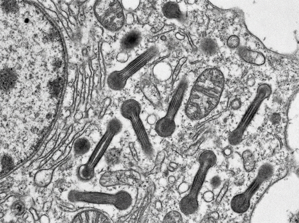
The following electron microscopy picture is a cytoplasmic feature seen in:

The image shows:

Name the anticoagulant used in the following method.

Name the inclusions shown in the blast.

This test is used as a screening tool for:

Name the test given.

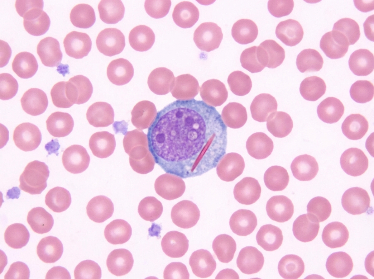
Identify the cell.

A 15-year-old patient presents with eczematous lesions for last 5 years. On physical examination, the lesions have progressed to present as plaques. Enlarged liver and spleen are noted with increased TLC. The peripheral smear was made. Clinical diagnosis is:

The following bone marrow specimen is suggestive of diagnosis of:

A 70-year-old man presents with painless cervical lymphadenopathy with progressive pallor and petechiae on ankles. Peripheral smear shows presence of:

Explanation: ***Histiocytosis X*** - The electron microscopy picture likely shows **Birbeck granules**, which are characteristic cytoplasmic features of **Langerhans cells** [1]. - **Langerhans cell histiocytosis (Histiocytosis X)** is a disorder characterized by the proliferation of these abnormal Langerhans cells [1]. *Neuroblastoma* - Neuroblastoma is a tumor of neural crest origin, and its cells typically show **neurosecretory granules** on electron microscopy. - It does not exhibit Birbeck granules, which are specific to Langerhans cells. *Chloroma* - Chloroma (also known as granulocytic sarcoma) is an extramedullary manifestation of **acute myeloid leukemia (AML)**. - Electron microscopy of chloroma cells would show features of immature myeloid cells, such as **azurophilic granules**, not Birbeck granules. *Plasmacytoma* - Plasmacytoma is a localized proliferation of **plasma cells**. - Electron microscopy of plasma cells would reveal abundant **rough endoplasmic reticulum** and a prominent Golgi apparatus, reflecting their role in antibody production, not Birbeck granules. **References:** [1] Kumar V, Abbas AK, et al.. Robbins and Cotran Pathologic Basis of Disease. 9th ed. Diseases of White Blood Cells, Lymph Nodes, Spleen, and Thymus, p. 630.
Explanation: ***Plasma cells*** - The image likely depicts cells with an **eccentric nucleus**, **perinuclear halo (hof)**, and abundant basophilic cytoplasm, which are characteristic features of **plasma cells**. - These cells are terminally differentiated **B lymphocytes** responsible for antibody production. *Langerhans cells* - Langerhans cells are **dendritic cells** found in the epidermis, characterized by a **multilobulated nucleus** and **Birbeck granules** on electron microscopy. - They are antigen-presenting cells and do not typically exhibit the morphology shown. *Reed Sternberg cells* - Reed-Sternberg cells are large, **multinucleated cells** with prominent eosinophilic nucleoli, often described as having an "**owl's eye**" appearance, pathognomonic for **Hodgkin lymphoma** [1]. - Their morphology is distinct from the cells typically seen in the image. *CMV infected cells* - Cytomegalovirus (CMV) infected cells are typically **enlarged (cytomegalic)** and contain characteristic **intranuclear and intracytoplasmic inclusions**, often described as an "**owl's eye**" appearance due to the large central inclusion. - While they can have an eccentric nucleus, the overall morphology and presence of inclusions would differentiate them from plasma cells. **References:** [1] Kumar V, Abbas AK, et al.. Robbins and Cotran Pathologic Basis of Disease. 9th ed. Diseases of White Blood Cells, Lymph Nodes, Spleen, and Thymus, pp. 614-618.
Explanation: ***Trisodium citrate*** - The image displays a method for measuring **Erythrocyte Sedimentation Rate (ESR)**, typically performed using the **Westergren method**. - In the Westergren method, **trisodium citrate** is the standard anticoagulant used to prevent blood coagulation, allowing red blood cells to settle over time. *EDTA* - **EDTA (ethylenediaminetetraacetic acid)** is a common anticoagulant, primarily used for **hematology tests** such as complete blood counts (CBC), as it preserves cell morphology. - While it prevents clotting, it is not the standard anticoagulant for the Westergren ESR method, as it can cause red blood cell shrinkage affecting sedimentation. *Heparin* - **Heparin** acts as an anticoagulant by enhancing the activity of **antithrombin III**, and is commonly used for chemistry and general coagulation studies. - It interferes with the sedimentation rate in ESR measurements, making it unsuitable for this specific test. *Dalteparin* - **Dalteparin** is a type of **low molecular weight heparin (LMWH)** used therapeutically as an anticoagulant to prevent and treat blood clots. - It is not used as an in-vitro anticoagulant for blood collection tubes or lab diagnostic tests like ESR. *Sodium fluoride* - **Sodium fluoride** is an anticoagulant and enzymatic inhibitor primarily used for **glucose measurement**, as it inhibits glycolysis and preserves glucose levels. - It is not appropriate for ESR testing, as it does not provide the optimal conditions for red blood cell sedimentation measurement.
