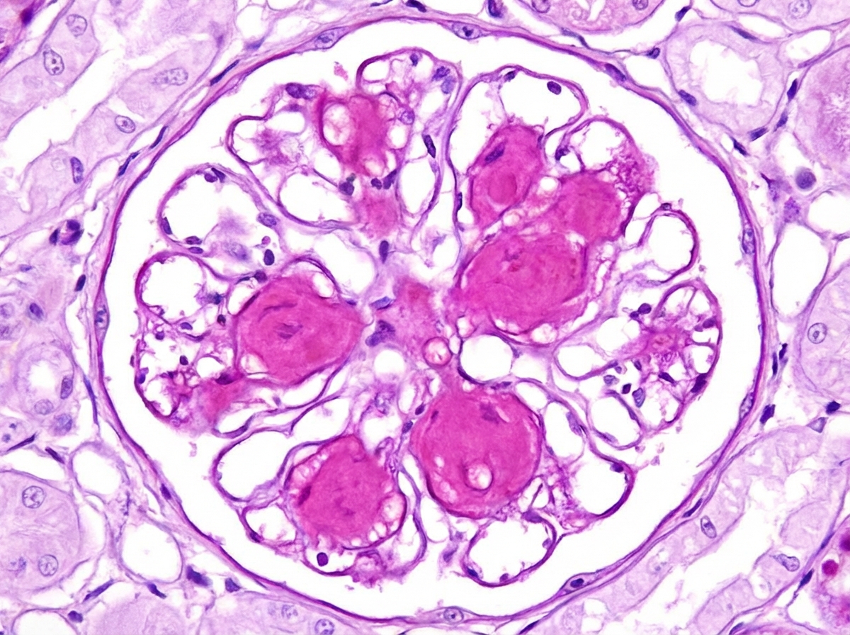
A 58-year-old woman with HbA1c of 10 % is referred to an ophthalmologist because of vision loss. An image of her retina is shown below, If this patient were to undergo renal biopsy, what will be the pathologic findings?

All are true about the condition shown except:

Which is not a true statement about this anomaly of kidney?

All are correct about the condition shown in the image except: (NEET Pattern 2018)

Which urine crystals are shown in the figure below?

The kidney biopsy image shows presence of:

Kidney biopsy report shown in the image depicts:

Comment on the diagnosis of light microscopy finding in kidney biopsy. (Recent NEET Pattern 2016-17)

All are true about the presentation in kidney biopsy shown except: (Recent NEET Pattern 2016-17)

All are causes of this glomerular presentation except: (Recent NEET Pattern 2016-17)

Explanation: ***Nodular glomerulosclerosis, mesangial expansion, and basement membrane thickening*** - The patient's high HbA1c and vision loss (suggesting **diabetic retinopathy**) indicate **diabetes mellitus**. The classic renal pathology findings in **diabetic nephropathy** include **Kimmelstiel-Wilson nodules** (nodular glomerulosclerosis), **mesangial expansion**, and **glomerular basement membrane thickening** [1]. - These changes are due to chronic hyperglycemia leading to advanced glycation end-product (AGE) accumulation and hemodynamic changes, causing **glomerular hypertrophy** and **sclerosis** [1]. *Scattered crescentic lesions with fibrin and plasma proteins* - This describes **crescentic glomerulonephritis**, which is characteristic of rapidly progressive glomerulonephritis (RPGN). - While RPGN can cause kidney failure, it is not the primary renal manifestation of long-standing, uncontrolled diabetes. *Vascular intimal thickening and hyaline deposition* - This describes **hyaline arteriolosclerosis**, which is commonly seen in **hypertension** and **diabetes**, affecting afferent and efferent arterioles. - While present in diabetic nephropathy, it is a vascular change and not the primary glomerular lesion that defines diabetic nephropathy. *Subepithelial immune complex deposits* - This is characteristic of **membranous nephropathy**, a common cause of nephrotic syndrome. - It is an immune-mediated disease and not the typical renal pathology associated with uncontrolled diabetes mellitus. **References:** [1] Kumar V, Abbas AK, et al.. Robbins and Cotran Pathologic Basis of Disease. 9th ed. The Endocrine System, pp. 1121-1122.
Explanation: ***Low renin due to pressure atrophy of JG apparatus*** - This statement is incorrect. In conditions like **autosomal dominant polycystic kidney disease (ADPKD)**, the expanding cysts can cause **ischemia** of the surrounding renal parenchyma, leading to activation of the **renin-angiotensin-aldosterone system (RAAS)** and **high renin levels**, contributing to hypertension [1]. - **Pressure atrophy** of the JG apparatus leading to low renin is not a characteristic feature of cystic kidney diseases like ADPKD. *Cysts at junction of distal tubule and collecting duct* - **Autosomal dominant polycystic kidney disease (ADPKD)**, a common cystic kidney condition, is characterized by the formation of cysts primarily from the **distal tubules** and **collecting ducts** [2]. - These cysts progressively enlarge, leading to kidney failure. *Spider leg deformity* - **Spider leg deformity** refers to the characteristic appearance of the renal calyces on imaging (e.g., intravenous pyelogram or CT urogram) in **medullary sponge kidney (MSK)**. - This condition involves dilatation of the **collecting ducts** in the renal medulla, which can appear as a "spider leg" or "brush" pattern. *Anemia* - **Anemia** is a common complication in patients with **chronic kidney disease (CKD)**, including those with polycystic kidney disease, as the kidneys lose their ability to produce sufficient **erythropoietin** [1]. - However, in the early stages of ADPKD, patients may sometimes present with **polycythemia** due to increased erythropoietin production from the cystic kidneys, though anemia eventually develops as kidney function declines. **References:** [1] Cross SS. Underwood's Pathology: A Clinical Approach. 6th ed. Common Clinical Problems From Diseases Of The Urinary And Male Genital Tracts, pp. 525-526. [2] Cross SS. Underwood's Pathology: A Clinical Approach. 6th ed. Common Clinical Problems From Diseases Of The Urinary And Male Genital Tracts, pp. 544-545.
