A 30-year-old patient presents with loose stools, lower abdominal pain, weight loss, diarrhea and passage of blood and mucus. On sigmoidoscopy this is the presentation of the patient. All of the following statements regarding this condition are true except:

All of the following statements regarding this picture are true except:

The following pus was drained from a liver abscess. Which complication(s) is/are seen with this condition?

The following pus was drained from a liver abscess. Diagnosis is:

All investigations should be done in this case except:

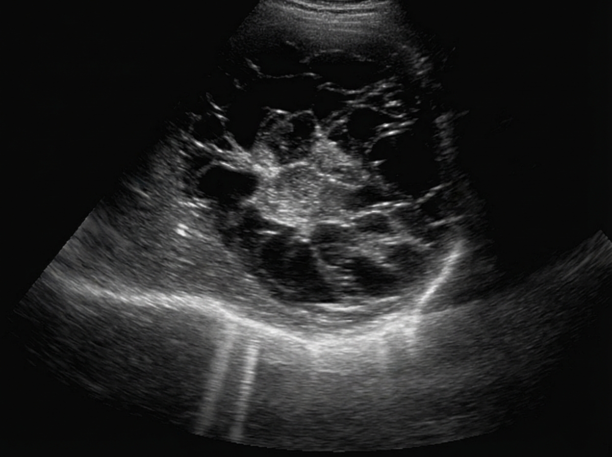
A 25 -year-old shepherd presents with continuous discomfort in right hypochondrium and on examination shows presence of enlarged liver 8 cm below costal margins. The probable diagnosis is:

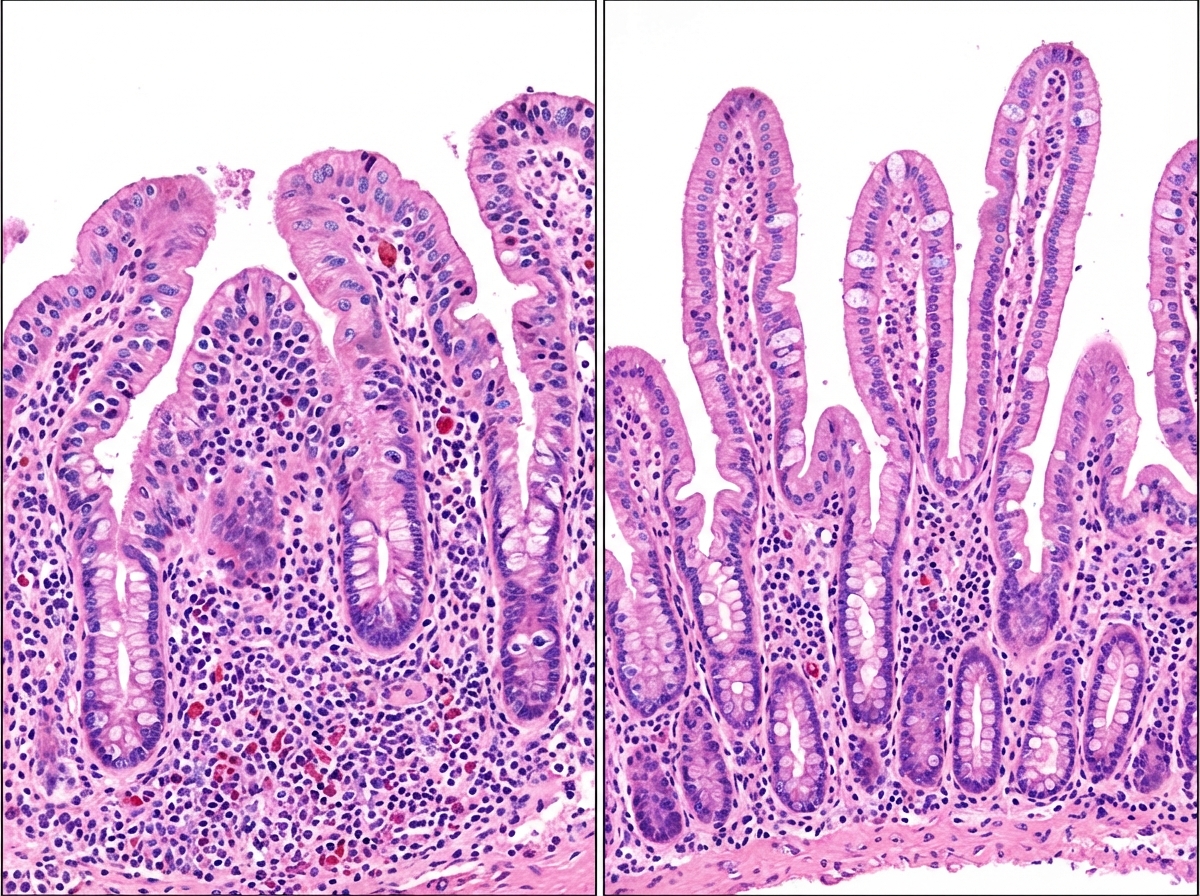
Compare the intestinal biopsy specimen of patient before and after diet restriction. All are true about the condition shown except:

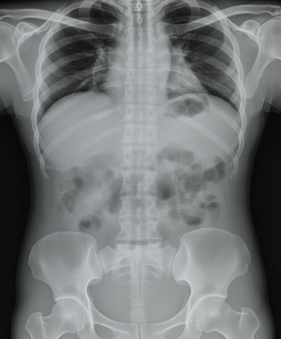
A patient presents with complaints of fever and abdominal distention. He is having history of bloody diarrhea off and on for previous 6 months. X-ray abdomen is shown below. What is the diagnosis?

A 38-year-old patient complains of rectal bleeding, tenesmus and mucous discharge. On examination patient is found to have anemia, hypoproteinemia and electrolyte disturbance. On radiological examination this is the presentation of the patient. Which of the following statement is false?

A patient presents with itchy skin lesions with blistering along with gastrointestinal issues. Which of the following is the most specific serological test for this condition?
Explanation: ***This condition is associated with APC gene of chromosome 4*** - The APC gene is located on **chromosome 5q21-q22**, not chromosome 4. - Mutations in the **APC gene** are responsible for **Familial Adenomatous Polyposis (FAP)**. *More than 100 colonic adenomas are diagnostic of this condition* - The presence of **more than 100 colonic adenomas** (often hundreds to thousands) is the diagnostic criterion for **Familial Adenomatous Polyposis (FAP)**. - The image provided shows a colon segment densely packed with numerous polyps, consistent with FAP. *Associated with ampullary carcinoma* - Patients with FAP have an increased risk of developing **extracolonic manifestations**, including **duodenal adenomas** and **ampullary carcinomas**. - This association is a significant concern in FAP management due to the aggressive nature of these tumors. *This condition is associated with benign mesodermal tumors such as desmoid tumors and osteomas* - **Gardner syndrome**, a phenotypic variant of FAP, is characterized by colonic polyposis along with **extra-intestinal manifestations**, including **osteomas** (especially of the skull and mandible) and **desmoid tumors**. - Desmoid tumors are locally aggressive fibroblast proliferations, often occurring in the abdominal wall or mesentery in FAP patients. *Prophylactic colectomy is recommended due to nearly 100% risk of colorectal cancer* - Patients with FAP have a **nearly 100% lifetime risk** of developing colorectal cancer if untreated. - **Prophylactic colectomy** (total or subtotal) is the standard of care, typically performed in late adolescence or early adulthood. - Surgical options include **total proctocolectomy with ileal pouch-anal anastomosis (IPAA)** or **subtotal colectomy with ileorectal anastomosis**.
Explanation: **They are a result of tractional force** - Diverticula as visualized in the image are **pulsion diverticula**, formed due to increased intraluminal pressure pushing the mucosa through weak points in the muscular wall. - **Traction diverticula** are true diverticula involving all layers of the bowel wall, and are typically caused by inflammation or scarring pulling the bowel wall outwards (e.g., in tuberculosis or histoplasmosis near the esophagus), which is not the mechanism for colonic diverticula shown. *False diverticulum* - The image depicts multiple outpouchings, which are characteristic of **false diverticula** (pseudodiverticula). - These diverticula involve only the **mucosa and submucosa** herniating through the muscular layer, lacking a complete muscular coat. *Most common site for this defect is sigmoid colon* - **Colonic diverticula** are most commonly found in the **sigmoid colon** due to its smaller diameter and higher intraluminal pressure, which predisposes it to outpouching. - The characteristic appearance of multiple small outpouchings in the image suggests colonic diverticulosis, consistent with the sigmoid colon being the primary location. *High fiber diet will reduce the incidence of this defect* - A **low-fiber diet** is considered a major risk factor for developing diverticulosis, as it leads to harder stools and increased intraluminal pressure. - Conversely, a **high-fiber diet** promotes softer stools, reduces intracolonic pressure, and is therefore believed to **reduce the incidence** and progression of diverticular disease. *Asymptomatic in majority of cases* - **Diverticulosis** (the presence of diverticula) is asymptomatic in approximately **70-80% of cases**. - Most patients are diagnosed incidentally during colonoscopy or imaging performed for other reasons. - Only a minority develop complications such as diverticulitis, bleeding, or perforation.
Explanation: ***All of the above*** - All listed complications, including **hepatic encephalopathy**, **cardiac tamponade**, **retroperitoneal abscess**, and **pleural effusion**, are potential complications of a liver abscess. - The type of complication often depends on the **location** and **etiology** of the abscess, as well as the host's immune status. *Hepatic encephalopathy* - This can occur if the liver damage from the abscess is severe enough to impair its **detoxification function**, leading to accumulation of toxins like **ammonia**. - While not a direct mechanical complication, severe liver dysfunction post-abscess can precipitate this neurological condition. *Cardiac tamponade* - A liver abscess can rupture into the **pericardial sac**, especially if the abscess is located in the left lobe and close to the diaphragm, leading to **cardiac tamponade**. - This life-threatening condition results from fluid accumulation around the heart, impairing its ability to pump blood. *Retroperitoneal abscess* - A liver abscess, particularly those located on the posterior aspect or inferiorly, can **rupture** or *extend* into the **retroperitoneal space**. - This can lead to a secondary retroperitoneal abscess, causing further severe infection and complications. *Pleural effusion* - The most common complication of liver abscess, occurring in **10-20% of cases**, especially with **right lobe abscesses**. - Results from **diaphragmatic irritation** or direct **rupture** through the diaphragm into the pleural space, which can progress to empyema if infected.
Explanation: ***Amoebic liver abscess*** - The image shows a reddish-brown, thick, and viscous fluid, often described as **"anchovy paste"** or **"chocolate sauce"** like pus, which is highly characteristic of an amoebic liver abscess. - This appearance results from enzymatic liquefaction of liver tissue by *Entamoeba histolytica*, mixed with blood and cellular debris. *Pyogenic liver abscess* - Pyogenic abscesses typically contain **creamy, yellowish-green pus** that may be foul-smelling, depending on the bacterial etiology. - The pus from a pyogenic abscess would not have the characteristic reddish-brown, "anchovy paste" appearance seen in the image. *Hydatid cyst* - Hydatid cysts contain clear, **"water-like" fluid** (cyst fluid) and often "daughter cysts" or **hydatid sand**, which are distinctly different from the thick, hemorrhagic pus shown. - The appearance in the image is not consistent with the sterile, clear fluid typically aspirated from an intact hydatid cyst. *Tuberculosis abscess* - TB liver abscesses typically contain **caseous necrotic material** that is thick and whitish-yellow, not the characteristic reddish-brown "anchovy paste" appearance. - TB abscesses are usually associated with systemic TB symptoms and multiple small lesions rather than a single large abscess. *Cavernous hemangioma* - A cavernous hemangioma is a **benign vascular tumor** filled with blood, not pus. - Aspiration would yield **blood**, not the thick, reddish-brown exudate characteristic of an abscess.
Explanation: ***HIDA scan*** - A HIDA scan evaluates **gallbladder function** and patency of the **biliary system**, which is unrelated to the pathophysiology of **Budd-Chiari syndrome** (hepatic venous outflow obstruction suggested by abdominal distension and prominent veins). - Its primary use is in diagnosing acute cholecystitis, chronic cholecystitis, or biliary obstruction, which are not suggested by the presented image. *Adenosine deaminase* - This is an important marker for **tuberculous peritonitis**, which can present with ascites and abdominal distension, mimicking features of Budd-Chiari in initial stages. - While not directly diagnostic of Budd-Chiari, it's a common investigation to **rule out other causes** of ascites, which are frequently considered in differential diagnosis. *Serum albumin* - Low serum **albumin levels** are indicative of severe liver dysfunction or malnutrition, both of which can be seen in advanced liver disease due to Budd-Chiari syndrome. - It reflects the liver's synthetic capacity and helps assess the **severity of liver damage** and prognosis. *Hepatic venography* - This is considered the **gold standard** for diagnosing Budd-Chiari syndrome, as it directly visualizes the **hepatic veins** and inferior vena cava. - It can identify the site and extent of obstruction, thus confirming the diagnosis suggested by the prominent abdominal veins and acute abdominal distension, which are classic signs of Budd-Chiari. *Doppler ultrasound of hepatic veins* - This is the **initial screening investigation** of choice for Budd-Chiari syndrome, as it can demonstrate reduced or absent flow in hepatic veins and is non-invasive. - It has high sensitivity and specificity for detecting hepatic venous outflow obstruction and can show characteristic findings like reversed flow in portal vein and caudate lobe hypertrophy.
Explanation: ***Hydatid cyst*** - The patient's occupation as a **shepherd** points to an increased risk of exposure to **Echinococcus granulosus**, the parasite responsible for hydatid cysts. - Hydatid cysts are typically **space-occupying lesions** in the liver, which can cause continuous discomfort due to mass effect and lead to hepatomegaly. *Amebic liver abscess* - While amebic liver abscesses can cause right hypochondrial pain and hepatomegaly, they are typically associated with a history of **dysentery** or travel to endemic areas, and not specifically with animal exposure. - These abscesses often present with fever and leukocytosis, which are not mentioned here. *Pyogenic liver abscess* - Pyogenic liver abscesses usually present with acute symptoms such as **high fever**, chills, and severe abdominal pain. - They are often associated with underlying infections like **cholangitis** or diverticulitis, which are not suggested by the patient's history. *Hepatic adenoma* - Hepatic adenomas are **benign tumors** of the liver, more common in women using oral contraceptives, and often discovered incidentally. - While they can cause pain if large or if there is hemorrhage, the patient's occupation and continuous discomfort make a parasitic etiology more likely. *Hepatocellular carcinoma* - HCC typically occurs in patients with **chronic liver disease** (cirrhosis from hepatitis B/C, alcohol) or in older age groups. - The **young age** (25 years) and absence of risk factors make this diagnosis unlikely. - The occupational history strongly favors a parasitic etiology.
Explanation: ***Classic changes in celiac sprue occur in submucosa*** - The classic histological changes in celiac sprue, such as **villous atrophy**, **crypt hyperplasia**, and increased intraepithelial lymphocytes, primarily occur in the **mucosa** of the small intestine, not the submucosa. - The submucosa is typically not directly affected by the gluten-induced immune response in celiac disease. - This statement is **FALSE** and is therefore the correct answer to this "EXCEPT" question. *Increased risk of enteropathy-associated T-cell lymphoma* - Patients with celiac disease have a significantly **increased risk of developing enteropathy-associated T-cell lymphoma (EATL)** and small bowel adenocarcinoma. - This risk is particularly elevated in patients with poor dietary compliance or untreated disease. - This statement is **TRUE**. *Most sensitive test is antiendomysial antibody* - **Anti-tissue transglutaminase (tTG) IgA antibody** is generally considered the most sensitive and specific single test for celiac disease, especially in symptomatic individuals. - Anti-endomysial antibody (EMA) is also highly specific but can be less sensitive than tTG-IgA and requires indirect immunofluorescence, making tTG-IgA the preferred initial screening test in many guidelines. - This statement is **FALSE** - anti-tTG IgA is more sensitive. *Associated with dermatitis herpetiformis* - **Dermatitis herpetiformis** is a highly characteristic, intensely pruritic, blistering skin rash that is strongly associated with celiac disease. - It is caused by IgA deposition in the dermal papillae, responds to a gluten-free diet, and often co-occurs with the intestinal pathology of celiac sprue. - This statement is **TRUE**. *Gluten free diet improves intestinal histology* - A strict **gluten-free diet** leads to significant improvement in intestinal histology, with regeneration of villi and reduction of inflammation. - Histological improvement typically occurs within months of strict dietary adherence. - This statement is **TRUE**.
Explanation: ***Toxic megacolon*** - The image shows **marked dilation of the colon** with loss of haustral markings, consistent with megacolon. - The clinical picture of fever, abdominal distention, and bloody diarrhea in a patient with a history of inflammatory bowel disease (implied by chronic bloody diarrhea) strongly suggests **toxic megacolon**. - Toxic megacolon is a life-threatening complication of IBD requiring urgent management. *Pneumatosis intestinalis* - This condition involves **gas within the wall of the bowel**, which would appear as characteristic lucencies outlining the bowel wall on X-ray. - While it can be seen in severe bowel ischemia, it is not the primary finding of diffuse colonic dilation seen here. *Volvulus* - Volvulus is a **twisting of a loop of intestine** around its mesentery, leading to obstruction and ischemia. - While it can cause colonic dilation, the dilation is typically localized to the twisted segment (e.g., a "coffee bean" sign in sigmoid volvulus) rather than the diffuse involvement seen here. *Intestinal perforation* - Intestinal perforation is characterized by the presence of **free air under the diaphragm** (pneumoperitoneum) on an upright chest X-ray or lateral decubitus abdominal film. - While a severely dilated and inflamed colon can perforate, there is no clear evidence of free air outside the bowel wall in this X-ray. *Paralytic ileus* - Paralytic ileus causes **generalized bowel dilation** and can present with abdominal distention. - However, it typically involves both small and large bowel, lacks the **loss of haustral markings** specific to toxic megacolon, and does not typically present with **fever and bloody diarrhea** in the context of chronic inflammatory bowel disease.
Explanation: ***50 % risk of developing cholangiocarcinoma*** - The risk of **cholangiocarcinoma** in patients with ulcerative colitis and **primary sclerosing cholangitis (PSC)** is significantly increased, but it is not 50%. The lifetime risk of cholangiocarcinoma in PSC patients is approximately **7-10%**. - The image provided depicts a **barium enema** showing signs consistent with **ulcerative colitis**, characterized by diffuse inflammation. The patient's symptoms (rectal bleeding, tenesmus, mucous discharge, anemia) are also classic for **ulcerative colitis**. *Most common site for this condition is rectum* - **Ulcerative colitis** nearly always involves the **rectum** (proctitis) and extends proximally in a continuous fashion. - Rectal involvement is a hallmark of ulcerative colitis, differentiating it from Crohn's disease which can have skip lesions and spare the rectum. *Sacroiliitis and ankylosing spondylitis are associated* - Ulcerative colitis is associated with several **extraintestinal manifestations**, including **arthropathies** like sacroiliitis and ankylosing spondylitis. - These conditions are part of the **spondyloarthropathy** spectrum and frequently occur in patients with inflammatory bowel disease. *Campylobacter infection can mimic early phase of this condition* - **Acute bacterial infections** of the colon, such as those caused by **Campylobacter**, **Shigella**, or **Salmonella**, can cause colonic inflammation, bloody diarrhea, and abdominal pain that may resemble the initial presentation of ulcerative colitis. - Differentiating between infectious colitis and inflammatory bowel disease often requires stool cultures, endoscopy, and biopsy. *Continuous inflammation starting from rectum extending proximally* - This is a **classic and defining feature** of ulcerative colitis - inflammation begins in the rectum and extends proximally in a **continuous, uninterrupted pattern** without skip lesions. - This continuous pattern distinguishes UC from Crohn's disease, which characteristically shows **skip lesions** with areas of normal mucosa between inflamed segments.
Explanation: ***Anti-endomysial antibody*** - The combination of **itchy, blistering skin lesions** and **gastrointestinal issues** is highly suggestive of **Dermatitis Herpetiformis**, which is the cutaneous manifestation of **celiac disease**. - **Anti-endomysial antibody (EMA)**, particularly IgA, is highly specific (nearly 100%) for **celiac disease** and thus for Dermatitis Herpetiformis, especially when tested on primate esophagus. *Anti-TTG antibody* - **Anti-tissue transglutaminase (tTG) antibody** (IgA) is a sensitive and specific serological marker for **celiac disease** and is often the first-line test. - While highly indicative, **EMA** is generally considered to have slightly higher specificity than tTG for celiac disease, particularly in predicting intestinal villous atrophy. *Anti-nuclear antibody* - **Anti-nuclear antibodies (ANA)** are primarily associated with **systemic autoimmune diseases** like Systemic Lupus Erythematosus. - They are not specific for **celiac disease** or **Dermatitis Herpetiformis**. *Anti-desmoglein antibody* - **Anti-desmoglein antibodies** (anti-Dsg1 and anti-Dsg3) are specific for **pemphigus vulgaris** and **pemphigus foliaceus**, which are autoimmune blistering disorders. - While these conditions present with blistering, they typically lack the gastrointestinal symptoms and the specific pruritic, grouped vesicular pattern seen in **Dermatitis Herpetiformis**. - This is not the appropriate serological test for DH/celiac disease. *IgA deposits at the dermoepidermal junction* - The presence of **granular IgA deposits at the dermoepidermal junction** (dermal papillae) is the **gold standard for diagnosing Dermatitis Herpetiformis** through **direct immunofluorescence** of a skin biopsy. - However, this is a **histopathological finding**, not a serological test, and therefore does not fit the question's criteria for a "serological test."
Explanation: ***Iron Deficiency Anemia (IDA)*** - The unique constellation of **low hemoglobin**, **low serum iron**, **low ferritin**, **low transferrin saturation**, and **increased total iron-binding capacity (TIBC)** is the hallmark of Iron Deficiency Anemia. - **Ferritin** is a direct measure of iron stores, and its low level confirms depletion, while **increased TIBC** signifies the body's attempt to absorb more iron due to deficiency. *Anemia of Chronic Disease* - While also presenting with **low hemoglobin** and often **low serum iron**, Anemia of Chronic Disease is characterized by **normal or increased ferritin** (as ferritin is an acute phase reactant) and **decreased TIBC**. - There is a functional iron deficiency, but iron stores are typically adequate, and inflammation plays a central role. *Hemolytic Anemia* - Hemolytic anemia is characterized by the premature destruction of red blood cells, leading to **low hemoglobin** but typically **normal or elevated serum iron** and ferritin due to iron release from lysed red cells. - Key indicators, such as **elevated bilirubin**, **lactate dehydrogenase (LDH)**, and **reticulocytosis**, are absent in the given scenario. *Thalassemia* - Thalassemia is a genetic disorder causing defective hemoglobin synthesis, resulting in **microcytic hypochromic anemia** with **low hemoglobin**. - However, thalassemia typically presents with **normal to high serum iron** and ferritin levels, as iron absorption may be increased, and there's no primary iron deficiency. *Sideroblastic Anemia* - Sideroblastic anemia is characterized by defective heme synthesis with iron accumulation in mitochondria, forming characteristic ring sideroblasts on bone marrow examination. - Laboratory findings typically show **normal to increased serum iron**, **increased ferritin**, and **increased transferrin saturation**, distinguishing it from iron deficiency anemia.
Explanation: ***Decreased transferrin saturation*** - In **iron deficiency anemia**, there is insufficient iron to bind to **transferrin**, leading to a reduction in the percentage of transferrin that is iron-bound. - This reflects the body's struggle to supply iron for erythropoiesis due to depleted iron stores. *Increased serum ferritin* - **Serum ferritin** is a key indicator of the body's iron stores; in **iron deficiency anemia**, these stores are depleted, leading to a *decreased* rather than increased serum ferritin level. - An increased serum ferritin is typically seen in conditions of **iron overload** or **inflammation**. *Increased serum iron* - **Serum iron** measures the iron circulating in the blood, and in **iron deficiency anemia**, iron levels are *low* due to inadequate intake or excessive loss. - An increased serum iron level would contradict the diagnosis of iron deficiency. *Normal total iron-binding capacity (TIBC)* - **Total iron-binding capacity (TIBC)** typically *increases* in iron deficiency anemia as the liver produces more transferrin in an attempt to capture any available iron. - A normal TIBC would not reflect the compensatory mechanisms seen in iron deficiency. *Increased mean corpuscular volume (MCV)* - **Iron deficiency anemia** is a **microcytic anemia**, characterized by *decreased* MCV due to inadequate hemoglobin synthesis within red blood cells. - An increased MCV is seen in **macrocytic anemias** such as vitamin B12 or folate deficiency, not in iron deficiency.
Explanation: ***Anti-TTG (Tissue Transglutaminase)*** - **Anti-TTG antibodies** (especially **IgA**) are the primary serological markers for celiac disease, demonstrating high sensitivity and specificity. - These antibodies target **tissue transglutaminase**, an enzyme involved in gluten deamidation, which triggers the autoimmune response in genetically predisposed individuals. - **Anti-TTG IgA** is the **preferred initial screening test** due to its superior diagnostic accuracy and cost-effectiveness. *ANCA (Anti-Neutrophil Cytoplasmic Antibodies)* - **ANCA** are associated with **vasculitis**, such as **Granulomatosis with Polyangiitis (Wegener's)** and **Microscopic Polyangiitis**. - They are not a diagnostic marker for celiac disease, which is an autoimmune enteropathy. *ASCA (Anti-Saccharomyces cerevisiae Antibodies)* - **ASCA** are commonly found in patients with **Crohn's disease**, particularly in those with ileal involvement. - While both celiac disease and Crohn's are gastrointestinal conditions, ASCA is not a marker for celiac. *Anti-gliadin* - **Anti-gliadin antibodies (AGA)** were historically used in celiac disease diagnosis but have **lower sensitivity and specificity** compared to anti-TTG and anti-endomysial antibodies. - Modern guidelines recommend using **anti-TTG IgA** as the primary screening tool due to its superior diagnostic accuracy. *Anti-EMA (Endomysial Antibodies)* - **Anti-EMA IgA** is highly specific for celiac disease (>95% specificity) and is often used as a **confirmatory test**. - However, **anti-TTG is preferred for initial screening** because anti-EMA testing is more expensive, operator-dependent (uses immunofluorescence), and less widely available. - Anti-EMA targets the same antigen as anti-TTG (tissue transglutaminase).
Explanation: ***Barrett's esophagus*** - The endoscopic image shows a **change in the mucosal lining** from the pale, smooth squamous epithelium (typical of the esophagus) to a red, velvety columnar epithelium, which is characteristic of **intestinal metaplasia** occurring in Barrett's esophagus. - This metaplastic change occurs as a complication of chronic gastroesophageal reflux disease (GERD) and is a **precursor to esophageal adenocarcinoma**. *Esophageal varices* - Esophageal varices appear as **dilated, tortuous veins** beneath the esophageal mucosa, often seen in patients with **portal hypertension**. - The image does not show these typical tortuous, bluish veins. *Gastric erosion* - Gastric erosions are **superficial breaks in the gastric mucosa**, typically appearing as reddish spots or streaks, often with overlying exudate. - The image depicts a change in mucosal type rather than superficial damage to the gastric lining. *Chronic GERD* - While chronic GERD is the underlying cause for Barrett's esophagus, the image shows the **consequence of GERD** (metaplasia), not the direct endoscopic signs of active GERD, such as **esophagitis** (inflammation, redness, erosions) in the squamous epithelium. - The distinct change in mucosal appearance to columnar epithelia is specific to Barrett's esophagus. *Esophageal candidiasis* - Esophageal candidiasis presents with **white plaques or pseudomembranes** overlying the esophageal mucosa, typically seen in immunocompromised patients. - The image shows a change in mucosal type (metaplasia) rather than infectious white plaques characteristic of candidiasis.
Explanation: ***Folic acid deficiency*** - A **highly restrictive diet** lacking vegetables and fruits, combined with **macrocytic anemia** (Hb 9 g/dL, MCV 120 fL), strongly suggests folic acid deficiency. - Folic acid is essential for **DNA synthesis**, and its deficiency leads to impaired erythrocyte maturation, resulting in **large, immature red blood cells (macrocytes)**. - **Folate stores deplete within 3-4 months** of inadequate intake, making dietary deficiency clinically significant. - The patient's diet explicitly lacks **folate-rich foods** (green vegetables, fruits, legumes). *Vitamin B12 deficiency* - Also causes **macrocytic anemia** with identical hematological findings. - However, **Vitamin B12 is found in animal products** (meat, dairy, eggs), which are commonly present in fast food. - **B12 stores last 3-5 years**, so dietary deficiency takes much longer to develop unless there is **malabsorption** (pernicious anemia, gastrectomy). - No evidence of malabsorption or strict veganism in this case. *Combined Vitamin B12 and Folic acid deficiency* - While theoretically possible, the dietary history points more specifically to **folate deficiency**. - Combined deficiencies are more common in **severe malnutrition** or **malabsorption syndromes**. - Fast food typically contains adequate B12 from animal products. *Iron deficiency anemia* - Presents as **microcytic hypochromic anemia** with **low MCV** (<80 fL). - This patient has **macrocytic anemia** (MCV 120 fL), which directly contradicts iron deficiency. - Caused by **chronic blood loss** or inadequate iron intake, leading to small, pale RBCs. *Anemia of chronic disease* - Usually presents as **normocytic** or **mildly microcytic** anemia, not macrocytic. - While chronic stress and poor nutrition could contribute, the **high MCV (120 fL)** and **macrocytes** are inconsistent with this diagnosis. - Anemia of chronic disease typically has **normal to low MCV** and **normal RBC morphology** without macrocytosis.
Explanation: ***Cautery of an arteriovenous malformation*** - This patient's presentation with **painless rectal bleeding**, particularly in an elderly individual, is highly suggestive of **angiodysplasia** (arteriovenous malformation). This is often managed with endoscopic cautery. - The other medical history items (obesity, diabetes, constipation, smoking) are risk factors for various conditions, but the absence of pain with blood in the stool points away from more acute or inflammatory processes. *Surgical removal of malignant tissue* - While **colorectal cancer** is a concern in this age group and with a smoking history and family history of cancer, the primary symptom of **painless bleeding** can be seen in cancer; however, angiodysplasia is a more common cause of painless recurrent bleeding in older adults. - Without a definite diagnosis of malignancy (e.g., from colonoscopy with biopsy), immediate surgical removal is not indicated. *Ciprofloxacin* - **Infectious colitis**, which could be suggested by the camping trip and consumption of stream water, usually presents with symptoms like **diarrhea, fever, and abdominal pain**, which are absent here. - The patient's blood pressure is elevated but not consistent with septic shock, and his other vitals are stable. *Mesalamine enema* - The patient has a history of **ulcerative colitis**, but it is explicitly stated to be in **remission** and there are no signs of a flare-up (e.g., diarrhea, tenesmus, abdominal pain, fever). - A mesalamine enema would be appropriate for active ulcerative colitis, particularly proctitis, but not for painless bleeding from other causes. *Surgical resection of a portion of the colon* - While this is a treatment option for some severe cases of **diverticular bleeding** or extensive angiodysplasia that cannot be controlled endoscopically, it is an aggressive first-line treatment. - Diverticular bleeding is often painless, but angiodysplasia is a more likely cause of recurrent painless bleeding in this demographic. Definitive diagnosis and less invasive interventions, like colonoscopy with cautery, are typically pursued first.
Explanation: ***Lactase deficiency*** - The patient's prolonged nonbloody diarrhea, abdominal discomfort, bloating, and **decreased stool pH** (due to fermentation of undigested lactose by colonic bacteria) are classic signs of **lactose intolerance**. - The initial acute gastroenteritis among coworkers likely caused a **secondary lactase deficiency** due to damage to the intestinal brush border. *Heat-labile toxin* - This toxin, often associated with **enterotoxigenic E. coli (ETEC)**, typically causes **acute, watery diarrhea** that usually resolves within a few days, similar to the coworkers' initial symptoms. - It does not explain the patient's prolonged symptoms specifically linked to carbohydrate malabsorption like **decreased stool pH**. *Bacterial superinfection* - While possible in some diarrheal illnesses, a bacterial superinfection would more likely present with worsening symptoms, potentially fever, and may not specifically cause a **decreased stool pH** in the absence of carbohydrate malabsorption. - The described symptoms are more characteristic of a malabsorption issue rather than a new bacterial infection. *Anti-endomysial antibodies* - These antibodies are characteristic of **celiac disease**, which involves an immune reaction to gluten. - While celiac disease can cause malabsorption and chronic diarrhea, the presentation here, especially the acute onset linked to a presumed gastroenteritis causing prolonged symptoms with a **low stool pH**, points more specifically to lactase deficiency. *Intestinal type 1 helper T cells* - An increase in **intestinal type 1 helper T cells** is often seen in inflammatory bowel diseases (IBD) like Crohn's disease, which typically presents with chronic diarrhea, abdominal pain, and often bloody stools. - This is less likely to be the primary cause of symptoms in the context of an acute onset followed by prolonged symptoms and a **decreased stool pH** suggestive of carbohydrate malabsorption.
Explanation: ***↑ peripheral vascular resistance*** - The patient is experiencing **hypovolemic shock** due to significant blood loss, characterized by **hypotension**, **tachycardia**, and **signs of poor perfusion**. - To compensate for the reduced blood volume and maintain vital organ perfusion, the body releases **catecholamines**, leading to **vasoconstriction** and thus an **increase in peripheral vascular resistance**. *↓ peripheral vascular resistance* - A decrease in peripheral vascular resistance is typically seen in **distributive shock** (e.g., septic shock, anaphylactic shock) where widespread vasodilation occurs. - This patient's symptoms of **cool, pale, mottled skin** and **tachycardia with hypotension** are classic signs of compensated hypovolemic shock, not distributive shock. *↑ pulmonary capillary wedge pressure* - An elevated **pulmonary capillary wedge pressure** indicates increased pressure in the left atrium, usually due to **left ventricular failure** or **fluid overload**. - In hypovolemic shock, there is a decrease in blood volume, which would lead to a **decreased pulmonary capillary wedge pressure**. *Initial ↓ of hemoglobin and hematocrit concentration* - Acutely after significant blood loss, the **hemoglobin and hematocrit** concentrations may appear normal because both plasma and red blood cells are lost proportionally. - A decrease becomes evident as **fluid shifts** from the interstitial space into the intravascular space, or after **intravenous fluid resuscitation** causes hemodilution. *Inspiratory ↑ of jugular venous pressure* - An inspiratory increase in jugular venous pressure, known as **Kussmaul's sign**, is associated with conditions causing impaired right ventricular filling, such as **constrictive pericarditis** or **restrictive cardiomyopathy**. - In hypovolemic shock, the **jugular venous pressure would be low** due to decreased blood volume.
Explanation: ***Colonoscopy*** - This patient presents with **changes in bowel habits** (increased frequency) and **rectal bleeding** (bloody stools, positive fecal occult blood test), which are classic alarm symptoms for **colorectal cancer**. - A **colonoscopy** is the most appropriate next step because it allows for direct visualization of the entire colon, biopsy of suspicious lesions, and removal of polyps, which is crucial for diagnosing or ruling out colorectal cancer and other colon pathologies. *Capsule endoscopy* - **Capsule endoscopy** is primarily used to evaluate the **small bowel** for obscure GI bleeding, Crohn's disease, or small bowel tumors. - It is **not effective** for evaluating the colon as it cannot be controlled to visualize the colonic lining thoroughly and cannot perform biopsies. *Rubber band ligation* - **Rubber band ligation** is a procedure used to treat **hemorrhoids**, particularly problematic internal hemorrhoids. - While the patient has an internal hemorrhoid, his new onset of bowel changes and bloody stools warrants a more comprehensive evaluation to rule out other serious conditions like **colorectal cancer** before attributing symptoms solely to hemorrhoids, especially given his age and risk factors. *Hemorrhoidectomy* - **Hemorrhoidectomy** is a surgical procedure for treating severe or refractory hemorrhoids. - Similar to rubber band ligation, performing a hemorrhoidectomy without a prior **colonoscopy** would be inappropriate given the patient's alarm symptoms, as it might delay the diagnosis of a more serious underlying condition. *Barium enema* - A **barium enema** is a radiological study that can identify large polyps or masses in the colon, but it has **lower sensitivity** than colonoscopy, especially for smaller lesions. - It **does not allow for biopsy** of suspicious areas or removal of polyps, which limits its diagnostic and therapeutic utility compared to colonoscopy for these symptoms.
Explanation: ***Gastrointestinal endoscopy*** - In adults with **iron deficiency anemia refractory to oral supplementation**, the next best step is **upper GI endoscopy (EGD)** to investigate for sources of chronic blood loss and rule out malignancy. - This patient has persistent microcytic anemia despite 3 months of iron therapy, with classic laboratory findings of iron deficiency (low ferritin, high TIBC, low transferrin saturation). - **Key indications for endoscopy**: chronic dyspepsia + refractory iron deficiency anemia in an adult patient. - Endoscopy allows **direct visualization** of the upper GI tract, identification of bleeding sources (ulcers, gastritis, malignancy), and **biopsy for H. pylori** testing and histopathology. - While H. pylori infection is a reasonable consideration given her chronic dyspepsia and origin from an endemic region, endoscopy provides more comprehensive evaluation and addresses the critical need to **exclude gastric or esophageal malignancy**. *Helicobacter pylori fecal antigen* - Non-invasive H. pylori testing is reasonable for patients with dyspepsia under age 60 in low-risk populations (test-and-treat strategy). - However, in the setting of **refractory iron deficiency anemia**, this approach is insufficient as it would miss other important causes of GI blood loss including **malignancy, erosive gastritis, celiac disease**, and vascular lesions. - H. pylori testing can be performed during endoscopy via biopsy or rapid urease test, making separate fecal antigen testing unnecessary. *Bone marrow biopsy* - This is an **invasive procedure** reserved for investigating unexplained cytopenias, suspected bone marrow failure, or hematologic malignancies. - The laboratory findings clearly indicate **iron deficiency** (low ferritin, high TIBC), not a primary bone marrow disorder, making biopsy unnecessary at this stage. *Fecal occult blood tests* - While screening for GI bleeding is important in iron deficiency anemia, **fecal occult blood testing has poor sensitivity** for upper GI lesions and intermittent bleeding. - Given the lack of response to iron therapy, a more definitive diagnostic approach with **direct visualization** is warranted rather than indirect testing. - Negative fecal occult blood does not exclude significant GI pathology. *Hemoglobin electrophoresis* - This test identifies **hemoglobinopathies** such as thalassemia trait, which can cause microcytic anemia. - However, the patient's **low serum ferritin (10.3 ng/mL)** and **high TIBC (470 µg/dL)** are pathognomonic for iron deficiency, not thalassemia. - In thalassemia trait, ferritin and TIBC would typically be normal, and the MCV would be disproportionately low relative to the degree of anemia. - While hemoglobin electrophoresis could be considered if iron studies were normal, it is not indicated here.
Explanation: ***Presence of hyphae when KOH added to skin scrapings*** - The description of **pruritic, erythematous, slightly raised annular patches with central clearing** is highly suggestive of **tinea corporis** (ringworm), a superficial fungal infection. - Visualization of **hyphae** on a **potassium hydroxide (KOH) wet mount** of skin scrapings confirms the presence of dermatophytes, thus confirming the diagnosis. *History of recent herald patch and lesions along skin cleavage lines* - This constellation of findings is characteristic of **pityriasis rosea**, which typically presents with a **herald patch** followed by smaller, oval lesions distributed along **Langer's lines** (skin cleavage lines). - Pityriasis rosea is usually asymptomatic or mildly pruritic and does not typically present with the same degree of central clearing or the need for fungal confirmation. *Acid-fast bacilli on smear from skin scrapings* - The presence of **acid-fast bacilli** on a smear from skin scrapings would suggest a **mycobacterial infection**, such as cutaneous tuberculosis or atypical mycobacterial infection. - This is inconsistent with the described annular, centrally clearing patch and the common presentation of these infections. *History of time spent in a Lyme-endemic region* - A history of time spent in a **Lyme-endemic region** would raise suspicion for **Lyme disease**, which can present with **erythema migrans**, a characteristic annular rash. - While erythema migrans can have central clearing, it does not typically itch as severely, is often larger (exceeding 5 cm), and would not show hyphae on KOH prep. *Symmetrical distribution on bilateral extremities progressing proximally* - A **symmetrical distribution on bilateral extremities progressing proximally** could describe a drug eruption or certain types of vasculitis. - This pattern does not fit the description of isolated, annular, centrally clearing plaques on the back, nor does it typically present primarily with itchiness in this manner.
Explanation: ***C-reactive protein (CRP)*** - **CRP** is an acute phase reactant that is rapidly produced by the liver in response to inflammatory cytokines, making it a sensitive and objective marker for systemic inflammation. - It has a shorter half-life than ESR, allowing for a more **dynamic assessment of disease activity** and response to treatment in conditions like rheumatoid arthritis. *Erythrocyte sedimentation rate (ESR)* - While **ESR** is also a marker of inflammation, it is less specific and sensitive than CRP because it is influenced by many factors, including age, gender, and other medical conditions. - ESR changes more slowly than CRP, making it less useful for promptly monitoring acute changes in **disease activity** or treatment effectiveness. *Complete blood count* - A **complete blood count (CBC)** primarily evaluates different blood cell types and can indicate anemia (though not present here), infection, or medication side effects (e.g., myelosuppression from methotrexate, which often causes **macrocytosis** as seen by the elevated MCV). - While it's important for monitoring methotrexate-related side effects, it is not a direct measure of the systemic **inflammatory state** in rheumatoid arthritis. *Rheumatoid factor (RF)* - **Rheumatoid factor (RF)** is an autoantibody primarily used for the diagnosis and classification of rheumatoid arthritis, rather than for monitoring disease activity. - Its levels do not consistently correlate with the degree of inflammation or clinical improvement over time, making it a poor choice for **monitoring disease progression**. *Anti-cyclic citrullinated peptide (anti-CCP)* - **Anti-CCP antibodies** are highly specific for rheumatoid arthritis and are primarily used for diagnosis and prognosis, especially in predicting more erosive disease. - Similar to RF, anti-CCP levels do not reliably fluctuate with changes in disease activity or inflammation, so they are not suitable for **routine monitoring**.
Explanation: ***Barium esophagram*** - The patient's symptoms, including **dysphagia**, **"food getting stuck," "gurgling sound,"** and **regurgitation of undigested food**, are classic for an **esophageal diverticulum**, specifically a **Zenker's diverticulum**. - A **barium esophagram** is the **most definitive diagnostic tool** for identifying the presence, size, and location of an esophageal diverticulum, as it can visualize the outpouching of the mucosa through the posterior wall of the hypopharynx. *Esophagogastroduodenoscopy* - While EGD can visualize the esophagus, it carries a **risk of perforation** when attempting to navigate through a Zenker's diverticulum, and can miss the diverticulum if the scope enters the true esophageal lumen. - It is primarily used for direct visualization of the esophageal lining, **biopsy**, and identifying conditions like esophagitis or ulcers, not typically for structural malformations like a diverticulum. *Esophageal pH monitoring* - This test is used to measure **gastroesophageal reflux (GERD)** by detecting acid exposure in the esophagus. - The patient's symptoms are not typical for GERD, and her description of regurgitating **undigested food** points away from acid reflux. *Endoscopic ultrasound* - EUS provides detailed imaging of the esophageal wall and surrounding structures, primarily to stage **esophageal cancer** or evaluate submucosal lesions. - It is not the primary diagnostic tool for identifying a structural pouch like a Zenker's diverticulum, which is better visualized by contrast studies. *Serology and PCR* - These tests are used to detect infections (e.g., **Chagas disease, CMV, HIV**) or autoimmune conditions that might affect esophageal motility. - The patient's symptoms are mechanical and structural rather than infectious or rheumatological in nature, making serology and PCR unlikely to confirm the diagnosis.
Explanation: ***Increase fiber and fluid intake*** - The patient's presentation with **painless large volume rectal bleeding** and prompt cessation suggests **diverticular bleeding**. Increasing **dietary fiber** and fluid mechanically reduces stress on the colon wall, helping to prevent future diverticula formation and bleeding events. - Diverticular disease is strongly associated with a **low-fiber diet** leading to increased intraluminal pressure, which can cause diverticula to form and bleed. *Sigmoid colon resection* - This is an **invasive surgical procedure** typically reserved for recurrent, severe, or complicated diverticulitis (e.g., perforation, fistula formation, obstruction), not for uncomplicated diverticular bleeding that resolves spontaneously. - Surgery carries risks and is a last resort; conservative management is preferred for stable, self-limiting bleeding. *Reduce red meat consumption* - While a diet high in red meat has been linked to an increased risk of diverticulitis, its direct role in preventing diverticular bleeding is less established compared to fiber intake. - Reducing red meat intake alone would not address the primary mechanical cause of diverticula formation and bleeding related to low fiber. *Sitz baths* - **Sitz baths** are primarily used to relieve symptoms associated with **anal conditions** such as hemorrhoids or anal fissures, which typically cause painful bleeding and are not consistent with this patient's painless, large-volume bleeding. - This intervention would not address the underlying cause of painless diverticular bleeding. *Ciprofloxacin and metronidazole* - This antibiotic regimen is used to treat **acute diverticulitis**, an inflammatory condition characterized by abdominal pain, fever, and leukocytosis. - The patient's presentation of painless bleeding with no signs of infection (no fever, non-tender abdomen) does not indicate diverticulitis, so antibiotics are inappropriate.
Explanation: ***Ischemic colitis*** - The patient's history of **severe blood loss**, requiring **vasopressors** and transfusions during **abdominal aortic aneurysm repair**, significantly increases the risk of **mesenteric ischemia**. The current presentation with **crampy abdominal pain**, **bloody stools**, **distended abdomen**, and **absent bowel sounds** is highly consistent with ischemic colitis, particularly given the systemic signs of illness (fever, tachycardia, hypotension). - The use of **vasopressors** can lead to **splanchnic vasoconstriction**, reducing blood flow to the colon, especially the **watershed areas** (e.g., splenic flexure, rectosigmoid junction). This makes the colon vulnerable to ischemia following a hypotensive or hypoperfusion event. *Abdominal aortic aneurysm rupture* - This patient already underwent an open abdominal aortic aneurysm repair, meaning the aneurysm has been addressed. While a graft complication could occur, a new rupture of the *original* aneurysm as the primary diagnosis five days post-op is unlikely in this context. - Abdominal aortic aneurysm rupture typically presents with **acute, severe abdominal or back pain**, often radiating to the groin or flank, and profound **hypotension** or shock due to massive blood loss into the retroperitoneum or peritoneum. There would also likely be pulsatile abdominal mass or signs of retroperitoneal hemorrhage. *Postoperative ileus* - **Postoperative ileus** is common after abdominal surgery and presents with **abdominal distention**, **nausea**, **vomiting**, and **absent bowel sounds**. However, it typically does not cause **bloody stools** or the systemic signs of illness like hypotension and fever seen in this patient, and it is usually not associated with exquisite tenderness in all quadrants. - The presence of **bloody stools** strongly suggests a more serious pathology involving mucosal damage, such as ischemia or inflammation, rather than just functional bowel paralysis. *Abdominal compartment syndrome* - **Abdominal compartment syndrome** typically presents with progressively increasing **intra-abdominal pressure**, leading to **abdominal distention**, **tense abdomen**, and **organ dysfunction** (e.g., oliguria, respiratory compromise). While the patient has distention and severe tenderness, there's no mention of specific signs of organ compression, and bloody stools are not a primary feature. - It usually develops acutely (within 24-48 hours) after major abdominal surgery, trauma, or massive fluid resuscitation. Although the patient had a complicated surgery, the delayed onset with bloody stools points away from isolated abdominal compartment syndrome as the primary issue. *Pseudomembranous colitis* - **Pseudomembranous colitis**, caused by *Clostridioides difficile* infection, is a possibility given the recent **antibiotic use (cefazolin)**. However, while it causes **crampy abdominal pain** and **diarrhea** (often bloody in severe cases), the presence of **hypotension** and the direct link to the **hypoperfusion event** during surgery make ischemic colitis a more immediate and likely diagnosis. - Diagnosis requires detection of *C. difficile* toxin in stool. While possible, the clinical picture strongly favors ischemia due to the preceding severe blood loss and vasopressor use, which are direct risk factors for ischemic colitis.
Explanation: ***Anemia of chronic disease*** - The use of **erythropoietin** in a patient with **rheumatoid arthritis** strongly suggests the presence of anemia of chronic disease, as rheumatoid arthritis is a chronic inflammatory condition that often leads to this type of anemia. - **Erythropoietin** is a common treatment for anemia of chronic disease because the inflammation suppresses erythropoiesis and reduces the kidney's production of erythropoietin. *Factor VIII deficiency* - This condition is also known as **hemophilia A**, a genetic bleeding disorder characterized by frequent and prolonged bleeding episodes, typically affecting males. - There is no information in the vignette to suggest bleeding or a history consistent with **Factor VIII deficiency**. *Vitamin K deficiency* - **Vitamin K deficiency** primarily affects **coagulation** by impairing the synthesis of clotting factors (II, VII, IX, X). - This would present with bleeding tendencies, not anemia that responds to **erythropoietin**. *Agranulocytosis* - **Agranulocytosis** is a severe reduction in **granulocytes** (a type of white blood cell), increasing susceptibility to infections. - It is not directly related to rheumatoid arthritis causing anemia, and erythropoietin would not be the appropriate treatment. *Immune thrombocytopenic purpura* - **Immune thrombocytopenic purpura (ITP)** is a disorder causing a low platelet count due to immune destruction, leading to bleeding and bruising. - This condition primarily affects **platelets**, and its treatment does not involve erythropoietin.
Explanation: ***Iron studies*** - The patient's symptoms of an **urge to move** the legs, uneasiness, relief with movement, and nighttime predominance are classic for **Restless Legs Syndrome (RLS)**. - **Iron deficiency** is a common and treatable cause or exacerbating factor for RLS, making iron studies the essential initial diagnostic step. *Alprazolam* - **Benzodiazepines** like alprazolam can be used to manage sleep disturbances associated with RLS, but they primarily treat symptoms and do not address the underlying cause. - This medication should be considered after addressing potential underlying causes and if other first-line treatments are insufficient, due to risks of **tolerance and dependence**. *Ferrous sulfate* - While **iron supplementation** is an appropriate treatment for RLS when iron deficiency is confirmed, it should only be initiated **after laboratory confirmation** of low iron stores. - Administering iron without confirming deficiency can lead to **iron overload**, which can be harmful. *Pramipexole* - **Dopamine agonists** like pramipexole are effective treatments for RLS, especially in moderate to severe cases. - However, they are typically considered a **second-line treatment** after addressing iron deficiency and optimizing lifestyle, as they have potential side effects including augmentation. *Supportive therapy and an exercise routine* - **Lifestyle modifications**, such as regular moderate exercise, avoiding caffeine, and maintaining good sleep hygiene, are important supportive measures for RLS. - While beneficial, these alone are usually **insufficient** for the described severity of symptoms and do not address the potential underlying iron deficiency.
Explanation: ***Paresthesias*** - The patient's **calcium level of 5.2 mg/dL** is critically low, indicating severe **hypocalcemia**. - **Paresthesias** (tingling around the mouth and in the extremities) are a common early symptom of hypocalcemia due to increased neuronal excitability. *Asymptomatic* - A calcium level of **5.2 mg/dL is severely low** and is very unlikely to be asymptomatic. - Significant hypocalcemia almost always leads to neurological or neuromuscular symptoms. *QT prolongation* - While hypocalcemia can cause **QT prolongation** on an EKG, it is an **EKG finding**, not a symptom the patient experiences directly. - The question asks for a "symptom this patient is experiencing." *Laryngospasm* - Although **laryngospasm** can occur with severe hypocalcemia, it is a **spasm of the vocal cords**, which is a more severe and less common manifestation. - **Paresthesias** are generally the first and most common symptomatic presentation. *Tetany* - **Tetany** (muscle spasms, twitching, and cramps) is a symptom of hypocalcemia, but it is typically a **later and more severe manifestation** than paresthesias. - The increased neuronal excitability first manifests as sensory disturbances like paresthesias.
Explanation: ***Microcytic anemia, increased TIBC, decreased ferritin*** - Heavy menstrual bleeding leads to **chronic blood loss**, which depletes **iron stores**, causing **iron deficiency anemia**. - **Iron deficiency anemia** is characterized by **microcytic hypochromic red blood cells**, decreased ferritin (indicating low iron stores), and increased TIBC (as the body tries to absorb more iron). *Normocytic anemia, increased TIBC, increased ferritin* - **Normocytic anemia** is typically seen in early stages of iron deficiency, chronic disease, or acute blood loss, but not with increased ferritin. - **Increased ferritin** indicates iron overload or inflammation, which is contrary to iron deficiency caused by menstrual bleeding. *Microcytic anemia, increased TIBC, increased ferritin* - While **microcytic anemia** and **increased TIBC** are consistent with iron deficiency, **increased ferritin** is not. - Increased ferritin would suggest **iron overload** or **inflammation**, making iron deficiency less likely. *Normocytic anemia, decreased TIBC, increased ferritin* - **Normocytic anemia** with **decreased TIBC** and **increased ferritin** is characteristic of **anemia of chronic disease**, where iron is trapped in macrophages. - This pattern contradicts the iron deficiency expected with heavy menstrual bleeding. *Macrocytic anemia, decreased TIBC, decreased ferritin* - **Macrocytic anemia** is typically associated with **B12** or **folate deficiency**, not iron deficiency from blood loss. - While **decreased ferritin** is consistent with iron deficiency, **decreased TIBC** would contradict iron deficiency from blood loss as the body attempts to absorb more iron.
Explanation: ***Mesenteric artery occlusion*** - The patient's long-standing diabetes, poor glycemic control (**HbA1C 10%**), and postprandial abdominal pain worsening over time are highly suggestive of **chronic mesenteric ischemia** due to atherosclerosis. - This condition is often described as "abdominal angina" and is caused by **occlusion of mesenteric arteries**, leading to reduced blood flow to the intestines, especially after meals when digestive demands increase blood supply. *Chronic renal failure* - While chronic diabetes can lead to **renal insufficiency** (nephropathy), abdominal pain is not a primary or typical presenting symptom of chronic renal failure itself. - The patient's blood pressure is normal, and there are no other symptoms or signs indicative of advanced kidney disease. *Ruptured aortic aneurysm* - A ruptured aortic aneurysm typically presents with **sudden, severe, tearing abdominal or back pain**, often accompanied by profound hypotension and hemodynamic instability. - The patient's symptoms are chronic, episodic, and gradually worsening, and her vital signs are stable, making a ruptured aneurysm unlikely. *Acute pancreatitis* - Acute pancreatitis usually presents with **severe, constant epigastric pain** radiating to the back, often associated with nausea, vomiting, and elevated amylase and lipase levels. - The patient's pain is postprandial, episodic, and chronic, which is not characteristic of acute pancreatitis. *Hepatic infarction* - Hepatic infarction is a rare condition that typically presents with **acute, severe right upper quadrant pain**, fever, and elevated liver enzymes. - There are no clinical signs or risk factors specifically pointing to hepatic infarction in this patient, and the episodic, postprandial nature of her pain does not align with this diagnosis.
Explanation: ***Rifaximin*** - The patient's history of bloating, early satiety, diarrhea, and vomiting, especially with a high HbA1c of 13%, suggests **diabetic gastroparesis** complicated by **small intestinal bacterial overgrowth (SIBO)**. - Poorly controlled diabetes leads to gastroparesis, which causes stasis and creates an environment conducive to bacterial overgrowth. The recent antibiotic use may have further disrupted the gut microbiome, exacerbating SIBO. - **Rifaximin** is a non-absorbable antibiotic that is first-line therapy for SIBO, reducing bacterial load in the small intestine and directly addressing the profuse diarrhea and bloating. *Metoclopramide* - This is a prokinetic agent that would primarily address **gastroparesis** by improving gastric emptying, but it would not directly treat the diarrhea associated with SIBO. - While gastroparesis is likely contributing to the patient's symptoms, treating the bacterial overgrowth is the more direct approach for the chief complaint of profuse, life-altering diarrhea. *Vancomycin* - This antibiotic is typically used to treat **Clostridioides difficile infection (CDI)**, especially after recent antibiotic use. - Although the patient recently took antibiotics, the clinical picture of chronic bloating, early satiety over 2 months, and the context of poorly controlled diabetes points more toward SIBO than acute CDI, which typically presents with more acute onset watery diarrhea. *Elimination of dairy from the diet* - Though the patient has switched to fat-free dairy, there is no direct evidence for **lactose intolerance** as the primary cause of his severe diarrhea and other symptoms. - While lactose intolerance can cause bloating and diarrhea, it doesn't explain the full symptom complex, particularly early satiety and vomiting in the context of poorly controlled diabetes. *Better glycemic control* - **Improved glycemic control** is crucial for preventing and managing diabetic complications, including gastroparesis and SIBO in the long term. - However, for acute symptom relief of severe, life-altering diarrhea, a more immediate intervention directed at the likely underlying cause (SIBO) is needed, rather than waiting for improved glycemic control to take effect over weeks to months.
Explanation: ***Plants*** - The rash described (small papules progressing to **blisters with oozing**) and the image depicting **linear or streaky vesicles** are classic for **allergic contact dermatitis**, particularly due to **poison ivy, oak, or sumac**. - These plants contain **urushiol oil**, which causes a delayed type IV hypersensitivity reaction, leading to an intensely itchy, vesicular rash. *Bees* - A bee sting typically causes an immediate, localized reaction with a **wheal and flare**, pain, and swelling at the site of the sting. - It does not usually present as widespread papules and oozing blisters in a linear pattern as seen in the image. *Sun* - Sun exposure can cause **sunburn** (erythema, pain, blistering in severe cases) or **photosensitivity reactions**, which usually affect sun-exposed areas diffusely. - The rash in the image is not typical for a sunburn and lacks the diffuse distribution of most photosensitivity reactions. *Antibiotics* - Dermatological reactions to antibiotics can range from **maculopapular rashes** to severe conditions like **Stevens-Johnson syndrome**. - They typically do not present as an acute, localized, intensely pruritic, vesicular, and oozing rash in a linear pattern. *Gluten* - **Dermatitis herpetiformis**, associated with **celiac disease** (gluten sensitivity), presents with intensely itchy papules and vesicles, often symmetrically distributed on extensor surfaces. - However, the rash in the image appears to be an acute, unilateral, linear eruption, which is not characteristic of dermatitis herpetiformis.
Explanation: ***High serum TSH*** - **Pernicious anemia** (due to anti-intrinsic factor antibodies) is an **autoimmune condition** frequently associated with other autoimmune diseases, particularly **autoimmune thyroiditis**, which would present with elevated TSH. - The combination of **macrocytic anemia** (MCV 111 fL) with **hypersegmented neutrophils** strongly suggests vitamin B12 deficiency, often caused by pernicious anemia. *Cheilosis* - **Cheilosis** is typically associated with **iron deficiency anemia** or **riboflavin deficiency**, not vitamin B12 deficiency or pernicious anemia. - The patient's **macrocytic anemia** points away from iron deficiency. *Bleeding gums* - **Bleeding gums** can be a sign of **vitamin C deficiency** (scurvy) or a bleeding disorder, neither of which is indicated by the provided blood work or clinical picture. - It is not a characteristic finding in pernicious anemia. *Abdominal colic* - **Abdominal colic** can be a symptom of **lead poisoning** or certain gastrointestinal issues, but it is not typically associated with pernicious anemia or vitamin B12 deficiency. - While some GI symptoms can occur with B12 deficiency, severe colic is less common. *Psoriasis* - **Psoriasis** is an autoimmune skin condition that is not specifically linked to pernicious anemia, despite both being autoimmune. - There is no direct causal or common strong associative relationship between the two conditions like there is with pernicious anemia and autoimmune thyroid disease.
Explanation: ***Crystals and white blood cells*** - The patient's symptoms (flank pain, fatigue, headache) and lab findings (elevated urea nitrogen, creatinine, and hyperkalemia) three days after starting IV acyclovir are highly suggestive of **acute kidney injury (AKI)** due to **acyclovir-induced nephrotoxicity**. - **Acyclovir crystal nephropathy** occurs when the drug precipitates in the renal tubules, forming **crystals** that obstruct flow and cause inflammation. The presence of **white blood cells** would indicate this inflammatory response. *Eosinophils and red blood cells* - **Eosinophils** in urine are characteristic of **acute interstitial nephritis (AIN)**, which is typically a hypersensitivity reaction to drugs, but less common with acyclovir than crystal nephropathy and often presents with a rash and fever. - While **red blood cells** might be present in AKI, **eosinophils** are a less likely primary finding for acyclovir nephropathy. *Gram-negative rods and white blood cell casts* - **Gram-negative rods** and **white blood cell casts** indicate an acute **pyelonephritis** (kidney infection). - The clinical picture (no fever, recent acyclovir use, flank pain) is more consistent with drug-induced AKI rather than an ascending urinary tract infection. *Fatty casts and proteinuria* - **Fatty casts** and significant **proteinuria** are hallmarks of **nephrotic syndrome** (e.g., focal segmental glomerulosclerosis, membranous nephropathy). - This patient's presentation with acute kidney injury after acyclovir initiation does not align with the typical features of nephrotic syndrome. *Red blood cell casts and acanthocytes* - **Red blood cell casts** and **acanthocytes** (dysmorphic red blood cells) are characteristic findings in **glomerulonephritis**, indicating glomerular bleeding. - The patient's symptoms and rapid onset of kidney injury after acyclovir are not typical of glomerulonephritis.
Explanation: ***Behcet disease*** - The recurrent episodes of **oral and genital ulcers**, along with **arthralgias**, **malaise**, and **fever**, are characteristic features of **Behcet disease**. - His **Middle Eastern origin (Syria)** is a known predisposing factor for this condition. *Chancroid* - **Chancroid** typically presents with a **single, painful genital ulcer** and often associated **inguinal lymphadenopathy**. - It does not explain the recurrent oral ulcers, diffuse joint pain, malaise, or fever. *Herpes simplex virus infection* - **HSV infection** can cause recurrent oral and genital ulcers, but these are typically **vesicular lesions** that then ulcerate. - While it could cause recurrent ulcers, it does not typically explain the prominent and recurrent **arthralgias, malaise, or fever** in this pattern. *Ankylosing spondylitis* - Primarily affects the **axial skeleton**, causing **inflammatory back pain** and stiffness, particularly in young men. - It is not associated with recurrent oral or genital ulcers. *Systemic lupus erythematosus* - While it can present with **oral ulcers** and **arthralgias**, it typically involves multiple organ systems and is associated with a wide range of other symptoms. - **Genital ulcers** are not a common or characteristic feature of **SLE** in the way they are in Behcet's disease.
Explanation: ***CT scan of the abdomen*** - The patient's **worsening abdominal pain**, **weight loss**, and **smoking history** are highly concerning for a gastrointestinal malignancy, making a CT scan the most appropriate initial diagnostic step to evaluate for a mass or other abdominal pathology. - The presence of **tender palpable masses bilaterally in the lower extremities that track linearly** is suggestive of **superficial thrombophlebitis** (Trousseau sign), which is often a paraneoplastic manifestation of an **abdominal adenocarcinoma**, further increasing the suspicion for an abdominal malignancy that can be visualized on CT. *Colonoscopy* - While **colonoscopy** is essential for diagnosing colorectal cancer, the abdominal pain, weight loss, and especially the **Trousseau sign** suggest a broader abdominal malignancy, which a CT scan can detect more comprehensively before a targeted endoscopic procedure. - A CT scan can help identify the **location and extent** of any potential tumor, guiding subsequent investigations like colonoscopy if a colonic mass is suspected. *Upper GI endoscopy* - **Upper GI endoscopy** is indicated for symptoms localized to the upper gastrointestinal tract, such as dysphagia, acid reflux unresponsive to treatment, or upper GI bleeding. - The patient's symptoms are vague abdominal pain and weight loss, and the **Trousseau sign** points towards a general abdominal malignancy rather than one specifically in the upper GI tract. *Lower extremity ultrasound* - A **lower extremity ultrasound** would be indicated if deep vein thrombosis (DVT) or other vascular abnormalities in the legs were the primary concern. - Although the patient has palpable masses, the context of generalized abdominal symptoms and weight loss suggests these are more likely a **paraneoplastic phenomenon** (Trousseau sign) related to an underlying malignancy rather than isolated vascular clots. *CT scan of the chest* - A **CT scan of the chest** is primarily used to evaluate pulmonary or mediastinal pathology. - While lung cancer can cause weight loss and fatigue, the primary symptom is **abdominal pain**, and the **Trousseau sign** directs attention toward an abdominal malignancy, making an abdominal CT the initial priority.
Explanation: ### ***Esophageal candidiasis*** - **Esophageal candidiasis** is strongly suggested by the patient's **AIDS diagnosis**, **dysphagia**, **odynophagia**, and endoscopic findings of **small white patches** in the esophagus. The microscopic image would likely show yeast, pseudohyphae, and budding cells. - This infection is a common **opportunistic infection** in immunocompromised individuals, particularly those with HIV/AIDS, when CD4 counts are low. ### *Medication-induced esophagitis* - **Medication-induced esophagitis** typically presents with **linear ulcers** or erosions, often at points of narrowing, and can be caused by drugs like tetracyclines, bisphosphonates, or NSAIDs. - The **white patches** seen on endoscopy and the patient's HIV status make Candida infection a more likely cause than medication side effects. ### *Cytomegalovirus esophagitis* - **Cytomegalovirus (CMV) esophagitis** is characterized by **large, shallow, linear ulcers** on endoscopy and would show **intranuclear and intracytoplasmic inclusions** on biopsy. - While CMV esophagitis can occur in AIDS patients, the endoscopic appearance of **white patches** points away from CMV. ### *Eosinophilic esophagitis* - **Eosinophilic esophagitis** is often associated with **atopic conditions** and manifests with **dysphagia**, **food impaction**, and endoscopic findings such as **trachealization** (rings) or **exudates**. - The biopsy would show a high density of **eosinophils**, which is not consistent with the reported microscopic findings for this patient. ### *Herpes esophagitis* - **Herpes esophagitis** typically presents with **multiple, small, deep ulcers** with a characteristic "volcano-like" appearance on endoscopy. - Biopsy would reveal **multinucleated giant cells** and **Cowdry type A intranuclear inclusions**, findings inconsistent with the description of **white patches**.
Explanation: ***Anti-tissue transglutaminase antibodies*** - The patient presents with **foul-smelling, bulky, floating stools** (steatorrhea), **weight loss**, and **osteoporosis** (wrist fracture from minimal trauma), suggesting malabsorption. - The presence of **dermatitis herpetiformis** (**grouped, papulovesicular, pruritic skin lesions**) and **neuropathy** (**hypoesthesia in hands and feet**) in a patient with malabsorption is highly suggestive of **celiac disease**, which is confirmed by anti-transglutaminase antibodies. *Hydrogen breath test* - This test is primarily used to diagnose **lactose intolerance** or **small intestinal bacterial overgrowth (SIBO)**. - While SIBO can cause malabsorption, the constellation of symptoms including dermatitis herpetiformis and neuropathy strongly points away from SIBO as the primary diagnosis. *D-xylose test* - The D-xylose test assesses the **absorptive function of the small intestine**. A low urinary excretion of D-xylose indicates impaired absorption, suggesting mucosal damage. - While it aids in diagnosing malabsorption, it is not specific for celiac disease and does not provide an etiological diagnosis. It would not be the "most useful" initial diagnostic step given the highly suggestive specific symptoms. *Urine levels 5-hydroxyindoleacetic acid* - **Elevated urine 5-HIAA** is a diagnostic marker for **carcinoid tumors**, which can cause diarrhea. - However, the patient's presentation with malabsorption, dermatitis herpetiformis, and neuropathy is not consistent with carcinoid syndrome. *Anti-Saccharomyces cerevisiae antibodies (ASCAs)* - ASCAs are serological markers primarily used in the diagnosis and differentiation of **inflammatory bowel disease (IBD)**, particularly Crohn's disease. - The patient's symptoms are more indicative of malabsorption syndrome rather than IBD.
Explanation: ***Hydronephrosis*** - The symptoms of **urinary frequency, nocturia, and incomplete emptying** coupled with a **large, symmetric, firm, smooth prostate** are classic for **Benign Prostatic Hyperplasia (BPH)**. - As BPH obstructs the urethra, the bladder works harder, and over time, the increased pressure can lead to **urine reflux** into the ureters and kidneys, causing **hydronephrosis** (swelling of the kidneys due to urine buildup) and potentially **renal damage**. *Renal cancer* - **Renal cancer** is not a direct complication of BPH; its development is typically insidious and not causally linked to bladder outlet obstruction. - Risk factors for renal cancer include smoking, obesity, and hypertension, which are not mentioned here as present or directly related to BPH. *Prostatitis* - **Prostatitis** is an inflammation of the prostate gland, often presenting with pain, fever, and dysuria, which are not described in this patient's presentation. - While BPH can increase the risk of urinary tract infections, it does not directly cause prostatitis. *Prostate cancer* - While both BPH and **prostate cancer** affect the prostate, they are distinct conditions; BPH does not *transform* into prostate cancer. - **Prostate cancer** often presents with an **asymmetric, hard, nodular prostate** on examination, which is different from the described smooth, firm enlargement of BPH. *Bladder cancer* - **Bladder cancer** is not a direct complication of BPH, though chronic irritation from urinary stasis could theoretically increase risk, it's not a primary or direct complication. - The most common symptom of bladder cancer is **painless hematuria**, which is not reported in this patient.
Explanation: ***Correct: Cerebral toxoplasmosis*** - The combination of **multiple ring-enhancing lesions** in the basal ganglia and subcortical white matter, severe **immunocompromise (CD4+ count <100 cells/μL)**, and neurological symptoms like seizures in an HIV-positive patient is highly suggestive of cerebral toxoplasmosis. - Toxoplasmosis is the **most common cause of focal brain lesions** in HIV-infected patients, particularly when the CD4+ count is severely low. *Incorrect: Primary CNS lymphoma* - While primary CNS lymphoma also presents with **ring-enhancing lesions** and can occur in HIV-positive patients, it typically presents as a **single lesion or periventricular lesions**, rather than multiple basal ganglia lesions. - It would be considered if toxoplasmosis treatment failed or if there was no response to antitoxoplasma therapy. *Incorrect: HIV encephalopathy* - This condition presents with **diffuse cerebral atrophy** and **white matter changes** on CT, not distinct ring-enhancing lesions. - It is characterized by **cognitive decline** and motor dysfunction, typically without focal neurological deficits like seizures at onset. *Incorrect: Cryptococcal encephalitis* - Cryptococcal encephalitis usually presents with **meningeal symptoms** and **diffuse leptomeningeal enhancement** or hydrocephalus on imaging, rather than discrete ring-enhancing lesions in the basal ganglia. - A **positive India ink stain** or cryptococcal antigen in CSF would be expected, which was negative in this case. *Incorrect: Progressive multifocal leukoencephalopathy* - This is caused by the **JC virus** and presents with **non-enhancing white matter lesions** that do not typically show mass effect or ring enhancement. - It usually manifests as **subacute neurological deficits** such as hemiparesis or cognitive changes, rather than acute seizures from a mass lesion.
Explanation: ***Increase fluid intake*** - **Increased fluid intake** (goal >2.5 L/day) is the **single most important intervention** for preventing all types of kidney stones, including calcium oxalate stones. - Adequate hydration **dilutes urinary solutes** (calcium, oxalate, uric acid), reducing supersaturation and crystallization. - This is the **primary recommendation** by the American Urological Association and forms the foundation of stone prevention strategies. - While this patient has dietary risk factors, **hydration is universally the first-line intervention** regardless of stone composition or dietary habits. *Decrease protein intake* - High animal protein intake does increase urinary calcium, oxalate, and uric acid excretion while decreasing citrate, which promotes stone formation. - While reducing protein is beneficial, it is a **secondary dietary modification** after ensuring adequate hydration. - This would be appropriate counseling **in addition to** increasing fluids, not instead of it. *Reduce sodium intake* - High sodium intake increases urinary calcium excretion, contributing to stone risk. - Sodium restriction is a valuable **adjunctive measure** but is not the primary intervention. - Like protein reduction, this is best implemented alongside adequate hydration. *Decrease yogurt intake* - This is **incorrect advice** - adequate dietary calcium (800-1200 mg/day) is actually **protective** against calcium oxalate stones. - Dietary calcium binds oxalate in the gut, **preventing oxalate absorption** and reducing urinary oxalate. - **Restricting calcium** paradoxically increases stone risk by increasing oxalate absorption. *Increase electrolytes* - This is too **vague and nonspecific** to be actionable medical advice. - While certain electrolytes like potassium citrate may be prescribed as medical therapy, "increasing electrolytes" without specification is not a standard prevention strategy.
