A 17-year-old girl is brought to the physician by her parents for the evaluation of belly pain and a pruritic skin rash on her shoulders for the last 6 months. She describes feeling bloated after meals. Over the past 3 months, she has had multiple loose bowel movements per day. She appears thin. She is at the 20th percentile for height and 8th percentile for weight. Her temperature is 37°C (98.6°F), pulse is 90/min, respirations are 16/min, and blood pressure is 120/78 mm Hg. Examination shows conjunctival pallor and inflammation of the corners of the mouth. There are several tense, grouped subepidermal blisters on the shoulders bilaterally. The abdomen is soft, and there is diffuse tenderness to palpation with no guarding or rebound. Further evaluation of this patient is most likely to show which of the following findings?
A 32-year-old man with Crohn disease is brought to the emergency department after he fainted at work. He says that he has been feeling increasingly fatigued and weak over the last several weeks though he has not previously had any episodes of syncope. On presentation he is found to be pale and agitated. A panel of lab tests is performed showing the following: Hemoglobin: 10.2 g/dL Hematocrit: 30.1% Leukocyte count: 9,900 cells/mm^3 with normal differential Platelet count: 290,000/mm^3 Mean corpuscular volume: 118 µm^3 Elevated homocysteine level Normal methylmalonic acid level Which of the following mechanisms explains how Crohn disease may have contributed to this patient's symptoms?
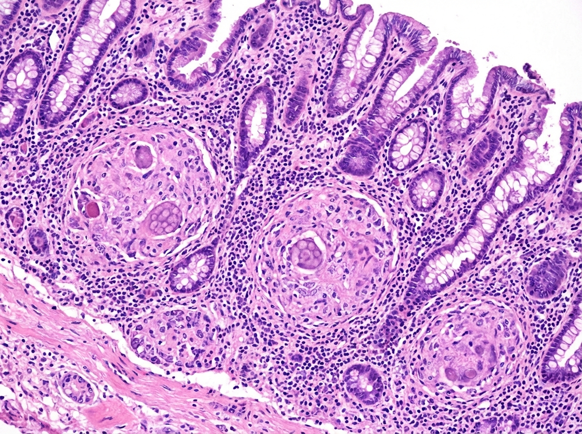
A 63-year-old man comes to the physician with a 4-week history of fatigue, crampy abdominal pain, watery diarrhea, and pain in his mouth and gums. He returned from a 2-week trip to the Dominican Republic 2 months ago. He has smoked one pack of cigarettes daily for 45 years. Examination shows three 1.5-cm, painful ulcers in the mouth. Abdominal examination shows mild tenderness to palpation in the right lower quadrant without guarding or rebound. His hemoglobin concentration is 11.2 g/dL, mean corpuscular volume is 75 fL, and leukocyte count is 11,900/mm³. Colonoscopy shows a cobblestone mucosa. A photomicrograph of a biopsy specimen is shown. Which of the following is the most likely diagnosis?

A 33-year-old man has a history of intermittent bloody diarrhea, tenesmus, fever, fatigue, and lower abdominal cramps for the past 2 weeks. On physical examination, he is lethargic and appears lean and pale. He has aphthous stomatitis, red congested conjunctiva, and tender swollen joints. At the doctor’s office, his pulse is 114/min, blood pressure is 102/76 mm Hg, respirations are 20/min, and his temperature is 39.4°C (102.9°F). There is vague lower abdominal tenderness and frank blood on rectal examination. Laboratory studies show: Hemoglobin 7.6 g/dL Hematocrit 33% Total leucocyte count 22,000/mm3 Stool assay for C.difficile is negative Abdominal X-ray shows no significant abnormality He is symptomatically managed and referred to a gastroenterologist, who suggests a colonoscopy and contrast (barium) study for the diagnosis. Which of the following is the most likely combination of findings in his colonoscopy and barium study?
A 31-year-old woman comes to the emergency department because of a 4-day history of fever and diarrhea. She has abdominal cramps and frequent bowel movements of small quantities of stool with blood and mucus. She has had multiple similar episodes over the past 8 months. Her temperature is 38.1°C (100.6°F), pulse is 75/min, and blood pressure is 130/80 mm Hg. Bowel sounds are normal. The abdomen is soft. There is tenderness to palpation in the left lower quadrant with guarding and no rebound. She receives appropriate treatment and recovers. Two weeks later, colonoscopy shows polypoid growths flanked by linear ulcers. A colonic biopsy specimen shows mucosal edema with distorted crypts and inflammatory cells in the lamina propria. Which of the following is the most appropriate recommendation for this patient?
A 25-year-old woman presents to the emergency department with fatigue and weakness. She states over the past 24 hours she has not felt like herself and has felt like she has no strength. The patient has no significant past medical history other than a single episode of blood-tinged diarrhea 1 week ago which resolved on its own. Her temperature is 99.4°F (37.4°C), blood pressure is 124/62 mmHg, pulse is 95/min, respirations are 29/min, and oxygen saturation is 95% on room air. Physical exam is notable for 2/5 strength of the lower extremities and decreased sensation in the lower extremities and finger tips. Which of the following is the best initial step in management?
A 19-year-old woman comes to the physician because of a 1-year history of severe abdominal pain, bloating, and episodic diarrhea. She also has a 10-kg (22-lb) weight loss over the past 10 months. Physical examination shows a mildly distended abdomen, diffuse abdominal tenderness, and multiple erythematous, tender nodules on the anterior aspect of both legs. There is a small draining lesion in the perianal region. Further evaluation of this patient's gastrointestinal tract is most likely to show which of the following findings?
A 37-year-old man with Crohn disease is admitted to the hospital because of acute small bowel obstruction. Endoscopy shows a stricture in the terminal ileum. The ileum is surgically resected after endoscopic balloon dilatation fails to relieve the obstruction. Three years later, he returns for a follow-up examination. He takes no medications. This patient is most likely to have which of the following physical exam findings?
A 47-year-old man presents to his primary care physician complaining of pain and stiffness in his right index finger and left knee. The past medical history is remarkable for severe dandruff and an episode of apparent gout in the left 1st toe 6 months ago, which never resolved. The physical examination confirms dactylitis of the right index finger and several toes, as well as synovitis of the left knee. He is also noted to have pitting of his fingernails. Plain X-rays of his hand reveal erosions in the distal interphalangeal (DIP) joint and periarticular new bone formation. Which of the following is most consistent with these findings?
An otherwise healthy 27-year-old man presents to his dermatologist because of a rash over his knees. The rash has been present for 5 weeks and is moderately itchy. Physical examination reveals erythematous plaques covered with silvery scales over the extensor surface of the knees as shown in the image. Which of the following is the best initial step in the management of this patient’s condition?

Explanation: ***IgA tissue transglutaminase antibodies*** - The patient's symptoms of **belly pain**, **bloating**, **loose bowel movements**, **weight loss**, **growth failure** (low height and weight percentiles), and **pruritic skin rash** (dermatitis herpetiformis) are highly suggestive of **celiac disease**. - **IgA tissue transglutaminase (tTG) antibodies** are the most sensitive and specific serological test for celiac disease. *Increased serum lipase* - **Increased serum lipase** is indicative of **pancreatitis**, which is not supported by the patient's symptoms or physical findings. - While chronic pancreatitis can cause malabsorption, the characteristic skin rash and other gastrointestinal symptoms do not point to this diagnosis. *Oocysts on acid-fast stain* - **Oocysts on acid-fast stain** are used to diagnose **cryptosporidiosis** or other parasitic infections, which can cause chronic diarrhea but typically do not present with a characteristic skin rash like dermatitis herpetiformis. - The presentation is more consistent with an autoimmune enteropathy rather than an infectious cause. *Inflammation of the terminal ileum* - **Inflammation of the terminal ileum** is characteristic of **Crohn's disease**, which can cause abdominal pain, diarrhea, and weight loss. - However, the pruritic, blistering rash on the shoulders (dermatitis herpetiformis) is a hallmark of **celiac disease** and not typical for Crohn's disease. *Esophageal webs* - **Esophageal webs** are associated with **Plummer-Vinson syndrome**, which causes dysphagia and iron deficiency anemia. - While this patient shows signs of anemia (conjunctival pallor), esophageal webs do not explain the chronic diarrhea, bloating, or the characteristic skin rash.
Explanation: ***Inflammation of the jejunum*** - The patient's **macrocytic anemia** (MCV 118 fL) with **elevated homocysteine** and **normal methylmalonic acid** points to a **folate deficiency**. - **Folate** is primarily absorbed in the **proximal small intestine**, particularly the **jejunum**; inflammation in this segment due to Crohn's disease would impair its absorption, leading to deficiency. - While Crohn's disease classically affects the **terminal ileum**, it can involve any part of the GI tract, and **jejunal involvement** would specifically impair folate absorption. *Gastrointestinal blood loss* - Chronic gastrointestinal blood loss typically causes **microcytic anemia** due to iron deficiency, not the macrocytic anemia seen here. - While Crohn's can cause bleeding, the **elevated homocysteine with normal methylmalonic acid** is specific for **folate deficiency**, not blood loss. *Inflammation of the ileum* - **Ileal inflammation** is the most common location in Crohn disease and primarily affects the absorption of **vitamin B12** and **bile salts**. - **Vitamin B12 deficiency** would cause elevated **both homocysteine and methylmalonic acid** levels, which contradicts the normal methylmalonic acid observed in this patient. *Release of acute phase proteins* - **Acute phase proteins** are markers of inflammation and contribute to **anemia of chronic disease**, which is typically **normocytic** or mildly **microcytic**. - This mechanism does not explain the **macrocytic anemia** with the specific biochemical pattern of elevated homocysteine and normal methylmalonic acid, which indicates **folate deficiency**. *Inflammation of the duodenum* - The **duodenum** is the primary site for **iron absorption**, though it also participates in **folate absorption** along with the jejunum. - However, inflammation here would more likely lead to **iron deficiency anemia** (microcytic), and duodenal involvement is **less common** in Crohn disease compared to terminal ileal or jejunal disease. - The clinical picture is most consistent with **jejunal inflammation** causing isolated folate malabsorption.