Explanation: ***No risk of Wilms tumor*** - Horseshoe kidney, the anomaly described, actually has an **increased risk of Wilms tumor**, not no risk. - The risk is about 2-8 times higher than in the general population. *Fusion of lower poles of the kidneys* - This is the **classic anatomical description** of a horseshoe kidney, where the lower poles are fused across the midline [1]. - The fusion typically occurs at the **isthmus**, which can be fibrous or parenchymatous. *Association with Turner syndrome* - Horseshoe kidney is indeed **commonly associated with Turner syndrome** (XO karyotype). - Approximately 15-20% of individuals with Turner syndrome have a horseshoe kidney. *Renal function usually is normal* - In most cases, the **renal function of a horseshoe kidney is normal** [1], provided there are no other associated anomalies or complications. - However, they are more prone to complications like **hydronephrosis**, **calculi**, and infections due to altered anatomy. **References:** [1] Cross SS. Underwood's Pathology: A Clinical Approach. 6th ed. Common Clinical Problems From Diseases Of The Urinary And Male Genital Tracts, pp. 545-546.
Explanation: ***Most common site is middle esophagus*** - The question asks for the incorrect statement, and this statement is actually **correct** for esophageal squamous cell carcinoma (SCC), which is the most common type of esophageal cancer globally. - **Squamous cell carcinoma** of the esophagus most frequently occurs in the **middle third** of the esophagus [1]. *Most common gross presentation is fungating subtype* - This statement is incorrect. The most common gross presentation of esophageal carcinoma is the **ulcerative type**, followed by fungating and infiltrative types [1]. - **Fungating tumors** are exophytic and protrude into the lumen, but they are not the most common gross morphology. *Stage 3 cancer oesophagus has 25 % survival rate* - This statement is incorrect. The 5-year survival rate for **Stage III esophageal cancer** is significantly lower, typically ranging from **10-15%**, not 25% [2][3]. - Survival rates for esophageal cancer are generally poor, especially in advanced stages due to early metastasis and late presentation. *Vomiting of previous day food items* - This statement is incorrect. Vomiting of previous day's food items is characteristic of **pyloric stenosis** or **gastric outlet obstruction**, not typically esophageal cancer. - Esophageal cancer usually presents with **dysphagia** (difficulty swallowing) and **regurgitation** of recently ingested food, not undigested food from the previous day [3]. **References:** [1] Kumar V, Abbas AK, et al.. Robbins and Cotran Pathologic Basis of Disease. 9th ed. The Gastrointestinal Tract, pp. 766-767. [2] Cross SS. Underwood's Pathology: A Clinical Approach. 6th ed. Common Clinical Problems From Alimentary System Disease, pp. 349-350. [3] Kumar V, Abbas AK, et al.. Robbins and Cotran Pathologic Basis of Disease. 9th ed. The Gastrointestinal Tract, pp. 765-766.
Explanation: ***Calcium oxalate dihydrate crystals*** - The crystals shown are **octahedral** in shape, resembling small **envelopes**, which is characteristic of calcium oxalate dihydrate crystals. - These crystals typically appear in **acidic urine** and are the most common type of crystals that can lead to **kidney stones**. - Found in conditions like hyperoxaluria, ethylene glycol poisoning, and vitamin C excess. *Incorrect: Triple phosphate crystals* - Also known as **struvite crystals**, these have a characteristic **"coffin lid"** appearance. - Form in **alkaline urine** and are associated with urinary tract infections caused by urease-producing bacteria. *Incorrect: Uric acid crystals* - Appear as **rhomboid** or **rosette-shaped** crystals in **acidic urine**. - Associated with hyperuricemia, gout, and tumor lysis syndrome. *Incorrect: Cystine crystals* - Have a distinctive **hexagonal** shape and appear in acidic urine. - Pathognomonic for **cystinuria**, an inherited disorder of amino acid transport. *Incorrect: Calcium oxalate monohydrate crystals* - Have a **dumbbell** or **oval** shape, distinct from the envelope-shaped dihydrate form. - Also associated with hyperoxaluria and ethylene glycol poisoning.
