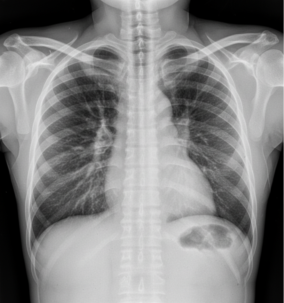
A patient presents with acute epigastric pain and an increase in serum lipase. Several days after stabilization, a chest X-ray shows bilateral diffuse infiltrates. What is the most common pathology explaining the chest X-ray findings?

A 48-year old man comes to the physician for the evaluation of an 8-month history of fatigue and profuse, watery diarrhea. He reports that he has had a 10.5-kg (23-lb) weight loss during this time. Physical examination shows conjunctival pallor and poor skin turgor. Laboratory studies show: Hemoglobin 9.8 g/dl Serum Glucose (fasting) 130 mg/dl K+ 2.5 mEq/L Ca2+ 12 mg/dl A CT scan of the abdomen with contrast shows a 3.0 × 3.2 × 4.4 cm, well-defined, enhancing lesion in the pancreatic tail. Further evaluation of this patient is most likely to show which of the following findings?
A 57-year-old man is admitted to the ER due to an abrupt onset of abdominal pain that radiates to the back, nausea, and multiple vomiting episodes for the past 10 hours. He does not have any significant past medical history. He admits to drinking alcohol every night. During admission, he is found to have a body temperature of 37.5°C (99.5°F), a respiratory rate of 20/min, a pulse of 120/min, and a blood pressure of 120/76 mm Hg. He looks pale with sunken eyes and has significant epigastric tenderness and flank discoloration. An initial laboratory panel shows the following: Total count (WBC) 10,000/mm3 Platelet count 140,000/mm3 Serum glucose 160 mg/dL Serum LDH 500 IU/L Aspartate aminotransferase 400 IU/dL Serum Amylase 500 IU/L Serum Lipase 300 IU/L Which of the following combinations would best predict severity in this case?
An 82-year-old woman presents with 2 months of foul-smelling, greasy diarrhea. She says that she also has felt very tired recently and has had some associated bloating and flatus. She denies any recent abdominal pain, nausea, melena, hematochezia, or vomiting. She also denies any history of recent travel and states that her home has city water. Which of the following tests would be most appropriate to initially work up the most likely diagnosis in this patient?
A 52-year-old woman presents to the urgent care center with several hours of worsening abdominal discomfort with radiation to the back. The patient also complains of malaise, chills, nausea, and vomiting. Social history is notable for alcoholism. On physical exam, she is febrile to 39.5°C (103.1°F), and she is diffusely tender to abdominal palpation. Complete blood count is notable for 13,500 white blood cells, bilirubin 2.1, lipase 842, and amylase 3,210. Given the following options, what is the most likely diagnosis?
A 42-year-old man comes to the physician because of severe epigastric pain for a week. The pain is constant and he describes it as 6 out of 10 in intensity. The pain radiates to his back and is worse after meals. He has had several episodes of nausea and vomiting during this period. He has taken ibuprofen for multiple similar episodes of pain during the past 6 months. He also has had a 5.4-kg (12-lb) weight loss over the past 4 months. He has a 12-year history of drinking 3 to 4 pints of rum daily. He has been hospitalized three times for severe abdominal pain in the past 3 years. He appears ill. His temperature is 37°C (98.6°F), pulse is 87/min, and blood pressure is 110/70 mm Hg. There is severe epigastric tenderness to palpation. Bowel sounds are normal. Cardiopulmonary examination shows no abnormalities. Laboratory studies show: Hemoglobin 13.6 g/dL Leukocyte count 7,800/mm3 Serum Glucose 106 mg/dL Creatinine 1.1 mg/dL Amylase 150 U/L A CT of the abdomen is shown. Which of the following is the most appropriate long-term management for this patient?

A 59-year-old man presents to the emergency department with diffuse abdominal pain, nausea, and vomiting. Laboratory evaluation on admission is significant for serum glucose of 241 mg/dL, AST of 321 IU/L, and leukocytes of 21,200/μL. Within 3 days of admission with supportive care in the intensive care unit, the patient's clinical condition begins to improve. Based on Ranson's criteria, what is this patient's overall risk of mortality, assuming all other relevant factors are negative?
A 62-year-old Caucasian man visits his primary care provider with recurrent episodes of moderate to severe abdominal pain, nausea, and anorexia for the past 2 years. Additional complaints include constipation, steatorrhea, weight loss, polyphagia, and polyuria. His personal history is relevant for a 2-year period of homelessness when the patient was 55 years old, cigarette smoking since the age of 20, alcohol abuse, and cocaine abuse for which is currently under the supervision of a psychiatry team. He has a pulse of 70/min, a respiratory rate of 16/min, a blood pressure of 130/70 mm Hg, and a body temperature of 36.4°C (97.5°F). His height is 178 cm (5 ft 10 in) and weight is 90 kg (198 lb). On physical examination, he is found to have telangiectasias over the anterior chest, mild epigastric tenderness, and a small nodular liver. Laboratory test results from his previous visit a month ago are shown below: Fasting plasma glucose 160 mg/dL HbA1c 8% Serum triglycerides 145 mg/dL Total cholesterol 250 mg/dL Total bilirubin 0.8 mg/dL Direct bilirubin 0.2 mg/dL Amylase 180 IU/L Lipase 50 IU/L Stool negative for blood; low elastase This patient’s condition is most likely secondary to which of the following conditions?
A 37-year-old man presents to the emergency department with rapid onset epigastric pain that started 4 hours ago. He describes the pain as severe, localized to the epigastric region and radiating to the back, which is partially relieved by leaning forward. He admits to binge drinking this evening at a friend’s party. He is nauseated but denies vomiting. Vital signs include: blood pressure 90/60 mm Hg, pulse 110/min, temperature 37.2°C (99.0°F), and respiratory rate 16/min. Physical examination shows tenderness to palpation over the epigastric region with no rebound or guarding. The bowel sounds are decreased on auscultation. The laboratory findings are significant for the following: Laboratory test Leukocyte Count 18,000/mm³ Neutrophils 81% Serum amylase 416 U/L Serum lipase 520 U/L Which of the following would be the most helpful in determining the prognosis in this case?
A 57-year-old man presents to the emergency department because he has been having abdominal pain for the past several months. Specifically, he complains of severe epigastric pain after eating that is sometimes accompanied by diarrhea. He has also lost 20 pounds over the same time period, which he attributes to the fact that the pain has been stopping him from wanting to eat. He does not recall any changes to his urine or stool. Physical exam reveals scleral icterus and a large non-tender gallbladder. Which of the following substances would most likely be elevated in the serum of this patient?
Explanation: ***Non-cardiogenic pulmonary edema*** - The patient's presentation with **acute epigastric pain** and **elevated serum lipase** is consistent with **acute pancreatitis**, which is a known cause of **ARDS (acute respiratory distress syndrome)**. - The chest X-ray findings of **bilateral diffuse infiltrates** without signs of cardiomegaly or pleural effusions are characteristic of **non-cardiogenic pulmonary edema** caused by ARDS. - ARDS complicates approximately **10-20% of severe acute pancreatitis cases** and presents with hypoxemia and bilateral pulmonary infiltrates. *Increased PCWP* - **Increased pulmonary capillary wedge pressure (PCWP)** is characteristic of **cardiogenic pulmonary edema**, where a failing heart causes increased pressure in the lungs. - The X-ray findings and clinical context of pancreatitis suggest a **non-cardiac cause** for the pulmonary edema, and PCWP would be **normal or low in ARDS**. *Pulmonary thromboembolism* - **Pulmonary embolism (PE)** often presents with **dyspnea, pleuritic chest pain**, and sometimes **tachycardia** or **hemoptysis**. - Chest X-rays in PE are often **normal** or show subtle findings like **Westermark sign** or **Hampton's hump**, which are not seen here. - The **bilateral diffuse infiltrates** are not typical of PE. *Aspiration pneumonitis* - **Aspiration pneumonitis** typically occurs in patients with impaired consciousness or dysphagia and usually presents with infiltrates in **dependent lung segments**, often the right lower lobe. - While pancreatitis can lead to nausea and vomiting, the **diffuse and bilateral** nature of the infiltrates is less typical for a primary aspiration event. *Pleural effusion* - **Pleural effusions** are a common complication of acute pancreatitis (occurring in up to **20% of cases**), typically left-sided or bilateral. - However, the described chest X-ray findings of **bilateral diffuse infiltrates** represent **parenchymal disease**, not simply fluid in the pleural space. - Pleural effusions would appear as **blunting of costophrenic angles** or fluid layering, not diffuse infiltrates.