Explanation: ***Crohn disease*** - The combination of **crampy abdominal pain**, **watery diarrhea**, **oral ulcers**, and **cobblestone mucosa** seen on colonoscopy strongly suggests Crohn disease. Crohn disease can affect any part of the gastrointestinal tract from mouth to anus, and oral manifestations like aphthous ulcers are common. - The **microcytic anemia** (hemoglobin 11.2 g/dL, MCV 75 fL) is consistent with **chronic blood loss** and **iron malabsorption** often seen in Crohn disease. The elevated leukocyte count (11,900/mm³) indicates inflammation. *Behcet disease* - Behcet disease is characterized by recurrent **oral aphthous ulcers**, genital ulcers, and uveitis. While oral ulcers are present, the significant **gastrointestinal symptoms** (crampy abdominal pain, watery diarrhea, cobblestone mucosa) are not typical primary features of Behcet disease. - Although it can rarely involve the GI tract, it typically doesn't present with extensive bowel involvement resembling inflammatory bowel disease to this degree, nor does it typically cause microcytic anemia from chronic GI blood loss. *Tropical sprue* - Tropical sprue typically presents with chronic **malabsorption**, foul-smelling diarrhea, and weight loss, occurring after travel to tropical regions. While the patient visited the Dominican Republic, the key findings of **oral ulcers** and **cobblestone mucosa** are not characteristic of tropical sprue. - Tropical sprue is primarily a disease of the small intestine characterized by villous atrophy, not typically presenting with the "cobblestone" appearance associated with transmural inflammation seen in Crohn’s. *Ulcerative colitis* - Ulcerative colitis is characterized by continuous inflammation of the **colon and rectum**, typically presenting with bloody diarrhea and abdominal pain. While GI symptoms are present, the patient's **oral ulcers** and the finding of **cobblestone mucosa** strongly argue against ulcerative colitis. - Ulcerative colitis affects only the colon and does not cause oral ulcers or skip lesions or transmural inflammation; the "cobblestone" appearance is indicative of deep fissures and ulcers separated by edematous mucosa, characteristic of Crohn disease. *Whipple disease* - Whipple disease is a rare systemic infection caused by *Tropheryma whipplei*, presenting with malabsorption, arthralgia, neurological symptoms, and lymphadenopathy. While GI symptoms like diarrhea and abdominal pain may occur, **oral ulcers** are not a typical feature, and the **colonoscopy findings** (cobblestone mucosa) are not characteristic of Whipple disease. - Biopsy in Whipple disease would show **foamy macrophages** in the lamina propria that stain positive with periodic acid-Schiff (PAS), which is not indicated by the provided information.
Explanation: ***Colonoscopy: Continuous ulcerated lesions involving the mucosa and submucosa granular mucosa, crypt abscess, and pseudopolyps, Barium study: Lead pipe colon appearance*** - The patient's symptoms (bloody diarrhea, tenesmus, fever, fatigue, weight loss, aphthous stomatitis, red congested conjunctiva, tender swollen joints, anemia, high WBC count) are highly suggestive of **Ulcerative Colitis (UC)**. - **UC** on colonoscopy is characterized by **continuous mucosal and submucosal inflammation**, granular mucosa, crypt abscesses, and **pseudopolyps**. The barium study finding of a **"lead pipe" colon** is classic for long-standing UC due to loss of haustrations. *Colonoscopy: Multiple vascular malformations that resemble telangiectasias on the colon wall, Barium study: Normal* - **Angiodysplasia** presents with vascular malformations, but it typically causes painless lower GI bleeding, not the inflammatory symptoms described. - The patient's severe systemic symptoms (fever, weight loss, anemia, high WBC) are inconsistent with angiodysplasia. *Colonoscopy: Patches of mucosal erosions with pseudomembrane formation, Barium study: Cobblestone appearance with strictures* - **Pseudomembrane formation** is characteristic of **_Clostridioides difficile_ infection**, which has been ruled out by the stool assay. - While "cobblestone appearance" and strictures can be seen in inflammatory bowel disease, the pseudomembranes point away from UC or Crohn's. *Colonoscopy: Discontinuous transmural ‘skip lesions’ with aphthoid linear ulcers and transverse fissures, non-caseating granulomas, and strictures, Barium study: Cobblestone appearance with strictures* - This description is characteristic of **Crohn's disease**, which involves **discontinuous**, **transmural inflammation** with **skip lesions**, aphthoid ulcers, and non-caseating granulomas. - While some symptoms overlap with UC, the involvement of mucocutaneous lesions and generalized systemic symptoms fits better with the continuous inflammation of UC than the patchy disease of Crohn's. *Colonoscopy: Normal, Barium study: Lead pipe colon appearance* - A **normal colonoscopy** would be inconsistent with the patient's severe symptoms of bloody diarrhea, anemia, and elevated inflammatory markers. - A "lead pipe" colon indicates chronic inflammatory changes, which would undoubtedly be visible on colonoscopy.
Explanation: ***Start annual colonoscopy starting in 8 years*** - The patient's presentation with bloody diarrhea, abdominal cramps, and repetitive episodes is consistent with <b>inflammatory bowel disease (IBD)</b>, specifically likely <b>ulcerative colitis</b> given the left lower quadrant tenderness and colonic biopsy findings (distorted crypts, inflammatory cells in lamina propria). - Patients with IBD, particularly ulcerative colitis affecting a significant portion of the colon and diagnosed at a younger age, are at increased risk for <b>colorectal cancer</b>. Annual colonoscopy screening is recommended 8–10 years after diagnosis for early detection and prevention. *Obtain genetic studies now* - While genetic factors play a role in IBD susceptibility, <b>genetic studies are not routinely indicated for diagnosis or management</b> of inflammatory bowel disease, nor do they guide current screening recommendations for colorectal cancer in IBD patients. - Genetic studies would not provide immediate clinical benefit for this patient's acute symptoms or long-term management plan regarding cancer surveillance. *Obtain barium follow-through radiography in 1 year* - <b>Barium follow-through radiography</b> is primarily used to evaluate the small intestine, often in suspected Crohn's disease. This patient's symptoms and colonoscopy findings point towards colonic involvement, making this less appropriate. - Furthermore, this imaging modality uses <b>ionizing radiation</b> and is less sensitive for detecting mucosal changes indicative of dysplasia or early cancer compared to colonoscopy. *Obtain glutamate dehydrogenase antigen immunoassay now* - <b>Glutamate dehydrogenase antigen immunoassay</b> is a test for <b><i>Clostridioides difficile</i> infection</b>. While C. difficile can cause severe diarrhea and colitis, the patient's history of recurrent episodes over 8 months and the specific colonoscopy findings (polypoid growths, linear ulcers, distorted crypts) are more characteristic of IBD. - Although C. difficile infection can exacerbate IBD, it does not explain the chronic, recurrent nature of her illness or the long-term cancer surveillance needs. *Start annual magnetic resonance cholangiopancreatography screening in 10 years* - <b>MRCP screening</b> is used to monitor for <b>primary sclerosing cholangitis (PSC)</b>, a condition associated with IBD, particularly ulcerative colitis. However, PSC screening is performed <b>when clinically indicated</b> (e.g., elevated alkaline phosphatase, cholestatic symptoms), not as routine scheduled surveillance. - This patient has no clinical features suggesting PSC at present, and there is no guideline recommending routine MRCP screening at a predetermined time interval for all IBD patients.
Explanation: ***Spirometry*** - The patient's symptoms (fatigue, weakness, decreased strength, and sensation in extremities) following a gastrointestinal infection are highly suggestive of **Guillain-Barré Syndrome (GBS)**. - **Spirometry** is the most critical initial step to assess respiratory function, as **respiratory muscle weakness** is the primary cause of morbidity and mortality in GBS. *IV immunoglobulin* - While **intravenous immunoglobulin (IVIG)** is a treatment for GBS, it is not the *initial* management step. - The immediate priority in suspected GBS is to assess and stabilize the patient's respiratory status, not to initiate definitive treatment. *Dexamethasone* - **Corticosteroids** like dexamethasone have **not been shown to be effective** in treating GBS and may even prolong recovery in some cases. - Their use is generally avoided in the management of GBS. *Intubation* - **Intubation** is indicated if spirometry reveals rapidly declining or severely compromised respiratory function, but it is not the *initial* step. - An assessment of respiratory capacity via spirometry should precede intubation unless acute respiratory failure is immediately apparent. *Pyridostigmine* - **Pyridostigmine** is an anticholinesterase inhibitor used primarily for the symptomatic treatment of **myasthenia gravis**. - It is not indicated for the management of GBS, which involves a different pathophysiological mechanism.
Explanation: **Transmural inflammation** - The patient's symptoms (abdominal pain, bloating, diarrhea, weight loss) and extraintestinal manifestations (erythematous nodules, perianal lesion) are classic for **Crohn's disease**. - A hallmark pathological feature of Crohn's disease is **transmural inflammation**, affecting all layers of the bowel wall, which can lead to complications like strictures, fistulas, and abscesses. *Melanosis coli* - This is a harmless condition characterized by **pigmentation of the colonic mucosa** due to chronic laxative use, particularly **anthraquinone laxatives**. - It is not associated with inflammatory bowel disease or the systemic symptoms described. *Villous atrophy* - **Villous atrophy** is the flattening of the villi in the small intestine, most commonly seen in **celiac disease**. - While celiac disease can cause malabsorption and gastrointestinal symptoms, the extraintestinal manifestations and perianal draining lesion are inconsistent with celiac disease. *Crypt abscesses* - **Crypt abscesses** are a characteristic histological finding in **ulcerative colitis**, which primarily affects the colon and rectum. - While ulcerative colitis, like Crohn's, is an inflammatory bowel disease, the presence of transmural inflammation and perianal disease (fistulas/draining lesions) is more indicative of Crohn's. *No structural abnormalities* - The severe symptoms, significant weight loss, and presence of extraintestinal manifestations (erythema nodosum, perianal disease) strongly suggest an underlying structural and inflammatory pathology in the GI tract. - **Irritable Bowel Syndrome (IBS)** typically presents with similar symptoms but lacks structural abnormalities and the systemic inflammatory signs seen here.
