A previously healthy 48-year-old man comes to the physician because of a 2-week history of a nonpruritic rash on his right forearm. The rash began as pustules and progressed to form nodules and ulcers. He works as a gardener. Physical examination shows right axillary lymphadenopathy and the findings in the photograph. Which of the following is the most likely causal organism?

A 29-year-old internal medicine resident presents to the emergency department with complaints of fevers, diarrhea, abdominal pain, and skin rash for 2 days. He feels fatigued and has lost his appetite. On further questioning, he says that he returned from his missionary trip to Brazil last week. He is excited as he talks about his trip. Besides a worthy clinical experience, he also enjoyed local outdoor activities, like swimming and rafting. His past medical history is insignificant. The blood pressure is 120/70 mm Hg, the pulse is 100/min, and the temperature is 38.3°C (100.9°F). On examination, there is a rash on the legs. The rest of the examination is normal. Which of the following organisms is most likely responsible for this patient’s condition?
A 19-year-old woman presents to the emergency department with complaints of blurry vision and headaches that started 2 days ago. She reports that she has been experiencing some facial pain, but she thought it was related to her toothache. She is also worried about a black spot that is increasing in size on her face over the last month. She expresses concerns about her frequency of urination. Recently, she had a runny nose and cough that resolved spontaneously. The patient was diagnosed with type 1 diabetes mellitus at 13 years of age. She is a non-smoker and drinks beer occasionally. Her blood pressure is 122/98 mm Hg and temperature is 37.2°C (98.9°F). The physical examination is normal with the exception of a black necrotic eschar lateral to the right nasal ala. She lost 2.7 kg (6 lb) since her last visit, which was 6 months ago. A routine urinalysis at the office is positive for glucose and ketones. What is the most likely cause of the patient’s symptoms?
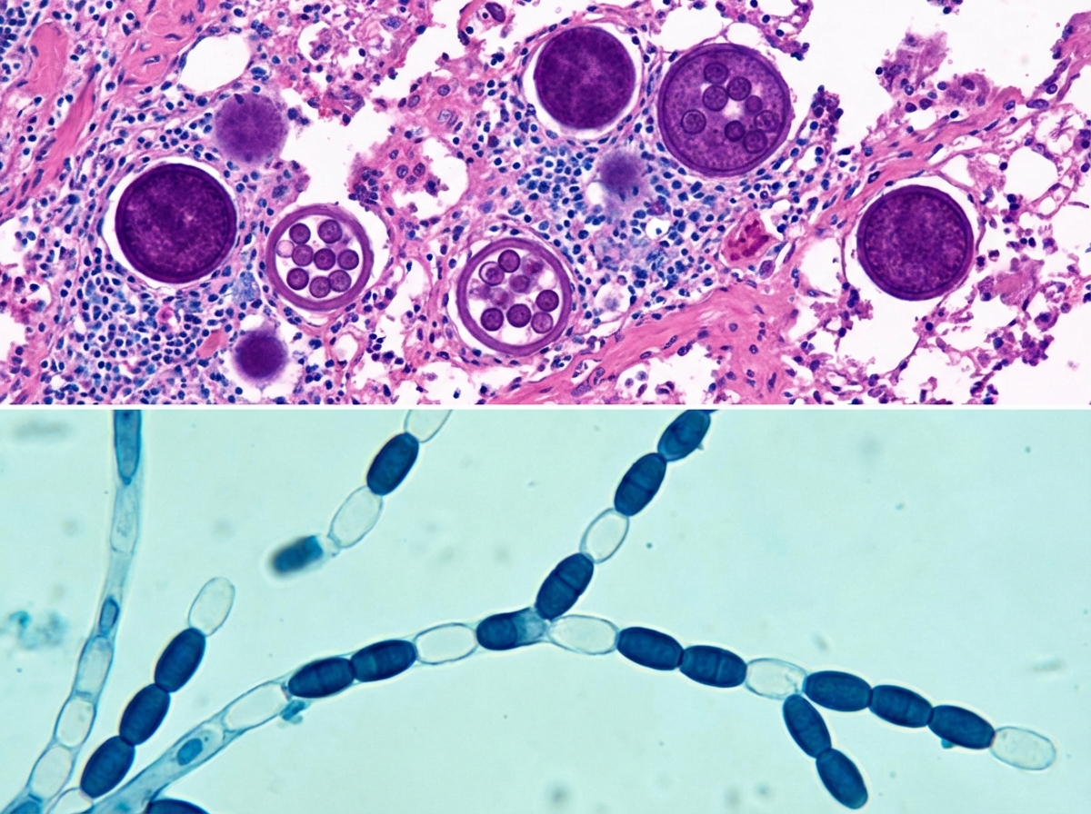
A 75-year-old man who underwent a bilateral lung transplant 11 months ago presented to the emergency room with fevers and chills. After the transplant procedure, he was immediately placed on immunosuppressive treatment; however, for unknown reasons he stopped taking the prophylactically-prescribed voriconazole (a triazole antifungal medication used for the treatment and prevention of invasive fungal infections). Upon presentation to the emergency room, the patient was hypoxemic. Imaging revealed pulmonary nodules, which prompted a transbronchial biopsy for further evaluation. The results were negative for acute organ rejection, adenovirus, cytomegalovirus, and acid-fast bacilli. Slides stained with hematoxylin and eosin (H&E) were also prepared, as presented on the upper panel of the accompanying picture, which revealed large round structures. The specimen was sent to the microbiology laboratory for fungal culture, which resulted in the growth of a fuzzy mold on Sabouraud agar (selective medium for the isolation of fungi) at 30.0°C (86.0°F). A lactophenol cotton blue preparation revealed the organism shown on the lower panel of the accompanying picture. What organism has infected this patient?

A 58-year-old man presents with a high-grade fever, throbbing left-sided headache, vision loss, and left orbital pain. He says that his symptoms started acutely 2 days ago with painful left-sided mid-facial swelling and a rash, which progressively worsened. Today, he woke up with complete vision loss in his left eye. His past medical history is significant for type 2 diabetes mellitus, diagnosed 5 years ago. He was started on an oral hypoglycemic agent which he discontinued after a year. His temperature is 38.9°C (102.0°F), blood pressure is 120/80 mm Hg, pulse is 120/min, and respiratory rate is 20/min. On examination, there is purulent discharge from the left eye and swelling of the left half of his face including the orbit. Oral examination reveals extensive necrosis of the palate with a black necrotic eschar and purulent discharge. Ophthalmic examination is significant for left-sided ptosis, proptosis, and an absence of the pupillary light reflex. Laboratory findings are significant for a blood glucose level of 388 mg/dL and a white blood cell count of 19,000 cells/mm³. Urinary ketone bodies are positive. Fungal elements are found on a KOH mount of the discharge. Which of the following statements best describes the organism responsible for this patient’s condition?
A 26-year-old female presents to the emergency department with high fever, productive cough, and hemoptysis. She says that she has also been getting red tender bumps under the skin as well as joint pain. She believes that her symptoms started a few days after a small earthquake hit near her hometown and was otherwise healthy prior to these symptoms. No pathogenic bacteria are detected on sputum culture or by Gram stain. Based on clinical suspicion a lung biopsy is performed and the results are shown in the image provided. The most likely pathogen causing this disease lives in which of the following locations?

A 4-month-old boy is brought to the physician by his father because of a progressively worsening rash on his buttocks for the last week. He cries during diaper changes and is more fussy than usual. Physical examination of the boy shows erythematous papules and plaques in the bilateral inguinal creases, on the scrotum, and in the gluteal cleft. Small areas of maceration are also present. A diagnosis is made, and treatment with topical clotrimazole is initiated. Microscopic examination of skin scrapings from this patient's rash is most likely to show which of the following findings?
A 22-year-old man comes to the physician because of abdominal pain, diarrhea, and weight loss that started after a recent backpacking trip in Southeast Asia. He does not smoke or drink alcohol. His leukocyte count is 7,500/mm3 (61% segmented neutrophils, 13% eosinophils, and 26% lymphocytes). Stool microscopy shows rhabditiform larvae. This patient is most likely to develop which of the following?
A 52-year-old man comes to the physician because of a 4-day history of a productive cough, shortness of breath, and low-grade fever. He works as a farmer in southern Arizona. Physical examination shows multiple skin lesions with a dark blue center, pale intermediate zone, and red peripheral rim on the upper and lower extremities. There are diffuse crackles on the left side of the chest. An x-ray of the chest shows left basilar consolidation and left hilar lymphadenopathy. A photomicrograph of tissue obtained from a biopsy of the lung is shown. Which of the following is the most likely causal pathogen?

A 47-year-old man presents to the emergency department with jaundice and extreme fatigue for the past 4 days. He also noticed that his stool is very pale and urine is dark. Past medical history is unremarkable. The review of systems is significant for a 23 kg (50 lb) weight loss over the last 3 months which he says is due to decreased appetite. He is afebrile and the vital signs are within normal limits. A contrast computed tomography (CT) scan of the abdomen reveals a mass in the pancreatic head. A blood test for carbohydrate antigen (CA19-9) is positive. The patient is admitted to the intensive care unit (ICU) and undergoes surgical decompression of the biliary tract. He is placed on total parenteral nutrition (TPN). On day 4 after admission, his intravenous access site is found to be erythematous and edematous. Which of the following microorganisms is most likely responsible for this patient’s intravenous (IV) site infection?
Explanation: ***Sporothrix schenckii*** - The patient's occupation as a **gardener** and the description of a rash progressing from **pustules to nodules and ulcers**, associated with **axillary lymphadenopathy** along a lymphatic chain, are classic findings of **sporotrichosis** (rose gardener's disease), caused by *Sporothrix schenckii*. - This fungus is found in soil and on plants, and infection typically occurs via **traumatic inoculation** (e.g., thorn prick). *Bartonella henselae* - This bacterium causes **cat-scratch disease**, characterized by a papule or pustule at the inoculation site and regional lymphadenopathy. - While it causes lymphadenopathy, the skin lesions typically do not progress to the chronic **ulcerative and nodular pattern along lymphatic drainage** seen here, and there's no history of cat exposure. *Pasteurella multocida* - *Pasteurella multocida* is a common cause of **wound infections after animal bites or scratches**, particularly from cats and dogs. - Infections typically manifest as rapid onset of **erythema, swelling, and pain** at the bite site, often with cellulitis, rather than the described pustular-to-nodular-to-ulcerative progression along lymphatic channels. *Blastomyces dermatitidis* - *Blastomyces dermatitidis* causes **blastomycosis**, a systemic fungal infection that can present with cutaneous lesions, often **papules, pustules, or ulcers**, but these are typically associated with **pulmonary involvement** and occur after inhalation of spores, not directly from skin inoculation with lymphatic spread in a gardener. - The skin lesions of blastomycosis are often described as **verrucous** with sharply demarcated borders. *Pseudomonas aeruginosa* - *Pseudomonas aeruginosa* can cause various skin infections, especially in immunocompromised individuals, those with burns, or associated with water exposure (e.g., **"hot tub folliculitis"**). - While it can cause pustules, it does not typically produce the **lymphocutaneous spread** of nodules and ulcers observed in this patient's presentation.
Explanation: ***Schistosoma mansoni*** - The patient's symptoms (fevers, diarrhea, abdominal pain, rash, fatigue) after swimming and rafting in Brazil are classic for **acute schistosomiasis (Katayama fever)**, and *Schistosoma mansoni* is endemic to South America, including Brazil, affecting the **gastrointestinal tract**. - The rash on the legs is consistent with the entry points of **cercariae** through the skin, and the systemic symptoms develop as the adult worms mature and lay eggs. *Schistosoma haematobium* - This species primarily causes **urinary schistosomiasis**, with symptoms like **hematuria**, dysuria, and bladder wall calcification. - It is prevalent in Africa and the Middle East, not typically associated with Brazil. *Vibrio cholerae* - *Vibrio cholerae* causes severe, watery **diarrhea** (rice-water stools) and rapid **dehydration**, usually without a prominent rash or prolonged systemic symptoms like fatigue and fever as the primary presentation. - While diarrhea is present, the array of other symptoms and the exposure history do not align with cholera. *Onchocerca volvulus* - This parasite causes **onchocerciasis (river blindness)**, transmitted by blackflies, and primarily manifests as **dermatitis**, subcutaneous nodules, and significant eye disease leading to blindness. - It does not typically cause acute febrile illness with prominent gastrointestinal symptoms like those described. *Schistosoma japonicum* - *Schistosoma japonicum* is found in East Asia (e.g., China, Philippines), not South America, and primarily affects the **gastrointestinal tract** and liver, similar to *S. mansoni*. - The geographical exposure to Brazil makes *S. mansoni* the most likely cause, despite similar clinical features to *S. japonicum*.
Explanation: ***Mucormycosis*** - This patient, with uncontrolled **Type 1 diabetes** (indicated by frequent urination, weight loss, and glucose/ketones in urine), is at high risk for **mucormycosis**, an opportunistic fungal infection. - The presence of a **black necrotic eschar** on the face, coupled with eye symptoms (blurry vision) and facial pain, is highly characteristic of **rhino-orbital-cerebral mucormycosis**, which often originates in the sinuses. *Bacillus anthracis* - **Cutaneous anthrax** would present as a painless ulcer with a black eschar, but it typically occurs in individuals exposed to infected animals or animal products and is not associated with diabetes or the rhinocerebral symptoms described. - Systemic symptoms like blurry vision, headaches, and polyuria are not typical for cutaneous anthrax. *Clostridium difficile* - This bacterium primarily causes **gastrointestinal infections**, leading to diarrhea, abdominal pain, and fever. - There are no symptoms described that suggest a *C. difficile* infection, and it does not cause facial eschars or rhino-orbital symptoms. *Histoplasma capsulatum* - **Histoplasmosis** is a fungal infection typically acquired by inhaling spores, often found in bird or bat droppings, mainly affecting the lungs. - While it can disseminate in immunocompromised individuals, causing mucocutaneous lesions, it typically doesn't present with a rapid-onset facial eschar or the specific rhino-orbital symptoms seen here. *Aspergillus fumigatus* - Although **invasive aspergillosis** can occur in immunocompromised patients, including those with diabetes, it more commonly affects the lungs (e.g., aspergilloma, chronic pulmonary aspergillosis). - While it can cause sinusitis and, rarely, cutaneous lesions, the rapid progression to a **black necrotic eschar** in the context of uncontrolled diabetes points more strongly towards mucormycosis.
Explanation: ***Coccidioides species*** - The imaging showing **pulmonary nodules**, the biopsy revealing **large round structures** (spherules), and growth of a **fuzzy mold** on Sabouraud agar in an **immunosuppressed patient** are highly characteristic of Coccidioides infection. - The **transplant recipient** is at high risk for opportunistic fungal infections, and the visual evidence from the biopsy (spherules) is pathognomonic for **coccidioidomycosis**. *Blastomyces dermatitidis* - While it causes **pulmonary disease** and can present with pulmonary nodules, its characteristic microscopic appearance in tissue would be **broad-based budding yeasts**, which is distinct from the large round structures (spherules) seen in the image. - Blastomyces grows as a mold at room temperature but converts to a yeast form in tissue. *Malbranchea species* - **Malbranchea** is a saprophytic fungus and is **not typically considered a human pathogen**, especially in the context of invasive pulmonary disease with specific histological findings like spherules. - It would not match the clinical presentation or the histological findings described. *Cryptococcus neoformans* - **Cryptococcus neoformans** typically presents as **encapsulated yeast cells** in tissue, often associated with a prominent capsule visualized with India ink stain, and primarily causes meningitis in immunocompromised individuals. - It does not form the large round spherules seen in the biopsy. *Histoplasma capsulatum* - **Histoplasma capsulatum** is a **dimorphic fungus** that presents as small, budding yeasts within macrophages in tissue samples, which is a different morphology than the large round structures described. - While it can cause pulmonary nodules, the specific histological findings do not align.