Explanation: ***Achlorhydria*** - The patient's symptoms (profuse watery diarrhea, hypokalemia, hyperglycemia, hypercalcemia, and a pancreatic tail mass) are highly suggestive of a **VIPoma (vasoactive intestinal peptide-secreting tumor)**. - VIP acts on gastric parietal cells to inhibit the secretion of gastric acid, leading to **achlorhydria** or **hypochlorhydria**. *Cholelithiasis* - While sometimes associated with neuroendocrine tumors, **cholelithiasis** is not a primary or direct effect of VIP excess. - It would not explain the constellation of symptoms, particularly the severe watery diarrhea, hypokalemia, and disturbances in glucose and calcium. *Deep vein thrombosis* - **Deep vein thrombosis (DVT)** is a known complication of various malignancies, including some neuroendocrine tumors (e.g., pancreatic adenocarcinoma), but it is not a specific or direct consequence of VIPoma. - The patient's primary symptoms are related to fluid and electrolyte imbalance and endocrine dysregulation. *Hyperinsulinemia* - The patient presents with **hyperglycemia** (fasting glucose 130 mg/dL), which indicates impaired glucose metabolism, not hyperinsulinemia. - While insulinomas cause hyperinsulinemia, VIPomas typically lead to hyperglycemia due to VIP's diabetogenic effects. *Episodic hypertension* - **Episodic hypertension** is characteristic of **pheochromocytoma**, a different type of neuroendocrine tumor arising from the adrenal medulla. - VIPomas do not typically cause hypertension; their main effects are on gut motility, secretion, and electrolyte balance.
Explanation: ***Age, LDH, AST*** - The **Ranson's criteria** for predicting the severity of acute pancreatitis on admission include **age greater than 55 years**, **LDH greater than 350 IU/L**, and **AST greater than 250 IU/L**. - In this patient, his age is 57 years, LDH is 500 IU/L, and AST is 400 IU/L, all of which align with poor prognostic indicators according to Ranson's criteria. *WBC, platelet count, AST* - While **WBC count** is part of Ranson's criteria (greater than 16,000/mm3 is a poor prognostic sign), the patient's WBC is 10,000/mm3, which is not elevated enough to indicate severe pancreatitis. - **Platelet count** is not typically used as an acute prognostic indicator in Ranson's criteria for pancreatitis severity. *Age, glucose, amylase* - **Age greater than 55 years** and **glucose greater than 200 mg/dL** are initial Ranson's criteria for severity. However, the patient's glucose is 160mg/dL, which is not above the specified cutoff. - **Amylase** and **lipase** are diagnostic for pancreatitis but are not used as prognostic indicators within Ranson’s criteria to predict severity. *Glucose, LDH, AST* - **Glucose greater than 200 mg/dL**, **LDH greater than 350 IU/L**, and **AST greater than 250 IU/L** are all included in Ranson's criteria. However, because the patient’s glucose level (160 mg/dL) is below the cutoff of 200 mg/dL, this combination is not the **best** predictor of severity in this specific case. - The age of the patient is also an important factor in Ranson's criteria and is missing from this option. *AST, amylase, lipase* - While **AST greater than 250 IU/L** is a Ranson's criterion for severity, **amylase** and **lipase** levels, though elevated and diagnostic, are not used as prognostic indicators in Ranson's criteria for predicting the severity of acute pancreatitis. - Amylase and lipase levels often do not correlate with the severity of the disease.
Explanation: ***Fecal fat test*** - The patient's symptoms of **foul-smelling, greasy diarrhea**, along with **fatigue, bloating, and flatus**, strongly suggest **malabsorption**, specifically **steatorrhea** (excess fat in stool). - A **fecal fat test** (e.g., Sudan stain or 72-hour quantitative stool fat collection) directly assesses fat malabsorption and would be the most appropriate initial diagnostic test. *Tissue transglutaminase antibody test* - This test is used to screen for **celiac disease**, which can cause malabsorption symptoms. - While celiac disease is a possibility, a fecal fat test is a more general and appropriate initial step to confirm fat malabsorption before looking for specific causes. *Stool O&P* - Stands for **Stool Ova and Parasites**, used to detect parasitic infections like **Giardia** or **Cryptosporidium**, which can cause diarrhea. - However, the absence of recent travel, city water, and the prominent greasy nature of the stool make this less likely as the primary initial investigation compared to confirming malabsorption. *Stool guaiac test* - This test detects **occult blood in stool**. - The patient denies **melena or hematochezia**, and there are no signs pointing to gastrointestinal bleeding, making this test irrelevant for her presenting symptoms. *CT of the abdomen with oral contrast* - A CT scan with contrast might be used to investigate structural abnormalities or inflammation if other tests confirm malabsorption or point to a specific organ pathology (e.g., pancreatitis, Crohn's disease). - It's an imaging study and generally not the most appropriate *initial* test for evaluating the described symptoms of malabsorption.
Explanation: ***Gallstone pancreatitis*** - The patient presents with classic symptoms of **acute pancreatitis**: severe abdominal pain radiating to the back, nausea, vomiting, and markedly elevated **lipase (842)** and **amylase (3,210)**. - The **key differentiating feature** is the elevated **bilirubin (2.1 mg/dL)**, which indicates biliary obstruction from a gallstone passing through or obstructing the ampulla of Vater. - **Gallstone pancreatitis** is the most common cause of acute pancreatitis in women, and the combination of pancreatitis with hyperbilirubinemia strongly suggests a biliary etiology rather than alcoholic pancreatitis (which typically does not cause elevated bilirubin). - While the patient has a history of alcoholism, the elevated bilirubin makes **gallstone pancreatitis** the most likely diagnosis. *Choledocholithiasis* - This refers to a stone in the **common bile duct**, which can cause biliary obstruction and elevated bilirubin. - However, choledocholithiasis alone does not explain the **markedly elevated lipase and amylase**, which indicate pancreatic inflammation. - Choledocholithiasis may be present as part of the pathophysiology, but the clinical picture is acute pancreatitis caused by the stone (gallstone pancreatitis). *Ascending cholangitis* - This serious bile duct infection presents with **Charcot's triad** (fever, jaundice, right upper quadrant pain) or **Reynolds' pentad** (adds altered mental status and hypotension). - While the patient is febrile, she lacks **jaundice**, hypotension, or altered mental status. - The **extremely elevated lipase and amylase** point to pancreatitis rather than cholangitis as the primary process. *Cholelithiasis* - This simply means **gallstones in the gallbladder**, which are often asymptomatic. - The patient's acute presentation with fever, systemic symptoms, and markedly elevated pancreatic enzymes indicates a complication of gallstones (pancreatitis), not just their presence. *Acute cholecystitis* - This is **gallbladder inflammation**, typically presenting with right upper quadrant pain, fever, positive Murphy's sign, and leukocytosis. - The **diffuse abdominal tenderness** (not localized to RUQ), pain radiating to the back, and **extremely elevated lipase and amylase** are characteristic of pancreatitis, not cholecystitis. - Acute cholecystitis does not cause such dramatic elevations in pancreatic enzymes.