Explanation: ***Weakness and ataxia*** - This patient with a history of **Crohn disease** and significant **ileal resection** is at high risk for **vitamin B12 deficiency** due to the removal of the primary site of absorption in the terminal ileum. - **Vitamin B12 deficiency** can lead to subacute combined degeneration of the spinal cord, manifesting as **weakness**, **ataxia**, and **paresthesias**. *Dry skin and keratomalacia* - This presentation is indicative of **vitamin A deficiency**, which can occur in malabsorption but is less specific to ileal resection than B12 deficiency. - While fat-soluble vitamins (A, D, E, K) are absorbed in the small intestine, severe isolated vitamin A deficiency causing keratomalacia is not the most likely primary finding after ileal resection. *Hyperreflexia with tetany* - These symptoms typically suggest **hypocalcemia** or **hypomagnesemia**, often due to vitamin D deficiency or malabsorption of minerals. - Although possible with generalized malabsorption, it is not the most characteristic neurological complication following isolated ileal resection compared to vitamin B12 deficiency. *Gingival swelling and bleeding* - This is a hallmark of **scurvy**, caused by **vitamin C deficiency**, which is typically absorbed in the small intestine and does not correlate specifically with ileal resection. - This would be a less likely complication given the specific history compared to micronutrient deficiencies related to terminal ileum function. *Pallor with koilonychia* - **Pallor** and **koilonychia (spoon nails)** are characteristic signs of **iron deficiency anemia**. - While iron is absorbed in the duodenum and proximal jejunum, and anemia is common in Crohn disease, the specific neurological symptoms from B12 deficiency are generally more prominent after ileal resection.
Explanation: ***Psoriatic arthritis*** - The constellation of **dactylitis**, **nail pitting**, involvement of both **DIP joints** with erosions, and a history of **psoriasis** (severe dandruff) is highly characteristic of psoriatic arthritis. - The previous episode resembling gout and synovitis of the knee are also consistent, as psoriatic arthritis can mimic other arthropathies and affect various joints. *Pseudogout* - This condition is caused by **calcium pyrophosphate dihydrate crystal deposition** and typically presents as acute, severe joint pain, often in larger joints like the knee or wrist, but without dermatological or nail changes. - While it can cause synovitis, it does not typically involve dactylitis, DIP erosions, nail pitting, or a history of psoriasis. *Osteoarthritis* - Characterized by **cartilage degeneration** and **new bone formation** (osteophytes), often in weight-bearing joints or DIP/PIP joints, but typically without the marked inflammatory signs like dactylitis or nail changes. - While X-rays can show new bone formation, the presence of dactylitis, nail pitting, and psoriasis history rule out uncomplicated osteoarthritis. *Reactive arthritis* - This is an **acute, inflammatory arthropathy** that typically develops after a genitourinary or gastrointestinal infection. - While it can present with dactylitis and oligoarthritis, it does not involve nail pitting or a history of psoriasis, and the initial trigger infection is usually identifiable. *Rheumatoid arthritis* - This is a **chronic autoimmune disease** primarily affecting smaller joints symmetrically, particularly the MCP and PIP joints, but typically sparing the DIP joints. - It is not associated with psoriasis, nail pitting, and usually presents with periarticular osteopenia rather than significant new bone formation on X-ray.
Explanation: ***Topical corticosteroids and/or topical vitamin D analog*** - The patient's presentation with **erythematous plaques** and **silvery scales** on the extensor surfaces of the knees is classic for **plaque psoriasis**. - For localized, mild-to-moderate plaque psoriasis, **topical corticosteroids** and/or **topical vitamin D analogs** are the first-line treatment due to their effectiveness and favorable side-effect profile. *Oral cyclosporine* - **Cyclosporine** is an immunosuppressant typically reserved for **severe, refractory psoriasis** due to its potential for significant side effects, including **nephrotoxicity** and **hypertension**. - It is not indicated as an initial step for localized psoriasis, especially in an otherwise healthy patient. *Oral methotrexate* - **Methotrexate** is a systemic agent used for **moderate to severe psoriasis**, particularly when topical treatments are insufficient or the disease significantly impacts quality of life. - Its use requires monitoring for potential adverse effects such as **hepatotoxicity** and **myelosuppression**, making it unsuitable as an initial treatment for localized disease. *Skin biopsy* - While a **skin biopsy** can confirm the diagnosis of psoriasis, the clinical presentation in this case is highly characteristic, making a biopsy **unnecessary as an initial step** for management initiation. - A biopsy might be considered if the diagnosis is ambiguous or if the lesions are unresponsive to initial therapy. *Oral corticosteroids* - **Oral corticosteroids** are generally **contraindicated** in psoriasis due to the risk of **rebound flares** and potential exacerbation of the condition upon withdrawal. - They may be used in specific, severe cases but are not suitable as a routine initial treatment for typical plaque psoriasis.
Explanation: ***Crohn disease*** - The presence of **fatigue, diarrhea, crampy abdominal pain worse after eating, oral ulcers, and mild right lower quadrant tenderness** is highly suggestive of Crohn disease. - The colonoscopy finding of **non-caseating granulomas** with **neutrophilic inflammation of the crypts** is a classic histopathological hallmark of Crohn disease. *Diverticulitis* - Typically presents with **left lower quadrant pain**, fever, and leukocytosis, usually without oral lesions or chronic diarrhea. - Histopathology would show **inflammation of diverticula**, not non-caseating granulomas. *Whipple disease* - Characterized by **malabsorption, arthralgias, neurological symptoms, and lymphadenopathy,** caused by *Tropheryma whipplei*. - Biopsy would reveal **PAS-positive macrophages** with bacilliform bodies, not non-caseating granulomas or neutrophilic crypt inflammation. *Celiac disease* - Triggered by **gluten ingestion**, leading to malabsorption, diarrhea, and abdominal pain, but often associated with **iron deficiency anemia** and weight loss. - Diagnosis is made by biopsy showing **villous atrophy, crypt hyperplasia, and increased intraepithelial lymphocytes**, not granulomas. *Tropical sprue* - A chronic diarrheal illness defined by **malabsorption** in individuals residing in or visiting tropical regions, often leading to **folate or B12 deficiency**. - Biopsy findings include **partial villous atrophy and inflammatory cell infiltration** of the lamina propria, distinct from granulomas.
Explanation: ***Transmural granulomas in the bowel*** - This patient's symptoms, including **chronic diarrhea**, **abdominal pain relieved by defecation**, **oral ulcers**, **fatigue**, **fever**, and **elevated ESR**, along with a **pruritic ring-like lesion** (suggestive of erythema nodosum, a common extraintestinal manifestation), are highly indicative of **Crohn's disease**. - **Crohn's disease** is characterized by **transmural inflammation** of any part of the GI tract, often with the formation of **non-caseating granulomas**. *p-ANCA positive autoimmune bowel disease* - This describes **ulcerative colitis**, which is typically associated with **p-ANCA positivity** in a subset of patients. - Unlike the diffuse and continuous inflammation seen in ulcerative colitis, Crohn's disease features **skip lesions** and **transmural inflammation**, which aligns better with the varied symptoms and extraintestinal manifestations presented. *Gram-negative microaerophilic organism* - This refers to bacterial infections such as those caused by **Campylobacter jejuni** or **Helicobacter pylori**, which can cause GI symptoms. - While the patient's camping trip and consumption of undercooked meat might suggest an infectious etiology, the **chronic nature of symptoms** (week-long fatigue and fever), **oral ulcers**, **elevated ESR**, and **erythema nodosum-like lesion** point more strongly towards an autoimmune/inflammatory bowel disease rather than an acute bacterial infection. *Rectal mucosa outpouching* - **Diverticula** are outpouchings of the colon, commonly affecting the sigmoid colon, and are typically associated with **diverticulitis** when inflamed. - This condition does not explain the widespread systemic symptoms, oral ulcers, or the chronic, crampy abdominal pain and diarrhea pattern seen in this patient. *Bowel wall spasticity* - **Bowel spasticity** is a feature of **irritable bowel syndrome (IBS)**. - While IBS can cause crampy abdominal pain and changes in bowel habits, it is a **functional disorder** and does not cause **fever**, **oral ulcers**, **elevated ESR**, or significant **anemia** and **thrombocytosis** as seen in this patient.
Explanation: ***Crohn’s disease*** - The presence of **abdominal discomfort, cramping, bloody diarrhea, perirectal abscess**, and **scattered mucosal lesions involving the colon and terminal ileum** are classic findings consistent with Crohn's disease. The involvement of the terminal ileum is a hallmark of Crohn's. - Anemia (Hb% 10 gm/dL), leukocytosis (WBC 12,500/mm3), and elevated ESR (22 mm/hr) indicate **chronic inflammation** and are common in Crohn's disease. *Ulcerative colitis* - While ulcerative colitis presents with bloody diarrhea and abdominal discomfort, it typically involves **continuous inflammation confined to the colon** and rectum, without skip lesions or involvement of the terminal ileum. - Perirectal abscesses are also less common in ulcerative colitis compared to Crohn's disease. *Celiac disease* - Celiac disease is an autoimmune disorder triggered by **gluten**, primarily affecting the **small intestine** and presenting with malabsorption, diarrhea, and abdominal pain. However, it does not typically cause bloody diarrhea, perirectal abscesses, or colon inflammation visible on colonoscopy. - While there is a family history of wheat allergy, the clinical picture is more indicative of inflammatory bowel disease. *Irritable bowel syndrome* - IBS is characterized by chronic abdominal pain, discomfort, and altered bowel habits (diarrhea, constipation, or both), but it is a **functional gastrointestinal disorder** without evidence of inflammation, structural abnormalities, or bloody stools. - The presence of bloody diarrhea, perirectal abscess, and inflammatory markers rules out IBS. *Laxative abuse* - Laxative abuse can cause chronic diarrhea, abdominal cramping, and electrolyte disturbances, but it does **not cause inflammatory changes** such as mucosal lesions, bloody diarrhea, or perirectal abscesses seen on colonoscopy. - While a history of bulimia is mentioned, the specific findings point towards an inflammatory process.
