A 14-year-old Caucasian female with a family history of familial hypercholesterolemia commits suicide by drug overdose. Her family decides to donate her organs, and her heart is removed for donation. After removing the heart, the cardiothoracic surgeon notices flat yellow spots on the inside of her aorta. Which of the following cell types predominate in these yellow spots?
A 51-year-old man comes to the physician for the evaluation of a 3-week history of fatigue and shortness of breath. One year ago, a screening colonoscopy showed colonic polyps. His brother has a bicuspid aortic valve. On examination, a late systolic crescendo-decrescendo murmur is heard at the right upper sternal border. Laboratory studies show: Hemoglobin 9.1 g/dL LDH 220 U/L Haptoglobin 25 mg/dL (N = 41–165 mg/dL) Urea nitrogen 22 mg/dL Creatinine 1.1 mg/dL Total bilirubin 1.8 mg/dL A peripheral blood smear shows schistocytes. Which of the following is the most likely cause of this patient's anemia?
A 38-year-old man comes to the physician because of a 3-week history of a painful rash affecting his left foot. For the past 2 years, he has had recurrent episodes of color changes in his fingers when exposed to the cold; his fingers first turn white and then progress to blue and red before spontaneously resolving. He has smoked two packs of cigarettes daily for 20 years. His blood pressure is 115/78 mm Hg. Physical examination shows multiple tender, dark purple nodules on the lateral surface of the left foot with surrounding erythema that follow the course of the lateral marginal vein. There are dry ulcers on the tip of his right index finger and on the distal aspect of his right hallux. Serum lipid studies show no abnormalities. Biopsy of the dorsalis pedis artery will most likely show which of the following findings?
A 73-year-old man with coronary artery disease and hypertension is brought to the emergency department by ambulance 90 minutes after the acute onset of substernal chest pain and dyspnea. He has smoked 2 packs of cigarettes daily for 52 years. Shortly after arriving at the hospital, he loses consciousness and is pulseless. Despite attempts at cardiopulmonary resuscitation, he dies. Examination of the heart at autopsy shows complete occlusion of the left anterior descending artery with a red thrombus overlying a necrotic plaque. Which of the following pathophysiologic mechanisms is most likely responsible for this patient's acute coronary condition?
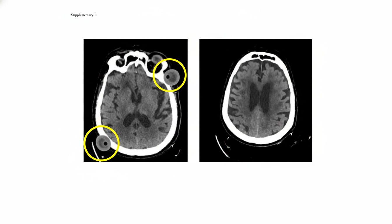
A 60-year-old man is brought to the emergency department by his wife with a sudden onset of right-sided weakness 2 hours ago. He can speak clearly without difficulty and denies any similar symptoms in the past. Past medical history is significant for hypertension and diabetes, both poorly managed due to medication non-compliance. Family history is significant for heart disease and diabetes in multiple paternal and maternal relatives. His vital signs include: blood pressure 150/88 mm Hg, pulse 86/min, and respiratory rate 15/min. On physical examination, strength is 3/5 on the right and 5/5 on the left upper and lower extremities. The sensation is intact, and no impairments in balance or ataxias are present. An initial noncontrast CT scan of the head is unremarkable, but a repeat noncontrast CT scan of the head performed a month later reveals the 2 lesions circled in the image. Which of the following is the most likely diagnosis in this patient?

A 74-year-old man presents with complaints of sudden severe crushing retrosternal pain. The pain radiated to his left arm shortly after it began, and he was subsequently rushed to the emergency department for evaluation. His troponins and creatine kinase-MB (CK-MB) were elevated. Unfortunately, the patient died within the next 2 hours and an autopsy was performed immediately. The gross examination of the heart will show?
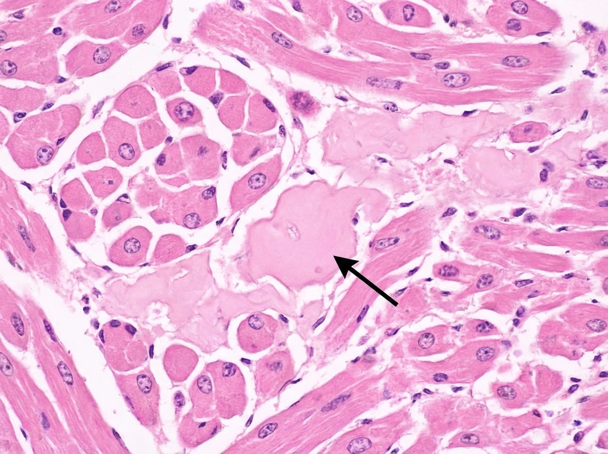
A 79-year-old homeless man is brought to the emergency department by ambulance 30 minutes after being found unresponsive by the police. On arrival, he is apneic and there are no palpable pulses. Despite appropriate life-saving measures, he dies. Examination of the heart during autopsy shows normal ventricles with a sigmoid-shaped interventricular septum. A photomicrograph of a section of the heart obtained at autopsy is shown. Which of the following is the most likely underlying cause for the structure indicated by the arrow?

A 78-year-old man with a history of myocardial infarction status post coronary artery bypass grafting and a 60-pack-year history of smoking is found deceased in his apartment after not returning calls to his family for the last 2 days. The man was last known to be alive 3 days ago, when his neighbor saw him getting his mail. The family requests an autopsy. On autopsy, the man is found to have a 100% blockage of his left anterior descending artery of his heart and likely passed from sudden cardiac death 2 days prior. Which of the following findings is expected to be found on histologic examination of his damaged myocardium?
A 48-year-old man with a lengthy history of angina is brought to the emergency department after the acute onset of severe chest pain that started 40 minutes ago. Unlike previous episodes of chest pain, this one is unresponsive to nitroglycerin. His medical history is significant for hypertension, type 2 diabetes mellitus, and hyperlipidemia. His current medications include lisinopril, metformin, and simvastatin. His blood pressure is 130/80 mm Hg, heart rate is 88/min, respiratory rate is 25/min, and temperature is 36.6°C (97.8°F). An ECG shows ST-segment elevation in leads avF and V1-V3. He is administered aspirin, nasal oxygen, morphine, and clopidogrel; additionally, myocardial reperfusion is performed. He is discharged within 2 weeks. He comes back 3 weeks later for follow-up. Which of the following gross findings are expected to be found in the myocardium of this patient at this time?
A 50-year-old man is brought to the hospital after being found unresponsive in his bed in the morning. He is declared dead on arrival in the emergency room. His wife states that he always had uncontrolled hypertension despite being on multiple medications. An autopsy is performed, and the cause of his death is found to be a hemorrhage in his right basal ganglia. On microscopic examination, the branches of the renal artery have concentric endothelial proliferation with prominent narrowing of the lumen resulting in focal ischemia and hemorrhage of the renal parenchyma. Which of the following is most likely related to the findings in this patient?
Explanation: ***Correct: Macrophages*** - The "flat yellow spots" on the aorta in a familial hypercholesterolemia patient are characteristic of **fatty streaks**, the earliest lesions of atherosclerosis. - These fatty streaks are primarily composed of **lipid-laden macrophages**, also known as **foam cells**, which have ingested oxidized low-density lipoprotein (LDL). - In familial hypercholesterolemia, elevated LDL levels accelerate the formation of these macrophage-rich lesions even in young patients. *Incorrect: Fibroblasts* - While fibroblasts are involved in the later stages of **atherosclerotic plaque formation** by synthesizing collagen and forming a fibrous cap, they are not the predominant cell type in early fatty streaks. - Their presence signifies a more advanced, **fibrotic lesion**, not the initial yellow spots. *Incorrect: T-cells* - T-cells are involved in the inflammatory response in **atherosclerosis** and are found within plaques, but they are not the dominant cell type forming the bulk of the initial lipid accumulation in fatty streaks. - They contribute to the **immune-mediated aspects** of plaque progression. *Incorrect: Neutrophils* - Neutrophils are primarily involved in **acute inflammation** and bacterial infections. - They are generally not a prominent cell type in either early or advanced **atherosclerotic lesions** under normal circumstances. *Incorrect: Endothelium* - Endothelial cells line the lumen of blood vessels and are crucial in the **initiation of atherosclerosis** by becoming dysfunctional and allowing LDL entry. - However, they do not constitute the "yellow spots" themselves, which are subendothelial accumulations of lipids and immune cells.
Explanation: ***Fragmentation of erythrocytes*** - The presence of **schistocytes** on peripheral blood smear, along with signs of **hemolysis** (elevated LDH, decreased haptoglobin, elevated bilirubin), points to **microangiopathic hemolytic anemia**. - The late systolic crescendo-decrescendo murmur at the right upper sternal border, combined with a family history of **bicuspid aortic valve**, strongly suggests **aortic stenosis**, which can cause **shear stress** and fragmentation of red blood cells as they pass through the narrowed valve. *Erythrocyte membrane fragility* - While membrane fragility can cause hemolytic anemia, conditions like **hereditary spherocytosis** or **elliptocytosis** would typically present with specific red cell morphologies (spherocytes, elliptocytes) rather than schistocytes. - There are no other findings in the patient's history or lab results that would specifically suggest a primary membrane defect. *Erythrocyte enzyme defect* - Enzyme defects such as **G6PD deficiency** or **pyruvate kinase deficiency** lead to hemolytic anemia but typically do not cause **schistocytes**. - These conditions are also often associated with specific triggers or presentations not evident here. *Gastrointestinal bleeding* - While a history of colonic polyps and anemia could suggest **gastrointestinal bleeding** (leading to iron deficiency anemia), this would typically present as a **microcytic hypochromic anemia** and would not cause **schistocytes**, elevated LDH, or decreased haptoglobin. - The low hemoglobin could be partially due to blood loss, but the hemolytic markers point to a different primary cause for the anemia. *Autoimmune destruction of erythrocytes* - **Autoimmune hemolytic anemia** can cause significant anemia and hemolysis (elevated LDH, decreased haptoglobin, elevated bilirubin). - However, it typically does not present with **schistocytes** but rather **spherocytes**, and a **direct Coombs test** would be positive, which is not mentioned here.
Explanation: ***Segmental thrombosing inflammation with sparing of the internal elastic lamina*** - The patient's history of **Raynaud phenomenon**, painful rash with **ulcers on digits**, and **heavy smoking (2 packs/day for 20 years)** strongly points to **Buerger disease (thromboangiitis obliterans)**. - **Biopsy findings** characteristic of Buerger disease include acute and chronic inflammatory infiltrates, **segmental thrombosis** of arteries and veins, and **preservation of the internal elastic lamina**. *Transmural inflammation with fibrinoid necrosis of the vessel wall* - This finding is characteristic of **polyarteritis nodosa**, a necrotizing vasculitis affecting medium-sized arteries. - While polyarteritis nodosa can cause skin lesions and mononeuropathy, **Raynaud phenomenon** and strong association with **smoking** are not typical features. *Calcification of the tunica media with foam cells and fibrous cap formation* - This describes features of **atherosclerosis** (fibrous cap formation with foam cells in the intima) and **Mönckeberg arteriosclerosis** (calcification of the tunica media). - Atherosclerosis typically involves larger arteries, and while it can lead to peripheral arterial disease and ulcers, the specific pattern of recurrent Raynaud phenomenon and tender nodules in a young smoker is less consistent. *Granulomatous inflammation with narrowing of the vessel lumen* - This is a hallmark of **giant cell arteritis** or **Takayasu arteritis**, both of which are large-vessel vasculitides, but neither fit the clinical presentation. - Giant cell arteritis primarily affects temporal arteries in older adults, and Takayasu arteritis typically involves the aorta and its major branches in younger women, presenting with claudication and absent pulses in limbs. *Intraluminal fibrin clot predominantly composed of red blood cells* - This describes a **thrombus**, which can be seen in various conditions, including deep vein thrombosis or arterial thrombosis related to atherosclerosis. - While thrombosis is central to Buerger disease, this description is too generic and lacks the specific inflammatory and structural features seen on biopsy in thromboangiitis obliterans.
