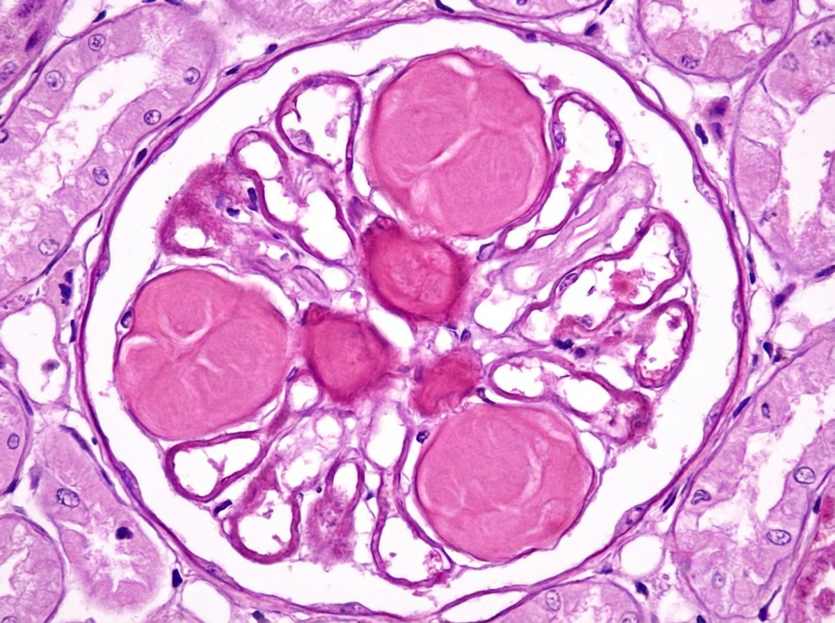
Comment on type of glomerulonephritis present in the kidney biopsy slide. (Recent NEET Pattern 2016-17)

The image shows:

Kidney specimen of 40 -year-old man is shown below. All are true about the condition shown in the figure except:

The image shows presence of:

The kidneys shown in this image are from a 24 -yearold man. What would have been the most likely cause of his death?

A 28-year-old female with history of urinary tract infection presents with flank pain. On surgical extraction of the kidney, patient's presentation is similar to that given in the image. What is the likely diagnosis?

A 58-year-old diabetic patient presents with frothiness in the urine. Which of the following is the diagnosis?

Which urine crystals are shown in the figure below?

The resected specimen of a kidney is seen below. What is the diagnosis?

The following is the FITC for IgG stained kidney specimen. What is this suggestive of?

