A 52-year-old man, with a history of alcoholism, presents with loss of appetite, abdominal pain, and fever for the past 24 hours. He says he consumed 12 beers and a bottle of vodka 2 days ago. He reports a 19-year history of alcoholism. His blood pressure is 100/70 mm Hg, pulse is 100/min, respirations are 20/min, and oxygen saturation is 99% on room air. Laboratory findings are significant for the following: Sodium 137 mEq/L Potassium 3.4 mEq/L Alanine aminotransferase (ALT) 230 U/L Aspartate aminotransferase (AST) 470 U/L Which of the following histopathologic findings would most likely be found on a liver biopsy of this patient?
A 25-year-old woman presents to her primary care physician complaining of several months of diarrhea. She has also had crampy abdominal pain. She has tried modifying her diet without improvement. She has many watery, non-bloody bowel movements per day. She also reports feeling fatigued. The patient has not recently traveled outside of the country. She has lost 10 pounds since her visit last year, and her BMI is now 20. On exam, she has skin tags and an anal fissure. Which of the following would most likely be seen on endoscopy and biopsy?
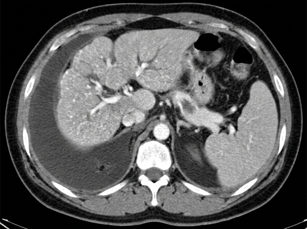
A 65-year-old man is brought to the emergency department because of a 1-day history of fever and disorientation. His wife reports that he had abdominal pain and diarrhea the previous day. He drinks 60 oz of alcohol weekly. His pulse is 110/min and blood pressure is 96/58 mm Hg. Examination shows jaundice, palmar erythema, spider nevi on his chest, dilated veins on the anterior abdominal wall, and 2+ edema of the lower extremities. The abdomen is soft and diffusely tender; there is shifting dullness to percussion. His albumin is 1.4 g/dL, bilirubin is 5 mg/dL, and prothrombin time is 31 seconds (INR = 3.3). Hepatitis serology is negative. A CT scan of the abdomen is shown. Which of the following processes is the most likely explanation for these findings?

An esophageal biopsy sample from a 47-year-old male with chronic heartburn reveals intestinal metaplasia. Which of the following abnormal cell types is likely present in this patient's esophagus?
A 21-year-old man comes to the physician because of a 6-month history of severe abdominal pain, bloating, and episodic diarrhea. He has also had a 5-kg (11-lb) weight loss during this time. Physical examination shows a mildly distended abdomen, hyperactive bowel sounds, and diffuse abdominal tenderness. A biopsy specimen of the colonic mucosa shows scattered areas of inflammation with fibrosis and noncaseating granulomas. Which of the following is most likely involved in the pathogenesis of this patient's condition?
A previously healthy 35-year-old woman comes to the physician for a 3-week history of alternating constipation and diarrhea with blood in her stool. She has not had any fevers or weight loss. Her father died of gastric cancer at 50 years of age. Physical examination shows blue-gray macules on the lips and palms of both hands. Colonoscopy shows multiple polyps throughout the small bowel and colon with one ulcerated polyp at the level of the sigmoid colon. Multiple biopsy specimens are collected. These polyps are most likely to be characterized as which of the following histological subtypes?
A 27-year-old woman presents to her primary care physician for evaluation of involuntary weight loss and recurrent abdominal pain. She noticed blood in her stool several times. The medical history is significant for the polycystic ovarian syndrome. The vital signs are as follows: temperature, 38.0°C (100.4°F); heart rate, 78/min; respiratory rate, 14/min; and blood pressure, 110/80 mm Hg. The family history is notable for paternal colon cancer. A colonoscopy is performed and is presented in the picture. What findings are expected?

A 51-year-old man presents to his primary care physician's office for a 6-week history of fatigue and diarrhea. He says that the diarrhea is frequent, small volume, and contains gross blood. Review of systems is significant for subjective fever and an unintentional 5-pound weight loss. He denies recent travel outside of the United States. His past medical history is significant for IV drug abuse, HIV infection with non-compliance, and osteoarthritis. His family history is significant for Crohn disease in his mother. His temperature is 100.7°F (38.2°C), pulse is 90/min, blood pressure is 129/72 mmHg, and respirations are 16/min. His abdominal exam shows mild right and left lower quadrant tenderness with no rebound or guarding. Laboratory results are significant for a CD4 count of 42/mm^3. Colonoscopy with tissue biopsy will most likely reveal which of the following?
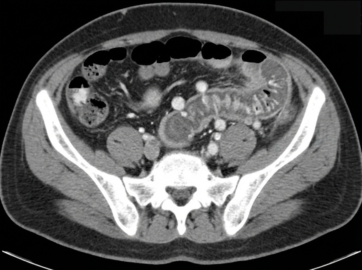
A 65-year-old man comes to the physician because of abdominal pain and bloody, mucoid diarrhea for 3 days. He has been taking over-the-counter supplements for constipation over the past 6 months. He was diagnosed with type 2 diabetes mellitus 15 years ago. He has smoked one pack of cigarettes daily for 35 years. His current medications include metformin. His temperature is 38.4°C (101.1°F), pulse is 92/min, and blood pressure is 134/82 mm Hg. Examination of the abdomen shows no masses. Palpation of the left lower abdomen elicits tenderness. A CT scan of the abdomen is shown. Which of the following is the most likely underlying cause of the patient's condition?

A 24-year-old woman comes to the physician because of progressively worsening episodes of severe, crampy abdominal pain and nonbloody diarrhea for the past 3 years. Examination of the abdomen shows mild distension and generalized tenderness. There is a fistula draining stool in the perianal region. Immunohistochemistry shows dysfunction of the nucleotide oligomerization binding domain 2 (NOD2) protein. This dysfunction most likely causes overactivity of which of the following immunological proteins in this patient?
Explanation: ***Cytoplasmic inclusion bodies with keratin*** - The patient's history of **heavy alcohol consumption**, acute presentation with fever, abdominal pain, and elevated **AST and ALT (AST:ALT ratio >2:1)**, are highly suggestive of **alcoholic hepatitis**. - **Mallory bodies**, which are **cytoplasmic inclusions consisting of intermediate filaments (keratin)**, are a characteristic histopathologic finding in alcoholic hepatitis. *Macronodular cirrhosis* - While **alcoholic liver disease** can progress to cirrhosis, the acute presentation with fever and significant transaminase elevation points more towards **alcoholic hepatitis** rather than established macronodular cirrhosis as the primary acute event. - **Macronodular cirrhosis** typically involves larger nodules of regenerating hepatocytes, but the *acute inflammatory changes* of alcoholic hepatitis are paramount in this presentation. *T-lymphocyte infiltration* - While some inflammatory cells are present in alcoholic hepatitis, **T-lymphocyte infiltration** is more characteristic of **chronic viral hepatitis** or **autoimmune hepatitis**. - The liver injury in alcoholic hepatitis is primarily mediated by neutrophils and direct hepatotoxic effects of alcohol metabolites. *Periportal necrosis* - **Periportal necrosis** is more commonly seen in **viral hepatitis** or other forms of **acute hepatitis** where the inflammatory process is concentrated around the portal tracts. - In alcoholic hepatitis, the damage is typically *centrilobular (zone 3)*, around the terminal hepatic venule, due to its hypoxic vulnerability and high cytochrome P450 activity. *Positive periodic acid-Schiff stain* - A **positive periodic acid-Schiff (PAS) stain** that is *diastase-resistant* is a characteristic finding in **alpha-1 antitrypsin deficiency**, a genetic disorder affecting the liver and lungs. - This patient's clinical presentation and lab findings are inconsistent with alpha-1 antitrypsin deficiency and strongly point towards **alcoholic liver disease**.
Explanation: ***Focal ulcerations with granuloma*** - The patient's symptoms (diarrhea, crampy abdominal pain, fatigue, weight loss, skin tags, and anal fissure) are highly suggestive of **Crohn's disease**. - **Crohn's disease** is characterized by **transmural inflammation** that often presents as **focal ulcerations** (skip lesions) and **non-caseating granulomas** on biopsy. *Diffuse, non-focal ulcerations with granuloma* - While granulomas are characteristic of Crohn's disease, the inflammation in Crohn's disease is typically **focal and discontinuous** (skip lesions), not diffuse. - Diffuse inflammation with granulomas is less typical for inflammatory bowel disease and might prompt consideration for other granulomatous diseases not fitting this clinical picture. *Diffuse, non-focal ulcerations without granuloma* - **Diffuse ulcerations without granulomas** would be more suggestive of **ulcerative colitis**, but the presence of **skin tags** and **anal fissure** points away from this diagnosis and towards Crohn's disease. - Ulcerative colitis is also characterized by **continuous inflammation** starting from the rectum, which is not described as focal. *Pseudopolyps and continuous mucosal involvement* - **Pseudopolyps** and **continuous mucosal involvement** are classic features of **ulcerative colitis**, not Crohn's disease. - The patient's extraintestinal manifestations like **skin tags** and **anal fissure** are much more common in Crohn's disease. *Friable mucosa with pinpoint hemorrhages* - **Friable mucosa** and **pinpoint hemorrhages** are characteristic findings in **ulcerative colitis**, specifically indicating active inflammation and mucosal fragility. - While these can be seen in inflammatory bowel disease, the full clinical picture with associated perianal disease is more specific for Crohn's disease.
Explanation: ***Fibrous bands surrounding regenerating hepatocytes*** - The patient presents with classic signs of **cirrhosis** (jaundice, palmar erythema, spider nevi, dilated abdominal veins, edema, ascites), acute decompensation (fever, disorientation, hypotension), and severe **hepatic dysfunction** (low albumin, high bilirubin, prolonged PT/INR). The history of heavy alcohol use supports this. - **Cirrhosis** is histologically characterized by diffuse **fibrosis** and the formation of **regenerative nodules**, which are hepatocytes surrounded by fibrous bands, leading to disruption of normal liver architecture and function. *Accumulation of iron in hepatocytes* - This is characteristic of **hereditary hemochromatosis**, which leads to **iron overload** and organ damage, including cirrhosis. - While hemochromatosis can cause cirrhosis, the patient's acute symptoms and specific liver histology (macronodular cirrhosis often seen in alcoholic liver disease) make alcoholic cirrhosis a more direct fit, and there is no mention of increased iron in labs. *Ground-glass hepatocytes with cytotoxic T cells* - **Ground-glass hepatocytes** are typically seen in **chronic hepatitis B infection**, representing an accumulation of HBsAg in the endoplasmic reticulum. - While chronic hepatitis B can lead to cirrhosis, the negative hepatitis serology and direct evidence of alcohol abuse do not support this as the primary cause. *Misfolded protein aggregates in hepatocellular endoplasmic reticulum* - This description is characteristic of **alpha-1 antitrypsin deficiency**, where defective alpha-1 antitrypsin accumulates in hepatocytes. - Although it can cause cirrhosis, the patient's symptoms are more consistent with alcoholic liver disease, and there is no mention of respiratory symptoms often associated with alpha-1 antitrypsin deficiency. *Hepatocyte swelling with Councilman bodies and monocyte infiltration* - **Hepatocyte swelling** and **Councilman bodies** (apoptotic hepatocytes) are features of **acute viral hepatitis** or other forms of acute liver injury. Monocyte infiltration can also occur. - While acute liver injury can occur, the chronic stigmata of liver disease (spider nevi, palmar erythema, ascites) and the history of alcohol abuse point to a chronic process like cirrhosis rather than just acute inflammation.