Explanation: ***Secretion of matrix metalloproteinases*** - **Matrix metalloproteinases (MMPs)** degrade the **extracellular matrix** within the fibrous cap of an atherosclerotic plaque, leading to its **destabilization and rupture**. - Plaque rupture then exposes the highly thrombogenic lipid core, initiating thrombus formation and acute coronary events like the **red thrombus** seen in the **left anterior descending artery (LAD)**. *Influx of lipids into the endothelium* - This process is characteristic of the **initial stages of atherosclerosis**, leading to **fatty streak formation**, not the acute plaque rupture and thrombosis described. - While essential for plaque development, lipid influx alone does not directly explain aggressive plaque rupture and acute thrombus formation. *Release of platelet-derived growth factor* - **Platelet-derived growth factor (PDGF)** is primarily involved in **smooth muscle cell proliferation** and migration, contributing to plaque growth and thickening. - Its role is more chronic and proliferative, not immediate plaque destabilization and rupture leading to acute thrombosis. *Type III collagen deposition* - **Type III collagen** is characteristic of early, developing atherosclerotic plaques and granulation tissue, contributing to plaque stability. - Plaque vulnerability associated with rupture involves a **thin fibrous cap** with reduced **collagen content**, often due to increased collagen degradation. *Proliferation of smooth muscle cells* - **Smooth muscle cell proliferation** occurs during chronic atherosclerosis, contributing to the **fibrous cap formation** and overall plaque stability. - In the context of acute plaque rupture, it is the *erosion* of the fibrous cap, often due to degradation, rather than proliferation, that is the immediate cause.
Explanation: ***Hyaline arteriosclerosis*** - The patient's history of **poorly controlled hypertension and diabetes** are major risk factors for **hyaline arteriosclerosis**, which leads to vessel wall thickening and narrowing, commonly affecting small perforating arteries in the brain. - This condition is a primary cause of **lacunar infarcts**, which manifest as small, deep brain lesions consistent with the patient's presentation of **right-sided weakness (pure motor stroke)** and the later CT findings. *Charcot-Bouchard aneurysm* - These aneurysms are associated with **chronic hypertension** and occur in small cerebral arteries, often leading to **intracerebral hemorrhage** when they rupture. - While associated with hypertension, the clinical presentation here is more consistent with an **ischemic event (lacunar stroke)** rather than hemorrhage, and the CT findings a month later show chronic ischemic changes. *Arteriovenous malformations* - **Arteriovenous malformations (AVMs)** are congenital vascular abnormalities that can present with seizures, headaches, or hemorrhage, but they typically manifest as a **tangle of abnormal blood vessels** on imaging rather than small, punctate lesions indicative of infarction. - The sudden onset of focal neurological deficits followed by the detection of small lesions on CT is less characteristic of an AVM. *Hypertensive encephalopathy* - **Hypertensive encephalopathy** is a serious complication of severe, rapid-onset hypertension, characterized by symptoms like **headache, confusion, seizures, and visual disturbances**, often with cerebral edema on imaging. - The patient's chronic poorly controlled hypertension and presentation of isolated focal weakness, without signs of rapid systemic decompensation or global neurological dysfunction, do not align with hypertensive encephalopathy. *Carotid artery atherosclerosis* - **Carotid artery atherosclerosis** typically causes neurological symptoms through **artery-to-artery embolism** or **hemodynamic insufficiency**, leading to larger ischemic strokes, often involving the cerebral cortex. - The patient's symptoms of **pure motor weakness** and the small, deep lesions seen on follow-up CT are more indicative of a lacunar stroke affecting deeper brain structures rather than a large cortical infarct resulting from carotid emboli.
Explanation: ***Normal heart tissue*** - At **0-4 hours** following a myocardial infarction, the heart muscle shows **no gross changes** on autopsy examination. - Although **coagulative necrosis** begins at the cellular level within minutes, these microscopic changes are **not visible** to the naked eye during gross examination. - The patient died within **2 hours** of symptom onset, which falls within this early window where the heart appears **grossly normal** despite the acute infarction. - Elevated **cardiac enzymes** (troponins, CK-MB) confirm myocardial injury has occurred, but gross pathological changes lag behind biochemical and microscopic changes. *Pallor of the infarcted tissue* - **Pallor** (pale discoloration) of infarcted myocardium typically becomes visible on gross examination at **4-12 hours** post-infarction. - At 2 hours, this change has not yet developed sufficiently to be visible on gross inspection. - Pallor results from **edema** and the accumulation of dead cells, which takes several hours to manifest grossly. *White, patchy, non-contractile scar* - A **white fibrotic scar** is characteristic of a **healed myocardial infarction**, which takes **several weeks to months** to form. - This represents complete replacement of necrotic tissue by **collagenous scar tissue** (fibrosis). - This is a chronic finding, not an acute one. *Abundant neutrophils* - **Neutrophil infiltration** is a microscopic finding that typically begins around **12-24 hours** after infarction, becoming abundant over the following days. - Even when present, neutrophils are not visible on **gross examination**—they require microscopic evaluation. - At 2 hours post-infarction, neutrophils have not yet migrated to the infarcted area. *Red granulation tissue surrounding the infarction* - **Granulation tissue** formation begins around **3-7 days** after infarction and involves proliferation of **capillaries** and **fibroblasts**. - Grossly, this appears as a **hyperemic border** with central yellow softening. - This represents the healing phase and would not be present within 2 hours of symptom onset.
Explanation: ***Deposition of wild-type transthyretin*** - This photomicrograph likely shows amyloid deposition, and in an elderly patient with heart failure, **wild-type transthyretin (ATTR) amyloidosis** is the most common cause. - The sigmoid-shaped interventricular septum also suggests age-related changes, often seen with ATTR amyloidosis. *Accumulation of iron granules* - **Hemochromatosis** involves iron deposition; however, it typically results in hemosiderin granules, which stain differently (e.g., Prussian blue), and the accompanying heart pathology would be **dilated cardiomyopathy**, not restrictive. - While iron overload can affect the heart, its microscopic appearance is distinct from that of amyloid, and it is less likely to cause sudden death in this manner without other systemic signs. *Clumping of defective mitochondria* - **Mitochondrial myopathies** can cause cardiomyopathy, but the characteristic histological findings are often **ragged red fibers** on Gomori trichrome stain due to subsarcolemmal mitochondrial aggregates, not the diffuse extracellular deposits characteristic of amyloid. - This is a rare cause of cardiomyopathy in the general elderly population and does not fit the typical macroscopic cardiac findings described. *Aggregation of alpha-synuclein* - **Alpha-synuclein aggregation** is characteristic of **Parkinson's disease** and other synucleinopathies, forming **Lewy bodies** primarily in neuronal tissue, not cardiac muscle. - While autonomic dysfunction can occur in Parkinson's, and sometimes alpha-synuclein can be found in cardiac nerves, it does not cause widespread myocardial deposits leading to fatal restrictive cardiomyopathy. *Oxidation of phospholipid molecules* - **Oxidation of phospholipid molecules** is associated with cellular damage and inflammation, such as in **atherosclerosis** or **ischemic injury**. - While oxidative stress plays a role in various cardiac pathologies, it does not lead to the formation of organized extracellular deposits in the myocardium that would resemble amyloid on histology.
Explanation: ***Uniform binding of acidophilic dyes*** - This finding, often described as **coagulative necrosis**, is characteristic of myocardial infarction 1-3 days after onset, as enzymes denature and bind to eosin more uniformly. - The patient was found deceased 2 days after his suspected death, placing the myocardial changes within this timeframe. *Fat saponification* - **Fat saponification** is a type of fat necrosis, typically seen in the pancreas or breast, resulting from the enzymatic destruction of fat cells. - It does not occur in the myocardium following an ischemic event. *Cellular debris and lymphocytes* - **Lymphocytes** are generally not the predominant inflammatory cells in the initial stages of a myocardial infarction. - While cellular debris would be present, the primary inflammatory infiltrate in the first 3 days after an MI is typically **neutrophils**, not lymphocytes. *Cystic cavitation* - **Cystic cavitation** is a characteristic feature of liquefactive necrosis, which occurs in the brain following an ischemic stroke, but not in the heart. - The heart undergoes **coagulative necrosis** after an MI. *Cellular debris and macrophages* - **Macrophages** become prominent later in the healing process of a myocardial infarction, typically starting around **3-7 days** after the event. - At the 2-day mark, the dominant cells would still be neutrophils and necrotic myocytes.
Explanation: ***White scar tissue*** - Three weeks post-MI, the healing process is advanced, characterized by the formation of **dense fibrous scar tissue**, which appears white. - This scar tissue replaces the necrotic myocardium and is primarily composed of **collagen**, signifying the completion of the repair phase. *Pale infarcted tissue* - This finding is typical of an **acute myocardial infarction** during the initial hours to days, before significant inflammatory response or healing has occurred. - At 3 weeks, the tissue would have undergone significant remodeling, and the infarct would no longer appear pale and unorganized. *Coagulation necrosis* - **Coagulation necrosis** is the hallmark microscopic feature of an acute ischemic injury, visible within hours to a few days after the infarct. - Grossly, this might present as pallor, but at 3 weeks, the necrotic tissue would have been largely cleared or replaced. *Yellow necrotic area* - A **yellow necrotic area** usually appears around 3 to 10 days post-MI, as neutrophils begin to break down the dead myocardial cells. - This reflects the peak of the inflammatory process and early reabsorption of necrotic debris, but it would have progressed further by 3 weeks. *Red granulation tissue* - **Red granulation tissue** begins to form within 1-2 weeks post-MI, as macrophages clear cellular debris and fibroblasts deposit collagen. - While present, it would be transitioning into mature fibrous scar tissue by 3 weeks, which is predominantly white.
Explanation: ***Raised renin level in the blood*** - The patient had uncontrolled **hypertension** leading to a fatal **intracerebral hemorrhage** (typical location: basal ganglia). The key autopsy finding of **concentric endothelial proliferation** with lumen narrowing in renal arteries describes **hyperplastic (proliferative) arteriolosclerosis**, also known as **"onion-skinning"** - the hallmark of **malignant hypertension**. - In malignant hypertension, severe vascular injury causes **renal ischemia**, which triggers massive activation of the **renin-angiotensin-aldosterone system (RAAS)**, leading to markedly **elevated renin levels**. This creates a vicious cycle: renin elevation → further hypertension → more vascular injury → more renin release. - The combination of uncontrolled hypertension, intracerebral hemorrhage, and hyperplastic arteriolosclerosis strongly indicates a renin-driven hypertensive crisis. *Raised cholesterol level in the blood* - While hypercholesterolemia contributes to **atherosclerosis** and chronic vascular disease, it does not explain the acute pathological finding of **concentric endothelial proliferation (onion-skinning)**. - Atherosclerosis involves **eccentric plaque formation** with lipid deposition, not the concentric smooth muscle and endothelial proliferation seen in malignant hypertension. - The acute, severe nature of this patient's vascular changes points to hypertensive emergency, not atherosclerotic disease. *Elevated ammonia level in the blood* - **Hyperammonemia** is associated with **hepatic encephalopathy** due to severe liver dysfunction (cirrhosis, acute liver failure), which is not suggested by this patient's presentation. - Elevated ammonia does not cause hypertension, intracerebral hemorrhage, or the specific renal vascular pathology (hyperplastic arteriolosclerosis) described. *Raised calcium level in the blood* - **Hypercalcemia** can cause nephrolithiasis, nephrocalcinosis, and various systemic symptoms, but it is not the primary driver of malignant hypertension or intracerebral hemorrhage. - While chronic hypercalcemia may contribute to vascular calcification (medial calcific sclerosis), it does not produce the **acute proliferative vascular changes** (onion-skinning) characteristic of malignant hypertension. *Elevated C-reactive protein in the blood* - **CRP** is a non-specific inflammatory marker that may be elevated in many chronic conditions, including cardiovascular disease. - However, CRP elevation is a **consequence** rather than a cause of vascular injury, and it does not explain the specific mechanism of malignant hypertension or the pathognomonic finding of hyperplastic arteriolosclerosis. - The renin-angiotensin system activation is the primary pathophysiologic mechanism in this case.
