Enter your email to get your 85% OFF code and unlock the full USMLE question bank on the app.
A 62-year-old woman comes to the physician for evaluation of a mole on her forearm that has increased in size over the last several months. Physical examination shows a 9-mm skin lesion on the right forearm with irregular borders. An excisional biopsy is performed, and genetic analysis shows a mutation in the gene that encodes B-Raf. Which of the following cellular events most likely predisposed this patient to developing this skin lesion?
A 19-month-old girl is brought by her mother to the local walk-in clinic after noticing a mass protruding from her vagina. The mass had the appearance of "a bunch of grapes". She also says that she has been having a vaginal discharge for the past 6 months. Her family and personal history are not significant for malignancies or inherited disorders. The physical examination is unremarkable except for the presence of soft nodules protruding from the vaginal canal. A tissue sample is obtained for histologic evaluation. Several weeks later the patient returns to the walk-in clinic for a scheduled follow-up visit. The pathology report describes a polypoid mass beneath an epithelial surface with atypical stromal cells positive for polyclonal desmin. What is the most likely diagnosis in this patient?
A 26-year-old nulligravid woman presents to her gynecologist after noticing a lump in her right breast while showering. She states that she first noticed the lump approximately 2 weeks ago, when the mass was slightly tender to touch. Since then, the lump has gotten slightly smaller and is now non-tender. The patient is otherwise healthy. She does not take oral contraceptives. Her last menses was approximately 2 weeks ago. There is no family history of cancer. On exam, the patient's temperature is 98.3°F (36.8°C), blood pressure is 116/84 mmHg, pulse is 65/min, and respirations are 12/min. In her right breast, there is a small 1.5 cm mass that is mobile, well-circumscribed, and firm. Which of the following is most likely on histological examination of the mass?
A 28-year-old patient presents to a medical office for a consultation regarding a mole on her nose that is increasing in size. She also complains of frequent headaches, which she associates with stress on the job. She works as a civil engineer and spends much of her time outside. Her past medical history is positive for bronchial asthma; nevertheless, her vitals are stable. The mole is 8 mm in diameter, has irregular borders, and is brown in color. A biopsy is performed and sent for genetic analysis. A mutation is found. A mutation in which gene is characteristic of this patient’s main diagnosis?
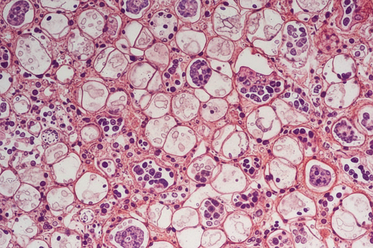
An 82-year-old woman presents to the emergency department because of excruciating right flank pain and fever for the past 2 days. She states that she is having trouble urinating. Her past medical history is unremarkable. A urinalysis is performed and comes back positive for leukocytes and gram-negative bacilli. A contrast computed tomography of the abdomen is performed and reveals a large retroperitoneal mass compressing the right ureter, leading to hydronephrosis of the right kidney. The mass is excised. Histopathologic evaluation of the mass is shown in the image below, and it is determined to be malignant. Which of the following is the most likely diagnosis in this patient?

A previously healthy 48-year-old man comes to the physician because of a 3-week history of progressively worsening jaundice, generalized itching, and epigastric discomfort. He also complains of nausea and loss of appetite. His stools have looked like clay for the past week. He has returned from a vacation in Thailand one week ago, where he got a new tattoo. He is sexually active with multiple partners and does not use protection. His vital signs are within normal limits. Examination shows jaundice and scleral icterus. Superficial excoriations are seen on all limbs. Abdominal examination shows no abnormalities. Serum studies show a fasting glucose level of 198 mg/dL, total bilirubin concentration of 10.6 mg/dL, direct bilirubin concentration of 9.8 mg/dl, and alkaline phosphatase activity of 450 U/L. Abdominal ultrasonography shows dilation of the biliary and pancreatic ducts and a 3-cm hypoechoic solid mass with irregular margins in the head of the pancreas. An elevation of which of the following serum findings is most specific for this patient's condition?
A 70-year-old retired police officer is being evaluated for fatigue. A peripheral smear shows extremely elevated numbers of immature myeloid cells, which are positive for myeloperoxidase and a translocation t(15,17). Which of the following statements is true regarding his condition?
A 63-year-old man comes to the physician because of a 2-month history of progressive fatigue. He also has shortness of breath and palpitations, which worsen on physical exertion and improve with rest. He has had intermittent constipation, low-grade fever, and generalized myalgia for the past 3 months. He has had a 10.4-kg (23-lb) weight loss over the past 4 months despite no change in appetite. His temperature is 37°C (98.6°F), pulse is 108/min, respirations are 16/min, and blood pressure is 130/78 mm Hg. Examination shows pale conjunctivae. His hemoglobin concentration is 9.1 g/dL, mean corpuscular volume is 70 μm3, and serum ferritin is 12 ng/mL. Test of the stool for occult blood is positive. Colonoscopy shows a 1.7-cm wide exophytic ulcer with irregular, bleeding edges in the ascending colon. Which of the following biopsy findings would have been the greatest predisposing factor for developing this patient's current condition?
A 57-year-old man is brought to the emergency department by his wife 20 minutes after having had a seizure. He has had recurrent headaches and dizziness for the past 2 weeks. An MRI of the brain shows multiple, round, well-demarcated lesions in the brain parenchyma at the junction between gray and white matter. This patient's brain lesions are most likely comprised of cells that originate from which of the following organs?
A 55-year old man living in Midwest USA comes in complaining of painless hematuria for the past week. He denies dysuria but complains of fatigue and lethargy at work. He has lost about 9.0 kg (20.0 lb) in the past 6 months. He drinks 1–2 beers on the weekends over the past 10 years but denies smoking. He has worked at a plastic chemical plant for the past 30 years and has never been out of the country. His father died of a heart attack at age 62 and his mother is still alive and well. There is a distant history of pancreatic cancer, but he can not remember the specifics. His vitals are stable and his physical exam is unremarkable. Urinary analysis is positive for RBCs. A cystoscopy is performed and finds a pedunculated mass projecting into the bladder lumen. A biopsy shows malignant cells. Which of the following is the most concerning risk factor for this patient’s condition?
Characteristics of benign vs malignant tumors
Practice Questions
Nomenclature of neoplasms
Practice Questions
Carcinogenesis models
Practice Questions
Oncogenes and proto-oncogenes
Practice Questions
Tumor suppressor genes
Practice Questions
DNA repair genes and cancer
Practice Questions
Epigenetic mechanisms in cancer
Practice Questions
Apoptosis and cancer
Practice Questions
Tumor angiogenesis
Practice Questions
Tumor invasion and metastasis
Practice Questions
Carcinogenic agents
Practice Questions
Paraneoplastic syndromes
Practice Questions
Tumor immunology
Practice Questions
Get full access to all questions, explanations, and performance tracking.
Scan to download app