Explanation: ***Groin*** - The patient's presentation with recurrent tender, foul-smelling lumps in the **inframammary fold** and past episodes in the **axillae**, along with scarring, strongly suggests **hidradenitis suppurativa (HS)**. HS commonly affects areas with a high density of apocrine glands, including the **axillae, groin, inframammary folds**, and anogenital region. - Her history of **Crohn disease**, obesity (BMI 33 kg/m²), and possible insulin resistance (fasting glucose 136 mg/dL) are all associated risk factors for HS. The groin is another typical site for lesions. *Forehead* - The forehead is generally considered part of the **T-zone of the face**, where sebaceous glands are abundant, but it is not a primary site for *hidradenitis suppurativa*. - Lesions in this area are more commonly associated with **acne vulgaris** or other folliculitis, which typically present differently. *Back* - While the back can be affected by various follicular conditions like **acne inversa** or folliculitis, it is not a primary or highly characteristic site for the deep, painful, and recurring lesions of *hidradenitis suppurativa* in the way intertriginous areas are. - The specific pattern of involvement in **skin folds** points away from the broader back area as an equally likely site. *Shin* - The shins are not typically affected by *hidradenitis suppurativa* as they lack the high concentration of **apocrine glands** found in the classic affected areas. - Lesions on the shin are more characteristic of conditions like **erythema nodosum** or other forms of vasculitis, which have different presentations. *Central face* - The central face, like the forehead, is rich in **sebaceous glands** and is a common site for conditions like **acne vulgaris** or rosacea. - However, it is not a typical anatomical location for the characteristic deep, recurrent abscesses and sinus tracts seen in *hidradenitis suppurativa*.
Explanation: ***Decreased vibratory sensation*** - The patient's **macrocytic anemia** (elevated MCV of 112 fL) combined with a history of **Crohn's disease**, which often affects the **terminal ileum**, strongly suggests **vitamin B12 deficiency** due to malabsorption. - **Vitamin B12 deficiency** can lead to **subacute combined degeneration** of the spinal cord, causing neurological symptoms like decreased vibratory sensation, proprioception, and ataxia. *Unexplained weight gain* - The patient has symptoms like fatigue and difficulty concentrating, which could be associated with systemic illness, but the lab findings point specifically to **anemia** and potential **malabsorption**, not weight gain. - While some endocrine disorders can cause fatigue and weight gain, the specific hematological findings here are more indicative of a **nutritional deficiency**. *Impaired vision in her right eye* - Ocular symptoms are not typically associated with the **macrocytic anemia** or **Crohn's related malabsorption** described in this patient, although some inflammatory conditions associated with Crohn's can affect the eyes. - The primary neurological findings in **vitamin B12 deficiency** are sensory and motor deficits, not acute vision loss. *Tarry stools* - **Tarry stools (melena)** indicate **upper gastrointestinal bleeding**, which typically causes **iron-deficiency anemia** (microcytic) rather than the macrocytic anemia observed. - The patient has been free of significant gastrointestinal symptoms for over a year and her current lab values are inconsistent with active GI bleeding. *Dark-colored urine* - **Dark-colored urine** can be due to various causes such as **rhabdomyolysis**, **hemolysis**, or certain medications, but it is not a characteristic sign of **macrocytic anemia** or **vitamin B12 deficiency**. - There are no other features in the patient's presentation or lab work (e.g., elevated bilirubin, signs of hemolytic anemia) to suggest a cause for dark urine.
Explanation: ***Intestinal obstruction*** - Crohn's disease, characterized by **transmural inflammation** in the **ileum** with skipped lesions, often leads to **stricture formation** and **fibrosis**, increasing the risk of bowel obstruction. - The patient's symptoms of chronic diarrhea and blood in the stool, coupled with oral ulcers and conjunctivitis, indicate **Crohn's disease**, which commonly affects the terminal ileum and can lead to complications such as strictures and subsequently, intestinal obstruction. *Carcinoid syndrome* - Carcinoid syndrome is caused by neuroendocrine tumors that secrete **vasoactive substances**, leading to symptoms like **flushing**, **diarrhea**, and **right-sided heart valve disease**. - There is no evidence of neuroendocrine tumor activity or related systemic symptoms beyond the gastrointestinal manifestations common in inflammatory bowel disease. *Metastasis to the liver* - Metastasis to the liver implies a primary malignancy, and while patients with inflammatory bowel disease have an increased risk of certain cancers, there is **no direct evidence or typical presentation** in this case to suggest liver metastases. - The patient's symptoms are more indicative of an **inflammatory process** like Crohn's disease rather than a malignant one with liver involvement. *Paralytic ileus* - Paralytic ileus involves a **temporary arrest of bowel motility** without mechanical obstruction, often due to abdominal surgery, peritonitis, or metabolic derangements. - The chronic nature of the patient's symptoms and the specific colonoscopy findings pointing to **focal inflammation and strictures** are more consistent with a mechanical obstruction caused by Crohn's disease, not paralytic ileus. *Primary sclerosing cholangitis* - Primary sclerosing cholangitis (PSC) is a chronic cholestatic liver disease often associated with **ulcerative colitis**, characterized by inflammation and fibrosis of the bile ducts. - While PSC can be associated with inflammatory bowel disease, it is more commonly linked to **ulcerative colitis** rather than Crohn's disease, and there are no signs of cholestasis or liver involvement in this patient's presentation.
Explanation: ***IV hydrocortisone*** - This patient has **toxic megacolon**, a life-threatening complication of ulcerative colitis requiring aggressive medical management alongside surgical consultation. - High-dose **IV corticosteroids** (hydrocortisone 100mg IV q6-8h or methylprednisolone) are first-line medical therapy to rapidly suppress severe colonic inflammation. - Medical management includes IV steroids, broad-spectrum antibiotics, bowel rest (NPO), IV fluid resuscitation, and nasogastric decompression while preparing for potential **emergent colectomy** if medical therapy fails within 24-72 hours. - IV route ensures **rapid systemic delivery** in a critically ill patient with impaired GI absorption. *IV Ondansetron* - An antiemetic that treats nausea/vomiting symptoms but does **not address the underlying inflammatory process** or systemic toxicity. - Does not modify disease course or reduce the risk of **perforation** in toxic megacolon. *Rectal 5-ASA* - **Contraindicated in toxic megacolon** due to risk of perforation with rectal manipulation and increased intraluminal pressure. - Local therapy is ineffective for **systemic toxicity** (fever, hemodynamic instability) and extensive colonic involvement. - Only appropriate for mild-to-moderate distal ulcerative colitis, not severe fulminant disease. *Oral prednisone* - Inadequate for **acute severe/fulminant colitis** requiring hospitalization due to delayed absorption and lower bioavailability. - IV corticosteroids provide **immediate systemic effect** necessary for life-threatening toxic megacolon. - Oral route inappropriate in patient with severe GI symptoms and potential ileus. *IV Metoclopramide* - A prokinetic agent that is **absolutely contraindicated in toxic megacolon** as it increases colonic motility and can precipitate perforation. - Does not address the **inflammatory pathophysiology** of ulcerative colitis. - Used for gastroparesis and nausea, not for managing inflammatory bowel disease complications.
Explanation: **Primary sclerosing cholangitis** - The described clinical picture (weight loss, abdominal pain, bloody diarrhea, continuous inflammation from the rectum proximally, crypt abscesses, pseudopolyps) is highly characteristic of **ulcerative colitis (UC)**. - **Primary sclerosing cholangitis (PSC)** is a chronic cholestatic liver disease strongly associated with UC, occurring in 5-10% of UC patients. *Primary biliary cholangitis* - **Primary biliary cholangitis (PBC)**, formerly known as primary biliary cirrhosis, is an autoimmune liver disease primarily affecting small intrahepatic bile ducts, but it is typically associated with other autoimmune conditions like Sjögren's syndrome or rheumatoid arthritis, not inflammatory bowel disease (IBD). - PBC is characterized by the presence of **antimitochondrial antibodies (AMA)** and predominantly affects middle-aged women. *Intestinal strictures* - While intestinal strictures can occur in inflammatory bowel disease, they are much more characteristic of **Crohn's disease**, which involves transmural inflammation and can lead to fibrosis and narrowing of the bowel lumen. - Ulcerative colitis, with its mucosal inflammation, is less likely to cause strictures, though sometimes severe inflammation can lead to a toxic megacolon. *Perianal fistulae* - **Perianal fistulae** are a common complication of **Crohn's disease**, resulting from transmural inflammation and abscess formation penetrating the skin around the anus. - They are extremely rare in ulcerative colitis, which primarily affects the colonic mucosa. *Aphthous ulcers* - **Aphthous ulcers** in the mouth can be an extraintestinal manifestation of inflammatory bowel disease, particularly **Crohn's disease**. - While they can occur in UC, they are less specific and less commonly the most significant associated condition compared to PSC.
Explanation: ***Nonsteroidal anti-inflammatory drugs (NSAIDs)*** - This patient's presentation of **arthritis** following an episode of **bloody diarrhea** and discomfort with urination is highly suggestive of **reactive arthritis**. - **NSAIDs** are the **first-line treatment** for managing the pain and inflammation associated with reactive arthritis. *Intravenous (IV) antibiotics* - While reactive arthritis can be triggered by a preceding infection, antibiotics are generally **not effective** for established reactive arthritis as the condition is thought to be an **immune-mediated response** to bacterial antigens, not ongoing infection in the joints. - Antibiotics may be indicated if there is an **active, ongoing infection** in another system that is the source of the antigens, but the diarrhea has already resolved. *Prostate biopsy* - The patient's discomfort with urination could suggest **prostatitis** or **urethritis**, which can be part of the reactive arthritis syndrome or a trigger. - However, a **prostate biopsy** is an invasive procedure primarily used for diagnosing prostate cancer and is **not indicated** for the symptomatic management or initial diagnosis of reactive arthritis or simple urethral discomfort. *Serology for rheumatoid factor* - While reactive arthritis can cause joint pain, it is a **seronegative spondyloarthropathy**, meaning **rheumatoid factor (RF)** is typically **negative**. - Testing for RF would be more relevant if **rheumatoid arthritis** were suspected, but the clinical picture (recent infection, type of joint involvement) points away from RA. *Positron emission tomography (PET) scan* - A **PET scan** is an advanced imaging technique used to detect metabolically active cells, often in the context of cancer, infection, or inflammation in specific situations. - It is **not a standard diagnostic or therapeutic tool** for reactive arthritis and would be an **overly aggressive and inappropriate initial step** for this patient's presentation.