Explanation: ***Radioactive iodine ablation*** - **Radioactive iodine ablation** is the most definitive treatment for **Graves' disease**, leading to destruction of the overactive thyroid tissue and consequently the lowest recurrence rate. - While it may result in **hypothyroidism**, this is generally manageable with lifelong **thyroid hormone replacement**. *Subtotal thyroidectomy* - **Subtotal thyroidectomy** involves surgical removal of part of the thyroid, which can also be effective but carries risks such as **anesthesia complications**, **hypoparathyroidism**, and **recurrent laryngeal nerve damage**. - Recurrence rates with surgery can be higher than with radioactive iodine, as some thyroid tissue remains. *Propranolol* - **Propranolol** is a **beta-blocker** used to manage the **symptomatic effects** of hyperthyroidism, such as palpitations, tremor, and anxiety. - It does not address the underlying overproduction of thyroid hormones and therefore has no impact on disease recurrence. *Potassium iodide* - **Potassium iodide** is typically used in the **short term** to block thyroid hormone release, particularly in preparation for thyroidectomy or during a **thyroid storm**. - It is not a long-term treatment for **Graves' disease** and does not prevent recurrence. *Methimazole* - **Methimazole** is an **antithyroid medication** that reduces thyroid hormone synthesis by inhibiting **thyroid peroxidase**. - While effective for controlling hyperthyroidism, relapse rates after discontinuing antithyroid medications are significant (up to 50-60%), making it less effective in preventing recurrence compared to definitive treatments.
Explanation: ***Diffuse inflammatory alveolar damage*** - This patient presents with **acute respiratory distress syndrome (ARDS)** characterized by **acute hypoxemic respiratory failure**, **bilateral pulmonary infiltrates**, and **absence of cardiogenic causes** (normal echocardiogram, no JVD). - The **histopathologic hallmark of ARDS** is **diffuse alveolar damage** with inflammation, hyaline membrane formation, and increased alveolar-capillary permeability leading to non-cardiogenic pulmonary edema. - Risk factors include **major surgery**, **sepsis** (fever, leukocytosis), **massive transfusion**, and **shock**, all present in this patient. - The severe hypoxemia (PaO2 41 mmHg, A-a gradient >350) and bilateral crackles support diffuse inflammatory lung injury. *Formation of anti-leukocyte antibodies* - This describes the mechanism of **transfusion-related acute lung injury (TRALI)**, which should be considered given recent transfusion of multiple blood products. - **TRALI typically occurs within 6 hours** of transfusion, whereas this patient developed symptoms **4 days post-operatively**, making this timing less consistent. - While TRALI is a form of ARDS, it ultimately causes lung injury through the same pathway: **diffuse inflammatory alveolar damage** (the correct answer). - The question asks for the pathophysiologic "cause," making diffuse alveolar damage the more fundamental answer than the upstream trigger. *Increased left atrial pressures* - This would indicate **cardiogenic pulmonary edema** from left heart failure or mitral valve disease. - **Excluded by normal left ventricular function** on echocardiography and **absence of JVD** or peripheral edema. - Cardiogenic edema typically shows different radiographic patterns than ARDS. *Acute occlusion of a pulmonary artery* - **Pulmonary embolism** can cause hypoxemia but typically presents with **sudden dyspnea**, **pleuritic chest pain**, and **clear lung fields** on auscultation. - The **bilateral crackles** and diffuse infiltrates are not typical of PE. - Recent surgery increases PE risk, but the clinical picture is more consistent with ARDS. *Decreased chest wall compliance* - This refers to **restrictive lung disease** from chest wall abnormalities, obesity, or pleural disease. - Does not explain the **acute onset**, **fever**, **bilateral crackles**, or **severe hypoxemia** with normal A-a gradient that would be expected. - The primary problem here is **alveolar filling and inflammation**, not chest wall mechanics.
Explanation: ***Therapy with oral fluconazole*** - The patient's symptoms of **dysphagia**, **odynophagia**, and the presence of **scrapable white plaques** in the oral cavity, which are consistent with **oral candidiasis (thrush)**. Given her positive HIV status, this infection suggests a compromised immune system. - **Fluconazole** is the first-line systemic antifungal treatment for esophageal candidiasis, and its effectiveness as an initial therapy is generally preferred over invasive diagnostics if empiric treatment is successful. *Therapy with IV ganciclovir* - **Ganciclovir** is typically used to treat **cytomegalovirus (CMV) infections**, not Candida. While CMV esophagitis can occur in immunocompromised patients, the oral white plaques are more indicative of candidiasis. - CMV esophagitis would usually present with larger ulcers on endoscopy rather than the diffuse white plaques seen with Candida. *Therapy with nystatin mouthwash* - **Nystatin mouthwash** is a topical antifungal effective for **mild oral candidiasis (thrush)** that is confined to the oral cavity. - The patient's complaint of food getting "stuck in her throat" suggests **esophageal involvement**, which requires systemic antifungal treatment. *Therapy with oral azithromycin* - **Azithromycin** is a **macrolide antibiotic** used to treat bacterial infections, not fungal infections like candidiasis. - Prescribing an antibiotic for a suspected fungal infection would be ineffective and inappropriate. *Esophagogastroduodenoscopy* - While an **esophagogastroduodenoscopy (EGD)** could confirm esophageal candidiasis, it is generally reserved for cases where empiric antifungal therapy fails, or if there is uncertainty about the diagnosis. - Given the classic presentation of oral thrush with associated dysphagia in an HIV-positive patient, **empiric treatment with fluconazole** is the most appropriate initial step.
Explanation: ***DIP joint swelling*** - **Reactive arthritis** typically involves the **large joints** of the lower extremities in an asymmetric pattern, such as the knees and ankles, but spares the **distal interphalangeal (DIP) joints**. - The patient's history of recent gastroenteritis, subsequent arthritis, and conjunctivitis are classic features of reactive arthritis (formerly Reiter's syndrome), which is a form of **seronegative spondyloarthropathy**. *Circinate balanitis* - **Circinate balanitis** is a painless, shallow ulceration of the glans penis that is a characteristic **mucocutaneous manifestation** of reactive arthritis. - This condition occurs in a significant number of male patients with **HLA-B27 positive** reactive arthritis. *Genital ulcers* - **Genital ulcers** are possible cutaneous manifestations of reactive arthritis. - These can present along with other skin findings such as **keratoderma blennorrhagicum** (pustular psoriasis-like lesions) and circinate balanitis. *Urethritis* - **Urethritis** is a common component of the classic triad of symptoms in reactive arthritis ("can't pee, can't see, can't climb a tree"). - It manifests as **dysuria, urinary frequency**, or penile discharge, often following a gastrointestinal or genitourinary infection. *Skin rash* - A skin rash, particularly **keratoderma blennorrhagicum**, which resembles pustular psoriasis, is a known *cutaneous manifestation* of reactive arthritis. - Lesions typically appear on the **palms and soles**, but can also affect the trunk and scalp.
Explanation: ***Incomplete bladder emptying*** - The patient's long-standing, poorly controlled type 2 diabetes (HbA1C 11%, non-adherence to insulin) predisposes her to **diabetic autonomic neuropathy**, which can manifest as **neurogenic bladder dysfunction**. - Symptoms like **tingling in the feet**, **retinopathy**, and **orthostatic hypotension** (blood pressure change from sitting to standing) are all signs of widespread diabetic complications, including autonomic involvement affecting bladder control. *Resting bradycardia* - **Diabetic autonomic neuropathy** often causes **cardiovascular autonomic neuropathy**, which typically manifests as **tachycardia at rest** and a fixed heart rate. - Resting bradycardia is less common and would suggest other causes separate from typical diabetic autonomic neuropathy. *Increased lower esophageal sphincter pressure* - Diabetic autonomic neuropathy often leads to **gastroparesis** and **esophageal dysmotility**, characterized by **reduced esophageal motility** and **decreased lower esophageal sphincter (LES) pressure**, not increased pressure. - Decreased LES pressure can contribute to symptoms like **dysphagia** and **GERD** in diabetic patients. *Dilated pupils* - **Diabetic autonomic neuropathy** can affect the pupillary reflexes, leading to **poor pupillary constriction** and a **fixed pupil** that is actually smaller in diameter and reacts sluggishly to light, rather than a dilated pupil. - Dilated pupils are typically seen in other conditions and are not characteristic of diabetic neuropathy. *Hyperreflexia* - **Diabetic peripheral neuropathy** typically involves damage to sensory and motor nerves, leading to **diminished or absent deep tendon reflexes (hyporeflexia)**, especially in the ankle. - Hyperreflexia is more characteristic of **upper motor neuron lesions**, not the peripheral nerve damage seen in diabetic neuropathy.
Explanation: ***Abnormal esophageal manometry*** - The barium swallow image shows a **"corkscrew" or "rosary bead" esophagus**, which is characteristic of **diffuse esophageal spasm**. - **Esophageal manometry** is the gold standard for diagnosing motility disorders like diffuse esophageal spasm, revealing uncoordinated, high-amplitude, and premature contractions. *Abnormal electrocardiogram* - While chest pain can be cardiac, the description of pain **radiating to the back, ears, and neck**, combined with the barium swallow findings, points away from primary cardiac ischemia. - The absence of **dyspnea on exertion** further reduces the likelihood of acute cardiac pathology being the primary cause. *Abnormal pulmonary function tests* - The patient's symptoms are related to chest pain and strongly suggest an esophageal issue, not a pulmonary one. - There is no mention of **shortness of breath** or other respiratory symptoms that would point towards a pulmonary problem. *Abnormal esophageal biopsy* - An esophageal biopsy is used to diagnose conditions involving **mucosal abnormalities** (e.g., esophagitis, Barrett's esophagus, esophageal cancer). - Diffuse esophageal spasm is a **motility disorder**, affecting smooth muscle function, and typically does not involve mucosal changes identifiable by biopsy. *Abnormal coronary angiogram* - Although chest pain can be cardiac in origin, the **spontaneous nature of the pain** (not exertional) and the **radiating pattern** are less typical for angina. - The **barium swallow findings** provide strong evidence for an esophageal etiology, making a primary coronary issue less likely to be the direct cause of these specific symptoms.
Explanation: **PTH ↑, Ca ↓, phosphate ↑, calcitriol ↓** - The patient's **stage 4 chronic kidney disease (CKD)** leads to impaired phosphate excretion and decreased 1-alpha-hydroxylase activity in the kidneys. This results in **hyperphosphatemia** and reduced production of **calcitriol** (active vitamin D). - Low calcitriol levels and elevated phosphate directly contribute to **hypocalcemia**. The persistent hypocalcemia then stimulates the parathyroid glands to increase **parathyroid hormone (PTH)** secretion in an attempt to normalize serum calcium, leading to secondary hyperparathyroidism. *PTH no change, Ca no change, phosphate no change, calcitriol no change* - This option suggests no changes in these parameters, which is inconsistent with the significant metabolic derangements expected in **stage 4 CKD**. - **CKD** inherently impacts mineral and bone metabolism, making it highly improbable for these values to remain normal in an affected individual. *PTH ↑, Ca ↑, phosphate ↓, calcitriol ↓* - While **calcitriol** would be decreased and **PTH** increased in CKD, the combination of **hypercalcemia (Ca ↑)** and **hypophosphatemia (phosphate ↓)** is inconsistent with the pathophysiology of CKD. - In CKD, impaired phosphate excretion typically leads to elevated phosphate, and low calcitriol contributes to hypocalcemia, not hypercalcemia. *PTH ↓, Ca ↑, phosphate ↑, calcitriol ↑* - This option presents a pattern more indicative of **primary hyperparathyroidism** (high PTH, high calcium) or conditions with vitamin D toxicity (high calcitriol), neither of which aligns with stage 4 CKD. - In CKD, the body struggles to produce calcitriol, and while phosphate is usually elevated, PTH is typically increased, not decreased. *PTH ↓, Ca ↓, phosphate ↑, calcitriol ↓* - Although **hypocalcemia (Ca ↓)**, **hyperphosphatemia (phosphate ↑)**, and **low calcitriol (calcitriol ↓)** are consistent with CKD, **decreased PTH (PTH ↓)** contradicts the characteristic secondary hyperparathyroidism seen in CKD. - The low calcium and high phosphate in CKD would stimulate, not suppress, PTH secretion.
Explanation: ***Gastrointestinal endoscopy*** - This patient has **iron deficiency anemia** (low ferritin 4 μg/L, low serum iron 30 μg/dL, high TIBC 450 μg/dL, microcytic hypochromic RBCs with MCV 75 μm³) requiring investigation of the underlying cause - In a **postmenopausal woman**, iron deficiency anemia is **GI blood loss until proven otherwise** since menstrual blood loss is no longer a factor - **Chronic NSAID use (ibuprofen)** significantly increases risk of **peptic ulcer disease, gastritis, and erosive gastropathy**, making upper endoscopy essential - **Bidirectional endoscopy** (both upper endoscopy and colonoscopy) is recommended to evaluate for both upper GI lesions and **colorectal malignancy**, which is a critical consideration in this age group - The elevated reticulocyte count (9%) indicates appropriate bone marrow response to anemia, supporting a blood loss etiology *JAK2 mutation* - JAK2 mutations are associated with **myeloproliferative neoplasms** (polycythemia vera, essential thrombocythemia, primary myelofibrosis) - These conditions typically present with **elevated** cell counts (erythrocytosis, thrombocytosis), not anemia - The patient's **iron deficiency profile** with low ferritin and high TIBC is inconsistent with myeloproliferative disorders - Thrombocytosis (520,000/mm³) here is **reactive** due to iron deficiency, not a primary disorder *Bone marrow aspiration* - Bone marrow examination is **not first-line** for evaluating iron deficiency anemia when clinical and laboratory findings clearly indicate iron deficiency - This invasive procedure would be considered if the diagnosis is unclear, if there are cytopenias suggesting bone marrow failure, or if iron deficiency anemia persists despite appropriate treatment and no GI source is found - The patient's laboratory findings already confirm iron deficiency; identifying the **source of blood loss** takes priority *Hemoglobin electrophoresis* - Hemoglobin electrophoresis diagnoses **hemoglobinopathies** such as thalassemia trait or sickle cell disease - While thalassemia trait can cause microcytic anemia, it does **not** cause iron deficiency (normal or elevated ferritin) - This patient's **classic iron studies** (low ferritin, low iron, high TIBC) definitively indicate **iron deficiency anemia**, not hemoglobinopathy - Thalassemia trait would show microcytosis disproportionate to the degree of anemia and would not respond to iron supplementation *No further testing is indicated* - This patient has **severe anemia** (Hb 7.5 g/dL) with significant symptoms (weakness, dyspnea on exertion) requiring investigation - In a postmenopausal woman, iron deficiency anemia is a **red flag for GI malignancy**, particularly colorectal cancer - Failure to investigate could lead to **missed diagnosis** of a treatable but potentially life-threatening condition - The combination of chronic NSAID use and unexplained iron deficiency mandates endoscopic evaluation
Explanation: ***PPD skin test*** - The patient's symptoms are highly suggestive of **ankylosing spondylitis** (back pain, morning stiffness, reduced lumbar flexion, sacroiliac tenderness, improvement with activity implied by morning stiffness improving throughout the day), for which **biologic therapy (e.g., TNF-α inhibitors)** is often used if NSAIDs fail. - Before initiating biologics, screening for **latent tuberculosis with a PPD skin test** or interferon-gamma release assay (IGRA) is crucial, as these medications can reactivate TB. *Discontinue allopurinol* - The patient has a history of **recurrent gout attacks**, and allopurinol is indicated for chronic gout management to **reduce uric acid levels**. - There is no clinical information suggesting an adverse reaction to allopurinol or that discontinuing it would address his axial spondyloarthritis. *Creatinine measurement* - While important for monitoring **renal function**, especially with NSAID use, there is no specific indication in the prompt (e.g., new medication or worsening renal symptoms) for it to be the *most appropriate next immediate step* before considering advanced spondyloarthritis treatment. - **Indomethacin** is a non-steroidal anti-inflammatory drug (NSAID) which can affect kidney function, but routine monitoring without specific concern is not the highest priority given the treatment pathway. *Liver function test* - Liver function tests are important for monitoring potential adverse effects of certain medications, including some biologics and disease-modifying antirheumatic drugs (DMARDs), but not specifically for the initial management plan presented or before starting biologics in this sequence. - There is no information suggesting **liver dysfunction** or a need for immediate liver function assessment as the most appropriate next step in decision-making. *Pulmonary function test* - **Pulmonary involvement** (e.g., restrictive lung disease due to chest wall involvement, apical fibrosis) can occur in long-standing ankylosing spondylitis, but it is not a primary screening tool *before initiating biologic therapy*. - Assessing pulmonary function would be more relevant if the patient had **respiratory symptoms** or significant chest wall restriction noted on physical exam.
Explanation: ***Refer for an outpatient colonoscopy*** - *Streptococcus gallolyticus* (formerly *Streptococcus bovis* biotype I and II) is strongly associated with **colorectal carcinoma** and other **gastrointestinal pathologies**. - Given the patient's age and the presence of *S. gallolyticus* endocarditis, a **colonoscopy** is essential to screen for underlying colorectal malignancy. *Refer for an outpatient upper GI endoscopy* - While *S. gallolyticus* can be linked to gastrointestinal issues, its association is predominantly with **colonic lesions**, not typically upper GI lesions. - An upper GI endoscopy would be less targeted and therefore not the *best next step* compared to colonoscopy in this specific scenario. *Prepare and schedule valve replacement surgery* - The patient has shown **rapid clinical improvement** with antibiotic therapy, suggesting that the infection is responding well to treatment. - Valve replacement surgery is typically reserved for cases with **severe heart failure**, large vegetations with embolic risk, or failure of medical therapy, none of which are described here. *Perform a transthoracic echocardiogram* - A **transesophageal echocardiogram (TEE)** has already confirmed vegetations on the mitral valve, which is a more sensitive and specific test for endocarditis than a transthoracic echocardiogram (TTE). - Repeating a less sensitive imaging study would not add significant diagnostic value at this stage, especially given the clinical improvement. *Repeat the transesophageal echocardiography* - The initial TEE confirmed the diagnosis and the presence of vegetations; repeating it immediately post-treatment completion is usually performed to ensure clearance, but the **most urgent next step** is to address the underlying cause of the *S. gallolyticus* infection. - While follow-up imaging is important, evaluating for **colorectal malignancy** takes precedence due to the strong association with this specific organism.
Explanation: ***Recurring eye redness and pain*** - The patient's presentation with **chronic low back pain** that improves with activity, **morning stiffness**, and **sacroiliac joint involvement** (erosions and sclerosis) is highly suggestive of **ankylosing spondylitis**. - **Ankylosing spondylitis** is a systemic inflammatory disease often associated with **extra-articular manifestations**, including **acute anterior uveitis** (presenting as recurring eye redness and pain) in up to 40% of patients. *Urinary and fecal incontinence* - While **urinary and fecal incontinence** can occur with severe spinal cord compression or cauda equina syndrome, there is **no evidence of neurological deficits** beyond the localized pain and limited range of motion. - These symptoms are not typical extra-articular manifestations of ankylosing spondylitis and would suggest a more acute and severe neurological emergency. *Recent episode of urethritis* - A **recent episode of urethritis** is a common trigger for **reactive arthritis**, another type of spondyloarthritis. - Although reactive arthritis shares some features with ankylosing spondylitis, the chronic nature of the patient's back pain and specific imaging findings (erosions, sclerosis of SI joints) without mention of other reactive arthritis symptoms (e.g., conjunctivitis, mucocutaneous lesions) make ankylosing spondylitis a more fitting diagnosis. *Constipation and muscle weakness* - **Constipation** and **muscle weakness** are non-specific symptoms that can be associated with a wide variety of conditions, including metabolic disturbances or neurological disorders. - They are not typical or specific extra-articular manifestations of ankylosing spondylitis. *Foot drop and difficulty heel walking* - **Foot drop** and **difficulty heel walking** indicate **L5 radiculopathy** or peroneal nerve palsy, which can result from disc herniation or nerve compression. - While spinal issues can cause these, they are more associated with compressive neuropathies originating from a specific spinal level rather than a systemic inflammatory condition like ankylosing spondylitis.
Explanation: ***Acute tubular necrosis*** - The combination of **decreased urinary output** despite fluid resuscitation, elevated **creatinine (3.9 mg/dL)**, and **brown granular casts** on urinalysis strongly suggests acute tubular necrosis (ATN). - Risk factors for ATN are present, including **hypoperfusion during splenectomy**, likely contributing to **ischemic injury** to the renal tubules, and the patient's underlying **diabetes mellitus**. *Focal segmental glomerulosclerosis* - This is a form of **chronic kidney disease** typically presenting with **proteinuria** and **nephrotic syndrome**, not acute kidney injury with brown granular casts. - It would not explain the rapid onset of renal failure two days post-surgery with signs of tubular damage. *Rhabdomyolysis* - Rhabdomyolysis is characterized by **muscle breakdown with myoglobin release**, causing acute kidney injury that can present with elevated creatinine kinase, myoglobinuria (tea-colored urine), and hyperkalemia. - While trauma occurred, there is no evidence of **significant muscle injury**, markedly elevated CK, or myoglobinuria; the primary cause here is **ischemic ATN** from perioperative hypoperfusion. *Acute renal infarction* - An acute renal infarction typically presents with **sudden flank pain**, hematuria, and a rise in creatinine. - Urinalysis in renal infarction usually shows **red blood cells** and protein, but less commonly brown granular casts, which are characteristic of ATN. *Rapidly progressive glomerulonephritis* - This condition is characterized by **rapid decline in glomerular function**, often with features like hematuria, red blood cell casts, and severe proteinuria due to inflammation of the glomeruli. - While it causes acute kidney injury, the presence of **brown granular casts** points more specifically to tubular damage as seen in ATN, rather than primary glomerular inflammation.
Explanation: ***Secretory diarrhea*** - The patient exhibits symptoms of severe dehydration (low blood pressure 80/50 mm Hg, heart rate 105/min, dry mucous membranes) and copious, watery diarrhea, characteristic of **secretory diarrhea**. - This results from active secretion of water and electrolytes into the bowel lumen, often caused by bacterial toxins like those from **Vibrio cholerae** (common in endemic areas like Thailand). - Key feature: **Persists with fasting** and produces large-volume (>1 L/day), watery stools without blood or mucus. - The severe dehydration and hemodynamic compromise (hypotension, tachycardia) are classic for cholera-like illness. *Osmotic diarrhea* - This type is caused by the presence of **non-absorbable solutes** in the GI tract (e.g., lactose intolerance, laxatives, malabsorption), drawing water into the lumen. - Key differentiating feature: **Stops with fasting** as the osmotic agent is removed. - The patient's severe dehydration, large volume, and the fact that diarrhea persists despite likely reduced oral intake point away from osmotic causes. *Steatorrhea* - **Steatorrhea** is characterized by bulky, greasy, foul-smelling, fatty stools that float, indicating **fat malabsorption** (pancreatic insufficiency, celiac disease). - The description of "copious and watery" stools does not align with the typical oily, sticky appearance of steatorrhea. *Invasive diarrhea* - **Invasive (inflammatory) diarrhea** is caused by pathogens that invade the intestinal mucosa (Shigella, Salmonella, Campylobacter, EHEC), causing mucosal damage. - Typically presents with **bloody or mucoid stools**, high fever, severe abdominal pain, and tenesmus. - The patient's watery (non-bloody) diarrhea and minimal fever (37.7°C) make invasive diarrhea unlikely. *Motility diarrhea* - **Motility diarrhea** results from disorders of gut motility (IBS, hyperthyroidism, post-vagotomy), leading to rapid transit of intestinal contents. - While it can produce watery stools, the **massive volume** and **severe dehydrating nature** of this presentation are more consistent with active toxin-mediated secretion rather than simply altered transit time.
Explanation: **Pernicious anemia** * The patient's presentation with **macrocytic anemia**, **hypersegmented neutrophils**, and **fatigue** is highly suggestive of **pernicious anemia**, caused by **vitamin B12 deficiency**. The history of **Hashimoto's thyroiditis** and a family history of **systemic lupus erythematosus** point towards an **autoimmune predisposition**. * **Thin and smooth gastric mucosa without rugae** observed on endoscopy is characteristic of **atrophic gastritis**, which often accompanies pernicious anemia due to the autoimmune destruction of **parietal cells** that produce **intrinsic factor**. * *Lead poisoning* * **Lead poisoning** typically causes **microcytic hypochromic anemia** with **basophilic stippling**, not macrocytic anemia and hypersegmented neutrophils. * While the patient lives in an old house (built in 1945), suggesting potential for lead exposure, her hematological findings do not align with lead toxicity. * *Glucose-6-phosphate dehydrogenase deficiency (G6PD deficiency)* * **G6PD deficiency** leads to **hemolytic anemia** (often acutely triggered by certain medications or foods) and typically presents with **normocytic or microcytic anemia**, not macrocytic anemia. * The absence of acute hemolytic symptoms and the presence of hypersegmented neutrophils rule out G6PD deficiency. * *Anemia due to chronic alcoholism* * **Chronic alcoholism** can cause **macrocytic anemia** due to **folate deficiency** or direct toxic effects on bone marrow, but it's typically associated with a history of significant alcohol consumption. * This patient "occasionally drinks alcohol," making chronic alcoholism an unlikely primary cause for her severe symptoms and specific endoscopic findings. * *Helicobacter pylori gastritis* * **_Helicobacter pylori_ gastritis** can cause **iron deficiency anemia** (microcytic) due to chronic blood loss or decreased iron absorption, and sometimes **B12 deficiency** through malabsorption. * However, it does not directly lead to the characteristic **atrophic gastritis without rugae** described, nor is it the most direct cause of pernicious anemia.
Explanation: ***Omeprazole*** - The patient's symptoms of **heartburn** and **epigastric pain**, worsening after meals and when supine, are classic for **Gastroesophageal Reflux Disease (GERD)**. A trial of a **proton pump inhibitor (PPI)** like omeprazole is the initial treatment of choice for typical GERD symptoms. - The absence of **alarm symptoms** such as dysphagia, odynophagia, weight loss, or gastrointestinal bleeding allows for empirical PPI therapy without immediate endoscopy. *Famotidine* - Famotidine is a **histamine-2 receptor antagonist (H2RA)**, which is generally less potent than a PPI in suppressing acid production. - While it can be used for GERD, **PPIs are more effective** for moderate to severe symptoms and in patients who fail to respond to lifestyle modifications. *24-hour pH monitoring* - **24-hour pH monitoring** is a diagnostic test typically reserved for patients with persistent, atypical, or refractory GERD symptoms who have failed empirical PPI therapy or when the diagnosis is unclear. - It is not indicated as a first-line diagnostic or management step in a patient with classic GERD symptoms and no alarm features. *Endoscopy* - **Upper endoscopy** is indicated when alarm symptoms (e.g., dysphagia, unexplained weight loss, GI bleeding) are present or if symptoms persist despite a trial of PPIs. - Given the absence of alarm symptoms and the typical presentation of GERD, an empirical trial of PPI is the appropriate initial step. *Metoclopramide* - **Metoclopramide** is a **prokinetic agent** that increases gastric motility and lowers esophageal sphincter pressure. - It is typically used for specific indications like **gastroparesis** or refractory GERD, and its use is limited by potential side effects such as **tardive dyskinesia**. It is not a first-line treatment for uncomplicated GERD.
Explanation: ***Toxoplasmosis*** - The current illness is **Pneumocystis pneumonia (PJP)**, characterized by **fatigue, nonproductive cough, worsening shortness of breath, hypoxemia, diffuse interstitial infiltrates**, and **disc-shaped cysts in bronchoalveolar lavage** in an HIV-positive patient with a **CD4+ count of 67/mm³** (severely immunocompromised). - The standard treatment and prophylaxis for PJP is **trimethoprim-sulfamethoxazole (TMP-SMX)**, which is initiated when CD4+ counts fall below **200 cells/mm³**. - **TMP-SMX prophylaxis also prevents toxoplasmosis** (Toxoplasma gondii encephalitis), which is indicated when CD4+ counts are **<100 cells/mm³** and the patient has **positive Toxoplasma serology**. This represents a **dual prophylaxis benefit** of TMP-SMX in HIV patients. - TMP-SMX is the **preferred agent for preventing both PJP and cerebral toxoplasmosis**, making it highly cost-effective in HIV management. *Mycobacterium avium complex infection* - **Macrolide antibiotics (azithromycin or clarithromycin)** are used for prophylaxis against **Mycobacterium avium complex (MAC) infection** in HIV patients with CD4+ counts **<50 cells/mm³**. - **TMP-SMX has no activity against MAC** and does not provide prophylaxis for this infection. - MAC typically presents as disseminated disease with fever, night sweats, weight loss, and anemia. *Cryptosporidiosis* - **Cryptosporidium parvum** causes severe watery diarrhea in immunocompromised patients. - There is **no effective chemoprophylaxis** for cryptosporidiosis; treatment options include **nitazoxanide** or **paromomycin**, but these are not used for prevention. - **TMP-SMX does not prevent cryptosporidiosis**. *Candidiasis* - **Fluconazole** is the agent used for prophylaxis against oropharyngeal and esophageal **candidiasis** in severely immunocompromised HIV patients. - **TMP-SMX is an antibacterial/antiprotozoal agent** and has **no antifungal activity** against Candida species. - TMP-SMX does not prevent candidiasis. *Cytomegalovirus end-organ disease* - Prophylaxis for **cytomegalovirus (CMV) end-organ disease** (retinitis, colitis, esophagitis) requires **ganciclovir, valganciclovir, or foscarnet** in high-risk HIV patients. - **TMP-SMX provides no protection against CMV infection**. - CMV prophylaxis is typically considered when CD4+ counts are **<50 cells/mm³**.
Explanation: ***Gastroesophageal endoscopy*** - Endoscopy is crucial to **rule out malignancy** in patients with new-onset dysphagia, especially given her age, significant **weight loss**, and **smoking history**. - It allows for direct visualization of the esophagus and stomach, and **biopsies** can be taken if any suspicious lesions are found. *Myotomy with fundoplication* - This is a **surgical treatment** for achalasia, typically reserved after a diagnosis has been confirmed and other causes of dysphagia have been ruled out. - While achalasia is suggested by the manometry findings, further investigation to exclude malignancy is necessary before proceeding with definitive surgical treatment. *CT scan of the chest and abdomen* - A CT scan can assess for extraluminal compression or metastatic disease, but it is **less sensitive for detecting primary esophageal lesions** compared to endoscopy. - Endoscopy provides direct mucosal visualization and biopsy capabilities, making it a more appropriate initial diagnostic step for esophageal pathology. *Nifedipine* - **Nifedipine** is a calcium channel blocker used to relax the lower esophageal sphincter in some cases of achalasia, but it is a **medical treatment**, not a diagnostic step. - Drug therapy would only be considered after a definitive diagnosis of achalasia has been made and malignancy has been excluded. *Giemsa stain of blood smear* - A Giemsa stain of a blood smear is used to identify **Trypanosoma cruzi**, the causative agent of **Chagas disease**, which can lead to secondary achalasia. - While her travel history to the Amazon rainforest raises suspicion for Chagas disease, other more common and potentially life-threatening causes of dysphagia (like malignancy) must be excluded first before pursuing this specific etiologic diagnosis.
Explanation: ***Dietary modification*** - Initial management for **gastroparesis**, especially in patients with **diabetic gastroparesis**, typically involves **dietary adjustments** to alleviate symptoms. - Recommended changes include **frequent small meals**, consuming **low-fat and low-fiber foods**, and **liquid or blended foods** which are easier to digest. *Metoclopramide* - This **prokinetic agent** can be used to stimulate gastric emptying but is generally considered after dietary modifications. - It carries a risk of side effects, including **tardive dyskinesia**, particularly with long-term use. *Erythromycin* - This **macrolide antibiotic** has prokinetic effects due to its action on motilin receptors, but it is typically used for **acute exacerbations** of gastroparesis or in cases resistant to other treatments. - Its long-term use is limited by the development of **tachyphylaxis** and potential for cardiac side effects. *Surgical resection* - **Surgical intervention** is not indicated for the initial management of gastroparesis and is reserved for **rare cases of refractory symptoms** or when there is evidence of mechanical obstruction. - The patient's symptoms are consistent with gastroparesis, not a surgical emergency. *Myotomy* - **Myotomy**, such as pyloromyotomy or gastric electrical stimulation, are **invasive procedures** considered only for severe, **refractory cases** of gastroparesis after medical and dietary interventions have failed. - It is not the initial treatment choice given the patient's presentation.
Explanation: ***Vancomycin therapy*** - The patient presents with **cellulitis with purulent drainage**, suggesting a *Staphylococcus aureus* infection, potentially **methicillin-resistant *S. aureus* (MRSA)**. - Given the systemic symptoms (**fever, chills, nausea**) and risk factors (recent hospitalization, purulent drainage), empiric broad-spectrum antibiotic coverage targeting MRSA with **vancomycin** is the most appropriate initial therapy. *Prednisone therapy* - **Corticosteroids like prednisone** are anti-inflammatory but are not indicated for acute bacterial infections like cellulitis and can worsen outcomes by **suppressing the immune response**. - There is no evidence of an allergic reaction or autoimmune condition that would warrant corticosteroid use in this context. *Dicloxacillin therapy* - **Dicloxacillin** is a penicillinase-resistant penicillin typically used for **methicillin-sensitive *S. aureus* (MSSA)** infections. - Given the purulent nature of the infection and recent hospitalization, there's a higher clinical suspicion for **MRSA**, making dicloxacillin inadequate as initial empiric therapy. *Surgical debridement* - **Surgical debridement** is indicated for severe infections involving **necrotic tissue** (e.g., necrotizing fasciitis) or abscesses that require removal of dead tissue to facilitate healing. - While there is purulent drainage, the lesion is described as "nonfluctuant," suggesting that extensive necrosis or a deep, drainable abscess requiring debridement is not the primary issue at this stage. Immediate antibiotics are the priority. *Incision and drainage* - **Incision and drainage (I&D)** is the primary treatment for **fluctuant abscesses** or boils to relieve pressure and remove infected material. - The patient's lesion is described as "nonfluctuant," indicating that a collection of pus requiring immediate I&D is unlikely, and the infection is more diffuse, consistent with cellulitis.
Explanation: ***Restless leg syndrome*** - This patient has **iron deficiency anemia** due to chronic blood loss from menorrhagia, evidenced by **low hemoglobin**, **microcytic (low MCV, MCH)**, and **low serum ferritin**. **Restless leg syndrome (RLS)** is a common neurological complication of iron deficiency anemia, even in cases of mild iron deficiency without overt anemia. - The exact mechanism is unclear but may involve **iron's role in dopamine synthesis** and function in the brain, with dopamine dysregulation being implicated in RLS symptoms. *Leg ulcers* - **Leg ulcers** are more commonly associated with **sickle cell anemia** or other hemolytic anemias, due to vaso-occlusion and tissue hypoxia, and are not a characteristic feature of iron deficiency anemia. - They can also occur in severe venous insufficiency or peripheral artery disease, which are not suggested by the patient's presentation. *Jaundice* - **Jaundice** indicates **hemolysis** or liver dysfunction, neither of which is consistent with iron deficiency anemia. - Iron deficiency anemia is typically **hypoproliferative**, meaning the bone marrow is not producing enough red blood cells, rather than premature destruction. *Loss of proprioception* - **Loss of proprioception** (along with vibratory sensation) is a hallmark of **vitamin B12 deficiency (pernicious anemia)** due to demyelination of posterior columns of the spinal cord. - This patient presents with microcytic, hypochromic anemia and low ferritin, indicative of iron deficiency, not macrocytic anemia or B12 deficiency. *Bone deformities* - **Bone deformities** are characteristic of chronic, severe anemias where the bone marrow expands to compensate for erythropoiesis, such as **thalassemia major** or severe **sickle cell disease**. - These are not typically seen in iron deficiency anemia, which rarely causes such extreme bone marrow expansion.
Explanation: ***Perform a colonoscopy at the age of 40 and repeat every 5 years*** - For individuals with a **first-degree relative** diagnosed with colorectal cancer before age 60, screening should begin **10 years earlier than the youngest diagnosis in the family, OR at age 40, whichever comes first**. - In this case, 10 years before the father's diagnosis (age 55) would be age 45, but many guidelines recommend starting at **age 40 as a standard minimum** for those with first-degree relative history, making this the most appropriate choice. - Due to the increased risk, the recommended interval for repeat colonoscopy in this high-risk group is typically **every 5 years**, assuming no significant polyps are found. *Perform a colonoscopy at the age of 40 and repeat every 3 years* - While starting at age 40 is appropriate given the family history, repeating every 3 years for a patient with no current symptoms and a single affected first-degree relative is generally **more frequent** than standard guidelines recommend. - A 3-year interval is usually reserved for individuals with **multiple adenomas** found on previous colonoscopy or more significant risk factors such as hereditary cancer syndromes. *Perform a colonoscopy at the age of 50 and repeat every 5 years* - Starting at age 50 is the recommendation for individuals with **average risk** for colorectal cancer, which does not apply to this patient due to his father's early diagnosis (before age 60). - The 5-year repeat interval is sometimes used in high-risk groups, but the **initial screening age** is incorrect for this patient with increased familial risk. *Perform a colonoscopy at the age of 50 and repeat every 10 years* - Starting at age 50 and repeating every 10 years is the standard guideline for **average-risk** individuals who have a normal colonoscopy. - This option does not account for the patient's **increased risk** due to family history, making both the starting age and interval inappropriate. *Perform a colonoscopy now and repeat every 10 years* - Performing a colonoscopy at age 32 is generally **too early** given that guidelines recommend starting 10 years earlier than the youngest affected relative or at age 40, whichever comes first. - A 10-year repeat interval is only appropriate for **average-risk** individuals with a normal initial colonoscopy, not for those with significant family history.
Explanation: ***Duodenal peptic ulcer*** - The patient's symptoms, including **abdominal pain 2-3 hours after meals** and **midnight pain**, are classic for a duodenal ulcer. This pain pattern is due to the buffering effect of food wearing off, allowing acid to irritate the ulcer. - The presence of **conjunctival pallor** and **anemia (Hb% 10 gm/dL)** suggests **chronic blood loss**, which is a common complication of peptic ulcers. *Pancreatitis* - Pancreatitis typically presents with **severe, epigastric pain radiating to the back**, often exacerbated by fatty meals. - Lab findings would usually show **elevated amylase and lipase**, which are not mentioned here. *Acute cholecystitis* - Characterized by **right upper quadrant pain** that is often constant and severe, sometimes radiating to the right shoulder or back. - This condition is usually associated with **fever**, **leukocytosis**, and **Murphy's sign**, which are absent in this presentation. *Gallbladder cancer* - While it can cause abdominal pain and weight loss, the classic cyclical pain pattern linked to meals is not characteristic. - It often presents with **jaundice** in advanced stages, which is not noted in this patient. *Choledocholithiasis* - Typically presents with **biliary colic**, which is episodic, severe right upper quadrant or epigastric pain, often radiating to the back. - It can lead to **obstructive jaundice** and **cholangitis**, symptoms not reported by the patient.
Explanation: ***CT scan of the abdomen*** - This patient presents with **generalized malaise, persistent abdominal pain, significant unintentional weight loss**, and **intermittent diarrhea**, pointing towards a serious underlying condition such as **pancreatic cancer**. - A **CT scan of the abdomen** is the best initial diagnostic test for evaluating the pancreas and surrounding structures for masses, inflammation, or other abnormalities given these alarming symptoms. *Sudan black stain of the stool* - A Sudan black stain is used to detect **fat malabsorption (steatorrhea)**, which might explain the diarrhea. - While steatorrhea can be present, it does not address the primary concern of **weight loss** and **persistent abdominal pain**, which could indicate a mass or malignancy. *Ultrasound of the abdomen* - An ultrasound can be useful for evaluating the liver and gallbladder, especially if **biliary obstruction** is suspected. - However, ultrasound is often limited in its ability to visualize the entire pancreas due to overlying bowel gas and its retroperitoneal location, making it less sensitive for pancreatic masses compared to CT. *Liver function tests including bilirubin levels* - Liver function tests (LFTs) and bilirubin levels help assess liver health and detect **biliary obstruction**, which could be a complication of pancreatic disease. - While important for comprehensive evaluation, LFTs alone do not directly identify the underlying cause of the abdominal pain and weight loss, and they are not the best initial test to look for a mass. *Stool guaiac test and culture* - A stool guaiac test detects **occult blood in the stool**, indicating gastrointestinal bleeding, while a stool culture identifies infectious causes of diarrhea. - Although diarrhea is present, the predominant symptoms of **unexplained weight loss** and **persistent abdominal pain** make a bleeding or infectious cause less likely to be the primary diagnosis; these tests would not identify a solid mass.
Explanation: ***Emergent open cholecystectomy*** - This patient presents with **severe acute cholecystitis** with signs of gangrenous changes: fever (38.8°C), leukocytosis, gallbladder wall thickening (6 mm), pericholecystic fluid, and **sloughing of intraluminal membrane** (indicating necrosis). - The stone obstructing the gallbladder neck and signs of gangrenous cholecystitis require **urgent surgical intervention** to prevent perforation, empyema, or sepsis. - Her comorbidities (diabetes, obesity) further increase the risk of complications from delayed surgery. - **Note on surgical approach:** In current practice, laparoscopic cholecystectomy is typically attempted first even in severe cases, with conversion to open if necessary. Among the given options, this is the only choice representing urgent surgical management, which is the critical decision point. The emphasis here is on **emergent timing** rather than elective delay. *Endoscopic retrograde cholangiopancreatography* - ERCP is indicated for **choledocholithiasis** (common bile duct stones causing obstruction, jaundice, or cholangitis). - This patient has **normal liver function tests** and an **unremarkable common bile duct** on ultrasound, making ERCP unnecessary. *CT scan of the abdomen with contrast* - The bedside ultrasound has already established the diagnosis of severe acute cholecystitis with adequate detail for surgical planning. - CT scan would **delay definitive treatment** without providing additional actionable information in this clear-cut case. *Elective laparoscopic cholecystectomy in 6 weeks* - Delayed elective surgery is appropriate for **uncomplicated symptomatic cholelithiasis** or after conservative management of mild cholecystitis. - This patient has **severe/gangrenous cholecystitis** with high risk of perforation or sepsis, requiring immediate intervention, not delayed surgery. *Antibiotic therapy* - Antibiotics are an important **adjunct** in managing acute cholecystitis to prevent septic complications and should be initiated. - However, antibiotics alone are **not definitive treatment** for obstructive cholecystitis; the inflamed gallbladder must be removed surgically.
Explanation: ***Malabsorption*** - The patient's presentation of **pruritic, clustered vesicular lesions** on the elbows and knees is highly characteristic of **dermatitis herpetiformis**. - Dermatitis herpetiformis is strongly associated with **celiac disease**, an autoimmune condition leading to **malabsorption** due to gluten-induced damage to the small intestinal villi. *Acanthosis nigricans* - This condition presents as **dark, velvety patches of skin**, typically in body folds like the neck and armpits, and is not characterized by vesicular lesions. - It is frequently associated with **insulin resistance**, obesity, and certain malignancies (e.g., gastric adenocarcinoma), not primarily with gluten sensitivity. *Transmural inflammation of the colon* - **Transmural inflammation of the colon** is a hallmark of **Crohn's disease**, a type of inflammatory bowel disease. - While celiac disease and other autoimmune conditions can coexist, the skin lesions described (dermatitis herpetiformis) are not a primary manifestation of Crohn's disease. *Double bubble on X-ray* - The **"double bubble" sign on X-ray** is indicative of **duodenal obstruction**, typically seen in conditions like duodenal atresia or annular pancreas in neonates. - This finding is unrelated to the skin condition and its associated systemic disease presented in the adult patient. *Erythema nodosum* - **Erythema nodosum** presents as **tender, red nodules** typically on the shins, reflecting inflammation of subcutaneous fat. - It is often a reaction to various systemic illnesses (e.g., infections, inflammatory bowel disease, sarcoidosis) but is not associated with vesicular skin lesions or celiac disease.
Explanation: ***Left-sided colon cancer*** - The isolation of **Streptococcus gallolyticus** (formerly *S. bovis*) in blood cultures is strongly associated with **colorectal malignancy**, particularly left-sided colon cancer. - This association is so significant that it warrants a **colonoscopy** in affected patients, even in the absence of typical GI symptoms. *Intravenous drug abuse* - While intravenous drug abuse is a risk factor for infective endocarditis, it is typically associated with **tricuspid valve involvement** and virulent organisms like **Staphylococcus aureus**. - The patient's symptoms and *S. gallolyticus* infection are not classic for IV drug use-related endocarditis. *Genitourinary procedures* - Genitourinary procedures can lead to bacteremia and endocarditis, often involving organisms like **Enterococcus faecalis**. - There is no indication of recent genitourinary procedures or *Enterococcus* infection in this patient. *Dental procedures due to poor hygiene* - Poor dental hygiene and dental procedures are risk factors for endocarditis involving **viridans group streptococci** (e.g., *S. sanguinis, S. mitis*). - The identified organism, *Streptococcus gallolyticus*, is not typically linked to oral flora or dental procedures. *Prosthetic heart valves* - Prosthetic heart valves are a significant risk factor for infective endocarditis, which can be caused by a variety of organisms including **Staphylococcus species**, **coagulase-negative staphylococci**, and **streptococci**. - While the patient has underlying congenital heart disease, the specific pathogen *S. gallolyticus* points predominantly towards an underlying **gastrointestinal pathology**.
Explanation: ***HLA-DQ2 serotype*** - The patient's symptoms of **diarrhea, flatulence, fatigue, and oily stools** (steatorrhea) are highly suggestive of **malabsorption**. The itchy rash on the elbows and knees, known as **dermatitis herpetiformis**, is pathognomonic for **celiac disease**. - **Celiac disease** is strongly associated with the **HLA-DQ2** (and less commonly HLA-DQ8) serotypes. Testing for these HLA alleles can help confirm genetic susceptibility to the condition. *Elevated exhaled hydrogen concentration* - An **elevated exhaled hydrogen concentration** is indicative of **small intestinal bacterial overgrowth (SIBO)** or **lactose intolerance**. - While these can cause symptoms similar to malabsorption (diarrhea, flatulence), they do not typically present with **dermatitis herpetiformis**. *Microcytic, hypochromic red blood cells* - **Microcytic, hypochromic red blood cells** are characteristic of **iron deficiency anemia**, which commonly occurs in **celiac disease** due to malabsorption in the proximal small intestine (duodenum and jejunum). - While iron deficiency can be seen in celiac disease, it is not specific to this condition and does not explain the pathognomonic **dermatitis herpetiformis** rash. *Elevated urine tryptophan levels* - **Elevated urine tryptophan levels** are associated with **Hartnup disease**, a rare inherited disorder affecting neutral amino acid transport. - This finding is not directly related to the common manifestations of malabsorption or dermatitis herpetiformis seen in celiac disease. *PAS-positive intestinal macrophages* - **PAS-positive intestinal macrophages** are a characteristic histological finding in **Whipple's disease**, caused by the bacterium *Tropheryma whipplei*. - While Whipple's disease can cause malabsorption, it is a much rarer condition and does not typically present with **dermatitis herpetiformis**.
Explanation: ***HLA-B27 positive genotype*** * The patient's symptoms of **inflammatory back pain** (worse in the morning, improves with activity, chronic) and **bilateral hip pain** are highly suggestive of a **spondyloarthropathy**, particularly **ankylosing spondylitis**. * **HLA-B27** is strongly associated with ankylosing spondylitis and other spondyloarthropathies, making its presence a likely finding. *Presence of anti-Ro and anti-La antibodies* * These antibodies are primarily associated with **Sjögren's syndrome** but can also be seen in systemic lupus erythematosus (SLE) and neonatal lupus. * The patient's clinical presentation does not align with Sjögren's syndrome, which typically involves sicca symptoms (dry eyes, dry mouth). *HLA-DR3-positive genotype* * **HLA-DR3** is associated with various autoimmune conditions, including specific types of **celiac disease**, **Type 1 diabetes**, and **systemic lupus erythematosus**. * While the patient has celiac disease, his primary symptoms point towards a spondyloarthropathy, which is not directly linked to HLA-DR3. *Presence of anti-dsDNA antibodies* * **Anti-dsDNA antibodies** are highly specific for **systemic lupus erythematosus (SLE)**, particularly active lupus nephritis. * The patient's presentation of inflammatory back pain and hip involvement is not typical for SLE, which would usually present with systemic symptoms like rash, serositis, or hematologic abnormalities. *High levels of rheumatoid factor* * **Rheumatoid factor (RF)** is primarily associated with **rheumatoid arthritis (RA)**, which typically presents with symmetric, inflammatory arthritis of small joints, often in the hands and feet. * RA usually spares the axial spine (except for the cervical spine), and the patient's symptoms of significant back and hip pain are not characteristic of RA.
Explanation: ***Anti-Jo-1*** - This patient presents with classic signs and symptoms of **juvenile dermatomyositis**, including **proximal muscle weakness**, **arthralgia**, elevated **creatine kinase**, **heliotrope rash** (periorbital violaceous rash), **Gottron's papules** (hyperkeratotic papules over MCP/IP joints), and **calcinosis**. - Among the given options, **anti-Jo-1** is the most appropriate antibody, though it should be noted that anti-Jo-1 antibodies are **relatively uncommon in juvenile dermatomyositis** (found in <5% of pediatric cases) compared to adult dermatomyositis/polymyositis (20-30% of cases). - **Anti-Jo-1** (anti-histidyl-tRNA synthetase) is an **anti-synthetase antibody** associated with myositis, particularly when accompanied by **interstitial lung disease, Raynaud's phenomenon, arthritis, and "mechanic's hands"** (anti-synthetase syndrome). - The most common antibodies in **juvenile dermatomyositis** are actually **anti-Mi-2, anti-TIF1-gamma (p155/140), and anti-NXP2**, which are more specific for the pediatric form and associated with calcinosis. *Anti-centromere* - **Anti-centromere antibodies** are characteristic of **limited cutaneous systemic sclerosis (CREST syndrome)**, which includes **C**alcinosis, **R**aynaud's phenomenon, **E**sophageal dysmotility, **S**clerodactyly, and **T**elangiectasias. - While calcinosis is present in this patient, the other key features of CREST syndrome (sclerodactyly, telangiectasias, esophageal symptoms) are absent, and the **heliotrope rash and Gottron's papules are pathognomonic for dermatomyositis**, not scleroderma. *Anti-histone* - **Anti-histone antibodies** are primarily associated with **drug-induced lupus erythematosus** (DILE), commonly caused by medications like procainamide, hydralazine, isoniazid, or quinidine. - This patient's presentation with **proximal muscle weakness, markedly elevated creatine kinase, heliotrope rash, and Gottron's papules** is characteristic of inflammatory myopathy, not drug-induced lupus. *Anti-Scl-70* - **Anti-Scl-70 antibodies** (anti-topoisomerase I) are highly specific for **diffuse cutaneous systemic sclerosis**, which presents with widespread skin thickening, Raynaud's phenomenon, and internal organ involvement. - While systemic sclerosis can involve muscle weakness, the **heliotrope rash and Gottron's papules are pathognomonic for dermatomyositis**, not scleroderma, making this diagnosis unlikely. *Anti-Sm* - **Anti-Sm antibodies** (anti-Smith) are highly specific for **systemic lupus erythematosus (SLE)** and are one of the diagnostic criteria. - While SLE can cause myalgia, arthralgia, and various rashes, the **markedly elevated creatine kinase** (indicating true myositis), along with the **pathognomonic heliotrope rash and Gottron's papules**, clearly point to dermatomyositis rather than SLE.
Explanation: ***Cystoscopy*** - The patient presents with **painless gross hematuria** and a significant **smoking history**, which are strong risk factors for **bladder cancer**. - **Cystoscopy** is the definitive diagnostic procedure to visualize the bladder and perform biopsies if suspicious lesions are found. *Digital rectal examination* - This examination is primarily used to assess the prostate in men or for colorectal concerns. - It would not provide diagnostic information for the source of hematuria in a female patient, especially when a urological malignancy is suspected. *Reassurance* - While some cases of hematuria are benign, the presence of **painless gross hematuria** and a significant **smoking history** in this patient makes watchful waiting or reassurance inappropriate. - There is a high index of suspicion for a serious underlying condition like **urothelial carcinoma** that requires urgent investigation. *Renal biopsy* - **Renal biopsy** is indicated when there is evidence of glomerular disease (e.g., dysmorphic red blood cells, red blood cell casts, proteinuria, renal insufficiency). - The patient's urine microscopy shows **eumorphic RBCs** and **no casts or proteinuria**, making glomerular disease less likely, and her renal function is normal. *Check urine for NMP22 and BTA* - While **NMP22** and **BTA** are urine markers for bladder cancer, they have **limited sensitivity and specificity** and are not definitive diagnostic tests. - They are primarily used for surveillance in patients with a history of bladder cancer or in conjunction with cystoscopy, not as a standalone initial diagnostic step.
Explanation: ***Urine metanephrines*** - The patient's presentation, including **abdominal pain**, **constipation** (implied by pain, mood changes, and high calcium), **hypertension**, **hypercalcemia** with **elevated PTH**, and a family history of **thyroid cancer** with an **abnormal RET gene test**, is highly suggestive of **MEN 2A** (Multiple Endocrine Neoplasia type 2A). - **MEN 2A** is characterized by **medullary thyroid carcinoma** (MTC), **pheochromocytoma**, and **primary hyperparathyroidism**. Given the strong suspicion of MEN 2A and the presence of hypertension, screening for **pheochromocytoma** with **urine metanephrines** is crucial before any surgical intervention (e.g., thyroidectomy) due to the risk of a hypertensive crisis. *Thyroidectomy* - While a **thyroidectomy** is indicated for **medullary thyroid carcinoma** (strongly suggested by the family history of thyroid cancer and abnormal RET gene), it should **not be the immediate next step** before ruling out **pheochromocytoma**. - Performing a thyroidectomy in a patient with an undiagnosed pheochromocytoma can lead to a **life-threatening hypertensive crisis** during surgery. *Urine 5-HIAA* - **Urine 5-HIAA** (5-hydroxyindoleacetic acid) is a test for **carcinoid syndrome**, which presents with flushing, diarrhea, and bronchospasm. - These symptoms are **not consistent** with the patient's presentation, and carcinoid syndrome is **not a component of MEN 2A**. *Midnight salivary cortisol* - **Midnight salivary cortisol** is used to screen for **Cushing's syndrome**, which is characterized by symptoms such as central obesity, moon facies, striae, and muscle weakness. - While the patient is obese, his other symptoms and laboratory findings are **not suggestive of Cushing's syndrome**, and it is not typically associated with MEN 2A. *Serum gastrin* - **Serum gastrin** levels are measured to diagnose **Zollinger-Ellison syndrome**, characterized by severe peptic ulcer disease and diarrhea due to a gastrinoma. - While gastrinomas can occur in **MEN 1**, they are **not a feature of MEN 2A**, and the patient's symptoms are more consistent with other endocrine dysfunctions.
Explanation: ***Parietal cell hyperplasia in the stomach*** - The patient's symptoms (worsening heartburn, abdominal pain, recurrent duodenal ulcer, greasy diarrhea) are highly suggestive of **Zollinger-Ellison syndrome (ZES)**, caused by a **gastrinoma** leading to excessive gastrin production. - High gastrin levels from a gastrinoma stimulate the **parietal cells** in the stomach to produce large amounts of gastric acid, leading to **parietal cell hyperplasia** and acid hypersecretion. *Dystrophic calcifications in the pancreas* - **Dystrophic calcifications** in the pancreas are a hallmark of **chronic pancreatitis**, which can present with abdominal pain and steatorrhea. - However, the recurrent severe duodenal ulcers and family history of primary hyperparathyroidism pointing towards **MEN1** are not characteristic of chronic pancreatitis. *Noncaseating granulomas in the jejunum* - **Noncaseating granulomas** in the gastrointestinal tract are characteristic of **Crohn's disease**, which can cause abdominal pain and diarrhea. - However, recurrent duodenal ulcers and a likely genetic predisposition to **MEN1** would make Crohn's disease a less probable primary diagnosis. *Anti-tissue transglutaminase antibodies in the serum* - **Anti-tissue transglutaminase (tTG) antibodies** are markers for **celiac disease**, which can cause malabsorption and diarrhea (greasy stools). - While celiac disease could explain the greasy diarrhea, it does not explain the severe, recurrent duodenal ulcers. *Anti-intrinsic factor antibodies in the serum* - **Anti-intrinsic factor antibodies** are indicative of **pernicious anemia**, an autoimmune condition causing **macrocytic anemia** and vitamin B12 deficiency. - This condition does not typically present with severe duodenal ulcers, heartburn, or greasy diarrhea.
Explanation: ***Urine output*** - The patient's **urine output is severely reduced** at 260 mL over 8 hours (approximately **32.5 mL/hour**), which constitutes **oliguria** (defined as <0.5 mL/kg/hr; this patient at 84 kg should produce ≥42 mL/hr). - Despite **relief of the post-renal obstruction** via Foley catheterization, the persistent oliguria indicates **intrinsic kidney injury** rather than simple mechanical obstruction. - The combination of **oliguria persisting after decompression** + **rising serum creatinine** (1.4→1.6 mg/dL) meets **KDIGO criteria for Stage 2 AKI** (urine output <0.5 mL/kg/hr for ≥12 hours). - This requires **urgent nephrology consultation** to assess for acute tubular necrosis (ATN), guide fluid management during potential post-obstructive diuresis, and consider renal replacement therapy if oliguria worsens. *Serum creatinine (SCr)* - The serum creatinine **rose from 1.4 to 1.6 mg/dL** despite bladder decompression, which is concerning and suggests intrinsic renal injury. - However, creatinine is a **lagging indicator** of kidney function - it takes 24-48 hours to reflect acute changes in GFR, whereas **urine output is a real-time indicator** of kidney function. - While the rising creatinine supports the need for nephrology involvement, **urine output is the more immediate and actionable parameter** that prompted the attending's suggestion at this early time point. *Estimated glomerular filtration rate (eGFR)* - eGFR is **calculated from serum creatinine** using equations that assume steady-state conditions, which **do not apply in acute kidney injury**. - In the **acute setting with rapidly changing kidney function**, eGFR calculations are unreliable and can significantly overestimate or underestimate true GFR. - Clinicians rely more on **urine output and serial creatinine measurements** rather than eGFR when managing AKI. *Serum blood urea nitrogen (BUN)* - The BUN decreased slightly from 64 to 62 mg/dL, remaining elevated but showing minimal change after catheterization. - Elevated BUN can reflect **pre-renal azotemia, dehydration, or upper GI bleeding** and is less specific for intrinsic kidney injury than oliguria. - The **BUN:Cr ratio** is approximately 40:1 (64/1.6), suggesting a **pre-renal component**, but this alone doesn't justify urgent nephrology consultation as strongly as the persistent oliguria does. *Serum potassium* - Serum potassium levels remain **normal** (4.2→4.0 mmol/L) and do not indicate a metabolic emergency. - While **hyperkalemia** is a common complication of AKI that would warrant nephrology involvement, this patient's potassium is well-controlled and not the driving concern at this time.
Explanation: ***X-ray of the chest*** - The patient's migratory thrombophlebitis (Trousseau's syndrome), unexplained diarrhea, weight loss, and chronic cough (despite albuterol) are highly suggestive of an underlying **malignancy**, specifically **pancreatic adenocarcinoma** or **bronchogenic carcinoma**. - A **chest X-ray** is a crucial initial step to evaluate for a primary lung malignancy, which can often present with paraneoplastic syndromes like migratory thrombophlebitis. *Coagulation studies* - While Trousseau's syndrome involves hypercoagulability, obtaining coagulation studies like PT, PTT, or D-dimer would primarily confirm a coagulation abnormality but not identify the **underlying cause** (malignancy). - The clinical presentation points towards seeking the etiology of the paraneoplastic syndrome, rather than just characterizing the coagulation defect. *Ankle brachial index* - An ankle brachial index (ABI) is used to diagnose **peripheral artery disease (PAD)**, which is characterized by claudication and arterial insufficiency. - The patient's symptoms of migratory thrombophlebitis and palpable cord-like structures are indicative of venous and not arterial pathology, and a normal leg ultrasound rules out deep vein thrombosis. *Serum angiotensin-converting enzyme level* - Elevated serum ACE levels are characteristic of **sarcoidosis**, a granulomatous disease that can cause pulmonary symptoms and skin lesions. - However, sarcoidosis typically does not cause migratory thrombophlebitis, and the diarrhea and weight loss point to a systemic malignant process. *CT scan of the abdomen* - While pancreatic adenocarcinoma is a strong consideration given the constellation of symptoms (Trousseau's syndrome, diarrhea, poor appetite/weight loss), a **chest X-ray** is often the first imaging step due to the patient's history of smoking and chronic cough, which raises suspicion for lung cancer. - If the chest X-ray is negative, then an abdominal CT would be a reasonable next step to investigate for pancreatic or other abdominal malignancies.
Explanation: **Burn out of pancreatic beta cells** - The patient's presentation with **new-onset diabetes**, along with **abdominal pain**, **nausea**, **dehydration** (dry mucous membranes, tachycardia), **acidosis** (pH 7.31, bicarbonate 16 mEq/L), **hyperglycemia** (450 mg/dL), and **ketonuria**, is highly suggestive of **diabetic ketoacidosis (DKA)**. DKA in a young, previously healthy individual often indicates a new diagnosis of **type 1 diabetes mellitus** due to rapid **beta-cell destruction**. - The **fruity smell on breath** (due to acetone) and **polydipsia** are classic signs of DKA, which results from profound insulin deficiency leading to increased lipolysis, ketogenesis, and severe metabolic acidosis, effectively representing a "burnout" or severe dysfunction of the pancreatic beta cells. *Fecalith in the caecum* - A **fecalith in the caecum** could cause localized abdominal pain, often associated with **appendicitis**, but it does not explain the widespread metabolic derangements seen in this patient, such as **hyperglycemia**, **acidosis**, and **ketonuria**. - The diffuse abdominal tenderness and absence of specific signs like **guarding** or **rebound tenderness**, along with the systemic symptoms, do not align with an isolated fecalith obstruction. *Presence of gut contents in the abdominal cavity* - The presence of **gut contents in the abdominal cavity** (e.g., from a ruptured appendix or perforated viscus) would typically present with a more acute abdomen, including **severe guarding**, **rebound tenderness**, and signs of **septic shock**, which are not prominent here. - This condition also would not explain the specific biochemical findings of **hyperglycemia**, **acidosis**, and **ketonuria** that point towards DKA. *Effects of alcohol on mitochondrial metabolic activity* - While **alcohol can affect mitochondrial metabolism** and lead to certain metabolic derangements (e.g., alcoholic ketoacidosis), this condition typically occurs in chronic alcoholics with acute alcohol withdrawal or binge drinking, and is characterized by a **normal or low glucose** level, in contrast to the severe **hyperglycemia** seen in this patient. - The patient's reported regular alcohol consumption of 2-4 beers per day would not typically cause such a severe metabolic acidosis with profound hyperglycemia unless superimposed on an underlying condition like new-onset diabetes. *Blunt trauma to the abdomen* - **Blunt abdominal trauma** would typically involve a clear history of injury and localized pain, potentially with signs of internal bleeding or organ damage, such as **peritoneal signs** or **hemodynamic instability**. - There is no history of trauma, and the patient's symptoms and lab findings are inconsistent with trauma and highly characteristic of a metabolic emergency like **diabetic ketoacidosis**.
Explanation: ***Gastric carcinoma*** - The patient's presentation, including **macrocytic anemia**, neurological symptoms (reduced sensation), and particularly the **Schilling test results** (correction with intrinsic factor), points to **pernicious anemia**. - **Pernicious anemia** significantly increases the risk of developing **gastric carcinoma** due to the associated **chronic atrophic gastritis** and **intestinal metaplasia**. *Type 2 diabetes mellitus* - While common, there is nothing in the patient's presentation (including laboratory values) that specifically suggests an increased risk for **type 2 diabetes mellitus**. - **Pernicious anemia** does not directly increase the risk of developing diabetes. *Celiac disease* - **Celiac disease** is an autoimmune condition triggered by **gluten**, leading to malabsorption. It typically presents with **iron deficiency anemia** (microcytic), not macrocytic anemia. - The Schilling test results indicating **intrinsic factor deficiency** are not characteristic of celiac disease. *Colorectal carcinoma* - Although **colorectal carcinoma** is a common malignancy, there are no specific symptoms (e.g., changes in bowel habits, rectal bleeding) or lab findings (e.g., iron deficiency anemia, which can occur with chronic blood loss) in this patient to suggest an elevated risk for this condition. - **Pernicious anemia** does not directly predispose individuals to colorectal cancer. *De Quervain thyroiditis* - **De Quervain thyroiditis** is a subacute thyroiditis typically characterized by **painful thyroid enlargement** and transient hyperthyroidism followed by hypothyroidism. - The patient's **TSH level is normal**, and there are no symptoms or signs pointing toward thyroid inflammation in this case.
Explanation: ***Pancreatic β-cell tumor*** - The patient presents with **Whipple's triad**: symptoms of hypoglycemia (palpitations, sweating), low plasma glucose (<50 mg/dL), and symptom relief with glucose intake (ice tea, candy). - Elevated **C-peptide** and **proinsulin** levels, along with inappropriately high insulin relative to the low glucose, indicate endogenous hyperinsulinism, strongly suggesting an **insulinoma (pancreatic β-cell tumor)**. *Exogenous administration of insulin* - Injected insulin would lead to high insulin levels and low glucose, but **C-peptide** levels would be **low** because exogenous insulin suppresses endogenous insulin secretion. - The patient's **high C-peptide** rules out exogenous insulin administration. *Binge eating disorder* - Binge eating disorder does not directly explain the recurrent episodes of documented **hypoglycemia** and the specific hormonal profile of high insulin and C-peptide. - While weight gain might be associated, it does not account for the **biochemical abnormalities**. *Factitious use of sulfonylureas* - Sulfonylureas stimulate endogenous insulin secretion, leading to hypoglycemia, high insulin, and **high C-peptide**. - However, the lab results explicitly state **insulin secretagogues absent**, ruling out sulfonylurea use. *Peripheral resistance to insulin* - Insulin resistance is characterized by **high insulin levels** due to the pancreas overproducing insulin to compensate for tissue insensitivity, but it typically causes **hyperglycemia**, not hypoglycemia. - The patient's **hypoglycemia** is inconsistent with peripheral insulin resistance.
Explanation: ***Relief of abdominal pain after defecation*** - This is a key diagnostic criterion for Irritable Bowel Syndrome (IBS), as the symptoms in this patient are highly suggestive of **IBS-diarrhea predominant**. - The patient's history of recurrent abdominal pain, bloating, and loose stools (3-4 bowel movements/day), absence of alarm symptoms, and worsening with stress (new job) are consistent with IBS. *Abdominal pain at night* - **Nocturnal abdominal pain** or bowel movements are considered **alarm symptoms** that warrant further investigation for organic causes such as inflammatory bowel disease (IBD) or malignancy. - The symptoms described are typical of functional GI disorders like IBS, where pain usually improves with defecation and does not typically awaken the patient from sleep. *Cutaneous flushing* - **Cutaneous flushing** is a common symptom associated with **carcinoid syndrome**, often accompanied by diarrhea, wheezing, and right-sided heart valve disease. - Other common causes of flushing include *rosacea*, *mastocytosis*, and *medication-induced flushing*; none of these fit the patient's primary GI symptoms. *Bright red blood in the stool* - The presence of **bright red blood in the stool** is an **alarm symptom** that suggests a structural gastrointestinal problem such as hemorrhoids, anal fissures, diverticulosis, or inflammatory bowel disease (IBD), or malignancy. - This symptom would prompt more invasive diagnostic procedures (e.g., colonoscopy) to rule out serious conditions. *Weight loss* - Unintentional **weight loss** is an **alarm symptom** in the context of gastrointestinal complaints, indicating a potential organic cause such as inflammatory bowel disease, celiac disease (which was ruled out by negative anti-tTG antibodies), malabsorption, or malignancy. - Patients with IBS typically do not experience significant weight loss, and their symptoms are often functional rather than structural.
Explanation: ***Autoimmune melanocyte destruction*** - The patient's presentation of **gradually increasing, depigmented patches** on the trunk, thighs, hands, feet, and around the mouth, especially in a young individual, is highly characteristic of **vitiligo**. - **Vitiligo** is an autoimmune condition characterized by the destruction of **melanocytes**, leading to a loss of pigment. The absence of itchiness, redness, or sensory changes further supports this diagnosis. *Mycobacterum leprae infection* - **Leprosy** can cause hypopigmented or depigmented patches, but these are typically accompanied by **sensory loss** (numbness) in the affected areas, which is not present here. - The lesions in leprosy are also often **anaesthetic** and can be associated with thickened nerves, unlike the presentation described. *Increased mTOR signalling* - **Increased mTOR signaling** is associated with conditions like **tuberous sclerosis**, which can present with **ash-leaf spots** (hypopigmented macules). - However, ash-leaf spots are usually present from birth or early infancy, are typically less extensive, and are associated with other neurological or dermatological findings (e.g., facial angiofibromas, seizures) not mentioned in this case. *Postinflammatory depigmentation* - This typically occurs after an inflammatory skin condition (e.g., eczema, psoriasis) and the **depigmentation is confined to the areas where the inflammation occurred**. - The patient denies previous inflammatory lesions, and the widespread, progressive nature of the depigmentation across various body sites makes this less likely. *Malassezia globosa infection* - **Tinea versicolor**, caused by *Malassezia globosa*, results in **hypopigmented or hyperpigmented patches**, often on the trunk and upper extremities. - However, these lesions typically have fine scale, can be mildly itchy, and most importantly, they are **superficial infections** and do not cause complete depigmentation like vitiligo.
Explanation: ***30-year old HIV positive male with CD4 count of 20 cells/microliter and a viral load of < 50 copies/mL*** - Prophylaxis against **Mycobacterium avium complex (MAC)** is recommended for HIV-positive individuals with a **CD4 count below 50 cells/µL** to prevent disseminated MAC infection. - While an undetectable viral load suggests effective antiretroviral therapy (ART) in general, the extremely low CD4 count indicates severe immunosuppression, making prophylaxis crucial. *36-year old HIV positive male with CD4 count of 75 cells/microliter and an undetectable viral load* - The **CD4 count of 75 cells/µL** is above the threshold of 50 cells/µL for MAC prophylaxis, even though it's still low. - An **undetectable viral load** indicates successful ART, which generally helps improve immune function over time, albeit slowly in this CD4 range. *22-year old HIV positive female with CD4 count of 750 cells/microliter and a viral load of 500,000 copies/mL* - A **CD4 count of 750 cells/µL** is well above the threshold for MAC prophylaxis, indicating relatively preserved immune function. - Although the **viral load is very high**, suggesting uncontrolled HIV replication, the immune system is currently strong enough to ward off MAC. *45-year old HIV positive female with CD4 count of 250 cells/microliter and a viral load of 100,000 copies/mL* - A **CD4 count of 250 cells/µL** is above the threshold for MAC prophylaxis, which is 50 cells/µL. - While the **high viral load** implies an increased risk for opportunistic infections over time, other specific prophylaxes (e.g., PCP if <200) would be considered earlier. *50-year old HIV positive female with CD4 count of 150 cells/microliter and a viral load of < 50 copies/mL* - A **CD4 count of 150 cells/µL** is above the threshold for MAC prophylaxis (50 cells/µL). - An **undetectable viral load** is a positive sign of ART efficacy, but this patient would still require prophylaxis for **Pneumocystis jirovecii pneumonia (PCP)**, as her CD4 count is below 200 cells/µL.
Explanation: ***Colonoscopy*** - The patient presents with **microcytic anemia** (hemoglobin 9 g/dL, MCV 72 µm^3) and **unexplained weight loss** in an elderly male, which is highly suggestive of **gastrointestinal bleeding**, often due to **colorectal cancer**. - A **colonoscopy** is the definitive diagnostic and therapeutic procedure for evaluating the lower gastrointestinal tract for sources of bleeding and identifying/removing suspicious lesions. *Counseling for alcohol cessation* - While chronic alcohol use can contribute to various health issues, including some anemias (e.g., folate deficiency), the patient's presented **microcytic anemia** is not typical for alcohol-related causes. - The patient's reported alcohol intake of one glass of red wine nightly is generally considered moderate and less likely to be the primary cause of his symptoms and lab findings. *Vitamin D supplementation* - The patient has a **low 25-OH vitamin D level (15 ng/mL)**. However, this finding, while important for bone health and overall well-being, does not explain his microcytic anemia or unexplained weight loss. - Addressing the **anemia and weight loss** takes precedence as these symptoms point to a more urgent, potentially life-threatening condition. *Exercise regimen and weight loss* - The patient is obese and has hypertension, for which an **exercise regimen and weight loss** would be beneficial for overall health and blood pressure management. - However, these interventions **do not address the microcytic anemia and unexplained weight loss**, which are more pressing concerns requiring immediate investigation. *Iron supplementation* - The **microcytic anemia** strongly suggests **iron deficiency**, and iron supplementation would eventually be part of treatment. - However, **iron supplementation** without identifying and treating the underlying cause of iron loss (e.g., gastrointestinal bleeding) would be insufficient and could delay a crucial diagnosis.