Explanation: ***Pancreatic enzyme therapy*** - This patient likely has **chronic pancreatitis** due to long-term alcohol abuse, presenting with severe epigastric pain, weight loss, and recurrent episodes. **Pancreatic enzyme replacement therapy (PERT)** helps in managing malabsorption and pain by reducing pancreatic stimulation. - While amylase is only slightly elevated (150 U/L), this is typical in chronic pancreatitis where extensive glandular destruction prevents dramatic enzyme elevation seen in acute pancreatitis. The abdominal CT would likely show calcifications or ductal dilation, further supporting the diagnosis and the need for enzyme support due to **exocrine insufficiency.** *Whipple procedure* - The **Whipple procedure** (pancreaticoduodenectomy) is a complex surgical intervention primarily performed for **pancreatic head tumors** or severe, intractable chronic pancreatitis not amenable to less invasive treatments. - This patient's symptoms, while severe, do not immediately indicate a need for such aggressive surgery, and other medical managements should be attempted first. *Endoscopic stent placement* - **Endoscopic stent placement** is typically used to relieve **biliary obstruction** or **pancreatic duct strictures** that cause pain or cholangitis in chronic pancreatitis. - While it might be considered for specific ductal complications, it is not the initial long-term management for the diverse symptoms of chronic pancreatitis, especially **exocrine insufficiency**. *Celiac ganglion block* - A **celiac ganglion block** provides temporary pain relief for severe abdominal pain, particularly in conditions like **chronic pancreatitis** or **pancreatic cancer**, by interrupting nerve signals. - It is a **palliative measure** for pain control and does not address the underlying **exocrine insufficiency** or disease progression, making it not a long-term comprehensive management strategy. *Gluten-free diet* - A **gluten-free diet** is the primary treatment for **celiac disease**, an autoimmune disorder affecting the small intestine. - There is no clinical indication or laboratory finding in this patient's presentation (e.g., diarrhea, positive celiac serology) to suggest celiac disease as the cause of his symptoms or to warrant a gluten-free diet.
Explanation: ***15%*** - This patient meets four Ranson's criteria on admission: **age > 55 years** (59 years), **WBC > 16,000/μL** (21,200/μL), **glucose > 200 mg/dL** (241 mg/dL), and **AST > 250 U/L** (321 U/L). - Four Ranson's criteria correspond to a **15% mortality risk**. - The stem specifies that all other relevant factors (the 48-hour criteria) are negative. *40%* - A 40% mortality risk is associated with **5-6 positive Ranson's criteria**. - This patient fulfilled 4 criteria on admission, indicating a lower risk category. *100%* - A 100% mortality risk is associated with **7 or more positive Ranson's criteria**. - This patient only fulfilled 4 criteria, indicating a significantly lower risk. *80%* - An 80% mortality risk is associated with **7 or more positive Ranson's criteria**. - This patient only fulfilled 4 criteria, which places him in a much lower risk category. *< 10%* - A mortality risk of less than 10% typically correlates with **0-2 positive Ranson's criteria**. - This patient has 4 positive criteria, placing him in a higher risk category.
Explanation: ***Alcohol abuse*** - Chronic alcohol abuse is a major risk factor for **chronic pancreatitis**, which manifests with recurrent abdominal pain, steatorrhea, weight loss, and can lead to **diabetes mellitus** (polyphagia, polyuria, elevated fasting glucose and HbA1c). - The elevated amylase, although not diagnostic for chronic pancreatitis on its own, along with low stool elastase (indicating **pancreatic exocrine insufficiency**), telangiectasias (suggesting liver disease often associated with alcohol), and a nodular liver (pointing to **cirrhosis**), strongly support chronic pancreatitis secondary to alcohol. *Hypertriglyceridemia* - While severe hypertriglyceridemia (typically >1000 mg/dL) can cause acute pancreatitis, the patient's triglyceride level (145 mg/dL) is not high enough to be the cause of his chronic pancreatic issues. - Furthermore, chronic pancreatitis symptoms like steatorrhea and diabetes are better explained by long-term alcohol exposure. *Cocaine abuse* - Cocaine can cause **vasoconstriction** and ischemia, potentially leading to acute pancreatitis, but it is not a common cause of chronic pancreatitis with the constellation of symptoms observed here. - The clinical picture strongly aligns with the chronic effects of alcohol on the pancreas and liver. *Hypercholesterolemia* - While hypercholesterolemia (total cholesterol 250 mg/dL) is a risk factor for cardiovascular disease, it is not directly implicated in causing pancreatitis or liver disease in the way described. - It does not explain the recurrent abdominal pain, steatorrhea, or the development of diabetes and liver changes seen in this patient. *Obesity* - Obesity is a risk factor for various metabolic disorders, including type 2 diabetes and non-alcoholic fatty liver disease (NAFLD), but it is not a primary cause of chronic pancreatitis. - The specific signs of liver damage (telangiectasias, nodular liver) and the pancreatic exocrine insufficiency point away from obesity as the primary etiology for this patient's condition.
Explanation: ***Bedside Index of Severity in Acute Pancreatitis (BISAP) score*** - The **BISAP score** is quick and easy to calculate at the bedside, using routinely available clinical and laboratory parameters within the first 24 hours of admission. - It effectively stratifies patients with acute pancreatitis into different risk categories for in-hospital mortality, making it a valuable tool for early **prognostic assessment**. *Acute Physiology and Chronic Health Examination (APACHE) II score* - The **APACHE II score** is a comprehensive tool used for assessing severity in critically ill patients, not specifically for acute pancreatitis, and requires extensive data collection over 24 hours. - While it can predict mortality, its complexity and the need for numerous parameters make it less practical for rapid initial **prognostic assessment** in the emergency setting compared to BISAP. *Ranson's criteria* - **Ranson's criteria** are effective for predicting the severity of acute pancreatitis, but they require data collected over a 48-hour period (some parameters at admission, others at 48 hours). - This delay in obtaining all necessary information limits its usefulness for immediate, early **prognostic evaluation** in the emergency department. *Modified Glasgow Score* - Similar to Ranson's criteria, the **Modified Glasgow Score** for acute pancreatitis also requires some parameters to be assessed at 48 hours post-admission. - Its inability to provide an immediate severity assessment makes it less useful for initial rapid **prognostication** compared to the BISAP score. *C-reactive protein level* - An elevated **C-reactive protein (CRP) level** is an indicator of systemic inflammation and can suggest severe pancreatitis, particularly if very high, but it is not specific for acute pancreatitis and can be elevated in various inflammatory conditions. - CRP levels typically peak after 48-72 hours, making it less useful for very early **prognostic assessment** in the initial hours of presentation.
Explanation: ***CA-19-9*** - The patient's symptoms of **epigastric pain after eating**, **weight loss**, **scleral icterus**, and a **large non-tender gallbladder** (Courvoisier's sign) are highly suggestive of **pancreatic head adenocarcinoma**, which obstructs the common bile duct. - **CA-19-9** is the most commonly used serum tumor marker for **pancreatic cancer**, often elevated in the presence of this malignancy. *CEA* - **CEA** (carcinoembryonic antigen) is a general tumor marker elevated in various cancers, particularly **colorectal cancer**, but is less specific for pancreatic cancer than CA-19-9. - While it can be elevated in pancreatic cancer, its diagnostic utility is primarily for **monitoring treatment response** rather than initial diagnosis. *Alpha-fetoprotein* - **Alpha-fetoprotein (AFP)** is a primary tumor marker for **hepatocellular carcinoma** and germ cell tumors. - It is not typically elevated in pancreatic adenocarcinoma. *PTHrP* - **PTHrP** (parathyroid hormone-related protein) is associated with **humoral hypercalcemia of malignancy**, often seen in squamous cell carcinoma of the lung or renal cell carcinoma. - This patient does not present with signs of hypercalcemia or these specific cancers. *Bombesin* - **Bombesin** is a neuropeptide that can act as a growth factor for some lung cancers but is not a standard serum tumor marker for pancreatic adenocarcinoma. - It is not routinely measured in clinical practice for diagnosing the conditions described.
