Infant with anemia, poor growth and bleeding from nose was brought to emergency. On examination hepatosplenomegaly was noted, and serum chitotriosidase levels are elevated. Bone marrow examination was done. Diagnosis is:

The vacutainer shown below is used for collecting sample for? (AIIMS Nov 2017)

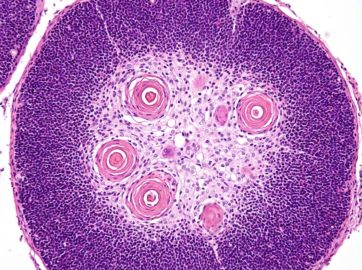
Identify the tissue:

The image shows presence of:

The image shows: (Recent NEET Pattern 2016-17)

The image shows ESR being evaluated. What anticoagulant is typically used for ESR evaluation?

The image provided shows a gel electrophoresis result. What plasma protein component is typically indicated by a broad band in this technique?

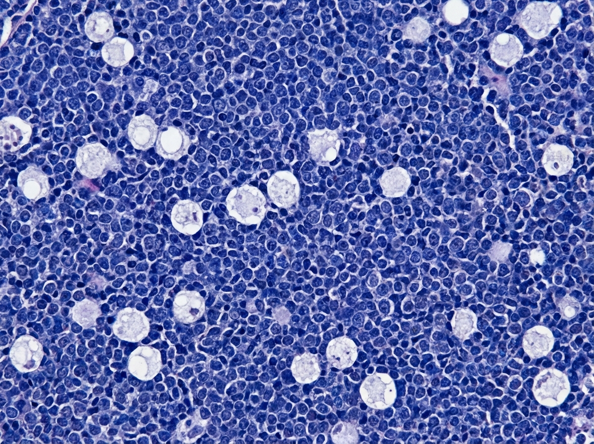
The image shows which cells?

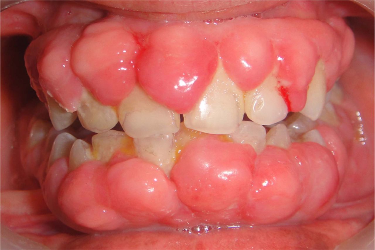
A 7-year-old boy presents with swelling of cheek for 2 months. Biopsy from the lesions shows presence of:

The following presentation can be seen in:

Explanation: ***Gaucher disease type 1*** - **Anemia**, **poor growth**, **bleeding from nose** (due to thrombocytopenia), and **hepatosplenomegaly** are classic features of Gaucher disease [1]. - **Elevated serum chitotriosidase** is a highly sensitive and specific biomarker for Gaucher disease, and bone marrow examination would reveal **Gaucher cells** (lipid-laden macrophages) [1]. *Metachromatic leukodystrophy* - This is a **lysosomal storage disorder** primarily affecting the **nervous system**, leading to demyelination. - It typically presents with neurological symptoms like developmental regression, ataxia, and spasticity, not primarily hematological or visceral involvement. *Neuronal ceroid lipofuscinosis* - This is a group of **neurodegenerative disorders** characterized by the accumulation of lipopigments in neurons and other cells. - Clinical features include progressive intellectual decline, seizures, visual impairment, and motor dysfunction, without significant hepatosplenomegaly or bleeding diathesis. *Gaucher disease type 2* - While also a type of Gaucher disease, **Type 2 (neuronopathic)** is characterized by severe, rapidly progressive neurological involvement in infancy. - Although it shares features like hepatosplenomegaly, the prominent neurological symptoms and rapid deterioration are key differentiating factors not explicitly mentioned as primary complaints here. **References:** [1] Kumar V, Abbas AK, et al.. Robbins and Cotran Pathologic Basis of Disease. 9th ed. Genetic Disorders, pp. 162-163.
Explanation: ***Serum electrolytes*** - The image shows a **green-top vacutainer**, which typically contains **lithium heparin** as an anticoagulant. - **Lithium heparin** is the preferred anticoagulant for collecting samples for **serum electrolyte** measurements, as it does not interfere with the analysis of ions like sodium, potassium, and chloride. *Serum lactate* - Serum lactate measurements usually require a **gray-top tube** containing **sodium fluoride** and **potassium oxalate** to inhibit glycolysis and stabilize lactate levels. - A green-top tube with lithium heparin is not ideal for lactate analysis due to continued glycolysis in the absence of a glycolysis inhibitor. *Serum cholesterol* - Serum cholesterol, along with other lipid profiles, is typically collected in a **red-top tube** (no additive) or a **SST (serum separator tube)**, which has a gel barrier. - While cholesterol can be measured from a heparinized plasma sample, a plain red-top or SST is more commonly used for routine lipid panels. *Serum uric acid* - Serum uric acid measurement can be performed on a sample collected in a **red-top tube** (no additive) or a **SST (serum separator tube)**. - Although lithium heparin tubes can sometimes be used, plain serum tubes are generally preferred as they yield serum directly without an anticoagulant. *Coagulation studies* - Coagulation studies (PT, PTT, INR) require a **blue-top tube** containing **sodium citrate** as the anticoagulant. - The citrate-to-blood ratio must be precise (1:9) for accurate coagulation testing, making the blue-top tube specifically designed for this purpose. - A green-top tube with heparin cannot be used for coagulation studies as heparin itself is an anticoagulant that would interfere with the test results.
Explanation: ***Thymus*** - The presence of a **cortex** and **medulla**, along with **Hassall's corpuscles** (epithelial reticular cells arranged concentrically), is characteristic of the thymus [1]. - The thymus is responsible for **T-cell maturation** and selection [1]. *Lymph node* - Lymph nodes typically show a distinct **cortex** with lymphoid follicles (B-cell areas) and a **paracortex** (T-cell area), but lack Hassall's corpuscles. - They function in **filtering lymph** and initiating immune responses. *Tonsil* - Tonsils are characterized by **crypts** lined by stratified squamous epithelium and prominent **lymphoid follicles** beneath the epithelium, which are not the primary features here. - They are part of the **Waldeyer's ring** and serve as a first line of defense against inhaled and ingested pathogens. *Spleen* - The spleen has distinct **red pulp** (involved in filtering blood and removing old red blood cells) and **white pulp** (lymphoid areas with periarteriolar lymphoid sheaths and follicles), but does not contain Hassall's corpuscles. - It is a major site for **immune surveillance** and blood filtration. **References:** [1] Kumar V, Abbas AK, et al.. Robbins and Cotran Pathologic Basis of Disease. 9th ed. Diseases of White Blood Cells, Lymph Nodes, Spleen, and Thymus, p. 634.
Explanation: ***Cardiac muscle*** - The image displays **striations** inherent to muscle tissue, characteristic of both skeletal and cardiac muscle. However, the presence of **branched fibers** and **intercalated discs** (visible as darker, irregular lines connecting cells, though sometimes subtle) confirms it as cardiac muscle. - Cardiac muscle cells are typically **uninucleated** or **binucleated** and have centrally located nuclei, which is consistent with the appearance in the micrograph. *Skeletal muscle* - While skeletal muscle also exhibits **striations**, its fibers are **long, unbranched**, and parallel. - Skeletal muscle cells are typically **multinucleated** with peripherally located nuclei. *Smooth muscle* - Smooth muscle lacks **striations** and is characterized by spindle-shaped cells with a single, centrally located nucleus. - Its contractions are involuntary and often slow and sustained. *Dense connective tissue* - Dense connective tissue is composed of **collagen fibers** arranged in parallel bundles with scattered fibroblasts. - It lacks the **striations** and **branching pattern** characteristic of cardiac muscle. *Compact bone* - Compact bone tissue is composed of **osteons** with central Haversian canals surrounded by concentric lamellae. - It would appear as a rigid matrix with lacunae containing osteocytes, which is distinctly different from the muscular tissue shown.