Explanation: ***Crescentic glomerulonephritis*** - The presence of **crescents** in the glomeruli is the hallmark of **crescentic glomerulonephritis**, indicating severe glomerular injury [1]. - Crescents are formed by the proliferation of **parietal epithelial cells** and infiltration of macrophages, leading to rapid decline in renal function [1]. *Acute glomerulonephritis* - This is a broad term that can encompass various forms of glomerulonephritis, but it does not specifically describe the **morphological finding of crescents**. - Acute glomerulonephritis often presents with **nephritic syndrome** (hematuria, proteinuria, hypertension), but the biopsy finding of crescents is more specific [1]. *Focal segmental glomerulosclerosis* - Characterized by **sclerosis** (scarring) affecting **some glomeruli** (focal) and **only parts of the glomerular tuft** (segmental). - It typically presents with **nephrotic syndrome** (heavy proteinuria, edema, hypoalbuminemia), which is distinct from the rapid renal failure seen with crescents. *Diffuse glomerulosclerosis* - This term implies widespread **sclerosis** affecting **all glomeruli**, often seen in advanced chronic kidney disease. - It does not specifically describe the **active inflammatory process** and crescent formation characteristic of crescentic glomerulonephritis [2]. **References:** [1] Cross SS. Underwood's Pathology: A Clinical Approach. 6th ed. Common Clinical Problems From Diseases Of The Urinary And Male Genital Tracts, pp. 528-529. [2] Cross SS. Underwood's Pathology: A Clinical Approach. 6th ed. Common Clinical Problems From Diseases Of The Urinary And Male Genital Tracts, pp. 536-537.
Explanation: ***A= Flea bitten kidney, B= Malignant Hypertension*** - The term **"flea-bitten kidney"** describes the gross appearance of the kidney in **malignant hypertension**, characterized by numerous pinpoint hemorrhages on the cortical surface [1]. - These hemorrhages are due to **rupture of arterioles and capillaries** caused by the severe elevation in blood pressure [1][2]. *A= Flea bitten kidney, B= Acute Glomerulonephritis* - While **acute glomerulonephritis** can cause kidney injury, the classic gross appearance is typically a **swollen, pale kidney**, not specifically "flea-bitten." - The "flea-bitten" appearance is a more specific descriptor for the vascular damage seen in **malignant hypertension** [1]. *A= Chronic shrunken kidney, B= Crescentic glomerulonephritis* - **Crescentic glomerulonephritis** is characterized by the formation of **crescents** in Bowman's capsule, leading to rapid progressive renal failure. - While it can lead to a **shrunken kidney** in its chronic stages, the acute presentation is not typically "flea-bitten," and the primary pathology is glomerular, not widespread vascular hemorrhage. *A= Chronic Shrunken kidney, B= Malignant hypertension* - Although **malignant hypertension** can lead to chronic kidney disease and a shrunken kidney over time, the **"flea-bitten"** appearance is an acute gross finding associated with the severe vascular damage [2]. - A **chronically shrunken kidney** is a general term for end-stage renal disease from various causes, and doesn't specifically describe the acute findings of malignant hypertension. **References:** [1] Cross SS. Underwood's Pathology: A Clinical Approach. 6th ed. Common Clinical Problems From Cardiovascular Disease, pp. 276-277. [2] Kumar V, Abbas AK, et al.. Robbins and Cotran Pathologic Basis of Disease. 9th ed. The Kidney, p. 945.
Explanation: ***Cysts are derived from collecting duct tubules*** - This statement is incorrect because the cysts in **Autosomal Dominant Polycystic Kidney Disease (ADPKD)**, which is likely depicted in the image, are derived from **all segments of the nephron**, not exclusively collecting duct tubules [1]. - While collecting ducts can be involved, the characteristic feature is widespread cystic dilation of various nephron segments. *Cysts do not communicate with pelvis of the kidney* - This statement is true for ADPKD. The cysts in ADPKD are typically **closed sacs** and do not directly communicate with the renal pelvis or the collecting system. - This non-communication is a key feature distinguishing them from conditions like hydronephrosis. *PKD-2 gene is located on chromosome 4* - This statement is true. The **PKD2 gene**, which encodes for polycystin-2, is indeed located on **chromosome 4**. - Mutations in PKD2 account for a smaller percentage of ADPKD cases (about 15%) compared to PKD1. *Loss of corticomedullary differentiation* - This statement is true and is a common finding in advanced ADPKD. As the cysts enlarge and replace normal renal parenchyma, the distinct architectural separation between the **renal cortex and medulla** is lost. - This loss of differentiation is often visible on imaging studies like ultrasound or MRI. **References:** [1] Cross SS. Underwood's Pathology: A Clinical Approach. 6th ed. Common Clinical Problems From Diseases Of The Urinary And Male Genital Tracts, pp. 544-545.
