A person with a history of chronic alcohol consumption who indulged in binge drinking 10 days ago is brought to the emergency department in an unconscious state. A non-contrast CT scan was normal, and his blood glucose level is 45 mg/dL. What is the most appropriate treatment?
A 40-year-old farmer presents with fever, calf tenderness, conjunctival suffusion, retro-orbital pain, and hypokalemia. What is the diagnosis?
A 51-year-old man presents to the office with complaints of a gradual swelling of his face and frothy urine, which was first noticed by his wife 4 days ago. He also noticed that his limbs appear swollen. His past medical history includes diabetes mellitus for the past 10 years. He is currently on metformin and has well-controlled blood sugar and HbA1c levels. He does not smoke and drinks alcohol occasionally. His laboratory results during his last visit 6 months ago were normal. On physical examination, there is pitting edema in the lower extremities and on his face. His vital signs include: blood pressure 121/78 mm Hg, pulse 77/min, temperature 36.7°C (98.1°F), and respiratory rate 10/min. The urinalysis shows: pH 6.2 Color light yellow RBC none WBC 3–4/HPF Protein 4+ Cast fat globules Glucose absent Crystal none Ketone absent Nitrite absent 24-hour urine protein excretion 5.1 g Which of the following is the most likely cause of the generalized edema in this patient?
A 27-year-old man with a history of intravenous drug use comes to the physician because of anorexia, nausea, dark urine, and abdominal pain for 2 weeks. Physical examination shows scleral icterus and right upper quadrant tenderness. Serum studies show: Alanine aminotransferase 1248 U/L Aspartate aminotransferase 980 U/L Hepatitis B surface antigen negative Anti-hepatitis B surface antibody positive Anti-hepatitis C antibody negative Further evaluation shows hepatitis C virus RNA detected by PCR. Without appropriate treatment, which of the following is the most likely outcome of this patient's current condition?
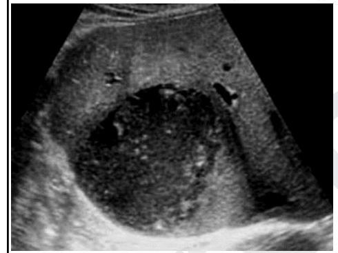
A 40-year-old man visits the office with complaints of fever and abdominal pain for the past 6 days. He is also concerned about his weight loss as he weighs 3.6 kg (8 lb) less, today, than he did 2 months ago. He has a previous history of being admitted to the hospital for recurrent cholangitis. The vital signs include: heart rate 97/min, respiratory rate 17/min, temperature 39.0°C (102.2°F), and blood pressure 114/70 mm Hg. On physical examination, there is tenderness on palpation of the right upper quadrant. The laboratory results are as follows: Hemoglobin 16 g/dL Hematocrit 44% Leukocyte count 18,000/mm3 Neutrophils 60% Bands 4% Eosinophils 2% Basophils 1% Lymphocytes 27% Monocytes 6% Platelet count 345,000/mm3 Aspartate aminotransferase (AST) 57 IU/L Alanine aminotransferase (ALT) 70 IU/L Alkaline phosphatase 140 U/L Total bilirubin 8 mg/dL Direct bilirubin 5 mg/dL An ultrasound is also done to the patient which is shown in the picture. What is the most likely diagnosis?

A 36-year-old female presents to the emergency department with right upper quadrant (RUQ) pain. She describes the pain as dull and getting progressively worse over the last several weeks. She denies any relationship to eating. Her past medical history is significant for endometriosis, which she manages with oral contraceptive pills, and follicular thyroid cancer, for which she underwent total thyroidectomy and now takes levothyroxine. The patient drinks a six pack of beer most nights of the week, and she has a 20 pack-year smoking history. She recently returned from visiting cousins in Mexico who have several dogs. Her temperature is 98.2°F (36.8°C), blood pressure is 132/87 mmHg, pulse is 76/min, and respirations are 14/min. On physical exam, her abdomen is soft and non-distended with tenderness in the right upper quadrant and palpable hepatomegaly. Laboratory testing is performed and reveals the following: Aspartate aminotransferase (AST, GOT): 38 U/L Alanine aminotransferase (ALT, GPT): 32 U/L Alkaline phosphatase: 196 U/L gamma-Glutamyltransferase (GGT): 107 U/L Total bilirubin: 0.8 mg/dL RUQ ultrasound demonstrates a solitary, well-demarcated, heterogeneous 6 cm mass in the right lobe of the liver. CT scan with contrast reveals peripheral enhancement during the early phase with centripetal flow during the portal venous phase. Which of the following is a risk factor for this condition?
A 30-year-old woman presents with a history of progressive forgetfulness, fatigue, unsteady gait, and tremor. Family members also report that not only has her speech become slurred, but her behavior has significantly changed over the past few years. On physical examination, there is significant hepatomegaly with a positive fluid wave. There is also distended and engorged veins present radiating from the umbilicus and 2+ lower extremity pitting edema worst in the ankles. There are corneal deposits noted on slit lamp examination. Which of the following conditions present with a similar type of edema? I. Hypothyroidism II. Kwashiorkor III. Mastectomy surgery IV. Heart failure V. Trauma VI. Chronic viral hepatitis VII. Hemochromatosis
A 57-year-old woman comes to the physician because of a 1-month history of lesions on her eyelids. A photograph of the lesions is shown. This patient's eye condition is most likely associated with which of the following processes?

A 37-year-old woman comes to the office complaining of fatigue and itchiness for the past 2 months. She tried applying body lotion with limited improvement. Her symptoms have worsened over the past month, and she is unable to sleep at night due to intense itching. She feels very tired throughout the day and complains of decreased appetite. She does not smoke cigarettes or drink alcohol. Her past medical history is noncontributory. Her father has diabetes and is on medications, and her mother has hypothyroidism for which she is on thyroid supplementation. Temperature is 36.1°C (97°F), blood pressure is 125/75 mm Hg, pulse is 80/min, respiratory rate is 16/min, and BMI is 25 kg/m2. On examination, her sclera appears icteric. There are excoriations all over her body. Abdominal and cardiopulmonary examinations are negative. Laboratory test Complete blood count Hemoglobin 11.5 g/dL Leukocytes 9,000/mm3 Platelets 150,000/mm3 Serum cholesterol 503 mg/dL Liver function test Serum bilirubin 1.7 mg/dL AST 45 U/L ALT 50 U/L ALP 130 U/L (20–70 U/L) Which of the following findings will favor primary biliary cirrhosis over primary sclerosing cholangitis?
A 54-year-old man presents to the emergency department for fatigue and weight loss. He reports feeling increasingly tired over the last several weeks and has lost seven pounds over the last month. His wife has also noticed a yellowing of the eyes. He endorses mild nausea but denies vomiting, abdominal pain, or changes in his stools. Ten years ago, he was hospitalized for an episode of acute pancreatitis. His past medical history is otherwise significant for hyperlipidemia, diabetes mellitus, and obesity. He has two glasses of wine most nights with dinner and has a 30-pack-year smoking history. On physical exam, the patient has icteric sclera and his abdomen is soft, non-distended, and without tenderness to palpation. Bowel sounds are present. Laboratory studies reveal the following: Alanine aminotransferase (ALT): 67 U/L Aspartate aminotransferase (AST): 54 U/L Alkaline phosphatase: 771 U/L Total bilirubin: 12.1 mg/dL Direct bilirubin: 9.4 mg/dL Which of the following would most likely be seen on abdominal imaging?
Explanation: **IM thiamine followed by dextrose** - Administering **thiamine** prior to **dextrose** is crucial in patients with chronic alcohol use to prevent **Wernicke-Korsakoff syndrome**, as glucose administration can precipitate or worsen Wernicke encephalopathy in thiamine-deficient individuals. - The patient's **hypoglycemia** (45 mg/dL) requires immediate correction with **dextrose**, but **thiamine** must be given first due to the patient's history of chronic alcohol consumption. *Normal saline* - While **normal saline** is used for rehydration and volume expansion, it does not address the patient's immediate and life-threatening **hypoglycemia** or **thiamine deficiency**. - Without addressing **hypoglycemia**, the patient's unconscious state will persist and lead to further neurological damage. *5% dextrose/vitamin K* - **5% dextrose** alone might correct **hypoglycemia**, but administering it without prior **thiamine** in a chronic alcoholic can precipitate **Wernicke encephalopathy**. - **Vitamin K** is typically given for coagulopathies or bleeding disorders, not as a primary treatment for **hypoglycemia** or **alcohol-related neurological emergencies** unless specific indications are present. *25% dextrose* - **25% dextrose** would rapidly correct **hypoglycemia**, but as with 5% dextrose, administering it without prior **thiamine** in a chronic alcoholic can precipitate or worsen **Wernicke encephalopathy**. - The primary concern in this context for an alcoholic patient with hypoglycemia is the potential for **thiamine deficiency**. *IV dextrose followed by thiamine* - While this option includes both necessary treatments, the **incorrect sequence** is critical—administering **dextrose before thiamine** in a chronic alcoholic can precipitate **Wernicke encephalopathy**. - The correct protocol requires **thiamine first** to replenish stores before glucose metabolism is accelerated by dextrose administration.
Explanation: ***Leptospira*** - The combination of **fever**, **calf tenderness**, **conjunctival suffusion** (red eyes without purulent discharge), **retro-orbital pain**, and **hypokalemia** is highly suggestive of **leptospirosis**. - A farmer's occupation increases the risk of exposure to contaminated water or soil, which is a common transmission route for Leptospira. - **Calf tenderness** and **conjunctival suffusion** are particularly characteristic features. *Malaria* - Characterized by **cyclic fevers**, **chills**, and **sweats**, often with **splenomegaly** and **anemia**. - **Calf tenderness**, **conjunctival suffusion**, and **retro-orbital pain** are not typical primary symptoms of malaria. *Dengue* - Often presents with **high fever**, **severe headache** (especially retro-orbital), **muscle and joint pain** ("breakbone fever"), and **rash**. - **Conjunctival suffusion** and significant **calf tenderness** are not classic features, and hypokalemia is less common than with leptospirosis. *Influenza* - Acute respiratory illness with **fever**, **cough**, **sore throat**, **muscle aches**, and **fatigue**. - While muscle aches can occur, **calf tenderness**, **conjunctival suffusion**, and **hypokalemia** are not characteristic of influenza. *Typhoid fever* - Presents with **sustained fever**, **relative bradycardia**, **rose spots**, and **hepatosplenomegaly**. - **Conjunctival suffusion**, **calf tenderness**, and **retro-orbital pain** are not typical features of typhoid fever.
Explanation: ***Hypoalbuminemia*** - **Hypoalbuminemia** significantly reduces **plasma oncotic pressure**, leading to fluid extravasation into the interstitial space and causing generalized edema. - The patient's **frothy urine** and **5.1 g/24-hour urine protein excretion** indicate significant **proteinuria**, resulting in substantial albumin loss. *Loss of antithrombin III in the urine* - While **nephrotic syndrome** can lead to urinary loss of **antithrombin III**, increasing the risk of thromboembolism, it is not the direct cause of the generalized edema. - The loss of antithrombin III is a **complication** of extensive proteinuria, not its cause. *Hypertension* - **Hypertension** can contribute to edema in certain conditions, especially heart failure, but it is not the primary cause of the severe generalized edema in the setting of nephrotic range proteinuria. - The patient's blood pressure is currently **well-controlled** at 121/78 mmHg, making it unlikely to be the sole or primary cause. *Loss of globulin in the urine* - While other proteins, including some globulins, may be lost in significant proteinuria, **albumin** is the most abundant and osmotically active plasma protein, making its loss the primary driver of reduced oncotic pressure and edema. - The term "frothy urine" specifically signifies a high concentration of **albumin**, not typically globulins. *Hyperlipidemia* - **Hyperlipidemia** is a common finding in nephrotic syndrome due to increased hepatic synthesis of VLDL and LDL, along with reduced catabolism. - However, **hyperlipidemia** itself does not directly cause edema; it is a metabolic consequence of the syndrome.
Explanation: ***Slowly progressive hepatitis*** - This patient has **acute hepatitis C infection** (HCV RNA positive by PCR but anti-HCV antibody still negative, indicating early infection within the 8-12 week window period before antibody seroconversion). - Without treatment, **75-85% of acute HCV infections progress to chronic infection**, characterized by **slowly progressive hepatitis** with ongoing liver inflammation and gradual fibrosis development over years to decades. - This chronic progression is the most statistically likely outcome of the current acute infection, making it the correct answer. *Transient infection* - **Spontaneous viral clearance** occurs in only **15-25% of acute hepatitis C cases**, making it less likely than progression to chronicity. - While possible, this is the minority outcome and therefore not the "most likely" result without treatment. - Spontaneous clearance typically occurs within the first 6 months of infection. *Liver cirrhosis* - While **liver cirrhosis** is a potential long-term complication of chronic hepatitis C, it represents an advanced stage of liver fibrosis that develops over **20-30 years** of chronic infection. - It is not the immediate or direct outcome of the current acute infection, but rather a late-stage sequela that may develop after years of slowly progressive hepatitis. *Hepatocellular carcinoma* - **Hepatocellular carcinoma** (HCC) is a complication that typically arises in the setting of established cirrhosis from chronic HCV. - It represents an even later-stage complication than cirrhosis (often decades after initial infection) and does not represent the most likely immediate outcome of acute infection. *Fulminant hepatitis* - **Fulminant hepatitis**, characterized by rapid onset of severe liver failure with encephalopathy within 8 weeks of symptom onset, is extremely rare with hepatitis C (**<0.1% of cases**). - The patient's presentation shows acute hepatitis with elevated transaminases but no signs of hepatic encephalopathy or coagulopathy that would suggest fulminant liver failure.
Explanation: ***Liver abscess*** - The patient presents with **fever**, **RUQ tenderness**, **leukocytosis**, and a **history of recurrent cholangitis**, which increases the risk of pyogenic liver abscess formation. - The ultrasound would likely show a **fluid-filled lesion** in the liver, consistent with an abscess. *Hepatitis B* - While hepatitis B can cause **fever, abdominal pain, and liver enzyme elevation**, it typically does not present with a discrete mass or recurrent cholangitis. - The provided symptoms and lab results are more indicative of an **infectious process with focal involvement**. *Acute cholecystitis* - This condition involves **inflammation of the gallbladder**, usually due to gallstones, presenting with RUQ pain, fever, and leukocytosis. - However, the patient's **recurrent cholangitis history** and the high bilirubin levels suggest obstruction or infection within the bile ducts or liver parenchyma, rather than just gallbladder inflammation. *Cholangitis* - Cholangitis is an **infection of the bile ducts**, characterized by **fever, RUQ pain, and jaundice** (**Charcot's triad**), which matches many of the patient's symptoms. - However, the question states a history of recurrent cholangitis, and the current presentation, especially with the high leukocytosis and potential for a focal lesion on ultrasound, points towards a **complication of chronic cholangitis**, such as a liver abscess. *Hepatocarcinoma* - Hepatocarcinoma typically presents with **weight loss, abdominal pain, and an elevated alpha-fetoprotein level**, but fever is usually not as prominent unless there's tumor necrosis or infection. - The **acute febrile presentation** and marked leukocytosis are more consistent with an infectious process rather than a malignancy.
Explanation: ***Oral contraceptive pill use*** - The patient's presentation with a solitary, well-demarcated hepatic mass showing **peripheral enhancement with centripetal filling** on CT scan is pathognomonic for a **hepatic hemangioma**. - Hepatic hemangiomas are the most common benign liver tumors and are typically asymptomatic, though large lesions (>4 cm) can cause symptoms. - While hemangiomas have no clearly established risk factors, they are more common in women and may have an association with **oral contraceptive pill (OCP) use**, though this relationship is less definitive than with hepatic adenomas. - Some studies suggest OCPs may influence hemangioma growth, making this the most relevant risk factor among the options provided. *Recent contact with dogs* - Contact with dogs, especially in endemic areas, is a risk factor for **echinococcal cysts** (hydatid disease). - Echinococcal cysts appear as multiloculated, cystic lesions with daughter cysts or calcifications on imaging, not as a solid mass with the described enhancement pattern. *Extrahepatic malignancy* - An extrahepatic malignancy could lead to **metastatic liver disease**, which typically presents as multiple lesions with different enhancement characteristics (e.g., rim enhancement or rapid washout). - While the patient has a history of follicular thyroid cancer, the characteristic centripetal filling pattern is specific for hemangioma, not metastases. *Chronic alcohol abuse* - **Chronic alcohol abuse** is a major risk factor for alcoholic liver disease, cirrhosis, and **hepatocellular carcinoma (HCC)**. - HCC typically shows arterial hyperenhancement with portal venous washout (not centripetal filling), and is usually associated with cirrhosis. - The patient's imaging findings and clinical presentation are not consistent with HCC. *Recent travel to Mexico* - Travel to Mexico with potential exposure to contaminated food or water could be a risk factor for **parasitic infections** or **amebic liver abscess**. - However, the imaging findings of a well-demarcated solid mass with classic hemangioma enhancement pattern are inconsistent with infectious or abscess formations, which would show rim enhancement and internal heterogeneity.
Explanation: ***I, IV, VI, VII*** - The patient's symptoms (forgetfulness, fatigue, unsteady gait, tremor, slurred speech, behavioral changes, hepatomegaly, ascites, caput medusae, lower extremity edema, and **corneal deposits (Kayser-Fleischer rings)**) are highly suggestive of **Wilson's disease**. This condition leads to severe liver disease and neurological dysfunction due to copper accumulation, often resulting in **edema from hypoalbuminemia** due to liver failure. - Conditions presenting with similar types of edema (non-inflammatory, often pitting, due to systemic causes like fluid overload, hypoalbuminemia, or impaired lymphatic/venous return) include **hypothyroidism** (myxedema, non-pitting but can have pitting features), **heart failure** (increased hydrostatic pressure), **chronic viral hepatitis** (leading to liver failure and hypoalbuminemia), and **hemochromatosis** (can cause heart failure or liver damage leading to edema). *I, II, IV, VI* - This option incorrectly includes **Kwashiorkor** while omitting **hemochromatosis**. While Kwashiorkor causes edema due to protein deficiency, hemochromatosis is a more relevant cause of systemic edema similar to the conditions presented. - The presented conditions share a common mechanism of edema, typically **pitting edema secondary to systemic causes** like low albumin or increased hydrostatic pressure, whereas Kwashiorkor is specific to nutritional protein deficiency. *I, II, IV, VII* - This option incorrectly includes **Kwashiorkor** while accurately including hypothyroidism, heart failure, and hemochromatosis. Kwashiorkor is a specific nutritional deficiency not directly implied by the initial patient presentation beyond general hypoalbuminemia. - The other conditions (hypothyroidism, heart failure, hemochromatosis) all have well-established mechanisms for systemic edema that align with the type described in the patient (e.g., fluid retention, altered osmotic pressure). *II, IV, VI, VII* - This option misses **hypothyroidism**, which is a significant cause of edema. While including Kwashiorkor, heart failure, chronic viral hepatitis, and hemochromatosis, the omission of hypothyroidism makes it a less comprehensive answer. - **Myxedema** from hypothyroidism is a distinct form of edema (non-pitting but can sometimes present with pitting qualities due to underlying fluid retention) that should be considered alongside other systemic causes. *II, IV, V, VI* - This option incorrectly includes **Trauma** as a primary cause of generalized edema similar to the patient's presentation and omits **hypothyroidism** and **hemochromatosis**. Trauma typically causes localized edema, not the generalized systemic edema observed in the patient. - The question refers to systemic edema often associated with **fluid imbalances or organ dysfunction**, which is not characteristic of trauma-induced edema, which is usually focal and inflammatory.
Explanation: ***Autoimmune destruction of lobular bile ducts*** - The image shows **xanthelasma**, which are **cholesterol-filled plaques** on the eyelids, a common manifestation of **dyslipidemia**. - Xanthelasma are strongly associated with **primary biliary cholangitis (PBC)**, an autoimmune disease characterized by progressive **destruction of small intrahepatic bile ducts**, leading to impaired bile flow and **hypercholesterolemia**. *Dietary protein-induced inflammation of duodenum* - This description refers to **celiac disease**, which presents with gastrointestinal symptoms and malabsorption, not typically xanthelasma. - While celiac disease can have cutaneous manifestations (dermatitis herpetiformis), xanthelasma is not one of them. *Transmural inflammation of colonic mucosa* - This describes **Crohn's disease**, an inflammatory bowel disease primarily affecting the gastrointestinal tract. - Crohn's disease is not directly associated with xanthelasma or primary biliary cholangitis. *Deposition of immunoglobulin light chains* - This process is characteristic of **amyloidosis**, which can cause a wide range of systemic symptoms based on the organs involved. - While amyloidosis can affect the skin, it does not typically present as xanthelasma, which is specifically related to lipid deposition. *Infection with human herpesvirus 8* - **Human herpesvirus 8 (HHV-8)** is associated with **Kaposi's sarcoma**, a vascular tumor that presents as purple, red, or brown lesions. - The lesions shown in the image are yellowish, flat plaques consistent with xanthelasma, not Kaposi's sarcoma.
Explanation: **Anti-mitochondrial antibody** - The presence of **anti-mitochondrial antibodies (AMA)** is a hallmark of primary biliary cirrhosis (PBC), being positive in about 90-95% of cases. - This finding, combined with obstructive cholestasis symptoms like **pruritus**, **fatigue**, **elevated ALP**, and **hyperlipidemia**, strongly supports a diagnosis of PBC. *‘Beads-on-a-string’ appearance on MRCP* - This finding, characterized by **strictures** and **dilatations** of the bile ducts, is pathognomonic for **primary sclerosing cholangitis (PSC)**. - In contrast, the bile ducts in PBC usually appear normal on imaging, differentiating it from PSC. *‘Onion skin fibrosis’ on liver biopsy* - **'Onion skin fibrosis'**, or periductal concentric fibrosis, is a characteristic histological feature seen on **liver biopsy** in **primary sclerosing cholangitis (PSC)**. - PBC liver biopsies typically show **florid duct lesions** or non-suppurative destructive cholangitis rather than 'onion skin' fibrosis. *Elevated alkaline phosphatase and gamma glutamyltransferase* - While both **ALP** and **GGT** are typically elevated in **cholestatic liver diseases**, including both PBC and PSC, this finding is **non-specific** and cannot distinguish between them. - This generalized elevation indicates **biliary obstruction** or injury, but does not point to a specific etiology in this context. *P-ANCA staining* - **Perinuclear anti-neutrophil cytoplasmic antibodies (P-ANCA)** are often positive in a significant proportion of patients with **primary sclerosing cholangitis (PSC)**, especially those with co-existing inflammatory bowel disease. - P-ANCA is typically **negative** in primary biliary cirrhosis (PBC), making it a distinguishing serological marker between the two conditions.
Explanation: ***Distended gallbladder*** - The patient presents with **obstructive jaundice** (elevated total and direct bilirubin, significantly elevated alkaline phosphatase) and a history of chronic pancreatitis risk factors (alcohol use, diabetes, obesity, prior acute pancreatitis). The absence of abdominal pain or tenderness suggests a **painless obstruction** of the common bile duct. - Given the history of pancreatitis and the painless obstructive pattern, a **pancreatic head mass** (e.g., adenocarcinoma) compressing the common bile duct is highly suspected. This compression, if distal enough, leads to Courvoisier's sign: a **distended, palpable, and non-tender gallbladder**. *Multifocal dilation and stricturing of intra- and extrahepatic ducts* - This imaging finding is characteristic of **primary sclerosing cholangitis (PSC)**, a chronic cholestatic liver disease commonly associated with inflammatory bowel disease. - PSC typically presents with fatigue and pruritus, but the highly elevated alkaline phosphatase and bilirubin, along with the patient's risk factors and jaundice, point away from PSC as the primary diagnosis. *Pancreatic pseudocyst* - A **pancreatic pseudocyst** is a common complication of acute or chronic pancreatitis and can cause symptoms like abdominal pain and mass effect. - While the patient has a history of acute pancreatitis and risk factors for chronic pancreatitis, a pseudocyst is less likely to cause painless, isolated obstructive jaundice without significant abdominal pain or a palpable mass. *Surface nodularity of the liver* - **Surface nodularity of the liver** is a classic finding in **cirrhosis**, which can lead to jaundice if decompensated. - However, the patient's laboratory values show an extremely high alkaline phosphatase and direct bilirubin, indicating a predominant **obstructive cholestatic pattern** rather than diffuse hepatocellular injury from cirrhosis. *Choledocholithiasis* - **Choledocholithiasis** (gallstones in the common bile duct) typically presents with **biliary colic**, severe epigastric or right upper quadrant pain, and often fever if cholangitis develops. - The patient denies abdominal pain and fever, making choledocholithiasis less likely, especially with the painless jaundice and underlying risk factors for pancreatic malignancy.
Explanation: ***Anti-smooth muscle*** - This patient's presentation with **jaundice**, elevated **transaminases**, high **ANA titer (1:1280)**, and increased **polyclonal immunoglobulin gamma** is highly suggestive of **autoimmune hepatitis (AIH) type 1**. - **Anti-smooth muscle antibodies (ASMA)** are the hallmark and most frequently associated autoantibody with **AIH type 1**, found in 70-80% of cases. *Anti-cyclic citrullinated peptide* - These antibodies are highly specific for **rheumatoid arthritis**, a systemic inflammatory condition primarily affecting joints. - While the patient has an elevated **rheumatoid factor**, her primary symptoms and liver enzyme abnormalities do not point to rheumatoid arthritis. *Anti-liver kidney microsomal type 2* - These antibodies are characteristic of **autoimmune hepatitis type 2**, which typically affects children and young adults and is associated with different HLA haplotypes. - While AIH type 2 involves liver inflammation, the extremely high ANA titer and significantly elevated polyclonal immunoglobulins are more typical of **AIH type 1**. *Anti-mitochondrial* - These antibodies are the serological hallmark of **primary biliary cholangitis (PBC)**, a chronic cholestatic liver disease primarily affecting interlobular bile ducts. - The patient's liver enzyme profile shows predominantly **hepatocellular injury** (markedly elevated AST/ALT) rather than cholestasis (normal alkaline phosphatase and GGT). *Anti-double stranded DNA* - These antibodies are highly specific for **systemic lupus erythematosus (SLE)**, a systemic autoimmune disease affecting multiple organ systems. - Although SLE can cause liver involvement, the prominent liver enzyme elevations and the specific pattern of serological markers are more indicative of **autoimmune hepatitis**.
Explanation: ***Perform endoscopy*** - Endoscopy is the **most appropriate next step** to directly visualize the bleeding source, confirm the diagnosis, and allow for immediate therapeutic intervention (e.g., **variceal ligation** or sclerotherapy) in a patient with suspected variceal bleeding. - This patient presents with signs of upper GI bleeding, a history of **cirrhosis**, and **known esophageal varices**, making prompt endoscopic evaluation crucial for diagnosis and treatment. *Administer a non-selective ß-blocker* - Non-selective beta-blockers like propranolol are used for **primary and secondary prophylaxis** of variceal bleeding, not for acute management of active variceal hemorrhage. - The patient is already on propranolol, indicating that despite prophylaxis, bleeding has occurred, rendering additional administration in this acute setting ineffective for immediate cessation of hemorrhage. *Perform transjugular intrahepatic portosystemic shunt (TIPS)* - TIPS is a procedure used for **refractory variceal bleeding** that cannot be controlled by endoscopic and pharmacologic methods, or for recurrent bleeding. - It is not the initial step in managing acute variceal hemorrhage and is typically reserved for cases where primary interventions have failed. *Administer fresh frozen plasma (FFP)* - FFP is primarily indicated for patients with **coagulopathy** (e.g., significantly prolonged INR/PT) complicated by active bleeding or prior to invasive procedures. - The patient's initial lab results do not indicate a severe coagulopathy requiring FFP at this stage (hemoglobin, WBC, and platelets are within reasonable limits for initial assessment; INR/PT are not provided but need to be checked). *Perform fluoroscopic esophagography* - Fluoroscopic esophagography (barium swallow) is used to evaluate the **morphology of the esophagus** and can sometimes show varices, but it is **contraindicated in acute upper GI bleeding**. - It can obscure endoscopic views and does not allow for therapeutic intervention, delaying definitive management.
Explanation: ***Magnetic resonance cholangiopancreatography (MRCP)*** - MRCP is the **non-invasive gold standard** for diagnosing **primary sclerosing cholangitis (PSC)**, which is strongly suggested by the patient's symptoms (pruritus and jaundice) and history of **ulcerative colitis**. - It effectively visualizes the **bile ducts**, revealing the characteristic multifocal stricturing and dilatations (**"beaded appearance"**) pathognomonic for PSC without the risks of ERCP. *Percutaneous liver biopsy* - While a liver biopsy can show **fibrosis** and **bile duct proliferation** consistent with PSC, it is **not the primary diagnostic test** for confirming the typical changes in the bile tree. - It is often reserved for cases where imaging is inconclusive or to assess the **stage of fibrosis** and rule out other liver diseases. *Contrast CT of the abdomen* - A CT scan can detect **hepatosplenomegaly** and **biliary dilation** but is **poor at visualizing the small bile duct changes** characteristic of PSC. - It is **less sensitive and specific** than MRCP for evaluating the intrahepatic and extrahepatic bile ducts. *Ultrasound of the abdomen* - Ultrasound can identify **biliary dilation** and **cholelithiasis**, but it has **limited ability to visualize the intrahepatic bile ducts** comprehensively and assess the strictures specific to PSC. - It can detect **hepatosplenomegaly** but does not provide definitive evidence for the diagnosis of PSC. *Endoscopic retrograde cholangiopancreatography (ERCP)* - ERCP is highly effective for visualizing the biliary tree and can confirm PSC, but it is an **invasive procedure** with risks such as **pancreatitis**, infection, and perforation. - Due to its invasive nature and the availability of MRCP, ERCP is typically reserved for **therapeutic interventions** (e.g., stent placement for dominant strictures) rather than solely for diagnosis.
Explanation: ***Liver transplant*** - This patient presents with **acute liver failure** (ALF) as evidenced by elevated transaminases (AST 1356, ALT 1853), severe coagulopathy (INR 4.58), and **hepatic encephalopathy** (confusion, asterixis). - The patient is **HBsAg positive** indicating acute or acute-on-chronic hepatitis B as the etiology. She has already been started on appropriate antiviral therapy (tenofovir). - With **grade 2+ encephalopathy and INR >4**, this patient meets criteria for urgent **liver transplant evaluation** based on King's College Criteria for non-acetaminophen ALF. Early transplant evaluation is critical as mortality is high without transplantation. - **Immediate referral to a transplant center** is the most appropriate next step, as delay in evaluation significantly worsens outcomes in fulminant hepatic failure. *N-acetylcysteine therapy* - While NAC has shown some benefit in early-stage (grade 1-2 encephalopathy) non-acetaminophen ALF based on the 2009 Acute Liver Failure Study Group trial, it is not the definitive treatment. - The patient's **acetaminophen level is therapeutic (12 mcg/mL)**, not toxic, and the 6-day timeline with HBsAg positivity clearly indicates viral hepatitis as the cause, not acetaminophen toxicity. - While NAC could be considered as adjunctive therapy, **transplant evaluation takes priority** in a patient with established ALF meeting transplant criteria. *Oral rifaximin therapy* - **Rifaximin** is used for hepatic encephalopathy in **chronic liver disease** (cirrhosis) to reduce ammonia-producing gut bacteria. - In **acute liver failure**, the encephalopathy mechanism differs (cerebral edema, inflammation) and rifaximin is not standard treatment. Lactulose may be used for symptomatic management, but definitive treatment (transplant evaluation) is the priority. *Pegylated interferon therapy* - **Pegylated interferon** is used for chronic hepatitis B or C but is **absolutely contraindicated in acute liver failure** as it can worsen hepatic injury and precipitate further decompensation. - The patient is already on appropriate antiviral therapy (tenofovir) for hepatitis B. *Intravenous glucocorticoids therapy* - **Glucocorticoids** are indicated for autoimmune hepatitis but not for viral hepatitis or acute liver failure of viral etiology. - There is no evidence of autoimmune hepatitis in this case (HBsAg positive, no mention of autoantibodies). Steroids could worsen viral replication and are contraindicated.
Explanation: ***Postherpetic neuralgia*** - Postherpetic neuralgia is characterized by **neuropathic pain** that persists in the dermatomal distribution after a **herpes zoster** rash has resolved. It does not cause generalized pruritus. - The primary symptom is **pain**, not itching, and there is no mention of a preceding vesicular rash in the patient's history. *Lichen planus* - Lichen planus can cause **severe pruritus**, and its characteristic violaceous, polygonal papules may not be immediately obvious, especially if the distribution is limited or initial lesions are subtle. - While typically associated with a rash, itching can precede or be much more prominent than the visible skin changes, and it's a chronic condition fitting a 2-week history. *Scabies* - Scabies causes intense, **generalized pruritus**, often worse at night, due to parasitic mites burrowing into the skin. - The lack of visible skin lesions and absence of a contact history, while not definitive, makes it less likely than other pruritic conditions. However, the elderly can present with atypical scabies without classic burrows. *Polycythemia vera* - **Aquagenic pruritus** (itching exacerbated by contact with water) is a classic symptom of polycythemia vera, a myeloproliferative disorder. This can present as generalized itching without obvious skin lesions. - The absence of other common symptoms of polycythemia vera, such as ruddy complexion, splenomegaly, or abnormal CBC (not provided), makes it less likely but still a possible cause of unexplained pruritus in an elderly patient. *Portal vein thrombosis* - **Pruritus can be a symptom of cholestasis** due to liver disease or obstruction of biliary flow, and portal vein thrombosis (PVT) can lead to **cirrhosis** and impaired liver function. - **Normal liver morphology** on physical exam does not rule out underlying microscopic changes or early stages of liver dysfunction that could cause cholestasis, and thus pruritus.