Explanation: ***Pelger-Huet anomaly*** - The image shows a **neutrophil** with a **bilobed nucleus** (pince-nez appearance) and unusually **coarse chromatin**, which is characteristic of the Pelger-Huët anomaly. - This is a harmless inherited condition where neutrophils fail to segment properly, but their function remains normal. *Golgi body* - The Golgi body (or Golgi apparatus) is an **organelle** found in most eukaryotic cells that is involved in packaging proteins and lipids into vesicles. - It is an intracellular structure and not typically visible as a distinct feature like the one pointed to in a peripheral blood smear. *Barr body* - A Barr body is an **inactivated X chromosome** found in the somatic cells of females. - It appears as a small, dense, dark-staining structure in the periphery of the nucleus, and while it can be confused with a drumstick appendage, the shape in the image is not typical for a Barr body. *Davidson body* - A Davidson body (or drumstick) is a small **drumstick-shaped nuclear appendage** found on the neutrophils of some females, representing the inactive X chromosome. - While it is a nuclear appendage, the structure in the image is more consistent with the characteristic bilobed nucleus of Pelger-Huët anomaly rather than a distinct drumstick appendage. *Döhle bodies* - Döhle bodies are **cytoplasmic inclusions** that appear as pale blue-gray patches in the cytoplasm of neutrophils, representing aggregates of rough endoplasmic reticulum. - They are seen in infections, burns, pregnancy, and toxic states, but the finding in the image is a **nuclear abnormality**, not a cytoplasmic inclusion.
Explanation: ***EDTA*** - **EDTA (ethylenediaminetetraacetic acid)** is an acceptable anticoagulant for ESR evaluation using automated methods - It prevents clotting by **chelating calcium ions** required for coagulation - The image lists **EDTA** alongside double oxalate as suitable for anticoagulated blood in ESR evaluation - EDTA tubes are widely available and commonly used in clinical laboratories for multiple hematology tests including ESR *Sodium citrate* - While sodium citrate (3.8% or 3.2%) is the **gold standard for manual Westergren method** ESR - The question specifically asks about the anticoagulant shown in the image, which indicates EDTA - Citrate is preferred for traditional ESR methods but requires specific dilution ratios *Heparin* - **Not recommended** for ESR evaluation - Causes **red blood cell aggregation** which can interfere with accurate ESR measurement - May produce falsely elevated or inconsistent results *Double oxalate* - Historically used for ESR (mentioned in the image) - Contains a mixture of **potassium and ammonium oxalate** in specific proportions - Less commonly used in modern laboratories compared to EDTA or citrate - Can preserve red cell morphology but has largely been replaced by EDTA *Sodium fluoride* - Primarily used as an **antiglycolytic agent** for glucose preservation - **Not suitable for ESR** evaluation - Used mainly for blood glucose specimens, not hematological testing
Explanation: ***Gamma globulin*** - In serum protein electrophoresis, **gamma globulins** typically appear as a **broad, diffuse band** due to the heterogeneity of antibodies present in the plasma. - This region is composed of a wide variety of immunoglobulins (IgG, IgA, IgM, IgD, IgE), each with slightly different charge and size, leading to a spread-out appearance on the gel. - The polyclonal nature of normal antibody production results in this characteristic broad band in the gamma region. *Albumin* - Albumin appears as a **sharp, narrow band** in serum protein electrophoresis, typically the largest single peak. - It is a homogeneous protein with consistent molecular weight and charge, producing a tight, well-defined band. - Located in the fastest-migrating region due to its high negative charge at alkaline pH. *Alpha-1 globulin* - This fraction produces a **relatively narrow band** containing proteins like alpha-1 antitrypsin and alpha-1 acid glycoprotein. - Not characteristically broad because it contains fewer protein species compared to gamma globulins. - Migrates between albumin and alpha-2 globulin regions. *Alpha-2 globulin* - Contains haptoglobin, alpha-2 macroglobulin, and ceruloplasmin, producing a **moderately defined band**. - While it contains multiple proteins, it does not show the broad, diffuse pattern characteristic of gamma globulins. - The protein heterogeneity is much less than in the immunoglobulin region. *Beta globulin* - Contains transferrin, complement components, and beta-lipoproteins, producing a **relatively discrete band**. - May sometimes show slight broadening but not as pronounced as gamma globulins. - Does not exhibit the characteristic broad, polyclonal pattern seen in the gamma region.
Explanation: ***Reticulocytes*** - The image displays red blood cells with a **reticular bluish network** in their cytoplasm, which is characteristic of **reticulocytes** stained with a supra-vital stain like new methylene blue. - This reticular material consists of **ribosomal RNA** and mitochondria, representing immature red blood cells still synthesizing hemoglobin. *Heinz bodies* - Heinz bodies are aggregates of **denatured hemoglobin** that appear as small, round inclusions near the cell membrane, visible with crystal violet stain. - They are typically associated with **oxidative stress** or unstable hemoglobin, and do not show the diffuse reticular pattern seen here. *Plasma cell* - Plasma cells are **B lymphocytes** that differentiate to produce antibodies and are much larger than red blood cells. - They have an **eccentric nucleus**, abundant basophilic cytoplasm, and a **perinuclear halo**, none of which are evident in the image. *Dohle bodies* - Dohle bodies are **pale blue-grey inclusions** in the cytoplasm of neutrophils, composed of rough endoplasmic reticulum. - They are usually associated with **severe infections, burns, or toxic states**, and are not found in red blood cells. *Howell-Jolly bodies* - Howell-Jolly bodies are **small, round, purple-blue nuclear remnants** (DNA fragments) seen in red blood cells, typically appearing as single, discrete inclusions. - They are commonly found in **asplenia or hyposplenia** and appear as distinct dots, not the diffuse reticular network characteristic of reticulocytes.
Explanation: ***Burkitt lymphoma*** - **Endemic Burkitt lymphoma** commonly presents as a **jaw mass** or facial swelling in children, particularly in Africa [1]. - The characteristic histological finding is a **"starry sky" appearance** due to scattered macrophages amidst a uniform population of medium-sized lymphocytes [2]. *Mycosis fungoides* - This is a **cutaneous T-cell lymphoma** primarily affecting the skin, presenting with patches, plaques, or tumors [3]. - It typically occurs in **adults** and rarely presents as a primary cheek swelling in a child [3]. *Hodgkin's lymphoma* - Hodgkin's lymphoma usually presents with **painless lymphadenopathy**, most commonly in the cervical region. - While it can occur in children, **extranodal involvement** like a primary cheek mass is uncommon, and the histology shows **Reed-Sternberg cells**. *Chipmunk facies* - **Chipmunk facies** is a clinical sign characterized by prominent cheekbones and maxilla, often seen in conditions like **thalassemia major** due to marrow expansion. - It is a **clinical description**, not a diagnosis based on biopsy findings of a tumor. **References:** [1] Kumar V, Abbas AK, et al.. Robbins and Cotran Pathologic Basis of Disease. 9th ed. Diseases of White Blood Cells, Lymph Nodes, Spleen, and Thymus, pp. 605-606. [2] Kumar V, Abbas AK, et al.. Robbins and Cotran Pathologic Basis of Disease. 9th ed. Diseases of White Blood Cells, Lymph Nodes, Spleen, and Thymus, p. 606. [3] Cross SS. Underwood's Pathology: A Clinical Approach. 6th ed. Common Clinical Problems From Diseases Of The Urinary And Male Genital Tracts, pp. 564-565.
Explanation: ***Acute monocytic leukemia*** - This type of leukemia is characterized by the proliferation of **monoblasts** and **promonocytes**. - It often presents with **gingival hypertrophy**, skin infiltration, and extramedullary involvement due to the migratory nature of monocytes. *Acute megakaryocytic leukemia* - This leukemia is associated with the proliferation of **megakaryoblasts**. - It is often seen in children with **Down syndrome** and typically presents with **myelofibrosis** and pancytopenia, not gingival hypertrophy. *B cell, acute lymphoblastic leukemia* - This is a common childhood leukemia characterized by the proliferation of **B-lymphoblasts**. - While it can cause generalized lymphadenopathy and hepatosplenomegaly, **gingival hypertrophy** is not a typical presenting feature. *T cell acute lymphoblastic leukemia* - This leukemia involves the proliferation of **T-lymphoblasts**. - It commonly presents with a **mediastinal mass** (thymic involvement) and can cause superior vena cava syndrome, but not typically gingival hypertrophy [1]. **References:** [1] Kumar V, Abbas AK, et al.. Robbins and Cotran Pathologic Basis of Disease. 9th ed. Diseases of White Blood Cells, Lymph Nodes, Spleen, and Thymus, pp. 599-600.