Explanation: ***Colorectal cancer*** - The patient's symptoms (abdominal cramping, diarrhea, rectal pain, bloody stools, weight loss, fever) and sigmoidoscopy findings (granular, hyperemic, friable rectal mucosa) are classic for **inflammatory bowel disease (IBD)**, specifically **ulcerative colitis**. - Patients with ulcerative colitis are at significantly **increased risk of developing colorectal cancer** due to chronic inflammation, with risk increasing with disease duration and extent of colonic involvement. - **Surveillance colonoscopy** is recommended starting 8-10 years after diagnosis for patients with extensive colitis, making colorectal cancer the most important long-term complication to monitor. *Oral ulcers* - While **aphthous oral ulcers** can be an extraintestinal manifestation of inflammatory bowel disease (Crohn's disease more commonly than ulcerative colitis), they are not a serious complication and do not represent the greatest long-term risk. - They are also not mentioned in her current presentation. *Hemolytic uremic syndrome* - **Hemolytic uremic syndrome (HUS)** is characterized by **microangiopathic hemolytic anemia, thrombocytopenia, and acute kidney injury**, often triggered by certain bacterial infections (e.g., E. coli O157:H7). - There is no evidence of hemolytic anemia, thrombocytopenia, or kidney injury in this patient, and her symptoms are more consistent with chronic inflammatory bowel disease rather than an acute infectious colitis leading to HUS. *Colonic granulomas* - **Granulomas** are characteristic histological findings in **Crohn's disease**, another type of inflammatory bowel disease. - However, they are **typically absent in ulcerative colitis**, which is suggested by the presentation focusing on rectal and left-sided colonic inflammation. - Granulomas are a pathologic finding, not a complication or risk that the patient would develop. *Gastric cancer* - While some conditions like **Helicobacter pylori infection** or **pernicious anemia** increase the risk of gastric cancer, there is no direct link between inflammatory bowel disease (especially ulcerative colitis) and an increased risk of gastric cancer. - The patient's symptoms are localized to the lower gastrointestinal tract.
Explanation: ***Crohn disease*** - Patients with Crohn disease are at increased risk of **calcium oxalate kidney stones** due to altered enterohepatic circulation of bile acids, leading to increased oxalate absorption. - The combination of severe flank pain radiating to the groin, visible hematuria, and **envelope-shaped crystals** (calcium oxalate) in the urine strongly points to a kidney stone related to his Crohn disease. *Gout* - Gout typically causes **monoarticular arthritis** and is associated with **uric acid crystals**, not calcium oxalate. - While allopurinol is used to prevent gout flares, it does not directly cause calcium oxalate stones. *Medication effect* - The patient's medications (insulin, allopurinol, sulfasalazine) are generally not associated with the formation of **calcium oxalate stones**. - Allopurinol primarily manages uric acid levels, and sulfasalazine is for Crohn disease, neither of which directly promotes calcium oxalate stone formation. *Sexual history* - An inconsistent condom use and multiple partners elevate the risk of **sexually transmitted infections**, which are not typically linked to kidney stone formation. - Symptoms like urethritis or prostatitis would be expected with STIs, not severe back pain and hematuria from a ureteral stone. *Diabetes mellitus* - Diabetes is a risk factor for various renal complications, such as **diabetic nephropathy**, but not specifically for acute calcium oxalate kidney stones as the primary cause of these acute symptoms. - Kidney stones are not a typical acute complication of uncontrolled diabetes in this manner.
Explanation: ***Primary sclerosing cholangitis*** - The patient's history of **ulcerative colitis**, elevated **alkaline phosphatase**, and positive **pANCA** are highly suggestive of primary sclerosing cholangitis (PSC). - PSC often presents with **asymptomatic transaminitis** in early stages and is strongly associated with inflammatory bowel disease, particularly ulcerative colitis. *Choledocholithiasis* - This condition is characterized by **gallstones in the common bile duct**, usually presenting with **biliary colic**, jaundice, or cholangitis. - While it can cause elevated liver enzymes, particularly alkaline phosphatase, the chronic, asymptomatic nature and strong association with ulcerative colitis and pANCA positivity point away from choledocholithiasis as the *most likely* diagnosis. *Acute cholecystitis* - **Acute cholecystitis** involves inflammation of the gallbladder, typically causing **right upper quadrant pain**, fever, and leukocytosis. - The patient is asymptomatic, afebrile, and has an unremarkable physical exam, making acute cholecystitis unlikely. *Acute viral hepatitis* - **Acute viral hepatitis** usually presents with significantly higher **aminotransferase levels** (often in the thousands) and symptoms like fatigue, nausea, and jaundice. - The patient's relatively mild transaminitis, asymptomatic status, and specific risk factors (ulcerative colitis, pANCA) do not fit the typical picture of acute viral hepatitis. *Primary biliary cholangitis* - **Primary biliary cholangitis (PBC)** is characterized by destruction of small intrahepatic bile ducts, primarily affecting women, and is associated with **anti-mitochondrial antibodies (AMA)**. - The patient is male, and his AMA is negative, making PBC an unlikely diagnosis, despite the elevated alkaline phosphatase.
Explanation: ***Colonoscopy*** - The patient's presentation with **pruritus**, **jaundice**, elevated **alkaline phosphatase**, and characteristic **beaded appearance of biliary ducts** on MRCP is highly suggestive of **Primary Sclerosing Cholangitis (PSC)**. - Approximately **60-80% of patients with PSC** have concomitant **inflammatory bowel disease (IBD)**, particularly **ulcerative colitis**. - **Colonoscopy with biopsies** is the most appropriate next step to screen for IBD, as it allows visualization of the entire colon and can detect pancolitis or right-sided disease that would be missed by sigmoidoscopy. - Early detection of IBD is important for management and colorectal cancer surveillance, as PSC-IBD patients have increased risk of colorectal malignancy. *No further testing is indicated* - This is incorrect because the patient has clear signs of PSC, and further evaluation is necessary to screen for **associated IBD**, which occurs in the majority of PSC patients. - Identifying concurrent IBD affects prognosis, management, and surveillance strategies for colorectal cancer. *Liver biopsy* - While liver biopsy can provide histological confirmation and staging information, the **MRCP findings of multifocal beaded strictures** are highly specific for PSC and are generally considered **diagnostic**. - Biopsy carries risks and is typically reserved for cases where imaging is equivocal or when assessing fibrosis stage is critical for management decisions. - Given the classic MRCP findings, screening for IBD takes priority over liver biopsy. *Upper endoscopy* - **Upper endoscopy** evaluates the esophagus, stomach, and duodenum. - It is not appropriate for screening inflammatory bowel disease or evaluating the biliary tree in the context of suspected PSC. - Upper endoscopy would be indicated if the patient had upper GI symptoms or if screening for varices was needed in cirrhotic patients. *Endoscopic retrograde cholangiopancreatography (ERCP)* - While **ERCP** can visualize the biliary tree, it is an **invasive procedure** with significant risks including **pancreatitis** (3-5% risk), cholangitis, and perforation. - Given that **MRCP has already demonstrated the characteristic findings** of PSC non-invasively, ERCP is reserved for **therapeutic interventions** (e.g., balloon dilation of dominant strictures, stent placement, or bile duct brushings if cholangiocarcinoma is suspected). - ERCP is not appropriate as a diagnostic study when MRCP has already established the diagnosis.
Explanation: ***Confluent inflammation of the colonic mucosa with edema, fibrin-covered ulcers, and loss of vascular pattern*** - This description is characteristic of **ulcerative colitis (UC)**, which is strongly indicated by the patient's symptoms (lower abdominal pain, bloody loose stools, painful bowel movements, weight loss) and **positive p-ANCA**. - UC typically presents with continuous inflammation starting from the rectum and extending proximally, featuring **erythema, edema, friability, ulcerations**, and a **loss of the normal vascular pattern**. *Numerous polyps extending throughout the colon* - This finding is more indicative of conditions like **familial adenomatous polyposis (FAP)** or sometimes chronic inflammatory conditions with dysplasia, but not the primary presentation of acute inflammatory bowel disease. - While chronic UC can lead to **dysplasia and polyps**, the acute symptoms and specific p-ANCA positivity point directly to active inflammation rather than diffuse polyposis as the most likely initial finding. *Patchy inflammation of mucosa with cobblestone appearance and intervening areas of normal mucosa* - This description is classic for **Crohn's disease**, which is characterized by **skip lesions**, transmural inflammation, and a **cobblestone appearance** due to deep ulcerations and edematous mucosa. - The patient's **positive p-ANCA** and **left lower quadrant tenderness** are more consistent with UC, while **Crohn's disease** is typically associated with **ASCA positivity** and often affects the terminal ileum. *Pseudomembranes overlying regions of colonic inflammation* - **Pseudomembranes** are pathognomonic for **Clostridioides difficile infection (CDI)**, which is typically characterized by watery diarrhea, abdominal pain, and often follows antibiotic use. - Although the patient's recent **streptococcal pharyngitis** treatment could potentially be a risk factor for CDI, the chronic nature of her symptoms (6 months), significant weight loss, and specific p-ANCA positivity make **inflammatory bowel disease** far more likely. *Normal colonic mucosa* - Given the patient's persistent and severe symptoms, including bloody stools, significant weight loss, and an inflammatory marker (elevated leukocyte and platelet counts), it is highly unlikely that her colonic mucosa would appear normal. - These clinical features strongly point towards an underlying **inflammatory process** requiring endoscopic evaluation.