Explanation: ***Allergic interstitial nephritis*** - The development of **flank pain**, **myalgia**, **fever**, and a **maculopapular rash** following a recent antibiotic prescription, along with elevated creatinine and WBCs in urine, is highly suggestive of **allergic interstitial nephritis**. - **Eosinophils** are often found in the urine, though not explicitly stated here, which further supports this diagnosis due to its association with drug hypersensitivity. *Thin basement membrane disease* - This condition typically presents with **isolated microscopic hematuria** and is often asymptomatic, not with acute onset of flank pain, rash, and significant renal dysfunction. - Serum creatinine is usually normal, unlike the elevated level seen in this patient. *Crystal-induced acute kidney injury* - This type of AKI is characterized by the presence of **crystals in the urine** (e.g., uric acid, calcium oxalate), which are not mentioned in the urinalysis. - While it can cause flank pain, it's typically seen in specific contexts like chemotherapy (tumor lysis syndrome) or **antifreeze ingestion**, which are not present here. *Poststreptococcal glomerulonephritis* - Although it can follow a pharyngeal infection, it typically presents with **cola-colored urine** (due to dysmorphic RBCs and casts), **edema**, and **hypertension**. - The presence of a **rash** and the timing after antibiotic use make allergic interstitial nephritis a more likely diagnosis. *Pyelonephritis* - Characterized by **fever**, **flank pain**, and **costovertebral angle tenderness**, which is explicitly noted as absent in this patient. - Urinalysis typically shows **leukocyturia** and sometimes **bacteriuria** with **nitrites**, but without significant bacteriuria, it is less likely.
Explanation: ***Retest with 4th generation HIV antigen/antibody test in 2-4 weeks and again in 3 months*** - This patient presents with symptoms highly suggestive of **acute retroviral syndrome** (primary HIV infection), including headaches, sore throat, diarrhea, fatigue, and low-grade fevers in the context of high-risk behavior (sex work and recreational drug use). - A previous negative HIV test was likely obtained during the **window period**, when the infection was too recent to be detected. The **4th generation antigen/antibody immunoassay** detects both HIV antibodies and p24 antigen, reducing the window period to approximately **2-4 weeks** post-exposure. - **Follow-up testing at 3 months** is recommended to definitively rule out HIV, as rare cases may have delayed seroconversion. - Current **CDC guidelines** recommend 4th generation testing as the initial screening test for HIV. *Retest with HIV antigen/antibody test in 1 year* - Waiting a full year to retest would result in significant delay in diagnosis and treatment, potentially allowing disease progression to AIDS and increasing transmission risk. - The patient's acute symptoms warrant more immediate re-evaluation within weeks, not months. *Perform VDRL* - **VDRL** (Venereal Disease Research Laboratory) tests for syphilis, not HIV. - While co-infection with syphilis is possible in high-risk patients, it does not explain the constellation of symptoms typical of **acute retroviral syndrome**. - Syphilis testing may be appropriate as part of comprehensive STI screening but is not the priority given the clinical presentation. *Repeat rapid HIV at this office check-up* - While **4th generation rapid tests** have improved sensitivity, repeating the test only **1 week** after the previous negative result and during the likely window period may still yield a false negative. - The patient needs time for antibodies and/or antigen to develop to detectable levels (typically 2-4 weeks from exposure). *Perform monospot test* - A **monospot test** diagnoses **infectious mononucleosis** caused by Epstein-Barr virus (EBV). - While EBV can cause fatigue, sore throat, and low-grade fevers, the patient's high-risk sexual behavior, diarrhea, and acute presentation are more consistent with **acute HIV infection** than mononucleosis. - EBV mononucleosis typically presents with prominent lymphadenopathy and splenomegaly, which are not mentioned here.
Explanation: ***Microscopic polyangiitis*** - This patient's presentation with **hemoptysis**, **glomerulonephritis** (dark urine, RBCs on microscopy, elevated creatinine), **weight loss**, and a positive **anti-MPO/P-ANCA** is highly characteristic of microscopic polyangiitis. - The renal biopsy showing **crescentic glomerulonephritis** further supports this diagnosis, as it's a common finding in ANCA-associated vasculitides like MPA. *Disseminated tuberculosis* - While **fever, fatigue, weight loss, and hemoptysis** can be seen in tuberculosis, the presence of **rapidly progressive glomerulonephritis** and a **positive anti-MPO/P-ANCA** makes tuberculosis a less likely diagnosis. - Tuberculosis would typically show granulomas on biopsy and direct evidence of *Mycobacterium tuberculosis*, which are not mentioned. *Granulomatosis with polyangiitis* - Granulomatosis with polyangiitis (GPA) is associated with **C-ANCA** and anti-PR3 antibodies, whereas this patient has a **positive P-ANCA/anti-MPO**. - GPA typically involves the **upper and lower respiratory tracts** and kidneys, but the specific antibody profile helps differentiate it from MPA. *Polyarteritis nodosa (PAN)* - **Polyarteritis nodosa (PAN)** is a necrotizing vasculitis that primarily affects **medium-sized arteries** and is **not ANCA-associated**. - It typically spares the capillaries, venules, and arterioles, and does not cause **glomerulonephritis** or prominent pulmonary involvement like hemoptysis in this manner. *Eosinophilic granulomatosis with polyangiitis (EGPA)* - **Eosinophilic granulomatosis with polyangiitis (EGPA)**, formerly known as Churg-Strauss syndrome, is characterized by **asthma, eosinophilia, and extravascular granulomas**. - While it can be P-ANCA positive and cause vasculitis, the prominent features of **asthma and eosinophilia** are absent in this patient's presentation.
Explanation: ***Esophagitis*** - **Candidal esophagitis** is an **AIDS-defining illness** and is highly suggestive of severe immunosuppression, making it rare in immunocompetent individuals. - The patient's **CD4 count of 98** indicates advanced HIV disease, placing him at high risk for opportunistic infections like candidal esophagitis. *Endocarditis* - While fungal endocarditis can occur in immunocompromised patients, it is more commonly associated with intravenous drug use, prosthetic valves, or central venous catheters, rather than solely with a low CD4 count. - It is not considered an AIDS-defining illness in the same way as candidal esophagitis. *Intertrigo* - **Candidal intertrigo** is a common skin infection that can occur in both immunocompetent and immunocompromised individuals, usually in skin folds where moisture accumulates. - Its presence does not strongly suggest severe immunosuppression, although it may be more persistent or widespread in HIV patients. *Oral thrush* - **Oral candidiasis** is common in HIV-positive patients, especially with lower CD4 counts, but it can also occur in immunocompetent individuals (e.g., due to antibiotic use, steroid inhalers, or diabetes). - While indicative of some degree of immunosuppression in an HIV patient, it is not as specific for severe immunosuppression as candidal esophagitis. *Vaginitis* - **Candidal vaginitis** is a very common infection in women, regardless of immune status, and is not a strong indicator of severe immunosuppression or an AIDS-defining illness. - Although it can be more frequent or resistant to treatment in HIV-positive women, its mere presence does not signify a condition rare in immunocompetent hosts.
Explanation: ***Carcinoid tumor*** - The patient's symptoms of **episodic flushing**, **diarrhea**, **abdominal cramping**, and **weight loss** are classic features of **carcinoid syndrome**, often caused by a carcinoid tumor. The presence of **wheezing** and **facial telangiectasias** further supports this diagnosis, as these are common manifestations of serotonin release. - Elevated **AST** and **ALT** can indicate **hepatic metastases**, which is common in advanced carcinoid disease and contributes to the systemic release of vasoactive substances, worsening symptoms. *Pheochromocytoma* - Characterized by episodic **hypertension**, **palpitations**, **headaches**, and **sweating**, which are only partially consistent with the patient's symptoms (palpitations, shortness of breath, facial redness are possible but typically with severe hypertension). - This condition is not associated with **diarrhea**, **wheezing**, or **telangiectasias**, which are prominent in this case. *Chronic appendicitis* - Presents with recurrent or persistent **right lower quadrant pain**. - Does not account for the systemic symptoms such as **diarrhea**, **flushing**, **palpitations**, **wheezing**, **telangiectasias**, or **weight loss**. *Inflammatory bowel disease* - Can cause **chronic diarrhea**, **abdominal pain**, and **weight loss**, but typically involves significant **inflammatory markers** (e.g., elevated CRP, ESR) and often **bloody stools**, which are absent here. - **Flushing**, **palpitations**, **wheezing**, and **telangiectasias** are not characteristic features of inflammatory bowel disease. *Ascaris lumbricoides infection* - While a travel history to endemic regions like Cambodia is relevant, **Ascaris infection** usually presents with abdominal pain, malnutrition, and sometimes **pulmonary symptoms** during larval migration (Loeffler's syndrome), but does not cause **episodic flushing**, **palpitations**, or diffuse **telangiectasias**. - The symptoms are more indicative of a neuroendocrine syndrome rather than a parasitic infection.
Explanation: ***Sigmoidoscopy*** - The patient's presentation with acute abdominal pain, bloody diarrhea, history of cardiovascular disease, and CT findings consistent with **colonic wall thickening** and **pericolonic fat stranding** strongly suggests **ischemic colitis**. - **Flexible sigmoidoscopy** allows for direct visualization of the colonic mucosa to confirm the diagnosis, assess the extent and severity of ischemia, and rule out other causes of colitis, such as inflammatory bowel disease or infection. *Angiography* - While angiography can identify mesenteric arterial occlusion, it is generally reserved for cases of acute mesenteric ischemia involving the superior mesenteric artery, which typically presents with more severe pain out of proportion to physical exam findings and less clear CT findings of colitis. - In cases of ischemic colitis, where the primary concern is mucosal ischemia rather than immediate large vessel occlusion, angiography is usually not the first-line diagnostic. *Gastrografin-enhanced X-ray* - This study (also known as a **Gastrografin swallow or enema**) is primarily used to evaluate for **perforations** or **obstructions**, or to assess lumen integrity. - It does not provide the mucosal detail necessary to diagnose or assess the severity of **ischemic colitis**, and the contrast agent itself could potentially exacerbate an inflamed bowel. *Laparotomy* - **Laparotomy** (surgical exploration) is an invasive procedure reserved for cases with signs of peritonitis, bowel perforation, or severe, unresponsive ischemia requiring surgical intervention. - Given the patient's stable vital signs, mild tenderness, and lack of guarding or rebound, immediate surgical exploration is not warranted without further diagnostic steps. *Inpatient observation* - While inpatient observation is part of the initial management (bowel rest, IV fluids, antibiotics), it is not a **diagnostic evaluation** itself. - The question asks for the most important diagnostic evaluation to determine the underlying cause and guide further management.
Explanation: ***Pituitary adenoma*** - This patient presents with a constellation of symptoms including **recurrent peptic ulcers**, **hypercalcemia (11.2 mg/dL)**, **hypophosphatemia (2.0 mg/dL)**, and a family history of peptic ulcer disease and recurrent kidney stones, which are highly suggestive of **Multiple Endocrine Neoplasia type 1 (MEN1)**. - MEN1 is characterized by tumors of the **parathyroid glands** (causing hypercalcemia, already evident), **pancreatic islet cells** (gastrinoma likely causing the peptic ulcers), and **pituitary gland**. - The question asks what **additional evaluation** is most likely to reveal beyond the already-apparent biochemical findings; screening for a **pituitary adenoma** via pituitary imaging or hormone testing would be the next step in evaluating the full MEN1 syndrome, as **30-40% of MEN1 patients develop pituitary tumors**. *Marfanoid body habitus* - **Marfanoid habitus** is associated with **Multiple Endocrine Neoplasia type 2b (MEN2b)**, which primarily involves medullary thyroid cancer, pheochromocytoma, and mucosal neuromas. - The patient's symptoms point toward MEN1 with hypercalcemia and gastric acid hypersecretion, not the features of MEN2b. *Medullary thyroid cancer* - **Medullary thyroid cancer** is a characteristic feature of **MEN2a** and **MEN2b**, not MEN1. - This cancer is associated with elevated calcitonin levels and is not related to the hypercalcemia from hyperparathyroidism or recurrent peptic ulcers seen in this patient. *Elevated gastrin levels* - **Elevated gastrin levels** would indeed be expected in this patient due to a pancreatic **gastrinoma** (Zollinger-Ellison syndrome), which explains the refractory peptic ulcers and is part of the MEN1 spectrum. - However, gastrin elevation is **directly related to the presenting peptic ulcer disease** and would be part of the initial diagnostic workup for Zollinger-Ellison syndrome, not truly an "additional" finding. - The question is asking what **other manifestation of MEN1** would be found on comprehensive evaluation, making pituitary adenoma the more complete answer for syndrome characterization. *Pheochromocytoma* - **Pheochromocytoma** is a tumor of the adrenal medulla and is a feature of **MEN2a** and **MEN2b**, not MEN1. - Symptoms typically include **hypertension, palpitations, and sweating**, which are not reported in this patient, and vital signs are documented as normal.
Explanation: ***Parathyroid hormone*** - Elevated gastrin levels after a secretin stimulation test and recurrent duodenal ulcers are characteristic of **Zollinger-Ellison syndrome (ZES)**, which is often associated with **Multiple Endocrine Neoplasia type 1 (MEN1)**. - MEN1 involves tumors of the **parathyroid glands**, **pituitary gland**, and **pancreatic islet cells**. Therefore, parathyroid hormone levels should be checked to screen for **primary hyperparathyroidism**, a common component of MEN1. *Plasma metanephrines* - **Plasma metanephrines** are used to screen for **pheochromocytoma**, a tumor of the adrenal medulla which is associated with **MEN2**. - This patient's presentation is consistent with ZES, which is linked to MEN1, not MEN2. *Vasoactive intestinal peptide* - **Vasoactive intestinal peptide (VIP)** levels are elevated in **VIPomas**, which cause **watery diarrhea, hypokalemia, and achlorhydria (WDHA syndrome)**. - While VIPomas are pancreatic tumors, the patient's symptoms (abdominal pain, duodenal ulcers, elevated gastrin) point towards ZES, not a VIPoma. *Calcitonin* - **Calcitonin** is a marker for **medullary thyroid carcinoma**, which is a component of **MEN2**. - Given the classic presentation of ZES, screening for MEN1 components is appropriate, not MEN2. *Thyroid stimulating hormone* - **Thyroid stimulating hormone (TSH)** is used to assess thyroid function. While thyroid disorders can present with various symptoms, they are not directly linked to ZES or MEN1 in the same way parathyroid disease is. - There is no specific indication from the patient's symptoms (abdominal pain, ulcers, elevated gastrin) that warrants TSH evaluation as the next step in this context.
Explanation: ***Interstitial lung disease*** - The patient's condition, characterized by **fatigue**, **muscle weakness**, **scaly rash** (likely **Gottron's papules** or **heliotrope rash**), **elevated CK-MB**, and **anti-Jo-1 antibodies**, strongly suggests **dermatomyositis**, which is frequently associated with **interstitial lung disease (ILD)**. - Approximately 70% of patients with **anti-Jo-1 antibodies** develop **ILD**, which can manifest as chronic cough and dyspnea. *Ovarian cancer* - While dermatomyositis is associated with an **increased risk of malignancy**, particularly in older patients, **ovarian cancer** is not the *most common* or *most frequently associated* manifestation of the disease overall, especially given the patient's age (33). - The risk of malignancy is higher in adults with dermatomyositis and polymyositis, with various cancers observed, but no single cancer type predominates as a universal association. *Arthritis* - **Arthritis** can occur in dermatomyositis and polymyositis, but it is typically **non-erosive** and **non-deforming**, affecting small and large joints. - While a possible feature, it is less specific and less frequently highlighted as a major systemic complication compared to interstitial lung disease in the context of anti-Jo-1 antibodies. *Lung cancer* - Similar to ovarian cancer, **lung cancer** is a potential malignancy associated with dermatomyositis, especially in older patients and smokers. - However, for a 33-year-old woman with anti-Jo-1 antibodies, **interstitial lung disease** is a more direct and prevalent associated complication than **lung cancer**. *Raynaud's phenomenon* - **Raynaud's phenomenon** (episodic digital ischemia) is observed in a subset of patients with dermatomyositis, often those with features of overlap syndromes. - While present in some cases, it is not as highly prevalent or as clinically significant as **interstitial lung disease** in patients with anti-Jo-1 antibodies.
Explanation: ***Erythematous periorbital rash*** - An **erythematous periorbital rash** (**heliotrope rash**) is highly characteristic of **dermatomyositis**, not the patient's condition. - This symptom, along with **Gottron's papules** and **proximal muscle weakness**, would point away from scleroderma. *Gastroesophageal reflux* - **Gastroesophageal reflux** is common in **scleroderma**, particularly the limited cutaneous systemic sclerosis (CREST) variant. - Esophageal dysmotility and lower esophageal sphincter incompetence lead to reflux and **heartburn**. *Spasm of blood vessels in response to cold or stress* - This describes **Raynaud's phenomenon**, a hallmark feature of **limited cutaneous systemic sclerosis (CREST syndrome)**. - The patient's description of "bluish discoloration of the fingertips when exposed to cold" directly points to this symptom. *Thickening and tightening of the skin on the fingers* - **Sclerodactyly**, or thickening and tightening of the skin on the fingers, is a primary manifestation of **scleroderma**. - This is a key diagnostic criterion for systemic sclerosis, especially in the limited form. *Dysphagia* - **Dysphagia**, or difficulty swallowing, is very common in **scleroderma** due to **esophageal hypomotility** and fibrosis. - The sensation of food sticking or difficulty propelling food down the esophagus is a frequent complaint.
Explanation: ***Mallory-Weiss tear*** - The patient's history of **repeated vomiting** followed by **hematemesis** is hallmark for a Mallory-Weiss tear. The endoscopic finding of a **mucosal and submucosal tear at the gastroesophageal junction** confirms this diagnosis. - This condition is often precipitated by events that cause a sudden increase in intra-abdominal pressure, such as forceful retching or vomiting, leading to a linear tear. *Hiatal hernia* - A hiatal hernia involves the **protrusion of the stomach through the esophageal hiatus of the diaphragm** and would not typically cause acute hematemesis from a tear. - While it can be associated with gastroesophageal reflux, it does not directly explain sudden-onset bleeding after vomiting. *Esophageal varices* - Esophageal varices are **dilated veins in the lower esophagus** usually due to **portal hypertension**, often seen in patients with liver cirrhosis. - While varices can cause significant upper gastrointestinal bleeding, the endoscopy here reveals a tear, not ruptured varices, and there is no mention of underlying liver disease. *Boerhaave syndrome* - Boerhaave syndrome is a **transmural rupture of the esophagus** following forceful vomiting, which is a much more severe condition than a Mallory-Weiss tear. - It would typically present with **severe chest pain**, **crepitus**, and signs of **mediastinitis** or **pleural effusion** due to esophageal contents leaking into the mediastinum, none of which are described here. *Gastric ulcer* - A gastric ulcer is an **erosion in the stomach lining** that can cause bleeding. - While it can cause hematemesis, the endoscopic finding of a tear specifically at the **gastroesophageal junction** points away from a sole gastric ulcer as the cause.
Explanation: ***Endoscopy*** - The patient presents with **dysphagia to solids and liquids**, significant for **recent weight loss**, and a **history of smoking**, all of which are **alarm symptoms** necessitating an upper endoscopy to rule out malignancy. - While he has **GERD symptoms** as well (retrosternal burning), the presence of alarm features mandates a direct investigation of the upper GI tract rather than empirical treatment. *Omeprazole trial* - An empirical trial of **PPIs** like omeprazole is appropriate for classic GERD symptoms without alarm features. - However, **dysphagia to solids and liquids with associated weight loss**, especially in a patient with a significant **smoking history**, are alarm symptoms that require direct visualization via endoscopy, not just symptom management. *Manometry* - **Esophageal manometry** is used to evaluate the motility of the esophagus and diagnose conditions like achalasia or esophageal spasm. - While the patient has dysphagia, **alarm symptoms (weight loss, smoking history)** raise concern for mechanical obstruction or malignancy, which should be investigated before motility disorders. *Barium swallow* - A **barium swallow** can identify structural abnormalities like strictures, masses, or webs, and also assess motility. - However, in the context of alarm symptoms, a **barium swallow is less sensitive** for detecting subtle mucosal changes or early malignancy compared to endoscopy, and any positive findings would still prompt an endoscopy. *CT scan* - A **CT scan of the chest and abdomen** is useful for assessing extraluminal pathology, mediastinal involvement, or distant metastases. - While it may eventually be part of staging if a malignancy is found, the **initial investigation for esophageal symptoms and alarm features** focuses on direct luminal visualization with endoscopy to identify the primary pathology.
Explanation: ***Azithromycin and trimethoprim-sulfamethoxazole*** - With a **CD4+ count of 33 cells/mm3**, this patient is at high risk for **Pneumocystis jirovecii pneumonia (PJP)** and **Toxoplasma gondii encephalitis**, for which **trimethoprim-sulfamethoxazole (TMP-SMX)** is the prophylaxis of choice. - He is also at very high risk for **Mycobacterium avium complex (MAC) infection**, for which **azithromycin** is the recommended preventative treatment when the CD4 count is below 50 cells/mm3. *Azithromycin and fluconazole* - While **azithromycin** is indicated for MAC prophylaxis, **fluconazole** is typically used for **cryptococcal meningitis** or **candidiasis**, which are not the primary, immediate prophylactic concerns at this specific CD4 count unless there's evidence of these infections. - The most critical opportunistic infections to prevent at a CD4 count of 33 cells/mm3 are PJP, Toxoplasmosis, and MAC. *Azithromycin, dapsone, and fluconazole* - **Dapsone** can be used as an alternative for **PJP prophylaxis** if TMP-SMX is contraindicated, but it is not the first-line choice and does not cover toxoplasmosis as effectively as TMP-SMX alone. - **Fluconazole** again is not a primary prophylactic agent at this CD4 count in the absence of specific indications. *Dapsone* - **Dapsone** is an alternative for **PJP prophylaxis** and can also prevent **Toxoplasma gondii encephalitis** when combined with pyrimethamine, but it is not the first-line recommendation. - It does not provide coverage against **MAC infection**, which is a significant risk at this CD4 count. *Fluconazole* - **Fluconazole** is primarily used for **fungal infections** like **candidiasis** or **cryptococcosis**. - It does not prevent **PJP, Toxoplasmosis, or MAC**, which are the most critical prophylactic concerns for a patient with a CD4 count of 33 cells/mm3.
Explanation: ***Uveitis*** - The constellation of **recurrent oral and genital ulcers**, **skin lesions** (erythema nodosum-like nodules on the shins), and positive pathergy test (implied by the "scars" from ulcers which may suggest an exaggerated skin response) is highly suggestive of **Behçet's disease**. - **Uveitis** is a common and serious ocular complication of Behçet's disease, often leading to visual impairment or blindness if untreated. *Cerebral vein thrombosis* - While **central nervous system (CNS) involvement** can occur in Behçet's disease, leading to various neurological symptoms including **thrombosis**, it is less common than ocular complications like uveitis. - **Cerebral vein thrombosis** is a severe but less frequent manifestation compared to the high prevalence of ocular involvement. *Pulmonary embolism* - **Vascular involvement**, including thrombophlebitis and arterial aneurysms, is a known feature of Behçet's disease, increasing the risk of **thrombosis**. - However, **pulmonary embolism** specifically is a less frequent direct complication compared to other arterial or venous thromboses, and ocular issues are more prevalent. *Gastrointestinal ulceration* - Behçet's disease can affect the **gastrointestinal tract**, causing **ulcerations**, particularly in the ileocecal region. - While a possible complication, gastrointestinal involvement is not as universally noted or as likely to be the *most likely* complication as uveitis, which affects a higher percentage of patients. *Deforming arthritis* - **Arthritis** is a common manifestation in Behçet's disease, typically presenting as **non-erosive and non-deforming** polyarthritis, predominantly affecting large joints like the knees and ankles. - Unlike conditions like rheumatoid arthritis, Behçet's-associated arthritis rarely leads to **joint destruction or deformity**.
Explanation: ***Citrullinated peptides*** - The patient's presentation with **bilateral, symmetrical polyarthritis** affecting the **MCP and PIP joints**, morning stiffness that improves with activity, and a chronic course is highly suggestive of **rheumatoid arthritis (RA)**. - **Anti-citrullinated protein antibodies (ACPA)**, specifically **anti-cyclic citrullinated peptide (anti-CCP) antibodies**, are highly specific for RA and are often present early in the disease course. *Fc region of IgG molecule* - Antibodies directed against the **Fc region of the IgG molecule** are known as **rheumatoid factor (RF)**. While RF is commonly positive in RA, it is less specific than anti-CCP antibodies as it can be found in other autoimmune diseases, infections, and even healthy individuals, especially in older age. - RF is an autoantibody, usually of the IgM class, that binds to the Fc portion of IgG, forming immune complexes that contribute to inflammation. *Topoisomerase I* - Antibodies to **topoisomerase I (Scl-70 antibodies)** are characteristic of **diffuse systemic sclerosis (scleroderma)**, a condition presenting with skin thickening, Raynaud's phenomenon, and internal organ involvement, none of which are described here. - Diffuse systemic sclerosis involves widespread skin involvement and often early and significant internal organ complications like interstitial lung disease. *Centromeres* - Antibodies to **centromeres** are characteristic of **limited systemic sclerosis (CREST syndrome)**, which is associated with calcinosis, Raynaud's phenomenon, esophageal dysmotility, sclerodactyly, and telangiectasias. - This patient's symptoms are focused on inflammatory arthritis and do not align with the features of systemic sclerosis. *Histidyl-tRNA synthetase* - Antibodies to **histidyl-tRNA synthetase**, also known as **anti-Jo-1 antibodies**, are associated with **polymyositis** and **dermatomyositis**, which are inflammatory myopathies causing muscle weakness and sometimes skin rashes. - This patient's primary complaint is joint pain and stiffness, with no mention of muscle weakness or characteristic skin findings of myositis.
Explanation: ***IgA tissue transglutaminase antibodies*** - The patient's symptoms of **fatigue, abdominal bloating and discomfort, watery diarrhea, weight loss, iron deficiency anemia**, and a **pruritic rash (dermatitis herpetiformis)** are highly suggestive of **celiac disease**. - **IgA tissue transglutaminase (tTG) antibodies** are the most sensitive and specific serological test for celiac disease. *Elevated serum amylase concentration* - **Elevated serum amylase** is typically indicative of **pancreatitis**, which is not supported by the patient's symptoms (e.g., severe epigastric pain radiating to the back). - While malabsorption can lead to some pancreatic dysfunction, it would not be the primary diagnostic finding for this presentation. *Intraluminal esophageal membrane* - **Intraluminal esophageal membranes** or **webs** are typically associated with conditions like **Plummer-Vinson syndrome** or **eosinophilic esophagitis**, presenting with dysphagia. - These findings do not explain the patient's prominent gastrointestinal symptoms, weight loss, rash, or anemia. *Periodic acid-Schiff-positive macrophages* - **Periodic acid-Schiff (PAS)-positive macrophages** in the lamina propria are characteristic of **Whipple disease**. - Whipple disease typically presents with polyarthralgia, lymphadenopathy, and neurological symptoms in addition to malabsorption, which are not described here. *Positive hydrogen breath test* - A **positive hydrogen breath test** suggests **small intestinal bacterial overgrowth (SIBO)** or **lactose intolerance**. - While SIBO can cause bloating and diarrhea, it does not explain the pruritic rash (dermatitis herpetiformis) or the severity of the anemia and weight loss as the primary diagnosis.
Explanation: ***Normal cell count, high protein, normal glucose, normal opening pressure*** - This patient's presentation with **ascending paralysis** following a viral illness (nausea and vomiting a few weeks prior) is highly suggestive of **Guillain-Barré Syndrome (GBS)**. - The classic cerebrospinal fluid (CSF) finding in GBS is **albuminocytologic dissociation**, characterized by a **normal white blood cell count** but **elevated protein levels** due to inflammation of nerve roots and increased permeability of the blood-nerve barrier. *High lymphocytes, high protein, low glucose, high opening pressure* - This CSF profile, particularly **low glucose** and **high lymphocytes**, is more characteristic of **bacterial meningitis** or certain **viral encephalitides**, which do not fit the clinical picture of ascending paralysis and intact sensation. - While GBS can have high protein, the presence of low glucose points away from GBS. *High neutrophils, high protein, low glucose, high opening pressure* - This CSF profile strongly suggests **acute bacterial meningitis**, characterized by a prominent **neutrophilic pleocytosis**, low glucose, and high protein, which is not consistent with the patient's symptoms of progressive weakness. - The patient's presentation is a subacute progressive weakness, not an acute infectious process affecting the CNS. *Normal cell count, normal protein, normal glucose, normal opening pressure* - A completely normal CSF profile would make the diagnosis of GBS less likely, as **elevated CSF protein** is a hallmark of the condition due to nerve root inflammation. - While GBS can sometimes have normal CSF early in the disease, in the context of progressing weakness, elevated protein is expected. *High lymphocytes, normal protein, normal glucose, normal opening pressure* - This CSF profile with **high lymphocytes** and otherwise normal parameters might indicate a **viral meningioencephalitis** or other lymphocytic inflammatory conditions, but it does not align with the characteristic **elevated protein** seen in GBS. - The absence of elevated protein despite significant neurological symptoms makes this less likely for GBS.
Explanation: ***Gastric adenocarcinoma*** - The description of a "weird rash" with multiple, **light brown-colored**, **flat plaques** that appear "stuck on" but lack erythema or swelling, appearing suddenly on the torso of a 52-year-old man, is highly suggestive of **leser-trélat sign**. - **Leser-trélat sign** is a paraneoplastic syndrome characterized by the sudden eruption of multiple seborrheic keratoses, often associated with an underlying internal malignancy, most commonly **gastric adenocarcinoma**. *Slow-growing squamous cell carcinoma* - **Squamous cell carcinoma** typically presents as a scaly papule or nodule, often with ulceration or crusting, and is not characterized by widespread, flat, "stuck-on" lesions. - While it is a malignancy, it does not typically manifest with the widespread eruption of seborrheic keratoses described by the Leser-Trélat sign. *Insulin insensitivity* - **Insulin insensitivity** can be associated with **acanthosis nigricans**, which presents as velvety, hyperpigmented plaques, particularly in skin folds. - However, acanthosis nigricans lesions are distinct from the "stuck-on" appearance of seborrheic keratoses seen in Leser-Trélat sign and are not typically flat or light brown like in this case. *Basal cell carcinoma (BCC)* - **Basal cell carcinoma** usually presents as a **pearly nodule** with telangiectasias, often on sun-exposed areas. - It does not cause a sudden eruption of multiple, flat, "stuck-on" plaques across the torso. *Infection with a Poxvirus* - **Poxvirus infections**, such as **molluscum contagiosum**, typically cause small, firm, umbilicated papules. - These lesions are distinct from the flat, light brown plaques seen in this patient and are usually associated with a different clinical presentation.
Explanation: ***Abdominal CT*** - The patient's symptoms (left lower abdominal discomfort, **constipation**, fever) combined with her age suggest **diverticulitis**, which is best evaluated with an **abdominal CT** scan to visualize inflammation, abscess formation, or perforation. - A CT scan can accurately identify **extracolonic inflammation** and complications, which are crucial for guiding treatment. *Colonoscopy* - **Colonoscopy** is generally contraindicated in acute diverticulitis due to the **risk of perforation** in an inflamed colon. - It would be more appropriate for screening or evaluating chronic rather than acute inflammatory conditions. *Abdominal ultrasound* - While ultrasound can detect some **diverticular disease**, its sensitivity is lower than CT for complicated diverticulitis and it is often limited by **bowel gas**. - It is also less effective in detecting complications like **abscesses** or perforations. *Barium study* - **Barium studies** are also contraindicated in acute diverticulitis due to the **risk of barium peritonitis** if there is a perforation. - These studies are primarily used for evaluating anatomy and mucosal abnormalities in non-acute settings. *MRI of the abdomen* - **MRI** can be used, particularly in pregnant patients or those avoiding radiation, but it is generally **less available** and more time-consuming than CT in an acute setting. - **CT scan** is typically the **preferred initial imaging modality** due to its speed, availability, and diagnostic accuracy for acute diverticulitis.
Explanation: ***Ischemic bowel disease*** - The patient's history of **diffuse abdominal pain worsening after meals** (postprandial pain or "abdominal angina"), **bloody diarrhea**, and **significant weight loss** is highly suggestive of **chronic mesenteric ischemia**. - Her history of **systemic lupus erythematosus (SLE)**, which can cause **vasculitis** and **hypercoagulability**, increases the risk of mesenteric artery thrombosis or emboli, leading to bowel ischemia. *Small bowel obstruction* - This typically presents with **colicky abdominal pain**, **vomiting**, and **abdominal distension**, often with obstipation. - While it can cause pain, it does not typically lead to **bloody diarrhea** or chronic postprandial worsening of symptoms. *Acute pancreatitis* - Characterized by **severe epigastric pain** radiating to the back, often associated with nausea and vomiting, and elevated lipase/amylase. - It does not typically present with **bloody diarrhea** or a chronic history of symptoms worsening after eating. *Gastroenteritis* - Usually presents with **acute onset** of nausea, vomiting, diarrhea, and fever, often resolving within a few days to a week. - The **chronic nature** (6 months) of symptoms, significant weight loss, and the specific pattern of postprandial pain make gastroenteritis unlikely. *Ulcerative colitis* - While it causes **bloody diarrhea** and abdominal pain, it typically involves the colon and rectum, and pain is less commonly described as diffuse and worsening specifically after meals due to ischemia. - The primary symptoms are usually **tenesmus**, frequent bowel movements, and rectal bleeding, and it does not typically present with the specific "abdominal angina" associated with mesenteric ischemia.
Explanation: ***Mucosal tear at the gastroesophageal junction*** - The patient's history of **alcoholism** and acute onset of **forceful vomiting** leading to hematemesis is highly suggestive of a **Mallory-Weiss tear**. - This condition involves a longitudinal tear in the **mucosa** or **submucosa** at the **gastroesophageal junction**, often caused by sudden increases in intra-abdominal pressure from retching or vomiting. - The **direct temporal relationship** between the vomiting episode and grossly bloody emesis is the key diagnostic clue. *Gastric mucosal erosion* - While the patient is at significant risk due to **alcoholism**, **ibuprofen** use, and recent **ketorolac** administration, gastric erosions typically cause slow, persistent bleeding (melena or occult bleeding) rather than the sudden, profuse, grossly bloody emesis described. - NSAID-induced mucosal injury develops over time and would not cause acute hematemesis immediately after a single dose of ketorolac. - The acute, forceful vomiting **immediately preceding** the hematemesis points more specifically to a mechanical tear. *Transmural erosion of the gastric wall* - A transmural erosion implies a **perforation** through the entire gastric wall, which would present with signs of peritonitis, such as severe abdominal pain, guarding, and rigidity, none of which are described. - This is a much more severe condition than a mucosal tear and would require urgent surgical intervention. *Dilated submucosal esophageal veins* - **Esophageal varices** are dilated veins typically seen in patients with **portal hypertension** (e.g., due to cirrhosis from chronic alcoholism), and while they can cause severe hematemesis, the onset is usually not as directly linked to an acute episode of forceful vomiting in the way a Mallory-Weiss tear is. - The question emphasizes the immediate preceding vomiting as the trigger for bleeding, which is pathognomonic for Mallory-Weiss tear. *Transmural distal esophagus tear* - A transmural tear of the esophagus (**Boerhaave syndrome**) is a more severe injury involving all layers of the esophageal wall, often associated with a \"retching and tearing\" sensation followed by severe chest pain and subcutaneous emphysema. - It results in **mediastinitis** and systemic illness with signs of sepsis, which is a more profound presentation than a simple mucosal tear and not suggested by the provided vital signs or initial symptoms beyond hematemesis.
Explanation: ***Serum 5-hydroxyindoleacetic acid levels*** - The patient's symptoms are highly suggestive of **carcinoid syndrome**, caused by excessive serotonin production from a neuroendocrine tumor. - Key features include: **watery diarrhea**, **neuropsychiatric symptoms** (confusion, aggressiveness), **pellagra-like dermatitis** (the "purple discoloration with scale-crust" in sun-exposed areas - neck, chest, hands, feet), and **right-sided heart valve disease** (tricuspid stenosis and RV endocardial thickening from serotonin-induced fibrosis). - The **pellagra** occurs because tryptophan is diverted to serotonin production rather than niacin synthesis, causing niacin deficiency. - **Elevated serum 5-hydroxyindoleacetic acid (5-HIAA)**, a serotonin metabolite excreted in urine, is the key biochemical diagnostic marker for carcinoid syndrome and should be measured first. *Anti-nuclear antibody titer* - An **ANA titer** screens for **autoimmune diseases** such as systemic lupus erythematosus or scleroderma. - The constellation of **neuropsychiatric symptoms**, **secretory diarrhea**, **pellagra-like dermatitis**, and **right-sided valvular heart disease** is pathognomonic for carcinoid syndrome, not autoimmune disease. *Stool culture* - A **stool culture** would evaluate for infectious causes of diarrhea such as bacterial gastroenteritis. - However, infectious diarrhea does not explain the patient's **confusion**, **pellagra-like skin lesions**, and **cardiac valve thickening**. *CT scan of the head* - A **CT scan of the head** would be appropriate for evaluating **acute confusion** and **altered mental status** to rule out stroke, intracranial hemorrhage, or mass lesions. - However, the presence of other systemic symptoms (**diarrhea**, **pellagra**, **cardiac involvement**) indicates a systemic metabolic cause rather than a primary neurological etiology. *CT scan of the abdomen* - An **abdominal CT scan** could help identify and localize a **carcinoid tumor** in the gastrointestinal tract (most commonly in the small bowel or appendix). - However, **biochemical confirmation** with elevated **5-HIAA levels** is typically performed first to establish the diagnosis of carcinoid syndrome before proceeding with imaging to localize the primary tumor.
Explanation: ***Barium swallow with video fluoroscopy*** - This is the most appropriate initial diagnostic step to visualize the act of swallowing and identify structural abnormalities in the esophagus and pharynx, such as a **Zenker's diverticulum** (which is strongly suggested by symptoms of dysphagia, halitosis, and regurgitation of undigested food hours after eating). - It allows for the detection of **motility disorders**, strictures, or outpouchings that can cause the described symptoms. *Upper gastrointestinal series* - While it uses barium, an upper GI series focuses more on the **stomach and duodenum** rather than the pharynx and esophagus in dynamic motion during swallowing. - It is less effective in evaluating the **pharyngeal phase of swallowing** and subtle motility issues compared to a dedicated barium swallow with fluoroscopy. *Cervical magnetic resonance imaging* - MRI is excellent for soft tissue evaluation but is not the first-line investigation for **dysphagia caused by structural or motility issues** in the pharynx or esophagus. - It does not provide real-time functional assessment of swallowing and may not clearly visualize the mucosal details or a small diverticulum. *Chest computed tomography scan* - A chest CT scan is primarily used to evaluate structures within the **chest cavity**, including the lungs, mediastinum, and large vessels. - It is generally not the initial diagnostic tool for evaluating **oropharyngeal or esophageal dysphagia** as it offers limited dynamic information about swallowing mechanics. *Chest X-ray* - A chest X-ray provides a static image of the chest and is mainly used to assess cardiopulmonary pathology. - It has **limited utility** in evaluating the esophagus or pharynx for the causes of dysphagia and regurgitation, as it cannot visualize soft tissue details or dynamic swallowing processes.
Explanation: ***Failure of adequate erythropoietin production*** - The patient's history of **chronic kidney disease (CKD)** is the key factor. As kidney function declines, the peritubular interstitial cells in the renal cortex, which produce **erythropoietin (EPO)**, are damaged, leading to inadequate EPO synthesis. - **Erythropoietin** is essential for stimulating red blood cell production in the bone marrow, so its deficiency directly causes **normocytic, normochromic anemia**, consistent with the patient's low hemoglobin (8.5 g/dL) and pallor. *Progressive metabolic acidosis* - While metabolic acidosis can occur in CKD, it primarily impacts overall metabolic function and can mildly suppress bone marrow, but it is not the **primary mechanism** for severe anemia in CKD. - The patient's bicarbonate of 21 mEq/L indicates mild acidosis, not severe enough to be the dominant cause of his profound anemia. *Side effect of his medication* - Although some medications can cause anemia (e.g., ACE inhibitors or angiotensin receptor blockers can rarely worsen renal anemia), there is no information provided about specific medications that would directly cause this degree of **hemoglobin reduction** as their primary side effect in this context. - His complex medical history and lab findings point more directly to a CKD-related etiology for anemia rather than an unmentioned medication side effect. *Failure of 1-alpha-hydroxylation of 25-hydroxycholecalciferol* - This process is crucial for the production of **calcitriol (active vitamin D)** in the kidneys, and its failure primarily leads to **hypocalcemia** and **renal osteodystrophy**. - While related to CKD, impairment of vitamin D activation does not directly explain **decreased hemoglobin production** or significant anemia. *Increased retention of uremic products* - The accumulation of **uremic toxins** in CKD can indeed suppress bone marrow, shorten red blood cell survival, and impair iron utilization, contributing to anemia. - However, the most significant and direct mechanism for anemia in CKD, especially at this stage, is the **lack of erythropoietin production**, which is a hormonal deficiency rather than a toxic effect.
Explanation: ***Reactivation of a latent infection*** - The patient's history of **homelessness**, **IV drug use**, and residence in New York City (a high-prevalence area) makes him highly susceptible to **active tuberculosis (TB)**, which often results from the reactivation of a latent *Mycobacterium tuberculosis* infection. - The symptoms of fever, night sweats, cough with white sputum, and a **cavitary lesion in the left upper lobe** are classic presentations of post-primary (reactivation) TB. *Exposure to contaminated hot water tanks* - This mode of transmission is typically associated with **Legionnaires' disease**, caused by *Legionella pneumophila*. - While Legionnaires' can cause pneumonia, it does not typically present with **cavitary lesions** and is less likely given the long duration of symptoms and high-risk factors for TB. *Aspiration of oral flora* - Aspiration pneumonia usually occurs in individuals with impaired consciousness or swallowing difficulties, often leading to **abscess formation** in dependent lung segments (e.g., posterior segments of upper lobes, superior segments of lower lobes). - While cavitary lesions can occur, the chronicity of symptoms, night sweats, and this patient's specific risk factors point more strongly to TB. *Embolization of a bacterial vegetation* - This describes **septic pulmonary emboli**, often seen in IV drug users due to **tricuspid valve endocarditis**. - This typically results in multiple, bilateral, frequently cavitating nodules, not usually a single, large cavitary lesion in the upper lobe which is highly suggestive of tuberculosis. *Close contact with pigeon droppings* - Exposure to pigeon droppings is a risk factor for **cryptococcosis** (*Cryptococcus neoformans*) or **histoplasmosis** (*Histoplasma capsulatum*) in immunocompromised individuals. - While these can cause pulmonary disease and sometimes cavitation, the presentation is less typical for a single cavitary lesion and less common than TB in this demographic in NYC.
Explanation: ***Colonoscopy*** - A colonoscopy is crucial for **evaluating the extent of ischemic damage**, identifying strictures, and ruling out other pathologies like inflammatory bowel disease or malignancy. - While the patient is clinically stable, direct visualization of the colonic mucosa a few days after the acute event is necessary to **assess healing** and guide future management. *Laparoscopy* - **Laparoscopy is an invasive surgical procedure** primarily used for diagnosis and intervention in acute abdominal conditions, which are not present here. - Given the patient's stable condition and resolution of symptoms, a less invasive diagnostic tool like colonoscopy is more appropriate at this stage. *Discharge home with follow-up in one month* - Discharging the patient without further investigation is **premature** as the full extent of the ischemic injury and potential long-term complications are unknown. - There is a risk of **stricture formation** or recurrent ischemia, necessitating a comprehensive assessment before discharge. *Laparotomy* - **Laparotomy is a major open surgical procedure** reserved for cases with severe ischemia, perforation, or peritonitis, none of which are indicated by the patient's current status. - The patient's stable vital signs and resolution of initial symptoms make this overly aggressive and unnecessary. *Total parenteral nutrition* - **Total parenteral nutrition (TPN) is used when the gastrointestinal tract cannot be used** for an extended period, such as in severe short bowel syndrome or prolonged postoperative ileus. - The patient is currently on IV fluids and is NPO, but there's no indication of long-term inability to use his gut, and the nutritional support does not address the need for structural assessment of the colon.
Explanation: ***Increased fasting serum glucagon level*** - The constellation of **migratory necrolytic erythema** (the described rash), **weight loss**, **diarrhea**, and **hyperglycemia** is highly characteristic of a **glucagonoma**. - A glucagonoma is a **pancreatic neuroendocrine tumor** that overproduces **glucagon**, leading to these systemic manifestations. *Increased serum vasoactive intestinal polypeptide level* - Elevated **VIP (vasoactive intestinal polypeptide)** levels are associated with **VIPomas**, which typically present with **watery diarrhea**, hypokalemia, and achlorhydria (WDHA syndrome). - While diarrhea is present in this patient, the prominent skin rash, weight loss, and hyperglycemia point away from a VIPoma as the primary diagnosis. *Antibodies against desmoglein 1 and 3* - These antibodies are characteristic of **pemphigus vulgaris**, an autoimmune bullous disease that causes **flaccid blisters** and a positive Nikolsky sign. - The patient's presentation of crusty patches with central induration, a negative Nikolsky sign, and epidermal necrosis on biopsy are inconsistent with pemphigus vulgaris. *Antibodies against glutamic acid decarboxylase* - **GAD antibodies** are strongly associated with **Type 1 diabetes mellitus** and **Stiff-person syndrome**. - While the patient has hyperglycemia, the rash and other systemic symptoms are not typical features of Type 1 diabetes, and there are no signs of neurological stiffness. *Antibodies against hemidesmosomes* - Antibodies against hemidesmosomes (specifically BP180 and BP230) are found in **bullous pemphigoid**, an autoimmune blistering disease. - Bullous pemphigoid typically presents with **tense blisters** on an erythematous base and usually affects older individuals, but the distinctive migratory rash, weight loss, and diarrhea are not consistent with this diagnosis.
Explanation: ***Scleroderma*** - The combination of **dysphagia for solids**, **heartburn**, **weight loss**, and characteristic **skin changes** (shiny, taut skin around lips and fingertips) is highly suggestive of **scleroderma (systemic sclerosis)**. - Scleroderma can cause **esophageal dysmotility** due to fibrosis and atrophy of the smooth muscle, leading to impaired peristalsis and a weakened lower esophageal sphincter. *Zenker's diverticulum* - This condition typically presents with **regurgitation of undigested food**, **halitosis**, and sometimes a **gurgling sound** in the neck, which are not described here. - It involves a **pouch protruding from the pharyngeal wall** and is less commonly associated with widespread skin changes. *Diffuse esophageal spasm* - Characterized by **intermittent dysphagia** for both solids and liquids and **chest pain** that can mimic angina. - While it causes dysphagia, it typically does not present with the specific dermatological features seen in this patient. *Achalasia* - Presents with progressive **dysphagia for both solids and liquids**, often accompanied by **regurgitation of undigested food** and occasional chest pain. - It is caused by the **failure of the lower esophageal sphincter to relax** and loss of peristalsis in the esophageal body, but lacks the characteristic skin findings of scleroderma. *Polymyositis* - This is an **inflammatory myopathy** affecting skeletal muscles, leading to muscle weakness, particularly in the proximal muscles. - While it can cause **oropharyngeal dysphagia** due to striated muscle involvement, it typically does not cause the esophageal dysmotility or the characteristic skin changes seen in this case.
Explanation: ***Non-anion gap metabolic acidosis with respiratory compensation*** - This patient has significant **diarrhea**, which causes a loss of **bicarbonate** from the gastrointestinal tract, leading to a **non-anion gap metabolic acidosis**. - The **serum pH of 7.3** confirms acidosis, and the **Pco2 of 38 mm Hg** (which is slightly below the normal range, considering the acidosis) indicates effective **respiratory compensation** for the metabolic disturbance. Calculating the **anion gap** = Na - (Cl + HCO3) = 144 - (115 + 19) = **10 mEq/L** (normal range 8-12 mEq/L), which is within normal limits. *Chronic respiratory acidosis* - This would involve an elevated **Pco2** and a compensatory increase in **bicarbonate**, neither of which are observed in this patient. - The patient's primary problem is loss of bicarbonate due to diarrhea, not impaired CO2 excretion. *Anion gap metabolic acidosis with respiratory compensation* - An **anion gap metabolic acidosis** would show an elevated anion gap (>12 mEq/L), which is not present here (anion gap is 10 mEq/L). - While respiratory compensation is occurring, the underlying acidosis is **non-anion gap**. *Anion gap metabolic acidosis* - This diagnosis requires an **elevated anion gap**, which is calculated as Na - (Cl + HCO3) = 144 - (115 + 19) = **10 mEq/L**. - Since the anion gap is within the normal range, an anion gap metabolic acidosis is excluded. *Non-anion gap metabolic acidosis* - While the patient does have a **non-anion gap metabolic acidosis** due to bicarbonate loss from diarrhea, this option doesn't account for the **respiratory compensation** indicated by the Pco2. - The slightly reduced Pco2 demonstrates the body's attempt to normalize pH, making "with respiratory compensation" a more complete description.
Explanation: ***Villous atrophy with crypt lengthening and intraepithelial lymphocytes*** - The patient's symptoms (amenorrhea, weight loss, diarrhea, abdominal pain, constipation) combined with a **positive IgA anti-tissue transglutaminase antibody (IgA-tTG)** strongly suggest **celiac disease**. - The characteristic endoscopic and histological findings in celiac disease are **villous atrophy**, **crypt hyperplasia (lengthening)**, and increased **intraepithelial lymphocytes** in the small intestine. *Friable mucosal pseudopolyps with biopsy notable for crypt abscesses* - This description is characteristic of **ulcerative colitis**, an inflammatory bowel disease, which typically causes **bloody diarrhea** and is not associated with positive IgA-tTG antibodies. - **Pseudopolyps** result from cycles of ulceration and regeneration, and **crypt abscesses** are hallmarks of active inflammation in ulcerative colitis. *Cobblestoning with biopsy showing transmural inflammation and noncaseating granulomas* - This describes the typical findings in **Crohn's disease**, another inflammatory bowel disease, which can cause **abdominal pain** and **diarrhea** but is not linked to IgA-tTG antibodies. - **Transmural inflammation** means inflammation extends through all layers of the bowel wall, and **noncaseating granulomas** are a key distinguishing feature. *Foamy macrophages, which stain PAS positive* - These findings are characteristic of **Whipple's disease**, a rare bacterial infection caused by *Tropheryma whipplei*. - While Whipple's disease can present with **malabsorption** and **weight loss**, it is not associated with positive celiac serology. *Normal appearing villi and biopsy* - Given the patient's strong clinical suspicion for celiac disease and a **highly positive IgA-tTG** test, normal findings on endoscopy and biopsy would be highly unlikely. - A definitive diagnosis of celiac disease typically requires characteristic histological changes to confirm the serological findings.
Explanation: ***Serum ferritin and soluble transferrin receptor levels*** - This patient has **anemia** (hemoglobin 7.9 g/dL) with **microcytic** (MCV 79 fL) and **hypochromic** features, suggesting either **iron deficiency anemia (IDA)** or **anemia of chronic disease (ACD)**. Given her history of **rheumatoid arthritis**, ACD is highly likely, but co-existing IDA needs to be excluded. - **Serum ferritin** is an acute-phase reactant, so it can be elevated in ACD masking a co-existing iron deficiency. **Soluble transferrin receptor (sTfR)** levels are increased in IDA and remain normal or only mildly elevated in ACD, making it a reliable marker to differentiate between these two conditions when ferritin is uninterpretable due to inflammation. *Serum ferritin level and total iron-binding capacity (TIBC)* - While these tests are useful for diagnosing iron deficiency, **ferritin** can be falsely elevated in the context of inflammation (e.g., from **rheumatoid arthritis**), making it unreliable for diagnosing IDA in this patient. - **TIBC** can be decreased in ACD, complicating its interpretation for IDA when inflammation is present. *Serum ferritin and serum iron levels* - As mentioned, **serum ferritin** is an acute-phase reactant and may be elevated due to **rheumatoid arthritis**, potentially masking **iron deficiency**. - **Serum iron levels** fluctuate significantly and are not a reliable standalone indicator for iron status, especially in the context of chronic disease. *Serum iron level* - **Serum iron levels** are highly variable and not sufficient for diagnosing **iron deficiency** or differentiating it from **anemia of chronic disease**. - A low serum iron can be seen in both IDA and ACD but does not provide definitive diagnostic information on its own. *Serum ferritin level* - Measuring **serum ferritin** alone is insufficient because it is an **acute-phase reactant** that can be elevated due to the patient's **rheumatoid arthritis**, even if she has co-existing **iron deficiency anemia**. - A normal or high ferritin level in this context does not rule out **iron deficiency**.
Explanation: ***Decreased erythropoietin production*** - This patient presents with **normocytic anemia** (MCV 84 μm3), **elevated BUN and creatinine** indicative of renal dysfunction, and a history of **long-standing type 1 diabetes mellitus** and **hypertension**, all of which predispose to **chronic kidney disease**. - **Chronic kidney disease** is the most common cause of reduced **erythropoietin production**, leading to impaired red blood cell synthesis and **anemia of chronic disease**. Her **ferritin level (145 ng/mL)** is within normal range, making iron deficiency less likely despite the reported blood streaks. *Chronic occult blood loss* - While she has reported occasional streaks of blood in her stools, her **ferritin level** is within the normal range to elevated, which would typically be very low in significant **chronic blood loss** leading to iron deficiency anemia. - Furthermore, her **MCV is normal**, whereas chronic blood loss often leads to **microcytic anemia** due to iron deficiency. *Deficient vitamin B12 intake* - **Vitamin B12 deficiency** typically causes **macrocytic anemia** (MCV > 100 μm3), which is not seen in this patient (MCV 84 μm3). - Although she has type 1 diabetes, which can be associated with autoimmune gastritis and thus B12 deficiency, her normal MCV makes this diagnosis unlikely. *Malignant plasma cell replication* - **Malignant plasma cell replication**, such as in **multiple myeloma**, can cause anemia, kidney failure, and elevated creatinine. - However, multiple myeloma typically presents with an **elevated calcium level**, bone pain, and often a **hypergammaglobulinemia**, none of which are explicitly indicated or align with the primary presentation of her anemia. *Drug-induced bone marrow failure* - While several medications can cause **bone marrow suppression**, there is no evidence in the patient's history or lab results (normal WBC and platelet counts, normal reticulocyte count that is only relatively low given the anemia) to suggest **global bone marrow failure**. - The anemia is specifically normocytic and associated with clear signs of **chronic kidney disease**, a more direct cause of decreased red blood cell production.
Explanation: ***Peripheral lymphadenopathy*** - The presence of **widespread peripheral lymphadenopathy** (bilateral axillary and inguinal) combined with massive splenomegaly indicates **advanced-stage chronic lymphocytic leukemia (CLL)**. - In the **Rai staging system**, lymphadenopathy places patients at Stage I-II, and when combined with splenomegaly (Stage II) or organomegaly, indicates **intermediate risk**. Multiple lymph node regions involved suggests more advanced disease. - In the **Binet staging system**, involvement of ≥3 lymphoid areas (axillary bilateral + inguinal + spleen) places the patient at **Stage B or C**, associated with **poorer prognosis**. - Extensive lymphadenopathy reflects **higher tumor burden** and is a well-established poor prognostic factor in CLL and low-grade lymphomas. *Thrombocytopenia* - While thrombocytopenia in CLL indicates **Rai Stage IV** (highest risk), it is **not mentioned in this patient's presentation**. - Thrombocytopenia would indeed be a poor prognostic sign if present, but the question asks about findings from the clinical scenario provided. *Lymphocytosis* - **Lymphocytosis** is the hallmark laboratory finding in CLL and required for diagnosis. - However, **isolated lymphocytosis** without lymphadenopathy or organomegaly represents **Rai Stage 0** (low risk) or **Binet Stage A** (best prognosis). - The **degree of lymphocytosis alone** is not as strong a prognostic indicator as the extent of lymph node and organ involvement. *Bone lesions* - **Lytic bone lesions** are characteristic of **multiple myeloma**, not CLL. - CLL typically causes **bone marrow infiltration** but not destructive bone lesions. - The clinical presentation (lymphadenopathy, splenomegaly, no bone pain) does not suggest myeloma. *BCR-ABL gene* - The **BCR-ABL fusion gene** (Philadelphia chromosome) is the defining feature of **chronic myeloid leukemia (CML)**, not CLL. - CML typically presents with **marked leukocytosis** (often >100,000/μL), **basophilia**, and massive splenomegaly but **rarely has significant lymphadenopathy**. - This patient's presentation with **prominent lymphadenopathy** strongly suggests a **lymphoproliferative disorder** (CLL or lymphoma), not CML.
Explanation: ***Guttate psoriasis*** - This condition is characterized by **acute onset** of **small (2–5 mm)**, **droplike**, erythematous papules with **fine silver scales**, predominantly on the trunk. - It often follows an **upper respiratory tract infection**, particularly with *Streptococcus pyogenes*, as indicated by the recent **sore throat and laryngitis** requiring amoxicillin. *Bullous pemphigoid* - This autoimmune blistering disease primarily affects the **elderly** and presents with large, **tense bullae** on an erythematous or urticarial base. - It does not typically present with small, scaly papules or have a direct association with recent streptococcal infections. *Plaque psoriasis* - The most common type of psoriasis, presenting with **well-demarcated**, erythematous plaques covered by **thick, silvery scales**, usually larger than 5 mm. - While it can be found on the trunk, its lesions are typically larger and chronologically more stable than the acute, droplike lesions described. *Pemphigus vulgaris* - This is a severe autoimmune blistering disease characterized by **flaccid bullae** and erosions on the skin and **mucous membranes**. - It involves intraepidermal blistering due to acantholysis and is not associated with recent sore throat or small, scaly papules. *Inverse psoriasis* - This form of psoriasis affects **skin folds** (e.g., axillae, groin, inframammary regions) and presents as **smooth, erythematous plaques** without significant scaling due to moisture. - Its location and lack of typical scaling differ from the described lesions on the chest, shoulders, and back.
Explanation: ***Anti-centromere antibodies*** - The patient's symptoms of **dysphagia for solids and liquids**, **Raynaud's phenomenon** (hands losing color and becoming numb), and **tightened skin on the fingers** are classic features of **CREST syndrome**, a limited form of systemic sclerosis. - **Anti-centromere antibodies** are highly specific for CREST syndrome (Calcinosis, Raynaud's phenomenon, Esophageal dysmotility, Sclerodactyly, Telangiectasias). *Anti-mitochondrial antibodies* - These antibodies are the hallmark of **primary biliary cholangitis (PBC)**, a chronic autoimmune liver disease. - PBC presents with **fatigue, pruritus, and jaundice**, not the symptoms described in the patient. *Anti-U1-RNP antibodies* - These antibodies are characteristic of **mixed connective tissue disease (MCTD)**, which has overlapping features of several autoimmune diseases. - While MCTD can include Raynaud's and esophageal dysmotility, the combination of specific sclerodactyly and dysphagia points more strongly to CREST in this context. *Anti-CCP antibodies* - **Anti-cyclic citrullinated peptide (anti-CCP) antibodies** are highly specific for **rheumatoid arthritis (RA)**. - RA typically presents with **symmetrical polyarthritis** and joint swelling, which the patient denies. *Anti-topoisomerase antibodies* - Also known as **anti-Scl-70 antibodies**, these are associated with **diffuse systemic sclerosis**, a more severe form of scleroderma. - Diffuse systemic sclerosis typically involves **widespread skin thickening** and earlier onset of **internal organ involvement**, including lung fibrosis and renal crisis, which are not described.
Explanation: **Correct Answer: Monosodium urate crystals** - The patient has a history of **chronic myelogenous leukemia (CML)** and recently underwent **chemotherapy**, increasing the risk of **tumor lysis syndrome** and subsequent hyperuricemia. - The presentation of acute, severe joint pain and swelling in multiple joints, including the **left big toe** (podagra), with elevated creatinine, phosphorus, and mildly low calcium, is highly suggestive of **gout**. - Laboratory findings of **hyperphosphatemia (7.2 mg/dL)** and **acute kidney injury (Cr 2.2 mg/dL)** with **hypocalcemia (8.2 mg/dL)** are classic for **tumor lysis syndrome**, which causes massive purine breakdown and hyperuricemia. *Incorrect: Calcium phosphate crystals* - These are associated with **hydroxyapatite deposition disease**, which typically presents with periarticular calcification and inflammation, often involving the shoulder, but not typically with the **biochemical abnormalities** seen here (hyperphosphatemia, elevated creatinine). - The clinical picture of **podagra** and the context of chemotherapy-induced **hyperuricemia** strongly point away from calcium phosphate crystals. *Incorrect: Gram-negative diplococci* - This would indicate **gonococcal arthritis**, which typically occurs in younger, sexually active individuals and presents with fever, skin lesions (pustules), and tenosynovitis, which are absent here. - The patient's age (65), lack of significant fever, and specific presentation of podagra with relevant **chemotherapy history** do not support infectious arthritis, especially gonococcal. *Incorrect: Gram-positive cocci in clusters* - This suggests **Staphylococcal septic arthritis**, which would often present with a higher fever, chills, and typically affects a single joint, although multiple joints can be involved. - While chemotherapy can lead to immunocompromise, the elevated **uric acid precursors** (due to tumor lysis) and the characteristic **podagra** in the big toe make gout a much more likely diagnosis than septic arthritis. *Incorrect: Calcium pyrophosphate crystals* - These cause **pseudogout**, also known as calcium pyrophosphate deposition disease (CPPD), which can affect knees and mimic gout, but it is not directly associated with leukemia or chemotherapy-induced **tumor lysis syndrome**. - The laboratory findings of **hyperphosphatemia** and history of chemotherapy, leading to high cell turnover, are more consistent with **hyperuricemia** from tumor lysis than with pseudogout.
Explanation: ***Intravenous fluids and electrolytes*** - The patient presents with **orthostatic hypotension**, internal bleeding (hematemesis, ecchymoses), and deranged renal function (elevated creatinine). These indicate significant **fluid loss** and potential **hypovolemic shock**, making immediate fluid resuscitation critical. - **Ebola virus disease** (indicated by the travel history, symptoms, and positive filovirus genomes) often leads to severe dehydration due to fluid loss from vomiting, diarrhea, and internal bleeding, necessitating aggressive fluid and electrolyte replacement as a cornerstone of supportive care. *Esophagogastroduodenoscopy* - While the patient has hematemesis, her overall clinical picture with **severe coagulopathy** (elevated PT/aPTT, low platelets, positive fibrin split products) and **multisystem involvement** suggests a systemic bleeding disorder rather than a focal upper GI bleed that would be the primary target of an EGD. - Performing an invasive procedure like EGD in a patient with severe coagulopathy and a highly contagious disease like Ebola (implied by filovirus detection) carries significant risks and is not the most immediate priority compared to stabilizing vital signs and correcting fluid deficits. *Postexposure vaccination of close contacts* - This is a crucial public health measure for **Ebola virus disease** but is a secondary step in management focused on prevention for others, not the immediate stabilization or treatment of the acutely ill patient. - While important, it does not address the patient's immediate, life-threatening symptoms of hypovolemia, bleeding, and organ dysfunction. *Parenteral artesunate plus sulfadoxine/pyrimethamine* - This regimen is an antimalarial treatment. While the patient traveled to Western Africa, her symptoms and the detection of **filovirus genomes** rule out malaria as the primary diagnosis requiring this specific treatment. - Administering antimalarials would delay appropriate supportive care for Ebola virus disease and is not indicated given the specific viral diagnosis. *Use of N95 masks* - **N95 masks** are important for healthcare worker protection given the patient's symptoms and confirmed filovirus. However, the question asks for the most appropriate *immediate step in management* of the patient's condition. - While infection control is paramount, providing immediate direct patient care like fluid resuscitation takes precedence for the patient's survival over PPE considerations, assuming adequate PPE is already being donned by healthcare providers.
Explanation: ***Esophageal smooth muscle fibrosis*** - The patient's symptoms are highly suggestive of **systemic sclerosis (scleroderma)**, specifically **CREST syndrome** (limited cutaneous systemic sclerosis), characterized by **Calcinosis**, **Raynaud's phenomenon**, **Esophageal dysmotility**, **Sclerodactyly**, and **Telangiectasias**. - The **white papules on fingertips** represent **calcinosis cutis** (subcutaneous calcium deposits), and **skin hardening** indicates sclerodactyly. - In scleroderma, **fibrosis** and atrophy of the **esophageal smooth muscle** (particularly the distal two-thirds) lead to impaired peristalsis and lower esophageal sphincter dysfunction, causing the described **dysphagia** and reflux. - This is the most common GI manifestation of systemic sclerosis. *Tissue membrane obstructing esophageal lumen* - An **esophageal web** or **Schatzki ring** can cause dysphagia, typically to solids, but it does not explain the systemic findings like sclerodactyly, calcinosis, or telangiectasias. - These conditions are structural obstructions, whereas the patient's presentation suggests a systemic connective tissue disease affecting esophageal motility. *Demyelination of brain and spinal cord axons* - **Demyelination**, as seen in conditions like **multiple sclerosis**, can cause bulbar symptoms and dysphagia, but it would not explain the **cutaneous manifestations** such as sclerodactyly, calcinosis, and telangiectasias. - This etiology would typically present with other neurological deficits, which are not mentioned here. *Degeneration of neurons within esophageal wall* - **Achalasia**, involving the degeneration of inhibitory neurons in the myenteric plexus, causes absent esophageal peristalsis and impaired LES relaxation, leading to dysphagia. - However, achalasia does not typically present with **sclerodactyly**, **calcinosis**, or **telangiectasias**, which point strongly towards systemic sclerosis. *Outpouching of the lower pharyngeal mucosa* - An **esophageal diverticulum**, such as **Zenker's diverticulum**, can cause dysphagia, regurgitation of undigested food, and halitosis. - This condition is a localized structural abnormality and does not account for the **systemic connective tissue** findings observed in the patient.
Explanation: ***Angiodysplasia*** - The patient's presentation with **iron deficiency anemia**, **generalized fatigue**, **dyspnea on exertion**, and **positive fecal occult blood** in an elderly individual is highly suggestive of chronic gastrointestinal blood loss. The colonoscopy image would likely show the characteristic vascular malformations of angiodysplasia. - **Angiodysplasia** is a common cause of GI bleeding in the elderly, often occurring in the **right colon**. These lesions are fragile and prone to intermittent, painless bleeding leading to iron deficiency anemia. *Colon cancer* - While **colon cancer** can cause iron deficiency anemia and positive fecal occult blood, the patient's lack of other alarm symptoms such as **weight loss**, **change in bowel habits**, or **abdominal pain** makes it less likely, especially with a normal colonoscopy 10 years prior (though a new lesion is possible). - The colonoscopy image would typically show a **polypoid mass** or ulcerated lesion, not the distinct vascular malformations characteristic of angiodysplasia. *Intestinal obstruction* - **Intestinal obstruction** would primarily present with symptoms like **nausea**, **vomiting**, **abdominal distension**, and **constipation**, which are not reported by the patient. - It is not a direct cause of **chronic GI blood loss** leading to iron deficiency anemia, although some causes of obstruction (like a tumor) could also bleed. *Hereditary hemorrhagic telangiectasia* - **Hereditary hemorrhagic telangiectasia (HHT)**, or **Osler-Weber-Rendu syndrome**, is characterized by widespread **mucocutaneous telangiectasias** and recurrent bleeding from various sites, including the GI tract. - However, HHT is a genetic disorder usually presenting with symptoms **earlier in life** and affecting multiple organs; there are no signs of other affected systems or mucocutaneous lesions mentioned. *Diverticulitis* - **Diverticulitis** typically presents with acute **left lower quadrant abdominal pain**, **fever**, and changes in bowel habits, which are absent in this patient. - While **diverticulosis** (the presence of diverticula) can cause significant GI bleeding, **diverticulitis** refers to inflammation or infection of the diverticula, not directly chronic, occult bleeding leading to anemia in this context without other symptoms.
Explanation: ***Lifelong Vitamin B12 supplementation*** - The patient's **macrocytic anemia** (MCV 111 fL, Hgb 9.3 g/dL), elevated methylmalonic acid (MMA) and homocysteine, and a positive Schilling test strongly indicate **pernicious anemia**, a form of **Vitamin B12 deficiency** due to inadequate intrinsic factor. - **Pernicious anemia** requires lifelong Vitamin B12 supplementation, usually via intramuscular injections due to impaired absorption. - The **elevated MMA** is particularly specific for B12 deficiency (as opposed to folate deficiency, which does not elevate MMA). *Obtain a Coombs test* - A **Coombs test** is used to detect antibodies that coat red blood cells, which is relevant in **autoimmune hemolytic anemia**. - The patient's clinical picture, particularly the elevated MMA/homocysteine and positive Schilling test, points away from **hemolytic anemia** and towards **Vitamin B12 deficiency**. *Lifelong folic acid supplementation* - While **folic acid deficiency** can also cause **macrocytic anemia** and elevated homocysteine, it does **not** cause elevated MMA. - Supplementing with **folic acid alone** in the presence of **Vitamin B12 deficiency** can mask the hematological symptoms while allowing neurological damage to progress. *Give corticosteroids and iron supplementation* - **Corticosteroids** are typically used in conditions like **autoimmune hemolytic anemia** or other autoimmune diseases, which are not suggested by the lab results. - **Iron supplementation** is indicated for **iron-deficiency anemia**, which presents with **microcytic** or **normocytic anemia**, not the **macrocytic anemia** seen here. *Iron supplementation for 4–6 months* - This intervention is appropriate for **iron-deficiency anemia**, which is characterized by **microcytic anemia** and low ferritin/iron levels. - The patient's **macrocytic anemia** and elevated MMA/homocysteine rule out **iron-deficiency anemia** as the primary issue.
Explanation: ***Plummer-Vinson syndrome*** - This syndrome is characterized by the triad of **iron deficiency anemia**, **dysphagia** due to **esophageal webs**, and **glossitis** or cheilosis, all of which are consistent with the patient's presentation including fatigue, pallor, low hemoglobin with microcytic indices, and difficulty swallowing. - The presence of a **proximal esophageal web** on barium swallow, along with the severe **iron deficiency** (ferritin 9.7 ng/mL, normal range >20 ng/mL), strongly points to this diagnosis. *Idiopathic achalasia* - Achalasia is characterized by the **failure of the lower esophageal sphincter to relax** and loss of peristalsis in the distal esophagus, leading to dysphagia for both solids and liquids. - It does not typically present with **iron deficiency anemia** or **esophageal webs** in the proximal esophagus. *Esophageal carcinoma* - While esophageal carcinoma can cause **dysphagia** and **weight loss**, it is less likely to present with **proximal esophageal webs** and clearly defined microcytic anemia without evidence of chronic blood loss or a mass on imaging. - The patient's age and history do not strongly suggest the typical risk factors for esophageal carcinoma (e.g., long-standing GERD, smoking, high alcohol intake) particularly in the proximal esophagus. *Zenker diverticulum* - A Zenker diverticulum is a **pharyngoesophageal pouch** that can cause **dysphagia**, **regurgitation of undigested food**, and **halitosis**. - It would appear as a **pouch** on barium swallow, not typically described as a "web," and is not directly associated with **iron deficiency anemia** unless there's chronic bleeding from the diverticulum itself, which is not indicated here. *Diffuse esophageal spasm* - This condition is characterized by **uncoordinated esophageal contractions** and **chest pain**, often triggered by hot or cold food, but typically does not cause **esophageal webs**. - It is not associated with **iron deficiency anemia**.
