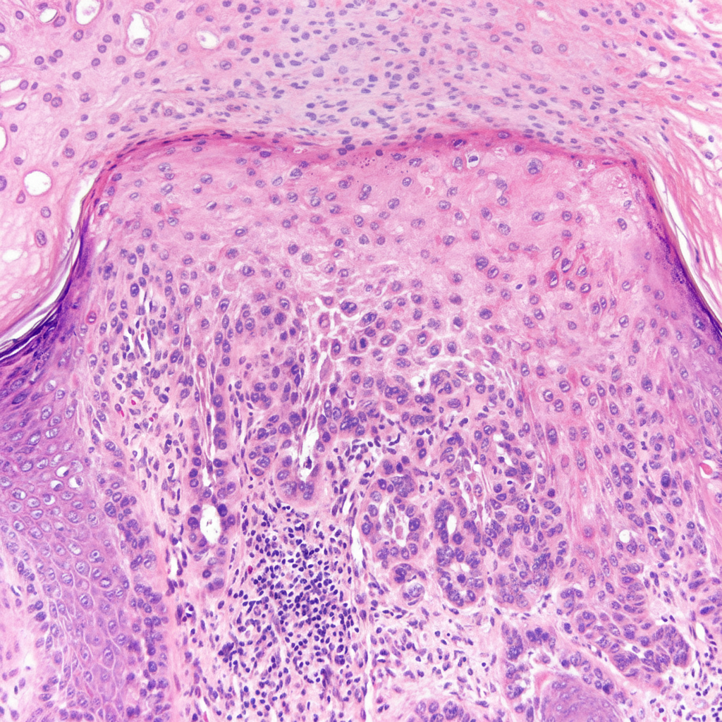
The following histological biopsy image shows presence of:

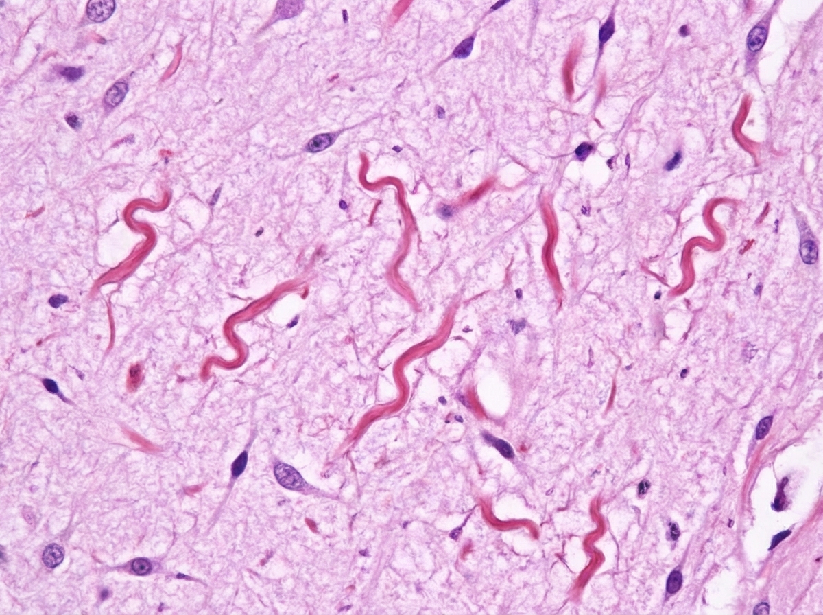
Cork screw inclusion bodies in brain biopsy specimen are seen in:

A 5-year-old child presented with gait ataxia and tremors in left hand. The image shows:

All are true about the brain tumour associated with the below mentioned histopathological findings except:

The following microscopic appearance is that of a schwannoma which most commonly involves the cerebellopontine angle. What does the area marked with the arrow represent?

The following brain biopsy of patient who presented with marked psychomotor agitation is diagnostic of?