Explanation: ***Colonoscopy by age 32 and repeated every 1–2 years thereafter*** - This patient presents with symptoms highly suggestive of **ulcerative colitis (UC)**: bloody diarrhea, tenesmus, weight loss, fatigue, iron deficiency anemia, elevated inflammatory markers, and classical "lead pipe" appearance on barium enema (due to loss of haustra). - Patients with **pancolitis or left-sided colitis** of 8 or more years' duration, or patients with colonic involvement that extends proximal to the splenic flexure for 15 or more years, should undergo **surveillance colonoscopy every 1-2 years** starting 8 years after the onset of symptoms, or 15 years in cases of left-sided colitis. Given her young age (24) and likely diagnosis of UC, which significantly increases her risk of colorectal cancer, surveillance should begin at an early age and be frequent. Therefore, by age 32 (24+8 years), she should start screening. *Colonoscopy by age 32 and repeated every 3 years thereafter* - While starting colonoscopy by age 32 is appropriate for active ulcerative colitis, a **3-year interval is too long** for high-risk patients with extensive UC, as current guidelines recommend more frequent surveillance (every 1-2 years) due to increased risk of dysplasia and cancer. *Colonoscopy by age 45 and repeated every 10 years thereafter* - This screening schedule is generally recommended for individuals at **average risk** for colorectal cancer, not for patients with inflammatory bowel disease, which is a significant risk factor requiring much earlier and more frequent screening. - The patient's symptoms of chronic bloody diarrhea and signs of inflammation indicate a high-risk condition that necessitates earlier intervention. *Flexible sigmoidoscopy by age 32 and repeated every 1–2 years thereafter* - Flexible sigmoidoscopy only visualizes the **rectum and a portion of the sigmoid colon**, making it inadequate for comprehensive surveillance in patients with extensive ulcerative colitis (pancolitis or left-sided colitis extending beyond the splenic flexure) where dysplasia and cancer can occur throughout the colon. - **Full colonoscopy** is necessary to examine the entire colon for precancerous lesions and cancer. *Colonoscopy by age 50 and repeated every 10 years thereafter* - This recommendation applies to the general population with **average risk** for colorectal cancer, not for individuals with inflammatory bowel disease, which presents a substantially elevated risk, especially with an early onset of disease. - Patient's age and clinical presentation necessitate a much **earlier and more frequent screening regimen**.
Explanation: ***Ileum*** - The patient's symptoms, including **right lower quadrant pain**, **fatigue**, **low-volume diarrhea**, **weight loss**, and **macrocytic anemia** (Hgb 10.8 g/dL, MCV 118 µm^3, low reticulocyte count), are highly suggestive of **Crohn's disease**, particularly with involvement of the **terminal ileum**. Ileal involvement can lead to **vitamin B12 malabsorption**, causing macrocytic anemia and neurological symptoms like "forgetfulness." - The colonoscopy findings of **focal ulcerations** with **polypoid mucosal changes adjacent to normal appearing mucosa** (skip lesions) and biopsy showing **acute and chronic inflammatory changes** are characteristic of **Crohn's disease**, which most commonly affects the terminal ileum and ileocecal region. *Jejunum* - While Crohn's disease can affect any part of the gastrointestinal tract, isolated jejunal involvement is relatively uncommon and typically presents with more diffuse abdominal pain rather than specific right lower quadrant pain. - Significant **vitamin B12 malabsorption** is less common with isolated jejunal involvement compared to ileal disease, as B12 is primarily absorbed in the terminal ileum. *Colon* - Colonic involvement in inflammatory bowel disease often presents with **bloody diarrhea**, which this patient denies. - Although **macrocytic anemia** can be seen in colonic Crohn's if there's significant ileal involvement or B12 deficiency from other causes, **right lower quadrant pain** is less specific for primary colonic inflammation, which would often be generalized or left-sided depending on the extent. *Gastric antrum* - Inflammation of the gastric antrum, such as from **gastritis** or **H. pylori infection**, would typically present with **epigastric pain**, nausea, and vomiting. - It would not explain the **right lower quadrant pain**, diarrhea, or the characteristic colonoscopic findings of **skip lesions and inflammatory changes** consistent with Crohn's disease. *Gastric fundus* - Disorders affecting the gastric fundus, such as **pernicious anemia** or chronic atrophic gastritis, can cause **vitamin B12 deficiency** and macrocytic anemia but do not typically present with significant **right lower quadrant pain** or diarrhea. - There would also be no corresponding colonic or ileal endoscopic findings as seen in this patient.
Explanation: ***Primary sclerosing cholangitis*** - This patient's presentation with **bloody diarrhea**, **abdominal pain**, and colonoscopic findings of **diffuse erythema** and **crypt abscesses** in the rectosigmoid and descending colon is highly suggestive of **ulcerative colitis**. - **Primary sclerosing cholangitis (PSC)** is strongly associated with **ulcerative colitis**, making it the most likely hepatobiliary complication. *Cholangiocarcinoma* - While **PSC** itself increases the risk of cholangiocarcinoma, it is a complication of long-standing PSC, not the direct hepatobiliary disease the patient is most likely to develop initially. - Cholangiocarcinoma is a **malignancy** of the bile ducts, and while possible eventually, PSC is the *primary* hepatobiliary disease associated with UC. *Hepatocellular carcinoma* - **Hepatocellular carcinoma (HCC)** is more commonly associated with chronic viral hepatitis (HBV, HCV), alcoholic liver disease, or non-alcoholic fatty liver disease (NAFLD) leading to cirrhosis. - It has no direct and strong epidemiological association with **ulcerative colitis** or **inflammatory bowel disease** in the same way PSC does. *Primary biliary cholangitis* - **Primary biliary cholangitis (PBC)** is an autoimmune disease primarily affecting small intrahepatic bile ducts, characterized by **anti-mitochondrial antibodies (AMA)**. - It is not specifically associated with **ulcerative colitis** as **PSC** is; the major association is between PSC and IBD. *Cholelithiasis* - **Cholelithiasis (gallstones)** can occur in patients with Crohn's disease due to impaired ileal absorption of bile salts, but it is less commonly a direct complication of ulcerative colitis. - While possible in the general population, it is not the *most likely* specific hepatobiliary complication directly linked to ulcerative colitis.
Explanation: ***Inflammatory bowel disease (IBD)*** - The patient's presentation with **recurrent right lower quadrant pain**, **bloody diarrhea**, a **positive fecal occult blood test**, and a family history concerning for GI issues (colon cancer in father) in a young adult is highly suggestive of IBD, specifically **Crohn's disease** due to the RLQ pain location. - His history of anxiety and depression is common in IBD patients, and the elevated pulse with mild hypotension suggests **volume depletion** from bloody diarrhea, a common complication. *Irritable bowel syndrome* - While IBS can cause recurrent abdominal pain, it is characterized by **functional bowel changes** and typically does not present with **bloody diarrhea** or a positive fecal occult blood test. - IBS symptoms are often relieved by defecation and are not usually associated with significant systemic inflammation or blood loss. *Colon cancer* - Colon cancer is less likely in a **22-year-old** presenting with these acute symptoms, despite the family history, as it typically affects older individuals. - While it can cause bloody stools and abdominal pain, the **recurrent nature** and acute presentation with bloody diarrhea are more classic for IBD in this age group. *Appendicitis* - Appendicitis presents with acute, **migratory right lower quadrant pain** that typically progresses and worsens over hours to a day, often with fever and leukocytosis. - The given history of pain for "**a while now**" and bloody diarrhea makes appendicitis an unlikely primary diagnosis. *Infectious colitis* - Infectious colitis can cause abdominal pain and bloody diarrhea, but it's usually **acute in onset** without a long history of recurrent symptoms. - While possible, the **recurrent nature** of the pain and bloody diarrhea for "**a while now**" makes a chronic condition like IBD more probable.
Explanation: ***Crohn disease*** - The patient presents with **intermittent abdominal cramps**, diarrhea, bloating, nausea, and significant **weight loss**, which are classic symptoms of **inflammatory bowel disease (IBD)**. - **Anemia (Hb 10.5 g/dL)**, **leukocytosis (12,000/mm³)**, **thrombocytosis (480,000/mm³)**, and a **markedly elevated ESR (129 mm/h)** further support active inflammation. The **barium enema showing ulceration and narrowing of the right colon** is highly characteristic of **Crohn disease**, which commonly affects the **terminal ileum and right colon** with **skip lesions** and **transmural inflammation** leading to strictures and ulcerations. *Celiac disease* - While celiac disease can cause diarrhea, bloating, and weight loss, it is primarily a disease of the **small intestine** triggered by **gluten exposure** and does not typically present with the **segmental ulceration and narrowing** seen on barium enema in the right colon. - Celiac disease would also not explain the significant systemic inflammatory markers such as **elevated ESR**, leukocytosis, and thrombocytosis to this degree. *Diverticulitis* - Diverticulitis typically presents with **left lower quadrant pain**, fever, and changes in bowel habits, but it usually involves the **sigmoid colon** and is characterized by outpouchings, not diffuse ulceration and narrowing of the right colon. - **Weight loss** and the chronic, intermittent nature of symptoms with **right-sided involvement** are less typical for diverticulitis. *Ulcerative colitis* - Ulcerative colitis is another form of IBD, but it characteristically causes **continuous inflammation** that starts in the **rectum** and extends proximally through the colon, primarily affecting the **mucosa** and submucosa. - **Right-sided colonic involvement with narrowing and discrete ulcerations** as seen on barium enema is more indicative of Crohn disease than ulcerative colitis, which typically presents with bloody diarrhea due to diffuse inflammation. *Intestinal carcinoid tumor* - An intestinal carcinoid tumor might cause abdominal pain, diarrhea, and weight loss, especially if it leads to bowel obstruction, but these symptoms are usually accompanied by **carcinoid syndrome** (e.g., flushing, bronchospasm, valvular heart disease). - The imaging findings of **ulceration and narrowing** are not typical for a carcinoid tumor, and the marked inflammatory markers point towards an inflammatory process rather than a neoplastic one.