Explanation: ***Goblet cells*** - The presence of **goblet cells** is the histological hallmark of **intestinal metaplasia** in the esophagus, specifically **Barrett's esophagus**. - **Chronic acid reflux** causes the normal stratified squamous epithelium to be replaced by columnar epithelium containing goblet cells, similar to the intestinal lining. *Polymorphonuclear leukocytes* - These cells, primarily **neutrophils**, are typically associated with **acute inflammation** or **infection**. - While they can be present in inflammatory conditions of the esophagus, they are not the specific abnormal cell type indicative of intestinal metaplasia. *Keratinized stratified squamous epithelium* - This type of epithelium is characteristic of the **skin** and oral cavity, providing protection against abrasion and desiccation. - The normal esophagus is lined by **non-keratinized stratified squamous epithelium**, and its keratinization in the esophagus would be an abnormal finding but not indicative of intestinal metaplasia. *Pseudostratified ciliated columnar epithelium* - This type of epithelium is typically found in the **trachea** and bronchi, specialized for mucus secretion and particulate removal. - Its presence in the esophagus would be an abnormal finding, but it is not the specific cell type associated with intestinal metaplasia (Barrett's esophagus). *Simple cuboidal epithelium* - This type of epithelium is commonly found in glands, kidney tubules, and ducts, specialized for secretion and absorption. - It is not typically found as a lining epithelium in the esophagus under normal or metaplastic conditions.
Explanation: ***Increased activity of type 1 T helper cells*** - The described clinical picture (abdominal pain, bloating, diarrhea, weight loss, and **noncaseating granulomas**) is classic for **Crohn's disease**. - Crohn's disease is characterized by a **Th1-mediated immune response**, involving immune cells like **type 1 T helper cells** that produce pro-inflammatory cytokines such as **TNF-α** and **interferon-γ**. *Viral infection with intranuclear inclusions* - **Intranuclear inclusions** are characteristic features of certain viral infections, such as those caused by **cytomegalovirus (CMV)**, which can present with colitis. - However, CMV colitis typically lacks **noncaseating granulomas** and the chronic, progressive nature associated with this patient's symptoms. *Intestinal overgrowth of toxigenic bacteria* - While **toxigenic bacteria** (e.g., *Clostridium difficile*) can cause severe colitis and diarrhea, their primary mechanism involves toxin production, leading to mucosal damage. - This scenario would not typically present with **noncaseating granulomas** and chronic, diffuse inflammation characteristic of Crohn's disease. *Accumulation of intracellular bacteria in macrophages* - This mechanism is associated with conditions like **Mycobacterium avium complex (MAC) infection** or **Whipple's disease**, which involve foamy macrophages containing bacteria. - However, these conditions do not typically present with the prominent **noncaseating granulomas** seen in Crohn's disease. *Ectopic secretion of serotonin* - **Ectopic serotonin secretion** is characteristic of **carcinoid syndrome**, often associated with neuroendocrine tumors. - Symptoms typically include flushing, diarrhea, and bronchospasm, which are distinct from the abdominal pain, weight loss, and granulomatous inflammation described in this patient.
Explanation: ***Hamartomatous*** - The combination of **mucocutaneous pigmentation** (blue-gray macules on lips and palms), a family history of **early-onset gastrointestinal cancer**, and widespread **gastrointestinal polyps** is highly suggestive of **Peutz-Jeghers syndrome**. - Peutz-Jeghers polyps are histologically characterized as **hamartomas**, which are benign growths but carry a significant risk of malignant transformation over time. *Hyperplastic* - **Hyperplastic polyps** are generally small, sessile, and located in the rectosigmoid colon, with a very low malignant potential. - They do not typically present with the extensive pancolonic distribution, mucocutaneous pigmentation, or genetic predisposition for cancer seen in this patient. *Serrated* - **Serrated polyps** include sessile serrated lesions and traditional serrated adenomas, which although having malignant potential, do not typically present with the distinct **mucocutaneous findings** characteristic of Peutz-Jeghers syndrome. - They are also not associated with the same widespread distribution throughout the small bowel and colon as seen in this case. *Adenomatous* - **Adenomatous polyps** are the most common type of colorectal polyp and are well-known precursors to colorectal cancer. - However, they do not typically present with **mucocutaneous pigmentation** on the lips and palms, nor do they often involve the small bowel as extensively as described, which points away from polyposis syndromes like Familial Adenomatous Polyposis (FAP) and towards Peutz-Jeghers syndrome in this specific clinical context. *Inflammatory* - **Inflammatory polyps** are usually associated with chronic inflammation, such as **inflammatory bowel disease (IBD)**, and are essentially pseudopolyps formed during cycles of ulceration and healing. - While IBD can cause GI symptoms and blood in stool, the presence of **mucocutaneous pigmentation** and widespread polyps in the small bowel and colon makes inflammatory polyps an unlikely primary diagnosis in this patient.
Explanation: ***Crypt abscess*** - The image provided shows **neutrophils infiltrating and filling the crypt lumina**, which are characteristic findings of crypt abscesses seen in **ulcerative colitis**. - This pathology, combined with the patient's symptoms of **bloody diarrhea**, involuntary weight loss, and recurrent abdominal pain, points towards an inflammatory bowel disease, most consistent with ulcerative colitis. *Dermatitis herpetiformis* - This is a **skin manifestation of celiac disease**, presenting as intensely pruritic papules and vesicles, typically on extensor surfaces. - It is not directly associated with inflammatory bowel disease, especially ulcerative colitis, and is not a histological finding in the colon. *Blunting of villi and crypt hyperplasia* - These are characteristic histological findings of **celiac disease** in the **small intestine**. - The patient's symptoms and the histological image are from the colon, ruling out celiac disease as the primary diagnosis. *Aphthous stomatitis* - While **aphthous ulcers** are common extraintestinal manifestations in both Crohn's disease and ulcerative colitis, it is a clinical finding in the oral cavity, not a histological finding in the colon. - The question asks for *other findings expected* in the context of the provided colonic histology. *Non-caseating granulomas* - **Non-caseating granulomas** are a hallmark histological feature of **Crohn's disease**, not ulcerative colitis. - The image shown, with widespread crypt abscesses and diffuse inflammatory infiltrate, is more typical of ulcerative colitis rather than Crohn's disease.
Explanation: ***Intranuclear and cytoplasmic inclusions*** - The patient's severe **immunocompromised state** (CD4 count 42/mm^3) and symptoms of bloody diarrhea and fever strongly suggest opportunistic infections, with **cytomegalovirus (CMV) colitis** being a leading diagnosis. - **CMV** characteristically causes **intranuclear and cytoplasmic eosinophilic inclusion bodies** (owl's eye inclusions) in infected cells, best visualized on biopsy. *Flask-shaped amebic ulcers* - These are characteristic of **Entamoeba histolytica** infection (amebiasis), which typically presents with bloody diarrhea. - While possible in an immunocompromised patient, the specific histopathological findings for CMV are more directly indicated given the profound immunosuppression. *Loosely adherent inflammatory exudates* - This description is typical of **pseudomembranous colitis**, most commonly caused by **Clostridioides difficile** infection. - While _C. difficile_ can occur in immunocompromised patients, the clinical picture and expected biopsy findings in severe HIV are more suggestive of CMV. *Lymphocytic mucosal infiltrates* - This finding is common in various inflammatory conditions, including **lymphocytic colitis** and some forms of **inflammatory bowel disease (IBD)**. - It is not specific enough to explain the severe symptoms in this profoundly immunocompromised patient, where an opportunistic pathogen like CMV is more likely. *Non-caseating granulomas* - **Non-caseating granulomas** are the hallmark histopathological feature of **Crohn disease**. - While the patient's mother had Crohn disease, the acute onset of symptoms, severe immunosuppression, and the absence of classic chronic Crohn's features make Crohn disease less likely than an opportunistic infection like CMV.
Explanation: **Focal weakness of the colonic muscularis layer** - The patient's symptoms of **abdominal pain**, **bloody, mucoid diarrhea**, and **left lower abdominal tenderness** are classic for **diverticulitis**, which occurs when small pouches (diverticula) in the colon become inflamed or infected. Diverticula form due to **focal weakness in the colonic muscularis layer**, often at points where blood vessels penetrate the muscle wall. - **Constipation** and a history of **smoking** are risk factors for diverticular disease, contributing to increased intraluminal pressure and the formation of diverticula. *Twisting of the sigmoid colon around its mesentery* - This describes a **sigmoid volvulus**, which presents with acute onset of **severe abdominal pain**, distension, and obstipation (complete absence of stool and gas). - While a volvulus can cause bloody stools due to ischemia, the clinical presentation and likely CT findings (not provided, but inferred to show diverticula) are inconsistent with this condition, and the described symptoms point more towards inflammation. *Transmural inflammation of the terminal ileum* - This suggests **Crohn's disease**, which can cause abdominal pain and diarrhea. However, Crohn's disease typically affects the **terminal ileum** and has a more chronic course, often with weight loss, perianal disease, and extraintestinal manifestations. - Bloody, mucoid diarrhea is less typical for Crohn's unless there is severe colonic involvement, and the acute onset and tenderness in the left lower quadrant point away from isolated terminal ileitis. *Infiltrative growth in the descending colon* - An **infiltrative growth** (e.g., colorectal cancer) can cause changes in bowel habits, abdominal pain, and bloody stools. However, it usually presents with more **chronic symptoms** and weight loss. - The acute inflammatory picture presented (fever, tenderness, mucoid diarrhea) is less characteristic of an uncomplicated infiltrative growth without obstruction or perforation. *Decreased perfusion to mesenteric blood vessel* - This describes **ischemic colitis**, which causes acute abdominal pain, bloody diarrhea, and tenderness. While it's a possibility, especially in older patients with vascular risk factors (diabetes, smoking), the description of **mucoid diarrhea** and the strong association with a history of constipation and symptoms pointing to localized inflammation (tenderness in left lower abdomen suggesting sigmoid/descending colon involvement) make **diverticulitis** a more likely primary cause in this context unless imaging strongly suggests ischemia. - Ischemic colitis often presents with more severe, diffuse abdominal pain often out of proportion to physical exam findings initially.
Explanation: ***NF-κB*** - **NOD2** is a pattern recognition receptor that normally detects bacterial products and regulates inflammatory responses. In **Crohn's disease**, loss-of-function **NOD2 mutations** lead to impaired bacterial sensing and clearance. - This defective NOD2 function results in **compensatory overactivation of NF-κB** through alternative inflammatory pathways (particularly TLR signaling), causing excessive **pro-inflammatory cytokine** production. - This **NF-κB hyperactivation** is a key driver of chronic inflammation in **Crohn's disease**, contributing to symptoms like fistulas, strictures, and transmural inflammation. *Interferon-γ* - **Interferon-γ** is an important pro-inflammatory cytokine in Crohn's disease and is part of the Th1-mediated immune response. - However, its production is downstream of **NF-κB** activation and other inflammatory cascades. **NOD2 dysfunction** does not directly cause **IFN-γ** overactivity through the primary molecular pathway. *β-catenin* - **β-catenin** is a key component of the **Wnt signaling pathway** involved in cell adhesion, proliferation, and differentiation. - It is not directly affected by **NOD2 dysfunction**. Dysregulation of **β-catenin** is more commonly associated with colorectal adenomas and cancer, not the inflammatory mechanisms of Crohn's disease. *IL-1β* - **IL-1β** is a potent pro-inflammatory cytokine that is indeed elevated in **Crohn's disease**. - However, **IL-1β** is produced **downstream** of **NF-κB** activation. The primary molecular consequence of **NOD2 dysfunction** is the overactivity of **NF-κB**, which then drives production of various cytokines including **IL-1β**. *IL-10* - **IL-10** is an **anti-inflammatory cytokine** essential for maintaining intestinal immune homeostasis and suppressing excessive inflammatory responses. - In Crohn's disease, **IL-10** signaling is often **impaired or deficient** rather than overactive. The question asks about overactivity, making this the opposite of what occurs in the disease.