Explanation: ***Histopathological examination shows non-septate branching hyphae*** - The patient's presentation with **diabetic ketoacidosis**, orbital pain, vision loss, facial swelling, necrotic palatal eschar, and high fever strongly suggests **mucormycosis**, a severe fungal infection. - Mucormycosis is caused by fungi belonging to **Mucorales order** (e.g., *Rhizopus*, *Mucor*, *Lichtheimia*), which are characterized by **broad, ribbon-like, non-septate hyphae with irregular, wide-angle branching**. *It appears as a narrow-based budding yeast with a thick capsule* - This description is characteristic of **Cryptococcus neoformans**, which causes cryptococcosis, often presenting with meningoencephalitis and lung involvement. - The clinical picture and *KOH mount* findings in this patient are inconsistent with cryptococcosis. *It produces conidiospores* - **Conidiospores are asexual spores** produced by many fungi, including *Aspergillus* and *Penicillium*, but this is a general characteristic and not specific enough to definitively identify the pathogen responsible for mucormycosis. - The *histopathological features* (non-septate hyphae) are the key identifier in mucormycosis. *It has budding and filamentous forms* - This description generally refers to **dimorphic fungi** (e.g., *Histoplasma*, *Blastomyces*, *Coccidioides*), which exhibit yeast forms in tissue and mold forms in culture. - Mucorales are typically **molds** in both environments and are not considered dimorphic, nor do they commonly present with budding forms. *Histopathological examination shows acute angle branching hyphae* - This morphological description is characteristic of **Aspergillus species**, which cause aspergillosis, another opportunistic fungal infection. - *Aspergillus* hyphae are typically **septate** and branch at acute angles (around 45 degrees), unlike the broad, non-septate, wide-angle branching hyphae of Mucorales.
Explanation: ***Desert dust and sand*** - The constellation of high fever, productive cough, hemoptysis, **erythema nodosum** (tender red bumps), and joint pain following exposure to **disturbed soil** (earthquake) is highly suggestive of **Coccidioidomycosis** (Valley Fever). - *Coccidioides immitis* and *Coccidioides posadasii* are endemic to **desert regions** of the southwestern United States and Latin America, where they are found in soil and dust. *Bird and bat droppings* - This is the primary habitat for *Histoplasma capsulatum*, which causes **Histoplasmosis**. - While Histoplasmosis can cause pulmonary symptoms and sometimes erythema nodosum, its association with disturbed soil in desert regions and the clinical picture of severe pneumonia with hemoptysis makes Coccidioidomycosis more likely. *Eastern United States soil* - This region is associated with *Blastomyces dermatitidis* (Blastomycosis). - Blastomycosis can cause pulmonary disease, but it is less commonly associated with erythema nodosum and the specific type of environmental exposure described. *Rose bush thorns* - This is the classic habitat for *Sporothrix schenckii*, which causes **Sporotrichosis**. - Sporotrichosis primarily presents as cutaneous lesions (lymphocutaneous sporotrichosis) and is not typically associated with severe pulmonary disease, systemic symptoms, or erythema nodosum described in the case. *Widespread* - While some fungal infections (e.g., *Candida*, *Aspergillus*) are widespread, the specific clinical presentation, particularly the association with disturbed soil in a desert-like environment and erythema nodosum, points to a specific regional endemic mycosis. - The pattern of symptoms and environmental exposure strongly narrows down the pathogen's likely habitat rather than suggesting a ubiquitous organism.
Explanation: ***Oval, budding yeast with pseudohyphae*** - This morphology is characteristic of *Candida albicans*, which commonly causes **diaper rash** due to the warm, moist environment in the diaper area. - The rash described, with **erythematous papules and plaques** in the inguinal creases, scrotum, and gluteal cleft, along with **maceration**, is typical of candidal diaper dermatitis. *Round yeast surrounded by budding yeast cells* - This description ("wagon wheel" appearance) is characteristic of *Malasseella globosa*, the causative agent of **tinea versicolor**. - Tinea versicolor typically presents with hypo- or hyperpigmented patches, not the erythematous, macerated rash seen in this infant. *Broad-based budding yeast* - This morphology is characteristic of **Blastomycosis**, caused by *Blastomyces dermatitidis*. - This infection typically causes **pulmonary disease** or **cutaneous lesions** that are often verrucous or ulcerative, not a diaper rash. *Fruiting bodies with septate, acute-angle hyphae* - This describes the microscopic appearance of *Aspergillus* species. - *Aspergillus* typically causes **invasive pulmonary disease** in immunocompromised individuals or **allergic bronchopulmonary aspergillosis**, not diaper dermatitis. *Narrow budding, encapsulated yeast* - This is the characteristic microscopic appearance of *Cryptococcus neoformans*. - *Cryptococcus* commonly causes **meningitis** or **pulmonary infections**, particularly in immunocompromised patients, and is not associated with diaper rash.
Explanation: ***Perianal serpiginous rash*** - The patient's symptoms (abdominal pain, diarrhea, weight loss, recent travel to Southeast Asia, eosinophilia, and rhabditiform larvae in stool) are highly suggestive of **Strongyloidiasis**. - The **rhabditiform larvae** of **Strongyloides stercoralis** can autoinfect the host, migrating through the skin from the perianal area, causing a characteristic **larva currens** or **perianal serpiginous rash**. *Hematuria* - **Hematuria** is typically associated with **Schistosomiasis** (especially *Schistosoma haematobium*), which involves the genitourinary tract. - While schistosomiasis is prevalent in some parts of Southeast Asia, the patient's presentation with **rhabditiform larvae** and **eosinophilia** points away from it. *Rectal prolapse* - **Rectal prolapse** can occur with chronic straining due to severe diarrhea or constipation, or in conditions like **Trichuriasis (whipworm infection)**. - While diarrhea is present, the specific finding of **rhabditiform larvae** and the high eosinophil count are not characteristic of conditions directly leading to rectal prolapse. *Peripheral lymphedema* - **Peripheral lymphedema** is a hallmark symptom of **Filariasis**, caused by parasitic worms like *Wuchereria bancrofti* or *Brugia malayi*, transmitted by mosquitoes. - The patient's presentation, particularly the **rhabditiform larvae in stool**, does not support a diagnosis of filariasis. *Muscle tenderness* - **Muscle tenderness** and myalgia can be associated with several parasitic infections, most notably **Trichinellosis**, caused by *Trichinella spiralis*. - However, the finding of **rhabditiform larvae in stool** and the absence of specific symptoms like periorbital edema or splinter hemorrhages make trichinellosis less likely than strongyloidiasis.
Explanation: ***Coccidioides immitis*** - The patient's presentation with **respiratory symptoms**, **skin lesions** (erythema multiforme-like), and **hilar lymphadenopathy** in a farmer from **southern Arizona** is highly characteristic of coccidioidomycosis. The image shows **spherules** containing **endospores**, which are diagnostic of *Coccidioides*. - *Coccidioides immitis* is a **dimorphic fungus** endemic to the **Southwestern United States** (including Arizona) and parts of Mexico and Central/South America, commonly causing **valley fever**. *Paracoccidioides brasiliensis* - This fungus is associated with **Paracoccidioidomycosis**, which is primarily found in **Latin America** (excluding the US Southwest). - Microscopically, it presents as a **captain's wheel** appearance with multiple buds, which is not seen here. *Candida albicans* - *Candida albicans* is a **yeast** that typically causes **mucocutaneous infections** (e.g., thrush, vaginitis) and can cause systemic candidiasis in immunocompromised individuals. - It forms **pseudohyphae and budding yeasts** microscopically, which are distinct from the spherules seen in the image. *Blastomyces dermatitidis* - **Blastomycosis** is endemic to the **Great Lakes region and Ohio/Mississippi River valleys** and usually presents with pneumonia and skin lesions. - Microscopic examination reveals **broad-based budding yeasts**, which are different from the features shown in the image. *Aspergillus fumigatus* - *Aspergillus fumigatus* causes various conditions, including allergic bronchopulmonary aspergillosis (ABPA), aspergilloma, and invasive aspergillosis, particularly in **immunocompromised patients**. - Microscopically, it is characterized by **acute-angle branching septate hyphae**, which is not consistent with the image provided.
Explanation: ***Candida parapsilosis*** - This yeast is a common cause of **catheter-related bloodstream infections** in patients receiving **total parenteral nutrition (TPN)**, as it can readily grow on lipid emulsions. - The patient's presentation with an erythematous and edematous intravenous access site, coupled with a history of TPN, strongly points towards a fungal infection, with *C. parapsilosis* being a primary suspect due to its affinity for TPN. *E. coli* - While *E. coli* is a common cause of **urinary tract infections** and can cause **bloodstream infections**, it is not a typical cause of IV site infections specifically associated with TPN. - Its presence at an IV site would usually indicate a more generalized sepsis or contamination, rather than the specific affinity *C. parapsilosis* has for TPN lines. *Hepatitis B virus* - **Hepatitis B virus** causes **viral hepatitis** and liver damage, but it does not directly cause localized IV site infections with erythema and edema. - It is typically spread through blood and body fluids and its clinical manifestations are systemic, primarily involving the liver, rather than local skin signs at an IV access site. *Pseudomonas aeruginosa* - **Pseudomonas aeruginosa** is a common opportunistic pathogen, particularly in **immunocompromised patients** and those with medical devices, but it is typically associated with infections in burn wounds, cystic fibrosis, or ventilator-associated pneumonia. - While it can cause catheter-related infections, it is not as uniquely linked to TPN-associated IV site infections as *Candida parapsilosis*. *Malassezia furfur* - *Malassezia furfur* is known to cause **catheter-related infections** in patients receiving **lipid emulsions** via central lines, similar to *C. parapsilosis*. - However, *C. parapsilosis* is statistically a more common cause of TPN-associated fungemia and IV site infections than *M. furfur*.
Explanation: ***Enterobius vermicularis*** - This presentation is classic for **pinworm infection**, caused by *Enterobius vermicularis*, given the **perianal itching** (especially at night) and finding **excoriations** due to scratching. - The eggs are laid by female worms in the perianal folds, particularly at night, leading to intense **pruritus ani**. *Herpes simplex virus* - HSV typically causes **painful vesicular or ulcerative lesions** in the genital area, often with associated lymphadenopathy. - While it can cause itching, it's usually accompanied by specific lesion morphology not described here, and the nocturnal worsening is not characteristic. *Gardnerella vaginalis* - This bacterium is associated with **bacterial vaginosis**, which presents with a **fishy-smelling vaginal discharge** and itching. - Bacterial vaginosis is uncommon in prepubertal girls and the symptoms described don't align with the typical discharge characteristics. *Giardia lamblia* - *Giardia lamblia* infection primarily causes **gastrointestinal symptoms** such as **diarrhea, abdominal cramps**, and **malabsorption**. - While the child had recent diarrhea, *Giardia* does not directly cause perianal or genital itching with nocturnal worsening as the dominant symptom. *Candida albicans* - **Candidal infections** in the genital area (yeast infections) cause intense **itching, redness, and a thick, cottage cheese-like discharge**. - While itching can be severe, the nocturnal worsening of perianal itching specifically points away from *Candida* and towards pinworms.
Explanation: ***Neutrophils*** - The presence of **yeast with pseudohyphae** in blood cultures, particularly *Candida*, indicates a fungal infection. - **Neutrophils** are crucial for the host defense against *Candida* and other fungal pathogens, so their deficiency or dysfunction would predispose to candidemia. - Neutropenia or neutrophil dysfunction (e.g., chronic granulomatous disease) significantly increases risk of invasive candidiasis. *Eosinophils* - **Eosinophils** are primarily involved in defense against **parasitic infections** and in allergic reactions. - They play a minimal role in the immune response to systemic fungal infections like candidemia. *Macrophages* - **Macrophages** are phagocytic cells that contribute to antifungal immunity, particularly in tissue surveillance and chronic infection control. - However, **neutrophils** are the primary and most critical defense against acute *Candida* bloodstream infections. - Macrophage deficiency alone does not typically predispose to candidemia as severely as neutrophil deficiency. *T-cells* - **T-cells** are important for cell-mediated immunity, particularly against **intracellular pathogens** and viral infections. - While they play a role in modulating antifungal responses, their deficiency typically leads to infections with *Pneumocystis jirovecii* or severe mucocutaneous candidiasis, rather than disseminated candidemia. *B-cells* - **B-cells** are responsible for **humoral immunity** through antibody production, which is primarily effective against extracellular bacteria and toxins. - They are not the primary line of defense against fungal infections such as candidemia.
Explanation: ***Defective beta-2 integrin*** - This clinical presentation, including recurrent bacterial infections (otitis media), delayed umbilical cord separation, fungal infections (oral candidiasis, skin lesions, and *Candida* fungemia), persistent leukocytosis with neutrophilia, and poor wound healing, is classic for **Leukocyte Adhesion Deficiency type 1 (LAD-1)**. LAD-1 is caused by defective **beta-2 integrin (CD18)**, which impairs neutrophil adhesion and extravasation into tissues. - The inability of neutrophils to properly adhere and migrate to sites of infection leads to recurrent severe bacterial and fungal infections, especially of the skin and mucous membranes, alongside the characteristic finding of **leukocytosis with neutrophilia** in the peripheral blood despite ongoing severe infection. *Defective tyrosine kinase* - This defect is associated with **X-linked agammaglobulinemia (Bruton's agammaglobulinemia)**, which causes a lack of mature B cells and severely reduced immunoglobulin levels. Patients typically present with recurrent bacterial infections but do not typically have the severe fungal infections, delayed cord separation, or neutrophilia seen here. - The primary defect is in B-cell development, leading to infections by encapsulated bacteria, and usually **normal T-cell immunity**, unlike the broad immune dysfunction suggested by the fungal and bacterial infections in this case. *Defective IL-2R gamma chain* - A defective **IL-2R gamma chain** is characteristic of **X-linked severe combined immunodeficiency (SCID)**. This leads to a severe defect in T-cell and NK-cell development, causing profound susceptibility to opportunistic infections, including viral, fungal, and bacterial. - While SCID patients experience severe infections, they typically demonstrate **lymphopenia** (low lymphocyte count), not the marked neutrophilic leukocytosis seen in this patient. Additionally, delayed umbilical cord separation is not a characteristic feature of SCID. *Defective actin cytoskeleton* - Defects in the **actin cytoskeleton** of leukocytes can lead to various immunodeficiencies, such as **Wiskott-Aldrich syndrome**. This syndrome is characterized by recurrent infections, eczema, and thrombocytopenia, which are not primarily exhibited in this patient's presentation. - While patients with Wiskott-Aldrich syndrome are susceptible to infections, the specific combination of severe neutrophilic leukocytosis, delayed cord separation, and extensive fungal infections points away from a primary actin cytoskeleton defect. *Defective microtubules* - Defects in **microtubules** can be seen in conditions like **Chédiak-Higashi syndrome**, which involves impaired lysosomal trafficking and function in phagocytes. This leads to recurrent pyogenic infections, partial albinism, and neurological abnormalities. - While infections are a feature, Chédiak-Higashi syndrome typically presents with **giant granules** in leukocytes and **albinism**, which are not mentioned in this patient's presentation, and the specific findings of delayed cord separation and impressive neutrophilia are not typical.