Explanation: ***Erythema nodosum*** - The patient presents with **tender nodules on both shins** (erythema nodosum), accompanied by fever, sore throat, arthralgias, and enlarged tonsils with exudate, all of which are consistent with an **underlying infection** (likely streptococcal pharyngitis) triggering erythema nodosum. - Erythema nodosum is the most common form of **panniculitis** and often presents as an acute inflammatory reaction to various systemic diseases, infections (e.g., streptococcal pharyngitis, tuberculosis), drugs, or inflammatory conditions. *Henoch-Schönlein purpura* - Henoch-Schönlein purpura (HSP) typically presents with a **palpable purpura** (non-blanching lesions), often predominantly on the lower extremities and buttocks, and is associated with **abdominal pain**, **arthralgia**, and **renal involvement**. - The patient's lesions are described as **tender nodules**, not purpura, and there is no mention of abdominal pain or signs of renal disease. *Cellulitis* - Cellulitis is a **bacterial infection** of the deeper dermis and subcutaneous tissue, characterized by **spreading redness, warmth, pain, and swelling** that is typically unilateral. - The lesions here are **discrete, tender nodules** on both shins, which is inconsistent with the diffuse, spreading inflammation of cellulitis. *Erythema induratum* - Erythema induratum, also a form of panniculitis, typically presents with **tender, erythematous nodules or plaques** on the **calves**, often leading to ulceration, and is historically associated with tuberculosis. - While it causes nodules, the presentation here, especially the acute onset with a clear infectious prodrome and location on the shins without ulceration, is more characteristic of erythema nodosum than erythema induratum. *Cutaneous polyarteritis nodosa* - Cutaneous polyarteritis nodosa (CPN) is a form of **small-to-medium vessel vasculitis** that usually presents with **tender subcutaneous nodules**, **livedo reticularis**, ulcerations, and sometimes digital gangrene. - While CPN can cause nodules, the patient's prominent symptoms of pharyngitis with exudate and generalized arthralgias point more strongly to an infectious trigger of erythema nodosum rather than a primary vasculitic process.
Explanation: ***Anti-double stranded DNA (dsDNA) antibodies*** - The patient's symptoms (low-grade fever, joint pain, morning stiffness, malar rash, oral ulcers, and family history) are highly suggestive of **Systemic Lupus Erythematosus (SLE)**. - **Anti-dsDNA antibodies** are highly specific for SLE and are included in the diagnostic criteria, often correlating with disease activity and **lupus nephritis**. *Antinuclear antibodies (ANA)* - While **ANA** is a very sensitive screening test for SLE (positive in >95% of cases), it is not specific, as it can be positive in other autoimmune diseases and even in healthy individuals. - A positive ANA result prompts further testing with more specific antibodies to confirm an SLE diagnosis. *Anti-topoisomerase (anti-Scl 70) antibodies* - **Anti-Scl 70 antibodies** are highly specific for **systemic sclerosis (scleroderma)**, particularly the diffuse cutaneous form. - The patient's presentation does not describe the skin thickening, Raynaud's phenomenon, or other characteristic features of scleroderma. *Anti-Ro antibodies* - **Anti-Ro (SSA) antibodies** are primarily associated with **Sjögren's syndrome**, and can also be found in a subset of SLE patients, particularly those with subacute cutaneous lupus or neonatal lupus. - They are not as specific for SLE as anti-dsDNA antibodies, and the patient's symptoms are more directly indicative of classic SLE. *Anti-histone antibodies* - **Anti-histone antibodies** are strongly associated with **drug-induced lupus**, which is not suggested by the patient's history as she is not taking any medications. - While they can be present in some cases of idiopathic SLE, they are not the most specific marker for confirming the diagnosis in this context.
Explanation: ***Oral prednisone therapy*** - The patient's symptoms (worsening fatigue, difficulty concentrating), signs (fever, diffuse abdominal tenderness), and lab findings (**anemia**, **active inflammation**) indicate a **moderate to severe flare of Crohn disease**. - She has **7 bowel movements daily** and is inadequately controlled on 5-aminosalicylic acid and topical budesonide, indicating need for escalation of therapy. - **Systemic corticosteroids like prednisone** are the mainstay for inducing remission in a moderate to severe Crohn disease flare when aminosalicylates and topical steroids are insufficient. - Treating the underlying inflammation will also improve the **anemia of chronic disease**. *Red blood cell transfusion* - While the patient has **anemia (Hb 10.5 g/dL)**, it is not severe enough to warrant an immediate **red blood cell transfusion**. - Transfusions are typically reserved for **severe, symptomatic anemia** (Hb <7 g/dL in stable patients) or those with acute hemodynamic instability or active bleeding, which is not present here. - The underlying cause (active Crohn's flare) should be treated first. *Oral iron supplementation* - The patient has **anemia of chronic disease** as evidenced by **low iron, LOW TIBC (176 μg/dL)**, normocytic anemia, and low reticulocytes in the setting of active inflammation. - In **anemia of chronic disease**, ferritin is typically elevated (acute phase reactant) and hepcidin levels are high, which **blocks iron absorption and utilization**. - **Oral iron supplementation** would be largely ineffective in the context of active inflammation. The priority is to resolve the inflammation with corticosteroids, which will improve iron utilization. - Note: If TIBC were HIGH, it would suggest iron deficiency anemia instead. *Subcutaneous erythropoietin injection* - **Erythropoietin** is primarily used for **anemia associated with chronic kidney disease** or specific cases of anemia of chronic disease unresponsive to other measures. - It would not address the underlying **active inflammation from Crohn disease** which is the primary driver of her current symptoms and anemia. - Treating the Crohn's flare is the appropriate first step. *Oral vitamin B12 supplementation* - While Crohn disease, particularly involving the terminal ileum, can lead to **vitamin B12 deficiency**, her **mean corpuscular volume (MCV)** is normal (83 μm3), indicating a **normocytic anemia**, not the macrocytic anemia (MCV >100) typical of B12 deficiency. - Furthermore, addressing the active inflammation is the most urgent step to improve her overall condition and resolve the anemia.
Explanation: ***Abdominal x-ray*** - This patient presents with **severe ulcerative colitis** symptoms (bloody diarrhea, abdominal pain, fever, tachycardia, hypotension, leukocytosis, elevated ESR) and signs of **toxic megacolon** (distended abdomen, hypoactive bowel sounds). An **abdominal x-ray** is crucial for diagnosing toxic megacolon by revealing colonic dilation (>6 cm). - Early identification of toxic megacolon is critical as it carries a high risk of **perforation** and requires urgent intervention; fluid resuscitation and bowel rest are initial steps, but imaging must confirm the diagnosis before proceeding with medical or surgical therapy. *IV metronidazole and rectal vancomycin* - While **antibiotics** like metronidazole might be used in severe colitis to cover for bacterial translocation, the specific combination with rectal vancomycin suggests treatment for *Clostridioides difficile* infection. Although possible, the immediate priority in suspected toxic megacolon is to rule out perforation and assess colonic dilation. - *C. difficile* infection can exacerbate UC, but an abdominal x-ray is still needed first to assess for **toxic megacolon** and its complications before specific infection treatment. *Colonoscopy* - **Colonoscopy** is generally **contraindicated** in acute, severe ulcerative colitis and suspected toxic megacolon due to the high risk of **perforation** of the inflamed bowel. - Diagnostic evaluation should focus on less invasive methods to assess the severity and complications, such as **imaging**. *Topical sulfasalazine and oral prednisolone* - **Sulfasalazine** and **prednisolone** are used to treat active ulcerative colitis. However, topical sulfasalazine is not potent enough for severe, systemic symptoms, and while oral prednisolone is used for flares, it's insufficient for a patient with signs of **toxic megacolon** and hemodynamic instability. - This patient's condition warrants **aggressive intravenous steroids** (e.g., hydrocortisone or methylprednisolone) and close monitoring in an intensive care setting, but the immediate step is diagnostic imaging. *Double-contrast barium enema* - A **barium enema** is **contraindicated** in patients with severe inflammatory bowel disease, especially with suspected toxic megacolon, due to the high risk of **perforation** and the potential to worsen the patient's condition. - It also provides less immediate and detailed information about colonic dilation and perforation compared to a plain abdominal x-ray or CT scan.
Explanation: ***Kidney stones*** - Patients with **Crohn's disease**, particularly those with ileal involvement, are at increased risk for **calcium oxalate kidney stones** due to increased oxalate absorption. - In Crohn's disease, fat malabsorption occurs because bile salts are not reabsorbed in the inflamed terminal ileum. This leads to free fatty acids in the colon that bind calcium, leaving oxalate unbound and available for absorption. The excess oxalate is then excreted in urine, promoting calcium oxalate stone formation. - This is one of the most well-established extraintestinal complications of Crohn's disease. *Positive serum transglutaminase antibodies* - These antibodies are a hallmark of **celiac disease**, which is characterized by villous atrophy in the small intestine due to gluten sensitivity. - The patient's clinical presentation and colonoscopy findings (transmural inflammation, perianal disease, skip lesions) are pathognomonic for Crohn's disease, not celiac disease. *Endocarditis* - **Endocarditis** is an infection of the heart valves, typically caused by bacteremia, and is not a recognized association with Crohn's disease. - While chronic inflammatory conditions can have cardiovascular effects, endocarditis is not a characteristic or strong complication of Crohn's disease. *Colorectal cancer* - While patients with **ulcerative colitis** have a significantly increased risk of colorectal cancer (especially with pancolitis and longer disease duration), the risk in **Crohn's disease** is lower and less direct. - Crohn's disease can increase colorectal cancer risk with extensive colonic involvement, but this patient's presentation shows predominantly small bowel and perianal disease, making kidney stones a much stronger and more immediate association. *Hemolytic anemia* - **Hemolytic anemia** is not a characteristic complication of Crohn's disease. - Anemia in Crohn's disease is more commonly due to **iron deficiency** from chronic blood loss or malabsorption, or **anemia of chronic disease** from chronic inflammation, rather than hemolysis.