Explanation: ***Perforation*** - The patient has a **duodenal ulcer** in the **anterior duodenal bulb** (mucosal breach extending into the submucosa), presenting with the classic **pain-food-relief pattern**. - **Anterior duodenal ulcers** have the **greatest risk of perforation** into the peritoneal cavity, which is a life-threatening surgical emergency. - The **anatomical location is critical**: anterior ulcers erode anteriorly through the duodenal wall into the free peritoneal cavity, while posterior ulcers tend to erode into the gastroduodenal artery. - The depth of this ulcer (extending into submucosa) further increases perforation risk. *Hematemesis* - Hematemesis or melena from bleeding is more characteristic of **posterior duodenal ulcers**, which can erode into the **gastroduodenal artery**. - While anterior ulcers can bleed, their primary risk is perforation due to their anatomical position. - The **anterior location** specified in this case makes perforation the greater concern. *Pernicious anemia* - This condition results from **autoimmune destruction of gastric parietal cells** leading to **vitamin B12 deficiency**. - Pernicious anemia is completely unrelated to duodenal ulcers. - No clinical information suggests autoimmune gastritis or B12 deficiency. *Adenocarcinoma* - **Duodenal ulcers virtually never undergo malignant transformation**, unlike gastric ulcers which rarely can. - **Brunner gland hypertrophy** is a benign response to chronic duodenal injury and is not a precursor to malignancy. - Duodenal adenocarcinoma is exceedingly rare and not associated with peptic ulcer disease. *Gastric outlet obstruction* - This complication results from **chronic inflammation and scarring** around pyloric or duodenal ulcers, causing progressive narrowing. - While possible with chronic duodenal ulcers, it develops gradually over time. - The **acute/greatest risk** from a deep anterior ulcer is perforation, not obstruction.
Explanation: ***Amoxicillin-clavulanate*** - This patient presents with **acute bacterial sinusitis**, characterized by maxillary pain and tenderness, purulent (yellow/green) nasal discharge, and pain worsening with bending forward (from increased pressure in the sinuses). - The symptoms started **one day ago** with mild fever (99°F) and the patient otherwise feels well, which is typical for uncomplicated acute bacterial sinusitis. - **Amoxicillin-clavulanate** is the appropriate first-line antibiotic for acute bacterial sinusitis, particularly when bacterial resistance is a concern or in patients with risk factors. - While the patient has diabetes, the clinical presentation is classic for **bacterial sinusitis**, not an invasive fungal infection. *Amphotericin and debridement* - This aggressive treatment would be indicated for **mucormycosis** (invasive fungal sinusitis), which typically presents with black necrotic eschars, rapid progression, orbital involvement, altered mental status, or signs of tissue necrosis. - This patient lacks the severe clinical features of mucormycosis: he has mild fever, feels generally well, and symptoms began only one day ago. - While diabetes and IV drug use are risk factors for fungal infections, the **clinical presentation** here is consistent with common bacterial sinusitis, making this treatment inappropriately aggressive and premature. *MRI head* - MRI would be indicated if there were concern for complications such as orbital cellulitis, cavernous sinus thrombosis, or invasive fungal infection, none of which are suggested by this presentation. - This patient has **uncomplicated acute sinusitis** that should be treated empirically with antibiotics first. *CT head* - CT imaging is not routinely indicated for uncomplicated acute bacterial sinusitis and would not change initial management. - Imaging would be considered if symptoms persist despite appropriate antibiotic therapy, or if complications are suspected. *Pseudoephedrine and follow up in 1 week* - While symptomatic treatment with decongestants can be helpful, antibiotics are warranted in this case given the purulent discharge and significant facial pain. - However, observation with symptomatic treatment alone would be reasonable for mild cases of viral rhinosinusitis lasting less than 10 days.
Explanation: ***Secretin stimulation test*** - The presence of multiple ulcers in unusual locations (duodenum and jejunum), **erosive gastritis**, despite PPI therapy and negative *H. pylori* test, is highly suggestive of **Zollinger-Ellison syndrome (ZES)**. - A secretin stimulation test is the most accurate diagnostic test for ZES. It assesses the paradoxical increase in gastrin levels after secretin administration, which is characteristic of **gastrinomas**. *Calcium infusion study* - While sometimes used in ZES diagnosis, especially if secretin stimulation test is inconclusive, a **calcium infusion study** is less specific and sensitive than the secretin stimulation test. - It involves infusing calcium and monitoring gastrin levels; however, it has a higher incidence of side effects. *Serum prolactin level* - **Serum prolactin level** is used to diagnose **prolactinomas**, a type of pituitary adenoma, which causes symptoms like galactorrhea, amenorrhea, or erectile dysfunction. - These symptoms are unrelated to the patient’s presentation of severe dyspepsia and refractory ulcers. *Serum chromogranin A level* - **Chromogranin A** is a tumor marker for neuroendocrine tumors, including gastrinomas. However, its specificity is low, as levels can be elevated in conditions like chronic atrophic gastritis, chronic renal failure, and during PPI use. - It is often used for monitoring treatment response or recurrence rather than initial diagnosis of ZES. *Empiric triple therapy* - **Empiric triple therapy** is the standard treatment for *H. pylori* infection, consisting of a PPI, amoxicillin, and clarithromycin (or metronidazole). - The patient's gastric biopsy was already **negative for *H. pylori***, and his ulcers are refractory to standard PPI therapy, indicating that *H. pylori* is not the cause and further empiric treatment would be ineffective.
Explanation: ***Anti-Jo-1 antibodies*** - The patient's symptoms of **progressive proximal muscle weakness** (difficulty combing hair, climbing stairs), skin findings including a **heliotrope rash** (rash involving the orbits), and **diffuse erythema of the upper back** (shawl sign) are highly suggestive of **dermatomyositis**. - **Anti-Jo-1 antibodies** are a specific type of **anti-synthetase antibody** associated with anti-synthetase syndrome, which manifests with dermatomyositis or polymyositis, interstitial lung disease, Raynaud's phenomenon, and "mechanic's hands." *Anti-Ro antibodies* - **Anti-Ro (SSA) antibodies** are commonly associated with **Sjögren's syndrome** and **systemic lupus erythematosus** (SLE), particularly subacute cutaneous lupus and neonatal lupus. - While the patient's mother had SLE, the patient's primary symptoms of proximal muscle weakness and characteristic rashes point away from Sjögren's syndrome or typical SLE presentation. *Voltage-gated calcium channel antibodies* - These antibodies are characteristic of **Lambert-Eaton myasthenic syndrome (LEMS)**, a presynaptic disorder of neuromuscular transmission often associated with small cell lung cancer. - LEMS typically causes proximal muscle weakness, but also autonomic dysfunction and absent or diminished reflexes, and does not present with the characteristic skin findings seen in this patient. *Anti-centromere antibodies* - **Anti-centromere antibodies** are highly specific for **CREST syndrome**, a limited form of systemic sclerosis. - CREST syndrome involves **calcinosis, Raynaud's phenomenon, esophageal dysmotility, sclerodactyly, and telangiectasias**, none of which are described in this patient's presentation. *Anti-histone antibodies* - **Anti-histone antibodies** are primarily associated with **drug-induced lupus erythematosus**, particularly with drugs like procainamide, hydralazine, and isoniazid. - Although the patient is on chlorthalidone (which can rarely induce lupus-like symptoms), her symptoms of severe proximal muscle weakness and characteristic dermatomyositis rash are not typical for drug-induced lupus.
Explanation: ***Anti-parietal cell antibodies*** - The patient's symptoms (early satiety, diarrhea, fatigue, glossitis), history of **iron deficiency anemia** and **vitamin B12 deficiency**, and findings of **atrophic gastritis** are classic for **pernicious anemia**, an autoimmune condition affecting gastric parietal cells. - **Anti-parietal cell antibodies** are present in about 90% of individuals with pernicious anemia and are highly specific for this condition. *Anti-Saccharomyces cerevisiae antibodies (ASCAs)* - **ASCAs** are typically associated with **Crohn's disease**, an inflammatory bowel disease, which is not suggested by the patient's presentation of atrophic gastritis and specific nutrient deficiencies. - Crohn's disease primarily causes chronic inflammation of the GI tract, leading to symptoms like abdominal pain, weight loss, and malabsorption, but not specifically autoantibody-mediated atrophic gastritis. *Anti-Helicobacter pylori antibodies* - While *H. pylori* can cause atrophic gastritis, it does not typically lead to the profound **vitamin B12 deficiency** seen with pernicious anemia due to autoimmune destruction of parietal cells responsible for intrinsic factor production. - The patient's presentation is more consistent with an autoimmune etiology rather than an infectious one, despite the possibility of *H. pylori* co-infection. *Anti-IgA antibodies* - **Anti-IgA antibodies** are relevant in **celiac disease** diagnostics, particularly when a patient with suspected IgA deficiency is being tested for anti-tissue transglutaminase (tTG-IgA) antibodies. - The patient's symptoms do not specifically point to celiac disease, and the finding of antral atrophic gastritis is not characteristic of celiac disease. *Anti-neutrophil cytoplasmic antibodies (ANCAs)* - **ANCAs** are associated with **vasculitic conditions** such as granulomatosis with polyangiitis and microscopic polyangiitis or certain inflammatory bowel diseases like ulcerative colitis. - The clinical picture provided, including specific malabsorption and atrophic gastritis, does not align with the typical manifestations of ANCA-associated diseases.
Explanation: ***Negatively birefringent crystals in the joint*** - This patient presents with classic **acute gouty arthritis**: sudden onset of severe pain in the **first metatarsophalangeal joint (podagra)**, with **erythema**, **swelling**, and **warmth**. - Key risk factors include **thiazide diuretic use** (decreases uric acid excretion), heavy **red meat consumption** (high purine intake), and **alcohol intake** (increases uric acid production and decreases excretion). - **Gout** is caused by precipitation of **monosodium urate (MSU) crystals** in joints due to hyperuricemia. - On **synovial fluid analysis**, MSU crystals appear as **needle-shaped, negatively birefringent** crystals under polarized light microscopy (yellow when parallel to the polarizer axis, blue when perpendicular). *Positively birefringent crystals in the joint* - **Positively birefringent** rhomboid-shaped crystals of **calcium pyrophosphate dihydrate (CPPD)** are characteristic of **pseudogout** (blue when parallel, yellow when perpendicular to polarizer). - Pseudogout typically affects larger joints like the **knee** or wrist and occurs in older patients, often associated with metabolic conditions (hyperparathyroidism, hemochromatosis). - The acute presentation in the **first MTP joint** with the patient's specific risk factors makes gout far more likely. *Fractures with bony consolidations* - This finding suggests **previous trauma** with healing fractures, not consistent with this acute inflammatory presentation. - While trauma could cause acute joint pain, the described **inflammatory signs** (warmth, erythema), **specific location** (1st MTP), and **risk factors** point away from traumatic etiology. *Inflammatory pannus formation* - **Pannus formation** (hypertrophied, invasive synovial tissue) is a hallmark of **rheumatoid arthritis**. - Rheumatoid arthritis typically presents with **symmetrical polyarthritis**, **morning stiffness lasting >30 minutes**, gradual onset over weeks to months, and often affects **metacarpophalangeal (MCP) and proximal interphalangeal (PIP) joints**. - The **acute monoarticular** presentation and **first MTP joint** involvement are not typical of RA. *Subchondral sclerosis and osteophyte formation* - These are characteristic radiographic features of **osteoarthritis**, representing chronic degenerative changes. - Osteoarthritis develops **gradually**, is associated with **mechanical pain** that worsens with activity and improves with rest, and lacks the **acute inflammatory signs** seen in this patient. - The patient's young age (52) and acute presentation make primary OA of the first MTP joint unlikely.
Explanation: ***Pernicious anemia*** - The symptoms, including **fatigue**, **pale conjunctiva and skin**, **smooth red tongue (atrophic glossitis)**, and cold extremities, are classic manifestations of **vitamin B12 deficiency**, often caused by pernicious anemia. - Pernicious anemia results from impaired absorption of vitamin B12 due to a lack of **intrinsic factor**, leading to **megaloblastic anemia** with neurological symptoms often observed in later stages. *Herpes simplex virus-1 infection* - HSV-1 typically causes **oral lesions** like cold sores or fever blisters, which are usually painful vesicles and ulcers, not a diffuse smooth, red tongue. - While it can cause oral discomfort, it does not explain the systemic symptoms of **fatigue** and **pallor** suggestive of anemia. *Oral candidiasis infection* - Oral candidiasis (thrush) presents as **white, creamy patches** on the tongue and oral mucosa that can be scraped off, often associated with immunocompromise. - This presentation does not match the **smooth, red tongue** described, nor does it typically cause profound systemic fatigue and pallor in an otherwise healthy adult. *Kawasaki disease* - Kawasaki disease is a **vasculitis primarily affecting children**, characterized by fever, conjunctivitis, rash, lymphadenopathy, and a **strawberry tongue**. - It is highly unlikely in a 46-year-old woman and does not manifest with the **pale skin** or classic presentation of **pernicious anemia**. *Plummer-Vinson syndrome* - Plummer-Vinson syndrome is characterized by the triad of **iron deficiency anemia**, **dysphagia** (due to esophageal webs), and **glossitis**. - While glossitis and anemia are present, the history notes **normal fluoroscopic evaluation of the swallowing mechanism and esophagus**, ruling out esophageal webs, which are a hallmark of Plummer-Vinson syndrome.
Explanation: **Arthrocentesis** - **Arthrocentesis** is crucial to confirm the diagnosis of **gout** by identifying **negatively birefringent needle-shaped crystals** in the joint fluid, while also ruling out **septic arthritis**. - Given the patient's **acute monoarticular pain**, fever, and predisposing risk factors (obesity, hypertension, hyperlipidemia, diuretics, alcohol), **septic arthritis** is a critical consideration requiring immediate differentiation. *Serum uric acid level* - A **serum uric acid level** should be checked, but it is not the most appropriate immediate next step given the acute presentation. - Serum uric acid can be **normal or even low during an acute gout flare** due to increased renal excretion in response to inflammation. *Oral methotrexate* - **Methotrexate** is a disease-modifying antirheumatic drug (DMARD) used for long-term management of **psoriatic arthritis** or severe chronic gout, not for acute flares. - It works by suppressing the immune system and takes weeks to months to show effect, making it unsuitable for immediate pain relief. *Intra-articular triamcinolone* - **Intra-articular corticosteroids** like triamcinolone could be considered for acute gout management but only after **septic arthritis has been definitively ruled out by arthrocentesis**. - Administering corticosteroids into an infected joint can worsen the infection and lead to severe joint damage. *Oral colchicine* - **Oral colchicine** is an effective treatment for acute gout flares, but it is not the most appropriate *next step* because **septic arthritis must first be excluded**. - Without arthrocentesis, treating a potentially infected joint with anti-inflammatory medication alone would be a critical omission.
Explanation: ***Decreased chloride, decreased potassium, increased bicarbonate*** - The patient's symptoms (callused knuckles, dental erosions, weight fluctuations) suggest **bulimia nervosa**, characterized by recurrent episodes of binge eating followed by compensatory behaviors like self-induced vomiting. - Frequent vomiting leads to metabolic **alkalosis** (increased bicarbonate), **hypokalemia** (decreased potassium) due to renal potassium wasting, and **hypochloremia** (decreased chloride) as the stomach acid is lost. *Increased chloride, increased potassium, increased bicarbonate* - This combination of electrolytes does not typically occur in any common medical condition and is inconsistent with the patient's likely diagnosis. - Increased chloride and increased potassium are uncommon in a state of metabolic alkalosis induced by vomiting. *Increased chloride, decreased potassium, decreased bicarbonate* - Decreased bicarbonate indicates **metabolic acidosis**, which is not seen in bulimia nervosa. - Increased chloride (hyperchloremia) is typically observed in non-anion gap metabolic acidosis, not in response to vomiting. *Decreased chloride, increased potassium, increased bicarbonate* - While **hypochloremia** and **metabolic alkalosis** (increased bicarbonate) are consistent with vomiting, **hyperkalemia** (increased potassium) is not. - Vomiting typically causes hypokalemia due to renal compensation and loss of potassium-rich gastric fluid. *Decreased chloride, decreased potassium, decreased bicarbonate* - This combination indicates **hypochloremia**, **hypokalemia**, and **metabolic acidosis**, which is seen in conditions like renal tubular acidosis or severe diarrhea. - These are not the expected findings in a patient with bulimia nervosa and chronic vomiting where metabolic alkalosis is prevalent.
Explanation: ***Primary HIV infection*** - The constellation of **odynophagia**, abdominal pain, fatigue, headache, and fever, along with **cervical lymphadenopathy** and erythematous oral mucosa, in a patient with a history of unprotected sexual encounters, is highly suggestive of **acute retroviral syndrome (ARS)**, which occurs during primary HIV infection. - Due to the high morbidity and transmission risk associated with undiagnosed HIV, it is crucial to exclude this diagnosis promptly. *Secondary syphilis* - While secondary syphilis can present with **lymphadenopathy** and a **rash**, the prominent odynophagia and the specific combination of symptoms are less typical. - A characteristic maculopapular rash, often involving the palms and soles, is usually present, which is not mentioned here. *Primary HSV infection* - **Primary HSV infection** can present with severe pharyngitis, fever, and lymphadenopathy, making it a reasonable differential. - However, primary HSV typically causes more prominent **oral vesicles or ulcers** and is usually self-limited without the protracted multi-week course described. - The constellation of systemic symptoms over several weeks is more consistent with ARS. *Disseminated gonococci* - **Disseminated gonococcal infection (DGI)** often presents with **migratory polyarthralgia**, tenosynovitis, and/or pustular skin lesions, which are not described. - While fever can occur, the oral and pharyngeal symptoms are less characteristic of DGI as the primary presentation. *Primary syphilis* - **Primary syphilis** is characterized by a single, painless **chancre** at the site of infection and often regional lymphadenopathy, but typically not systemic symptoms like fever, fatigue, and odynophagia of several weeks duration. - The reported symptoms are more indicative of a systemic illness rather than a localized primary lesion.
Explanation: ***PCR for C. trachomatis and N. gonorrhea*** - This patient presents with symptoms highly suggestive of **secondary syphilis**, including a widespread rash on the trunk, palms, and soles (**condylomata lata**), patchy hair loss, generalized lymphadenopathy, and positive serological tests (RPR and FTA-ABS). Patients with syphilis, like this one who engages in risky sexual behaviors, are at high risk for co-infection with other sexually transmitted infections (STIs). - Given the patient's sexual history and the presence of *condylomata lata*, which appear as wart-like papules, it is crucial to screen for other common STIs such as **chlamydia** and **gonorrhea** to ensure comprehensive treatment and prevent further transmission. *Blood cultures* - Blood cultures are generally indicated for evaluating systemic infections with suspected **bacteremia**, such as endocarditis or sepsis, which is not strongly suggested here despite the mild fever and myalgias. - While syphilis is a systemic infection, the primary diagnostic tools are serological tests, and blood cultures are not routinely used for diagnosing or managing secondary syphilis. *CT angiography of the chest* - **CT angiography of the chest** is used to evaluate conditions like pulmonary embolism, aortic dissection, or vasculitis, none of which are indicated by the patient's current presentation. - While syphilis can cause cardiovascular complications (**tertiary syphilis**), these typically manifest much later in the disease course and are not suggested by these acute symptoms. *Lumbar puncture* - A **lumbar puncture** is performed to evaluate for **neurosyphilis** (syphilis affecting the central nervous system). - While neurosyphilis can occur at any stage of the disease, it is usually considered in patients with neurological symptoms (e.g., visual changes, hearing loss, cranial nerve palsies) or treatment failure, which are not present in this case. *Skin biopsy* - A **skin biopsy** could confirm the diagnosis of syphilis if serological tests were equivocal, but in this case, both RPR and FTA-ABS are positive, definitively confirming the diagnosis. - While helpful in some dermatological cases, it is not the most appropriate *next step in management* for a confirmed syphilis case, especially with the high risk of co-infection.
Explanation: ***Atherosclerosis*** - This patient's history of **peripheral arterial disease**, **type 2 diabetes mellitus**, and **smoking** are significant risk factors for **atherosclerosis**, which can lead to mesenteric ischemia. - The presentation of **severe abdominal pain disproportionate to physical exam findings**, **postprandial pain**, **diarrhea**, **vomiting**, and **bright red rectal bleeding** with **segmental colitis** on CT is highly suggestive of **ischemic colitis**, primarily caused by atherosclerosis of the mesenteric arteries. *Aneurysm* - While an aneurysm (e.g., abdominal aortic aneurysm) can cause severe abdominal pain and hypotension, it typically presents with a **pulsatile mass** on examination and would likely be identified on imaging like an X-ray or CT scan as a distinct vascular abnormality, not primarily as **colitis**. - The primary symptoms described (postprandial pain, diarrhea, and segmental colitis) are not characteristic of an uncomplicated aneurysm and don't directly explain the features of **ischemic colitis**. *Hypokalemia* - **Hypokalemia** can cause symptoms like **muscle weakness**, **cramps**, and **cardiac arrhythmias**, and in severe cases, paralytic ileus or constipation. - It does not directly cause severe abdominal pain, bloody diarrhea, or **segmental colitis** described in this patient, and there is no information in the vignette to suggest electrolyte abnormalities. *Bacterial infection* - Although bacterial infections can cause diarrhea, abdominal pain, and colitis, the patient denies recent antibiotic use and fever is low grade. **C. difficile** was ruled out by negative stool culture. - The history of **postprandial pain** over several months and significant vascular risk factors make **ischemic colitis** a more likely diagnosis than a primary bacterial infection. *Upper GI bleeding* - **Upper GI bleeding** typically presents with **melena** (black, tarry stools) or hematemesis (vomiting blood), rather than **bright red rectal bleeding**, unless the bleed is massive and extremely rapid. - The **segmental colitis** observed on CT is not a finding typically associated with upper GI bleeding; it indicates a problem in the lower gastrointestinal tract.
Explanation: ***Colonoscopy*** - The isolation of **_S. gallolyticus_** (formerly _S. bovis_ biotype I) in blood cultures, especially in the context of infective endocarditis, is highly associated with **colorectal neoplasms** (adenomas or carcinomas). - Therefore, a **colonoscopy** is essential to screen for underlying gastrointestinal malignancy, even after the infection has been successfully treated. *Esophagogastroduodenoscopy* - While _S. gallolyticus_ can originate from the GI tract, its strong association is specifically with **colorectal pathology**, not primarily upper GI sources. - An EGD would not be the initial, most appropriate next step given the specific microorganism. *CT scan of the abdomen and pelvis* - A CT scan can detect abdominal masses but is **less sensitive** than colonoscopy for detecting adenomatous polyps or early-stage colorectal cancer. - It would also not provide a tissue diagnosis, which is crucial for characterizing any detected lesions. *Warfarin therapy* - Warfarin is an anticoagulant used to prevent thromboembolic events, but there is **no indication for chronic anticoagulation** in this patient at this stage. - Her endocarditis has resolved, and the mild aortic regurgitation alone does not necessitate warfarin. *Implantable defibrillator* - An implantable defibrillator is used to prevent sudden cardiac death in patients at high risk of **ventricular arrhythmias**. - There is no information in the clinical scenario suggestive of such a risk, and her cardiac issue (mild aortic regurgitation post-endocarditis) does not warrant this intervention.
Explanation: ***Urine culture*** - The patient presents with classic symptoms of **acute bacterial prostatitis**, including fever, urinary frequency, lower back pain, and a swollen, tender prostate, along with systemic signs (fever 39.1°C, leukocytosis 18,400/mm³). - A **urine culture** should be obtained **urgently** to identify the causative organism and determine antibiotic sensitivities. In this toxic-appearing patient, **empiric broad-spectrum antibiotic therapy** (typically a fluoroquinolone like ciprofloxacin or TMP-SMX) should be initiated **immediately after** or **concurrently with** obtaining the urine culture. - Among the listed options, obtaining a urine culture is the most appropriate diagnostic step that directly guides management, as it will allow for **targeted antibiotic therapy** based on culture results and sensitivities. *Perform transrectal ultrasonography* - **Transrectal ultrasonography (TRUS)** is generally **contraindicated** in acute bacterial prostatitis due to the risk of **bacteremia** and sepsis from manipulating an acutely inflamed and infected prostate. - TRUS may be considered later if there is suspicion of complications like a **prostatic abscess** (lack of clinical improvement after 48-72 hours of appropriate antibiotics), but it is not appropriate as an initial step. *Administer tamsulosin* - **Tamsulosin** is an alpha-blocker used to relax the smooth muscle of the prostate and bladder neck, improving urinary flow in conditions like **benign prostatic hyperplasia (BPH)**. - While it might provide symptomatic relief of urinary symptoms, it does not address the underlying **bacterial infection** causing acute prostatitis and is not the priority in initial management. *Administer vancomycin* - **Vancomycin** is a glycopeptide antibiotic effective against **Gram-positive organisms**, particularly MRSA and other resistant Gram-positive bacteria. - Acute bacterial prostatitis is most commonly caused by **Gram-negative enteric bacteria** (especially *E. coli*, *Klebsiella*, *Proteus*), making vancomycin **inappropriate** as empiric therapy. First-line empiric antibiotics should cover Gram-negative organisms (e.g., fluoroquinolones, TMP-SMX, or third-generation cephalosporins). *Measure serum prostate-specific antigen* - **Prostate-specific antigen (PSA)** levels are frequently elevated in acute prostatitis due to prostatic inflammation and increased permeability, making it an **unreliable marker** for prostate cancer screening in this acute setting. - Measuring PSA during acute inflammation can lead to **false-positive results**, unnecessary anxiety, and potentially inappropriate invasive procedures. PSA testing should be deferred until the acute infection has resolved (typically 4-6 weeks after treatment).
Explanation: ***PAS-stained biopsy of small bowel*** - The patient's history of travel to Bangladesh, chronic diarrhea, malabsorption (weight loss, fatigue, elevated fecal fat, macrocytic anemia), and negative celiac serology (anti-tissue transglutaminase IgA) are highly suggestive of **Whipple's disease**. - **Periodic Acid-Schiff (PAS) staining** of a small bowel biopsy is the gold standard for diagnosing Whipple's disease, revealing **PAS-positive macrophages** containing *Tropheryma whipplei*. *CT scan of the abdomen* - While a CT scan can identify structural abnormalities or masses, it is not the most direct diagnostic test for **malabsorptive conditions** like Whipple's disease. - It would likely show non-specific findings such as **bowel wall thickening** or **lymphadenopathy**, but not the definitive histological changes. *IgG against deamidated gliadin peptide* - This test is used to diagnose **celiac disease**, but the patient's IgA anti-tissue transglutaminase was already negative, and this IgG test is typically performed when IgA deficiency is suspected or in young children. - Given the strong suspicion of an infectious etiology due to travel history and systemic symptoms, focusing solely on celiac serology is less appropriate as the first next step. *Schilling test* - The Schilling test is an **obsolete test** that was historically used to assess **vitamin B12 absorption** and differentiate causes of B12 deficiency (pernicious anemia, bacterial overgrowth, or pancreatic insufficiency). - This test is **no longer performed in clinical practice** due to unavailability of radioactive B12; modern evaluation uses serum B12, methylmalonic acid, and homocysteine levels. - While the patient has macrocytic anemia, the test would not directly address the underlying cause of fat malabsorption and systemic symptoms present. *Enteroscopy* - Enteroscopy allows for visualization and biopsy of the small bowel beyond the reach of a standard upper endoscopy. - While useful for obtaining biopsies, simply performing an enteroscopy without knowing what to look for or what specific stain to request (referring to PAS) on the biopsy would be less targeted than ordering a **PAS-stained biopsy** specifically.
Explanation: ***Carcinoid syndrome*** - The patient's presentation with **watery diarrhea**, recurrent **flushing episodes** (especially triggered by alcohol), and **bronchospasm** (expiratory wheezing) represents the classic triad of carcinoid syndrome. - Carcinoid tumors, typically originating in the GI tract (small bowel most common), release **vasoactive substances** including serotonin, bradykinin, histamine, and prostaglandins into systemic circulation. - **Alcohol** is a well-documented precipitant of flushing in carcinoid syndrome, along with stress and certain foods. - The weight loss (BMI 19.6) is consistent with chronic secretory diarrhea. *Celiac disease* - While celiac disease causes chronic diarrhea and weight loss, it is an **autoimmune reaction to gluten** causing villous atrophy and malabsorption. - It does **not** explain the prominent **flushing** (especially alcohol-triggered) and **bronchospasm/wheezing** seen in this patient. - Celiac disease typically presents with steatorrhea rather than watery diarrhea. *Idiopathic flushing* - This diagnosis presents as isolated episodic flushing without other systemic manifestations. - The presence of **chronic watery diarrhea** and **bronchospasm** indicates an underlying pathologic process beyond idiopathic flushing. - This would be a diagnosis of exclusion after ruling out carcinoid syndrome. *Irritable bowel syndrome* - IBS is a **functional gastrointestinal disorder** that can cause chronic diarrhea, typically alternating with constipation. - It does **not** cause systemic symptoms such as **episodic facial flushing** or **bronchospasm/wheezing**. - IBS symptoms are often stress and diet-related but would not explain alcohol-triggered flushing. - The weight loss in this patient is also atypical for IBS (considered an "alarm feature" suggesting organic disease). *Polycythemia vera* - This myeloproliferative disorder causes **increased red blood cell mass** and can present with facial plethora and pruritus (especially after warm baths). - The patient's **pallor** and **normal CBC** effectively rule out polycythemia vera. - Polycythemia vera does not typically cause chronic **watery diarrhea** or **wheezing**.
Explanation: ***Diverticulitis*** - The patient's presentation of acute **left lower quadrant abdominal pain**, fever (38.4°C), nausea, vomiting, and a history of intermittent constipation is highly suggestive of diverticulitis. - Her obesity (BMI 35 kg/m2) and diet consisting mostly of high-fat foods are also **risk factors** for diverticular disease. *Cholecystitis* - This condition typically causes acute pain in the **right upper quadrant** of the abdomen, sometimes radiating to the right shoulder, which is inconsistent with the patient's left lower quadrant pain. - While nausea and vomiting can occur, the localization of pain is a key differentiator. *Crohn disease* - Crohn disease usually presents with **chronic abdominal pain**, weight loss, fatigue, and persistent diarrhea, often with blood. - The acute, localized pain with fever and recent constipation followed by non-bloody diarrhea does not fit the typical presentation of an acute flare of Crohn disease, though it can occur anywhere in the GI tract. *Appendicitis* - Acute appendicitis almost universally presents with pain that localizes to the **right lower quadrant** (McBurney's point), initially periumbilical. - The patient's pain is clearly localized to the left lower quadrant, ruling out appendicitis. *Irritable bowel syndrome* - While IBS can cause recurrent abdominal pain, constipation, and diarrhea, it is a **functional disorder** and does not typically involve fever or a localized, acute inflammatory process as seen in this patient. - The acute presentation with fever and severe, localized pain points away from IBS.
Explanation: ***Seborrheic dermatitis*** - This patient's rash presents with **erythematous plaques**, **greasy scales**, and **pruritus** on the face and scalp, which are classic signs of seborrheic dermatitis. - The diagnosis of **HIV infection** and **alcohol abuse** are risk factors for seborrheic dermatitis, which is an inflammatory skin condition caused by an overgrowth of *Malassezia* yeast. *Allergic contact dermatitis* - This condition involves **intensely pruritic, erythematous, vesicular, and papular lesions** that appear after exposure to an allergen. - Although the patient used a new shaving cream, the **greasy scales** and distribution on the scalp and eyelids are not typical for allergic contact dermatitis. *Pellagra* - This condition results from **niacin (vitamin B3) deficiency** and presents with the 3 Ds: **dermatitis**, **diarrhea**, and **dementia**. - The specific rash is usually **symmetric**, **photosensitive**, and distributed in sun-exposed areas, with a **casal necklace** appearance, which does not match the clinical picture. *Dermatomyositis* - Dermatomyositis is an **inflammatory myopathy** characterized by **proximal muscle weakness** and distinctive skin rashes, such as **Gottron papules** and a **heliotrope rash** on the eyelids. - While it can affect the eyelids, the absence of muscle weakness and the presence of greasy scales make this diagnosis less likely. *Pityriasis versicolor* - This is a superficial fungal infection caused by *Malassezia* species, resulting in **hypopigmented or hyperpigmented patches** with subtle scaling, predominantly on the trunk. - The rash is not typically intensely pruritic, nor does it typically present with the **erythematous, greasy scales** seen on the face and scalp in this patient.
Explanation: ***Eosinophilic granulomatosis with polyangiitis (Churg-Strauss syndrome)*** - The combination of **asthma-like symptoms** (wheezing, rhinitis), significant **eosinophilia**, and **p-ANCA positivity** (antibodies against myeloperoxidase) is highly characteristic of EGPA. - This **small-vessel vasculitis** often presents with a prodromal allergic phase before progressing to systemic manifestations. *Pancoast tumor* - This is a **superior sulcus lung tumor** typically presenting with **shoulder pain**, **Horner's syndrome**, and **neurological symptoms** due to brachial plexus invasion. - It does not cause eosinophilia or produce ANCA antibodies. *Cystic fibrosis* - A **genetic disorder** causing **thick, viscous secretions** in multiple organs, leading to recurrent respiratory infections, pancreatic insufficiency, and malabsorption. - It is not associated with eosinophilia or ANCA positivity, and while it causes chronic lung symptoms, the presentation differs. *Allergic bronchopulmonary aspergillosis* - This is a **hypersensitivity reaction to Aspergillus fungi**, causing asthma, recurrent infiltrates, and bronchiectasis, along with high IgE levels and eosinophilia. - However, it is not associated with **ANCA positivity** (anti-myeloperoxidase antibodies). *Paragonimus westermani infection* - This is a **lung fluke infection** typically acquired by consuming undercooked crustaceans, causing chronic cough, hemoptysis, and lung lesions, and can cause eosinophilia. - While it can cause eosinophilia and respiratory symptoms, it does not lead to **ANCA positivity** as seen in this patient.
Explanation: **Focal segmental glomerulosclerosis** - **HIV-associated nephropathy (HIVAN)**, a form of FSGS, is highly probable in this patient given their history of **poorly controlled HIV**, African-American ethnicity, and presentation with proteinuria and edema. - **HIVAN** typically presents as **nephrotic syndrome** with rapid progression to end-stage renal disease, particularly in African-American individuals with high viral loads. *Amyloidosis* - While amyloidosis can cause proteinuria and nephrotic syndrome, it is typically associated with **chronic inflammatory conditions** or **monoclonal gammopathy**, neither of which are prominent in this patient's history. - The patient's presentation with poorly controlled HIV and African-American ethnicity makes FSGS a more specific and likely diagnosis. *Membranoproliferative glomerulonephritis* - **MPGN** is often associated with **chronic infections like hepatitis C** or **autoimmune diseases**, which are not indicated in this case. - While it can manifest with proteinuria and edema, the strong association with HIV in an African-American patient points away from MPGN as the primary etiology. *Minimal change disease* - **Minimal change disease** classically causes **nephrotic syndrome in children** and is often responsive to corticosteroids. - Its etiology is typically idiopathic, and it is less likely to present in an adult with a history of HIV and progressive symptoms over several months. *Membranous nephropathy* - **Membranous nephropathy** is a common cause of nephrotic syndrome in adults and can be idiopathic or secondary to conditions like **lupus**, **hepatitis B**, or certain medications. - The patient's specific risk factors, particularly HIV and African-American ethnicity, are not the typical associations for membranous nephropathy, making FSGS a more fitting diagnosis.
Explanation: ***Hematuria*** - The presence of a **ureteral stone** causing flank pain radiating to the groin with **costovertebral angle tenderness** is highly indicative of nephrolithiasis. - **Hematuria**, often microscopic but sometimes macroscopic, is a very common finding in acute nephrolithiasis due to the irritation and trauma caused by the stone to the urothelial lining. *Malignant hypertension* - While chronic kidney disease can lead to hypertension, **malignant hypertension** is a severe form associated with end-organ damage (e.g., papilledema, renal failure) and is not typically an initial or common presenting feature of nephrolithiasis. - The patient's vital signs and lack of other systemic symptoms do not suggest malignant hypertension. *Proteinuria* - **Proteinuria** is not a characteristic finding in uncomplicated nephrolithiasis; it is more indicative of glomerular disease or significant renal parenchymal damage. - The imaging findings point towards stone disease and medullary sponge kidney, not conditions primarily presenting with proteinuria. *Hyperparathyroidism* - **Hyperparathyroidism** can lead to recurrent kidney stones (calcium stones), but the question asks what else would *most likely* be seen in this patient *at presentation* given the acute symptoms. Elevated calcium levels or other signs of hyperparathyroidism are not mentioned. - The finding of medullary calcifications and cysts points more towards **medullary sponge kidney**, which is a congenital malformation, not hyperparathyroidism, as the primary cause of stone formation. *Renal cell carcinoma* - Although **renal cell carcinoma** can present with flank pain and hematuria, it is less likely given the patient's history of recurrent nephrolithiasis and the specific imaging findings of a **ureteral stone** and **medullary calcifications/cysts**, which strongly suggest medullary sponge kidney. - The clinical picture strongly points to acute nephrolithiasis, not malignancy.
Explanation: ***Dilation of the colon with loss of haustration*** - The patient's history of recent antibiotic use (ciprofloxacin), severe abdominal pain, bloody diarrhea, fever, **leukocytosis**, and dehydration (hypotension, elevated creatinine) is highly suggestive of **Clostridium difficile infection** leading to **toxic megacolon**. - **Toxic megacolon** is a severe complication characterized by acute colonic dilation (>6 cm) and inflammation, often presenting with **loss of haustral markings** on abdominal X-ray, giving a "lead pipe" or "thumbprinting" appearance. *Dilated transverse colon and cut-off sign at splenic flexure* - A **"cut-off sign" at the splenic flexure** is indicative of a **large bowel obstruction**, specifically at that location, which is not suggested by the patient's symptoms of profuse bloody diarrhea and diffuse abdominal tenderness. - While there might be some colonic dilation in obstruction, the specific presentation with diarrhea and recent antibiotic use points away from a simple mechanical obstruction. *Large volume of gas under the right diaphragm* - **Gas under the diaphragm** (pneumoperitoneum) is a classic sign of **bowel perforation**, which typically causes severe, sudden onset abdominal pain, rigidity, and rebound tenderness, clinical signs largely absent in this case. - Although the patient's condition is severe, the absence of peritonitis signs like rigidity and rebound tenderness makes perforation less likely than toxic megacolon. *String-like appearance of a bowel loop* - A **string sign** refers to the severe narrowing of a bowel lumen, often seen in conditions like **Crohn's disease**, severe ischemic colitis, or **tuberculous enteritis**. - This appearance is due to inflammation and fibrosis causing stenosis, which is not characteristic of the acute, severe colonic dilation seen in toxic megacolon. *Dilated sigmoid colon resembling a coffee bean* - A **sigmoid colon resembling a coffee bean** is a pathognomonic sign of a **sigmoid volvulus**, where the sigmoid colon twists on its mesentery. - While this causes large bowel obstruction and dilation, the patient's presentation with profuse bloody diarrhea and recent antibiotic use is not typical for sigmoid volvulus.
Explanation: ***Oral trimethoprim-sulfamethoxazole*** - This patient's presentation with **PAS-positive macrophages** on small intestine biopsy is diagnostic of **Whipple disease**, caused by *Tropheryma whipplei*. - **Long-term oral TMP-SMX** (for 1-2 years) is the standard maintenance therapy and can be used as initial therapy in patients **without CNS involvement**. - This patient has no neurological symptoms (confusion, altered mental status, cranial nerve deficits, or focal findings) beyond peripheral signs of malabsorption (glossitis, cheilitis), making oral therapy appropriate. - TMP-SMX provides excellent systemic coverage and adequate CNS penetration for prophylaxis against CNS disease development. *Intravenous ceftriaxone* - IV ceftriaxone (2g daily for 14 days) is preferred as **initial therapy when CNS involvement is present or suspected** (confusion, dementia, ophthalmoplegia, myoclonus, seizures). - While some protocols use IV ceftriaxone followed by oral TMP-SMX for all patients, direct initiation with oral TMP-SMX is acceptable in patients without neurological manifestations, as in this case. - The choice between these two options depends on clinical context, but given no CNS symptoms, oral therapy is appropriate. *Oral doxycycline* - Doxycycline has been used historically for Whipple disease but is **less effective** than TMP-SMX and has **poor CNS penetration**. - It is not considered first-line therapy and has higher relapse rates, particularly with CNS involvement. *Gluten-free diet* - This is the treatment for **celiac disease**, which also presents with malabsorption and gastrointestinal symptoms. - However, **PAS-positive macrophages** are pathognomonic for Whipple disease, not celiac disease (which shows villous atrophy and intraepithelial lymphocytosis). - Celiac disease does not cause the extensive systemic manifestations seen here (lymphadenopathy, cardiac murmur, severe arthralgia). *Oral rifampin* - Rifampin is used primarily for **tuberculosis** and certain other mycobacterial infections. - It is **not standard therapy** for Whipple disease, though it has occasionally been used in combination regimens for refractory cases or as part of alternative protocols. - Monotherapy with rifampin would be inadequate for *Tropheryma whipplei*.
Explanation: ***Pancreatic carcinoma*** - The image shows **perioral hyperpigmentation** (melanin spots on the lips and oral mucosa) and hamartomatous polyps in the colon, which are classic features of **Peutz-Jeghers syndrome**. - Peutz-Jeghers syndrome is an autosomal dominant disorder that significantly increases the risk of various cancers, most notably **pancreatic carcinoma**, as well as gastric, small bowel, lung, breast, and gynecological cancers. *Mandibular osteoma* - **Mandibular osteomas** are characteristic of **Gardner syndrome**, a variant of Familial Adenomatous Polyposis, which involves hundreds of adenomatous polyps, not hamartomatous polyps as described in the case. - Gardner syndrome also presents with other extra-colonic manifestations like epidermoid cysts and desmoid tumors, which are not suggested by the provided information. *Malignant melanoma* - While Peutz-Jeghers syndrome involves **mucocutaneous pigmentation**, these are typically benign melanin macules and do not progress to **malignant melanoma**. - Malignant melanoma is a skin cancer linked to UV exposure and certain genetic predispositions, but not a primary manifestation or increased risk in Peutz-Jeghers syndrome beyond general population risk. *Hepatocellular carcinoma* - **Hepatocellular carcinoma** is strongly associated with chronic liver diseases such as **hepatitis B and C infections**, alcoholism, and non-alcoholic fatty liver disease. - There is no direct significant increased risk of hepatocellular carcinoma specifically linked to Peutz-Jeghers syndrome. *Medulloblastoma* - **Medulloblastoma** is a common malignant brain tumor in children, often associated with syndromes like **Gorlin syndrome** (Nevoid Basal Cell Carcinoma Syndrome) or Turcot syndrome, but not Peutz-Jeghers syndrome. - The patient's age and presenting features do not align with known risk factors for medulloblastoma.
Explanation: ***Decreased lower esophageal sphincter tone*** - The patient's symptoms of intermittent chest pain that worsens when lying down and after meals, along with a bitter taste, are classic for **gastroesophageal reflux disease (GERD)**. - **Decreased lower esophageal sphincter (LES) tone** is the primary mechanism of GERD, allowing gastric acid to reflux into the esophagus and cause pain and irritation. Factors like obesity and alcohol consumption can exacerbate this. *Erosion of the mucosa of the antrum of the stomach* - **Gastric ulcers** typically cause burning epigastric pain that may be relieved by food, or exacerbated by an empty stomach, rather than being primarily positional (lying down) or directly correlated with post-meal worsening in the described manner. - While erosion can cause pain, it doesn't fully explain the **bitter taste** or the strong positional component described. *Blockage of the cystic duct leading to inflammation of the wall of the gallbladder* - **Cholecystitis** (inflammation of the gallbladder) typically presents with severe, steady pain in the right upper quadrant or epigastrium, often radiating to the back or shoulder, precipitated by fatty meals. - While it can be worsened by meals, the pain quality (colicky vs. burning/chest pain), location, absence of fever/leukocytosis, and lack of a bitter taste make it less likely. *Autodigestion of pancreatic tissue* - **Pancreatitis** causes severe, constant epigastric pain that often radiates to the back, associated with nausea, vomiting, and abdominal tenderness. - The patient's symptoms are more consistent with reflux and lack the characteristic severe pain and systemic signs of pancreatitis. *An atherosclerotic blockage of a coronary artery causing transient ischemia during times of increased cardiac demand* - While chest pain is a primary symptom of **angina**, it typically worsens with exertion and improves with rest, and is less commonly associated with lying down or a bitter taste. - The normal ECG and the clear correlation with meals and position point away from a cardiac origin, although cardiac causes should always be considered with chest pain.
Explanation: ***Urea breath test*** - The patient presents with classic symptoms of **dyspepsia**, and given his age (<60 years) and absence of **alarm symptoms** (e.g., weight loss, dysphagia, GI bleeding), an initial non-invasive test for **_Helicobacter pylori_** is appropriate. - A **urea breath test** is a highly sensitive and specific non-invasive method to detect active _H. pylori_ infection. *Helicobacter pylori eradication therapy* - This therapy should only be initiated after a confirmed diagnosis of **_H. pylori_ infection**. - Treating empirically without confirmation can lead to **antibiotic resistance** and unnecessary side effects. *Helicobacter pylori serum IgG* - A serum IgG test indicates only **prior exposure** to _H. pylori_ and does not distinguish between active and past infection. - Therefore, it is **not suitable for diagnosing current active infection** or for confirming eradication. *Upper gastrointestinal endoscopy* - **Upper GI endoscopy** is indicated for patients over 60 with new-onset dyspepsia, or for those younger than 60 who present with **alarm symptoms** (e.g., weight loss, dysphagia, recurrent vomiting, GI bleeding, anemia). - This patient currently has no alarm symptoms, making endoscopy an overly aggressive initial approach. *Proton pump inhibitors* - While **PPIs** are effective for symptom relief in dyspepsia, they can mask underlying _H. pylori_ infection or other serious conditions if used empirically without proper investigation. - Furthermore, PPIs can cause **false-negative results** for _H. pylori_ tests like the urea breath test, so they should ideally be stopped for 1-2 weeks before testing.
Explanation: ***Hypovolemia*** - The patient presents with classic signs of **hypovolemic shock**: **hypotension** (90/60 mm Hg), **tachycardia** (120/min), and **dry mucous membranes**. - His history of 4 days of **vomiting and watery diarrhea** along with subsequent inability to eat or drink confirms significant fluid loss, leading to **prerenal acute kidney injury** (elevated BUN and creatinine). *Hemolytic uremic syndrome* - This condition involves **microangiopathic hemolytic anemia**, **thrombocytopenia**, and **acute kidney injury**. - The patient's **hemoglobin and platelet count are normal**, making HUS unlikely. *Direct renal toxicity* - While NSAIDs can cause direct renal toxicity, the patient's primary symptoms and lab findings (especially the history of significant fluid loss) point more strongly to **prerenal azotemia due to hypovolemia**. - **Urinalysis is normal**, which would be unusual for active renal tubular damage secondary to toxicity. *IgA glomerulonephritis* - Typically presents with **hematuria** (often macroscopic following an upper respiratory or gastrointestinal infection) and **proteinuria**. - This patient's **urinalysis is unremarkable**, showing no evidence of hematuria or significant proteinuria. *Prostatic hyperplasia* - **Benign prostatic hyperplasia (BPH)** can cause post-renal acute kidney injury due to **urinary outflow obstruction**. - However, the presentation with **severe volume depletion** (hypotension, tachycardia, dry mucous membranes) and recent history of significant fluid loss from gastroenteritis makes hypovolemia a more immediate and likely cause of his acute kidney injury, rather than chronic BPH.
Explanation: ***Positive stool guaiac test*** - The patient's **pica** (unusual appetite for soil and clay) is a **classic manifestation of iron deficiency anemia**, particularly in adults with chronic blood loss - **Fatigue**, **weight loss**, and **tachycardia** are consistent with anemia - In a **63-year-old woman**, the most common cause of iron deficiency anemia is **chronic gastrointestinal bleeding**, often from occult sources such as **colon cancer**, **gastric ulcers**, or **angiodysplasia** - The **teeth abrasions** and **dirt in sublingual folds** confirm chronic geophagia (eating soil/clay), a form of pica strongly associated with iron deficiency - Further evaluation would reveal a **positive stool guaiac test** indicating occult GI bleeding, prompting colonoscopy *Elevated serum lead concentration* - While **lead poisoning** can occur from ingesting contaminated soil, **pica is a cause of lead poisoning, not a result of it** in adults - The presenting symptoms (fatigue, weight loss, tachycardia) are more consistent with **iron deficiency anemia** than lead toxicity - Lead poisoning typically presents with abdominal pain, constipation, neuropathy, and cognitive changes, which are not prominent here *Elevated serum thyroid-stimulating hormone concentration* - **Hypothyroidism** can cause fatigue and weight changes, but typically causes **weight gain**, not loss - The **elevated pulse (116/min)** is inconsistent with hypothyroidism, which typically causes **bradycardia** - **Pica** is not a feature of thyroid dysfunction *Decreased CD4+ T-lymphocyte count* - **HIV/AIDS** can cause weight loss and fatigue, but there are no other features suggesting immunocompromise (no opportunistic infections, lymphadenopathy, or risk factors mentioned) - **Pica** is not associated with decreased CD4+ count *Positive Schilling test* - The **Schilling test** (now largely obsolete) assessed **vitamin B12 absorption** - While **B12 deficiency** can cause fatigue, it does not cause **pica** - **Pica** is specifically associated with **iron deficiency**, not B12 deficiency - B12 deficiency would also not explain the weight loss and tachycardia in this context
Explanation: ***Decreased lower esophageal sphincter tone*** - The patient's symptoms (recurrent retrosternal chest pain, nocturnal awakening) and endoscopic findings (hyperemia in the distal esophagus, basal cell hyperplasia, and neutrophilic infiltrates) are classic for **Gastroesophageal Reflux Disease (GERD)**. - **Decreased lower esophageal sphincter (LES) tone** is the most common underlying cause of GERD, allowing gastric acid to reflux into the esophagus and cause inflammation. *Increased collagen production and fibrosis* - This typically occurs in conditions like **scleroderma** or other fibrotic disorders, leading to esophageal dysmotility. - While it can cause GERD-like symptoms, the primary histological findings would be **fibrosis and muscle atrophy**, not basal cell hyperplasia and neutrophilic infiltrates. *Spread of neoplastic cells* - While neoplastic conditions can present with chest pain and esophageal abnormalities, the biopsy findings of **hyperplasia of the basal cell layer** and **neutrophilic inflammatory infiltrates** are indicative of inflammation, not malignancy. - Neoplastic cells would show **dysplasia** or **carcinoma**, which is not described. *Chronic gastrointestinal iron loss* - This symptom is primarily associated with **iron deficiency anemia**, often due to chronic blood loss. - While some gastrointestinal conditions can cause bleeding, there is nothing in the patient's presentation or histological findings to suggest iron loss as the primary underlying cause of her esophageal symptoms. *Proximal migration of the gastroesophageal junction* - This describes a **hiatal hernia**, where part of the stomach pushes up through the diaphragm. - While hiatal hernias can predispose to GERD, a decreased LES tone is a more direct and common underlying cause of reflux, and the histopathology specifically points to reflux-induced inflammation rather than solely a structural anatomical issue.
Explanation: ***Urine metanephrines*** - The patient's presentation with **hypercalcemia** (Ca2+ 12.3 mg/dL) and **elevated PTH** (850 pg/mL) indicates **hyperparathyroidism**. - The family history of **thyroidectomy for thyroid cancer before age 35** (medullary thyroid cancer) along with hyperparathyroidism points towards **Multiple Endocrine Neoplasia type 2 (MEN2)**. MEN2 syndromes often include **pheochromocytoma**, which is diagnosed by elevated **urine metanephrines**. *Serum aldosterone to renin ratio* - This ratio is used to screen for **primary hyperaldosteronism**, which presents with **hypertension and hypokalemia**. - The patient's blood pressure is not mentioned as elevated, and his **potassium (3.7 mEq/L) is within normal limits**, making primary hyperaldosteronism less likely. *Serum prolactin* - Elevated serum prolactin levels indicate **hyperprolactinemia**, which is a feature of **MEN1 (Multiple Endocrine Neoplasia type 1)**. - While MEN1 also includes hyperparathyroidism, the family history of **early-onset thyroid cancer** (suggesting medullary thyroid cancer, not typically seen in MEN1) points more strongly to MEN2. *Urine 5-hydroxyindoleacetic acid* - Elevated levels of **5-HIAA in urine** are indicative of a **carcinoid tumor**, which secretes serotonin. - Carcinoid tumors are not typically associated with the constellation of symptoms and family history presented, particularly hyperparathyroidism and early-onset medullary thyroid cancer. *Midnight salivary cortisol* - This test is used to diagnose **Cushing's syndrome**, which is characterized by elevated cortisol levels and symptoms like central obesity, moon facies, and striae. - The patient's symptoms are not consistent with Cushing's syndrome, and the laboratory findings (hypercalcemia, elevated PTH) point to a different endocrine disorder.
Explanation: ***Citrate*** - The image shows **calcium oxalate crystals**, which are the most common type of kidney stones, often presenting with **flank pain** and **costovertebral angle tenderness**. - **Citrate** in the urine helps prevent calcium oxalate stone formation by chelating calcium, thereby reducing its availability to bind with oxalate and also by directly inhibiting crystal growth and aggregation. *Oxalate* - This patient likely has **calcium oxalate stones**, and increasing oxalate in the urine would actually **promote stone formation**, not prevent it. - High urinary oxalate is a **risk factor** for calcium oxalate stone disease. *Sodium* - While high dietary sodium can increase **urinary calcium excretion**, which can contribute to stone formation, increasing sodium in the urine itself is not a therapeutic strategy to prevent calcium oxalate stones. - Rather, **reducing sodium intake** is often recommended for stone prevention. *Hydrogen* - The pH of the urine can influence the formation of certain stone types (e.g., uric acid stones in acidic urine, struvite stones in alkaline urine). However, directly increasing **hydrogen ions** (i.e., making urine more acidic) is not the primary intervention for calcium oxalate stones, and these stones can form across a wide range of urinary pH. - Furthermore, making urine too acidic could paradoxically promote the formation of **uric acid stones**. *Phosphate* - Although phosphate is a component of some kidney stones (e.g., **calcium phosphate** and **struvite stones**), increasing urinary phosphate is not a general preventative measure for calcium oxalate stones. - In some cases, high phosphate levels can even contribute to stone formation, especially if there's also high urinary calcium.
Explanation: ***Gastroesophageal reflux disease*** - The patient's symptoms of **heartburn**, a **bad taste in his mouth**, and worsening symptoms at **night** are classic presentations of **Gastroesophageal Reflux Disease (GERD)**. - The failure of **H. pylori eradication therapy** to improve symptoms suggests that H. pylori infection was not the primary cause of his dyspepsia. *Peptic ulcer disease* - While **epigastric pain** can be seen in peptic ulcer disease (**PUD**), the prominent symptoms of **heartburn** and a **sour taste in the mouth** are more characteristic of GERD. - The lack of specific relief with food or worsening with particular food types (common in PUD) makes it less likely, and the failure of H. pylori treatment points away from most common PUD etiologies. *Gastric MALT (mucosa-associated lymphoid tissue) lymphoma* - **Gastric MALT lymphoma** is often associated with chronic **H. pylori infection**, but its symptoms are typically more vague, such as **weight loss**, **anorexia**, or **nausea**, and less specifically tied to heartburn and acid reflux. - The prompt response to H. pylori eradication is often seen in early-stage MALT lymphoma, but the patient's symptoms persisted despite antibiotic treatment. *Duodenal ulcer disease* - Similar to peptic ulcer disease, **duodenal ulcers** typically present with **epigastric pain** that often improves with food and worsens 2-3 hours after meals or at night. - The description of **heartburn** and a **sour taste** makes GERD a more direct fit than duodenal ulcer disease. *Gastric adenocarcinoma* - **Gastric adenocarcinoma** presents with symptoms like **weight loss**, **early satiety**, **dysphagia**, or **anemia**, which are not reported in this patient. - While it can cause epigastric pain, the specific reflux symptoms and absence of "alarm features" like weight loss make it less likely in this young patient.
Explanation: ***Iron deficiency anemia*** - The patient's **vegan diet** makes her susceptible to **iron deficiency**, as primary dietary iron sources are from animal products. - **Microcytic anemia** (low MCV and small erythrocytes) is a classic presentation of iron deficiency, further supported by symptoms like **fatigue** and **pallor**. *Pernicious anemia* - This is a type of **macrocytic anemia** (high MCV) caused by **vitamin B12 deficiency**, often due to an **autoimmune attack on parietal cells** leading to intrinsic factor deficiency. - The patient in this case presents with **microcytic anemia**, which rules out pernicious anemia. *Glucose-6-phosphate dehydrogenase deficiency* - This is an **X-linked recessive disorder** that causes episodes of **hemolytic anemia** (rapid destruction of red blood cells) upon exposure to certain drugs, infections, or fava beans. - It would typically present with signs of hemolysis and **normocytic/macrocytic anemia**, not microcytic. *Hemolytic anemia* - This refers to conditions where **red blood cells are destroyed prematurely**, leading to anemia. While it causes anemia, it typically presents with **normocytic** or **macrocytic** red blood cells, rather than the microcytic presentation seen here. - Common signs include **jaundice**, **splenomegaly**, and elevated **reticulocyte count**, none of which are mentioned. *Lead poisoning* - Lead poisoning can cause a **microcytic anemia** by interfering with **heme synthesis**. - However, it is typically associated with other symptoms such as **abdominal pain**, **neuropathy**, or **cognitive dysfunction**, and the patient's history doesn't suggest lead exposure.
Explanation: ***Autoimmune destruction of the adrenal gland*** - The patient's symptoms (fatigue, weight loss, nausea, orthostatic hypotension, hyperkalemia, hyponatremia, hypoglycemia, and low cortisol levels unresponsive to ACTH stimulation) are classic for **primary adrenal insufficiency (Addison's disease)**. - The co-occurrence of **alopecia areata** (an autoimmune condition) and **hyperpigmentation** (darkened palmar creases due to increased ACTH stimulating melanocytes) strongly points towards autoimmune destruction as the cause of adrenal damage. *Granulomatous inflammation of the adrenal gland* - While granulomatous diseases (e.g., **tuberculosis**, fungal infections, sarcoidosis) can cause adrenal insufficiency, they are less likely given the patient's associated autoimmune condition (alopecia areata) and the lack of other systemic symptoms or risk factors for such infections. - The clinical presentation with autoimmune comorbidities is more characteristic of autoimmune adrenalitis. *Amyloid deposition within the adrenal gland* - **Amyloidosis** can infiltrate the adrenal glands and cause adrenal insufficiency, but it typically presents with other systemic features of amyloidosis (e.g., nephrotic syndrome, cardiomyopathy, hepatomegaly) and is not usually associated with alopecia areata. - The hyperpigmentation seen in this patient is specific to conditions causing elevated ACTH, which is not directly caused by amyloidosis. *Suppression of pituitary corticotrophic activity* - This would lead to **secondary adrenal insufficiency**, characterized by low ACTH and low cortisol, but typically **without hyperpigmentation** (as ACTH is not elevated) and usually with normal or low potassium levels. - The patient's **elevated potassium** and **hyperpigmentation** are inconsistent with secondary adrenal insufficiency. *Defective 21β-hydroxylase enzyme* - A defect in the **21β-hydroxylase enzyme** causes **congenital adrenal hyperplasia (CAH)**, which can lead to adrenal insufficiency. However, CAH typically presents in infancy or childhood with characteristic features like ambiguous genitalia in females or salt-wasting crises. - While CAH can share some biochemical features (e.g., low cortisol, hyponatremia, hyperkalemia), the patient's presentation at 31 years old with associated alopecia areata makes acquired autoimmune destruction far more likely.
Explanation: ***Chlorthalidone*** - The patient's symptoms (flank pain, hematuria, costovertebral angle tenderness, wedge-shaped prisms in urine) are characteristic of **calcium oxalate stones**, which are the most common type of kidney stone. - **Thiazide diuretics** like chlorthalidone reduce urinary calcium excretion, thereby decreasing the risk of calcium stone formation. *Allopurinol* - Allopurinol is used to prevent **uric acid kidney stones** by inhibiting xanthine oxidase, which reduces uric acid production. - While the patient has a mildly elevated serum uric acid, the presence of **wedge-shaped prisms** points to calcium oxalate stones, not uric acid stones. *Amoxicillin with clavulanic acid* - This antibiotic combination is used to treat **bacterial infections**, particularly those caused by beta-lactamase-producing bacteria. - There is no evidence of infection (no fever, no dysuria) in this patient, and antibiotics would not prevent kidney stone recurrence. *Dietary calcium restriction* - For most patients with calcium stones, **dietary calcium restriction is not recommended** as it can lead to increased oxalate absorption and actually increase the risk of stone formation. - A normal calcium intake and increased fluid intake are generally advised. *Low-potassium diet* - A low-potassium diet is primarily indicated in conditions like **hyperkalemia** or certain kidney diseases to manage potassium levels. - It has no direct role in preventing the recurrence of calcium oxalate kidney stones.
Explanation: ***Abdominal CT*** - **CT scan** is the most accurate imaging modality for diagnosing **diverticulitis**, identifying bowel wall thickening, inflammation, and complications such as abscess formation. - It effectively differentiates diverticulitis from other causes of **left lower quadrant pain** and can guide intervention if necessary. *Abdominal x-ray* - An **abdominal x-ray** is generally not useful for diagnosing **diverticulitis** as it provides limited soft tissue detail. - It may identify free air in cases of perforation, but it is not sensitive or specific for diverticular inflammation. *Emergent colonoscopy* - **Colonoscopy** is generally contraindicated in acute **diverticulitis** due to the risk of **perforation** of the inflamed colon. - It is typically performed after recovery from an acute episode (usually 4-6 weeks later) to rule out underlying malignancy or other inflammatory bowel conditions. *Left lower quadrant ultrasound* - While **ultrasound** can identify diverticulitis, its diagnostic accuracy is highly **operator-dependent** and can be limited by bowel gas. - It is often less sensitive than CT, particularly for deeper structures or in obese patients, making **CT** the preferred initial imaging study. *Lipase* - **Lipase** is a marker for **pancreatitis** and is not relevant for the diagnosis of **diverticulitis**. - The patient's symptoms are localized to the left lower quadrant and are not suggestive of pancreatic inflammation.
Explanation: ***Observation*** - The patient has **post-ictal lactic acidosis** following a seizure, which is a **self-limiting condition** that typically resolves within 30-60 minutes as lactate is metabolized by the liver. - The patient is **hemodynamically stable** (BP 122/80 mmHg, HR 85/min) with adequate respiratory compensation (PCO2 20 mmHg indicates appropriate hyperventilation). - With the seizure resolved and no signs of ongoing tissue hypoxia, shock, or organ dysfunction, the acidosis will correct spontaneously without intervention. - Current evidence-based guidelines support **observation and supportive care** for post-ictal lactic acidosis in stable patients rather than aggressive intervention. *Sodium bicarbonate* - Sodium bicarbonate for lactic acidosis remains **controversial** and is not routinely recommended in modern critical care practice. - It is generally reserved for severe acidemia (pH < 7.1) **with hemodynamic instability**, which is not present in this stable patient. - Potential complications include paradoxical intracellular acidosis, hypernatremia, hypocalcemia, and volume overload. - Since the underlying cause (seizure) has resolved and the patient is stable, bicarbonate administration is not indicated. *Normal saline* - While maintaining adequate hydration is important, normal saline alone does not address the acid-base disturbance. - The patient shows no signs of dehydration (moist mucous membranes, no skin tenting), so aggressive fluid resuscitation is not needed. *Intubation* - The patient has adequate ventilation and oxygenation (pO2 99 mmHg on room air, respiratory rate 15/min). - The low PCO2 of 20 mmHg indicates she is appropriately hyperventilating to compensate for the metabolic acidosis. - There is no respiratory failure or inability to protect the airway, so intubation is not indicated. *Dialysis* - Dialysis is reserved for severe, refractory acid-base disturbances, acute kidney injury with metabolic complications, or toxic ingestions. - This patient has self-limited post-ictal lactic acidosis with normal renal function and no indication for emergent dialysis.
Explanation: **Celiac artery and superior mesenteric artery** - The patient's presentation with **vague, constant abdominal pain** out of proportion to physical exam findings (**abdominal pain more severe than tenderness**) in the setting of **congestive heart failure** and **hypotension** is highly suggestive of **non-occlusive mesenteric ischemia (NOMI)**. - NOMI results from **splanchnic vasoconstriction** leading to hypoperfusion of the bowel, primarily affecting the territories supplied by the **celiac artery** and **superior mesenteric artery**, which supply the foregut and midgut, respectively. *Left anterior descending* - The left anterior descending (LAD) artery primarily supplies the **left ventricle** and interventricular septum. - Occlusion of the LAD typically causes a **myocardial infarction** with chest pain, EKG changes, and elevated cardiac enzymes, which is not the primary presentation here, although a degree of cardiac compromise exacerbates the NOMI. *Left colic artery* - The left colic artery is a branch of the **inferior mesenteric artery** and supplies portions of the **descending colon**. - While bowel ischemia can affect this region, NOMI, a more widespread condition, is unlikely to be isolated to the left colic artery distribution, and the patient's symptoms are more consistent with multi-vessel involvement. *Right coronary artery* - The right coronary artery (RCA) supplies the **right ventricle**, inferior wall of the left ventricle, and often the **SA and AV nodes**. - RCA occlusion typically leads to **inferior wall myocardial infarction** and can cause bradyarrhythmias, but it would not directly cause the described abdominal pain and out-of-proportion findings. *Meandering mesenteric artery* - The meandering mesenteric artery is an anatomical variant, an **anastomotic connection** between the superior and inferior mesenteric arteries. - While it can be a source of collateral flow, it is not a primary vessel targeted in the pathogenesis of NOMI, which affects the main mesenteric arteries due to global hypoperfusion.
Explanation: ***History of multiple past pregnancies*** - The patient's symptoms of **right upper quadrant pain**, **fever**, and **nonbloody vomiting** are highly suggestive of **acute cholecystitis**, likely due to gallstones. - Multiple past pregnancies (the **"fertile"** in "fair, fat, female, fertile, forty") are a significant risk factor for **gallstone formation**, as estrogen can increase cholesterol secretion into bile and reduce gallbladder motility. *Urine culture growing gram-negative rods* - This finding suggests a **urinary tract infection (UTI)**, which is not directly related to acute cholecystitis. - While bacteria can be involved in complicated cholecystitis, a urine culture finding is not a primary risk factor for gallstone disease itself. *Frequent, high-pitched bowel sounds on auscultation* - **High-pitched bowel sounds** can indicate **bowel obstruction**, which is not consistent with the described symptoms of acute cholecystitis localized to the right upper quadrant. - Acute cholecystitis typically presents with localized pain and tenderness, often accompanied by a positive **Murphy's sign**. *History of intravenous drug abuse* - Intravenous drug abuse is a risk factor for various infections like **hepatitis** or **endocarditis**, but it is not directly linked to the development of gallstones or acute cholecystitis. - The symptoms described do not point towards these conditions frequently associated with IV drug use. *History of recurrent sexually transmitted infections* - Recurrent STIs are associated with conditions like **pelvic inflammatory disease (PID)** or chronic pelvic pain, which typically present with lower abdominal pain and different systemic symptoms. - They are not a known risk factor for gallstone formation or acute cholecystitis.
Explanation: ***Smoking cessation*** - **Smoking** is a significant risk factor for **peptic ulcer disease** and has been shown to impair ulcer healing and increase the risk of recurrence. - Quitting smoking helps to reduce gastric acid secretion, improve mucosal blood flow, and enhance the efficacy of ulcer treatment. *Celecoxib* - **Celecoxib** is a **selective COX-2 inhibitor**, which, while less damaging to the gastric mucosa than non-selective NSAIDs like naproxen, can still contribute to ulcer formation or recurrence, especially in patients with a history of ulcers. - The patient's previous use of naproxen for a short period is not the primary ongoing risk factor, and substituting it with another NSAID without strong indication would likely worsen rather than improve ulcer recurrence. *Low-fat diet* - While a healthy diet is beneficial for overall health, there is no direct evidence that a specific **low-fat diet** will significantly decrease the recurrence of peptic ulcers. - Dietary modifications typically focus on avoiding specific trigger foods that worsen symptoms, but a general low-fat diet isn't a primary intervention for ulcer recurrence. *Increase milk consumption* - Historically, **milk** was thought to soothe ulcers, but studies have shown it can actually **stimulate acid secretion** and provide only transient relief, potentially worsening the condition in the long run. - Therefore, increasing milk consumption would be counterproductive for preventing ulcer recurrence. *Octreotide* - **Octreotide** is a synthetic analog of **somatostatin** used primarily to treat conditions involving excessive hormone secretion, such as **variceal bleeding** or neuroendocrine tumors. - It is not a standard treatment for typical peptic ulcer disease caused by *H. pylori* or other common factors, and would not address the underlying causes of recurrence in this patient.
Explanation: ***Send the patient for hemodialysis*** - This patient presents with symptoms of **uremic encephalopathy** and **uremic pericarditis** in the context of **stage 4 kidney disease**. The altered mental status, weakness, fatigue, nausea, and the development of a bruise (which could indicate uremic coagulopathy) are suggestive of severe uremia. The ECG shows widespread **ST elevation and PR depression**, particularly noticeable in leads like II, V2-V6, which is a classic finding for pericarditis. The **weak friction rub** confirms this clinical suspicion. Hemodialysis is crucial to rapidly remove uremic toxins and resolve both uremic encephalopathy and pericarditis. - The ECG findings, including diffuse **ST elevation** with **PR depression**, are characteristic of **pericarditis**. In a patient with end-stage renal disease, **uremia** is a common cause of pericarditis, which can be life-threatening if not promptly treated with dialysis. *Perform a STAT pericardiocentesis* - While the patient has pericarditis, there are no immediate signs of **cardiac tamponade**, such as muffled heart sounds, jugular venous distension, or pulsus paradoxus, that would necessitate an emergency pericardiocentesis. - The primary treatment for **uremic pericarditis** is typically **hemodialysis** to resolve the underlying uremic state, not direct fluid removal unless tamponade is present. *Prepare the patient for renal transplant* - **Renal transplant** is a long-term solution for end-stage renal disease, but it is not an acute intervention for immediate life-threatening uremic complications like uremic pericarditis and encephalopathy. - The patient needs urgent stabilization and treatment of his current acute medical issues before transplant consideration. *Treat the patient with aspirin* - While aspirin can be used for some forms of pericarditis, it is generally **contraindicated** in patients with **uremic pericarditis** due to the increased risk of **gastric bleeding** and potential exacerbation of uremic coagulopathy. - The primary treatment for uremic pericarditis is **dialysis**, not anti-inflammatory medications, as the inflammation is driven by uremic toxins. *Treat the patient with cyclophosphamide and prednisone* - **Immunosuppressants** like cyclophosphamide and prednisone are used for autoimmune or inflammatory conditions causing pericarditis, such as systemic lupus erythematosus. - This patient's pericarditis is clearly linked to **uremia** from kidney disease, not an autoimmune condition, making immunosuppressive therapy inappropriate and potentially harmful.
Explanation: ***Reassurance*** - The patient's acute symptoms (mild cough, sore throat, headache for 1 week) are **non-specific and consistent with a common viral upper respiratory infection**, with no fever, weight loss, or progressive pulmonary symptoms suggesting active tuberculosis. - His **CD4+ count is excellent (700/mm3)**, indicating robust immune reconstitution on effective antiretroviral therapy, which means his TST result is reliable (not falsely negative due to anergy). - His **TST is negative by CDC criteria for HIV-positive individuals** (3 mm induration; requires ≥5 mm for positive), indicating no evidence of latent TB infection at this time. - Given the **absence of recent TB exposure, no symptoms of active TB, and negative TST in an immunocompetent HIV patient**, no further immediate action is required for TB screening in this pre-employment context. - His acute viral symptoms require only supportive care and observation. *Repeat tuberculin skin test after 6–8 weeks* - Two-step TST (repeating after 1–2 weeks, not 6–8 weeks) is used to detect the **booster phenomenon** in individuals who will undergo serial testing (e.g., healthcare workers), but there is no indication that this patient will need repeated TB screening. - The 6–8 week timeframe stated here is **not appropriate for two-step testing** and would only be considered if evaluating for TST conversion after a known exposure, which is not the case here. *Start patient on isoniazid treatment* - Isoniazid treatment is indicated for **latent TB infection (LTBI)**, diagnosed by a positive TST (≥5 mm in HIV+ patients) or IGRA. - This patient's **TST is negative** (3 mm < 5 mm threshold), so LTBI treatment is not indicated. - Treatment without documented infection would expose the patient to unnecessary hepatotoxicity risk, especially given his GERD and use of esomeprazole. *Interferon-γ release assay* - IGRA is an alternative to TST for LTBI screening and can be useful when TST results are difficult to interpret or in BCG-vaccinated individuals. - However, this patient has a **clear negative TST result** with reliable interpretation (good immune function, CD4 700), **no documented TB exposure**, and **no symptoms of active TB**. - In the absence of specific risk factors requiring additional confirmation (recent TB contact, discordant clinical suspicion), proceeding directly to IGRA is not cost-effective or indicated for routine pre-employment screening. *Chest x-ray* - Chest x-ray is indicated to evaluate for **active pulmonary tuberculosis** when there are suggestive symptoms (persistent cough >2-3 weeks, hemoptysis, night sweats, weight loss) or in patients with positive LTBI screening who need to rule out active disease before starting treatment. - This patient has **no specific TB symptoms**, normal pulmonary examination, and a **negative TST**, making chest x-ray unnecessary at this time. - His mild acute symptoms are consistent with a self-limited viral illness and do not warrant imaging.