Explanation: ***Henderson-Peterson bodies*** - These are characteristic **large eosinophilic intracytoplasmic inclusions** found in the epidermal cells of patients with **Molluscum contagiosum**. - Histologically, these **molluscum bodies** progressively enlarge and displace the nucleus to the periphery of the cell, a hallmark of poxvirus cytopathic effect. - They are a classic histological finding for **Molluscum contagiosum**, a viral skin infection caused by a poxvirus. *Pappenheimer bodies* - These are **small, irregular basophilic granules** seen within red blood cells, representing **iron inclusions (siderotic granules)**. - They are associated with conditions like **sideroblastic anemia**, hemolytic anemia, or **post-splenectomy** states, and are not found in tissue biopsies. *Negri bodies* - These are **eosinophilic intracytoplasmic inclusions** found in the **hippocampal pyramidal cells** and **Purkinje cells of the cerebellum** in cases of **rabies** [1]. - They are specific to rabies infection and are distinct from the large molluscum bodies seen in Molluscum contagiosum [1]. *Neurofibrillary tangles* - These are **intracellular aggregates of hyperphosphorylated tau protein** found in the neurons of patients with **Alzheimer's disease** and other tauopathies [2]. - They are a hallmark of neurodegenerative diseases and are not viral inclusion bodies [2]. *Cowdry bodies* - These are **nuclear inclusion bodies** seen in cells infected with **herpesviruses** (e.g., HSV, CMV, VZV). - **Type A (Cowdry A)**: Large eosinophilic nuclear inclusions with a clear halo, surrounded by marginated chromatin — seen in herpes simplex and varicella-zoster. - **Type B (Cowdry B)**: Smaller inclusions without halo — seen in poliovirus and adenovirus infections. - They are nuclear (not cytoplasmic) inclusions, distinguishing them from Henderson-Peterson bodies. **References:** [1] Kumar V, Abbas AK, et al. Robbins and Cotran Pathologic Basis of Disease. 9th ed. The Central Nervous System, pp. 1279-1280. [2] Kumar V, Abbas AK, et al. Robbins and Cotran Pathologic Basis of Disease. 9th ed. The Central Nervous System, pp. 1292-1293.
Explanation: ***Pilocytic astrocytoma*** - **Rosenthal fibers**, which have a **corkscrew appearance**, are characteristic histological findings in pilocytic astrocytomas. - These are **eosinophilic, elongated, glial inclusions** often found in the processes of tumor cells. - Pilocytic astrocytomas are typically **benign (WHO Grade I)** tumors commonly found in children and young adults. *Medulloblastoma* - Characterized by **small, round blue cells** and a high mitotic index, often forming **Homer-Wright rosettes**. - **Rosenthal fibers** are not typically associated with medulloblastoma. *Ependymoma* - Characterized by **ependymal rosettes** (tumor cells arranged around a central lumen) and **perivascular pseudorosettes** (tumor cells radiating around blood vessels). - Lacks the presence of **corkscrew inclusion bodies (Rosenthal fibers)**. *Pinealoma* - This is a general term for tumors of the pineal gland, which can include pineocytomas and pineoblastomas. - While various histological features can be seen depending on the specific type, **Rosenthal fibers** are not a characteristic finding for these tumors. *Glioblastoma* - The most common malignant primary brain tumor in adults, characterized by **pseudopalisading necrosis** and **microvascular proliferation**. - Histologically shows pleomorphic cells, not the organized **Rosenthal fibers** seen in pilocytic astrocytoma.
Explanation: ***Medulloblastoma, Pseudorosettes*** - **Medulloblastoma** is the most common **malignant brain tumor in children**, arising in the cerebellum and presenting with **gait ataxia** and cerebellar signs [1]. - The hallmark histological feature is **Homer-Wright pseudorosettes**: rings of small round blue tumor cells (SRBC) with hyperchromatic nuclei surrounding a central anuclear **fibrillary/neuropil core**. *Cerebellar astrocytoma, Pseudorosettes* - While cerebellar astrocytomas can cause ataxia, they are typically **benign (WHO grade I–II)** and do not characteristically form **Homer-Wright pseudorosettes**. - Pseudorosette formation is a feature of primitive neuroectodermal tumors like medulloblastoma, not astrocytic tumors. *Meningioma, Psammoma bodies* - **Meningiomas** are predominantly **adult tumors** and are rare in the pediatric age group. - Their histological hallmark is **psammoma bodies** (whorled, concentrically calcified lamellations), not rosettes. - The clinical setting of ataxia and tremors in a 5-year-old child is not consistent with meningioma. *Ependymoma, Perivascular pseudorosettes* - **Ependymomas** can occur in children and arise from the **4th ventricle floor**, potentially causing cerebellar symptoms. - Their characteristic histological feature is **perivascular pseudorosettes** (tumor cells with fibrillary processes tapering toward blood vessel walls), which is distinct from Homer-Wright pseudorosettes. - Ependymomas do not exhibit the densely packed SRBC morphology seen in medulloblastoma. *Pilocytic astrocytoma, Rosenthal fibers* - **Pilocytic astrocytoma** (WHO grade I) is a common benign pediatric cerebellar tumor, but its histological hallmarks are **Rosenthal fibers** (elongated eosinophilic corkscrew structures) and **eosinophilic granular bodies**. - It is a **biphasic tumor** with compact bipolar areas and loose microcystic areas — it does not form Homer-Wright pseudorosettes. **References:** [1] Kumar V, Abbas AK, et al. Robbins and Cotran Pathologic Basis of Disease. 9th ed. The Central Nervous System, pp. 1314–1315.