Explanation: **Acute pancreatitis** - The patient presents with classic symptoms of **acute pancreatitis**, including **epigastric abdominal pain** that worsens after meals, and **vomiting**. - Significantly elevated **amylase** (512 U/L) and **lipase** (1,262 U/L) levels (both more than three times the upper limit of normal) confirm the diagnosis. The patient's history of **alcohol consumption** is a major risk factor. *Acute liver failure* - Acute liver failure would typically present with significantly elevated **ALT and AST values**, often in the thousands, along with signs of **hepatic encephalopathy** or coagulopathy, none of which are present here. - While the AST and ALT are mildly elevated, they are not indicative of acute liver failure, and the patient's other liver function tests (GGT, cholesterol panel) are relatively normal. *Acute mesenteric ischemia* - **Acute mesenteric ischemia** presents with severe, **disproportionate pain** to physical findings, often described as "pain out of proportion to examination." It is less commonly associated with elevated lipase and amylase. - While patient has a history of systemic lupus erythematosus that could potentially increase the risk of thrombotic events, the absence of severe abdominal pain and the very high lipase levels make this less likely. *Acute cholecystitis* - **Acute cholecystitis** typically presents with right upper quadrant pain, fever, and leukocytosis, often precipitated by fatty meals. **Murphy's sign** is usually positive. - While abdominal pain after meals and vomiting could occur, the pain is specifically epigastric, and there are no signs of inflammation (fever, WBC count not provided but general physical examination findings are not pointing to cholecystitis) and the remarkably elevated lipase and amylase are not features of cholecystitis. *Gastric ulcer* - A **gastric ulcer** typically causes **epigastric pain** that may be relieved by food (duodenal ulcer) or worsened by food (gastric ulcer), and can cause vomiting. - However, the extremely high **amylase and lipase levels** are not characteristic of a gastric ulcer and point towards a pancreatic etiology.
Explanation: ***Pancreatic calcifications*** (Correct Answer) - The patient's history of **chronic epigastric pain**, heavy **alcohol consumption** for 25 years, **steatorrhea** (foul-smelling, loose, pale stools with elevated fecal fat), and **weight loss** are classic signs of **chronic pancreatitis**. - **Pancreatic calcifications** are a hallmark finding in chronic pancreatitis on imaging (CT scan or abdominal X-ray), often indicating irreversible damage and impaired exocrine function, leading to **malabsorption** and steatorrhea. - This is the most likely finding on further evaluation given the clinical presentation. *Inflammation of subcutaneous fat* - This symptom, known as **panniculitis** (pancreatic panniculitis), is associated with pancreatic disease but is a rare complication and less specific diagnostic finding than pancreatic calcifications in chronic pancreatitis. - While it can occur in severe pancreatitis due to **lipolytic enzymes** (lipase, amylase), the core presentation strongly points to underlying pancreatic dysfunction impacting digestion, not primarily skin involvement. *Trophozoites on stool microscopy* - **Trophozoites** in stool suggest parasitic infections like **Giardiasis**, which can cause steatorrhea and malabsorption. - However, the patient's long history of **alcohol abuse** and chronic epigastric pain makes chronic pancreatitis a much more likely explanation for her symptoms than a parasitic infection, especially given her travel history was seven years prior. *Positive lactulose breath test* - A **positive lactulose breath test** indicates **small intestinal bacterial overgrowth (SIBO)**, which can cause malabsorption and steatorrhea. - While SIBO can occur as a complication of chronic pancreatitis, it is a less direct explanation for the entire constellation of symptoms (chronic pain, severe alcohol history, and weight loss) compared to the structural pancreatic changes seen in chronic pancreatitis. *Villous atrophy of duodenal mucosa* - **Villous atrophy of the duodenal mucosa** is characteristic of **celiac disease**, which also causes malabsorption and steatorrhea. - However, the patient's **negative anti-tissue transglutaminase antibody assay** effectively rules out celiac disease as the cause of her symptoms.
Explanation: ***Crystalloid fluid infusion*** - The patient presents with **acute pancreatitis**, indicated by severe epigastric pain radiating to the back, vomiting, epigastric tenderness, and markedly elevated **lipase** (900 U/L). - He shows clear signs of **hypovolemia**: elevated hematocrit (53%), elevated BUN/Cr ratio (43/2.0 = 21.5), and tachycardia. - Pancreatitis causes significant **fluid shifts** and third-spacing, requiring aggressive **intravenous fluid resuscitation** with crystalloids (preferably lactated Ringer's) to prevent hypovolemic shock, acute kidney injury, and organ dysfunction. - Early aggressive fluid resuscitation (250–500 mL/h initially) is the **cornerstone of acute pancreatitis management** and improves outcomes. *Fomepizole therapy* - **Fomepizole** is an antidote for **methanol** or **ethylene glycol** poisoning, which cause a high anion gap metabolic acidosis and visual disturbances. - While the patient owns a distillery, his symptoms and lab findings (elevated lipase, hypocalcemia, mild leukocytosis) are consistent with **alcoholic pancreatitis**, not toxic alcohol ingestion. - No anion gap is present, and there are no visual symptoms. *Calcium gluconate therapy* - Although the patient has **hypocalcemia** (7.8 mg/dL), which is common in severe pancreatitis due to fat saponification and calcium sequestration, routine calcium gluconate administration is generally **not recommended unless symptomatic**. - Symptomatic hypocalcemia includes tetany, paresthesias, seizures, or prolonged QT interval, none of which are present. - Aggressive fluid resuscitation and management of the underlying pancreatitis are higher priorities. *Endoscopic retrograde cholangio-pancreatography* - **ERCP** is primarily indicated for **gallstone pancreatitis with cholangitis** or persistent biliary obstruction. - This patient likely has **alcoholic pancreatitis** (heavy alcohol use, elevated GGT), and there's no evidence of biliary obstruction (normal bilirubin, AST, ALT, ALP). - Routine early ERCP in acute pancreatitis without cholangitis is not beneficial and carries procedural risks. *Laparotomy* - **Laparotomy** (surgical exploration) is rarely indicated in the initial management of acute pancreatitis. - It might be considered for complications such as infected necrosis, pancreatic abscess, or abdominal compartment syndrome, but there is no indication for surgical intervention in this patient at this stage. - Initial management focuses on medical stabilization with fluid resuscitation and supportive care.
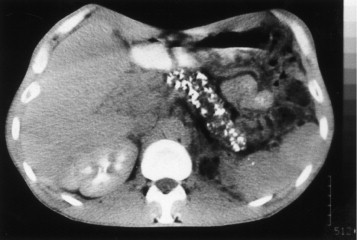
Explanation: ***Pancreatic pseudocyst*** - The patient experienced an episode of **severe acute pancreatitis**, followed by the development of a well-circumscribed collection of fluid with homogeneous density, which is characteristic of a **pancreatic pseudocyst**. - **Pseudocysts** are collections of pancreatic fluid and inflammatory exudates that become encapsulated by a fibrous wall, typically appearing around 4 weeks after an episode of acute pancreatitis. *Acute necrotic collection* - An **acute necrotic collection** is an early phase (within 4 weeks) of peripancreatic fluid collection that contains both fluid and non-viable pancreatic or peripancreatic tissue, which is not described as homogeneous in density. - This term usually refers to the initial, unorganized collection of necrotic material, prior to the development of a well-defined wall. *Fistula formation* - **Fistula formation** involves an abnormal connection between two epithelialized organs or between an organ and the skin, which is not described by a well-circumscribed fluid collection. - While it can be a complication of pancreatitis, the CT finding of a homogeneous fluid collection does not directly indicate a fistula. *Walled-off necrosis* - **Walled-off necrosis (WON)** is a mature collection (typically >4 weeks) of pancreatic and/or peripancreatic necrotic tissue that has developed a well-defined inflammatory wall but contains a significant solid/necrotic component. - The CT description of a "homogeneous density" fluid collection does not align with WON, which would typically show heterogeneous density due to solid necrotic debris. *Pancreatic cancer* - **Pancreatic cancer** is an abnormal growth of cells within the pancreas and would typically present as a mass lesion, often with tissue invasion. - While a pseudocyst can sometimes mimic a cystic tumor, the history of acute pancreatitis and the specific CT description of a homogeneous fluid collection make pancreatic cancer less likely in this context.