Explanation: ***Ancylostoma braziliense*** - This clinical presentation of a **pruritic, migratory, serpiginous rash** on the foot after exposure to contaminated sand (tropical beach in Thailand) is classic for **cutaneous larva migrans**, caused by hookworm larvae, predominantly *Ancylostoma braziliense*. - The larvae penetrate the skin but cannot complete their life cycle in humans, instead migrating subcutaneously, causing the characteristic **"creeping eruption"**. *Dracunculus medinensis* - This parasite causes **dracunculiasis**, where the adult female worm migrates to the skin, creating a painful blister, often on the lower limbs, from which it emerges. - It is acquired by ingesting **copepods** (water fleas) containing larvae, not by direct contact with contaminated sand, and the lesion typically ulcerates rather than migrating repeatedly. *Necator americanus* - This is a human hookworm that causes **iron deficiency anemia** and can lead to **cutaneous larva currens** from larval penetration, which is a rapidly advancing linear lesion, but it typically progresses to systemic infection where the worms reside in the small intestine. - While it can cause an itchy rash at the site of penetration (ground itch), it does not cause the **chronic, migratory, serpiginous eruption** characteristic of cutaneous larva migrans. *Strongyloides stercoralis* - This parasite can cause **larva currens** (a rapidly moving linear skin eruption) and systemic complications, particularly in immunocompromised individuals. - While it can cause skin lesions, the typical description is of a much faster-moving lesion that usually spreads from the anus and is less serpiginous and persistent in one area compared to the classic presentation of cutaneous larva migrans. *Wuchereria bancrofti* - This nematode causes **lymphatic filariasis** (elephantiasis), characterized by lymphedema, hydrocele, and chyluria, and is transmitted by **mosquito bites**. - It does not cause cutaneous migratory lesions on the foot; its pathology relates to chronic lymphatic obstruction by adult worms.
Explanation: ***Aspergillus fumigatus*** - The combination of **fever**, **hemoptysis**, a **fibrocavitary lesion** in an **HIV-positive** patient, and the presence of **septate hyphae branching at acute angles** on biopsy are classic findings for invasive **aspergillosis**. - **Aspergillus** specifically targets individuals with compromised immune systems, and the pathological description of the hyphae is highly characteristic of this fungus. *Mycobacterium tuberculosis* - While **Mycobacterium tuberculosis** can cause **fever**, **hemoptysis**, and **cavitary lesions** in HIV-positive patients, the microscopic description of **septate hyphae branching at acute angles** is not consistent with bacterial infection. - Tuberculosis is characterized by **acid-fast bacilli** and granulomatous inflammation, not fungal hyphae. *Mucor species* - **Mucor** (along with Rhizopus) causes **mucormycosis**, an invasive fungal infection that can affect immunocompromised patients and present with pulmonary involvement and cavitary lesions. - However, mucormycosis is characterized by **non-septate (aseptate) hyphae branching at right (90-degree) angles**, not septate hyphae at acute angles, making it distinguishable from Aspergillus. *Pneumocystis jirovecii* - **Pneumocystis jirovecii** is a common cause of pneumonia in HIV-positive patients, typically presenting as **diffuse interstitial infiltrates** rather than cavitary lesions. - Microscopic examination would reveal **cysts** and **trophozoites**, not septate hyphae, making it inconsistent with the biopsy findings. *Candida albicans* - While **Candida albicans** can cause infections in immunocompromised individuals, it typically presents as **oral thrush**, esophagitis, or disseminated candidiasis. - Pulmonary involvement is less common and usually manifests as **pneumonitis** rather than cavitary lesions, and its hyphae are typically **pseudohyphae** or budding yeasts, not septate hyphae branching at acute angles.
Explanation: ***Irregular non-septate hyphae*** - The clinical presentation of a **leukemic patient** with a **frontal lobe abscess** and **paranasal swelling**, along with headache, facial pain, and nasal discharge, strongly suggests **mucormycosis**. - Mucormycosis is characterized by **broad, ribbon-like, irregular non-septate hyphae** with **right-angle branching** on tissue biopsy, making this the most likely finding. *Yeast with pseudohyphae* - This morphology is characteristic of **Candida species**, which can cause opportunistic infections but typically manifest as candidemia, esophagitis, or vulvovaginitis in immunocompromised patients, not usually a frontal lobe abscess with paranasal involvement. - While Candida can cause severe systemic infections, the specific combination of a frontal lobe abscess and paranasal swelling points away from Candida as the primary cause in this context. *Septate hyphae* - **Septate hyphae** are typical of **Aspergillus species**, which can cause invasive aspergillosis, including sinopulmonary infections and CNS involvement in immunocompromised hosts. - However, Aspergillus hyphae are typically **narrow (3-6 µm)** with **acute-angle (45-degree) branching**, differentiating them from the broad, irregular hyphae seen in mucormycosis. *Spherules containing endospores* - This morphology is characteristic of **Coccidioides immitis**, the causative agent of coccidioidomycosis. - Coccidioidomycosis is geographically restricted to endemic areas (e.g., southwestern US) and typically presents with pulmonary symptoms, disseminated disease, or meningitis, which does not fit the described paranasal and frontal lobe presentation. *Budding yeast with a narrow base* - This morphology is characteristic of **Cryptococcus neoformans**, an encapsulated yeast that commonly causes **meningitis** and **pneumonia** in immunocompromised individuals. - While Cryptococcus can cause CNS infections, the presence of paranasal swelling and the specific description of a frontal lobe abscess make mucormycosis a more fitting diagnosis.
Explanation: ***Strongyloides stercoralis*** - The presence of **larvae (rhabditiform)** in the stool, **pulmonary symptoms** (chronic cough), **gastrointestinal symptoms** (weight loss, bloating, loose stools), and **eosinophilia** are classic findings for *Strongyloides stercoralis* infection. - Unlike most other intestinal nematodes, *Strongyloides* can establish an **autoinfection cycle**, meaning larvae can reinfect the host, leading to persistent and potentially severe infections even in immunocompetent individuals, without the need for external re-exposure or eggs in stool. *Taenia saginata* - This is a **tapeworm (cestode)** that causes taeniasis and is acquired by consuming undercooked beef. - Diagnosis is typically made by finding **proglottids** or **eggs** in the stool, not larvae, and pulmonary symptoms are not characteristic. *Taenia solium* - This is another **tapeworm (cestode)**, acquired by consuming undercooked pork; it can cause taeniasis (intestinal infection) and cysticercosis (tissue infection). - Similar to *T. saginata*, diagnosis involves finding **proglottids** or **eggs** in stool for intestinal infection, and it does not typically present with lung involvement or larvae in stool. *Necator americanus* - This is a **hookworm** that causes iron-deficiency anemia due to blood loss in the intestines. - While it can cause some pulmonary symptoms as larvae migrate through the lungs, and gastrointestinal symptoms, the diagnostic hallmark is finding **eggs** in the stool, not larvae. *Ascaris lumbricoides* - This is the **giant roundworm**; infections are common and often asymptomatic, but heavy worm burdens can cause intestinal obstruction or malnutrition. - While **pulmonary symptoms (Loeffler's syndrome)** can occur during larval migration, and eosinophilia is present, the diagnosis is confirmed by finding characteristic **mammillated eggs** in the stool, not larvae.
Explanation: ***NADPH oxidase defect*** - The recurrent infections with **catalase-positive organisms** like *S. aureus*, *Serratia marcescens*, and *Aspergillus fumigatus*, along with **granuloma formation** and **dermatitis**, are classic features of **Chronic Granulomatous Disease (CGD)**. - CGD results from a defect in **NADPH oxidase**, impairing the generation of **reactive oxygen species** crucial for intracellular killing by phagocytes. *Lysosomal trafficking regulator gene defect* - This defect is associated with **Chédiak-Higashi syndrome**, characterized by **oculocutaneous albinism**, **neuropathy**, and **recurrent pyogenic infections**. - While it involves phagocyte dysfunction, the specific constellation of infections and findings (e.g., severe fungal infection, dermatitis, robust granuloma formation) points away from Chédiak-Higashi. *LFA-1 integrin defect* - An LFA-1 integrin defect causes **Leukocyte Adhesion Deficiency (LAD)**, primarily characterized by **recurrent bacterial infections**, **impaired wound healing**, and **delayed umbilical cord separation**. - While patients have recurrent infections, the typical infections are bacterial, and fungal infections like *Aspergillus* are not as characteristic, nor is the dermatological presentation described. *ATM gene defect* - A defect in the **ATM (ataxia-telangiectasia mutated) gene** causes **Ataxia-Telangiectasia**, which presents with **ataxia**, **telangiectasias**, **immunodeficiency** (primarily T-cell dysfunction), and an increased risk of malignancy. - The patient's symptoms, such as recurrent severe staphylococcal and fungal infections, pneumonia, and osteomyelitis, are not typical of this condition. *WASP gene mutation* - A mutation in the **WASP (Wiskott-Aldrich Syndrome Protein) gene** causes **Wiskott-Aldrich Syndrome (WAS)**, characterized by the triad of **thrombocytopenia** (with microplatelets), **eczema**, and **recurrent infections**. - While it includes recurrent infections and dermatitis, the specific type of severe bacterial and fungal infections, along with the history of pneumonia and lung abscess, and the absence of microplatelet thrombocytopenia, makes WAS less likely than CGD.
Explanation: ***Enterobius vermicularis*** * The classic symptom of **E. vermicularis** (pinworm) infection is **perianal pruritus**, especially at night, caused by the female worms migrating to the perianal region to lay eggs. * The image likely shows **pinworm eggs**, which are small, oval, and have one flattened side, visible with **lactophenol cotton blue staining** from an anal swab. *Wuchereria bancrofti* * **W. bancrofti** causes **lymphatic filariasis**, leading to **lymphedema** and **elephantiasis**, and is transmitted by mosquitoes. * It does not cause perianal scratching and its microfilariae are found in blood, not perianal swabs. *Ancylostoma duodenale* * **A. duodenale** (hookworm) causes **iron-deficiency anemia** and **gastrointestinal symptoms** due to blood loss from the intestines. * Hookworm eggs are typically recovered from **stool samples** and do not cause perianal itching as a primary symptom. *Taenia saginata* * **T. saginata** (beef tapeworm) infection is often **asymptomatic** or causes mild **abdominal discomfort** and **weight loss**. * Diagnosis is made by finding **proglottids** or eggs in stool; perianal itching is not a characteristic feature. *Ascaris lumbricoides* * **A. lumbricoides** (roundworm) causes **pulmonary symptoms** during larval migration and **intestinal obstruction** or malnutrition in heavy infections. * Its eggs are found in **stool samples**, and it does not typically cause perianal pruritus.
Explanation: ***Cutaneous leishmaniasis*** - The presence of **amastigotes within dermal macrophages** on **Giemsa staining** is pathognomonic for **leishmaniasis**. - The patient's travel history to **rural Peru**, along with the characteristic cutaneous lesions (erythematous papules progressing to enlarged, ulcerated, and crusted plaques), is highly suggestive of **cutaneous leishmaniasis**. *Syphilis* - **Syphilis** lesions can be ulcerative but are typically associated with **treponemes** (visible with darkfield microscopy or immunohistochemistry), not amastigotes. - The patient's sexual history with a single partner since marriage at 24 makes primary or secondary syphilis less likely in the absence of other risk factors. *Histoplasmosis* - **Histoplasmosis** is a fungal infection that can cause cutaneous lesions, especially in immunocompromised individuals. - Histopathology would reveal **yeast forms** and not amastigotes within macrophages. *Cutaneous tuberculosis* - **Cutaneous tuberculosis** can present with various skin lesions, including ulcers and plaques, but histopathology would show **granulomas** with **caseous necrosis** and **acid-fast bacilli**, not amastigotes. - The absence of typical **tuberculosis** symptoms (e.g., fever, night sweats, weight loss) also makes this less likely. *Ecthyma* - **Ecthyma** is a skin infection often caused by **Streptococcus pyogenes** or **Staphylococcus aureus**, characterized by **punched-out ulcers** with adherent crusts. - While it presents with ulcers, the biopsy finding of **amastigotes within macrophages** rules out bacterial ecthyma.
Explanation: ***T cells*** - The rash described is consistent with **allergic contact dermatitis**, a **Type IV hypersensitivity reaction** mediated by **T cells**. - Exposure to allergens like **urushiol** (poison ivy/oak) during a camping trip triggers a delayed immune response involving sensitization and subsequent activation of **memory T cells**. *B cells* - **B cells** are primarily involved in **humoral immunity** and antibody production, which mediates immediate hypersensitivity reactions (Type I, II, III). - While they can act as antigen-presenting cells, they are not the primary effector cells in **Type IV hypersensitivity reactions** like contact dermatitis. *Eosinophils* - **Eosinophils** are typically associated with **allergic reactions** and **parasitic infections**, often seen in **Type I hypersensitivity reactions** (e.g., asthma, allergic rhinitis). - They release cytotoxic granules but do not play a primary effector role in the development of delayed-type contact dermatitis. *Neutrophils* - **Neutrophils** are key in the **acute inflammatory response** to bacterial or fungal infections and tissue injury. - While they may be present in severe inflammatory reactions, they are not the primary mediators of the specific immune response in allergic contact dermatitis. *Mast cells* - **Mast cells** are crucial for **Type I hypersensitivity reactions**, releasing **histamine** and other mediators upon allergen exposure, leading to immediate symptoms like urticaria or anaphylaxis. - The delayed onset of symptoms (12 hours to 2 days) and the nature of the rash (papulovesicular) make **mast cell-mediated immediate hypersensitivity** less likely in this case.
Explanation: ***"Spaghetti and meatballs" fungus*** - The "spaghetti and meatballs" appearance on microscopy, referring to a mixture of short, septate hyphae and spherical yeast forms, is characteristic of **Malassezia globosa** or other *Malassezia* species, which cause **tinea versicolor**. - **Tinea versicolor** presents as hypopigmented patches, especially after sun exposure, because the fungus produces **azelaic acid** that inhibits melanin synthesis. *Broad based budding yeast* - This description is characteristic of **Blastomyces dermatitidis**, which causes **blastomycosis**, a deep fungal infection. - Blastomycosis typically manifests as pulmonary disease or disseminated lesions, not superficial hypopigmented skin patches. *"Captain's wheel" yeast* - The "captain's wheel" or multi-budding yeast appearance is characteristic of **Paracoccidioides brasiliensis**, the causative agent of **paracoccidioidomycosis**. - This is a systemic mycosis primarily affecting the lungs and mucocutaneous areas, not a superficial skin infection like tinea versicolor. *Germ tube forming fungus* - The formation of **germ tubes** when incubated in serum at 37°C is a characteristic feature used to identify **Candida albicans**. - *Candida* most commonly causes mucocutaneous candidiasis (e.g., thrush, vaginitis) or invasive infections, not hypopigmented skin patches that fail to tan. *Branching septate hyphae* - **Branching septate hyphae** are a general microscopic feature seen in many filamentous fungi, including dermatophytes like *Trichophyton* and *Microsporum*, which cause **tinea corporis** or **tinea pedis**. - While dermatophytes cause skin infections, they typically result in erythematous, scaly, and often pruritic lesions and do not usually present as hypopigmented patches that fail to tan due to melanin inhibition, as seen in tinea versicolor.
Explanation: ***Echinococcus granulosus*** - The presentation of a **calcified liver cyst** with **daughter cysts** in a patient with animal exposure (**animal shelter worker**) is highly suggestive of **hydatid disease** caused by *Echinococcus granulosus*. - The **anaphylactic-like reaction** (decreased oxygen saturation, hypotension, tachycardia) upon cyst spillage during aspiration is a classic and dangerous complication, indicating a severe allergic response to the **hydatid fluid**. *Clonorchis sinensis* - This parasite causes **cholangitis** and **cholangiocarcinoma**, and typically presents with symptoms related to biliary obstruction, rather than large calcified cysts with daughter cysts. - It is acquired by eating **undercooked freshwater fish** and is endemic in East Asia, which doesn't align with the patient's exposure history or cyst morphology. *Trichinella spiralis* - This parasite is acquired by consuming **undercooked pork** and causes **trichinosis**, characterized by muscle pain, periorbital edema, and eosinophilia, and does not typically form liver cysts. - Liver involvement with *Trichinella* is rare and does not manifest as calcified cysts with daughter cysts. *Strongyloides stercoralis* - This nematode causes **strongyloidiasis**, often manifesting as gastrointestinal symptoms, skin rash (**larva currens**), and pulmonary symptoms in cases of autoinfection. - It does not form macroscopic liver cysts, and liver involvement is generally non-cystic. *Schistosoma mansoni* - Causes **schistosomiasis**, which can lead to **hepatic fibrosis** (**pipestem fibrosis**) and **portal hypertension**, but does not typically cause large, calcified hydatid-like cysts with daughter cysts. - Infection is acquired through contact with **freshwater contaminated with snails** carrying the parasitic larvae.
