Enter your email to get your 85% OFF code and unlock the full USMLE question bank on the app.
A 7-year-old boy is brought to the emergency department because of photophobia and pruritus on the periocular area of the right eye for the last 2 days. He also had crusts over the eyelashes of the right eye that morning. The boy has a history of asthma and atopic dermatitis. His medications include inhaled steroids and salbutamol. Vital signs are within normal limits. Physical examination shows conjunctival injection and redness in the affected eye, as well as a watery discharge from it. There are multiple vesicles with an erythematous base located on the upper and lower eyelids. Visual acuity is within normal limits. Which of the following is the most likely cause?
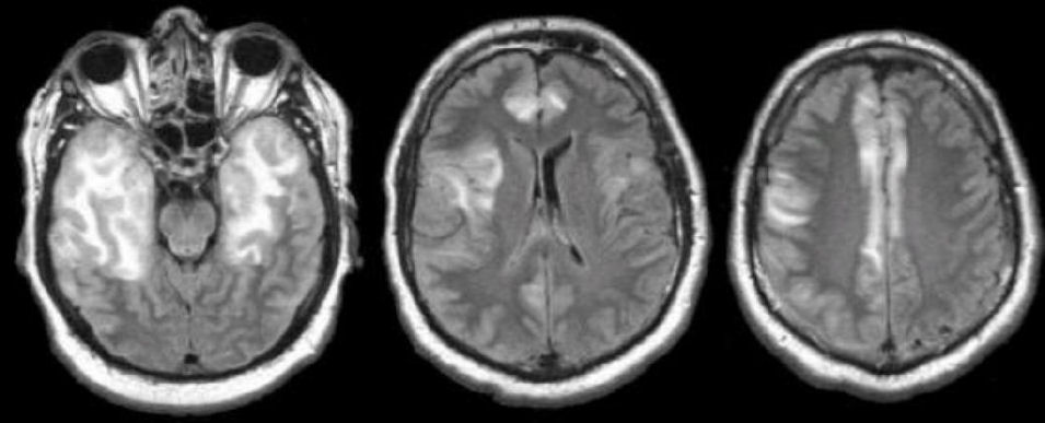
A 38-year-old woman presented to a clinic because of dementia, hemiparesis, ataxia, aphasia, and dysarthria that developed over the last 5 days. She had a 15-year history of intravenous drug abuse and was treated for fever, cough, and shortness of breath before the onset of neurological symptoms. Her MRI shows multiple white matter lesions, as seen in the picture. Over the course of 2 weeks, the patient's condition worsens. Despite aggressive treatment, she lapses into a coma and dies. At autopsy, histologic examination of her brain tissue reveals gigantic, deformed astrocytes and oligodendrocytes with abnormal nuclei. Which of the following is the most likely cause of this woman's neurological symptoms?

A 24-year-old man presents to the clinic with the complaint of a new rash. The lesions are not bothersome, but he is worried as he has never seen anything like this on his body. Upon further questioning the patient states has been generally healthy except for a one time "horrible" flu-like episode two months ago in June. He has since gotten better. On physical exam the following rash is observed (Figure 1). What is the cause of this patient's rash?

A 3-year-old boy presents to an urgent care clinic with his mother. She states that his behavior has been lethargic for the past 3 days. She also notes that he has had a runny nose, mild cough, and sore throat during this time. She does not believe that he has been febrile. His temperature is 99.1°F (37.2°C), blood pressure is 105/67 mmHg, pulse is 100/min, respirations are 18/min, and SpO2 97% on room air. Which nucleic acid structure most accurately describes the most likely virus responsible for this boy’s clinical condition?
A 52-year-old woman presents to the clinic with several days of vomiting and diarrhea. She also complains of headaches, muscle aches, and fever, but denies tenesmus, urgency, and bloody diarrhea. Past medical history is insignificant. When asked about any recent travel she says that she just came back from a cruise ship vacation. Her temperature is 37°C (98.6° F), respiratory rate is 15/min, pulse is 67/min, and blood pressure is 122/98 mm Hg. Physical examination is non-contributory. Microscopic examination of the stool is negative for ova or parasites. What is the most likely diagnosis?
A group of scientists is conducting an experiment on the human cells involved in the immune response. They genetically modify B cells so they do not express the cluster of differentiation 21 (CD21) on their cell surfaces. The pathogenesis of which of the following organisms would most likely be affected by this genetic modification?
An investigator studying patients with symptoms of arthritis detects a nonenveloped virus with a single-stranded DNA genome in the serum of a pregnant patient. Fetal infection with this pathogen is most likely to cause which of the following manifestations?
A 32-year-old man with a past medical history significant for HIV and a social history of multiple sexual partners presents with new skin findings. His past surgical and family histories are noncontributory. The patient's blood pressure is 129/75 mm Hg, the pulse is 66/min, the respiratory rate is 16/min, and the temperature is 37.5°C (99.6°F). Physical examination reveals numerous painless skin-colored, flattened and papilliform lesions along the penile shaft and around the anus on physical exam. The application of 5% acetic acid solution causes the lesions to turn white. What is the etiology of these lesions?
An investigator studying influenza virus variability isolates several distinct influenza virus strains from the respiratory secretions of a study subject. Mass spectrometry analysis of one strain shows that it expresses neuraminidase on its surface. Subsequent sequencing of this strain shows that its genome lacks the neuraminidase gene. Which of the following is the most likely explanation for this finding?
An investigator studying viral mutation isolates a virus strain from the gastric contents of an infant with gastroenteritis. This virus has a nonenveloped RNA genome with 11 segments and an icosahedral symmetrical capsid. The investigator finds that if 2 strains of this virus coinfect a single host cell, some of the resulting viral progeny have genome segments derived from both parental viruses. The observed phenomenon is most likely also seen in which of the following viral families?
Viral structure and classification
Practice Questions
Viral replication cycles
Practice Questions
Herpesviruses (HSV, VZV, CMV, EBV, HHV-6/7/8)
Practice Questions
Respiratory viruses (influenza, RSV, parainfluenza)
Practice Questions
Enteroviruses and parechoviruses
Practice Questions
Gastroenteritis viruses (norovirus, rotavirus)
Practice Questions
Arboviruses (dengue, Zika, chikungunya)
Practice Questions
Viral hemorrhagic fevers
Practice Questions
Rabies virus
Practice Questions
Poxviruses
Practice Questions
Antiviral agents and mechanisms
Practice Questions
Viral vaccines
Practice Questions
Viral diagnostics
Practice Questions
Get full access to all questions, explanations, and performance tracking.
Scan to download app