Explanation: ***Ascending cholangitis*** - The patient presents with **fever**, **right upper quadrant pain**, and **jaundice (icterus)**, which comprise **Charcot's triad**, highly suggestive of ascending cholangitis. - The ultrasound finding of a **dilated bile duct with a calculus** further supports a diagnosis of **biliary obstruction** leading to infection. *Pancreatitis* - Pancreatitis typically presents with **severe epigastric pain** that often **radiates to the back**, which differs from the described constant, non-radiating right hypochondriac pain. - While gallstones can cause pancreatitis, the prominent **jaundice** and **dilated bile duct** point more directly to biliary infection. *Appendicitis* - Appendicitis usually causes pain that localizes to the **right lower quadrant (RLQ)**, often starting periumbilically and migrating to McBurney's point. - The patient's symptoms of **icterus**, **right hypochondrial tenderness**, and imaging findings are inconsistent with appendicitis. *Liver abscess* - A liver abscess could present with fever and right upper quadrant pain, but **jaundice is less common** unless there is significant bile duct compression. - The ultrasound revealing a **dilated bile duct with a calculus** directly points to a biliary origin rather than a primary liver parenchymal infection. *Cholecystitis* - Acute cholecystitis presents with **fever** and **right upper quadrant pain**, but **jaundice is typically absent** unless there is concomitant obstruction of the common bile duct. - The patient's prominent icterus and the finding of a **dilated common bile duct** strongly suggest an infection extending beyond the gallbladder.
Explanation: ***Hypersplenism*** - This patient presents with **severe alcohol use**, signs of **liver disease** (fatigue, palmar erythema, abdominal distention suggestive of ascites, elevated bilirubin, AST, ALT), and **thrombocytopenia**. **Cirrhosis** from heavy alcohol use can lead to **portal hypertension**, causing **splenomegaly** and subsequent **hypersplenism**, where the spleen sequesters and destroys platelets at an accelerated rate. - The combination of **liver dysfunction** and **low platelet count** in the context of chronic alcohol abuse strongly points to hypersplenism as the cause for thrombocytopenia. *Uremia* - **Uremia** refers to a buildup of waste products in the blood due to **kidney dysfunction**, which can cause platelet dysfunction but typically does not cause a significant decrease in platelet count (thrombocytopenia) itself. - While the patient's **creatinine is slightly elevated** (1.3 mg/dL), it is not indicative of severe renal failure that would typically lead to uremia-induced bleeding diathesis, and his platelet count is significantly low rather than merely dysfunctional. *Autoimmune antibodies* - **Immune thrombocytopenia (ITP)** is caused by **autoantibodies** against platelets, leading to their premature destruction. While it causes severe thrombocytopenia, it is typically a diagnosis of exclusion and less likely given the clear evidence of advanced **liver disease** and **portal hypertension** in this patient. - There is no specific evidence or clinical context suggesting an autoimmune process is at play rather than a direct complication of chronic liver disease. *Bone marrow infiltration* - **Bone marrow infiltration** (e.g., by malignancy or fibrosis) can lead to **myelophthisic anemia** and thrombocytopenia due to the displacement of megakaryocytes. - This patient's presentation with prominent signs of **liver disease** and **chronic alcohol abuse** does not suggest bone marrow pathology as the primary cause for his thrombocytopenia. No other cytopenias (beyond mild anemia, which can be multifactorial in liver disease) are profoundly out of proportion to suggest a primary marrow disorder. *Decreased protein synthesis* - **Decreased protein synthesis** is a hallmark of severe **liver failure**, affecting the production of many proteins, including clotting factors. However, the liver primarily produces factors involved in coagulation, not platelets themselves. - While liver failure can impair thrombopoietin production, which stimulates platelet production, **hypersplenism** is a more direct and common cause of significant thrombocytopenia in the context of advanced liver disease with portal hypertension.
Explanation: ***Autoimmune hepatitis*** - The presence of **positive anti-smooth muscle antibodies**, significantly elevated **ALT** (780 U/L) with relatively lower AST (50 U/L), and signs of chronic liver disease (fatigue, dark urine, pale stools, hepatosplenomegaly, telangiectasias, **low albumin**, **high globulins**) in a young woman are highly suggestive of autoimmune hepatitis. - The **hepatocellular injury pattern** (marked transaminase elevation, especially ALT), prolonged **prothrombin time**, and **hyperglobulinemia** (6.5 g/dL) further support significant liver damage and immune activation, characteristic of this condition. - Autoimmune hepatitis typically presents in young to middle-aged women with a fluctuating course of hepatic inflammation. *Secondary biliary cirrhosis* - This condition results from **prolonged obstruction of the extrahepatic bile ducts**, which would typically cause a prominent elevation of **alkaline phosphatase** (ALP) and gamma-glutamyl transferase (GGT), and often involves a history of biliary tract disease. - While there is elevation in bilirubin, the **ALP is only mildly elevated (150 U/L)**, and the **marked transaminase elevation** is not typical for biliary obstruction, which shows a cholestatic pattern. *Primary biliary cholangitis* - This condition is characterized by chronic, progressive destruction of **small intrahepatic bile ducts**, marked by significantly elevated **alkaline phosphatase** and **positive anti-mitochondrial antibodies (AMA)**. - The patient's **ALP is only mildly elevated**, the transaminases show a hepatocellular rather than cholestatic pattern, and there is no mention of AMA positivity, making this diagnosis less likely. *Alpha-1 antitrypsin deficiency* - This genetic disorder can cause liver disease, but it typically presents with **lung disease (emphysema)** and/or liver failure in infancy or adulthood, often with a family history. - The specific liver enzyme pattern and the presence of **anti-smooth muscle antibodies** are not characteristic of alpha-1 antitrypsin deficiency. *Primary sclerosing cholangitis* - This chronic cholestatic liver disease is characterized by inflammation and fibrosis of the **intrahepatic and/or extrahepatic bile ducts**, often associated with **inflammatory bowel disease** (especially ulcerative colitis). - It would typically cause significantly elevated **alkaline phosphatase** and often presents with **cholangiographic abnormalities**. Neither are characteristic features of the presented case.
Explanation: ***Anti mitochondrial antibody (AMA)*** - The patient presents with **pruritus**, fatigue, **scleral icterus**, and **elevated alkaline phosphatase (ALP)** with normal AST/ALT, highly suggestive of **cholestatic liver disease**. The association with **celiac disease** and sicca symptoms (dry eyes) further strengthens the suspicion of **Primary Biliary Cholangitis (PBC)**. - **AMA** is the serological hallmark for PBC, present in over 90% of cases, making it the most appropriate next step for diagnosis. *Percutaneous Transhepatic Cholangiography* - This invasive procedure is typically reserved for cases where other imaging modalities fail to identify biliary obstruction, or for direct intervention, after less invasive tests have been performed. - It carries risks such as bleeding and infection and is not indicated as a first-line diagnostic test for suspected PBC. *MRCP* - **Magnetic Resonance Cholangiopancreatography (MRCP)** is ideal for visualizing the **bile ducts** and pancreatic ducts non-invasively to detect obstruction or strictures. - While it could evaluate the biliary tree, the patient's symptoms (pruritus, fatigue, icterus) and lab findings (elevated ALP, normal AST/ALT) with a normal ultrasound, along with associated autoimmune conditions, point strongly to an **intrahepatic cholestatic process** like PBC, for which AMA is more specific initially. *Anti smooth muscle antibody* - **Anti-smooth muscle antibodies (ASMA)** are primarily associated with **Autoimmune Hepatitis (AIH)**. - AIH typically presents with a **hepatitic pattern of liver injury** (significantly elevated AST/ALT), rather than the cholestatic pattern (elevated ALP with mild transaminase elevation) seen in this patient. *ERCP* - **Endoscopic Retrograde Cholangiopancreatography (ERCP)** is an invasive procedure that can both diagnose and treat biliary and pancreatic duct conditions. - Similar to PTC, it is generally reserved for situations where biliary obstruction is strongly suspected (which is less likely given the normal ultrasound), or for therapeutic intervention, not as an initial diagnostic step for suspected PBC.
Explanation: ***Diffuse activation of the coagulation cascade*** - The development of new bleeding and bruising in a patient with **sepsis** and **cirrhosis**, despite being afebrile, suggests disseminated intravascular coagulation (DIC), which involves diffuse activation of the coagulation cascade leading to consumption of clotting factors and platelets. - While initial infection caused the patient's presentation, the subsequent bleeding indicates a progression to a **consumptive coagulopathy** rather than an ongoing or worsening infection alone. *Decreased metabolism of an anticoagulant* - The patient's history includes atrial fibrillation, which might suggest anticoagulant use; however, there is **no mention of active anticoagulant therapy**, and the widespread nature of bleeding points to a systemic coagulopathy. - While liver disease can impair metabolism, the patient's symptoms are more consistent with a **primary clotting disorder** rather than an exaggerated effect of medication. *Worsening infection* - The patient's vital signs, specifically being **afebrile and having a reduced pulse**, indicate improvement in the immediate infectious response. - While infection can lead to coagulopathy, the direct cause of bleeding is the **consumption of clotting factors** due to systemic activation, not simply a worsening of the infection itself. *Decreased renal excretion of an anticoagulant* - Similar to decreased metabolism, this option assumes the patient is on an anticoagulant and that renal impairment is contributing, neither of which is explicitly stated or the most proximal cause of the widespread bleeding. - The patient's presentation is more indicative of a **consumptive process affecting multiple clotting factors** rather than delayed clearance of a single drug. *Bacterial destruction* - While bacteria can damage endothelial cells and trigger coagulation, "bacterial destruction" itself is not a direct explanation for the bleeding. - The bleeding is a consequence of the **body's response to infection (sepsis)** leading to coagulation cascade activation and subsequent consumption of clotting factors.
Explanation: ***Liver disease*** - In **cirrhosis**, the liver's ability to convert **ammonia** to **urea** is impaired due to compromised hepatocyte function. - This leads to **decreased urea production**, resulting in a disproportionately low blood urea nitrogen (BUN) level relative to creatinine, even with intact kidney function. *Spironolactone* - **Spironolactone** is a potassium-sparing diuretic that can *increase* BUN by causing **hemoconcentration** or affecting renal hemodynamics, but it does not directly lower BUN. - Its primary effect is on mineralocorticoid receptors, impacting sodium and water balance, not intrinsic urea production. *Use of probenecid* - **Probenecid** is a uricosuric agent that *increases* **uric acid excretion** by the kidneys. - It has no significant direct effect on **urea production** or **metabolism** and therefore would not explain a low BUN. *Increase in dietary protein* - An **increase in dietary protein** typically *raises* BUN levels, as protein metabolism generates **urea** as a waste product. - Therefore, this option contradicts the observed *low* BUN level. *The urea value is within normal limits* - The quoted urea nitrogen level of **4 mg/dL** is *below* the typical adult reference range (6-20 mg/dL). - While urea levels can vary, 4 mg/dL is notably low and requires explanation, especially in the context of normal creatinine.
Explanation: ***Nadolol therapy*** - This patient presents with signs of **cirrhosis** and **portal hypertension** including ascites, gynecomastia, testicular atrophy, and esophageal varices with red spots suggesting high risk of bleeding. - **Nonselective beta-blockers** like nadolol or propranolol are the first-line therapy for the **primary prophylaxis of variceal bleeding** in patients with medium to large varices, or small varices with red wale signs. *Injection sclerotherapy* - This procedure involves injecting a sclerosing agent into the varices to induce thrombosis and fibrosis. - It's a treatment for **acute variceal bleeding** or secondary prophylaxis if band ligation fails, not for primary prophylaxis. *Transjugular intrahepatic portosystemic shunt* - **TIPS** is a procedure that creates a shunt between the portal vein and a hepatic vein, reducing portal pressure. - It is often reserved for patients with refractory **ascites**, **acute variceal bleeding refractory to endoscopic and pharmacologic therapy**, or for **secondary prophylaxis** of variceal bleeding who have failed other therapies. *Endoscopic band ligation* - This procedure involves placing elastic bands over the varices to ligate them, leading to their eradication. - While **EBL is also an acceptable first-line option** for primary prophylaxis, **nonselective beta-blockers** are often preferred initially for ease of administration, better patient compliance, systemic reduction of portal pressure, and avoidance of procedural risks. - EBL would be particularly indicated if beta-blockers are contraindicated or not tolerated. *Isosorbide mononitrate therapy* - Isosorbide mononitrate is a **nitrate** that causes vasodilation, but it is **not recommended** for the prophylaxis of variceal bleeding due to lack of demonstrated efficacy and potential for adverse effects such as hypotension. - **Nitrates** may be used in conjunction with beta-blockers in some specific cases, but **never as monotherapy** for variceal bleeding prophylaxis.
Explanation: ***Presence of 30 red cells/high powered field in the urine*** - **Hepatorenal syndrome (HRS)** is a diagnosis of exclusion characterized by **functional renal failure** in the setting of severe liver disease without intrinsic renal pathology. The presence of significant red blood cells in the urine (e.g., >50 RBCs/HPF is a more definitive cutoff often used, but 30 RBCs/HPF is highly suspicious) indicates an **intrinsic renal problem**, such as glomerulonephritis or acute tubular necrosis, which would exclude HRS. - HRS typically presents with **benign urinary sediment**, meaning few or no red blood cells, white blood cells, or casts, as the kidneys themselves are structurally intact. *Low albumin levels* - **Hypoalbuminemia** is a common finding in patients with **cirrhosis** due to impaired hepatic synthesis and is often associated with ascites and edema. - It is a predisposing factor for HRS development, but its presence does not exclude or confirm the diagnosis. *Normal renal ultrasound* - A **normal renal ultrasound** indicates the absence of **structural kidney disease** (e.g., obstruction, polycystic kidneys, or severe chronic kidney disease) that could otherwise explain the renal failure. - This finding is **consistent with HRS**, as HRS is a functional renal failure without gross renal structural abnormalities, thus it does not exclude the diagnosis. *Low urea levels* - **Urea synthesis occurs in the liver**, and in patients with severe **cirrhosis**, the liver's ability to produce urea from ammonia may be impaired. - Therefore, **low urea levels (or disproportionately low BUN relative to creatinine)** can be seen in advanced liver disease, even with renal impairment, and do not exclude HRS. *Prolonged prothrombin time* - A **prolonged prothrombin time (PT)** is a hallmark of severe **liver dysfunction** due to reduced synthesis of coagulation factors. - It indicates the severity of the underlying liver disease and is a common finding in patients who develop HRS, therefore, it does not exclude the diagnosis.
Explanation: ***MRI of the pituitary gland*** - The elevated 24-hour urinary cortisol and serum cortisol levels, along with **partial suppression on the high-dose dexamethasone suppression test** and a decrease in ACTH, strongly suggest a pituitary source of **Cushing's disease**. - An MRI of the pituitary gland is the appropriate next step to visualize an **adenoma** responsible for the excess ACTH production. *MRI of the adrenal glands* - An adrenal MRI would be indicated if the ACTH levels were **low or undetectable**, suggesting an adrenal tumor as the primary cause of Cushing's syndrome. - Since ACTH levels decreased, but remained elevated, an adrenal origin is less likely. *Low-dose dexamethasone therapy for 3 months* - Dexamethasone therapy is not a treatment for Cushing's syndrome; instead, it is used as a **diagnostic tool** to assess cortisol suppression. - Long-term administration of dexamethasone would mimic iatrogenic Cushing's syndrome and **exacerbate the patient's condition**. *CT of the chest* - A CT of the chest would be considered if an **ectopic ACTH-producing tumor** (e.g., small cell lung cancer) was suspected, which typically presents with very high ACTH levels and no suppression with high-dose dexamethasone. - The partial suppression and lower ACTH levels make an ectopic source less likely in this case. *High-dose dexamethasone therapy for 3 months* - Similar to low-dose dexamethasone therapy, high-dose dexamethasone is a **diagnostic test**, not a long-term treatment for Cushing's syndrome. - Such therapy would worsen the patient's condition and **does not address the underlying pathology**.
Explanation: ***Primary sclerosing cholangitis*** - The patient's history of **ulcerative colitis**, elevated **alkaline phosphatase**, and positive **p-ANCA** are highly suggestive of **primary sclerosing cholangitis (PSC)**. - PSC often presents with **jaundice**, **pruritus**, and **right upper quadrant pain**, which are all present in this case. *Hepatitis A* - This is unlikely given the patient's **vaccination status** and the absence of recent travel to endemic areas. - While it can cause jaundice and elevated liver enzymes, it does not explain the association with **ulcerative colitis** or **p-ANCAs**. *Hepatitis B* - The patient is **vaccinated against hepatitis B**, making this diagnosis very unlikely. - Chronic hepatitis B can cause liver damage, but symptoms would typically be more gradual, and it is not directly associated with **ulcerative colitis** or **p-ANCA**. *Hepatitis E* - Although hepatitis E can cause acute hepatitis with jaundice, the patient denies recent travel abroad to **endemic areas**, and there's no clear exposure route. - Furthermore, it does not explain the chronic association with **ulcerative colitis** or the presence of **p-ANCA**. *Primary biliary cholangitis* - While it shares features like **pruritus** and elevated **alkaline phosphatase**, it is more commonly associated with **anti-mitochondrial antibodies (AMAs)**, which were not mentioned, and often affects middle-aged women. - It is also not typically associated with **ulcerative colitis** or positive **p-ANCA** to the same extent as PSC.
Explanation: ***Smoking history*** - While smoking has numerous negative health effects, it is **not directly associated with acutely elevated transaminases**. - Other common causes of elevated transaminases must be investigated first. *IV drug use* - **IV drug use** is a significant risk factor for contracting **viral hepatitis (e.g., hepatitis B or C)**, which can lead to elevated transaminases. - Sharing needles or contaminated drug paraphernalia can transmit these liver-damaging viruses. *Sex practices* - Certain **sex practices** can increase the risk of exposure to **viral hepatitis (especially hepatitis B and C)** and other sexually transmitted infections that may impact liver function. - This history can help identify potential infectious causes of transaminase elevation. *International travel* - Recent **international travel**, particularly to endemic areas, can expose individuals to various **infectious agents** such as **hepatitis A, E**, or other **parasitic infections** that affect the liver. - A travel history is essential for evaluating potential environmental or infectious causes. *Alcohol intake* - **Excessive alcohol intake** is a common cause of **alcoholic liver disease**, which is characterized by elevated transaminases. - It is critical to quantify alcohol consumption to determine if it is a contributing factor to the abnormal lab results.
Explanation: ***Intravenous cefotaxime*** - The patient's presentation with **fever**, **hypotension**, and **abdominal pain** in the context of **cirrhosis with ascites**, coupled with ascitic fluid analysis showing a **high PMN count (>250/µL)** and **positive E. coli culture**, is highly indicative of **spontaneous bacterial peritonitis (SBP)**. - **Empiric intravenous antibiotics** like cefotaxime, a third-generation cephalosporin, are the cornerstone of SBP treatment due to its broad-spectrum coverage against common enteric bacteria. - In septic patients with SBP, antibiotics represent the **definitive treatment** that addresses the source of infection. *Serum lipase level* - While **abdominal pain** is present, the overall clinical picture, particularly the **ascitic fluid analysis** and positive culture, points away from pancreatitis as the primary diagnosis. - A serum lipase level would be more relevant in evaluating suspected **pancreatitis**, which is less likely given the specific findings of SBP. *Abdominal radiography and contrast CT of the abdomen* - Although imaging can be useful in evaluating abdominal pain, the **paracentesis results** already provide a definitive diagnosis of SBP, making immediate imaging unnecessary for initial management. - Furthermore, **contrast CT** in a hypotensive patient with potentially compromised renal function from cirrhosis should be approached with caution. *Intravenous fluid resuscitation* - The patient is **hypotensive and tachycardic**, indicating **sepsis** associated with SBP, which does require **fluid resuscitation** as part of comprehensive sepsis management. - However, when selecting the **"next best step"**, **antibiotics** take priority as they address the underlying infection that is the source of sepsis, while fluids are supportive care that would be administered concurrently. - Without treating the infection, fluid resuscitation alone would not resolve the patient's condition. *Surgical consultation* - SBP is a **medical emergency** primarily managed with **antibiotics**, not surgery. - Surgical intervention is typically reserved for cases of **secondary peritonitis** (e.g., perforated viscus), which would show different ascitic fluid characteristics (e.g., higher protein, glucose, multiple organisms).
Explanation: ***Combined vasoactive and endoscopic therapy*** - The patient presents with **hematemesis**, **hypotension**, and signs of decompensated **alcoholic cirrhosis** (jaundice, splenomegaly, spider angiomas). This clinical picture is highly suggestive of **esophageal variceal bleeding**, a life-threatening emergency. - **Combined vasoactive drug therapy** (e.g., octreotide to reduce splanchnic blood flow) and **endoscopic therapy** (e.g., variceal ligation or sclerotherapy) are the recommended initial management for **active variceal bleeding** to control hemorrhage and prevent rebleeding. *Endoscopic surveillance* - **Endoscopic surveillance** is performed for patients with known varices who are **not actively bleeding** to identify varices at high risk of rupture and to initiate primary prophylaxis. - This patient is actively bleeding, making surveillance an inappropriate initial step. *Non-selective beta-blockers* - **Non-selective beta-blockers** (e.g., propranolol, carvedilol) are used for **primary and secondary prophylaxis** of variceal bleeding by reducing portal pressure. - They are **not appropriate for acute bleeding management**, as their onset of action is too slow to control active hemorrhage. *Balloon tamponade* - **Balloon tamponade** (e.g., with a Sengstaken-Blakemore tube) is a **temporary measure** used to control massive, refractory variceal bleeding when endoscopic therapy is unsuccessful or immediately unavailable. - It is a **bridge to definitive management** and carries significant risks, such as **esophageal rupture** or **aspiration**, so it is not the first-line initial treatment. *Transjugular intrahepatic portosystemic shunt (TIPS)* - **TIPS** is typically reserved for patients with **refractory variceal bleeding** that cannot be controlled by endoscopic and pharmacologic therapy, or for those with **recurrent bleeding despite optimal secondary prophylaxis**. - It is an **invasive procedure** and not the immediate initial intervention for acute variceal hemorrhage.
Explanation: ***Thrombocytopenia*** - The patient's **recurrent spontaneous abortions** suggest **antiphospholipid syndrome (APS)**, a hypercoagulable state that predisposes to both arterial and venous thrombosis. - APS likely caused **portal vein thrombosis**, leading to **prehepatic portal hypertension** (dilated portal vein, esophageal varices, and splenomegaly) with **normal liver parenchyma**. - The **splenomegaly** causes **hypersplenism**, resulting in **thrombocytopenia** due to splenic sequestration and increased destruction of platelets. - While APS can also cause immune-mediated thrombocytopenia directly, the primary mechanism here is hypersplenism secondary to portal hypertension. *Increased serum bilirubin levels* - Elevated bilirubin indicates **hepatocellular dysfunction** or **biliary obstruction**. - The ultrasound shows **normal liver parenchyma**, making significant hepatocellular damage unlikely. - Portal vein thrombosis without liver parenchymal disease does not typically cause hyperbilirubinemia. *Increased prothrombin time* - Prolonged PT reflects impaired **hepatic synthesis of coagulation factors** (II, VII, IX, X). - With **normal liver parenchyma** on imaging, synthetic liver function should be preserved. - Portal vein thrombosis alone does not impair hepatocyte function or coagulation factor synthesis. *Hepatic venous congestion* - This finding is characteristic of **Budd-Chiari syndrome** (hepatic vein thrombosis), which presents with hepatomegaly, ascites, and signs of hepatic outflow obstruction. - The patient's findings (dilated **portal vein**, normal liver parenchyma) indicate **portal vein thrombosis** causing **prehepatic portal hypertension**, not posthepatic venous congestion. *Councilman bodies* - These are **eosinophilic apoptotic hepatocytes** seen in acute liver injury (viral hepatitis, yellow fever, toxic injury). - **Normal liver parenchyma** on ultrasound excludes significant hepatocellular necrosis. - This finding is unrelated to thrombotic disorders or portal hypertension.
Explanation: ***Palmar erythema and gynecomastia*** - Both **palmar erythema** and **gynecomastia** in cirrhotic patients are due to **hyperestrogenism**, an excess of estrogen. The diseased liver cannot adequately metabolize estrogen, leading to its accumulation. - This hormonal imbalance is a common complication of **cirrhosis** due to impaired liver function. *Jaundice and flapping tremor* - **Jaundice** is due to the accumulation of **bilirubin** from impaired liver excretion, while **flapping tremor (asterixis)** is a sign of hepatic encephalopathy caused by the accumulation of **ammonia** and other neurotoxins. - While both are consequences of liver failure, they result from different metabolic dysfunctions. *Caput medusae and spider angiomata* - **Caput medusae** (dilated periumbilical veins) is caused by **portal hypertension**, leading to collateral circulation to decompress the portal system. - **Spider angiomata** are primarily related to **hyperestrogenism** and are superficial vascular lesions formed by dilated arterioles. Though both are seen in liver disease, their direct pathophysiological mechanisms differ. *Multiple bruises and loss of pubic hair* - **Multiple bruises** are typically due to **coagulopathy** (impaired synthesis of clotting factors) and **thrombocytopenia** (decreased platelet count) in liver disease. - **Loss of pubic hair** is a sign of **hypogonadism** (reduced testosterone) often seen in chronic liver disease. These are distinct pathophysiological mechanisms. *Testicular atrophy and abdominal distension* - **Testicular atrophy** is a result of **hypogonadism** (reduced testosterone production) in chronic liver disease. - **Abdominal distension** with shifting dullness indicates **ascites**, which is caused by **portal hypertension** and **hypoalbuminemia**, leading to fluid accumulation in the peritoneal cavity.
Explanation: ***Repeat abdominal ultrasound in 6 months*** - This patient has **alcoholic cirrhosis** and is at high risk for developing **hepatocellular carcinoma (HCC)** - **Current AASLD/ACR guidelines** recommend surveillance with **ultrasound (with or without AFP) every 6 months** for all cirrhotic patients - The patient just had an ultrasound showing cirrhotic changes but **no focal lesions**, and AFP is normal (8 ng/mL) - The **most appropriate next step** is to continue routine HCC surveillance with **ultrasound in 6 months** - Ultrasound is the **primary surveillance modality** due to its non-invasive nature, wide availability, and reasonable sensitivity for detecting early HCC *Measure serum α-fetoprotein levels in 3 months* - AFP alone is **not recommended** as a standalone surveillance tool for HCC - The surveillance interval for cirrhotic patients is **6 months, not 3 months** - While AFP can be checked alongside ultrasound during surveillance, it has **limited sensitivity** (approximately 60%) and is not sufficient by itself - Checking AFP in 3 months without imaging does not follow standard surveillance protocols *Perform liver biopsy now* - Liver biopsy is indicated when there is a **discrete liver lesion** that needs tissue diagnosis for staging or treatment planning - The current ultrasound shows only **diffuse cirrhotic changes** with no focal lesion identified - Biopsy is **not indicated** for routine HCC surveillance in the absence of a suspicious mass *Administer hepatitis A vaccine now* - The patient has a **positive anti-HAV IgG antibody**, indicating **prior exposure and immunity** to Hepatitis A - Vaccination is **not needed** as the patient is already immune - Hepatitis A vaccine would only be indicated in cirrhotic patients who are **anti-HAV IgG negative** *Obtain CT scan of the abdomen now* - CT or MRI is indicated when ultrasound identifies a **suspicious lesion** requiring further characterization - CT would also be considered if ultrasound quality is inadequate or if there is high clinical suspicion for HCC despite negative ultrasound - In this case, the ultrasound was adequate and showed **no focal lesions**, so advanced imaging is not currently indicated - Routine surveillance uses ultrasound, not CT, due to cost-effectiveness and lack of radiation exposure
Explanation: ***Lymphoma*** - This patient has **chylous ascites**, evidenced by peritoneal fluid **triglycerides >200 mg/dL (360 mg/dL)**, **lymphocytic predominance**, and **cloudy appearance** from chylomicrons. - Chylous ascites results from lymphatic obstruction or leakage, most commonly due to **malignancy (especially lymphoma)**, trauma, or cirrhosis with lymphatic dysfunction. - The **cachexia**, **low SAAG (0.9 g/dL)**, and systemic signs support an underlying **malignancy causing lymphatic obstruction** rather than portal hypertension alone. - Hepatitis C is a risk factor for lymphoma, and the clinical picture (weight loss, ascites without typical stigmata of advanced cirrhosis, lymphocytic fluid) points toward lymphoma as the underlying cause. *Acute decompensated heart failure* - While this patient has a history of CHF, his **vital signs are normal** and **cardiac exam shows no abnormalities**. - Heart failure causes **transudative ascites with high SAAG (>1.1 g/dL)**, not the low SAAG (0.9 g/dL) and chylous characteristics seen here. - The markedly **elevated triglycerides and lymphocytic predominance** are not features of cardiac ascites. *Infection with gram-positive bacteria* - **Gram stain is negative**, and bacterial peritonitis typically presents with **neutrophilic predominance** (PMN >250/mm³), not lymphocytic. - The elevated triglycerides and chronic presentation over 3 weeks are inconsistent with acute bacterial peritonitis. - This represents a chronic lymphatic process rather than acute infection. *Recent surgery* - The inguinal hernia repair was **3 months ago with no complications**. - Post-surgical complications would present much sooner and would not cause chylous ascites with this fluid profile. - The lymphatic obstruction pattern and systemic features suggest an unrelated systemic process. *Nephrotic syndrome* - Nephrotic syndrome requires **severe hypoalbuminemia (<2.5 g/dL)** to cause ascites. - This patient's serum albumin is **3.5 g/dL**, insufficient to cause significant third-spacing. - Nephrotic syndrome does not cause **elevated peritoneal triglycerides** or the lymphatic obstruction pattern seen here.
Explanation: ***No therapy indicated*** - This patient's presentation with **unconjugated hyperbilirubinemia**, normal liver enzymes, normal urine, and absence of constitutional symptoms, along with a family history and recurrent episodes, is highly suggestive of **Gilbert's syndrome**. - **Gilbert's syndrome** is a benign condition caused by a reduced activity of **UDP-glucuronosyltransferase**, leading to intermittent unconjugated bilirubin elevation, which typically requires **no specific treatment or intervention**. *Plasma exchange transfusion* - **Plasma exchange** is an aggressive treatment for severe hyperbilirubinemia, usually seen in conditions like **Crigler-Najjar syndrome** or severe hemolytic diseases, which is not indicated for the benign and asymptomatic nature of Gilbert's syndrome. - This procedure carries risks and is reserved for situations where bilirubin levels pose a significant threat of **kernicterus**, which is not a concern here given the unconjugated hyperbilirubinemia is mild and intermittent. *Phenobarbital* - **Phenobarbital** can induce liver enzymes, including UDP-glucuronosyltransferase, and is sometimes used to lower bilirubin levels in more severe forms of unconjugated hyperbilirubinemia like **Crigler-Najjar syndrome Type II**. - Its use is **not appropriate for Gilbert's syndrome** due to the benign nature of the condition and the potential side effects of long-term phenobarbital therapy. *Phototherapy* - **Phototherapy** is primarily used in **neonates** with hyperbilirubinemia to convert unconjugated bilirubin into water-soluble isomers that can be excreted, preventing neurotoxicity. - While effective for acute severe unconjugated hyperbilirubinemia in neonates, it is **not a practical or necessary treatment** for an adult with Gilbert's syndrome, which is a chronic and benign condition. *Inhibitors of heme oxygenase* - **Heme oxygenase inhibitors** reduce bilirubin production by blocking the initial step of heme catabolism. These agents are still largely experimental or used in very specific, rare conditions. - They are **not indicated for Gilbert's syndrome**, as the issue is with bilirubin conjugation, not overproduction, and the condition does not warrant such targeted pharmacological intervention.
Explanation: ***Cirrhosis*** - The presence of **spider angiomas** (vascular lesions with central pinpoint red spots and radiating streaks), **lack of chest and axillary hair**, **fatigue**, **weakness**, and **anorexia** are all classic signs of **chronic liver disease**, especially **cirrhosis**, which causes **gynecomastia** due to altered hormone metabolism. - **Liver failure** leads to increased **estrogen** and decreased **testosterone** levels, which promotes breast tissue growth. *Physiologic* - **Physiologic gynecomastia** typically occurs during **neonatal period**, **puberty**, or in **aging men (senescent gynecomastia)**, which is usually mild and not associated with other systemic symptoms or signs like spider angiomas. - While this patient is older, the pronounced symptoms and physical findings point to a pathological cause beyond simple aging. *Hyperthyroidism* - **Hyperthyroidism** can cause **gynecomastia**, but would typically present with symptoms such as **weight loss despite increased appetite**, **heat intolerance**, **tachycardia**, and **tremors**, which are not described in this patient. - The patient's blood pressure is low (100/68 mmHg), which further argues against a hyperthyroid state. *Chronic kidney disease* - **Chronic kidney disease (CKD)** can lead to **gynecomastia** due to hormonal imbalances and systemic illness, but it would typically present with symptoms like **edema**, **pruritus**, and **uremic frost** in advanced stages, none of which are mentioned. - The physical exam did not reveal any signs commonly associated with CKD. *Drug induced* - While **tamsulosin** can rarely cause gynecomastia, and the patient admits to taking anti-hypertensive medications, the constellation of other systemic symptoms and signs such as **spider angiomas** and **hair loss** strongly suggests an underlying systemic condition like cirrhosis rather than solely drug-induced gynecomastia. - **Drug-induced gynecomastia** alone would not explain the other prominent signs of liver dysfunction.
Explanation: ***Venous thrombosis*** - The patient's symptoms (fatigue, red urine, pallor, jaundice), lab findings (thrombocytopenia), and especially the immunophenotyping (erythrocytes deficient in **CD55 and CD59**) are highly suggestive of **paroxysmal nocturnal hemoglobinuria (PNH)**. - Patients with PNH are at significantly increased risk of **venous thrombosis**, particularly in unusual sites such as the **hepatic (Budd-Chiari syndrome)**, mesenteric, or cerebral veins, due to increased red blood cell destruction and release of prothrombotic factors. - **Venous thromboembolism is the leading cause of morbidity and mortality in PNH**, occurring in 30-40% of patients. *Hepatocellular carcinoma* - This condition is typically associated with chronic liver diseases such as **viral hepatitis** (B or C), **cirrhosis**, or **hemochromatosis**. - While chronic hemolysis in PNH can lead to iron overload, **hepatocellular carcinoma** itself is not a direct or common complication of PNH. *Pigmented gallstones* - **Pigmented (bilirubin) gallstones** can develop in conditions with chronic hemolysis (like hereditary spherocytosis or sickle cell anemia) due to increased bilirubin production from red blood cell breakdown. - These stones are typically **radiopaque** due to calcium bilirubinate content. - However, the question asks for the *greatest risk*, and **venous thrombosis** is the most life-threatening and common severe complication of PNH. *Acrocyanosis* - **Acrocyanosis** is a benign condition characterized by persistent, painless, and symmetrical cyanosis of the hands, feet, and face, often exacerbated by cold. - It is a peripheral vascular phenomenon and is not a recognized complication of **paroxysmal nocturnal hemoglobinuria (PNH)**. *Chronic lymphocytic leukemia* - **Chronic lymphocytic leukemia (CLL)** is a malignancy of B lymphocytes and is characterized by lymphocytosis and often lymphadenopathy or splenomegaly. - While PNH can be associated with bone marrow failure syndromes (e.g., aplastic anemia, myelodysplastic syndrome), **CLL** is not a direct or typical complication of PNH.