Explanation: ***Toxocara canis*** - The child's history of playing outdoors with a pet dog, **eosinophilia**, **hepatomegaly**, abdominal mass, and **elevated globulins** are highly suggestive of **visceral larva migrans (VLM)**, most commonly caused by *Toxocara canis*. - *Toxocara canis* larvae migrate through human tissues, particularly the liver, causing granuloma formation that can present as palpable masses and systemic symptoms. *Ancylostoma braziliense* - This hookworm primarily causes **cutaneous larva migrans**, presenting as an intensely pruritic, serpiginous rash. - It does not typically cause systemic symptoms like hepatomegaly, abdominal masses, or significant eosinophilia in the way described. *Ascaris lumbricoides* - *Ascaris lumbricoides* causes **ascariasis**, primarily manifesting as intestinal symptoms, malnutrition, or pulmonary symptoms during larval migration (Löffler syndrome) - While it can cause eosinophilia, it rarely presents with solid hepatic masses or the specific constellation of symptoms seen here. *Trichuris trichiura* - *Trichuris trichiura* causes **trichuriasis** (whipworm infection), primarily leading to **gastrointestinal symptoms** such as abdominal pain, diarrhea, and rectal prolapse in heavy infections. - It is not associated with migratory visceral larvae, hepatomegaly, or palpable liver masses. *Toxocara cati* - While *Toxocara cati* also causes visceral larva migrans, it is associated with **cats** rather than dogs. The patient's history specifically mentions a pet dog. - The clinical presentation with hepatomegaly, abdominal mass, and eosinophilia would otherwise be consistent with *Toxocara* infection.
Explanation: ***Cryptococcus neoformans*** - The patient's presentation with **headache, fever, and neck stiffness** in the setting of **HIV infection with poor medication adherence** (indicating immunosuppression) is highly suggestive of **cryptococcal meningitis**. - **CSF findings** of **mononuclear pleocytosis**, **low glucose**, and **elevated protein** are classic for fungal meningitis. The provided image, if showing encapsulated yeast cells, would further confirm *Cryptococcus neoformans*. *Blastomyces dermatitidis* - This fungus is common in the **southeastern, south-central, and midwestern United States**, not typically associated with New York City as a primary endemic region. - While it can cause meningitis in immunocompromised patients, it often presents with **pulmonary involvement** or characteristic **skin lesions** as well, which are not mentioned. *Aspergillus fumigatus* - *Aspergillus* infections are typically seen in individuals with **severe neutropenia** or those on **high-dose steroids**, rather than primarily in HIV patients with inconsistent ART. - While it can cause CNS infections, they often manifest as **brain abscesses** or **vasculitis** and are not characterized by the classic meningitis picture with mononuclear pleocytosis. *Coccidioides immitis* - This fungus is endemic to the **southwestern United States** and parts of Central and South America, making it geographically unlikely for a patient living in New York City without a travel history. - While it can cause meningitis in immunocompromised individuals, the geographical context is a significant differentiating factor. *Mycobacterium tuberculosis* - Although **tuberculous meningitis** also presents with mononuclear pleocytosis, low glucose, and elevated protein in the CSF, the **negative interferon-gamma release assay (IGRA)** for latent tuberculosis makes this diagnosis less likely. - Additionally, CT scans may show **basilar meningeal enhancement** or hydrocephalus in tuberculous meningitis, which is not indicated by a normal CT.
Explanation: ***Bronchoalveolar lavage*** - The patient, an infant on **prednisolone** (immunosuppression) with **diffuse interstitial infiltrates**, **uncomfortable appearance**, **respiratory distress**, and **oral thrush (white plaque that bleeds when scraped)**, points to **Pneumocystis pneumonia (PCP)**. - **Bronchoalveolar lavage (BAL)** is the gold standard for diagnosing PCP by identifying **Pneumocystis jirovecii cysts** or **trophozoites** using special stains (e.g., Giemsa, methenamine silver). *Tuberculin skin test* - The **tuberculin skin test** is used to diagnose **tuberculosis**, which typically presents with **granulomas** and **cavitary lesions** on chest X-ray, not diffuse interstitial infiltrates. - While tuberculosis can cause respiratory symptoms, the presence of oral thrush and immunosuppression suggests an opportunistic fungal infection like PCP rather than TB. *Urine antigen test* - A **urine antigen test** is commonly used for diagnosing **Legionnaires' disease** or **pneumococcal pneumonia** in adults, and is not applicable for PCP. - It does not detect *Pneumocystis jirovecii*, which is the suspected pathogen in this immunosuppressed infant. *CT scan of the chest* - A **CT scan of the chest** would show **diffuse ground-glass opacities** characteristic of PCP but is a **radiological finding**, not a definitive diagnostic test for the pathogen itself. - While it can further characterize the pulmonary findings, it cannot identify the causative organism, which is crucial for targeted treatment. *DNA test for CFTR mutation* - A **DNA test for CFTR mutation** is used to diagnose **cystic fibrosis**, a genetic disorder affecting mucus production, and is not relevant in this acute presentation of respiratory distress and immunosuppression. - Cystic fibrosis typically presents with recurrent respiratory infections, pancreatic insufficiency, and failure to thrive, not primarily with opportunistic infections like PCP.
Explanation: ***Rhizopus infection*** - The image likely depicts findings consistent with **mucormycosis**, an aggressive fungal infection caused by organisms like *Rhizopus*, characterized by **black necrotic eschars** and rapid tissue destruction. - **Type 1 diabetes mellitus** with poor compliance (leading to **diabetic ketoacidosis**) is a major risk factor for mucormycosis due to impaired immune function and acidic environment. *Cryptococcal infection* - Primarily causes **meningitis** or **pulmonary disease**, especially in immunocompromised individuals, and less commonly presents as rhinocerebral mucormycosis-like lesions. - Skin lesions can occur but are usually **papules**, **nodules**, or **ulcers**, not typically widespread necrotizing eschars of the nasal region. *Sporothricosis* - Typically presents as **subcutaneous nodules** that slowly enlarge and may ulcerate, often following trauma with contaminated plant material. - It does not usually cause the rapid, aggressive, and necrotizing sinonasal infection seen in the context of uncontrolled diabetes. *Gram negative bacterial infection* - While gram-negative bacteria can cause severe infections, they typically present with **purulent discharge**, **cellulitis**, or **abscess formation**, rather than the characteristic black necrotic eschar of mucormycosis. - Although immunosuppression increases risk, the specific clinical findings point away from a primary gram-negative bacterial infection. *Candida infection* - Commonly causes **oral thrush**, **esophagitis**, or **vaginitis**, or disseminated candidiasis in severely immunocompromised patients. - While it can cause invasive sinusitis, it rarely produces the aggressive **necrotic eschar** seen in mucormycosis, and is generally less common in this specific presentation.
Explanation: **Monomorphic, septate hyphae that branch at acute angles** - The patient's presentation with **cystic fibrosis (CF)**, recurrent respiratory symptoms, CT findings of **central bronchiectasis**, elevated **IgE**, and **eosinophilia** strongly points towards **allergic bronchopulmonary aspergillosis (ABPA)**. - *Aspergillus fumigatus*, the causative agent of ABPA, is characterized microscopically by **monomorphic, septate hyphae that branch at acute angles**. *Monomorphic, broad, nonseptate hyphae that branch at wide angles* - This describes organisms like *Rhizopus* or *Mucor*, which cause **mucormycosis**. - Mucormycosis typically affects immunocompromised individuals (e.g., diabetics, neutropenic patients) and presents as aggressive rhinocerebral or pulmonary infections, not ABPA. *Dimorphic, broad-based budding yeast* - This morphology is characteristic of *Blastomyces dermatitidis*, which causes **blastomycosis**. - Blastomycosis is an endemic fungal infection often presenting with pulmonary symptoms, but it does not cause central bronchiectasis, elevated IgE, or eosinophilia in the context of CF. *Dimorphic, cigar-shaped budding yeast* - This morphology describes *Sporothrix schenckii*, which causes **sporotrichosis**. - Sporotrichosis typically presents as a chronic ulcerative skin disease (rose gardener's disease) or, less commonly, pulmonary disease, but is not associated with ABPA. *Monomorphic, narrow budding encapsulated yeast* - This morphology is characteristic of *Cryptococcus neoformans*, which causes **cryptococcosis**. - Cryptococcosis commonly affects immunocompromised individuals, causing meningoencephalitis or pulmonary disease, but its presentation is distinct from ABPA, lacking the allergic and bronchiectatic features described.
Explanation: ***IL-4*** - **Interleukin-4 (IL-4)** is a key cytokine produced by **TH2 cells** that promotes **B-cell class switching to IgE**, central to allergic reactions. - It also stimulates the differentiation of naive T cells into **TH2 cells**, further amplifying the **allergic response**. *IL-22* - **IL-22** is primarily involved in maintaining **epithelial barrier integrity** and promoting **tissue repair**, especially in the gut and skin. - It does not play a direct role in **IgE class switching** or the pathogenesis of type I hypersensitivity. *TGF-beta* - **TGF-beta (Transforming Growth Factor-beta)** is a pleiotropic cytokine involved in **cell growth**, differentiation, apoptosis, and immune regulation, particularly promoting **Treg cell development** and IgA class switching. - It primarily suppresses rather than promotes **allergic reactions** and IgE production. *IL-17* - **IL-17** is a cytokine predominantly produced by **TH17 cells** and is crucial in protection against **extracellular bacteria and fungi**. - It is associated with **autoimmune diseases** and inflammation but not directly with IgE-mediated allergic responses. *IFN-gamma* - **Interferon-gamma (IFN-gamma)** is a critical **TH1 cytokine** that activates macrophages, enhances natural killer cell activity, and promotes the cell-mediated immune response. - It typically **inhibits TH2 responses** and IgE production, thus working against the development of allergic reactions.
Explanation: ***Phthirus pubis*** - The symptoms of **pruritus**, especially **worse at night**, and the involvement of the **genital area** are classic for **pubic lice** (P. pubis or "crabs"). - The photomicrograph of an **epilated pubic hair with attached nits** (lice eggs) or an adult louse, along with her partner's similar symptoms, confirms the diagnosis. *Pediculus humanus* - This refers to **body lice** or **head lice**. While P. humanus capitis (head lice) can cause pruritus, it typically affects the scalp and is less common in the pubic area. - **Body lice** usually inhabit clothing and only come to the skin to feed, causing generalized itching rather than specific genital pruritus with visible organisms on pubic hair. *Epidermophyton floccosum* - This is a **dermatophyte fungus** that causes **tinea cruris** (jock itch), which presents as an itchy, red, scaly rash, often with a raised border. - It would not show up as organisms on pubic hair or cause excoriations specifically due to discrete insect bites. *Enterobius vermicularis* - This is a **pinworm** that causes **perianal pruritus**, especially at night, as the female worms migrate to lay eggs. - While it causes itching in a similar area and is worse at night, it primarily affects the perianal region and is diagnosed by finding eggs via a **tape test**, not by visual inspection of pubic hair for organisms. *Sarcoptes scabiei* - This mite causes **scabies**, characterized by intense pruritus (worse at night) and a **papular rash**, often with **burrows**. - While it can affect the genital area, the characteristic finding would be burrows or a widespread rash, not visible lice or nits attached to pubic hair as the primary finding.
Explanation: ***KOH preparation of scalp scraping*** - The patient's presentation with **chronic, itchy, scaly scalp rash** (alopecia and enlarged lymph glands) and **fungal-like rash on feet** (scaling between toes, heel, and sides) strongly suggests a dermatophyte infection (**tinea capitis** and **tinea pedis**). - A **KOH preparation** allows for direct visualization of **fungal hyphae and spores**, confirming the presence of a fungal infection quickly and accurately. - This is the **most accurate rapid diagnostic test** for dermatophyte infections. *Wood's lamp* - A Wood's lamp is useful for certain types of **tinea capitis** (e.g., those caused by *Microsporum* species) that **fluoresce**, but it is not accurate for all dermatophyte infections (e.g., *Trichophyton* species do not fluoresce). - It is a screening tool but **not a definitive diagnostic test** for all fungal infections, as it doesn't confirm the presence of fungi directly. *Skin biopsy with histopathological examination* - While a **skin biopsy** can identify fungal elements on histopathology (especially with PAS stain), it is **invasive, expensive, and unnecessary** for a straightforward clinical presentation of dermatophyte infection. - Biopsy is typically reserved for cases where the diagnosis is unclear or when malignancy or other inflammatory conditions need to be ruled out. *CBC and total serum IgE* - A **CBC (complete blood count)** and **total serum IgE** would be helpful in diagnosing allergic conditions or parasitic infections, but are not direct diagnostic tools for fungal infections. - While asthma (an allergic condition) is in the patient's history, the rash description is more consistent with a **fungal etiology** rather than an allergic one alone. *Culture on Sabouraud dextrose agar* - **Fungal culture** on Sabouraud dextrose agar is a confirmatory test that identifies the specific species of dermatophyte and can guide treatment if initial therapies fail. - However, it takes **2-4 weeks** for results, making it less practical for initial diagnosis compared to a **KOH preparation**, which provides rapid results within minutes.
Explanation: ***Penetration of skin*** - The symptoms of **abdominal pain**, **bloating**, **intermittent copious non-bloody diarrhea**, and a recent **cough** are highly suggestive of a **hookworm infection**. - Hookworm larvae (filariform larvae) primarily penetrate the skin, usually through bare feet, as their mode of entry into the human host. *Insect bite* - Although some parasitic infections are transmitted by insect bites (e.g., malaria, Chagas disease), hookworms are not transmitted this way. - **Insect-borne diseases** typically present with different clinical manifestations or geographical associations. *Sexual contact* - **Sexually transmitted infections** involve direct contact of mucous membranes or body fluids during sexual activity. - Hookworm infection transmission through sexual contact is not a recognized route. *Inhalation* - **Inhalation** is a route of transmission for respiratory pathogens (e.g., influenza, tuberculosis) or certain fungal infections, but not for hookworms. - While hookworm larvae migrate through the lungs, the initial infection pathway is not via inhalation. *Animal bite* - **Animal bites** transmit diseases like rabies or certain bacterial infections, but not parasitic hookworms. - Hookworm infection does not result from direct contact with an animal's saliva or puncture wound.
Explanation: ***Babesia microti*** - The clinical picture of **headache**, **fever with chills**, **rigors**, **generalized joint pain**, and an **expanding erythematous rash (erythema migrans)** after a woodland exposure points to **Lyme disease**, caused by *Borrelia burgdorferi*. - **Both *Borrelia burgdorferi*** and ***Babesia microti*** are transmitted by the **deer tick** (*Ixodes scapularis*), making co-infection common in endemic areas. *Rickettsia rickettsii* - This pathogen causes **Rocky Mountain spotted fever**, which typically presents with a **maculopapular rash** that often becomes petechial and involves the palms and soles. - The rash in this vignette is an **expanding erythematous lesion (erythema migrans)**, characteristic of Lyme disease, not RMSF. *Rickettsia typhi* - This bacterium causes **endemic (murine) typhus**, typically transmitted by the **infected flea** (*Xenopsylla cheopis*). - Symptoms include fever, headache, and a **truncal maculopapular rash**, but it is not associated with a tick bite or erythema migrans. *Ehrlichia* - *Ehrlichia chaffeensis* causes **human monocytic ehrlichiosis**, transmitted by the **lone star tick** (*Amblyomma americanum*). - While it can cause fever, headache, and myalgia, it does not typically present with the classic **erythema migrans rash** seen in Lyme disease. *Plasmodium vivax* - This protozoan causes **malaria**, transmitted by the **Anopheles mosquito**. - Symptoms include cyclical fevers, chills, and headache but do not involve a tick bite or the characteristic **erythema migrans rash**.