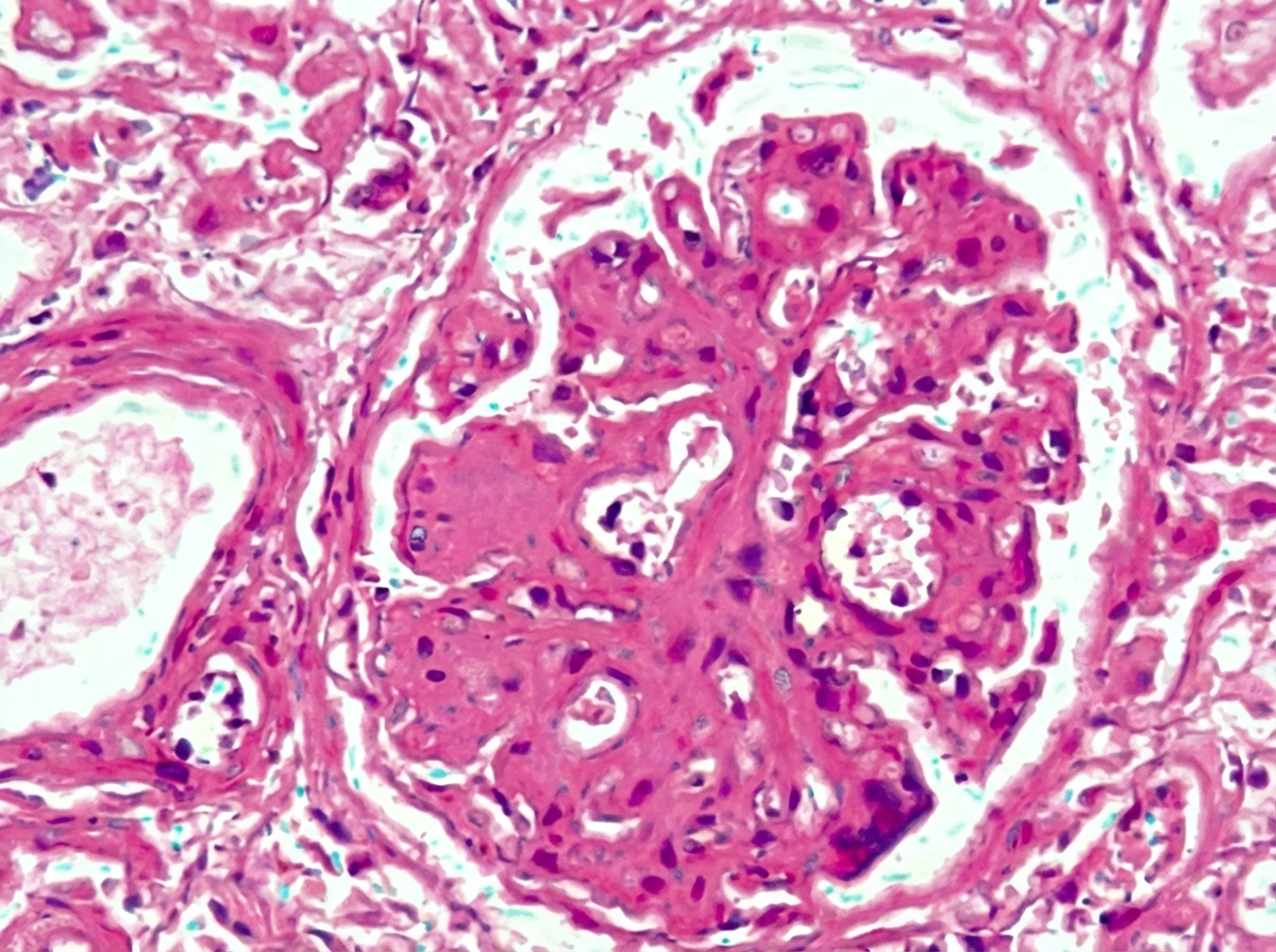
Explanation: ***Malignant nephrosclerosis*** - Histologically, **malignant nephrosclerosis** is characterized by **fibrinoid necrosis** of afferent arterioles and small arteries, along with **hyperplastic arteriolosclerosis** (onion-skinning) [1][2]. - These changes are indicative of severe, accelerated hypertension causing acute vascular damage in the kidney [1][3]. *Benign nephrosclerosis* - Characterized by **hyaline arteriolosclerosis** (thickening and narrowing of small arteries and arterioles due to deposition of hyaline material) and **fibroelastic hyperplasia** of larger interlobular arteries [4]. - These changes are associated with chronic, long-standing hypertension and typically do not involve fibrinoid necrosis or onion-skinning [3][4]. *Minimal change disease* - On light microscopy, the glomeruli appear normal, hence the term "minimal change." - The characteristic finding is **effacement of foot processes** of podocytes on electron microscopy, which is not described as fibrinoid necrosis or onion-skinning. *Lupus nephritis* - A spectrum of glomerular diseases caused by systemic lupus erythematosus, with various classes showing different histological patterns. - Common findings include **immune complex deposition** (subendothelial, subepithelial, or mesangial), **mesangial proliferation**, and sometimes **wire loop lesions** or **crescent formation**, but not typically fibrinoid necrosis of arterioles as the primary defining feature. **References:** [1] Kumar V, Abbas AK, et al.. Robbins and Cotran Pathologic Basis of Disease. 9th ed. The Kidney, p. 945. [2] Kumar V, Abbas AK, et al.. Robbins and Cotran Pathologic Basis of Disease. 9th ed. Diseases of Infancy and Childhood, pp. 498-499. [3] Cross SS. Underwood's Pathology: A Clinical Approach. 6th ed. Common Clinical Problems From Diseases Of The Urinary And Male Genital Tracts, pp. 541-542. [4] Kumar V, Abbas AK, et al.. Robbins and Cotran Pathologic Basis of Disease. 9th ed. The Kidney, pp. 943-945.