Explanation: ***CT abdomen with IV contrast*** - Given the patient's history of **heavy chronic alcohol intake**, **weight loss**, **new-onset diarrhea**, **greasy stools (steatorrhea)**, and **epigastric tenderness**, **chronic pancreatitis** with **exocrine pancreatic insufficiency** is highly suspected. - A **CT scan of the abdomen with IV contrast** is the initial diagnostic test of choice to evaluate the pancreas for changes consistent with chronic pancreatitis, such as **calcifications**, **ductal dilation**, or **atrophy**, and also to rule out other causes like pancreatic tumors. *Endoscopic retrograde cholangiopancreatography (ERCP)* - **ERCP** is an **invasive procedure** primarily used therapeutically for conditions like **bile duct stones** or **strictures**, or sometimes for detailed pancreatic duct imaging. - It is generally **not the first-line diagnostic test** for suspected chronic pancreatitis due to its invasive nature and risk of complications like pancreatitis. *Somatostatin receptor scintigraphy* - This imaging technique is primarily used to detect **neuroendocrine tumors (NETs)**, particularly those that express somatostatin receptors. - While diarrhea can be a symptom of certain NETs (e.g., **VIPoma**), the patient's strong history of chronic alcohol abuse and steatorrhea points more directly to pancreatic exocrine insufficiency, making a CT scan a more appropriate initial investigation. *d-Xylose absorption test* - The **d-xylose absorption test** is used to assess **small bowel mucosal function** and differentiate between primary mucosal disease and pancreatic insufficiency as causes of malabsorption. - In this case, with strong indicators for pancreatic dysfunction (greasy stools, chronic alcohol use), directly evaluating the pancreas via imaging is a more targeted next step. *EGD with biopsy of gastric mucosa* - **Esophagogastroduodenoscopy (EGD)** with biopsy is indicated for evaluating upper gastrointestinal symptoms, such as **dysphagia**, **gastric ulcers**, or **celiac disease**. - While it could evaluate for celiac disease, the patient's history of heavy alcohol use and greasy stools makes **pancreatic insufficiency** a more probable cause of malabsorption, and EGD would not directly assess pancreatic function or structure.
Explanation: ***Measure serum lipid levels*** - This patient presents with **epigastric pain radiating to the back**, vomiting, and potential signs of systemic inflammation (fever, tachycardia), suggestive of **pancreatitis**. One of the most common causes of pancreatitis, especially in the absence of gallstones or significant alcohol abuse, is **severe hypertriglyceridemia**. - The presence of **yellow plaques over the trunk and extensor surfaces** (likely **eruptive xanthomas**) is a strong indicator of **severe hypertriglyceridemia**, making serum lipid measurement the most appropriate next step to confirm this etiology for his pancreatitis. *Measure serum mumps IgM titer* - While mumps can cause pancreatitis, this patient has not received routine vaccinations, but there is no specific exposure history or other symptoms (like **parotitis**) to strongly suggest mumps as the primary cause. - The more compelling physical finding of eruptive xanthomas points more directly to **hypertriglyceridemia** as the cause of pancreatitis. *Obtain an upright x-ray of the abdomen* - An upright abdominal x-ray is primarily used to look for **free air under the diaphragm** as an indicator of a perforated viscus, which would present with peritonitis and guarding. This patient has **no guarding or rebound tenderness**. - While it can show signs of ileus, it is not the most targeted test for diagnosing the *cause* of pancreatitis or conditions indicated by eruptive xanthomas. *Perform a pilocarpine-induced sweat test* - A **pilocarpine-induced sweat test** is used to diagnose **cystic fibrosis (CF)**, which can cause pancreatic insufficiency and pancreatitis, especially in younger individuals. - While CF could be considered in a young patient with pancreatic symptoms, his presentation with clear signs of **hyperlipidemia (eruptive xanthomas)** makes this a less direct or immediate next step. *Measure stool elastase level* - **Stool elastase** is a test for **exocrine pancreatic insufficiency**, indicating chronic damage to the pancreas. - This patient is presenting with acute pancreatitis, not chronic insufficiency, and the prominent physical findings point to an **acute metabolic cause** rather than chronic pancreatic dysfunction as the primary differential at this stage.
Explanation: ***Hematocrit*** - A rising **hematocrit** (due to **hemoconcentration**) or one that fails to fall after initial fluid resuscitation is an important indicator of volume depletion and a **poor prognostic sign** in **acute pancreatitis**. - This patient's hematocrit is elevated at **62%**, suggesting significant hemoconcentration and a higher risk for complications like **pancreatic necrosis**. *AST/ALT ratio* - While an elevated AST/ALT ratio can suggest **alcoholic liver disease**, it is not a direct **prognostic indicator** for the severity or outcome of **acute pancreatitis**. - In pancreatitis, liver enzymes are typically elevated secondarily to inflammation or biliary obstruction, but their ratio does not directly predict the course of the pancreatitis itself. *Alkaline phosphatase* - **Alkaline phosphatase** is an indicator of **biliary obstruction** or **cholestasis**, which can be a cause of pancreatitis (e.g., gallstone pancreatitis). - Its value does not directly predict the **severity** or **prognosis** of acute pancreatitis once it has developed, especially in a case of alcoholic pancreatitis. *Total bilirubin* - **Total bilirubin** levels primarily reflect **biliary obstruction** or **liver dysfunction**. - While gallstone pancreatitis can increase bilirubin, it is not a primary prognostic marker for the development of severe complications in **acute pancreatitis**, nor is it significantly elevated in this patient. *Lipase* - **Elevated lipase** is highly specific and sensitive for the **diagnosis of acute pancreatitis**, confirming the diagnosis in this case. - However, the absolute level of lipase does **not correlate** with the **severity** or **prognosis** of acute pancreatitis; even mild pancreatitis can have very high lipase levels.
Explanation: ***Pancreatic pseudocyst*** - The patient's history of **heavy alcohol use**, recurrent abdominal pain, and vomiting suggests **chronic pancreatitis**, a common cause of pseudocyst formation. - The **epigastric mass** and symptoms consistent with **gastric outlet obstruction** (vomiting undigested food followed by bilious emesis) are classic presentations of a large pseudocyst compressing adjacent structures. *Retroperitoneal fibrosis* - This condition typically presents with symptoms related to **ureteral obstruction** (e.g., flank pain, renal failure) or vascular compression, not primarily with gastric outlet obstruction. - While it can cause an abdominal mass, an epigastric location with recurrent vomiting is less characteristic. *Hypertrophic pyloric stenosis* - This condition is almost exclusively seen in **infants** (typically 3-6 weeks old) and is characterized by non-bilious projectile vomiting due to hypertrophy of the pylorus. - It is highly unlikely in a 58-year-old man, and the vomiting eventually becoming bilious indicates obstruction *distal* to the ampulla of Vater. *Gastric adenocarcinoma* - While gastric adenocarcinoma can cause an epigastric mass and vomiting, it typically causes obstruction at or proximal to the pylorus, resulting in **non-bilious** vomiting rather than bilious emesis. - The patient's long history of **recurrent similar episodes over 6 years** and heavy alcohol use makes **chronic pancreatitis** with pseudocyst formation a more likely etiology than a primary gastric malignancy. *Chronic cholecystitis* - This condition typically causes **right upper quadrant pain**, often radiating to the back or shoulder, and can be associated with nausea and vomiting, especially after fatty meals. - It does not typically present with an **epigastric mass** or symptoms of gastric outlet obstruction.