Explanation: ***Negative selection*** - This patient's symptoms (chronic mucocutaneous candidiasis, autoimmune hypoparathyroidism, orthostatic hypotension, hyperpigmentation, and antibodies to 21-hydroxylase) are characteristic of **Autoimmune Polyendocrine Syndrome Type 1 (APS-1)**, which is caused by a **mutation in the AIRE gene**. - The AIRE gene is crucial for the expression of **tissue-specific self-antigens in the thymus**, which is necessary for the **negative selection** of autoreactive T cells during T-cell development. Failure of negative selection allows auto-reactive T cells to escape the thymus, leading to autoimmunity. *Inhibition of the inactivation of harmful lymphocytes by regulatory T cells* - This describes a mechanism of **peripheral tolerance**, where **regulatory T cells (Treg)** suppress self-reactive lymphocytes in the periphery. - While critical for preventing autoimmunity, the primary defect in APS-1 is central tolerance due to AIRE mutation, not a failure of Treg function. *Positive selection* - **Positive selection** occurs in the thymus and ensures that T cells can recognize **MHC molecules** (self-MHC restriction). - Failure of positive selection would lead to a lack of functional T cells, resulting in immunodeficiency, not autoimmunity. *Deletion of mature lymphocytes* - The deletion of mature lymphocytes refers to other mechanisms of **peripheral tolerance**, such as activation-induced cell death, which removes self-reactive T cells that have escaped central tolerance and become activated in the periphery. - This mechanism is distinct from the **central tolerance defect (negative selection)** caused by the AIRE gene mutation. *Anergy* - **Anergy** is a state of functional inactivation in lymphocytes that occurs when they recognize self-antigens without adequate co-stimulation. It is a mechanism of **peripheral tolerance**. - While a form of peripheral tolerance, the primary defect in APS-1 stems from a failure of **central tolerance (negative selection)**, allowing highly autoreactive T cells to mature.
Explanation: ***Obstruction of lymphatic channels*** - The patient's history of travel to **Kenya**, along with **progressive, non-pitting edema** of the entire right leg and **rough, thick, indurated skin**, strongly suggests **filariasis**, a parasitic infection that obstructs lymphatic channels. - **Obstruction of lymphatic channels** leads to **lymphedema**, which characteristically presents with the described symptoms and skin changes (e.g., **elephantiasis**). *Hypoalbuminemia* - **Hypoalbuminemia** typically causes **generalized, pitting edema** due to decreased plasma oncotic pressure, not localized, non-pitting edema in a single limb. - There are no clinical signs to suggest **hepatic** or **renal dysfunction** that would cause significant hypoalbuminemia. *Lymphatic hypoplasia* - **Lymphatic hypoplasia** (primary lymphedema) is usually congenital or develops in early life and would not typically manifest acutely after travel in a 39-year-old. - While it causes lymphedema, the travel history points to an acquired cause rather than a congenital defect. *Venous thromboembolism* - **Venous thromboembolism** (DVT) typically presents with acute onset of **painful, edematous** limb, often with **pitting edema**, and can be associated with warmth and erythema. - The **slowly progressive** nature of the swelling over 4 months and **non-pitting edema** are less consistent with acute DVT. *Persistent elevation of venous pressures* - **Persistent elevation of venous pressures** (e.g., chronic venous insufficiency) leads to **pitting edema**, skin discoloration (**hyperpigmentation**), and **ulcerations**, not the rough, thick, indurated skin seen in this case. - This condition is also typically associated with factors like prolonged standing or obesity, which are not mentioned here.
Explanation: ***Babesiosis*** - The patient's presentation with **fever, lethargy, hemolytic anemia** (low hemoglobin, elevated LDH, low haptoglobin, bilirubinemia, hemoglobinuria), **thrombocytopenia**, and **hepatosplenomegaly** is highly suggestive of babesiosis. The **peripheral blood smear showing intraerythrocytic parasites** (often described as ring forms or tetrads, "Maltese cross") is diagnostic. Living in **New Jersey** in **July** increases the likelihood of tick exposure, which transmits *Babesia microti*. - Her age (78 years old) is a risk factor for severe babesiosis, and the **anemia and thrombocytopenia** are classic findings, with the elevated total bilirubin indicating significant hemolysis. *Leishmaniasis* - While leishmaniasis (specifically visceral leishmaniasis) can cause fever, hepatosplenomegaly, anemia, and thrombocytopenia, it is endemic to different regions (e.g., Mediterranean basin, South America, Asia, Africa) and is **not typically acquired in New Jersey**. - Diagnosis is usually made by identifying **amastigotes in bone marrow, spleen, or lymph node aspirates**, not intraerythrocytic parasites on a peripheral smear. *Lyme disease* - Lyme disease, also transmitted by *Ixodes* ticks in New Jersey, typically presents with an **erythema chronicum migrans rash**, flu-like symptoms, and can lead to arthritis or cardiac/neurological manifestations. - It **does not cause intraerythrocytic parasites or severe hemolytic anemia** with the lab findings described (elevated LDH, low haptoglobin, bilirubinemia, hemoglobinuria). *Malaria* - Malaria presents with fever, chills, anemia, and hepatosplenomegaly and is diagnosed by **intraerythrocytic parasites on a peripheral blood smear**. However, the patient has **not traveled to malaria-endemic regions** and has remained in her city for several years. - While both *Babesia* and *Plasmodium* can appear as ring forms, the specific morphology (e.g., "Maltese cross" in *Babesia*) and geographic context strongly favor babesiosis in this case. *Plague* - Plague (caused by *Yersinia pestis*) typically presents as bubonic, septicemic, or pneumonic forms. **Bubonic plague** involves painful, swollen lymph nodes (buboes), which are absent in this patient. - Although it can cause fever and systemic illness, it does not lead to **intraerythrocytic parasites or significant hemolytic anemia** as seen in this patient's lab results.
Explanation: ***Aspergillus fumigatus*** - The patient's immunocompromised state due to **chemotherapy** and **total body irradiation** for lymphoma, combined with the presence of a **productive cough with hemoptysis**, pleuritic pain, and fever, is highly suggestive of an invasive fungal infection. - **Chest imaging** demonstrating nodules with surrounding ground-glass opacity (the **"halo sign"** on CT) is characteristic of **invasive aspergillosis** in immunocompromised patients, where the ground-glass attenuation represents hemorrhage around a nodular lesion. *Streptococcus pneumoniae* - While *S. pneumoniae* can cause pneumonia in immunocompromised patients, it typically presents with **lobar consolidation** on imaging, not the nodular lesions with a halo sign seen here. - **Hemoptysis**, although possible, is less common as a prominent symptom than in invasive fungal infections in this context. *Pneumocystis jiroveci pneumonia* - *Pneumocystis* pneumonia (PCP) typically presents with **diffuse interstitial infiltrates** on chest imaging, often described as ground-glass opacities, but usually lacks the focal nodular lesions or hemoptysis seen here. - PCP is more common in patients with **HIV/AIDS** or those undergoing specific immunosuppressive regimens (e.g., high-dose corticosteroids), and while possible, the imaging findings do not directly support it. *Staphylococcus aureus* - *S. aureus* pneumonia can cause **abscess formation** and **cavitary lesions**, but the imaging described (nodules with halo sign) is not typical. - While it can cause severe pneumonia in immunocompromised hosts, **hemoptysis** and the specific imaging findings align less with *S. aureus* and more with invasive mold infections. *Mycoplasma pneumonia* - *Mycoplasma pneumoniae* causes **"walking pneumonia"** and typically presents with milder symptoms and **interstitial or patchy infiltrates** on chest imaging. - Severe symptoms like **hemoptysis** and the imaging findings of nodular lesions with a halo sign are not characteristic of *Mycoplasma* infection.
Explanation: ***Aspergillus fumigatus*** - The abnormal **dihydrorhodamine (DHR) flow cytometry** test indicates **chronic granulomatous disease (CGD)**, a defect in phagocyte function. - Patients with CGD are particularly susceptible to **catalase-positive organisms**, including *Aspergillus* species, *Staphylococcus aureus*, *Serratia marcescens*, *Burkholderia cepacia*, and *Nocardia* species. *Giardia lamblia* - *Giardia lamblia* is a **protozoan parasite** causing gastrointestinal infections, and susceptibility to it is primarily linked to **IgA deficiency**, not phagocyte dysfunction. - While patients with **immunodeficiencies** can have increased risk, CGD is not specifically associated with *Giardia* infections. *Streptococcus viridans* - *Streptococcus viridans* are **catalase-negative bacteria** and cause infections typically in patients with **valvular heart disease** or those undergoing dental procedures, and are not commonly associated with CGD. - CGD patients are more prone to infections by **catalase-positive organisms**, which this bacterium is not. *Enterococcus faecalis* - *Enterococcus faecalis* is a **catalase-negative bacterium** that primarily causes **urinary tract infections** and endocarditis, particularly in hospitalized patients. - While it can cause opportunistic infections, its catalase-negative status makes it less relevant to the specific phagocytic defect in CGD. *Streptococcus pyogenes* - *Streptococcus pyogenes* is a **catalase-negative bacterium** responsible for diseases like strep throat, scarlet fever, and necrotizing fasciitis. - Susceptibility to *S. pyogenes* is generally not increased in CGD patients due to its **catalase-negative nature**, which allows phagocytes to still effectively kill it.
Explanation: ***Deposition of thread-like larvae into the skin by a female mosquito*** - The symptoms described, including progressive **nonpitting edema** (lymphedema), a history of **fever** and **lymphadenopathy** after travel to an endemic area (India), and significant **eosinophilia**, are classic for **lymphatic filariasis**. - Lymphatic filariasis, caused by filarial worms like *Wuchereria bancrofti* or *Brugia malayi*, is transmitted by **mosquitoes** that deposit infectious larvae onto the skin during a blood meal. *Penetration of the skin by hookworms in feces* - This describes the transmission of **hookworm infection**, which causes **iron deficiency anemia** and gastrointestinal symptoms, not lymphedema or high eosinophilia with nocturnal microfilaremia. - While hookworms can cause eosinophilia, the clinical presentation of chronic lymphedema and the need for a nocturnal blood smear point away from hookworm infection. *Penetration of the skin by cercariae from contaminated fresh water* - This is the transmission method for **schistosomiasis**, which can cause symptoms depending on the species and affected organs, such as **urinary tract disease**, **hepatic fibrosis**, or **intestinal inflammation**. - Schistosomiasis does not typically present with the progressive lymphedema and episodic lymphadenitis characteristic of filariasis. *Deposition of larvae into the skin by a female black fly* - This describes the transmission of **onchocerciasis** (river blindness), caused by *Onchocerca volvulus*. - Onchocerciasis primarily causes skin disease (intense **pruritus**, dermatitis) and **ocular lesions** leading to blindness, not extensive lymphedema of the limbs. *Ingestion of encysted larvae in undercooked pork* - This is the route of transmission for **trichinellosis**, caused by *Trichinella spiralis*. - Trichinellosis involves **muscle pain**, fever, and periorbital edema, but not chronic lymphedema of the extremities or the specific nocturnal periodicity for diagnosis.
Explanation: ***Oral terbinafine*** - The patient's clinical presentation with an **itchy, circular rash** and **hair loss** on the scalp, along with a **tender posterior cervical node**, is highly suggestive of **tinea capitis**. - **Oral antifungals** like terbinafine are the **first-line treatment** for tinea capitis because topical agents cannot effectively penetrate the hair shaft where the fungus resides. *Subcutaneous triamcinolone* - Triamcinolone is a **corticosteroid** and is used to treat inflammatory conditions, not fungal infections. - While it might reduce swelling or itching temporarily, it would **not eradicate the underlying fungal infection** and could potentially worsen it. *Topical betamethasone* - Betamethasone is a **topical corticosteroid** which might reduce inflammation and itchiness. - However, topical antifungals and steroids are **ineffective for tinea capitis** as they do not reach the fungal elements within the hair follicles. *Ketoconazole shampoo* - While ketoconazole is an antifungal, **shampoo formulations** are generally **not sufficient** to treat tinea capitis on their own. - They can be used as an **adjunct** to oral therapy to reduce shedding of fungal spores and prevent spread but cannot cure the infection effectively. *Oral doxycycline* - Doxycycline is an **antibiotic** primarily used to treat bacterial infections, and some inflammatory skin conditions such as acne or rosacea. - It has **no antifungal properties** and would be completely ineffective against tinea capitis.
Explanation: ***Sporotrichosis*** - The patient's history of a **thorn scratch** in a garden, followed by a **painless pink bump** that progressed to **linearly-distributed painful nodules** resembling boils and eventually **non-healing ulcers** with clear fluid drainage, is highly characteristic of **sporotrichosis** (also known as "rose gardener's disease"). This pattern is called **lymphocutaneous sporotrichosis**. - **Sporotrichosis** is caused by the fungus *Sporothrix schenckii*, which is commonly found in soil and on plants, explaining the gardener's exposure. *Cat scratch disease* - This disease is caused by *Bartonella henselae* and is typically transmitted by the scratch or bite of a cat, not a thorn. - It usually presents with a papule or pustule at the inoculum site followed by **lymphadenopathy** in the regional lymph nodes, which is distinct from the linear spread observed here. *Leishmaniasis* - Leishmaniasis is a parasitic disease transmitted by the bite of infected **sandflies**. - While it can cause skin lesions ranging from papules to ulcers, the mode of transmission and the characteristic linear spread of nodules following a thorn injury do not fit this diagnosis. *Paracoccidioidomycosis* - This is a systemic fungal infection endemic to Central and South America, not typically seen in China's Jillin Province. - It primarily affects the lungs, skin, and mucous membranes, with skin lesions often appearing as chronic, progressive ulcers but without the specific linear nodular pattern described. *Blastomycosis* - **Blastomycosis** is a fungal infection typically acquired by inhaling spores, primarily affecting the lungs, but it can disseminate to the skin, bones, and other organs. - Cutaneous lesions are usually sharply demarcated, crusted plaques or verrucous lesions, but they do not typically present with the linear, nodular, and ulcerative progression seen in this case.
Explanation: ***T cells*** - The recurrent oral **candidiasis** with **pseudohyphae** (thrush) and **onychomycosis** (thick, cracked fingernails) suggests a defect in **cell-mediated immunity**, which is primarily mediated by **T cells**. - **T cells** are crucial for controlling fungal infections, particularly *Candida* species, and their decreased activity makes individuals susceptible to **recurrent mucocutaneous candidiasis** (affecting skin, nails, and mucous membranes). *Neutrophils* - Defective **neutrophil** function would lead to **invasive or disseminated candidiasis** (bloodstream, deep tissues) rather than the chronic mucocutaneous pattern seen here. - Neutrophil defects also cause recurrent **bacterial infections**, especially from *Staphylococcus* and *Pseudomonas* species. *Complement C1–4* - Deficiencies in early **complement components** (C1-C4) are associated with an increased risk of encapsulated **bacterial infections** and **immune complex disorders** like lupus. - These deficiencies are not typically linked to recurrent fungal infections such as candidiasis. *B cells* - **B cells** are responsible for **humoral immunity** (antibody production), and their deficiency would lead to recurrent **bacterial and viral infections**, particularly those affecting the respiratory tract. - While antibodies can play a supportive role, they are not the primary defense against localized candidal infections. *Complement C5–9* - Deficiencies in late **complement components** (C5-C9), part of the **membrane attack complex (MAC)**, primarily increase susceptibility to recurrent **Neisseria** infections (*N. meningitidis* and *N. gonorrhoeae*). - These components are not directly involved in immunity against *Candida* infections.