Explanation: ***Autosomal dominant polycystic kidney*** - This condition is characterized by the presence of numerous **cysts of varying sizes** in both kidneys, leading to significant kidney enlargement and eventual renal failure [1,2]. - The cysts originate from any segment of the **nephron** and progressively enlarge over time [1,2]. *Medullary sponge kidney* - This condition involves dilation of the **collecting ducts** in the renal pyramids, often appearing as small cysts or striations on imaging. - It typically presents with **recurrent kidney stones** and urinary tract infections, and the overall kidney architecture is usually preserved, unlike the diffuse cystic changes seen in the image. *Renal cystic dysplasia* - This is a developmental anomaly characterized by disorganized renal parenchymal development with primitive ducts and undifferentiated mesenchyme, often associated with **ureteral obstruction** during development. - It usually presents as a **unilateral** condition with a grossly abnormal kidney, which is different from the bilateral, numerous, and well-formed cysts seen in the image [2]. *Autosomal recessive polycystic kidney* - This condition typically presents in **infancy or childhood** with enlarged, smooth kidneys containing numerous small, uniform cysts that originate from the **collecting ducts** [1]. - It is often associated with **hepatic fibrosis** and portal hypertension, and the cysts are generally much smaller and more uniformly distributed than those seen in the image, which are characteristic of the adult-onset dominant form. **References:** [1] Cross SS. Underwood's Pathology: A Clinical Approach. 6th ed. Common Clinical Problems From Diseases Of The Urinary And Male Genital Tracts, pp. 544-545. [2] Kumar V, Abbas AK, et al.. Robbins and Cotran Pathologic Basis of Disease. 9th ed. The Kidney, pp. 950-952.
Explanation: ***A subarachnoid hemorrhage due to ruptured berry aneurysm*** - The image displays kidneys massively enlarged and studded with numerous cysts, which is characteristic of **Autosomal Dominant Polycystic Kidney Disease (ADPKD)**. - Patients with ADPKD have an increased risk of developing **intracranial berry aneurysms** (present in 10-30% of cases), which can rupture and cause fatal subarachnoid hemorrhage. - This is the **most common cause of sudden death** in young patients with ADPKD. *Hypertension* - While hypertension is a common complication of ADPKD, it is usually managed and does not typically lead to sudden death in a 24-year-old in the absence of other severe cardiovascular events. - The immediate cause of death would likely be a more acute event like a ruptured aneurysm, rather than uncontrolled hypertension itself. *Chronic renal failure* - This image shows features of ADPKD, which eventually leads to chronic renal failure as cysts replace normal kidney parenchyma. - However, for a 24-year-old, chronic renal failure typically progresses over time, with end-stage renal disease usually occurring in the 4th-6th decade. - Chronic renal failure rarely causes sudden death without other acute complications. *Metastatic renal cell carcinoma* - Renal cell carcinoma presents as a solid tumor, not as diffuse bilateral cystic enlargement of the kidneys. - While ADPKD can rarely be associated with an increased risk of renal cell carcinoma, the primary pathology shown is clearly cystic disease, not a solid malignant mass. *Myocardial infarction* - While cardiovascular disease is a significant cause of morbidity in ADPKD patients, myocardial infarction is uncommon in a 24-year-old. - Cardiovascular complications typically occur later in the disease course and are usually related to chronic hypertension and left ventricular hypertrophy. - Berry aneurysm rupture remains the most likely cause of sudden death in this young age group.
Explanation: ***Struvite stone*** - The history of **urinary tract infection (UTI)** and the likely appearance of a **staghorn calculus** (filling the renal pelvis and calyces) in the image strongly suggest a **struvite stone** [1][2]. - Struvite stones are also known as **infection stones** and are typically formed by **urease-producing bacteria** (e.g., *Proteus* species) that raise urine pH [1]. *Calcium oxalate stone* - These are the **most common type of kidney stone** [2] but are not typically associated with recurrent UTIs leading to large, branching calculi. - They are often **radiopaque** and can be associated with hypercalciuria or hyperoxaluria. *Uric acid stone* - Uric acid stones are typically associated with **acidic urine** and conditions like **gout** or myeloproliferative disorders. - They are **radiolucent** (not visible on plain X-ray) and do not usually form staghorn calculi. *Cystine stone* - Cystine stones are rare and result from an **inherited disorder** of amino acid transport, leading to high urinary cystine levels. - They can be **radiopaque** but are not primarily linked to recurrent UTIs or the formation of large staghorn calculi. **References:** [1] Kumar V, Abbas AK, et al.. Robbins and Cotran Pathologic Basis of Disease. 9th ed. The Kidney, p. 957. [2] Cross SS. Underwood's Pathology: A Clinical Approach. 6th ed. Common Clinical Problems From Diseases Of The Urinary And Male Genital Tracts, pp. 491-492.
Explanation: ***Nodular glomerulosclerosis*** - **Nodular glomerulosclerosis**, specifically **Kimmelstiel-Wilson nodules**, is a characteristic histopathological finding in **diabetic nephropathy** [1]. - Frothy urine in a diabetic patient is a strong indicator of **proteinuria**, a hallmark of diabetic nephropathy, which progresses to nodular glomerulosclerosis [2]. *Focal segmental glomerulosclerosis* - While FSGS can cause proteinuria and frothy urine, it is not the **primary or most characteristic renal lesion** directly associated with long-standing diabetes. - FSGS is often idiopathic or secondary to other conditions like **HIV**, drug use, or obesity, rather than diabetes itself. *Basement membrane thickening* - **Basement membrane thickening** is an early and diffuse change in diabetic nephropathy [2], but it is a **precursor** to more advanced lesions like nodular glomerulosclerosis, not the definitive diagnosis for significant proteinuria. - While present, it doesn't fully explain the degree of proteinuria suggested by "frothiness" as well as nodular changes. *Crescentic glomerulonephritis* - **Crescentic glomerulonephritis** is characterized by rapid decline in renal function and the formation of **crescents** in Bowman's capsule, often due to severe glomerular inflammation. - It is typically associated with conditions like **Goodpasture's syndrome**, **ANCA-associated vasculitis**, or **lupus nephritis**, and is not a primary manifestation of diabetic kidney disease. **References:** [1] Kumar V, Abbas AK, et al.. Robbins and Cotran Pathologic Basis of Disease. 9th ed. The Endocrine System, pp. 1121-1122. [2] Kumar V, Abbas AK, et al.. Robbins and Cotran Pathologic Basis of Disease. 9th ed. The Endocrine System, p. 1121.