Explanation: ***Destruction of the mucosa of the stomach is mediated by T cells.*** - The type of chronic atrophic gastritis described, characterized by **parietal cell destruction** and **intestinal metaplasia**, is consistent with **autoimmune gastritis** (Type A gastritis). - Autoimmune gastritis is mediated by **T cells** attacking gastric parietal cells, leading to their destruction and subsequent **achlorhydria** and loss of intrinsic factor. *Serum gastrin levels are decreased.* - Destruction of **parietal cells** leads to **achlorhydria** (lack of gastric acid), which removes the negative feedback on **G cells**. - This results in **compensatory hypergastrinemia**, meaning serum gastrin levels are typically *elevated*, not decreased. *Caused by a gram-negative rod that is urease positive* - This describes **Helicobacter pylori infection**, which is the cause of **Type B gastritis** (environmental chronic atrophic gastritis) and typically affects the antrum. - The patient's presentation with **destruction of parietal cells** and **intestinal metaplasia** is more consistent with **autoimmune (Type A) gastritis**, which is not caused by H. pylori. *It is the most common cause of folate deficiency in the US.* - **Folate deficiency** is more commonly associated with **poor dietary intake**, **alcoholism**, malabsorption disorders (e.g., celiac disease), and certain medications. - While chronic atrophic gastritis can lead to **vitamin B12 deficiency** due to loss of intrinsic factor, it is not the most common cause of folate deficiency. *MALT lymphoma is a common complication.* - **MALT (mucosa-associated lymphoid tissue) lymphoma** is a known complication of chronic **H. pylori infection**, especially when it leads to gastritis and lymphoid follicle formation. - While chronic inflammation is a risk factor for malignancy, MALT lymphoma is less commonly associated with **autoimmune gastritis** compared to H. pylori-induced gastritis.
Explanation: ***Entrapped epithelial crypts seen as pockets of epithelium in the wall of the gallbladder*** - The clinical presentation (recurrent right upper abdominal pain after fatty meals, radiating to the right shoulder, thickened gallbladder wall, and non-filling on HIDA scan) strongly suggests **chronic cholecystitis**. - **Rokitansky-Aschoff sinuses**, which are outpouchings of the gallbladder mucosa through the muscular layer, are a characteristic histopathological feature of chronic cholecystitis. These appear as entrapped epithelial crypts or pockets of epithelium within the gallbladder wall. *Minimal lymphoid aggregates* - While **lymphoid aggregates** can be seen in chronic inflammation as a general response, they are not specific or a hallmark feature distinguishing chronic cholecystitis from other conditions, nor do they represent a specific pathological structure like Rokitansky-Aschoff sinuses. - Their presence alone does not best describe the expected histopathology given the classic clinical and imaging findings pointing towards chronic cholecystitis. *Hyalinized collagen and dystrophic calcification in the submucosal layer* - **Hyalinized collagen** and **dystrophic calcification** in the gallbladder wall can occur in late-stage chronic inflammation, particularly in conditions like a porcelain gallbladder. - While these might be present in severe or long-standing cases, they are not the primary or most characteristic histopathological feature that underpins the development of chronic cholecystitis, especially when Rokitansky-Aschoff sinuses are a more direct consequence of chronic inflammation. *Abnormal deposits of cholesterol ester in macrophages in the lamina propria* - This description refers to **cholesterolosis (strawberry gallbladder)**, characterized by cholesterol-laden macrophages within the lamina propria. - While cholesterolosis is associated with gallstones and can cause similar pain, it is a distinct condition and does not specifically involve the architectural changes in the gallbladder wall (like Rokitansky-Aschoff sinuses) that are highly characteristic of chronic cholecystitis. *Neutrophilic infiltration with vascular congestion and fibrin deposition in the gallbladder* - This describes **acute cholecystitis**, which involves an active inflammatory process with neutrophils and signs of acute tissue damage. - The patient is currently symptom-free and has a history of *recurrent* pain, indicating a chronic rather than acute process. The blood work (normal WBC count) also does not support an acute inflammatory state.
Explanation: ***Hepatic vein obstruction*** - The patient presents with **jaundice**, **tender hepatomegaly**, and **elevated transaminases and bilirubin** in the setting of rapidly progressive abdominal pain, suggestive of **Budd-Chiari syndrome** due to hepatic vein obstruction. - The high **hemoglobin (19.2 g/dL)** indicates **polycythemia**, a common predisposing factor for thrombotic events like hepatic vein obstruction. *Thickened pericardium* - A thickened pericardium would lead to **constrictive pericarditis**, presenting with signs of right-sided heart failure like **jugular venous distention** and peripheral edema, which are absent here. - While it can cause hepatomegaly due to passive congestion, it typically does not cause the acute, severe liver enzyme elevations or the markedly elevated hemoglobin seen in this patient. *Hepatic steatosis* - **Hepatic steatosis** (fatty liver) is often asymptomatic or causes mild RUQ pain, typically without significant jaundice or such acutely elevated transaminases. - It is not associated with polycythemia or a rapid onset of severe symptoms as described. *Hepatotropic viral infection* - While hepatotropic viral infections (e.g., hepatitis A, B, C) can cause **jaundice**, **hepatomegaly**, and elevated liver enzymes, they are generally not associated with **polycythemia**. - The acute, progressive nature with tender hepatomegaly and relatively low bilirubin compared to transaminase elevation might suggest a more obstructive or vascular cause rather than typical viral hepatitis. *Increased iron absorption* - **Increased iron absorption** (e.g., in hemochromatosis) leads to iron deposition in the liver, which can cause hepatomegaly and eventually cirrhosis. - However, it typically has a **chronic, insidious onset** and does not present with acute, severe pain, jaundice, and marked transaminase elevation. While polycythemia can occur in some chronic liver diseases, it's not a direct consequence of iron overload itself in the acute setting described.
Explanation: ***Intrahepatic bile duct destruction*** - The patient's presentation with **pruritus**, significantly **elevated alkaline phosphatase**, relatively normal AST/ALT, and a **positive antimitochondrial antibody (AMA)** strongly suggests **primary biliary cholangitis (PBC)**. - The hallmark histopathological finding in PBC is the **destruction of small and medium-sized intrahepatic bile ducts** by chronic inflammation. *Bile plugging of hepatocytes and bile ducts* - This finding is characteristic of significant **biliary obstruction** (cholestasis), where bile flow is severely impaired, leading to the accumulation of bile within hepatocytes and bile ducts. - While there is cholestasis in PBC (evidenced by high alkaline phosphatase), the primary injury is immune-mediated destruction of ducts, not simply plugging, and bilirubin is not significantly elevated, indicating less severe obstruction. *Granulomas in portal tracts* - While **epithelioid granulomas** can be seen in PBC (in up to 30% of cases), they are not the **defining histologic feature**—the bile duct destruction is. - Granulomas are also more commonly associated with **sarcoidosis** and certain **drug-induced liver injuries**. - The constellation of symptoms and labs points directly to classic PBC with its characteristic bile duct destruction. *Intrahepatic and extra hepatic bile duct destruction* - **Extrahepatic bile duct destruction** is typical of conditions like **primary sclerosing cholangitis (PSC)**, which primarily affects larger intrahepatic and extrahepatic bile ducts and is often associated with inflammatory bowel disease. - The positive AMA and specific pattern of liver enzyme elevation are highly suggestive of PBC, which is confined to the small and medium intrahepatic ducts, rather than PSC. *Lymphoplasmacytic and eosinophilic infiltration of portal tracts* - **Eosinophilic infiltration** can be prominent in allergic reactions, parasitic infections, or some forms of drug-induced liver injury, but it's not the defining feature of PBC. - While **lymphoplasmacytic infiltration** is present in PBC, it is specifically directed at and causes destruction of the bile ducts, rather than being a generalized, non-specific infiltration of the portal tracts.
Explanation: ***This structure can become a site of entry of certain microorganisms including S. typhi.*** - The image illustrates **Peyer's patches**, which are lymphoid follicles found primarily in the ileum. These structures are rich in **M-cells**, which sample antigens from the intestinal lumen. - While M-cells are crucial for initiating immune responses, some pathogens like *Salmonella typhi* exploit them to **translocate across the intestinal barrier** and disseminate, leading to systemic infection. *This structure can be only found in the colon.* - The structure shown is a **Peyer's patch**, which is predominantly found in the **ileum** of the small intestine, not exclusively in the colon. - While lymphoid tissue is present throughout the GI tract, these large aggregated lymphoid nodules are characteristic of the ileum. *These structures mostly contain M-cells.* - While **M-cells (microfold cells)** are indeed present in the dome epithelium overlying Peyer's patches and are critical for antigen sampling, they constitute a minority of the cells within the entire structure. - The bulk of Peyer's patches consists of **lymphocytes** (B cells, T cells), macrophages, and dendritic cells, forming lymphoid follicles and interfollicular areas. *This structure only appears in case of bacterial infection.* - **Peyer's patches** are a normal and permanent component of the gut-associated lymphoid tissue (GALT) and are present in healthy individuals. - They serve as crucial sites for **immune surveillance** and the induction of adaptive immune responses to both commensal bacteria and pathogens, even in the absence of an active infection. *Infants have the largest amount of these structures within their intestinal wall.* - Peyer's patches are **well-developed at birth** and continue to increase in size and number during childhood and adolescence. - They tend to **atrophy with age**, meaning that young adults and adolescents typically have the most prominent and numerous Peyer's patches, not infants.
Explanation: ***Esophageal exposure to gastric acid*** - The presence of **salmon pink mucosa** extending 5 cm proximally from the gastroesophageal junction, along with **nonciliated columnar epithelium** and **goblet cells** in biopsy specimens, is characteristic of **Barrett's esophagus**. - Barrett's esophagus is a metaplastic change in the esophageal lining, typically caused by chronic **gastroesophageal reflux disease (GERD)**, where recurrent exposure to **gastric acid** leads to the replacement of normal stratified squamous epithelium with intestinal-type columnar epithelium. *Hypermotile esophageal contractions* - **Hypermotile esophageal contractions**, such as in spastic disorders, can cause chest pain but do not typically lead to the **mucosal changes** of Barrett's esophagus. - While they can contribute to reflux, they are not the direct cause of the intestinal metaplasia seen in this patient. *Atopic inflammation of the esophagus* - **Atopic inflammation of the esophagus** refers to **eosinophilic esophagitis**, characterized by dysphagia and food impaction, and histologically by significant eosinophil infiltration. - This condition does not typically present with the **salmon pink mucosa** or **goblet cells** that are indicative of Barrett's esophagus. *Fungal infection of the lower esophagus* - **Fungal infections**, such as **Candida esophagitis**, usually present with **odynophagia** and endoscopy showing **white plaques**, not salmon pink mucosa or columnar metaplasia. - Biopsy would reveal fungal elements, not goblet cells or columnar epithelium. *Neoplastic proliferation of esophageal epithelium* - **Neoplastic proliferation** would involve dysplastic changes or carcinoma, which would show severe architectural distortion and cytologic atypia, distinct from the **metaplastic changes** (nonciliated columnar epithelium with goblet cells) observed here. - While Barrett's esophagus is a **precursor to adenocarcinoma**, the biopsy description indicates metaplasia, not active neoplasia.
