Which is correct about the cytogenetic translocation seen in peripheral smear of a 70-year-old man who presents with painless cervical lymphadenopathy with progressive pallor and petechiae on ankles. Peripheral smear is shown below:

The image shows presence of:

The following image shows presence of:

The following RBC inclusion is composed of:

The following image shows presence of:

Which stain is preferred to diagnose these RBC inclusions seen in patients with elevated serum ferritin and serum iron?

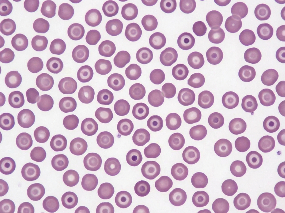
The diagnosis for the given presentation is:

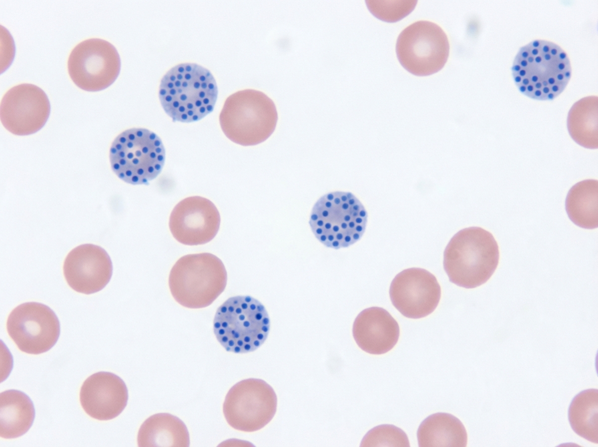
The following inclusions in multiple myeloma are called:

What is your diagnosis on the basis of image given below?

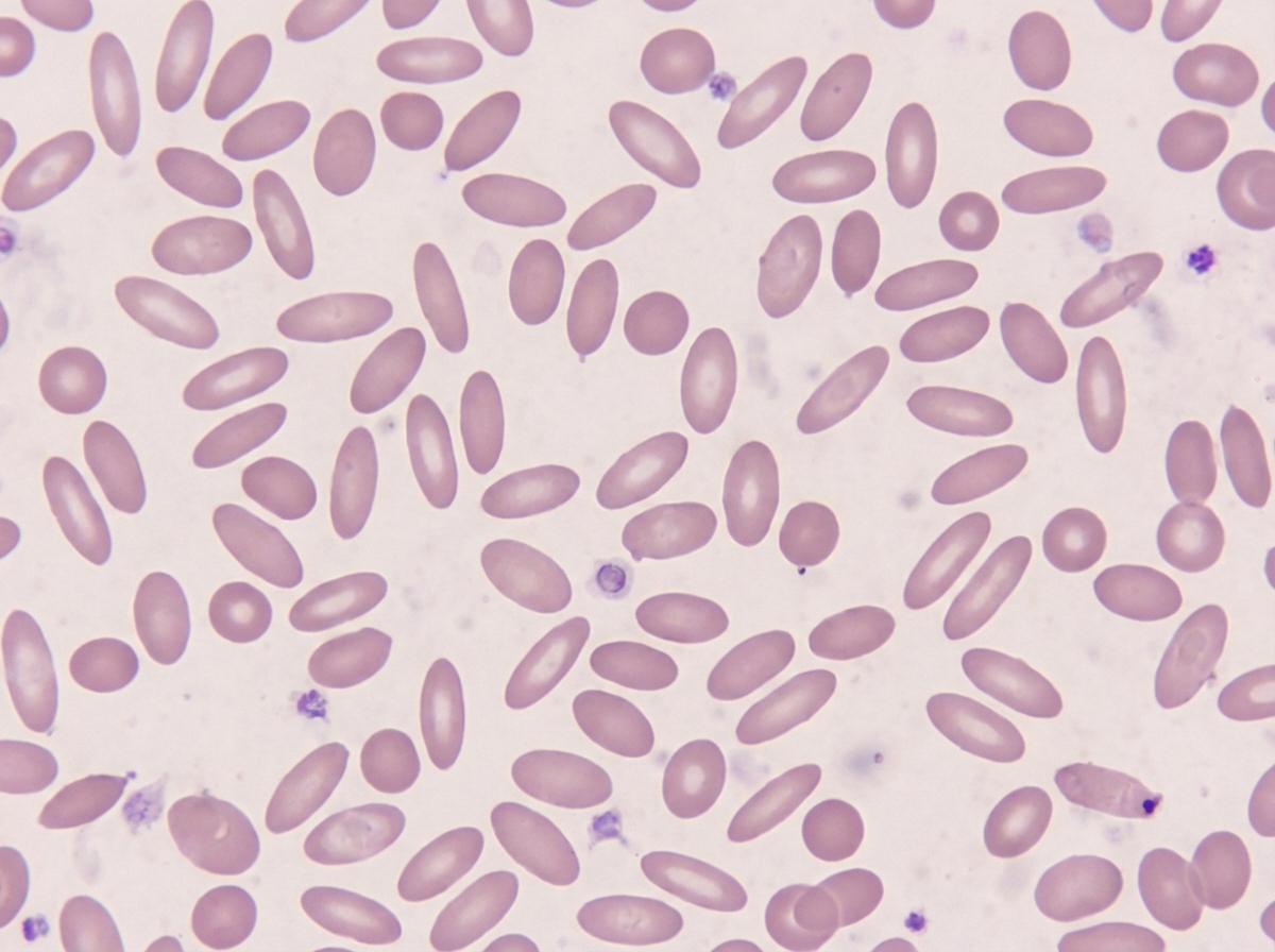
Identify the RBC shown in the figure:

Explanation: ***t(2: 5)*** - The clinical presentation of painless cervical lymphadenopathy, progressive pallor, and petechiae in an elderly man, along with the peripheral smear findings (though not explicitly described, this context implies a hematological malignancy), is highly suggestive of **Anaplastic Large Cell Lymphoma (ALCL)**. - **t(2;5)** translocation, leading to the **NPM-ALK fusion gene**, is the hallmark cytogenetic abnormality found in approximately 80% of systemic ALCL cases [1]. *t(14: 15)* - This translocation is not a commonly recognized or significant cytogenetic abnormality