Enter your email to get your 85% OFF code and unlock the full USMLE question bank on the app.
A 10-year-old boy with trisomy 21 arrives for his annual check-up with his pediatrician. His parents explain that over the past week, he has been increasingly withdrawn and lethargic. On examination, lymph nodes appear enlarged around the left side of his neck; otherwise, there are no remarkable findings. The pediatrician orders some routine blood work. These are the results of his complete blood count: WBC 30.4 K/μL RBC 1.6 M/μL Hemoglobin 5.1 g/dL Hematocrit 15% MCV 71 fL MCH 19.5 pg MCHC 28 g/dL Platelets 270 K/μL Differential: Neutrophils 4% Lymphocytes 94% Monocytes 2% Peripheral smear demonstrates evidence of immature cells and the case is referred to hematopathology. On flow cytometry, the cells are found to be CALLA (CD10) negative. Which of the following diseases is most associated with these clinical and cytological findings?
A 55-year-old man comes to the physician because of a 3-day history of decreased urine output, progressively worsening bilateral pedal edema, and fatigue. He has a 4-month history of persistent lower back pain. He has hypercholesterolemia and stable angina pectoris. Current medications include atorvastatin, aspirin, and ibuprofen. His pulse is 80/min, respirations are 16/min, and blood pressure is 150/100 mm Hg. Examination shows periorbital and pedal edema and pallor. There is tenderness of the lumbar spinal vertebrae. Straight leg raise test is negative. The remainder of the examination shows no abnormalities. Laboratory studies show: Hemoglobin 8.9 g/dl Serum Urea nitrogen 20 mg/dl Creatinine 2.4 mg/dl Calcium 11.2 mg/dl Alkaline phosphatase 140 U/L X-ray of the spine shows diffuse osteopenia and multiple lytic lesions. Which of the following is most likely to confirm the diagnosis?
A previously healthy 4-year-old girl is brought to the physician for evaluation of a 3-week history of recurrent vomiting and difficulty walking. Examination shows a broad-based gait and bilateral optic disc swelling. An MRI shows an intracranial tumor. A ventriculoperitoneal shunt is placed, and surgical excision of the tumor is performed. A photomicrograph of a section of the tumor is shown. Which of the following is the most likely diagnosis?

A 35-year-old man, with a history of neurofibromatosis type 2 (NF2) diagnosed 2 years ago, presents with hearing loss in the right ear and tinnitus. Patient says that symptoms have been gradually progressive. He has difficulty hearing speech as well as loud sounds. He also gives a history of occasional headaches and vertigo on and off for 1 month, which is unresponsive to paracetamol. His vitals include: blood pressure 110/78 mm Hg, temperature 36.5°C (97.8°F), pulse 78/min and respiratory rate 11/min. Tuning fork tests reveal the following: Left Right Rinne’s test Air conduction > bone conduction Air conduction > bone conduction Weber test Lateralized to left ear Other physical examination findings are within normal limits. An MRI of the head is ordered which is as shown in image 1. A biopsy is done which shows cells staining positive for S100 but negative for glial fibrillary acidic protein (GFAP). The histopathological slide is shown in image 2. What is the most likely diagnosis?

A 68-year-old man comes to the physician because of a 5-month history of undulating, dull pain in his right thigh. Physical examination shows a tender, round mass located above the right knee on the anterior aspect of the thigh. An x-ray of the right thigh shows sunburst pattern of osteolytic bone lesions in combination with sclerotic bone formation and invasion of the surrounding tissue. Despite limb-sparing attempts, the patient has to undergo amputation of the right leg. A photograph of a cross-section of the affected leg is shown. Which of the following is the strongest predisposing factor for this patient's condition?