Explanation: ***Metaplasia of the esophageal mucosa*** - Long-standing **gastroesophageal reflux disease (GERD)** can lead to **Barrett's esophagus**, a condition where the normal **squamous epithelium** of the esophagus is replaced by **columnar epithelium** (intestinal metaplasia) due to chronic acid exposure. - This endoscopic finding is significant as **Barrett's esophagus** is a well-known **premalignant condition** for esophageal adenocarcinoma. *Esophageal smooth muscle atrophy* - This is commonly seen in conditions like **scleroderma** or other **motility disorders**, where the smooth muscle of the esophagus degenerates, leading to impaired peristalsis. - While GERD can be a complication of such disorders, **smooth muscle atrophy** is not the primary endoscopic finding directly related to long-standing refractory GERD itself. *A malignant proliferation of squamous cells* - This describes **squamous cell carcinoma** of the esophagus, which is typically associated with risk factors like **smoking** and **alcohol consumption**. - While Barrett's esophagus can progress to adenocarcinoma, direct squamous cell carcinoma is not the *most likely* initial finding after chronic reflux. *Hypertrophy of the esophageal mucosa protruding into the lumen of the lower esophagus* - **Hypertrophy** (enlargement) of the esophageal mucosa is not a typical finding in chronic GERD; rather, the mucosa undergoes changes like **inflammation**, **erosion**, or **metaplasia**. - Protrusions into the lumen in this context would more likely suggest a **polyp** or **tumor**, which are less common primary findings than metaplasia in long-standing GERD. *Longitudinal lacerations of the esophageal mucosa* - **Longitudinal lacerations** of the esophageal mucosa, often near the gastroesophageal junction, are characteristic of **Mallory-Weiss tears**, which result from forceful vomiting or retching. - These are acute injuries and not directly indicative of the chronic changes expected in long-standing refractory GERD.
Explanation: **Simple columnar epithelium** - The described symptoms (substernal chest pain, hoarseness, morning cough, bad breath, erythematous esophagus) are highly suggestive of **gastroesophageal reflux disease (GERD)**. - In chronic GERD, the normal stratified squamous epithelium of the esophagus can undergo **metaplasia** to simple columnar epithelium (Barrett's esophagus) as a protective mechanism against acid reflux, making this a likely finding on biopsy from the gastroesophageal junction. *Villi and microvilli* - **Villi and microvilli** are characteristic of the small intestine, increasing surface area for absorption. - They are not typically found in the esophagus or stomach and would not be expected in a biopsy from the gastroesophageal junction in this context. *Stratified squamous epithelium* - **Stratified squamous epithelium** is the normal lining of the esophagus and would be present in the proximal esophagus. - However, given the signs of chronic reflux and erythematous changes, the question implies a pathological change at the gastroesophageal junction, not normal esophageal lining. *Peyer patches* - **Peyer patches** are lymphoid aggregates found in the submucosa of the ileum, part of the gut's immune system. - They are completely unrelated to the esophagus or gastric reflux disease. *Brunner glands* - **Brunner glands** are found in the submucosa of the duodenum and produce alkaline mucus to protect against stomach acid. - They are not located in the esophagus or at the gastroesophageal junction.
Explanation: ***Epithelium, lamina propria, muscularis mucosa*** - A **gastric ulcer** by definition involves a breach of the **entire mucosal thickness**, meaning the lesion extends through the muscularis mucosa. - This deep penetration distinguishes an ulcer from an erosion, which is a more superficial lesion confined to the epithelium and lamina propria. *Epithelium, lamina propria* - This describes an **erosion**, a superficial lesion of the gastric mucosa that does not penetrate the **muscularis mucosa**. - While erosions can cause symptoms, they are generally less severe and have a lower risk of complications like perforation compared to ulcers. *Epithelium* - A lesion confined solely to the **epithelium** would be considered a very superficial mucosal injury, often referred to as an **erosion** or sometimes a **superficial abrasion**. - This degree of injury does not meet the criteria for either an erosion or an ulcer in a histological context. *Epithelium, lamina propria, muscularis mucosa, submucosa, and adventitia* - Penetration through the **submucosa** means the ulcer has become a **deep ulcer** or potentially a **perforating ulcer**, if it breaches the entire wall to the adventitia (serosa in the GI tract). - While an ulcer *can* extend to these layers, only reaching the muscularis mucosa is the *minimum* requirement to be classified as an ulcer. *Epithelium, lamina propria, muscularis mucosa, and submucosa* - An ulcer that extends into the **submucosa** is indeed a true ulcer and a more severe one, but the defining histological feature separating an erosion from an ulcer is the breach of the **muscularis mucosa**. - Therefore, reaching the submucosa is beyond the *minimum* requirement for an ulcer classification.
Explanation: ***Chronic hemolytic anemia*** - The image shows **pigment gallstones**, which are primarily composed of **bilirubin calcium salts**. - **Chronic hemolytic anemia** leads to increased bilirubin production and excretion, predisposing to the formation of pigment gallstones. *Morbid obesity* - **Obesity** is a risk factor for the formation of **cholesterol gallstones**, not pigment gallstones. - Accelerated cholesterol synthesis and secretion into bile, along with gallbladder hypomotility, contribute to cholesterol gallstone formation. *Primary hyperparathyroidism* - **Primary hyperparathyroidism** is associated with **calcium-containing kidney stones** and sometimes pancreatitis due to hypercalcemia, but not specifically pigment gallstones. - Gallstones formed in this context would more likely be cholesterol or mixed stones, not purely pigmentary. *Diabetes mellitus* - **Diabetes mellitus** is associated with an increased risk of **cholesterol gallstones** due to changes in bile composition and gallbladder motility. - It does not specifically increase the risk of pigment gallstone formation. *Menopausal symptoms* - **Female sex hormones**, particularly estrogen, increase the risk of **cholesterol gallstones** by altering bile composition and reducing gallbladder motility. - While menopause involves hormonal changes, it's typically pre-menopausal or multiparous status that is a stronger risk factor for cholesterol stones, not specifically menopausal symptoms leading to pigment stones.
Explanation: **Non-caseating granulomas** - The clinical presentation (abdominal pain, loose stools, fever, elevated white blood cells and ESR), imaging findings (mural thickening, fat stranding in terminal ileum and transverse colon), and negative stool cultures strongly suggest **Crohn's disease**. - **Non-caseating granulomas** are a hallmark histological feature found in approximately 50-70% of Crohn's disease cases and are highly specific for the diagnosis, distinguishing it from ulcerative colitis and other causes of colitis. *Intranuclear and cytoplasmic inclusion bodies* - These are characteristic histological findings in **cytomegalovirus (CMV) infection** of the gastrointestinal tract. - While CMV colitis can cause similar symptoms, the presence of distinct inclusion bodies would be the primary diagnostic microscopic feature, which is not what we are looking for as the *most specific* for the suspected diagnosis. *Neutrophil-rich pseudomembranes* - These are characteristic of **Clostridioides difficile infection (CDI)**, also known as pseudomembranous colitis. - The patient's negative stool studies for infection and absence of specific risk factors for CDI make this diagnosis less likely. *Neutrophilic inflammation of the crypts* - This describes **cryptitis** and **crypt abscesses**, which are common findings in various forms of colitis, including both **ulcerative colitis** and **Crohn's disease**, as well as infectious colitides. - While present in Crohn's disease, it is not specific enough to definitively differentiate it from ulcerative colitis or other inflammatory conditions of the colon. *Inflammation of the terminal ileum* - While inflammation of the terminal ileum (ileitis) is a common and characteristic site of involvement in **Crohn's disease** and is consistent with the CT findings, it is a gross and macroscopic description of involvement rather than a specific microscopic finding on biopsy used for definitive diagnosis. - Other conditions, such as **tuberculosis** or **Yersinia infection**, can also cause terminal ileitis, making it less specific as a *biopsy finding* for Crohn's disease compared to non-caseating granulomas.
Explanation: ***Perinuclear anti-neutrophil cytoplasmic antibodies*** - The patient's presentation with **bloody diarrhea**, low-grade fever, **crampy abdominal pain**, joint tenderness, and contiguous ulcerations in the colon is highly suggestive of **ulcerative colitis**. - **Perinuclear anti-neutrophil cytoplasmic antibodies (p-ANCA)** are found in 50-70% of patients with ulcerative colitis and are associated with a more extensive disease. *Noncaseating granulomas* - **Noncaseating granulomas** are a characteristic histological finding in **Crohn's disease**, not ulcerative colitis. - Crohn's disease typically presents with **skip lesions**, **transmural inflammation**, and affects any part of the GI tract, often with perianal disease. *Severe aortic stenosis* - **Severe aortic stenosis** is a condition of the heart valves that can lead to symptoms like chest pain, syncope, and heart failure, and is not directly associated with the patient's gastrointestinal and systemic symptoms. - While inflammatory conditions can rarely have cardiac manifestations, there's no direct link between aortic stenosis and inflammatory bowel disease in this context. *Gram-negative rod* - While infections, especially from **Gram-negative rods** like *Shigella* or *Salmonella*, can cause acute bloody diarrhea, the 3-day history with joint tenderness and contiguous ulcers on colonoscopy points more towards an inflammatory bowel disease. - The chronicity and systemic involvement are less typical for an acute bacterial enteritis, although such infections might trigger IBD. *HLA-DQ2 positivity* - **HLA-DQ2 positivity** is strongly associated with **celiac disease**, an immune-mediated enteropathy triggered by gluten. - Celiac disease typically presents with malabsorption symptoms like fatty stools, weight loss, and iron deficiency, rather than bloody diarrhea and contiguous colonic ulcerations.
Explanation: ***Nonalcoholic steatohepatitis*** - The patient has several risk factors for **nonalcoholic fatty liver disease (NAFLD)**, including **diabetes mellitus**, **obesity (BMI 31)**, and **hypertension**. The biopsy findings of **excessive intracellular fat accumulation**, **hepatocyte ballooning**, and **perivenular infiltration of lymphocytes and neutrophils without significant fibrosis** are characteristic of nonalcoholic steatohepatitis (NASH). - The patient's modest alcohol intake of one can of beer per night for 10 years, while consistent, is generally not considered sufficient to cause alcoholic liver disease in the absence of other specific markers or severe presentation typically associated with alcoholic hepatitis or cirrhosis. *Alcoholic hepatitis* - **Alcoholic hepatitis** typically presents with a more significant history of **heavy alcohol consumption**, often leading to jaundice, fever, and a markedly elevated AST:ALT ratio (usually >2:1). - While there is some alcohol intake, it is relatively modest (one can of beer daily), and the AST:ALT ratio is 43:56 (less than 1:1), which makes alcoholic hepatitis less likely. *Alcoholic cirrhosis* - **Alcoholic cirrhosis** requires a prolonged history of **heavy alcohol abuse**, which is not present here. It would also show significant **fibrosis** and architectural distortion on liver biopsy. - The biopsy explicitly states **"without significant fibrosis,"** ruling out cirrhosis. *Nonalcoholic-fatty-liver-disease-induced cirrhosis* - While the patient has NAFLD, the biopsy specifically states **"without significant fibrosis"**. - **Cirrhosis** by definition involves advanced fibrosis and architectural distortion, which are absent in this biopsy. *Alcoholic fatty liver* - **Alcoholic fatty liver (steatosis)** would primarily show **fat accumulation** without significant inflammation or hepatocyte ballooning. - The presence of **hepatocyte ballooning** and **perivenular infiltration of lymphocytes and neutrophils** indicates inflammation and injury beyond simple steatosis, consistent with steatohepatitis.