Explanation: ***Histiocytosis X*** - The electron microscopy picture likely shows **Birbeck granules**, which are characteristic cytoplasmic features of **Langerhans cells** [1]. - **Langerhans cell histiocytosis (Histiocytosis X)** is a disorder characterized by the proliferation of these abnormal Langerhans cells [1]. *Neuroblastoma* - Neuroblastoma is a tumor of neural crest origin, and its cells typically show **neurosecretory granules** on electron microscopy. - It does not exhibit Birbeck granules, which are specific to Langerhans cells. *Chloroma* - Chloroma (also known as granulocytic sarcoma) is an extramedullary manifestation of **acute myeloid leukemia (AML)**. - Electron microscopy of chloroma cells would show features of immature myeloid cells, such as **azurophilic granules**, not Birbeck granules. *Plasmacytoma* - Plasmacytoma is a localized proliferation of **plasma cells**. - Electron microscopy of plasma cells would reveal abundant **rough endoplasmic reticulum** and a prominent Golgi apparatus, reflecting their role in antibody production, not Birbeck granules. **References:** [1] Kumar V, Abbas AK, et al.. Robbins and Cotran Pathologic Basis of Disease. 9th ed. Diseases of White Blood Cells, Lymph Nodes, Spleen, and Thymus, p. 630.
Explanation: ***Plasma cells*** - The image likely depicts cells with an **eccentric nucleus**, **perinuclear halo (hof)**, and abundant basophilic cytoplasm, which are characteristic features of **plasma cells**. - These cells are terminally differentiated **B lymphocytes** responsible for antibody production. *Langerhans cells* - Langerhans cells are **dendritic cells** found in the epidermis, characterized by a **multilobulated nucleus** and **Birbeck granules** on electron microscopy. - They are antigen-presenting cells and do not typically exhibit the morphology shown. *Reed Sternberg cells* - Reed-Sternberg cells are large, **multinucleated cells** with prominent eosinophilic nucleoli, often described as having an "**owl's eye**" appearance, pathognomonic for **Hodgkin lymphoma** [1]. - Their morphology is distinct from the cells typically seen in the image. *CMV infected cells* - Cytomegalovirus (CMV) infected cells are typically **enlarged (cytomegalic)** and contain characteristic **intranuclear and intracytoplasmic inclusions**, often described as an "**owl's eye**" appearance due to the large central inclusion. - While they can have an eccentric nucleus, the overall morphology and presence of inclusions would differentiate them from plasma cells. **References:** [1] Kumar V, Abbas AK, et al.. Robbins and Cotran Pathologic Basis of Disease. 9th ed. Diseases of White Blood Cells, Lymph Nodes, Spleen, and Thymus, pp. 614-618.
Explanation: ***Trisodium citrate*** - The image displays a method for measuring **Erythrocyte Sedimentation Rate (ESR)**, typically performed using the **Westergren method**. - In the Westergren method, **trisodium citrate** is the standard anticoagulant used to prevent blood coagulation, allowing red blood cells to settle over time. *EDTA* - **EDTA (ethylenediaminetetraacetic acid)** is a common anticoagulant, primarily used for **hematology tests** such as complete blood counts (CBC), as it preserves cell morphology. - While it prevents clotting, it is not the standard anticoagulant for the Westergren ESR method, as it can cause red blood cell shrinkage affecting sedimentation. *Heparin* - **Heparin** acts as an anticoagulant by enhancing the activity of **antithrombin III**, and is commonly used for chemistry and general coagulation studies. - It interferes with the sedimentation rate in ESR measurements, making it unsuitable for this specific test. *Dalteparin* - **Dalteparin** is a type of **low molecular weight heparin (LMWH)** used therapeutically as an anticoagulant to prevent and treat blood clots. - It is not used as an in-vitro anticoagulant for blood collection tubes or lab diagnostic tests like ESR. *Sodium fluoride* - **Sodium fluoride** is an anticoagulant and enzymatic inhibitor primarily used for **glucose measurement**, as it inhibits glycolysis and preserves glucose levels. - It is not appropriate for ESR testing, as it does not provide the optimal conditions for red blood cell sedimentation measurement.
Explanation: ***Auer rods*** - The image clearly displays **rod-shaped cytoplasmic inclusions** within the blast cell, characteristic of **Auer rods**. - Auer rods are usually composed of fused **azurophilic granules** and are pathognomonic for **acute myeloid leukemia (AML)**. *Azurophilic granules* - While Auer rods are derived from azurophilic granules, the image shows distinct **rod-like structures**, not individual, small, round azurophilic granules. - Azurophilic granules are primary granules found in early myeloid cells, but they appear as **fine, dust-like particles** or small spheres, not large rods. *Dohle bodies* - **Dohle bodies** are pale blue-gray cytoplasmic inclusions usually found in **neutrophils** during infection or inflammation, representing aggregates of rough endoplasmic reticulum. - They appear as **oval or round structures** in the peripheral cytoplasm and do not resemble the rod-shaped inclusions seen in the blast. *Heinz bodies* - **Heinz bodies** are inclusions composed of **denatured hemoglobin** found within red blood cells, not white blood cells or blasts. - They are typically associated with **oxidative stress** or certain enzyme deficiencies in red blood cells. *Howell-Jolly bodies* - **Howell-Jolly bodies** are small, round nuclear remnants (DNA fragments) found in **red blood cells**, not in blast cells. - They appear as single or multiple dark purple-blue inclusions in RBCs and are seen in conditions like **asplenia** or **severe hemolytic anemia**.
Explanation: ***Thalassemia*** - The image shows the **NESTROFT (Naked Eye Single Tube Red Cell Osmotic Fragility Test)**, used as a simple, cheap **community screening tool** for **beta-thalassemia trait**. - In NESTROFT, RBCs are placed in hypotonic saline; thalassemia trait cells (due to reduced MCV) show **increased osmotic resistance**, resulting in a **clear/non-turbid** tube (positive test). - **Hemoglobin electrophoresis** is the definitive confirmatory test, but NESTROFT serves as the primary screening step. *Hereditary spherocytosis* - Diagnosed by **osmotic fragility test** or **flow cytometry** for eosin-5-maleimide (EMA) binding. - Spherocytes show **increased osmotic fragility** (lyse in less hypotonic saline), unlike thalassemia trait cells. - Not typically screened at a community level with a single-tube test. *G6PD* - Diagnosed by **G6PD enzyme assay** measuring enzyme activity. - **Heinz bodies** may be seen on peripheral smear during hemolytic episodes. - Screening is done by fluorescent spot test or enzyme quantification, not the tube-based osmotic fragility approach. *Megaloblastic anemia* - Diagnosed by **macrocytic anemia** on CBC, along with **hypersegmented neutrophils** on peripheral smear. - Confirmed by **serum B12** and **folate levels**; no tube-based osmotic test is used for screening. *Sickle cell disease* - Screened by the **sickling test** (sodium metabisulfite test) or **solubility test**, and confirmed by **Hb electrophoresis**. - Sickled cells show **normal osmotic fragility** (unlike spherocytes), so a tube osmotic fragility test would not screen for this condition. **References:** [1] Cross SS. Underwood's Pathology: A Clinical Approach. 6th ed. Common Clinical Problems From Blood And Bone Marrow Disease, pp. 597-598. [2] Kumar V, Abbas AK, et al. Robbins and Cotran Pathologic Basis of Disease. 9th ed. Red Blood Cell and Bleeding Disorders, pp. 641-642.
Explanation: ***ESR measurement*** - The image displays a **Westergren tube** with a column of blood, showing distinct layers of plasma on top and red blood cells settled below against a calibrated scale. - This setup is characteristic of an **Erythrocyte Sedimentation Rate (ESR)** test, which measures the rate at which red blood cells fall in a standardized tube over a specific time, indicating inflammation. *Osmotic fragility* - This test involves exposing red blood cells to varying concentrations of **hypotonic saline solutions** to assess their resistance to lysis. - The results are typically reported as a curve showing the percentage of hemolysis at different saline concentrations, not a simple sedimentation in a tube. *NESTROFT* - The **Naked Eye Single Tube Red Cell Osmotic Fragility Test (NESTROFT)** is a quick screening test for **beta-thalassemia trait**. - It involves mixing blood with a hypotonic saline solution and observing for complete hemolysis or partial hemolysis with a button of red cells, which is different from the image shown. *Sickling test* - A sickling test is used to detect the presence of **sickle hemoglobin**, which causes red blood cells to deform into a sickle shape under low oxygen conditions. - This test is usually performed by adding a reducing agent like **sodium metabisulfite** to a blood sample and observing cell morphology under a microscope or by turbidity, not by sedimentation in a calibrated tube. *Packed cell volume (PCV)* - PCV or **hematocrit** measures the proportion of blood volume occupied by red blood cells after centrifugation in a **microhematocrit tube**. - While it does involve blood in a tube, the tube is much smaller (capillary tube) and requires **centrifugation** to separate components, unlike ESR which relies on natural sedimentation under gravity in a larger calibrated Westergren tube.