associated with a specific hematological malignancy in the context provided. - It does not correspond to the typical translocations seen in lymphomas or leukemias that would present with these symptoms. *t(9: 22)* - This translocation, known as the **Philadelphia chromosome**, is characteristic of **Chronic Myeloid Leukemia (CML)** [2]. - While CML can cause pallor and petechiae, it typically presents with **splenomegaly** and a very high white blood cell count with myeloid precursors, not primarily painless cervical lymphadenopathy as the initial prominent symptom. *t(1: 19)* - This translocation, **t(1;19)**, is primarily associated with **Pre-B cell Acute Lymphoblastic Leukemia (ALL)** [3]. - While ALL can present with pallor and petechiae, it is more common in children and young adults, and the specific presentation of painless cervical lymphadenopathy as a prominent feature in a 70-year-old man points away from typical ALL. **References:** [1] Kumar V, Abbas AK, et al.. Robbins and Cotran Pathologic Basis of Disease. 9th ed. Diseases of White Blood Cells, Lymph Nodes, Spleen, and Thymus, pp. 612-613. [2] Cross SS. Underwood's Pathology: A Clinical Approach. 6th ed. Common Clinical Problems From Blood And Bone Marrow Disease, pp. 605-607. [3] Kumar V, Abbas AK, et al.. Robbins and Cotran Pathologic Basis of Disease. 9th ed. Diseases of White Blood Cells, Lymph Nodes, Spleen, and Thymus, pp. 599-600.