Explanation: ***Perinuclear antineutrophil cytoplasmic antibodies*** - The image provided, combined with symptoms of **fatigue**, **intermittent diarrhea**, **weight loss**, and **abdominal tenderness**, is highly suggestive of **ulcerative colitis**. - **p-ANCA** are found in 60-70% of patients with **ulcerative colitis** and are a valuable diagnostic marker. - The colonoscopy showing involvement of the descending colon with continuous inflammation is characteristic of UC. *PAS-positive cytoplasmic granules* - **PAS-positive macrophages** are characteristic of **Whipple's disease**, which typically presents with malabsorption and arthralgia. - While Whipple's can cause GI symptoms, the endoscopic findings here are more consistent with **inflammatory bowel disease (IBD)** than with the diffuse mucosal changes of Whipple's disease. *Anti-Saccharomyces cerevisiae antibodies* - **Anti-Saccharomyces cerevisiae antibodies (ASCA)** are more commonly associated with **Crohn's disease**, where they are found in up to 60-70% of patients. - The colonoscopy image, showing diffuse inflammation primarily in the descending colon without skip lesions, is more indicative of **ulcerative colitis** rather than Crohn's disease. *Positive lactose hydrogen breath test* - A positive lactose hydrogen breath test indicates **lactose intolerance**, which can cause diarrhea and abdominal discomfort. - This does not explain the extensive inflammatory changes seen on colonoscopy or the progressive weight loss and anemia characteristic of IBD. *Anti-tissue transglutaminase antibodies* - **Anti-tissue transglutaminase antibodies** are highly specific for **celiac disease**, which presents with malabsorption, diarrhea, and weight loss. - While celiac disease shares some symptoms, the colonoscopy findings are typical of **inflammatory bowel disease**, not celiac disease, which primarily affects the **small intestine** (duodenum and jejunum) rather than the colon.
Explanation: ***Biopsy of the duodenum showing atrophy and blunting of villi*** - This finding is the **gold standard** for diagnosing **celiac disease**, which aligns with the patient's symptoms (anemia, malaise, bloating, diarrhea), genetic predisposition (HLA-DQ2 allele), and suspected dietary cause. - The characteristic **villous atrophy** and **crypt hyperplasia** seen in duodenal biopsies are hallmark pathological changes in celiac disease due to gluten exposure. *CT scan showing inflammation of the small bowel wall* - While a CT scan can show **inflammation**, it is not specific enough to definitively diagnose celiac disease, as many other conditions can cause small bowel inflammation. - It does not provide the **histopathological detail** necessary to confirm villous atrophy, which is key for celiac diagnosis. *Biopsy of the colon showing epithelial cell apoptosis* - **Epithelial cell apoptosis** in the colon is not a primary diagnostic feature of celiac disease, which primarily affects the **small intestine**. - This finding might be associated with other inflammatory bowel conditions or infections, not gluten-induced enteropathy. *Esophageal endoscopy showing lower esophageal metaplasia* - **Lower esophageal metaplasia**, or **Barrett's esophagus**, is a pre-cancerous condition of the esophagus, often caused by chronic acid reflux. - This finding is unrelated to celiac disease and does not explain the patient's gastrointestinal symptoms or genetic predisposition. *Liver biopsy showing apoptosis of hepatocytes* - **Apoptosis of hepatocytes** (liver cell death) would indicate liver damage or disease, such as hepatitis or drug-induced injury. - While celiac disease can sometimes have **hepatic manifestations**, liver apoptosis is not a primary or definitive diagnostic criterion for celiac disease itself.
Explanation: ***Ampulla of Vater*** - The patient's presentation represents classic **periampullary obstruction** with **"double duct" involvement** affecting both the pancreatic duct and common bile duct. - **Steatorrhea** and **epigastric pain radiating to the back** indicate pancreatic duct obstruction causing exocrine pancreatic insufficiency and chronic pancreatitis. - **Jaundice** and **pruritus** indicate common bile duct obstruction causing cholestasis. - A mass at the **ampulla of Vater** (where the pancreatic duct and common bile duct merge before entering the duodenum) explains the entire clinical picture, including the **painless progressive jaundice** with a palpable gallbladder (Courvoisier's sign). *Pancreatic duct* - An obstruction solely in the **pancreatic duct** (e.g., in the body or tail of the pancreas) would cause steatorrhea, weight loss, and pain from pancreatic insufficiency and pancreatitis. - However, it would **not cause jaundice or pruritus** unless the mass grew large enough to secondarily compress the common bile duct, which would be a late finding rather than a presenting feature. *Common hepatic duct* - Obstruction of the **common hepatic duct** would cause jaundice and pruritus from biliary obstruction. - However, it would **not cause steatorrhea** or the chronic pancreatic pain radiating to the back that results from pancreatic duct obstruction. - This location does not explain the pancreatic insufficiency symptoms that are prominent in this case. *Cystic duct* - Obstruction of the **cystic duct** leads to **acute cholecystitis** and biliary colic, not the chronic progressive symptoms described. - It would **not cause jaundice** (the cystic duct only drains the gallbladder, not the hepatic bile flow) unless a stone migrated to the common bile duct. - It does not explain the **steatorrhea** or pancreatic-type pain radiating to the back. *Common bile duct* - A mass in the **common bile duct** (proximal to the ampulla) could cause jaundice and pruritus by obstructing bile flow. - However, it would **not directly obstruct the pancreatic duct**, so it would not explain the **steatorrhea** and **pancreatic pain radiating to the back** that are prominent features in this case. - Only at the ampulla, where both ducts converge, would a single mass cause both sets of symptoms simultaneously.
Explanation: ***Muscularis propria (between muscle layers)*** - This patient's presentation with **chronic constipation**, **abdominal distention**, and **delayed meconium passage** is highly suggestive of **Hirschsprung disease**. - The causative pathology in Hirschsprung disease is the **absence of ganglion cells** in the **myenteric (Auerbach's) and submucosal (Meissner's) plexuses**, which is definitively diagnosed by a rectal biopsy showing this lack of innervation. - The **myenteric plexus** is located **between the inner circular and outer longitudinal layers** of the **muscularis propria**, making this the primary layer examined for diagnostic findings. *Submucosa* - While the **submucosal (Meissner's) plexus** is also affected in Hirschsprung disease and the submucosa can show absent ganglion cells, the **myenteric plexus** in the muscularis propria is the primary diagnostic target in rectal biopsies. - Both plexuses are affected, but the muscularis propria is considered the most definitive layer for diagnosis. *Mucosa* - The **mucosa** is the innermost layer of the gastrointestinal tract, consisting of epithelium, lamina propria, and muscularis mucosa. - This layer does **not** contain the enteric nervous system plexuses (myenteric or submucosal) responsible for gut motility, so biopsy of this layer alone would not reveal the absent ganglion cells characteristic of Hirschsprung disease. *Lamina propria* - The **lamina propria** is a thin layer of connective tissue found within the **mucosa**, beneath the epithelium. - This layer primarily contains blood vessels, lymphatics, and immune cells, and it is **not** where the ganglion cells of the enteric nervous system are located or where the primary pathology of Hirschsprung disease is found. *Muscularis mucosa* - The **muscularis mucosa** is a thin layer of smooth muscle that forms the outermost layer of the **mucosa**. - It does not contain the enteric plexuses (myenteric or submucosal) responsible for gut motility, so its biopsy would not reveal the absent ganglion cells characteristic of Hirschsprung disease.
Explanation: ***Hyperplasia of Peyer patches*** - The presentation of a 12-month-old with **severe abdominal pain**, **crying spells**, and **dark, bloody stools** (likely **currant jelly stools**) is highly suggestive of **intussusception**. - In children, intussusception is most commonly idiopathic, but often associated with recent viral illnesses causing **lymphoid hyperplasia** (Peyer patches) in the ileum, which then acts as a lead point for telescoping. *Vascular malformation* - This condition is a less common cause of rectal bleeding in infants and children and typically presents with **painless rectal bleeding**. - It does not explain the acute, severe abdominal pain and signs of obstruction seen in intussusception. *Embolism to the mesenteric vessels* - **Mesenteric ischemia** due to embolism is rare in this age group and usually associated with underlying cardiac conditions or clotting disorders. - While it can cause severe abdominal pain and bloody stools, the cyclical nature of pain and absence of significant risk factors make it less likely. *Intestinal mass* - Although an intestinal mass can be a lead point for intussusception (especially in older children or adults), it is a less common cause in uncomplicated cases in infants compared to **Peyer patch hyperplasia**. - An intestinal mass would typically remain a fixed mass, and symptoms might be more chronic or progress differently. *Failure of neural crest migration* - This describes the pathogenesis of **Hirschsprung disease**, which presents with constipation, abdominal distention, and failure to pass meconium, rather than acute severe abdominal pain and bloody stools. - The symptoms in this patient are acute and more indicative of an obstructive process like intussusception.
Explanation: ***Mallory-Denk bodies*** - The patient's history of heavy alcohol consumption, fever, **jaundice**, elevated AST and ALT with an **AST:ALT ratio > 2:1**, and hepatomegaly are highly indicative of **alcoholic hepatitis**. - **Mallory-Denk bodies (MDBs)**, or alcoholic hyaline, are characteristic histological findings in alcoholic liver disease, representing damaged intermediate filaments within hepatocytes. *Steatosis alone* - While **steatosis (fatty liver)** is the earliest and most common response to alcohol, the presence of fever, jaundice, and marked transaminitis (especially the **AST:ALT ratio**) suggests a more severe, active inflammatory process like alcoholic hepatitis rather than isolated steatosis. - **Simple steatosis** typically yields milder symptoms and less pronounced liver enzyme elevations. *Hürthle cells* - **Hürthle cells** are typically found in the **thyroid gland** and are associated with thyroid conditions like Hashimoto's thyroiditis or Hürthle cell carcinoma. - They are not a feature of liver biopsies or alcoholic liver disease. *'Florid' bile duct lesion* - A **"florid" bile duct lesion** is characteristic of **primary biliary cholangitis (PBC)**, an autoimmune liver disease affecting small bile ducts. - The patient's clinical presentation (heavy alcohol use, AST:ALT ratio > 2) does not align with PBC. *Gaucher cells* - **Gaucher cells** are **lipid-laden macrophages** found in individuals with **Gaucher disease**, a lysosomal storage disorder. - They are typically seen in the bone marrow, spleen, and liver in the context of this specific genetic disorder, not alcoholic hepatitis.