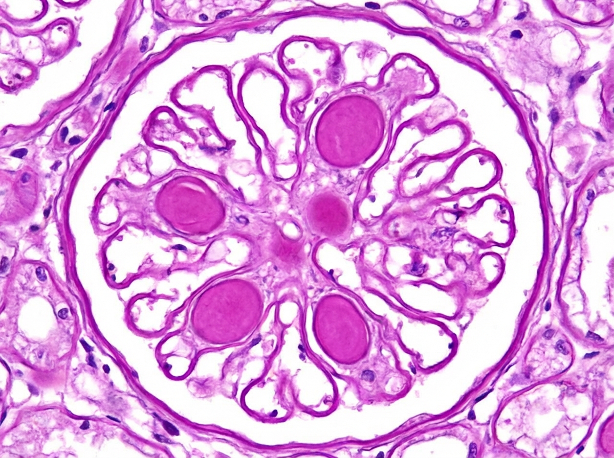
Explanation: ***Nodular glomerulosclerosis*** - The image likely depicts **Kimmelstiel-Wilson nodules**, which are characteristic of **diabetic nephropathy** and fall under the umbrella of nodular glomerulosclerosis [1]. - These nodules are **acellular, eosinophilic, PAS-positive** masses found in the mesangium [1]. *Focal segmental glomerulosclerosis* - Characterized by **sclerosis** affecting only some glomeruli (**focal**) and only parts of the affected glomeruli (**segmental**). - It typically presents with **effacement of foot processes** on electron microscopy and is a common cause of nephrotic syndrome. *Armanni Ebstein changes* - These are **glycogen-rich vacuolations** seen in the **tubular epithelial cells** of the kidney, particularly in the proximal tubules, in patients with **uncontrolled diabetes mellitus**. - They are a sign of **osmotic nephrosis** due to severe hyperglycemia, not a primary glomerular lesion. *Membranoproliferative glomerulonephritis* - Characterized by **mesangial and endothelial cell proliferation** and **thickening of the glomerular basement membrane** (GBM). - Often shows a **"tram-track" appearance** on light microscopy due to GBM splitting, which is not the primary feature depicted. **References:** [1] Kumar V, Abbas AK, et al.. Robbins and Cotran Pathologic Basis of Disease. 9th ed. The Endocrine System, pp. 1121-1122.
Explanation: ***Nodular glomerulosclerosis*** - This finding is characteristic of **diabetic nephropathy**, specifically the **Kimmelstiel-Wilson lesions** [1]. - It involves the formation of **nodular deposits** in the mesangium, leading to glomerulosclerosis. *Focal segmental glomerulosclerosis* - Characterized by **sclerosis** affecting only **some glomeruli** (focal) and only **parts of the glomerular tuft** (segmental). - It is a common cause of **nephrotic syndrome** and is often associated with HIV, heroin abuse, or genetic mutations. *Diffuse glomerulosclerosis* - Implies widespread sclerosis affecting **most or all glomeruli diffusely**. - This is a general term and can be seen in various end-stage renal diseases, not specific to a single primary diagnosis like nodular glomerulosclerosis. *Minimal change disease* - On light microscopy, the glomeruli appear **normal**, hence the term "minimal change" [2]. - The characteristic finding is **effacement of foot processes** on electron microscopy [2], and it is a common cause of nephrotic syndrome in children. **References:** [1] Kumar V, Abbas AK, et al.. Robbins and Cotran Pathologic Basis of Disease. 9th ed. The Endocrine System, p. 1121. [2] Kumar V, Abbas AK, et al.. Robbins and Cotran Pathologic Basis of Disease. 9th ed. The Kidney, pp. 922-923.
Explanation: ***IgG and properdin deposits*** - The question asks for what is *not* true about the presentation in a kidney biopsy. **IgG and properdin deposits** are characteristic of **dense deposit disease (DDD)** or C3 glomerulopathy, not typically seen in the context of **focal segmental glomerulosclerosis (FSGS)**, which is often implied by the other options. - FSGS is primarily a podocyte disorder, and while immune deposits can occur, IgG and properdin are not its defining immunofluorescence features. In FSGS, immunofluorescence is negative other than non-specific trapping of IgM and C3 in the segmental lesions [1]. The diagnosis requires absence of immune deposits on IF [4]. *Loss of foot processes* - **Loss of foot processes** (podocyte effacement) is a hallmark ultrastructural finding in conditions causing **proteinuria**, including **focal segmental glomerulosclerosis (FSGS)** and minimal change disease [1][3]. - This morphological change is directly responsible for increased glomerular permeability to proteins. Podocyte injury is an underlying mechanism of proteinuria in FSGS [3]. *Hyalinosis* - **Hyalinosis** refers to the accumulation of homogeneous, eosinophilic material, often plasma proteins, within the glomerulus. - It is a characteristic feature of **focal segmental glomerulosclerosis (FSGS)**, particularly in the sclerotic segments, with segmental obliteration of glomerular capillary tufts by sclerosis frequently accompanied by hyalinosis [1]. *Seen with HIV associated nephropathy* - **HIV-associated nephropathy (HIVAN)** is a specific form of **collapsing focal segmental glomerulosclerosis (FSGS)** [1][2]. - It is characterized by prominent tubular microcysts and severe interstitial inflammation and fibrosis, in addition to the collapsing glomerular lesions. FSGS may be secondary to infection such as HIV [3], and the collapsing variant has an unfavorable course [2]. **References:** [1] Cross SS. Underwood's Pathology: A Clinical Approach. 6th ed. Common Clinical Problems From Diseases Of The Urinary And Male Genital Tracts, pp. 531-532. [2] Kumar V, Abbas AK, et al.. Robbins and Cotran Pathologic Basis of Disease. 9th ed. The Kidney, pp. 924-925. [3] Kumar V, Abbas AK, et al.. Robbins and Cotran Pathologic Basis of Disease. 9th ed. The Kidney, pp. 927-928. [4] Cross SS. Underwood's Pathology: A Clinical Approach. 6th ed. Common Clinical Problems From Diseases Of The Urinary And Male Genital Tracts, pp. 530-531.