Explanation: ***Lipoprotein-laden macrophages*** - The description of a flat, yellow-white discolored lesion with an irregular border on the luminal surface of the aorta in a 17-year-old is classic for a **fatty streak**, the earliest lesion of **atherosclerosis**. - Fatty streaks are histologically characterized by the accumulation of **macrophages that have ingested oxidized lipoproteins**, appearing as foam cells within the intima. *Apoptotic smooth muscle cells* - While apoptosis of various cell types, including smooth muscle cells, can occur in advanced atherosclerotic lesions, it is not the primary or defining feature of an early **fatty streak**. - **Apoptosis** contributes to the necrotic core formation in later stages of plaque development, not the initial yellow-white discoloration of a fatty streak. *Necrotic cell debris* - **Necrotic cell debris** is a prominent feature of more advanced, **complicated atherosclerotic plaques**, forming the necrotic core. - In a **fatty streak**, the cells are primarily viable foam cells, and significant necrosis is not yet present. *Proteoglycan accumulation* - **Proteoglycan accumulation** occurs in the arterial intima and is involved in the retention of lipoproteins, contributing to the development of atherosclerosis. - However, the immediate and most characteristic histological finding of the **yellow-white discoloration** in a fatty streak is the lipid-laden macrophage. *Collagen deposition* - **Collagen deposition** is a key feature of the fibrous cap in **advanced atherosclerotic plaques**, laid down by migrating smooth muscle cells. - It is not the primary histological characteristic of an early, flat, yellow-white **fatty streak**.
Explanation: ***Hyperemic granulation tissue with abundance of macrophages*** - The patient experienced an **acute myocardial infarction (MI)** with subsequent complications, including sudden death occurring 4 days after the initial event. - At 4 days post-MI, the characteristic microscopic finding is **hyperemic granulation tissue**, where **macrophages** are prominent in clearing necrotic debris, and new blood vessels start to form. *Wavy myocardial fibers without inflammatory cells* - This finding is typically seen within the first few hours (0-4 hours) after an MI, representing early irreversible ischemic injury before significant inflammation begins. - The patient died 4 days later; therefore, more advanced changes would be expected. *Coagulative necrosis with dense neutrophilic infiltrate* - This stage is observed between 12 hours and 3 days post-MI, as neutrophils infiltrate the necrotic tissue to initiate breakdown and removal of dead cells. - While neutrophil infiltration is important, the primary characteristic at 4 days would shift towards macrophage predominance and early granulation tissue. *Low cellularity with dense, non-contractile scar tissue* - This describes the **final stage of MI healing**, typically observed several weeks to months after the event, when the necrotic tissue has been completely replaced by a mature collagenous scar. - At 4 days, the process is still actively inflammatory and reparative. *Dense granulation tissue with collagenous scar formation* - This stage represents a later phase of healing, usually from 1 to 2 weeks post-MI, where the granulation tissue becomes more dense and collagen deposition increases. - While granulation tissue is present at 4 days, it would be described as more hyperemic with a prominent macrophage presence rather than dense collagenous scar formation.
Explanation: ***Fibrinoid necrosis*** - The patient's presentation with **severe hypertension** (220/134 mm Hg), **proteinuria**, and **RBC casts** is highly suggestive of a **hypertensive crisis with malignant nephrosclerosis**. - **Fibrinoid necrosis** refers to the accumulation of **fibrin-like material** in the walls of arterioles, a characteristic pathological finding in **malignant hypertension** leading to vascular damage in the kidney. *Papillary necrosis* - This condition is typically associated with **analgesic nephropathy**, **diabetes mellitus**, and **urinary tract obstruction** or **sickle cell disease**. - While it can cause renal dysfunction, it does not directly explain the acute severe hypertension and RBC casts unique to hypertensive emergencies. *Acute tubular necrosis (ATN)* - While ATN can cause **acute kidney injury**, it is usually characterized by **muddy brown casts** and is often precipitated by **ischemic** or **nephrotoxic insults**. - The prominent hypertension and RBC casts point away from primary ATN in this context. *Acute pyelonephritis* - Acute pyelonephritis is an **infection of the kidney** characterized by **fever**, **flank pain**, and **pyuria** (white blood cells in urine), usually not severe hypertension and RBC casts. - The main findings in this patient are related to vascular damage, not infection. *Acute interstitial nephritis (AIN)* - AIN is often caused by **drug reactions** or systemic diseases, presenting with **fever**, **rash**, **eosinophilia**, and **white blood cell casts**. - The clinical picture of severe hypertension and RBC casts is not typical for AIN.
Explanation: ***RBC fragments and schistocytes*** - The presence of **RBC fragments** (schistocytes) on a peripheral blood smear is the hallmark of **microangiopathic hemolytic anemia** (MAHA), often seen in traumatic hemolysis caused by mechanical heart valves. - Mechanical valves can create **high-shear stress**, physically damaging red blood cells as they pass through, leading to their fragmentation. *Bite cells and Heinz bodies* - **Bite cells** and **Heinz bodies** are characteristic of **oxidative hemolysis**, typically seen in G6PD deficiency or reactions to certain drugs. - They are formed when denatured hemoglobin precipitates and is removed by splenic macrophages, leaving "bites" out of the red cells. *Round macrocytes and target cells* - **Round macrocytes** are characteristic of **folate or B12 deficiency**, which leads to impaired DNA synthesis and ineffective erythropoiesis. - **Target cells** are often associated with **thalassemia**, liver disease, or hemoglobinopathies, where there is an increased surface area to volume ratio of the red blood cell. *Macrocytes and hypersegmented neutrophils* - **Macrocytes** and **hypersegmented neutrophils** (>5 lobes) are classic findings in **megaloblastic anemias** due to **vitamin B12** or **folate deficiency**. - These findings indicate impaired DNA synthesis affecting both erythroid and myeloid cell lines. *Sickle cells and target cells* - **Sickle cells** are pathognomonic for **sickle cell anemia**, a genetic disorder characterized by abnormal hemoglobin leading to red blood cell distortion under low oxygen conditions. - While **target cells** can sometimes be seen in sickle cell disease, their primary association is with other hemoglobinopathies or liver disease, and sickle cells are not a feature of traumatic hemolysis.
Explanation: ***Fragmentation of elastic tissue in the tunica media*** - This patient's presentation with **intermittent dull abdominal pain radiating to the back**, a **pulsatile periumbilical mass**, and a history of **heavy smoking** is highly suggestive of an **abdominal aortic aneurysm (AAA)**. - The pathological hallmark of AAA is **degradation and fragmentation of elastic tissue in the tunica media**, caused by chronic inflammation and increased activity of **matrix metalloproteinases (MMPs)**. - This medial degeneration leads to **weakening of the vessel wall** and progressive **dilation**, ultimately forming an aneurysm. - While atherosclerosis initiates the process, the actual aneurysm formation is characterized by this elastic tissue destruction in the media. *Accumulation of foam cells in the tunica intima* - This describes the **early lesion of atherosclerosis**, which is a **risk factor** for AAA development. - However, when examining an **established AAA**, the predominant finding is not intimal foam cells but rather **medial degeneration** with elastic tissue fragmentation. - Atherosclerosis is the underlying cause, but the question asks about findings in the affected vessel (the aneurysm itself). *Obliterative inflammation of the vasa vasorum* - This is characteristic of **syphilitic aortitis** (tertiary syphilis), which typically affects the **ascending thoracic aorta**. - While syphilis can cause aneurysms, the patient's presentation and demographics are more consistent with atherosclerotic AAA. *Formation of giant cells in the tunica media* - This finding is associated with **giant cell arteritis** (temporal arteritis), which affects large and medium-sized arteries, particularly the temporal and ophthalmic arteries. - It presents with headache, jaw claudication, and visual disturbances—features absent in this case. *Necrotizing inflammation of the entire vessel wall* - This describes **necrotizing vasculitis** such as **polyarteritis nodosa**, which affects medium-sized muscular arteries. - While vasculitis can cause aneurysms, the clinical picture of AAA in an elderly smoker with atherosclerotic risk factors points to atherosclerotic pathogenesis, not primary vasculitis.
Explanation: ***Myocyte disarray*** - The patient's father likely had **hypertrophic cardiomyopathy (HCM)**, given the autosomal dominant inheritance, mutation in myosin-binding protein C, and sudden cardiac death during exertion. - **Myocyte disarray** (disorganized bundles of cardiomyocytes) is a classic histological hallmark of HCM and a key feature contributing to arrhythmias and sudden death. *Amyloid deposits* - **Amyloidosis** is characterized by the deposition of abnormal protein fibrils in tissues, which can cause restrictive cardiomyopathy. - While amyloid can mimic some features of HCM, it is not associated with mutations in **myosin-binding protein C** and would show specific apple-green birefringence with Congo red stain, not myocyte disarray. *Wavy myocytes* - **Wavy myocytes** are a histological finding typically seen in early myocardial infarction due to cellular stretching and retraction. - This finding is indicative of myocardial ischemia and necrosis, not the chronic structural abnormalities found in genetic cardiomyopathies like HCM. *Eosinophilic infiltration* - **Eosinophilic infiltration** of the myocardium is characteristic of **Loeffler endocarditis** or other forms of eosinophilic myocarditis. - This is an inflammatory condition and is not a feature of hypertrophic cardiomyopathy or associated with mutations in myosin-binding protein C. *Viral particles* - The presence of **viral particles** within myocytes suggests **viral myocarditis**, which can lead to dilated cardiomyopathy or acute heart failure. - This is an infectious cause of heart disease and is distinct from the genetic structural abnormalities seen in hypertrophic cardiomyopathy.
Explanation: ***Acute limb ischemia*** - The sudden onset of **severe leg pain**, **tingling**, **weakness**, and the **six P's** (pain, pallor, pulselessness, paresthesias, poikilothermia, and paralysis) are classic signs of acute limb ischemia. - The patient's history of **smoking**, **hypertension**, **diabetes**, and an **irregular pulse** (suggesting atrial fibrillation) are significant risk factors for **thromboembolism**, which is a common cause of acute limb ischemia. *Buerger's disease* - This condition primarily affects **small and medium-sized arteries and veins** in the limbs and is strongly associated with **heavy tobacco use**. - However, it typically presents with **distal extremity ischemia**, superficial phlebitis, and Raynaud's phenomenon, rather than the sudden, severe, large vessel occlusion described here. *Leriche syndrome* - This syndrome involves **atherosclerotic occlusion of the distal aorta** at or just below the renal arteries, affecting both lower limbs. - It classically presents with a triad of **bilateral buttock/thigh claudication**, **impotence**, and **absent femoral pulses**, which does not align with the unilateral symptoms and specific pulse deficits described in the case. *CREST syndrome* - CREST (Calcinosis, Raynaud's phenomenon, Esophageal dysmotility, Sclerodactyly, Telangiectasias) is a subtype of **systemic sclerosis**, a **connective tissue disease**. - Its symptoms are unrelated to the acute vascular event presented, which involves sudden limb ischemia. *Deep vein thrombosis* - DVT primarily involves the formation of a **blood clot in a deep vein**, leading to symptoms like **swelling**, **pain**, and **redness** in the affected limb. - It does not typically cause the **acute pallor**, **coldness**, **pulselessness**, and severe neurologic deficits (tingling, weakness) seen with arterial occlusion.