Explanation: ***Cushing ulcer*** - A **Cushing ulcer** is a type of **stress ulcer** specifically associated with **intracranial injury**, which causes increased vagal stimulation leading to hypersecretion of gastric acid. - The patient's history of a **head injury** followed by **bloody vomiting** and **upper abdominal pain**, along with endoscopic findings of shallow, hemorrhagic lesions, is highly consistent with a Cushing ulcer. *Type B gastritis* - **Type B gastritis** is primarily caused by **Helicobacter pylori infection**, often leading to chronic inflammation and sometimes ulcers, not acute stress-related lesions after a head injury. - While it can cause epigastric pain and bleeding, the strong association with a recent head injury makes Cushing ulcer a more specific diagnosis. *Erosive gastritis* - **Erosive gastritis** is a broad term encompassing various causes of gastric mucosal erosions, including NSAIDs, alcohol, and stress. - While Cushing ulcer represents a specific form of stress-related erosive gastritis, **Cushing ulcer is the most specific and accurate diagnosis** given the distinct history of intracranial injury and coma. - The temporal relationship between head trauma and gastric symptoms is pathognomonic for Cushing ulcer. *Dieulafoy lesion* - A **Dieulafoy lesion** is characterized by an abnormally large submucosal artery that erodes the overlying mucosa, leading to sudden, massive gastrointestinal bleeding. - This condition is typically isolated, not presenting with multiple, shallow hemorrhagic lesions across the gastric fundus and greater curvature, and is not directly linked to head injury. *Penetrating ulcer* - A **penetrating ulcer** is a complication of a chronic peptic ulcer where the ulcer extends beyond the muscularis propria into adjacent organs. - The biopsy findings of inflammation not extending beyond the **muscularis mucosa** indicate superficial damage (erosions), not a deep penetrating ulcer.
Explanation: ***The zone closest to the centrolobular vein*** - This zone, known as **Zone 3** or the **centrilobular zone**, is the furthest from the hepatic arteriole and portal venule, making it the most vulnerable to **hypoxic injury** and **metabolic stress**. The patient's presentation with advanced liver disease (ascites, pedal edema, coagulopathy, encephalopathy, spider angiomata) suggests significant hepatocellular damage. - Given her **metabolic risk factors** (obesity, type 2 diabetes, hypercholesterolemia) and minimal alcohol use, this patient most likely has **Non-Alcoholic Steatohepatitis (NASH)** progressing to cirrhosis. NASH predominantly affects **Zone 3 hepatocytes** due to their lower oxygen tension and higher susceptibility to lipotoxicity and oxidative stress. - Zone 3 hepatocytes also have high concentrations of **cytochrome P450 enzymes** involved in drug and toxin metabolism, making them vulnerable to toxic metabolites and metabolic injury. *The zone receiving the most oxygenated blood from the hepatic artery* - This refers to **Zone 1** (periportal zone), which is highly oxygenated and supplied by the hepatic arteriole. This zone is generally more resistant to hypoxic and metabolic injury. - **Zone 1** is primarily involved in oxidative metabolism, gluconeogenesis, and urea synthesis, and is most affected by viral hepatitis and cholestasis, not typically the primary site of damage in NASH-related cirrhosis. *The zone where gluconeogenesis is predominant* - **Zone 1** (periportal zone) is where gluconeogenesis is most active due to its high oxygen supply and proximity to incoming nutrients from the portal vein. - While important for liver function, this zone is typically not the primary site of damage in metabolic liver disease leading to end-stage manifestations like those described in this patient. *The zone involved in cholesterol synthesis* - **Cholesterol synthesis** occurs throughout hepatocytes with some distribution across zones. This option does not specifically identify the zone most susceptible to **damage** in metabolic liver disease. - The question concerns the zone most predominantly affected by the type of injury causing the patient's acute decompensation, which is Zone 3. *The zone with little or no cytochrome P450 enzymes* - **Zone 3** (centrilobular zone) actually has the **highest concentration** of **cytochrome P450 enzymes**, making it susceptible to damage from toxic metabolites and metabolic stress. - **Zone 1** has the lowest concentration of these enzymes. Therefore, this statement is factually incorrect and represents the opposite of the correct answer.
Explanation: ***Duodenal ulcer*** - While duodenal ulcers can cause **melena** due to upper GI bleeding, they are **rarely associated with an increased risk of carcinoma**. - They typically result from **H. pylori infection** or NSAID use, and the duodenal mucosa has a very low propensity for malignant transformation. *Adenomatous polyp* - **Adenomatous polyps** are considered **premalignant lesions** and are strongly associated with the development of colorectal carcinoma. - The risk of malignancy increases with polyp size, villous histology, and degree of dysplasia. *H. pylori infection* - **Chronic H. pylori infection** is a major risk factor for several gastric malignancies, including **gastric adenocarcinoma** and **MALT lymphoma**. - It causes chronic inflammation, leading to atrophy, intestinal metaplasia, and dysplasia, which are precursors to cancer. *Gastric ulcer* - While most gastric ulcers are benign, a significant proportion (especially those not resolving with treatment) can be **malignant (gastric adenocarcinoma)**. - H. pylori infection and NSAID use are common causes for both benign and malignant gastric ulcers, and all gastric ulcers require follow-up to rule out malignancy. *Barrett's esophagus* - **Barrett's esophagus** is a premalignant condition where the normal stratified squamous epithelium of the esophagus is replaced by intestinal columnar epithelium. - It is a major risk factor for the development of **esophageal adenocarcinoma**, with the risk increasing with the degree of dysplasia.
Explanation: ***Vitamin E level*** - The patient's presentation suggests **celiac disease** causing **malabsorption** with secondary **vitamin E deficiency**, which is causing the specific complications seen here. - The **neurological findings** of **ataxic gait** and **poor motor control** combined with **hemolytic anemia** (low haptoglobin 12 mg/dL, elevated LDH 457 U/L, anemia) are **pathognomonic for vitamin E deficiency**. - Vitamin E deficiency causes **spinocerebellar degeneration**, **peripheral neuropathy**, and **hemolytic anemia** due to oxidative damage to RBC membranes and neuronal lipids. - The **stress fracture** suggests bone disease from calcium/vitamin D malabsorption, but the neuro-hematologic picture is most specific for vitamin E. - **Serum vitamin E level** is the **confirmatory test** for this specific deficiency syndrome causing the patient's neurological and hematological complications. - While the underlying condition is likely celiac disease, confirming vitamin E deficiency directly explains the constellation of findings and guides immediate treatment. *Bowel wall biopsy* - A **small intestine biopsy** would confirm the underlying diagnosis of **celiac disease** (villous atrophy, crypt hyperplasia) causing the malabsorption. - However, the question asks for confirmation of "this patient's condition" - referring to the specific syndrome presenting with the characteristic triad of **ataxia + hemolysis + malabsorption**. - This triad is pathognomonic for **vitamin E deficiency**, making direct measurement more confirmatory for the presenting complication than tissue diagnosis of the underlying cause. *Vitamin B12 and folate level* - **Vitamin B12 deficiency** can cause **subacute combined degeneration** with ataxia and neurological symptoms, but typically presents with **posterior column signs** (loss of proprioception, vibration) and **peripheral neuropathy**, not primarily cerebellar ataxia. - **Folate deficiency** causes **megaloblastic anemia** but does **not** cause neurological deficits or the hemolytic pattern seen here (low haptoglobin, elevated LDH with normal liver enzymes). - The **hemolytic anemia** is specific to vitamin E deficiency, not B12/folate deficiency. *Stool ELISA* - Could detect **Giardia lamblia** given the history of drinking stream water during camping, which can cause acute diarrhea and malabsorption. - However, this does not explain the **lifelong, recurring symptoms**, **neurological deficits**, **hemolytic anemia**, or **stress fracture**. - The chronic nature points to a primary malabsorption disorder, not acute infection. *Iron studies* - **Iron deficiency** commonly occurs with celiac disease due to duodenal malabsorption and could contribute to the **anemia**. - However, iron deficiency causes **microcytic anemia**, not hemolytic anemia, and does **not** explain the **low haptoglobin**, **elevated LDH**, **ataxic gait**, or **motor control issues**. - These findings are specific to vitamin E deficiency.
Explanation: ***Gastric adenocarcinoma*** - The biopsy findings of **destruction of the upper glandular layer** and **G-cell hyperplasia** are classic for **Autoimmune Metaplastic Atrophic Gastritis (AMAG)**, which is a significant risk factor for **gastric adenocarcinoma**. - AMAG leads to **intestinal metaplasia** and **dysplasia** over time, increasing the risk of malignant transformation; her history of **Hashimoto thyroiditis** further supports an autoimmune predisposition. *Aplastic anemia* - This condition involves bone marrow failure leading to **pancytopenia** and is not directly linked to autoimmune gastritis or the gastric biopsy findings described. - While some autoimmune conditions can be associated with aplastic anemia, the direct causal link from AMAG to aplastic anemia is not as strong as the link to gastric cancer. *Duodenal perforation* - This is an acute complication typically associated with **peptic ulcer disease** (e.g., from H. pylori infection or NSAID use), not directly with autoimmune gastritis. - The presented symptoms and biopsy findings do not indicate a high risk of duodenal perforation. *Curling ulcer* - A **Curling ulcer** is a type of acute **stress ulcer** that develops in patients with severe burns due to hypovolemia and resultant splanchnic vasoconstriction. - The patient's presentation of chronic symptoms and specific biopsy findings do not align with the etiology of a Curling ulcer. *Gastric MALT lymphoma* - **MALT lymphoma** is predominantly associated with chronic **H. pylori infection**, which leads to acquired chronic gastritis, not typically autoimmune gastritis. - While chronic inflammation is involved, the specific biopsy findings (destruction of upper glandular layer, G-cell hyperplasia) point more strongly to AMAG and its associated risks than to MALT lymphoma.
Explanation: ***Ballooning degeneration and bridging necrosis*** - The patient presents with symptoms and signs of **acute viral hepatitis**, characterized by malaise, nausea, vomiting, fever, abdominal pain, scleral icterus, and right upper quadrant tenderness following travel to an endemic area (Mexico). **Ballooning degeneration** of hepatocytes and **bridging necrosis** (necrosis extending between portal tracts and central veins) are classic histological features of severe acute viral hepatitis. - These findings reflect the **cytopathic effect of the virus** and the host's immune response, leading to hepatocyte injury and extensive liver damage. *Piecemeal necrosis and fatty changes* - **Piecemeal necrosis** (also known as interface hepatitis) is characteristic of **chronic hepatitis**, where inflammation at the portal-parenchymal interface leads to destruction of periportal hepatocytes, not typical for acute resolving hepatitis. - **Fatty changes** (steatosis) are commonly seen in conditions like **alcoholic liver disease** or **non-alcoholic fatty liver disease (NAFLD)**, and are not primary features of acute viral hepatitis. *Lymphocytic infiltration and progressive ductopenia* - **Lymphocytic infiltration** is a general feature of many forms of hepatitis, but **progressive ductopenia** (loss of bile ducts) is highly suggestive of **primary biliary cholangitis (PBC)**, an autoimmune condition, or **primary sclerosing cholangitis (PSC)**, which does not fit the acute presentation or travel history. - These conditions are typically chronic and have different clinical manifestations. *Ground glass hepatocytes and apoptotic bodies* - **Ground-glass hepatocytes** are a hallmark feature of **chronic hepatitis B infection**, indicating the accumulation of HBsAg in the endoplasmic reticulum. This is not typical for acute viral hepatitis where the virus may still be replicating rapidly. - While **apoptotic bodies** (Councilman bodies) can be seen in acute hepatitis, they are not the predominant or most specific finding to describe the widespread damage seen with ballooning degeneration and necrosis. *Dysplastic hepatocytes with intracellular bile* - **Dysplastic hepatocytes** are indicative of **precancerous changes** or **hepatocellular carcinoma (HCC)**, usually occurring in the context of chronic liver disease, not acute self-limiting hepatitis. - While **intracellular bile** might be seen in cholestatic conditions, the combination of dysplastic hepatocytes points away from acute viral hepatitis.