Explanation: ***Monocyte*** - Monocytes are characterized by their **large size** (12-20 µm), **kidney-shaped or horseshoe-shaped nucleus**, and **abundant, often grayish-blue cytoplasm** with fine azurophilic granules [1]. - They are precursors to **macrophages** and play a crucial role in phagocytosis and antigen presentation [1]. *Eosinophil* - Eosinophils have a **bilobed nucleus** and prominent **red-orange granules** in their cytoplasm, which stain with eosin [1]. - They are primarily involved in allergic reactions and defense against **parasitic infections** [1]. *Basophil* - Basophils are characterized by a **lobed nucleus** often obscured by large, coarse, **dark purple-blue granules** that contain histamine and heparin [1]. - They are the least common granulocyte and are involved in **allergic and inflammatory responses** [1]. *Lymphocyte* - Lymphocytes are typically **smaller** than monocytes, with a **large, round, or slightly indented nucleus** that occupies most of the cell [1]. - Their cytoplasm is usually **scanty and pale blue**, often appearing as a thin rim around the nucleus [1]. **References:** [1] Cross SS. Underwood's Pathology: A Clinical Approach. 6th ed. Common Clinical Problems From Blood And Bone Marrow Disease, pp. 578-580.
Explanation: ***Peripheral T cell lymphoma*** - The progression of **eczematous lesions** to **plaques** over 5 years, along with **hepatosplenomegaly** and **increased TLC**, is highly suggestive of a cutaneous T-cell lymphoma, which falls under the umbrella of peripheral T-cell lymphomas. - Mycosis fungoides, a common type of cutaneous T-cell lymphoma, often presents with these skin findings and can progress to systemic involvement with **lymphadenopathy**, **hepatosplenomegaly**, and **leukemia** (Sézary syndrome) [1,2]. The clinical progression from eczematous patches to plaques is characteristic of mycosis fungoides, which typically progresses through patch, plaque, and tumor stages [1]. *Immunoblastic lymphoma* - Immunoblastic lymphoma is a **high-grade B-cell lymphoma** characterized by large immunoblasts, not typically presenting with a long history of eczematous lesions. - While it can cause systemic symptoms like hepatosplenomegaly, the primary skin presentation as progressive eczematous lesions is not characteristic. *DLBCL* - **Diffuse Large B-cell Lymphoma (DLBCL)** is an aggressive B-cell lymphoma that can present with rapidly growing masses, but a 5-year history of progressive eczematous lesions is not its typical presentation. - While DLBCL can involve the skin, it usually manifests as nodules or tumors, not chronic eczematous patches and plaques. *Lymphoplasmacytic lymphoma* - **Lymphoplasmacytic lymphoma** is a low-grade B-cell lymphoma often associated with **Waldenström macroglobulinemia** and characterized by IgM paraprotein. - It typically presents with symptoms related to hyperviscosity, lymphadenopathy, and hepatosplenomegaly, but not primarily with chronic eczematous skin lesions. **References:** [1] Cross SS. Underwood's Pathology: A Clinical Approach. 6th ed. Common Clinical Problems From Diseases Of The Urinary And Male Genital Tracts, pp. 564-565. [2] Kumar V, Abbas AK, et al.. Robbins and Cotran Pathologic Basis of Disease. 9th ed. Diseases of White Blood Cells, Lymph Nodes, Spleen, and Thymus, pp. 613-614.
Explanation: ***Aplastic anemia*** - Aplastic anemia is characterized by a **hypocellular bone marrow** with a significant reduction in hematopoietic cells and replacement by **fat cells (adipocytes)** as seen in the specimen. - This condition leads to **pancytopenia**, affecting all three cell lines (red blood cells, white blood cells, and platelets). - Bone marrow cellularity is typically **<25%** (normal ~50%), with the remaining space occupied by fat and stroma. *Pure red cell aplasia* - Pure red cell aplasia primarily affects **erythroid precursors** in the bone marrow, leading to severe anemia. - Unlike aplastic anemia, the **myeloid and megakaryocytic lineages** are typically preserved, and overall marrow cellularity is not severely reduced. *Myelodysplasia* - Myelodysplastic syndromes (MDS) are characterized by **dysplastic changes** in one or more hematopoietic cell lines and **ineffective hematopoiesis**. - The bone marrow in MDS can be **normocellular or hypercellular** with morphological dysplasia (abnormal cell forms), not simply hypocellular with fat replacement. *Normal marrow* - A normal bone marrow is **cellular for the patient's age**, with a healthy mix of hematopoietic cells from all lineages and appropriate fat content (~50% cellularity in adults). - It would not show the profound **hypocellularity and fat replacement** seen in the provided specimen. *Hairy cell leukemia* - Hairy cell leukemia (HCL) shows bone marrow infiltration by **lymphoid cells with characteristic cytoplasmic hair-like projections** (best seen on peripheral smear). - Bone marrow biopsy in HCL typically shows **"fried egg" appearance** due to widely spaced hairy cells with pale cytoplasm — not a simple hypocellular, fat-replaced marrow. - HCL causes **dry tap** on aspiration but the trephine shows infiltration, not the pure hypocellularity seen in aplastic anemia. **References:** [1] Kumar V, Abbas AK, et al. Robbins and Cotran Pathologic Basis of Disease. 9th ed. Red Blood Cell and Bleeding Disorders, p. 662. [2] Kumar V, Abbas AK, et al. Robbins and Cotran Pathologic Basis of Disease. 9th ed. Red Blood Cell and Bleeding Disorders, pp. 662-663. [3] Cross SS. Underwood's Pathology: A Clinical Approach. 6th ed. Common Clinical Problems From Blood And Bone Marrow Disease, pp. 595-596. [4] Cross SS. Underwood's Pathology: A Clinical Approach. 6th ed. Common Clinical Problems From Blood And Bone Marrow Disease, pp. 613-614.
Explanation: ***CLL*** - The presentation of **painless cervical lymphadenopathy**, progressive **pallor** (due to anemia), and **petechiae** (due to thrombocytopenia) in an elderly patient is highly suggestive of **Chronic Lymphocytic Leukemia (CLL)** [2]. - Peripheral smear in CLL typically shows a proliferation of mature-appearing **small lymphocytes** and characteristic **smudge cells** [1]. *Acute ITP* - Acute ITP is characterized by sudden onset of **thrombocytopenia** and bleeding, often following a viral infection, and is more common in children. - It does not typically present with **lymphadenopathy** or progressive pallor as a primary feature. *Chronic ITP* - Chronic ITP is characterized by isolated **thrombocytopenia** and bleeding symptoms, usually without lymphadenopathy or significant anemia unless bleeding is severe. - The presence of **lymphadenopathy** points away from isolated ITP and towards a systemic hematological malignancy. *Richter syndrome* - Richter syndrome is the transformation of CLL into a more aggressive lymphoma, most commonly **diffuse large B-cell lymphoma (DLBCL)**. - While it can present with rapidly enlarging lymph nodes and systemic symptoms, the initial presentation described (painless lymphadenopathy, progressive pallor, petechiae) is more typical of **untreated CLL** before transformation [2]. **References:** [1] Kumar V, Abbas AK, et al.. Robbins and Cotran Pathologic Basis of Disease. 9th ed. Diseases of White Blood Cells, Lymph Nodes, Spleen, and Thymus, p. 602. [2] Cross SS. Underwood's Pathology: A Clinical Approach. 6th ed. Common Clinical Problems From Blood And Bone Marrow Disease, pp. 612-613.