Explanation: ***Reflux nephropathy*** - This condition primarily causes **tubulointerstitial damage** and **scarring**, leading to chronic kidney disease, but it is not a direct cause of a primary glomerular presentation like **focal segmental glomerulosclerosis (FSGS)**. - While it can lead to proteinuria, it's usually due to secondary glomerular changes from chronic damage rather than a primary glomerular disease. *HIV* - **HIV-associated nephropathy (HIVAN)** is a common cause of **collapsing FSGS**, a specific glomerular presentation [1] [2]. - It is characterized by rapid progression to end-stage renal disease and often presents with heavy proteinuria [1]. *Hepatitis B* - Hepatitis B infection is strongly associated with **membranous nephropathy** and, less commonly, with **membranoproliferative glomerulonephritis (MPGN)**, both of which are distinct glomerular presentations [1]. - These conditions involve immune complex deposition in the glomeruli. *Heroin abuse* - Heroin abuse is a well-known cause of **focal segmental glomerulosclerosis (FSGS)**, often presenting as **heroin-associated nephropathy** [3] [4]. - This condition typically leads to significant proteinuria and progressive renal failure [3] [4]. **References:** [1] Cross SS. Underwood's Pathology: A Clinical Approach. 6th ed. Common Clinical Problems From Diseases Of The Urinary And Male Genital Tracts, pp. 531-532. [2] Kumar V, Abbas AK, et al.. Robbins and Cotran Pathologic Basis of Disease. 9th ed. The Kidney, pp. 924-925. [3] Kumar V, Abbas AK, et al.. Robbins and Cotran Pathologic Basis of Disease. 9th ed. The Kidney, pp. 927-928. [4] Cross SS. Underwood's Pathology: A Clinical Approach. 6th ed. Common Clinical Problems From Diseases Of The Urinary And Male Genital Tracts, pp. 530-531.
Explanation: ***Crescentic glomerulonephritis*** - The presence of **crescents** in the glomeruli is the hallmark of **crescentic glomerulonephritis**, indicating severe glomerular injury [1]. - Crescents are formed by the proliferation of **parietal epithelial cells** and infiltration of macrophages, leading to rapid decline in renal function [1]. *Acute glomerulonephritis* - This is a broad term that can encompass various forms of glomerulonephritis, but it does not specifically describe the **morphological finding of crescents**. - Acute glomerulonephritis often presents with **nephritic syndrome** (hematuria, proteinuria, hypertension), but the biopsy finding of crescents is more specific [1]. *Focal segmental glomerulosclerosis* - Characterized by **sclerosis** (scarring) affecting **some glomeruli** (focal) and **only parts of the glomerular tuft** (segmental). - It typically presents with **nephrotic syndrome** (heavy proteinuria, edema, hypoalbuminemia), which is distinct from the rapid renal failure seen with crescents. *Diffuse glomerulosclerosis* - This term implies widespread **sclerosis** affecting **all glomeruli**, often seen in advanced chronic kidney disease. - It does not specifically describe the **active inflammatory process** and crescent formation characteristic of crescentic glomerulonephritis [2]. **References:** [1] Cross SS. Underwood's Pathology: A Clinical Approach. 6th ed. Common Clinical Problems From Diseases Of The Urinary And Male Genital Tracts, pp. 528-529. [2] Cross SS. Underwood's Pathology: A Clinical Approach. 6th ed. Common Clinical Problems From Diseases Of The Urinary And Male Genital Tracts, pp. 536-537.