Explanation: **PAS positive macrophages** - The clinical presentation with **diarrhea**, abdominal pain, weight loss, joint pain, and **neurological symptoms** (problems with concentration and memory) is classic for **Whipple's disease**. - **Whipple's disease** is caused by the bacterium **Tropheryma whipplei**, which is characterized histologically by **foamy macrophages** in the lamina propria that stain **positive with Periodic Acid-Schiff (PAS)** due to undigested bacterial cell wall material. *Non-caseating granulomas in the small intestine* - **Non-caseating granulomas** are characteristic of **Crohn's disease**, which typically presents with abdominal pain, diarrhea, and weight loss, but **neurological symptoms** are not a primary feature. - While Crohn's disease can cause joint pain (arthritis), the combination of GI and neurological symptoms points away from it. *Absence of nerves in the myenteric plexus* - An **absence of nerves in the myenteric plexus** is the hallmark of **Hirschsprung's disease**, which is a congenital disorder primarily affecting neonates and infants, causing intestinal obstruction and chronic constipation. - This finding is inconsistent with the patient's age and presenting symptoms of diarrhea and neurological issues. *Blunting of the villi* - **Villi blunting** is characteristic of **celiac disease** (gluten-sensitive enteropathy), which presents with malabsorption symptoms like diarrhea, weight loss, and abdominal pain. - However, **celiac disease** typically does not involve **neurological symptoms** like concentration and memory problems as a prominent feature, and the PAS-positive macrophages are specific to Whipple's. *Crypt hyperplasia with increased intraepithelial lymphocytes* - **Crypt hyperplasia** and **increased intraepithelial lymphocytes (IELs)** are seen in various small bowel pathologies, including **celiac disease** and **microscopic colitis**. - While these findings suggest intestinal inflammation, they are not specific to **Whipple's disease** and do not account for the characteristic neurological involvement.
Explanation: ***Fistulas*** - **Transmural inflammation**, characteristic of **Crohn's disease**, means the entire wall of the intestine is affected, leading to deep ulcerations and sinus tracts that can bore through tissues. - This deep, penetrating inflammation often results in the formation of **fistulas** (abnormal connections between organs or to the skin) or **abscesses**. *Paneth cell metaplasia* - This is a histological change where **Paneth cells**, normally found in the small intestine, appear in regions they shouldn't, such as the colon. - While it can occur in **inflammatory bowel disease**, it is a microscopic change and not a direct consequence of the described gross pathology (transmural inflammation leading to a larger structural complication like a fistula). *Toxic megacolon* - This is a severe complication characterized by **colonic dilation** and systemic toxicity, usually seen in **ulcerative colitis**, not typically Crohn's disease limited to the terminal ileum. - It arises from acute, severe inflammation that extends to the muscularis propria, causing paralysis of the colon, which is distinct from the **transmural inflammation** in Crohn's leading to fistulas. *Plummer-Vinson syndrome* - This syndrome is characterized by a triad of **iron-deficiency anemia**, **dysphagia** (due to esophageal webs), and **glossitis**, which is unrelated to inflammatory bowel disease. - It is a condition of the upper gastrointestinal tract and has no direct link to the pathology described in the terminal ileum. *Widening of the intestinal lumen* - The **transmural inflammation** described in Crohn's disease typically leads to **thickening of the bowel wall** and, more commonly, **strictures** (narrowing) of the lumen rather than widening. - The inflammatory process usually causes fibrosis and scarring, which reduces the luminal diameter, particularly in chronic disease.
Explanation: ***Chromogranin A*** - The presentation of a recurrent right lower abdominal pain with a mass in the **terminal ileum** in an elderly patient is highly suggestive of a **neuroendocrine tumor (NET)**, often referred to as a carcinoid tumor. - **Chromogranin A** is a common and reliable **immunohistochemical marker** for neuroendocrine differentiation, making it the most likely positive stain for cells from such a tumor. *Desmin* - **Desmin** is an intermediate filament typically found in **muscle cells** (smooth, skeletal, and cardiac). - While the gastrointestinal tract contains smooth muscle, a primary neuroendocrine tumor would not typically stain positive for desmin. *Glial fibrillary acid protein* - **Glial fibrillary acid protein (GFAP)** is an intermediate filament protein primarily found in **astrocytes** and other glial cells of the central nervous system. - It is not a marker for neuroendocrine tumors or gastrointestinal neoplasms. *Cytokeratin* - **Cytokeratin** is a family of intermediate filament proteins found in **epithelial cells** and is a marker for carcinomas (epithelial cancers). - While NETs originate from neuroepithelial cells, they have distinct markers like chromogranin and synaptophysin that differentiate them from typical carcinomas, though some NETs can show focal cytokeratin positivity. *Vimentin* - **Vimentin** is an intermediate filament protein found in **mesenchymal cells** (e.g., fibroblasts, endothelial cells, adipocytes). - It is not a primary marker for neuroendocrine tumors; instead, it is often used to identify sarcomas or other mesenchymal neoplasms.
Explanation: ***Gastric antrum*** - The patient's symptoms (recurrent upper abdominal pain, fullness worsening after meals), positive **urea breath test**, and endoscopic findings (mucosal atrophy, patchy erythema) are highly suggestive of **Helicobacter pylori infection** causing gastritis. - **H. pylori** preferentially colonizes the **gastric antrum**, making this the most appropriate site for biopsy to confirm the diagnosis and assess the extent of inflammation and atrophy. *Gastric pylorus* - While the pylorus is part of the stomach, the **antrum** is the primary site of H. pylori colonization and inflammation. - Biopsies from the pylorus might show some changes but are less likely to be diagnostic than those from the antrum. *Gastric fundus* - The gastric fundus is typically **spared** in initial H. pylori infections, which primarily affect the antrum and corpus. - Biopsy from this area would be **less likely** to yield an accurate diagnosis of H. pylori-associated gastritis compared to the antrum. *Distal esophagus* - The distal esophagus is primarily affected by conditions like **gastroesophageal reflux disease (GERD)** or **Barrett's esophagus**, which are not indicated by the patient's symptoms or positive urea breath test. - H. pylori does not colonize the esophagus, so a biopsy here would be **uninformative** for this suspected diagnosis. *Duodenal bulb* - The duodenal bulb can be affected by **H. pylori-associated duodenitis** or **duodenal ulcers**, often secondary to increased acid production driven by antral H. pylori. - However, the primary site of infection and the most reliable location for initial diagnosis of H. pylori gastritis itself remains the **gastric antrum**.
Explanation: **In children, appendicitis can frequently arise from certain changes in these structures.** - The structures marked (assuming they are **lymphoid follicles**) in the appendix are prominent in children and play a role in **mucosal immunity**. - **Lymphoid hyperplasia**, an enlargement of these follicles, is a common cause of appendicitis in children as it can obstruct the narrow appendiceal lumen. *These structures belong to the primary lymphatic system.* - The structures (lymphoid follicles) found in the appendix are part of the **secondary (peripheral) lymphatic system**, where lymphocytes encounter antigens and mount immune responses. - **Primary lymphatic organs** (e.g., bone marrow and thymus) are where lymphocytes mature, not where they mainly function in antigen presentation. *These structures are not normally present within the appendix.* - **Lymphoid follicles** are a normal and characteristic feature of the appendix, especially in children and young adults. - The appendix is considered a lymphoid organ and is rich in **gut-associated lymphoid tissue (GALT)**. *The only part of the digestive system in which this structure can be found is the appendix.* - While prominent in the appendix, lymphoid follicles are found throughout the **gastrointestinal tract**, including the Peyer's patches in the ileum. - These structures are crucial for **mucosal immune surveillance** in various parts of the digestive system. *Neutrophils are the major components of these structures.* - The primary cellular components of **lymphoid follicles** are **B lymphocytes** (B cells), which are responsible for humoral immunity, and some T cells. - **Neutrophils** are primarily involved in acute inflammation and are present in lymphoid tissue only when there is an infection or inflammatory process.
Explanation: ***Blunting of the intestinal villi*** - The positive **anti-tTG antibodies** and symptoms like **short stature**, **diarrhea**, and **iron deficiency anemia** in a 13-year-old boy are highly suggestive of **celiac disease**. - **Villus atrophy** (blunting of villi) and **crypt hyperplasia** are characteristic histopathologic findings in celiac disease due to gluten-induced immune response. *Granulomas extending through the layers of the intestinal wall* - This finding is characteristic of **Crohn's disease**, an inflammatory bowel disease, which would typically present with more severe abdominal pain and inflammatory markers, and less likely with positive anti-tTG antibodies. - Granulomas indicate **transmural inflammation**, which is not a feature of celiac disease. *Neutrophilic infiltration* - **Neutrophilic infiltration** is typically seen in acute infections or inflammatory conditions like **acute colitis** or **ulcerative colitis**, not primarily in celiac disease. - While some inflammation is present in celiac disease, the predominant immune cell is typically lymphocytes, not neutrophils. *Cuboidal appearance of basal epithelial cells* - **Cuboidal epithelial cells** are part of normal histology in glandular tissues but are not specifically a pathological finding associated with celiac disease in the villi. - The duodenal epithelium normally consists of columnar cells with goblet cells. *Crypt aplasia* - **Crypt aplasia** (absence or severe reduction of crypts) is a very rare and severe condition, often associated with a distinct form of **congenital enteropathy**, not typically seen in celiac disease. - In celiac disease, **crypts are hyperplastic** (increased in number and size) in an attempt to compensate for the damaged villi.
Explanation: ***Correct: It also arises in the GI tract*** - The patient's symptoms (diarrhea, flushing, difficulty breathing, weight loss) are highly suggestive of **carcinoid syndrome**, often caused by a **neuroendocrine tumor (NET)** in the lung or gastrointestinal tract that metastasizes to the liver. - While a lung mass is identified here, **carcinoid tumors** (a type of NET) most commonly originate in the **gastrointestinal tract** (especially the appendix, small intestine, and rectum), making this option strongly associated with the likely cause. - Carcinoid syndrome typically occurs when liver metastases allow serotonin and other vasoactive substances to bypass hepatic metabolism and enter systemic circulation. *Incorrect: Stains positive for vimentin* - **Vimentin** is an intermediate filament typically found in **mesenchymal cells** and is often positive in sarcomas, lymphomas, and melanomas. - Neuroendocrine tumors, including carcinoid, typically stain positive for **chromogranin** and **synaptophysin**, not vimentin. *Incorrect: Has keratin pearls and intercellular bridges* - **Keratin pearls** and **intercellular bridges** are characteristic histological features of **squamous cell carcinoma**, which is a type of non-small cell lung cancer. - While the patient has a lung mass, his symptoms of carcinoid syndrome point away from squamous cell carcinoma and towards a neuroendocrine tumor. *Incorrect: Most common lung cancer in non-smokers and females* - **Adenocarcinoma** is the most common type of lung cancer, particularly prevalent in non-smokers and females. - However, adenocarcinoma does not typically cause carcinoid syndrome, which is a key clinical presentation in this case. *Incorrect: Contains psammoma bodies* - **Psammoma bodies** are concentric, laminated calcified structures seen in certain tumors, such as papillary thyroid carcinoma, meningioma, and serous papillary ovarian cancer. - They are not characteristic features of neuroendocrine tumors or carcinoid tumors.