Explanation: ***t(2: 5)*** - The clinical presentation of painless cervical lymphadenopathy, progressive pallor, and petechiae in an elderly man, along with the peripheral smear findings (though not explicitly described, this context implies a hematological malignancy), is highly suggestive of **Anaplastic Large Cell Lymphoma (ALCL)**. - **t(2;5)** translocation, leading to the **NPM-ALK fusion gene**, is the hallmark cytogenetic abnormality found in approximately 80% of systemic ALCL cases [1]. *t(14: 15)* - This translocation is not a commonly recognized or significant cytogenetic abnormality associated with a specific hematological malignancy in the context provided. - It does not correspond to the typical translocations seen in lymphomas or leukemias that would present with these symptoms. *t(9: 22)* - This translocation, known as the **Philadelphia chromosome**, is characteristic of **Chronic Myeloid Leukemia (CML)** [2]. - While CML can cause pallor and petechiae, it typically presents with **splenomegaly** and a very high white blood cell count with myeloid precursors, not primarily painless cervical lymphadenopathy as the initial prominent symptom. *t(1: 19)* - This translocation, **t(1;19)**, is primarily associated with **Pre-B cell Acute Lymphoblastic Leukemia (ALL)** [3]. - While ALL can present with pallor and petechiae, it is more common in children and young adults, and the specific presentation of painless cervical lymphadenopathy as a prominent feature in a 70-year-old man points away from typical ALL. **References:** [1] Kumar V, Abbas AK, et al.. Robbins and Cotran Pathologic Basis of Disease. 9th ed. Diseases of White Blood Cells, Lymph Nodes, Spleen, and Thymus, pp. 612-613. [2] Cross SS. Underwood's Pathology: A Clinical Approach. 6th ed. Common Clinical Problems From Blood And Bone Marrow Disease, pp. 605-607. [3] Kumar V, Abbas AK, et al.. Robbins and Cotran Pathologic Basis of Disease. 9th ed. Diseases of White Blood Cells, Lymph Nodes, Spleen, and Thymus, pp. 599-600.
Explanation: ***Extravascular hemolysis*** - The image likely depicts **spherocytes** or other red blood cell abnormalities characteristic of extravascular hemolysis, where red cells are destroyed in the **spleen** or **liver** [1]. - This process leads to increased **unconjugated bilirubin** and often **splenomegaly** [2]. *Intravascular hemolysis* - This type of hemolysis occurs within blood vessels, leading to the release of **hemoglobin** into the plasma [3]. - It is characterized by **hemoglobinemia**, **hemoglobinuria**, and decreased **haptoglobin**, which are not directly visible in a typical blood smear image [3]. *Myelophthisic anemia* - This condition results from the **replacement of bone marrow** by abnormal tissue, such as fibrosis, tumors, or granulomas. - It is characterized by **leukoerythroblastosis** (immature white and red blood cells in peripheral blood) and **teardrop cells**, which are not the primary feature suggested by the term "hemolysis." *Extramedullary hematopoiesis* - This refers to the formation of blood cells outside the bone marrow, typically in the **spleen** or **liver**. - While it can be a compensatory mechanism in severe anemias, including some hemolytic anemias, it is a process of blood cell production, not directly a type of hemolysis itself. **References:** [1] Cross SS. Underwood's Pathology: A Clinical Approach. 6th ed. Common Clinical Problems From Blood And Bone Marrow Disease, pp. 602-603. [2] Kumar V, Abbas AK, et al.. Robbins and Cotran Pathologic Basis of Disease. 9th ed. Red Blood Cell and Bleeding Disorders, p. 640. [3] Kumar V, Abbas AK, et al.. Robbins and Cotran Pathologic Basis of Disease. 9th ed. Red Blood Cell and Bleeding Disorders, pp. 639-640.
Explanation: ***Ovalocytes/Elliptocytes*** - The image shows a predominance of **oval or elongated red blood cells**, which are characteristic of ovalocytes or elliptocytes - These cells have an **elliptical shape with a length-to-width ratio greater than 1.3:1** - Commonly seen in **hereditary elliptocytosis** (genetic defect in RBC membrane proteins like spectrin or protein 4.1) - Also found in **iron deficiency anemia, thalassemias, myelodysplastic syndromes**, and occasionally in normal individuals *Spherocytes* - These are **small, round RBCs lacking central pallor** due to loss of membrane surface area - Seen in **hereditary spherocytosis** and **autoimmune hemolytic anemia** - The image does not show spherical cells with absent central pallor *Acanthocytes* - These are **irregularly spiculated RBCs** with 3-12 projections of varying length distributed unevenly - Associated with **liver disease, abetalipoproteinemia**, and **neuroacanthocytosis** - The cells in the image are oval/elongated, not irregularly spiculated *Target cells* - Also called **codocytes**, these cells show a **central dense area surrounded by pale zone and peripheral rim of hemoglobin** (bull's-eye appearance) - Seen in **thalassemia, liver disease, hemoglobin C disease**, and **post-splenectomy** - The image does not demonstrate the characteristic target appearance *Schistocytes* - These are **fragmented RBCs (helmet cells, triangular cells)** resulting from mechanical damage - Characteristic of **microangiopathic hemolytic anemia (MAHA)**, including DIC, TTP, HUS - The cells shown are intact oval cells, not fragmented
Explanation: ***HbH disease*** - **HbH disease** is characterized by the presence of **beta-globin tetramers (β4)**, which are unstable and precipitate within red blood cells, forming characteristic inclusions. - These inclusions are typically visualized with **supravital stains** like brilliant cresyl blue and resemble a "golf ball" appearance [1]. *Hemoglobin barts* - **Hemoglobin Barts (γ4)** is primarily seen in **hydrops fetalis**, the most severe form of alpha-thalassemia, where all four alpha-globin genes are deleted. - While it is also an unstable hemoglobin, its presence is usually incompatible with life beyond the perinatal period and is not typically seen as an RBC inclusion in adult peripheral blood. *Pernicious anemia* - **Pernicious anemia** is a type of **megaloblastic anemia** caused by **vitamin B12 deficiency**, often due to lack of intrinsic factor. - RBC inclusions associated with pernicious anemia include **Howell-Jolly bodies** (nuclear remnants) and **Pappenheimer bodies** (iron granules), not unstable hemoglobin precipitates. *Malaria* - **Malaria** is caused by **Plasmodium parasites** that infect red blood cells. - RBC inclusions in malaria are the **parasites themselves** at various stages (ring forms, trophozoites, schizonts, gametocytes) and **malarial pigment (hemozoin)**, not precipitated hemoglobin. **References:** [1] Cross SS. Underwood's Pathology: A Clinical Approach. 6th ed. Common Clinical Problems From Blood And Bone Marrow Disease, pp. 600-601.
Explanation: ***Leptocytes*** - Leptocytes, also known as **target cells**, are red blood cells with a central area of hemoglobin surrounded by a pale ring, and then an outer ring of hemoglobin, resembling a **target**. - They are typically seen in conditions like **thalassemia**, **iron deficiency anemia**, and **liver disease**. *Tear drop cells* - Tear drop cells (dacryocytes) are red blood cells with a characteristic **teardrop or pear shape**. - They are commonly associated with **myelofibrosis** [1] and other conditions causing extramedullary hematopoiesis. *Ovalocytes* - Ovalocytes (elliptocytes) are **oval-shaped red blood cells**. - They are characteristic of **hereditary elliptocytosis** and can also be seen in megaloblastic anemia. *Acanthocytes* - Acanthocytes (spur cells) are red blood cells with **irregular, spiny projections** of varying length and width. - They are typically seen in severe **liver disease** (e.g., alcoholic cirrhosis) and **abetalipoproteinemia**. **References:** [1] Kumar V, Abbas AK, et al.. Robbins and Cotran Pathologic Basis of Disease. 9th ed. Diseases of White Blood Cells, Lymph Nodes, Spleen, and Thymus, pp. 628-629.
Explanation: ***Perl stain*** - The image suggests the presence of **siderocytes** (RBCs with non-heme iron granules) or **sideroblasts** (nucleated RBC precursors with iron granules), given the context of elevated serum ferritin and iron. - The **Perl stain**, also known as Prussian blue stain, is specifically used to detect and visualize **non-heme iron** deposits, which appear as blue granules within cells. *Rubeanic acid* - Rubeanic acid is primarily used to detect **copper** in tissues, not iron. - It forms a green-black precipitate with copper and is not relevant for identifying iron inclusions in RBCs. *Supravital stain* - **Supravital stains** (e.g., brilliant cresyl blue, new methylene blue) are used to visualize **reticulocytes** (RNA) and other RBC inclusions like **Heinz bodies** (denatured hemoglobin). - While useful for diagnosing certain anemias, it does not specifically stain or highlight iron granules. *Congo red* - **Congo red** is a special stain used to detect **amyloid deposits**, which appear apple-green birefringence under polarized light. - It has no role in visualizing iron inclusions within red blood cells. *PAS stain* - **Periodic Acid-Schiff (PAS)** stain is used to detect **glycogen** and mucopolysaccharides in cells. - In hematology, it can help identify abnormal cells in certain leukemias (e.g., erythroleukemia) but does not specifically stain iron granules in RBCs.