Explanation: ***Extravascular hemolysis*** - The image likely depicts **spherocytes** or other red blood cell abnormalities characteristic of extravascular hemolysis, where red cells are destroyed in the **spleen** or **liver** [1]. - This process leads to increased **unconjugated bilirubin** and often **splenomegaly** [2]. *Intravascular hemolysis* - This type of hemolysis occurs within blood vessels, leading to the release of **hemoglobin** into the plasma [3]. - It is characterized by **hemoglobinemia**, **hemoglobinuria**, and decreased **haptoglobin**, which are not directly visible in a typical blood smear image [3]. *Myelophthisic anemia* - This condition results from the **replacement of bone marrow** by abnormal tissue, such as fibrosis, tumors, or granulomas. - It is characterized by **leukoerythroblastosis** (immature white and red blood cells in peripheral blood) and **teardrop cells**, which are not the primary feature suggested by the term "hemolysis." *Extramedullary hematopoiesis* - This refers to the formation of blood cells outside the bone marrow, typically in the **spleen** or **liver**. - While it can be a compensatory mechanism in severe anemias, including some hemolytic anemias, it is a process of blood cell production, not directly a type of hemolysis itself. **References:** [1] Cross SS. Underwood's Pathology: A Clinical Approach. 6th ed. Common Clinical Problems From Blood And Bone Marrow Disease, pp. 602-603. [2] Kumar V, Abbas AK, et al.. Robbins and Cotran Pathologic Basis of Disease. 9th ed. Red Blood Cell and Bleeding Disorders, p. 640. [3] Kumar V, Abbas AK, et al.. Robbins and Cotran Pathologic Basis of Disease. 9th ed. Red Blood Cell and Bleeding Disorders, pp. 639-640.
Explanation: ***Ovalocytes/Elliptocytes*** - The image shows a predominance of **oval or elongated red blood cells**, which are characteristic of ovalocytes or elliptocytes - These cells have an **elliptical shape with a length-to-width ratio greater than 1.3:1** - Commonly seen in **hereditary elliptocytosis** (genetic defect in RBC membrane proteins like spectrin or protein 4.1) - Also found in **iron deficiency anemia, thalassemias, myelodysplastic syndromes**, and occasionally in normal individuals *Spherocytes* - These are **small, round RBCs lacking central pallor** due to loss of membrane surface area - Seen in **hereditary spherocytosis** and **autoimmune hemolytic anemia** - The image does not show spherical cells with absent central pallor *Acanthocytes* - These are **irregularly spiculated RBCs** with 3-12 projections of varying length distributed unevenly - Associated with **liver disease, abetalipoproteinemia**, and **neuroacanthocytosis** - The cells in the image are oval/elongated, not irregularly spiculated *Target cells* - Also called **codocytes**, these cells show a **central dense area surrounded by pale zone and peripheral rim of hemoglobin** (bull's-eye appearance) - Seen in **thalassemia, liver disease, hemoglobin C disease**, and **post-splenectomy** - The image does not demonstrate the characteristic target appearance *Schistocytes* - These are **fragmented RBCs (helmet cells, triangular cells)** resulting from mechanical damage - Characteristic of **microangiopathic hemolytic anemia (MAHA)**, including DIC, TTP, HUS - The cells shown are intact oval cells, not fragmented
Explanation: ***HbH disease*** - **HbH disease** is characterized by the presence of **beta-globin tetramers (β4)**, which are unstable and precipitate within red blood cells, forming characteristic inclusions. - These inclusions are typically visualized with **supravital stains** like brilliant cresyl blue and resemble a "golf ball" appearance [1]. *Hemoglobin barts* - **Hemoglobin Barts (γ4)** is primarily seen in **hydrops fetalis**, the most severe form of alpha-thalassemia, where all four alpha-globin genes are deleted. - While it is also an unstable hemoglobin, its presence is usually incompatible with life beyond the perinatal period and is not typically seen as an RBC inclusion in adult peripheral blood. *Pernicious anemia* - **Pernicious anemia** is a type of **megaloblastic anemia** caused by **vitamin B12 deficiency**, often due to lack of intrinsic factor. - RBC inclusions associated with pernicious anemia include **Howell-Jolly bodies** (nuclear remnants) and **Pappenheimer bodies** (iron granules), not unstable hemoglobin precipitates. *Malaria* - **Malaria** is caused by **Plasmodium parasites** that infect red blood cells. - RBC inclusions in malaria are the **parasites themselves** at various stages (ring forms, trophozoites, schizonts, gametocytes) and **malarial pigment (hemozoin)**, not precipitated hemoglobin. **References:** [1] Cross SS. Underwood's Pathology: A Clinical Approach. 6th ed. Common Clinical Problems From Blood And Bone Marrow Disease, pp. 600-601.