Explanation: ***Auer rods*** - The image clearly displays **rod-shaped cytoplasmic inclusions** within the blast cell, characteristic of **Auer rods**. - Auer rods are usually composed of fused **azurophilic granules** and are pathognomonic for **acute myeloid leukemia (AML)**. *Azurophilic granules* - While Auer rods are derived from azurophilic granules, the image shows distinct **rod-like structures**, not individual, small, round azurophilic granules. - Azurophilic granules are primary granules found in early myeloid cells, but they appear as **fine, dust-like particles** or small spheres, not large rods. *Dohle bodies* - **Dohle bodies** are pale blue-gray cytoplasmic inclusions usually found in **neutrophils** during infection or inflammation, representing aggregates of rough endoplasmic reticulum. - They appear as **oval or round structures** in the peripheral cytoplasm and do not resemble the rod-shaped inclusions seen in the blast. *Heinz bodies* - **Heinz bodies** are inclusions composed of **denatured hemoglobin** found within red blood cells, not white blood cells or blasts. - They are typically associated with **oxidative stress** or certain enzyme deficiencies in red blood cells. *Howell-Jolly bodies* - **Howell-Jolly bodies** are small, round nuclear remnants (DNA fragments) found in **red blood cells**, not in blast cells. - They appear as single or multiple dark purple-blue inclusions in RBCs and are seen in conditions like **asplenia** or **severe hemolytic anemia**.
Explanation: ***Thalassemia*** - The image shows the **NESTROFT (Naked Eye Single Tube Red Cell Osmotic Fragility Test)**, used as a simple, cheap **community screening tool** for **beta-thalassemia trait**. - In NESTROFT, RBCs are placed in hypotonic saline; thalassemia trait cells (due to reduced MCV) show **increased osmotic resistance**, resulting in a **clear/non-turbid** tube (positive test). - **Hemoglobin electrophoresis** is the definitive confirmatory test, but NESTROFT serves as the primary screening step. *Hereditary spherocytosis* - Diagnosed by **osmotic fragility test** or **flow cytometry** for eosin-5-maleimide (EMA) binding. - Spherocytes show **increased osmotic fragility** (lyse in less hypotonic saline), unlike thalassemia trait cells. - Not typically screened at a community level with a single-tube test. *G6PD* - Diagnosed by **G6PD enzyme assay** measuring enzyme activity. - **Heinz bodies** may be seen on peripheral smear during hemolytic episodes. - Screening is done by fluorescent spot test or enzyme quantification, not the tube-based osmotic fragility approach. *Megaloblastic anemia* - Diagnosed by **macrocytic anemia** on CBC, along with **hypersegmented neutrophils** on peripheral smear. - Confirmed by **serum B12** and **folate levels**; no tube-based osmotic test is used for screening. *Sickle cell disease* - Screened by the **sickling test** (sodium metabisulfite test) or **solubility test**, and confirmed by **Hb electrophoresis**. - Sickled cells show **normal osmotic fragility** (unlike spherocytes), so a tube osmotic fragility test would not screen for this condition. **References:** [1] Cross SS. Underwood's Pathology: A Clinical Approach. 6th ed. Common Clinical Problems From Blood And Bone Marrow Disease, pp. 597-598. [2] Kumar V, Abbas AK, et al. Robbins and Cotran Pathologic Basis of Disease. 9th ed. Red Blood Cell and Bleeding Disorders, pp. 641-642.
Explanation: ***ESR measurement*** - The image displays a **Westergren tube** with a column of blood, showing distinct layers of plasma on top and red blood cells settled below against a calibrated scale. - This setup is characteristic of an **Erythrocyte Sedimentation Rate (ESR)** test, which measures the rate at which red blood cells fall in a standardized tube over a specific time, indicating inflammation. *Osmotic fragility* - This test involves exposing red blood cells to varying concentrations of **hypotonic saline solutions** to assess their resistance to lysis. - The results are typically reported as a curve showing the percentage of hemolysis at different saline concentrations, not a simple