Explanation: ***Howell Jolly bodies*** - The presence of **Howell Jolly bodies** indicates impaired or absent splenic function, as the spleen normally removes these nuclear remnants from red blood cells [2]. - This finding is characteristic of **asplenia** or **hyposplenism**, which can be congenital or acquired (e.g., post-splenectomy) [1][2]. *Lead poisoning* - Lead poisoning is typically associated with **basophilic stippling** (coarse, dark blue granules) in red blood cells, not Howell Jolly bodies. - It also causes a **microcytic, hypochromic anemia** and can present with neurological or gastrointestinal symptoms. *Macrocytic anemia* - Macrocytic anemia is characterized by **enlarged red blood cells** (MCV > 100 fL), often due to **B12 or folate deficiency**. - While some macrocytic anemias can have associated red cell inclusions, Howell Jolly bodies are not a primary diagnostic feature of macrocytosis itself. *Heinz bodies* - **Heinz bodies** are denatured hemoglobin precipitates within red blood cells, typically seen in conditions like **G6PD deficiency** or **unstable hemoglobinopathies**. - They are visualized with **supravital stains** (e.g., crystal violet) and are distinct from nuclear remnants like Howell Jolly bodies. **References:** [1] Kumar V, Abbas AK, et al.. Robbins and Cotran Pathologic Basis of Disease. 9th ed. Red Blood Cell and Bleeding Disorders, pp. 644-645. [2] Cross SS. Underwood's Pathology: A Clinical Approach. 6th ed. Common Clinical Problems From Diseases Of The Urinary And Male Genital Tracts, pp. 570-571.
Explanation: ***Russell body*** - The image shows plasma cells with numerous, distinct, **intracellular inclusions** that appear as **acidophilic, hyaline, grape-like clusters**, which are characteristic of Russell bodies. - These inclusions are composed of **accumulated immunoglobulins** within the plasma cell's endoplasmic reticulum and are commonly found in conditions like multiple myeloma. *Dutcher body* - **Dutcher bodies** are intranuclear inclusions composed of immunoglobulins, not cytoplasmic like the ones seen in the image. - They are typically seen as **PAS-positive, eosinophilic inclusions** within the nucleus of plasma cells. *Mott cell* - A **Mott cell** is a plasma cell filled with multiple **Russell bodies**, giving it a characteristic "grape-like" or "mulberry" appearance. While the image depicts a Mott cell, the question specifically asks for the name of the *inclusions* themselves. - The term "Mott cell" describes the entire cell containing these inclusions, not the individual inclusions. *Flame cell* - **Flame cells** are a type of plasma cell that contains an abundance of **glycoprotein-rich secretory IgA**, which gives their cytoplasm a **distinct reddish or fiery hue** (hence "flame"). - The inclusions shown in the image are discrete, hyaline bodies, not a diffuse cytoplasmic blush, and are typically associated with IgG or IgM rather than IgA. *Auer rod* - **Auer rods** are **needle-like or rod-shaped cytoplasmic inclusions** composed of abnormal aggregates of azurophilic granules. - They are pathognomonic for **acute myeloid leukemia (AML)**, particularly in myeloblasts, and are not found in plasma cells or multiple myeloma.
Explanation: ***Langerhans cell histiocytosis*** - The image likely depicts characteristic histological features such as **Birbeck granules** (tennis racket-shaped inclusions) or a proliferation of **Langerhans cells** with reniform nuclei, which are pathognomonic for Langerhans cell histiocytosis [1]. - This condition involves the clonal proliferation of Langerhans cells, often presenting with **lytic bone lesions**, skin rashes, or involvement of other organs [1]. *Plasmacytoma* - Plasmacytoma is a localized proliferation of **plasma cells**, which would show a different cellular morphology on histology, typically with eccentric nuclei and abundant cytoplasm [2]. - It is often associated with **monoclonal gammopathy** and can present as a solitary bone lesion or extramedullary mass [2]. *Viral encephalitis* - Viral encephalitis is an inflammation of the brain caused by a virus, and its histological findings would include **perivascular cuffing**, neuronal damage, and glial nodules, not a proliferation of histiocytic cells. - Clinical presentation would involve neurological symptoms like fever, headache, and altered mental status. *Leukemia* - Leukemia involves the proliferation of **immature white blood cells** in the bone marrow and peripheral blood, and its histological appearance would be characterized by blasts or immature myeloid/lymphoid cells. - It typically presents with pancytopenia, organomegaly, and systemic symptoms, which are distinct from the focal lesions seen in Langerhans cell histiocytosis. **References:** [1] Kumar V, Abbas AK, et al.. Robbins and Cotran Pathologic Basis of Disease. 9th ed. Diseases of White Blood Cells, Lymph Nodes, Spleen, and Thymus, p. 630. [2] Kumar V, Abbas AK, et al.. Robbins and Cotran Pathologic Basis of Disease. 9th ed. Diseases of White Blood Cells, Lymph Nodes, Spleen, and Thymus, pp. 606-607.
Explanation: ***Echinocyte*** - Echinocytes, also known as **burr cells**, have **evenly spaced, short, blunt projections** (10–30 in number) uniformly distributed around their surface. - They are commonly seen in conditions like **uremia**, pyruvate kinase deficiency, and can also be an artifact of slide preparation. *Acanthocyte* - Acanthocytes, or **spur cells**, have **irregularly spaced, spiny projections of varying lengths and sizes** (3–12 in number). - They are typically associated with severe liver disease (e.g., **cirrhosis**), abetalipoproteinemia, and McLeod syndrome. *Schistocyte* - Schistocytes are **fragmented red blood cells** resulting from mechanical damage within the circulation. - They are characteristic of microangiopathic hemolytic anemias (e.g., **DIC**, TTP, HUS) and mechanical heart valve hemolysis. *Spherocyte* - Spherocytes are **small, dense, spherical red blood cells** that lack central pallor. - They are seen in conditions like **hereditary spherocytosis**, autoimmune hemolytic anemia, and ABO incompatibility. *Codocyte* - Codocytes, or **target cells**, appear as RBCs with a **central dense area surrounded by a pale ring and an outer dense rim**, resembling a target or bull's-eye. - They are associated with **thalassemia**, hemoglobin C disease, liver disease, iron deficiency anemia, and post-splenectomy states. **References:** [1] Kumar V, Abbas AK, et al.. Robbins and Cotran Pathologic Basis of Disease. 9th ed. Red Blood Cell and Bleeding Disorders, pp. 640-641.
Explanation: ***ABVD chemotherapy*** - ABVD (Adriamycin, Bleomycin, Vinblastine, Dacarbazine) is the standard chemotherapy regimen for **Hodgkin lymphoma**, not Burkitt lymphoma. - Burkitt lymphoma is typically treated with intensive, short-course chemotherapy regimens, often including high-dose methotrexate, cyclophosphamide, and cytarabine [3]. *Occurs due to c-Myc gene activation* - **Burkitt lymphoma** is characterized by translocations involving the **c-Myc oncogene**, most commonly t(8;14) [1]. - This translocation leads to the overexpression of the c-Myc protein, promoting uncontrolled cell proliferation [1]. *Non-Hodgkin's lymphoma* - Burkitt lymphoma is a highly aggressive type of **B-cell non-Hodgkin lymphoma (NHL)** [3]. - It is one of the fastest-growing human tumors. *Burkitt lymphoma* - The "starry sky" appearance on a biopsy, with numerous tingible body macrophages amidst a monotonous population of small, non-cleaved lymphocytes, is a classic histological feature of **Burkitt lymphoma** [2]. - This appearance is due to the rapid proliferation of lymphoma cells and the presence of macrophages phagocytosing apoptotic tumor cells [2]. **References:** [1] Kumar V, Abbas AK, et al.. Robbins and Cotran Pathologic Basis of Disease. 9th ed. Neoplasia, pp. 324-325. [2] Kumar V, Abbas AK, et al.. Robbins and Cotran Pathologic Basis of Disease. 9th ed. Diseases of White Blood Cells, Lymph Nodes, Spleen, and Thymus, p. 606. [3] Kumar V, Abbas AK, et al.. Robbins and Cotran Pathologic Basis of Disease. 9th ed. Diseases of White Blood Cells, Lymph Nodes, Spleen, and Thymus, pp. 605-606.