Explanation: ***A= Flea bitten kidney, B= Malignant Hypertension*** - The term **"flea-bitten kidney"** describes the gross appearance of the kidney in **malignant hypertension**, characterized by numerous pinpoint hemorrhages on the cortical surface [1]. - These hemorrhages are due to **rupture of arterioles and capillaries** caused by the severe elevation in blood pressure [1][2]. *A= Flea bitten kidney, B= Acute Glomerulonephritis* - While **acute glomerulonephritis** can cause kidney injury, the classic gross appearance is typically a **swollen, pale kidney**, not specifically "flea-bitten." - The "flea-bitten" appearance is a more specific descriptor for the vascular damage seen in **malignant hypertension** [1]. *A= Chronic shrunken kidney, B= Crescentic glomerulonephritis* - **Crescentic glomerulonephritis** is characterized by the formation of **crescents** in Bowman's capsule, leading to rapid progressive renal failure. - While it can lead to a **shrunken kidney** in its chronic stages, the acute presentation is not typically "flea-bitten," and the primary pathology is glomerular, not widespread vascular hemorrhage. *A= Chronic Shrunken kidney, B= Malignant hypertension* - Although **malignant hypertension** can lead to chronic kidney disease and a shrunken kidney over time, the **"flea-bitten"** appearance is an acute gross finding associated with the severe vascular damage [2]. - A **chronically shrunken kidney** is a general term for end-stage renal disease from various causes, and doesn't specifically describe the acute findings of malignant hypertension. **References:** [1] Cross SS. Underwood's Pathology: A Clinical Approach. 6th ed. Common Clinical Problems From Cardiovascular Disease, pp. 276-277. [2] Kumar V, Abbas AK, et al.. Robbins and Cotran Pathologic Basis of Disease. 9th ed. The Kidney, p. 945.
Explanation: ***Cysts are derived from collecting duct tubules*** - This statement is incorrect because the cysts in **Autosomal Dominant Polycystic Kidney Disease (ADPKD)**, which is likely depicted in the image, are derived from **all segments of the nephron**, not exclusively collecting duct tubules [1]. - While collecting ducts can be involved, the characteristic feature is widespread cystic dilation of various nephron segments. *Cysts do not communicate with pelvis of the kidney* - This statement is true for ADPKD. The cysts in ADPKD are typically **closed sacs** and do not directly communicate with the renal pelvis or the collecting system. - This non-communication is a key feature distinguishing them from conditions like hydronephrosis. *PKD-2 gene is located on chromosome 4* - This statement is true. The **PKD2 gene**, which encodes for polycystin-2, is indeed located on **chromosome 4**. - Mutations in PKD2 account for a smaller percentage of ADPKD cases (about 15%) compared to PKD1. *Loss of corticomedullary differentiation* - This statement is true and is a common finding in advanced ADPKD. As the cysts enlarge and replace normal renal parenchyma, the distinct architectural separation between the **renal cortex and medulla** is lost. - This loss of differentiation is often visible on imaging studies like ultrasound or MRI. **References:** [1] Cross SS. Underwood's Pathology: A Clinical Approach. 6th ed. Common Clinical Problems From Diseases Of The Urinary And Male Genital Tracts, pp. 544-545.
Explanation: ***Autosomal dominant polycystic kidney*** - This condition is characterized by the presence of numerous **cysts of varying sizes** in both kidneys, leading to significant kidney enlargement and eventual renal failure [1,2]. - The cysts originate from any segment of the **nephron** and progressively enlarge over time [1,2]. *Medullary sponge kidney* - This condition involves dilation of the **collecting ducts** in the renal pyramids, often appearing as small cysts or striations on imaging. - It typically presents with **recurrent kidney stones** and urinary tract infections, and the overall kidney architecture is usually preserved, unlike the diffuse cystic changes seen in the image. *Renal cystic dysplasia* - This is a developmental anomaly characterized by disorganized renal parenchymal development with primitive ducts and undifferentiated mesenchyme, often associated with **ureteral obstruction** during development. - It usually presents as a **unilateral** condition with a grossly abnormal kidney, which is different from the bilateral, numerous, and well-formed cysts seen in the image [2]. *Autosomal recessive polycystic kidney* - This condition typically presents in **infancy or childhood** with enlarged, smooth kidneys containing numerous small, uniform cysts that originate from the **collecting ducts** [1]. - It is often associated with **hepatic fibrosis** and portal hypertension, and the cysts are generally much smaller and more uniformly distributed than those seen in the image, which are characteristic of the adult-onset dominant form. **References:** [1] Cross SS. Underwood's Pathology: A Clinical Approach. 6th ed. Common Clinical Problems From Diseases Of The Urinary And Male Genital Tracts, pp. 544-545. [2] Kumar V, Abbas AK, et al.. Robbins and Cotran Pathologic Basis of Disease. 9th ed. The Kidney, pp. 950-952.
Explanation: ***A subarachnoid hemorrhage due to ruptured berry aneurysm*** - The image displays kidneys massively enlarged and studded with numerous cysts, which is characteristic of **Autosomal Dominant Polycystic Kidney Disease (ADPKD)**. - Patients with ADPKD have an increased risk of developing **intracranial berry aneurysms** (present in 10-30% of cases), which can rupture and cause fatal subarachnoid hemorrhage. - This is the **most common cause of sudden death** in young patients with ADPKD. *Hypertension* - While hypertension is a common complication of ADPKD, it is usually managed and does not typically lead to sudden death in a 24-year-old in the absence of other severe cardiovascular events. - The immediate cause of death would likely be a more acute event like a ruptured aneurysm, rather than uncontrolled hypertension itself. *Chronic renal failure* - This image shows features of ADPKD, which eventually leads to chronic renal failure as cysts replace normal kidney parenchyma. - However, for a 24-year-old, chronic renal failure typically progresses over time, with end-stage renal disease usually occurring in the 4th-6th decade. - Chronic renal failure rarely causes sudden death without other acute complications. *Metastatic renal cell carcinoma* - Renal cell carcinoma presents as a solid tumor, not as diffuse bilateral cystic enlargement of the kidneys. - While ADPKD can rarely be associated with an increased risk of renal cell carcinoma, the primary pathology shown is clearly cystic disease, not a solid malignant mass. *Myocardial infarction* - While cardiovascular disease is a significant cause of morbidity in ADPKD patients, myocardial infarction is uncommon in a 24-year-old. - Cardiovascular complications typically occur later in the disease course and are usually related to chronic hypertension and left ventricular hypertrophy. - Berry aneurysm rupture remains the most likely cause of sudden death in this young age group.