Explanation: ***Palpable gallbladder*** - A palpable, non-tender gallbladder in the presence of **jaundice** (often caused by obstruction of the common bile duct) is known as **Courvoisier's sign**, which is highly suggestive of pancreatic head adenocarcinoma. - The tumor in the head of the pancreas can compress the distal common bile duct, leading to bile stasis and gallbladder distension. *Lymphadenopathy of the umbilicus* - **Umbilical lymphadenopathy**, specifically a **Sister Mary Joseph nodule**, indicates distant metastatic disease, often from intra-abdominal cancers like gastrointestinal or ovarian. - While it points to an advanced malignancy, it is not a direct physical finding specific for initial suspicion of primary pancreatic head adenocarcinoma. *Splenomegaly* - **Splenomegaly** can be a feature of pancreatic cancer if there is splenic vein thrombosis due to tumor invasion, leading to **portal hypertension**. - However, it is not a primary sign of pancreatic head adenocarcinoma and typically occurs in more advanced or specific cases. *Acanthosis nigricans* - **Acanthosis nigricans** is characterized by hyperpigmented, velvety plaques, often in skin folds, and can be a paraneoplastic syndrome associated with various malignancies, including pancreatic cancer. - While possible, it is a less direct and less specific sign for pancreatic head adenocarcinoma compared to Courvoisier's sign. *Renal artery bruits* - **Renal artery bruits** indicate turbulent blood flow through the renal arteries, most commonly due to **renal artery stenosis**, which can cause hypertension. - This finding is unrelated to pancreatic adenocarcinoma and would not support such a diagnosis.
Explanation: ***White blood cell count*** - An **elevated white blood cell count (leukocytosis)** above 16,000/uL is a component of the **Ranson criteria** and can indicate severe inflammation and systemic response, which is associated with increased mortality in acute pancreatitis. - This finding, in conjunction with other clinical and laboratory signs, points towards a more severe inflammatory process and potential for complications leading to worse outcomes. *Lipase* - While significantly elevated **lipase** levels (more than three times the upper limit of normal) are diagnostic for acute pancreatitis, the absolute value itself is not directly correlated with the severity or prognosis of the disease. - Extremely high lipase levels confirm the diagnosis but do not reliably predict increased mortality. *Amylase* - Similar to lipase, markedly elevated **amylase** levels are crucial for diagnosing acute pancreatitis but do not significantly correlate with disease severity or mortality. - The degree of amylase elevation does not predict the likelihood of complications or death. *Total bilirubin* - An elevated **total bilirubin** suggests biliary obstruction, which is often the underlying cause of gallstone pancreatitis in this case. - While it points to the etiology, isolated bilirubin elevation is not a direct prognostic marker for increased mortality in acute pancreatitis unless it leads to severe complications like cholangitis or liver failure. *Alkaline phosphatase* - An elevated **alkaline phosphatase** also indicates cholestasis or biliary obstruction. - Similar to bilirubin, it helps identify the cause of pancreatitis but is not included in common prognostic scoring systems (like Ranson's or APACHE II) as a direct predictor of increased mortality in acute pancreatitis itself.
Explanation: ***Eruptive xanthomas*** - The patient presents with **acute pancreatitis** (abdominal pain, vomiting, elevated amylase) and a strong family history of early **myocardial infarction**, suggesting a genetic predisposition to **hypertriglyceridemia**. - **Fenofibrate** is prescribed to lower **triglyceride levels**, and **eruptive xanthomas** are a classic cutaneous manifestation of severe **hypertriglyceridemia**, often leading to pancreatitis. *Elevated serum IgG4 levels* - Elevated **IgG4 levels** are characteristic of **autoimmune pancreatitis**, which can mimic acute pancreatitis but is typically treated with steroids and not primarily fenofibrate. - While IgG4-related disease can affect the pancreas, the patient's family history and fenofibrate treatment point away from this diagnosis. *Salt and pepper skull* - A **salt and pepper skull** is a classic radiographic finding in **hyperparathyroidism**, indicating bone demineralization and resorption. - This finding is unrelated to the patient's presentation of acute pancreatitis and hyperlipidemia. *Separate dorsal and ventral pancreatic ducts* - **Pancreas divisum** refers to the failure of fusion of the **dorsal and ventral pancreatic ducts**, which can predispose individuals to recurrent pancreatitis due to impaired drainage. - While a possibility for recurrent pancreatitis, it does not explain the patient's family history of early cardiac events or the specific treatment with fenofibrate, which targets hypertriglyceridemia. *Decreased serum ACTH levels* - **Decreased serum ACTH levels** are typically associated with **exogenous corticosteroid use** or **adrenal tumors** producing cortisol, leading to Cushing's syndrome. - This finding is unrelated to acute pancreatitis or hypertriglyceridemia and does not fit the clinical picture.
Explanation: ***Calcium*** - In **acute pancreatitis**, systemic inflammation can lead to **saponification** of perinecrotic fat, binding calcium and causing **hypocalcemia**. - Additionally, glucagon release and hypomagnesemia can contribute to decreased parathyroid hormone (PTH) secretion and end-organ resistance, further lowering calcium levels. *Amylase* - **Amylase** levels are typically **elevated** in acute pancreatitis due to the release of pancreatic enzymes into the bloodstream. - An elevated amylase, along with lipase, is a key diagnostic marker for pancreatitis. *Triglycerides* - **Hypertriglyceridemia** can cause acute pancreatitis, and triglyceride levels would be expected to be **elevated** in such cases. - Triglycerides themselves are not directly lowered by the pancreatitis process in the way calcium is. *Glucose* - **Glucose** levels often become **elevated** in acute pancreatitis due to impaired insulin secretion and increased glucagon release. - Pancreatic damage can affect the endocrine function of the pancreas, leading to hyperglycemia. *Lipase* - **Lipase** levels are also typically **elevated** in acute pancreatitis, often staying elevated longer than amylase. - It is a more specific marker for pancreatic injury than amylase.
Explanation: ***Contrast-enhanced abdominal CT*** - The patient presents with **obstructive jaundice** (elevated total and direct bilirubin, elevated alkaline phosphatase, yellow sclera), **epigastric pain worsening with meals**, **weight loss**, and significant **smoking history**, which are all highly concerning for **pancreatic head malignancy**. - **Contrast-enhanced CT** is the most appropriate initial imaging study to evaluate the pancreas and surrounding structures for a mass and to assess for **metastasis**, which helps in staging and surgical planning. *Colonoscopy* - This procedure is primarily used to screen for or investigate **colorectal pathology** such as polyps, cancer, or inflammatory bowel disease. - While weight loss can be a symptom of colorectal cancer, the patient's symptoms of **obstructive jaundice** and **epigastric pain** are not typical presentations for colon cancer. *Endoscopic ultrasonography* - **EUS** is a highly sensitive test for evaluating small pancreatic lesions and can also be used for **biopsy**; however, it is generally performed *after* initial cross-sectional imaging (CT or MRI) has identified a suspicious lesion or to further characterize findings from non-invasive imaging. - It is not the most appropriate *initial* step to rule out a pancreatic mass, especially given the rapid weight loss and obstructive jaundice. *Plain abdominal CT* - A **plain CT** scan lacks the necessary detail and resolution provided by a contrast-enhanced study to adequately visualize soft tissue structures like the pancreas and to detect subtle masses or metastatic disease. - It would be insufficient for diagnosing or staging a **pancreatic malignancy**. *Endoscopic retrograde cholangiopancreatography* - **ERCP** is primarily a **therapeutic procedure** used to relieve biliary obstruction (e.g., by placing stents) or to remove stones, and it also allows for biopsy of ductal lesions. - Due to its **invasive nature** and associated risks (e.g., pancreatitis), it is typically performed after a diagnosis is suspected or confirmed by less invasive imaging, and when therapeutic intervention is immediately indicated.