Explanation: ***Endoscopic dilation*** - The patient's history of **intermittent dysphagia** (food sticking) relieved by drinking water, along with the endoscopic image likely showing a **stricture** or **ring** (e.g., Schatzki ring), points to a mechanical obstruction. - **Endoscopic dilation** is the primary treatment for esophageal rings and strictures, effectively widening the constricted area to relieve dysphagia. *Laparoscopic myotomy* - **Laparoscopic myotomy (Heller myotomy)** is a surgical procedure primarily used for treating **achalasia**, a motility disorder where the lower esophageal sphincter fails to relax. - Achalasia typically presents with both solid and liquid dysphagia, regurgitation, and chest pain, which are not the primary symptoms described here. *Topical glucocorticoids 'per os'* - **Topical glucocorticoids** are the cornerstone treatment for **eosinophilic esophagitis (EoE)**, which can also cause dysphagia and strictures. - While EoE can present with dysphagia, the primary diagnostic finding is a high number of eosinophils on esophageal biopsy, which is not mentioned as being found in this case. *Esophagectomy* - **Esophagectomy** is a major surgical procedure involving the removal of part or all of the esophagus, primarily reserved for **esophageal cancer** or severe, refractory benign conditions. - Given the intermittent and non-painful nature of the dysphagia and the likely benign cause (e.g., Schatzki ring), esophagectomy is an overly aggressive and inappropriate initial treatment. *No management is indicated at this time* - The patient has experienced **recurrent episodes of dysphagia** (2 similar episodes this year) and is concerned, indicating that his symptoms are clinically significant and require intervention. - Leaving a symptomatic esophageal obstruction untreated can lead to worsening dysphagia, nutritional deficiencies, and potential complications like food impaction.
Explanation: ***Bronchiectasis*** - The patient's history of **chronic productive cough**, **hemoptysis** (blood-tinged sputum), **digital clubbing**, and recent respiratory infection suggests bronchiectasis. The chest X-ray finding of **tram-track opacities** is highly characteristic of this condition, indicating bronchial wall thickening and dilation. The history of stroke placing him at risk for aspiration, and prior smoking also contribute to the risk of chronic lung damage. - **Bronchiectasis** is defined by **permanent dilation of the bronchi** due to chronic inflammation and infection, leading to impaired mucociliary clearance and recurrent infections. The description perfectly fits the clinical and radiological picture. *Aspiration pneumonia* - While the patient's history of **stroke** increases his risk for **aspiration**, the chronic nature of his symptoms (long-standing productive cough worsening since stroke) and the presence of **digital clubbing** are less consistent with acute aspiration pneumonia. - **Aspiration pneumonia** typically presents as an acute illness with fever and cough, and while it could explain some symptoms, it doesn't fully account for the chronic changes (clubbing, tram-track opacities). *Pulmonary embolism* - **Pulmonary embolism** usually presents with **acute onset dyspnea** and **pleuritic chest pain**, often without a history of chronic productive cough or digital clubbing. Hemoptysis can occur but is not typically copious and is associated with infarction. - The chest X-ray findings of **increased translucency** and **tram-track opacities** are not characteristic of pulmonary embolism, which might show an area of opacification (Westermark sign, Hampton hump) or be normal. *Lung cancer* - While **lung cancer** can cause cough, hemoptysis, and shortness of breath, and the patient's smoking history is a risk factor, the description of **tram-track opacities** on chest X-ray is not characteristic of lung cancer. **Digital clubbing** can be seen, but the chronic productive cough for years is more indicative of a chronic inflammatory process. - The typical X-ray findings for lung cancer would be a **mass lesion**, nodule, or atelectasis, not diffuse bronchial wall thickening. *Emphysema* - **Emphysema** is characterized by **shortness of breath** and a **chronic cough**, often related to a smoking history, and the X-ray might show **increased translucency** due to hyperinflation. However, copious **blood-tinged sputum** and **digital clubbing** are not typical features of emphysema. - The classic X-ray finding for emphysema is **hyperinflation** with flattened diaphragms, and while increased translucency is mentioned, **tram-track opacities** are not seen; these indicate bronchial wall thickening, not alveolar destruction.
Explanation: ***Positive stool guaiac test*** * The patient's symptoms of **fatigability**, **dyspnea on exertion**, and signs like **pallor**, along with a peripheral blood smear showing **small, pale red blood cells** (**microcytic hypochromic anemia**), are highly indicative of **iron deficiency anemia**. * In a 57-year-old postmenopausal woman, the most common cause of **iron deficiency anemia** is **chronic blood loss from the gastrointestinal (GI) tract**, which would be detected by a **positive stool guaiac test**. *Increased concentration of HbA2* * An increased concentration of **HbA2** is characteristic of **beta-thalassemia minor**, a genetic disorder, which presents as microcytic anemia, but the clinical context and age make iron deficiency due to blood loss more likely in this patient. * While both can cause microcytic anemia, the patient's acute presentation of symptoms and postmenopausal status strongly point to an acquired cause like chronic blood loss rather than a lifelong genetic condition. *Decreased serum haptoglobin concentration* * **Decreased serum haptoglobin concentration** is a marker of **hemolytic anemia**, where red blood cells are prematurely destroyed, leading to the release of free hemoglobin that binds to haptoglobin. * The patient's peripheral smear finding of **small, pale red blood cells** (microcytic hypochromic) is inconsistent with hemolysis as the primary cause; hemolytic anemias often present with normocytic or macrocytic red blood cells. *Dry bone marrow tap* * A **dry bone marrow tap** is typically associated with **myelofibrosis** or sometimes **hairy cell leukemia** or severe aplastic anemia, where the bone marrow is fibrotic or hypocellular and cannot be aspirated. * Iron deficiency anemia, while causing anemia, does not typically lead to a dry bone marrow tap; the marrow would usually be hypercellular with erythroid hyperplasia, reflecting the body's attempt to compensate for the anemia. *Increased serum methylmalonic acid concentration* * An **increased serum methylmalonic acid concentration** is a specific marker for **vitamin B12 deficiency**, which causes **megaloblastic (macrocytic) anemia**. * The patient's peripheral blood smear findings of **small, pale red blood cells** (microcytic hypochromic) are inconsistent with **vitamin B12 deficiency**, which leads to **large red blood cells**.
Explanation: ***Anoscopy*** - The patient presents with **bright red blood per rectum (hematochezia)**, specifically on the stool surface and toilet paper, without changes in bowel habits or weight loss, suggesting a lower gastrointestinal bleed, most likely from the **anorectal region**. - **Anoscopy** is the most appropriate initial evaluation for this presentation, as it allows for direct visualization of the anal canal and distal rectum to identify common causes such as **hemorrhoids** or **anal fissures**. *Mesalamine enema* - **Mesalamine enemas** are used to treat **distal ulcerative colitis**, which typically presents with bloody diarrhea, abdominal pain, and sometimes weight loss, none of which are present in this patient. - Administering treatment without a definitive diagnosis is inappropriate, especially when the cause of bleeding is unknown and potentially structural. *CT scan* - A **CT scan** is typically reserved for evaluating patients with suspected **diverticulitis**, **inflammatory bowel disease (IBD)** with complications, or internal bleeding not readily accessible by endoscopy. - Given the patient's presentation of bright red blood per rectum, likely from a local source, a CT scan would not be the initial diagnostic step and carries radiation exposure. *Stool culture and analysis for red blood cells and leukocytes* - **Stool cultures** and analysis for red blood cells and leukocytes are indicated for suspected **infectious colitis**, which usually presents with diarrhea, fever, and abdominal pain. - The patient's presentation with localized bright red blood and normal stool consistency does not suggest an infectious etiology. *Colonoscopy* - While **colonoscopy** can evaluate the entire colon, it is a more invasive procedure than anoscopy and is typically reserved for cases with unexplained GI bleeding, iron deficiency anemia, changes in bowel habits, or suspected proximal colonic pathology. - Given the patient's localized symptoms and absence of systemic signs, a less invasive and more targeted approach like anoscopy is preferred first.
Explanation: ***Gardner syndrome*** - The presence of **multiple colonic polyps** (over 100), **osteomas** (bony swellings on mandible, forehead, right shin), **epidermoid cysts** (subcutaneous nodules with central black pores), and **congenital hypertrophy of the retinal pigment epithelium (CHRPE)** are all classic extraintestinal manifestations of Gardner syndrome, a variant of **familial adenomatous polyposis (FAP)**. - The **family history of early-onset colon cancer** (father died at 39) further supports the diagnosis of an inherited polyposis syndrome. *Cowden syndrome* - Characterized by **multiple hamartomas** throughout the body, but presents with specific features like **Lhermitte-Duclos disease** (benign cerebellar tumor), **trichilemmomas**, and **mucocutaneous papillomatas**, which are not described here. - Although it increases the risk of certain cancers, its colonic polyps are typically **hamartomatous**, not exclusively adenomatous like in this case. *Lynch syndrome* - Also known as **hereditary nonpolyposis colorectal cancer (HNPCC)**, it typically involves a **right-sided colon cancer** and other extracolonic cancers (endometrial, ovarian). - It is characterized by relatively **few polyps** (usually less than 10-20), unlike the hundreds seen in this patient, and does not have the osteomas or epidermoid cysts. *Cronkhite-Canada syndrome* - A rare, non-inherited condition characterized by **gastrointestinal polyposis** (often involving the stomach, small intestine, and colon), coupled with **ectodermal abnormalities** like alopecia, onychodystrophy, and skin hyperpigmentation. - It does not involve osteomas, epidermoid cysts, or CHRPE, and patients typically do not have a strong family history of colon cancer. *Peutz-Jeghers syndrome* - Characterized by **hamartomatous polyps** mainly in the small intestine, and **mucocutaneous hyperpigmentation** (dark brown or black macules) typically around the mouth, nostrils, buccal mucosa, fingers, and toes. - While it increases the risk of gastrointestinal cancers, it does not present with osteomas, epidermoid cysts, or CHRPE.
Explanation: ***Sexual masochism*** - This is characterized by experiencing **sexual arousal from being humiliated, beaten, bound, or made to suffer**. The patient's description of needing hitting and choking for arousal directly aligns with this. - The bruising and burn marks, explained as results of sexual acts necessary for arousal, are consistent with symptoms of sexual masochism. *Sexual sadism* - This involves experiencing sexual arousal from **inflicting pain or suffering on another person**. The patient is receiving the pain, not inflicting it. - While sometimes seen in tandem with masochism in BDSM practices, the patient's statement focuses on her own need to be harmed for arousal. *Dependent personality disorder* - This is marked by an **excessive need to be taken care of**, leading to submissive and clinging behavior and fears of separation. While the patient is in a committed relationship, her drive for these sexual acts is not described as stemming from insecurity or fear of abandonment. - The patient's independent pursuits (law school, working) do not align with the pervasive and extreme dependency seen in this disorder. *Avoidant personality disorder* - This disorder is characterized by **social inhibition**, feelings of inadequacy, and **hypersensitivity to negative evaluation**. - The patient's active social life (volleyball team), pursuit of higher education, and engagement in a committed relationship contradict the typical features of avoidance. *Domestic abuse* - While the physical injuries might raise concern for abuse, the patient explicitly states these are self-initiated or consented to as part of her sexual arousal. **Lack of coercion and self-reporting of pleasure** from these acts differentiates it from abuse. - The patient's description emphasizes her own agency and desire for these specific sexual acts, rather than being a victim of unwanted violence.
Explanation: ***Correct: Intestinal metaplasia may regress with treatment of underlying cause; gastric dysplasia requires monitoring and possible intervention.*** - **Intestinal metaplasia (IM)**, especially without *H. pylori*, may resolve or improve if the underlying cause like **GERD** or chronic irritation (spicy/smoked foods) is treated. - **Gastric dysplasia** is a **precancerous lesion** that warrants close surveillance and possible endoscopic removal or other interventions depending on its grade and extent to prevent progression to gastric cancer. - This is the most comprehensive and medically accurate approach to managing both findings. *Incorrect: Intestinal metaplasia and gastric dysplasia are best managed with acid suppression and repeat endoscopy.* - While **acid suppression (PPI therapy)** is beneficial for **duodenal ulcers** and **GERD**, it is not the primary or sole management for **intestinal metaplasia** and **gastric dysplasia**. - **Repeat endoscopy** is part of surveillance, but this option doesn't address treatment of underlying causes or the need for active intervention for dysplasia. *Incorrect: Intestinal metaplasia requires no specific treatment, while gastric dysplasia requires immediate surgery.* - **Intestinal metaplasia** does benefit from identifying and managing underlying causes (GERD, dietary factors) to prevent progression. - **Gastric dysplasia** does not always require **immediate surgery**; management depends on the grade (low-grade vs. high-grade) and can include endoscopic resection before considering surgery. *Incorrect: Intestinal metaplasia and gastric dysplasia are irreversible and untreatable.* - This statement is factually incorrect; **intestinal metaplasia** can regress with treatment of underlying causes. - **Gastric dysplasia** is treatable, with interventions ranging from surveillance to **endoscopic resection** or surgery to prevent progression to cancer. *Incorrect: Both intestinal metaplasia and gastric dysplasia require endoscopic surveillance.* - Although **endoscopic surveillance** is crucial for both conditions, especially for **gastric dysplasia**, this option doesn't encompass the complete management strategy. - It fails to mention treatment of underlying causes (GERD, dietary modification) for intestinal metaplasia and active intervention (endoscopic resection) for dysplasia. - Surveillance alone is insufficient; comprehensive management is required.
Explanation: **72-hour fasting test** - The patient's symptoms (fatigue, palpitations, nausea, diaphoresis) that improve with eating (drinking juice) are highly suggestive of **hypoglycemia**, fitting **Whipple's triad**. - A 72-hour fasting test is the gold standard for diagnosing **insulinoma**, a neuroendocrine tumor that causes endogenous hyperinsulinism and recurrent hypoglycemia. *Corticotropin stimulation test* - This test is used to diagnose **adrenal insufficiency** by evaluating the adrenal glands' response to ACTH. - The patient's symptoms are inconsistent with adrenal insufficiency, and his blood pressure is stable, arguing against a hypotensive crisis. *Water deprivation test* - This test is used to diagnose **diabetes insipidus** by assessing the kidney's ability to concentrate urine. - The patient's symptoms do not align with polyuria and polydipsia characteristic of diabetes insipidus. *Oral glucose tolerance test* - This test is primarily used to diagnose **diabetes mellitus** or impaired glucose tolerance. - While helpful for assessing glucose metabolism, it is not the initial test for recurrent symptomatic hypoglycemia that improves with sugar intake. *24-hour urine catecholamine test* - This test is used to diagnose **pheochromocytoma**, a tumor that causes excessive catecholamine release. - While palpitations and diaphoresis can occur, the improvement with glucose and lack of sustained hypertension make pheochromocytoma less likely.
Explanation: ***Tropical sprue*** - The combination of **dysphagia**, **glossitis** (beefy, red, swollen tongue, angular stomatitis), **macrocytic megaloblastic anemia**, **decreased serum folate**, and a history of travel to the **Caribbean** strongly suggests tropical sprue. - **Normal methylmalonic acid** levels rule out B12 deficiency, leaving folate deficiency as the primary cause of macrocytic anemia, consistent with tropical sprue's malabsorption. *Diphyllobothrium latum infection* - This infection causes **vitamin B12 deficiency** due to the parasite absorbing B12, leading to **macrocytic megaloblastic anemia**. - However, B12 deficiency would present with **elevated methylmalonic acid** (MMA) levels, which are normal in this patient. *Autoimmune destruction of parietal cells* - This condition (pernicious anemia) leads to a **lack of intrinsic factor**, causing **vitamin B12 malabsorption** and subsequent B12 deficiency. - Like *Diphyllobothrium latum* infection, it would also present with **elevated methylmalonic acid** levels. *Poor diet* - While a severely poor diet can lead to nutritional deficiencies, the patient denies any change in diet, and the specific constellation of symptoms (especially a history of travel to the Caribbean and **normal MMA**) points more directly to a malabsorption syndrome like tropical sprue. - While a poor diet could cause folate deficiency, it wouldn't explain the rapid onset of severe symptoms or the specific malabsorptive context without further history. *Celiac disease* - Celiac disease typically causes **malabsorption** leading to iron deficiency anemia (microcytic) or, less commonly, folate deficiency (macrocytic). - However, celiac disease is an immune reaction to **gluten** and is not specifically associated with travel to the Caribbean or the classic oral findings described.
Explanation: ***Dermatomyositis*** - The presentation of **proximal muscle weakness** (difficulty lifting arms, weak shoulder shrug and arm abduction) combined with **characteristic skin rashes** (heliotrope rash around eyes, shawl sign on neck/chest) is highly indicative of dermatomyositis. - Dermatomyositis is a **systemic autoimmune disease** characterized by inflammation of the muscles and skin, often associated with elevated muscle enzymes, although not mentioned as abnormal here, the clinical picture is classic. *Polymyalgia rheumatica* - Polymyalgia rheumatica also causes **proximal muscle pain and stiffness**, particularly in the shoulders and hips, but usually without significant weakness. - It is not associated with the specific **skin manifestations** described, and typically occurs in older individuals (over 50). *Lambert-Eaton myasthenic syndrome (LEMS)* - LEMS causes **proximal muscle weakness** that typically **improves with exercise** and is often associated with **autonomic dysfunction** (e.g., dry mouth, erectile dysfunction) and **small cell lung cancer**. - The specific skin rashes observed and the progressive worsening of weakness are inconsistent with LEMS. *Fibromyalgia* - Fibromyalgia is characterized by **widespread musculoskeletal pain**, fatigue, and tender points, but typically **does not involve objective muscle weakness** or the specific skin rashes seen in this patient. - The muscle strength findings (2/5) rule out fibromyalgia as the primary diagnosis. *Myasthenia gravis* - Myasthenia gravis causes **fluctuating muscle weakness** that worsens with activity and improves with rest, often affecting **ocular and bulbar muscles** first. - While it can cause proximal limb weakness, it is not associated with the specific **skin rashes** described.
Explanation: ***Esophageal stricture*** - Chronic inflammation from **gastroesophageal reflux disease (GERD)** can lead to **fibrosis and scar tissue formation** in the esophagus, resulting in the narrowing of the esophageal lumen. - While not immediately life-threatening, **esophageal strictures** can cause **dysphagia** and require endoscopic dilation. *Esophageal squamous cell carcinoma* - This type of cancer is more commonly associated with **tobacco and alcohol use**, but generally does not directly result from GERD. - There is no mention of **dysphagia to solids** or other typical symptoms of esophageal cancer. *Esophageal adenocarcinoma* - This complication is typically preceded by **Barrett's esophagus**, which involves **intestinal metaplasia** of the esophageal lining. - The biopsy results explicitly state **no evidence of metaplasia**, making this an unlikely immediate risk. *Sliding hiatal hernia* - A **sliding hiatal hernia** is a common anatomical predisposition for GERD, and it may contribute to the patient's symptoms but is not a complication *of* GERD itself. - It involves the **protrusion of the stomach into the chest cavity** through the diaphragm. *Pyloric stenosis* - **Pyloric stenosis** affects the **pylorus**, the opening between the stomach and the small intestine, and is not a direct complication of esophageal reflux disease. - It usually presents with **projectile vomiting** and typically occurs in infants or, less commonly, in adults due to other causes like chronic ulcers or tumors.
Explanation: ***Start esomeprazole, temporarily stop risedronate*** - The patient exhibits symptoms of **esophageal irritation**, including **dysphagia** and retrosternal chest pain aggravated by eating, which is a known side effect of **bisphosphonates** like risedronate. - Starting a **proton pump inhibitor (PPI)** like esomeprazole and temporarily discontinuing the risedronate addresses both the potential cause and the symptoms effectively. *Refer her for an upper GI endoscopy* - While an endoscopy may eventually be indicated if symptoms persist, it is not the immediate next best step given the clear potential link to risedronate, a medication known to cause **esophageal erosions**. - **Empiric therapy** with PPIs and stopping the offending agent is usually the first approach in suspected medication-induced esophagitis. *Start triple therapy with esomeprazole, metronidazole, and clarithromycin* - **Triple therapy** is used for **H. pylori eradication** in cases of peptic ulcer disease, which is not strongly suggested here. - The patient's symptoms are more consistent with **esophageal rather than gastric irritation**, and there's no indication of infection warranting antibiotics. *Start her on ranitidine* - **Ranitidine** is an **H2 receptor blocker**, which is less potent than a PPI like esomeprazole in suppressing acid production. - Given the severity and nature of the symptoms, a **PPI is preferred for initial management** of suspected esophagitis. *Start esomeprazole and increase enalapril dose.* - While esomeprazole might be appropriate, increasing the **enalapril dose** is irrelevant to her current symptoms and could lead to **hypotension** or other side effects without addressing the esophageal issue. - The patient's blood pressure is already well-controlled, and there is no indication for an increase in her antihypertensive medication.
Explanation: **Arteriolar wall thickening in the kidney** * The patient's presentation is classic for **Systemic Sclerosis (Scleroderma)**: progressive dysphagia for solids, **taut skin** (cutaneous sclerosis), sclerodactyly (limited finger motion), **telangiectasias**, and esophageal dysmotility with absent peristalsis and decreased LES pressure. * **Renal involvement** is a major systemic complication of scleroderma. **Scleroderma renal crisis** occurs in 10-15% of patients and involves proliferative vasculopathy with **arteriolar wall thickening** (particularly affecting afferent renal arterioles), leading to acute kidney injury and malignant hypertension. * This histologic finding of **arterial intimal proliferation and medial thickening** is the hallmark of scleroderma renal crisis and would be seen on kidney biopsy. *Microcytic, pale red blood cells* * This finding suggests **iron deficiency anemia** from chronic GI bleeding or malabsorption. * While patients with scleroderma can develop **esophageal dysmotility** leading to reflux and Barrett's esophagus, and intestinal involvement causing malabsorption, iron deficiency anemia is not the most direct or specific systemic complication expected with this presentation. *Budding yeasts on the oral mucosa* * This indicates **oral candidiasis (thrush)**, seen in immunosuppressed patients or those with esophageal dysmotility. * While scleroderma patients with severe esophageal dysmotility can develop candida esophagitis, oral candidiasis is not a primary systemic manifestation of the disease itself and would be secondary to esophageal stasis. *Amyloid deposits in the liver* * **Amyloidosis** involves extracellular deposition of insoluble fibrillar proteins in various organs. * The clinical presentation here (taut skin, telangiectasias, specific esophageal findings with decreased LES pressure) is characteristic of scleroderma, not amyloidosis. Amyloidosis typically presents with nephrotic syndrome, hepatomegaly, macroglossia, and cardiac involvement—different from this patient's features. *Parasite nests in the myocardium* * This describes **Chagas disease** (caused by *Trypanosoma cruzi*), which causes **megaesophagus** and cardiomyopathy. * While Chagas can cause esophageal dysmotility, it presents with **dilated esophagus** (megaesophagus) rather than the scleroderma pattern, and lacks the characteristic **skin changes** (taut skin, telangiectasias) and **decreased LES pressure** seen in this patient.
Explanation: ***Decreased serum iron and increased TIBC*** - The patient's symptoms (fatigue, breathlessness, pale conjunctiva, prolonged capillary refill) and lab results (hemoglobin 10 g/dL, hematocrit 32%, hypochromic red blood cells, poikilocytosis) are highly indicative of **iron deficiency anemia (IDA)**. - The **decreased hemoglobin A2** on electrophoresis further supports IDA, as HbA2 levels are typically reduced in iron deficiency (whereas they are elevated in beta-thalassemia trait). - In IDA, the body lacks iron, leading to **decreased serum iron** and a compensatory **increased total iron-binding capacity (TIBC)** as the body tries to maximize iron absorption and transport. *Normal serum iron and normal TIBC* - This profile is typically seen in individuals without iron metabolic disturbances, which contradicts the patient's clear signs and symptoms of **anemia** and likely iron deficiency. - Normal iron studies would not explain the **hypochromic microcytic red blood cells** found on the peripheral smear. *Increased serum iron and decreased TIBC* - This pattern is characteristic of **iron overload conditions** such as hemochromatosis or sideroblastic anemia, which are inconsistent with the patient's presentation of fatigue and anemia. - Decreased TIBC indicates the body has sufficient or excess iron and does not need to increase iron binding protein production. *Decreased serum iron and decreased TIBC* - This finding is most commonly associated with **anemia of chronic disease (ACD)**, where inflammatory mediators lead to iron sequestration, resulting in both low serum iron and reduced TIBC. - While the patient has some signs of anemia, her recent switch to a **vegan diet** and the absence of a chronic inflammatory condition make IDA more likely than ACD. *Increased serum ferritin and increased iron saturation* - **Increased serum ferritin** would indicate iron overload or inflammation, while **increased iron saturation** suggests there is plenty of iron available for binding. - These findings are contrary to the classic picture of **iron deficiency anemia**, where ferritin (the storage form of iron) would be low, and iron saturation would be reduced due to insufficient iron.
Explanation: ***Upper gastrointestinal endoscopy*** - This patient presents with **dysphagia** and a long history of **untreated GERD**, raising concern for complications like **esophageal stricture** or **Barrett's esophagus**, which necessitate direct visualization. - Endoscopy allows for **biopsy** of suspicious lesions (e.g., dysplasia, adenocarcinoma) and therapeutic interventions like **dilation of strictures**. *Ambulatory 24-hour pH monitoring* - This test is primarily used to **confirm GERD** in patients with atypical symptoms or to evaluate response to treatment, but it does not assess for structural complications. - It would not identify conditions like **esophageal stricture** or **Barrett's esophagus**, which are a concern given the patient's dysphagia and long history of untreated GERD. *Esophageal manometry* - Esophageal manometry assesses **esophageal motility** and is useful in diagnosing motility disorders like **achalasia** but does not visualize the mucosa or detect structural abnormalities. - While dysphagia can be a symptom of motility disorders, the patient's long history of GERD makes structural complications a more urgent concern. *Intraluminal impedance monitoring* - This test is often combined with pH monitoring to detect **non-acid reflux** or to evaluate patients with persistent symptoms despite acid-suppressive therapy. - It does not provide information about the **mucosal integrity** or detect **structural abnormalities** that are highly suspected in this patient. *Barium radiography of esophagus, stomach, and duodenum* - While barium studies can identify **structural abnormalities** such as strictures or large ulcers, they are less sensitive than endoscopy for detecting subtle mucosal changes like **Barrett's esophagus** or early cancer. - Barium studies also do not allow for **biopsy** of suspicious lesions, which is crucial for definitive diagnosis in this high-risk patient.
Explanation: ***Acid reflux*** - The patient's history of **recurrent heartburn** and regular omeprazole use strongly indicates chronic **gastroesophageal reflux disease (GERD)**, which is the most important risk factor for esophageal adenocarcinoma in Caucasian patients. - Chronic GERD leads to **Barrett's esophagus** (intestinal metaplasia of the distal esophagus), which is a precursor lesion with risk of progression to dysplasia and eventually adenocarcinoma. - The progressive dysphagia (solids then liquids), weight loss, and chronic GERD history in a Caucasian male strongly suggest **esophageal adenocarcinoma**, for which acid reflux is the primary modifiable risk factor. *Dysplasia* - While dysplasia (particularly high-grade dysplasia) is a strong predictor of malignant transformation and represents an advanced stage in the metaplasia-dysplasia-carcinoma sequence, it is not an **underlying risk factor** but rather a histopathologic finding that develops as a consequence of chronic mucosal injury. - Dysplasia requires endoscopic surveillance or intervention, but the question asks for a risk factor for developing the condition, not a marker of disease progression. *Diet* - Certain dietary patterns (low in fruits/vegetables, high in processed foods) are general risk factors for esophageal cancer, but are less specific and less strongly associated compared to chronic acid reflux. - In this patient with documented chronic GERD and typical presentation of esophageal adenocarcinoma, **acid reflux is the more specific and clinically relevant risk factor**. *Smoking* - **Smoking** is indeed a well-established risk factor for both squamous cell carcinoma and adenocarcinoma of the esophagus, and this patient's smoking history contributes to his cancer risk. - However, in the context of this question asking for "**a** risk factor" (singular), **chronic acid reflux** is the most specific and directly relevant risk factor given his documented GERD history, Caucasian ethnicity, and clinical presentation consistent with adenocarcinoma. - Both smoking and GERD are risk factors, but GERD → Barrett's → adenocarcinoma is the most characteristic pathway for this presentation. *Trypanosoma infection* - **Trypanosoma cruzi** infection (Chagas disease) causes destruction of the myenteric plexus, leading to **achalasia** (failure of lower esophageal sphincter relaxation). - Chronic achalasia is a risk factor for **squamous cell carcinoma** of the esophagus, not adenocarcinoma. - This patient's presentation (dysphagia to solids before liquids, chronic heartburn) is more consistent with an obstructive lesion (cancer) rather than a motility disorder (achalasia causes dysphagia to both solids and liquids simultaneously).
Explanation: ***Amyotrophic lateral sclerosis*** - This diagnosis accounts for the combination of **upper motor neuron** (spasticity, hyperreflexia, extensor plantar response) and **lower motor neuron** (weakness, atrophy, dysphagia, tongue atrophy) signs and symptoms. - The progressive weakness in both hands and legs, alongside **dysphagia** (difficulty swallowing) and **dysarthria** (implied by tongue atrophy), is highly characteristic of ALS, a neurodegenerative disorder affecting motor neurons. *Cervical spondylosis with myelopathy* - While it can cause some **upper motor neuron signs** (spasticity, hyperreflexia), it does not typically present with prominent **lower motor neuron signs** like widespread muscle atrophy or tongue atrophy. - Sensation is usually impaired below the level of compression, but in this patient, sensation is **intact**, making cervical myelopathy less likely. *Inclusion-body myositis* - This is a **muscle disease** causing progressive weakness and atrophy, particularly in the quadriceps and forearm flexors, often with **dysphagia**. - However, it is primarily a **myopathy** and does not cause **upper motor neuron signs** such as spasticity, hyperreflexia, or an extensor plantar response. *Subacute combined degeneration of spinal cord* - This condition is caused by **vitamin B12 deficiency** and typically presents with a combination of **sensory ataxia**, weakness, and **paresthesias**, affecting the dorsal and lateral columns. - It usually presents with **paresthesias** and **sensory deficits** (especially vibratory sense and proprioception), which are specifically noted as intact in this patient. *Syringomyelia* - This involves a **fluid-filled cyst (syrinx)** within the spinal cord, leading to a classic "cape-like" distribution of **loss of pain and temperature sensation** in the upper extremities due to damage to the spinothalamic tracts. - While it can cause weakness and atrophy, it characteristically spares light touch, vibration, and position sense but involves **dissociated sensory loss**, which is not seen in this patient.
Explanation: **Urinalysis and culture** - The sudden onset of **urinary incontinence** and **increased frequency** in an elderly woman, especially without prior history, strongly suggests a **urinary tract infection (UTI)**. - UTIs are common in elderly individuals and can present atypically with incontinence, confusion, or increased fatigue, requiring **urinalysis** to detect infection and **culture** for pathogen identification and antibiotic susceptibility. *Vaginal estrogen cream* - This treatment is primarily for **atrophic vaginitis** and associated **urge or stress incontinence** due to estrogen deficiency, which develops gradually over time. - The patient's symptoms are of **acute onset**, which makes **atrophy** less likely to be the primary cause of this sudden change. *Pad test* - A pad test quantifies the amount of urine leakage over a specific period and is used to assess the **severity of incontinence**. - While it helps in characterizing incontinence, it does not identify the **underlying cause** of new-onset symptoms, particularly in the context of possible infection. *MRI of the pelvis* - This imaging study would be considered for evaluating **structural abnormalities** or **neurological causes** of incontinence, such as masses or nerve compression. - Given the acute onset of symptoms suggestive of infection, a less invasive and more direct diagnostic approach, like urinalysis, is warranted first. *Caffeine abstinence* - **Caffeine** is a **bladder irritant** and **diuretic** that can worsen existing urinary incontinence or frequency. - While reducing caffeine intake might help manage symptoms in the long term, it is not the appropriate **first step** to diagnose the acute onset of severe symptoms that likely point to an infection.
Explanation: ***Add a proton pump inhibitor*** - The patient's nocturnal cough, hoarse voice, frequent throat clearing, and substernal chest pain, especially in the context of **obesity (BMI 30)** and a diagnosis of asthma, are highly suggestive of **gastroesophageal reflux disease (GERD)**. - GERD can exacerbate asthma symptoms and cause chronic respiratory complaints, making a trial of a **proton pump inhibitor (PPI)** an appropriate next step to address these symptoms. *Add a salmeterol inhaler* - Adding a **long-acting beta-agonist (LABA)** such as salmeterol would be considered if the patient's asthma symptoms were not adequately controlled by her current therapy (inhaled albuterol and beclomethasone), but her cough and dyspnea have improved and her persistent nocturnal symptoms are atypical for uncontrolled asthma. - While LABAs are used for maintenance therapy in asthma, the constellation of symptoms (hoarseness, throat clearing, nocturnal cough in bed) points more strongly to an underlying GERD contributing to her respiratory issues, rather than solely uncontrolled asthma. *Order total serum IgE levels* - Total serum IgE levels are used to assess for **allergic phenotypes** of asthma, particularly when considering biologics like omalizumab for severe allergic asthma. - While IgE can be elevated in some asthma patients, it is not the most pertinent investigation given the patient's current symptoms, which are more suggestive of GERD, and her asthma symptoms have already shown improvement with standard therapy. *Add oral prednisone* - **Oral prednisone** is a systemic corticosteroid typically reserved for **acute asthma exacerbations** or for patients with severe, uncontrolled asthma despite maximal inhaled therapy. - Her symptoms have improved with inhaled medications, and her persistent nocturnal symptoms are not indicative of a severe exacerbation or poorly controlled asthma requiring systemic steroids; rather, they point to a co-morbid condition. *Order a transthoracic echocardiogram* - A transthoracic echocardiogram assesses cardiac function and structure, and while it could investigate other causes of chest pain or dyspnea, her symptoms are more consistent with GERD rather than a primary cardiac issue. - Her vital signs are stable, and the chest pain is substernal, which can be a symptom of GERD; there are no other red flags for cardiac disease.
Explanation: ***Fasting serum gastrin level*** - The patient's presentation with multiple, refractory **duodenal and jejunal ulcers**, thick gastric folds, and severely low gastric pH (<2) strongly suggests **Zollinger-Ellison syndrome (ZES)**, caused by a gastrin-secreting tumor (gastrinoma). - Measuring **fasting serum gastrin** is the most direct way to confirm excess gastrin production characteristic of ZES. *Urea breath test* - This test is primarily used for diagnosing **Helicobacter pylori infection**, which can cause peptic ulcers. - However, the presentation of **multiple, refractory ulcers** extending into the jejunum, thick gastric folds, and very low gastric pH are not typical for *H. pylori* alone, and biopsies showed no organisms, making this less likely the primary issue. *24-hour esophageal pH monitoring* - This test is used to diagnose **gastroesophageal reflux disease (GERD)** by measuring esophageal acid exposure. - While heartburn is present, the widespread, severe ulcers in the duodenum and jejunum, along with thick gastric folds and very low gastric pH, point to a more systemic problem of acid hypersecretion rather than just reflux. *Serum vasoactive intestinal polypeptide level* - Elevated **VIP (vasoactive intestinal polypeptide) levels** are indicative of a **VIPoma**, a tumor that causes secretory diarrhea. - While the patient has diarrhea, the prominent features of severe, widespread ulcers and gastric acid hypersecretion are not hallmarks of a VIPoma; they are characteristic of gastrinoma. *Urine metanephrine levels* - Measuring **urine metanephrine levels** is used to screen for **pheochromocytoma**, an adrenal tumor that secretes catecholamines. - Pheochromocytoma symptoms typically include hypertension, palpitations, and headaches, which are not present in this patient's clinical picture of persistent acid-related symptoms and diarrhea.
Explanation: ***Violaceous papules over the MCP and PIP joints*** - The patient's symptoms of **proximal muscle weakness** and characteristic rash (rash on upper eyelids, i.e., **heliotrope rash**) are highly suggestive of **dermatomyositis**. - **Gottron's papules**, which are violaceous papules over the **extensor surfaces** of the **metacarpophalangeal (MCP) and proximal interphalangeal (PIP) joints**, are a **pathognomonic cutaneous finding** in dermatomyositis. - These lesions may also appear over the elbows and knees, and occasionally over the distal interphalangeal (DIP) joints, but MCP and PIP involvement is most characteristic. *Enlargement of the PIP* - **Enlargement of the proximal interphalangeal (PIP) joints** is more characteristic of **osteoarthritis** (Bouchard's nodes) or **rheumatoid arthritis**, which typically presents with symmetric joint involvement and different cutaneous manifestations. - This finding does not align with the patient's pattern of proximal muscle weakness and distinctive rash. *Ulnar deviation of the fingers* - **Ulnar deviation of the fingers** is a classic deformity seen in advanced **rheumatoid arthritis**, which primarily affects joints symmetrically and is not associated with the proximal muscle weakness and specific facial rash described. - The patient's symptoms point away from an inflammatory arthropathy like rheumatoid arthritis. *Dactylitis* - **Dactylitis** (swelling of an entire digit, giving a **"sausage digit"** appearance) is characteristic of **psoriatic arthritis** or **spondyloarthropathies** (such as reactive arthritis or ankylosing spondylitis). - It is not a feature of dermatomyositis and does not fit the overall clinical picture of proximal muscle weakness and heliotrope rash. *Nail pitting with oil spots* - **Nail pitting** and **oil spots** (yellow-brown discoloration under the nail) are characteristic dermatological manifestations of **psoriasis** and **psoriatic arthritis**. - These findings are not associated with dermatomyositis, whose dermatological features include Gottron's papules and heliotrope rash.
Explanation: ***Adenocarcinoma*** - The patient's history of **dysphagia progressing from solids to liquids**, **weight loss**, and **long-standing GERD symptoms** (chronic cough, burning chest pain, use of antacids for years) are highly suggestive of **esophageal adenocarcinoma**, especially given the endoscopic finding of a **lower esophageal mass**. - **Risk factors** present include **obesity** (BMI 32 kg/m²), **chronic GERD**, and a remote history of smoking, which contribute to the development of **Barrett's esophagus**, a precursor to adenocarcinoma. - Adenocarcinoma typically arises in the **distal/lower esophagus** due to chronic acid reflux. *Nutcracker esophagus* - Characterized by **high-amplitude peristaltic contractions** of the esophagus, primarily causing **chest pain** and **dysphagia**. - It is a **motility disorder**, not a structural lesion, and does not present with **progressive dysphagia from solids to liquids**, **weight loss**, or an **esophageal mass** on endoscopy. *Plummer-Vinson syndrome* - A rare condition characterized by the triad of **iron deficiency anemia**, **dysphagia**, and **esophageal webs** (typically in the upper esophagus). - While it causes dysphagia, it does not present with an **esophageal mass**, **weight loss**, or a history of long-standing GERD. - More common in middle-aged women and associated with increased risk of squamous cell carcinoma. *Small cell carcinoma* - **Small cell carcinoma** is primarily a type of **lung cancer**, although it can rarely occur in the esophagus. - Esophageal small cell carcinoma is **very aggressive** and usually presents with symptoms similar to other esophageal cancers but is **much less common** than adenocarcinoma or squamous cell carcinoma in the esophagus. *Squamous cell carcinoma* - **Squamous cell carcinoma** of the esophagus is strongly associated with **smoking** and **alcohol use**, and typically arises in the **upper or middle esophagus**. - While the patient has a remote smoking history, his **long-standing GERD**, **obesity**, and **lower esophageal mass** location make **adenocarcinoma** the more probable diagnosis, as adenocarcinoma arises from **Barrett's esophagus** in the distal esophagus due to chronic reflux.
Explanation: ***Apply topical calamine preparation*** - This patient likely has **contact dermatitis** from poison ivy, oak, or sumac given his recent hiking trip and job as a landscape architect, presenting with a pruritic rash. - **Calamine lotion** helps to soothe the skin, reduce itching, and dry out oozing lesions, providing symptomatic relief for mild to moderate cases. *Administer oral cetirizine* - While **cetirizine** is an antihistamine that could help with the itching, topical treatments are generally preferred for localized contact dermatitis first. - Oral antihistamines are typically reserved for more widespread or severe pruritus, or when topical treatments are insufficient. *Administer oral ivermectin* - **Ivermectin** is an antiparasitic medication used for conditions like scabies or strongyloidiasis, which are not suggested by this patient's presentation. - The rash described is consistent with a plant-induced contact dermatitis, not a parasitic infection. *Counsel patient on alcohol intake* - While counseling on **alcohol intake** may be beneficial for overall health, it is not the most appropriate immediate next step for managing an acute pruritic rash. - The patient's alcohol use is chronic, and reducing it would not directly address the acute dermatological issue. *Administer oral prednisone* - **Oral prednisone** (corticosteroids) is indicated for severe or widespread contact dermatitis, or when the face/genitals are involved. - Given the description of a localized rash on both arms, oral corticosteroids are likely excessive as a first-line treatment.
Explanation: ***Upper endoscopy*** - This patient presents with **alarm symptoms** including **unexplained weight loss** and **darker stools** (potentially indicative of melena), which warrant a direct visualization of the upper gastrointestinal tract. - While a chronic cough can be a symptom of **GERD**, the presence of alarm symptoms necessitates ruling out more serious conditions like **esophageal adenocarcinoma** or **gastric cancer** rather than empiric treatment. *Barium swallow* - A barium swallow is less sensitive for detecting subtle mucosal changes, inflammation, or early malignancies compared to endoscopy. - It primarily evaluates the **structure and motility** of the esophagus but does not allow for **biopsy** of suspicious lesions. *Trial of lansoprazole* - An empiric trial of a **proton pump inhibitor (PPI)** like lansoprazole is appropriate for classic GERD symptoms without alarm features. - However, the presence of **weight loss** and **darker stools** (suggesting GI bleeding) makes empirical treatment inappropriate; a definitive diagnosis is required. *Colonoscopy* - A colonoscopy examines the **lower gastrointestinal tract** (colon and rectum) and would be indicated for symptoms like changes in bowel habits, lower GI bleeding, or unexplained iron deficiency anemia. - The patient's symptoms (chronic cough, potential upper GI bleeding via darker stools, weight loss) point towards an **upper GI source**. *Helicobacter pylori stool antigen test* - This test is used to diagnose **H. pylori infection**, which is a common cause of peptic ulcers and gastritis. - While H. pylori can cause abdominal symptoms, it is not typically associated with a chronic cough or the alarm symptoms of **weight loss** and **darker stools** that suggest upper GI bleeding requiring immediate investigation via endoscopy.
Explanation: ***Ferritin levels*** - The patient presents with **microcytic anemia** (**MCV 74 µm³**) and clinical signs consistent with **iron deficiency anemia**, such as **pale conjunctivae**, **angular cheilitis** (inflammation of the corners of the mouth), and brittle nails. - **Ferritin** is the most sensitive and specific test for assessing **iron stores** and directly evaluating for iron deficiency. *Peripheral blood smear* - While a peripheral blood smear would show **microcytic, hypochromic red blood cells**, it is a confirmatory test rather than the most appropriate initial diagnostic step for directly assessing iron status. - It would not quantify iron stores or definitively rule in or out iron deficiency without additional tests. *Hemoglobin electrophoresis* - This test is primarily used to diagnose **hemoglobinopathies** like **thalassemias** or **sickle cell disease**, which can also cause microcytic anemia. - However, the patient's symptoms and the absence of specific risk factors (e.g., ethnic background known for thalassemia) make iron deficiency a more likely primary cause, especially given the clinical presentation. *Bone marrow biopsy* - A bone marrow biopsy is an **invasive procedure** typically reserved for cases where other diagnostic tests are inconclusive or to evaluate for bone marrow disorders. - It is not the initial step in evaluating for iron deficiency anemia. *Direct Coombs test* - The direct Coombs test is used to detect **autoimmune hemolytic anemia**. - This patient's anemia is **microcytic**, not hemolytic, and there are no signs of hemolysis (e.g., jaundice, splenomegaly, elevated bilirubin or LDH), making this test inappropriate.
Explanation: ***Niacin deficiency (pellagra)*** - The patient's presentation with **dermatitis** (scaly, erythematous rash with dusky brown discoloration on sun-exposed areas), **diarrhea**, and signs of **dementia** (difficulty remembering history, appearing thin potentially indicating weight loss/malnutrition) is classic for **pellagra**, a disease caused by niacin (vitamin B3) deficiency. The history of intravenous drug use, incarceration, and chronic cough (possibly HIV/tuberculosis related) increases the risk of malnutrition. - **The 4 D's of pellagra** (dermatitis, diarrhea, dementia, and death) are key diagnostic features, all of which are either present or suggested in this clinical scenario. *Zinc deficiency* - While zinc deficiency can cause **dermatitis**, it typically presents as **periorificial and acral lesions**, often associated with **alopecia** and impaired wound healing, which are not described here. - Diarrhea can occur, but the combination with profound neurological and dermatological features in this pattern strongly points away from zinc deficiency. *Protein-energy malnutrition* - Protein-energy malnutrition (PEM) leads to generalized wasting and can cause various non-specific dermatological changes and impaired immune function. However, it does not typically present with the **specific triad of dermatitis, diarrhea, and dementia** characteristic of pellagra. - While the patient appears thin and likely has some degree of malnutrition, PEM alone does not explain the specific rash pattern and neurological symptoms as precisely as pellagra. *Riboflavin deficiency* - Riboflavin (vitamin B2) deficiency can cause **cheilosis**, **angular stomatitis**, **glossitis**, and **seborrheic dermatitis-like lesions**, particularly around the nose and eyes. - It does not typically cause the widespread, sun-exposed dermatitis or the profound gastrointestinal and neurological symptoms (diarrhea, dementia) seen in this patient. *Thiamine deficiency* - Thiamine (vitamin B1) deficiency primarily affects the nervous and cardiovascular systems, leading to **beriberi** (wet or dry). Symptoms include **peripheral neuropathy**, **heart failure**, and **Wernicke-Korsakoff syndrome**. - While neurological symptoms (dementia-like features) could occur in Wernicke-Korsakoff, the distinctive widespread erythematous rash and chronic diarrhea are not typical features of thiamine deficiency.
Explanation: ***CT abdomen/pelvis*** - A **CT scan of the abdomen and pelvis** is crucial for **initial staging** of gastric adenocarcinoma, evaluating for **local invasion**, **lymph node involvement**, and **distant metastasis**. - This whole-body imaging provides a comprehensive overview that guides subsequent treatment decisions, including resectability. *MRI abdomen/pelvis* - While MRI can provide detailed images, it is generally **not the first-line imaging modality** for initial staging of gastric cancer due to its **higher cost** and **longer acquisition time** compared to CT. - MRI is typically reserved for specific situations, such as evaluating **liver metastases** with greater precision or in patients with contraindications to CT contrast. *PET-CT* - **PET-CT** is primarily used to detect **distant metastases** and assess **metabolic activity** of tumors, which can be valuable for identifying occult disease or monitoring treatment response. - However, it is usually performed **after an initial CT scan** to confirm findings or in cases where resectability is still in question post-CT. *Obtain CEA, CA 125 antigen, and CA 19-9* - **Tumor markers** like CEA, CA 125, and CA 19-9 can be elevated in various cancers, including gastric adenocarcinoma, and may be used for **monitoring treatment response** or detecting **recurrence**. - However, they are generally **not reliable for initial diagnosis or staging** due to their lack of sensitivity and specificity. *Endoscopic ultrasound (EUS)* - **Endoscopic ultrasound (EUS)** provides excellent detail for assessing the **depth of tumor invasion** through the gastric wall and detecting **regional lymph node involvement**. - While critical for determining T and N stages, it is usually performed **after initial cross-sectional imaging** (like CT) has ruled out distant metastasis that would preclude curative surgery.
Explanation: ***Rest and ibuprofen*** - The patient's presentation of gradual onset foot pain in a **military recruit** that worsens with activity and improves with rest, with focal metatarsal tenderness, is highly suggestive of a **stress fracture**. Initial radiographs are often normal in early stress fractures, and conservative management with **rest and NSAIDs** like ibuprofen is the first-line treatment. - This approach aims to reduce inflammation and pain, allowing the bone to heal while preventing further stress and injury. *Splinting* - While splinting can provide support and pain relief, it is generally considered for more severe or unstable injuries, or as an adjunct to rest and medication if symptoms are not adequately controlled. - It's a more restrictive measure that might not be necessary for an initial, unconfirmed stress fracture of this nature. *MRI* - An MRI would be the next step if symptoms persist or worsen despite conservative management, or if there is diagnostic uncertainty. - It is highly sensitive for detecting **stress reactions** and early stress fractures that are not visible on plain radiographs but is not the immediate first step for an uncomplicated presentation. *Casting* - Casting provides rigid immobilization and is typically reserved for confirmed, more severe, or unstable stress fractures, or those that fail to heal with rest and non-pharmacological interventions. - Applying a cast for an initial, suspected stress fracture where conservative measures haven't been tried would be overly aggressive. *Internal fixation* - **Internal fixation** is a surgical procedure considered for complicated stress fractures, such as those at high risk of **non-union** or displacement (e.g., in the femoral neck, anterior tibial cortex), or if conservative management and casting fail. - It is a highly invasive approach and would be inappropriate as the initial management strategy for this patient's presentation.
Explanation: ***Can you tell me more about the symptoms you have been experiencing?*** - This **open-ended question** encourages the patient to provide a **comprehensive narrative** of their symptoms, including details about onset, frequency, duration, alleviating/aggravating factors, and associated symptoms, which is crucial for diagnosis. - In a patient presenting with vague, intermittent symptoms like alternating constipation and diarrhea, allowing them to elaborate freely can reveal important clues that might not be captured by more targeted questions. *Does the diarrhea typically precede the constipation, or vice-versa?* - While knowing the sequence of symptoms can be helpful in understanding the **pattern of bowel dysfunction**, it is a very specific question that might overlook other important aspects of the patient's experience. - It prematurely narrows the focus without first obtaining a broad understanding of the patient's overall symptomatic picture. *Is the diarrhea foul-smelling?* - Foul-smelling diarrhea can indicate **malabsorption** or **bacterial overgrowth**, which are important to consider in some gastrointestinal conditions. - However, this is a **specific symptom inquiry** that should follow a more general exploration of the patient's symptoms, as it may not be relevant if other crucial details are missed. *Please rate your abdominal pain on a scale of 1-10, with 10 being the worst pain of your life* - Quantifying pain intensity is useful for assessing the **severity of discomfort** and monitoring changes over time. - However, for a patient with intermittent rather than acute, severe pain, understanding the **character, location, and triggers** of the pain is often more diagnostically valuable than just a numerical rating initially. *Are the symptoms worse in the morning or at night?* - Diurnal variation can be relevant in certain conditions, such as inflammatory bowel diseases where nocturnal symptoms might be more concerning, or functional disorders whose symptoms might be stress-related. - This is another **specific question** that should come after gathering a more complete initial picture of the patient's symptoms to ensure no key information is overlooked.
Explanation: **Serial lumbar punctures** - The elevated opening pressure (285 mm H2O) indicates **increased intracranial pressure (ICP)**, which is common in cryptococcal meningitis and can be life-threatening. - Serial lumbar punctures can help to **reduce ICP** and relieve symptoms, improving outcomes in patients with cryptococcal meningitis. *Fluconazole* - Fluconazole is used for **maintenance therapy** to prevent relapse after the acute phase of cryptococcal meningitis has been controlled. - It is generally **not recommended for initial acute treatment** in severe cases due to its fungistatic nature, making it less effective than the combination of amphotericin B and flucytosine. *Mannitol* - Mannitol is an **osmotic diuretic** sometimes used to acutely *reduce* ICP in cases of cerebral edema. - While effective in some situations, it is **not the primary treatment for increased ICP** in cryptococcal meningitis, where repeated LPs are preferred to remove infected CSF and directly reduce pressure. *Chloramphenicol* - Chloramphenicol is an **antibiotic** primarily used to treat bacterial infections, not fungal infections. - It has **no role in the treatment of fungal meningitis** caused by *Cryptococcus neoformans*. *Acetazolamide* - Acetazolamide is a **carbonic anhydrase inhibitor** that can reduce CSF production, thereby *reducing* ICP. - While it can be used in some cases of elevated ICP, routine use in cryptococcal meningitis is **not standard practice**, and serial LPs are generally the preferred method for managing dangerously high ICP in this context due to their immediate efficacy.
Explanation: ***Increased intestinal absorption of calcium*** - The constellation of symptoms including **bilateral hilar adenopathy**, chronic fatigue, weakness, and hypercalcemia symptoms (nausea, abdominal pain, increased urination) in an African American woman is highly suggestive of **sarcoidosis**. - In sarcoidosis, activated macrophages within granulomas produce **1α-hydroxylase**, which converts **25-hydroxyvitamin D to 1,25-dihydroxyvitamin D (calcitriol)**, leading to increased intestinal absorption of calcium and subsequent hypercalcemia. *Osteoclast-driven bone resorption* - While hypercalcemia can result from increased osteoclast activity (e.g., in **malignancy** or **primary hyperparathyroidism**), sarcoidosis-associated hypercalcemia is primarily due to increased gut absorption of calcium. - The patient's history does not strongly point to significant bone destructive processes that would be the primary cause of her hypercalcemia. *Ectopic parathyroid hormone release* - **Ectopic PTH release** is characteristic of certain malignancies, such as squamous cell carcinoma, leading to **hypercalcemia of malignancy**. - This syndrome is typically associated with very high calcium levels and PTHrP (parathyroid hormone-related peptide) production, not the clinical picture of sarcoidosis. *Increased production of parathyroid hormone* - **Increased PTH production** (primary hyperparathyroidism) causes hypercalcemia by increasing bone resorption, renal calcium reabsorption, and renal production of calcitriol. - Although some symptoms overlap, the presence of **bilateral hilar adenopathy** and the absence of clear evidence for a parathyroid adenoma makes this less likely than sarcoidosis. *Increased renal calcium reabsorption* - While increased renal calcium reabsorption contributes to hypercalcemia, in the context of sarcoidosis, it is a secondary effect due to the overall calcium imbalance, not the primary mechanism. - The principal driver of hypercalcemia in this patient's likely condition is the **overproduction of active vitamin D** leading to increased intestinal absorption.
Explanation: ***Anaphylactic reaction*** - The rapid onset of **hypotension**, **tachycardia**, and **respiratory distress** immediately following blood product administration is highly suggestive of an anaphylactic reaction. - This severe allergic reaction occurs within **minutes** of exposure and can rapidly progress to **shock** and **airway compromise**. - The profound cardiovascular collapse with respiratory distress is the hallmark presentation. *Febrile non-hemolytic transfusion reaction* - Characterized by **fever** and **chills** within several hours of transfusion. - Typically does **not** cause the profound **hypotension** and severe **respiratory distress** seen here. - While a slight temperature elevation occurred, the overwhelming cardiovascular collapse is not typical. *Acute hemolytic transfusion reaction* - Usually presents with **fever**, **chills**, **flank pain**, **dark urine** (hemoglobinuria), and sometimes hypotension due to **ABO incompatibility**. - Onset can be rapid but typically includes more evidence of **hemolysis** (jaundice, hemoglobinuria). - The immediate and severe respiratory compromise is less typical compared to anaphylaxis. *Transfusion-related acute lung injury (TRALI)* - Presents primarily with **acute respiratory distress**, **hypoxemia**, and **bilateral pulmonary infiltrates** within six hours of transfusion. - Usually occurs **1-6 hours** post-transfusion, not within minutes. - While respiratory distress is present, the immediate and profound circulatory collapse with such rapid onset points toward anaphylaxis rather than TRALI. *Bacterial contamination of blood products* - Can present with **septic shock**: fever, hypotension, and tachycardia following transfusion. - However, the **respiratory distress** and **immediate onset** within minutes are more characteristic of anaphylaxis. - Bacterial contamination typically has a slightly more gradual onset and may show signs of sepsis.
Explanation: ***Coagulative necrosis of renal papilla*** - The patient's history of **poorly controlled diabetes** and recent infection (herpes zoster) are risk factors for **renal papillary necrosis**. Acute worsening of kidney function with flank pain and nausea in this context strongly suggests this diagnosis. - **Renal papillary necrosis** is characterized by ischemic coagulative necrosis of the renal papillae, leading to their sloughing and potential obstruction of the urinary tract, which can cause acute kidney injury. *Deposition of glomerular immune complexes* - While immune complex deposition can cause **glomerulonephritis**, the patient's symptoms (flank pain, acute worsening of renal function) are more consistent with an acute obstructive process rather than primary glomerular disease. - There is no direct evidence of a post-infectious glomerulonephritis (e.g., hematuria, proteinuria, or edema) and the acute presentation points away from a chronic process. *Glycosylation of glomerular basement membrane* - This refers to the process of non-enzymatic glycation of proteins, a long-term complication of **diabetes mellitus** leading to **diabetic nephropathy**. - While diabetic nephropathy can cause chronic kidney disease, the acute and significant elevation in BUN and creatinine over a short period, accompanied by flank pain, suggests an acute event rather than chronic progression. *Formation of anti-GBM antibodies* - **Anti-GBM disease** (Goodpasture's syndrome) is a rare autoimmune disorder causing rapidly progressive glomerulonephritis, often associated with pulmonary hemorrhage. - The clinical picture (no hemoptysis, flank pain, and the presence of risk factors for papillary necrosis) does not fit anti-GBM disease. *Obstruction of renal tubule* - While **acute tubular necrosis (ATN)** can cause acute kidney injury, the dominant feature of flank pain suggests a more macroscopic obstruction, such as from sloughed papillae or stones. - ATN typically presents with casts and electrolyte disturbances, and while ATN can be a consequence of severe illness, the specific context points to papillary necrosis as the initiating event for obstruction.
Explanation: **Oral amoxicillin-clavulanic acid** - The patient's symptoms (nasal congestion, purulent discharge, facial pain, fever, and duration >10 days) are highly suggestive of **acute bacterial rhinosinusitis**. - **Amoxicillin-clavulanic acid** is the first-line antibiotic for empiric treatment of acute bacterial rhinosinusitis due to good coverage of common pathogens like *Streptococcus pneumoniae* and *Haemophilus influenzae*. *Reassurance and follow-up in 1 week* - This approach is appropriate for **viral rhinosinusitis**, which typically resolves within 7-10 days, or for milder bacterial cases that are not progressing. - Given the fever, purulent discharge, severe pain, and **duration of symptoms for 12 days**, bacterial infection is likely, requiring active treatment. *Oral levofloxacin* - **Levofloxacin** is a fluoroquinolone, typically reserved for **second-line treatment** in patients with penicillin allergy or those who have failed initial amoxicillin-clavulanic acid therapy. - Routine use of broad-spectrum antibiotics like levofloxacin as first-line treatment can contribute to **antibiotic resistance**. *Oral loratadine* - **Loratadine** is an antihistamine used for allergic rhinitis. - The patient's symptoms, including fever, purulent discharge, and facial pain, are more consistent with an **infectious etiology** rather than allergies. *Intravenous amphotericin B* - **Amphotericin B** is a potent antifungal agent used for severe and invasive fungal infections, such as **mucormycosis**, often seen in immunocompromised patients, especially those with poorly controlled diabetes. - While the patient has diabetes, there are no classic signs of invasive fungal sinusitis (e.g., black eschar, visual changes, cranial nerve palsies), and the primary presentation points towards a common bacterial infection requiring a less aggressive approach.
Explanation: ***Colonoscopy*** - **Colonoscopy** is the most appropriate initial diagnostic test for diagnosing the source of **lower gastrointestinal bleeding** and ruling out malignancy, especially in a 50-year-old with positive fecal occult blood. It offers direct visualization of the entire colon and permits **biopsy** of suspicious lesions. - The patient's age and the presence of **bright red blood per rectum (hematochezia)**, even if intermittent, warrant a thorough evaluation for **colorectal cancer** or its precursors. *Barium enema* - A **barium enema** is an imaging study that can identify mass lesions but is less sensitive than colonoscopy for detecting small polyps or early cancers. - It does not allow for **biopsy** of suspected lesions, which is crucial for confirming malignancy. *Anoscopy* - **Anoscopy** visualizes only the anal canal and the distal rectum, making it suitable for diagnosing conditions like **hemorrhoids** or **anal fissures**. - It cannot evaluate for sources of bleeding higher up in the colon, which is necessary to rule out malignancy in this case. *Computed tomography* - **Computed tomography (CT) scans** can identify large masses or metastatic disease but are not the primary diagnostic tool for initial evaluation of **lower GI bleeding** or for ruling out primary colon cancer. - CT does not offer direct visualization of the colonic mucosa or allow for **biopsy** of suspicious lesions. *Upper endoscopy* - **Upper endoscopy** evaluates the esophagus, stomach, and duodenum to identify sources of **upper gastrointestinal bleeding**. - Given the symptom of **bright red blood per rectum**, the source of bleeding is most likely in the **lower GI tract**, making upper endoscopy an unlikely initial diagnostic choice.
Explanation: ***Folate deficiency*** - The combination of **anemia**, **hypersegmented neutrophils**, elevated **homocysteine**, and *normal methylmalonic acid* levels strongly points to folate deficiency. - **Alcoholism** is a significant risk factor for folate deficiency due to poor nutritional intake and impaired folate absorption and metabolism. *Vitamin E deficiency* - This deficiency typically causes **neurological dysfunction** and **hemolytic anemia**, but it does not lead to hypersegmented neutrophils or elevated homocysteine. - It is often seen in conditions causing **fat malabsorption**, which is not explicitly indicated as the primary driver here. *Vitamin B1 deficiency* - **Thiamine (B1) deficiency** is associated with **Wernicke-Korsakoff syndrome**, characterized by confusion, nystagmus, and ataxia, which are present in this patient. - Although alcohol abuse causes thiamine deficiency, it does not explain the **megaloblastic anemia** with hypersegmented neutrophils evident in the peripheral blood smear. *Vitamin B12 deficiency* - Vitamin B12 deficiency also causes **megaloblastic anemia** and elevated **homocysteine** levels, but it would also present with **elevated methylmalonic acid (MMA)** levels, which are explicitly stated as normal here. - The patient's use of omeprazole (a proton pump inhibitor) can contribute to B12 deficiency over time by reducing gastric acid necessary for B12 release from food proteins, but the MMA levels rule it out as the *direct cause* of anemia in this specific instance. *Alcohol toxicity* - While chronic alcohol abuse can lead to **anemia** through various mechanisms, including **bone marrow suppression** or **gastrointestinal bleeding**, it does not directly explain the specific findings of **hypersegmented neutrophils** and the particular pattern of homocysteine and methylmalonic acid levels. - Alcohol toxicity is an underlying cause for other deficiencies, but not the direct cause of this specific type of anemia.
Explanation: **Start colchicine** - The presence of **monosodium urate crystals** in the synovial fluid confirms a diagnosis of **gouty arthritis**. Chronic prophylaxis with **low-dose colchicine** is recommended for patients with recurrent gout attacks. - **Colchicine** works by inhibiting tubulin polymerization, thereby reducing the inflammatory response to urate crystals. *Reduce fish intake* - While a diet high in purines can exacerbate gout, **fish intake**, especially species like salmon and tuna, are generally considered part of a healthy diet and its direct reduction is not the primary intervention for recurrent gout. - The patient's primary dietary risk factors are most likely related to **alcohol consumption**, not green vegetables or typical fish intake. *Start aspirin* - **Aspirin** (especially low-dose) can **increase serum uric acid levels** by inhibiting renal uric acid excretion, which could worsen gout and is generally contraindicated for long-term gout prophylaxis. - There is no indication for starting aspirin in the absence of cardiovascular disease, and its effect on uric acid would be detrimental in this context. *Discontinue captopril* - **Captopril**, an ACE inhibitor, has been shown to have a **neutral or even uricosuric effect**, meaning it tends to lower or have no significant impact on uric acid levels. - Discontinuing an effective medication for hypertension without a clear detrimental effect on gout is not appropriate, especially when other more direct interventions for gout are available. *Discontinue pravastatin* - **Pravastatin**, a statin, is used to treat hypercholesterolemia and has no direct significant impact on uric acid metabolism or gout flares. - There is no medical reason to discontinue pravastatin for gout prevention, and it would leave the patient's hypercholesterolemia untreated.
Explanation: ***Exercise and diet*** - The patient's **darkened, velvety skin lesions** on the neck, known as **acanthosis nigricans**, commonly indicate **insulin resistance**, which is supported by his elevated BMI (35.3 kg/m2) and fasting blood glucose (121 mg/dL, indicating prediabetes). - The most effective initial treatment for acanthosis nigricans associated with insulin resistance is to address the underlying metabolic dysfunction through **lifestyle modifications**, specifically **weight loss** via exercise and diet. *Isotretinoin* - **Isotretinoin** is a retinoid primarily used for treating severe **acne vulgaris** and sometimes other severe dermatological conditions. - It is not indicated for the treatment of **acanthosis nigricans** and would not address the underlying **insulin resistance**. *Adjust the dose of levothyroxine* - The patient's **TSH level is 2.8 mcU/mL**, which is within the normal range for someone on levothyroxine therapy for hypothyroidism. - There is no indication that his hypothyroidism is poorly controlled or directly contributing to the **acanthosis nigricans**, thus adjusting the levothyroxine dose is unnecessary and not directly related to the skin condition. *Cyproheptadine* - **Cyproheptadine** is an **antihistamine** with anti-serotonergic properties used for various conditions including allergies, pruritus, and appetite stimulation. - It has no role in the management of **acanthosis nigricans** or the underlying **insulin resistance**. *Surgical excision* - **Surgical excision** is a procedure to remove tissue, typically used for lesions that are cancerous, bothersome, or cosmetically undesirable and small. - **Acanthosis nigricans** is a skin manifestation of an underlying systemic condition (insulin resistance); surgical removal would be inappropriate, ineffective, and would not address the root cause, and the lesions are often diffuse.
Explanation: ***Spinal epidural abscess*** - The patient's history of **IV drug abuse**, **fever (102°F)**, **tachycardia**, and **elevated CRP and WBC count** are highly suggestive of an infection like a spinal epidural abscess. - **Back pain exacerbated by spinal flexion** is a common symptom, and while the patient's drug-seeking behavior might initially mask clinical suspicion, the objective signs of infection warrant immediate further investigation. *Musculoskeletal strain* - This typically presents with localized back pain, but it would not explain the **fever**, **tachycardia**, **elevated WBC count**, or **elevated CRP**. - A musculoskeletal strain is not associated with the systemic inflammatory response seen in this patient. *Spinal epidural hematoma* - While it can cause severe back pain, a spinal epidural hematoma is usually associated with **trauma**, **anticoagulant use**, or underlying **coagulopathy**, none of which are explicitly mentioned or supported by the labs here. - It would not typically present with **fever** or an **elevated WBC count**. *Malingering* - Although the patient has a history of **drug-seeking behavior**, the presence of objective signs like **fever**, **tachycardia**, and **inflammatory markers (elevated CRP and WBC count)** strongly contradict a diagnosis of malingering. - It would be dangerous and inappropriate to dismiss these physical findings as purely behavioral. *Herniated nucleus pulposus* - This condition causes back pain, often with **radicular symptoms**, but it is not associated with **fever**, **tachycardia**, or systemic inflammatory markers. - While it can cause pain exacerbated by flexion, the **infectious signs** point away from a simple herniation.
Explanation: ***Polycystic kidney disease*** - The presentation of **bilateral, large renal cysts** on imaging, along with **hematuria** and **hypertension** in a 35-year-old, is classic for **autosomal dominant polycystic kidney disease (ADPKD)**. - ADPKD is a systemic disorder that can also cause cysts in other organs and is a leading cause of **end-stage renal disease**. *Henoch-Schonlein purpura* - This is a **small-vessel vasculitis** characterized by palpable purpura, arthritis, abdominal pain, and renal involvement (usually IgA nephropathy). - It does not present with **large, bilateral renal cysts**. *Diabetes mellitus* - **Diabetic nephropathy** is a common complication causing progressive kidney damage and is a leading cause of kidney failure. - However, it typically manifests as **proteinuria**, progressive decline in GFR, and eventually end-stage renal disease, not large renal cysts. *Aortic stenosis* - **Aortic stenosis** is a valvular heart disease impacting blood flow from the heart and is entirely unrelated to renal cysts or the described kidney pathology. - While it can be associated with bleeding disorders (e.g., Heyde's syndrome), it does not directly cause **renal disease or cysts.** *Berger’s disease* - Also known as **IgA nephropathy**, Berger's disease is an immune-mediated glomerulonephritis, often presenting with recurrent **gross hematuria**, particularly after an upper respiratory infection. - It involves inflammation of the glomeruli, not the development of **large renal cysts**.
Explanation: ***Rupture of an apical alveolar bleb*** - The sudden onset of **dyspnea**, **right-sided chest pain**, decreased tactile fremitus and breath sounds, and **hyperresonance on percussion** strongly suggest a **spontaneous pneumothorax**. - In a patient with a history of **COPD** and smoking, a **ruptured alveolar bleb** is the most common cause of spontaneous pneumothorax. *Compression of a main bronchus due to neoplasia* - Bronchial compression might cause dyspnea and decreased breath sounds, but typically presents with **dullness on percussion** due to atelectasis, not hyperresonance. - This condition usually has a more **insidious onset** rather than sudden, severe symptoms. *Formation of an intimal flap in the aorta* - An **aortic dissection** would present with sudden, severe, tearing chest pain, often radiating to the back, and might be associated with pulse deficits or neurological symptoms. - It would not typically cause **hyperresonance on percussion** or decreased breath sounds with preserved tracheal position. *Perforation of a peptic ulcer* - A perforated peptic ulcer causes sudden, severe **epigastric pain** that often radiates to the shoulder, and typically presents with a rigid, board-like abdomen and signs of peritonitis. - It would not explain the unilateral respiratory findings such as **hyperresonance** and decreased breath sounds. *Increased myocardial oxygen demand* - Increased myocardial oxygen demand can lead to **angina** or **myocardial infarction**, presenting with chest pain, but this pain is typically crushing or constricting, not pleuritic. - It would not cause the specific physical examination findings of **decreased breath sounds** or **hyperresonance** on one side of the chest.
Explanation: ***Gastric cancer*** - The patient presents with **iron deficiency anemia** (low hemoglobin, low MCV, high RDW) and dyspepsia, which are concerning for **chronic gastrointestinal bleeding** due to malignancy, particularly in a 57-year-old male. - The presence of an ongoing, asymptomatic rash, especially in the axillae, is consistent with **acanthosis nigricans**, a paraneoplastic syndrome strongly associated with gastric adenocarcinoma. - The combination of alarm features (age >55, anemia, new-onset dyspepsia) warrants urgent upper endoscopy. *Sarcoidosis* - This condition typically presents with **non-caseating granulomas** in multiple organs (lungs, lymph nodes, skin, eyes), and while it can cause skin lesions (erythema nodosum, lupus pernio), it does not explain the **microcytic anemia** or dyspepsia. - It is more commonly associated with elevated **angiotensin-converting enzyme (ACE)** levels and hypercalcemia, which are not suggested here. *Diabetes mellitus* - While uncontrolled diabetes can lead to various complications, it does not directly cause **microcytic, hypochromic anemia** as seen in this patient. - Although **acanthosis nigricans** can be associated with insulin resistance and type 2 diabetes, its presence alongside significant iron deficiency anemia and alarm symptoms makes an underlying malignancy more probable. *Metformin* - Metformin can cause **vitamin B12 deficiency anemia** (macrocytic anemia) due to impaired absorption, but it does not cause **iron deficiency anemia** (microcytic anemia). - Metformin does not cause acanthosis nigricans or explain the constellation of findings suggesting malignancy. *Aspirin* - While aspirin can cause **gastric irritation and bleeding**, leading to iron deficiency anemia, it does not explain the **acanthosis nigricans**. - Aspirin-induced gastropathy typically presents with acute symptoms or chronic mild blood loss, but would not cause a paraneoplastic skin manifestation. - The combination of acanthosis nigricans with iron deficiency anemia and dyspepsia points more strongly to an underlying malignancy rather than medication effect alone.