sedimentation in a tube. *NESTROFT* - The **Naked Eye Single Tube Red Cell Osmotic Fragility Test (NESTROFT)** is a quick screening test for **beta-thalassemia trait**. - It involves mixing blood with a hypotonic saline solution and observing for complete hemolysis or partial hemolysis with a button of red cells, which is different from the image shown. *Sickling test* - A sickling test is used to detect the presence of **sickle hemoglobin**, which causes red blood cells to deform into a sickle shape under low oxygen conditions. - This test is usually performed by adding a reducing agent like **sodium metabisulfite** to a blood sample and observing cell morphology under a microscope or by turbidity, not by sedimentation in a calibrated tube. *Packed cell volume (PCV)* - PCV or **hematocrit** measures the proportion of blood volume occupied by red blood cells after centrifugation in a **microhematocrit tube**. - While it does involve blood in a tube, the tube is much smaller (capillary tube) and requires **centrifugation** to separate components, unlike ESR which relies on natural sedimentation under gravity in a larger calibrated Westergren tube.
Explanation: ***Monocyte*** - Monocytes are characterized by their **large size** (12-20 µm), **kidney-shaped or horseshoe-shaped nucleus**, and **abundant, often grayish-blue cytoplasm** with fine azurophilic granules [1]. - They are precursors to **macrophages** and play a crucial role in phagocytosis and antigen presentation [1]. *Eosinophil* - Eosinophils have a **bilobed nucleus** and prominent **red-orange granules** in their cytoplasm, which stain with eosin [1]. - They are primarily involved in allergic reactions and defense against **parasitic infections** [1]. *Basophil* - Basophils are characterized by a **lobed nucleus** often obscured by large, coarse, **dark purple-blue granules** that contain histamine and heparin [1]. - They are the least common granulocyte and are involved in **allergic and inflammatory responses** [1]. *Lymphocyte* - Lymphocytes are typically **smaller** than monocytes, with a **large, round, or slightly indented nucleus** that occupies most of the cell [1]. - Their cytoplasm is usually **scanty and pale blue**, often appearing as a thin rim around the nucleus [1]. **References:** [1] Cross SS. Underwood's Pathology: A Clinical Approach. 6th ed. Common Clinical Problems From Blood And Bone Marrow Disease, pp. 578-580.
Explanation: ***Peripheral T cell lymphoma*** - The progression of **eczematous lesions** to **plaques** over 5 years, along with **hepatosplenomegaly** and **increased TLC**, is highly suggestive of a cutaneous T-cell lymphoma, which falls under the umbrella of peripheral T-cell lymphomas. - Mycosis fungoides, a common type of cutaneous T-cell lymphoma, often presents with these skin findings and can progress to systemic involvement with **lymphadenopathy**, **hepatosplenomegaly**, and **leukemia** (Sézary syndrome) [1,2]. The clinical progression from eczematous patches to plaques is characteristic of mycosis fungoides, which typically progresses through patch, plaque, and tumor stages [1]. *Immunoblastic lymphoma* - Immunoblastic lymphoma is a **high-grade B-cell lymphoma** characterized by large immunoblasts, not typically presenting with a long history of eczematous lesions. - While it can cause systemic symptoms like hepatosplenomegaly, the primary skin presentation as progressive eczematous lesions is not characteristic. *DLBCL* - **Diffuse Large B-cell Lymphoma (DLBCL)** is an aggressive B-cell lymphoma that can present with rapidly growing masses, but a 5-year history of progressive eczematous lesions is not its typical presentation. - While DLBCL can involve the skin, it usually manifests as nodules or tumors, not chronic eczematous patches and plaques. *Lymphoplasmacytic lymphoma* - **Lymphoplasmacytic lymphoma** is a low-grade B-cell lymphoma often associated with **Waldenström macroglobulinemia** and characterized by IgM paraprotein. - It typically presents with symptoms related to hyperviscosity, lymphadenopathy, and hepatosplenomegaly, but not primarily with chronic eczematous skin lesions. **References:** [1] Cross SS. Underwood's Pathology: A Clinical Approach. 6th ed. Common Clinical Problems From Diseases Of The Urinary And Male Genital Tracts, pp. 564-565. [2] Kumar V, Abbas AK, et al.. Robbins and Cotran Pathologic Basis of Disease. 9th ed. Diseases of White Blood Cells, Lymph Nodes, Spleen, and Thymus, pp. 613-614.