Explanation: ***Struvite stone*** - The history of **urinary tract infection (UTI)** and the likely appearance of a **staghorn calculus** (filling the renal pelvis and calyces) in the image strongly suggest a **struvite stone** [1][2]. - Struvite stones are also known as **infection stones** and are typically formed by **urease-producing bacteria** (e.g., *Proteus* species) that raise urine pH [1]. *Calcium oxalate stone* - These are the **most common type of kidney stone** [2] but are not typically associated with recurrent UTIs leading to large, branching calculi. - They are often **radiopaque** and can be associated with hypercalciuria or hyperoxaluria. *Uric acid stone* - Uric acid stones are typically associated with **acidic urine** and conditions like **gout** or myeloproliferative disorders. - They are **radiolucent** (not visible on plain X-ray) and do not usually form staghorn calculi. *Cystine stone* - Cystine stones are rare and result from an **inherited disorder** of amino acid transport, leading to high urinary cystine levels. - They can be **radiopaque** but are not primarily linked to recurrent UTIs or the formation of large staghorn calculi. **References:** [1] Kumar V, Abbas AK, et al.. Robbins and Cotran Pathologic Basis of Disease. 9th ed. The Kidney, p. 957. [2] Cross SS. Underwood's Pathology: A Clinical Approach. 6th ed. Common Clinical Problems From Diseases Of The Urinary And Male Genital Tracts, pp. 491-492.
Explanation: ***Nodular glomerulosclerosis*** - **Nodular glomerulosclerosis**, specifically **Kimmelstiel-Wilson nodules**, is a characteristic histopathological finding in **diabetic nephropathy** [1]. - Frothy urine in a diabetic patient is a strong indicator of **proteinuria**, a hallmark of diabetic nephropathy, which progresses to nodular glomerulosclerosis [2]. *Focal segmental glomerulosclerosis* - While FSGS can cause proteinuria and frothy urine, it is not the **primary or most characteristic renal lesion** directly associated with long-standing diabetes. - FSGS is often idiopathic or secondary to other conditions like **HIV**, drug use, or obesity, rather than diabetes itself. *Basement membrane thickening* - **Basement membrane thickening** is an early and diffuse change in diabetic nephropathy [2], but it is a **precursor** to more advanced lesions like nodular glomerulosclerosis, not the definitive diagnosis for significant proteinuria. - While present, it doesn't fully explain the degree of proteinuria suggested by "frothiness" as well as nodular changes. *Crescentic glomerulonephritis* - **Crescentic glomerulonephritis** is characterized by rapid decline in renal function and the formation of **crescents** in Bowman's capsule, often due to severe glomerular inflammation. - It is typically associated with conditions like **Goodpasture's syndrome**, **ANCA-associated vasculitis**, or **lupus nephritis**, and is not a primary manifestation of diabetic kidney disease. **References:** [1] Kumar V, Abbas AK, et al.. Robbins and Cotran Pathologic Basis of Disease. 9th ed. The Endocrine System, pp. 1121-1122. [2] Kumar V, Abbas AK, et al.. Robbins and Cotran Pathologic Basis of Disease. 9th ed. The Endocrine System, p. 1121.
Explanation: ***Calcium oxalate*** - Calcium oxalate crystals are typically **envelope-shaped** (octahedral) or **dumbbell-shaped**. - They are commonly found in **acidic urine** and are associated with **kidney stones** [1]. *Uric acid* - Uric acid crystals often appear as **rhombic plates**, **rosettes**, or **barrels**. - They are typically **yellow-brown** and are associated with gout or high purine diets [1]. *Calcium phosphate* - Calcium phosphate crystals commonly appear as **amorphous granules** or **prisms/needles** in **alkaline urine** [1]. - They can form calcium phosphate stones, which are less common than oxalate stones. *Cystine* - Cystine crystals are **hexagonal plates** and are colorless. - Their presence indicates **cystinuria**, an inherited metabolic disorder. *Triple phosphate* - Triple phosphate (struvite) crystals have a distinctive **"coffin-lid"** shape (rectangular prisms with oblique ends). - They form in **alkaline urine**, often associated with urease-producing bacterial infections (e.g., *Proteus*, *Klebsiella*), and can form staghorn calculi [1]. **References:** [1] Cross SS. Underwood's Pathology: A Clinical Approach. 6th ed. Common Clinical Problems From Diseases Of The Urinary And Male Genital Tracts, pp. 539-540.