Explanation: ***Occlusion of the posterior descending artery*** - The image suggests a **large inferoposterior myocardial infarction**, impacting the posterior descending artery (PDA) territory, which supplies the posterior 1/3 of the interventricular septum and inferior wall of the left ventricle. - An extensive infarction three days prior could lead to **cardiac rupture** or severe heart failure, resulting in sudden death. *Rupture of the interventricular septum* - A septal rupture can lead to a **ventricular septal defect**, causing a left-to-right shunt and heart failure, which might manifest as shortness of breath. - This complication typically occurs within the first week following an **anterior or inferior myocardial infarction**, but the image points more directly to the cause of the infarction itself. *Pseudoaneurysmal dilation of the left ventricle* - A pseudoaneurysm is an **incomplete myocardial rupture** contained by pericardial adhesions, which can develop days to weeks post-MI and may rupture. - While a life-threatening complication, the image primarily shows the infarct and not a distinct pseudoaneurysm. *Exudative inflammation of the pericardium* - **Fibrinous pericarditis** is common after transmural MI (Dressler syndrome or early pericarditis) and causes chest pain but rarely leads to death. - It does not typically cause acute severe shortness of breath leading to death within three days in this context. *Bacterial infection of the mitral valve endocardium* - **Infective endocarditis** affects valve function and can cause heart failure, but it's typically a subacute process with systemic symptoms like fever. - The presented acute timeline and image findings are not consistent with primary infective endocarditis as the cause of sudden death following acute chest pain.
Explanation: ***Transmural infarction*** - The patient's history of **postprandial abdominal pain** relieved by nitroglycerin, recent **STEMI**, and presentation with **severe abdominal pain**, bloody diarrhea, shock, and subsequent death with **dark hemorrhagic sigmoid colon** are all highly suggestive of **acute mesenteric ischemia** leading to transmural infarction. The hemodynamic instability after a recent cardiac event suggests a non-occlusive mesenteric ischemia contributing to the widespread tissue death. - **Transmural infarction** involves all layers of the bowel wall, leading to necrosis, hemorrhage, and ultimately perforation or systemic shock, which aligns with the patient’s clinical course and autopsy findings. *Mucosal infarct* - A **mucosal infarct** is a milder form of ischemia, often reversible, and typically does not lead to the severe systemic shock, extensive hemorrhage, and rapid death described in this case, especially with aggressive medical management. - While mucosal ischemia can cause bloody diarrhea, the **extent of necrosis** (dark hemorrhagic appearance) and fatal outcome points to a more severe, full-thickness injury. *Toxic megacolon* - **Toxic megacolon** is characterized by acute colonic distension and systemic toxicity, often associated with inflammatory bowel disease or *Clostridium difficile* infection, which are not suggested by the patient’s history. - Although it can present with fever and abdominal pain, the absence of prior inflammatory bowel disease, the specific history of ischemic symptoms, and the autopsy finding of a **dark hemorrhagic colon** (rather than just distension) make this less likely. *Adenocarcinoma* - **Adenocarcinoma of the colon** typically presents with chronic symptoms such as changes in bowel habits, weight loss, and occult bleeding, rather than acute onset of severe abdominal pain, bloody diarrhea, and rapid deterioration leading to death within a day, as seen here. - While it can cause obstruction, the acute ischemic signs and massive hemorrhage rule out adenocarcinoma as the primary cause of death. *Twisting of sigmoid colon around its mesentery* - This describes a **sigmoid volvulus**, which presents with acute abdominal pain, constipation, and signs of bowel obstruction, often with a characteristic "coffee bean" sign on imaging. - While it can lead to ischemia and necrosis, the patient's history of **postprandial pain relieved by nitroglycerin** and recent STEMI strongly point to vascular compromise as the underlying etiology, not a mechanical twisting.
Explanation: ***Cardiac cell sarcomere proteins*** - The clinical presentation of **sudden cardiac arrest** in a young athlete, along with post-mortem findings of **asymmetric left ventricular hypertrophy** and **myocardial disarray**, are classic for **hypertrophic cardiomyopathy (HCM)**. - HCM is most commonly caused by mutations in genes encoding **sarcomeric proteins**, leading to abnormal myocardial structure and function. *Membrane potassium channel proteins* - Mutations in voltage-gated **potassium channels** are typically associated with cardiac arrhythmias such as **long QT syndrome** and **short QT syndrome**. - These conditions primarily affect cardiac electrical activity and do not directly cause asymmetric left ventricular hypertrophy or myocardial disarray. *Membrane sodium channels* - Defects in **sodium channels** are predominantly linked to conditions like **Brugada syndrome** and certain forms of **long QT syndrome**. - These channelopathies are characterized by specific ECG abnormalities and increased risk of sudden cardiac death due to arrhythmias, but not structural heart disease like HCM. *Ryanodine receptors* - Mutations in the **ryanodine receptor 2 (RyR2) gene** are associated with **catecholaminergic polymorphic ventricular tachycardia (CPVT)**. - CPVT causes life-threatening arrhythmias, particularly during exercise or emotional stress, but it does not typically present with the structural cardiac abnormalities of HCM. *Autoimmune beta-cell antibodies* - **Autoimmune beta-cell antibodies** are characteristic of **Type 1 diabetes mellitus**, an autoimmune disease affecting the pancreas. - These antibodies are unrelated to cardiac structural or electrical abnormalities and would not explain sudden cardiac arrest with left ventricular hypertrophy and myocardial disarray.
Explanation: ***Granulomatous inflammation of the media*** - The clinical presentation, including **night sweats, malaise, weight loss, weak brachial and radial pulses** (pulseless disease), and **thickening and narrowing of the aortic arch**, is highly suggestive of **Takayasu arteritis**. - **Takayasu arteritis** is a **large-vessel vasculitis** characterized pathologically by **granulomatous inflammation** primarily affecting the **tunica media** of the aorta and its major branches. *Fibrinoid necrosis of the intima and media* - **Fibrinoid necrosis** is typically seen in **small-to-medium vessel vasculitides** (e.g., polyarteritis nodosa) or in severe **hypertensive vasculopathy**. - It involves the deposition of **fibrin-like material** in the vessel wall, which is not the primary histological feature of Takayasu arteritis. *Calcification of the media* - **Medial calcification** (Mönckeberg arteriosclerosis) primarily affects **muscular arteries** and is typically seen in older individuals, often incidentally. - It does not cause significant luminal narrowing, inflammation, or the systemic symptoms described in this patient. *Subendothelial hyaline deposition* - **Hyaline deposition** in the subendothelium is characteristic of **hyaline arteriolosclerosis**, commonly seen in **benign hypertension** or **diabetes mellitus**, affecting small arteries and arterioles. - This finding is not consistent with the specific large-vessel inflammatory process seen in Takayasu arteritis. *Subendothelial immune complex deposition* - **Immune complex deposition** in the subendothelium is typical of **Type III hypersensitivity reactions**, such as those seen in **lupus nephritis** or **Type II cryoglobulinemia**, often affecting glomeruli or small vessels. - While Takayasu arteritis is immune-mediated, its hallmark is **granulomatous inflammation**, not primary immune complex deposition in the vessel wall.
Explanation: ***Multiple lacunar infarcts*** - The patient's history of **stepwise decline** in cognitive function, vascular risk factors (hypertension, diabetes, obesity, dyslipidemia), and unsteadiness of gait are highly suggestive of **vascular dementia**. Multiple lacunar infarcts are the pathological hallmark of this condition. - The **crescendo-decrescendo murmur** radiating to the carotids indicates **aortic stenosis**, which although not directly causing the dementia, is another sign of widespread vascular disease in an elderly patient. *Neurofibrillary tangles and hyperphosphorylated tau* - These are the characteristic pathological findings in **Alzheimer's disease**, which typically presents with a **gradual and progressive decline** rather than the stepwise deterioration described here. - While Alzheimer's is common, the sudden, repeated declines strongly point away from its typical insidious progression. *Fronto-temporal degeneration* - This is the pathological basis for **frontotemporal dementia**, which usually presents with early and prominent changes in **personality, behavior, or language**, rather than memory being the primary initial symptom. - The patient's primary symptom is memory decline, and the sudden, stepwise deterioration is not typical for frontotemporal dementia. *Diffuse, subtle atrophy of the brain, subtle ventricular enlargement* - While cortical atrophy and ventricular enlargement can be seen in various neurodegenerative conditions, they are **non-specific findings** and do not explain the distinct **stepwise decline** pattern. - These findings might be present in many types of dementia, but they do not specifically point to the underlying cause as clearly as the stepwise decline points to vascular issues. *Lewy bodies found on biopsy* - This is characteristic of **Lewy body dementia**, which typically presents with a **fluctuating cognitive function**, **visual hallucinations**, and **parkinsonism**. - While there is an unsteady gait, the history does not mention hallucinations or other motor features typical of Parkinsonism, and the predominant pattern is stepwise decline rather than fluctuation.
Explanation: ***Elevated lactate dehydrogenase*** - The patient has **mechanical hemolysis** from his prosthetic aortic valve, evidenced by schistocytes on blood smear and dark urine (hemoglobinuria). - **LDH is markedly elevated** in intravascular hemolysis due to release from lysed red blood cells. - LDH is the **most direct and sensitive marker** of ongoing hemolysis, making it the best answer. *Low ferritin* - While ferritin **can be low** in chronic mechanical hemolysis due to urinary iron loss (hemosiderinuria), this develops over months to years. - This patient's valve was placed only 1 month ago, making significant iron depletion unlikely. - More importantly, **LDH elevation is more specific** for acute hemolysis than ferritin changes. *Low platelets* - Thrombocytopenia is not a typical feature of **mechanical hemolysis** alone. - Low platelets would suggest microangiopathic processes like **TTP or HUS**, which present differently. - Platelet counts are typically normal in isolated mechanical hemolysis. *Elevated haptoglobin* - **Haptoglobin is consumed** (decreased, not elevated) in hemolysis as it binds free hemoglobin released into circulation. - **Low or undetectable haptoglobin** is characteristic of intravascular hemolysis. - Elevated haptoglobin would contradict the diagnosis of hemolytic anemia. *Low unconjugated bilirubin* - Unconjugated bilirubin is **elevated** (not low) in hemolysis due to breakdown of heme from lysed red blood cells. - The dark urine suggests hemoglobinuria, and there would also be elevated indirect bilirubin. - Low unconjugated bilirubin is inconsistent with hemolytic anemia.
Explanation: ***Cerebral vein thrombosis*** - The description of a DNA point mutation leading to a **glutamine in place of arginine at position 506** in a coagulation factor is characteristic of **Factor V Leiden mutation**. - **Factor V Leiden** causes resistance to inactivation by activated protein C, leading to a **hypercoagulable state** and an increased risk of venous thromboses, including **cerebral vein thrombosis**. *Iron deficiency* - This condition is typically caused by **chronic blood loss**, inadequate dietary iron intake, or **impaired iron absorption**, not by a coagulation factor mutation that promotes clotting. - Iron deficiency is associated with **anemia** and unrelated to thrombotic disorders like Factor V Leiden. *Ischemic stroke* - While Factor V Leiden increases the risk of **venous thrombosis**, its association with arterial thrombosis (the most common cause of ischemic stroke) is **less direct** and less pronounced than its link to venous clots. - Ischemic stroke is more commonly associated with conditions like **atherosclerosis**, atrial fibrillation, or vasculitis. *Petechiae* - **Petechiae** are small, pinpoint hemorrhages under the skin, usually indicative of **platelet dysfunction** (e.g., thrombocytopenia) or **capillary fragility**. - A hypercoagulable state like Factor V Leiden leads to excessive clotting, not bleeding disorders. *Hemarthrosis* - **Hemarthrosis**, or bleeding into joints, is a classic symptom of **severe bleeding disorders**, such as classic **hemophilia (Factor VIII or IX deficiency)**. - Factor V Leiden causes a predisposition to clotting, which is the opposite of conditions that cause hemarthrosis.