Explanation: ***Perinuclear anti-neutrophil cytoplasmic antibodies (p-ANCA)*** - The patient presents with **primary sclerosing cholangitis (PSC)** in the setting of **inflammatory bowel disease (IBD)**, most likely ulcerative colitis given the bloody diarrhea and rectal bleeding. - The combination of **cholestatic liver disease** (jaundice, elevated ALP) and **IBD** is pathognomonic for PSC, as **60-80% of PSC patients have concurrent IBD** (predominantly UC). - **p-ANCA is positive in 60-80% of PSC patients** and 70-80% of UC patients, making it the expected antibody in this clinical scenario. *Anti-double stranded DNA (anti-dsDNA)* - Anti-dsDNA antibodies are highly specific for **Systemic Lupus Erythematosus (SLE)**. - While SLE can cause hepatitis and serositis, it does not typically present with **cholestatic jaundice combined with bloody diarrhea**. The clinical picture here does not fit SLE. *Anti-mitochondrial antibody* - Anti-mitochondrial antibodies (AMAs) are the hallmark of **primary biliary cholangitis (PBC)**, found in >95% of cases. - While PBC also causes cholestatic liver disease, **the presence of inflammatory bowel disease strongly favors PSC over PBC**, as IBD is seen in 60-80% of PSC patients but is **NOT a recognized association with PBC**. - PBC typically presents in middle-aged women with fatigue, pruritus, and cholestasis, but without concurrent IBD. *Anti-cyclic citrullinated peptide (anti-CCP)* - Anti-CCP antibodies are highly specific for **rheumatoid arthritis (RA)**. - The patient's symptoms—jaundice, hepatosplenomegaly, and bloody diarrhea—are inconsistent with RA, which primarily involves **inflammatory polyarthritis** of small joints. *Anti-endomysial IgA* - Anti-endomysial antibodies (EMA) are characteristic of **celiac disease**. - Celiac disease presents with malabsorption, chronic diarrhea (usually non-bloody), and may have mild transaminitis, but does **NOT** typically cause **significant cholestatic jaundice, hepatosplenomegaly, or bloody diarrhea** as seen in this patient.
Explanation: ***Perianal fistula*** - The presence of a **perianal fistula** is highly characteristic of **Crohn disease** due to its **transmural inflammation**, which can extend through the bowel wall and form tracts to the skin. - While other inflammatory bowel disease (IBD) symptoms like bloody diarrhea and joint pain are present, a fistula specifically points towards Crohn disease rather than ulcerative colitis. *Jaundice* - **Jaundice** is not a typical manifestation of Crohn disease itself, though it can occur as a complication if there is associated **primary sclerosing cholangitis (PSC)**, which is more commonly linked with **ulcerative colitis**. - It would suggest a primary liver issue or biliary obstruction, rather than directly supporting a diagnosis of Crohn disease. *Mucosal and submucosal ulcerations* - While **ulcerations** are a feature of both ulcerative colitis and Crohn disease, the description of **mucosal and submucosal ulcerations** is not specific enough to differentiate between them. - In Crohn disease, ulcers tend to be **scattered** and **deep ("cobblestoning")**, potentially extending transmurally, whereas in ulcerative colitis, they are typically more **superficial** and **continuous**. *Loss of large bowel haustra* - **Loss of haustra**, also known as **"lead pipe" appearance**, is a characteristic finding in chronic **ulcerative colitis** due to continuous inflammation and fibrosis, leading to a straightened appearance of the colon. - This finding is less typical for Crohn disease, which often has **skip lesions** and can involve any part of the gastrointestinal tract. *Left lower quadrant pain* - **Left lower quadrant pain** can be associated with inflammation in the **descending or sigmoid colon**, which can occur in both Crohn disease and ulcerative colitis. - Therefore, this symptom is **non-specific** and does not help to differentiate between the two conditions.
Explanation: **_Rectal involvement_** - The description of **bloody diarrhea** and **pseudopolyps** on endoscopy, along with inflammation limited to the **mucosa and submucosa**, is highly characteristic of **ulcerative colitis (UC)**. UC invariably involves the rectum and extends proximally in a continuous fashion. - The presence of **pseudopolyps** is common in UC due to cycles of mucosal ulceration and regeneration. *Cobblestone mucosa* - **Cobblestone mucosa** is a classic endoscopic finding in **Crohn's disease**, resulting from deep ulcerations interspersed with islands of edematous, non-ulcerated mucosa. - This feature points to a transmural pattern of inflammation, which is inconsistent with the superficial inflammation confined to the **mucosa and submucosa** described. *Skip lesions* - **Skip lesions** refer to discontinuous areas of inflammation separated by healthy tissue, a hallmark feature of **Crohn's disease**. - **Ulcerative colitis** (implied by the superficial inflammation) is characterized by continuous inflammation extending proximally from the rectum without skipped areas. *Fistulas and strictures* - **Fistulas** (abnormal connections between organs or to the skin) and **strictures** (narrowing of the intestinal lumen) are complications typically associated with **Crohn's disease**, due to its **transmural inflammation**. - These are rare in **ulcerative colitis**, which primarily affects the superficial layers of the colon. *Noncaseating granuloma* - The presence of **noncaseating granulomas** on biopsy is a key histological feature distinguishing **Crohn's disease** from ulcerative colitis. - The inflammation described as restricted to the **mucosa and submucosa** makes granulomas less likely, as they often imply a transmural process.
Explanation: ***Continuous progression beginning in the rectum*** - The patient's presentation with abdominal pain, bloody diarrhea, weight loss, and **positive P-ANCA** is highly suggestive of **ulcerative colitis**. - **Ulcerative colitis** characteristically presents with **continuous inflammation** that begins in the **rectum** and extends proximally through the colon. *Worse disease severity near the ileocecal valve* - This feature is more characteristic of **Crohn's disease**, where the **ileocecal region** is a common site of severe involvement. - In **ulcerative colitis**, inflammation is typically confined to the colon and does not disproportionately affect the ileocecal valve unless there is backwash ileitis. *Cobblestoning and skip lesions* - **Cobblestoning** and **skip lesions** are classic endoscopic findings in **Crohn's disease**, reflecting the patchy, transmural inflammation. - **Ulcerative colitis** is characterized by diffuse, superficial inflammation without skip lesions. *Fistulae and stricture formation* - The formation of **fistulae** (abnormal connections between organs) and **strictures** (narrowing of the bowel lumen) are hallmarks of **Crohn's disease** due to its transmural inflammation. - These complications are rare in **ulcerative colitis**, which primarily affects the mucosal layer. *Perianal disease* - **Perianal disease**, including **fissures**, **abscesses**, and **fistulae**, is a common extraintestinal manifestation and complication of **Crohn's disease**. - While other extraintestinal manifestations like **primary sclerosing cholangitis** can occur in both, perianal disease itself is less typical for uncomplicated **ulcerative colitis**.
Explanation: ***HLA-B27 haplotype*** - The patient presents with symptoms of **urethritis** (pain with urination), **conjunctivitis** (eye redness), and **arthritis** (knee and heel pain), which is the classic triad of **Reactive Arthritis** - **Reactive arthritis** is strongly associated with the presence of the **HLA-B27 haplotype**, especially following gastrointestinal or genitourinary infections. *Anti-centromere antibody* - This antibody is associated with **limited cutaneous systemic sclerosis** (CREST syndrome) characterized by calcinosis, Raynaud's phenomenon, esophageal dysmotility, sclerodactyly, and telangiectasias. - The patient's symptoms do not align with systemic sclerosis. *Anti-cyclic citrullinated peptide (anti-CCP) antibody* - **Anti-CCP antibodies** are highly specific for **rheumatoid arthritis**, which primarily affects the small joints of the hands and feet symmetrically and does not typically present with conjunctivitis or urethritis. - The patient's presentation with an acute, asymmetric arthritis following an infection is not consistent with rheumatoid arthritis. *HLA-DR4 haplotype* - The **HLA-DR4 haplotype** is primarily associated with **rheumatoid arthritis**, a chronic inflammatory autoimmune disease that differs significantly in presentation from the patient's acute symptoms. - This patient's symptoms are more indicative of a seronegative spondyloarthropathy, not rheumatoid arthritis. *Rheumatoid factor* - **Rheumatoid factor (RF)** is an autoantibody found in many patients with **rheumatoid arthritis**, but it is also present in other conditions and can be negative in some RA cases. - While it indicates systemic inflammation, it is not specific to the patient's constellation of symptoms, which point more directly to a reactive process.
Explanation: **No tests are necessary** - The patient's presentation with **white scaly papules and plaques** on extensor surfaces (elbows, knees, shins), along with involvement of the ears, eyebrows, and scalp, are classic signs of **psoriasis**. - The phenomenon of **pinpoint bleeding** upon scraping the scales (Auspitz sign) is highly distinctive for psoriasis, making additional diagnostic tests initially unnecessary. *Serum autoantibodies* - This test is typically used to diagnose **autoimmune connective tissue diseases** like lupus or rheumatoid arthritis, which have different clinical presentations. - Psoriasis is a T-cell mediated autoimmune disease, but specific serum autoantibodies are not used for its primary diagnosis. *Plain film X-rays of the hands and feet* - X-rays are used to assess **joint damage** in conditions like psoriatic arthritis, which is a complication of psoriasis. - However, the patient's current presentation describes only skin lesions, so joint imaging is not the best initial diagnostic step. *Skin biopsy* - While a **skin biopsy** can confirm psoriasis, the clinical picture here is so characteristic that a biopsy is generally reserved for **atypical presentations** or when the diagnosis is uncertain. - It is not the *best initial test* when the diagnosis is clear clinically. *Wood’s lamp* - A **Wood's lamp** (UV light) is primarily used to detect **fungal infections** (e.g., tinea) or pigmentation disorders. - It does not aid in the diagnosis of psoriasis, which has a distinct morphology visible to the naked eye.
Crohn's disease pathophysiology
Practice Questions
Ulcerative colitis pathophysiology
Practice Questions
Diagnostic approach to IBD
Practice Questions
Extraintestinal manifestations
Practice Questions
Medical management of Crohn's disease
Practice Questions
Medical management of ulcerative colitis
Practice Questions
Biologic therapies for IBD
Practice Questions
Surgical management in IBD
Practice Questions
Nutritional considerations in IBD
Practice Questions
IBD in pregnancy
Practice Questions
Cancer risk and surveillance in IBD
Practice Questions
IBD-related complications
Practice Questions
IBD in special populations
Practice Questions
Get full access to all questions, explanations, and performance tracking.
Start For Free