Explanation: ***Leptocytes*** - Leptocytes, also known as **target cells**, are red blood cells with a central area of hemoglobin surrounded by a pale ring, and then an outer ring of hemoglobin, resembling a **target**. - They are typically seen in conditions like **thalassemia**, **iron deficiency anemia**, and **liver disease**. *Tear drop cells* - Tear drop cells (dacryocytes) are red blood cells with a characteristic **teardrop or pear shape**. - They are commonly associated with **myelofibrosis** [1] and other conditions causing extramedullary hematopoiesis. *Ovalocytes* - Ovalocytes (elliptocytes) are **oval-shaped red blood cells**. - They are characteristic of **hereditary elliptocytosis** and can also be seen in megaloblastic anemia. *Acanthocytes* - Acanthocytes (spur cells) are red blood cells with **irregular, spiny projections** of varying length and width. - They are typically seen in severe **liver disease** (e.g., alcoholic cirrhosis) and **abetalipoproteinemia**. **References:** [1] Kumar V, Abbas AK, et al.. Robbins and Cotran Pathologic Basis of Disease. 9th ed. Diseases of White Blood Cells, Lymph Nodes, Spleen, and Thymus, pp. 628-629.
Explanation: ***Perl stain*** - The image suggests the presence of **siderocytes** (RBCs with non-heme iron granules) or **sideroblasts** (nucleated RBC precursors with iron granules), given the context of elevated serum ferritin and iron. - The **Perl stain**, also known as Prussian blue stain, is specifically used to detect and visualize **non-heme iron** deposits, which appear as blue granules within cells. *Rubeanic acid* - Rubeanic acid is primarily used to detect **copper** in tissues, not iron. - It forms a green-black precipitate with copper and is not relevant for identifying iron inclusions in RBCs. *Supravital stain* - **Supravital stains** (e.g., brilliant cresyl blue, new methylene blue) are used to visualize **reticulocytes** (RNA) and other RBC inclusions like **Heinz bodies** (denatured hemoglobin). - While useful for diagnosing certain anemias, it does not specifically stain or highlight iron granules. *Congo red* - **Congo red** is a special stain used to detect **amyloid deposits**, which appear apple-green birefringence under polarized light. - It has no role in visualizing iron inclusions within red blood cells. *PAS stain* - **Periodic Acid-Schiff (PAS)** stain is used to detect **glycogen** and mucopolysaccharides in cells. - In hematology, it can help identify abnormal cells in certain leukemias (e.g., erythroleukemia) but does not specifically stain iron granules in RBCs.