Explanation: ***Association with NF-1*** - The histopathological findings described (likely referring to **meningioma** based on the other options) are not typically associated with **Neurofibromatosis type 1 (NF-1)** [1]. - **NF-1** is more commonly linked to **optic nerve gliomas**, neurofibromas, and other peripheral nerve sheath tumors. *Most frequent cytogenetic abnormality is deletion of 22q* - **Deletion of 22q** is the most common cytogenetic abnormality found in **meningiomas** [2]. - This deletion often involves the **NF2 gene**, which is a tumor suppressor gene [2]. *Intracranial calcification* - **Intracranial calcification** is a common finding in **meningiomas**, particularly in older lesions [2]. - These calcifications can be seen on imaging studies like CT scans. *Psammoma bodies* - **Psammoma bodies** are characteristic histological features of **meningiomas**, especially the meningothelial and transitional subtypes [1][2]. - They are concentric, lamellated calcified structures formed from degenerating cells. **References:** [1] Cross SS. Underwood's Pathology: A Clinical Approach. 6th ed. Common Clinical Manifestations Of Central And Peripheral Nervous System Disease, pp. 727-728. [2] Kumar V, Abbas AK, et al.. Robbins and Cotran Pathologic Basis of Disease. 9th ed. The Central Nervous System, pp. 1316-1317.
Explanation: ***Antony B pattern-Verocay cells*** - The area marked with the arrow represents **Antony B pattern**, which is characterized by **hypocellularity** and a **myxoid matrix** [1]. - **Verocay bodies** are specific to schwannomas and are formed by palisading nuclei surrounding an anucleate zone, typically found within the **Antony A pattern** [1]. *Antony A pattern* - **Antony A pattern** is characterized by **dense cellularity** with palisading nuclei and often contains **Verocay bodies** [1]. - This pattern is typically more organized and compact compared to the area shown. *Antony C pattern-Verocay cells* - There is no recognized **Antony C pattern** in the histological classification of schwannomas. - The primary patterns described are **Antony A** and **Antony B**. *Antony D pattern-Verocay cells* - Similar to Antony C, there is no recognized **Antony D pattern** in the histological classification of schwannomas. - This option is a distractor based on an incorrect classification. **References:** [1] Kumar V, Abbas AK, et al.. Robbins and Cotran Pathologic Basis of Disease. 9th ed. Peripheral Nerves and Skeletal Muscles, p. 1250.
Explanation: ***Correct: Rabies encephalitis*** - The brain biopsy showing **Negri bodies** (pathognomonic eosinophilic intracytoplasmic inclusions in pyramidal neurons of hippocampus and Purkinje cells of cerebellum) is diagnostic of **rabies encephalitis** - Clinical presentation of **marked psychomotor agitation** is characteristic of the furious form of rabies - Histopathology shows **perivascular lymphocytic cuffing** and neuronal degeneration along with Negri bodies - Rabies is caused by a **neurotropic RNA rhabdovirus** transmitted through animal bites *Incorrect: Herpes simplex encephalitis* - HSV encephalitis primarily affects the **temporal lobes** (hemorrhagic necrotizing encephalitis) - Histology shows **Cowdry type A intranuclear inclusions**, not cytoplasmic Negri bodies - Clinical features include fever, altered sensorium, and temporal lobe signs (olfactory/gustatory hallucinations) *Incorrect: Creutzfeldt-Jakob disease* - CJD is a **prion disease** showing **spongiform changes** (vacuolation) in the brain parenchyma - No viral inclusion bodies are seen - Clinical presentation includes rapidly progressive dementia, myoclonus, and ataxia *Incorrect: Japanese encephalitis* - JE causes **basal ganglia and thalamic involvement** (seen on neuroimaging) - Histology shows **neuronal necrosis and neuronophagia** but no characteristic inclusion bodies like Negri bodies - Clinical features include parkinsonian features and movement disorders *Incorrect: Acute disseminated encephalomyelitis* - ADEM is a **post-infectious demyelinating disease** showing perivenular demyelination - Histology shows demyelination with preservation of axons, not viral inclusions - Usually follows viral infection or vaccination
Cerebrovascular diseases
Practice Questions
CNS trauma
Practice Questions
CNS infections
Practice Questions
Demyelinating diseases
Practice Questions
Neurodegenerative diseases
Practice Questions
Alzheimer's disease pathology
Practice Questions
Parkinson's disease pathology
Practice Questions
Amyotrophic lateral sclerosis
Practice Questions
Primary CNS tumors
Practice Questions
Metastatic CNS tumors
Practice Questions
Peripheral nerve disorders
Practice Questions
Skeletal muscle diseases
Practice Questions
Congenital CNS malformations
Practice Questions
Get full access to all questions, explanations, and performance tracking.
Start For Free