Explanation: ***Calcium oxalate*** - Calcium oxalate crystals are typically **envelope-shaped** (octahedral) or **dumbbell-shaped**. - They are commonly found in **acidic urine** and are associated with **kidney stones** [1]. *Uric acid* - Uric acid crystals often appear as **rhombic plates**, **rosettes**, or **barrels**. - They are typically **yellow-brown** and are associated with gout or high purine diets [1]. *Calcium phosphate* - Calcium phosphate crystals commonly appear as **amorphous granules** or **prisms/needles** in **alkaline urine** [1]. - They can form calcium phosphate stones, which are less common than oxalate stones. *Cystine* - Cystine crystals are **hexagonal plates** and are colorless. - Their presence indicates **cystinuria**, an inherited metabolic disorder. *Triple phosphate* - Triple phosphate (struvite) crystals have a distinctive **"coffin-lid"** shape (rectangular prisms with oblique ends). - They form in **alkaline urine**, often associated with urease-producing bacterial infections (e.g., *Proteus*, *Klebsiella*), and can form staghorn calculi [1]. **References:** [1] Cross SS. Underwood's Pathology: A Clinical Approach. 6th ed. Common Clinical Problems From Diseases Of The Urinary And Male Genital Tracts, pp. 539-540.
Explanation: ***Flea bitten kidney of malignant hypertension*** - The term "flea-bitten kidney" describes the gross appearance of the kidney in **malignant hypertension**, characterized by numerous pinpoint hemorrhages on the cortical surface [1]. - These hemorrhages result from the rupture of **arterioles and capillaries** due to severe, uncontrolled high blood pressure [1]. *Amyloidosis* - In **amyloidosis**, the kidneys typically appear enlarged, pale, and waxy due to the deposition of **amyloid protein**. - It does not typically present with the characteristic pinpoint hemorrhages seen in a "flea-bitten" appearance. *Acute poststreptococcal glomerulonephritis* - In **acute poststreptococcal glomerulonephritis (APSGN)**, the kidneys are usually enlarged and pale, often with a smooth surface. - While there can be some congestion, the classic "flea-bitten" appearance with widespread petechial hemorrhages is not a typical gross finding. *Chronic glomerulonephritis* - **Chronic glomerulonephritis** typically leads to shrunken, granular, and scarred kidneys due to long-standing inflammation and fibrosis. - The gross appearance is usually one of atrophy and scarring, not the acute hemorrhagic spots described as "flea-bitten." **References:** [1] Kumar V, Abbas AK, et al.. Robbins and Cotran Pathologic Basis of Disease. 9th ed. The Kidney, p. 945.
Explanation: ***SLE*** - **Lupus nephritis** (a kidney manifestation of SLE) often shows a "full house" immunofluorescence pattern, including **IgG deposition**, along with IgA, IgM, C3, and C1q [1]. - The presence of **IgG staining** in a kidney biopsy is a common finding in various forms of lupus nephritis, such as diffuse proliferative glomerulonephritis [1,5]. *Buerger's disease* - This is a **vasculitis** primarily affecting small and medium-sized arteries and veins, typically in the limbs. - It does **not primarily involve the kidneys** with IgG deposition and is not diagnosed via kidney biopsy immunofluorescence. *Goodpasture syndrome* - Characterized by **linear deposition of IgG** along the glomerular basement membrane (GBM) on immunofluorescence. - While it involves IgG, the question implies a more general IgG staining, and Goodpasture's has a very specific **linear pattern**, which is distinct from the granular or mesangial patterns often seen in SLE [2]. *Membranous glomerulonephritis* - This condition is characterized by **granular subepithelial deposits of IgG and C3** along the glomerular basement membrane [1]. - While it involves IgG, the question's image (if implied) would likely show a more diffuse, granular pattern, and SLE can also present with IgG, but often with other immune complex components, making SLE a broader and often more complex picture [2]. **References:** [1] Cross SS. Underwood's Pathology: A Clinical Approach. 6th ed. Common Clinical Problems From Diseases Of The Urinary And Male Genital Tracts, pp. 532-533. [2] Kumar V, Abbas AK, et al.. Robbins and Cotran Pathologic Basis of Disease. 9th ed. The Kidney, p. 911. [3] Kumar V, Abbas AK, et al.. Robbins and Cotran Pathologic Basis of Disease. 9th ed. Diseases of the Immune System, pp. 230-232.
Congenital renal anomalies
Practice Questions
Glomerular diseases overview
Practice Questions
Nephritic syndrome disorders
Practice Questions
Nephrotic syndrome disorders
Practice Questions
Rapidly progressive glomerulonephritis
Practice Questions
Tubulointerstitial diseases
Practice Questions
Acute tubular necrosis
Practice Questions
Renal vascular diseases
Practice Questions
Pyelonephritis and urinary tract infections
Practice Questions
Renal cystic diseases
Practice Questions
Obstructive uropathies
Practice Questions
Renal tumors
Practice Questions
Kidney transplant pathology
Practice Questions
Get full access to all questions, explanations, and performance tracking.
Start For Free