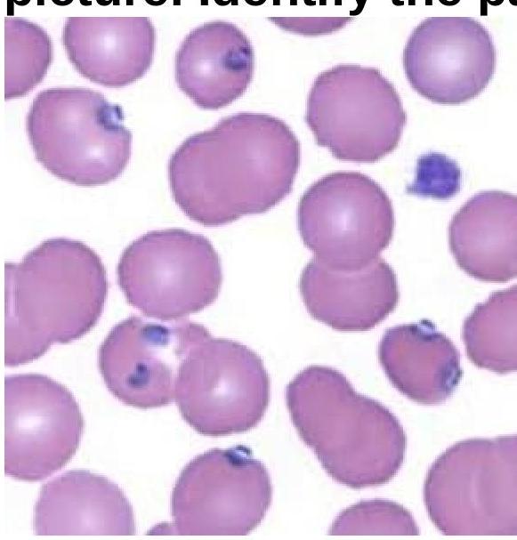
Explanation: ***Howell Jolly bodies*** - The presence of **Howell Jolly bodies** indicates impaired or absent splenic function, as the spleen normally removes these nuclear remnants from red blood cells [2]. - This finding is characteristic of **asplenia** or **hyposplenism**, which can be congenital or acquired (e.g., post-splenectomy) [1][2]. *Lead poisoning* - Lead poisoning is typically associated with **basophilic stippling** (coarse, dark blue granules) in red blood cells, not Howell Jolly bodies. - It also causes a **microcytic, hypochromic anemia** and can present with neurological or gastrointestinal symptoms. *Macrocytic anemia* - Macrocytic anemia is characterized by **enlarged red blood cells** (MCV > 100 fL), often due to **B12 or folate deficiency**. - While some macrocytic anemias can have associated red cell inclusions, Howell Jolly bodies are not a primary diagnostic feature of macrocytosis itself. *Heinz bodies* - **Heinz bodies** are denatured hemoglobin precipitates within red blood cells, typically seen in conditions like **G6PD deficiency** or **unstable hemoglobinopathies**. - They are visualized with **supravital stains** (e.g., crystal violet) and are distinct from nuclear remnants like Howell Jolly bodies. **References:** [1] Kumar V, Abbas AK, et al.. Robbins and Cotran Pathologic Basis of Disease. 9th ed. Red Blood Cell and Bleeding Disorders, pp. 644-645. [2] Cross SS. Underwood's Pathology: A Clinical Approach. 6th ed. Common Clinical Problems From Diseases Of The Urinary And Male Genital Tracts, pp. 570-571.
Explanation: ***Russell body*** - The image shows plasma cells with numerous, distinct, **intracellular inclusions** that appear as **acidophilic, hyaline, grape-like clusters**, which are characteristic of Russell bodies. - These inclusions are composed of **accumulated immunoglobulins** within the plasma cell's endoplasmic reticulum and are commonly found in conditions like multiple myeloma. *Dutcher body* - **Dutcher bodies** are intranuclear inclusions composed of immunoglobulins, not cytoplasmic like the ones seen in the image. - They are typically seen as **PAS-positive, eosinophilic inclusions** within the nucleus of plasma cells. *Mott cell* - A **Mott cell** is a plasma cell filled with multiple **Russell bodies**, giving it a characteristic "grape-like" or "mulberry" appearance. While the image depicts a Mott cell, the question specifically asks for the name of the *inclusions* themselves. - The term "Mott cell" describes the entire cell containing these inclusions, not the individual inclusions. *Flame cell* - **Flame cells** are a type of plasma cell that contains an abundance of **glycoprotein-rich secretory IgA**, which gives their cytoplasm a **distinct reddish or fiery hue** (hence "flame"). - The inclusions shown in the image are discrete, hyaline bodies, not a diffuse cytoplasmic blush, and are typically associated with IgG or IgM rather than IgA. *Auer rod* - **Auer rods** are **needle-like or rod-shaped cytoplasmic inclusions** composed of abnormal aggregates of azurophilic granules. - They are pathognomonic for **acute myeloid leukemia (AML)**, particularly in myeloblasts, and are not found in plasma cells or multiple myeloma.