Explanation: ***Flea bitten kidney of malignant hypertension*** - The term "flea-bitten kidney" describes the gross appearance of the kidney in **malignant hypertension**, characterized by numerous pinpoint hemorrhages on the cortical surface [1]. - These hemorrhages result from the rupture of **arterioles and capillaries** due to severe, uncontrolled high blood pressure [1]. *Amyloidosis* - In **amyloidosis**, the kidneys typically appear enlarged, pale, and waxy due to the deposition of **amyloid protein**. - It does not typically present with the characteristic pinpoint hemorrhages seen in a "flea-bitten" appearance. *Acute poststreptococcal glomerulonephritis* - In **acute poststreptococcal glomerulonephritis (APSGN)**, the kidneys are usually enlarged and pale, often with a smooth surface. - While there can be some congestion, the classic "flea-bitten" appearance with widespread petechial hemorrhages is not a typical gross finding. *Chronic glomerulonephritis* - **Chronic glomerulonephritis** typically leads to shrunken, granular, and scarred kidneys due to long-standing inflammation and fibrosis. - The gross appearance is usually one of atrophy and scarring, not the acute hemorrhagic spots described as "flea-bitten." **References:** [1] Kumar V, Abbas AK, et al.. Robbins and Cotran Pathologic Basis of Disease. 9th ed. The Kidney, p. 945.
Explanation: ***SLE*** - **Lupus nephritis** (a kidney manifestation of SLE) often shows a "full house" immunofluorescence pattern, including **IgG deposition**, along with IgA, IgM, C3, and C1q [1]. - The presence of **IgG staining** in a kidney biopsy is a common finding in various forms of lupus nephritis, such as diffuse proliferative glomerulonephritis [1,5]. *Buerger's disease* - This is a **vasculitis** primarily affecting small and medium-sized arteries and veins, typically in the limbs. - It does **not primarily involve the kidneys** with IgG deposition and is not diagnosed via kidney biopsy immunofluorescence. *Goodpasture syndrome* - Characterized by **linear deposition of IgG** along the glomerular basement membrane (GBM) on immunofluorescence. - While it involves IgG, the question implies a more general IgG staining, and Goodpasture's has a very specific **linear pattern**, which is distinct from the granular or mesangial patterns often seen in SLE [2]. *Membranous glomerulonephritis* - This condition is characterized by **granular subepithelial deposits of IgG and C3** along the glomerular basement membrane [1]. - While it involves IgG, the question's image (if implied) would likely show a more diffuse, granular pattern, and SLE can also present with IgG, but often with other immune complex components, making SLE a broader and often more complex picture [2]. **References:** [1] Cross SS. Underwood's Pathology: A Clinical Approach. 6th ed. Common Clinical Problems From Diseases Of The Urinary And Male Genital Tracts, pp. 532-533. [2] Kumar V, Abbas AK, et al.. Robbins and Cotran Pathologic Basis of Disease. 9th ed. The Kidney, p. 911. [3] Kumar V, Abbas AK, et al.. Robbins and Cotran Pathologic Basis of Disease. 9th ed. Diseases of the Immune System, pp. 230-232.
Explanation: ***Lupus nephritis*** - The image likely shows a **"full house" immunofluorescence pattern** (deposits of IgG, IgA, IgM, C3, and C1q), which is characteristic of **lupus nephritis** [1]. - This pattern indicates immune complex deposition in the glomeruli, a hallmark of systemic lupus erythematosus affecting the kidneys [1]. *FSGS* - **Focal segmental glomerulosclerosis (FSGS)** typically shows **negative immunofluorescence** or only non-specific IgM and C3 in sclerotic areas [3,4]. - It does not present with the diffuse, multi-immunoglobulin deposition seen in the characteristic "full house" pattern. *PSGN* - **Post-streptococcal glomerulonephritis (PSGN)** characteristically shows a **"starry sky" or granular pattern** of C3 and IgG deposition, often with a dominant C3 [2]. - It does not typically show the full spectrum of immunoglobulins and complement components seen in lupus nephritis. *Goodpasture syndrome* - **Goodpasture syndrome** is characterized by a **linear deposition of IgG** along the glomerular basement membrane (GBM) on immunofluorescence [2]. - This pattern is distinct from the granular, multi-immunoglobulin deposition seen in immune complex-mediated diseases like lupus nephritis. **References:** [1] Cross SS. Underwood's Pathology: A Clinical Approach. 6th ed. Common Clinical Problems From Diseases Of The Urinary And Male Genital Tracts, pp. 532-533. [2] Kumar V, Abbas AK, et al.. Robbins and Cotran Pathologic Basis of Disease. 9th ed. The Kidney, p. 915. [3] Cross SS. Underwood's Pathology: A Clinical Approach. 6th ed. Common Clinical Problems From Diseases Of The Urinary And Male Genital Tracts, pp. 530-531. [4] Cross SS. Underwood's Pathology: A Clinical Approach. 6th ed. Common Clinical Problems From Diseases Of The Urinary And Male Genital Tracts, pp. 531-532.
Congenital renal anomalies
Practice Questions
Glomerular diseases overview
Practice Questions
Nephritic syndrome disorders
Practice Questions
Nephrotic syndrome disorders
Practice Questions
Rapidly progressive glomerulonephritis
Practice Questions
Tubulointerstitial diseases
Practice Questions
Acute tubular necrosis
Practice Questions
Renal vascular diseases
Practice Questions
Pyelonephritis and urinary tract infections
Practice Questions
Renal cystic diseases
Practice Questions
Obstructive uropathies
Practice Questions
Renal tumors
Practice Questions
Kidney transplant pathology
Practice Questions
Get full access to all questions, explanations, and performance tracking.
Start For Free