Explanation: ***Silver stain*** - The patient's presentation with **fever, cough, dyspnea, bilateral diffuse interstitial infiltrates**, and a **CD4+ count of 145** (indicating severe immunosuppression) is highly suggestive of ***Pneumocystis jirovecii*** **pneumonia (PCP)**, formerly known as ***Pneumocystis carinii***. - ***Pneumocystis jirovecii*** **cysts** and **trophozoites** are best visualized using **silver-based stains** (e.g., Gomori methenamine silver stain) which stain the fungal cell walls dark brown or black. *Periodic acid schiff stain* - **PAS stain** is used to identify **glycogen, mucus, and fungal elements** like those of *Candida* or *Aspergillus*, by staining polysaccharides a magenta color. - While it can stain some fungal organisms, it is **not the primary or most effective stain** for *Pneumocystis jirovecii*. *Ziehl-Neelsen stain* - The **Ziehl-Neelsen stain** (also known as acid-fast stain) is used to identify **acid-fast bacilli**, such as *Mycobacterium tuberculosis* or *Nocardia*. - Although **tuberculosis** is common in HIV patients, the clinical presentation and CXR findings (diffuse interstitial infiltrates rather than cavitary lesions or granulomas) **do not strongly suggest tuberculosis** as the primary diagnosis here. *India ink stain* - The **India ink stain** is primarily used to visualize the **capsule of *Cryptococcus neoformans*** in cerebrospinal fluid or other body fluids, appearing as a halo around the yeast cells. - This patient's symptoms are respiratory, and the likely pathogen is *Pneumocystis*, making India ink stain **inappropriate** for this suspected diagnosis. *Carbol fuchsin stain* - **Carbol fuchsin stain** is a component of the **acid-fast staining** procedure (like Ziehl-Neelsen), used as the primary stain to identify acid-fast organisms. - As with Ziehl-Neelsen, this stain is for **mycobacteria** and would **not effectively visualize** ***Pneumocystis jirovecii***.
Explanation: ***Undercooked pork*** - The constellation of **hydrocephalus**, **chorioretinitis**, and **intracranial calcifications** (classic triad) in a newborn, coupled with maternal symptoms of fever and lymphadenopathy, is highly suggestive of **congenital toxoplasmosis**. - **Toxoplasmosis** is caused by the parasite *Toxoplasma gondii*, which can be acquired by consuming **undercooked meat** (especially pork and lamb) or exposure to **contaminated cat feces/litter**. - Avoiding undercooked meat during pregnancy is a key preventive measure. *Raw cow milk products* - While raw milk can transmit various infections (e.g., *Listeria*, *Brucella*, *E. coli*), it is not a typical source of **congenital toxoplasmosis**. - **Listeriosis** can cause congenital infection, but the symptoms (e.g., sepsis, granulomatosis infantiseptica) differ from those described. *Mosquito bites* - Mosquitoes are vectors for diseases like **Zika virus**, **Malaria**, and **Dengue fever**, which can affect newborns. - **Congenital Zika syndrome** can cause microcephaly, but typically not the classic triad of toxoplasmosis, and malaria presents with fever and hemolytic anemia. *Exposure to unvaccinated children* - This primarily refers to common childhood infections like **measles**, **rubella**, and **chickenpox**. - **Congenital rubella syndrome** can cause cataracts, heart defects, and sensorineural hearing loss, but not the specific triad of chorioretinitis, hydrocephalus, and intracranial calcifications. *Unprotected sexual intercourse* - This is a route for sexually transmitted infections (STIs), such as **HIV**, **syphilis**, and **gonorrhea**, which can be transmitted vertically. - **Congenital syphilis** can cause bone abnormalities, rash, and hepatosplenomegaly, but not the distinct neurological and ocular findings seen here.
Explanation: ***Reduced ergosterol content in cell membrane*** - **Nystatin** is a **polyene antifungal** that binds to **ergosterol** in the fungal cell membrane, forming pores and disrupting membrane integrity. - Reduced ergosterol content means there are fewer binding sites for nystatin, leading to **resistance** and continued fungal growth even at high drug concentrations. *Mutation of the β-glucan gene* - **β-glucan** is a component of the fungal cell wall, targeted by **echinocandins**, not nystatin. - A mutation in this gene would primarily confer resistance to echinocandins, not polyenes like nystatin. *Inactivation of cytosine permease* - **Cytosine permease** is involved in the uptake of **flucytosine**, an antimetabolite antifungal. - Inactivation of this enzyme would primarily lead to resistance against **flucytosine**, not nystatin. *Altered binding site of squalene epoxidase* - **Squalene epoxidase** is an enzyme in the ergosterol biosynthesis pathway, targeted by **allylamines** (e.g., terbinafine). - An altered binding site would confer resistance to allylamines, not nystatin, which directly targets ergosterol. *Expression of dysfunctional cytochrome P-450 enzymes* - **Cytochrome P-450 enzymes** (specifically lanosterol 14-α-demethylase) are targeted by **azoles** (e.g., fluconazole, itraconazole). - Dysfunctional enzymes would primarily lead to resistance against **azoles**, not nystatin which has a different mechanism of action.
Explanation: ***The patient is likely to have another immune impairment besides the one for which she was tested.*** - The **positive dihydrorhodamine (DHR) test** indicates that the patient's phagocytes are capable of producing an **oxidative burst**, effectively ruling out **Chronic Granulomatous Disease (CGD)**. - The **diminished myeloperoxidase (MPO) staining** suggests **Myeloperoxidase Deficiency**, which is usually asymptomatic in most patients but can predispose to recurrent Candida infections, especially in diabetics. - However, **MPO deficiency alone does not explain** the severity and frequency of this patient's recurrent **oral and vulvovaginal candidiasis** starting from age 5, suggesting an additional immune defect. - The pattern of chronic mucocutaneous candidiasis suggests a defect in **T-cell immunity** or the **CARD9 pathway**, which is crucial for antifungal responses against *Candida* species. - Therefore, the patient likely has a **combined immunodeficiency**: MPO deficiency (detected) plus another defect affecting cell-mediated immunity or antifungal responses (not yet tested for). *The patient should receive prophylactic courses of wide spectrum antibiotics to prevent infections.* - The **positive DHR test** indicates normal oxidative burst, meaning the patient is not primarily susceptible to catalase-positive bacterial infections that would require prophylactic antibiotics (unlike in CGD). - The recurrent infections are **fungal** (Candida), not bacterial, so broad-spectrum antibiotics would not be the appropriate prophylactic treatment. - Appropriate management would include **antifungal prophylaxis** (e.g., fluconazole) and further investigation for T-cell defects. *The patient's phagocytes are unable to generate an oxidative burst to kill intracellular bacteria.* - This statement is **directly contradicted** by the **positive DHR test**, which demonstrates that phagocytes *are* capable of generating an oxidative burst. - Inability to generate an oxidative burst is the hallmark of **Chronic Granulomatous Disease (CGD)**, where the DHR test would be **negative** (abnormal). - In CGD, patients present with recurrent catalase-positive bacterial infections (Staphylococcus, Serratia, Nocardia) and invasive fungal infections (Aspergillus), not primarily mucocutaneous candidiasis. *The patient is susceptible to all mycotic infections.* - While the patient has **recurrent candidiasis**, there is no evidence of susceptibility to a broad range of other fungal pathogens (e.g., Aspergillus, Cryptococcus, Histoplasma). - The specific pattern of **chronic mucocutaneous candidiasis** suggests a targeted defect in anti-Candida immunity (T-cell or CARD9 deficiency), rather than global susceptibility to all fungi. - Susceptibility to all mycotic infections would be seen in severe combined immunodeficiencies (SCID) or advanced HIV/AIDS, which would present with multiple opportunistic infections. *The patient's phagocytes can only perform extracellular killing.* - This statement is **incorrect** because phagocytes (neutrophils and macrophages) primarily perform **intracellular killing** after engulfing pathogens through phagocytosis. - The **positive DHR test** confirms intact oxidative burst, which is essential for **intracellular killing** of phagocytosed organisms. - MPO deficiency affects the efficiency of intracellular killing (as MPO enhances the microbicidal activity of hydrogen peroxide), but phagocytes still retain other intracellular killing mechanisms (lysozyme, defensins, proteases).
Explanation: ***Candida albicans*** - The image shows **germ tube formation** in *Candida albicans* when incubated at 37°C in serum, a rapid and specific identification method. - As an **opportunistic pathogen**, *Candida* is a common cause of **invasive fungal infections** in immunocompromised transplant patients, presenting with fever, chills, and confusion. - The **germ tube test** (incubation at 37°C for 2-3 hours) is highly specific for *C. albicans* identification. *Histoplasma capsulatum* - This is a **dimorphic fungus** endemic to specific geographic regions (e.g., Ohio and Mississippi River valleys), primarily causing **pulmonary infections**. - Systemic disseminated histoplasmosis can occur in immunocompromised individuals, but **germ tube formation** is not characteristic of its identification. *Aspergillus fumigatus* - *Aspergillus* is a ubiquitous mold that causes opportunistic infections, particularly in immunocompromised patients, leading to **invasive aspergillosis** (e.g., pulmonary, cerebral). - Its microscopic appearance typically shows **hyaline, septate hyphae with dichotomous branching at 45° angles**, not germ tubes. *Cryptococcus neoformans* - This yeast is known for causing **meningitis** and **pulmonary infections**, especially in immunocompromised individuals. - It is primarily identified by its **capsule** (seen with India ink stain) and characteristic budding, not germ tube production. *Malassezia furfur* - This yeast is part of the normal skin flora and is associated with **superficial infections** like **tinea versicolor** or catheter-related sepsis in patients receiving lipid emulsions. - It does not typically cause systemic infections in liver transplant patients with these symptoms and is not identified by germ tube formation.
Explanation: ***Mosquito*** - The patient's symptoms, including **chronic lymphedema** (swollen leg and scrotum with skin coarsening and fissuring, consistent with **elephantiasis**), along with the presence of **worm-like organisms (microfilariae)** in night blood samples, are characteristic of **lymphatic filariasis**. - **Mosquitoes** (e.g., *Anopheles*, *Culex*, *Aedes*) serve as the definitive vectors for the parasitic nematodes (e.g., *Wuchereria bancrofti*, *Brugia malayi*) that cause lymphatic filariasis. *Tick* - Ticks are vectors for a variety of diseases, such as **Lyme disease**, **Rocky Mountain spotted fever**, and **babesiosis**. - These diseases do not typically present with chronic lymphedema or microfilariae in the blood. *Tsetse fly* - The tsetse fly is the vector for **African trypanosomiasis** (sleeping sickness), caused by *Trypanosoma brucei*. - This disease presents with fever, headaches, joint pains, and neurological symptoms, rather than chronic lymphedema. *Human louse* - Human lice are vectors for diseases such as **epidemic typhus** (*Rickettsia prowazekii*) and **relapsing fever** (*Borrelia recurrentis*). - Lice-borne diseases do not manifest with the symptoms described in the patient. *Sandfly* - Sandflies are vectors for **leishmaniasis**, caused by *Leishmania* parasites. - Leishmaniasis can cause cutaneous, mucocutaneous, or visceral forms, which do not typically involve chronic lymphatic obstruction and microfilaremia as seen in this case.
Explanation: ***Rhabditiform larvae on stool microscopy*** - The patient's symptoms, including **abdominal pain**, **diarrhea with mucoid stools**, **itchy rash (larva currens)**, and **eosinophilia** after traveling to Indonesia, are highly suggestive of **Strongyloidiasis**. - **Rhabditiform larvae** are typically found in stool samples during the diagnostic phase of strongyloidiasis, as adult worms live in the small intestine and release these larvae. *Entamoeba histolytica antibodies on stool immunoassay* - While *Entamoeba histolytica* can cause **dysentery**, **abdominal pain**, and fever, it does not cause an **itchy migratory rash** or significant **eosinophilia**. - Diagnosis typically involves detecting **trophozoites or cysts** in stool or specific **antigen detection**, not usually antibodies in stool. *Branching septate hyphae on KOH preparation* - **Branching, septate hyphae** are characteristic of **fungal infections**, such as dermatophytosis, which primarily affect the skin. - This finding would not explain the systemic symptoms like **abdominal pain**, **diarrhea**, **fever**, and eosinophilia described in the patient. *Oocysts on acid-fast stool stain* - **Oocysts detected by acid-fast stain** are indicative of parasitic infections like **Cryptosporidiosis** or **Cyclosporiasis**, which cause **watery diarrhea** and abdominal cramps. - These infections do not typically present with the **pruritic serpiginous rash** (larva currens) or the high level of **eosinophilia** seen in this patient. *Giardia lamblia antibodies on stool immunoassay* - *Giardia lamblia* causes **giardiasis**, characterized by **diarrhea**, **abdominal cramps**, **bloating**, and **malabsorption**. - However, giardiasis typically does not cause **eosinophilia** or an **itchy migratory rash**, which are key features in this case.
Explanation: ***Hyphae*** - The patient's symptoms of **vaginal itching**, soreness, and a **white, clumpy discharge resembling cheese curds** are classic for **vulvovaginal candidiasis** (yeast infection). - A **saline wet mount** in such cases typically reveals **hyphae** and **budding yeast forms** of *Candida albicans*. *Clue cells on saline smear* - **Clue cells** are characteristic of **bacterial vaginosis**, which is typically associated with a **thin, grayish discharge** and a **fishy odor** (amine odor), neither of which are described here. - The discharge in this patient is described as **thick and non-malodorous**, which is inconsistent with bacterial vaginosis. *Gram-negative diplococci* - **Gram-negative diplococci** are the hallmark of **gonorrhea**, caused by *Neisseria gonorrhoeae*. - Gonorrhea often presents with **purulent discharge** and cervical inflammation, or it can be asymptomatic; it does not typically cause the **clumpy discharge** and intense itching seen in this patient. *Motile flagellates* - **Motile flagellates** are characteristic of **trichomoniasis**, caused by *Trichomonas vaginalis*. - This infection usually presents with a **frothy, yellow-green discharge**, a **fishy odor**, and cervical petechiae (strawberry cervix), which are not a feature of this patient's presentation. *Multinucleated giant cells* - **Multinucleated giant cells** are indicative of **herpes simplex virus (HSV) infection**, particularly when found on a **Tzanck smear** of a lesion. - While the patient has erythematous lesions, the primary complaint of **vaginal discharge** and itching points away from herpes as the main cause of the discharge.