Explanation: ***Decreased protein S*** - This patient presents with symptoms highly suggestive of a **deep vein thrombosis (DVT)**, including unilateral leg pain, swelling, erythema, a positive Homan's sign, and elevated D-dimers. Key risk factors are prolonged immobilization from a recent long-haul flight and the use of **combined oral contraceptive pills (OCPs)**. - **Protein S deficiency** is a **heritable thrombophilia** that increases the risk of venous thromboembolism. Combined with OCP use, which also increases clotting risk, and recent long-distance travel, this makes protein S deficiency a likely underlying cause for this presentation. *Decreased fibrinogen* - **Hypofibrinogenemia** (decreased fibrinogen) would impair blood clotting, leading to increased bleeding tendencies, not thrombotic events. - This patient's symptoms are indicative of a clot forming, which is opposite to what decreased fibrinogen would cause. *ADAMTS13 deficiency* - **ADAMTS13 deficiency** causes **thrombotic thrombocytopenic purpura (TTP)**, characterized by microangiopathic hemolytic anemia, thrombocytopenia, renal failure, neurological symptoms, and fever stemming from disseminated microvascular thrombi. - While TTP involves clots, the clinical picture here is of a large venous thrombosis (DVT), not the systemic microvascular thrombosis of TTP. Also, there's no mention of anemia or thrombocytopenia. *Vitamin K supplementation* - **Vitamin K** is essential for the synthesis of several **pro-coagulant clotting factors** (II, VII, IX, X) and **anticoagulant proteins** (Protein C and Protein S). - Supplementation with vitamin K would generally **promote clotting** or counteract anticoagulants like warfarin, but it would not directly cause a pro-thrombotic state like a DVT, in fact, deficiencies in Vitamin K dependent anticoagulant proteins could be masked by this. Over-supplementation is rarely a direct cause of DVT. *Increased protein C* - **Protein C** is a natural anticoagulant that inactivates coagulation factors V and VIII. - An **increased level of protein C** would lead to a **decreased risk of thrombosis**, making clot formation less likely, which contradicts the patient's presentation.
Explanation: ***Leptomeningeal vascular malformation*** - The constellation of **seizures** and a **large purple patch** on the face (**port-wine stain** or nevus flammeus) strongly suggests **Sturge-Weber syndrome**. - **Leptomeningeal angioma** (vascular malformation) is the characteristic brain finding in Sturge-Weber syndrome, often leading to neurological deficits, seizures, and increased intracranial pressure. *Subependymal giant cell astrocytoma* - This tumor is pathognomonic for **tuberous sclerosis complex**, which is typically associated with **facial angiofibromas** (adenoma sebaceum) and other skin lesions like ash-leaf spots. - While tuberous sclerosis can present with seizures, the facial lesion described in the patient (large purple patch, or port-wine stain) is not consistent with the typical skin findings of tuberous sclerosis. *Periventricular calcification* - **Periventricular calcifications** are a hallmark sign of **congenital cytomegalovirus (CMV)** infection. - While CMV can cause neurological sequelae and developmental delay, the clinical presentation with a distinct facial lesion and recent onset seizures is more indicative of Sturge-Weber syndrome. *Brainstem glioma* - **Brainstem gliomas** typically present with **cranial nerve deficits**, **ataxia**, and long tract signs, rather than focal seizures and a port-wine stain. - The sudden onset of seizures and collapse, along with the characteristic facial lesion, points away from a primary brainstem tumor. *Intraparenchymal cyst* - An **intraparenchymal cyst** is a non-specific finding that could result from various causes, such as infection, trauma, or developmental anomalies. - It does not specifically account for the combination of seizures and the facial **port-wine stain** seen in this patient.
Explanation: ***Internal carotid artery*** - The description of a "necrotic, pale yellow plaque" in the **left circumflex artery** is characteristic of an **atherosclerotic plaque** that has likely led to a **myocardial infarction (MI)**. - **Atherosclerosis** is a **systemic disease** that preferentially affects **medium-sized muscular arteries** at bifurcations and areas of turbulent flow. - Given the patient's history of **hypertension** and **hyperlipidemia**, similar lesions are most likely to be found in the **internal carotid artery**, which is: - A **medium-sized muscular artery** (like coronary arteries) - A common site for **atherosclerotic plaque formation** leading to **thrombotic stroke** - Subject to the same risk factors and pathophysiology as coronary arteries - Prone to similar acute complications (plaque rupture, thrombosis, vessel occlusion) *Thoracic aorta* - While the **thoracic aorta** can develop **atherosclerotic plaques**, it is an **elastic artery** rather than a muscular artery. - Atherosclerosis in the aorta is typically less obstructive and less prone to acute thrombotic events compared to medium-sized muscular arteries. - The thoracic aorta is less frequently the site for clinically significant acute occlusive events like MI or stroke. *Superficial temporal artery* - The **superficial temporal artery** is typically involved in diseases like **giant cell arteritis**, an inflammatory vasculitis, rather than widespread **atherosclerosis**. - It is a smaller, more distal artery and not a typical site for the type of clinically significant **atherosclerotic plaques** described in this case. - Atherosclerotic disease causing acute events preferentially affects larger, proximal vessels. *Abdominal aorta* - The **abdominal aorta** is indeed a very common site for **atherosclerosis** and **aneurysm formation**. - However, like the thoracic aorta, it is an **elastic artery** rather than a muscular artery, so the lesions may differ in character and clinical behavior. - While atherosclerosis here is common, it is less directly linked to acute thrombotic occlusive events (like acute MI or stroke) compared to medium-sized muscular arteries supplying the heart and brain. *Pulmonary artery* - The **pulmonary artery** system is a **low-pressure system** and is generally spared from systemic **atherosclerosis**. - **Atherosclerotic plaques** are exceedingly rare in the pulmonary arteries unless there is severe pre-existing **pulmonary hypertension**. - This is not a typical site for systemic atherosclerotic disease.
Explanation: ***Papilledema*** - This patient presents with **malignant hypertension** (BP 160/100 mm Hg with end-organ damage: proteinuria, optic disc swelling, headaches, vision changes). - The fundoscopic examination shows **optic disc edema**, which in the context of severe hypertension represents Grade IV hypertensive retinopathy. - The pathologic mechanism involves **severe arteriolar vasoconstriction and necrosis** leading to **ischemia and breakdown of the blood-retinal barrier**, resulting in disc swelling. - Note: While often called "papilledema" in clinical practice when seen with hypertension, the mechanism differs from true papilledema (which is specifically due to increased intracranial pressure from intracranial causes). - The severe hypertension causes **direct vascular endothelial damage** with fibrinoid necrosis of arterioles, leading to retinal ischemia and optic disc swelling. *Microaneurysm formation* - Microaneurysms are small **saccular dilations of capillaries** that appear as tiny red dots on fundoscopy. - They are characteristic of **diabetic retinopathy** due to pericyte loss and basement membrane thickening, not the primary feature of hypertensive retinopathy. - While this patient has risk factors for diabetes (obesity), the clinical picture points to acute hypertensive end-organ damage with disc edema. *Retinal hemorrhage* - Retinal hemorrhages (flame-shaped or dot-blot) **can occur** in hypertensive retinopathy and may accompany the disc swelling. - However, hemorrhages represent bleeding into retinal layers, not the **optic disc swelling** that is the dominant finding in malignant hypertension. - The question asks for the mechanism explaining the fundoscopic changes, which centers on disc edema rather than isolated hemorrhages. *Optic nerve inflammation* - **Optic neuritis** causes optic disc swelling due to inflammatory demyelination, typically presenting with **acute unilateral vision loss** and **pain with eye movements**. - This patient's bilateral vision changes, headaches, and severe hypertension with proteinuria indicate **systemic hypertensive emergency**, not primary optic nerve inflammation. - The mechanism is vascular (ischemia) rather than inflammatory. *Neovascularization* - **Neovascularization** involves growth of abnormal new blood vessels, seen in proliferative diabetic retinopathy or retinal vein occlusion. - These fragile vessels form in response to chronic **retinal ischemia** as a compensatory mechanism (VEGF-driven). - This is not the primary pathologic mechanism in acute hypertensive retinopathy, where disc swelling from vascular damage predominates.
Explanation: ***Small bowel ischemia*** - The patient's history of **myocardial infarction**, **smoking**, and **alcohol abuse** are significant risk factors for **atherosclerosis** and vascular compromise. The rapid deterioration with **severe abdominal pain** out of proportion to physical findings, bloody diarrhea, and absence of bowel sounds, is classic for **mesenteric ischemia**. - On autopsy, this typically reveals **necrotic segments of the bowel** due to a lack of blood supply, often associated with an occluded mesenteric artery or watershed ischemia. *Perforated appendicitis* - While it causes **severe abdominal pain** and peritonitis, it typically presents with **localized pain** in the right lower quadrant, often with fever and leukocytosis, which are not mentioned. - **Bloody diarrhea** is not a common symptom of perforated appendicitis. *Ulcerative colitis* - This is a **chronic inflammatory bowel disease** that causes bloody diarrhea, but the acute, severe presentation with rapid clinical deterioration and absence of bowel sounds is more consistent with an acute vascular event. - It usually presents with a history of **recurrent symptoms**, and while severe cases can lead to toxic megacolon, the patient's risk factors point elsewhere. *Acute pancreatitis* - This condition is characterized by **severe epigastric pain** radiating to the back, often with elevated amylase and lipase. While the patient has alcohol abuse, her amylase and lipase are only mildly elevated (115 U/L and 95 U/L respectively), which are not indicative of severe pancreatitis. - **Bloody diarrhea** is not a typical symptom of acute pancreatitis. *Small bowel obstruction* - Presents with colicky abdominal pain, **vomiting**, and **abdominal distention**, often with **high-pitched bowel sounds** initially, followed by absence. - While it can lead to bowel ischemia in severe cases (strangulation), bloody diarrhea and rapid deterioration are more directly indicative of primary ischemia rather than an uncomplicated mechanical obstruction.