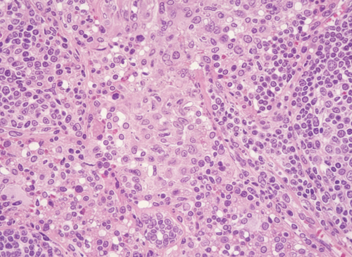
Explanation: ***Langerhans cell histiocytosis*** - The image likely depicts characteristic histological features such as **Birbeck granules** (tennis racket-shaped inclusions) or a proliferation of **Langerhans cells** with reniform nuclei, which are pathognomonic for Langerhans cell histiocytosis [1]. - This condition involves the clonal proliferation of Langerhans cells, often presenting with **lytic bone lesions**, skin rashes, or involvement of other organs [1]. *Plasmacytoma* - Plasmacytoma is a localized proliferation of **plasma cells**, which would show a different cellular morphology on histology, typically with eccentric nuclei and abundant cytoplasm [2]. - It is often associated with **monoclonal gammopathy** and can present as a solitary bone lesion or extramedullary mass [2]. *Viral encephalitis* - Viral encephalitis is an inflammation of the brain caused by a virus, and its histological findings would include **perivascular cuffing**, neuronal damage, and glial nodules, not a proliferation of histiocytic cells. - Clinical presentation would involve neurological symptoms like fever, headache, and altered mental status. *Leukemia* - Leukemia involves the proliferation of **immature white blood cells** in the bone marrow and peripheral blood, and its histological appearance would be characterized by blasts or immature myeloid/lymphoid cells. - It typically presents with pancytopenia, organomegaly, and systemic symptoms, which are distinct from the focal lesions seen in Langerhans cell histiocytosis. **References:** [1] Kumar V, Abbas AK, et al.. Robbins and Cotran Pathologic Basis of Disease. 9th ed. Diseases of White Blood Cells, Lymph Nodes, Spleen, and Thymus, p. 630. [2] Kumar V, Abbas AK, et al.. Robbins and Cotran Pathologic Basis of Disease. 9th ed. Diseases of White Blood Cells, Lymph Nodes, Spleen, and Thymus, pp. 606-607.
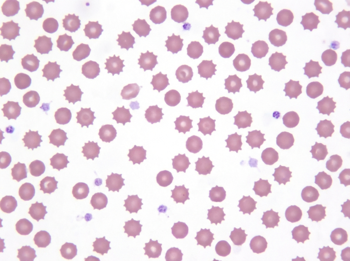
Explanation: ***Echinocyte*** - Echinocytes, also known as **burr cells**, have **evenly spaced, short, blunt projections** (10–30 in number) uniformly distributed around their surface. - They are commonly seen in conditions like **uremia**, pyruvate kinase deficiency, and can also be an artifact of slide preparation. *Acanthocyte* - Acanthocytes, or **spur cells**, have **irregularly spaced, spiny projections of varying lengths and sizes** (3–12 in number). - They are typically associated with severe liver disease (e.g., **cirrhosis**), abetalipoproteinemia, and McLeod syndrome. *Schistocyte* - Schistocytes are **fragmented red blood cells** resulting from mechanical damage within the circulation. - They are characteristic of microangiopathic hemolytic anemias (e.g., **DIC**, TTP, HUS) and mechanical heart valve hemolysis. *Spherocyte* - Spherocytes are **small, dense, spherical red blood cells** that lack central pallor. - They are seen in conditions like **hereditary spherocytosis**, autoimmune hemolytic anemia, and ABO incompatibility. *Codocyte* - Codocytes, or **target cells**, appear as RBCs with a **central dense area surrounded by a pale ring and an outer dense rim**, resembling a target or bull's-eye. - They are associated with **thalassemia**, hemoglobin C disease, liver disease, iron deficiency anemia, and post-splenectomy states. **References:** [1] Kumar V, Abbas AK, et al.. Robbins and Cotran Pathologic Basis of Disease. 9th ed. Red Blood Cell and Bleeding Disorders, pp. 640-641.
Red blood cell disorders
Practice Questions
White blood cell disorders
Practice Questions
Platelet disorders
Practice Questions
Coagulation disorders
Practice Questions
Acute leukemias
Practice Questions
Chronic leukemias
Practice Questions
Myeloproliferative neoplasms
Practice Questions
Myelodysplastic syndromes
Practice Questions
Hodgkin lymphoma
Practice Questions
Non-Hodgkin lymphomas
Practice Questions
Plasma cell disorders
Practice Questions
Bone marrow failure syndromes
Practice Questions
Splenic pathology
Practice Questions
Get full access to all questions, explanations, and performance tracking.
Start For Free