An investigator studying the molecular characteristics of various malignant cell lines collects tissue samples from several families with a known mutation in the TP53 tumor suppressor gene. Immunohistochemical testing performed on one of the cell samples stains positive for desmin. This sample was most likely obtained from which of the following neoplasms?
A 74-year-old retired female teacher is referred to the endocrinology clinic. She is very concerned about a large mass in her neck that has progressively enlarged over the past 2 weeks. She also reports a 15 pound weight loss over the last 3 months. She now has hoarseness and difficulty swallowing her food, giving her a sensation that food gets stuck in her windpipe when she swallows. There is no pain associated with swallowing. Her speech is monotonous. No other gait or language articulation problems are noted. Testing for cranial nerve lesions is unremarkable. On palpation, a large, fixed and non-tender mass in the thyroid is noted. Cervical lymph nodes are palpable bilaterally. The patient is urgently scheduled for an ultrasound-guided fine needle aspiration to guide management. Which of the following is the most likely gene mutation to be found in this mass?
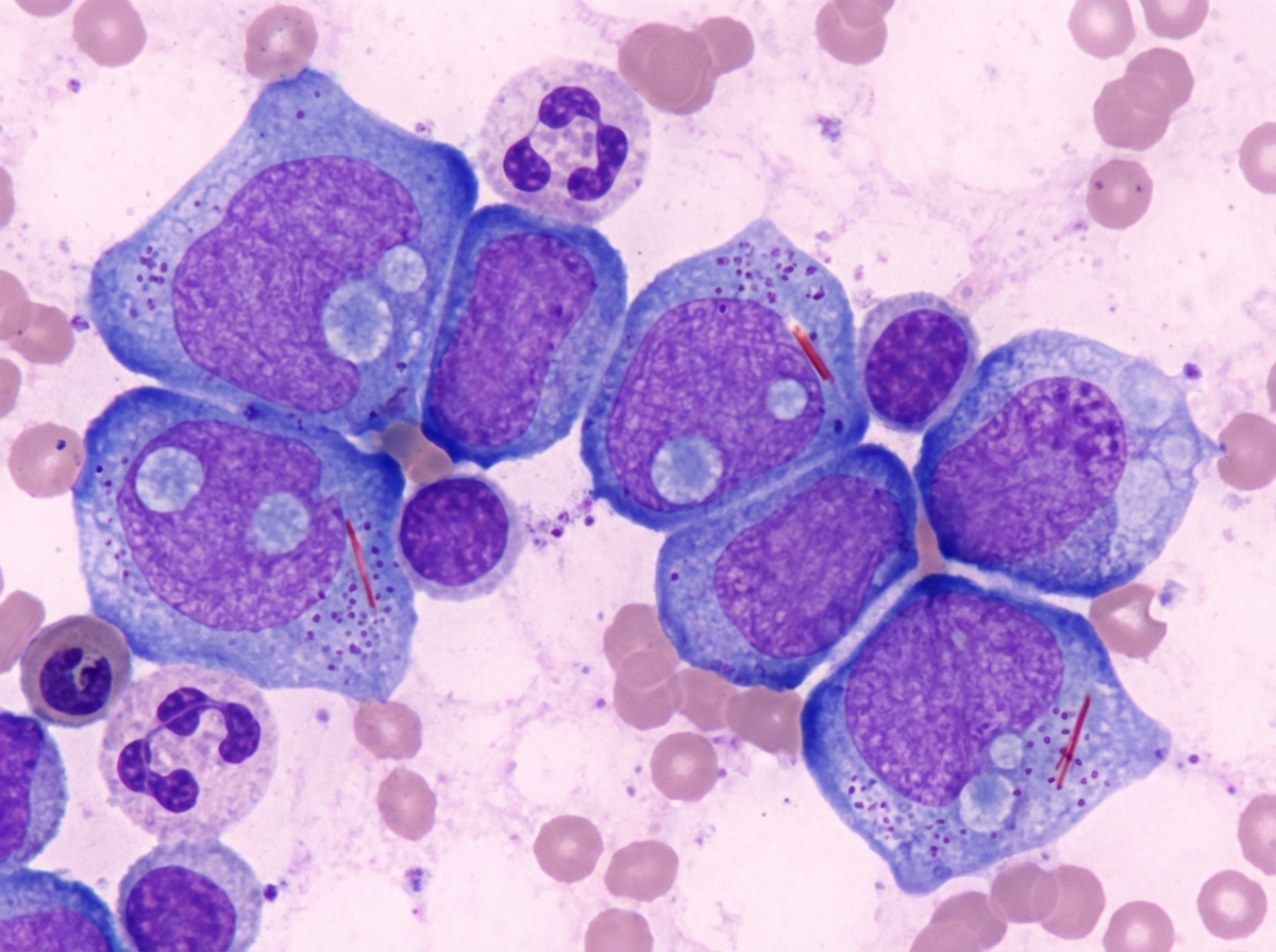
A 59-year-old man comes to the physician because of worsening fatigue and a 1-week history of gingival bleeding. He has also had decreased appetite and a 5-kg (11-lb) weight loss over the past month. He has tried over-the-counter vitamin supplements with no relief of his symptoms. He appears pale. His temperature 37.8° C (100.0°F), pulse is 72/min and blood pressure is 120/70 mm Hg. Physical examination shows numerous petechial lesions over the upper and lower extremities. A bone marrow smear is shown. Which of the following additional findings is most likely in this patient?

A 61-year-old woman visits the clinic with a complaint of new-onset episodic abnormal body movements. She says her husband noticed it twice in the past week. There were jerky movements for roughly 15 seconds during her last episode. She denies any recent trauma or fever. Her vital signs include: blood pressure 114/74 mm Hg, pulse 81/min, temperature 36.7°C (98.1°F) and respiratory rate 10/min. On physical examination, there is no evidence of focal neurological deficits. A basic metabolic panel is ordered which shows: Sodium 141 mEq/L Potassium 5.1 mEq/L Chloride 101 mEq/L Bicarbonate 24 mEq/L Albumin 4.3 mg/dL Urea nitrogen 11 mg/dL Creatinine 1.0 mg/dL Uric Acid 6.8 mg/dL Calcium 8.9 mg/dL Glucose 111 mg/dL A contrast magnetic resonance imaging (MRI) of the head is shown in the provided image. Which of the following cells is the origin of the lesion seen in this patient’s MRI?

A 58-year-old man presents with lower back pain that started a couple of weeks ago and is gradually increasing in severity. At present, he rates the intensity of the pain as 6/10. There is no radiation or associated paresthesias. There is no history of trauma. Past medical history is significant for aggressive squamous cell carcinoma of the right lung status post surgical resection followed by adjunct chemotherapy and radiation therapy that was completed 6 months ago. A technetium bone scan reveals metastatic lesions in the lumbar vertebrae at levels L2–L4. The physician explains to the patient that these are likely metastatic lesions from his primary lung cancer. Which of the following best describes the mechanism that most likely led to the development of these metastatic lesions?
Characteristics of benign vs malignant tumors
Practice Questions
Nomenclature of neoplasms
Practice Questions
Carcinogenesis models
Practice Questions
Oncogenes and proto-oncogenes
Practice Questions
Tumor suppressor genes
Practice Questions
DNA repair genes and cancer
Practice Questions
Epigenetic mechanisms in cancer
Practice Questions
Apoptosis and cancer
Practice Questions
Tumor angiogenesis
Practice Questions
Tumor invasion and metastasis
Practice Questions
Carcinogenic agents
Practice Questions
Paraneoplastic syndromes
Practice Questions
Tumor immunology
Practice Questions
Get full access to all questions, explanations, and performance tracking.
Scan to download app