Explanation: ***Aplastic anemia*** - Aplastic anemia is characterized by a **hypocellular bone marrow** with a significant reduction in hematopoietic cells and replacement by **fat cells (adipocytes)** as seen in the specimen. - This condition leads to **pancytopenia**, affecting all three cell lines (red blood cells, white blood cells, and platelets). - Bone marrow cellularity is typically **<25%** (normal ~50%), with the remaining space occupied by fat and stroma. *Pure red cell aplasia* - Pure red cell aplasia primarily affects **erythroid precursors** in the bone marrow, leading to severe anemia. - Unlike aplastic anemia, the **myeloid and megakaryocytic lineages** are typically preserved, and overall marrow cellularity is not severely reduced. *Myelodysplasia* - Myelodysplastic syndromes (MDS) are characterized by **dysplastic changes** in one or more hematopoietic cell lines and **ineffective hematopoiesis**. - The bone marrow in MDS can be **normocellular or hypercellular** with morphological dysplasia (abnormal cell forms), not simply hypocellular with fat replacement. *Normal marrow* - A normal bone marrow is **cellular for the patient's age**, with a healthy mix of hematopoietic cells from all lineages and appropriate fat content (~50% cellularity in adults). - It would not show the profound **hypocellularity and fat replacement** seen in the provided specimen. *Hairy cell leukemia* - Hairy cell leukemia (HCL) shows bone marrow infiltration by **lymphoid cells with characteristic cytoplasmic hair-like projections** (best seen on peripheral smear). - Bone marrow biopsy in HCL typically shows **"fried egg" appearance** due to widely spaced hairy cells with pale cytoplasm — not a simple hypocellular, fat-replaced marrow. - HCL causes **dry tap** on aspiration but the trephine shows infiltration, not the pure hypocellularity seen in aplastic anemia. **References:** [1] Kumar V, Abbas AK, et al. Robbins and Cotran Pathologic Basis of Disease. 9th ed. Red Blood Cell and Bleeding Disorders, p. 662. [2] Kumar V, Abbas AK, et al. Robbins and Cotran Pathologic Basis of Disease. 9th ed. Red Blood Cell and Bleeding Disorders, pp. 662-663. [3] Cross SS. Underwood's Pathology: A Clinical Approach. 6th ed. Common Clinical Problems From Blood And Bone Marrow Disease, pp. 595-596. [4] Cross SS. Underwood's Pathology: A Clinical Approach. 6th ed. Common Clinical Problems From Blood And Bone Marrow Disease, pp. 613-614.
Explanation: ***CLL*** - The presentation of **painless cervical lymphadenopathy**, progressive **pallor** (due to anemia), and **petechiae** (due to thrombocytopenia) in an elderly patient is highly suggestive of **Chronic Lymphocytic Leukemia (CLL)** [2]. - Peripheral smear in CLL typically shows a proliferation of mature-appearing **small lymphocytes** and characteristic **smudge cells** [1]. *Acute ITP* - Acute ITP is characterized by sudden onset of **thrombocytopenia** and bleeding, often following a viral infection, and is more common in children. - It does not typically present with **lymphadenopathy** or progressive pallor as a primary feature. *Chronic ITP* - Chronic ITP is characterized by isolated **thrombocytopenia** and bleeding symptoms, usually without lymphadenopathy or significant anemia unless bleeding is severe. - The presence of **lymphadenopathy** points away from isolated ITP and towards a systemic hematological malignancy. *Richter syndrome* - Richter syndrome is the transformation of CLL into a more aggressive lymphoma, most commonly **diffuse large B-cell lymphoma (DLBCL)**. - While it can present with rapidly enlarging lymph nodes and systemic symptoms, the initial presentation described (painless lymphadenopathy, progressive pallor, petechiae) is more typical of **untreated CLL** before transformation [2]. **References:** [1] Kumar V, Abbas AK, et al.. Robbins and Cotran Pathologic Basis of Disease. 9th ed. Diseases of White Blood Cells, Lymph Nodes, Spleen, and Thymus, p. 602. [2] Cross SS. Underwood's Pathology: A Clinical Approach. 6th ed. Common Clinical Problems From Blood And Bone Marrow Disease, pp. 612-613.
Red blood cell disorders
Practice Questions
White blood cell disorders
Practice Questions
Platelet disorders
Practice Questions
Coagulation disorders
Practice Questions
Acute leukemias
Practice Questions
Chronic leukemias
Practice Questions
Myeloproliferative neoplasms
Practice Questions
Myelodysplastic syndromes
Practice Questions
Hodgkin lymphoma
Practice Questions
Non-Hodgkin lymphomas
Practice Questions
Plasma cell disorders
Practice Questions
Bone marrow failure syndromes
Practice Questions
Splenic pathology
Practice Questions
Get full access to all questions, explanations, and performance tracking.
Start For Free