargement* - **Enlarged lymph nodes** are most commonly found in the **lateral neck**, although submental or submandibular nodes can be midline. - However, they usually **do not move with swallowing** (unless very adhered to surrounding structures) and are often associated with infection or malignancy, which are not suggested here.
Explanation: ***Patent ductus arteriosus*** - This neonate has **congenital rubella syndrome (CRS)** based on maternal symptoms during the first trimester (fever, rash, lymphadenopathy) and the characteristic **"salt and pepper" retinopathy** shown on retinal examination - **PDA is the most common cardiac defect** associated with CRS, occurring in approximately 50-85% of affected infants - Other cardiac manifestations of CRS include peripheral pulmonary artery stenosis, but PDA predominates - The classic triad of CRS includes cardiac defects, ocular abnormalities (cataracts, glaucoma, retinopathy), and sensorineural deafness *Double outlet right ventricle* - This is a **conotruncal anomaly** typically presenting with cyanosis in the neonatal period - Not associated with maternal rubella infection or congenital rubella syndrome - Would present with abnormal ventricular anatomy and significant hemodynamic compromise *Atrial septal defect* - While ASD is a common congenital heart defect, it is **not characteristically associated with CRS** - Much less frequently linked to maternal viral infections compared to PDA - Often asymptomatic in the neonatal period and detected later in childhood *Ventricular septal defect* - VSD is less commonly associated with **congenital rubella syndrome** compared to PDA - When present, typically manifests with a holosystolic murmur at the left lower sternal border - Can occur with maternal infections but is not the predominant cardiac finding in CRS *Tetralogy of Fallot* - Consists of four anatomic abnormalities: VSD, pulmonary stenosis, overriding aorta, and right ventricular hypertrophy - Presents with **cyanosis** ("tet spells") and is not specifically linked to maternal rubella infection - Not part of the congenital rubella syndrome spectrum
Neural tube defects
Practice Questions
Congenital heart defects
Practice Questions
Gastrointestinal malformations
Practice Questions
Genitourinary anomalies
Practice Questions
Craniofacial anomalies
Practice Questions
Skeletal dysplasias
Practice Questions
Chromosomal disorders
Practice Questions
Teratogenic exposures
Practice Questions
Multiple malformation syndromes
Practice Questions
Prenatal diagnosis of congenital defects
Practice Questions
Surgical management timing
Practice Questions
Long-term outcomes and follow-up
Practice Questions
Preventive strategies
Practice Questions
Get full access to all questions, explanations, and performance tracking.
Start For Free