Explanation: ***Prednisone*** - The patient's presentation with **jaundice**, **splenomegaly**, and **fatigue worsening beyond her baseline SLE** suggests **hemolysis**. The image shows spherocytes and polychromasia, indicative of **autoimmune hemolytic anemia (AIHA)**. - **Corticosteroids**, like prednisone, are the first-line treatment for AIHA because they effectively suppress the immune system and reduce antibody-mediated destruction of red blood cells. *Cyclophosphamide* - Cyclophosphamide is a strong **immunosuppressant** often used in severe autoimmune conditions or refractory cases. - It would typically be considered as a **second-line agent** if corticosteroids fail to achieve remission in AIHA, not as initial treatment. *Splenectomy* - **Splenectomy** is a potential treatment for AIHA, but it is typically reserved for patients who are **refractory to corticosteroid therapy** or other immunosuppressants. - The spleen is often the primary site of red blood cell destruction in AIHA, but it's an invasive procedure and not the initial approach. *Exchange transfusion* - **Exchange transfusion** is primarily used in severe, life-threatening cases of hemolytic anemia, such as severe **alloimmune hemolytic disease of the newborn** or **sickle cell crisis**, to rapidly remove damaged red blood cells and harmful substances. - It is not a standard first-line treatment for autoimmune hemolytic anemia, especially in a stable adult patient. *Rituximab* - **Rituximab**, a monoclonal antibody targeting **CD20-positive B cells**, is an effective treatment for AIHA, particularly in cases resistant to corticosteroids. - However, it is typically considered a **second-line or third-line agent** after corticosteroids have been tried, or in combination with other immunosuppressants.
Explanation: ***Anti-mitochondrial antibody*** - The patient's symptoms (fatigue, jaundice, itching, dark urine, pale stools) and lab findings (**elevated liver enzymes, direct bilirubin, alkaline phosphatase**) are classic for **primary biliary cholangitis (PBC)**. - **Anti-mitochondrial antibodies (AMAs)** are highly specific for PBC, being present in over 95% of cases. The mother's history of "eye and mouth dryness" suggests **Sjögren's syndrome**, which is commonly associated with PBC. *Anti-centromere antibody* - This antibody is primarily associated with **limited cutaneous systemic sclerosis (CREST syndrome)**, which presents with symptoms like calcinosis, Raynaud's phenomenon, esophageal dysfunction, sclerodactyly, and telangiectasias. - The patient's presentation of cholestasis and associated symptoms is not characteristic of systemic sclerosis. *Anti-gliadin antibody* - This antibody is associated with **celiac disease**, an autoimmune disorder characterized by gluten intolerance, leading to gastrointestinal symptoms such as diarrhea, abdominal pain, and malabsorption. - There is nothing in the patient's presentation to suggest celiac disease, and the liver enzyme pattern points away from it. *Anti-neutrophilic cytoplasmic antibodies (ANCA)* - **ANCA** are associated with various autoimmune vasculitides, such as **granulomatosis with polyangiitis (GPA)** and **microscopic polyangiitis (MPA)**. - While p-ANCA can be seen in primary sclerosing cholangitis (PSC), the patient's clinical picture (female, age) and typical lab pattern is more suggestive of PBC, and ANCA are not a hallmark of PBC. *Rheumatoid factor* - **Rheumatoid factor (RF)** is a primary marker for **rheumatoid arthritis**, an autoimmune disease causing chronic joint inflammation. - While RF can be positive in other autoimmune conditions, it is not a specific diagnostic marker for PBC, and the patient's symptoms are not indicative of rheumatoid arthritis.
Explanation: ***Hyperparathyroidism*** - This patient presents with **fatigue**, **vague muscle pain**, and **constipation**, which are classic symptoms of **hypercalcemia**. Her lab results confirm **elevated serum calcium** (10.6 mg/dL). - The history of **kidney stones** and **cirrhosis** (leading to low albumin, which can falsely lower calcium, making the elevated total calcium even more significant) further supports a diagnosis of hyperparathyroidism, as parathyroid hormone increases calcium reabsorption in the kidneys and bone. *Hepatic encephalopathy* - While the patient has cirrhosis, her primary symptoms of **fatigue** and **vague pain** are not typical for hepatic encephalopathy, which usually involves **neurological signs** like confusion, asterixis, and altered mental status. - The presented vital signs and normal oxygen saturation do not suggest acute decompensation typical of severe hepatic encephalopathy. *Urinary tract infection (UTI)* - Symptoms of a UTI typically include **dysuria**, **frequency**, **urgency**, and **suprapubic pain**, none of which are described. - Her vital signs are stable, and she has no fever, ruling out an active symptomatic UTI as the primary cause of her current complaints. *Septic shock secondary to pyelonephritis* - This diagnosis would present with signs of systemic infection, such as **fever**, **tachycardia**, **hypotension**, and **renal angle tenderness**, none of which are observed in this patient. - Her normal temperature and stable blood pressure make septic shock highly unlikely. *Thyroid storm* - Thyroid storm is a life-threatening condition characterized by **fever**, **tachycardia**, **hypertension**, **altered mental status**, and often gastrointestinal symptoms, which are not seen in this patient. - Her vital signs are stable, and her symptoms are chronic and vague, inconsistent with an acute thyroid crisis.
Explanation: ***Genetic testing*** - The patient's **elevated iron (261 μg/dL), ferritin (558 ng/dL), and transferrin saturation (83%)**, along with **hyperpigmented skin**, **hepatomegaly**, and a family history of liver cancer, are highly suggestive of **hereditary hemochromatosis**. - **Genetic testing for HFE gene mutations (C282Y and H63D)** is the **current first-line confirmatory test** per AASLD guidelines when hereditary hemochromatosis is suspected with elevated iron studies. - **C282Y homozygosity** accounts for ~85-90% of hereditary hemochromatosis cases in Caucasian populations. *Abdominal ultrasonography* - While ultrasound can show **hepatomegaly** and assess for liver masses (important given family history of liver cancer), it is **not specific for hemochromatosis**. - It cannot differentiate hemochromatosis from other causes of liver enlargement or provide information about the underlying cause of iron overload. *CT of the abdomen* - CT can show increased liver density due to **iron deposition** in hemochromatosis, but this finding is **neither sensitive nor specific** enough for diagnosis. - It involves radiation exposure and is less definitive than **genetic testing** for confirming hereditary hemochromatosis. *Bone marrow biopsy* - Bone marrow biopsy evaluates **hematologic disorders** and can assess reticuloendothelial iron stores, but this is **not the site of pathologic iron accumulation** in hemochromatosis. - In hemochromatosis, iron accumulates in **parenchymal cells** (liver, pancreas, heart, pituitary), not primarily in bone marrow macrophages. - This invasive procedure is not indicated for diagnosing hemochromatosis. *Liver biopsy* - Liver biopsy with **Prussian blue staining** and hepatic iron concentration measurement was historically the gold standard for diagnosis. - Today, liver biopsy is **reserved for staging** (assessing degree of fibrosis/cirrhosis) or when **non-HFE hemochromatosis** is suspected after negative genetic testing. - Given strong biochemical evidence and availability of non-invasive genetic testing, biopsy is not the initial confirmatory test.
Explanation: ***Empiric antibiotics*** - This patient presents with **altered mental status**, **fever**, **hypotension (85/60 mm Hg)**, **tachypnea**, and **massive ascites** in the setting of **cirrhosis**, indicating **suspected spontaneous bacterial peritonitis (SBP) with septic shock**. - In a **hemodynamically unstable patient** with suspected SBP, **empiric antibiotics** (typically a third-generation cephalosporin like ceftriaxone or cefotaxime) should be initiated **immediately** without waiting for diagnostic paracentesis results. - Current **AASLD and EASL guidelines** emphasize that antibiotic therapy should not be delayed in critically ill patients, as early treatment significantly reduces mortality in SBP. - Diagnostic paracentesis should still be performed urgently but should **not delay antibiotic administration** in this unstable patient. *Diagnostic paracentesis* - While **diagnostic paracentesis** is the gold standard for confirming SBP and should be performed promptly, it is not the **best initial step** in a hemodynamically unstable patient. - In this critically ill patient with septic shock, obtaining ascitic fluid can be done **simultaneously with** or **immediately after** starting antibiotics, but antibiotics take priority. - If the patient were stable, diagnostic paracentesis before antibiotics would be appropriate to guide therapy. *Large volume paracentesis* - **Large volume paracentesis** is indicated for symptomatic relief of tense ascites causing respiratory compromise, not as an initial step in suspected infection. - In the setting of suspected SBP, only diagnostic paracentesis (50-100 mL) is needed initially, not large volume removal. *Intravenous albumin* - **Intravenous albumin** is given as adjunctive therapy in SBP patients with **renal dysfunction** (creatinine >1 mg/dL, BUN >30 mg/dL) or **hypotension** to prevent hepatorenal syndrome. - While this patient may benefit from albumin, it is not the **initial step**—antibiotics and fluid resuscitation take priority. - Albumin is typically given at 1.5 g/kg within 6 hours and 1 g/kg on day 3. *Non-selective beta-blockers* - **Non-selective beta-blockers** (propranolol, nadolol) are used for **primary and secondary prophylaxis of variceal bleeding** in portal hypertension. - They are **contraindicated** in patients with **hypotension** (BP 85/60 mm Hg), **sepsis**, or **SBP**, as they can worsen hemodynamic instability. - Recent studies suggest beta-blockers may be harmful in patients with refractory ascites or SBP.
Explanation: ***Primary biliary cholangitis*** - The patient presents with **pruritus**, **fatigue**, and elevated **ALP** with mild transaminitis, which are classic symptoms and lab findings for PBC. The presence of **anti-mitochondrial antibodies (AMA)** is highly specific for PBC, confirming the diagnosis. - PBC is an **autoimmune disease** predominantly affecting middle-aged women, characterized by chronic destruction of small **intrahepatic bile ducts**. *Alcoholic cirrhosis* - While the patient reports **heavy alcohol use**, the lab panel does not fully align with typical alcoholic liver disease. The **AST:ALT ratio** is not >2:1, which is often seen in alcoholic hepatitis or cirrhosis. - The presence of **pruritus**, significant **ALP elevation**, and **AMA positivity** are not characteristic features of alcoholic liver disease. *Cardiac cirrhosis* - **Cardiac cirrhosis** results from chronic right-sided heart failure leading to liver congestion. The patient's history and symptoms do not suggest heart failure. - There would typically be signs of **fluid overload** (e.g., peripheral edema, jugular venous distension) and no specific autoimmune markers like AMA. *Primary sclerosing cholangitis* - **Primary sclerosing cholangitis (PSC)** also causes elevated ALP and usually affects larger bile ducts, leading to characteristic "string-of-pearls" appearance on cholangiography. - PSC is strongly associated with **inflammatory bowel disease** (especially ulcerative colitis) and is more common in men, and it is typically **AMA-negative**. *Viral hepatitis* - The lab results show **anti-HBs positive** and **anti-HBc negative**, indicating prior **Hepatitis B vaccination** or resolved HBV infection, not active viral hepatitis. - **Viral hepatitis** would typically present with significantly higher **transaminase levels (ALT/AST)** and not necessarily pronounced **pruritus** or **AMA positivity**.
Explanation: ***Decreased renal perfusion*** - The patient's history of **chronic hepatitis C** with signs of **liver dysfunction** (jaundice, scleral icterus, distended abdomen with fluid wave, prolonged PT, thrombocytopenia, confusion) suggests **cirrhosis** and portal hypertension, leading to **hepatorenal syndrome (HRS)**. - **HRS** is characterized by severe **renal vasoconstriction** due to systemic vasodilation and decreased effective arterial blood volume, leading to impaired renal perfusion and function that does **not respond to fluid resuscitation**, as seen in this patient. - The **low FeNa (<1%)** reflects avid sodium retention, **unremarkable urinalysis** excludes intrinsic renal disease, and **lack of improvement with 36 hours of IV fluids** confirms the diagnosis. *Renal vein thrombosis* - This condition is often associated with **nephrotic syndrome** or hypercoagulable states, typically presenting with **flank pain**, hematuria, and a sudden decline in renal function. - The patient's clinical picture and laboratory findings (e.g., **negative urinalysis**, **low FeNa**, **no response to volume expansion**) are not typical for renal vein thrombosis, which would show abnormal imaging findings. *Renal tubular injury* - **Acute tubular necrosis (ATN)**, a form of renal tubular injury, typically occurs after **ischemic or nephrotoxic insults** and is characterized by muddy brown granular casts on urinalysis and a **high FeNa (>2%)**. - In this case, the **unremarkable urinalysis** and **FeNa <1%** argue against ATN or other primary tubular injury as the cause of acute kidney injury. *Renal microvascular thrombi* - Conditions involving renal microvascular thrombi, such as **thrombotic microangiopathy**, often present with **thrombocytopenia**, microangiopathic hemolytic anemia (schistocytes), and severe hypertension. - While the patient has thrombocytopenia, there is **no evidence of hemolysis** or other features typical of primary microvascular thrombi, and the clinical context points to liver disease as the primary etiology. *Renal interstitial inflammation* - **Acute interstitial nephritis (AIN)** is usually drug-induced (e.g., antibiotics, NSAIDs) and presents with **eosinophilia**, rash, fever, and white blood cell casts in the urine. - The patient's presentation does not include these findings, and the **unremarkable urinalysis** makes AIN less likely. The recent ceftriaxone treatment was 2 months ago, making drug-induced AIN temporally unlikely.
Explanation: ***Rotor syndrome*** - This patient's presentation with **elevated direct bilirubin**, normal liver enzymes, and **scleral icterus following a viral illness** is characteristic of Rotor syndrome. This condition is an inherited disorder of bilirubin metabolism causing conjugated hyperbilirubinemia, and is often exacerbated by stress, illness, or certain medications. - The **normal liver pathology on biopsy** confirms the diagnosis, distinguishing it from conditions with structural liver damage. *Dubin-Johnson syndrome* - While it also causes **conjugated hyperbilirubinemia** with normal liver enzymes, Dubin-Johnson syndrome is characterized by a **black discoloration of the liver** on biopsy due to impaired excretion of epinephrine metabolites, which would contradict the normal pathology finding. - Patients with Dubin-Johnson syndrome typically have **mild, chronic jaundice**, rather than the acute onset seen here following an illness. *Cholelithiasis* - **Cholelithiasis** (gallstones) would typically present with **right upper quadrant abdominal pain**, and potentially nausea and vomiting, especially after fatty meals, symptoms which are absent in this patient. - While it can cause jaundice, this would typically involve **obstructive patterns** with elevated alkaline phosphatase and often elevated direct bilirubin, but the entire clinical picture with a sick-day history and normal liver enzymes does not fit. *Crigler-Najjar syndrome* - Crigler-Najjar syndrome is characterized by **unconjugated hyperbilirubinemia** due to a deficiency in the UGT1A1 enzyme, which is responsible for bilirubin conjugation. - This patient presents with **elevated direct (conjugated) bilirubin**, making Crigler-Najjar syndrome an unlikely diagnosis. *Gilbert syndrome* - Gilbert syndrome causes **unconjugated hyperbilirubinemia** due to a mild deficiency in bilirubin glucuronosyltransferase activity, often exacerbated by stress, fasting, or illness. - This patient has a significantly **elevated direct (conjugated) bilirubin**, which rules out Gilbert syndrome.
Explanation: ***Ultrasound of the liver*** Given the patient's recent liver transplant (12 weeks ago), presenting with abdominal pain, jaundice, and elevated bilirubin, an ultrasound is the **initial diagnostic step** to assess for post-transplant complications. The most critical early complications include **hepatic artery thrombosis** (can occur within the first 3 months), **biliary complications** (strictures, obstruction, bile leak), and vascular issues. Ultrasound with Doppler is **non-invasive, readily available, and cost-effective**, providing crucial information about hepatic vasculature, bile ducts, liver parenchyma, and fluid collections. This should be the first-line imaging modality in any post-transplant patient with new onset jaundice and RUQ pain. *Viral loads* While viral infections (particularly CMV, EBV, hepatitis viruses) are common in immunosuppressed transplant patients, the acute presentation with jaundice and RUQ pain makes a structural/vascular complication more immediately likely. The patient is on valganciclovir (CMV prophylaxis), and the prior GI illness 6 weeks ago could have been viral, but this doesn't explain the current acute hepatic dysfunction. Viral loads would be appropriate if imaging is unrevealing or if there are specific clinical features suggesting viral hepatitis, but it's not the **first diagnostic step** for acute post-transplant jaundice with abdominal pain. *CT scan of the abdomen with contrast* CT with contrast provides more detailed anatomical information and better characterizes complex intra-abdominal pathology, but it is typically **reserved for when ultrasound is inconclusive** or inadequate. CT involves ionizing radiation exposure and contrast-related risks (nephrotoxicity, particularly important in transplant patients who may have renal dysfunction from calcineurin inhibitors like tacrolimus). Ultrasound should be attempted first as it can answer the critical initial questions about vascular patency and biliary dilation without these risks. *Liver biopsy* Liver biopsy is an invasive procedure with risks (bleeding, infection, bile leak) and is generally performed **after non-invasive imaging** to diagnose conditions such as acute/chronic rejection, recurrent disease, or drug-induced liver injury. Since mechanical complications (vascular thrombosis, biliary obstruction) are potentially reversible emergencies that require urgent intervention, imaging must precede biopsy to rule out these structural causes. The therapeutic tacrolimus level makes acute drug toxicity less likely as an immediate cause. *Esophagogastroduodenoscopy* EGD evaluates the upper GI tract for bleeding, varices, ulcers, or mucosal lesions. While post-transplant patients can develop portal hypertensive gastropathy or medication-related gastropathy, the dominant features here are **jaundice and elevated bilirubin**, indicating a hepatobiliary rather than luminal GI problem. There's no mention of hematemesis, melena, or significant anemia that would prioritize upper GI evaluation. The RUQ pain and hyperbilirubinemia point toward hepatic/biliary pathology requiring hepatobiliary imaging first.
Explanation: ***Give the high-dose opioids*** - Given the patient's **aggressive metastatic cholangiocarcinoma**, lack of response to chemotherapy, severe pain, and desire for effective pain relief, providing **high-dose opioids** aligns with the principles of **palliative care** and patient autonomy at the end of life. - In a situation where cure is not possible and the patient prioritizes pain relief, even with the risk of **bradypnea** or **respiratory failure**, the focus shifts to maximizing comfort and quality of life. - The **principle of double effect** applies here: the intent is to relieve suffering, not to hasten death, making this ethically appropriate end-of-life care. *Put him in a medically-induced coma during chemotherapy sessions* - A medically-induced coma is an extreme measure usually reserved for conditions like severe brain injury or intractable seizures, not for managing pain during **chemotherapy** or preventing awareness of side effects. - This option does not address the underlying issue of the **chemotherapy's ineffectiveness** and adds significant risks and complications without clear benefit in this scenario. *Stop chemotherapy* - While chemotherapy has been ineffective and caused side effects, the decision to **stop chemotherapy** solely based on patient symptoms or ineffective treatment should be a shared decision, but the question specifically asks for the next step regarding pain management. - Stopping chemotherapy without addressing the patient's severe pain and his direct request for effective pain relief would be incomplete in this context. *Continue another round of chemotherapy without opioids* - The patient has expressed unwillingness to continue chemotherapy without effective pain relief, stating he needs "something for pain that will knock him out," making this option directly contradictory to his wishes. - Continuing ineffective chemotherapy while denying proper pain management would cause further suffering without benefit, violating principles of **palliative care** and **patient autonomy**. *Give a lower dose even though it has less efficacy* - The patient explicitly stated his desire for pain relief that will "knock him out," indicating dissatisfaction with current or sub-therapeutic pain management. - Providing a **lower, less effective dose of opioids** would go against the patient's expressed wishes and would likely fail to alleviate his severe pain adequately, diminishing his quality of life in his final days.
Explanation: ***Vaccinate the patient for Hepatitis B*** - The patient's serology (HBsAg negative, HBsAb negative, HBcAb negative) indicates he is **not immune to Hepatitis B virus** and is susceptible to infection. - Given his history of **intravenous drug use**, he is at high risk for acquiring Hepatitis B, making vaccination a crucial preventive measure. *Write a prescription for a colonoscopy* - **Screening colonoscopies** are generally recommended starting at age 45 for individuals at average risk, or earlier if there's a family history or specific symptoms. - This patient is only 30 years old and has no mentioned risk factors or symptoms that would warrant an immediate colonoscopy. *Obtain a PSA* - **Prostate-specific antigen (PSA) screening** for prostate cancer is typically recommended for men starting at age 50-55, depending on individual risk factors and shared decision-making. - A 30-year-old man is **far too young** for routine PSA screening. *Draw blood for an HIV western blot* - While the patient's history of **intravenous drug use** puts him at high risk for HIV and screening is appropriate, the **Western blot** is a confirmatory test, not a primary screening test. - Initial and routine HIV screening should be performed with a **fourth-generation HIV-1/2 antigen/antibody immunoassay**, followed by confirmatory tests if positive. *Write a prescription for a fecal occult blood test* - **Fecal occult blood tests (FOBT)** are a screening method for colorectal cancer, usually recommended for individuals starting at age 45 or 50. - This 30-year-old patient is not in the appropriate age range for routine colorectal cancer screening using FOBT.
Explanation: ***Hepatitis C serology*** - The patient's presentation with **nonpruritic purpuric rash**, arthralgias, fatigue, positive rheumatoid factor, and **decreased complement levels** is highly suggestive of **mixed cryoglobulinemia syndrome**. - **Hepatitis C virus (HCV) infection** is the most common cause of mixed cryoglobulinemia (80-90% of cases), making serological testing for HCV the most appropriate next step to identify the underlying etiology. - Although the cryoglobulin test showed no precipitate, **false-negative results can occur** if the specimen is not handled properly (must be kept at 37°C during collection and transport). The **clinical syndrome** with the classic triad of purpura, arthralgias, and hypocomplementemia strongly suggests cryoglobulinemia, warranting investigation for HCV regardless of the initial negative test. *pANCA assay* - The pANCA assay is primarily used to diagnose **ANCA-associated vasculitides** like microscopic polyangiitis or eosinophilic granulomatosis with polyangiitis. - This patient's clinical picture, particularly the **polyclonal gammaglobulinemia** and **decreased complement**, is less consistent with ANCA-associated vasculitis, which typically presents with normal or elevated complement levels. *Bone marrow biopsy* - Bone marrow biopsy is indicated for evaluating **hematological malignancies** or unexplained cytopenias/cytoses. - While there are elevated gammaglobulins, the **polyclonal nature** (IgM and IgG bands) makes a monoclonal gammopathy such as multiple myeloma or Waldenström macroglobulinemia less likely at this stage. *Rapid plasma reagin test* - The rapid plasma reagin (RPR) test is used to screen for **syphilis**. - Although syphilis can present with a rash and constitutional symptoms, the specific combination of **purpuric rash**, **arthralgias**, **positive RF**, and **hypocomplementemia** points more directly to cryoglobulinemia than syphilis. *Bence Jones protein test* - The Bence Jones protein test detects **monoclonal free light chains** in urine, primarily used in the diagnosis and monitoring of **multiple myeloma** or other monoclonal gammopathies. - The patient's serum protein electrophoresis showed **polyclonal IgM and IgG bands**, not a monoclonal spike, making multiple myeloma less likely and thus urine Bence Jones protein less immediately indicated.
Explanation: ***Dubin-Johnson syndrome*** - The presence of a **black liver** during surgery is pathognomonic for Dubin-Johnson syndrome, due to the accumulation of **melanin-like pigment** from impaired hepatocyte excretion. - This syndrome is characterized by **intermittent conjugated hyperbilirubinemia** (direct bilirubin 1.1 mg/dL, total bilirubin 1.7 mg/dL) and **normal liver enzymes**, consistent with the patient's presentation of scleral icterus that resolved spontaneously. *Gilbert syndrome* - Gilbert syndrome is characterized by **unconjugated hyperbilirubinemia** due to reduced UDP-glucuronosyltransferase activity, while this patient has elevated direct bilirubin. - It does **not cause a black liver**, nor does it typically present with such a significant elevation in direct bilirubin. *Type II Crigler-Najjar syndrome* - This syndrome involves **unconjugated hyperbilirubinemia** (due to a defect in UDP-glucuronosyltransferase) and would not present with a black liver. - While less severe than Type I, it still primarily affects **unconjugated bilirubin metabolism**. *Type I Crigler-Najjar syndrome* - This is a severe form of **unconjugated hyperbilirubinemia**, often leading to **kernicterus** in infancy, and is not consistent with an adult presenting with intermittent mild icterus and normal liver enzymes. - It is not associated with a **black liver**. *Rotor syndrome* - Rotor syndrome also causes **conjugated hyperbilirubinemia** with normal liver enzymes but is distinguished from Dubin-Johnson by the **absence of a black liver**. - It is usually less severe than Dubin-Johnson and has a slightly different pattern of urinary coproporphyrin excretion.
Explanation: ***Leukemoid reaction*** - The **highly elevated leukocyte count** (66,500/mm^3) with **normal differential** and **elevated leukocyte alkaline phosphatase (LAP)** are classic features of a leukemoid reaction. - This condition is a reactive increase in white blood cells, often triggered by **severe infections, inflammation, or malignancy**, rather than a primary hematologic malignancy. - The patient's **recent cold/infection** provides a clear trigger for this reactive process. *Chronic myeloid leukemia* - While CML also presents with marked leukocytosis, it is typically characterized by a **low or normal LAP score** and a left shift with immature myeloid forms (e.g., myelocytes, metamyelocytes). - The patient's **normal differential** and **elevated LAP score** argue strongly against CML. *Acute lymphoblastic leukemia* - ALL is characterized by the presence of a large number of **lymphoblasts** (immature lymphocytes) in the blood and bone marrow, which is not suggested by the normal differential. - It usually presents with symptoms of **bone marrow failure** (anemia, thrombocytopenia, infection) and often affects children, though it can occur in adults. *Multiple myeloma* - Multiple myeloma is a plasma cell malignancy characterized by **monoclonal gammopathy**, bone lesions, renal failure, and hypercalcemia; **marked leukocytosis is not a primary feature**. - Although the patient has mildly elevated calcium, the absence of other myeloma features (renal dysfunction, anemia, bone pain) and the **very high WBC count with elevated LAP** make this diagnosis unlikely. *Chronic lymphocytic leukemia* - CLL is characterized by a **profound lymphocytosis** (elevated lymphocytes) with mature-appearing cells, which is not described by the "normal differential" of the leukocyte count. - The elevated LAP would also be unusual in CLL, as CLL cells typically have low LAP activity.
Explanation: ***Phlebotomy*** - The patient's symptoms (photosensitive blistering rash on sun-exposed areas) in combination with **elevated plasma porphyrins** and normal urinary **ALA and PBG** are classic for **porphyria cutanea tarda (PCT)**. - **Phlebotomy** is a first-line treatment for PCT, as it reduces iron stores, which in turn decreases porphyrin production and clinical symptoms. *Carbohydrate loading* - This is a treatment for **acute intermittent porphyria (AIP)** and other acute hepatic porphyrias, which present with neurovisceral symptoms, not primarily skin lesions. - The patient's normal urinary **ALA and PBG** rule out AIP. *Afamelanotide* - This is a synthetic alpha-melanocyte-stimulating hormone analog used to prevent phototoxicity in **erythropoietic protoporphyria (EPP)**. - EPP presents with immediate painful photosensitivity without blistering, and specific porphyrin patterns differ from PCT. *Splenectomy* - Splenectomy is a treatment for certain types of **hemolytic anemias** or sometimes in severe cases of **congenital erythropoietic porphyria (CEP)**, also known as Gunther's disease. - It is not indicated for PCT. *Intravenous hemin* - This is a treatment for **acute porphyric attacks** (e.g., in acute intermittent porphyria) to suppress hepatic ALA synthase activity. - PCT does not typically present with acute neurovisceral attacks and its primary treatment is not hemin.
Explanation: ***Hepatocellular carcinoma*** - This patient presents with **hemochromatosis** due to a homozygous missense mutation in the **HFE gene**, which leads to excessive iron accumulation. - Chronic iron overload in the liver is a significant risk factor for advanced **fibrosis** and eventually **hepatocellular carcinoma**. *OCP related hepatitis* - While oral contraceptive pills (OCPs) can rarely cause liver dysfunction, the patient's presentation with **skin pigmentation**, **elevated ferritin**, and a **genetic mutation** points away from simple OCP-induced hepatitis. - OCP-related liver issues typically resolve upon discontinuation of the medication and do not typically involve progressive iron accumulation or such high ferritin levels. *Copper accumulation* - **Copper accumulation** is characteristic of **Wilson's disease**, which is ruled out by the normal autoimmune lab analysis, hepatic panel, and HIV serology, and no mention of Kayser-Fleischer rings. - The elevated ferritin and AST/ALT, along with the specific HFE gene mutation, indicate **iron overload**, not copper. *Alcoholic cirrhosis* - The patient reports only consuming **1 glass of wine twice a week**, which is a very modest amount and unlikely to cause **alcoholic cirrhosis**, especially with a normal BMI and no history of heavy drinking. - The extensive skin findings and **HFE gene mutation** are not typical features of alcoholic liver disease. *Fatty liver* - The patient has a **normal BMI (21 kg/m2)** and does not have typical risk factors for **non-alcoholic fatty liver disease (NAFLD)**. - While elevated liver enzymes can occur in fatty liver, the distinct **skin findings, elevated ferritin**, and **genetic mutation** strongly point to hemochromatosis.
Explanation: ***Acute exacerbation of chronic HBV infection*** - The combination of **HBsAg positive** (indicating extant infection) and **IgM anti-HBc < 1:1,000** (a low titer consistent with chronic infection, not acute) points towards a pre-existing chronic hepatitis B infection. - The elevated **HBV DNA (2.65 × 109 IU/L)**, along with clinical symptoms like malaise, anorexia, vomiting, dark urine, and a tender liver, suggests an **acute exacerbation** of this chronic condition. *Acute HBV infection* - An acute HBV infection would typically present with a **high titer of IgM anti-HBc** and often **HBeAg positive** initially, but this patient's low IgM anti-HBc titer rules out a new acute infection. - While symptoms align with acute hepatitis, the serology (low IgM anti-HBc) is not characteristic of primary acute infection. *Passive immunity* - Passive immunity would be characterized by the presence of **Anti-HBs without HBsAg**, which is not seen here. - This scenario usually occurs after receiving hepatitis B immunoglobulin or transplacental transfer of antibodies. *Acute resolving infection* - A resolving acute infection would typically show a **decrease in HBsAg** and the **presence of Anti-HBs**, neither of which are observed in this patient. - The **high viral load (HBV DNA)** and persistent HBsAg also contradict a resolving infection. *Resolved HBV infection (innate immunity)* - A resolved HBV infection is defined by the **absence of HBsAg** and the **presence of Anti-HBs**, along with anti-HBc. - This patient still has **HBsAg present** and **Anti-HBs negative**, ruling out a resolved infection.
Explanation: ***Violaceous lesions on skin exam*** - A CD4 count of 180/mm³ indicates severe **immunosuppression**, making the patient highly susceptible to **opportunistic infections** and cancers, such as Kaposi sarcoma. - **Kaposi sarcoma** typically presents with violaceous (purple-blue) cutaneous lesions, which are often the initial manifestation of the disease in HIV-positive patients. *Multifocal demyelination on brain MRI* - This finding is characteristic of **progressive multifocal leukoencephalopathy (PML)**, caused by the **JC virus**. - PML typically occurs at **CD4 counts below 100/mm³**, lower than the patient's current count, although still possible with severe immunosuppression. *Ring-enhancing lesions on brain MRI* - **Ring-enhancing lesions** on brain MRI are often seen in cerebral **toxoplasmosis** or CNS **lymphoma** in HIV patients. - Toxoplasmosis usually presents with focal neurological deficits and seizures, and is more common with CD4 counts below 100/mm³. *Cotton-wool spots on fundoscopy* - **Cotton-wool spots** are a common finding in **HIV retinopathy** due to retinal ischemia. - While possible, they are non-specific and are usually asymptomatic, whereas the patient's presentation suggests a more prominent and diagnosable condition. *Ground-glass opacities on chest CT* - **Ground-glass opacities** on chest CT are characteristic of **Pneumocystis jirovecii pneumonia (PJP)**, a common opportunistic infection in HIV patients. - While PJP is a strong possibility with a CD4 count <200/mm³, the question asks for a finding that is *most likely* given the patient's general appearance and the option of Kaposi sarcoma, which manifests directly on examination.
Explanation: ***Intubation*** - The patient exhibits signs of **airway compromise** and hypoxemic respiratory failure due to continuous vomiting and worsening mental status, indicated by a GCS score consistent with severe neurological impairment (GCS < 8). - **Securing the airway via intubation** is the priority to prevent aspiration and ensure adequate ventilation and oxygenation in a patient with active hematemesis and altered mental status. *Transfuse blood products* - While transfusion is often necessary for significant bleeding in variceal hemorrhage, the immediate priority in this deteriorating patient is **airway protection and stabilization**. - Transfusion alone will not address the immediate risk of **aspiration** or progressive respiratory compromise. *Emergency surgery* - Emergency surgery (e.g., portosystemic shunt) for variceal bleeding is typically considered only after **endoscopic and pharmacological therapies have failed** to control hemorrhage. - It is a **more invasive** and higher-risk procedure that is not the immediate first-line intervention for acute variceal bleeding. *IV fluids and fresh frozen plasma* - **IV fluids** are crucial for initial resuscitation in hypovolemic shock, and **fresh frozen plasma (FFP)** can help correct coagulopathy in cirrhotic patients. - However, these interventions do not address the immediate and critical need for **airway protection** in a patient with active vomiting and declining mental status. *Emergency variceal banding* - **Endoscopic variceal banding** is a primary treatment for acute variceal bleeding but requires a **secured airway** and patient cooperation. - Given the patient's deteriorating mental status and ongoing hematemesis, performing endoscopy immediately without prior intubation carries a high risk of **aspiration**.