Explanation: ***A*** - Image A depicts **bite cells** and **Heinz bodies**, which are characteristic findings in **hemolysis** caused by **G6PD deficiency**. This patient's Mediterranean descent, recent aspirin use (an oxidant drug), and symptoms of fatigue, dyspnea, dizziness, and scleral icterus are highly suggestive of an acute hemolytic crisis in G6PD deficiency patients. - **G6PD deficiency** is an X-linked recessive disorder prevalent in Mediterranean populations, where certain medications (like aspirin, sulfonamides, antimalarials) or infections can trigger episodes of acute hemolytic anemia due to oxidative stress. *B* - Image B shows **sickle cells**, which are characteristic of **sickle cell anemia**. While individuals with sickle cell disease can experience fatigue and anemia, there are no specific clinical elements in the vignette that point to sickle cell disease (e.g., pain crises, vaso-occlusion, or chronic hemolytic anemia from birth). - The patient's presentation with an acute episode triggered by aspirin is less typical for a first presentation of sickle cell anemia at this age, and his prior malaria exposure is not directly linked to sickle cell disease as the cause of this acute presentation. *E* - Image E illustrates **schistocytes** (fragmented red blood cells) and potentially an occasional spherocyte, which are hallmarks of **microangiopathic hemolytic anemia (MAHA)**, often seen in conditions like **thrombotic thrombocytopenic purpura (TTP)**, **hemolytic uremic syndrome (HUS)**, or **disseminated intravascular coagulation (DIC)**. - While the patient has a prosthetic valve (which can cause hemolytic anemia through mechanical stress, leading to schistocytes), the primary trigger for this acute episode appears to be G6PD deficiency, given the history of aspirin use and Mediterranean descent. *C* - Image C displays **spherocytes**, which are small, dense red blood cells lacking central pallor, commonly seen in **hereditary spherocytosis** or **autoimmune hemolytic anemia (AIHA)**. - Although the patient's symptoms suggest hemolysis, the trigger (aspirin) and his ethnic background make G6PD deficiency a more likely diagnosis than hereditary spherocytosis or AIHA, which would typically present differently or have other specific findings. *D* - Image D demonstrates **acanthocytes (spur cells)**, which are red blood cells with irregular, spiny projections, typically associated with severe **liver disease** (e.g., cirrhosis, alcoholic liver disease), **abetalipoproteinemia**, or **hypothyroidism**. - There are no clinical features in the vignette to suggest any of these underlying conditions, and acanthocytes are not characteristic of the acute hemolytic anemia described.
Explanation: ***Segmental vasculitis of small and medium-sized arteries*** - This presentation is highly characteristic of **Buerger's disease (thromboangiitis obliterans)**, which is a **segmental, inflammatory vasculitis** primarily affecting small and medium-sized arteries and veins of the hands and feet. - Key features include **painful ulcerations of the hands and feet**, a strong association with **heavy smoking**, and often occurs in young to middle-aged adult males, with a higher prevalence in certain populations (e.g., of Israeli or Asian descent). *Eosinophil-rich granulomatous inflammation* - This type of inflammation is characteristic of conditions like **Churg-Strauss syndrome (eosinophilic granulomatosis with polyangiitis)**. - Churg-Strauss syndrome typically involves asthma, allergic rhinitis, and eosinophilia, with vasculitis of small to medium vessels, not primarily affecting the distal extremities in this manner or having such a strong tobacco link. *Increased endothelial permeability* - While increased endothelial permeability is a feature of general inflammation and can contribute to edema, it is not the primary underlying pathological process causing the **segmental occlusive vasculitis** seen in Buerger's disease. - This describes a general vascular response rather than a specific disease pathology. *Necrotizing inflammation involving renal arteries* - **Necrotizing inflammation of renal arteries** is characteristic of conditions like **polyarteritis nodosa (PAN)** or other systemic vasculitides that can affect renal vessels. - These conditions typically present with systemic symptoms, hypertension, and renal dysfunction, which are not described in this patient. *Concentric thickening of the arteriolar wall* - **Concentric thickening of arteriolar walls** is a hallmark of **hypertensive arteriolosclerosis** or other forms of systemic hypertension. - This finding would explain chronic end-organ damage from hypertension but does not account for the acute, painful ulcerations in the extremities associated with heavy smoking.
Explanation: ***Avascular necrosis*** - The patient's history of **recurrent bone pain crises** requiring hospitalization strongly suggests **sickle cell disease**, which significantly increases the risk of avascular necrosis (AVN) due to **vaso-occlusion** in the bone. - **Groin pain**, difficulty walking, and pain with internal rotation of the hip are classic symptoms of **femoral head AVN**, especially in a young patient with underlying sickle cell disease. *Slipped capital femoral epiphysis* - SCFE typically occurs in **obese adolescents** experiencing a growth spurt, causing the femoral head to slip off the growth plate. This patient is at the 25th percentile for height and 20th percentile for weight, hence is not obese. - While it presents with hip/groin pain and difficulty walking, the underlying **sickle cell history** makes AVN a more fitting diagnosis. *Septic arthritis* - Septic arthritis presents with **acute onset** severe pain, **fever**, and signs of **inflammation** (swelling, warmth, erythema) over the joint, which are absent in this case. - The patient's **leukocyte count** is normal, which makes septic arthritis less likely. *Stress fracture* - A stress fracture usually results from **repetitive microtrauma** due to increased activity, but this patient's pain is at rest and he reports no specific trauma. - While pain with activity is present, the **recurrent bone pain history** and systemic nature of sickle cell disease point away from a purely mechanical injury. *Developmental dysplasia of the hip* - DDH is typically diagnosed in **infancy or early childhood** due to hip instability or leg length discrepancy. - It would be highly unusual for DDH to present acutely at age 15 with these symptoms, and there is no history of prior hip issues.
Explanation: ***Normal transthyretin*** - The patient's age and the localization of the amyloid deposits primarily in the **heart (ventricular walls and atria)**, along with normal bone marrow and the absence of systemic involvement, are highly characteristic of **senile systemic amyloidosis** which is caused by wild-type (normal) transthyretin. - **Transthyretin** is a transport protein for thyroid hormones and retinol; with aging, it can misfold and deposit as amyloid fibrils, particularly in the heart. *Immunoglobulin light chain* - This typically causes **primary amyloidosis (AL amyloidosis)**, which is associated with a **plasma cell dyscrasia** and multiorgan involvement, neither of which are present in this case. - AL amyloidosis often affects the kidneys, liver, and nerves, in addition to the heart, which is not described here. *β-amyloid peptide* - This protein forms plaques primarily in the **brain** in **Alzheimer's disease** and cerebral amyloid angiopathy, not typically causing significant cardiac amyloidosis. - While it can be found in some vascular structures, its primary association is with neurodegenerative disease. *Natriuretic peptide* - **Natriuretic peptides (ANP, BNP)** are hormones involved in cardiovascular homeostasis and do not form amyloid deposits. - They are markers of heart failure, not the causative agents of amyloidosis. *Serum amyloid A* - This protein is associated with **secondary amyloidosis (AA amyloidosis)**, which develops as a complication of chronic inflammatory diseases or infections. - The patient's history does not mention any such underlying conditions, and the deposition pattern is not typical for AA amyloidosis.
Explanation: ***Platelet-derived growth factor*** - **Platelet-derived growth factor (PDGF)** is a crucial **chemotactic** and **mitogenic** factor for **smooth muscle cells (SMCs)**, promoting their migration from the tunica media to the tunica intima and subsequent proliferation in atherosclerotic lesions. - Released by activated platelets, macrophages, and endothelial cells, PDGF contributes significantly to the **fibroproliferative response** seen in **atherosclerosis**. *Vascular endothelial growth factor* - **Vascular endothelial growth factor (VEGF)** is primarily involved in **angiogenesis** and **vascular permeability**. - While angiogenesis can play a role in advanced atherosclerotic plaques, VEGF is not the primary mediator of **smooth muscle cell migration** and proliferation into the intima. *Factor V Leiden* - **Factor V Leiden** is a **genetic mutation** that increases the risk of **thrombosis** due to resistance to inactivation by activated protein C. - It is a risk factor for **venous thromboembolism** and does not directly recruit smooth muscle cells to the intima in atherosclerosis. *IgE* - **Immunoglobulin E (IgE)** is an antibody class primarily involved in **allergic reactions** and **parasitic infections**. - IgE has no direct role in the recruitment or proliferation of **smooth muscle cells** in the context of atherosclerosis. *Prostacyclin* - **Prostacyclin (PGI2)** is a **vasodilator** and a potent **inhibitor of platelet aggregation**. - It works to prevent thrombus formation and has a protective role against atherosclerosis, rather than promoting **smooth muscle cell migration**.
Explanation: ***Hippocampus*** - The description of wedge-shaped necrosis just below the **medial temporal lobes** points directly to the **hippocampus**, which is highly susceptible to **ischemic injury**. - The patient's **hypotension** and subsequent death suggest an event causing global cerebral hypoperfusion, making the hippocampus vulnerable due to its high metabolic demand and sensitivity to oxygen deprivation. *Frontal lobe* - While the frontal lobe can be affected by ischemia, its location is not consistent with "just below the **medial temporal lobes**" and the necrotic pattern described is more characteristic of specific vulnerable regions. - Involvement of the frontal lobe would typically present with different focal neurological deficits depending on the specific area affected, such as motor weakness or personality changes. *Cortex or cerebral hemisphere* - **Wedge-shaped necrosis** is a pattern often seen in watershed areas or specific vulnerable regions, not a general description for global cortical ischemia. - While the cortex is broadly affected by global ischemia, the specific localization described is much more precise than "cortex or cerebral hemisphere." *Substantia nigra* - The substantia nigra is located in the **midbrain** and is primarily involved in motor control, not typically implicated in the described **wedge-shaped necrosis** pattern associated with global ischemia below the medial temporal lobes. - Damage to the substantia nigra is more commonly associated with conditions like **Parkinson's disease**. *Caudate nucleus* - The caudate nucleus is part of the **basal ganglia**, located deep within the cerebral hemispheres, and is not described as being "just below the **medial temporal lobes**." - Ischemic damage to the caudate nucleus would cause different symptoms and typically not present with the specific necrotizing pattern described.
Explanation: ***Mutation in the myosin heavy chain*** - The presentation of **sudden loss of consciousness** (syncope) in a young athlete with **left ventricular hypertrophy** and **interventricular septal thickening** is classic for **hypertrophic cardiomyopathy (HCM)**. - HCM is most commonly caused by **autosomal dominant mutations in genes** encoding sarcomeric proteins, with **beta-myosin heavy chain mutations** being the most frequent. *Autoimmunity of myocardial fibers* - Autoimmune conditions affecting the heart, such as **myocarditis** or **lupus carditis**, typically present with symptoms like **chest pain**, **dyspnea**, or signs of **heart failure**, which are not described here. - While they can lead to cardiac dysfunction, they are less likely to cause isolated severe hypertrophy and sudden syncope in a young asymptomatic individual as the initial presentation. *Drug abuse* - **Stimulant drug abuse** (e.g., cocaine, amphetamines) can cause cardiomyopathy and arrhythmias, potentially leading to syncope. - However, the specific echocardiographic findings of **marked septal hypertrophy** are not characteristic of drug-induced cardiomyopathy, which often manifests as **dilated cardiomyopathy** or global ventricular dysfunction. *Viral infection* - **Viral myocarditis** can cause cardiac inflammation, leading to **dilated cardiomyopathy** or arrhythmias, and can present with sudden cardiac death. - While viral myocarditis can lead to some degree of hypertrophy, the prominent and isolated **asymmetric septal hypertrophy** and the chronic nature implied by the structural changes are less typical of acute or resolving viral infection. *Streptococcal infection* - **Rheumatic heart disease**, a sequela of **Streptococcus pyogenes infection**, primarily causes **valvular damage** (especially mitral stenosis or regurgitation) and less commonly diffuse myocardial involvement. - It does not typically present with isolated severe **left ventricular hypertrophy** and **interventricular septal thickening** as the primary cardiac pathology leading to sudden syncope.