Explanation: ***CD15+, CD20+ and CD30+*** - Hodgkin's lymphoma Reed-Sternberg cells are typically **CD15+ and CD30+**, but **CD20−** (negative). - The claim that RS cells are CD20+ is **incorrect** — CD20 positivity would instead suggest a B-cell non-Hodgkin lymphoma. - This makes the statement FALSE, confirming it as the correct exception. *5-year survival rate is high* - Hodgkin's lymphoma generally has a **high 5-year survival rate** (>85% in early stages) due to its excellent responsiveness to chemotherapy (ABVD) and radiation therapy. - This statement is **TRUE**, so it is not the exception. *Reed-Sternberg cells are pathognomonic for Hodgkin's lymphoma* - Classic **Reed-Sternberg cells** (large binucleated giant cells with prominent "owl-eye" nucleoli) are the hallmark finding of Hodgkin's lymphoma and are considered **pathognomonic** in the appropriate clinical context. - This statement is **TRUE**, so it is not the exception. *LP must be done to rule out meningeal involvement* - **Lumbar puncture (LP)** is NOT routinely performed in Hodgkin's lymphoma; it is reserved for aggressive non-Hodgkin lymphomas (e.g., diffuse large B-cell lymphoma) or when neurological symptoms are present. - While this statement is also false, **Option A (CD20+) is more definitively incorrect** and is the standard teaching point. *EBV association is seen in some cases* - **Epstein-Barr Virus (EBV)** is associated with approximately **30–40% of classical Hodgkin's lymphoma cases**, particularly the mixed cellularity subtype. - EBV-encoded RNA (EBER) can be detected in Reed-Sternberg cells in these cases. - This statement is **TRUE**, so it is not the exception. **References:** [1] Kumar V, Abbas AK, et al. Robbins and Cotran Pathologic Basis of Disease. 9th ed. Diseases of White Blood Cells, Lymph Nodes, Spleen, and Thymus, pp. 614–618. [2] Cross SS. Underwood's Pathology: A Clinical Approach. 6th ed. pp. 559–560.
Explanation: ***Band cells, tear drop cells, hyposegmented neutrophils*** - **Band cells** and **hyposegmented neutrophils** (Pelger-Huët anomaly) are characteristic findings in **myelodysplastic syndromes (MDS)**, which often present with peripheral smear abnormalities. - **Tear drop cells** (dacryocytes) are indicative of **extramedullary hematopoiesis** or **myelofibrosis**, conditions often associated with MDS or other myeloproliferative neoplasms [1]. *Smudge cells, tear drop cells, hyposegmented neutrophils* - **Smudge cells** are characteristic of **chronic lymphocytic leukemia (CLL)**, not typically seen in conditions presenting with hyposegmented neutrophils or tear drop cells as primary features. - While tear drop cells and hyposegmented neutrophils can be seen in various conditions, their combination with smudge cells is not a typical diagnostic triad. *Lacunar cells, tear drop cells, atypical lymphocytes* - **Lacunar cells** are a specific type of **Reed-Sternberg cell variant** seen in **nodular sclerosis Hodgkin lymphoma**, which is a lymphoproliferative disorder, not typically associated with tear drop cells or hyposegmented neutrophils. - **Atypical lymphocytes** are seen in viral infections like **infectious mononucleosis** or some lymphomas, not usually alongside lacunar cells and tear drop cells in a single peripheral smear. *Reed-Sternberg cells, tear drop cells, atypical monocytes* - **Reed-Sternberg cells** are pathognomonic for **Hodgkin lymphoma** and are found in lymph node biopsies, not typically in the peripheral blood smear. - **Atypical monocytes** can be seen in various conditions, but their presence with Reed-Sternberg cells and tear drop cells does not form a coherent diagnostic picture for a peripheral smear. **References:** [1] Kumar V, Abbas AK, et al.. Robbins and Cotran Pathologic Basis of Disease. 9th ed. Diseases of White Blood Cells, Lymph Nodes, Spleen, and Thymus, pp. 628-629.
Explanation: ***Dimorphic anemia*** - This term refers to the coexistence of two types of anemia, typically **iron deficiency anemia** (microcytic, hypochromic) [2] and **megaloblastic anemia** (macrocytic) [1]. - This can occur when there is a deficiency of both **iron** and **vitamin B12** or **folate** [1][2]. *Thalassemia* - Thalassemia is a **genetic disorder** characterized by reduced or absent synthesis of globin chains, leading to **microcytic, hypochromic anemia** [3]. - It is not typically associated with the presence of two distinct red cell populations (microcytic and macrocytic) simultaneously. *Megaloblastic anemia* - Megaloblastic anemia is caused by impaired DNA synthesis, most commonly due to **vitamin B12** or **folate deficiency**, leading to **macrocytic red blood cells** [1]. - While it explains the macrocytic component, it does not account for the presence of a microcytic, hypochromic population. *G6PD deficiency* - G6PD deficiency is an **X-linked genetic disorder** that causes **hemolytic anemia** due to oxidative stress, often triggered by certain drugs, foods, or infections. - It typically presents with **normocytic or macrocytic anemia** during hemolytic episodes, and is not characterized by a dimorphic picture of microcytic and macrocytic cells. **References:** [1] Cross SS. Underwood's Pathology: A Clinical Approach. 6th ed. Common Clinical Problems From Blood And Bone Marrow Disease, pp. 593-594. [2] Cross SS. Underwood's Pathology: A Clinical Approach. 6th ed. Common Clinical Problems From Blood And Bone Marrow Disease, pp. 590-591. [3] Cross SS. Underwood's Pathology: A Clinical Approach. 6th ed. Common Clinical Problems From Blood And Bone Marrow Disease, pp. 587-588.
Explanation: ***Hodgkin's lymphoma*** - The clinical presentation of **fever**, **night sweats**, and **weight loss** (B symptoms) along with **lymphadenopathy** is classic for Hodgkin's lymphoma [2][3]. - A lymph node biopsy showing **Reed-Sternberg cells** (often implied by "photomicrograph of lymph node biopsy" in this context) is diagnostic for Hodgkin's lymphoma [1][2]. *Non-Hodgkin's lymphoma* - While Non-Hodgkin's lymphoma can present with lymphadenopathy and B symptoms, its histological features are diverse and do not typically involve **Reed-Sternberg cells** [2]. - It often has a more widespread presentation at diagnosis, including extranodal involvement, which is not specified here [2]. *Chronic lymphocytic leukemia* - CLL primarily affects **older adults** and is characterized by a proliferation of mature B lymphocytes, often presenting with **lymphocytosis** in peripheral blood. - While it can cause lymphadenopathy, the presence of B symptoms in a 6-year-old girl makes it less likely, and the characteristic biopsy findings would be different. *Acute lymphocytic leukemia* - ALL is common in **children** and presents with symptoms related to bone marrow failure (e.g., **anemia**, **thrombocytopenia**, **infections**) due to the proliferation of immature lymphoblasts. - While lymphadenopathy can occur, the primary presentation is usually not isolated to lymph nodes with prominent B symptoms without other signs of bone marrow involvement. **References:** [1] Kumar V, Abbas AK, et al.. Robbins and Cotran Pathologic Basis of Disease. 9th ed. Diseases of White Blood Cells, Lymph Nodes, Spleen, and Thymus, p. 616. [2] Kumar V, Abbas AK, et al.. Robbins and Cotran Pathologic Basis of Disease. 9th ed. Diseases of White Blood Cells, Lymph Nodes, Spleen, and Thymus, pp. 614-616. [3] Kumar V, Abbas AK, et al.. Robbins and Cotran Pathologic Basis of Disease. 9th ed. Diseases of White Blood Cells, Lymph Nodes, Spleen, and Thymus, pp. 616-618.
Explanation: ***Hodgkin's lymphoma; Epstein-Barr virus and Reed-Sternberg cells*** - The presence of **bilateral cervical lymphadenopathy** for two years, especially in a young boy, is highly suggestive of a lymphoproliferative disorder like Hodgkin's lymphoma [1]. - **Reed-Sternberg cells** are the hallmark of Hodgkin's lymphoma [1], and **Epstein-Barr virus (EBV)** is a known etiological factor, particularly in classical Hodgkin's lymphoma [1]. *Tuberculosis, Mycobacterium and Tiny granuloma* - While **tuberculosis** can cause chronic lymphadenopathy, the biopsy description (implied to show specific cells) does not align with the typical **granulomatous inflammation** and **caseous necrosis** seen in TB. - **Tiny granulomas** are not the characteristic finding for diagnosing tuberculosis in lymph nodes; larger, well-formed granulomas are more common. *Hodgkin's lymphoma; Epstein-Barr virus and orphan annie eye nucleus* - Although **Hodgkin's lymphoma** and **Epstein-Barr virus** are correct [1], the term **"orphan annie eye nucleus"** refers to the characteristic nuclear appearance of **papillary thyroid carcinoma**, not Reed-Sternberg cells. - Reed-Sternberg cells have a distinct **binucleated or multinucleated appearance** with prominent eosinophilic nucleoli [1], often described as "owl's eye" appearance, not "orphan annie eye." *Non-Hodgkin's lymphoma; HIV and popcorn cell* - **Non-Hodgkin's lymphoma (NHL)** can present with lymphadenopathy, and **HIV** is a risk factor for certain types of NHL. - However, **"popcorn cells"** (also known as L&H cells or lymphocytic and histiocytic cells) are characteristic of **nodular lymphocyte-predominant Hodgkin's lymphoma (NLPHL)** [1], a specific subtype of Hodgkin's lymphoma, not typically associated with other NHLs in this context. **References:** [1] Kumar V, Abbas AK, et al.. Robbins and Cotran Pathologic Basis of Disease. 9th ed. Diseases of White Blood Cells, Lymph Nodes, Spleen, and Thymus, pp. 614-618.