Explanation: ***Elevated α-fetoprotein*** - The patient has a history of **hepatitis C**, which is a significant risk factor for **hepatocellular carcinoma (HCC)**. The physical exam findings of **scleral icterus**, **telangiectasias**, a **firm and nodular liver**, and symptoms like fatigue and weight loss are highly suggestive of **liver cirrhosis** and potentially HCC. - **α-fetoprotein (AFP)** is a tumor marker commonly elevated in patients with **hepatocellular carcinoma**, especially in the context of chronic liver disease. *Elevated antimitochondrial antibodies* - **Antimitochondrial antibodies (AMAs)** are the serological hallmark of **primary biliary cholangitis (PBC)**, a chronic cholestatic liver disease. - While PBC is a liver condition, the patient's history of **hepatitis C** and the ultrasound findings point away from PBC as the primary diagnosis. *Lesion with eccentric calcification on chest CT* - A lesion with **eccentric calcification** on chest CT could suggest a **lung granuloma** or a **malignant nodule**, particularly in a patient with a heavy smoking history. - However, given the strong evidence pointing to liver pathology (hepatitis C, icterus, telangiectasias, nodular liver), and symptoms of liver failure, a primary pulmonary finding is less likely to be the *most likely* additional finding in this context. *Elevated carcinoembryonic antigen* - **Carcinoembryonic antigen (CEA)** is a tumor marker primarily associated with **colorectal cancer**, although it can be elevated in other cancers (e.g., gastric, pancreatic, lung) and some benign conditions. - While the patient's father died of colon cancer, his current clinical presentation (specifically liver signs and hepatitis C history) makes HCC a much stronger immediate concern than primary colon cancer. *Bacteremia* - **Bacteremia** (bacterial infection in the blood) can cause fatigue and weight loss, but it doesn't explain the specific physical findings of **scleral icterus**, **telangiectasias**, or a **firm, nodular liver**, which are classic signs of advanced liver disease. - While patients with cirrhosis can be prone to infections, there is no direct evidence here to suggest active bacteremia as the most likely primary pathology.
Explanation: ***Nonalcoholic steatohepatitis*** - The patient's **obesity (BMI 31)**, **type 2 diabetes mellitus**, and elevated liver enzymes (ALT > AST) in the absence of significant alcohol intake or other causes of liver disease are highly suggestive of **nonalcoholic fatty liver disease (NAFLD)**, with the biopsy findings of **hepatocyte ballooning degeneration** and **inflammatory infiltrates** confirming progression to **nonalcoholic steatohepatitis (NASH)**. - **NASH** is a severe form of NAFLD characterized by **steatosis**, **inflammation**, and hepatocyte injury (ballooning degeneration), which can progress to cirrhosis and liver failure. *Autoimmune hepatitis* - This condition is typically characterized by high levels of **autoantibodies** (e.g., ANA, anti-smooth muscle antibodies), which are not mentioned and would be an important diagnostic clue. - Although it can cause elevated transaminases and inflammatory infiltrates, the biopsy typically shows **interface hepatitis** and prominent plasma cell infiltrates, rather than significant steatosis and ballooning degeneration. *Viral hepatitis* - While viral hepatitis (e.g., hepatitis B or C) causes elevated transaminases and inflammatory changes, the biopsy findings of **hepatocyte ballooning** are not characteristic. - The patient's presentation does not include risk factors or symptoms typically associated with acute or chronic viral hepatitis, and serological markers would be required for diagnosis. *Primary biliary cholangitis* - This is a chronic autoimmune cholestatic liver disease primarily affecting **interlobular bile ducts**, usually seen in middle-aged women. - It is characterized by elevated **alkaline phosphatase** levels and positive **antimitochondrial antibodies (AMA)**, which are not described in this patient, and the biopsy would show granulomatous destruction of bile ducts. *Alcoholic fatty liver disease* - Although the biopsy findings of **steatosis**, **hepatocyte ballooning**, and **inflammation** can be seen in alcoholic liver disease, the patient's reported alcohol consumption of "one glass of red wine every other day" is well below the threshold for causing significant alcoholic liver damage. - **Alcoholic hepatitis** typically involves an AST:ALT ratio of >2 and a history of heavy, prolonged alcohol use.
Explanation: ***Hepatocellular carcinoma*** - This patient presents with classic signs and symptoms of **hereditary hemochromatosis**, including fatigue, reduced libido, joint pain, bronzed skin (strongly-tanned), testicular atrophy, hepatomegaly, elevated liver enzymes, diabetes (glucose 250 mg/dL), and slightly elevated ferritin. - **Chronic iron overload** leading to cirrhosis is a major risk factor for developing **hepatocellular carcinoma**. *Pancreatic carcinoma* - While **diabetes mellitus** can increase the risk of pancreatic carcinoma, it is not the most direct or highest risk complication in a patient with hereditary hemochromatosis, where **iron deposition in the liver** is the primary concern for malignancy. - Hereditary hemochromatosis primarily affects organs involved in iron storage, with the liver being paramount. *Progressive central obesity* - **Central obesity** is typically associated with **metabolic syndrome** and **insulin resistance**, but it is not a direct complication of hereditary hemochromatosis itself. - The patient's diabetes is due to iron deposition in the pancreas, not primarily obesity. *Adrenal crisis* - **Adrenal crisis** is a complication of **adrenal insufficiency** (e.g., Addison's disease), which can be caused by iron deposition in the adrenal glands in hemochromatosis. - However, it is a less common and usually later complication compared to the risk of hepatocellular carcinoma due to progressive liver damage. *Non-Hodgkin lymphoma* - There is no strong direct association between **hereditary hemochromatosis** and an increased risk of **Non-Hodgkin lymphoma**. - Lymphomas are typically associated with immune dysfunction or specific viral infections, not primary iron overload.
Explanation: **Purpura** - **Purpura** are skin lesions caused by **extravasation of red blood cells** into the skin, appearing as violaceous, non-blanching spots that are typically 2 mm to 1 cm in size. The patient's lesions, measuring 4–7 mm and being non-blanching, fit this description. - In a patient with **chronic hepatitis C**, purpura, especially when accompanied by **arthralgia** (ankle pain), is highly suggestive of **cryoglobulinemic vasculitis**, which is a common extrahepatic manifestation of hepatitis C. *Ecchymoses* - **Ecchymoses** are larger areas of superficial bleeding into the skin, typically greater than 1 cm in diameter, commonly known as **bruises**. - While they are violaceous and non-blanching, the described lesions are smaller (4–7 mm) and appear as diffuse, slightly raised spots rather than typical bruises from trauma. *Petechiae* - **Petechiae** are very small, pinpoint (typically <2 mm) red or purple spots caused by minute hemorrhages into the skin. - The patient's lesions are larger (4–7 mm) than petechiae, making this option less likely. *Hemangioma* - A **hemangioma** is a benign tumor of blood vessels, often appearing as a raised, red or bluish lesion that typically does not resolve spontaneously in adults. - These lesions are usually permanent vascular malformations, whereas the patient's presentation suggests a more acute onset of extravascular bleeding. *Spider angioma* - A **spider angioma** is a cluster of dilated capillaries radiating from a central arteriole, resembling a spider. They **blanch with pressure** and are often associated with liver disease (due to estrogen excess). - The patient's lesions are described as **non-blanching** and diffuse, not resembling the characteristic "spider" appearance, and are indicative of extravasated blood rather than dilated vessels.
Explanation: ***Superior rectal vein*** - The presence of **cirrhosis** and **portal hypertension** leads to dilated **superior rectal veins**, forming **internal hemorrhoids** above the dentate line. - The description of **enlarged bluish vessels above the dentate line** along with painless, bright red blood in stool, is characteristic of bleeding from internal hemorrhoids caused by portal hypertension. *Middle rectal artery* - The middle rectal artery supplies the rectum but is not typically a source of **internal hemorrhoidal bleeding**, which originates from the venous plexuses. - Arterial bleeding would likely be more profuse and pulsatile, and the associated symptoms point towards venous congestion. *Inferior rectal vein* - The inferior rectal vein drains into the **systemic circulation** (internal pudendal vein), not the portal system, so it is not directly affected by portal hypertension. - Bleeding from the inferior rectal vein would typically be associated with **external hemorrhoids**, which present below the dentate line and are often painful. *Inferior mesenteric artery* - The inferior mesenteric artery supplies the **distal colon and upper rectum**, but bleeding from this artery itself would be unrelated to hemorrhoids. - Furthermore, isolated arterial bleeding without other symptoms or signs of a specific arterial lesion is less likely in this context. *Internal iliac vein* - The internal iliac vein is a large systemic vein that drains the pelvic organs, including the rectum via the middle and inferior rectal veins. - However, direct bleeding from the internal iliac vein itself is rare and would typically occur in the context of **trauma** or specific vascular lesions, not common hemorrhoidal bleeding.
Explanation: ***Perform large-volume paracentesis*** - The patient presents with **tense, distended ascites** refractory to diuretics and a low-sodium diet, evidenced by progressive abdominal distention and weight gain despite current management. **Large-volume paracentesis** is the most effective approach for immediate symptomatic relief - The patient's clinical picture includes signs of **hepatic encephalopathy** (decreased attention span, asterixis) and **decompensated cirrhosis** (ascites, portal hypertension signs), but the immediate priority is to relieve the discomfort and respiratory compromise associated with large ascites. *Refer for liver transplantation* - While ultimately this patient may be a candidate for a **liver transplant** due to decompensated cirrhosis, it is not the immediate next step for managing **symptomatic tense ascites**. - Liver transplantation involves extensive evaluation and a waiting period, and the acute issue needs to be addressed first. *Refer for peritoneovenous shunt* - **Peritoneovenous shunts** are rarely used due to high complication rates, including shunt thrombosis, infection, and disseminated intravascular coagulation. - They are considered only in cases of **refractory ascites** where paracentesis is not feasible or effective long-term, which is not the case here as paracentesis has not been attempted for the current increase in ascites. *Change propranolol to carvedilol* - Both **propranolol** and **carvedilol** are non-selective beta-blockers used to reduce portal pressure, but **carvedilol** has additional alpha-1 blocking properties that may offer slightly more hemodynamic effects. - However, switching beta-blockers will not directly address the immediate issue of **tense ascites** and could potentially worsen **hypotension** given the current blood pressure of 109/56 mm Hg. *Refer for transjugular intrahepatic portosystemic shunt* - A **TIPS** procedure is considered for **refractory ascites** that does not respond to repeated large-volume paracentesis and aggressive diuretic therapy. - Given that a large-volume paracentesis has not been performed for the current exacerbation, **TIPS** would be a premature intervention and is associated with risks such as worsening hepatic encephalopathy.
Explanation: ***Correct: PCR for viral RNA*** - The patient has high suspicion for **chronic hepatitis C infection** due to a history of intravenous drug use, the presence of **fatigue**, **myalgia**, **jaundice**, hepatosplenomegaly, and **elevated liver enzymes (AST and ALT)** - The **blisters and erosions on the dorsum of both hands** are highly suggestive of **porphyria cutanea tarda (PCT)**, a well-established complication of chronic hepatitis C caused by hepatic uroporphyrinogen decarboxylase deficiency - The positive **Hepatitis C antibody** indicates exposure to HCV, but does not distinguish between acute, chronic, or resolved infection - **PCR for viral RNA (HCV RNA)** is required to confirm **active viral replication** and diagnose current hepatitis C infection, which is crucial for treatment decisions - The elevated glucose (170 mg/dL) may also represent hepatogenous diabetes related to chronic liver disease *Incorrect: PCR for viral DNA* - This test is primarily used for diagnosing active infections caused by **DNA viruses**, such as **hepatitis B** (HBV DNA) or cytomegalovirus - The patient's hepatitis B serology indicates **past infection with immunity** (HBsAg negative, HBsAb positive, HBcAb positive), so HBV DNA testing is not indicated - The clinical picture points toward HCV (an RNA virus), not a DNA virus *Incorrect: Western blot for HIV* - While the patient has a history of intravenous drug use (a risk factor for HIV), initial HIV screening is done with a **fourth-generation antigen/antibody combination assay**, not Western blot - **Western blot** is a confirmatory test used only when initial HIV screening tests are reactive - HIV testing may be appropriate given her risk factors, but it does not address the most pressing concern of active hepatitis C infection with complications (PCT) *Incorrect: Serology for anti-HAV IgM* - **Anti-HAV IgM** indicates **acute hepatitis A infection**, typically transmitted via the fecal-oral route - The patient's symptoms, risk factors (IV drug use), positive HCV antibody, and characteristic skin findings (PCT) are not consistent with hepatitis A as the primary diagnosis - Hepatitis A would not explain the chronic nature of symptoms or the skin manifestations *Incorrect: Liver biopsy* - **Liver biopsy** is an invasive procedure used to assess the **extent of liver damage**, inflammation, and fibrosis/cirrhosis after diagnosis of liver disease has been established - It is not the most appropriate initial step to confirm **active viral replication**; PCR for HCV RNA should be performed first to establish that there is ongoing infection - Once active HCV is confirmed, non-invasive methods (e.g., FibroScan, serum markers) are often preferred over biopsy for staging liver fibrosis
Explanation: ***Positive anti-smooth muscle antibodies*** - The patient's history of **Hashimoto thyroiditis**, fatigue, weight loss, elevated transaminases, and liver biopsy showing **plasma cell infiltration** and **periportal piecemeal necrosis** are classic features of **autoimmune hepatitis**. - **Type 1 autoimmune hepatitis**, accounting for about 80% of cases, is strongly associated with the presence of **anti-smooth muscle antibodies (ASMA)** and **antinuclear antibodies (ANA)**. *Elevated serum transferrin saturation* - **Elevated transferrin saturation** is a hallmark of **hemochromatosis**, a disorder of iron overload. - While hemochromatosis can cause liver damage, the biopsy findings of plasma cell infiltration and periportal piecemeal necrosis are not consistent with iron deposition. *Positive anti-HCV antibodies* - **Positive anti-HCV antibodies** indicate exposure to the **hepatitis C virus**, which can cause chronic hepatitis and cirrhosis. - However, the biopsy findings, particularly the **plasma cell infiltration**, are more characteristic of autoimmune hepatitis than viral hepatitis. *Positive anti-mitochondrial antibodies* - **Anti-mitochondrial antibodies (AMAs)** are the serological hallmark of **primary biliary cholangitis (PBC)**. - PBC primarily affects the small bile ducts, leading to cholestasis, and typically presents with signs like **pruritus** and elevated **alkaline phosphatase**, which are not reported here. *Positive HBV surface antigen* - **Positive hepatitis B virus (HBV) surface antigen** indicates either acute or chronic **hepatitis B infection**. - While HBV can cause chronic liver inflammation, the biopsy findings of **plasma cell infiltration** are not typical for viral hepatitis, making autoimmune hepatitis a more likely diagnosis given the clinical context.
Explanation: ***Hepatocellular carcinoma*** - The combination of **elevated hemoglobin**, **elevated erythropoietin** (EPO), and high red cell volume indicates **secondary polycythemia**. **Paraneoplastic syndromes**, such as ectopic EPO production by **hepatocellular carcinoma**, are a cause of secondary polycythemia. - The patient's age and gender are consistent with the demographics for hepatocellular carcinoma, which is associated with **chronic liver diseases**. *Chronic myelogenous leukemia* - CML is a **myeloproliferative neoplasm** characterized by the **Philadelphia chromosome (BCR-ABL1 fusion gene)**, leading to increased production of mature and immature granulocytes. - While CML can cause leukocytosis, it does not typically present with **elevated EPO** or significant polycythemia, but rather with low to normal EPO levels. *Polycythemia vera* - **Polycythemia vera** is a **myeloproliferative disorder** characterized by autonomous erythroid production, typically linked to a **JAK2 V617F mutation**. - This condition presents with **low or undetectable EPO levels** due to negative feedback from high red cell mass, which contradicts the elevated EPO in this patient. *Excessive diuretic use* - Excessive diuretic use can lead to **dehydration** and **hemoconcentration**, resulting in a falsely elevated hemoglobin. - However, it would not cause increased red cell volume or an **elevated erythropoietin level**, as the total red cell mass remains normal. *Chronic obstructive pulmonary disease* - COPD can cause **secondary polycythemia** due to chronic hypoxemia, which stimulates EPO production. - However, the patient's **oxygen saturation of 99%** on room air rules out hypoxemia as the cause of elevated EPO.
Explanation: ***Alpha 1-antitrypsin deficiency*** - The patient's symptoms of **shortness of breath** and **chest tightness** refractory to asthma medication, coupled with a **barrel-chested appearance**, suggest **emphysema**. The **jaundiced conjunctivae** and **spider nevi** indicate liver involvement, which is characteristic of alpha 1-antitrypsin deficiency. - This genetic disorder primarily affects the lungs, leading to **early-onset emphysema**, and can also cause **liver disease** due to the accumulation of misfolded alpha 1-antitrypsin protein. *Pneumomediastinum* - This condition involves air in the mediastinum, typically presenting with **acute chest pain**, **dyspnea**, and sometimes **subcutaneous emphysema**. - It does not explain the chronic symptoms, liver signs, or barrel-chested appearance seen in this patient. *Kartagener syndrome* - This is a subgroup of **primary ciliary dyskinesia** characterized by the triad of **bronchiectasis**, **sinusitis**, and **situs inversus**. - While it can cause chronic respiratory issues, it does not typically present with liver abnormalities or a barrel-chested appearance. *Pulmonary hypertension* - Patients with pulmonary hypertension experience progressive **dyspnea**, chest pain, and **fatigue**, often with signs of **right heart failure**. - It does not account for the barrel chest, jaundice, or spider nevi, which point to a primary lung and liver disorder. *Bilateral pneumothorax* - A bilateral pneumothorax would present as an **acute, life-threatening emergency** with sudden onset of **severe dyspnea** and chest pain. - This condition is unlikely given the 2-month history of worsening symptoms and the other physical exam findings.
Explanation: ***Sofosbuvir and ledipasvir therapy*** - This patient has chronic **Hepatitis C (HCV) infection** (HCV antibody positive, HCV RNA positive). **Sofosbuvir/ledipasvir** is an effective **direct-acting antiviral (DAA)** regimen for **genotype 1 HCV**, which is indicated for treatment-naïve patients without cirrhosis. - The liver biopsy findings of **mononuclear infiltrates** and **periportal necrosis** confirm active hepatitis and the need for antiviral treatment to prevent progression to cirrhosis. *Peginterferon alpha therapy* - **Peginterferon alpha** was historically used for HCV, but its use has largely been replaced by **DAAs** due to significant side effects and lower efficacy. - This therapy is associated with numerous adverse effects, including **flu-like symptoms**, **depression**, and **bone marrow suppression**. *Interferon and ribavirin therapy* - This combination was a standard treatment for HCV before the advent of DAAs, but it is associated with a high burden of **side effects** like **hemolytic anemia** (from ribavirin) and **flu-like symptoms** (from interferon). - Given the availability of highly effective and well-tolerated DAAs, this regimen is no longer considered first-line for chronic HCV. *Tenofovir and entecavir therapy* - **Tenofovir** and **entecavir** are antiviral medications primarily used for the treatment of **chronic Hepatitis B (HBV) infection**. - This patient's **Hepatitis B surface antigen is negative**, ruling out chronic HBV infection as the primary issue requiring these specific drugs. *Tenofovir and velpatasvir therapy* - While **velpatasvir** is a DAA used for HCV, its combination with **tenofovir** is not a standard HCV treatment for genotype 1. - **Tenofovir** is primarily an anti-HBV drug; for HCV, velpatasvir is typically combined with **sofosbuvir** (as in Epclusa) for pan-genotypic coverage.
Explanation: ***Ultrasound*** - The patient presents with **fever**, **RUQ pain**, and **ascites**, along with a history of **polycythemia vera** which increases the risk of **thrombosis**. These symptoms strongly suggest **Budd-Chiari syndrome**, a condition where there is **hepatic vein obstruction**. - **Doppler ultrasound** is the **initial diagnostic test of choice** for suspected Budd-Chiari syndrome, as it is non-invasive and can visualize hepatic vein flow, identify clots, and detect ascites. *Venography* - **Hepatic venography** is considered the **gold standard** for diagnosing Budd-Chiari syndrome but is **invasive** and typically performed only if Doppler ultrasound is inconclusive or if interventional procedures are planned. - It would not be the best **next step** given the availability of less invasive imaging options for initial assessment. *MRI* - **MRI** with MR venography can provide detailed visualization of hepatic veins and parenchyma, and is useful if ultrasound is inconclusive. - However, similar to venography, it is **not typically the first-line imaging modality** due to its higher cost and longer acquisition time compared to ultrasound. *Liver biopsy* - A **liver biopsy** can confirm liver damage and identify the cause of liver disease, but it is **invasive** and associated with risks like bleeding. - It is usually reserved for cases where other diagnostic methods have not provided a clear diagnosis, and it would not be the initial diagnostic step for suspected vascular obstruction. *Echocardiography* - **Echocardiography** evaluates the heart's structure and function. While important for assessing cardiac causes of abdominal symptoms (e.g., right-sided heart failure causing liver congestion), it would not directly diagnose hepatic vein obstruction. - The patient's symptoms are localized to the abdomen with **RUQ pain** and signs of **ascites**, making a primary cardiac issue less likely as the initial diagnostic focus.
Explanation: ***Budd-Chiari syndrome*** - This diagnosis is strongly supported by the presence of **abdominal pain**, **jaundice**, **hepatomegaly**, and **ascites** (indicated by shifting abdominal dullness and a positive fluid wave), along with **hepatic vein thrombosis** on ultrasound. - The patient's history of **oral contraceptive pill** use is a significant risk factor for thrombosis, further pointing to Budd-Chiari syndrome, and the liver biopsy findings of **central zone congestion and necrosis** are characteristic. *Viral hepatitis* - This is unlikely as the **hepatitis viral panel** shows **negative results** for all tested hepatitis viruses (HAV, HBV, HCV, HDV, HEV). - Viral hepatitis typically presents with elevated liver enzymes and may progress to liver failure but does not inherently cause hepatic vein thrombosis. *Drug-induced hepatitis* - While oral contraceptive pills can cause liver abnormalities, severe acute drug-induced hepatitis leading to **hepatic vein thrombosis** as the primary pathology is less common than in Budd-Chiari syndrome. - The clinical presentation and imaging findings are more specific to a vascular obstruction. *Hemochromatosis* - This is a genetic disorder of **iron overload** that typically presents with symptoms like **fatigue**, **joint pain**, **diabetes**, and **skin pigmentation**, often years later in life. - It does not primarily cause acute hepatic vein thrombosis or the rapid onset of symptoms described. *Nonalcoholic fatty liver disease* - This is typically associated with **metabolic syndrome**, **obesity**, and **insulin resistance**, and usually has a more chronic and indolent course. - It does not present with **acute hepatic vein thrombosis** or the rapid development of jaundice and ascites seen in this patient.
Explanation: ***Reassurance*** - The patient's presentation with **recurrent, stress-induced jaundice** (after crying and a hiking trip) and **unconjugated hyperbilirubinemia** with otherwise normal liver enzymes and CBC strongly suggests **Gilbert's syndrome**. - Gilbert's syndrome is a **benign, inherited condition** characterized by decreased bilirubin conjugation, which often becomes noticeable during periods of stress, fasting, or illness, and requires no specific treatment beyond reassurance. *Phenobarbital* - While phenobarbital can induce **CYP450 enzymes** and accelerate bilirubin conjugation, it is typically used in more severe unconjugated hyperbilirubinemia conditions like Crigler-Najjar syndrome, not the benign Gilbert's syndrome. - Gilbert's syndrome does not require medication as it is a harmless condition and treatment with phenobarbital would be unnecessary and potentially harmful due to its side effects. *Refer for liver transplantation* - Liver transplantation is a treatment for **severe, end-stage liver failure** or certain genetic disorders causing profound liver dysfunction. - The patient's normal liver enzymes (AST, ALT, ALP, GGT), normal hemoglobin, and mild, intermittent hyperbilirubinemia indicate **no significant liver damage** or failure. *Packed cell transfusion* - Packed cell transfusions are indicated for **anemia** or significant blood loss. - The patient's hemoglobin level of 15 g/dL is within the normal range, indicating that he is **not anemic**. *Prednisone* - Prednisone is a **corticosteroid** used to suppress inflammation or the immune system, typically in autoimmune conditions or severe inflammatory diseases. - There is **no indication of an inflammatory or autoimmune process** affecting the liver or red blood cells in this patient.
Explanation: ***Cefotaxime*** - The patient presents with classic signs of **spontaneous bacterial peritonitis (SBP)**: increasing abdominal discomfort in a cirrhotic patient with ascites, and a diagnostic paracentesis showing **ascitic fluid neutrophil count >250 cells/mm³** (1196 × 0.85 = 1016 neutrophils/μL). - **Third-generation cephalosporins** like cefotaxime or ceftriaxone are the **first-line treatment** for SBP due to their broad-spectrum coverage against common enteric gram-negative bacteria (especially E. coli and Klebsiella). - Treatment should be initiated promptly once SBP is diagnosed to reduce mortality. *Transjugular intrahepatic portosystemic shunt placement* - TIPS is primarily used for **refractory ascites** or **recurrent variceal bleeding** that is not responsive to medical management. - It is **not indicated** for the acute treatment of SBP and would be inappropriate in the setting of active infection. *Large volume paracentesis with albumin* - Large volume paracentesis is used to relieve symptoms of **tense ascites** causing respiratory compromise or severe discomfort, not as a primary treatment for SBP. - While albumin is often given with large volume paracentesis (>5L removed) to prevent post-paracentesis circulatory dysfunction, it does not treat the underlying bacterial infection. *Increased furosemide and spironolactone* - Diuretics like furosemide and spironolactone are used to manage **chronic ascites** by promoting fluid excretion. - Increasing their dose will not address the active bacterial infection causing SBP and may worsen renal function in an acutely ill patient. *Metronidazole* - Metronidazole is primarily effective against **anaerobic bacteria** and some protozoa. - While it might be considered in specific polymicrobial intra-abdominal infections, it is **not sufficient as monotherapy** for SBP, which commonly involves gram-negative aerobic bacteria like E. coli and Klebsiella species.
Explanation: ***Platelet sequestration*** - The patient's history of IV drug use, jaundice, abdominal distension, firm liver, splenomegaly, and increased portal vein diameter are highly suggestive of **portal hypertension** due to **cirrhosis**, which often leads to **splenomegaly**. - An enlarged spleen (splenomegaly) sequesters a disproportionately high percentage of the body's platelets, leading to **thrombocytopenia**, even if total platelet production is normal. - **Splenic sequestration** is the **primary mechanism** of thrombocytopenia in cirrhosis with portal hypertension; up to **90% of platelets** can be sequestered in an enlarged spleen. - Additionally, the diseased liver produces less **thrombopoietin (TPO)**, which contributes to reduced platelet production, but sequestration remains the dominant mechanism. *Dilutional effect* - A dilutional effect on platelet count typically occurs with **massive transfusions** of packed red blood cells and crystalloids, which is not indicated in this patient's presentation. - While fluid overload can dilute blood components, the patient's symptoms point specifically to a **liver pathology** and related complications, not simply volume expansion. *Bone marrow-based disorder* - A primary bone marrow disorder would likely affect other cell lines as well, but the patient's hemoglobin and leukocyte counts are within normal limits, making a general **bone marrow suppression** less likely. - Furthermore, the strong evidence of **cirrhosis and portal hypertension** provides a more direct and common explanation for isolated thrombocytopenia in this context. *Increased platelet clearance* - While increased platelet clearance can cause thrombocytopenia (e.g., in immune thrombocytopenia or thrombotic microangiopathies), there are no signs of increased destruction or consumption in this case. - Conditions involving increased clearance usually present with other features like petechiae, purpura, or schistocytes, which are not mentioned. - The clinical picture is most consistent with **sequestration** rather than **destruction**. *Genetic disorder* - Genetic disorders causing thrombocytopenia typically present much earlier in life or have a family history, which does not fit this patient's age and clinical presentation. - The patient's history of **IV drug use** and the findings of advanced liver disease indicate an **acquired condition**, not a congenital one.
Explanation: ***Administer lactulose*** - The patient exhibits classic symptoms of **hepatic encephalopathy** (disorientation, slurred speech, somnolence, asterixis as demonstrated by Image A), combined with findings consistent with **cirrhosis** (jaundice, ascites, gynecomastia, decreased facial hair, history of hepatitis C and TIPS). - **Lactulose** is the first-line treatment for hepatic encephalopathy as it acidifies the colon, promoting the conversion of ammonia (a neurotoxin) to ammonium, which is then trapped and excreted in the feces. *Administer neomycin and glucose* - **Neomycin** is an antibiotic that can reduce ammonia-producing bacteria in the gut but is generally considered a second-line agent due to potential side effects like **ototoxicity** and **nephrotoxicity**. - **Glucose** administration is not a primary treatment for hepatic encephalopathy; it would only be indicated if the patient were hypoglycemic, which is not suggested by the clinical picture. *IV albumin and antibiotic therapy with cefotaxime* - **IV albumin** is primarily used in **spontaneous bacterial peritonitis (SBP)** to prevent hepatorenal syndrome, and the paracentesis finding of < 100 cells/mcL neutrophils suggests SBP is unlikely. - **Cefotaxime** is an appropriate antibiotic for **SBP**, but the patient's presentation is more consistent with hepatic encephalopathy, not an active infection. *Administer rifaximin and glucose* - **Rifaximin** is a non-absorbable antibiotic used to reduce ammonia-producing bacteria in the gut, often as an add-on or alternative to lactulose for maintenance therapy or in cases unresponsive to lactulose alone. It is not generally the initial monotherapy for an acute, severe encephalopathy episode. - As mentioned, **glucose** is not a primary treatment for hepatic encephalopathy. *Liver transplantation* - **Liver transplantation** is a definitive treatment for end-stage liver disease, but it is not the **next best step** for acute management of hepatic encephalopathy. - The immediate priority is to address the acute encephalopathy episode pharmacologically before considering long-term solutions like transplantation, which has a complex workup and waiting list.
Explanation: ***Steroids should be considered*** - The patient has **tuberculous meningitis**, evidenced by the presence of **acid-fast bacilli** in the CSF, lymphocytic pleocytosis, high protein, and low glucose. **Corticosteroids** (e.g., dexamethasone) are recommended in conjunction with anti-TB drugs for tuberculous meningitis to reduce inflammation, cerebral edema, and improve outcomes, especially in severe cases. - The MRI findings of **meningeal enhancement** and **hydrocephalus**, along with the patient's unconscious state, indicate severe inflammation, making steroid use crucial to mitigate neurological sequelae. *Treatment should only be started after CSF culture results* - This is incorrect because **tuberculous meningitis** is a severe and rapidly progressive condition where delaying treatment can lead to significant morbidity and mortality. - The **acid-fast bacilli stain** is a strong indicator, and empirical anti-TB therapy should be initiated immediately based on clinical suspicion and direct microscopy findings, without waiting for culture results which can take weeks. *Check liver enzymes regularly* - While it is important to monitor liver enzymes due to the potential **hepatotoxicity** of anti-tuberculous drugs (especially isoniazid and rifampin), this is a routine monitoring measure rather than an immediate management decision regarding treatment initiation or adjunctive therapies in this acute setting. - It is an important part of the overall management plan but does not address the immediate, critical decisions about the patient's current severe neurological infection. *Verify response to antibiotic therapy* - This is an important long-term aspect of management, but it is not an immediate action. Verifying response typically involves clinical improvement, repeat CSF analysis, and sometimes imaging, which occurs after the initial treatment has been commenced and had time to act. - The immediate concern is to initiate the most effective and comprehensive treatment upfront, including adjunctive steroids, given the severity of the condition. *Acyclovir should be started empirically as well* - This is incorrect because the CSF analysis with **acid-fast bacilli** staining has already strongly pointed towards a bacterial (specifically mycobacterial) infection, making **viral encephalitis** less likely as the primary diagnosis. - There are no specific clinical or laboratory findings (e.g., temporal lobe involvement on MRI, absence of AFB) that would merit empirical antiviral therapy with acyclovir in this context, especially when a clear bacterial pathogen has been identified.
Explanation: ***High sinusoidal pressure*** - In **liver cirrhosis**, the fibrotic changes and regenerating nodules increase resistance to blood flow, leading to **portal hypertension** and increased pressure in the hepatic sinusoids. - This elevated pressure drives fluid from the sinusoids into the abdominal cavity, forming **ascites**. *Peritoneal tuberculosis* - This condition typically presents with **ascitic fluid protein levels above 2.5 g/dL** and a significantly elevated **lymphocytic cell count** in the ascitic fluid. - The patient's ascitic protein level is 1 g/dL, and the polymorphonuclear cell count is low, making this diagnosis less likely. *Pancreatic disease* - Pancreatic ascites results from a leaking **pancreatic duct or pseudocyst**, leading to ascitic fluid with very high **amylase levels** and often a high protein content. - While the patient has alcohol use, the clinical presentation and paracentesis results point more strongly towards liver-related ascites rather than pancreatic. *Serositis* - **Serositis** involves inflammation of serous membranes, often seen in autoimmune diseases, and can cause ascites with a higher protein content and inflammatory cells. - The patient's primary symptoms and signs are consistent with advanced liver disease, not systemic inflammatory serositis. *Peritoneal carcinomatosis* - **Peritoneal carcinomatosis** usually leads to ascites with a **high protein content** (>2.5 g/dL), sometimes with **malignant cells** present in the ascitic fluid cytology. - The low ascitic fluid protein and absence of other signs of malignancy make this an unlikely cause.