Explanation: ***Insulin aspart and glargine with pancreatic enzyme replacement therapy*** - The patient's presentation with **new-onset diabetes mellitus** (fasting glucose 180 mg/dL), **severe malabsorption** (chronic diarrhea, 6.8 kg weight loss, low stool elastase), **coagulopathy** (INR 2.5 from vitamin K deficiency), and **chronic abdominal pain with midepigastric mass** is highly indicative of **chronic pancreatitis** with both endocrine and exocrine pancreatic insufficiency. - The history of alcohol use (fell at a bar, multiple bruises) and **macrocytic anemia** (MCV 102 from B12 malabsorption) further support chronic pancreatic disease. - **Pancreatic enzyme replacement therapy (PERT)** is essential to address the malabsorption caused by exocrine pancreatic insufficiency (corrects steatorrhea, improves vitamin absorption including fat-soluble vitamin K to normalize INR, and promotes weight gain). - **Insulin therapy** with both short-acting (aspart for mealtime coverage) and long-acting (glargine for basal control) insulin is necessary to manage the new-onset diabetes resulting from endocrine pancreatic dysfunction. - This comprehensive approach addresses both major complications of advanced chronic pancreatitis and represents the cornerstone of long-term management. *Pancreatic resection followed by 5-fluorouracil with leucovorin* - This regimen is appropriate for **pancreatic adenocarcinoma** requiring surgical resection followed by adjuvant chemotherapy. - While a pancreatic mass is present, the clinical picture (chronic diarrhea, malabsorption, alcohol use, both endocrine and exocrine insufficiency) is more consistent with **chronic pancreatitis** rather than malignancy. - Surgical resection does not address the ongoing metabolic and malabsorptive complications that require medical management. *Thiamine and 50% dextrose* - This treatment is used for **acute Wernicke encephalopathy** or severe hypoglycemia, not long-term management. - While the patient has a **positive Romberg test** (suggesting posterior column dysfunction from B12 deficiency due to pancreatic insufficiency), and likely has some thiamine deficiency from alcohol use and malabsorption, this does not address the underlying **pancreatic insufficiency**, **diabetes**, or **malabsorption**. - The patient is hyperglycemic (glucose 180 mg/dL), not hypoglycemic, so dextrose is inappropriate. *Gemcitabine alone* - **Gemcitabine** is a chemotherapy agent used primarily for **advanced pancreatic adenocarcinoma**. - This patient's presentation is most consistent with **chronic pancreatitis**, not malignancy. - Even if malignancy were present, gemcitabine alone does not address the **diabetes** and **severe malabsorption** that dominate her clinical picture and require specific management. *Insulin aspart and glargine* - This option appropriately addresses the **new-onset diabetes** with both basal (glargine) and prandial (aspart) insulin coverage. - However, it **completely fails to address the severe exocrine pancreatic insufficiency** manifested by chronic diarrhea, significant weight loss (6.8 kg over 1 year), low stool elastase, coagulopathy (INR 2.5 from vitamin K malabsorption), and vitamin B12 deficiency (MCV 102). - Without pancreatic enzyme replacement therapy, the malabsorption will continue unchecked, leading to progressive nutritional deficiency, worsening coagulopathy, and continued weight loss.
Explanation: ***Ileus*** - The patient presents with abdominal distension, absent bowel sounds, tympanic percussion, and dilated loops of small and large bowel on X-ray, which are all classic signs of an **ileus** (paralytic ileus). - An ileus is a common complication of **acute pancreatitis** due to inflammation and systemic effects, leading to temporary cessation of intestinal peristalsis. *Pancreatic pseudocyst* - A pancreatic pseudocyst typically presents weeks after an acute pancreatitis episode, usually manifesting as a **palpable abdominal mass** and persistent abdominal pain, which are not described here. - While it can cause abdominal distension, the X-ray findings of diffuse bowel dilation and absent bowel sounds are more consistent with an ileus. *Ascites* - Ascites would present with **shifting dullness** on percussion and a fluid-filled abdomen, not tympanic percussion or dilated bowel loops on X-ray. - While pancreatitis can cause ascites, the X-ray image clearly shows dilated bowel, not free fluid. *Pancreatic fluid collection* - An acute peripancreatic fluid collection is a common early complication of pancreatitis, but it generally does not explain **diffuse bowel distension** and absent bowel sounds as seen in an ileus. - **Abdominal CT scan** would be more diagnostic for a fluid collection, and these collections often resolve spontaneously. *Necrotizing pancreatitis* - Necrotizing pancreatitis is a severe complication characterized by systemic signs of infection or inflammation such as **fever**, **leukocytosis**, and organ failure, which are not prominently featured in this patient's presentation (afebrile, stable vitals). - While necrotizing pancreatitis can cause an ileus, an ileus itself does not indicate necrosis, and the patient's stable condition makes severe necrotizing pancreatitis less likely as the primary explanation for these findings.
Explanation: ***Patient-controlled intravenous hydromorphone*** - This patient presents with **acute pancreatitis**, characterized by severe epigastric pain, nausea, vomiting, fever, and findings indicative of pancreatic inflammation (enlarged pancreas on ultrasound, guarding without rebound). **Opioids**, such as hydromorphone, are the mainstay for **severe pain relief** in acute pancreatitis. - **Patient-controlled analgesia (PCA)** with intravenous opioids allows the patient to self-administer small, frequent doses, providing optimal pain control while minimizing the risk of over-sedation, making it suitable for managing **acute severe pain**. *Oral gabapentin every 24 hours* - **Gabapentin** is primarily used for **neuropathic pain** or as an adjunct for chronic pain, not typically for acute severe visceral pain like that seen in acute pancreatitis. - Its **oral route** and every 24-hour dosing schedule are too slow and infrequent for rapid pain control in an emergency setting with severe pain. *Transdermal fentanyl every 72 hours* - **Transdermal fentanyl** is indicated for **chronic severe pain** that requires continuous opioid administration and is not suitable for the rapid onset and fluctuating intensity of acute pancreatitis pain. - The **transdermal route** and long dosing interval mean it would not provide immediate or adequate pain relief for a patient experiencing pain rated 8-9/10. *Oral acetaminophen every 6 hours* - **Acetaminophen** is a non-opioid analgesic generally used for **mild to moderate pain** and fever control. It is insufficient for the severe pain experienced in acute pancreatitis. - The **oral route** takes longer to achieve therapeutic levels and may be limited by the patient's nausea and vomiting. *Transdermal bupivacaine on request* - **Bupivacaine** is a **local anesthetic** typically used for regional anesthesia or nerve blocks, not for systemic management of acute visceral pain like pancreatitis. - **Transdermal application** of bupivacaine is not a standard or effective method for managing widespread, severe abdominal pain and would not provide adequate relief.