Explanation: ***Senile calcific aortic stenosis*** - The patient's age (72 years) makes **senile calcific aortic stenosis** a very likely finding, as it is a degenerative condition common in the elderly leading to stiffening and calcification of the aortic valve. - While the immediate cause of death was **hypovolemic shock**, the presence of an underlying **cardiac anomaly** could worsen the patient's ability to compensate for significant blood loss, contributing to the rapid decompensation observed. - Gross pathology typically shows **calcified, thickened aortic valve leaflets** that are stenotic. *Accumulation of amyloid in the myocardium* - While **cardiac amyloidosis** can occur in the elderly and cause restrictive cardiomyopathy, it typically presents with **heart failure symptoms** and often results in thickened ventricular walls, which is not specifically indicated as the "gross anomaly" in this context. - The sudden, acute decompensation due to trauma does not align as strongly with the chronic progression of amyloidosis as it does with a structural valvular issue exacerbated by shock. *Mitral valve stenosis* - **Mitral valve stenosis** is more often associated with **rheumatic heart disease** or congenital anomalies, which are less common in this age group as a primary, sudden anomaly. - While it can lead to heart failure, the description of a "gross anomaly" in the context of acute decompensation and the patient's age points more towards a common degenerative valvular condition like aortic stenosis. *Hypertrophic cardiomyopathy* - **Hypertrophic cardiomyopathy (HCM)** is a genetic condition that typically presents earlier in life with symptoms of outflow obstruction or sudden cardiac death in young athletes. - While HCM can present in older adults, the gross pathology shows **asymmetric septal hypertrophy** rather than valvular pathology. - In a 72-year-old, age-related degenerative valve disease is more common than first presentation of genetic cardiomyopathy. *Aortic valve regurgitation* - Although **aortic regurgitation** can lead to cardiac remodeling and failure, it is less likely to be referred to simply as a "gross anomaly" in this context without more specific valvular description. - **Senile calcific aortic stenosis** is a more common degenerative anomaly in this age group, and the question implies a common, age-related finding.
Explanation: ***Cherry angioma*** - These are common benign vascular proliferations appearing as multiple **bright red to violaceous papules** on the trunk, often increasing in size and number with age. - They are typically asymptomatic but can **bleed profusely with minor trauma** (e.g., scratching), as described in the vignette. *Spider angioma* - Characterized by a **central red papule** with radiating fine capillaries, resembling a spider's web, typically found on the face, neck, and upper trunk. - They are often associated with **estrogen states (e.g., pregnancy, liver disease)** and do not usually present as multiple, increasing papules on the trunk that bleed easily from scratching a single lesion. *Pyogenic granuloma* - This is a solitary, rapidly growing, **exophytic vascular lesion** that often bleeds easily after trauma, but it typically presents as an isolated lesion rather than multiple scattered spots. - While it looks similar to cherry angiomas, the history of **multiple lesions** that have increased in size over several months makes cherry angiomas a more likely diagnosis. *Amelanotic melanoma* - This form of melanoma lacks pigment, making it difficult to recognize, but it would typically present as a **solitary, irregular, rapidly growing lesion** that may bleed. - The presence of **multiple, scattered red spots** is inconsistent with the typical presentation of amelanotic melanoma, which is a serious malignancy. *Seborrheic keratosis* - These are common **benign epidermal tumors** characterized by a "stuck-on" appearance, often pigmented (flesh-colored, tan, or dark brown), and may have a waxy or greasy texture. - While some can be irritated and bleed, they are typically **not bright red vascular lesions** and the description of easily bleeding vascular spots does not fit their typical presentation.
Explanation: ***Coagulative necrosis*** - This is the most common type of necrosis seen after an **ischemic injury**, such as a **myocardial infarction** (heart attack). - The cell outlines are preserved, but the intracellular structures are lost, giving a "ghostly" appearance due to protein denaturation. *Fat necrosis* - This type of necrosis typically occurs in **adipose tissue** and is characterized by the enzymatic digestion of fats, often seen in **pancreatitis** or trauma to fatty areas. - It results in chalky white areas due to the formation of calcium soaps and is not characteristic of myocardial infarction. *Caseous necrosis* - This is a distinctive form of coagulative necrosis, commonly associated with **tuberculosis** and other granulomatous diseases. - It describes a cheese-like appearance due to the fragmented and lysed cells and is not found in cardiac muscle after an acute MI. *Fibrinoid necrosis* - This is typically seen in **immune reactions** involving blood vessels, where immune complexes and fibrin are deposited in arterial walls. - It is not the primary type of necrosis observed in myocardial tissue following an acute ischemic event. *Liquefactive necrosis* - This occurs when enzymatic digestion of dead cells is prominent, resulting in a **liquid viscous mass**, commonly seen in **brain infarcts** or bacterial infections. - In the heart, liquefactive necrosis is not the initial or primary type of cell death after ischemia.
Explanation: ***Vessel lipohyalinosis and microaneurysm formation*** - The presentation of **acute hemiparesis**, sensory loss, eye deviation, and slurred speech, coupled with a **hyperdense lesion** in the **putamen** on CT in an non-adherent hypertensive patient, is highly suggestive of a **hypertensive intracerebral hemorrhage**. - **Chronic uncontrolled hypertension** leads to **lipohyalinosis** (thickening of small vessel walls) and the formation of **Charcot-Bouchard microaneurysms** in deep penetrating arteries, particularly in the basal ganglia (e.g., putamen), thalamus, and pons, which are prone to rupture. *Predisposed vessel rupture secondary to cortical atrophy* - **Cortical atrophy** is primarily associated with neurodegenerative diseases like Alzheimer's, but it does not directly predispose to acute, spontaneous vessel rupture in the absence of other risk factors. - While atrophy can increase the risk of subdural hematomas in trauma due to stretched bridging veins, it is not the typical mechanism for **intracerebral hemorrhage** in deep brain structures. *Thrombotic development over ruptured atherosclerotic plaque* - This mechanism describes an **ischemic stroke**, where a thrombus forms on an atherosclerotic plaque, leading to vessel occlusion and tissue infarction. - The CT finding of a **hyperdense lesion** points to hemorrhage (bleeding), not an ischemic event. *Saccular aneurysm rupture into the subarachnoid space* - Rupture of a **saccular (berry) aneurysm** typically causes a **subarachnoid hemorrhage**, presenting with a sudden, severe "thunderclap" headache, meningism, and altered consciousness. - While a hyperdense lesion would be seen on CT, the location (often diffusely in the subarachnoid space, not primarily within the putamen) and the specific symptom constellation of focal neurological deficits without severe headache are less typical for this scenario. *Amyloid deposition in small cortical vessels* - **Cerebral amyloid angiopathy (CAA)** involves amyloid deposition in small-to-medium-sized cerebral arteries, primarily in the **cortex** and **leptomeninges**, leading to lobar hemorrhages, not typically deep ganglionic hemorrhages. - CAA is more common in older individuals and can cause recurrent lobar hemorrhages, but the putaminal location strongly favors **hypertensive hemorrhage**.
Explanation: ***Hepatic vein*** - The constellation of severe abdominal pain, hepatomegaly, splenomegaly, ascites (positive fluid wave), and centrilobular congestion on liver biopsy in a patient with a history of **hypercoagulability** (multiple deep venous thromboses) strongly points to **Budd-Chiari syndrome**, caused by hepatic vein outflow obstruction. - The patient's history of alcohol abuse further increases the risk of liver damage and potential for complications like **thrombosis**. His medications (warfarin) and INR of 1.3 suggest sub-therapeutic anticoagulation, which could precipitate a thrombotic event. *Common hepatic artery* - Obstruction of the common hepatic artery typically leads to **hepatic ischemia** and **infarction**, which would present with different liver pathology than centrilobular congestion. - While possible, it's less likely to explain the widespread congestion and ascites seen in this case compared to venous outflow obstruction. *Inferior vena cava* - IVC obstruction, particularly above the hepatic veins, could cause similar symptoms to Budd-Chiari syndrome if it impacts hepatic venous drainage. - However, direct hepatic vein thrombosis is a more specific and common cause of the described liver pathology (centrilobular congestion due to outflow obstruction). *Splenic vein* - Obstruction of the splenic vein primarily causes **splenomegaly** and **gastric varices** due to increased pressure in the short gastric veins. - It would not explain the severe liver dysfunction, hepatomegaly, ascites, and centrilobular congestion observed in this patient. *Portal vein* - Portal vein obstruction typically leads to **portal hypertension**, characterized by **ascites**, **splenomegaly**, and **esophageal varices**. - While it explains ascites and splenomegaly, it does not directly cause the observed **centrilobular congestion** in the liver, which is indicative of hepatic venous outflow impairment.
Explanation: ***Fibrinoid necrosis with histiocytic infiltrate*** - The clinical presentation suggests **rheumatic fever**, a sequela of untreated streptococcal pharyngitis, characterized by **subcutaneous nodules** and **carditis** (new-onset systolic murmur). - The pathognomonic finding on endomyocardial biopsy is the **Aschoff body**: a granulomatous lesion with central **fibrinoid necrosis surrounded by activated macrophages (histiocytes)** and occasional multinucleated giant cells (Anitschkow cells). - Subcutaneous nodules in rheumatic fever show similar histopathology with fibrinoid necrosis and histiocytic infiltrate. *Fibrosis with myofibrillar disarray* - This description is characteristic of **hypertrophic cardiomyopathy**, where there is an abnormal arrangement of cardiac muscle cells (myocyte disarray) and increased interstitial fibrous tissue. - While chronic rheumatic heart disease can lead to fibrosis and scarring, the acute pathology of rheumatic fever is inflammatory, not characterized by myofibrillar disarray. *Coagulative necrosis with neutrophilic infiltrate* - This pattern is characteristic of **acute myocardial infarction**, where ischemic injury leads to coagulative necrosis of myocytes with an initial inflammatory response by neutrophils (within 1-3 days). - It does not align with the immune-mediated inflammatory pathology of acute rheumatic fever. *Myocardial infiltration with eosinophilic proteins* - This description could suggest **eosinophilic myocarditis** (infiltration by eosinophils) or possibly **cardiac amyloidosis** (deposition of eosinophilic-staining amyloid protein on H&E stain). - Eosinophilic myocarditis is associated with hypersensitivity reactions, parasitic infections, or hypereosinophilic syndrome—not post-streptococcal sequelae. - These conditions are distinct from the granulomatous inflammation of acute rheumatic fever. *Deposits of misfolded protein aggregates* - This pathology is characteristic of **cardiac amyloidosis**, where misfolded proteins (immunoglobulin light chains, transthyretin, etc.) accumulate as extracellular **amyloid deposits** in the myocardium. - Amyloid deposits appear as apple-green birefringence under polarized light with Congo red staining—very different from the inflammatory Aschoff bodies of acute rheumatic fever. - Clinically, amyloidosis presents with restrictive cardiomyopathy, not the acute carditis following pharyngitis seen in this case.
Explanation: ***Concentrically thickened arteriolar tunica media with abundant nuclei*** - This describes **hyperplastic arteriolosclerosis**, a hallmark of **malignant hypertension**, characterized by severe, rapid-onset blood pressure elevation leading to acute organ damage. - The patient's **blood pressure of 195/115 mmHg**, **blurry vision** (due to optic disc swelling), and **dyspnea** (suggesting pulmonary edema or cardiac involvement) are classic symptoms of malignant hypertension, which causes "onion-skinning" of arterioles. *Calcific deposits in the arterial media without luminal narrowing* - This describes **Mönckeberg arteriolosclerosis**, or medial calcific sclerosis, which involves calcification of the tunica media in muscular arteries. - It typically occurs in older individuals and is usually **clinically silent** unless complicated by atherosclerosis, and does not cause malignant hypertension. *Fibrous atheromatous plaques in the arteriolar intima* - This describes **atherosclerosis**, which involves the formation of plaques in larger arteries, not typically in arterioles, and is a chronic process. - While the patient has risk factors for atherosclerosis (smoking, hypertension), the acute severe presentation points to a microvascular pathology. *Anuclear arteriolar thickening* - This describes **hyaline arteriolosclerosis**, associated with benign (non-malignant) hypertension or diabetes, where plasma proteins leak into the vessel walls, causing uniform, acellular thickening. - The patient's severe symptoms and optic disc swelling indicate a more aggressive and acute form of vascular damage, not benign hyaline changes. *Endothelial proliferation and luminal narrowing with a chronic inflammatory infiltrate* - This pattern is characteristic of **vasculitis** or conditions like **thrombotic microangiopathy**, which can cause luminal narrowing and kidney damage. - While some features of vasculitis might overlap, the specific context of poorly controlled severe hypertension points more directly to malignant hypertension-induced changes.