Explanation: ***Perform endotracheal intubation*** - This patient is actively vomiting large amounts of blood and is **confused and disoriented**, placing him at high risk for **aspiration**. - **Endotracheal intubation** is crucial in this scenario to protect the airway and prevent aspiration pneumonia, which can be life-threatening. *Administer cryoprecipitate* - **Cryoprecipitate** contains factors VIII, XIII, von Willebrand factor, and fibrinogen and is used to treat bleeding in patients with severe **hypofibrinogenemia** or **uremic platelet dysfunction**. - While patients with cirrhosis may have coagulopathy, there's no indication of severe hypofibrinogenemia or uremic platelet dysfunction here, and intubation takes precedence due to the risk of aspiration. *Administer intravenous octreotide* - **Octreotide** is a somatostatin analog that reduces portal hypertension and splanchnic blood flow, making it useful in the management of **esophageal variceal bleeding**. - Although the patient has features consistent with variceal bleeding (cirrhosis, hematemesis, ascites), **airway protection** is the most immediate life-saving intervention given his altered mental status and active vomiting. *Place nasogastric tube* - A **nasogastric tube** can be useful for aspiration of gastric contents to assess bleeding activity and prepare for endoscopy, but it carries risks of further trauma in actively bleeding varices. - Furthermore, placing an NG tube in a patient with active hematemesis and altered mental status without first securing the airway significantly increases the risk of aspiration. *Perform upper endoscopy* - **Upper endoscopy** is the definitive diagnostic and therapeutic procedure for upper gastrointestinal bleeding, especially in suspected variceal hemorrhage. - However, performing an endoscopy on an actively vomiting, confused patient without prior **airway protection** is unsafe and would delay the most critical initial step.
Explanation: ***Low serum ceruloplasmin concentration*** - This patient presents with a classic triad of **neurological symptoms** (difficulty walking, slowed speech, tremor), **psychiatric symptoms** (flat affect), and **hepatic involvement** (hepatosplenomegaly, grandfather's early death from esophageal varices), strongly suggesting **Wilson's disease**. - A photograph of the eye likely shows a **Kayser-Fleischer ring**, a hallmark of Wilson's disease, caused by copper deposition, and the disease is characterized by **low serum ceruloplasmin**, the primary copper-carrying protein in the blood. *Increased number of CAG repeats* - An increased number of **CAG repeats** is characteristic of **Huntington's disease**, which typically presents with chorea, dementia, and psychiatric symptoms. - While there are neurological and psychiatric symptoms, the presence of hepatosplenomegaly and the likely Kayser-Fleischer rings point away from Huntington's disease. *Positive anti-hepatitis B virus IgG antibodies* - **Positive anti-hepatitis B virus IgG antibodies** would indicate past exposure to or vaccination against **Hepatitis B**, which can cause liver disease. - However, the complex neurological and psychiatric symptoms, along with the specific family history and eye findings, are not typical for chronic Hepatitis B infection. *Skin deposits of lipid-laden macrophages* - **Skin deposits of lipid-laden macrophages** (xanthomas) are characteristic of various **lipid storage disorders** or severe hyperlipidemia. - This finding is not associated with the constellation of neurological, psychiatric, and hepatic symptoms and the family history presented here. *Destruction of lobular bile ducts on liver biopsy* - The **destruction of lobular bile ducts** is a hallmark of **primary biliary cholangitis (PBC)**, an autoimmune liver disease. - PBC predominantly affects middle-aged women and causes cholestasis and cirrhosis, but the prominent neurological and psychiatric symptoms seen here are not typical features of PBC.
Explanation: ***Decreased liver synthetic function*** - A low **serum albumin** (2.6 g/dL) is a direct measure of decreased liver synthetic function, which impairs the liver's ability to produce **thyroxine-binding globulins (TBGs)**. Reduced TBGs lead to lower total serum thyroxine (T4) because less T4 is bound and transported in the blood. - The patient's history of **alcoholism**, current **cirrhosis** (ascites, easy bruising, thrombocytopenia, coagulopathy), and elevated liver enzymes further support severe liver dysfunction as the cause of reduced TBG synthesis and, consequently, low total T4. *Transient central hypothyroidism (sick euthyroid syndrome)* - **Sick euthyroid syndrome** typically presents with low total T4, but also often low T3 and TSH that can be normal, low, or slightly elevated, reflecting hypothalamic-pituitary axis dysfunction in the context of severe illness. However, the primary driver here is the severe liver synthetic dysfunction. - While this patient is severely ill, the pronounced **hypoalbuminemia** directly points to a significant **hepatic synthetic defect** as the more direct cause of the low total T4. *Autoimmune thyroiditis* - **Autoimmune thyroiditis**, such as **Hashimoto's thyroiditis**, causes hypothyroidism by destroying thyroid tissue, leading to high TSH and low T4. This patient's TSH is normal (3.4 µU/mL), effectively ruling out primary hypothyroidism. - While there is a family history of Hashimoto's, the patient's normal TSH level indicates that his low T4 is not due to primary thyroid failure. *Acute hepatitis causing an elevation in thyroxine-binding globulin* - **Acute hepatitis** can cause elevated transaminases, but it typically does not lead to an increase in **thyroxine-binding globulin (TBG)**. Liver inflammation acutely, if severe, might impair synthesis or function, but would not elevate TBG to cause low T4. - **Elevated TBG** would actually *increase* total T4 levels, not decrease them, as more T4 would be bound. This option contradicts the observed findings. *Urinary loss of thyroxine-binding globulin due to nephrotic syndrome* - **Nephrotic syndrome** can cause significant proteinuria, leading to urinary loss of proteins, including **thyroxine-binding globulin (TBG)**, which would result in low total T4. - However, there are no clinical signs or laboratory findings suggestive of **nephrotic syndrome** (e.g., massive proteinuria, peripheral edema from low albumin not liver disease), and this patient's liver disease is a more direct and evident cause of low TBG.
Explanation: ***Liver cirrhosis*** * This patient has **metabolic syndrome**, characterized by **central obesity** (waist >88 cm in women), **hypertension** (≥130/85 mm Hg), **low HDL cholesterol** (<50 mg/dL in women), **elevated triglycerides** (≥150 mg/dL), and **type 2 diabetes mellitus**. * Metabolic syndrome is strongly associated with **non-alcoholic fatty liver disease (NAFLD)**, which affects **70-90% of patients** with this condition. * NAFLD can progress to **non-alcoholic steatohepatitis (NASH)**, then to **hepatic fibrosis**, and ultimately **cirrhosis**—making this patient's greatest long-term risk without intervention. * NAFLD is now the **leading cause of chronic liver disease** in developed countries, and the combination of obesity, insulin resistance, and dyslipidemia directly promotes hepatic lipid accumulation and inflammation. *Incorrect: Osteoporosis* * While common in post-menopausal women, **obesity is generally protective against osteoporosis** due to increased weight-bearing stress on bones and higher estrogen levels from adipose tissue aromatization. * No specific risk factors for osteoporosis (e.g., corticosteroid use, smoking, low calcium intake) are present. *Incorrect: Rheumatoid arthritis* * This is an **autoimmune condition** not associated with metabolic syndrome. * The patient has no symptoms of joint pain, morning stiffness, or synovitis that would suggest rheumatoid arthritis. * Metabolic factors do not increase the risk of developing rheumatoid arthritis. *Incorrect: Subarachnoid hemorrhage* * While **hypertension** is a risk factor for hemorrhagic stroke, subarachnoid hemorrhage is more specifically associated with **ruptured aneurysms** or **arteriovenous malformations**. * The patient's moderately elevated blood pressure poses some cardiovascular risk, but this is not the greatest risk compared to the progressive liver disease associated with metabolic syndrome. *Incorrect: Central sleep apnea* * **Central sleep apnea** (cessation of respiratory effort) is primarily associated with **heart failure**, **stroke**, or **opioid use**—not metabolic syndrome. * **Obstructive sleep apnea** (OSA) is what's associated with obesity and metabolic syndrome, but that is not an option here. * While this patient may be at risk for OSA, central sleep apnea is not the primary concern in metabolic syndrome.
Explanation: ***Aspiration event*** - This patient's presentation is **classic for aspiration**: found **covered in vomit**, acutely **intoxicated** with altered mental status, and now presenting with **wheezing**. - **Aspiration of gastric contents** causes chemical irritation and **bronchospasm**, which manifests as diffuse wheezing without crackles. - The **chest X-ray can be initially normal** in aspiration - radiographic changes (infiltrates, consolidation) may not appear for **6-24 hours** after the event. - The **AST:ALT ratio of 2:1** (200:100) suggests chronic alcohol use, further increasing aspiration risk. - Treatment includes supportive care, bronchodilators for bronchospasm, and monitoring for development of aspiration pneumonitis or pneumonia. *Environmental antigen* - While **environmental allergens** can trigger asthma exacerbations with wheezing, this doesn't explain the patient being **covered in vomit and urine**. - The clinical context strongly points toward aspiration rather than an allergic trigger. - No history of asthma is mentioned, and the transaminase elevation suggests chronic alcohol use as the primary issue. *Bacterial infection* - **Bacterial pneumonia** typically presents with **fever**, productive cough, crackles on exam, and infiltrates on chest X-ray. - This patient is **afebrile**, has **no crackles**, and an **unremarkable chest X-ray**, making bacterial infection unlikely at this time. - Aspiration can lead to secondary bacterial pneumonia, but this develops over 24-48 hours. *Elastic tissue destruction* - **Emphysema** (elastic tissue destruction) is a chronic condition presenting with **progressive dyspnea** and hyperinflation, typically in patients with long smoking history. - This is an **acute presentation** in a young patient, and emphysema doesn't cause acute wheezing episodes as the primary manifestation. *Clot in pulmonary vasculature* - **Pulmonary embolism** presents with sudden dyspnea, pleuritic chest pain, and hypoxemia, but **wheezing is not a typical feature**. - The prominent diffuse wheezing and clinical context of intoxication with vomiting make PE unlikely.
Explanation: ***Destruction of intrahepatic bile ducts*** - The constellation of **fatigue**, **pruritus**, **jaundice**, markedly elevated **alkaline phosphatase**, and positive **antimitochondrial antibodies (AMA)** in a middle-aged woman strongly indicates **primary biliary cholangitis (PBC)**. - PBC is a **chronic autoimmune liver disease** characterized by the progressive, immune-mediated destruction of **small intrahepatic bile ducts**. It is also associated with other autoimmune diseases, such as the patient's **hypothyroidism** (indicated by elevated anti-thyroid peroxidase antibodies). *Inflammation and fibrosis of the biliary tree* - This description is more characteristic of **primary sclerosing cholangitis (PSC)**, which typically affects **larger intrahepatic and extrahepatic bile ducts**, often associated with **inflammatory bowel disease** (especially ulcerative colitis) and **p-ANCA** positivity. - Unlike PBC, PSC is more common in men and is not typically associated with high titers of **antimitochondrial antibodies**. *Autoimmune-mediated destruction of hepatocytes* - This describes **autoimmune hepatitis (AIH)**, which primarily targets **hepatocytes** rather than bile ducts. - AIH presents with elevated **aminotransferases (AST/ALT)**, positive **antinuclear antibodies (ANA)**, and sometimes **anti-smooth muscle antibodies (ASMA)**, which are not characteristic findings in this patient. *Idiopathic hepatocellular accumulation of fat* - This describes **non-alcoholic fatty liver disease (NAFLD)**, which is associated with metabolic syndrome risk factors such as obesity, type 2 diabetes, and hyperlipidemia. - While it can cause fatigue, the prominent **pruritus**, high **alkaline phosphatase**, **jaundice**, and positive **AMA** are not typical features of NAFLD. *Neoplasia of the ampulla of Vater* - This is an **obstructive cause** of jaundice, typically presenting with progressive jaundice, weight loss, and potentially **Courvoisier's sign** (palpable gallbladder). - While it would explain direct hyperbilirubinemia and elevated alkaline phosphatase, it would not explain the high titers of **antimitochondrial antibodies** or the strong association with autoimmune thyroid disease.
Explanation: ***Anti-hepatitis C antibodies*** - The patient's presentation with **purpuric rash**, **fatigue**, **renal failure** (elevated creatinine, RBC casts, proteinuria), **decreased serum complement**, and **subendothelial immune complex deposits with tram-track splitting on renal biopsy** are classic features of **Type I membranoproliferative glomerulonephritis (MPGN)**, which is strongly associated with **cryoglobulinemia**. - **Cryoglobulinemia**, particularly Type II or III, often occurs in the setting of **chronic hepatitis C virus (HCV) infection**. *Antineutrophil cytoplasmic antibodies* - These antibodies are characteristic of **ANCA-associated vasculitides** such as granulomatosis with polyangiitis, microscopic polyangiitis, and eosinophilic granulomatosis with polyangiitis. - While these can cause rapidly progressive glomerulonephritis, the renal biopsy findings of **subendothelial immune complex deposits** and **decreased complement levels** are not typical for ANCA vasculitis, which is usually **pauci-immune**. *Anti-DNA topoisomerase antibodies* - Also known as **anti-Scl-70 antibodies**, these are specific for **systemic sclerosis (scleroderma)**. - This patient's symptoms (rash, renal involvement) are not typical for systemic sclerosis, which usually involves skin tightening, Raynaud's phenomenon, and interstitial lung disease. *Anti-desmoglein antibodies* - These antibodies are found in **pemphigus vulgaris**, an autoimmune blistering skin disease. - The patient's rash is described as purpuric papules, not blisters, and the systemic and renal involvement is inconsistent with pemphigus vulgaris. *Anticardiolipin antibodies* - These are associated with **antiphospholipid syndrome**, which can cause vascular thrombosis and recurrent pregnancy loss. - While antiphospholipid syndrome can cause renal involvement (e.g., thrombotic microangiopathy), the specific renal biopsy findings (subendothelial immune complex deposits, tram-track splitting) and the purpuric rash are less consistent with primary antiphospholipid syndrome.
Explanation: ***Paracentesis*** - The patient's **distended abdomen**, **dullness to percussion**, and **fluid wave** are classic signs of **ascites**. Given his history of **alcohol abuse** and **hepatitis C**, he is at high risk for cirrhosis-related ascites, which can become infected (spontaneous bacterial peritonitis, or **SBP**). - A **paracentesis** is crucial for diagnosing SBP by analyzing the ascitic fluid for **cell count (especially PMNs)**, culture, and other parameters. It's the most appropriate first step in a patient with new-onset ascites or suspected SBP, especially if they are febrile. *Ceftriaxone* - While **antibiotics** are indicated for **spontaneous bacterial peritonitis (SBP)**, initiating empiric antibiotics like **ceftriaxone** before diagnostic paracentesis could mask the causative organism and make diagnosis difficult. - Paracentesis is necessary to confirm SBP and guide specific antibiotic therapy, though empiric antibiotics should be started promptly after fluid collection if SBP is highly suspected. *CT abdomen* - A **CT scan** would provide detailed anatomical information but is not the most urgent or appropriate first step for diagnosing **SBP** or guiding immediate management in this setting. - While it can confirm ascites, it cannot establish the diagnosis of infection or determine the fluid's cellular content, which is critical for treatment decisions. *Cefotaxime* - Similar to ceftriaxone, **cefotaxime** is an appropriate **antibiotic** for treating **spontaneous bacterial peritonitis (SBP)**. - However, performing a **diagnostic paracentesis** to confirm SBP and obtain fluid for analysis is the priority before initiating empiric antibiotic therapy, just as with ceftriaxone. *Ultrasound* - An **ultrasound** can confirm the presence of **ascites** and rule out other causes of abdominal distension, and can also guide paracentesis. - However, in a patient with suspected **spontaneous bacterial peritonitis (SBP)** and clear signs of ascites, performing the **diagnostic paracentesis** is the most direct and urgent next step to identify infection, making it more critical than just imaging.
Explanation: ***Ascites*** - The patient presents with classic signs of **portal hypertension** (splenomegaly, increased portal vein diameter, liver surface nodularity suggesting cirrhosis), and **ascites** is the most common and often the earliest major complication. - The presence of **abdominal discomfort** and an **RUQ mass** could be related to severe liver disease and its complications, including fluid accumulation or an underlying liver malignancy often associated with cirrhosis. *Hepatopulmonary syndrome* - This involves **intrapulmonary vascular dilatations** in the setting of liver disease leading to oxygenation defects, typically marked by platypnea and orthodeoxia, which are not described here. - While a complication of **cirrhosis**, it is less common than ascites and typically presents with respiratory symptoms not highlighted in this case. *Hepatic encephalopathy* - Characterized by **neuropsychiatric symptoms** due to the accumulation of toxins (e.g., ammonia) that the liver cannot detoxify. - The patient's presentation mainly focuses on physical weakness, abdominal issues, and jaundice, without mention of confusion, asterixis, or altered mental status. *Hepatorenal syndrome* - This is a form of **functional renal failure** that occurs in patients with advanced liver disease, presenting with rapidly progressive azotemia due to severe splanchnic vasodilation. - It is a **later and more severe complication** of liver failure, and while possible, ascites is typically seen much earlier and more frequently. *Hepatic osteodystrophy* - This refers to a group of **metabolic bone disorders** (osteoporosis, osteomalacia) that can occur in chronic liver disease. - While it can manifest as bone pain, it is not a direct or immediate complication of portal hypertension and would not explain the acute abdominal findings.
Explanation: ***Hepatitis C virus antibodies*** - The patient's history of **intravenous drug use** and **chronic fatigue** with **elevated liver enzymes** strongly suggests chronic viral hepatitis, with hepatitis C being the most common blood-borne infection in persons with IVDU history. - **Hepatitis C** is the **most prevalent chronic viral hepatitis** in the United States among persons with history of injection drug use, with transmission efficiency via needle sharing being very high. - Hepatitis C often has a **long asymptomatic phase** (decades) before symptoms like fatigue and liver damage become apparent, making antibody testing the appropriate initial screen. - While both HBV and HCV should ultimately be screened in this patient, **HCV prevalence is significantly higher** in the IVDU population, making it the priority initial test. *Hepatitis B surface antigen* - While **hepatitis B** can also be transmitted via intravenous drug use and cause chronic liver disease, **hepatitis C is more prevalent** in persons with IVDU history in the United States. - **HBsAg** is used to detect active hepatitis B infection and should also be ordered, but given resource constraints and the clinical context, **anti-HCV is the higher-yield initial test**. - Many IVDU patients have been vaccinated against HBV, further reducing its likelihood compared to HCV (for which no vaccine exists). *Hepatitis E virus-specific IgM antibodies* - **Hepatitis E** is typically transmitted via the **fecal-oral route** (contaminated water) and usually causes **acute, self-limiting hepatitis**, not chronic insidious fatigue and liver enzyme elevation in a Western patient. - **IgM antibodies** would indicate an acute infection, which is less likely given the 6-month duration of symptoms. - HEV rarely causes chronic infection except in immunocompromised patients. *Hepatitis D virus-specific IgG antibody* - **Hepatitis D** requires an existing **hepatitis B infection** to replicate (it's a satellite virus), meaning you would first need to confirm chronic hepatitis B before testing for HDV. - While HDV can cause severe liver disease and is transmitted via blood exposure, it's not the initial test to pursue without evidence of HBV co-infection. *Hepatitis A virus-specific IgM antibodies* - **Hepatitis A** is transmitted via the **fecal-oral route** and causes an **acute, self-limiting infection** with complete resolution, rarely leading to chronic liver disease or persistent fatigue over 6 months. - **IgM antibodies** are indicative of acute infection, which contradicts the chronic nature of the patient's symptoms. - HAV does not cause chronic hepatitis.
Explanation: ***Primary biliary cholangitis*** - The combination of significantly elevated **alkaline phosphatase** (indicating cholestasis), positive **antimitochondrial antibodies (AMA)**, and an inflammatory infiltrate around the bile ducts on biopsy is highly diagnostic of primary biliary cholangitis (PBC). - PBC is a **chronic autoimmune liver disease** predominantly affecting middle-aged women, characterized by progressive destruction of small intrahepatic bile ducts. *Pancreatic cancer* - Pancreatic cancer typically presents with symptoms like **jaundice**, weight loss, and abdominal pain, none of which are present in this asymptomatic patient. - While it can cause cholestasis and elevated ALP, it would usually be associated with a **dilated common bile duct** on imaging and often obstructive symptoms. *Hepatic amyloidosis* - Hepatic amyloidosis can elevate ALP, but it would not typically be associated with **positive antimitochondrial antibodies**. - Liver biopsy would show **amyloid deposits** rather than an inflammatory infiltrate surrounding biliary ducts. *Choledocolithiasis* - Choledocolithiasis (bile duct stones) would cause an **obstructive pattern** of elevated ALP, but it is often acutely symptomatic with **biliary colic** or cholangitis. - It would not typically involve positive **antimitochondrial antibodies** or an inflammatory infiltrate characteristic of an autoimmune bile duct disease on biopsy. *Fascioliasis* - Fascioliasis is a **parasitic infection** that can cause eosinophilia and liver enzyme elevation, but it is associated with exposure to contaminated watercress or aquatic plants. - It would not typically present with positive **antimitochondrial antibodies** and the specific inflammatory infiltrate seen in PBC.
Explanation: ***Hepatorenal syndrome*** - This patient with **decompensated cirrhosis** and **oliguria** exhibits a rapid increase in **creatinine** (2.2 to 2.9 mg/dL over 4 days) without evidence of intrinsic kidney disease (negative urinalysis with no casts, minimal proteinuria). This points toward **Hepatorenal Syndrome (HRS)**, a severe complication of advanced liver disease. - The **bland urinalysis** is the key diagnostic feature of HRS, distinguishing it from acute tubular necrosis. HRS results from severe vasoconstriction of renal arteries in the setting of splanchnic vasodilation from portal hypertension. - The development of **altered mental status** along with worsening renal function further supports HRS, as it reflects progressive hepatic decompensation and hepatic encephalopathy. *Chronic kidney disease* - While patients with cirrhosis can develop CKD, the **rapid onset** of renal failure and oliguria over just 4 days, coupled with normal urinalysis, is less typical for primary chronic kidney disease exacerbation. - CKD usually presents with more gradual changes in creatinine and may show signs of kidney damage (like proteinuria or casts) on urinalysis, which are absent here. *Pyelonephritis* - **Pyelonephritis**, a kidney infection, would typically present with fever, flank pain, and significant abnormalities on urinalysis such as **leukocyte esterase**, **nitrites**, and **white blood cell casts**, none of which are present. - The absence of infectious markers in the urine makes pyelonephritis an unlikely cause of the acute renal deterioration. *Acute tubular necrosis* - **Acute tubular necrosis (ATN)**, often caused by ischemia or nephrotoxins, would typically show signs of tubular damage on urinalysis, such as **muddy brown casts** and renal tubular epithelial cells. - The urinalysis in this case is bland, with no evidence of casts or significant cellular debris, ruling out ATN as the primary diagnosis. *Glomerulonephritis* - **Glomerulonephritis** would typically present with **hematuria**, **proteinuria**, and potentially **red blood cell casts** on urinalysis, indicating glomerular inflammation. - The patient's urinalysis is benign, showing no red blood cell casts or significant proteinuria, making glomerulonephritis an unlikely diagnosis.
Explanation: ***Hyperlipidemia*** - This patient presents with symptoms and lab findings highly suggestive of **primary biliary cholangitis (PBC)**, including pruritus, fatigue, dull abdominal pain with RUQ tenderness, hepatomegaly, elevated AST/ALT, significantly elevated alkaline phosphatase, and mild hyperbilirubinemia. - **Hyperlipidemia** is one of the most common metabolic complications of PBC, occurring in up to 75-85% of patients, often presenting early in the disease course due to impaired bile acid secretion and altered cholesterol metabolism. - Total cholesterol can be markedly elevated (often >300 mg/dL), and this finding is more consistent and universal than other potential manifestations. *Anti-smooth muscle antibodies* - **Anti-smooth muscle antibodies (ASMA)** are primarily associated with **autoimmune hepatitis**, a condition characterized by significant elevations in transaminases (typically ALT > AST) rather than alkaline phosphatase predominance. - PBC is characterized by **anti-mitochondrial antibodies (AMA)**, which are present in 90-95% of cases, not ASMA. - The marked elevation in **alkaline phosphatase** and prominent pruritus point to a cholestatic process (PBC) rather than hepatocellular injury (autoimmune hepatitis). *Skin hyperpigmentation* - **Skin hyperpigmentation** does occur in PBC (in approximately 25-50% of patients) due to melanin deposition, particularly in sun-exposed areas and areas of prior scratching. - However, **hyperlipidemia** is both more prevalent (affecting 75-85% vs 25-50%) and occurs earlier in the disease course, making it the most likely additional finding in this patient. - Hyperpigmentation typically develops later as the disease progresses. *Anti-neutrophil cytoplasmic antibodies* - **Anti-neutrophil cytoplasmic antibodies (ANCA)** are primarily associated with **vasculitis**, such as granulomatosis with polyangiitis (Wegener's) or microscopic polyangiitis. - This patient's clinical picture, with prominent pruritus and cholestatic liver enzyme pattern, does not suggest an underlying vasculitic process. *Personality changes* - **Personality changes** can be a feature of **hepatic encephalopathy**, which occurs in advanced liver failure due to the accumulation of neurotoxins like ammonia. - While PBC can progress to cirrhosis and liver failure, the current presentation with only mild hyperbilirubinemia (1.6 mg/dL) and absence of neurological signs does not suggest significant encephalopathy at this stage. - This would be expected only in advanced/decompensated disease.
Explanation: ***Autoimmune hemolytic anemia*** - The triad of **anemia** (Hb 6.5 g/dL), **splenomegaly**, and **jaundice** (elevated total bilirubin with indirect predominance) suggests hemolysis. - A **positive direct Coombs' test** confirms the presence of antibodies on the red blood cell surface, characteristic of autoimmune hemolytic anemia. *Paroxysmal nocturnal hemoglobinuria* - Characterized by **hemolytic anemia**, **thrombosis**, and impaired hematopoiesis, often with a **negative Coombs' test**. - Symptoms are typically worse at night or in the morning due to increased acidosis, which is not described. *Hereditary spherocytosis* - While it presents with **spherocytes** and hemolytic anemia, it is due to intrinsic red blood cell membrane defects and has a **negative Coombs' test**. - Often has a strong family history of anemia, jaundice, or gallstones, which is not mentioned in this patient's history. *Spur cell hemolytic anemia* - Associated with **severe liver disease** or **abetalipoproteinemia** and is characterized by acanthocytes (spur cells) on the peripheral smear. - This patient has normal liver function tests (BUN, creatinine) and no history of severe liver disease. *Alpha thalassemia* - A genetic disorder causing impaired alpha-globin chain synthesis, leading to **microcytic, hypochromic anemia** and not typically spherocytes or a positive Coombs test. - The severe forms (e.g., Hb Barts hydrops fetalis or Hb H disease) present earlier or have different characteristic red blood cell morphologies.
Explanation: ***Hypocomplementemia*** - The patient's history of **hepatitis C** infection, along with **fatigue, polyarthralgia, elevated liver enzymes, and palpable purpura**, is classic for **HCV-associated mixed cryoglobulinemia syndrome**. - **Mixed cryoglobulinemia** (types II and III) involves immune complex deposition, which activates and consumes complement, leading to **low C3 and C4 levels** (hypocomplementemia). - **Hypocomplementemia** is a hallmark laboratory finding and helps distinguish cryoglobulinemic vasculitis from other small vessel vasculitides. *Elevated IgA in serum* - Elevated IgA levels are characteristic of **IgA vasculitis (Henoch-Schönlein purpura)**, which typically affects children and presents with palpable purpura, abdominal pain, and glomerulonephritis. - While IgA vasculitis can occur in adults, the strong association with **hepatitis C infection** and the typical adult presentation point toward cryoglobulinemia rather than IgA vasculitis. *Granulomatous inflammation of vessels* - **Granulomatous inflammation of vessels** is a hallmark of **Granulomatosis with Polyangiitis (GPA)** or **Eosinophilic Granulomatosis with Polyangiitis (EGPA)**. - These conditions typically present with upper/lower respiratory tract involvement, renal disease, and **ANCA positivity**, not the pattern seen here. *Elevated perinuclear anti-neutrophil cytoplasmic antibodies* - **p-ANCA** (perinuclear anti-neutrophil cytoplasmic antibodies) are primarily associated with **microscopic polyangiitis** and **eosinophilic granulomatosis with polyangiitis (EGPA)**. - The clinical picture of **HCV-associated mixed cryoglobulinemia** does not typically involve ANCA positivity; instead, **rheumatoid factor** and **cryoglobulins** would be the relevant serologic markers. *Positive pathergy test* - A **positive pathergy test** is characteristic of **Behçet's disease**, an inflammatory disorder causing recurrent oral and genital ulcers, skin lesions, and uveitis. - This condition does not align with the patient's presentation of palpable purpura, polyarthralgia, and HCV-associated systemic symptoms.
Explanation: ***Hepatitis C antibody*** - The patient's history of **intravenous drug use** and the laboratory findings of **thrombocytopenia** and **elevated INR** strongly suggest chronic liver disease, most commonly caused by **hepatitis C virus (HCV) infection**. - An **anti-HCV antibody test** is the appropriate initial screening test for HCV infection. *Bone marrow biopsy* - A bone marrow biopsy would be considered for unexplained **pancytopenia** or other specific hematological disorders, but the current clinical picture points to a more likely extra-medullary cause for the cytopenias related to liver disease. - While it could identify issues with platelet production, it's not the first step when liver dysfunction is highly suspected. *HIV ELISA* - While a history of intravenous drug use is a risk factor for **HIV**, the patient's current symptoms and lab findings (thrombocytopenia, elevated INR, abdominal discomfort) are more characteristic of **chronic liver disease** rather than primary HIV complications. - HIV testing would be reasonable as part of general health screening for this patient population, but it is not the *next best step* for the presenting concerns. *Platelet aggregation assay* - This assay evaluates platelet function, which is useful for diagnosing qualitative platelet disorders (e.g., Glanzmann's thrombasthenia, Bernard-Soulier syndrome). - This patient has **thrombocytopenia** (low platelet *count*), not a functional disorder, and the elevated INR points away from primary platelet dysfunction. *Anti-nuclear antibody test* - An **ANA test** is used to screen for autoimmune diseases like **Systemic Lupus Erythematosus (SLE)**. - While SLE can cause thrombocytopenia, the constellation of an elevated INR and a history of intravenous drug use makes liver disease a much more probable cause of the patient's symptoms.
Explanation: ***Superior epigastric vein*** - This patient presents with signs of **portal hypertension**, including **jaundice**, **abdominal distension** (ascites), and **dilated periumbilical veins** (caput medusae). The **superior epigastric vein** is part of the **portosystemic anastomoses**, specifically connecting the **portal system** (via the paraumbilical veins) to the **systemic circulation** (via the inferior epigastric vein). - Increased blood flow through these anastomoses, particularly the **paraumbilical veins** that drain into the epigastric veins, causes the characteristic **caput medusae** observed as dilated veins around the umbilicus, due to the shunting of portal blood away from the obstructed liver. *Hepatic vein* - Obstruction or increased flow in the **hepatic veins** (e.g., Budd-Chiari syndrome) would typically cause acute liver congestion and ascites but would not cause prominent **caput medusae** from shunting through periumbilical veins. - While it contributes to hepatic outflow, it is not directly involved in the formation of **caput medusae** through portosystemic shunting at the umbilical level. *Superior rectal vein* - Increased blood flow in the **superior rectal vein** would lead to **hemorrhoids** as part of portosystemic anastomoses at the rectoanal junction (portal system via inferior mesenteric vein to systemic via middle and inferior rectal veins). - This does not explain the **periumbilical dilated veins** or **caput medusae** seen in the patient. *Left gastric vein* - The **left gastric vein** is a significant site of portosystemic anastomosis, connecting to the **azygos system**, and increased flow causes **esophageal varices**. - While a crucial site of shunting in portal hypertension, it does not explain the **dilated periumbilical veins** observed. *Superior mesenteric vein* - The **superior mesenteric vein** is a major tributary of the **portal vein**; increased flow within it would lead to increased portal pressure but is not itself a site of portosystemic anastomosis that would result in **caput medusae**. - Pathologies directly affecting the superior mesenteric vein (e.g., thrombosis) would lead to mesenteric ischemia or bowel congestion, rather than the specific periumbilical venous dilation.
Explanation: ***Viral hepatitis B*** - The combination of **HBsAg positive** and **IgM anti-HBc positive** indicates an **acute hepatitis B infection**. - Symptoms like **fever**, **fatigue**, **muscular pain**, **icterus**, and **hepatosplenomegaly** are consistent with acute viral hepatitis. *Viral hepatitis D* - This is ruled out by the **negative Anti-HDV** marker, as hepatitis D requires co-infection with hepatitis B. - While patients can be co-infected with HBV and HDV, the serology explicitly excludes HDV in this case. *Viral hepatitis C* - This is excluded by the **negative Anti-HCV** marker, which would be positive in hepatitis C infection. - Though sexually transmitted, the serological markers point away from HCV. *Viral hepatitis A* - This is ruled out by the **negative Anti-HAV IgM** marker. - Hepatitis A is typically transmitted via the **fecal-oral route**, which is less consistent with the patient's sexual history. *Viral hepatitis E* - While hepatitis E can cause acute hepatitis, it is typically diagnosed by **IgM anti-HEV** antibodies, which are not provided as positive here. - Transmission is usually **fecal-oral**, which is not the primary risk factor suggested by the patient's history.
Explanation: ***Hemochromatosis*** - This patient's symptoms, including **erectile dysfunction**, **bronze-colored hyperpigmentation**, and **elevated hepatic enzymes**, are classic features of hemochromatosis. - Hemochromatosis causes **secondary diabetes** due to pancreatic iron deposition (often called "bronze diabetes"), which explains the diabetes diagnosed 5 years ago and the current elevated glycosylated hemoglobin. - **Hypogonadism** from pituitary iron deposition causes the erectile dysfunction, and the **negative nocturnal penile tumescence** confirms an organic (not psychogenic) cause. - The history of blood donation can temporarily lower iron levels, potentially delaying diagnosis, but symptoms have now manifested. *Porphyria cutanea tarda* - This condition presents with **photosensitive skin lesions** (blisters, bullae on sun-exposed areas) and hyperpigmentation, but it does not typically cause erectile dysfunction. - While it can be associated with liver involvement and is exacerbated by iron overload, the overall clinical picture—particularly the **organic erectile dysfunction**, **secondary diabetes**, and **bronze hyperpigmentation**—points more strongly toward hemochromatosis. *Wilson's disease* - Wilson's disease is characterized by **copper accumulation**, leading to hepatic, neurologic, and psychiatric symptoms, and **Kayser-Fleischer rings** in the eyes. - It typically presents in younger patients (teens to 20s) and does not cause bronze skin hyperpigmentation or the specific constellation of symptoms seen here. - The clinical presentation with secondary diabetes and erectile dysfunction is not typical for Wilson's disease. *Chronic hepatitis* - While chronic hepatitis can cause elevated hepatic enzymes and potentially lead to cirrhosis, it does not typically cause **bronze hyperpigmentation** or directly lead to this constellation of symptoms. - The combination of bronze skin, secondary diabetes, erectile dysfunction, and elevated liver enzymes strongly suggests systemic iron overload rather than isolated chronic hepatitis. *Psychogenic erectile dysfunction* - **Negative nocturnal penile tumescence** indicates an organic cause for the erectile dysfunction, ruling out psychogenic causes. - The presence of multiple systemic symptoms, such as hyperpigmentation, diabetes, and elevated liver enzymes, strongly indicates a physical etiology (pituitary iron deposition) rather than a psychological one.