Explanation: ***Inactivation of pancreatic enzymes*** - The constellation of **steatorrhea** (foul-smelling, difficult-to-flush stools), **weight loss**, epigastric tenderness, and **gastric/duodenal ulcers** suggests **Zollinger-Ellison syndrome (ZES)** due to a gastrinoma. - The excessive **gastric acid production** in ZES **inactivates pancreatic enzymes** (lipases) in the duodenum, leading to **fat malabsorption**, hence the deficiency in **fat-soluble vitamins** (D and E) and steatorrhea. - The **cerebellar signs** (wide-based gait, dizziness, impaired rapid alternating movements) are due to **vitamin E deficiency**, a direct consequence of fat malabsorption from pancreatic enzyme inactivation. *Autoantibodies against the intestinal mucosa* - This mechanism is characteristic of **autoimmune enteropathy**, which causes severe diarrhea and malabsorption, but is typically associated with **immune dysregulation** in infants or young children and less commonly with ulcers. - While malabsorption is present, the specific ulcers and neurological symptoms point away from primary autoimmune enteropathy as the sole mechanism. *T. whipplei infiltration of intestinal villi* - This describes **Whipple disease**, which can cause malabsorption, weight loss, diarrhea, and neurological symptoms. - However, Whipple disease typically presents with **lymphadenopathy**, **hyperpigmentation**, and **arthralgia** and does not typically cause gastric or duodenal ulcers. *Intestinal inflammatory reaction to gluten* - This describes **celiac disease**, which causes malabsorption, diarrhea, and weight loss due to **villous atrophy** in the small intestine, leading to deficiencies in fat-soluble vitamins. - Celiac disease does not typically cause **gastric or duodenal ulcers** and neurological symptoms like impaired rapid alternating movements are less characteristic than in ZES or other conditions. *Small intestine bacterial overgrowth* - **SIBO** can cause diarrhea, malabsorption, and weight loss due to bacterial consumption of nutrients and damage to the intestinal mucosa. - While SIBO can be a consequence of conditions like ZES due to reduced acid, it is less likely to be the primary cause of ulcers and the overall clinical picture without a predisposing anatomical reason or motility disorder.
Explanation: ***Pancreatic adenocarcinoma*** - The constellation of **painless jaundice**, significant **weight loss**, **pale stools**, **dark urine**, an RUQ mass (Courvoisier sign), and dilated bile ducts (on ultrasound) is highly suggestive of **pancreatic head adenocarcinoma** causing biliary obstruction. - The patient's history of heavy smoking is a significant risk factor for pancreatic cancer. Elevated **direct bilirubin** and **alkaline phosphatase** with normal AST/ALT confirms an obstructive jaundice pattern. *Choledocholithiasis* - While it causes obstructive jaundice, significant **weight loss** and the presence of a **palpable soft, cystic mass (Courvoisier sign)** are not typical features. - Choledocholithiasis often presents with **biliary colic** or **cholangitis**, which are not described. *Budd-Chiari syndrome* - This syndrome involves **hepatic vein outflow obstruction**, presenting with hepatomegaly, ascites, and abdominal pain. - It does not typically cause **painless obstructive jaundice** or a palpable RUQ mass. *Alcoholic hepatitis* - This condition is associated with acute alcohol intake and generally presents with **jaundice**, fever, and liver tenderness, with elevated AST/ALT (AST:ALT > 2:1). - The patient stopped drinking alcohol **3 years ago**, and there is no evidence of liver parenchymal damage or the specific symptoms of alcoholic hepatitis. *Cholecystitis* - Acute cholecystitis typically presents with **right upper quadrant pain**, fever, and leukocytosis, often without jaundice unless a concomitant bile duct obstruction (e.g., from gallstones) is present. - It does not explain the significant **weight loss**, palpable mass, or the specific pattern of progressive obstructive jaundice.
Explanation: ***Administration of octreotide*** - The patient's presentation with **necrolytic migratory erythema** (ulcerative skin lesions, "reddish spots which expand"), **weight loss**, **diarrhea**, **anemia**, **elevated blood glucose**, and an **abdominal mass** with **elevated glucagon levels** are highly suggestive of a **glucagonoma**. - **Octreotide**, a somatostatin analog, is the most appropriate initial management step as it effectively **reduces glucagon secretion** from the tumor, thereby alleviating the systemic symptoms such as diarrhea and skin lesions. *Obtaining cancer antigen 19-9 levels* - **CA 19-9** is a tumor marker primarily associated with **pancreatic adenocarcinoma**, a different type of pancreatic tumor. - While pancreatic cancer is a differential for a pancreatic mass, the specific constellation of symptoms (necrolytic migratory erythema, diabetes, diarrhea, elevated glucagon) points strongly to a **glucagonoma**, for which CA 19-9 is not a primary diagnostic or monitoring marker. *Endoscopic ultrasonography* - While **endoscopic ultrasonography (EUS)** is an excellent imaging modality for characterizing pancreatic masses and guiding biopsies, the immediate priority in a patient with severe systemic symptoms due to a functional tumor like a glucagonoma is to **control the hormonal overproduction**. - EUS would be considered later for staging or biopsy if the diagnosis were less clear or if surgical resection was being planned, but it is not the *most appropriate next step* for symptom management. *Measurement of glycated hemoglobin* - The patient already has a **fingerstick blood glucose of 154 mg/dL** and symptoms consistent with **new-onset diabetes**, which is a known complication of glucagonoma. - While **HbA1c** provides a long-term average of blood glucose, it would not change the immediate management plan of controlling glucagon secretion and addressing the underlying tumor. The elevated blood glucose is already sufficiently established to be addressed. *Measurement of serum zinc levels* - **Zinc deficiency** can cause a skin rash known as **acrodermatitis enteropathica**, which can sometimes mimic necrolytic migratory erythema. - However, the patient's comprehensive clinical picture, including the **pancreatic mass**, **elevated glucagon**, **diabetes**, and **diarrhea**, points overwhelmingly to a **glucagonoma**, making zinc deficiency a very unlikely primary diagnosis.
Explanation: ***Pancreatitis*** - The patient's history of **recurrent abdominal pain radiating to the back**, worsening with meals, nausea, and vomiting, along with a significantly elevated **triglyceride level (675 mg/dL)**, strongly points towards **hypertriglyceridemia-induced pancreatitis**. - **Triglyceride levels >500 mg/dL** are a well-established cause of acute pancreatitis, and levels >1000 mg/dL carry even higher risk. - The presence of **hyperpigmentation of the axillary skin** (acanthosis nigricans) suggests chronic **insulin resistance** and poorly controlled diabetes (HbA1c 9.1%), a known risk factor for severe hypertriglyceridemia and subsequent pancreatitis. *Choledocholithiasis* - This condition involves **gallstones in the common bile duct**, which would typically present with **biliary colic**, jaundice, and elevated **alkaline phosphatase and bilirubin**, none of which are present. - While choledocholithiasis can cause pancreatitis, the primary driver here is severe **hypertriglyceridemia**, not bile duct obstruction. *Duodenal peptic ulcer* - While a **duodenal ulcer** can cause abdominal pain that worsens with meals, it typically presents with a **burning epigastric pain** and may be relieved by food or antacids. - It would not explain the pain radiating to the back or the exceptionally high **triglyceride levels**. *Gallbladder cancer* - **Gallbladder cancer** often presents with vague symptoms like chronic abdominal pain, weight loss, and potentially jaundice in advanced stages. - It is **less likely to cause acute, recurrent attacks** of severe, radiating pain and would not be directly linked to **hypertriglyceridemia**. *Cholecystitis* - **Cholecystitis** (inflammation of the gallbladder) typically causes **right upper quadrant pain** that may radiate to the right shoulder, often precipitated by fatty meals. - It is usually associated with **gallstones** and **Murphy's sign** on examination, and does not explain the patient's elevated **triglyceride levels** or pain radiating to the back.
Acute pancreatitis etiology
Practice Questions
Acute pancreatitis diagnosis
Practice Questions
Severity assessment in acute pancreatitis
Practice Questions
Management of acute pancreatitis
Practice Questions
Local complications of acute pancreatitis
Practice Questions
Systemic complications of acute pancreatitis
Practice Questions
Chronic pancreatitis pathophysiology
Practice Questions
Diagnosis of chronic pancreatitis
Practice Questions
Pain management in chronic pancreatitis
Practice Questions
Exocrine pancreatic insufficiency
Practice Questions
Endocrine complications in pancreatitis
Practice Questions
Autoimmune pancreatitis
Practice Questions
Pancreatic cancer risk in chronic pancreatitis
Practice Questions
Get full access to all questions, explanations, and performance tracking.
Start For Free