Explanation: ***High-fiber diet*** - A **high-fiber diet** increases stool bulk and reduces intracolonic pressure, thereby preventing the formation of **diverticula** and reducing the risk of diverticulitis. - It helps maintain **regular bowel movements** and minimizes straining, which are key in preventing diverticular disease. *Anticoagulation with warfarin* - **Warfarin** is an anticoagulant used to prevent blood clots; it has no direct impact on the formation of **diverticula** or the prevention of diverticulitis. - While bleeding is a potential complication of diverticular disease, anticoagulation would generally *increase* the risk of bleeding, not prevent the condition itself. *Different antibiotic regimen for bronchitis* - Antibiotics treat **bacterial infections** and are irrelevant in the prevention of diverticulitis, which primarily relates to dietary and colonic pressure issues. - Changing an antibiotic regimen for an unrelated respiratory infection like bronchitis would not affect the risk factors for **diverticular disease**. *Sitz baths and nifedipine suppositories* - **Sitz baths** and **nifedipine suppositories** are treatments for anorectal conditions like **hemorrhoids** or **anal fissures** and do not influence the development of diverticulitis. - These interventions target symptoms in the anal region and have no physiological connection to the colon's diverticular disease processes. *Long-term use of aspirin* - **Aspirin** is an anti-inflammatory and antiplatelet agent used for pain relief and cardiovascular protection; it does not prevent the formation of **diverticula** or diverticulitis. - Non-steroidal anti-inflammatory drugs (NSAIDs) like aspirin can actually **increase the risk of diverticular complications**, such as bleeding or perforation, rather than prevent the disease.
Explanation: ***IgM antibodies against the Fc region of IgG*** - The patient's symptoms of symmetric **polyarthritis** affecting the **small joints of the hands and wrists**, morning stiffness that improves with activity, and elevated ESR are highly suggestive of **rheumatoid arthritis (RA)**. - The finding described, **rheumatoid factor (RF)**, is an IgM antibody directed against the Fc portion of IgG and is a hallmark of RA. *HLA-B27 protein on white blood cells* - **HLA-B27** is strongly associated with **seronegative spondyloarthropathies**, such as **ankylosing spondylitis** and **reactive arthritis**. - These conditions typically involve the **axial skeleton** (spine) and large joints, which differs from the presentation of small joint polyarthritis seen here. *HLA-A3 proteins on white blood cells* - **HLA-A3** is associated with **hereditary hemochromatosis**, a disorder of iron overload. - While hemochromatosis can cause arthropathy, it typically affects the **second and third metacarpophalangeal joints** and does not present with the classic features of rheumatoid arthritis described. *HLA-DQ2 proteins on white blood cells* - **HLA-DQ2** is strongly associated with **celiac disease** and, to a lesser extent, type 1 diabetes. - These conditions are not directly linked to the inflammatory polyarthritis presented by this patient. *IgG antibodies with a TNF-α binding domain on the Fc region* - This description refers to **therapeutic monoclonal antibodies** (biologics) used to treat inflammatory conditions like RA, such as **infliximab** or **adalimumab**, which are designed to bind TNF-α. - These are **pharmacological interventions**, not diagnostic markers or naturally occurring antibodies in rheumatoid arthritis.
Explanation: ***Visceral obesity*** - The patient's presentation of dysphagia becoming progressively worse from solids to liquids, along with significant weight loss and an **esophagogastric junction (EGJ)** adenocarcinoma, strongly points to **esophageal adenocarcinoma**. - **Visceral obesity** is a major risk factor for gastroesophageal reflux disease (GERD) and **Barrett's esophagus**, which are precursors to **EGJ adenocarcinoma**. *Chronic alcohol use* - While chronic alcohol use is a significant risk factor for **squamous cell carcinoma** of the esophagus, it is not as strongly linked to **adenocarcinoma**, especially at the EGJ. - The patient's cancer location (3 cm proximal to EGJ) and histological type (**adenocarcinoma**) make alcohol a less likely primary risk factor compared to other options. *Consumption of hot liquids* - Consumption of very **hot liquids** is a known risk factor for **squamous cell carcinoma** of the esophagus, particularly in the mid and upper esophagus. - It is not a primary risk factor for **adenocarcinoma** occurring at the esophagogastric junction. *Chewing of betel nuts* - **Betel nut chewing** is strongly associated with an increased risk of **oral cancer** (squamous cell carcinoma of the oral cavity and pharynx) and to a lesser extent **esophageal squamous cell carcinoma**. - It is not considered a significant risk factor for **esophageal adenocarcinoma**. *Consumption of cured meats* - High intake of **cured and processed meats** has been associated with an increased risk of several gastrointestinal cancers, particularly **gastric cancer** and **colorectal cancer**. - Its association with **esophageal adenocarcinoma** is not as strong or direct as that of visceral obesity and GERD.
Explanation: ***Nickel*** - The itchy rash with erythematous scaly plaques on the fingers where the rings are worn is highly suggestive of **allergic contact dermatitis**. Nickel is the most common metal alloy implicated in **contact dermatitis** from jewelry. - The symptoms developing after wearing new silver rings point to a reaction to a component within the rings, and nickel is frequently used in silver alloys to add hardness and durability. *Gold* - While gold alloys can cause contact dermatitis, it is far less common than with nickel, and typically occurs with **lower karat gold** (e.g., 9-14K) which contains higher percentages of other metals. - High-grade gold (e.g., 18K or 24K) is generally **hypoallergenic**. *Cobalt* - Cobalt can cause allergic contact dermatitis, often in association with **nickel allergy** as they are chemically related. - However, cobalt is less frequently found in common jewelry than nickel and is not the primary suspect in this typical presentation. *Mercury* - Mercury exposure more commonly causes systemic toxicity (e.g., **neurological or renal effects**) or irritant contact dermatitis, rather than allergic contact dermatitis from jewelry. - Allergic reactions to mercury from jewelry are rare, and exposure is more likely from dental amalgams or broken thermometers. *Thorium* - Thorium is a **radioactive metal** and is not typically used in jewelry due to its radiological properties and toxicity. - Exposure to thorium poses risks of radiation exposure and heavy metal poisoning, not allergic contact dermatitis from a simple ring.
Explanation: ***Pyelonephritis*** - The combination of **painful urination**, **fever**, **right flank pain**, and **white blood cell casts** in the urine is highly indicative of pyelonephritis, an infection of the renal parenchyma. - **White blood cell casts** are pathognomonic for inflammation within the renal tubules and are a key differentiating feature that points to an upper urinary tract infection. *Appendicitis* - While appendicitis can cause **right-sided abdominal pain** and **fever**, it typically does not present with painful urination or urinary sediment abnormalities like white blood cell casts. - The pain is usually localized to the **right lower quadrant** and often migrates, which is not characteristic of flank pain. *Cystitis* - Cystitis involves bladder inflammation and causes **painful urination**, **frequency**, and **urgency**, but typically does not cause **fever** or **flank pain**, and **white blood cell casts** are absent. - It is an infection limited to the **lower urinary tract**, without renal parenchymal involvement. *Acute Interstitial Nephritis* - This condition is often associated with a **drug hypersensitivity reaction**, causing inflammation in the renal interstitium, but typically presents with **eosinophilia**, rash, and renal failure, not usually with white blood cell casts directly from infection. - While it can cause renal dysfunction and sometimes fever, the presence of **Gram-negative bacteria** and **WBC casts** strongly points to an infection rather than an allergic reaction. *Pelvic Inflammatory Disease* - PID causes **lower abdominal pain**, **fever**, and sometimes painful urination if there's concurrent urethritis, but it is not associated with **flank pain** or **white blood cell casts** in the urine. - It is an infection of the **female reproductive organs**, often caused by sexually transmitted organisms, and would typically present with cervical motion tenderness.
Explanation: ***Internal hemorrhoids*** - **Painless bright red blood** per rectum, especially with **constipation and straining**, is highly characteristic of internal hemorrhoids. - Internal hemorrhoids are located **above the dentate line**, making them typically painless, and they often prolapse during defecation, causing bleeding. *Colorectal cancer* - While colorectal cancer can cause bloody stool, it is less likely in a **34-year-old woman with no family history** and no other systemic symptoms like weight loss or abdominal pain. - The bright red blood associated with straining points away from an upper GI bleed, which is more typical of many colorectal cancers. *Ulcerative colitis* - Ulcerative colitis typically presents with bloody diarrhea, abdominal pain, and tenesmus, which are **not mentioned** in this patient's history. - It is a chronic inflammatory condition, and the isolated symptom of bright red blood with constipation is not classic for UC. *Anal fissure* - An anal fissure would cause **severe pain during defecation** due to a tear in the anal canal, which is absent in this patient. - While an anal fissure can cause bright red blood, the lack of pain makes it less likely than hemorrhoids. *External hemorrhoids* - **External hemorrhoids are usually painful or itchy** and located below the dentate line. - They also can cause bleeding, but the absence of pain and bright red blood suggests internal hemorrhoids which are more likely to bleed painlessly.
Explanation: ***Lactic acidosis secondary to sepsis*** - The patient presents with classic signs of **sepsis** (fever, hypotension, confusion, tachycardia, surgical site infection with purulent discharge) and an elevated **lactate concentration** (3.5 mEq/L), along with a **metabolic acidosis** (low pH, low HCO3-), all consistent with septic shock causing tissue hypoperfusion and anaerobic metabolism. - The low O2 saturation (87%) further supports tissue hypoperfusion and impaired oxygen delivery, contributing to the anaerobic metabolism and subsequent lactic acid production. *Diabetic ketoacidosis* - While DKA presents with **metabolic acidosis**, it is typically associated with **hyperglycemia** and **ketones** in the urine, which are not mentioned here. - The patient's presentation with a recent unsterile surgery and purulent wound suggests an underlying **infectious process** as the primary cause, not uncontrolled diabetes. *Primary adrenal insufficiency* - Adrenal insufficiency can cause **hypotension** and electrolyte abnormalities like **hyponatremia** and **hyperkalemia**, but the patient's sodium and potassium levels are normal. - Though it can present with fever and confusion, it would not typically cause a significant **lactic acidosis** or be associated with a purulent surgical wound. *Hyperventilation* - **Hyperventilation** would lead to a **respiratory alkalosis** (elevated pH, low pCO2) due to increased CO2 elimination, which contradicts the patient's **acidotic pH (7.21)**. - While the patient has a low pCO2 (36), it is insufficient to compensate for the severe metabolic acidosis, and the primary disturbance is clearly metabolic. *Respiratory fatigue* - **Respiratory fatigue** could lead to **respiratory acidosis** (low pH, high pCO2) due to impaired CO2 removal, which is the opposite of the patient's pCO2 of 36. - The primary derangement is metabolic (low HCO3-, high lactate), and the pCO2 is actually lower than normal, indicating a compensatory response rather than fatigue with CO2 retention.
Explanation: ***Endoscopy and colonoscopy*** - The patient has evidence of **iron deficiency anemia** (low hemoglobin, hematocrit, iron, and ferritin) and a **positive fecal occult blood test**, indicating **gastrointestinal blood loss**. - Given the patient's age, family history of **colorectal cancer**, and positive fecal occult blood, both upper (endoscopy) and lower (colonoscopy) GI tract evaluations are necessary to identify the source of bleeding. *Endoscopy only* - While an upper GI source for bleeding is possible, this option would miss any potential **lower GI pathology**, which is a significant concern given the patient's family history and positive occult blood. - An endoscopy alone would not adequately investigate the cause of **anemia** or the positive stool test if the bleeding source is in the colon. *Iron supplementation* - Administering iron supplementation without investigating the cause of **blood loss** would only treat the symptom (anemia) and not the underlying condition, which could be serious (e.g., **colorectal cancer**). - Delaying diagnostic procedures to initiate iron supplementation could lead to a missed opportunity for early diagnosis and treatment of a potentially life-threatening condition. *Colonoscopy only* - While a colonoscopy is crucial due to the **positive fecal occult blood** and family history of colorectal cancer, it will not rule out an **upper GI source of bleeding**. - Numerous conditions in the upper GI tract, such as **peptic ulcers** or **gastritis**, can cause chronic blood loss and iron deficiency anemia. *Transfusion* - A blood transfusion is typically reserved for more severe anemia or acute blood loss causing hemodynamic instability. The patient's hemoglobin and hematocrit values, while low, do not immediately necessitate a **transfusion**. - A **transfusion** is a supportive measure and does not address the underlying cause of the **blood loss**, which remains the priority for investigation.
Explanation: The patient presents with a **pyogenic liver abscess** (fever, RUQ pain, leukocytosis, hypoechoic liver lesion with hyperemic rim). The question asks for the **underlying cause** of this abscess. ***Cholangitis*** - **Cholangitis** (ascending biliary infection) is the **most common underlying cause** of pyogenic liver abscesses, accounting for 40-60% of cases - The elevated **alkaline phosphatase** (130 U/L) suggests **biliary tract pathology**, supporting cholangitis as the source - Bacteria ascend from the biliary tree through the portal venous system to seed the liver parenchyma - The **leukocytosis with neutrophilia** (18,000/mm³, 90% neutrophils) indicates acute bacterial infection - **Clinical correlation**: Biliary obstruction from stones, strictures, or malignancy → cholangitis → hematogenous/direct spread → liver abscess *Diverticulitis* - **Diverticulitis** typically causes **left lower quadrant pain** and fever, not right upper quadrant symptoms - While portal pylephlebitis from diverticulitis can rarely cause liver abscesses, the **elevated alkaline phosphatase** points more toward biliary pathology than colonic source - Absence of GI symptoms (diarrhea, constipation, lower abdominal pain) makes this less likely *Echinococcosis* - **Echinococcosis** (hydatid cyst) presents with a **slow-growing, asymptomatic cyst** over months to years, not acute fever - Imaging shows **multiloculated cysts with daughter cysts** and calcifications ("water lily sign"), not a hyperemic rim suggesting acute inflammation - Would not cause marked leukocytosis unless the cyst ruptures *Pyogenic liver abscess* - This is the **condition the patient HAS**, not the underlying cause - A pyogenic liver abscess is the result of bacterial seeding, which can occur from biliary sources (cholangitis), hematogenous spread, or direct extension - The question asks for what **caused** the abscess, not what the abscess is *Perinephric infection* - **Perinephric abscess** causes **flank pain** and costovertebral angle tenderness, not RUQ pain - Imaging would show perirenal or intrarenal findings, not an **isolated liver lesion** - No urinary symptoms are mentioned
Explanation: ***Serum cobalamin level*** - The patient presents with **delusional disorder**, supported by her fixed beliefs about colleagues gossiping and advertisements being directed at her, despite evidence to the contrary. - Her neurological symptoms (tingling, hyperreflexia, absent ankle reflexes) and characteristic **beefy red tongue** are highly suggestive of **vitamin B12 deficiency**, which can lead to both psychiatric and neurological manifestations. *Serum folate level* - Folate deficiency can also cause **neurological symptoms** and **megaloblastic anemia**, similar to B12 deficiency. - However, the classic "beefy red tongue" is more frequently associated with **cobalamin (B12) deficiency**, and folate deficiency alone does not typically present with the specific combination of psychiatric and neurological signs seen here without other B12 deficiency indicators. *Serum thyroxine level* - **Hypothyroidism** can cause cognitive impairments like lack of concentration, and depression, but it does not typically cause the specific delusional symptoms described or the specific neurological signs like hyperreflexia and absent ankle reflexes, or a beefy red tongue. - While fatigue and concentration issues might be present, the symptom complex aligns less with thyroid dysfunction. *Serum ethanol level* - The patient reports only **occasional social alcohol use**, unlikely to cause chronic ethanol toxicity leading to such a presentation. - Chronic alcohol abuse can cause neurological issues (e.g., Wernicke-Korsakoff syndrome) and some psychiatric symptoms, but the **beefy red tongue** and the specific pattern of neurological signs, combined with the nature of her delusions, point away from ethanol as the primary cause. *Serum thiamine level* - **Thiamine deficiency** is primarily associated with **Wernicke-Korsakoff syndrome** in the context of chronic alcohol abuse, characterized by ataxia, ophthalmoplegia, and confusion, as well as memory impairment. - Although it can cause neurological symptoms, the patient's low alcohol intake, the **delusional disorder**, and the presence of a **beefy red tongue** make thiamine deficiency less likely than cobalamin deficiency.
Explanation: ***HLA-B27 positive genotype*** - The patient's symptoms (urethritis, conjunctivitis, and arthritis) constitute the classic triad of **Reiter's syndrome**, a form of **reactive arthritis**. - **Reactive arthritis** is strongly associated with the **HLA-B27 genotype**, which is found in a significant majority of affected individuals. *Hiking trip two months ago* - This information is vague and does not directly link to a specific pathogen or trigger for reactive arthritis. - While some bacterial infections can be acquired through environmental exposure, there is no direct evidence provided in the stem to support a connection. *Recent norovirus gastroenteritis* - **Norovirus** typically causes acute, self-limiting gastroenteritis and is not commonly associated with the development of **reactive arthritis**. - Reactive arthritis is primarily triggered by certain **genitourinary** or **gastrointestinal bacterial infections** (e.g., Chlamydia, Shigella, Salmonella, Campylobacter). *Chondrocalcinosis of the left knee* - **Chondrocalcinosis** (calcium pyrophosphate deposition disease or pseudogout) primarily affects older individuals and typically presents with acute, severe arthritis. - While it can affect the knee, it is not consistently associated with the extra-articular manifestations (urethritis, conjunctivitis) seen in this patient, and its etiology is distinct from reactive arthritis. *Positive anti-dsDNA antibodies* - **Positive anti-dsDNA antibodies** are a hallmark of **systemic lupus erythematosus (SLE)**, an autoimmune disease. - While SLE can cause arthritis and sometimes conjunctivitis, it does not typically cause urethritis in the manner described, nor does it fit the overall clinical picture as well as reactive arthritis.
Explanation: ***Upper endoscopy*** - After **initial hemodynamic stabilization** (as stated in the question), **early upper endoscopy** is the recommended first-line approach for patients with acute GI bleeding. - **Upper GI sources** must be ruled out first, even in patients presenting with hematochezia (blood-stained stools), as **10-15% of cases** with bright red blood per rectum originate from an upper GI source. - Upper endoscopy is both **diagnostic and therapeutic**, allowing for immediate intervention (banding, sclerotherapy, thermal coagulation, clipping) if a bleeding source is identified. - **Current ACG/ASGE guidelines** recommend endoscopy **within 24 hours** (ideally within 12 hours) after resuscitation in patients with acute upper GI bleeding. - The degree of **hemodynamic instability** in this patient (BP 78/40, HR 140) suggests a brisk bleed more consistent with an upper GI source. *Nasogastric lavage* - NG lavage has **low sensitivity (42-84%)** for upper GI bleeding and can miss up to 15% of cases. - It is **no longer routinely recommended** by current guidelines as it delays definitive diagnosis and treatment without providing therapeutic benefit. - Modern practice favors proceeding directly to endoscopy after stabilization rather than performing NG lavage first. *Radionuclide imaging* - **Tagged RBC scan** is useful for **intermittent or slow bleeding** (0.1-0.5 mL/min) when endoscopy is non-diagnostic. - Not appropriate as the **first step** in an acute, massive bleed requiring immediate source localization and potential intervention. - Provides localization but no therapeutic capability. *Mesenteric angiography* - Indicated for **active, brisk bleeding** (>0.5-1 mL/min) when endoscopy fails to identify the source or when immediate therapeutic embolization is needed. - Can be both diagnostic and therapeutic but is typically a **second-line intervention** after endoscopy. - Requires active bleeding at the time of the procedure to visualize the source. *Colonoscopy* - **Colonoscopy** is the appropriate diagnostic tool for **lower GI bleeding** after upper GI sources have been excluded. - Should be performed **after upper endoscopy** rules out an upper source, particularly in patients with this degree of hemodynamic compromise. - Requires adequate bowel preparation for optimal visualization, which may delay diagnosis.
Explanation: ***Acute HIV infection*** - The symptoms (fever, malaise, diarrhea, enlarged lymph nodes) and the timeframe (2 weeks) are classic for **acute retroviral syndrome**, which occurs 2-4 weeks after initial HIV infection. - A positive HIV screening test with a relatively high **CD4+ count** (650/mm³) is typical during this initial phase before significant immune deterioration. - Also known as **primary HIV infection**, this stage represents the body's initial immune response to the virus. *Chronic HIV infection* - This stage is typically characterized by a **longer duration** (years) with often **asymptomatic periods** or mild, non-specific symptoms, and a gradually declining CD4+ count. - While enlarged lymph nodes can persist, the acute onset of fever and malaise with only 2 weeks of symptoms points away from this more stable, quiescent phase. *Asymptomatic HIV infection* - This phrase is often used interchangeably with the **clinical latency stage** of chronic HIV infection, where the patient has no symptoms related to HIV despite ongoing viral replication. - The presence of fever, malaise, diarrhea, and lymphadenopathy described in the case clearly indicates a **symptomatic phase**, not an asymptomatic one. *AIDS* - **AIDS (Acquired Immunodeficiency Syndrome)** is defined by a CD4+ T cell count below 200 cells/mm³ or the presence of an AIDS-defining opportunistic infection or malignancy. - The patient's CD4+ count of 650/mm³ is well above the threshold for AIDS diagnosis. *Clinical latency stage* - This stage, also called **chronic asymptomatic HIV infection**, typically lasts 8-10 years without treatment and is characterized by minimal or no symptoms. - Patients in clinical latency have **declining but not yet critically low CD4+ counts** and generally feel well. - The acute presentation with fever, malaise, and the **2-week timeframe** clearly indicates a much earlier stage of infection.
Explanation: ***Omeprazole*** - This patient presents with classic symptoms of **gastroesophageal reflux disease (GERD)**, including heartburn exacerbated by meals, along with risk factors like being overweight, smoking history, and alcohol consumption. - A trial of an **empiric proton pump inhibitor (PPI)** like omeprazole is the most appropriate initial medical therapy for presumed GERD given the absence of alarm symptoms (dysphagia, odynophagia, weight loss, GI bleeding). *Nissen fundoplication* - This is a **surgical procedure** typically reserved for patients with severe GERD that is refractory to maximal medical therapy or for those who cannot tolerate long-term PPIs. - It would be **premature** to consider surgery at this stage, as the patient has not yet received an adequate trial of guideline-recommended medical treatment. *Pantoprazole, sucralfate, and amoxicillin* - This combination is **inappropriate** for initial management of GERD. Pantoprazole is a PPI, but sucralfate is typically used for *ulcers* or *stress gastritis*, and amoxicillin is an *antibiotic* for *Helicobacter pylori* or other bacterial infections. - There is no indication for **antibiotic therapy** or sucralfate based on the patient's symptoms; *H. pylori* eradication would only be considered if an ulcer was suspected or confirmed. *Ranitidine* - Ranitidine is an **H2 receptor antagonist (H2RA)**, which is generally less potent and effective than PPIs like omeprazole for managing moderate to severe GERD symptoms. - While H2RAs can be used for mild, intermittent heartburn, **PPIs are superior** for persistent symptoms and are the recommended first-line treatment in this scenario. *Esophagogastroduodenoscopy* - An EGD is an **invasive diagnostic procedure** indicated when there are alarm symptoms (e.g., dysphagia, odynophagia, weight loss, GI bleeding) or when GERD symptoms are **refractory** to an adequate trial of empiric PPI therapy. - Since this patient has no alarm symptoms and has not yet received a trial of maximal medical therapy, an EGD is **not the initial step**.
Explanation: ***Uric acid*** - The combination of **flank pain radiating to the groin**, nausea, and mild hematuria is highly indicative of **renal colic caused by kidney stones**. - **Uric acid crystals** typically appear as **rhombic, needle-shaped, or barrel-shaped structures** in urine, often reddish-brown, and are associated with a low urinary pH. *Cysteine stones* - **Cysteine crystals** are hexagonal and clear, often seen in inherited disorders of amino acid transport. - They are less common causes of kidney stones compared to uric acid. *Calcium oxalate* - **Calcium oxalate crystals** are typically octahedral (envelope-shaped) or dumbbell-shaped and are the most common type of kidney stone. - While they cause similar symptoms, their characteristic crystal morphology is different from the described appearance of uric acid crystals. *Calcium carbonate* - **Calcium carbonate crystals** are typically large, colorless spheres or ovals with radial striations, or smaller dumbbell shapes. - While they can be found in urine, they are not a common cause of kidney stones in humans. *Magnesium ammonium phosphate (Struvite)* - **Magnesium ammonium phosphate (struvite) crystals** are typically coffin-lid shaped and are associated with **urinary tract infections** caused by urease-producing bacteria, which would typically involve pus cells in the urine. - The absence of pus cells makes struvite stones less likely in this case.
Explanation: ***Volume depletion*** - The patient's history of **vomiting, diarrhea, and fever** indicates significant fluid loss, leading to **volume depletion**. - This explains the **hyponatremia** (Na+ 123 mEq/L) due to preferential water loss from the extracellular space, and the elevated **BUN (42 mg/dL) and creatinine (1.9 mg/dL)**, consistent with **pre-renal acute kidney injury**. - The **BUN/creatinine ratio is 22:1 (42/1.9)**, which is **>20:1** and supports a **prerenal etiology**. *Syndrome of inappropriate antidiuretic hormone secretion* - While it causes **hyponatremia**, SIADH is characterized by **euvolemia** or mild hypervolemia, not the signs of volume loss seen in this patient. - Patients with SIADH typically have **low BUN and creatinine** as a result of hemodilution, which contradicts the elevated values observed. *Intrarenal injury* - Intrarenal injury, or **acute tubular necrosis**, typically presents with a **BUN-to-creatinine ratio of 10-15:1** (intrinsic renal damage). - In this case, the **BUN/creatinine ratio is 22:1**, which is **>20:1** and points towards a **prerenal cause** (volume depletion) rather than intrinsic kidney damage. *Aldosterone-secreting mass* - An aldosterone-secreting mass typically causes **hypernatremia**, **hypokalemia**, and **metabolic alkalosis**, which is inconsistent with the patient's **hyponatremia and normal potassium**. - This condition also typically presents with **hypertension**, which is not mentioned and is less likely in the context of acute illness with fluid loss. *Psychogenic polydipsia* - Psychogenic polydipsia causes **hyponatremia** due to excessive water intake, but patients are typically **euvolemic** or hypervolemic. - The elevated **BUN and creatinine** observed in this patient are inconsistent with psychogenic polydipsia, as the kidneys would typically excrete the excess fluid efficiently with normal function.
Explanation: ***Colonoscopy every 5 years beginning at age 40*** - The patient has a strong family history of CRC, with a father diagnosed at age 50 and a paternal grandfather at age 55, placing him at increased risk. - Current guidelines recommend that individuals with a first-degree relative diagnosed with CRC before age 60 should begin screening 10 years before the earliest diagnosis in the family, or at age 40, whichever comes first, with a colonoscopy every 5 years. *Colonoscopy every 10 years beginning at age 50* - This protocol is recommended for individuals with an **average risk** for colorectal cancer, which does not apply to this patient due to his strong family history. - Starting screening at age 50 would be too late given the early onset of CRC in his family. *Colonoscopy every 1-2 years beginning at age 25* - This more aggressive screening schedule is typically reserved for individuals with identified **hereditary colorectal cancer syndromes**, such as **Familial Adenomatous Polyposis (FAP)** or **Lynch syndrome**. - Though there is a strong family history, the negative APC gene testing and absence of other syndromic features (like dental abnormalities) make FAP less likely, and Lynch syndrome would typically involve other cancers. *Prophylactic colectomy* - **Prophylactic colectomy** is a major surgical procedure considered in rare cases of very high-risk hereditary syndromes, such as confirmed **Familial Adenomatous Polyposis (FAP)**, where the risk of CRC is almost 100%. - This patient's family history, while significant, does not meet the criteria for such an extreme measure. *Fecal occult blood testing annually beginning at age 40* - While **fecal occult blood testing (FOBT)** is a valid screening method, it is typically used for individuals with average risk or in conjunction with other methods. - Given the patient's strong family history of early-onset CRC, a **colonoscopy** is the more appropriate and comprehensive screening method.
Explanation: ***Esophagitis*** - The patient's presentation with **sudden onset retrosternal pain** that is **worse with swallowing** (odynophagia) shortly after taking medications and going to bed strongly suggests **pill-induced esophagitis**. - Medications, especially those that are acidic or poorly dissolved like iron supplements (which the patient is taking), can cause direct mucosal injury if they remain in contact with the esophageal lining for too long. *Spontaneous pneumothorax* - This typically presents with **sudden onset pleuritic chest pain** and **shortness of breath**, often accompanied by ipsilateral diminished breath sounds. - The patient's pain is described as worse with swallowing, not breathing, and there is no mention of respiratory distress or physical exam findings consistent with a pneumothorax. *Myocardial infarction* - While retrosternal pain is a hallmark, MI pain is typically described as **pressure-like** or **squeezing**, often **radiating** to the arm, neck, or jaw, and is usually **exertion-related**. - The patient's pain is sudden, worse with swallowing, and specifically *not* associated with exertion, and her ECG is currently stable. *Esophageal rupture* - This is a catastrophic event usually presenting with **severe, acute, excruciating chest pain**, often following forceful vomiting, retching, or iatrogenic injury. - While it causes odynophagia and retrosternal pain, the patient's symptoms are less severe, and there are no signs of mediastinitis or sepsis typically seen with rupture. *Pulmonary embolism* - A PE usually presents with **sudden onset dyspnea**, **pleuritic chest pain**, and sometimes **hemoptysis**. - The patient's pain is primarily linked to swallowing and not described as pleuritic, and her oxygen saturation is 100% on room air, making PE less likely.
Explanation: ***Colonoscopy at age 40*** - This patient has a **first-degree relative (father) diagnosed with colorectal cancer at age 70**, which increases her risk compared to the average population. - Current **USPSTF and ACS guidelines** recommend that individuals with a first-degree relative diagnosed with colorectal cancer at **age 60 or older** should begin screening at **age 40** (or 10 years before the age of diagnosis in the relative, whichever is earlier). - Since her father was diagnosed at age 70, she should start screening at age 40 (which is 10 years earlier and also the recommended age for those with family history). - At age 35, she does **not yet need** colonoscopy, but should plan for screening in 5 years. *Colonoscopy now* - This is **too early** based on current guidelines. - Immediate colonoscopy at age 35 is not indicated in an asymptomatic patient whose father was diagnosed at age 70. - Screening at age 40 provides adequate time for early detection while avoiding unnecessary early intervention. *Colonoscopy at age 60* - This is **too late** and ignores the increased risk from family history. - Delaying screening until age 60 would miss the recommended earlier screening window for patients with first-degree relatives with CRC. *Alcohol cessation* - The patient drinks **1 alcoholic drink per day**, which is within recommended limits for women. - While reducing alcohol consumption has general health benefits, this is not the most urgent preventive measure given her family history of colon cancer. *Mammography now* - Screening mammography typically begins at **age 40-50** for average-risk women. - At age 35 with no specific high-risk factors (no BRCA mutation, no strong early-onset breast cancer family history), mammography is not indicated now. *Mammography at age 50* - While this may be appropriate for breast cancer screening depending on guidelines followed, it is **not the priority** given her significant family history of colorectal cancer requiring earlier intervention.
Explanation: ***Parathyroid adenoma*** - The patient's history of a **pituitary tumor** and a **pancreatic insulinoma** strongly suggests **Multiple Endocrine Neoplasia Type 1 (MEN1)**. - **Parathyroid adenomas** are the most common manifestation of MEN1, affecting over 90% of patients, and should be screened for. *Medullary thyroid carcinoma* - This is a characteristic component of **Multiple Endocrine Neoplasia Type 2 (MEN2)**. - MEN2 includes medullary thyroid carcinoma, pheochromocytoma, and parathyroid hyperplasia, which is distinct from the patient's presentation. *Mucosal neuroma* - **Mucosal neuromas** are associated with **Multiple Endocrine Neoplasia Type 2B (MEN2B)**, a subtype of MEN2. - MEN2B also typically involves medullary thyroid carcinoma and pheochromocytoma, which do not align with the patient's current tumors. *Multiple myeloma* - This is a **hematologic malignancy** involving plasma cells and is not typically associated with the type of endocrine tumors seen in this patient. - There is no direct link between multiple myeloma and pituitary or pancreatic neuroendocrine tumors. *Pheochromocytoma* - **Pheochromocytoma** is a tumor of the adrenal medulla and is a hallmark of **Multiple Endocrine Neoplasia Type 2 (MEN2)**. - While it is an endocrine tumor, it is not part of the triad seen in MEN1 (pituitary, parathyroid, and pancreatic tumors).
Explanation: ***Annual colonoscopy beginning at 20–25 years of age*** - This patient's family history of multiple cancers at young ages (father with colon cancer at 46, uncle with small bowel cancer, grandfather with stomach cancer) combined with **germline mutations in MLH1 and MSH2** is highly indicative of **Lynch syndrome (hereditary non-polyposis colorectal cancer - HNPCC)**. - Individuals with Lynch syndrome have a significantly increased risk of colorectal cancer, and screening with **annual colonoscopies starting at a young age (20-25 years or 2-5 years younger than the earliest age of diagnosis in the family)** is crucial for early detection and prevention. *Celecoxib or sulindac therapy* - **NSAID therapy** (like celecoxib or sulindac) is sometimes used for **chemoprevention in familial adenomatous polyposis (FAP)** to reduce polyp burden, especially in attenuated FAP. - However, this patient's presentation and genetic findings point to **Lynch syndrome**, for which NSAID chemoprevention is not the primary or most effective strategy compared to surveillance. *Surgical removal of a desmoid tumor* - **Desmoid tumors** are benign but locally aggressive soft tissue tumors that are a characteristic **extracolonic manifestation of familial adenomatous polyposis (FAP)**, especially in patients with mutations in the APC gene. - This patient has **Lynch syndrome**, which is associated with different extracolonic cancers (e.g., endometrial, ovarian, gastric, small bowel), but **desmoid tumors are not a typical feature of Lynch syndrome**. *Prophylactic proctocolectomy with ileoanal anastomosis* - **Prophylactic proctocolectomy** is the standard preventive surgery for individuals with **familial adenomatous polyposis (FAP)** to prevent the inevitable development of colorectal cancer due to hundreds to thousands of polyps. - While Lynch syndrome carries a high risk of colorectal cancer, prophylactic colectomy is generally **not recommended as the initial management** given that surveillance via colonoscopy allows for removal of precancerous polyps and early-stage cancers, reserving surgery for when clinically indicated. *Measurement of carcinoembryonic antigen and CA 19-9 yearly* - **Carcinoembryonic antigen (CEA) and CA 19-9** are **tumor markers** that can be elevated in certain cancers (e.g., colorectal for CEA, pancreatic/biliary for CA 19-9). - However, these markers have **poor sensitivity and specificity for screening healthy, asymptomatic individuals** at high risk for cancer and are primarily used for monitoring disease recurrence or treatment response in diagnosed cancers. They are not recommended for routine surveillance in Lynch syndrome.
Explanation: ***Endoscopic retrograde cholangiopancreatography (ERCP)*** - The patient's presentation with **jaundice, scleral icterus, dark urine, pruritus, unremarked CT abdomen, and significantly elevated alkaline phosphatase** (suggesting **cholestasis**), coupled with an ultrasound showing **non-visualization of the common bile duct**, points to a **biliary obstruction**. ERCP is both diagnostic and therapeutic in this setting, allowing for direct visualization and potential relief of the obstruction. - The combination of **conjugated hyperbilirubinemia** and isolated elevated alkaline phosphatase with normal AST/ALT indicates a **biliary outflow problem**, warranting further imaging of the biliary tree beyond initial ultrasound and CT. *Serologies for antimitochondrial antibodies* - **Antimitochondrial antibodies (AMAs)** are characteristic of **primary biliary cholangitis (PBC)**, which presents with similar symptoms like pruritus and elevated alkaline phosphatase. - However, PBC primarily affects **intrahepatic bile ducts** and typically does not present with an acute, complete common bile duct obstruction that would lead to non-visualization on ultrasound. *HIDA scan* - A **HIDA scan** (hepatobiliary iminodiacetic acid scan) is used to assess **gallbladder function** and patency of the cystic duct in cases of suspected **acute cholecystitis**. - The ultrasound already showed a normal gallbladder, and the primary concern here is a common bile duct obstruction, not gallbladder inflammation or function. *Hepatitis serologies* - **Hepatitis serologies** (e.g., for Hepatitis A, B, C) would be appropriate if the clinical picture suggested **hepatitis** (e.g., markedly elevated AST/ALT, fever, malaise). - In this patient, the **transaminases (AST, ALT) are normal**, which makes acute viral hepatitis an unlikely primary diagnosis for his acute presentation and cholestatic pattern. *Antibiotics and admit to observation* - While **cholangitis** (biliary infection) can cause fever and severe abdominal pain, the patient denies fever and his vital signs are stable, making acute cholangitis less likely as the primary problem needing immediate antibiotics. - Admitting for observation without further diagnostic intervention would delay identifying and treating the underlying cause of the **biliary obstruction**, which could lead to serious complications.
Explanation: ***Destruction of upper and lower motor neurons*** - The constellation of **dysphagia**, **hoarseness**, **tongue atrophy**, **generalized muscle atrophy with twitching (fasciculations)**, and **hyperreflexia (3+ deep tendon reflexes)** points strongly to **amyotrophic lateral sclerosis (ALS)**, which involves both upper and lower motor neuron degeneration. - The progressive weakness, weight loss, and choking on secretions are consistent with bulbar and limb involvement in ALS, a neurodegenerative disorder. *Autoimmune destruction of acetylcholine receptors* - This describes **myasthenia gravis**, which typically presents with **fluctuating weakness** that worsens with activity and improves with rest. - While it can cause dysphagia and bulbar symptoms, **muscle atrophy** and **hyperreflexia** are not characteristic features of myasthenia gravis, and **fasciculations** are absent. *Dilation of the central spinal canal* - This refers to **syringomyelia**, a condition where a **syrinx (fluid-filled cyst)** forms within the spinal cord, often leading to **cape-like loss of pain and temperature sensation**, weakness, and atrophy. - This patient's symptoms of widespread muscle atrophy, fasciculations, bulbar dysfunction, and hyperreflexia are not typical of syringomyelia. *Multiple cerebral infarctions* - Multiple cerebral infarctions can lead to various neurological deficits depending on their location, but they typically present with acute or subacute onset of focal neurological signs. - The **progressive nature** of the patient's symptoms, combined with the specific signs of both upper and lower motor neuron involvement (fasciculations, hyperreflexia), is not characteristic of multiple cerebral infarcts. *Demyelination of peripheral nerves* - This describes conditions like **Guillain-Barré syndrome** or **chronic inflammatory demyelinating polyneuropathy (CIDP)**, which predominantly affect **peripheral nerves**. - While demyelination can cause weakness, it typically leads to **hyporeflexia or areflexia**, and does not explain the presence of **fasciculations** or the signs of **upper motor neuron involvement** (e.g., hyperreflexia) seen in this patient.
Explanation: ***Fecal antigen testing for Helicobacter pylori*** - The patient presents with **dyspeptic symptoms** (epigastric pain, early satiety, bloating) and no **alarm symptoms** (e.g., GI bleeding, unexplained weight loss, dysphagia). - Given her age (< 60 years) and lack of alarm symptoms, a "test-and-treat" strategy for **Helicobacter pylori** is recommended, with fecal antigen testing being a non-invasive and accurate option. *Treatment with metoclopramide* - Metoclopramide is a **prokinetic agent** used for conditions like gastroparesis, not primarily for initial management of undiagnosed dyspepsia. - While she has early satiety, the primary approach should be to rule out common causes of dyspepsia like **H. pylori** before considering symptomatic treatments for motility issues. *Upper endoscopy* - An **upper endoscopy** is indicated if the patient is older (typically > 60 years) or has **alarm symptoms** (e.g., GI bleeding, unexplained weight loss, dysphagia, persistent vomiting). - This 28-year-old patient lacks any alarm symptoms and is below the age threshold for an immediate endoscopic evaluation for dyspepsia. *Treatment with omeprazole* - While a **proton pump inhibitor (PPI)** like omeprazole can treat dyspeptic symptoms, it is not the most appropriate *initial* approach without first testing for **H. pylori**. - Empiric PPI therapy can **mask H. pylori infection**, potentially delaying appropriate eradication therapy if the test-and-treat strategy is not followed. *Barium swallow radiograph* - A **barium swallow** is primarily used to evaluate structural abnormalities of the **esophagus**, such as strictures, diverticula, or achalasia, and is less effective for diagnosing mucosal diseases of the stomach or duodenum. - It is not the preferred diagnostic test for evaluating dyspepsia or identifying **H. pylori** infection.
Explanation: ***Sigmoid colon*** - This patient's symptoms—**progressive constipation, abdominal distention, weight loss**, and a family history of colorectal cancer—strongly suggest a **colorectal malignancy** causing obstruction. - The **sigmoid colon** is the most common site for colorectal cancer, especially those presenting with obstructive symptoms due to its narrower lumen compared to the proximal colon. *Small bowel* - While small bowel obstruction can cause similar symptoms, **primary small bowel cancers are rare** and typically present differently, often with episodes of partial obstruction. - The history of a **change in bowel habits preceding complete constipation** is more indicative of a colonic mass. *Ascending colon* - Cancers in the **right colon (ascending and cecum)** tend to present with symptoms like **iron deficiency anemia, fatigue, and occult bleeding**, rather than obstruction, due to its wider lumen and more fluid stool. - **Obstruction is less common** as an initial presentation in this location. *Rectum* - Rectal cancers often cause **changes in bowel habits, tenesmus, and hematochezia** (bright red blood per rectum). - While obstruction can occur, the sigmoid colon is a more frequent site for tumors causing **progressive obstructive symptoms** as described. *Cecum* - Similar to the ascending colon, cancers in the **cecum** are more likely to present with **anemia and vague abdominal discomfort** rather than overt obstruction. - The **wider diameter** of the cecum allows tumors to grow quite large before causing obstructive symptoms.
Explanation: ***HLA-B27 positive genotype*** - The patient's symptoms of **inflammatory back pain** (worse in the morning, improves with activity, limited spinal flexion, bilateral hip pain) are classic for **spondyloarthritis**, particularly **ankylosing spondylitis**. - **HLA-B27** is strongly associated with ankylosing spondylitis and other spondyloarthropathies, making its presence highly likely in this clinical scenario. *High levels of creatine phosphokinase* - Elevated **creatine phosphokinase (CPK)** levels typically indicate **muscle damage** or inflammation, as seen in conditions like myositis. - While back pain can have a muscular component, her symptoms are more indicative of inflammatory arthritis of the spine and hips, not primary muscle inflammation. *High levels of rheumatoid factor* - **Rheumatoid factor (RF)** is a key marker for **rheumatoid arthritis**, which primarily affects peripheral joints in a symmetrical pattern, not typically the axial skeleton in this manner. - The patient's presentation with **inflammatory back pain** and hip involvement is inconsistent with typical rheumatoid arthritis. *Presence of anti-dsDNA antibodies* - **Anti-dsDNA antibodies** are highly specific for **systemic lupus erythematosus (SLE)**, a systemic autoimmune disease with diverse manifestations. - While SLE can cause arthralgia or arthritis, her specific pattern of inflammatory back pain and hip involvement is not characteristic of SLE. *Presence of anti-Ro and anti-La antibodies* - **Anti-Ro (SSA)** and **anti-La (SSB) antibodies** are primarily associated with **Sjögren's syndrome**, an autoimmune disease causing dry eyes and mouth. - They can also be present in SLE, but again, the patient's presentation is more specific for a spondyloarthropathy than for Sjögren's or SLE.
Explanation: ***HPV DNA testing now*** - This 25-year-old patient is due for cervical cancer screening and this is the best recommendation. - **ACOG (2021)** recommends **primary HPV testing every 5 years** for women aged 25-65 as the preferred screening method. - Although USPSTF guidelines recommend starting HPV testing at age 30, ACOG's updated guidelines support initiating primary HPV testing at age 25, making this the most current evidence-based recommendation. - Given she is presenting for a new patient physical and cervical cancer screening is due now, initiating HPV testing is appropriate. *Colonoscopy in 10 years* - While the patient's father was diagnosed with colon cancer at age 40, this option is **incorrectly timed**. - Guidelines recommend screening beginning at age 40 OR 10 years before the youngest affected first-degree relative's diagnosis (age 30 for this patient), whichever comes first. - Since this patient is 25, she would need colonoscopy at age 30 (in 5 years), not in 10 years (age 35). - However, cervical cancer screening is the more immediate priority right now. *Mammogram now* - The patient's grand-aunt had breast cancer at age 60, but this is a **second-degree relative** with late-onset disease. - This does not meet criteria for early mammography screening at age 25. - Routine mammography typically begins at age 40 (per ACOG) or age 50 (per USPSTF), unless there is a strong family history in first-degree relatives or genetic mutations (BRCA1/2). *Pap smear now* - Pap smear (cytology) is an acceptable screening option for cervical cancer. - **USPSTF (2018)** recommends cytology alone every 3 years for women ages 21-29, or starting HPV-based testing at age 30. - However, **ACOG (2021)** supports primary HPV testing starting at age 25 as the preferred method. - While Pap smear now would not be incorrect, HPV DNA testing is the preferred and more current guideline-based approach for this age group. *Pap smear in 5 years* - This represents inappropriate delay in initiating cervical cancer screening. - Screening should begin now, not be deferred for 5 years. - The 5-year interval applies to primary HPV testing once initiated, not to delaying the start of screening.
Explanation: ***Arthrocentesis of the left knee*** - This patient presents with signs of **septic arthritis**, including acute joint pain and swelling, fever, and elevated inflammatory markers, after a knee abrasion. **Arthrocentesis** is crucial for diagnosing septic arthritis by analyzing the synovial fluid for cell count, Gram stain, and culture. - Given the patient's history of trauma, which can introduce bacteria into the joint, and the acute inflammatory response, a prompt diagnosis via **arthrocentesis** is essential for guiding antibiotic treatment and preventing joint destruction. *Bone scan* - A bone scan is primarily used to detect bone metabolic activity, such as in stress fractures, infections (osteomyelitis), or metastasis, but it is not the first-line diagnostic for acute septic arthritis of a joint. - While it might show increased uptake around an inflamed joint, it will not provide the specific microbiological diagnosis needed to guide treatment for potential septic arthritis. *MRI of the left knee* - MRI can show soft tissue and bone changes, including effusions, synovitis, and bone edema, but it is not the initial test of choice for suspected septic arthritis. - It does not provide microbial identification, which is critical for targeted antibiotic therapy, and it is a more expensive and time-consuming procedure than arthrocentesis. *Blood cultures* - Blood cultures are important for identifying systemic infection (bacteremia) and can be helpful in septic arthritis if a patient has bacteremia, but they are not as sensitive as synovial fluid culture for diagnosing joint infection. - A positive blood culture alone does not confirm that the joint infection is due to the same organism, and a negative blood culture does not rule out septic arthritis. *Continued ibuprofen intake* - The patient has already been taking ibuprofen for 2 days without improvement, indicating that the condition is unlikely to be simple inflammatory pain that responds to NSAIDs. - Continuing ibuprofen would delay the necessary diagnostic evaluation and definitive treatment for a potentially destructive condition like septic arthritis.
Explanation: ***Nystatin*** - The clinical presentation shows **oral candidiasis (thrush)**, characterized by white, plaque-like lesions on the tongue and palate in a patient with risk factors for immunosuppression (multiple sexual partners with inconsistent condom use, suggesting possible HIV exposure). - **Nystatin** is a topical antifungal agent and represents the **first-line treatment** for oral candidiasis. - It is available as oral suspension ("swish and swallow") and effectively treats the fungal infection directly. - Additional measures like changing the toothbrush and improving oral hygiene are important **adjunctive steps** but the primary treatment requires antifungal therapy. *Topical corticosteroids* - Topical corticosteroids are used for **inflammatory conditions** such as oral lichen planus or recurrent aphthous ulcers. - They are **contraindicated** in candidiasis as they suppress local immune responses and can worsen fungal growth. *HAART therapy* - **Highly Active Antiretroviral Therapy (HAART)** treats HIV infection and improves immune function. - While the patient's risk factors suggest possible HIV exposure, HAART is not the **immediate treatment** for oral candidiasis. - HIV testing should be offered, but antifungal therapy addresses the acute infection. *Change the patient's toothbrush and improve oral hygiene* - Changing the toothbrush and improving oral hygiene are important **adjunctive measures** that help prevent reinfection by eliminating fungal reservoirs. - However, these are supportive measures, not the primary treatment for active oral candidiasis. - The question asks for "next best step in treatment," which requires antifungal therapy. *Surgical excision* - **Surgical excision** is reserved for suspicious oral lesions requiring histopathological diagnosis, such as squamous cell carcinoma or other growths. - It is **not indicated** for oral candidiasis, which is a fungal infection treated medically with antifungals.
Explanation: ***Metastatic colorectal cancer*** - The patient's **weight loss**, **constipation**, **bloating**, **positive fecal occult blood**, and **palpable, nodular liver** are highly suggestive of **colorectal cancer with liver metastases**. - The CT scan findings (presumably showing multiple liver lesions) and elevated AST/ALT further support the diagnosis of **liver involvement from a primary malignancy**, often colorectal due to its common metastatic spread to the liver via portal circulation. - The combination of **GI symptoms** (constipation, bloating) with **hepatic findings** (hard nodule, hepatomegaly) points to a primary GI tumor with secondary liver involvement. *Hepatic echinococcal cysts* - While a travel history to Mexico might suggest parasitic infection, the patient's presentation with significant **weight loss**, **fever**, and **abnormal liver enzymes** within a relatively short timeframe is not typical for uncomplicated hydatid cysts. - Hydatid cysts are usually **asymptomatic until large** or complicated, and the presence of **occult blood in stool** points away from this diagnosis. *Cirrhosis* - Cirrhosis is characterized by chronic liver damage, often leading to portal hypertension, jaundice, and ascites. While it can cause **weight loss** and **hepatomegaly**, the rapid progression of symptoms, **fever**, and especially the **positive fecal occult blood** and **nodular liver** are not classic findings for typical cirrhosis. - The mildly elevated transaminases and normal alkaline phosphatase are not highly indicative of severe, decompensated cirrhosis. *Cholangiocarcinoma* - Cholangiocarcinoma typically presents with **jaundice**, pruritus, and abdominal pain due to **biliary obstruction**. - Although it can cause **weight loss** and **liver nodules**, the absence of significant jaundice and the strong evidence for a primary GI malignancy (constipation, occult blood) make it less likely than metastatic colorectal cancer. *Hepatocellular carcinoma* - HCC typically occurs in patients with **underlying chronic liver disease**, such as hepatitis B, hepatitis C, or cirrhosis, which are all negative in this patient. - While HCC can cause **weight loss** and **liver nodules**, the **positive fecal occult blood** points to a primary gastrointestinal source, making metastatic disease more probable than primary liver cancer.
Explanation: ***Reduced fluid intake*** - This patient presents with **hyperglycemia** (680 mg/dL), **high effective serum osmolality** (350 mOsm/kg), and **dry mucous membranes** and **hypotension**, indicating severe **dehydration**. These findings are consistent with **Hyperosmolar Hyperglycemic State (HHS)**, which commonly results from inadequate fluid intake in response to osmotic diuresis. - Seizures in HHS are often triggered by **severe hyperosmolality** and resultant neuronal dehydration, which can be exacerbated by **reduced fluid intake**, especially in elderly patients in nursing homes with impaired thirst sensation or limited access to water. *Inappropriate insulin therapy* - **Inappropriate insulin therapy** (either inadequate or excessive) is less likely to be the primary trigger for HHS in this patient, especially since he is managed with **metformin** and does not appear to be on insulin. - Even if he were on insulin, **insufficient insulin** would *contribute* to hyperglycemia but the acute trigger for the decompensation leading to severe dehydration and seizures is often related to fluid balance. *Concomitant viral infection* - While a **concomitant viral infection** can precipitate HHS by causing increased stress hormones and inflammation, leading to worsening insulin resistance and hyperglycemia, the patient's presentation primarily points towards severe dehydration and osmolality disturbances. - There are no specific symptoms or signs mentioned (e.g., fever, cough, chills) to suggest a viral infection as the *most likely* immediate trigger over profound dehydration. *Unusual increase in physical activity* - An **unusual increase in physical activity** would typically *decrease* blood glucose levels by increasing insulin sensitivity and glucose utilization. - Therefore, this is an **unlikely trigger** for the profound hyperglycemia and hyperosmolar state observed in this patient. *Metformin side effects* - **Metformin** typically causes gastrointestinal side effects (e.g., nausea, diarrhea) and can lead to **lactic acidosis** in specific circumstances (e.g., renal impairment, hypoperfusion), but it does not directly cause HHS or seizures. - The patient's **pH (7.37)** and **bicarbonate (17 mEq/L)**, while slightly low, do not indicate severe lactic acidosis, and the predominant clinical picture is HHS-related dehydration and hyperosmolality.
Explanation: ***Profuse diarrhea*** - The patient's history of **severe diarrhea** for two days, combined with signs of **dehydration** (dry mucous membranes, poor skin turgor), **hypotension** (70/50 mm Hg), and **tachycardia** (120/min), indicates significant fluid loss leading to **prerenal acute kidney injury (AKI)**. - The **increased filtration fraction** is the key diagnostic clue for prerenal azotemia: in response to decreased renal perfusion, angiotensin II preferentially constricts the **efferent arteriole**, maintaining GFR while renal blood flow drops, thus increasing the filtration fraction (GFR/renal plasma flow). - This compensatory mechanism distinguishes prerenal from intrinsic renal causes of AKI. *Multiple myeloma* - This condition causes kidney injury through **light chain cast nephropathy** (intrinsic renal damage) or hypercalcemia, which would **not** present with an increased filtration fraction. - While multiple myeloma can cause renal dysfunction in elderly patients, the acute presentation with profound **volume depletion** and the specific finding of increased filtration fraction make prerenal causes (diarrhea) much more likely. *Pyelonephritis* - This **kidney infection** typically presents with **fever**, **flank pain**, and **dysuria**, which are not described in this patient. - Pyelonephritis would cause **intrinsic renal injury** with a **normal or decreased** filtration fraction, not the increased filtration fraction seen in prerenal azotemia. - The prominent signs of severe volume depletion point to a prerenal rather than infectious etiology. *Nephrolithiasis* - **Kidney stones** typically cause acute, severe **flank pain** (renal colic) and **hematuria**. - Obstructive uropathy from nephrolithiasis would cause **postrenal AKI** with a **decreased** filtration fraction, not increased. - This would not explain the patient's profound dehydration, hypotension, and tachycardia as the primary pathophysiology. *Salicylate poisoning* - Salicylate toxicity typically presents with **respiratory alkalosis** (early) and **metabolic acidosis** (late), **tinnitus**, **nausea/vomiting**, and altered mental status. - While it can cause AKI and unconsciousness, it would **not** produce the classic prerenal pattern with increased filtration fraction seen here. - The prominent **2-day history of diarrhea** and signs of severe dehydration clearly point to volume depletion as the primary etiology rather than toxin exposure.
Explanation: ***Gluten-free diet*** - The patient's symptoms (diarrhea, bloating, abdominal discomfort, fatigue) and lab findings (**microcytic anemia** with **low ferritin**, and **positive IgA tissue transglutaminase antibody**) are highly suggestive of **celiac disease**. - Given the strong serological evidence and patient's unwillingness for biopsy, initiating a **gluten-free diet** is the most appropriate next step, as it is the primary treatment for celiac disease and should alleviate symptoms. *Avoid milk products* - While **lactose intolerance** can cause similar GI symptoms like diarrhea and bloating, and is sometimes comorbid with celiac disease due to damage to intestinal villi, the primary driver here appears to be celiac disease based on the specific antibody test. - Avoiding milk products without addressing the underlying celiac disease would likely not resolve all symptoms, and a gluten-free diet is the more targeted initial therapy for the confirmed serology. *Metronidazole therapy* - **Metronidazole** is an antibiotic used to treat bacterial and parasitic infections, such as *Giardia* or *Clostridium difficile*. - Although the patient traveled to Southeast Asia, suggesting a possible exposure to parasitic infections, the presence of **positive IgA tissue transglutaminase antibody** strongly points towards celiac disease, not solely an infection requiring antibiotics (though infections can sometimes trigger celiac disease onset). *Intravenous immunoglobulin therapy* - **Intravenous immunoglobulin (IVIG) therapy** is used for various immune deficiencies or autoimmune conditions, but it is not indicated for the initial management of celiac disease. - Celiac disease is managed by dietary changes (gluten-free diet) to prevent autoimmune damage to the small intestine. *Trimethoprim-sulfamethoxazole therapy* - **Trimethoprim-sulfamethoxazole** is an antibiotic primarily used for bacterial infections, including some diarrheal diseases. - Similar to metronidazole, while an infection is plausible given the travel history, the strong serological evidence for celiac disease makes antibiotic therapy a less appropriate first step compared to a gluten-free diet.
Explanation: ***No GI disease*** - The patient's symptoms of **chronic abdominal pain** and **diarrhea following milk intake** are classic for **lactose intolerance**. - Lactose intolerance is caused by a deficiency of the enzyme **lactase**, leading to an inability to digest lactose, and does not involve histological changes in the GI tract. *Crohn's disease* - Characterized by **transmural inflammation** and **skip lesions** anywhere from the mouth to the anus, with common findings being **granulomas**, fissures, and ulcers. - While it causes abdominal pain and diarrhea, it is not specifically triggered by milk intake and has distinct histological features. *Celiac disease* - Involves **villous atrophy**, **crypt hyperplasia**, and an increase in **intraepithelial lymphocytes** in the small intestine, triggered by gluten exposure. - While it causes malabsorption symptoms, it is not triggered by lactose and has specific histological markers. *Ulcerative colitis* - Characterized by **mucosal and submucosal inflammation** limited to the colon, with features like **crypt abscesses**, pseudopolyps, and loss of haustra. - Unlike the described symptoms, UC primarily affects the large intestine and is not directly related to lactose consumption. *Tropical sprue* - Involves **flattening of villi** and inflammation of the small intestinal mucosa, often leading to malabsorption, seen in individuals from tropical regions. - It is an acquired condition, not specifically triggered by milk, and has distinct histological changes.
Explanation: ***Autosomal dominant polycystic kidney disease*** - The presence of **multiple bilateral kidney cysts** and **hepatic cysts**, along with symptoms like **increasing abdominal girth**, **early satiety**, and **hypertension** in a 41-year-old man, is highly characteristic of **autosomal dominant polycystic kidney disease (ADPKD)**. - The **brownish discoloration of urine** suggests potential bleeding into a cyst or a urinary tract infection, common complications of ADPKD. *Simple kidney cyst* - A simple kidney cyst is typically **solitary, unilateral**, and usually asymptomatic. - It does not explain the **multiplicity of cysts**, **bilateral involvement**, the presence of hepatic cysts, or the associated systemic symptoms. *Renal cell carcinoma* - While renal cell carcinoma can present with a palpable mass and hematuria (brownish urine), it typically manifests as a **single, solid mass** rather than **multiple bilateral cystic lesions**. - Renal cell carcinoma is not associated with widespread hepatic cysts as seen in this patient. *Medullary sponge kidney* - This condition involves **dilation of the collecting ducts** in the renal pyramids and is often asymptomatic, though it can lead to **recurrent kidney stones** and urinary tract infections. - It presents with **normal renal cortex** and does not typically involve multiple large cysts or hepatic cysts. *Von Hippel-Lindau syndrome* - This genetic disorder is characterized by the development of **cysts and tumors** in various organs, including the kidneys (**renal cell carcinoma**), pancreas, and central nervous system. - While it can cause renal cysts, the primary renal manifestation is often **clear cell renal cell carcinoma**, and the clinical picture in this patient, particularly the widespread hepatic cysts and the absence of other typical VHL findings, makes it less likely than ADPKD.
Explanation: ***Dietary nitrates*** - High dietary intake of **nitrates and nitrites**, commonly found in processed meats, smoked foods, and certain preserved foods, is an established risk factor for **gastric adenocarcinoma** - Nitrates are converted to **N-nitroso compounds** in the stomach, which are potent carcinogens that damage gastric epithelial DNA - The histologic finding of **irregular tubules with intraluminal mucus** is consistent with intestinal-type gastric adenocarcinoma, which has strong epidemiologic associations with dietary carcinogens - Among the options provided, dietary nitrates represent the most evidence-based predisposing factor for gastric cancer development *NSAID use* - While chronic **NSAID use** (ibuprofen) is a major risk factor for **peptic ulcer disease** and can cause gastric ulcers, it is **NOT an established risk factor** for gastric adenocarcinoma - NSAIDs cause mucosal injury through COX-1 inhibition and reduced prostaglandin synthesis, leading to ulceration but not malignant transformation - Some studies suggest NSAIDs may actually have a **protective effect** against certain GI malignancies through COX-2 inhibition - The patient's chronic NSAID use may explain gastric symptoms but does not predispose to the adenocarcinoma itself *Low-fiber diet* - A **low-fiber diet** is associated with increased risk of **colorectal cancer** and diverticular disease, not gastric malignancy - No strong epidemiologic evidence links low dietary fiber to gastric adenocarcinoma development - This is not a recognized risk factor for the patient's condition *Inflammatory bowel disease* - **IBD** (Crohn's disease and ulcerative colitis) primarily affects the intestines and is a risk factor for **colorectal adenocarcinoma**, not gastric cancer - The stomach is rarely the primary site of involvement in IBD - This patient's presentation with a gastric mass does not suggest IBD-related pathology *Blood type O* - **Blood type A** (not type O) is associated with increased risk of gastric adenocarcinoma, likely due to enhanced susceptibility to **H. pylori** colonization and altered gastric mucin composition - **Blood type O** is actually considered relatively **protective** against gastric cancer compared to type A - This option represents the opposite relationship to gastric cancer risk
Explanation: ***Technetium-99 labelled erythrocyte scintigraphy*** - This test can detect **slow-rate lower GI bleeds** (as low as 0.2-0.5 mL/min) that may be missed by endoscopy or colonoscopy, especially when the bleeding is intermittent or subtle. - Given the **negative EGD** and **unremarkable colonoscopy** despite evidence of an ongoing lower GI bleed, this nuclear medicine study is appropriate for localization. - Particularly useful in this patient with **aortic stenosis**, where angiodysplasia (vascular malformations, often in the small bowel) is a common cause of obscure GI bleeding (Heyde's syndrome). *Flexible sigmoidoscopy* - This procedure only visualizes the **rectum and a portion of the sigmoid colon**, which is insufficient given the negative full colonoscopy. - It would not provide any new information for localizing a bleed that has already been ruled out from the accessible colon. *Nasogastric tube lavage* - This procedure is used to assess for **upper GI bleeding** by checking for blood in the gastric contents. - The EGD already ruled out an upper GI bleed, making this step unnecessary and unhelpful for a suspected lower GI source. *Ultrasound of the abdomen* - Abdominal ultrasound is primarily used to evaluate **solid organs** (e.g., liver, gallbladder, kidneys) and potential fluid collections. - It is generally **not effective** for localizing or diagnosing the source of active GI bleeding. *CT of the abdomen* - A standard CT abdomen without specialized imaging protocol has **limited sensitivity** for detecting the source of GI bleeding. - While **CT angiography** (a different test with IV contrast timed to arterial phase) can detect active bleeding at rates >0.3-0.5 mL/min, a routine "CT of the abdomen" as listed in this option would not be adequate for localizing occult GI bleeding.
Explanation: ***Insulinoma*** - This patient presents with **Whipple's triad** (symptoms of hypoglycemia, a low plasma glucose level, and resolution of symptoms after glucose administration), high **insulin**, and high **C-peptide** levels. - The elevated **C-peptide** distinguishes it from exogenous insulin administration, and the negative sulfonylurea screen rules out drug-induced hypoglycemia. *Binge eating disorder* - Characterized by recurrent episodes of **eating an unusually large amount of food** in a short period with a sense of **loss of control**, which is not the primary presentation here. - While the patient has gained weight and has an increased appetite, binge eating disorder does not directly explain the episodes of **hypoglycemia** and associated symptoms like lightheadedness and weakness. *Cushing's syndrome* - Presents with symptoms like **central obesity, moon facies, buffalo hump, and striae**, and typically causes **hyperglycemia**, not hypoglycemia. - Labs would show **elevated cortisol levels**, not the low glucose and high insulin/C-peptide seen here. *Exogenous hypoglycemia* - This would result from administration of **insulin** or **sulfonylureas**, leading to high insulin but **low C-peptide** (if exogenous insulin) or a **positive sulfonylurea screen**. - The patient's **high C-peptide** and negative sulfonylurea screen rule out exogenous causes. *Polycystic ovarian syndrome* - Characterized by **menstrual irregularities, hyperandrogenism, and polycystic ovaries** on ultrasound. - While it is associated with **insulin resistance** and obesity, it does not typically cause acute symptomatic hypoglycemia with elevated insulin and C-peptide as seen.
Explanation: ***Nucleic acid amplification testing for Chlamydia trachomatis*** - The patient's symptoms (conjunctivitis, dactylitis, and plantar rash) with a history of unprotected sexual activity are highly suggestive of **reactive arthritis**, often triggered by **Chlamydia trachomatis infection**. - **NAAT** is the most sensitive and specific test for detecting *Chlamydia trachomatis* in urethral or urine samples, even in asymptomatic infections. *Rheumatoid factor* - This test is primarily used for **rheumatoid arthritis**, which typically presents with symmetric polyarthritis, not the asymmetric dactylitis and conjunctivitis seen here. - The patient’s acute presentation and specific rash are inconsistent with classic rheumatoid arthritis. *Anti-cyclic citrullinated peptide antibody assay* - Like rheumatoid factor, this assay is a specific marker for **rheumatoid arthritis** and would not be the most appropriate first step in diagnosing reactive arthritis. - Its utility in this clinical context is minimal given the patient's symptoms point away from rheumatoid arthritis. *HLA-B27* - While **HLA-B27** is associated with reactive arthritis (and other spondyloarthropathies), it is a **genetic predisposition factor**, not a diagnostic test for acute infection. - A positive result would confirm susceptibility but would not identify the underlying *Chlamydia* infection that needs treatment. *Antinuclear antibody assay* - This assay is used to screen for **systemic lupus erythematosus** and other autoimmune connective tissue diseases. - The patient's acute presentation of conjunctivitis, dactylitis, and plantar rash is not typical for lupus or similar conditions.
Explanation: ***HLA-B27*** - The clinical presentation of **dull low back pain**, morning stiffness improving with activity, and **blurred vision** (suggestive of uveitis) points to a spondyloarthropathy, most commonly **ankylosing spondylitis**. - **HLA-B27** is a strong genetic risk factor and is present in a high percentage of patients with ankylosing spondylitis and other spondyloarthropathies, making it the most likely associated HLA variant. *HLA-DQ2* - **HLA-DQ2** is primarily associated with **celiac disease**, an autoimmune disorder affecting the small intestine, and has no direct linkage to spondyloarthropathies. - The patient's symptoms are musculoskeletal and ocular, not gastrointestinal, which rules out celiac disease. *HLA-DR3* - **HLA-DR3** is associated with various autoimmune conditions such as **Type 1 Diabetes**, **Graves' disease**, and **Sjogren's syndrome**, none of which align with the patient's symptoms. - There is no known direct association between HLA-DR3 and spondyloarthropathies or uveitis. *HLA-B47* - **HLA-B47** is primarily associated with **21-hydroxylase deficiency**, a form of congenital adrenal hyperplasia, and it has no relevance to the patient's musculoskeletal and ocular symptoms. - This genetic marker is not linked to inflammatory joint diseases or uveitis. *HLA-DR4* - **HLA-DR4** is a significant genetic marker for **rheumatoid arthritis** and certain other autoimmune disorders. - The patient's symptoms (back pain improving with activity, sacroiliac tenderness, uveitis) are not typical for rheumatoid arthritis, which usually affects peripheral joints and worsens with activity.
Explanation: ***Encephalopathy, ophthalmoplegia, and gait ataxia*** - This triad describes **Wernicke encephalopathy**, caused by **thiamine (vitamin B1) deficiency**. - The patient has a **15-year history of severe alcoholism**, which is the **cause** of his chronic pancreatitis and the primary risk factor for thiamine deficiency. - **Chronic alcoholism** leads to thiamine deficiency through multiple mechanisms: poor dietary intake, impaired absorption, decreased hepatic storage, and impaired conversion to active form. - Thiamine deficiency is the deficiency syndrome **most closely associated with the cause** (chronic alcoholism) of this patient's abdominal pain from chronic pancreatitis. *Osteomalacia* - Osteomalacia results from **vitamin D deficiency** due to malabsorption of fat-soluble vitamins (A, D, E, K). - The patient has steatorrhea (foul-smelling, floating stools) indicating fat malabsorption from pancreatic exocrine insufficiency. - While this is a **consequence** of chronic pancreatitis, it is not directly associated with the **cause** (alcoholism) of the condition. *Microcytic anemia* - **Microcytic anemia** is typically caused by **iron deficiency**, often from chronic blood loss. - While malabsorption can contribute to iron deficiency, this is not the primary deficiency syndrome associated with chronic alcoholism or chronic pancreatitis. *Megaloblastic anemia without neurologic changes* - This describes **folate (vitamin B9) deficiency**, which is common in alcoholics due to poor nutrition and impaired absorption. - However, folate deficiency is less specifically associated with alcoholism compared to thiamine deficiency, and it is not the most characteristic deficiency syndrome in this clinical context. *Cheilosis and corneal vascularization* - These symptoms are characteristic of **riboflavin (vitamin B2) deficiency**. - While general malnutrition can occur with alcoholism and malabsorption, riboflavin deficiency is not the most prominent or characteristic deficiency associated with chronic alcoholism.
Explanation: ***Monosodium urate crystal deposition*** - The presence of **thin, tapered, needle-shaped intracellular crystals** that are **strongly negatively birefringent** on joint fluid analysis is pathognomonic for **gout**, caused by monosodium urate crystal deposition. - Intermittent pain in the **first metatarsophalangeal (MTP) joint** (podagra) and medial soft tissue swelling are classic clinical findings associated with gout. *Tuberculosis* - Tuberculosis of a joint typically presents with **chronic pain and swelling**, often with osteolytic lesions, but not with characteristic crystal findings. - Joint fluid analysis would show **acid-fast bacilli** or granulomatous inflammation, not birefringent crystals. *Calcium pyrophosphate deposition* - This condition (pseudogout) involves **rhomboid-shaped crystals** that are **weakly positively birefringent**, not needle-shaped and strongly negatively birefringent. - Pseudogout more commonly affects larger joints like the knee and wrist, not typically the great toe MTP joint as the primary site. *Rheumatoid arthritis* - Rheumatoid arthritis is an **inflammatory polyarthritis** primarily affecting small joints of the hands and feet symmetrically, and does not involve crystal deposition. - Joint fluid analysis would show inflammatory changes but not specific crystals, and serology for **rheumatoid factor** and **anti-CCP antibodies** would be positive. *Septic arthritis* - Septic arthritis presents with acute onset of severe joint pain, swelling, warmth, and restricted range of motion, often with **fever** and elevated inflammatory markers. - Joint fluid analysis would show **markedly elevated white blood cell count** (typically >50,000 cells/μL with neutrophil predominance) and positive Gram stain or culture, not birefringent crystals. - The **intermittent nature** over 2 years and crystal findings rule out acute infection.
Explanation: ***Hemoglobin: ↓, hematocrit: ↓, red blood cell count: ↓, mean corpuscular volume: ↓*** - This patient presents with **bright red blood per rectum**, fatigue, shortness of breath, and lethargy, along with pale mucosa and increased capillary refill time, all classic signs of **iron deficiency anemia** due to chronic blood loss. - Iron deficiency anemia is typically a **microcytic hypochromic anemia**, characterized by decreased hemoglobin, hematocrit, red blood cell count, and a decreased mean corpuscular volume (MCV). *Hemoglobin: ↑, hematocrit: ↑, red blood cell count: ↑, mean corpuscular volume: ↑* - An increase in all these parameters would suggest **polycythemia**, which is an excess of red blood cells, or **macrocytic anemia** if MCV is increased, which contradicts the patient's symptoms of anemia and chronic blood loss. - The patient's symptoms of fatigue and shortness of breath are indicative of anemia, not polycythemia. *Hemoglobin: ↑, hematocrit: ↓, red blood cell count: ↓, mean corpuscular volume: ↑* - This combination is inconsistent as an increase in hemoglobin generally correlates with increased hematocrit and red blood cell count, unless there's an issue with a single parameter like in **hemoconcentration**. - A decreased hematocrit and red blood cell count with increased MCV would suggest **macrocytic anemia**, but with elevated hemoglobin this is highly unlikely. *Hemoglobin: ↓, hematocrit: ↓, red blood cell count: ↑, mean corpuscular volume: ↑* - While hemoglobin and hematocrit are decreased, an **increased red blood cell count** with **increased MCV** is contradictory in general and does not fit the typical profile of iron deficiency anemia. - An increased MCV points towards **macrocytic anemia**, which is not the expected finding in chronic blood loss. *Hemoglobin: ↓, hematocrit: ↑, red blood cell count: ↓, mean corpuscular volume: ↑* - This combination is highly unlikely; a decreased hemoglobin and red blood cell count would typically be accompanied by a decreased hematocrit, not an increased one. - An increased MCV indicates **macrocytic anemia**, which would not be seen with an increased hematocrit as shown in this option.