Explanation: ***Interventricular septal hypertrophy*** - This presentation is highly suggestive of **hypertrophic cardiomyopathy (HCM)**, which is characterized by **left ventricular hypertrophy**, especially of the interventricular septum, leading to outflow obstruction and sudden cardiac arrest, particularly in young athletes. - **Sudden collapse during strenuous exercise** in a young, otherwise healthy individual with no prior history of illness is a classic presentation of HCM. *Defect in the atrial septum* - An **atrial septal defect (ASD)** typically presents with a **murmur** and may lead to heart failure or pulmonary hypertension later in life, but it is an unlikely cause of sudden death in an adolescent during exercise. - While it can cause cardiac symptoms, sudden collapse without prior symptoms is uncommon, and the primary pathological finding would be a hole, not hypertrophy. *Pericardial fluid collection* - A significant pericardial fluid collection that causes sudden collapse would indicate **pericardial tamponade**, which is usually associated with clear signs of circulatory collapse (e.g., **Beck's triad** - muffled heart sounds, jugular venous distension, hypotension) and is often due to trauma, infection, or malignancy, which are not suggested here. - The sudden, unheralded nature of collapse during exercise points away from conditions that typically have more gradual onset or preceding symptoms. *Postductal narrowing of the aorta* - **Coarctation of the aorta** can cause hypertension and may lead to heart failure or aortic rupture, but it typically presents with **blood pressure discrepancies** between the upper and lower extremities and a characteristic murmur, not sudden cardiac death during exercise without prior symptoms. - While it can be severe, sudden death usually results from complications like aortic dissection or rupture after a period of untreated hypertension, not acute collapse in a seemingly healthy individual. *Atheromatous plaque rupture* - **Atherosclerosis** and plaque rupture are the underlying cause of most **myocardial infarctions** in adults, but they are extremely rare in a 16-year-old without significant risk factors or a history of lipid disorders. - The patient's age and lack of predisposing factors make this an improbable finding for sudden cardiac death.
Explanation: ***Infiltration with lymphocytes*** - The patient's presentation with **heart failure symptoms** following an **upper respiratory tract infection**, coupled with **dilated cardiomyopathy** and **reduced ejection fraction**, strongly suggests **viral myocarditis**. - **Lymphocytic infiltration** of the myocardium is the hallmark microscopic finding in **viral myocarditis**, representing the immune response to viral infection of cardiac myocytes. *Infiltration with neutrophils* - **Neutrophilic infiltrates** are typically characteristic of **acute bacterial infections** or **ischemic injury** within the myocardium, rather than post-viral myocarditis. - While neutrophils may be present early in severe inflammatory responses, they are not the predominant or defining feature of **viral myocarditis**. *Infiltration with granulomas* - The presence of **granulomas** in the myocardium is indicative of conditions such as **sarcoidosis**, **tuberculosis**, or **giant cell myocarditis**, none of which fit the patient's acute post-viral presentation. - These conditions typically have a more insidious onset or different systemic manifestations. *Infiltration with eosinophils* - **Eosinophilic infiltration** of the myocardium is characteristic of **hypersensitivity myocarditis** (often drug-induced) or **parasitic infections** like trichinellosis, which are not suggested by the patient's history. - **Eosinophilic myocarditis** can also occur in various systemic diseases but is not associated with routine viral infections. *Infiltration with giant cells* - **Giant cells** in the myocardium are the defining feature of **giant cell myocarditis**, a rare and aggressive form of myocarditis distinct from typical viral myocarditis. - **Giant cell myocarditis** often has a fulminant course and is usually characterized by more widespread myocyte necrosis and a poorer prognosis, and while it could be considered in severe cases, lymphocytic infiltration is more common after a viral illness.
Explanation: ***Nitric oxide*** - **Nitric oxide (NO)** is a potent **vasodilator** and **anti-inflammatory** molecule produced by endothelial cells. In atherosclerosis, endothelial dysfunction leads to reduced NO bioavailability. - Decreased NO production contributes to vasoconstriction, increased platelet aggregation, and enhanced smooth muscle cell proliferation, all of which promote **atherosclerotic plaque formation** and progression. *Tumor necrosis factor* - **Tumor necrosis factor-alpha (TNF-α)** is a **pro-inflammatory cytokine** that plays a significant role in the pathogenesis of atherosclerosis. - It is **upregulated** in response to atherosclerotic plaque formation, contributing to endothelial activation, leukocyte recruitment, and smooth muscle cell proliferation. *Serotonin* - **Serotonin (5-hydroxytryptamine)** is primarily known for its role as a neurotransmitter but also acts as a **vasoconstrictor** and promotes platelet aggregation. - While it can be released from activated platelets in the context of vascular injury, it is not consistently **downregulated** in atherosclerosis; rather, its effects can contribute to disease progression. *Interleukin 1* - **Interleukin-1 (IL-1)**, particularly IL-1β, is a major **pro-inflammatory cytokine** critically involved in the immune response in atherosclerosis. - It is **upregulated** in atherosclerotic plaques, contributing to systemic inflammation, endothelial dysfunction, and vascular smooth muscle cell activation. *Thromboxane A2* - **Thromboxane A2 (TXA2)** is a potent **vasoconstrictor** and **platelet aggregator** produced by activated platelets. - Its levels are **increased** in atherosclerosis, contributing to hypercoagulability and increased risk of thrombotic events like myocardial infarction.
Explanation: ***Mucosal arteriovenous malformations*** - This constellation of **recurrent nosebleeds**, a family history of **intracranial hemorrhage**, and other family members with nosebleeds strongly suggests **hereditary hemorrhagic telangiectasia (HHT)**, also known as **Osler-Weber-Rendu disease**. - **Mucosal arteriovenous malformations (AVMs)** are a hallmark of HHT, leading to fragile vessels that cause symptoms like nosebleeds and potential hemorrhages in various organs. *Retinal hemangioblastoma* - **Retinal hemangioblastomas** are characteristic of **von Hippel-Lindau (VHL) disease**, which also presents with a family history of various tumors but typically not recurrent nosebleeds as a primary symptom. - VHL disease involves vascular tumors in the retina, brain, and spinal cord, as well as renal cysts and pheochromocytomas, which differ from the primary symptoms presented. *Renal cell carcinoma* - **Renal cell carcinoma** is associated with **von Hippel-Lindau (VHL) disease**, particularly the clear cell subtype. - While VHL is a hereditary condition, it presents with a different spectrum of symptoms and family history compared to the profuse bleeding seen in this case. *Vestibular schwannoma* - **Vestibular schwannomas** (acoustic neuromas) are a key feature of **Neurofibromatosis type 2 (NF2)**, which is characterized by bilateral tumors of the vestibulocochlear nerve. - NF2 does not typically present with recurrent nosebleeds or widespread vascular malformations. *Cafe-au-lait spots* - **Cafe-au-lait spots** are a pathognomonic feature of **Neurofibromatosis type 1 (NF1)**, which also includes neurofibromas, optic gliomas, and Lisch nodules. - The clinical picture of recurrent nosebleeds and intracranial hemorrhage is not consistent with NF1.
Explanation: ***Modified smooth muscle cells*** - The symptoms of **recurrent thumb pain**, worsening with **cold exposure**, and a **tender, blue-red papule** under the nail are classic for a **glomus tumor**. - **Glomus tumors** originate from the **glomus body**, which is a specialized **neuromyoarterial structure** composed of modified **smooth muscle cells** (glomus cells). - The **glomus body** is a specialized arteriovenous anastomosis involved in thermoregulation, explaining the **cold sensitivity** and **extreme tenderness** characteristic of these lesions. *Dysplastic melanocytes* - **Dysplastic melanocytes** are associated with **dysplastic nevi** or **melanoma** development, which typically present as irregularly shaped pigmented lesions, not pain-sensitive masses. - While melanoma can occur under the nail (subungual melanoma), it usually causes **melanonychia striata** (a dark streak under the nail) and typically doesn't exhibit the extreme **cold sensitivity** and **tenderness** described. *Injured nerve cells* - While nerve compression or injury can cause pain, a **discrete mass** with **cold sensitivity** under the nail is not characteristic of an injured nerve cell lesion. - Neuromas, which are benign nerve tumors, usually result from trauma and are tender but often lack the **blue-red discoloration** and **cold sensitivity** seen in this case. *Basal epidermal cells* - Lesions originating from **basal epidermal cells** include **basal cell carcinoma**, which is a common skin cancer. - Basal cell carcinomas typically appear as **pearly nodules** with **telangiectasias** and are usually not associated with **cold sensitivity** or the specific pain pattern described. *Hyperpigmented fibroblasts* - **Hyperpigmented fibroblasts** can be found in various benign skin lesions, such as **dermatofibromas**, which are firm, solitary nodules. - However, they do not typically cause the **cold-sensitive pain** or appear as highly vascular, **blue-red papules** under the nail that are characteristic of this presentation.
Explanation: ***Intimal migration of smooth muscle cells*** - **PDGF** is a potent **mitogen** and **chemotactic factor** for smooth muscle cells, promoting their migration from the tunica media into the intima during atherogenesis. - This migration is a crucial step in the formation of the **fibrous cap**, contributing to plaque growth and stability. *Calcification of the atherosclerotic plaque core* - While calcification does occur in advanced atherosclerotic plaques, it is primarily driven by mechanisms involving **osteoblast-like differentiation** of vascular cells and deposition of **calcium phosphate**, not directly by PDGF. - PDGF's primary role is in **cellular proliferation** and **migration**, particularly of smooth muscle cells. *Invasion of T-cells through the disrupted endothelium* - **T-cell invasion** into the arterial wall is an important inflammatory process in atherosclerosis, but it is primarily mediated by **chemokines** like MCP-1 and adhesion molecules, not directly by PDGF. - PDGF typically acts on mesenchymal cells (like smooth muscle cells and fibroblasts) rather than immune cells in this context. *Increased expression of vascular cell-adhesion molecules* - **Expression of adhesion molecules** (e.g., VCAM-1, ICAM-1) is crucial for the recruitment of inflammatory cells, but this process is mainly driven by **pro-inflammatory cytokines** like TNF-α and IL-1, not PDGF. - While there might be indirect effects, PDGF's direct role is not primarily in promoting adhesion molecule expression. *Ingestion of cholesterol by mature monocytes* - **Ingestion of cholesterol** by **macrophages** (which mature from monocytes) leads to the formation of **foam cells**, a hallmark of early atherosclerosis. - This process is largely driven by oxidized LDL uptake, often facilitated by scavenger receptors, rather than directly by PDGF.
Atherosclerosis
Practice Questions
Ischemic heart disease
Practice Questions
Myocardial infarction pathology
Practice Questions
Hypertensive heart disease
Practice Questions
Congenital heart defects
Practice Questions
Valvular heart disease
Practice Questions
Rheumatic heart disease
Practice Questions
Infective endocarditis
Practice Questions
Myocarditis and cardiomyopathies
Practice Questions
Pericardial diseases
Practice Questions
Aneurysms and dissections
Practice Questions
Vasculitis
Practice Questions
Cardiac tumors
Practice Questions
Get full access to all questions, explanations, and performance tracking.
Start For Free