Explanation: ***EBV positive- mucocutaneous ulcer*** - The presence of **large B-cells (CD20+, CD79a+, MUM1+)** that are **EBV-positive (EBVLMP-1+)** in an ulcerated tonsil, with a **CD15 negative** profile and a background of **CD3+ T-cells**, in a patient with a negative monospot test, is characteristic of **EBV-positive mucocutaneous ulcer**. - This condition is a **polymorphic lymphoproliferative disorder** that typically presents as a localized ulcer and is associated with **immunosuppression** or **immunosenescence**, often resolving with reduced immunosuppression. *Infectious mononucleosis* - While also caused by **EBV** and presenting with **fever** and **enlarged/ulcerated tonsils**, infectious mononucleosis typically has a **positive monospot test** and shows reactive **T-cell lymphocytosis** on peripheral smear [1]. - The large cells in infectious mononucleosis are primarily **atypical T-lymphocytes**, not large B-cells with the described immunophenotype [1]. *Hodgkin lymphoma* - Hodgkin lymphoma is characterized by **Reed-Sternberg cells** and their variants, which are typically **CD15+** and **CD30+**, and **CD20 negative** (or weakly positive), which contradicts the given immunophenotype (CD20+, CD15-) [2][3]. - While some forms of Hodgkin lymphoma are EBV-associated [4], the overall immunophenotype and the description of "large cells mixed with lymphocytes" rather than classic Reed-Sternberg cells make this less likely [2]. *EBV positive- DLBCL* - **EBV-positive diffuse large B-cell lymphoma (DLBCL)** typically presents as a **mass-forming lesion** and is a more aggressive lymphoma. - While it shares the **EBV positivity** and **B-cell immunophenotype (CD20+, CD79a+, MUM1+)**, the clinical presentation as a localized ulcer in a potentially immunocompromised setting, along with the specific mention of "mucocutaneous ulcer," points more towards the distinct entity of EBV-positive mucocutaneous ulcer, which is often a more indolent, self-limiting process. **References:** [1] Kumar V, Abbas AK, et al.. Robbins and Cotran Pathologic Basis of Disease. 9th ed. Infectious Diseases, pp. 369-370. [2] Kumar V, Abbas AK, et al.. Robbins and Cotran Pathologic Basis of Disease. 9th ed. Diseases of White Blood Cells, Lymph Nodes, Spleen, and Thymus, pp. 614-616. [3] Cross SS. Underwood's Pathology: A Clinical Approach. 6th ed. Common Clinical Problems From Diseases Of The Urinary And Male Genital Tracts, pp. 556-557. [4] Kumar V, Abbas AK, et al.. Robbins and Cotran Pathologic Basis of Disease. 9th ed. Diseases of White Blood Cells, Lymph Nodes, Spleen, and Thymus, pp. 616-618.
Explanation: ***Multiple myeloma*** - The combination of intractable diarrhea, bone marrow findings (likely showing **plasma cell proliferation**), and kidney biopsy findings (suggesting **cast nephropathy** or **amyloidosis**) is highly indicative of multiple myeloma [1][3][4]. - **Monoclonal immunoglobulin light chains** produced by plasma cells can cause renal damage and gastrointestinal symptoms like diarrhea [1][2][4]. *Leishmaniasis* - Characterized by **fever**, **splenomegaly**, and **pancytopenia**, with parasites found in macrophages. - While it can affect the bone marrow, it does not typically cause the specific kidney pathology or intractable diarrhea seen in this context. *Lymphoma* - Involves the proliferation of **lymphocytes** and can present with systemic symptoms like fever, weight loss, and lymphadenopathy. - While it can infiltrate the bone marrow and kidneys, it typically does not cause the specific renal casts or amyloid deposition seen in multiple myeloma, nor is intractable diarrhea a primary feature [5]. *Urate nephropathy* - Caused by the deposition of **uric acid crystals** in the renal tubules, leading to acute kidney injury, often in the context of tumor lysis syndrome or gout. - It does not explain the intractable diarrhea or the primary bone marrow pathology of plasma cell proliferation. **References:** [1] Cross SS. Underwood's Pathology: A Clinical Approach. 6th ed. Common Clinical Problems From Blood And Bone Marrow Disease, pp. 616-617. [2] Kumar V, Abbas AK, et al.. Robbins and Cotran Pathologic Basis of Disease. 9th ed. Diseases of White Blood Cells, Lymph Nodes, Spleen, and Thymus, pp. 607-608. [3] Cross SS. Underwood's Pathology: A Clinical Approach. 6th ed. Common Clinical Problems From Blood And Bone Marrow Disease, pp. 617-618. [4] Cross SS. Underwood's Pathology: A Clinical Approach. 6th ed. Common Clinical Problems From Blood And Bone Marrow Disease, pp. 618-619. [5] Kumar V, Abbas AK, et al.. Robbins and Cotran Pathologic Basis of Disease. 9th ed. Diseases of White Blood Cells, Lymph Nodes, Spleen, and Thymus, pp. 606-607.
Explanation: ***Megaloblastic anemia*** - The image likely displays **hypersegmented neutrophils** and **macrocytic red blood cells**, which are characteristic features of **megaloblastic anemia** [1]. - This condition results from impaired DNA synthesis, often due to **vitamin B12** or **folate deficiency**. *Multiple myeloma* - This condition is characterized by the proliferation of **plasma cells** in the bone marrow, leading to **rouleaux formation** of red blood cells and **punched-out lesions** in bones [2]. - While rouleaux can be seen, the primary features of megaloblastic anemia (hypersegmented neutrophils, macro-ovalocytes) are distinct. *CML* - **Chronic Myeloid Leukemia (CML)** is a myeloproliferative neoplasm characterized by the presence of the **Philadelphia chromosome** (BCR-ABL fusion gene) [3]. - Peripheral blood smears typically show a **leukocytosis** with a full spectrum of myeloid maturation, including increased **basophils** and **eosinophils**, which are not the defining features of the image. *Metastasis* - **Metastasis** refers to the spread of cancer cells from a primary tumor to distant sites, often involving the bone marrow. - While bone marrow involvement can lead to various hematological abnormalities, the specific features of **hypersegmented neutrophils** and **macrocytic red blood cells** are not directly indicative of metastasis but rather of a primary hematological disorder like megaloblastic anemia. **References:** [1] Cross SS. Underwood's Pathology: A Clinical Approach. 6th ed. Common Clinical Problems From Blood And Bone Marrow Disease, pp. 613-614. [2] Kumar V, Abbas AK, et al.. Robbins and Cotran Pathologic Basis of Disease. 9th ed. Diseases of White Blood Cells, Lymph Nodes, Spleen, and Thymus, pp. 606-607. [3] Kumar V, Abbas AK, et al.. Robbins and Cotran Pathologic Basis of Disease. 9th ed. Diseases of White Blood Cells, Lymph Nodes, Spleen, and Thymus, pp. 624-625.
Red blood cell disorders
Practice Questions
White blood cell disorders
Practice Questions
Platelet disorders
Practice Questions
Coagulation disorders
Practice Questions
Acute leukemias
Practice Questions
Chronic leukemias
Practice Questions
Myeloproliferative neoplasms
Practice Questions
Myelodysplastic syndromes
Practice Questions
Hodgkin lymphoma
Practice Questions
Non-Hodgkin lymphomas
Practice Questions
Plasma cell disorders
Practice Questions
Bone marrow failure syndromes
Practice Questions
Splenic pathology
Practice Questions
Get full access to all questions, explanations, and performance tracking.
Start For Free