Explanation: ***Dermatomyositis*** - This condition is characterized by **symmetric proximal muscle weakness** accompanied by distinctive skin manifestations, such as a **heliotrope rash** (blue-purple discoloration of the upper eyelids) and **Gottron's papules** (rashes on the knuckles). - These classic features are almost pathognomonic for dermatomyositis, an **autoimmune inflammatory myopathy**. *Inclusion body myositis* - Inclusion body myositis typically presents with **asymmetric distal muscle weakness** and **atrophy**, a pattern different from the symmetric proximal weakness described. - It primarily affects older individuals and does **not involve skin manifestations**. *Duchenne muscular dystrophy* - This is a **genetic disorder** primarily affecting young boys, presenting with progressive muscle weakness that is often noted in early childhood. - It is characterized by **proximal muscle wasting** and does not present with the specific dermatological findings of heliotrope rash or Gottron's papules. *Polymyositis* - Polymyositis also presents with **symmetric proximal muscle weakness**, similar to dermatomyositis, but it **lacks the characteristic skin manifestations** described in the patient. - The absence of the heliotrope rash and Gottron's papules helps differentiate it from dermatomyositis. *Hypothyroidism* - Hypothyroidism can cause **muscle weakness**, myalgia, and cramps, but these symptoms are usually insidious and accompanied by other systemic symptoms like **fatigue**, **weight gain**, and **cold intolerance**. - It does **not cause the specific skin rashes** (heliotrope rash, Gottron's papules) seen in this patient.
Explanation: ***Peripheral neuropathy*** - Gastric sleeve surgery can lead to **vitamin B12 deficiency** due to the removal of the fundus, which produces **intrinsic factor** necessary for B12 absorption. - **Vitamin B12 deficiency** is a known cause of **peripheral neuropathy**, manifesting as numbness, tingling, and weakness. *Macular degeneration* - This condition is primarily associated with **aging**, **genetics**, and **environmental factors** like smoking, rather than micronutrient deficiencies post-gastric sleeve. - While certain vitamins (e.g., A, C, E) and minerals can influence macular health, there's no direct strong causal link between bariatric surgery malabsorption and increased risk of **macular degeneration**. *Hypothyroidism* - Hypothyroidism is most commonly caused by **autoimmune conditions** like Hashimoto's thyroiditis or **iodine deficiency**. - While bariatric surgery can influence overall metabolic health, it does not directly lead to an increased risk of primary hypothyroidism. *Microcytic anemia* - **Microcytic anemia** is characterized by **small red blood cells (low MCV)**, typically caused by **iron deficiency** or **thalassemia**. - The patient initially presented with **macrocytic anemia (MCV 106 fL)**, which improved with folate, but the underlying risk remains for macrocytic rather than microcytic anemia from malabsorption of B12 or folate. *Neural tube defects* - **Neural tube defects** are congenital anomalies that occur during early fetal development, primarily linked to **folate deficiency during pregnancy**. - While the patient had a folate deficiency, this complication is relevant to **fetal development** and not a long-term risk for the adult patient herself after surgery.
Explanation: ***HIV-related encephalopathy*** - The patient's progressive **memory loss**, **ataxia**, **depressed mood**, and **oropharyngeal candidiasis** (white plaques) are highly suggestive of advanced HIV infection, which can lead to HIV-related encephalopathy. - The neurological symptoms, combined with signs of opportunistic infection, point towards an immunocompromised state, fitting with HIV as the underlying cause. *Pseudodementia* - This condition is characterized by cognitive deficits that resemble dementia but are actually caused by an underlying **depressive disorder**, which improves with antidepressant treatment. - While the patient has a depressed mood and memory deficits, the presence of **ataxia** and **oropharyngeal candidiasis** suggests an organic neurological cause rather than just depression. *Frontotemporal dementia* - This neurodegenerative disorder typically presents with prominent **behavioral changes** (e.g., disinhibition, apathy) or **language difficulties** (e.g., aphasia) early in the disease course. - The patient's primary symptoms of memory loss, ataxia, and signs of fungal infection are not characteristic features of early frontotemporal dementia. *Cerebral toxoplasmosis* - This is an **opportunistic infection** typically seen in severely immunocompromised individuals, such as those with advanced HIV, and can cause neurological symptoms like focal deficits, seizures, and altered mental status. - However, the gradual onset of diffuse cognitive decline, ataxia, and absence of focal neurological deficits, along with prominent candidiasis, makes HIV-related encephalopathy a more encompassing diagnosis than isolated cerebral toxoplasmosis. *Primary CNS lymphoma* - This is another **HIV-associated malignancy** that can present with neurological symptoms such as focal neurological deficits, seizures, and cognitive changes. - While possible in an immunocompromised patient, the diffuse nature of the cognitive decline, the gait disturbances, and the presence of widespread candidiasis make the more direct effect of HIV on the brain (encephalopathy) more likely as the primary driver of these specific symptoms.
Explanation: ***Acute mesenteric ischemia*** - The patient's presentation with **severe, generalized abdominal pain worse after meals**, along with **bloody diarrhea** and **irregularly irregular pulse** (suggesting **atrial fibrillation**), is highly indicative of acute mesenteric ischemia. - Atrial fibrillation can lead to **emboli** that occlude mesenteric arteries, causing rapid onset of **ischemic bowel injury** with disproportionate pain and often minimal findings on physical exam. *Diverticular disease* - While diverticulitis can cause abdominal pain, it is typically localized to the **left lower quadrant** and often associated with fever and leukocytosis, which are absent here. - **Diverticular bleeding** usually presents as painless rectal bleeding, not severe, diffuse abdominal pain with ischemic features. *Acute pancreatitis* - Characterized by severe **epigastric pain radiating to the back**, often associated with nausea and vomiting, but not typically with bloody diarrhea. - Elevated **lipase** and **amylase** levels are diagnostic markers, and an irregularly irregular pulse is not a direct symptom. *Gastroenteritis* - Often causes diffuse abdominal pain, nausea, vomiting, and diarrhea, but the pain is rarely as severe or disproportionate to physical findings as described. - **Bloody diarrhea** can occur, but the rapid onset of severe pain, particularly in the context of possible **embolic source** (atrial fibrillation), makes ischemia more likely. *Crohn's disease* - A chronic inflammatory bowel disease presenting with **abdominal pain**, **diarrhea** (often bloody), and weight loss, developing over weeks to months. - The acute, severe onset of symptoms in this patient does not fit the typical chronic presentation of Crohn's disease.
Explanation: ***A genetic test followed by colonoscopy for the son should be ordered.*** - Given the patient's strong family history of **colon cancer** with a known genetic mutation and the patient's own diagnosis of **high-grade dysplasia** and the same mutation, his son is at a significantly increased risk. - **Genetic testing** will determine if the son has inherited the mutation, and if positive, early and regular **colonoscopic surveillance** is crucial due to the highly aggressive nature of familial colon cancer syndromes. *The son doesn't need to be tested now.* - This statement is incorrect because the son is at a very high risk of inheriting a **known pathogenic genetic mutation** that predisposes to colon cancer. - Delaying testing could lead to a delayed diagnosis of potentially cancerous or pre-cancerous lesions, missing the opportunity for **early intervention**. *An immediate colonoscopy should be ordered for the son.* - While a colonoscopy may be warranted, the initial step should be **genetic testing** to confirm the presence of the mutation. - If the genetic test is negative, the urgency and frequency of colonoscopies would be different, potentially aligning with general population guidelines or slightly earlier, but not necessarily immediately at age 20 without genetic confirmation. *Screening can be started by 50 years of age as the son’s risk is similar to the general population.* - This advice is dangerously incorrect, as the son's risk is *not* similar to the general population due to a strong and **documented family history** of colon cancer with a **known genetic mutation**. - Waiting until 50 years of age would likely result in delayed detection of advanced adenomas or even cancer, as familial syndromes typically present at a much **younger age**. *The son should undergo a prophylactic colonic resection.* - **Prophylactic colonic resection** is a major surgical procedure and is typically reserved for individuals with established diagnoses of certain high-risk syndromes, such as **Familial Adenomatous Polyposis (FAP)**, often after they have developed numerous polyps. - This decision should only be made after **genetic confirmation** of the mutation, thorough evaluation of polyp burden, and shared decision-making with the patient and multidisciplinary team, and not as an initial step.
Explanation: **Goodpasture disease** - The presence of **hemoptysis** (coughing up blood), **interstitial pneumonia** with alveolar infiltrates, **hematuria**, **proteinuria**, and a positive **anti-glomerular basement membrane (anti-GBM) antibody** is classic for Goodpasture disease. - This condition involves an **autoimmune attack** against type IV collagen in the basement membranes of the **kidneys** and **lungs**. *Granulomatosis with polyangiitis (Wegener's)* - While it can cause **pulmonary-renal syndrome**, it is typically associated with **anti-neutrophil cytoplasmic antibodies (ANCA)**, specifically c-ANCA, not anti-GBM antibodies. - It often presents with involvement of the **upper respiratory tract** (e.g., sinusitis, otitis media), which is not mentioned in this case. *Microscopic polyangiitis* - This is another ANCA-associated vasculitis (p-ANCA predominant) that can cause **pulmonary-renal syndrome**. - However, it does **not involve granuloma formation** and is not characterized by anti-GBM antibodies. *Churg-Strauss syndrome* - This condition, now known as **Eosinophilic Granulomatosis with Polyangiitis (EGPA)**, is characterized by **asthma**, **eosinophilia**, and **granulomatous inflammation**. - It is also ANCA-associated (p-ANCA in about 50% of cases) and does not typically involve anti-GBM antibodies. *Systemic lupus erythematosus (SLE)* - SLE can cause **renal involvement** (lupus nephritis) and **pulmonary manifestations** (e.g., hemorrhage, pneumonitis). - However, it is characterized by the presence of various autoantibodies like **anti-nuclear antibodies (ANA)**, anti-dsDNA, and anti-Sm, not anti-GBM antibodies.
Explanation: ***Colonoscopy*** - The patient's symptoms (fatigue, dyspnea on exertion, darker stools, crampy lower abdominal pain) and lab findings (**microcytic hypochromic anemia** with **low ferritin and elevated RDW**) are highly suggestive of **iron deficiency anemia** due to **gastrointestinal blood loss**. - In adults over 50 years with new-onset iron deficiency anemia, the primary concern is **colorectal cancer**, making **colonoscopy** the priority initial diagnostic test. - While iron deficiency anemia may require evaluation of both upper and lower GI tracts, in this age group (68 years) with lower abdominal symptoms, **colonoscopy should be performed first** to rule out malignancy. - The combination of her age, anemia, and GI symptoms warrants immediate investigation for **colon cancer** or other significant lower GI pathology. *Red cell transfusion* - While this provides immediate **symptomatic relief** for severe anemia, it is a supportive measure and does not address the underlying cause of the bleeding. - Her hemoglobin of 10 g/dL is not acutely life-threatening and allows time for diagnostic workup before considering transfusion. *Rectal hydrocortisone* - This is used to treat **inflammatory bowel disease** or proctitis, neither of which is indicated by the presented symptoms or lab findings. - It would not help determine the source of gastrointestinal bleeding or treat iron deficiency anemia. *Intra-anal glyceryl trinitrate* - This medication is primarily used to treat **anal fissures** by promoting muscle relaxation and blood flow, which is not indicated in this case. - The patient's symptoms suggest a more significant source of blood loss than an anal fissure, which typically presents with bright red blood per rectum and severe pain on defecation. *Double-contrast barium enema* - This imaging technique has largely been replaced by **colonoscopy** for evaluating the colon due to its lower sensitivity for detecting small lesions and inability to obtain biopsies. - It is not considered the best initial step for investigating GI bleeding or iron deficiency anemia in the lower tract.
Explanation: ***Colonoscopy*** - The isolation of **_Streptococcus bovis_** (now often referred to as _Streptococcus gallolyticus_) from blood cultures is highly associated with **colorectal neoplasms** or other gastrointestinal pathologies. - A comprehensive workup, including a **colonoscopy**, is crucial to identify the underlying source of bacteremia and screen for malignancy. *Addiction medicine referral* - While the patient has a history of **alcohol abuse**, there is no indication that his current presentation or the discovery of _Streptococcus bovis_ necessitates an immediate addiction medicine referral as the primary next step from an acute management perspective. - Addiction management is an important long-term consideration but not the most pressing diagnostic need. *Social work consult for elder abuse* - The patient lives in a **nursing home** and has a history of delirium and frequent hospitalizations for ulcers, which can be concerning. However, there are no specific signs or symptoms presented in this vignette that directly suggest elder abuse as the reason for his current _S. bovis_ bacteremia, making it a less immediate priority compared to diagnosing the source of infection. - While a general social work assessment might be beneficial for a vulnerable patient in a nursing home, it is not the most necessary intervention based on the microbiological finding. *Repeat blood cultures for contamination concern* - The question states that **_Streptococcus bovis_** blood cultures "grew" and antibiotics were "appropriately altered," suggesting a confirmed infection rather than contamination. - Furthermore, _S. bovis_ is a known pathogen with specific associations and is not typically considered a common contaminant in the same vein as coagulase-negative staphylococci. *Replace the patient’s central line and repeat echocardiography* - The patient's **transesophageal echocardiogram (TEE) was normal**, ruling out endocarditis as the source of bacteremia in this case. - There is no mention of a central line, and even if there were, the normal TEE and the specific pathogen (_S. bovis_) point towards a gastrointestinal source.
Explanation: ***Elevated fasting serum gastrin that increases with secretin administration*** - The patient's presentation with **gnawing epigastric discomfort improving with meals**, weight loss, and a history of **prolactinoma** (suggesting MEN1) points strongly to **Zollinger-Ellison syndrome (ZES)**, caused by a gastrinoma. - In ZES, gastrinomas uniquely have **ectopic secretin receptors**, leading to a paradoxical increase in gastrin levels after secretin administration, which is a diagnostic hallmark. *Elevated fasting serum gastrin that decreases with secretin administration* - This response is typical for **non-gastrinoma hypergastrinemia**, such as that seen in **atrophic gastritis** with low gastric acid production. - Secretin normally inhibits gastrin release by parietal cells, but gastrinomas are autonomous and respond paradoxically. *Elevated fasting serum gastrin that decreases with cholecystokinin administration* - **Cholecystokinin (CCK)** primarily stimulates pancreatic enzyme and gallbladder contraction, and its administration is not a standard diagnostic test for gastrinoma or ZES gastrin response. - Gastrinomas are typically **unresponsive to CCK** in a predictable manner that would aid in diagnosis. *Elevated fasting serum gastrin that increases with somatostatin administration* - **Somatostatin** is a potent inhibitor of gastrin release from both normal G cells and gastrinomas. - An **increase in gastrin with somatostatin** administration would be highly unusual and not characteristic of any known gastrinopathy. *Normal fasting serum gastrin* - Given the patient's symptoms (severe, chronic ulcer-like pain, weight loss) and his family history and personal history of prolactinoma suggestive of **MEN1**, a **normal fasting gastrin level** would make Zollinger-Ellison syndrome much less likely. - **Hypergastrinemia** is a prerequisite for diagnosing ZES and would be expected in this clinical context.
Explanation: ***Behavior modification*** - **Behavior modification** including **dietary changes** and **stress reduction** is the initial and most appropriate step in managing interstitial cystitis/bladder pain syndrome (IC/BPS). - This patient's symptoms (urinary frequency, urgency, pelvic pain, negative urine cultures, pain relief with urination, prior fibromyalgia, IBS, depression) are highly suggestive of IC/BPS, for which conservative measures are first-line. *Bladder hydrodistention* - While bladder hydrodistention is a diagnostic and therapeutic procedure for IC/BPS, it is typically considered after **conservative treatments** have failed. - It involves stretching the bladder wall and can temporarily relieve symptoms, but is not the initial management step. *Intravesical dimethyl sulfoxide* - **Intravesical dimethyl sulfoxide (DMSO)** is a second- or third-line treatment for IC/BPS, used when initial conservative and oral therapies are insufficient. - It works by reducing inflammation and pain in the bladder, but is not prescribed as a first-line therapy due to its invasive nature and potential side effects. *Oxybutynin* - **Oxybutynin** is an **antimuscarinic medication** primarily used to treat **overactive bladder** symptoms like urgency and frequency, but it is not recommended for IC/BPS. - In IC/BPS, the urgency and frequency are due to bladder wall inflammation and pain, not necessarily detrusor overactivity, and antimuscarinics can sometimes worsen symptoms by causing **urinary retention**. *Amitriptyline* - **Amitriptyline** is a **tricyclic antidepressant** often used in IC/BPS due to its **analgesic** and **antihistamine** properties, and it can improve sleep. - However, it is typically considered a **second-line oral therapy** after conservative behavioral modifications have been attempted and proven insufficient.
Explanation: ***Iron studies*** - The patient presents with **microcytic anemia** (Hb 10.3 g/dL, MCV 74 μm3), along with symptoms like **fatigue**, pale conjunctivae, angular cheilitis, and brittle nails, all highly suggestive of **iron deficiency anemia**. - **Iron studies** (serum iron, ferritin, total iron-binding capacity, transferrin saturation) are crucial to confirm the diagnosis and determine the severity of iron deficiency. *Vitamin B12 levels* - **Vitamin B12 deficiency** typically causes **macrocytic anemia** (elevated MCV), which is not consistent with the patient's **low MCV (74 μm3)**. - While fatigue is a symptom, the other clinical signs and lab results point away from B12 deficiency. *Peripheral blood smear* - A **peripheral blood smear** may show microcytic, hypochromic red blood cells if iron deficiency is present, but it does not quantify **iron stores** or establish the cause definitively. - While useful for morphological assessment, it is usually performed after initial labs suggest a specific type of anemia, and **iron studies** are more direct for diagnosing iron deficiency. *Hemoglobin electrophoresis* - **Hemoglobin electrophoresis** is used to diagnose hemoglobinopathies like **thalassemia** or **sickle cell disease**. - While some thalassemias can cause microcytic anemia, the clinical picture with **angular cheilitis** and **brittle nails** strongly points towards iron deficiency, making iron studies a more appropriate initial step. *Direct Coombs test* - The **Direct Coombs test** is used to diagnose **autoimmune hemolytic anemia**, where antibodies are bound to the surface of red blood cells leading to their destruction. - This patient's presentation does not suggest hemolysis (e.g., jaundice, splenomegaly, elevated LDH, low haptoglobin), and the dominant feature is **microcytic anemia from likely iron deficiency**.
Explanation: ***Esophagogastroduodenoscopy*** - The patient presents with symptoms highly suggestive of an **upper GI bleed**, including **melena (dark, tarry stools)**, weakness, abdominal pain, and signs of **hemodynamic instability** (tachycardia, hypotension, pallor, diaphoresis). - An EGD is the **most appropriate initial diagnostic and therapeutic procedure** for suspected upper GI bleeding, allowing for direct visualization, diagnosis of the source (e.g., peptic ulcer, esophagitis, varices), and immediate intervention (e.g., endoscopic hemostasis). *CT scan of the abdomen with contrast* - A CT scan is not the first-line investigation for acute GI bleeding because it is generally less sensitive than endoscopy for active bleeding and does not allow for immediate therapeutic intervention. - While it can identify some causes of GI bleeding, such as tumors or vascular malformations, it is usually reserved for cases where endoscopy is inconclusive or contraindicated. *Flexible sigmoidoscopy* - Flexible sigmoidoscopy visualizes only the **rectum and sigmoid colon**, which is insufficient to evaluate the entire colon for a lower GI bleed, and completely misses the upper GI tract. - Given the tarry stools (melena), an upper GI bleed is far more likely than a lower GI bleed. *Diagnostic laparoscopy* - Diagnostic laparoscopy is an invasive surgical procedure used to explore the abdominal cavity for conditions that cause pain or internal bleeding, but it is not the initial diagnostic choice for **GI bleeding**. - It would expose the patient to unnecessary surgical risks without first attempting less invasive and highly effective endoscopic methods. *Colonoscopy* - While a colonoscopy is the gold standard for evaluating the **lower GI tract**, the patient's symptoms (melena, epigastric tenderness) strongly indicate an **upper GI bleed**. - Performing a colonoscopy first would delay the diagnosis and treatment of a potentially life-threatening upper GI bleed.
Explanation: ***Folate deficiency*** - The patient presents with **macrocytic anemia** (MCV 104 fL), **pancytopenia**, and symptoms of severe anemia. The elevated **homocysteine** and normal **methylmalonic acid** levels are classic indicators of folate deficiency, as folate is required to convert homocysteine to methionine but not for MMA metabolism. - Her status as **gravida 5, para 4** in the **third trimester** (31 weeks) significantly increases her risk for folate deficiency due to high fetal demands, even without poor nutritional intake. *Normal pregnancy* - While **fatigue and shortness of breath** are common in pregnancy, severe **pancytopenia** and **macrocytosis (MCV 104)** are not normal physiological changes. - Hemoglobin of 7.2 g/dL indicates severe anemia, far below the expected physiological decrease in Hb during pregnancy due to **hemodilution**. *Aplastic anemia* - Aplastic anemia is characterized by **pancytopenia** but typically presents with **normocytic or mildly macrocytic RBCs**, and there would be severe **reticulocytopenia** (which is present here, 0.9%). - However, the distinct biochemical markers of elevated **homocysteine** and normal **methylmalonic acid** point more specifically towards a nutritional deficiency rather than bone marrow failure. *Vitamin B12 deficiency* - **Vitamin B12 deficiency** also causes **macrocytic anemia** and **pancytopenia**, with elevated **homocysteine levels**. - However, a key differentiating factor is that **methylmalonic acid (MMA)** levels would also be **elevated** in B12 deficiency, which is normal in this patient. *Iron deficiency anemia* - **Iron deficiency anemia** is typically characterized by **microcytic, hypochromic** red blood cells (low MCV), not macrocytic. - While it can cause fatigue and shortness of breath, the laboratory findings of a **normal ferritin** (suggesting adequate iron stores), **macrocytosis**, and **pancytopenia** do not fit with iron deficiency.
Explanation: ***< 8*** - This patient presents with signs of **hemodynamic instability** (orthostasis, cold extremities, persistent hypotension despite fluid resuscitation) and active upper gastrointestinal bleeding (melena, epigastric pain, recent NSAID use). - In patients with **hemodynamic instability** due to acute blood loss, the transfusion threshold is generally higher, at **Hb < 8 g/dL**, to ensure adequate oxygen delivery, especially in the setting of coronary artery disease. *< 10* - A transfusion threshold of **Hb < 10 g/dL** is typically reserved for patients with more severe conditions like **unstable angina**, active myocardial ischemia, or when severe symptoms of anemia persist despite an Hb > 8 g/dL. - While this patient has coronary artery disease, his immediate need for transfusion is driven by acute blood loss and instability, not solely anemic angina. *threshold does not matter* - This statement is incorrect as transfusion decisions are based on specific **hemoglobin thresholds** and clinical context to optimize patient outcomes and avoid unnecessary transfusions. - Ignoring thresholds could lead to either undertransfusion (risking organ damage) or overtransfusion (risking complications like TACO or TRALI). *< 9* - An Hb threshold of **< 9 g/dL** might be considered in some scenarios of acute bleeding, but with clear signs of **hemodynamic instability** and severe symptoms, an Hb of 8 g/dL or less is a more commonly accepted trigger. - The combination of ongoing bleeding, significant orthostasis, and cold extremities points to a more urgent need for correction. *< 7* - A transfusion threshold of **Hb < 7 g/dL** is generally applied to hemodynamically stable patients without significant comorbidities, as demonstrated in the TRICC trial. - This patient is **hemodynamically unstable** and has significant comorbidity (coronary artery disease), warranting a higher transfusion threshold.
Explanation: ***Urine culture for asymptomatic bacteriuria*** - The **USPSTF** recommends **screening pregnant individuals for asymptomatic bacteriuria** with a urine culture at the first prenatal visit or at 12-16 weeks' gestation to prevent pyelonephritis and other adverse pregnancy outcomes. - This patient is in her second prenatal visit at 10 weeks, making this a timely and recommended screening. *Colonoscopy for colorectal cancer at the age of 40* - Although the patient has a **family history of paternal colon cancer at age 55**, the general recommendation for earlier screening due to family history typically starts 10 years before the youngest affected relative's diagnosis, but not earlier than age 40, and is not a routine screening for a 26-year-old. - This screening is not universally recommended at age 40 for everyone, and current guidelines often suggest individualized approaches based on specific family history details that are not fully met by this patient at this age. *HbA1C for type 2 diabetes mellitus* - The patient has **no risk factors for type 2 diabetes**, such as obesity, history of gestational diabetes, or strong family history of diabetes, that would warrant early screening with HbA1c. - Routine screening for type 2 diabetes for an individual of her age and health status is not typically recommended by the USPSTF. *Colonoscopy for colorectal cancer at the age of 50* - The **USPSTF recommends screening for colorectal cancer in average-risk individuals beginning at age 45-50**. - This patient is only 26 years old and is not in the appropriate age group for this general screening recommendation. *Glucose tolerance test for gestational diabetes mellitus* - Screening for **gestational diabetes mellitus (GDM)** typically occurs much later in pregnancy, usually between **24 and 28 weeks of gestation**. - Performing a glucose tolerance test at 10 weeks pregnant is too early for GDM screening based on standard guidelines.
Explanation: ***Fasting serum gastrin levels*** - The patient's presentation with **recurrent epigastric pain**, **multiple duodenal ulcers**, **thickened gastric folds**, and the need for **increasing dosages of omeprazole** strongly suggests **Zollinger-Ellison syndrome (ZES)**, caused by a gastrinoma. - **Fasting serum gastrin levels** are the initial diagnostic test for ZES; elevated levels confirm excessive gastrin production. *Secretin stimulation test* - This test is typically performed when **fasting serum gastrin levels are equivocal** (e.g., mildly elevated) to confirm the diagnosis of ZES. - It is not the initial best step, as **fasting gastrin levels** are simpler and often sufficient for initial diagnosis. *CT scan of the abdomen* - A CT scan is used for **tumor localization** after a diagnosis of ZES has been established. - It is not the primary diagnostic test for ZES itself, as it won't directly measure gastrin levels. *Somatostatin receptor scintigraphy* - This imaging study is highly sensitive for **localizing gastrinomas**, especially in metastatic disease, and is often used after biochemical confirmation of ZES. - It is not indicated as the initial diagnostic step and is part of the work-up for staging rather than diagnosis. *Serum calcium levels* - While **hypercalcemia** can be associated with **Multiple Endocrine Neoplasia type 1 (MEN1)**, which includes gastrinomas, it is not the best initial diagnostic test for Zollinger-Ellison syndrome itself. - Elevated calcium would be a secondary finding, and direct measurement of gastrin is essential for diagnosing ZES.
Explanation: **Hepatitis A vaccine** - Travel to Mexico City, even for business, carries a risk of exposure to **Hepatitis A**, especially with potential for consuming local food or water. - The **Hepatitis A vaccine** is recommended for unvaccinated individuals traveling to areas with intermediate or high endemicity, which includes Mexico. *Malaria chemoprophylaxis* - **Mexico City** is at a high altitude and is not considered a **malaria-endemic area**, so chemoprophylaxis is not typically recommended for this destination. - Prophylaxis is generally reserved for travel to regions with a higher risk of **mosquito-borne malaria infection**. *Rabies vaccine* - Routine **pre-exposure rabies vaccination** is not typically recommended for general travel to Mexico City unless there is a specific risk, such as prolonged outdoor activities, animal handling, or substantial interaction with wildlife. - The presented scenario does not indicate such high-risk exposure for a financial consultant on a business trip. *Cholera vaccine* - **Cholera** is rare in travelers, and the vaccine is generally only recommended for individuals traveling to areas with active cholera transmission and who are at high risk due to poor hygiene or unstable living conditions. - Mexico City is not considered a high-risk area for **cholera for a typical tourist or business traveler**. *Yellow fever vaccine* - **Yellow fever** is not endemic in Mexico, and a **yellow fever vaccine** is not required or recommended for travel to Mexico City. - This vaccine is primarily for travel to parts of Africa and South America where the disease is prevalent.
Explanation: ***Correct: Dengue fever*** - The patient's presentation with **biphasic fever**, retro-orbital pain, severe abdominal pain, bleeding gums, **hematemesis**, maculopapular rash, **thrombocytopenia** (platelet count 90,000/mm3), hemoconcentration (hemoglobin 16.5 g/dL), leukopenia, and travel history to **Latin America** (Brazil) highly correlates with severe dengue fever. - The **signs of plasma leakage** (absent lung sounds with dullness at bases, distended abdomen with shifting dullness indicating ascites, cold extremities, and hypotension) and shock are characteristic of **dengue hemorrhagic fever/dengue shock syndrome**. *Incorrect: Yellow fever* - While yellow fever can present with fever, myalgia, and hemorrhage, **jaundice (yellow skin)** is a prominent feature, often leading to the name "yellow fever," which is absent here (total bilirubin 0.8 mg/dL). - Liver enzyme elevations in yellow fever are typically much higher, often in the thousands, compared to the modest elevations seen in this patient. *Incorrect: Chikungunya virus infection* - Characterized primarily by **severe arthralgia** (joint pain) that is often debilitating and can be prolonged, which is not the main presenting complaint in this case. - While fever and rash can occur, severe hemorrhagic manifestations and shock leading to ICU admission are **less common** compared to dengue. *Incorrect: Zika virus infection* - Often presents with a **milder illness** involving maculopapular rash, fever, arthralgia, and **conjunctivitis**, but severe manifestations like hemorrhage, shock, and significant organ involvement are rare. - The severe constitutional symptoms, profound thrombocytopenia, and signs of plasma leakage seen in this patient are **not typical** for Zika. *Incorrect: Chagas disease* - Chagas disease (caused by *Trypanosoma cruzi*) is typically a chronic infection that can lead to **cardiomyopathy** or **gastrointestinal mega-syndromes** years after the initial infection. - The acute phase may involve fever and local swelling (chagoma or Romaña's sign), but it does not typically present with the acute, severe hemorrhagic and shock syndrome observed here.
Explanation: ***Dietary modifications*** - This patient's symptoms (diarrhea, weakness, palpitations, sweating, and urge to defecate soon after meals) following a **distal gastrectomy** are classic for **dumping syndrome**. **Dietary modification** is the first-line treatment. - Recommended modifications include **smaller, more frequent meals**, avoiding high-sugar foods, increasing protein and fiber, and separating solids from liquids during meals. *Stool PCR test* - While diarrhea is present, the patient's symptoms are strongly linked to her recent gastrectomy and meal ingestion rather than an infectious cause. - A stool PCR test would be appropriate if there were other signs of infection, such as fever or severe abdominal pain, or if dietary modifications failed to resolve symptoms. *Octreotide therapy* - **Octreotide**, a somatostatin analog, is reserved for **severe cases of dumping syndrome** that do not respond to dietary modifications. - It works by inhibiting the release of gastrointestinal hormones and slowing gastric emptying, but it is not the initial management step. *Metronidazole therapy* - **Metronidazole** is an antibiotic used to treat bacterial and parasitic infections. There is no evidence suggesting an infection in this patient. - The timing of symptoms immediately post-meal points away from an infection and towards post-gastrectomy complications. *Stool microscopy* - Similar to a stool PCR, **stool microscopy** is used to identify parasites or other pathogens. - Given the classic presentation of dumping syndrome following gastrectomy, an infectious cause is less likely, and other diagnostic tests should be pursued if dietary measures fail.
Explanation: ***Type and screen*** - The patient has experienced a **significant colonic bleed** with associated **syncopal episode** and a **hemoglobin drop** to 7.1 g/dL. Before administering blood products, **blood typing and cross-matching** must be performed to ensure compatibility. - This step is critical for **patient safety** to prevent transfusion reactions, especially given the likelihood of needing a transfusion soon. - In the **sequence of acute blood loss management**, type and screen must be completed **before** packed red blood cells can be safely administered, making it the immediate next step after initial resuscitation with IV fluids. *Packed red blood cells* - While the patient will likely need **packed red blood cells (PRBCs)** due to severe anemia (Hb 7.1 g/dL) and hemodynamic instability (syncopal episode), PRBCs cannot be administered safely without first performing a **type and screen** to ensure compatibility. - Administering PRBCs before compatibility testing is generally reserved for **life-threatening emergencies** with ongoing massive hemorrhage where there is no time for even an immediate cross-match (in which case O-negative blood would be used). - This patient, while anemic, is currently **hemodynamically stable** (normal BP and pulse), allowing time for proper type and screen. *Fresh frozen plasma* - **Fresh frozen plasma (FFP)** is used to replace clotting factors in patients with **coagulopathies** or significant bleeding, often observed in massive transfusions or liver disease. - This patient's **platelet count is normal** and there is no information to suggest a coagulopathy, thus FFP is not indicated as the immediate next step. *CT abdomen* - A **CT scan of the abdomen** may be useful later to identify the cause of the lower GI bleed, such as diverticulosis or angiodysplasia. - However, the immediate priority is to **stabilize the patient hemodynamically** and address the acute blood loss before pursuing diagnostic imaging. *Colonoscopy* - A **colonoscopy** is the definitive diagnostic and potentially therapeutic procedure for a lower GI bleed. - However, before performing a colonoscopy, the patient must be **hemodynamically stable**, which includes addressing their **anemia** and ensuring adequate blood product availability.
Explanation: ***Choledocholithiasis*** - The patient's presentation with **recurrent right upper quadrant pain** radiating to the **right shoulder** and back, especially after **fatty meals**, is consistent with **biliary colic**. The elevated **alkaline phosphatase (150 U/L)**, **ALT (76 U/L)**, and **AST (88 U/L)** suggest **early biliary obstruction** from a **common bile duct stone**. - The **absence of jaundice** and **normal temperature** indicate this is likely **intermittent or partial obstruction** rather than complete CBD blockage. The **mild leukocytosis (11,000)** without fever suggests irritation without acute infection. - The **chronic, recurrent nature over years** suggests **intermittent passage of stones** into the CBD, causing transient obstruction and enzyme elevations. *Pancreatitis* - Pancreatitis typically presents with **severe, constant epigastric pain** radiating to the back, associated with markedly elevated **amylase and lipase** (not provided here). - While gallstones can cause pancreatitis, the **pattern of pain triggered by fatty meals** with elevated alkaline phosphatase is more consistent with **biliary obstruction** rather than pancreatic inflammation. *Gallbladder cancer* - Gallbladder cancer typically presents in elderly patients with **persistent RUQ pain**, **jaundice**, **weight loss**, and often a **palpable mass**. - The **recurrent, mild pain over years triggered by fatty meals** is characteristic of **benign gallstone disease**, not malignancy. The patient has no constitutional symptoms or mass. *Duodenal peptic ulcer* - Duodenal ulcers cause **epigastric pain** that typically **improves with food** or antacids and has a **burning quality**, not colicky pain radiating to the shoulder and back. - The **elevated alkaline phosphatase and transaminases** are not features of uncomplicated peptic ulcer disease, and the **relationship to fatty foods** points to biliary pathology. *Acute cholecystitis* - Acute cholecystitis presents with **severe, persistent RUQ pain**, **fever**, **marked leukocytosis**, and a positive **Murphy's sign** on examination. - This patient has **mild, recurrent pain over years** with **normal temperature**, normal examination, and only mild leukocytosis, making acute cholecystitis unlikely. The chronic pattern suggests **chronic cholecystitis with CBD stone involvement**.
Explanation: ***Amoxicillin, clarithromycin, and omeprazole*** - This patient's symptoms (epigastric pain 3 hours after eating and at night, improvement with eating, dark stools) are highly suggestive of a **duodenal ulcer complicated by upper gastrointestinal bleeding**. The most common cause of duodenal ulcers is *H. pylori* infection. - The recommended first-line treatment for *H. pylori* infection involves a triple therapy regimen, including two antibiotics (like **amoxicillin and clarithromycin**) to eradicate the bacteria and a **proton pump inhibitor (omeprazole)** to reduce acid production and promote ulcer healing. *Intravenous vitamin B12 supplementation* - This treatment is appropriate for **vitamin B12 deficiency**, which can occur in conditions like atrophic gastritis, pernicious anemia, or following gastric resections, but is not indicated for acute peptic ulcer disease and wouldn't address the primary pathology. - There is no clinical indication in the patient's presentation (e.g., neurological symptoms, macrocytic anemia) to suggest a deficiency in vitamin B12. *Truncal vagotomy* - **Truncal vagotomy** is a surgical procedure that was historically performed to reduce gastric acid secretion by cutting the vagus nerve. It is rarely used now due to the effectiveness of medical therapies for peptic ulcer disease. - This invasive surgical option is generally reserved for refractory cases of peptic ulcer disease not responsive to medical management, or when complications like uncontrolled bleeding or perforation necessitate surgical intervention. *Fundoplication, hiatoplasty, and gastropexy* - These surgical procedures are primarily used to treat **gastroesophageal reflux disease (GERD)** and **hiatal hernia**, not peptic ulcer disease. - Fundoplication wraps the stomach fundus around the lower esophagus to reinforce the lower esophageal sphincter, addressing reflux symptoms which are not the primary complaint here. *Distal gastrectomy with gastroduodenostomy* - **Distal gastrectomy** is a major surgical procedure involving the removal of the distal part of the stomach. It is typically reserved for severe complications of peptic ulcer disease (e.g., perforation, obstruction, recurrent bleeding unresponsive to other treatments) or gastric cancer. - While it might be considered in extreme cases of complicated peptic ulcer, it is not the initial or most appropriate treatment for preventing further complications in a patient who has yet to receive standard anti-*H. pylori* therapy.
Explanation: ***Mutation of the JAK2 gene is commonly seen in this condition.*** * The patient's symptoms (headaches, fatigue, tinnitus, pruritus after hot showers, erythromelalgia, facial plethora, hypertension, and elevated hemoglobin/hematocrit) are highly suggestive of **polycythemia vera (PV)**. * Over 95% of patients with PV have a **JAK2 V617F mutation**, leading to constitutive activation of the JAK-STAT pathway, resulting in uncontrolled erythrocyte production. *Warfarin and phlebotomy are the preferred course of treatment.* * While **phlebotomy** is a cornerstone of PV management to reduce hematocrit and prevent thrombotic events, **warfarin** is generally not indicated for primary thromboprophylaxis in PV. * **Low-dose aspirin** is preferred for reducing thrombotic risk, as indicated by the physician's prescription, along with phlebotomy. *The patient has a decreased risk of developing myelofibrosis.* * Polycythemia vera is a **myeloproliferative neoplasm**, and a significant percentage of patients (10-15%) will progress to **post-polycythemia vera myelofibrosis** over time. * This progression is a natural history of the disease rather than a decreased risk, occurring as the bone marrow becomes exhausted and fibrotic. *Serum erythropoietin is expected to be high.* * In polycythemia vera, the **erythroid progenitors** are hypersensitive to erythropoietin (EPO), and red blood cell production occurs independently of EPO. * Consequently, the **serum erythropoietin level is typically low or undetectable** due to feedback inhibition from the high red blood cell mass. *Arterial oxygen saturation is usually higher than normal values in this condition.* * Arterial oxygen saturation is generally **normal** in polycythemia vera, differentiating it from secondary polycythemia caused by hypoxemia (where oxygen saturation would be low). * The increased red blood cell mass in PV does not inherently lead to higher-than-normal arterial oxygen saturation; it leads to increased oxygen-carrying capacity.
Explanation: ***HLA-B27*** - The patient presents with a classic triad of symptoms: **urethritis** (painful urination, clear discharge), **arthritis** (left knee and ankle pain), and **conjunctivitis** (red and itchy eyes), which is highly suggestive of **reactive arthritis**. - **Reactive arthritis** is strongly associated with the presence of the **HLA-B27** allele, found in 30-50% to up to 80% of patients depending on the population. *p-ANCA* - **p-ANCA (perinuclear anti-neutrophil cytoplasmic antibodies)** are typically associated with certain **vasculitides** like microscopic polyangiitis or eosinophilic granulomatosis with polyangiitis (Churg-Strauss syndrome). - Symptoms of **vasculitis** such as constitutional symptoms, organ damage, or purpuric rash are not described in this patient's presentation. *Anti-dsDNA* - **Anti-double-stranded DNA (anti-dsDNA) antibodies** are a highly specific marker for **systemic lupus erythematosus (SLE)**. - The patient's symptoms (urethritis, arthritis, conjunctivitis) are not typical for a primary presentation of SLE, which often involves skin rashes, serositis, and renal or hematological manifestations. *Anti-CCP* - **Anti-cyclic citrullinated peptide (anti-CCP) antibodies** are a specific and sensitive marker for **rheumatoid arthritis (RA)**. - While the patient has arthritis, the accompanying conjunctivitis and urethritis are not characteristic features of RA, and RA typically presents with symmetrical polyarthritis. *HLA-DR4* - **HLA-DR4** is a genetic marker strongly associated with **rheumatoid arthritis (RA)**, particularly in certain ethnic groups. - As with anti-CCP antibodies, the overall clinical picture, including urethritis and conjunctivitis, makes RA an unlikely primary diagnosis.
Explanation: ***Vitamin B12*** - The patient's history of an **ileocolectomy** for Crohn's disease significantly impairs **vitamin B12 absorption**, which primarily occurs in the terminal ileum. - Her neurological symptoms, including **paresthesias**, **weakness**, **ataxia**, decreased sensation (light touch, temperature, vibration), and a **positive Romberg sign**, are classic manifestations of **subacute combined degeneration** due to B12 deficiency. *Vitamin B2* - Deficiency (ariboflavinosis) typically presents with **cheilosis**, **angular stomatitis**, **glossitis**, and **seborrheic dermatitis**. - **Neurological symptoms** like those described are not characteristic of vitamin B2 deficiency. *Vitamin B3* - Deficiency (pellagra) is characterized by the **"3 Ds"**: **dermatitis**, **diarrhea**, and **dementia**. - While neurological symptoms can occur (dementia), the specific sensory and motor deficits with ataxia are less typical compared to B12 deficiency. *Vitamin B1* - Deficiency (beriberi) can manifest as **peripheral neuropathy** ("dry beriberi") or **cardiac dysfunction** ("wet beriberi"). - While it causes neuropathy, the overall clinical picture, especially the history of ileocolectomy, points more strongly to B12 deficiency. *Vitamin B6* - Deficiency is rare and can cause **peripheral neuropathy**, **seborrheic dermatitis**, **cheilosis**, and sometimes **microcytic anemia**. - However, the specific constellation of symptoms, including profound ataxia and the history of ileocolectomy, makes B12 deficiency a much more likely cause.
Explanation: ***Production of antibodies against antibodies*** - The patient's symptoms of **bilateral hand pain and morning stiffness** improving with activity, worsening over three months, are classic for **Rheumatoid Arthritis (RA)**. - RA is characterized by the production of **rheumatoid factor (RF)**, an antibody (typically IgM) directed against the Fc portion of IgG, which is essentially an antibody against an antibody. *Production of antibodies against smooth muscle* - This describes the presence of **anti-smooth muscle antibodies (ASMA)**, which are characteristic of **Autoimmune Hepatitis type 1**. - Autoimmune hepatitis primarily affects the liver, leading to symptoms like fatigue, jaundice, and elevated liver enzymes, not primarily joint pain. *Anti-neutrophil cytoplasmic antibody production* - This refers to **ANCA (anti-neutrophil cytoplasmic antibodies)**, which are associated with various forms of **vasculitis**, such as Granulomatosis with Polyangiitis (Wegener's), Microscopic Polyangiitis, and Eosinophilic Granulomatosis with Polyangiitis (Churg-Strauss). - While vasculitis can cause systemic symptoms, the patient's presentation of symmetric, inflammatory arthritis is not typical for primary ANCA-associated vasculitis. *Type 1 hypersensitivity reaction* - A **type I hypersensitivity reaction** involves IgE-mediated mast cell degranulation, leading to immediate allergic reactions like asthma, anaphylaxis, or hives. - This mechanism is completely unrelated to the pathogenesis of an autoimmune, chronic inflammatory arthritis like Rheumatoid Arthritis. *Repetitive microtrauma* - Repetitive microtrauma is more consistent with **osteoarthritis** or **occupational overuse injuries**. - Osteoarthritis typically presents with pain that worsens with activity and improves with rest, **morning stiffness lasting less than 30 minutes**, and often affects weight-bearing joints or specific joints due to trauma or wear and tear, rather than the inflammatory pattern described.
Explanation: ***Renal ultrasound*** - This patient has **asymptomatic microscopic hematuria** which requires investigation to rule out significant renal or urological pathology, particularly in the context of recurrent flank discomfort and a history of injection drug use which increases risk for certain renal diseases. - A **renal ultrasound** is the most appropriate initial imaging study to evaluate the kidneys and urinary tract for structural abnormalities, stones, masses, or hydronephrosis. *Plain abdominal X-ray* - A plain abdominal X-ray (KUB) is **less sensitive** than ultrasound for detecting many renal pathologies, especially soft tissue masses or early hydronephrosis. - While it can detect **radio-opaque stones**, it will miss radiolucent stones and other important causes of hematuria. *Repeat urinalysis in 6 months* - This approach is too delayed given the **persistent microscopic hematuria** and the patient's reported flank discomfort, which warrants a more immediate workup. - Delaying investigation could lead to the **progression of underlying pathology** that might be treatable if caught earlier. *24-hour urine collection test* - A 24-hour urine collection is useful for assessing **proteinuria** and **creatinine clearance**, and sometimes for quantification of red blood cell excretion, but it is not the initial diagnostic step for identifying the *source* or *cause* of hematuria. - It would typically be considered **after initial imaging** and further characterization of the hematuria have been performed. *Observation* - **Observation alone is insufficient** for unexplained, persistent microscopic hematuria combined with flank discomfort, even if intermittent. - This approach risks missing a potentially serious underlying condition that could benefit from early diagnosis and intervention, such as **renal cell carcinoma** or significant **nephrolithiasis**.
Explanation: ***Gliadin-dependent hypersensitivity*** - The description of a severely **pruritic rash** with **grouped vesicles** on extensor surfaces (knees and elbows), along with **IgA deposits** at the tips of dermal papillae and **microabscesses**, is classic for **dermatitis herpetiformis**. - Dermatitis herpetiformis is strongly associated with **celiac disease**, which is caused by a **hypersensitivity reaction to gliadin**, a protein found in gluten. *Mite eggs and fecal pellets* - This finding is characteristic of **scabies**, which presents with burrows, intense pruritus, and a rash that primarily affects the web spaces of fingers, wrists, and other areas where mites burrow. - The clinical presentation and microscopic findings (IgA deposits, microabscesses) do not align with scabies. *Positive Nikolsky sign* - A positive Nikolsky sign (skin sloughing with gentle lateral pressure) is typically seen in **pemphigus vulgaris** or **toxic epidermal necrolysis (TEN)**. - These conditions involve blistering but have distinct histological features and different immune pathologies (e.g., IgG antibodies against desmoglein in pemphigus vulgaris). *Multinucleated giant cells* - The presence of **multinucleated giant cells** is a histological hallmark of **viral infections**, such as **herpes simplex virus (HSV)** or **varicella-zoster virus (VZV)**. - While these can cause vesicular rashes, the characteristic IgA deposition and microabscesses are not typical of viral infections. *Nail pitting* - **Nail pitting** is a common finding in **psoriasis** and **psoriatic arthritis**. - Psoriasis typically presents with erythematous plaques with silvery scales, which is different from the vesicular rash seen in this patient.
Explanation: ***Correct: Low-protein diet*** - **Moderate reduction in animal protein intake** is recommended for calcium oxalate stone prevention - High animal protein consumption increases **urinary calcium, uric acid, and oxalate excretion** while decreasing urinary citrate (a stone inhibitor) - Limiting animal protein to approximately **0.8-1.0 g/kg/day** helps reduce stone recurrence risk - This is an evidence-based dietary modification for calcium oxalate nephrolithiasis *Incorrect: Low-calcium diet* - **Counterintuitive but harmful**: Low calcium intake actually **increases** stone formation risk - Dietary calcium binds oxalate in the gut, reducing oxalate absorption and urinary oxalate excretion - **Normal calcium intake (1000-1200 mg/day)** is recommended to prevent stones - Calcium restriction paradoxically increases urinary oxalate and promotes stone formation *Incorrect: Vitamin C supplementation* - **Vitamin C (ascorbic acid)** is metabolized to **oxalate**, increasing urinary oxalate levels - High-dose vitamin C supplementation (>1000 mg/day) significantly increases calcium oxalate stone risk - Patients with nephrolithiasis should **avoid vitamin C supplements** *Incorrect: High-oxalate diet* - Foods high in oxalate (spinach, rhubarb, nuts, chocolate, tea, beets) directly increase urinary oxalate - High urinary oxalate promotes **calcium oxalate crystal supersaturation** and stone formation - Patients should **limit (not increase) dietary oxalate** intake *Incorrect: High-sodium diet* - High sodium intake increases **urinary calcium excretion** through reduced renal calcium reabsorption - Increased urinary calcium promotes calcium oxalate stone formation - **Sodium restriction (<2300 mg/day)** is recommended to decrease calcium excretion and stone risk
Explanation: **Admit for IV antibiotic therapy** - The patient presents with classic signs of **pyelonephritis** (fever, chills, nausea, dysuria, CVA tenderness) and signs of **sepsis** (fever 39.5°C, BP 100/70 mmHg, pulse 90/min, RR 23/min), indicating a severe infection requiring hospital admission. - Given her history of **diabetes mellitus** and **recurrent UTIs**, along with the severity of her current symptoms, **intravenous antibiotic therapy** is crucial for promptly treating the infection and preventing further deterioration. *Admit for prompt percutaneous nephrostomy* - **Percutaneous nephrostomy** is typically indicated for patients with **obstructive pyelonephritis**, often due to kidney stones, leading to hydronephrosis and potential urosepsis. - While the patient has severe pyelonephritis, there is no immediate evidence of **urinary tract obstruction** in the initial presentation; imaging would be needed first to assess for obstruction. *Contrast MRI of the abdomen and pelvis* - While imaging is important in complicated pyelonephritis, a **contrast MRI** is not the initial imaging modality of choice given the urgency of starting antibiotics. - MRI is more often used for evaluating **renal abscesses** or complex structural abnormalities if initial treatments fail or specific complications are suspected. *Renal ultrasound* - A **renal ultrasound** is the appropriate initial imaging study for evaluating pyelonephritis, especially in patients with diabetes or recurrent infections, to rule out **obstruction** or abnormalities like **abscesses**. - However, the **initial priority is stabilizing the patient with IV antibiotics** due to her severe symptoms and signs of sepsis; ultrasound can be performed once she is admitted and treatment has begun. *Discharge with outpatient antibiotic therapy* - The patient's presentation with **high fever, systemic symptoms, and signs of sepsis** (hypotension, tachycardia, tachypnea) makes **outpatient management unsafe and inappropriate**. - These severe symptoms, especially in a **diabetic patient** with a history of recurrent UTIs, necessitate **inpatient care** for close monitoring and intravenous therapy.
Explanation: ***Fasting serum gastrin level*** - The patient presents with **recurrent, refractory peptic ulcers** in unusual locations (gastric antrum, pylorus, duodenum), despite **proton pump inhibitor (PPI) therapy**, and **H. pylori-negative biopsies**. This highly suggests **Zollinger-Ellison Syndrome (ZES)**, caused by a gastrinoma. - A **fasting serum gastrin level** is the **initial diagnostic test** for ZES. If the level is elevated (typically >100 pg/mL, or much higher in severe cases) in the context of high gastric acid output, it supports the diagnosis. - Additional clues supporting ZES: **thick gastric folds** (from gastric acid hypersecretion), **diarrhea** (from acid overwhelming intestinal absorptive capacity), and **multiple ulcers** in atypical locations. *Incorrect: CT scan of the abdomen and pelvis* - While imaging like a CT scan or somatostatin receptor scintigraphy (SRS) is used to **localize the gastrinoma** after ZES is suspected and confirmed biochemically. - Doing a CT first, before biochemical confirmation of ZES, would be **premature** and is not the most appropriate initial diagnostic step. *Incorrect: Secretin stimulation test* - The **secretin stimulation test** is a confirmatory test for ZES and is performed if the fasting gastrin level is **equivocal** (e.g., 100-1000 pg/mL with acid hypersecretion). - It involves measuring gastrin levels before and after secretin administration; a rise in gastrin >200 pg/mL confirms ZES. However, it is not the *initial* diagnostic step. *Incorrect: 24-hour esophageal pH monitoring* - This test is used to diagnose or quantify gastroesophageal reflux disease (GERD) by measuring the frequency and duration of esophageal acid exposure. - While the patient has heartburn, the primary concern is severe ulceration and high suspicion for ZES, making pH monitoring **less relevant** as the first diagnostic step. *Incorrect: Urea breath test* - The urea breath test is a non-invasive method for detecting **H. pylori infection**. - The patient's previous biopsies were **negative for H. pylori**, making a repeat urea breath test unlikely to yield new information or address the underlying cause of her refractory ulcers.
Explanation: ***Primary adrenal insufficiency*** - This patient presents with **severe hypotension refractory to vasopressors**, **hyponatremia**, **hyperkalemia**, and **abnormally dark skin**, all classic signs of **primary adrenal insufficiency (Addison's disease)**. The recent stress of childbirth likely precipitated an adrenal crisis. - The dark skin is due to increased **ACTH** (adrenocorticotropic hormone) levels, which also stimulates **melanocytes**, a hallmark of primary (not secondary) adrenal insufficiency. *Withdrawal from prednisone use* - While abrupt withdrawal from long-term corticosteroids can cause secondary adrenal insufficiency, this patient's prednisone course was **short (5 days)** for contact dermatitis, making significant adrenal suppression unlikely. - This would lead to **decreased ACTH**, which would typically cause **pale skin**, not hyperpigmentation, differentiating it from primary adrenal insufficiency. *Sheehan syndrome* - **Sheehan syndrome** is **panhypopituitarism** caused by **ischemic necrosis of the pituitary gland** after severe postpartum hemorrhage. - While the patient had some blood loss and postpartum hypotension, the presence of **breastmilk letdown** indicates intact **prolactin** production, which would be compromised in Sheehan syndrome. Also, skin pigmentation would be **pale** due to lack of ACTH. *Acute kidney injury* - Although the patient has **elevated BUN and creatinine** and **hyperkalemia**, these are likely secondary to **hypotension** and **hypoperfusion** due to adrenal crisis, rather than primary renal failure. - The **hyponatremia** and **hyperkalemia** in adrenal insufficiency are due to **aldosterone deficiency**, not solely kidney dysfunction. *Mycobacterium tuberculosis* - While **adrenal tuberculosis** is a well-known cause of **primary adrenal insufficiency** and would present with similar features, it typically has a more **chronic, insidious onset** with constitutional symptoms (weight loss, night sweats) and often pulmonary involvement. - Given the **acute presentation in the postpartum period** and lack of TB risk factors or chronic symptoms, this is a less likely etiology compared to autoimmune or other causes of primary adrenal insufficiency.
Explanation: ***MRI of the lumbar spine*** - The patient presents with **progressive lower back pain** radiating down the legs, accompanied by **neurological deficits** such as foot weakness and sensory changes, particularly **diminished sensation** in specific dermatomal patterns (L4/L5-S1 distribution) and a positive **straight leg raise test**. These findings are highly suggestive of **radiculopathy** due to **herniated disc compression**. - Given the presence of **neurological deficits** and the severity of symptoms, an **MRI of the lumbar spine** is the most appropriate next step to accurately localize the site of nerve root compression, characterize the disc pathology, and rule out other potential causes. *Therapeutic exercise regimen* - While therapeutic exercise is often part of the management for chronic back pain, it is not the most appropriate *initial* step for a patient presenting with **acute, severe, and progressive neurological deficits**. - Performing exercises without a clear diagnosis can potentially exacerbate the condition or delay appropriate interventional treatment. *Erythrocyte sedimentation rate* - An **ESR** is a general inflammatory marker and would be useful if there were suspicion of an **inflammatory spondyloarthropathy** or **infection**. - The patient's presentation with acute pain following a lifting injury and clear neurological signs points away from a primary inflammatory process as the immediate cause. *X-ray of the lumbar spine* - An **X-ray** can identify **bony abnormalities** like fractures, severe degenerative changes, or spondylolisthesis, but it is **poor at visualizing soft tissues** such as intervertebral discs and nerve roots. - It would not provide sufficient detail to diagnose a **herniated disc** or assess nerve compression, which are strongly suspected given the neurological findings. *PSA measurement* - **PSA measurement** is a screening test for **prostate cancer**. While prostate cancer can metastasize to the spine and cause back pain, there are no specific symptoms or signs in this patient (e.g., urinary issues, bone pain consistent with metastatic disease without disc pathology) that would prioritize PSA over imaging for the immediate neurological signs. - The acute onset following a lifting injury makes **mechanical disc pathology** a much more likely immediate cause of his symptoms.
Explanation: ***Mucosal lacerations at the gastroesophageal junction*** - This patient's symptoms (chest and epigastric pain after forceful vomiting, bloody emesis, hypotension) along with **dental enamel erosion** and **calluses on the dorsal aspect of the hand** (Russell's sign) are highly suggestive of **Mallory-Weiss tear** due to self-induced vomiting (bulimia nervosa). - Mallory-Weiss syndrome involves **longitudinal mucosal lacerations** at the gastroesophageal junction caused by a sudden increase in intra-abdominal pressure during retching or vomiting, leading to gastrointestinal bleeding. *Rupture of the distal esophagus* - This describes **Boerhaave syndrome**, which is a transmural rupture of the esophagus, a more severe condition than a Mallory-Weiss tear. - While also caused by forceful vomiting, Boerhaave syndrome would typically present with more severe symptoms, including **subcutaneous emphysema**, pleural effusion, and mediastinitis, and plain chest x-ray would often show **mediastinal air** or **pleural effusion**, which is normal in this patient. *Friable mass in the distal esophagus* - A friable mass would suggest an **esophageal carcinoma**, which is unlikely in a 22-year-old and typically presents with progressive dysphagia and weight loss, rather than acute pain and bleeding after vomiting. - While bleeding can occur with esophageal tumors, the acute onset post-emesis and classic bulimia signs point away from malignancy. *Clean-based gastric ulcer* - A clean-based gastric ulcer is a potential cause of epigastric pain and GI bleeding, but the pain usually precedes vomiting or is exacerbated by food, and typically does not immediately follow intense retching. - The dental enamel erosion and calluses on the hand strongly suggest a history of self-induced vomiting, making **Mallory-Weiss tear** a more specific diagnosis than a general gastric ulcer. *Dilated veins in the esophageal submucosa* - This describes **esophageal varices**, which are typically seen in patients with **portal hypertension** due to chronic liver disease (e.g., cirrhosis). - The patient's history does not suggest liver disease, and variceal bleeding usually presents as painless, massive hematemesis, without the preceding forceful vomiting leading to a tear.
Explanation: ***Filling defect of the rectosigmoid colon*** - The patient's symptoms of **anemia** (dizziness, fatigue, shortness of breath, pallor, low Hb, microcytic MCV), **occult blood in stool**, and change in bowel habits (straining, decreased stool caliber) in a 65-year-old man are highly suspicious for **colorectal cancer**. - **Rectosigmoid colon** is a common site for colorectal cancer, and a **filling defect** indicates a mass lesion on barium enema. *Thumbprint sign of the transverse colon* - The **thumbprint sign** on barium enema is indicative of **ischemic colitis**, where compromised blood flow to the colon wall causes mucosal edema and hemorrhage. - This condition typically presents with sudden onset **abdominal pain** and bloody diarrhea, not the chronic symptoms of anemia and stool changes seen here. *String sign in the terminal ileum* - The **string sign** is characteristic of severe **Crohn's disease**, where chronic inflammation leads to stricture formation in the terminal ileum. - Crohn's disease typically presents with chronic diarrhea, abdominal pain, and weight loss, and does not fit the chronic presentation of anemia and altered bowel habits seen in this case. *Diverticula in the sigmoid colon* - **Diverticula** are outpouchings of the colon wall, common in the sigmoid colon, and are often asymptomatic or cause mild abdominal pain and constipation. - While diverticula can bleed, they do not explain the progressive change in stool caliber or the significant anemia consistent with a chronic bleeding mass. *Lead pipe sign of the descending colon* - The **lead pipe sign** refers to the loss of **haustral markings** and colonic shortening seen in chronic **ulcerative colitis**. - Ulcerative colitis presents with bloody diarrhea, abdominal pain, and tenesmus, and while it can cause anemia, the change in stool caliber and positive occult blood without frank blood are less typical.
Explanation: ***Colonoscopy*** - The patient presents with **fatigue** and **microcytic anemia** (hemoglobin 9.0, MCV 76), coupled with **low ferritin** (15 ng/ml), indicating **iron deficiency anemia**. - In a 70-year-old male, **iron deficiency anemia** is a strong indicator of **gastrointestinal blood loss** (often occult), and colonoscopy is the most appropriate next step to investigate for potential causes like **colorectal cancer** or polyps. - Standard evaluation typically includes **bidirectional endoscopy** (both upper and lower GI), but colonoscopy is prioritized in elderly males due to high risk of **colorectal malignancy**. *Blood transfusion* - While the patient's hemoglobin is low, there are no signs of **hemodynamic instability** or severe symptoms requiring immediate transfusion. - Transfusing blood addresses the symptom (anemia) but does not identify or treat the **underlying cause** of the iron deficiency. *MRI abdomen* - An MRI of the abdomen is not the primary diagnostic tool for investigating the source of **GI blood loss** in iron deficiency anemia. - It would be considered if other imaging or endoscopic procedures were inconclusive, or if specific **soft tissue abnormalities** were suspected. *CT abdomen* - A CT scan of the abdomen may identify large masses but is less sensitive than colonoscopy for detecting mucosal lesions, polyps, or early malignancies, which are common causes of **occult GI bleeding**. - It also involves **radiation exposure** and is not the initial investigation of choice for suspected lower GI bleeding. *Gel electrophoresis* - Gel electrophoresis (e.g., hemoglobin electrophoresis) is used to diagnose **hemoglobinopathies** like **thalassemia** or **sickle cell disease**. - Given the patient's **low ferritin** and **microcytic anemia**, iron deficiency is the most likely diagnosis, making electrophoresis an inappropriate next step.
Explanation: ***Hypercalcemia*** - This patient's constellation of symptoms—kidney stones (right flank pain, hyperechogenic structures in the ureteropelvic junction), **refractory peptic ulcers**, and diarrhea—is highly suggestive of **Multiple Endocrine Neoplasia type 1 (MEN1)**. - The refractory peptic ulcers in multiple locations (antral and duodenal) with diarrhea strongly suggest a **gastrinoma (Zollinger-Ellison syndrome)**, the most common functional pancreatic tumor in MEN1. - **Hypercalcemia** from **primary hyperparathyroidism** is the most common (>95%) and often the **earliest biochemical manifestation** of MEN1, presenting years before pancreatic or pituitary tumors. - Hypercalcemia leads to hypercalciuria and **calcium oxalate or calcium phosphate kidney stones**, explaining her flank pain and urinary findings. - The intermittent knee arthralgias may represent bone/joint pain from hyperparathyroid bone disease. *Cutaneous flushing* - **Flushing** is characteristically associated with **carcinoid syndrome** (serotonin-secreting tumors) or **VIPoma** (vasoactive intestinal peptide-secreting tumors). - While MEN1 can involve pancreatic neuroendocrine tumors, gastrinomas do not typically cause flushing, and this patient's presentation points to gastrinoma, not carcinoid. *Hypertensive crisis* - A **hypertensive crisis** with episodic severe hypertension, headaches, and palpitations suggests **pheochromocytoma**. - Pheochromocytoma is a feature of **MEN2** (along with medullary thyroid carcinoma), not MEN1. - This patient's blood pressure is normal (110/75 mmHg). *Pulmonary stenosis* - **Pulmonary stenosis** is a congenital cardiac defect seen in conditions like **Noonan syndrome** or as an isolated congenital heart disease. - It has no association with MEN1 or endocrine neoplasia syndromes. *QT prolongation on ECG* - **QT prolongation** occurs with electrolyte abnormalities (hypokalemia, hypomagnesemia, hypocalcemia), certain medications, or congenital long QT syndromes. - Notably, **hypercalcemia actually causes QT shortening**, not prolongation, making this finding unlikely in this patient.
Explanation: ***CT scan of the abdomen*** - The patient presents with **constitutional symptoms** (weakness, significant weight loss), **intermittent abdominal pain**, and a **50 pack-year smoking history**, which are red flags for potential **malignancy**. - A CT scan of the abdomen is the most appropriate initial imaging study to **evaluate for masses, metastases, or other pathologies** that would explain these symptoms comprehensively. *CT scan of the liver* - While the patient has a history of elevated liver enzymes and gallstones, focusing solely on the liver might **miss other abdominal pathologies** that could explain his symptoms. - A CT of the liver is a more targeted scan, usually performed after a broader abdominal assessment suggests a primary liver issue. *Right upper quadrant ultrasound* - An ultrasound of the right upper quadrant is excellent for evaluating the **gallbladder, bile ducts, and liver parenchyma** for stones, cholecystitis, or focal lesions. - However, it has **limited ability to visualize the retroperitoneum, pancreas, or other bowel structures** which could be the source of the patient's symptoms. *HIDA scan* - A HIDA scan is used to assess **gallbladder function** and is primarily indicated for suspected **acute cholecystitis** when ultrasound findings are equivocal, or for chronic gallbladder dysfunction. - The patient's presentation of generalized weakness, significant weight loss, and non-tender abdomen does not acutely point towards biliary obstruction or acute cholecystitis. *Smoking cessation advice and primary care follow up* - While **smoking cessation** is crucial for long-term health, and **primary care follow-up** is necessary, these steps are not the *next best step in management* for a patient presenting with alarming symptoms of weakness, significant weight loss, and abdominal pain. - These are important secondary measures, but the immediate concern is to **investigate the cause of his current severe symptoms**.
Explanation: ***ERCP with manometry*** - The patient's presentation with **biliary-type pain**, elevated liver enzymes (**AST, ALT, alkaline phosphatase**), and **conjugated hyperbilirubinemia** despite negative ultrasound and MRCP for gallstones or structural ductal abnormalities strongly suggests a **functional biliary disorder**, such as **sphincter of Oddi dysfunction (SOD)**. - **ERCP with manometry** is the gold standard for diagnosing SOD by directly measuring the pressure within the sphincter of Oddi; this procedure can also offer therapeutic intervention via sphincterotomy. *Laparoscopy* - While laparoscopy can be used to perform a cholecystectomy for **acalculous cholecystitis** or **biliary dyskinesia**, these conditions are less likely given the **normal gallbladder contour** and lack of pericholecystic fluid, and would not directly address the possibility of sphincter of Oddi dysfunction. - It is an invasive surgical procedure that would not provide diagnostic information about the patency or function of the biliary tree in the same way manometry does. *Elective cholecystectomy* - An **elective cholecystectomy** is not indicated as initial imaging (ultrasound, MRCP) has ruled out gallstones or significant structural gallbladder abnormalities, and the diagnosis of **biliary dyskinesia** has not been confirmed. - Performing a cholecystectomy without a clear indication could lead to persistent symptoms if the underlying issue is **sphincter of Oddi dysfunction**. *Analgesics and await resolution of symptoms* - This approach is inappropriate given the **persistent pain**, **elevated liver enzymes**, and **hyperbilirubinemia**, which suggest an ongoing pathological process that requires diagnosis and definitive treatment. - Simply masking the symptoms with analgesics would delay diagnosis and potentially lead to further complications. *MRI of the abdomen* - An **MRI of the abdomen** has already been performed in the form of an **MRCP** (Magnetic Resonance Cholangiopancreatography), which specifically visualizes the biliary and pancreatic ducts. - Since the MRCP with secretin infusion was negative for structural abnormalities, a repeat or general MRI of the abdomen would likely not yield additional diagnostic information regarding the cause of the biliary pain and elevated liver enzymes.
Explanation: ***↓ pH, ↓ bicarbonate and ↑ anion gap*** - The patient's symptoms (abdominal pain, excessive urination, drowsiness, rapid and deep breathing, hyperglycemia) and history of Type 1 diabetes with missed insulin are highly suggestive of **diabetic ketoacidosis (DKA)**. - DKA is characterized by **metabolic acidosis** due to the accumulation of ketone bodies, leading to a **decreased pH**, consumption of bicarbonate and thus a **decreased bicarbonate level**, and an **increased anion gap**. *↑ pH, ↑ bicarbonate, and normal pCO2* - This pattern suggests a **metabolic alkalosis**, which is inconsistent with the patient's presentation of DKA. - Metabolic alkalosis is typically seen in conditions like severe vomiting or diuretic use, not uncontrolled diabetes. *↑ pH, normal bicarbonate and ↓ pCO2* - This profile describes **respiratory alkalosis**, often caused by primary hyperventilation. - While the patient has rapid and deep breathing (Kussmaul respiration), this is a compensatory mechanism for metabolic acidosis, not a primary respiratory alkalosis. *↓ pH, ↓ bicarbonate and normal anion gap* - This indicates a **normal anion gap metabolic acidosis**, also known as hyperchloremic acidosis. - This is typically seen in conditions like renal tubular acidosis or severe diarrhea, where bicarbonate is lost or chloride is retained, which is not the case for DKA. *↓ pH, normal bicarbonate and ↑ pCO2* - This presentation indicates **respiratory acidosis**, which is caused by hypoventilation and retention of CO2. - The patient's rapid and deep breathing (Kussmaul breathing) is a compensatory mechanism to blow off CO2 and would decrease pCO2, not increase it.
Explanation: ***Helicobacter pylori infection*** - The patient presents with classic symptoms of a **peptic ulcer disease** including **melena**, **epigastric pain** immediately after eating, and **weight loss**. While not explicitly mentioned, **H. pylori infection** is the most common cause of gastric and duodenal ulcers, especially in the absence of NSAID use. - The chronic nature of the symptoms and the location of the ulcer in the **antrum** further support H. pylori as the primary predisposing factor, as it leads to mucosal inflammation and damage. *Alcohol consumption* - While **chronic alcohol consumption** can irritate the gastric mucosa and contribute to gastritis, it is generally considered a minor risk factor for peptic ulcer disease compared to H. pylori or NSAID use. - The patient's 3 beers daily is likely not sufficient to directly cause a bleeding gastric ulcer of this magnitude. *Age above 40 years* - **Age** itself is not a direct predisposing factor for peptic ulcers, although the incidence of ulcers tends to increase with age. - This is more likely due to the cumulative exposure to risk factors like H. pylori and NSAIDs over time, rather than age being an independent cause for ulcer formation. *Acetaminophen use* - **Acetaminophen (paracetamol)** is generally considered safe for the gastric mucosa and does not cause ulcers in therapeutic doses, unlike NSAIDs. - It works through a different mechanism of action and does not inhibit cyclooxygenase-1 (COX-1) in the gastric lining, which is responsible for ulcer formation with NSAIDs. *Work-related stress* - While **stress** can exacerbate symptoms of gastrointestinal conditions, it has not been scientifically proven to be a direct cause of peptic ulcer formation. - The role of psychological stress in ulcer genesis is considered minimal compared to established factors like H. pylori and NSAIDs.
Explanation: ***Needle-shaped, negatively birefringent crystals on polarized light*** - The clinical presentation, including the patient's **BMI**, **alcohol consumption**, rapid onset of severe pain, and classic signs of inflammation in the **first metatarsophalangeal joint** (**podagra**), is highly indicative of **gout**. - **Urate crystals** are characteristically **needle-shaped** and display **negative birefringence** under polarized light microscopy. *Anti-CCP antibodies* - **Anti-CCP antibodies** are a serological marker for **rheumatoid arthritis**, which typically presents with chronic, symmetric polyarthritis, not acute monoarticular pain. - The acute, severe inflammation in a single joint, especially the toe, makes rheumatoid arthritis unlikely. *Increased glucose* - Synovial fluid glucose levels are **not diagnostically useful** for gout or most inflammatory arthritides. - Synovial fluid glucose is typically **decreased** in septic arthritis due to bacterial metabolism, not increased. *Rhomboid-shaped, positively birefringent crystals on polarized light* - **Rhomboid-shaped**, **positively birefringent crystals** are characteristic of **calcium pyrophosphate deposition disease (CPPD)**, also known as **pseudogout**. - While pseudogout can cause acute arthritis, the typical presentation of **podagra** and the specific historical context (obesity, alcohol consumption) point more strongly to gout. *Gram-negative diplococci* - The presence of **Gram-negative diplococci** in joint fluid would indicate **septic arthritis** due to **Neisseria gonorrhoeae**. - While septic arthritis can cause acute, severe joint pain, the classic features of gout are more prominent in this case, and there's no mention of risk factors for gonococcal infection (e.g., sexually active young adult, disseminated infection).