Explanation: ***Segmental ischemic necrosis of various ages at the mesenteric arteries*** - The patient's presentation with **abdominal pain after meals**, **black stools (melena)**, **weight loss**, **fever**, **skin rash**, and **elevated AST** with positive **HBsAg, anti-HBc, and IgM anti-HBc** is highly suggestive of **polyarteritis nodosa (PAN)** associated with **active hepatitis B (HBV) infection**. - **Segmental ischemic necrosis of various ages at the mesenteric arteries** is the **pathognomonic finding** in PAN, a **necrotizing vasculitis** that affects medium-sized arteries. The **"various ages"** descriptor is key—it reflects the **non-uniform, segmental nature** of arterial involvement with lesions at different stages of evolution, distinguishing PAN from other vasculitides. - This leads to diverse symptoms due to **ischemia and infarction** in multiple organs: **gastrointestinal tract** (mesenteric ischemia causing postprandial pain and melena), **kidneys** (elevated creatinine), and **skin** (rash). - Approximately **30% of PAN cases are associated with acute HBV infection**, making the serologic profile highly relevant to the diagnosis. *Ulcers at the gastric mucosa* - While **gastric ulcers** can cause abdominal pain and melena, they don't explain the **systemic symptoms** like fever, rash, weight loss, **renal involvement** (elevated creatinine), or the specific **serological markers for active HBV**. - There is no specific evidence presented (e.g., EGD findings) to directly point to gastric ulcers as the primary etiology for all symptoms. *Presence of anti-proteinase 3* - The presence of **anti-proteinase 3 (PR3-ANCA)** antibodies is characteristic of **granulomatosis with polyangiitis (GPA, formerly Wegener's)**, a different type of vasculitis. - GPA typically presents with **upper and lower respiratory tract involvement** and **glomerulonephritis**, which are not the prominent features in this patient with abdominal symptoms, skin rash, and HBV-associated vasculitis. *Diffuse bridging fibrosis and regenerative nodules at the liver* - These findings are characteristic of **cirrhosis**, which can result from chronic HBV infection. However, the patient's **acute presentation** with abdominal pain, melena, fever, rash, and **evidence of acute HBV infection** (positive IgM anti-HBc) with systemic vasculitic features points towards an **active vasculitic process** (PAN) rather than established cirrhosis. - While chronic HBV infection is a risk factor for cirrhosis, the **IgM anti-HBc positivity indicates acute infection**, not chronic disease, making cirrhosis unlikely at this stage. *PAS-positive macrophages in the intestinal lamina propria* - **PAS-positive macrophages** in the intestinal lamina propria are the hallmark of **Whipple's disease**, a rare bacterial infection caused by *Tropheryma whipplei*. - Whipple's disease typically presents with **malabsorption, arthralgias, weight loss, and neurological symptoms**, but it does not account for the skin rash, elevated creatinine, or the serological markers indicative of active HBV infection and associated vasculitis.
Explanation: ***Liver transplantation*** - This patient is presenting with **hepatorenal syndrome (HRS)** as indicated by the worsening renal function, presence of cirrhosis, ascites, and lack of response to albumin. **Liver transplantation** is the only definitive treatment as it addresses the underlying liver dysfunction causing HRS. - While other treatments like vasoconstrictors and albumin can temporarily stabilize the patient, they do not cure the underlying pathophysiology. *Transjugular intrahepatic portosystemic shunt (TIPS)* - TIPS can be used to reduce **portal hypertension** and treat complications like refractory ascites or variceal bleeding. - However, TIPS is generally **contraindicated in HRS** with severe renal impairment due to the risk of worsening liver function and encephalopathy. *Peritoneovenous shunt* - A peritoneovenous shunt is a rarely used procedure to drain **ascites** from the peritoneal cavity into the venous system. - It does not address the underlying **renal dysfunction** or liver failure and carries a high risk of complications like infection and coagulation abnormalities. *Hemodialysis* - Hemodialysis can be used as a **bridge therapy** to manage acute renal failure in HRS, but it is not a definitive treatment. - It provides renal support but does not correct the **hemodynamic derangements** or underlying liver disease. *Cessation of alcohol use* - While essential for slowing the progression of liver disease, **cessation of alcohol** can improve liver function in some cases. - In a patient with end-stage cirrhosis and acute-on-chronic renal failure (HRS), it is **not an immediate or definitive treatment** for the acute crisis.
Explanation: ***Endoscopic band ligation*** - This patient presents with signs of **portal hypertension** (ascites, enlarged liver, thrombocytopenia, leukopenia) and **upper gastrointestinal hemorrhage** suggestive of bleeding esophageal varices. **Endoscopic band ligation** is the most effective and definitive treatment for actively bleeding esophageal varices once resuscitation is initiated. - The patient's history of heavy alcohol use further supports the diagnosis of **cirrhosis** and **portal hypertension**, making variceal bleeding a high probability. *Transjugular intrahepatic portal shunt* - **TIPS** is typically reserved for patients with refractory variceal bleeding that cannot be controlled endoscopically or as a bridge to liver transplantation, not as a first-line intervention in an actively bleeding patient. - While effective in reducing portal pressure, TIPS carries risks of **hepatic encephalopathy** and is generally performed after initial hemostatic attempts have failed. *Balloon tamponade* - **Balloon tamponade** is a temporary measure used to control massive, refractory variceal bleeding when endoscopy is immediately unavailable or unsuccessful, providing a bridge to definitive treatment. - It is associated with a high risk of **complications** such as esophageal rupture and aspiration and is not a long-term solution. *Transfusion of packed red blood cells* - Although the patient's **hemoglobin is low** (10.3 g/dL) and he is bleeding, **blood transfusion** is part of the initial resuscitation efforts to stabilize the patient, not a definitive treatment to stop the bleeding itself. - **Fluid resuscitation** and addressing the source of hemorrhage are primary concerns; transfusion volume depends on the degree of blood loss and hemodynamic instability. *Intravenous ceftriaxone* - While **antibiotic prophylaxis** with ceftriaxone should be administered early in patients with **cirrhosis** and acute gastrointestinal bleeding to reduce risk of bacterial infections and mortality, it does not address the active hemorrhage. - **Endoscopic hemostasis** remains the immediate priority; antibiotics are important adjunctive therapy but do not provide hemostatic control.
Explanation: ***AST: 255, ALT: 130, GGT: 114*** - Chronic alcohol abuse typically leads to an **AST:ALT ratio of 2:1 or greater**, as alcohol metabolism depletes **pyridoxal phosphate** (a cofactor for ALT), reducing ALT activity. In this option, 255/130 ≈ 1.96:1. - **Both AST and ALT are < 500 U/L**, which is characteristic of alcoholic liver disease (in contrast to viral hepatitis or ischemic hepatitis where values often exceed 1000 U/L). - **GGT levels are often significantly elevated in alcoholic liver disease** due to enzyme induction, which is consistent with 114 U/L (normal < 50 U/L). *AST: 265, ALT: 205, GGT: 50* - This option presents an AST:ALT ratio of approximately 1.3:1, which is less indicative of **alcoholic liver disease** due to the relatively lower AST rise compared to ALT. - The **GGT level** of 50 U/L is at the upper limit of normal or mildly elevated, which is generally not seen in active alcoholic liver injury. *AST: 425, ALT: 475, GGT: 95* - This option shows a higher ALT than AST, with an AST:ALT ratio less than 1, which is more typical of **non-alcoholic fatty liver disease (NAFLD)** or viral hepatitis, not alcoholic liver disease. - While GGT is elevated, the AST:ALT ratio is inconsistent with the patient's history of **alcohol abuse**. *AST: 225, ALT: 245, GGT: 127* - This option suggests an ALT higher than AST, indicating an AST:ALT ratio less than 1, which typically points away from **alcoholic liver damage**. - Although the GGT is elevated, the **AST:ALT ratio** does not fit the characteristic pattern of alcoholic liver disease. *AST: 455, ALT: 410, GGT: 115* - While this option shows an AST:ALT ratio slightly above 1 (455/410 ≈ 1.1:1), it is not the characteristic 2:1 or greater ratio often seen in **alcoholic liver disease**. - The elevated AST and ALT values, while suggestive of significant liver injury, do not perfectly align with the typical enzymatic profile of **alcoholic hepatitis** compared to the correct option.
Explanation: ***Alpha1-antitrypsin deficiency*** - The combination of **decreased FEV1**, **decreased FEV1/FVC**, and **increased TLC** without a history of smoking is highly suggestive of **emphysema**, which can be caused by alpha1-antitrypsin deficiency. - This genetic condition leads to a lack of protection against **elastase**, causing early-onset panacinar emphysema, typically affecting the lung bases even in non-smokers. *Hypersensitivity pneumonitis* - This condition typically presents with a **restrictive pattern** on PFTs (decreased TLC, normal or increased FEV1/FVC), not an obstructive pattern with increased TLC. - It is an immune-mediated interstitial lung disease, often presenting with symptoms like dyspnea and cough, but the PFTs are inconsistent. *Chronic bronchitis* - While chronic bronchitis causes an **obstructive pattern** (decreased FEV1, decreased FEV1/FVC), it primarily manifests with a **chronic productive cough** (at least three months per year for two consecutive years) and is usually associated with smoking. - An **increased TLC** is not typical in isolated chronic bronchitis; TLC is often normal or slightly increased, but not as pronounced as in emphysema. *Pneumothorax* - A pneumothorax is an acute condition involving air in the pleural space, leading to sudden onset dyspnea and chest pain, and would show a **collapsed lung** on imaging, not an obstructive pattern with increased TLC. - It results in a **reduced lung volume** and would not cause an obstructive pattern with increased TLC on PFTs. *Asthma* - Asthma presents with **reversible airway obstruction** (decreased FEV1, decreased FEV1/FVC) but usually involves episodic wheezing and dyspnea, often triggered by allergens. - While TLC can be increased during severe exacerbations due to **air trapping**, patients usually respond to bronchodilators and do not typically present with progressive, non-reversible obstruction and uniformly increased TLC like emphysema.
Explanation: ### ***Chronic hepatitis B infection*** - The presence of **Hepatitis B surface antigen (HBsAg) positive** combined with **Hepatitis B core antibody IgG (anti-HBc IgG) positive** indicates infection that has persisted beyond 6 months. - **Hepatitis B core antibody IgM (anti-HBc IgM) negative** rules out acute infection, as IgM antibodies appear early in acute hepatitis B. - **Hepatitis B e antigen (HBeAg) positive** indicates active viral replication and high infectivity, consistent with HBeAg-positive chronic hepatitis B. - The clinical presentation with jaundice and RUQ pain suggests an acute flare of chronic hepatitis B infection. ### *Hepatitis B vaccination* - Successful hepatitis B vaccination produces **anti-HBs positive** with **HBsAg negative** and **anti-HBc negative**. - This patient has **HBsAg positive** and **anti-HBc IgG positive**, indicating actual infection rather than vaccine-induced immunity. ### *Acute hepatitis B infection* - Acute hepatitis B is characterized by **HBsAg positive** with **anti-HBc IgM positive** (IgM appears first in acute infection). - This patient has **anti-HBc IgM negative** and **anti-HBc IgG positive**, indicating the infection occurred more than 6 months ago, consistent with chronic rather than acute infection. ### *Resolved hepatitis B infection* - Resolved infection shows **HBsAg negative**, **anti-HBs positive**, and **anti-HBc IgG positive**. - This patient's **HBsAg positive** status directly indicates ongoing infection, not resolution. ### *No hepatitis B vaccination or infection* - Complete absence of exposure would show **HBsAg negative**, **anti-HBs negative**, and **anti-HBc negative** (all markers negative). - This patient has multiple positive markers including **HBsAg** and **anti-HBc IgG**, confirming hepatitis B infection.
Explanation: ***Infectious mononucleosis*** - The combination of **fever**, **fatigue**, **sore throat**, **posterior cervical lymphadenopathy**, tonsillar exudates, and **hepatosplenomegaly** in a young adult is highly suggestive of infectious mononucleosis, commonly caused by **Epstein-Barr virus (EBV)**. - The presence of **soft palate petechiae** and a mild, **erythematous rash** (which can occur in EBV mononucleosis, especially if amoxicillin is mistakenly prescribed) further supports this diagnosis. *Toxoplasma infection* - While **Toxoplasma gondii** can cause lymphadenopathy and fatigue, it is less commonly associated with significant **pharyngitis** with exudates and hepatosplenomegaly in immunocompetent individuals. - The recent unprotected sex and specific rash pattern are not typical features for **primary toxoplasmosis** in this context. *Streptococcal pharyngitis* - Classic strep throat presents with **sore throat**, fever, and **tonsillar exudates**, but **marked fatigue**, **hepatosplenomegaly**, and **posterior cervical lymphadenopathy** are unusual. - The widespread erythematous macular rash is not a typical presentation of uncomplicated strep pharyngitis. *Rubella* - **Rubella** typically presents with a **maculopapular rash** that starts on the face and spreads downwards, along with low-grade fever and **postauricular** or **occipital lymphadenopathy**. - **Significant pharyngitis** with exudates and hepatosplenomegaly are not prominent features of rubella. *Acute HIV infection* - **Acute HIV infection** can present with a mononucleosis-like syndrome including fever, fatigue, sore throat, and rash, but **marked exudative tonsillitis** and **hepatosplenomegaly** are less common than in EBV mononucleosis. - While unprotected sex is a risk factor, the specific constellation of findings, particularly the profound fatigue and physical exam findings, point more strongly to infectious mononucleosis.
Explanation: ***Recurrent variceal hemorrhage*** - **TIPS** is primarily indicated for patients with **recurrent variceal bleeding** despite endoscopic or pharmacological therapy, as it effectively decompresses the portal system and reduces the risk of rebleeding. - This patient has advanced cirrhosis with **portal hypertension** (evidenced by ascites, dilated abdominal veins/caput medusae, hemorrhoids, and splenomegaly), placing him at high risk for developing esophageal or gastric varices. - **Recurrent variceal hemorrhage** is the **strongest and best-established indication** for TIPS placement among the complications listed. *Hepatic hydrothorax* - While a complication of portal hypertension (patient has decreased breath sounds bilaterally suggesting pleural effusions), **hepatic hydrothorax** is usually managed with diuretics and thoracentesis first. - **TIPS** is considered only for **refractory hepatic hydrothorax** that fails medical management - it's a secondary/salvage indication, not the primary best indication. *Hepatic encephalopathy* - **Hepatic encephalopathy** is a **relative contraindication** to **TIPS** placement, as the portosystemic shunt can worsen encephalopathy by diverting portal blood directly into systemic circulation, bypassing hepatic detoxification. - This patient already exhibits signs of encephalopathy (disoriented to time, asterixis/flapping tremor on wrist extension), making him a higher-risk candidate for TIPS-related encephalopathy worsening. *Portal hypertensive gastropathy* - **Portal hypertensive gastropathy** is typically managed with non-selective beta-blockers (propranolol, nadolol) and iron supplementation for chronic blood loss. - **TIPS** is generally reserved for severe, refractory bleeding from gastropathy not controlled by medical therapy - this is uncommon and not the primary indication. *Hepatic veno-occlusive disease* - **Hepatic veno-occlusive disease** (sinusoidal obstruction syndrome) is a distinct condition involving obstruction of hepatic venules, typically associated with hematopoietic stem cell transplantation or hepatotoxic drugs. - This is **not a complication of alcoholic cirrhosis** and is not treated with TIPS in the same manner as portal hypertension complications.
Explanation: ***Increased pressure in the distal esophageal vein due to increased pressure in the left gastric vein*** - This patient's presentation with **hematemesis**, **jaundice** (yellow tinge to sclerae), and **caput medusae** (tortuous veins on the abdomen) strongly indicates **portal hypertension** due to **liver cirrhosis**. - **Esophageal varices**, formed by increased pressure in the left gastric vein (a tributary of the portal vein) leading to dilated distal esophageal veins, are a common and life-threatening complication of portal hypertension, often rupturing and causing massive upper GI bleeding. *Decreased GABA activity due to downregulation of receptors* - **Decreased GABA activity** is associated with neurological complications of liver disease, such as **hepatic encephalopathy**, which could explain the patient's slurred speech and disheveled appearance. - However, this mechanism does not directly cause **vomiting of blood (hematemesis)**, which is the primary and fatal event described. *Lacerations of the mucosa at the gastroesophageal junction* - **Mallory-Weiss tears** are lacerations at the gastroesophageal junction caused by forceful vomiting, which can lead to hematemesis. - While vomiting is present, the chronic history, signs of liver disease (jaundice, caput medusae), and the sudden, massive nature of the bleed are more consistent with ruptured varices than a Mallory-Weiss tear. *Inflammation of the portal tract due to a chronic viral illness* - **Chronic viral illness**, such as hepatitis B or C, can lead to **cirrhosis** and subsequent portal hypertension. - While this is the underlying cause of the liver disease, it is not the direct mechanism for the acute vomiting of blood; the bleeding is caused by the rupture of dilated vessels due to increased portal pressure, not directly by inflammation of the portal tract. *Perforation of the gastric mucosa* - **Gastric perforation**, often due to an **ulcer**, can cause severe abdominal pain and potentially hematemesis if it erodes into a vessel. - However, the patient denied pain, and the clinical signs (jaundice, caput medusae) point overwhelmingly to liver cirrhosis and portal hypertension, not gastric perforation.
Explanation: ***Reimage in 6 months*** - The imaging findings of a well-demarcated 3-cm hepatic lesion with **peripheral enhancement** and subsequent **centripetal flow** followed by rapid clearance of contrast in a young woman using **oral contraceptive pills** are classic for a **hepatic adenoma**. The absence of a central scar differentiates it from focal nodular hyperplasia. - Given the patient is asymptomatic, the lesion is less than 5 cm, and there are no high-risk features (such as severe growth or symptoms), conservative management with **discontinuation of oral contraceptive pills** and **reimaging in 6 months** is the most appropriate initial step to monitor for growth or complications. *Surgical resection of the mass* - **Surgical resection** is generally reserved for **hepatic adenomas** that are symptomatic, larger than 5 cm, bleeding, or have features suggestive of malignant transformation. - In this case, the adenoma is asymptomatic and 3 cm, making observation a more appropriate initial step. *Embolization of the mass* - **Embolization** is typically used for lesions that are bleeding or highly vascular, often as a temporizing measure or in cases where surgery is contraindicated. - This patient's lesion is asymptomatic and not actively bleeding, so embolization is not indicated. *Percutaneous liver biopsy* - While a **liver biopsy** can confirm the diagnosis, it carries risks of bleeding and tumor seeding, and is generally avoided for classic benign lesions like this, especially when management is based on clinical and imaging follow-up. - The imaging characteristics are highly suggestive of **hepatic adenoma**, making a biopsy unnecessary at this stage, particularly if the initial management is conservative monitoring. *Radiofrequency ablation of the mass* - **Radiofrequency ablation (RFA)** is a local ablative therapy used for certain hepatic tumors, often when surgery is not feasible or for smaller malignant lesions. - This is a benign hepatic adenoma, and for lesions of this size and asymptomatic nature, RFA is not a first-line treatment.
Explanation: ***Impaired hepatic excretion of conjugated bilirubin*** - This patient presents with predominantly **conjugated hyperbilirubinemia** (direct bilirubin 3.0 mg/dL, total bilirubin 4.0 mg/dL, suggesting altered bilirubin processing in the liver), **recurrent jaundice** that resolves spontaneously, and normal liver enzymes (AST, ALT, alkaline phosphatase). These findings are highly suggestive of **Dubin-Johnson syndrome** or **Rotor syndrome**, both of which involve impaired excretion of conjugated bilirubin from the hepatocytes into the bile canaliculi. - The presence of **bilirubin in the urine** confirms conjugated hyperbilirubinemia, as only conjugated bilirubin is water-soluble and can be filtered by the kidneys. *Destruction of the intralobular bile ducts* - This condition, seen in primary biliary cholangitis, would typically present with significantly **elevated alkaline phosphatase** levels, which are normal in this patient. - It also usually leads to progressive liver damage, not recurrent, self-resolving jaundice with normal liver enzymes. *Defective bilirubin conjugation* - This describes conditions like **Gilbert syndrome** or Crigler-Najjar syndrome, which cause **unconjugated hyperbilirubinemia**. - In these conditions, **direct bilirubin** would be a very small fraction of the total bilirubin, and **urine bilirubin** would be absent, which contradicts this patient's lab results. *Inflammation of intra- and extrahepatic bile ducts* - This would lead to **cholestasis** and significant elevations in **alkaline phosphatase** and gamma-glutamyl transferase (GGT), often accompanied by signs of infection or autoimmune disease (e.g., primary sclerosing cholangitis). - The patient's normal alkaline phosphatase and absence of associated symptoms make this diagnosis unlikely. *Excess cellular bilirubin release* - This refers to **hemolysis**, where increased breakdown of red blood cells leads to an overload of unconjugated bilirubin being presented to the liver. - This would primarily cause **unconjugated hyperbilirubinemia** and would not result in bilirubin in the urine, in contrast to the patient's findings.
Explanation: ***Alanine aminotransferase*** - Elevated **ALT** levels are a sensitive indicator of **hepatocellular damage**, which is highly probable given the patient's history of **hepatitis C**, **jaundice**, and signs of **portal hypertension** (splenomegaly, caput medusae). - Monitoring ALT helps assess the **degree of liver inflammation and injury**, guiding further diagnostic and therapeutic interventions for chronic liver disease. *Aspartate aminotransferase* - While **AST** is also an indicator of **liver damage**, it is less specific than ALT, as it is found in other tissues like the **heart** and **skeletal muscle**. - In viral hepatitis, **ALT levels are typically higher than AST**, making ALT a more specific initial test for liver function in this context. *Troponin* - **Troponin** is a biochemical marker used to diagnose **myocardial injury**, such as a **heart attack**. - The patient's symptoms (weight loss, jaundice, splenomegaly) are indicative of liver disease, not primary cardiac issues, making troponin an irrelevant initial test in this scenario. *Blood urea nitrogen* - **Blood urea nitrogen (BUN)** primarily reflects **kidney function** and **hydration status**, though it can be affected by liver failure. - It is not a direct or initial measure of liver function or liver cell damage. *Alkaline phosphatase* - Elevated **alkaline phosphatase (ALP)** levels typically suggest **cholestasis** (bile duct obstruction) or **bone disorders**. - While cholestasis can occur in advanced liver disease, **hepatocellular injury** (indicated by jaundice and hepatitis C history) is the more immediate concern, making ALT a more appropriate initial assessment.
Explanation: ***Hepatic adenoma*** - The patient's use of **oral contraceptive pills** is a significant risk factor for hepatic adenomas, which are benign liver tumors that can cause right upper quadrant pain. - The ultrasound finding of a **well-defined, predominantly hypoechoic mass** in the context of OCP use strongly suggests hepatic adenoma. *Cholangiocarcinoma* - This is a malignancy of the bile ducts and is typically associated with risk factors like **primary sclerosing cholangitis** or **liver fluke infections**, which are not present here. - While it can cause abdominal pain, the imaging characteristics described are not typical for cholangiocarcinoma. *Hepatocellular carcinoma* - **Hepatocellular carcinoma (HCC)** is usually associated with **chronic viral hepatitis (B or C)**, cirrhosis, or heavy alcohol use, none of which are indicated in this patient. - The serology tests for viral hepatitis are negative, ruling out common causes of HCC. *Focal nodular hyperplasia* - **Focal nodular hyperplasia (FNH)** is another benign liver tumor, but it typically presents with a **central stellate scar** on imaging, which is not mentioned in the ultrasound findings. - FNH is usually asymptomatic and not strongly linked to oral contraceptive use. *Metastatic disease* - **Metastatic liver disease** usually originates from a primary cancer elsewhere in the body, and there is no indication of such a primary tumor in this patient's history or examination. - Additionally, metastatic lesions often appear as multiple, rather than a single, well-defined mass.
Explanation: ***Increased circulating estrogen*** - The patient's **alcoholic cirrhosis** leads to impaired hepatic metabolism, causing an accumulation of **estrogen** that the liver normally deactivates. - **Palmar erythema** and **spider angiomas** are classic signs of hyperestrogenism in liver disease, as estrogen causes vasodilation. *Increased circulating ammonia* - Elevated **ammonia** is primarily associated with **hepatic encephalopathy**, presenting with altered mental status, asterixis, and motor dysfunction, which are not described here. - While ammonia levels are high in cirrhosis, they do not directly cause the skin findings of palmar erythema or spider angiomas. *Decreased circulating thrombopoietin* - **Thrombopoietin** is primarily produced in the liver and kidneys, and its decrease can contribute to **thrombocytopenia** in liver disease. - However, reduced thrombopoietin levels do not cause palmar erythema or spider angiomas. *Decreased circulating albumin* - **Albumin** is a major protein synthesized by the liver, and its decrease in cirrhosis leads to **edema** (due to reduced oncotic pressure) and **ascites**. - While common in liver failure, low albumin does not directly cause the described vascular skin lesions. *Decreased circulating testosterone* - Reduced **testosterone** in cirrhotic men can lead to **hypogonadism**, causing symptoms like gynecomastia, testicular atrophy, and decreased libido. - Although common, decreased testosterone is not the direct cause of palmar erythema or spider angiomas.
Explanation: ***Hepatitis B infection*** - The patient presents with **nephrotic syndrome** (edema, proteinuria >3.5 g/day, periorbital puffiness), and renal biopsy shows **subepithelial deposits** with a **spike and dome pattern** characteristic of **membranous nephropathy**. - **Hepatitis B infection** is a well-known and common secondary cause of **membranous nephropathy**, particularly in adults and in endemic areas. This is the classic association tested on USMLE. *HIV infection* - While **HIV infection** can cause nephrotic syndrome, it typically presents as **HIV-associated nephropathy (HIVAN)**, characterized by **focal segmental glomerulosclerosis (FSGS)**, not membranous nephropathy with subepithelial deposits. - HIVAN is also often associated with rapidly progressive renal failure and collapsing glomerulopathy on biopsy. *Monoclonal protein spike* - A **monoclonal protein spike** (e.g., from multiple myeloma or monoclonal gammopathy of undetermined significance) most commonly causes renal disease manifesting as **amyloidosis** (fibrillar deposits) or **light chain deposition disease**, which show distinct findings on renal biopsy. - While monoclonal immunoglobulins can rarely cause membranous nephropathy, this is uncommon and not the classic association. Given the spike and dome pattern, **Hepatitis B** is the better answer. *High HbA1C* - A **high HbA1C** indicates **poorly controlled diabetes**, which is a leading cause of **diabetic nephropathy**. - Diabetic nephropathy typically presents with **glomerular basement membrane thickening**, **mesangial expansion**, and **Kimmelstiel-Wilson lesions** (nodular glomerulosclerosis), not the spike and dome pattern seen in membranous nephropathy. *Hodgkin's lymphoma* - While lymphoma can be associated with kidney disease, **Hodgkin's lymphoma** is classically linked to **minimal change disease** in adults, which presents with effacement of podocyte foot processes on electron microscopy, without immune deposits. - Membranous nephropathy, as seen here with subepithelial deposits, is not the typical renal manifestation of Hodgkin's lymphoma.
Explanation: ***Liver failure*** - The patient's history of **alcohol use**, **hepatitis C**, **ascites** (abdominal distension with fluid wave), and **jaundice** (yellow skin discoloration) are all signs of severe liver disease/cirrhosis. - In the context of advanced liver failure, this patient has developed **hepatorenal syndrome (HRS)**, a critical complication characterized by **functional renal failure** due to severe renal vasoconstriction without intrinsic kidney damage. - Key diagnostic features of HRS include: elevated **BUN** and **creatinine**, markedly **low urine sodium (<20 mEq/L)**, **oliguria** that does not improve with volume expansion, and absence of other causes of renal failure. - The urine sodium of **12 mmol/24 hours** is pathognomonic for HRS, indicating maximal sodium retention by the kidneys in response to decreased effective arterial blood volume. *Nephrotoxic agent* - While IV drug use can be associated with certain nephrotoxic exposures, there is no direct evidence in the clinical presentation (e.g., specific drug use leading to toxicity, muddy brown casts on urinalysis) to support this. - **Acute tubular necrosis (ATN)** from nephrotoxins typically presents with urine sodium **>40 mEq/L** and granular casts, which are absent here. - The patient's underlying liver disease with characteristic low urine sodium provides a more comprehensive explanation for the renal dysfunction. *Dehydration* - The patient's **blood pressure** is low, but he responded to IV fluids with a decreased pulse, suggesting some improvement in volume status, yet his renal function worsened with persistent oliguria. - While dehydration can cause **prerenal azotemia**, the lack of improvement after IV fluid resuscitation, extreme oliguria, very low urine sodium in the context of advanced cirrhosis with ascites point strongly towards hepatorenal syndrome rather than simple hypovolemia. - True prerenal azotemia from dehydration typically improves with fluid administration, which did not occur here. *Postrenal azotemia* - This condition is caused by an **obstruction** to urine outflow, such as a kidney stone, enlarged prostate, or tumor. - There are no clinical signs or symptoms (e.g., flank pain, difficulty urinating, hydronephrosis on imaging) in the patient's presentation to suggest an obstructive cause. - Postrenal obstruction typically requires **bilateral** obstruction or obstruction in a single functioning kidney to cause significant azotemia. *Congestive heart failure* - While the patient has **bibasilar crackles** and a cardiac murmur, these are non-specific findings that might be related to volume overload from liver disease or endocarditis from IV drug use. - **Cardiorenal syndrome** can cause renal dysfunction, but typically presents with more prominent signs of heart failure and urine sodium is often higher (>40 mEq/L) when diuretics are used. - The patient's profound liver failure with ascites, jaundice, and the characteristic very low urine sodium provide a much stronger and more direct explanation for the progressive renal dysfunction as hepatorenal syndrome.
Explanation: ***Hepatic vein obstruction*** - The patient's **acute liver injury** (elevated AST, ALT, bilirubin) with **right upper quadrant pain**, **tender hepatomegaly**, and **distended abdomen** are classic signs of hepatic vein obstruction (Budd-Chiari syndrome). - The elevated **hemoglobin (18.9 g/dL)** suggests **polycythemia**, a common predisposing factor for thrombotic events, including hepatic vein thrombosis. *Hepatotropic viral infection* - While **hepatotropic viral infections** can cause acute liver injury, the patient's **polycythemia** and the specific presentation of **tender hepatomegaly** and **abdominal distention** are less indicative of this cause alone. - Though he reports unprotected sex, acute viral hepatitis would generally present with more pronounced acute symptoms and specific markers on serology, which are not provided. *Increased iron absorption* - **Hemochromatosis**, due to increased iron absorption, causes liver damage but typically presents with **bronze skin**, diabetes, and joint pain, and the liver injury is usually insidious rather than acute with marked abdominal symptoms. - The extremely high hemoglobin level in this acute setting is not characteristic of iron overload alone as a primary etiology for acute liver injury mimicking Budd-Chiari. *Hepatic steatosis* - **Hepatic steatosis** (fatty liver) is common in patients with **diabetes** and **obesity**; however, it usually presents as asymptomatic elevation of liver enzymes or chronic liver disease, not acute, severe right upper quadrant pain, marked tender hepatomegaly, and abdominal distension, especially with concurrent polycythemia. - The degree of liver enzyme elevation and bilirubin is more pronounced than typically seen in uncomplicated hepatic steatosis. *Thickened pericardium* - A **thickened pericardium** (constrictive pericarditis) can cause **hepatomegaly** and **abdominal distension** due to right-sided heart failure. However, this is characteristically associated with **jugular venous distention** and often **ascites**, which are not noted here. - The prominent **acute right upper quadrant pain** and **marked liver enzyme elevation** are less typical of cardiac causes of liver congestion compared to thrombotic occlusion.
Explanation: ***The arthropathy is due to iron deposition in the joints.*** - This patient's presentation with **arthralgia**, **bronze hyperpigmentation**, **hepatomegaly**, and a family history suggestive of liver cirrhosis points to **hereditary hemochromatosis**. - In hemochromatosis, the **arthropathy** (typically involving the metacarpophalangeal joints, especially the 2nd and 3rd MCP joints) is caused by **iron deposition** in the synovial membranes and cartilage, leading to calcium pyrophosphate deposition (pseudogout). - This directly explains the patient's presenting symptom of hand and wrist arthralgia. *A hypersensitivity reaction to blood transfusions causes the iron to accumulate* - **Hereditary hemochromatosis** is caused by **genetic mutations** (most commonly in the HFE gene, C282Y mutation) leading to increased intestinal iron absorption, not hypersensitivity reactions. - While **secondary (transfusional) hemochromatosis** can occur from repeated blood transfusions, this patient's family history and lack of transfusion history indicate the **hereditary form**. *Increased ferritin activity results in excess iron accumulation* - **Ferritin** is an iron storage protein, and its serum levels are **elevated** in hemochromatosis as a **consequence** of iron overload, not the cause. - The primary defect in hereditary hemochromatosis is **decreased hepcidin production**, leading to increased iron absorption from the gastrointestinal tract via ferroportin. *The classic triad of cirrhosis, diabetes mellitus, and skin pigmentation is always present* - While the triad of **cirrhosis**, **diabetes mellitus** ("bronze diabetes"), and **skin pigmentation** represents classic **advanced** hemochromatosis, it is **not always present**, especially in earlier stages. - This patient has hepatomegaly and skin pigmentation but no documented diabetes mellitus yet. Many patients are now diagnosed earlier through screening before the full triad develops. - The statement is incorrect because it implies the triad is always present, which is not true. *The associated dilated cardiomyopathy is irreversible* - Cardiac involvement in hemochromatosis, including **restrictive or dilated cardiomyopathy**, is often **reversible** with early and aggressive iron removal therapy (phlebotomy or chelation). - Early treatment can prevent or significantly improve organ damage, including cardiac function, by reducing total body iron stores before irreversible fibrosis develops.