Explanation: ***Acute pancreatitis*** - The patient presents with **severe mid-epigastric abdominal pain radiating to the back**, a classic symptom of acute pancreatitis. The **elevated lipase (250 U/L)**, which is more specific than amylase, further supports this diagnosis, especially in the context of **hypertriglyceridemia (942 mg/dL)**, a common cause. - While amylase is only mildly elevated (110 U/L, upper limit of normal around 100 U/L), lipase is significantly elevated. The patient's history of **hypertriglyceridemia** is a well-known risk factor for acute pancreatitis, and the pain description fits typical presentation. *Duodenal ulcer* - A duodenal ulcer would typically present with **epigastric pain that improves with food** and worsens several hours after eating, which is not described. - While ulcers can cause severe pain, they are not typically associated with pain radiating to the back to this extent, nor would they present with isolated **elevations in lipase in the absence of other GI symptoms** like melena or hematemesis. *Superior mesenteric artery embolism* - This condition presents with **sudden onset, severe abdominal pain that is often out of proportion to physical exam findings**. It typically leads to signs of **bowel ischemia**, such as rectal bleeding, metabolic acidosis, and leukocytosis, which are absent here. - The pain would likely be more diffuse, and while it could be severe, the specific elevated lipase in the setting of hypertriglyceridemia points away from this diagnosis. *Abdominal aortic aneurysm* - A ruptured or dissecting abdominal aortic aneurysm would cause **severe, abrupt abdominal or back pain**, often described as a tearing sensation, and would typically be accompanied by signs of **hemodynamic instability** (e.g., hypotension, shock), which are not observed (BP 146/90). - A pulsating abdominal mass would also likely be present on examination, and this diagnosis does not explain the elevated lipase. *Mallory-Weiss tear* - A Mallory-Weiss tear is characterized by **hematemesis** following forceful vomiting or retching, resulting from a tear in the esophageal or gastric mucosa. - The patient does not report vomiting or hematemesis, and the primary symptom is abdominal pain radiating to the back, not upper GI bleeding.
Explanation: ***Sheets of normal hepatocytes without portal tracts or central veins*** - This describes **hepatic adenoma**, which is strongly associated with **anabolic steroid use** and can present as an enhancing liver nodule. - The absence of portal tracts and central veins within the nodule, composed of sheets of normal-appearing hepatocytes, is a key histologic feature. *Hemorrhagic nests with atypical endothelial cells* - This description is characteristic of **angiosarcoma of the liver**, a rare and aggressive tumor. - While it can be hemorrhagic, the presence of **atypical endothelial cells** points to a malignant vascular tumor, which is not suggested by anabolic steroid use alone. *Multifocal tumor with multiple layers of hepatocytes with hemorrhage and necrosis* - This description aligns more with **hepatocellular carcinoma (HCC)**, especially if multifocal. - In HCC, hepatocytes are **atypical** and arranged in thickened layers, often with areas of hemorrhage and necrosis, which is not directly caused by anabolic steroids but rather from chronic liver disease. *Columnar cells with acinar structures* - This histopathological finding is more suggestive of an **adenocarcinoma**, possibly metastatic to the liver, or rarely, a primary intrahepatic cholangiocarcinoma. - While adenocarcinomas can occur in the liver, they typically do not arise from anabolic steroid use and are not primarily composed of hepatic cellular elements. *Hypervascular lesion lined by normal endothelial cells* - This description most closely fits a **hepatic hemangioma**, the most common benign liver tumor. - Although hemangiomas are hypervascular and lined by normal endothelial cells, they are typically incidental findings and not directly associated with anabolic steroid use or specific symptoms like the dull RUQ pain described.
Explanation: ***Chronic hemolysis*** - The patient has **sickle cell disease**, which is characterized by **chronic hemolysis**, leading to increased bilirubin production. - This increased **bilirubin** is excreted into the bile, predisposing to the formation of **pigment gallstones** (seen on ultrasound as echogenic foci with posterior shadowing, consistent with gallstones in the gallbladder). *Increased cholesterol secretion* - This is primarily associated with the formation of **cholesterol gallstones**, which are less common in sickle cell disease. - While cholesterol secretion can contribute to gallstone formation, the underlying pathophysiology in sickle cell disease points more directly to bilirubin overload. *Impaired gallbladder emptying* - Impaired gallbladder emptying, or **gallbladder stasis**, can lead to the formation of gallstones and biliary sludge. - However, it is not the primary mechanism for gallstone formation in the context of chronic hemolysis in sickle cell disease. *Bacterial infection* - While **bacterial infections** can lead to the formation of **pigment gallstones** containing bacterial biofilms, they are generally less common than the pigment stones formed due to chronic hemolysis. - The patient's presentation with chronic sickle cell disease makes chronic hemolysis a more direct and primary cause. *Decreased bile salt absorption* - **Decreased bile salt absorption** can lead to a *reduced bile salt pool*, which in turn can increase the risk of cholesterol gallstone formation. - It is not the main pathogenic mechanism for the formation of pigment gallstones seen in sickle cell disease.
Explanation: ***Gallbladder carcinoma*** - The hyperechogenic rim-like calcification of the gallbladder wall described is characteristic of a **porcelain gallbladder**. - A **porcelain gallbladder** significantly increases the risk of developing adenocarcinoma of the gallbladder, making regular surveillance or prophylactic cholecystectomy often recommended. *Gallbladder empyema* - **Gallbladder empyema** is characterized by the presence of pus within the gallbladder, usually due to severe acute cholecystitis with bacterial infection and obstruction. - While it would present with pain, it's typically associated with **fever, leukocytosis**, and more acute, severe symptoms, not primarily a calcified wall. *Pyogenic liver abscess* - **Pyogenic liver abscess** is a collection of pus in the liver, often caused by bacterial infection spreading from the biliary tract or other abdominal infections. - This condition would typically present with **fever, right upper quadrant pain, and abnormal liver function tests**, none of which are indicated by a calcified gallbladder wall. *Hepatocellular carcinoma* - **Hepatocellular carcinoma (HCC)** is a primary liver cancer, most commonly associated with chronic liver diseases like **hepatitis B, hepatitis C, or cirrhosis**. - It is not directly linked to gallbladder calcification and would not be increased by the finding of a porcelain gallbladder. *Acute pancreatitis* - **Acute pancreatitis** is inflammation of the pancreas, often caused by gallstones or alcohol abuse, presenting with severe epigastric pain radiating to the back, nausea, and elevated lipase/amylase. - While gallstones can cause pancreatitis, a calcified gallbladder wall itself does not directly increase the risk of acute pancreatitis compared to the general risk of gallstone disease.
Explanation: ***They are formed due to bile supersaturated with cholesterol.*** - The patient's history of **postprandial right upper quadrant pain**, especially after fatty meals, and the ultrasound showing multiple gallstones, points to **cholesterol cholelithiasis**, which is caused by supersaturation of bile with cholesterol. - **Cholesterol stones** are the most common type of gallstones, accounting for about 80% of cases in Western countries, and their formation is linked to factors like obesity, rapid weight loss, and certain medications. *These are usually radiopaque on X-ray imaging.* - **Cholesterol stones** are primarily composed of cholesterol, which is not radiopaque, making them **radiolucent** in about 80% of cases on plain X-rays. - Their presence is typically detected by **ultrasonography**, which visualizes the stones regardless of their calcium content. *They are formed due to elevated uric acid in the blood.* - **Uric acid stones** are a type of **kidney stone**, primarily associated with conditions like gout and hyperuricemia, and are not involved in gallstone formation. - Gallstones are mineral deposits that form in the gallbladder, primarily from **cholesterol** or **bilirubin**, not uric acid. *These are seen in patients with chronic hemolysis.* - **Chronic hemolysis** leads to an increased production of **unconjugated bilirubin**, which can precipitate as **pigment gallstones** (specifically black pigment stones) due to excess bilirubin in the bile. - The patient's normal bilirubin levels rule out **hemolytic causes** for the gallstones in this case. *They are formed due to the release of beta-glucuronidase from infecting bacteria.* - The release of **beta-glucuronidase** from infecting bacteria (e.g., E. coli) in the biliary tract typically leads to the formation of **brown pigment stones**. - These stones are often found in the bile ducts and are associated with **biliary infections** or stasis, which is not suggested by the patient's presentation or normal lab findings.
Explanation: ***Hamartomatous polyps*** - The constellation of **breast carcinoma**, a history of **colonic polyps**, and **mucocutaneous pigmentation** (dark brown pigmentation on lips in the patient and her son) is highly suggestive of **Peutz-Jeghers Syndrome**. - **Peutz-Jeghers Syndrome** is an autosomal dominant disorder characterized by the development of **hamartomatous polyps** in the gastrointestinal tract and an increased risk of various cancers, including breast and colorectal cancer. *Adenomatous polyps* - While adenomatous polyps are common and can be a precursor to colorectal cancer, the presence of associated **mucocutaneous pigmentation** points away from typical adenomatous familial or sporadic polyposis syndromes (e.g., FAP). - These polyps are characteristic of **Familial Adenomatous Polyposis (FAP)** or sporadic colorectal cancer, but FAP usually presents with hundreds to thousands of polyps and does not typically involve mucocutaneous pigmentation. *Inflammatory polyps* - **Inflammatory polyps** are typically a reactive process secondary to chronic inflammation, such as in inflammatory bowel disease (Crohn's disease or ulcerative colitis), and are not associated with specific hereditary syndromes like Peutz-Jeghers or mucocutaneous pigmentation. - They do not carry the same increased risk of malignancy as hamartomatous or adenomatous polyps in the context of a syndrome. *Retention polyps* - **Retention polyps**, also known as juvenile polyps, are usually found in children and are typically benign; however, they can occur sporadically in adults. - They are generally solitary or few in number and are not associated with the distinct syndromic features of mucocutaneous pigmentation or the wide range of cancer risks seen in Peutz-Jeghers syndrome. *Hyperplastic polyps* - **Hyperplastic polyps** are generally considered benign and do not typically lead to cancer, although some serrated hyperplastic polyps can have malignant potential. - They are not associated with hereditary syndromes presenting with cutaneous pigmentation and multiple extracolic malignancies.
Esophageal pathology
Practice Questions
Gastritis and peptic ulcer disease
Practice Questions
Gastric tumors
Practice Questions
Malabsorption syndromes
Practice Questions
Inflammatory bowel diseases
Practice Questions
Intestinal infections
Practice Questions
Diverticular disease
Practice Questions
Vascular disorders of bowel
Practice Questions
Colon polyps and neoplasms
Practice Questions
Appendicitis
Practice Questions
Peritonitis
Practice Questions
Hernia complications
Practice Questions
Gastrointestinal stromal tumors
Practice Questions
Get full access to all questions, explanations, and performance tracking.
Start For Free