Explanation: ### ***Rhizopus microsporus*** - The patient's presentation with **diabetes**, **periorbital swelling**, **black necrotic spot** on the nose, and confusion, along with the biopsy findings (implied to show broad, ribbon-like hyphae with infrequent septations and 90-degree branching, typical of mucormycosis), strongly points to an infection by *Rhizopus microsporus* (a genus within Mucorales). - This organism causes **mucormycosis**, an aggressive fungal infection often seen in immunocompromised individuals, especially those with **diabetic ketoacidosis (DKA)**, which creates an acidic environment favorable for *Rhizopus* growth and iron acquisition. ### *Blastomyces dermatitidis* - *Blastomyces dermatitidis* typically causes a **pulmonary infection** with extrapulmonary manifestations often affecting the skin (verrucous lesions) or bone, but it usually doesn't present with acute, rapidly progressive rhinocerebral symptoms or a black necrotic lesion. - On microscopy, *Blastomyces* appears as **large, broad-based budding yeasts**, which is distinct from the filamentous hyphae of *Rhizopus*. ### *Pseudomonas aeruginosa* - *Pseudomonas aeruginosa* is a **bacterium** that can cause severe infections, particularly in immunocompromised patients, leading to conditions like **necrotizing fasciitis** or external otitis. - While it can cause tissue necrosis and confusion, the presence of a **black necrotic spot** on the nose and the implied fungal biopsy findings (hyphae) steer away from a bacterial cause in this specific presentation. ### *Pneumocystis jirovecii* - *Pneumocystis jirovecii* causes **Pneumocystis pneumonia (PCP)**, primarily in immunocompromised individuals (e.g., HIV/AIDS, transplant recipients). - It typically manifests as **dyspnea, cough, and fever**, and rarely causes extrapulmonary disease, especially not rhinocerebral mucormycosis-like symptoms or a black necrotic spot. ### *Aspergillus fumigatus* - While *Aspergillus fumigatus* can cause severe invasive infections, including **invasive aspergillosis** in immunocompromised patients, its growth pattern on histology (hyphae with **acute angle (45-degree) branching** and septations) differs from the broad, ribbon-like, aseptate hyphae with 90-degree branching characteristic of Mucorales. - Clinical manifestations can include sinusitis and rhinocerebral involvement, but the combination of features and the implied histology pattern are more specific for mucormycosis.
Explanation: ***Onchocerciasis*** - The presentation of **pruritic rash with papules**, **subcutaneous nodules** (onchocercomas), and **visual difficulties** (river blindness) in an individual from an endemic area (Nigeria) is classic for **onchocerciasis**. - The presence of **motile microfilariae in skin snips** after saline incubation is a diagnostic hallmark of this condition, caused by *Onchocerca volvulus*. *Cysticercosis* - This condition is caused by the larval stage of *Taenia solium* and typically presents with **calcified lesions** in the muscle and brain (neurocysticercosis), which can lead to seizures. - It does not typically cause the generalized pruritic rash, subcutaneous nodules, or ocular symptoms described, nor would **motile microfilariae** be found in skin snips. *Lymphatic filariasis* - Caused by *Wuchereria bancrofti* or *Brugia malayi*, this disease is characterized by **lymphedema** and **hydrocele**, eventually leading to **elephantiasis**. - While it involves filarial worms and can cause lymphadenopathy, it does not typically manifest with the described rash, vision problems, or **subcutaneous nodules** (onchocercomas). *Cutaneous larva migrans* - This condition, caused by hookworm larvae (e.g., *Ancylostoma braziliense*), presents as a **serpiginous, intensely pruritic eruption** where the larvae migrate under the skin. - It does not cause subcutaneous nodules, generalized papular rash, or ocular involvement, and skin snips would not show **microfilariae**. *Trichuriasis* - Caused by the **whipworm** (*Trichuris trichiura*), this is an intestinal nematode infection that can lead to **abdominal pain**, **diarrhea**, **rectal prolapse**, and **anemia**. - It does not present with skin lesions, subcutaneous nodules, or visual impairment, and diagnosis is typically made by finding **ova in stool samples**, not microfilariae in skin snips.
Explanation: ***Trematode from undercooked fish*** - The patient's symptoms (fever, RUQ pain, weight loss, jaundice, hepatomegaly, elevated **AFP**, and normal CA 19-9) point strongly towards **hepatocellular carcinoma (HCC)**. - The history of emigration from Malaysia and the elevated **alpha-fetoprotein (AFP)** despite negative hepatitis B antigen, suggest a parasitic infection, specifically a liver fluke (trematode), as a risk factor for HCC. **Clonorchis sinensis** and **Opisthorchis viverrini** are trematodes acquired from undercooked freshwater fish, endemic to Southeast Asia, and are known to cause cholangiocarcinoma and, less commonly, HCC. *Naked DNA virus* - This typically refers to viruses like **human papillomavirus (HPV)** or **adenovirus**, which are not primary causes of the described liver pathology or HCC with this specific presentation. - While some naked DNA viruses can cause human disease, they are not typically linked to the patient's specific symptoms and lab findings (elevated AFP) in the context of liver cancer from a Southeast Asian background. *Enveloped DNA virus* - This category includes viruses like **Herpesviruses** and **Hepatitis B virus (HBV)**. While HBV is a major cause of HCC, the patient's hepatitis B surface antigen is negative, ruling out active or chronic HBV infection as the direct cause in this case. - Other enveloped DNA viruses do not commonly cause this specific cluster of symptoms and risk factors for HCC. *Curved gram-negative bacteria* - This description often refers to bacteria like **Campylobacter** or **Helicobacter pylori**. These can cause gastrointestinal issues but are not typically associated with liver masses, jaundice, and elevated AFP in the context of HCC. - They do not explain the patient's risk factors or presentation that strongly suggests chronic liver inflammation leading to cancer. *Acute angle branching fungus* - This refers to fungi like **Aspergillus**, which can cause invasive infections, particularly in immunocompromised individuals. - While Aspergillus can cause pulmonary infections and, less commonly, disseminate to other organs including the liver, it does not typically present with the described risk factors (Southeast Asian origin, undercooked fish consumption) or lab findings (elevated AFP) for HCC, nor does it fit the general clinical picture.
Explanation: ***Echinococcus granulosus*** - The patient's history of working with **livestock** and dogs, combined with **abdominal pain**, **eosinophilia**, and characteristic **eggshell calcifications** in the liver on CT, is highly suggestive of **hydatid disease** caused by *Echinococcus granulosus*. - This parasite's larval stage forms **hydatid cysts** primarily affecting the liver and lungs, which can grow slowly and cause symptoms as they expand. *Enterobius vermicularis* - This parasite causes **pinworm infection**, primarily manifesting as **perianal itching**, especially at night. - It does not typically cause abdominal distension, liver cysts, or eosinophilia to this extent, and is diagnosed via the **scotch tape test**. *Necator americanus* - This is a type of **hookworm** that primarily causes **iron deficiency anemia** due to chronic blood loss in the GI tract. - Symptoms include fatigue, weakness, and pallor, but not liver cysts with eggshell calcifications or significant abdominal distension as described. *Taenia solium* - **Pork tapeworm** infection can cause **cysticercosis** if humans ingest the eggs, leading to cysts in muscles, subcutaneous tissue, and the brain (neurocysticercosis). - While it can cause cysts, the classic "eggshell calcifications" in the liver are not typical for *Taenia solium* infection, and the symptoms described fit *Echinococcus* better. *Taenia saginata* - This is the **beef tapeworm**, which causes relatively mild symptoms in humans, often limited to mild abdominal discomfort or passage of proglottids in stool. - It does not cause tissue cysts like those seen in cysticercosis from *T. solium* or hydatid cysts from *Echinococcus*.
Explanation: **Spherules filled with endospores** - The patient's symptoms (fever, joint pain, dry cough, chest pain, erythema nodosum on legs) combined with her travel history to **Southern California** are highly suggestive of **Coccidioidomycosis** ("Valley Fever"). - A biopsy of affected lung tissue in coccidioidomycosis typically reveals **spherules** (thick-walled structures) containing numerous **endospores**, which are characteristic of the tissue phase of *Coccidioides immitis/posadasii*. *Septate hyphae with acute-angle branching* - This morphology is characteristic of **Aspergillus** species, which can cause opportunistic infections, especially in immunocompromised individuals. - While it can cause lung infections, the clinical presentation and geographic exposure do not point towards aspergillosis as the most likely diagnosis. *Broad-based budding yeast* - This describes the characteristic morphology of *Blastomyces dermatitidis*, the causative agent of **Blastomycosis**. - **Blastomycosis** is typically found in the Great Lakes region, Ohio, Mississippi River valleys, and southeastern United States, not Southern California. *Encapsulated yeast with narrow-based budding* - This describes **Cryptococcus neoformans**, which appears as an encapsulated yeast with narrow-based budding in tissue. - While it can cause pulmonary disease, the classic presentation (erythema nodosum, acute illness after Southern California exposure) is not consistent with **cryptococcosis**, which typically presents subacutely in immunocompromised patients. *Oval, budding yeast with pseudohyphae* - This morphology is characteristic of *Candida albicans*, which commonly causes mucocutaneous infections and can cause systemic candidiasis, particularly in immunocompromised patients. - The clinical picture of a healthy young woman with exposure in Southern California does not fit with a typical **Candida** infection.
Explanation: **Cutaneous larva migrans** - This patient's history of travel to Nigeria, working on a fishing trawler (exposure to contaminated soil/sand), and a **serpiginous, intensely pruritic rash** on his lower extremity is highly consistent with **cutaneous larva migrans**. - The rash is caused by the migration of **hookworm larvae** (commonly *Ancylostoma braziliense*) under the skin, forming characteristic winding tracks. *Superficial thrombophlebitis* - While it can cause rash and pain, **superficial thrombophlebitis** typically presents as a red, tender, palpable cord along a superficial vein and usually does not migrate in a serpiginous pattern. - It is often associated with venous stasis, trauma, or hypercoagulable states, which are not explicitly highlighted as primary features here. *Swimmer's itch* - **Swimmer's itch** (cercarial dermatitis) is caused by schistosome parasites from freshwater snails and results in itchy papules or pustules, typically after swimming. - The rash is usually more widespread, not a single migrating lesion, and the patient's exposure was likely related to contaminated soil, not freshwater swimming. *Contact dermatitis* - **Contact dermatitis** is an inflammatory skin reaction to an allergen or irritant, typically presenting as erythema, vesicles, and pruritus. - It usually has a more defined or localized pattern corresponding to the area of contact with the offending agent, rather than a migratory, linear track. *Tinea* - **Tinea** (dermatophytosis) is a fungal infection that typically causes an annular (ring-shaped) lesion with central clearing and a scaly, erythematous border. - While itchy, its morphology and migratory pattern do not match the description of this patient's rash.
Explanation: ***Collecting water from a stream, without boiling or chemical treatment*** - The patient's symptoms of **greasy, foul-smelling diarrhea**, flatulence, and nausea following a camping trip are highly suggestive of **giardiasis**. - **Giardiasis** is commonly acquired through the consumption of untreated **contaminated water**, often from streams or lakes in wilderness areas. *The patient camped as a side excursion from a cruise ship.* - While cruise ships can be sources of infectious outbreaks, the specific symptoms of **greasy, foul-smelling diarrhea** are less typical for common cruise-associated infections. - Furthermore, cruise-related illnesses are usually associated with cruise ship facilities rather than **wilderness camping** directly. *The patient camped in Mexico.* - Traveling to Mexico is a risk factor for **traveler's diarrhea**, often caused by bacterial pathogens like ***E. coli***. - However, typical traveler's diarrhea tends to be watery, occasionally bloody, and often presents with fever, which is not consistent with the patient's symptoms of **greasy, foul-smelling diarrhea** and absence of fever. *This has been going on for months.* - The symptoms are described as **new** and have developed over the past 5 days following a recent camping trip, indicating an **acute onset**, not a chronic condition. - Chronic diarrhea lasting for months would point towards other persistent or long-term gastrointestinal issues, not an acute infection from a recent exposure. *Recent antibiotic prescription* - Recent antibiotic use can lead to **antibiotic-associated diarrhea**, most notably ***Clostridioides difficile*** infection. - However, this patient has no history of recent antibiotic prescription, and the specific symptom of **greasy, foul-smelling diarrhea** is not characteristic of *C. difficile* infection.
Explanation: ***Histoplasma capsulatum*** - The patient's presentation with **fever, fatigue, dry cough, headache, myalgia, respiratory symptoms (bilateral rales), hepatosplenomegaly**, and **painful oral ulcerative lesions** in an **immunocompromised individual (kidney transplant recipient)** is highly suggestive of **disseminated histoplasmosis**. - The photomicrograph shows numerous **small, intracellular yeast forms within macrophages**, which is the pathognomonic finding for *Histoplasma capsulatum*. - *Histoplasma* is endemic to the Ohio and Mississippi River valleys and commonly causes disseminated disease in immunocompromised patients. *Aspergillus fumigatus* - *Aspergillus* typically causes invasive pulmonary aspergillosis in immunocompromised patients, presenting with **fever and cough**, but generally does not cause **oral ulcerative lesions** or **hepatosplenomegaly** in this disseminated pattern. - Microscopically, *Aspergillus* appears as **septate hyphae with acute-angle branching (45°)**, which is inconsistent with the intracellular yeasts in the image provided. *Blastomyces dermatitidis* - *Blastomyces* can cause pulmonary disease and disseminate to the **skin and bones**, but **oral lesions** and **hepatosplenomegaly** are less common presenting features. - The yeast forms of *Blastomyces* are characteristically **large (8-15 μm), broad-based budding yeasts**, which are much larger than the small organisms seen in the photomicrograph. *Coccidioides immitis* - *Coccidioidomycosis* is endemic to the southwestern U.S. and can cause pulmonary symptoms, but disseminated disease typically involves the **skin, bones, joints, and meninges**, with **oral lesions and hepatosplenomegaly** being less frequent manifestations. - Microscopically, *Coccidioides* is characterized by **large spherules (20-80 μm) containing endospores**, which are not seen in the provided image showing small intracellular organisms. *Paracoccidioides brasiliensis* - This fungus is endemic to Central and South America and can cause oral lesions that are typically **mulberry-like** or **verrucous** in appearance, with disseminated disease often affecting the lungs, lymph nodes, and mucosal surfaces. - Microscopic examination reveals **multiple budding yeasts** with a characteristic **"ship's wheel" or "pilot's wheel" appearance**, which differs significantly from the small intracellular yeasts within macrophages shown in the image.
Explanation: ***Exposure to bat droppings*** - The clinical presentation, including fever, cough, chest pain, **hilar lymphadenopathy**, **nodules with central calcifications**, and **intracellular encapsulated yeasts** in macrophages, is classic for **histoplasmosis**. - **Histoplasma capsulatum** is endemic to the Ohio and Mississippi River valleys and is transmitted through inhalation of spores from soil contaminated with **bat or bird droppings**. *Visit to Arizona desert* - Exposure in the **Arizona desert** is associated with **coccidioidomycosis** (Valley Fever), which presents with similar pulmonary symptoms but is caused by Coccidioides immitis/posadasii, characterized by **spherules** containing endospores. - While it can cause hilar lymphadenopathy and nodules, the characteristic intracellular budding yeasts within macrophages and the polysaccharide antigen in urine point away from coccidioidomycosis. *Recent trip to Brazil* - A trip to **Brazil** might suggest diseases like **Paracoccidioidomycosis**, which presents with chronic mucocutaneous or disseminated lesions, or various tropical infections, but is not typically characterized by the specific pulmonary and microscopic findings described here. - The histopathological findings of **intracellular yeasts with pericellular halos** (consistent with Histoplasma) would not be the primary finding for paracoccidioidomycosis, which generally shows characteristic **"pilot wheel"** or multiple budding yeasts. *Previous mycobacterial infection* - A previous **mycobacterial infection** would lead to tuberculosis, characterized by **acid-fast bacilli** and granulomas with **caseating necrosis**, which is different from the described intracellular yeasts and polysaccharide antigen. - While tuberculosis can cause hilar lymphadenopathy and pulmonary nodules, the given microscopic description of cells with basophilic nuclei and pericellular halos within macrophages does not fit Mycobacterium tuberculosis. *Treatment with inhaled glucocorticoids* - Inhaled glucocorticoids are used to treat conditions like asthma or COPD and, while prolonged use can rarely predispose to **opportunistic fungal infections** (e.g., aspergillosis, candidiasis), they are not a cause of this specific clinical presentation or the microbiological findings of histoplasmosis. - The use of inhaled steroids would not explain the geographic exposure, hilar lymphadenopathy, or the specific appearance of the fungal elements within macrophages described.