Explanation: ***Reassurance and observation*** - The liver mass described, a **4-cm sharply defined lesion with a hypoattenuated central scar**, is highly characteristic of **focal nodular hyperplasia (FNH)**. - FNH is a **benign liver tumor** that rarely ruptures or becomes malignant, even in the setting of trauma; therefore, observation is the most appropriate management. *Surgical resection of the mass* - **Surgical resection** is typically reserved for FNH lesions that cause symptoms or for cases where there is diagnostic uncertainty. - In this asymptomatic patient with characteristic imaging findings, surgical intervention is not indicated initially. *Percutaneous aspiration of the mass* - **Percutaneous aspiration** is generally not performed for FNH due to its benign nature and the characteristic imaging findings that usually allow for a confident diagnosis. - Aspiration also carries risks such as bleeding and tumor seeding if the lesion were malignant. *Discontinue the oral contraceptive* - While oral contraceptives have been linked to an increased risk of hepatic adenoma, their association with FNH is less clear and generally not considered a cause. - Discontinuing oral contraceptives is not necessary in the management of FNH and would not change the natural history of the lesion. *Biopsy of the mass* - A **biopsy** is usually unnecessary for FNH when imaging studies are characteristic, as described here. - Biopsy carries risks of bleeding and damage to surrounding structures, and the imaging findings are typically sufficient for diagnosis.
Explanation: ***Hepatitis B vaccination*** - The patient works as a **phlebotomist**, placing her at increased risk for exposure to **bloodborne pathogens** like hepatitis B. - Her unknown vaccination history means she should be considered **unvaccinated** and, therefore, is a candidate for hepatitis B vaccination given her occupational exposure. *Mammogram* - **Routine screening mammograms** are generally recommended for women aged 40 to 49 to begin discussions about screening, with annual screening starting at age 40 or 50, depending on guidelines. This patient is 39. - There are **no specific risk factors** mentioned (e.g., family history of breast cancer) that would prompt earlier screening at age 39. *Low-dose chest CT* - **Low-dose CT screening for lung cancer** is recommended for individuals aged 50-80 with a **20 pack-year smoking history** who currently smoke or have quit within the past 15 years. - This patient is 39 years old and has a **11.5 pack-year smoking history** (0.5 packs/day * 23 years), which does not meet the criteria for screening. *Hepatitis C vaccination* - There is **currently no preventive vaccination available for hepatitis C**. - Management involves screening for exposure (e.g., among healthcare workers) and antiviral treatment if infected. *Shingles vaccination* - The **shingles vaccine (recombinant zoster vaccine)** is recommended for all individuals aged **50 years and older**, regardless of previous herpes zoster infection. - This patient is 39 years old, which is below the recommended age for routine shingles vaccination.
Explanation: ***Recurrent phlebotomy*** - This patient's presentation with **bronze skin discoloration**, **diabetes mellitus** (fasting glucose 192 mg/dL, HbA1c 8.7%), and a history of **alpha-thalassemia** is highly suggestive of **hemochromatosis with iron overload**. - While the patient has alpha-thalassemia, there is **no indication of active transfusion dependence** in this case, and the clinical picture suggests **established iron overload** requiring treatment. - **Recurrent phlebotomy** is the **preferred treatment for iron overload** when patients have adequate hemoglobin levels and are not actively transfusion-dependent, as it is more effective, better tolerated, and safer than chelation therapy. - Even in patients with mild thalassemia, if hemoglobin is adequate (>10-11 g/dL), phlebotomy can be used to reduce iron stores effectively. *Deferoxamine* - **Deferoxamine** is an **iron chelating agent** that can treat iron overload, but it requires **parenteral administration** (IV or subcutaneous infusion), making it inconvenient and typically reserved for patients who are **transfusion-dependent** or cannot tolerate phlebotomy. - Modern practice favors **oral chelators** (deferasirox, deferiprone) over deferoxamine for chronic iron overload management. - Without evidence of ongoing transfusions or contraindications to phlebotomy, chelation is **not first-line therapy**. *Basal insulin* - While the patient does have **diabetes mellitus**, basal insulin treats the symptomatic hyperglycemia but does not address the **underlying cause** of the diabetes, which is **iron-induced pancreatic damage** due to hemochromatosis. - The question asks for treatment of the **underlying disease** (hemochromatosis), not just the diabetic complication. *Metformin* - **Metformin** is a common first-line treatment for **Type 2 Diabetes Mellitus**, but it only treats the hyperglycemia symptomatically and does not target the **iron overload** causing the diabetes. - Additionally, metformin may be **relatively contraindicated** in patients with hemochromatosis-related liver disease or cirrhosis due to increased risk of lactic acidosis. *Basal and bolus insulin* - Similar to basal insulin alone, **basal and bolus insulin** regimens manage the **hyperglycemia** but do not treat the **iron overload** that is the root cause of the patient's diabetes and bronze discoloration. - Treating the underlying hemochromatosis with iron reduction therapy is essential to prevent further organ damage.
Explanation: ***Supportive therapy, thiamine, dextrose, naloxone, and NPO*** - This patient presents with signs of **acute neurological depression** (GCS 6, unresponsiveness) in the setting of a history of **IV drug use**, a known **suicide attempt**, and found with **empty pill bottles**, suggesting an overdose. The initial management for altered mental status of unknown etiology in such a setting includes prompt **supportive care** (airflow management, hemodynamic stability), **thiamine** (to prevent Wernicke-Korsakoff syndrome, especially given history of alcoholism/malnutrition common in homeless IV drug users), **dextrose** (to correct hypoglycemia, as suggested by glucose 65 mg/dL), and **naloxone** (to reverse potential opioid overdose). - Given the patient's severe neurological compromise, making him **NPO (nil per os)** is crucial to prevent **aspiration pneumonia**. While the patient's labs show evidence of chronic liver disease (low albumin, prolonged PT/PTT), the immediate priority for his acute presentation is managing the suspected overdose and its systemic effects. *Colloid-containing fluids* - While **hypoalbuminemia** (1.9 g/dL) is present, indicating severe liver dysfunction, administering colloids like albumin is **not the immediate priority** for an acutely unresponsive patient with suspected overdose. - Colloids are typically used to expand intravascular volume in specific situations like large volume paracentesis in cirrhotic patients, or severe sepsis with persistent hypotension, which is not the primary acute concern here. *Liver transplant* - This patient has signs of **decompensated chronic liver disease**, (low albumin, prolonged PT/PTT, history of pancreatitis). However, **liver transplant** is a definitive treatment for end-stage liver disease and is a **long-term management strategy**, not an acute intervention for an unresponsive patient in the emergency department. - Furthermore, eligibility for liver transplantation involves a comprehensive evaluation of the patient's overall health, psychosocial factors (especially with a history of IV drug use and suicide attempts), and abstinence from substances. *Factor 2, 7, 9, and 10 concentrate* - The patient has **prolonged PT (27 seconds)** and **PTT (67 seconds)**, indicating a coagulopathy likely secondary to impaired synthetic function of the liver, which produces these clotting factors. However, administering specific clotting factor concentrates (like **prothrombin complex concentrate or PCC**) is typically reserved for **active bleeding** or **urgent invasive procedures** in patients with coagulopathy. - There is no mention of active bleeding in the vignette, and the primary issue is altered mental status from a suspected overdose, not immediate bleeding risk. *Fresh frozen plasma* - **Fresh frozen plasma (FFP)** contains all clotting factors and can be used to reverse coagulopathy. Similar to factor concentrates, FFP is indicated for acute reversal of coagulopathy in cases of **active bleeding** or **prior to invasive procedures**, or rarely for volume expansion in specific contexts of severe liver failure. - Without evidence of active bleeding or an urgent need for an invasive procedure, the immediate use of FFP is not the most effective therapy for this patient's acute presentation as his primary problem is altered mental status and possible overdose.
Explanation: ***Anti-Ro and anti-La antibodies*** - The patient's symptoms of **morning stiffness**, **dry mouth** (xerostomia), and **sandy sensation in the eyes** (xerophthalmia) are classic manifestations of **Sjögren's syndrome**. - **Anti-Ro/SSA** and **anti-La/SSB antibodies** are highly specific markers for Sjögren's syndrome, present in the majority of patients. *Anti-Jo1 and anti-Mi2 antibodies* - **Anti-Jo1 antibodies** are associated with **polymyositis** and dermatomyositis, particularly those with interstitial lung disease and arthritis. - **Anti-Mi2 antibodies** are specific for **dermatomyositis**, often presenting with typical skin rashes like the heliotrope rash and Gottron's papules, which are not described here. *Anti-cyclic citrullinated peptide (CCP) antibody* - This antibody is a highly specific marker for **rheumatoid arthritis**, characterized by **symmetric polyarthritis** primarily affecting small joints. - While the patient has joint pain, the prominent sicca symptoms (dry mouth and eyes) and lack of specific joint distribution make rheumatoid arthritis less likely. *Anti-smooth muscle antibody* - This antibody is primarily associated with **autoimmune hepatitis**, a condition leading to inflammation and damage of the liver. - The patient's presentation does not suggest liver involvement; instead, it points towards a systemic autoimmune disorder affecting exocrine glands. *Anti-centromere antibody* - This antibody is a marker for **limited cutaneous systemic sclerosis** (CREST syndrome), characterized by calcinosis, Raynaud's phenomenon, esophageal dysmotility, sclerodactyly, and telangiectasias. - None of these specific scleroderma features are present in the patient's chief complaints.
Explanation: ***Correct: Hemolytic anemia*** - The presence of **jaundice** (yellow skin and sclera) from **unconjugated hyperbilirubinemia**, combined with **anemia** and an **increased reticulocyte count**, is highly suggestive of hemolytic anemia. - **Hemoglobinemia** indicates red blood cell destruction, and the body's attempt to compensate is reflected by the increased production of reticulocytes. *Incorrect: Aplastic anemia* - This condition is characterized by **pancytopenia**, meaning a decrease in all blood cell lines, including red blood cells, white blood cells, and platelets. - A hallmark of aplastic anemia is **reticulocytopenia** (decreased reticulocyte count), which contradicts the increased reticulocytes seen in this patient. *Incorrect: Sideropenic anemia* - Also known as **iron deficiency anemia**, it is typically characterized by **microcytic, hypochromic red blood cells** and low iron stores. - It does not typically present with elevated unconjugated bilirubin, hemoglobinemia, or an elevated reticulocyte count. *Incorrect: Anemia of chronic disease* - This type of anemia is usually **normocytic or microcytic** and is associated with chronic inflammation or infection. - It is characterized by **low serum iron** and **normal or increased ferritin**, and unlike hemolytic anemia, it does not cause increased unconjugated bilirubin or hemoglobinemia. *Incorrect: Acute leukemia* - Acute leukemia involves the rapid proliferation of abnormal white blood cells in the bone marrow, often leading to **pancytopenia** or specific cytopenias. - While it can cause anemia, it does not directly explain the triad of **jaundice from unconjugated hyperbilirubinemia**, **hemoglobinemia**, and an **elevated reticulocyte count**, which are distinct features of hemolytic anemia.
Explanation: ***Dual-energy x-ray absorptiometry*** - Patients with **primary biliary cholangitis (PBC)** are at increased risk for **osteoporosis** due to chronic cholestasis interfering with vitamin D and calcium absorption, making bone density screening essential. - The presented symptoms of **fatigue, pruritus, jaundice, elevated alkaline phosphatase**, and histologic findings of **inflammation and destruction of small- and medium-sized intrahepatic bile ducts** are all highly suggestive of PBC. *Anti-mitochondrial antibody testing* - While **anti-mitochondrial antibodies (AMA)** are a hallmark of PBC (present in 90-95% of cases), the diagnosis is already strongly supported by the patient's **clinical presentation, biochemical abnormalities**, and particularly the **liver biopsy findings**. - Performing AMA testing at this stage would confirm the serologic marker but would not change the immediate management needed for complications like osteoporosis. *Extracorporeal shock wave lithotripsy* - This procedure is used to break up **gallstones** or kidney stones but is not indicated for **intrahepatic bile duct inflammation** or the systemic complications of PBC. - The patient's MRCP shows gallstones, but these are incidental and not causing the primary biliary inflammation or destruction seen on biopsy. *Administer N-acetylcysteine* - **N-acetylcysteine** is an antidote for **acetaminophen overdose** and has no role in the management of PBC or its associated complications. - Although the patient occasionally takes acetaminophen, there is no evidence of acute liver injury from an overdose. *Chest x-ray* - A **chest x-ray** is generally used to evaluate **pulmonary conditions** or cardiac issues and is not indicated in the initial workup or management of PBC, especially with no respiratory symptoms. - There is no clinical indication for a chest x-ray provided in the patient's presentation.
Explanation: ***Alpha-fetoprotein*** - This patient presents with **chronic alcoholism**, which is a significant risk factor for developing **hepatocellular carcinoma (HCC)** due to cirrhosis. - **Alpha-fetoprotein (AFP)** is a well-established tumor marker used for screening and monitoring individuals at high risk for HCC, especially in the context of cirrhosis. *Cancer antigen 19-9* - **CA 19-9** is primarily used as a tumor marker for **pancreatic cancer**, and sometimes for biliary tract cancers. - While alcoholism can cause pancreatic issues, the patient's presentation of hepatomegaly, jaundice, and ascites points more strongly towards liver pathology. *S-100 protein* - **S-100 protein** is a marker for **melanoma** and **schwannomas**. - It has no relevance to the patient's presentation of liver disease and abdominal swelling. *Beta-human chorionic gonadotropin* - **Beta-hCG** is a tumor marker primarily associated with **germ cell tumors** (e.g., testicular and ovarian cancers) and gestational trophoblastic disease. - It is not indicated for monitoring liver-related conditions or potential HCC. *Carcinoembryonic antigen* - **Carcinoembryonic antigen (CEA)** is most commonly used for monitoring **colorectal cancer**. - It is not a primary marker for liver cancer or the complications of liver cirrhosis.
Explanation: ***Alanine aminotransferase (ALT): 120 / Aspartate aminotransferase (AST): 256 / AST/ALT: 2.1*** - This patient presents with **jaundice**, **hepatomegaly**, and laboratory findings including **macrocytic anemia** (MCV 105), **thrombocytopenia** (platelets 110,000), and **leukocytosis** (WBC 14,000). These, combined with a history of daily alcohol consumption, are highly suggestive of **alcoholic hepatitis**. - In alcoholic hepatitis, **AST levels are typically higher than ALT levels**, with an **AST/ALT ratio usually greater than 2**, and often less than 300-400 IU/L. An AST/ALT ratio of 2.1 fits this pattern, along with the given absolute values. *Alanine aminotransferase (ALT): 2,521 / Aspartate aminotransferase (AST): 2,222 / AST/ALT: 0.88* - These extremely high transaminase levels (in the thousands) are more indicative of **acute viral hepatitis** (e.g., hepatitis A, B, or C) or **severe ischemic hepatitis** (shock liver), rather than alcoholic hepatitis, where levels are typically lower. - The AST/ALT ratio of 0.88 (ALT > AST) is characteristic of **acute viral hepatitis**, which contradicts the clinical picture of chronic alcohol use leading to alcoholic hepatitis. *Alanine aminotransferase (ALT): 1,500 / Aspartate aminotransferase (AST): 1,089 / AST/ALT: 0.73* - While showing elevated transaminases, the absolute values are still significantly higher than typically seen in alcoholic hepatitis, suggesting other causes like acute viral or drug-induced liver injury. - An AST/ALT ratio less than 1 (ALT > AST) is also more commonly seen in **viral hepatitis** or **non-alcoholic fatty liver disease (NAFLD)**, not alcoholic hepatitis. *Alanine aminotransferase (ALT): 83 / Aspartate aminotransferase (AST): 72 / AST/ALT: 0.87* - These values represent only **mildly elevated transaminases**, which, while abnormal, are not high enough to explain the patient's prominent jaundice and severe symptoms associated with acute alcoholic hepatitis. - The AST/ALT ratio is less than 1, inconsistent with the typical findings in alcoholic hepatitis. *Alanine aminotransferase (ALT): 38 / Aspartate aminotransferase (AST): 30 / AST/ALT: 0.79* - These transaminase levels are within the **normal reference range** (or very minimally elevated), which would not account for the patient's significant clinical presentation of jaundice and symptoms of acute liver injury. - Normal transaminase levels rule out acute hepatitis, including alcoholic hepatitis.
Explanation: ***Discuss with the patient the option of a transjugular intrahepatic portosystemic stent (TIPS)*** - This patient has experienced **recurrent variceal bleeding** despite endoscopic management, indicating a high risk of further rebleeding and mortality. **TIPS placement** effectively decompresses the portal system, reducing portal pressure and the risk of recurrent hemorrhage. - Given the history of **multiple bleeding episodes** successfully managed acutely, the focus shifts to preventing future life-threatening events, making TIPS a critical secondary prevention strategy. *Begin long-term octreotide and a 4-week course of prophylactic antibiotics* - **Octreotide** is primarily used for the acute control of variceal bleeding by causing splanchnic vasoconstriction, not as a long-term preventive measure after successful banding. - **Prophylactic antibiotics** are typically given for a short course (up to 7 days) in patients with variceal hemorrhage to prevent bacterial infections, not for 4 weeks post-stabilization and banding. *Monitor stability and discharge with continuation of endoscopic surveillance at regular 3 month intervals* - This patient has already experienced **recurrent bleeding episodes** despite endoscopic management, suggesting that routine surveillance and continued banding alone may not be sufficient to prevent further severe hemorrhages. - While endoscopic surveillance is important, the current situation warrants a more aggressive intervention to reduce the **high risk of rebleeding**, rather than simply continuing the prior, less effective strategy. *Balloon tamponade of bleeding varices* - **Balloon tamponade** is a temporary measure used to control acute, massive variceal bleeding refractory to other treatments, typically while preparing for more definitive interventions. - The patient's bleeding was successfully controlled by **endoscopic banding**, and he is now stable, so balloon tamponade is not indicated at this stage. *Give 2 units packed RBCs* - The patient's hemoglobin levels (11.2 g/dL on admission, 10.9 g/dL on day 1, 11.1 g/dL on day 2) are relatively stable and **above the typical transfusion threshold** of 7 g/dL (or 8 g/dL in certain situations). - Transfusing blood without active bleeding or significant symptomatic anemia is generally discouraged, as it carries risks and is not indicated here.
Explanation: ***Felty syndrome*** - The patient's presentation with severe, long-standing **rheumatoid arthritis**, **leg ulcers**, **splenomegaly** (palpable spleen tip), and **neutropenia** (WBC 2500, neutrophils 20%) is highly characteristic of **Felty syndrome**. - **Felty syndrome** is a rare, severe complication of rheumatoid arthritis, defined by the triad of **rheumatoid arthritis, neutropenia, and splenomegaly**. The neutropenia increases susceptibility to infections and can contribute to chronic leg ulcers. *Venous stasis and valve insufficiency* - This condition typically presents with **venous stasis ulcers** that are often located in the **gaiter area** (around the ankles) and accompanied by signs of chronic venous insufficiency, such as **edema**, **skin discoloration**, and **varicose veins**, which are noted as absent in this patient. - It does not explain the patient's systemic symptoms like **splenomegaly** or **neutropenia**. *Drug toxicity* - While methotrexate can cause **bone marrow suppression** leading to cytopenias, and liver enzyme elevations, it typically doesn't cause **splenomegaly** or chronic leg ulcers in this specific constellation without other clear signs of severe toxicity. - The liver enzymes are within normal limits, making significant hepatotoxicity unlikely, and the chronic nature of the leg ulcers along with splenomegaly points away from isolated methotrexate toxicity as the primary cause. *Caplan syndrome* - **Caplan syndrome** is characterized by the presence of **pneumoconiosis** (e.g., coal worker's pneumoconiosis) and **rheumatoid arthritis**, resulting in distinctive pulmonary nodules. - This patient has no history of occupational exposure to dusts and her lungs are clear to auscultation, making **Caplan syndrome** an unlikely diagnosis. *Vitamin deficiency* - While certain vitamin deficiencies (e.g., **Vitamin C** causing scurvy) can lead to skin manifestations and impaired wound healing, they do not typically cause the combination of **splenomegaly**, **neutropenia**, and severe leg ulcers in the context of rheumatoid arthritis. - The specific laboratory findings and the clinical picture are more indicative of a distinct rheumatologic complication.
Explanation: ***It arises from hepatocytes*** - This patient's clinical presentation, including chronic **hepatitis B** with **cirrhosis**, an abdominal mass, and significantly elevated **alpha-fetoprotein (AFP)**, strongly indicates **hepatocellular carcinoma (HCC)**. - HCC is a primary liver cancer that originates from the **hepatocytes**, the main functional cells of the liver. *It arises from the bile duct epithelium* - This describes **cholangiocarcinoma**, which arises from the **bile duct cells**. - While cholangiocarcinoma is a primary liver cancer, its risk factors, imaging features, and tumor markers (e.g., **CA 19-9**) typically differ from those seen in this patient, and **AFP** elevation is not characteristic. *Daughter cysts are usually present on abdominal ultrasound* - **Daughter cysts** on ultrasound are characteristic of **hydatid cysts**, typically caused by **Echinococcus granulosus** infection. - This parasitic condition presents differently, and the patient's elevated **AFP** and history of **cirrhosis** are not associated with hydatid disease. *Liver biopsy is required for diagnosis in a majority of patients* - In patients with **cirrhosis** and a lesion larger than 1 cm with characteristic imaging findings **(e.g., contrast enhancement on MRI/CT)**, along with a high **alpha-fetoprotein (AFP)** level, a biopsy is often **not required** for the diagnosis of HCC, as per standard guidelines. - The combination of risk factors (cirrhosis, chronic HBV), elevated AFP, and imaging findings is sufficient for diagnosis in many cases, especially to avoid biopsy-related risks like bleeding or tumor seeding. *Doppler blood flow shows venous pattern* - **Hepatocellular carcinoma** typically exhibits a **hypervascular arterial enhancement pattern** on imaging with **early washout** in the venous phase. - This is a key diagnostic feature, and flow showing a venous pattern would be inconsistent with HCC.
Explanation: ***Alcoholic hepatitis*** - The patient's history of **heavy alcohol use**, along with symptoms such as **nausea**, **weakness**, **palmar erythema**, **tender hepatomegaly**, and **gynecomastia**, strongly points to alcoholic hepatitis. - Laboratory findings of **AST:ALT ratio > 2:1** (170:60), **elevated GGT** (400 U/L), and **mildly elevated WBC** are characteristic of alcoholic liver injury. *Acute viral hepatitis* - While acute viral hepatitis can cause similar symptoms and elevated transaminases, the **AST:ALT ratio being significantly greater than 1** (specifically >2) is highly suggestive of alcoholic liver disease, whereas viral hepatitis typically shows ALT > AST. - The elevated GGT is also more indicative of chronic alcohol use rather than acute viral infection. *Acute cholangitis* - Acute cholangitis typically presents with **Charcot's triad** (fever, right upper quadrant pain, jaundice) or **Reynolds' pentad** (Charcot's triad plus altered mental status and hypotension), along with **elevated alkaline phosphatase** and **direct bilirubin**. - This patient's symptoms do not align with a classic presentation of cholangitis, and his direct bilirubin is normal. *Hereditary hemochromatosis* - Hereditary hemochromatosis is characterized by **iron overload**, which would manifest as **elevated serum iron** and **transferrin saturation**, along with a **decreased TIBC**. - This patient's serum iron is normal, and his TIBC is within the normal range, ruling out iron overload as the primary cause. *Hepatocellular carcinoma* - HCC is a form of **liver cancer** that often develops in the setting of chronic liver disease (e.g., cirrhosis). While his history of alcohol use puts him at risk for cirrhosis, his **alpha-fetoprotein (AFP)** level is normal. - The acute presentation with elevated transaminases and inflammatory markers is more consistent with acute hepatitis rather than carcinoma, which typically presents insidiously.
Explanation: ***Iron deficiency anemia*** - **Iron deficiency** is a common cause of **secondary Restless Legs Syndrome (RLS)**, as iron is crucial for dopamine synthesis in the brain, which is implicated in RLS pathophysiology. - Evaluation of RLS often includes testing **serum ferritin levels** to assess iron stores. *Pulmonary tuberculosis* - While tuberculosis can cause systemic symptoms and chronic illness, it is **not directly associated** with the pathophysiology of RLS. - The focus of tuberculosis is on the respiratory system and other organs where the infection manifests. *Vitamin B3 deficiency* - **Vitamin B3 deficiency**, or **pellagra**, primarily affects the skin, gastrointestinal tract, and nervous system, causing dermatitis, diarrhea, and dementia. - It does **not typically present** with or directly cause RLS symptoms. *Zinc deficiency* - **Zinc deficiency** can lead to various symptoms like immune dysfunction, hair loss, and skin lesions. - There is **no established direct link** between zinc deficiency and the development of RLS. *Liver failure* - **Liver failure** can cause a range of neurological symptoms such as **encephalopathy** and peripheral neuropathy. - However, it is **not a primary or common cause** of secondary RLS.
Explanation: ***Alcohol cessation*** - The patient exhibits clear signs of **decompensated cirrhosis** due to chronic alcohol use, including **abdominal distension** (ascites), **leg swelling** (peripheral edema), and **shortness of breath** (likely due to fluid overload or hepatopulmonary syndrome). The elevated AST/ALT with an AST:ALT ratio > 2:1 is also suggestive of **alcoholic liver disease**. - **Alcohol cessation** is the most critical intervention to halt the progression of liver damage and improve outcomes in alcoholic liver disease. *Antiviral therapy* - Antiviral therapy is indicated for **viral hepatitis (e.g., hepatitis B or C)**, but the patient's history of heavy alcohol consumption and the AST:ALT ratio > 2:1 specifically point towards **alcoholic liver disease**, not viral hepatitis. - There is no lab or clinical evidence (e.g., positive hepatitis serologies) presented that would suggest a viral etiology requiring antiviral treatment. *Immunosuppressive therapy* - Immunosuppressive therapy is used for **autoimmune liver diseases** (e.g., autoimmune hepatitis) or conditions requiring immune modulation. - The patient's history and lab findings are not consistent with an autoimmune liver disease, and there is no indication for immunosuppression in uncomplicated alcoholic liver disease. *Hormone replacement* - Hormone replacement is typically considered for **endocrine disorders** or **menopause**. - There is no clinical or laboratory evidence to suggest any hormonal imbalance or deficiency in this male patient. *Vitamin repletion* - While patients with chronic alcoholism often have **vitamin deficiencies** (e.g., thiamine, folate), **vitamin repletion** alone will not address the underlying liver damage and decompensation this patient is experiencing. - While it may be a supportive measure, it is not the most crucial next step for immediate management and preventing further progression of severe liver disease.
Explanation: ***Chronic viral hepatitis*** - The patient's history of **multiple sexual partners** and subsequent development of **jaundice**, **ascites** (distended abdomen with thrill on percussion), **palmar erythema**, **gynecomastia** (bilateral enlarged breast tissue), and **peripheral edema** are highly suggestive of **decompensated chronic liver disease**, such as **cirrhosis**. - **Chronic viral hepatitis** (e.g., Hepatitis B or C) is a very common cause of cirrhosis, especially in patients with a history of risky behaviors like unprotected sexual intercourse. *Autoimmune hepatitis* - While it can cause cirrhosis, **autoimmune hepatitis** typically presents with elevated **liver enzymes** (AST, ALT) and specific **autoantibodies** (e.g., ANA, anti-smooth muscle antibodies), which are not mentioned here. - There is no specific risk factor for autoimmune disease in this patient's history. *Congestive hepatopathy* - This condition results from **right-sided heart failure**, causing engorgement of the liver and potentially cirrhosis. The absence of **hepatojugular reflux** makes this diagnosis less likely. - Symptoms like **jugular venous distention** and **cardiac murmurs** associated with heart failure would typically be present. *Primary biliary cirrhosis* - This is a **cholestatic liver disease** primarily affecting **middle-aged women** and is characterized by **pruritus**, **fatigue**, and elevated **alkaline phosphatase**. - The patient's gender and lack of specific cholestatic symptoms make this less probable. *Non-alcoholic steatohepatitis* - While **NASH** can progress to cirrhosis, the patient's **normal BMI**, lack of significant **alcohol intake**, and no history of **diabetes** or **dyslipidemia** make this diagnosis less likely. - NASH is strongly associated with **metabolic syndrome**.
Explanation: **Hepatocellular carcinoma** - The patient's presentation with **diabetes**, **arthropathy**, **skin hyperpigmentation** (bronze diabetes), and symptoms of **malabsorption** (fatty stools) are characteristic of **hemochromatosis**. - **Hemochromatosis** is a genetic disorder of iron overload, which significantly increases the risk of developing **hepatocellular carcinoma** due to chronic liver damage. *Squamous cell skin carcinoma* - While **hemochromatosis** can be associated with skin hyperpigmentation, it does not specifically increase the risk of squamous cell carcinoma more than other cancers. - This type of cancer is primarily linked to **UV radiation exposure**, which the patient states he tries to avoid. *Pancreatic adenocarcinoma* - Although **diabetes** is a risk factor for **pancreatic adenocarcinoma**, the other prominent features like arthropathy, hyperpigmentation, and fatty stools are not directly linked to this cancer. - **Hemochromatosis** itself has a weaker association with pancreatic cancer compared to liver cancer. *Osteosarcoma* - **Osteosarcoma** is a primary bone malignancy, typically affecting children and young adults, and is not generally associated with the patient's constellation of symptoms. - There is no direct link between **hemochromatosis** and an increased risk of osteosarcoma. *Basal cell carcinoma* - Similar to squamous cell carcinoma, **basal cell carcinoma** is primarily associated with **UV light exposure** and fair skin, not the systemic iron overload seen in hemochromatosis. - The patient's **hyperpigmentation** from iron deposition is distinct from risk factors for basal cell carcinoma.
Explanation: ***Alcoholic liver disease*** - The patient's history of **heavy alcohol consumption**, coupled with symptoms like **jaundice**, **ascites** (abdominal distension with shifting dullness and fluid wave), and signs of **chronic liver disease** such as **gynecomastia** and **thrombocytopenia**, strongly points toward alcoholic liver disease. - The laboratory findings show an **AST:ALT ratio of approximately 2:1** (108:55), which is characteristic of alcoholic hepatitis or cirrhosis, along with elevated **GGT**, further supporting this diagnosis. *Hepatic adenoma* - Hepatic adenomas are **benign liver tumors** often associated with oral contraceptive use and typically present as an abdominal mass or pain, with rupture being a serious complication. - They are not typically associated with the widespread signs of **liver failure** like jaundice, ascites, or gynecomastia seen in this patient. *Hemochromatosis* - Hemochromatosis is characterized by **iron overload** and would typically show significantly **elevated ferritin** and **transferrin saturation**, often above 60-90%. - While this patient has normal iron studies, his symptoms are primarily indicative of **liver dysfunction due to alcohol**, not iron accumulation. *Non alcoholic fatty liver disease* - NAFLD is common in individuals with **metabolic syndrome**, obesity, and diabetes, none of which are mentioned in the patient's history. - While it can progress to cirrhosis, the striking history of **heavy alcohol consumption** makes alcoholic liver disease a far more probable diagnosis. *Chronic viral hepatitis* - Chronic viral hepatitis (e.g., Hepatitis B or C) can lead to cirrhosis and liver failure, presenting with similar symptoms like jaundice and ascites. - However, the patient's **heavy alcohol abuse** for several years provides a direct and strong etiology for his liver disease, making viral hepatitis less likely in the absence of specific risk factors or positive serology.
Explanation: ***Variceal ligation*** - **Endoscopic variceal ligation (EVL) is the gold standard for secondary prophylaxis** (preventing re-bleeding) in patients who have already experienced a variceal hemorrhage. - It involves placing elastic bands on varices to occlude them, leading to fibrosis and eradication of the varices. *Terlipressin* - **Terlipressin is a vasoconstrictor primarily used to control acute variceal bleeding**, not for long-term secondary prevention. - It reduces portal pressure by causing splanchnic vasoconstriction but is not suitable for chronic management. *Transjugular intrahepatic portosystemic shunt* - **TIPS is typically reserved for patients who fail endoscopic and pharmacological therapies** or have refractory ascites. - While effective in reducing portal pressure, it carries risks such as **hepatic encephalopathy** and is not the first-line secondary prevention strategy. *Variceal sclerotherapy* - **Variceal sclerotherapy involves injecting a sclerosant solution into or adjacent to varices to induce thrombosis and fibrosis.** - It is an alternative to band ligation but is generally **less preferred for secondary prophylaxis due to a higher rate of complications** like esophageal ulceration and re-bleeding. *Octreotide therapy* - **Octreotide, a somatostatin analog, is used to reduce splanchnic blood flow and portal pressure during acute variceal bleeding episodes.** - It is **not recommended for long-term secondary prophylaxis** and is typically used in conjunction with endoscopic therapy for acute management.
Explanation: ***Lactulose*** - The patient's symptoms (confusion, agitation, somnolence) following **TIPS placement** and with a history of **cirrhosis** are highly suggestive of **hepatic encephalopathy**. Lactulose is a first-line treatment as it acidifies the colon, converting ammonia (a neurotoxin) to ammonium, which is then trapped and excreted. - Additionally, this patient has **hypokalemia**, which can exacerbate hepatic encephalopathy by increasing renal ammonia production due to intracellular potassium shifts. Correcting hypokalemia is crucial alongside lactulose therapy. *Rifaximin* - Rifaximin is a non-absorbable antibiotic that can be used as an **adjunctive therapy** in hepatic encephalopathy, particularly in patients who do not respond adequately to lactulose or in whom lactulose is contraindicated. - It works by reducing the number of **ammonia-producing bacteria** in the gut, but it is not the primary or initial treatment of choice for acute hepatic encephalopathy and is typically used after lactulose. *Nadolol* - Nadolol is a **non-selective beta-blocker** primarily used to prevent rebleeding from esophageal varices by reducing portal pressure. - It does not directly treat or improve the symptoms of **hepatic encephalopathy** and is not indicated for the acute management of this condition. *Ciprofloxacin* - Ciprofloxacin is an antibiotic sometimes used to prevent **spontaneous bacterial peritonitis (SBP)** in patients with cirrhosis and ascites, or for the treatment of **bacterial infections**. - While infections can precipitate hepatic encephalopathy, ciprofloxacin is not a direct treatment for encephalopathy itself, nor is there evidence of active infection here (e.g., fever, leukocytosis) that would necessitate its use over lactulose. *Protein-restricted diet* - In the past, protein restriction was a common recommendation for hepatic encephalopathy to reduce ammonia production from protein catabolism. However, severe protein restriction can lead to **malnutrition and sarcopenia**, which are detrimental in cirrhotic patients. - Current guidelines recommend maintaining adequate protein intake and only briefly restricting protein (if at all) in severe, refractory cases, as it is generally not helpful for acute management and can worsen patient outcomes in the long term.
Explanation: ***Fulminant liver failure*** - The patient's **prolonged PT (40 seconds)** and **aPTT (90 seconds)** after 5 days, despite improvements in other parameters, indicate a severe impairment in hepatic synthesis of clotting factors, which is a hallmark of **fulminant liver failure**. - The initial presentation with **elevated AST/ALT (over 1000 U/L)** coupled with **encephalopathy (minimally responsive)** and subsequent worsening coagulopathy points towards acute liver failure, even if transaminases are improving. *Recovery from acute renal failure* - While the initial **creatinine (1.7 mg/dL)** was mildly elevated, it remained largely unchanged (1.6 mg/dL) after 5 days, indicating no significant acute renal failure or subsequent recovery. - The patient’s fluid resuscitation and improved hemodynamics would likely lead to a more pronounced improvement in creatinine if significant acute renal failure had occurred and was recovering. *Acute renal failure* - The creatinine level, while slightly elevated, does not meet the criteria for significant **acute renal failure** (e.g., a >50% increase from baseline or a >0.3 mg/dL increase within 48 hours relative to his baseline, which is unknown but likely lower than 1.7 mg/dL given his other conditions). - Furthermore, if true acute renal failure was present on admission, 5 days later with improved vitals, we would expect a clearer trend of either worsening or recovering creatinine, neither of which is strongly evident here. *Recovery from ischemic liver disease* - While the initial very high transaminases (AST 1010, ALT 950) could suggest **ischemic liver injury**, the subsequent significant prolongation of **PT and aPTT** (from 20 to 40 seconds and 60 to 90 seconds, respectively) indicates worsening synthetic dysfunction, not recovery. - Recovery from ischemic liver disease would typically show improving coagulation parameters alongside decreasing transaminases. *Recovery from acute alcoholic liver disease* - Similar to recovery from ischemic liver disease, recovery from **acute alcoholic liver disease** would involve an improvement in liver synthetic function, reflected by a **shortening of PT/aPTT**, not a progressive prolongation as seen here. - The patient's initial presentation is consistent with acute alcoholic hepatitis or other acute liver injury given his history and high LFTs, but the subsequent worsening coagulopathy rules out recovery.
Explanation: ***Mineral accumulation in the basal ganglia*** - This patient presents with a classic constellation of symptoms consistent with **Wilson's disease**, including **neurological symptoms** (tremor, dystonia, incoordination, slurred speech, handwriting changes), **psychiatric symptoms** (depression, bizarre behavior, memory issues), and **hepatic involvement** (though not explicitly stated, often implied by the systemic nature). The image of the eye likely shows a **Kayser-Fleischer ring**, which is pathognomonic for copper deposition in the cornea. - Wilson's disease is an autosomal recessive disorder characterized by impaired copper excretion, leading to **copper accumulation** in the liver, brain (especially **basal ganglia**), and other organs. *Autoimmune process following infection with group A streptococci* - This describes **Sydenham chorea**, a manifestation of acute rheumatic fever, characterized by rapid, involuntary movements. - While it can cause neurological symptoms, the presentation here with **tremors**, **dystonia**, and **Kayser-Fleischer rings** is inconsistent. *Autosomal dominant, trinucleotide repeat disorder* - This describes **Huntington's disease**, which presents with chorea, cognitive decline, and psychiatric symptoms. - However, Huntington's disease typically manifests later in life and does not feature **Kayser-Fleischer rings** or the specific constellation of motor symptoms seen here. *Loss of dopaminergic neurons in the nigrostriatal pathway* - This is the hallmark of **Parkinson's disease**, characterized by resting tremor, bradykinesia, rigidity, and postural instability. - The patient's age (17 years old) and the specific presentation (dystonia, Kayser-Fleischer rings) make Parkinson's disease highly unlikely. *Central nervous system demyelination* - This describes conditions like **multiple sclerosis**, which involves neurological deficits that can be varied, including motor, sensory, and cognitive symptoms. - While some symptoms like incoordination could overlap, the presence of **Kayser-Fleischer rings**, psychiatric disturbances, and the specific tremor/dystonia pattern are not typical of demyelinating diseases.
Explanation: ***It may improve with calcium chelators*** - This patient presents with symptoms and lab findings consistent with **hereditary hemochromatosis**, an iron overload disorder. **Calcium chelators** are used for calcium overload conditions, not for iron overload, and thus would not improve this patient's condition. - The primary treatment for **iron overload** is **therapeutic phlebotomy** or iron chelators such as **deferoxamine**, **deferiprone**, or **deferasirox**. *It is associated with an increased risk for hepatocellular carcinoma* - **Hereditary hemochromatosis** significantly increases the risk of developing **hepatocellular carcinoma** due to chronic liver damage and cirrhosis caused by iron accumulation. - This risk is particularly high in patients who develop **cirrhosis** as a complication of hemochromatosis. *It may improve with serial phlebotomy* - **Serial therapeutic phlebotomy** is the mainstay of treatment for primary hemochromatosis, as it effectively removes excess iron from the body. - Regular blood draws help to reduce **iron stores**, lower ferritin levels, and prevent further organ damage. *It may lead to a decline in cardiac function* - **Iron deposition** in the heart muscle (cardiomyopathy) can lead to impaired cardiac function, resulting in **dilated cardiomyopathy**, arrhythmias, and eventually **heart failure**. - This is a significant cause of morbidity and mortality in untreated hemochromatosis. *It results in skin bronzing* - **Iron deposition** in the skin can lead to a characteristic **bronze or grayish discoloration**, often referred to as "bronze diabetes" when diabetes is also present. - This skin pigmentation is a common clinical feature of advanced hemochromatosis.
Explanation: ***Correct: Ferritin*** - The patient's fatigue associated with a normal hemoglobin and creatinine suggests a subtle cause for fatigue, and **iron deficiency without anemia** (iron deficiency anemia can cause decrease in hemoglobin levels) is a common cause, which would be identified by low ferritin levels. - Ferritin is a **storage protein for iron**, and its levels accurately reflect the body's iron stores and are the most sensitive indicator for iron deficiency. *Incorrect: Cancer antigen 27-29* - This marker is primarily used to monitor **breast cancer recurrence** or progression, not for initial diagnosis or as a general screen for fatigue. - There is no clinical indication in the patient's presentation that suggests breast cancer, making this an unlikely and unhelpful test. *Incorrect: Calcitriol* - Calcitriol is the active form of vitamin D, primarily involved in **calcium and phosphorus metabolism** and bone health. - While vitamin D deficiency can cause fatigue, the patient's normal alkaline phosphatase (ALP is elevated in vitamin D deficiency due to secondary hyperparathyroidism) and absence of other related symptoms make calcitriol assessment less likely to be the most helpful first step. *Incorrect: Lactate dehydrogenase* - **LDH is a general marker of tissue damage and cell turnover**, elevated in conditions like hemolysis, malignancy, or liver disease. - It is a non-specific marker that would not pinpoint the cause of fatigue in this patient with otherwise normal baseline labs. *Incorrect: Gamma-glutamyl transpeptidase* - GGT is an enzyme primarily used to assess **liver function and bile duct obstruction**, often in conjunction with alkaline phosphatase. - Given the patient's normal alkaline phosphatase and no other signs of liver disease, GGT would not be a helpful test for fatigue in this context.
Explanation: ***Active chronic hepatitis B infection*** - The presence of **HBsAg positive**, **anti-HBc IgG positive** (not IgM), and **HBeAg positive** indicates chronic hepatitis B infection with active viral replication. - The key distinguishing feature is **anti-HBc IgG** rather than anti-HBc IgM. In acute hepatitis B, **anti-HBc IgM** would be positive, whereas **anti-HBc IgG** indicates infection that occurred more than 6 months ago (chronic infection). - The **HBeAg positivity** indicates active viral replication and high infectivity, making this an "active" chronic infection rather than an inactive carrier state. - The markedly elevated **AST (488 U/L)** and **ALT (798 U/L)** levels indicate significant hepatocellular damage with active inflammation. - Clinical features of **scleral icterus**, **dark urine** (conjugated hyperbilirubinemia), **fever**, **fatigue**, and **abdominal pain** are consistent with active hepatitis. *Acute hepatitis B infection* - This is ruled out by the presence of **anti-HBc IgG** rather than **anti-HBc IgM**. - In acute hepatitis B infection, **anti-HBc IgM** (the IgM class antibody to core antigen) would be positive, indicating recent infection. - The presence of IgG class antibody indicates the infection occurred more than 6 months ago, establishing chronicity. *Resolved acute hepatitis B infection* - In resolved infection, **HBsAg** would be negative, and **anti-HBs** (Hepatitis B surface antibody) would be positive, indicating immunity. - This patient is **HBsAg positive**, ruling out resolved infection. - Resolved infection would not cause the current hepatocellular injury. *Alcoholic hepatitis* - Although the patient drinks 1-2 beers daily (modest consumption), the **AST:ALT ratio** (488:798 = 0.61) is less than 2:1. - In alcoholic hepatitis, the AST:ALT ratio is typically **>2:1** due to alcohol-induced pyridoxine deficiency affecting ALT more than AST. - The specific **viral serology markers** (positive HBsAg, HBeAg, and anti-HBc IgG) definitively establish hepatitis B as the cause of liver inflammation. *Inactive chronic hepatitis B infection* - In inactive chronic hepatitis B (also called inactive carrier state), **HBsAg** would be positive, but **HBeAg** would be negative with positive **anti-HBe** antibody. - **ALT levels** are typically normal or minimally elevated (<40-50 U/L) in inactive carriers, not markedly elevated as in this case (ALT 798 U/L). - The positive **HBeAg** and significantly elevated transaminases indicate active viral replication and inflammation, not an inactive state.
Explanation: ***Supportive therapy*** - The patient has **acute hepatitis B** based on positive **hepatitis B core IgM antibody** and highly elevated **ALT** and **AST** (>2000 U/L). - The serological pattern (**HBsAg negative, HBcore IgM positive, HBsAb negative**) represents the **"window period"** of acute hepatitis B, occurring when HBsAg has cleared but HBsAb has not yet developed. - Acute hepatitis B in **immunocompetent adults** is typically **self-limiting** (>95% clearance rate), making **supportive care** the appropriate management. - No signs of **hepatic encephalopathy** (no asterixis), **coagulopathy** (PT normal), or **fulminant hepatic failure** are present, so antiviral therapy is not indicated. - While she has **Hepatitis C antibody positive**, the **Hepatitis C RNA is negative**, indicating **resolved past infection** (likely from prior IV drug use) and not the cause of her current acute hepatitis. *Vaccination against Hepatitis B* - **Vaccination is contraindicated** during active/acute hepatitis B infection, as evidenced by positive **Hepatitis B core IgM antibody**. - Vaccination is for **prevention**, not treatment, of existing infection. *Ribavirin and interferon* - This combination therapy was historically used for **chronic hepatitis C infection**, which this patient does not have (negative HCV RNA indicates resolved infection). - It is **not indicated for acute hepatitis B** treatment. *Tenofovir* - **Tenofovir** is an antiviral agent used to treat **chronic hepatitis B** or **severe/fulminant acute hepatitis B** with signs of liver failure. - Given the patient's **immunocompetent status**, absence of hepatic decompensation, and the typically **self-limiting nature of acute HBV** in adults, antiviral therapy is **not indicated**. - Treatment would only be considered if signs of **fulminant hepatic failure** develop (encephalopathy, severe coagulopathy, rapidly rising bilirubin). *Pegylated interferon-alpha* - **Pegylated interferon-alpha** is used in some cases of **chronic hepatitis B and C**, but it is **not indicated for acute hepatitis B** in immunocompetent adults. - The infection is expected to resolve spontaneously with supportive care in >95% of immunocompetent adults. - Side effects are significant, and its use is reserved for chronic cases, not acute self-limiting presentations.
Explanation: ***Fatty infiltration of hepatocytes*** - The patient's history of **type 2 diabetes mellitus** and **obesity** (implied by diabetes and fatty liver risk) makes **non-alcoholic fatty liver disease (NAFLD)**, primarily fatty infiltration, the most probable cause of her elevated liver enzymes (ALT > AST) and fatigue. - NAFLD often presents with **mildly elevated transaminases** and can cause fatigue and dull right upper quadrant pain, consistent with her symptoms and physical exam findings. *Copper accumulation in hepatocytes* - This presentation suggests **Wilson's disease**, which typically manifests at a younger age and includes psychiatric or neurological symptoms not described here. - Hepatic copper accumulation usually leads to significantly worse liver function and may present with Kayser-Fleischer rings. *Autoimmune destruction of the intralobular bile ducts* - This describes **primary biliary cholangitis (PBC)**, which is characterized by elevated **alkaline phosphatase** and positive **anti-mitochondrial antibodies**. - The patient's alkaline phosphatase is normal, and there is no mention of pruritus or jaundice, making PBC less likely. *Alcohol-induced destruction of hepatocytes* - While alcohol can cause liver damage, her reported consumption of "2-3 drinks on the weekends" is considered **moderate** and unlikely to cause significant alcoholic hepatitis or fatty liver disease with these specific lab findings. - Alcoholic liver disease typically presents with an **AST:ALT ratio of 2:1 or more**, which is not seen here (AST 70, ALT 120). *Drug-induced liver damage* - Although the patient is on **methotrexate**, which can cause hepatotoxicity, the pattern of liver enzyme elevation (ALT > AST) and her comorbidities (diabetes) make NAFLD a more direct and common cause for this presentation. - While ibuprofen can cause mild liver injury, it's not typically the primary cause of chronic transaminitis in this context.
Explanation: ***Increased lipoproteins*** - The patient's symptoms (**lower extremity swelling**, **frothy urine**) and history of **hepatitis C infection** are highly suggestive of **nephrotic syndrome**. - **Nephrotic syndrome** is characterized by severe proteinuria, leading to **hypoalbuminemia**, edema, and often **compensatory hyperlipidemia** (increased lipoproteins) due to increased hepatic synthesis of lipids. *Decreased cholesterol* - **Nephrotic syndrome** typically leads to **hyperlipidemia**, including **elevated cholesterol levels**, not decreased, as the liver compensates for protein loss by increasing lipid synthesis. - This is a key diagnostic feature differentiating nephrotic syndrome from other conditions that might cause edema. *Decreased blood urea nitrogen* - In **nephrotic syndrome**, kidney function might initially be preserved, or kidney injury could lead to **increased BUN** if glomerular filtration rate (GFR) significantly declines. - **Decreased BUN** is usually seen in conditions like liver failure, overhydration, or low protein diet, which are not suggested by the clinical picture. *Increased antithrombin III* - Patients with **nephrotic syndrome** typically have **decreased levels of antithrombin III** due to urinary loss of this anticoagulant protein, increasing their risk of **thrombosis**. - Therefore, an increase in antithrombin III would be highly unlikely and is contrary to the pathophysiology of nephrotic syndrome. *Decreased cystatin C* - **Cystatin C** is an endogenous marker of **renal function** (similar to creatinine), and its levels usually **increase** when glomerular filtration rate (GFR) decreases, indicating kidney impairment. - A decrease in cystatin C would suggest improved or hyper-filtration, which is not consistent with the signs of kidney damage seen in nephrotic syndrome.
Explanation: ***Increased prothrombin time*** - The patient's history of **bipolar disorder** and **absence seizures** suggests he is likely on **valproic acid** or **carbamazepine**. His presentation of confusion, **flapping tremor** (asterixis), **pitting edema**, and **gynecomastia** are signs of **hepatic encephalopathy** due to **liver cirrhosis**. - **Chronic alcohol consumption** (4 drinks/night) is a significant risk factor for cirrhosis. **Liver cirrhosis** impairs the synthesis of **coagulation factors** produced by the liver, leading to a **prolonged prothrombin time (PT)** and an **elevated international normalized ratio (INR)**. *Increased d-dimer levels* - **Increased d-dimer levels** indicate activation of the coagulation and fibrinolytic systems, typically seen in conditions like **deep vein thrombosis (DVT)**, **pulmonary embolism (PE)**, or **disseminated intravascular coagulation (DIC)**. - While liver disease can be associated with coagulation abnormalities, the patient's symptoms and signs are more consistent with liver failure and its impact on clotting factor production, rather than acute thrombotic events that would primarily elevate d-dimer. *Increased antidepressant levels* - The patient has **bipolar disorder**, but the current presentation of **hepatic encephalopathy** is not primarily related to antidepressant toxicity, although some antidepressants are metabolized by the liver. - The constellation of symptoms (confusion, asterixis, edema, gynecomastia) points towards **liver dysfunction** rather than an overdose of antidepressants. *Increased bleeding time* - **Increased bleeding time** suggests a problem with **platelet function** or **platelet count**, such as in **thrombocytopenia** or **von Willebrand disease**. - While patients with **liver cirrhosis** can develop **thrombocytopenia** due to **hypersplenism** or reduced **thrombopoietin**, the primary coagulation abnormality directly linked to impaired liver synthetic function is a **prolonged PT/INR**, reflecting deficiencies in factors II, VII, IX, and X. *Increased anticonvulsant levels* - While the patient is likely on **anticonvulsants** for absence seizures and **mood stabilizers** for bipolar disorder (some of which are also anticonvulsants, like valproic acid), the clinical picture of **hepatic encephalopathy** due to **cirrhosis** is the more encompassing diagnosis. - High levels of certain anticonvulsants can cause confusion, but the additional physical signs like **gynecomastia**, **edema**, and **asterixis** strongly point to **liver failure**, which would then affect the metabolism of these drugs, rather than simply an isolated anticonvulsant overdose.
Explanation: ***Fulminant hepatic failure*** - The patient's **acute onset of jaundice**, **hepatic encephalopathy** (agitation, disorientation, asterixis), and significantly elevated **liver transaminases (AST, ALT)**, along with impaired synthetic function (prolonged INR, reduced TP activity), are characteristic of fulminant hepatic failure. - The history of high-risk sexual behavior and drug use (cocaine, ecstasy) suggests potential causes like **viral hepatitis** (e.g., hepatitis B or C), which can lead to this severe condition, although the specific etiology is not explicitly stated. *Ecstasy intoxication* - While ecstasy use can cause **hyperthermia** and **hyponatremia**, leading to altered mental status, it typically does not cause such marked **hepatic dysfunction** with **jaundice** and **coagulopathy** without very high doses or pre-existing liver disease. - The patient's presentation with **jaundice** and **coagulopathy** indicates severe liver damage beyond what is typically expected from acute ecstasy intoxication alone. *Alcoholic hepatitis* - Although the patient consumes alcohol, the amount (20g on weekends) is **not sufficient to cause severe alcoholic hepatitis**. - Alcoholic hepatitis typically presents with a history of **heavy chronic alcohol use**, and AST is usually higher than ALT (AST:ALT ratio > 2:1), which is not the case here (AST 600, ALT 650). *Hemolytic uremic syndrome* - HUS is characterized by a triad of **microangiopathic hemolytic anemia**, **thrombocytopenia**, and **acute kidney injury**. - Although this patient has some neurological symptoms and epistaxis (suggesting potential bleeding diathesis), the **severe jaundice**, **markedly elevated transaminases**, and **prolonged INR** are not typical features of HUS. *Cocaine-abstinence syndrome* - **Cocaine withdrawal** symptoms include fatigue, vivid dreams, insomnia or hypersomnia, increased appetite, and psychomotor agitation or retardation. - This syndrome does **not explain the severe liver dysfunction**, jaundice, or coagulopathy observed in this patient.
Explanation: ***Alcoholic bone disease*** - Chronic **alcohol abuse** is a major risk factor for **metabolic bone disease**, including osteoporosis and osteomalacia, which can lead to generalized bone pain. - The patient's history of alcohol abuse, elevated **alkaline phosphatase (252 U/L)**, and generalized bone pain suggest bone disease related to chronic alcoholism. - While "alcoholic bone disease" is not a formal diagnosis, chronic alcohol use impairs bone formation, decreases calcium absorption, and can cause vitamin D deficiency, leading to osteomalacia with elevated alkaline phosphatase. - **Note**: This presentation is also consistent with **Paget's disease of bone** (isolated elevated alkaline phosphatase with bone pain), but given the options, the alcohol-bone disease association is the most relevant. *Bence Jones proteins* - These are **monoclonal light chains** found in the urine, highly suggestive of **multiple myeloma**. - While multiple myeloma can present with bone pain and elevated alkaline phosphatase, it typically presents with **hypercalcemia**, **anemia**, and **renal dysfunction** (CRAB criteria: hyperCalcemia, Renal failure, Anemia, Bone lesions). - This patient has **normal calcium** and **normal renal function**, making multiple myeloma less likely. *Hypercalcemia* - The patient's **calcium level is normal** (10.2 mg/dL; normal range 8.5-10.5 mg/dL), ruling out hypercalcemia. - Hypercalcemia can cause bone pain, constipation, and neuropsychiatric symptoms, but is not present in this case. *Adenocarcinoma of the gallbladder* - This rare malignancy typically presents with **right upper quadrant pain**, **jaundice**, **weight loss**, and a palpable mass. - The patient's **normal liver enzymes** (AST, ALT) and lack of biliary symptoms make this unlikely. *Obstructive jaundice* - Would present with **jaundice**, **dark urine**, **pale stools**, **pruritus**, and elevated conjugated bilirubin. - While alkaline phosphatase can be elevated in cholestasis, the patient's **normal AST/ALT** and absence of jaundice make this unlikely.
Explanation: ***Primary sclerosing cholangitis*** - This patient's history of **ulcerative colitis** combined with cholestatic liver injury (elevated alkaline phosphatase >> transaminases), **scleral icterus**, and **severe pruritus** strongly suggests primary sclerosing cholangitis (PSC). - The imaging findings of **bile duct thickening and focal dilatation** are characteristic of PSC, which causes chronic inflammation and fibrosis of intra- and extrahepatic bile ducts. - PSC is strongly associated with inflammatory bowel disease, particularly **ulcerative colitis** (present in 60-80% of PSC patients), and typically affects men in their 30s-40s. - Negative antimitochondrial antibodies help distinguish this from primary biliary cholangitis. *Primary biliary cholangitis* - Primary biliary cholangitis (PBC) typically affects **middle-aged women** and is characterized by positive **antimitochondrial antibodies (AMAs)**, which are negative in this patient. - While PBC also causes cholestatic liver injury with pruritus, the male gender, younger age, strong association with ulcerative colitis, and bile duct changes on imaging point to PSC rather than PBC. *Hepatitis B infection* - Viral hepatitis B typically presents with a **hepatocellular pattern** of injury with AST and ALT elevated much higher than alkaline phosphatase (often >1000 U/L). - This patient shows a **cholestatic pattern** (alkaline phosphatase 460 U/L with transaminases only mildly elevated at 75-78 U/L). - Diagnosis would require positive hepatitis B serologies (HBsAg, anti-HBc), which are not present. *Autoimmune hepatitis* - Autoimmune hepatitis causes a **hepatocellular injury pattern** with very high transaminases (often >500-1000 U/L) and is associated with positive autoantibodies such as **ANA** or **anti-smooth muscle antibodies**, which are negative in this case. - This patient's predominant cholestatic pattern and bile duct abnormalities are not consistent with autoimmune hepatitis. *IgG4-associated cholangitis* - IgG4-associated cholangitis can mimic PSC with bile duct stricturing and obstructive jaundice, but typically presents with **elevated serum IgG4 levels** and characteristic histopathology. - It is **not associated with ulcerative colitis** and is much less common than PSC. - This diagnosis would require tissue biopsy showing dense lymphoplasmacytic infiltrate with IgG4-positive plasma cells.
Explanation: **Osmotic myelinolysis** - The severe **hyponatremia (Na+ 112 mEq/L)** in a chronic alcoholic, likely due to increased ADH from excessive beer intake (beer potomania) and possible malnutrition, places him at risk. - **Rapid correction** of chronic hyponatremia can cause water to leave brain cells too quickly, leading to **demyelination** of neurons, particularly in the pons. *Cardiac arrhythmia* - While severe **electrolyte imbalances** such as hypokalemia or hypomagnesemia can cause cardiac arrhythmias, his potassium is normal, and there's no indication of magnesium deficiency. - **Alcohol withdrawal** can also cause arrhythmias, but the immediate treatment for his hyponatremia does not directly increase this risk. *Cerebral edema* - **Cerebral edema** is a risk of **untreated severe hyponatremia**, where water shifts into brain cells, causing swelling. - However, the question asks about the risk associated with **urgent treatment** for the condition, which, in this case, would involve raising serum sodium. *Wernicke encephalopathy* - **Wernicke encephalopathy** is caused by **thiamine deficiency**, common in chronic alcoholics, and presents with gait ataxia, ophthalmoplegia, and confusion. - While this patient is at risk, treating hyponatremia does not directly increase the risk of Wernicke encephalopathy; rather, thiamine administration is part of routine care for alcoholics. *Hyperglycemia* - **Hyperglycemia** is not a common adverse event of correcting hyponatremia in a patient with a normal blood glucose level. - Insulin resistance or glucose intolerance might be present in chronic alcoholics, but the urgent treatment for hyponatremia itself does not typically induce hyperglycemia.
Explanation: ***Abdominal paracentesis*** - The patient presents with **fever, abdominal tenderness, distension, and new-onset confusion** in the setting of **cirrhosis and ascites**, which are highly suggestive of **spontaneous bacterial peritonitis (SBP)**. - An **abdominal paracentesis** with analysis of ascitic fluid (cell count with differential, culture) is necessary to diagnose SBP and guide appropriate antibiotic treatment. *Therapeutic trial of lactulose* - While the patient has **hepatic encephalopathy** and is on lactulose, her current presentation with **fever and abdominal tenderness** suggests an acute infectious process rather than worsening encephalopathy unresponsive to current therapy. - A therapeutic trial of lactulose alone would delay the diagnosis of a potentially life-threatening infection like SBP. *Noncontrast CT of the head* - Although the patient has new-onset confusion, her presentation also includes **fever, abdominal tenderness, and signs of infection** in a patient with cirrhosis. - A CT head would be more appropriate if there were focal neurological deficits, acute head trauma, or if SBP was ruled out and other causes of altered mental status were suspected. *Serum ammonia level* - The patient has known **hepatic encephalopathy**, and her current confusion is likely multifactorial. - While an elevated ammonia level supports the diagnosis of hepatic encephalopathy, it is not diagnostic for the *cause* of her acute deterioration and would not rule out SBP, which requires urgent diagnosis and treatment. *Esophagogastroduodenoscopy* - The patient has a history of esophageal varices, but there is no evidence of active gastrointestinal bleeding (e.g., melena, hematemesis, guaiac positive stool). - An **EGD** would be indicated for acute variceal bleeding, but it is not the most immediate or relevant diagnostic step for her current acute presentation of fever, abdominal pain, and confusion.
Explanation: ***Supportive therapy*** - The patient's presentation with **severe acute hepatitis B**, based on significantly elevated transaminases (AST 1780, ALT 2520), jaundice, and RUQ pain, in the setting of positive **Hepatitis B core IgM antibody** with negative HBsAg, indicates acute Hepatitis B infection in the **window period**. - For acute Hepatitis B in immunocompetent adults, the primary initial treatment is **supportive care with close monitoring**, as most patients clear the infection spontaneously (>95% of adults). - Antiviral therapy (tenofovir or entecavir) is reserved for patients with **evidence of acute liver failure** (elevated INR, hepatic encephalopathy, severe coagulopathy) or prolonged severe hepatitis with signs of impending decompensation. Since this patient does not have documented synthetic dysfunction, supportive care with monitoring is the initial approach. *Ribavirin and interferon* - This combination was previously used for **chronic Hepatitis C infection**, not acute Hepatitis B. - The patient has positive Hepatitis C antibody but **negative Hepatitis C RNA**, indicating either **resolved past Hepatitis C infection** or false positive antibody test, not active HCV infection requiring treatment. *Pegylated interferon-alpha* - Pegylated interferon-alpha is used for **chronic Hepatitis B and C**, but it is **not indicated for acute Hepatitis B** as initial therapy. - Acute HBV infection typically resolves spontaneously in immunocompetent adults without need for interferon therapy. - This agent has significant side effects and has been largely supplanted by direct-acting antivirals for chronic disease. *Tenofovir* - **Tenofovir** is an effective **nucleoside analogue for chronic Hepatitis B**, and while it can be used in acute HBV, it is generally **not indicated initially** unless there are signs of **acute liver failure** (elevated INR >1.5, encephalopathy, severe coagulopathy). - Given that this patient's presentation shows severe acute hepatitis but no documented evidence of synthetic dysfunction or liver failure, initial management is supportive care with close monitoring for potential need to escalate to antiviral therapy. *Emergency liver transplantation* - **Emergency liver transplantation** is indicated for **fulminant hepatic failure** with criteria including severe coagulopathy (INR >6.5), high-grade hepatic encephalopathy (grade III-IV), cerebral edema, or multi-organ failure despite maximal medical management. - This patient has severe acute hepatitis with elevated transaminases but no documented evidence of fulminant failure, encephalopathy, or irreversible hepatic synthetic dysfunction that would warrant transplant evaluation at this stage. - The acute viral hepatitis has potential for spontaneous recovery with supportive care.
Explanation: ***Begin oral hydroxychloroquine therapy*** - This patient has classic **porphyria cutanea tarda (PCT)**: photosensitive blistering rash on sun-exposed areas, skin fragility with hyperpigmented scarring, dark urine (excess porphyrins), and positive family history. - The key clinical detail is **normal serum ferritin**. In PCT with normal or low iron stores, **low-dose hydroxychloroquine (or chloroquine)** is the preferred first-line therapy rather than phlebotomy. - Hydroxychloroquine mobilizes hepatic porphyrins and promotes their renal excretion, effectively inducing remission in PCT without requiring iron depletion. - This approach avoids unnecessary iron depletion in a patient who doesn't have iron overload. *Begin phlebotomy therapy* - **Phlebotomy** is the traditional first-line treatment for **PCT** when patients have **elevated iron stores** (high ferritin). - It works by reducing hepatic iron, which decreases oxidative stress on uroporphyrinogen decarboxylase (UROD), the deficient enzyme in PCT. - However, this patient has **normal serum ferritin**, indicating no significant iron overload. Phlebotomy would provide no therapeutic benefit and could cause unnecessary anemia. - In PCT patients with normal iron stores, **hydroxychloroquine is preferred** over phlebotomy. *Pursue liver transplantation* - **Liver transplantation** is reserved for end-stage liver disease or severe acute hepatic porphyrias with life-threatening recurrent attacks. - This patient has chronic cutaneous manifestations without evidence of hepatic failure or severe systemic complications. - Transplantation is not indicated for uncomplicated PCT, which responds well to medical management. *Begin oral thalidomide therapy* - **Thalidomide** is an immunomodulatory agent used for multiple myeloma, erythema nodosum leprosum, and certain dermatologic conditions. - It has **no role** in PCT management and does not address the underlying porphyrin metabolism defect. - Standard treatments (hydroxychloroquine or phlebotomy) are well-established and effective for PCT. *Begin subcutaneous deferoxamine therapy* - **Deferoxamine** is an iron chelator used for systemic iron overload (hemochromatosis, transfusional hemosiderosis). - While PCT can be associated with increased hepatic iron, this patient has **normal ferritin**, making iron chelation unnecessary and inappropriate. - Deferoxamine does not directly address porphyrin metabolism and is not used in PCT management when hydroxychloroquine and phlebotomy are available and effective.
Explanation: ***Bullous changes of the lung bases on chest CT*** - The image shows **periodic acid-Schiff (PAS)-positive, diastase-resistant globules** in hepatocytes, characteristic of **alpha-1 antitrypsin deficiency (AATD)**. - AATD primarily affects the **lungs** (leading to early-onset emphysema with bullous changes) and the **liver** (causing cirrhosis due to accumulation of misfolded AAT protein). *Myocardial iron deposition on cardiovascular MRI* - **Myocardial iron deposition** is characteristic of **hemochromatosis**, indicated by high levels of various iron studies, including ferritin, transferrin, and iron saturation. Iron accumulation does not lead to PAS-positive, diastase-resistant globules. - **Hemochromatosis** presents with symptoms like fatigue, arthralgia, diabetes, and heart failure, which are not described in the patient. *Beading of intra- and extrahepatic bile ducts on ERCP* - **Beading** on ERCP is a hallmark of **primary sclerosing cholangitis (PSC)**, a chronic cholestatic liver disease often associated with inflammatory bowel disease. - PSC typically presents with cholestatic jaundice, but not with **PAS-positive, diastase-resistant globules** in hepatocytes, and is not linked to lung bullae. *Tropheryma whipplei-specific RNA on PCR* - The presence of **Tropheryma whipplei-specific RNA** is diagnostic for **Whipple disease**, a systemic bacterial infection primarily affecting the small intestine, but can also involve joints, heart, and brain. - While Whipple disease can cause gastrointestinal symptoms and malabsorption, it does not lead to **PAS-positive, diastase-resistant globules** in the liver. *Dark corneal ring on slit-lamp examination* - A **dark corneal ring (Kayser-Fleischer ring)** is an ocular sign of **Wilson disease**, an inherited disorder of copper metabolism leading to copper accumulation in the liver, brain, and other organs. - Wilson disease is characterized by hepatic and neurologic symptoms, but it does not cause **PAS-positive, diastase-resistant globules** in the liver.
Viral hepatitis (A, B, C, D, E)
Practice Questions
Alcoholic liver disease
Practice Questions
Non-alcoholic fatty liver disease
Practice Questions
Drug-induced liver injury
Practice Questions
Autoimmune hepatitis
Practice Questions
Cirrhosis management
Practice Questions
Portal hypertension complications
Practice Questions
Ascites diagnosis and management
Practice Questions
Hepatic encephalopathy
Practice Questions
Spontaneous bacterial peritonitis
Practice Questions
Hepatorenal syndrome
Practice Questions
Hepatocellular carcinoma
Practice Questions
Liver transplantation
Practice Questions
Get full access to all questions, explanations, and performance tracking.
Start For Free