Explanation: ***Increased growth of Malassezia globosa*** - The description of **nontender, round, white macules** with fine scaling when scraped (the **"tinea-like" appearance**), especially on the chest and trunk of an adolescent, is characteristic of **tinea versicolor**. - **Tinea versicolor** is caused by the overgrowth of the yeast **Malassezia globosa**, which inhibits melanin production in the skin, leading to hypopigmented lesions. *Autoimmune destruction of melanocytes* - This mechanism describes **vitiligo**, which presents as well-demarcated, completely depigmented patches, often with a **perioral** or **acral distribution**. - Unlike tinea versicolor, vitiligo lesions are typically **smooth** and lack the characteristic fine scaling, nor are they typically caused by a fungal infection. *Increased sebum production* - **Increased sebum production** is a primary factor in the pathogenesis of **acne vulgaris** and **seborrheic dermatitis**. - Acne would present with **papules, pustules, comedones**, and potentially cysts, while seborrheic dermatitis would involve **erythema** and **greasy scales** in sebaceous areas, neither of which matches the patient's presentation. *Antigen uptake by Langerhans cells* - **Antigen uptake by Langerhans cells** is a key process in initiating **contact dermatitis** or other immunologically mediated skin reactions, such as **allergic reactions**. - Contact dermatitis would typically present with **intensely pruritic, erythematous, vesicular**, or **bullous lesions** in areas of contact with an allergen, which is not consistent with the patient's hypopigmented, non-pruritic macules. *Exposure to human herpes virus 7* - **Human herpesvirus 7 (HHV-7)** is primarily associated with **pityriasis rosea**, which typically presents as an initial **"herald patch"** followed by smaller, oval, erythematous, scaly patches arranged in a Christmas tree pattern on the trunk. - This presentation differs significantly from the described hypopigmented macules with fine scaling observed in the patient.
Explanation: ***Cooking meat to 71°C (160°F)*** - This patient's symptoms (fever, **periorbital edema**, **severe myalgia**, **eosinophilia**, elevated CK) after a hunting trip to eastern Europe are highly suggestive of **Trichinellosis**, caused by consuming undercooked meat infected with *Trichinella* larvae. - **Thoroughly cooking meat** (especially wild game or pork) to an internal temperature of 71°C (160°F) is a primary preventative measure against *Trichinella* infection, as it kills the larvae. *Consume pasteurized dairy products* - Consuming pasteurized dairy products prevents infections such as **brucellosis** or **listeriosis**. - These infections typically present with different clinical features, and their transmission is not associated with hunting wild game in Eastern Europe in the context of the patient's symptoms. *Clean drinking water* - Access to clean drinking water is crucial for preventing waterborne diseases like **giardiasis**, **cholera**, or **typhoid fever**. - While the patient had diarrhea, the subsequent systemic symptoms with muscle involvement and eosinophilia point away from typical waterborne illnesses as the primary cause of his current condition. *Metronidazole at the onset of diarrhea* - **Metronidazole** is an antibiotic used to treat parasitic infections like **Giardia** or bacterial infections such as those caused by *Clostridium difficile*. - Treating diarrhea with metronidazole, even if effective for the initial gastrointestinal issue, would not prevent a subsequent *Trichinella* infection which is acquired through undercooked meat. *Influenza vaccine* - The **influenza vaccine** protects against the **influenza virus**, which causes respiratory symptoms, fever, and generalized myalgia. - However, the absence of prominent respiratory symptoms, the presence of marked eosinophilia, periorbital edema, and the history of recent exposure to wild game make influenza an unlikely diagnosis.
Explanation: ***CSF India ink stain shows encapsulated yeast cells*** - The patient's presentation with **subacute meningitis symptoms** (headache, confusion, low-grade fever) in the setting of **untreated HIV infection** with a low CD4+ count (250/mm3) strongly suggests an opportunistic infection. - The CSF findings of **elevated opening pressure**, **low glucose**, **high protein**, and **moderate pleocytosis** are classic for **cryptococcal meningitis**, for which the India ink stain is diagnostic for encapsulated yeast cells. *Gram-positive diplococci are present on microscopy* - This finding suggests **bacterial meningitis**, specifically caused by organisms like *Streptococcus pneumoniae*. - While bacterial meningitis presents acutely with severe symptoms, the **subacute course** and moderate pleocytosis are less typical, and the patient's immune status points towards an opportunistic infection. *CSF shows a positive acid-fast bacillus stain* - A positive **acid-fast bacillus (AFB) stain** in CSF would indicate **tuberculous meningitis**. - While tuberculous meningitis can present subacutely with similar CSF findings in HIV patients, it typically involves a more significant lymphocytic pleocytosis and a more pronounced chronic course than suggested by the acute worsening. *Multiple ring-enhancing lesions are seen on a CT scan* - **Multiple ring-enhancing lesions** on CT or MRI are characteristic of **Toxoplasma encephalopathy** or **CNS lymphoma** in HIV-positive patients. - While these are common HIV-related CNS complications, the patient's primary presentation points to **meningitis** (inflammation of meninges with CSF abnormalities) rather than focal brain lesions without meningeal involvement. *CSF shows gram negative diplococci* - **Gram-negative diplococci** in CSF suggest **meningococcal meningitis** (*Neisseria meningitidis*). - This typically presents as an **acute, severe bacterial meningitis** with rapid deterioration, usually in immunocompetent individuals or specific outbreaks, which doesn't align with the subacute onset and specific CSF profile for cryptococcus.
Explanation: ***Hydrocephalus, chorioretinitis, intracranial calcifications*** - These are the classic triad of symptoms (known as the **Sabin triad**) often associated with **congenital toxoplasmosis**. - **Hydrocephalus** results from obstruction of cerebrospinal fluid flow, **chorioretinitis** can lead to vision loss, and **intracranial calcifications** are a hallmark of the infection's impact on the brain. *Hutchinson’s teeth, saddle nose, short maxilla* - These are characteristic features of **congenital syphilis**, not *Toxoplasma gondii* infection. - **Hutchinson's triad** includes Hutchinson's teeth, interstitial keratitis, and sensorineural hearing loss in congenital syphilis. *Deafness, seizures, petechial rash* - While seizures can occur with severe congenital infections, this combination is more suggestive of **cytomegalovirus (CMV)** infection or **rubella**, which can cause petechial rash (blueberry muffin baby) and profound sensorineural deafness. - *Toxoplasma gondii* does not typically cause a petechial rash as a primary symptom. *Patent ductus arteriosus, cataracts, deafness* - This constellation of symptoms is highly characteristic of **congenital rubella syndrome**. - **Cardiac defects** (like patent ductus arteriosus), **ocular abnormalities** (cataracts), and **sensorineural deafness** are classical signs of rubella. *Temporal encephalitis, vesicular lesions* - **Temporal encephalitis** with vesicular lesions, particularly in a neonatal context, is a classic presentation of **congenital herpes simplex virus (HSV) infection**. - *Toxoplasma gondii* can cause encephalitis, but not typically with vesicular lesions or a primary predilection for the temporal lobe in this specific clinical presentation.
Explanation: ***Antibody-dependent cell-mediated cytotoxicity*** - The patient's symptoms (fever, muscle pain, periorbital edema, eosinophilia) after consuming undercooked bear meat are highly suggestive of **trichinellosis**, a parasitic infection. - **Eosinophils** are crucial in the immune response against parasites. They release cytotoxic substances like **major basic protein** through antibody-dependent cell-mediated cytotoxicity (ADCC), where antibodies (IgE or IgG) bind to the parasite, and eosinophils then bind to the Fc region of these antibodies to mediate parasite killing. *Increased expression of MHC class II molecules* - **MHC class II molecules** are primarily expressed on antigen-presenting cells (APCs) and are involved in presenting extracellular antigens to **CD4+ T cells**, initiating a helper T cell response. - While important for activating the immune system, increased MHC class II expression doesn't directly explain the release of major basic protein by eosinophils in response to parasitic infection. *Interaction between Th1 cells and macrophages* - **Th1 cells** primarily activate **macrophages** to kill intracellular pathogens and are involved in cell-mediated immunity. - This pathway is less prominent in directly killing large extracellular parasites like *Trichinella*, where eosinophil-mediated ADCC is key. *Increased expression of MHC class I molecules* - **MHC class I molecules** are expressed on almost all nucleated cells and present endogenous antigens to **CD8+ cytotoxic T cells**, primarily targeting intracellular viral infections and tumor cells. - This mechanism is not directly involved in the eosinophil effector function against extracellular parasitic infections. *Immune complex-dependent complement activation* - **Immune complexes** (antigen-antibody complexes) can activate the complement system, leading to immune complex-mediated tissue damage or pathogen clearance. - While complement can be involved in parasitic infections, it does not directly lead to the release of **major basic protein** by eosinophils, which is a specific cytotoxic mechanism.
Explanation: ***Malassezia yeast*** - The presence of **long-standing hypopigmented macules** on the trunk that **do not tan with sun exposure** is highly characteristic of **tinea versicolor**, caused by *Malassezia* yeast. - *Malassezia* produces **azelaic acid**, which inhibits melanin synthesis in melanocytes, leading to the characteristic hypopigmentation. *Cutaneous T cell lymphoma* - This typically presents as **erythematous patches or plaques** (mycosis fungoides) and would not primarily cause uniform hypopigmented macules that are exacerbated by sun exposure in this manner. - While hypopigmented mycosis fungoides exists, it is rare and usually associated with other skin and systemic symptoms not described here. *Post-viral immunologic reaction* - A post-viral reaction might cause a rash, but it is unlikely to result in **chronic, localized hypopigmented macules** that specifically fail to tan. - Such reactions are usually more generalized, self-limiting, or present with other characteristic features like pityriasis rosea. *Treponema pallidum infection* - **Syphilis** can cause a wide variety of skin manifestations, but hypopigmented macules on the trunk are not a typical presentation, especially without other signs of primary or secondary syphilis, and lesions would also appear on palms and soles. - **Hyperpigmented macules** (syphilitic leukoderma) can rarely occur, but typically appear on the neck ("collar of Venus"). *TYR gene dysfunction in melanocytes* - **TYR gene dysfunction** refers to mutations affecting **tyrosinase**, an enzyme crucial for melanin production. This is the underlying cause for **oculocutaneous albinism**, a condition characterized by widespread *congenital* hypopigmentation or amelanosis affecting skin, hair, and eyes. - This patient's rash is described as "light-colored," "present for 2 years," and a late-onset issue, not a generalized congenital lack of pigmentation, making albinism unlikely.
Explanation: ***KOH preparation*** - A **KOH (potassium hydroxide) preparation** is the most appropriate initial diagnostic test for suspected **dermatophytosis** (ringworm), a common fungal infection often seen in wrestlers due to skin-to-skin contact. - The KOH dissolves keratin and cellular debris, allowing for easier visualization of **fungal hyphae** and **spores** under a microscope, confirming the diagnosis. *Eaton agar* - **Eaton agar** is a specialized culture medium used for isolating and growing **Mycoplasma pneumoniae**, a bacterium that causes respiratory infections. - It is not used for diagnosing fungal skin infections. *Wood’s lamp examination* - A **Wood's lamp examination** uses ultraviolet light to detect certain dermatophytes (like *Microsporum canis*), which may fluoresce - However, many common dermatophytes, such as *Trichophyton rubrum*, do not fluoresce, making KOH preparation a more universally effective initial diagnostic tool. *Thayer-Martin agar* - **Thayer-Martin agar** is a selective culture medium primarily used for isolating and growing **Neisseria gonorrhoeae** and **Neisseria meningitidis**, bacteria responsible for sexually transmitted infections and meningitis, respectively. - It is not indicated for diagnosing fungal skin infections. *Sabouraud agar* - **Sabouraud agar** is a recognized culture medium specifically designed for the isolation and identification of **fungi**, including dermatophytes. - While useful for confirmation and species identification, a **KOH preparation** is a quicker and more immediate diagnostic test to confirm the presence of fungal elements in the clinic.
Explanation: ***Defects in the immune response*** - The patient's history of **long-standing severe persistent asthma** and **oral prednisone** use indicates an underlying altered immune status, making him susceptible to invasive fungal infections. - The biopsy demonstrating **fungal vascular invasion** and the identification of *Aspergillus fumigatus* in a patient with immune compromise is characteristic of **invasive aspergillosis**. *The production of a superantigen by *Aspergillus fumigatus*** - While some microorganisms produce superantigens, this mechanism is primarily associated with **bacterial toxins** (e.g., *Staphylococcus aureus*, *Streptococcus pyogenes*) causing widespread immune activation. - **Invasive fungal infections** like aspergillosis are not typically characterized by superantigen production. *Suppression of the innate immune system by *Aspergillus fumigatus*** - *Aspergillus fumigatus* itself does not directly suppress the innate immune system in a way that leads to invasive disease in an otherwise healthy individual. - The host's **pre-existing immunosuppression** (e.g., from corticosteroids, chronic disease) is the primary factor allowing for fungal proliferation and invasion. *Aspergillus fumigatus suppresses the production of IgA* - **IgA** is primarily involved in mucosal immunity, and its suppression is not the main mechanism enabling **invasive aspergillosis**. - No evidence suggests *Aspergillus* directly suppresses IgA production to facilitate vascular invasion. *Aspergillus fumigatus suppresses the production of IgM* - **IgM** is an early antibody in the humoral immune response, important for fighting acute infections. - Suppression of IgM by *Aspergillus fumigatus* is not a recognized mechanism for the development of **invasive fungal disease**.
Explanation: ***Spelunking*** - This patient's symptoms (fever, disorientation, agitation, difficulty breathing with oral secretions, muscle twitching, and **hydrophobia**) are highly suggestive of **rabies**. Exposure to bats in caves (**spelunking**) is a common source of rabies infection. - **Rabies** is a viral zoonotic disease that causes progressive and fatal encephalitis. The characteristic neurological symptoms, including hydrophobia (fear response to airflow/water), and rapid progression are pathognomonic for rabies. *Contaminated beef* - **Contaminated beef** is associated with foodborne illnesses like E. coli O157:H7 or prion diseases (variant Creutzfeldt-Jakob disease). - These conditions do not typically present with the acute, severe neurological symptoms, hydrophobia, and respiratory distress seen in this patient. *Epiglottic cyst* - An **epiglottic cyst** can cause airway obstruction, leading to difficulty breathing, stridor, and dysphagia. - However, it does not explain the systemic symptoms like fever, disorientation, agitation, muscle twitching, or the hydrophobia when attempting nasal cannula placement, which are classic signs of rabies encephalitis. *Influenza vaccination* - **Influenza vaccination** is generally safe; side effects are usually mild and include soreness at the injection site, low-grade fever, and muscle aches. - It is not a risk factor for a severe, rapidly progressive neurological illness like rabies. *Mosquito bite* - **Mosquito bites** can transmit various arboviruses causing encephalitis (e.g., West Nile virus, Eastern equine encephalitis). - While arboviruses can cause encephalitis with fever and neurological symptoms, the prominent **hydrophobia** and copious oral secretions are pathognomonic for rabies rather than typical arboviral encephalitides.
Candida species
Practice Questions
Aspergillus species
Practice Questions
Cryptococcus neoformans/gattii
Practice Questions
Pneumocystis jirovecii
Practice Questions
Mucormycoses
Practice Questions
Dermatophytes
Practice Questions
Antifungal agents
Practice Questions
Opportunistic fungal infections
Practice Questions
Parasitic life cycles
Practice Questions
Soil-transmitted helminths
Practice Questions
Filarial nematodes
Practice Questions
Schistosomiasis
Practice Questions
Echinococci and other tissue helminths
Practice Questions
Get full access to all questions, explanations, and performance tracking.
Start For Free