Explanation: ***Colonoscopy*** - The patient's age combined with **rectal bleeding** (bright red blood and mixed with stool) and **unexplained weight loss** are red flags for **colorectal cancer**, necessitating a thorough endoscopic evaluation of the colon. - A colonoscopy allows for direct visualization of the entire colon and rectum, enabling **biopsy of suspicious lesions** and removal of polyps, which is crucial for diagnosis and prevention. *Complete blood count* - While a CBC could reveal **anemia** due to chronic blood loss, it does not identify the **source of the bleeding** or the underlying pathology like malignant lesions. - Anemia, if present, would be a supportive finding but insufficient for a definitive diagnosis in this scenario. *Abdominal CT* - An abdominal CT scan can identify masses or abnormalities in the abdomen but is **less sensitive for visualizing mucosal lesions** in the colon and rectum, which are typical presentations of early colorectal cancer. - It also does not allow for **biopsy** or therapeutic intervention, which is critical for diagnosis. *Anoscopy* - Anoscopy is useful for visualizing the **anal canal and distal rectum** (up to 5-6 cm), which could identify hemorrhoids or anal fissures. - However, the patient's symptoms (blood mixed with stool, weight loss) suggest a potentially more proximal source of bleeding that would not be visible with an anoscopy alone. *Barium enema* - A barium enema is a less invasive imaging technique but has **lower sensitivity** compared to colonoscopy for detecting small polyps or early cancerous lesions. - It also **does not allow for tissue biopsy** or polyp removal, which are essential steps in the management of suspected colorectal cancer.
Explanation: **Hypophosphatemia** - **Hypophosphatemia** is common in **alcoholics**, often exacerbated by refeeding (administration of glucose and fluids). The patient's initial symptoms of weakness and muscle/bone pain after treatment suggest this condition. - Symptoms such as **confusion**, **diffuse weakness**, and **muscle/bone pain** are classic manifestations of severe hypophosphatemia as phosphorus is vital for muscle and nerve function, and bone health. *Hypomagnesemia* - While common in alcoholics and capable of causing weakness, **hypomagnesemia** typically presents with symptoms like **tremors**, **seizures**, and **cardiac arrhythmias**. - The patient's primary symptoms of confusion and diffuse muscle/bone pain are less characteristic of magnesium deficiency compared to phosphorus deficiency. *Hyponatremia* - The patient's initial sodium level was 139 mEq/L, which is within the normal range, making **hyponatremia** unlikely to be the cause of new symptoms. - While severe hyponatremia can cause confusion, it typically presents with other neurological symptoms like **headache** and **seizures**, which are not reported here. *Hypoglycemia* - The initial glucose level of 99 mg/dL was normal, and the patient received dextrose, making **hypoglycemia** an unlikely cause of the new symptoms. - Symptoms of hypoglycemia usually include **sweating**, **tremors**, and **palpitations**, in addition to confusion. *Hypocalcemia* - The patient's initial calcium level was 9.8 mg/dL, which is within the normal range, making **hypocalcemia** an unlikely cause of the new symptoms. - Symptoms of hypocalcemia typically include **tetany**, **paresthesias**, and a **prolonged QT interval** on EKG, none of which are described.
Explanation: ***Calcium deposits in the skin*** - The patient's symptoms, including **Raynaud phenomenon** (fingers turning blue in cold water), **swollen hands and fingers with wax-like skin thickening**, and **dilated blood vessels at fingertips** (telangiectasias), are highly suggestive of **CREST syndrome**, a limited form of systemic sclerosis. - **Calcinosis**, or calcium deposits in the skin, is a component of the CREST acronym (Calcinosis, Raynaud phenomenon, Esophageal dysmotility, Sclerodactyly, Telangiectasias) and is a common finding in this condition. *Villous atrophy in the duodenum* - **Villous atrophy** is characteristic of **celiac disease** rather than systemic sclerosis, and there are no strong indicators of malabsorption (beyond the generalized GI symptoms which can occur in sclerosis). - While malabsorption can rarely occur in systemic sclerosis due to small bowel dysmotility, villous atrophy is not a primary or common feature. *Periumbilical dilation of subcutaneous veins* - **Periumbilical dilation of subcutaneous veins** (**Caput Medusae**) is a sign of **portal hypertension**, typically due to severe liver disease. - There is no clinical information in the vignette to suggest liver pathology or portal hypertension. *Outpouchings of the sigmoid colon* - **Outpouchings of the sigmoid colon**, known as **diverticula**, are a common age-related finding and can cause changes in bowel habits, but they do not explain the patient's rheumatological and dermatological symptoms. - Systemic sclerosis can affect the gastrointestinal tract with dysmotility, but diverticula are not a direct manifestation of the disease. *Bilateral pupillary constriction* - **Bilateral pupillary constriction** is associated with opioid use, organophosphate poisoning, or certain neurological conditions, none of which align with the patient's presentation. - This finding has no connection to systemic sclerosis or the other described symptoms.
Explanation: ***Blood urea nitrogen (BUN):Serum creatinine (Cr) ratio > 20:1*** - This patient is presenting with signs of **septic shock** (fever, hypotension, altered mental status, oliguria, leukocytosis) likely due to **pneumonia**. The prolonged hypotension and poor perfusion lead to **prerenal acute kidney injury (AKI)** that may be progressing to **acute tubular necrosis (ATN)**. - In **prerenal AKI**, reduced renal perfusion leads to increased reabsorption of urea and water in the renal tubules, resulting in a **BUN:creatinine ratio greater than 20:1**. This elevated ratio persists even as the patient transitions to ATN. - Given **6 hours of anuria** despite vasoactive support, this suggests significant renal injury, but the BUN:Cr ratio remains the most reliable finding at this stage. *Urine sodium > 40 mEq/L* - A urine sodium concentration greater than 40 mEq/L is typically seen in **intrinsic AKI** (e.g., acute tubular necrosis), where tubular damage impairs sodium reabsorption. - While this patient may be developing ATN given the prolonged anuria, in the **early phase** of septic AKI with recent hypotension, the kidneys initially attempt to conserve sodium, resulting in **low urine sodium (<20 mEq/L)**. *Urinary osmolality > 500 mOsmol/kg* - A urinary osmolality above 500 mOsmol/kg indicates appropriately concentrated urine, which is a compensatory mechanism in **early prerenal AKI** as the kidneys try to conserve water. - However, given this patient has been **anuric for 6 hours** despite ICU-level vasoactive support, the kidney injury has likely progressed beyond pure prerenal state. In established ATN, the concentrating ability is impaired, and urinary osmolality would be **closer to isotonic (<350 mOsmol/kg)** rather than highly concentrated. - The **elevated BUN:Cr ratio** is more reliable in this mixed clinical picture. *Urinary osmolality < 350 mOsmol/kg* - A urinary osmolality less than 350 mOsmol/kg indicates inappropriately diluted urine, which is characteristic of **established intrinsic AKI (acute tubular necrosis)**, where the kidney's concentrating ability is impaired. - While the patient may be progressing toward ATN, the **BUN:Cr ratio elevation** develops earlier and is the most expected finding at this presentation stage. *Blood urea nitrogen (BUN):Serum creatinine (Cr) ratio <15:1* - A BUN:creatinine ratio less than 15:1 is typically seen in **intrinsic AKI after several days**, **normal renal function**, or conditions with decreased urea production. - In this patient with septic shock and acute hypoperfusion leading to AKI, the ratio would be **elevated (>20:1)** due to enhanced urea reabsorption in the setting of decreased renal blood flow.
Explanation: ***Urinary 5-hydroxyindoleacetic acid level*** - The combination of **diarrhea**, **weight loss**, episodic **flushing**, **wheezing**, and a **cardiac murmur** (suggesting right-sided valve involvement) is highly suggestive of **carcinoid syndrome**. The **urinary 5-HIAA** level is the most reliable initial biochemical test to diagnose this condition. - Carcinoid tumors secrete **serotonin**, which is metabolized to 5-HIAA and excreted in the urine. Elevated levels confirm the diagnosis. *Pulmonary function tests* - While the patient has **wheezing**, which could be due to **bronchospasm** as part of carcinoid syndrome, pulmonary function tests are not the best initial diagnostic step. - They would characterize the lung involvement but not identify the underlying cause of the systemic symptoms. *Plasma free metanephrine levels* - This test is used to diagnose **pheochromocytoma**, a condition that can also cause episodic flushing and palpitations. - However, pheochromocytoma does not typically cause chronic diarrhea, weight loss, or the characteristic right-sided cardiac involvement seen in this patient. *Echocardiography* - An **echocardiogram** would be useful to evaluate the cardiac murmur and assess for **right-sided valvular heart disease**, which is a common manifestation of **carcinoid heart disease**. - However, it is a follow-up imaging study to characterize complications, not the initial diagnostic test to confirm the biochemical syndrome. *Stool culture and ova and parasite analysis* - Given the history of drinking unfiltered stream water, **gastrointestinal infections** are a possibility for the diarrhea. - However, the combination of **flushing**, **wheezing**, and a **cardiac murmur** points away from an infectious etiology as the primary cause of all symptoms.
Explanation: ***Environmental allergen*** - The presence of **eosinophilia on nasal cytology** is a hallmark indicator of an allergic response, specifically in **allergic rhinitis**. - Symptoms like **persistent rhinorrhea** worsening with outdoor exposure during winter suggest sensitivity to outdoor allergens that are prevalent in colder seasons, such as **mold spores** for some regions or **dust mites** indoors when windows are closed. *Coronavirus* - While coronavirus can cause **rhinorrhea**, it is typically accompanied by other symptoms such as **fever, cough, and body aches**, which are absent in this patient. - **Nasal eosinophilia** is not a characteristic finding in viral infections like coronavirus. *Streptococcus pneumoniae* - *Streptococcus pneumoniae* causes **bacterial infections**, often presenting with **purulent (green or yellow) nasal discharge, fever, and facial pain**. - **Nasal eosinophilia** is not associated with bacterial infections; instead, **neutrophilia** would be expected. *Cold weather* - Exposure to **cold weather** can induce **vasomotor rhinitis**, characterized by rhinorrhea due to increased nasal blood flow. - However, **eosinophilia on nasal cytology** differentiates allergic rhinitis from simple vasomotor responses to cold. *Staphylococcus aureus* - *Staphylococcus aureus* is a common cause of **bacterial sinusitis or nasal infections**, presenting with **purulent discharge, pain, and sometimes fever**. - Like other bacterial infections, it does not cause **nasal eosinophilia**; **neutrophilic inflammation** would be seen.
Explanation: ***Serum methylmalonic acid level*** - The patient's symptoms of **shortness of breath**, **fatigability**, **pallor**, and **impaired vibratory sensation** suggest **vitamin B12 deficiency**, which leads to **megaloblastic anemia** and **neurological deficits**. - **Vitamin B12** is a cofactor for the enzyme **methylmalonyl-CoA mutase**. A deficiency leads to the accumulation of **methylmalonic acid (MMA)**, making an elevated serum MMA level an expected abnormal finding. *Erythrocyte pyruvate kinase activity* - **Pyruvate kinase deficiency** is a rare cause of **hemolytic anemia**, which presents as chronic anemia, jaundice, and splenomegaly. - The symptoms in this patient are more consistent with a **nutritional deficiency**, not a genetic enzymatic defect. *Erythrocyte glutathione reductase activity* - **Glutathione reductase deficiency** can impair the erythrocyte's ability to handle **oxidative stress**, potentially causing **hemolytic anemia**. - This deficiency is less common and symptoms like impaired vibratory sensation are not characteristic. *Serum folate level* - While **folate deficiency** can also cause **megaloblastic anemia** with symptoms like fatigue and pallor, it does not typically cause **neurological symptoms** such as impaired vibratory sensation. - The neurological signs strongly point towards **vitamin B12 deficiency**, which causes elevated MMA, whereas folate deficiency would show a low serum folate level. *Serum protoporphyrin level* - An elevated **serum protoporphyrin level** can indicate **iron deficiency anemia** or **lead poisoning**. - While iron deficiency can cause fatigue and pallor, it typically does not cause neurological symptoms like impaired vibratory sensation, which is a hallmark of B12 deficiency.
Explanation: ***Chronic pelvic pain syndrome*** - This patient's symptoms of **diffuse perineal and scrotal pain**, **pain with ejaculation**, and **dysuria** for 3 months, without fever or signs of infection (negative urine culture, normal WBCs in prostatic secretions), are classic for **chronic pelvic pain syndrome (CPPS)**. - The findings of a mildly tender prostate without induration, normal scrotal ultrasound, and negative infectious workup further support the diagnosis of CPPS, differentiating it from infectious or structural causes. *Benign prostatic hyperplasia* - While common in this age group, **BPH** primarily causes **obstructive and irritative lower urinary tract symptoms (LUTS)**, such as nocturia, hesitancy, and weak stream. - It typically does not cause diffuse perineal or scrotal pain, nor pain with ejaculation, which are prominent features in this case. *Bladder neck cancer* - **Bladder neck cancer** can cause symptoms like **hematuria**, **dysuria**, and **urinary frequency**, but diffuse perineal/scrotal pain and pain with ejaculation are less typical. - There are no symptoms or signs (e.g., macroscopic hematuria, significant irritative LUTS, suspicious imaging) in the patient's presentation to suggest bladder cancer. *Prostatic abscess* - A **prostatic abscess** would typically present with **severe systemic symptoms** including **fever**, chills, and more pronounced localized pain. - The absence of fever and the localized nature of the findings (mildly tender prostate) make a prostatic abscess highly unlikely. *Chronic epididymitis* - **Chronic epididymitis** causes **localized pain and tenderness in the epididymis**, often unilateral, and can be associated with swelling. - This patient's pain is described as diffuse perineal and scrotal, without specific epididymal tenderness, and scrotal ultrasonography is normal, ruling out epididymitis.
Explanation: ***Anti-intrinsic factor antibodies*** - The patient's **macrocytic anemia** and **neurological symptoms** (decreased proprioception and weakness) **despite oral B12 supplementation** strongly suggest **pernicious anemia**, an autoimmune condition causing **B12 malabsorption**. - **Anti-intrinsic factor antibodies** are highly specific (>95%) for pernicious anemia and would confirm the diagnosis by demonstrating an autoimmune attack on intrinsic factor, which is essential for vitamin B12 absorption in the terminal ileum. - The key clue is that she is **already taking B12 orally** but still has deficiency symptoms, indicating malabsorption rather than dietary insufficiency. *Homocysteine level* - An elevated **homocysteine level** can support **B12 or folate deficiency**, but it is **not specific** and would not differentiate between dietary deficiency and malabsorption due to pernicious anemia. - Since she is already supplementing with both B12 and folate, this test would not confirm the underlying cause (pernicious anemia), which is crucial for appropriate management. *Transferrin level* - **Transferrin** is an iron-binding protein; an elevated level suggests **iron deficiency**, but the patient is already taking iron supplementation and the clinical picture points to B12 deficiency. - This test would assess iron status but would not explain the **neurological symptoms** (subacute combined degeneration from B12 deficiency) or the lack of response to oral B12 supplementation. *Iron level* - An **iron level** would assess iron stores, which may contribute to anemia, but it would not explain the **neurological symptoms** or the **failure to respond to oral B12 supplementation**. - While iron deficiency can cause fatigue and anemia, it does not cause **decreased proprioception** or the specific neurological findings of B12 deficiency (posterior column and corticospinal tract involvement). *Bone marrow biopsy* - A **bone marrow biopsy** is an invasive procedure generally reserved for unexplained cytopenias or suspicion of primary bone marrow disorders like **aplastic anemia** or **myelodysplastic syndromes**. - Given the clear clinical picture of B12 malabsorption (anemia with neurological symptoms despite oral supplementation), less invasive and more specific serological tests like anti-intrinsic factor antibodies should be pursued first to confirm pernicious anemia.
Explanation: ***Decreased gastric blood flow*** - This patient has **multiple severe injuries** including extensive **burns (30% body surface area)** and **head trauma**, both of which can cause stress ulcers. - The PRIMARY mechanism in this critically ill patient is **gastric mucosal ischemia** due to **decreased gastric blood flow** from: - **Hypovolemia and hypoperfusion** from extensive burns (Curling's ulcer) - **Splanchnic vasoconstriction** in the stress response - **Reduced mucosal protective mechanisms** due to ischemia - While increased acid secretion contributes (especially from head trauma), the **mucosal ischemia** is the fundamental defect that allows ulceration to occur in stress ulcers. - **Curling's ulcers** (burn-related) are classically associated with **mucosal ischemia** as the primary mechanism. *Increased gastric acid production* - **Cushing's ulcers** (associated with head trauma/CNS injury) do involve **increased gastric acid secretion** via vagal stimulation. - However, this patient has **both burns and head trauma**, and the extent of burns (30% BSA) with associated hypoperfusion makes **decreased mucosal blood flow** the more critical primary mechanism. - Increased acid production is a **contributing factor** but not the PRIMARY mechanism in this multi-trauma patient with extensive burns. *Fentanyl overuse* - Opioids like fentanyl can cause **constipation, nausea, and delayed gastric emptying** but do not directly cause gastric ulceration or hematemesis. - Fentanyl does not increase gastric acid production or directly damage the gastric mucosa in a way that would lead to acute stress ulcers. *Helicobacter pylori infection* - **H. pylori** is a common cause of **chronic peptic ulcer disease** in the general population. - In a **previously healthy 24-year-old** with acute hematemesis **2 days after severe trauma**, the timing and context strongly suggest **acute stress ulceration** rather than chronic H. pylori-related disease. *Direct mechanical trauma to the stomach* - The injuries described (head trauma, burns, fractured humerus) do not suggest **direct abdominal trauma** that would cause mechanical gastric injury. - There is no mention of abdominal findings on the initial trauma assessment that would suggest gastric perforation or contusion. - Hematemesis in this ICU setting is characteristic of **stress ulceration**, not mechanical trauma.
Explanation: ***Upper endoscopy*** - The presence of **dysphagia** (difficulty swallowing) in a patient with chronic reflux symptoms is an **alarm symptom** that warrants immediate investigation to rule out serious conditions like **esophageal strictures** or **malignancy**. - **Upper endoscopy** allows direct visualization of the esophagus, stomach, and duodenum, and enables biopsies if abnormalities are found. *Trial of an H2 receptor antagonist* - While H2 receptor antagonists can help manage reflux symptoms, they are generally prescribed for **mild to moderate GERD** without alarm symptoms. - Starting this treatment without investigation could **delay diagnosis** of a potentially life-threatening condition given the dysphagia. *Trial of a proton pump inhibitor* - Proton pump inhibitors (PPIs) are highly effective for GERD symptoms and are often used as a first-line treatment for typical reflux. - However, the presence of **dysphagia** is an **alarm symptom** that mandates further investigation with endoscopy before initiating or continuing empirical PPI therapy. *Nissen fundoplication* - **Nissen fundoplication** is a surgical procedure for severe GERD that is typically considered after **medical management has failed** and an **objective diagnosis** of GERD has been confirmed, often with endoscopy and pH monitoring. - It is an **intervention**, not a diagnostic step, and would only be considered once the cause of dysphagia has been identified and ruled out for malignancy. *Lifestyle changes - don't lie down after eating; avoid spicy foods; eat small servings* - **Lifestyle modifications** are key components of GERD management and should be recommended to all patients with reflux symptoms. - While beneficial, these changes alone are insufficient when an **alarm symptom** like dysphagia is present, as they would not address underlying structural issues or malignancy.
Explanation: ***Endoscopic therapy*** - The presence of **low-grade dysplasia** and **intestinal metaplasia** in **Barrett's esophagus** significantly increases the risk of progression to high-grade dysplasia or esophageal adenocarcinoma. Endoscopic therapy, such as **endoscopic mucosal resection (EMR)** or **radiofrequency ablation (RFA)**, is recommended to eradicate the dysplastic tissue. - This approach aims to prevent malignant transformation and has been shown to be more effective than surveillance alone for low-grade dysplasia. *Nissen fundoplication* - This is a **surgical procedure** primarily used to treat severe **gastroesophageal reflux disease (GERD)** symptoms that are refractory to medical management. - While the patient has GERD, fundoplication does not directly address the **dysplastic changes** already identified in the esophageal lining and is not the primary treatment for dysplasia. *Repeat endoscopy in 18 months* - For **Barrett's esophagus without dysplasia**, surveillance endoscopy is typically performed every 3-5 years. For **low-grade dysplasia**, surveillance intervals are often shorter (e.g., 6-12 months) if immediate endoscopic therapy is not pursued or if there is uncertainty about the biopsy findings. - However, with confirmed **low-grade dysplasia** and **intestinal metaplasia**, active eradication via endoscopic therapy is generally preferred over watchful waiting with delayed surveillance, given the risk of progression. *External beam radiotherapy* - **External beam radiotherapy** is a treatment for established **esophageal cancer**, not for precancerous conditions like low-grade dysplasia in Barrett's esophagus. - It carries significant side effects and is overly aggressive for the current findings. *Omeprazole, clarithromycin, and metronidazole therapy* - This is a standard **triple therapy regimen** for eradicating **Helicobacter pylori infection**. - While the patient has chronic GERD, there is no mention of H. pylori infection, and treating H. pylori would not resolve the **dysplastic changes** in the esophageal epithelium.
Explanation: ***Primary polydipsia*** - The patient's initial laboratory values (low serum Na+, normal-to-low serum osmolality, and urine osmolality higher than serum) are consistent with **excessive water intake**. - Following water restriction, the urine osmolality significantly increased (from 230 to 650 mOsmol/kg), indicating that the kidneys are able to concentrate urine normally when fluid intake is reduced, ruling out intrinsic renal defects or ADH deficiency. *Nephrogenic diabetes insipidus* - In **nephrogenic diabetes insipidus**, the kidneys are unable to respond to ADH, leading to consistently dilute urine even after water restriction. - The marked increase in urine osmolality after water restriction rules out this diagnosis. *Beer potomania* - **Beer potomania** is a form of hyponatremia caused by excessive intake of beer, which is low in solutes, leading to water retention. - While the patient drinks beer, her initial urine osmolality is not extremely low and her kidneys are able to concentrate urine effectively, which would not be the case if her polyuria was purely due to solute-free water excretion. *Primary hyperparathyroidism* - **Primary hyperparathyroidism** causes hypercalcemia, which can lead to nephrogenic diabetes insipidus secondary to calcium's effect on renal tubules. - However, the patient's ability to concentrate urine after water restriction makes this unlikely to be the primary cause of her presenting symptoms. *Syndrome of inappropriate ADH secretion* - **SIADH** is characterized by euvolemic hyponatremia with inappropriately concentrated urine, typically due to excessive ADH secretion. - The patient's symptoms of polyuria and polydipsia are inconsistent with SIADH, which usually presents with oliguria due to water retention.
Explanation: ***Administer ammonium chloride and repeat lab studies*** - The patient has **hypertension** (157/102 mmHg), **mild metabolic acidosis** (HCO3- 21 mEq/L), and **inappropriately alkaline urine pH (6.8)** despite systemic acidosis, suggesting **distal renal tubular acidosis (Type 1 RTA)**. - In Type 1 RTA, the distal tubule cannot adequately secrete H+ ions, resulting in inability to acidify urine below pH 5.5 even in the presence of systemic acidosis. - **Ammonium chloride loading test** is used to confirm Type 1 RTA by inducing metabolic acidosis and demonstrating the kidney's inability to lower urine pH below 5.5, establishing the diagnosis before initiating chronic alkali therapy. *Administer hydrochlorothiazide* - While the patient does have hypertension requiring treatment, hydrochlorothiazide is **not first-line therapy for Type 1 RTA** and can actually worsen hypokalemia, which is common in Type 1 RTA. - Thiazide diuretics can exacerbate metabolic acidosis and do not address the underlying tubular defect in acid excretion. - Treating hypertension is important but should occur after establishing the diagnosis of the acid-base disorder. *Administer high dose bicarbonate* - High-dose bicarbonate is the **chronic treatment** for Type 1 RTA, but the diagnosis must first be confirmed. - Starting empiric bicarbonate therapy without diagnostic confirmation would obscure the diagnosis and prevent appropriate long-term management planning. - The degree of acidosis is mild (HCO3- 21 mEq/L), so urgent bicarbonate administration is not required. *Obtain urine sodium level* - Urine sodium is useful for evaluating volume status, prerenal azotemia, or differentiating causes of acute kidney injury. - It does not help diagnose or confirm renal tubular acidosis, which is the primary concern given the alkaline urine pH in the setting of metabolic acidosis. *Administer bicarbonate and repeat lab studies* - Simply administering bicarbonate and rechecking labs does not establish a diagnosis and would temporarily mask the acid-base abnormality. - This approach would delay definitive diagnosis of Type 1 RTA and is not a systematic diagnostic strategy. - Repeating labs without a diagnostic intervention provides no additional useful information.
Explanation: ***Common variable immunodeficiency*** - This patient presents with recurrent sinopulmonary infections (5 episodes in the past year) and significantly **low levels of IgA, IgG, and IgM**, which is characteristic of **common variable immunodeficiency (CVID)**. - CVID often manifests in adulthood (patient is 24) with infections, and laboratory findings typically show **decreased levels of at least two immunoglobulin classes**, most commonly IgG and IgA, with or without low IgM. *Wiskott-Aldrich syndrome* - This syndrome is characterized by the triad of **thrombocytopenia**, **eczema**, and **recurrent infections**, often presenting in early childhood. - While recurrent infections are present, this patient does not have thrombocytopenia or eczema, and the immunoglobulin profile for Wiskott-Aldrich Syndrome typically shows **low IgM** with **normal to elevated IgA and IgE**. *Selective IgA deficiency* - This condition is defined by **isolated low IgA levels** (<7 mg/dL), with normal levels of IgG and IgM. - This patient has low IgA, but also significantly low IgG and IgM, ruling out a selective IgA deficiency. *Ataxia-telangiectasia* - This is a rare, autosomal recessive disorder characterized by **ataxia**, **telangiectasias**, and **immunodeficiency** (often involving IgA and IgE, but can also affect IgG subclasses). - The patient does not present with ataxia or telangiectasias, which are hallmark features of this syndrome. *X-linked agammaglobinemia* - This condition is almost exclusively found in **males** and typically presents with recurrent infections in **infancy** after maternal antibodies wane. - It is characterized by **profoundly low or absent levels of all immunoglobulin classes** (IgG, IgA, IgM) and the **absence of B cells**, which is not entirely consistent with this female patient's presentation and immunoglobulin levels.
Explanation: ***Choledocholithiasis*** - The patient's presentation with **colicky right upper quadrant pain**, **nausea, and vomiting**, along with **scleral icterus** and abnormal liver function tests (elevated total bilirubin, ALP, AST, ALT), are classic signs of biliary obstruction. - Abdominal ultrasonography showing **multiple gallstones** and a **dilated common bile duct (10 mm)** strongly suggests a stone lodged in the common bile duct, causing obstruction. - The patient's history of **terminal ileum resection** for Crohn's disease is a risk factor for gallstone formation due to impaired bile salt reabsorption. *Acute hepatitis A* - While acute hepatitis A can cause elevated liver enzymes and jaundice, it typically presents with **malaise, fatigue, and diffuse abdominal discomfort**, not sharp, colicky RUQ pain. - There would also be no evidence of **biliary duct dilation** or gallstones on ultrasound with hepatitis A. *Cholangitis* - Cholangitis is an infection of the bile ducts and presents with **Charcot's triad** (RUQ pain, fever, jaundice) or **Reynolds' pentad** (Charcot's triad plus altered mental status and hypotension). - This patient does not have a fever, indicating the absence of cholangitis, although untreated choledocholithiasis can progress to cholangitis. *Pancreatitis* - Pancreatitis typically causes **epigastric pain** and is associated with significantly elevated lipase and amylase levels. - While gallstones are a common cause of pancreatitis, the primary findings here point to biliary obstruction, and there's no mention of elevated pancreatic enzymes. *Cholecystitis* - Acute cholecystitis involves **inflammation of the gallbladder** and causes persistent right upper quadrant pain, often with **fever and leukocytosis**. - Ultrasound findings typically include **gallbladder wall thickening**, pericholecystic fluid, and possibly a positive sonographic Murphy's sign, none of which are noted in this patient.
Explanation: **Mallory-Weiss tear** - The patient's history of **heavy alcohol consumption** followed by **persistent vomiting** leading to **hematemesis** (vomiting blood) is classic for a Mallory-Weiss tear. - The endoscopic finding of a **longitudinal mucosal tear in the distal esophagus** confirms the diagnosis, as these tears are typically caused by sudden increases in intra-abdominal pressure during forceful vomiting. *Esophageal candidiasis* - This condition is typically seen in **immunocompromised individuals** (e.g., HIV/AIDS, transplant patients) or those with prolonged antibiotic use, none of which are suggested here. - It presents with **dysphagia** and **odynophagia**, and endoscopy would show white plaques, not a mucosal tear. *Boerhaave syndrome* - This involves a **full-thickness rupture of the esophageal wall**, which is a much more severe condition than a Mallory-Weiss tear. - While also caused by forceful vomiting, it typically presents with sudden, severe chest pain, subcutaneous emphysema, and high mortality, none of which are explicitly mentioned here, and the endoscopy shows only a mucosal tear. *Pill esophagitis* - This condition results from direct irritation of the esophageal mucosa by certain medications, especially if taken without sufficient water or while lying down. - It usually presents with localized **chest pain** and **dysphagia**, and the patient's history does not suggest medication use as the cause. *Dieulafoy's lesion* - This is a rare cause of gastrointestinal bleeding characterized by an **abnormally large submucosal artery** that erodes through the mucosa, typically in the stomach. - While it can cause hematemesis, it is not associated with forceful vomiting and the endoscopic finding of a longitudinal mucosal tear is not consistent with this diagnosis.
Explanation: ***A middle-aged overweight mother*** - This patient's presentation of **episodic abdominal pain radiating to the shoulder**, specifically in the **right upper quadrant**, after a meal, strongly suggests **biliary colic** due to **gallstones**. The classic demographics for gallstones (cholelithiasis) are often summarized by the "5 F's": **Fat (overweight)**, **Fertile (multiparity)**, **Female**, **Forty (middle-aged)**, and **Family history**. - The normal laboratory values (especially liver enzymes AST/ALT) and vital signs indicate that this is likely an uncomplicated case of biliary colic rather than a severe biliary infection like cholangitis or cholecystitis. *An elderly smoker with painless jaundice* - **Painless jaundice** in an **elderly smoker** is highly suggestive of **pancreatic cancer**, a very serious condition. While pancreatic cancer can cause abdominal pain, the pain is typically persistent, and jaundice would be present. - This patient's laboratory values are normal, and there is no mention of jaundice, making this diagnosis less likely. *A middle-aged male with a positive urea breath test* - A **positive urea breath test** indicates an active **Helicobacter pylori (H. pylori)** infection, which is a common cause of peptic ulcers. While peptic ulcers cause epigastric pain, it's typically burning and relieved or worsened by food, and less commonly radiates to the shoulder in this specific episodic pattern. - The patient's symptoms are more classic for biliary pain rather than peptic ulcer disease. *A middle-aged patient with a history of bowel surgery* - A **history of bowel surgery** increases the risk for conditions like **adhesions leading to bowel obstruction** or **incisional hernias**, which can cause episodic abdominal pain. However, this pain is usually crampy and diffuse, sometimes associated with vomiting and changes in bowel habits, and less likely to radiate specifically to the shoulder after eating. - The localization to the right upper quadrant and shoulder radiation points away from a general bowel pathology. *An elderly diabetic with vascular claudication* - **Vascular claudication** refers to pain in the legs during activity due to peripheral artery disease. While being an **elderly diabetic** increases the risk for many health issues, including vascular problems, it doesn't directly explain abdominal pain radiating to the shoulder after a meal. - Diabetes can lead to gastroparesis or other visceral neuropathies, but the symptoms described are more consistent with gallbladder issues.
Explanation: ***Waldenstrom macroglobulinemia*** - This condition is characterized by **monoclonal IgM gammopathy**, **anemia**, **fatigue**, **weight loss**, and **hyperviscosity symptoms** like nosebleeds, vision/hearing problems, and peripheral neuropathy. The palpable liver, lymphadenopathy, and elevated ESR further support this diagnosis. - The patient's symptoms of **anemia** (low hemoglobin), **thrombocytopenia** (low platelets), and **organomegaly** (palpable liver, lymphadenopathy) are consistent with the lymphocytic infiltration of the bone marrow and other organs commonly seen in Waldenstrom macroglobulinemia. *Mantle cell lymphoma* - This is a B-cell lymphoma that typically presents with generalized **lymphadenopathy** and can involve the spleen and bone marrow. - While it can cause systemic symptoms and cytopenias, the distinguishing feature of **monoclonal IgM gammopathy** is not characteristic of mantle cell lymphoma. *Multiple myeloma* - Multiple myeloma involves the overproduction of **monoclonal immunoglobulins**, typically **IgG or IgA**, and is characterized by bone pain, hypercalcemia, renal failure, and recurrent infections. - While it can cause anemia and fatigue, the presence of a **monoclonal IgM spike** and hyperviscosity symptoms are inconsistent with multiple myeloma. *Hairy cell leukemia* - This is a **B-cell leukemia** characterized by the presence of "hairy cells" in the bone marrow and spleen, leading to **splenomegaly**, **pancytopenia**, and recurrent infections. - While it causes pancytopenia and fatigue, the specific finding of a **monoclonal IgM gammopathy** and hyperviscosity symptoms are not typical features. *Monoclonal gammopathy of undetermined significance* - **MGUS** is a precursor condition characterized by a **monoclonal gammopathy** without evidence of end-organ damage or other features of plasma cell disorders. - The patient's significant symptoms like **anemia**, **thrombocytopenia**, **weight loss**, **organomegaly**, and **hyperviscosity** indicate a malignant process beyond MGUS.
Explanation: ***Colonoscopy*** - Given her age (43 years), **family history of colon cancer** (father), and new-onset, fluctuating bowel habits with abdominal pain, a **colonoscopy** is indicated to rule out organic pathology. - While her symptoms are suggestive of **irritable bowel syndrome (IBS)**, the **red flag symptom** of a family history of colon cancer necessitates further investigation beyond a clinical diagnosis of IBS. *Loperamide* - **Loperamide** is an antidiarrheal generally used for **symptomatic relief** in individuals with diarrhea-predominant IBS (IBS-D). - Her symptoms fluctuate between diarrhea and constipation, and addressing the underlying cause or ruling out more serious conditions should precede symptomatic treatment. *Thyroid ultrasound* - She has a history of **hypothyroidism** and is on **levothyroxine**, but there is no indication of uncontrolled thyroid disease or a new thyroid issue. - Her abdominal symptoms are unrelated to her thyroid condition, making a thyroid ultrasound an inappropriate next step. *High fiber diet* - A **high-fiber diet** can be beneficial for some forms of IBS, particularly **constipation-predominant IBS (IBS-C)**. - However, it would not address the **red flag symptom** of family history of colon cancer and would not be the priority over ruling out malignancy. *Anti-endomysial antibody titer* - An **anti-endomysial antibody titer** is used to screen for **celiac disease**. - While she tried a gluten-free diet, there are no other symptoms highly suggestive of celiac disease, and more importantly, this test would not address the **red flag concerns** for colorectal cancer.
Explanation: ***IgG deamidated gliadin peptide test*** - The patient presents with classic symptoms of **malabsorption** (chronic diarrhea, bloating, weight loss, fatigue, neuropathy, infertility, anemia) and **IgA deficiency**, which renders IgA-based celiac serology (like IgA anti-tissue transglutaminase) unreliable. - An **IgG-based test**, such as **IgG deamidated gliadin peptide (DGP) antibody**, is the most appropriate next step to diagnose celiac disease in the presence of IgA deficiency. *Plasma zinc concentration* - While **zinc deficiency** can occur in malabsorption syndromes, measuring plasma zinc is a diagnostic test for a specific deficiency rather than for the underlying cause of malabsorption. - This test would not help identify the primary etiology, such as celiac disease. *Fecal fat test* - A **fecal fat test** can confirm the presence of **steatorrhea** and **fat malabsorption**, but it does not specify the cause. - Given the strong indicators for celiac disease (malabsorption symptoms combined with IgA deficiency making standard IgA celiac testing invalid), a more specific test for celiac disease is warranted first. *IgA endomysial antibody* - **IgA endomysial antibody (EMA)** is another highly specific test for celiac disease, but like anti-tTG, it relies on adequate IgA levels. - Since the patient has **decreased serum IgA**, this test would likely yield a false negative result and is therefore not appropriate. *Skin prick test* - A **skin prick test** is used to identify **allergic reactions** to specific substances (e.g., food allergies, environmental allergens). - While food allergies can cause gastrointestinal symptoms, the patient's constellation of symptoms, including weight loss, anemia, neuropathy, and infertility, is more consistent with a malabsorption syndrome like celiac disease, not typically food allergy.
Explanation: ***Angiodysplasia*** - This patient's **end-stage renal disease (ESRD)** and **aortic stenosis** are strongly associated with angiodysplasia, which can cause **intermittent, painless gastrointestinal bleeding**. - The presentation of **maroon-colored stools**, **anemia** (low hemoglobin, hematocrit, and MCV indicating **iron-deficiency anemia**), and **hypotension** with **orthostasis** is characteristic of significant lower GI bleeding from angiodysplasia. *Colorectal cancer* - While colorectal cancer can cause anemia and maroon stools, it typically presents with more **insidious bleeding** and often leads to changes in bowel habits or weight loss, which are not highlighted here. - The combination of **ESRD** and **aortic stenosis** makes angiodysplasia a more likely etiology for recurrent bleeding. *Ischemic colitis* - Ischemic colitis usually presents with **acute abdominal pain**, bloody diarrhea, and tenderness, often precipitated by conditions causing **hypoperfusion** to the colon. - The patient's history of intermittent, maroon-colored stools and chronic anemia is less consistent with acute ischemic colitis. *Portal hypertension* - Portal hypertension typically results in **upper GI bleeding** (e.g., esophageal varices, gastric varices), presenting as hematemesis or melena. - While it can cause anemia, the description of **maroon-colored stools** points to a lower GI source. *Colonic polyps* - Although colonic polyps can cause chronic low-grade bleeding and iron-deficiency anemia, they are usually **asymptomatic** or cause occult bleeding, not typically frank maroon-colored stools unless very large or numerous. - Like colorectal cancer, polyps do not directly explain the strong association with **ESRD** and **aortic stenosis** seen in angiodysplasia.
Explanation: ***CT angiography*** - The patient's presentation with **severe abdominal pain out of proportion to physical exam findings**, history of **peripheral artery disease**, and elevated **lactate** strongly suggests **acute mesenteric ischemia**. - **CT angiography** is the most sensitive and specific imaging modality to confirm the diagnosis of arterial occlusion in acute mesenteric ischemia by visualizing the mesenteric vessels. *Plain abdominal radiograph* - A plain abdominal radiograph has **poor sensitivity** for mesenteric ischemia and is primarily useful for detecting free air, bowel obstruction, or severe constipation, which are not the primary concerns here. - While it can sometimes show **thumbprinting** in later stages due to bowel wall edema, it is not the initial diagnostic choice for acute vascular compromise. *Exploratory laparotomy* - **Exploratory laparotomy** is a surgical intervention, not a diagnostic step, and is typically performed after a diagnosis of mesenteric ischemia is established and definitive management is required. - While it can directly visualize the bowel, it is **invasive** and should not be the first step in diagnosis, especially when less invasive imaging options are available. *Abdominal duplex ultrasound* - **Abdominal duplex ultrasound** can assess blood flow in the mesenteric arteries but is often **limited by bowel gas** and body habitus, making it less reliable for diagnosing acute mesenteric ischemia than CT angiography. - Its utility is primarily in screening for chronic mesenteric ischemia rather than acute presentations. *D-dimer level* - An elevated **D-dimer level** indicates recent or ongoing clot formation or breakdown and can be elevated in many conditions, including thrombosis, inflammation, and infection, making it a **non-specific marker**. - While it might be elevated in mesenteric ischemia, it is not specific enough to confirm the diagnosis and should not be relied upon as the primary diagnostic tool.
Explanation: ***Serum glucose*** - The patient's symptoms of **polyuria** (increased urinary frequency, especially at night), **polyphagia** (eating more often), and **unexplained weight loss** are classic signs of **diabetes mellitus**. - The **low serum bicarbonate (17 mEq/L)** suggests **metabolic acidosis**, raising concern for early **diabetic ketoacidosis (DKA)**. - Given the **low BMI**, young age, and history of an **autoimmune condition** (Hashimoto thyroiditis), **Type 1 diabetes mellitus** is high on the differential diagnosis, making serum glucose measurement the crucial first diagnostic test. - The **elevated serum osmolality (305 mOsm/L)** is consistent with hyperosmolar state from hyperglycemia. *Serum creatinine* - While the patient has a **solitary kidney**, his blood pressure is normal and physical exam is unremarkable, making acute kidney injury less likely as the primary cause. - Elevated creatinine would indicate kidney dysfunction, but it would not directly explain the polyuria, polyphagia, weight loss, and metabolic acidosis pattern seen here. - Chronic kidney disease would not typically present with this acute constellation of symptoms. *Ultrasonography of the thyroid gland* - The patient has a history of **Hashimoto thyroiditis** and is on **levothyroxine**, suggesting his thyroid function is likely controlled. - His current symptoms are not typical for thyroid dysfunction (hyperthyroidism would cause heat intolerance, tremors, and tachycardia; hypothyroidism would cause weight gain, constipation, and bradycardia). - Thyroid imaging would not explain the metabolic acidosis or elevated osmolality. *Digital rectal examination* - This examination is primarily used to assess the prostate for conditions like **benign prostatic hyperplasia (BPH)** or **prostate cancer**. - While urinary frequency is present, BPH is uncommon in a 25-year-old, and the constellation of other symptoms (weight loss, polyphagia, metabolic acidosis) points away from a primary prostate issue. *Water deprivation test* - This test is used to diagnose **diabetes insipidus (DI)**, which causes polyuria and polydipsia. - However, DI does not explain the **weight loss**, **polyphagia**, or **metabolic acidosis** seen in this patient. - In DI, patients typically have **high serum osmolality with inappropriately dilute urine** (low urine osmolality), but this would not cause the metabolic acidosis pattern observed here. - The clear urine noted on urinalysis could suggest dilute urine, but the overall clinical picture strongly favors diabetes mellitus over diabetes insipidus.
Explanation: ***Microscopic polyangiitis*** - This patient's presentation with **fatigue, malaise, dry cough, painless hematuria**, and **red blood cell casts** is highly suggestive of a **rapidly progressive glomerulonephritis** often associated with a systemic vasculitis. Diffusely coarse breath sounds can indicate **pulmonary capillaritis**, a common finding in **microscopic polyangiitis (MPA)**. - MPA is a **pauci-immune systemic vasculitis** affecting small vessels, often presenting with both **renal (glomerulonephritis)** and **pulmonary (hemoptysis, cough)** manifestations, and is typically **antineutrophil cytoplasmic antibody (ANCA)-positive**, usually for **p-ANCA (MPO)**. *Transitional cell bladder carcinoma* - While **painless hematuria** is a hallmark symptom, bladder carcinoma does not typically present with **fatigue, malaise, cough**, or **red blood cell casts**, which indicate a glomerular origin of hematuria. - The presence of **red blood cell casts** specifically points to **glomerular disease**, not lower urinary tract pathology like bladder cancer. *Focal segmental glomerulosclerosis* - FSGS is a common cause of **nephrotic syndrome**, characterized by heavy **proteinuria** (typically >3.5 g/day), **edema**, and hyperlipidemia. While hematuria can occur, **red blood cell casts** and rapid progression are less typical. - It does not usually present with the systemic symptoms like **cough** or widespread malaise seen in vasculitis. *Diffuse membranous glomerulopathy* - This is another common cause of **nephrotic syndrome** in adults, primarily characterized by **heavy proteinuria** and **edema**. - **Red blood cell casts** and significant systemic symptoms like cough and malaise, especially with rapid progression, are not typical features of membranous glomerulopathy. *Acute poststreptococcal glomerulonephritis* - APSGN typically follows an infection (most commonly pharyngitis or impetigo) by **1-3 weeks**; the patient's sore throat "several days prior" to symptom onset is too short an interval for APSGN. - While it presents with hematuria, red blood cell casts, and often edema, it's more common in children and usually follows a **latent period**, unlike the rapid onset suggested here.
Explanation: ***Non-tropical sprue*** - The patient's presentation with **exertional dyspnea, fatigue, oral aphthous ulcers, microcytic hypochromic anemia** (indicating **iron deficiency from malabsorption**), and a rash consistent with **dermatitis herpetiformis** (as indicated by the peripheral rash on extremities) despite no current significant GI symptoms, strongly points to **celiac disease (non-tropical sprue)**. - Celiac disease can manifest with **extra-intestinal symptoms** like iron deficiency anemia, skin rashes, and oral ulcers due to malabsorption, even in the absence of severe gastrointestinal complaints, and its diagnosis can be often delayed due to misdiagnosis of IBS. - **Iron deficiency anemia** is the most common hematologic manifestation of celiac disease due to impaired absorption in the proximal small intestine. *Small intestinal bacterial overgrowth* - While SIBO can cause malabsorption and diarrhea, it **does not typically present with oral aphthous ulcers or a rash consistent with dermatitis herpetiformis**. - **Anemia** can occur due to long-standing SIBO, but the overall constellation of findings is more suggestive of another diagnosis. *Whipple's disease* - Whipple's disease is a rare systemic infection that can cause **malabsorption, arthralgias, ocular symptoms**, and **neurological abnormalities**. - However, **oral aphthous ulcers and dermatitis herpetiformis are not characteristic features** of Whipple's disease, and the skin lesions in Whipple's are usually hyperpigmentation. *Inflammatory bowel disease* - While Crohn's disease (a type of IBD) can be associated with **oral aphthous ulcers** and **anemia**, the rash on the extremities is not typical for IBD except for **erythema nodosum or pyoderma gangrenosum** which do not match the expected dermatitis herpetiformis pattern. - The patient's long history of episodic diarrhea diagnosed as IBS, but with evolving extra-intestinal symptoms, makes celiac disease a more fitting diagnosis. *Tropical sprue* - **Tropical sprue** is a malabsorption syndrome occurring in residents or visitors to tropical regions, typically presenting with **chronic diarrhea, steatorrhea, and weight loss**. - It is **not commonly associated with oral aphthous ulcers or specific dermatological manifestations like dermatitis herpetiformis**, and the patient's history does not indicate recent travel to tropical areas.
Explanation: ***Calcium*** - This patient presents with classic **milk-alkali syndrome**, characterized by the triad of hypercalcemia, metabolic alkalosis, and renal insufficiency - **Clinical features of hypercalcemia**: nausea, abdominal pain, confusion ("stones, bones, abdominal groans, and psychiatric overtones") - **Chronic use of calcium-containing antacids** for GERD is the likely etiology - **ABG shows metabolic alkalosis** (pH 7.46, HCO3- 30 mEq/L) from alkali ingestion - **Shortened QTc of 0.36 seconds** (normal 0.40-0.44) is characteristic of hypercalcemia - calcium accelerates cardiac repolarization - The diagnosis is confirmed by elevated serum calcium levels *Phosphate* - In hypercalcemia, phosphate is typically **decreased**, not increased - Elevated calcium inhibits proximal tubular reabsorption of phosphate, leading to phosphaturia and hypophosphatemia - Additionally, suppressed PTH (due to hypercalcemia) reduces phosphate mobilization from bone *β-hydroxybutyrate* - This would be elevated in **diabetic ketoacidosis** or starvation ketosis - The ABG shows **metabolic alkalosis**, not metabolic acidosis, ruling out ketoacidosis - No clinical features suggest DKA (patient is on metformin, not insulin; no polyuria, polydipsia, or Kussmaul breathing mentioned) *Parathyroid hormone* - In milk-alkali syndrome, PTH is **suppressed**, not elevated - Hypercalcemia provides negative feedback to the parathyroid glands - Low PTH is a key diagnostic feature distinguishing milk-alkali syndrome from primary hyperparathyroidism *24,25-dihydroxycholecalciferol* - This is a relatively inactive metabolite of vitamin D - In hypercalcemia with suppressed PTH, 1-alpha-hydroxylase activity is decreased, leading to **reduced** production of vitamin D metabolites - This substance would not be characteristically elevated in milk-alkali syndrome
Explanation: ***Calcium oxalate*** - **Calcium oxalate stones** are the most common type of kidney stone, accounting for about 80% of all cases. The patient's presentation with acute **flank pain**, **hematuria**, and a 4-mm **ureteral stone** is classic for nephrolithiasis. - The provided normal serum calcium, phosphorus, creatinine, and urine pH (6.5) do not suggest other specific stone types like uric acid (low pH), struvite (high pH with infection), or cystine (genetic disorder). *Uric acid* - **Uric acid stones** typically form in acidic urine (pH < 5.5). This patient's urine pH is 6.5, which makes uric acid stones less likely. - Uric acid stones are often associated with conditions like **gout** or **myeloproliferative disorders**, which are not indicated here. *Xanthine* - **Xanthine stones** are very rare and are typically associated with a genetic deficiency of **xanthine oxidase** or treatment with **allopurinol** (which inhibits xanthine oxidase). - There is no clinical information in the vignette to suggest such a rare metabolic disorder or drug use (other than a multivitamin). *Cystine* - **Cystine stones** are also rare and result from an inherited defect in renal tubular amino acid transport, leading to high urinary excretion of **cystine**. - They tend to form hexagonal crystals and typically present at a younger age or with recurrent stone formation, and are not indicated by the normal lab values in this patient. *Magnesium ammonium phosphate* - **Magnesium ammonium phosphate** (struvite) stones are typically associated with **chronic urinary tract infections** by urease-producing bacteria (e.g., Proteus, Klebsiella), which leads to alkaline urine (pH usually >7.0 or 7.5). - This patient's urine pH of 6.5 and lack of symptoms of infection (normal temperature, no mention of pyuria or bacteriuria) make struvite stones unlikely.
Explanation: ***Methylmalonic acid level*** - The patient presents with symptoms of **peripheral neuropathy** (tingling, numbness, falls) and **macrocytic anemia** (MCV 110 fL, Hb 10 g/dL), along with a **borderline low serum vitamin B12 level** (210 pg/mL). - **Long-term metformin use** (23 years in this patient) is a well-known risk factor for vitamin B12 deficiency due to impaired intestinal absorption. - **Methylmalonic acid (MMA)** is a more sensitive and specific marker for **functional vitamin B12 deficiency**, as its levels are elevated when B12 is insufficient to convert MMA to succinyl CoA. - When serum B12 is in the borderline range (200-400 pg/mL) but clinical suspicion is high, MMA and homocysteine levels confirm true deficiency. *Folic acid supplementation* - While folic acid deficiency also causes **macrocytic anemia**, the neurological symptoms (neuropathy, falls) are characteristic of **vitamin B12 deficiency**, not folate deficiency. - Supplementing with folic acid in a B12-deficient patient can mask the hematological signs of B12 deficiency while allowing neurological damage to progress. *Pregabalin or gabapentin* - These medications are used to treat **neuropathic pain**, which can be a symptom of vitamin B12 deficiency. - However, they address symptoms rather than the underlying cause, and the priority is to diagnose and treat the deficiency to prevent further neurological deterioration. *Intrinsic factor antibody* - **Intrinsic factor antibodies** are helpful in diagnosing **pernicious anemia**, a common cause of vitamin B12 deficiency. - However, the initial step after identifying borderline B12 and symptoms of deficiency is to confirm the actual functional deficiency with MMA and homocysteine levels, before determining the cause. *Schilling test* - The **Schilling test** is an older diagnostic test used to determine the cause of vitamin B12 malabsorption. - It is rarely performed due to its complexity and the availability of more modern diagnostic tools like anti-intrinsic factor antibodies and gastric parietal cell antibodies.
Explanation: ***Atherosclerosis*** - The patient's history of **acute myocardial infarction**, **smoking**, and **diabetes mellitus** are significant risk factors for widespread **atherosclerosis**, including mesenteric arteries. - The symptoms of **postprandial abdominal pain** (intestinal angina) and episodic and severe abdominal pain with bloody diarrhea are consistent with **chronic mesenteric ischemia** progressing to **acute mesenteric ischemia** due to atherosclerotic narrowing or occlusion of mesenteric vessels. *Clostridium difficile infection* - This is less likely given the denial of recent antibiotic use and a **negative stool culture for C. difficile**, which are key diagnostic indicators. - While *C. difficile* can cause colitis with abdominal pain and bloody diarrhea, the chronicity of postprandial pain and the acute cardiovascular risk factors point away from this diagnosis. *Embolism* - While an acute **mesenteric embolism** can cause similar acute symptoms, the preceding history of **postprandial abdominal pain** makes chronic mesenteric ischemia due to atherosclerosis a more likely underlying cause. - An embolic event often presents more acutely without a long history of intestinal angina. *Hypokalemia* - **Hypokalemia** can lead to **ileus** and abdominal distension, but it typically does not cause **bloody diarrhea** or the acute, severe abdominal pain described. - It would not explain the chronic postprandial abdominal pain or the patient's cardiovascular risk factors in this context. *Aneurysm* - While an **abdominal aortic aneurysm** can cause abdominal pain, it typically presents differently, often as a pulsatile mass or back pain. - It would not directly explain the **bloody diarrhea** or the chronic postprandial abdominal pain consistent with intestinal ischemia.
Explanation: ***Fibromyalgia*** - This patient presents with **chronic widespread musculoskeletal pain** (neck, back, shoulders, stiffness in shoulders and knees) and **fatigue, sleep disturbance, and cognitive dysfunction** (tingling, morning stiffness, worsening with lack of sleep). - The presence of **multiple tender points** on examination (posterior neck, bilateral mid trapezius, medial aspect of left knee) in the absence of objective inflammation (normal ESR, normal imaging) strongly points to fibromyalgia. *Axial spondyloarthritis* - While there is a family history of ankylosing spondylitis, this patient's pain is widespread and not typically inflammatory back pain characterized by improvement with exercise and worsening with rest. - Absence of **sacroiliitis** on imaging and normal inflammatory markers make this diagnosis less likely. *Major depressive disorder* - While depression and anxiety are often comorbid with fibromyalgia, the primary clinical picture is dominated by the **chronic pain and tender points**, rather than purely mood disturbances. - The patient is already on escitalopram, which would typically alleviate some somatic symptoms if depression were the sole cause. *Polymyalgia rheumatica* - Typically affects individuals **over 50 years old** and is characterized by **proximal muscle pain and stiffness**, often accompanied by **elevated ESR**. - This patient is 39 years old and has normal ESR. *Polymyositis* - Characterized by **proximal muscle weakness** and elevated muscle enzymes (e.g., CK), which are not described in this patient. - The patient has normal muscle strength and the primary complaint is pain and tenderness, not weakness.
Explanation: ***Colonoscopy*** - The patient presents with **fatigue**, unexplained **weight loss**, **anemia** (Hb 9 g/dL, MCV 75 µm^3, likely **iron deficiency** due to chronic blood loss), and **hepatomegaly** with suspicious liver lesions. These findings are highly concerning for **metastatic colorectal cancer**. - A **colonoscopy** is the next best step to identify the primary tumor, which is crucial for diagnosis and staging, especially given the evidence of liver metastases. *Fluorouracil, leucovorin, and oxaliplatin* - This is a combination chemotherapy regimen (FOLFOX) used for treating **metastatic colorectal cancer**, but it's premature to initiate treatment without a confirmed diagnosis and primary tumor identification. - While highly suspected, a definitive diagnosis via biopsy of the primary tumor is essential before starting chemotherapy. *Citalopram* - This is an **antidepressant** (SSRI) used to treat depression. Although the patient's granddaughter is concerned about depression, the patient's symptoms (fatigue, weight loss, anemia, hepatomegaly) are more indicative of an underlying organic medical condition like malignancy rather than primary depression. - Addressing the underlying medical cause should take precedence before considering antidepressant therapy. *Surgical resection* - **Surgical resection** is a treatment modality for colorectal cancer, potentially including liver metastases. However, performing surgery before identifying the primary tumor and establishing the stage of the disease is inappropriate. - The extent of disease must be fully assessed to determine if the patient is a candidate for surgical intervention, especially given the apparent multiple liver lesions. *Fine-needle aspiration* - While **fine-needle aspiration (FNA)** of the liver lesions could provide a diagnosis of metastatic adenocarcinoma, it does not identify the **primary source** of the cancer. - Identifying the primary tumor through colonoscopy is crucial for complete staging, genetic testing, and determining the optimal treatment strategy for colorectal cancer.
Explanation: ***Urinary loss of antithrombin III*** - The patient's presentation with **generalized edema**, **massive proteinuria (>10g/24hr)**, and **renal vein thrombosis** is classic for **nephrotic syndrome**. - In nephrotic syndrome, the damaged glomerular basement membrane allows for the urinary loss of anticoagulant proteins, particularly **antithrombin III**, which increases the risk of **thromboembolic events**, including renal vein thrombosis. *Hereditary factor VIII deficiency* - Hereditary factor VIII deficiency is synonymous with **hemophilia A**, a **bleeding disorder** characterized by spontaneous or prolonged bleeding. - This condition is associated with a **reduced ability to form clots**, directly contradicting the thrombosis observed in this patient. *Oral contraceptive pills* - Oral contraceptive pills (OCPs) can increase the risk of thrombosis by altering the **balance of coagulation factors**, leading to a **hypercoagulable state**. - While OCPs are a risk factor for thrombosis, the patient's prominent **nephrotic syndrome** with massive proteinuria points to a more specific mechanism related to protein loss. *Severe dehydration* - Severe dehydration leads to **hemoconcentration** (increased blood viscosity), which can contribute to a hypercoagulable state and increase the risk of thrombosis. - However, the patient's presentation with **generalized edema** and **massive proteinuria** is inconsistent with severe dehydration, as edema indicates fluid retention. *Hepatic synthetic failure* - Hepatic synthetic failure, in severe cases, can impair the liver's production of various clotting factors and anticoagulant proteins, leading to either a bleeding or thrombotic tendency depending on the specific deficiencies. - While the liver produces antithrombin III, the primary cause of its deficiency in this scenario is **urinary loss due to heavy proteinuria**, not a failure of hepatic synthesis.
Explanation: ***Dehydration*** - The patient's presentation with **dry mucous membranes**, **skin tenting**, **elevated BUN/creatinine ratio** (40/1.4 = 28.5, typically seen if > 20), and a **history of being alone for at least 3 days** strongly suggests dehydration as the cause of acute renal failure. - The elevated pulse rate and use of a diuretic (hydrochlorothiazide) further support significant **volume depletion**. *Sepsis* - While sepsis can cause acute kidney injury, there are no specific signs of infection such as **fever (temperature is normal)** or a clear source like pneumonia or urinary tract infection. - The primary clinical signs all point towards hypovolemia rather than a systemic inflammatory response. *Acute tubular necrosis* - **Acute tubular necrosis (ATN)** typically results from prolonged severe ischemia or nephrotoxins, and while dehydration can lead to it, the current lab pattern (high BUN/creatinine ratio) is more indicative of **pre-renal azotemia**. - In ATN, the urine sodium is usually **high** (>40 mEq/L) due to tubular damage, but here it is 169 mEq/24 hr, which is within the normal range for 24-hour excretion, and specific gravity would be low, indicating inability to concentrate urine, which is not provided. *NSAID use* - There is **no history of NSAID use** mentioned in the patient's medication list or history. - NSAID-induced acute kidney injury often presents with interstitial nephritis or hemodynamic changes, which are not the primary features here. *UTI due to obstructive nephrolithiasis* - There are **no symptoms or signs of a urinary tract infection**, such as dysuria, frequency, or fever. - **Obstructive nephrolithiasis** would typically cause acute onset flank pain, hematuria, and oliguria, none of which are described.
Explanation: ***Squamous cell carcinoma*** - The patient's presentation with **progressive dysphagia** (now including liquids), **weight loss**, and significant risk factors like a **33 pack-year smoking history** and **former alcoholism** strongly suggest **advanced esophageal squamous cell carcinoma**. - Esophageal cancer typically causes dysphagia to **solids first**, but as the tumor progresses and causes more complete obstruction, **liquids become affected**, indicating **advanced disease**. - **Poor dental hygiene** and **foul breath** can be associated with oral and upper GI tract cancers, potentially due to necrotic tissue, food stasis, or associated infections. - The patient's age (67) and heavy smoking/alcohol exposure make malignancy the most concerning diagnosis. *Achalasia* - **Achalasia** is characterized by the **failure of the lower esophageal sphincter to relax** and the **loss of peristalsis**, leading to dysphagia for **both solids and liquids from the outset**. - While this patient does have dysphagia to liquids, the **progressive nature** (worse over a year), **weight loss**, significant **smoking and alcohol history**, and **age 67** make esophageal cancer far more likely. - Achalasia typically presents in younger patients (20s-40s) and has a more gradual, chronic course without the concerning risk factors seen here. *Zenker diverticulum* - A **Zenker diverticulum** can cause **dysphagia**, **regurgitation of undigested food**, and **halitosis** (foul breath) due to food trapped in the pharyngeal pouch. - However, the patient's prominent risk factors for cancer (smoking, alcohol), **progressive dysphagia to liquids**, and **weight loss** without explicit mention of regurgitation make carcinoma more likely in this case. *Viral-induced gastroparesis* - This condition is characterized by **delayed gastric emptying**, typically presenting with *nausea*, *vomiting*, *early satiety*, and *bloating*. - **Gastroparesis does not cause dysphagia** (difficulty swallowing), as it affects gastric motility, not esophageal function. - While the patient recently had the flu, the primary symptom of **progressive dysphagia** points to an esophageal pathology, not a gastric motility disorder. *Globus hystericus* - **Globus sensation** (formerly globus hystericus) is the feeling of a **lump in the throat** without actual obstruction, often worsened by stress or anxiety. - It does not cause **progressive dysphagia to liquids** or **weight loss**, which are hallmarks of organic disease in this patient. - The presence of "red flag" symptoms (weight loss, progressive course, age, risk factors) rules out this functional disorder.
Explanation: ***Infection with Escherichia coli*** - The patient presents with classic symptoms of **acute bacterial prostatitis**, including increased urinary frequency, urgency, nocturia, lower back pain, subjective fever (warmth), and a tender, slightly enlarged prostate on rectal exam. - **Escherichia coli** is the most common causative organism for acute bacterial prostatitis, often ascending from the urethra. *Prostatic adenocarcinoma* - While prostatic adenocarcinoma can cause urinary symptoms, it typically presents with a **hard, nodular, and irregular prostate** on rectal exam, not a tender one. - **Systemic symptoms** like fever or warmth are not typically associated with early-stage prostate cancer. *Reinfection with Chlamydia trachomatis* - Although Chlamydia can cause **epididymitis or prostatitis**, the patient's symptoms (acute onset, fever, tender prostate) are more consistent with bacterial prostatitis, commonly caused by E. coli in older men. - While a sexually transmitted infection, reinfection would be less likely to cause such an acute and severe presentation without additional risk factors or exposure. *Benign prostatic hyperplasia* - **BPH** causes similar obstructive and irritative urinary symptoms (frequency, nocturia, urgency) but usually presents with a **smooth, enlarged, non-tender prostate** on rectal exam. - **Fever and tenderness** are not characteristic features of BPH and suggest an inflammatory or infectious process. *Chemical irritation of the prostate* - **Chemical irritation** might cause urinary symptoms but would typically not be associated with **fever, lower back pain, or a tender prostate** on examination. - There is no clear history in this patient suggesting exposure to irritants that would cause chemical prostatitis.
Explanation: ***Occupational exposure*** - The patient's history of working in the **shipbuilding industry** and the presence of **calcified pleural plaques** strongly suggest **asbestosis**, a chronic lung disease caused by inhaling asbestos fibers. - **Asbestosis** typically presents with **progressive shortness of breath** and a **dry cough**, along with bibasilar crackles and ground-glass opacities, consistent with the patient's symptoms and chest X-ray findings. *Family history* - While genetics can play a role in some interstitial lung diseases (e.g., familial pulmonary fibrosis), there is no specific family history mentioned that would strongly link it to the patient's present illness. - The patient's presentation with **pleural plaques** points away from a primary genetic cause and towards environmental exposure. *Smoking* - Smoking is a risk factor for various lung conditions, including **emphysema** and **lung cancer**, and can exacerbate other lung diseases. However, the presence of **pleural plaques** is not caused by smoking. - While smoking can worsen the prognosis of asbestos-related diseases, it is not the primary cause of the pleural plaques or the most likely underlying condition in this specific clinical picture. *Radiation therapy* - **Radiation pneumonitis** and **fibrosis** can occur following chest radiation, and the patient received radiation for Hodgkin lymphoma 7 years ago. However, the **calcified pleural plaques** are highly characteristic of asbestos exposure, not radiation. - Radiation-induced lung changes are typically more localized to the irradiated field and would not specifically cause pleural plaques. *Advanced age* - While the incidence of many chronic diseases increases with age, age itself is not a specific risk factor for the characteristic findings of **calcified pleural plaques** and the described clinical picture. - The presence of specific radiological findings (pleural plaques) strongly points to an environmental exposure rather than simply advanced age.
Explanation: ***Esophagogastroduodenoscopy*** - This patient presents with **alarm symptoms** (weight loss, iron deficiency anemia, persistent heartburn unresponsive to ranitidine) that warrant an immediate investigation for underlying malignancy or severe mucosal damage. - **EGD directly visualizes the esophagus, stomach, and duodenum**, allowing for biopsies of suspicious lesions, which is crucial given her risk factors (smoking, chronic GERD, age). *24-hour esophageal pH monitoring* - This test is primarily used to **diagnose GERD** in patients with typical symptoms but normal endoscopy, or to guide treatment for refractory GERD. - It is not the appropriate first step here because the patient has alarm symptoms, which necessitate direct visualization and biopsy to rule out serious pathology. *Barium swallow* - A barium swallow can identify **structural abnormalities** such as strictures, diverticula, or large masses but has limited utility for detecting subtle mucosal changes or early malignancy. - It does not allow for **biopsy**, which is essential for definitive diagnosis in a patient with alarm symptoms. *Trial of proton-pump inhibitor* - A trial of PPIs is appropriate for patients with **typical GERD symptoms** without alarm features, as a diagnostic and therapeutic intervention. - However, this patient has already tried ranitidine (an H2 blocker) without relief and exhibits multiple **alarm symptoms**, making empirical treatment insufficient and potentially dangerous by delaying diagnosis. *Esophageal manometry* - Esophageal manometry assesses **esophageal motility** and sphincter function, useful for diagnosing motility disorders like achalasia or diffuse esophageal spasm. - It is indicated if a motility disorder is suspected, usually *after* ruling out structural causes with EGD, and does not address the immediate concern of underlying malignancy or severe damage raised by the patient's alarm symptoms.
Explanation: ***HLA B27 allele*** - The patient presents with symptoms highly suggestive of **Reactive Arthritis** (Reiter's Syndrome), characterized by the triad of **urethritis**, **arthritis**, and **conjunctivitis** (though conjunctivitis is not explicitly stated, the penile lesions and joint pain fit the profile). The characteristic **"spots" on his foot with a whitish rim** sound like **keratoderma blennorrhagicum**, a skin manifestation often seen in reactive arthritis. The penile lesions appearing wet are consistent with **circinate balanitis**, another classic skin finding. - The **HLA B27 allele** is strongly associated with an increased risk for developing **reactive arthritis**, particularly following certain infections. *Increased CRP serum levels* - **Increased CRP (C-reactive protein)** levels are a non-specific marker of inflammation and would be expected in reactive arthritis. - However, CRP elevation is a consequence of the disease process, not a **risk factor** for its development. *Co-infection with HIV* - While HIV co-infection can alter the course or presentation of reactive arthritis (e.g., more severe skin lesions or less responsive to treatment), it is not a primary **risk factor** for its initial development. - The underlying trigger for reactive arthritis is usually a specific infection in genetically susceptible individuals, not HIV itself creating susceptibility. *Diagnosis with psoriasis* - **Psoriasis** is a chronic inflammatory skin condition that can be associated with **psoriatic arthritis**, a distinct spondyloarthropathy. - However, the patient's presentation with preceding urethritis and specific skin lesions like keratoderma blennorrhagicum and circinate balanitis points more strongly to reactive arthritis, not psoriasis. *Race* - While certain autoimmune conditions have higher prevalence in specific racial groups, **race itself is not a direct risk factor** for developing reactive arthritis. - The primary risk factor is genetic predisposition (**HLA-B27**) coupled with a triggering infection, which can affect individuals of various ethnic backgrounds.
Explanation: ***Hypophosphatemia*** - **Refeeding syndrome** is a serious complication that can occur when severely malnourished individuals are reintroduced to food, characterized by a rapid and profound drop in **serum phosphate levels**. - The abrupt shift from fat to carbohydrate metabolism during refeeding stimulates insulin release, driving phosphate into cells for ATP synthesis and other metabolic processes, leading to severe **extracellular hypophosphatemia**. *Hyponatremia* - While fluid imbalances can occur, **hyponatremia** is not the primary or most concerning electrolyte abnormality directly triggered by refeeding in this context. - It is more commonly associated with excessive fluid intake or certain medical conditions rather than the metabolic shifts of refeeding syndrome. *Hypokalemia* - **Hypokalemia** can occur during refeeding as insulin drives potassium into cells, but it is typically less severe and immediate than hypophosphatemia. - While still a concern, **phosphate depletion** is the hallmark electrolyte disturbance of refeeding syndrome and carries higher and more immediate risks. *Hypercalcemia* - **Hypercalcemia** is not a typical electrolyte abnormality associated with refeeding syndrome; instead, hypocalcemia might rarely occur. - It is generally related to conditions like **hyperparathyroidism** or malignancy, not the nutritional repletion process. *Hypermagnesemia* - **Hypermagnesemia** is very rare and typically results from excessive magnesium intake or renal dysfunction, not refeeding syndrome. - During refeeding, **hypomagnesemia** can occur as magnesium also shifts intracellularly, but it is less critically urgent than hypophosphatemia.
Explanation: **Colon cancer** - The presence of **endocarditis** caused by **_Streptococcus gallolyticus_** (formerly _S. bovis_), identified by its ability to grow in 40% bile but not 6.5% NaCl, is strongly associated with **colorectal carcinoma**. - Patients with **_S. gallolyticus_ endocarditis** should undergo a thorough investigation for **colon cancer**, as the bacteremia can be a manifestation of underlying gastrointestinal pathology. *Subacute sclerosing panencephalitis* - This is a **rare, progressive, and fatal brain disorder** caused by a persistent **measles virus (rubeola)** infection. - Its symptoms include **cognitive decline, seizures, and motor dysfunction**, none of which are indicated in the patient's presentation. *Sickle cell disease* - This is a **genetic blood disorder** characterized by abnormally shaped red blood cells that can **obstruct blood flow and cause pain crises**. - It is not associated with the **infective endocarditis** described or the specific **bacterial findings** of _S. gallolyticus_. *Dental caries* - While **viridans streptococci** from dental infections can cause endocarditis, the **specific growth characteristics** (growth in 40% bile but not 6.5% NaCl) of the isolated bacterium point towards _S. gallolyticus_, which is more associated with **gastrointestinal sources**. - The patient's symptoms and specific bacterial identification do not suggest **dental caries** as the primary underlying condition. *HIV/AIDS* - **HIV/AIDS** can lead to various opportunistic infections and cardiovascular complications, but it is **not directly linked** to _Streptococcus gallolyticus_ endocarditis as a specific comorbidity. - The patient's symptoms are more indicative of a **specific bacterial pathogen** and its well-established association rather than a general immunocompromised state.
Explanation: ***Iron replacement for 4–6 months*** - The patient presents with **microcytic anemia** (MCV 71 fL, Hgb 11.0 g/dL), **low transferrin saturation** (11%), and **high total iron-binding capacity** (TIBC 412 mcg/dL), which are classic findings for **iron deficiency anemia**. - Given her vegetarian diet, smoking, and symptoms of weakness, fatigue, and **pallor**, iron replacement is the most appropriate and direct treatment to correct her deficiency and replenish stores over several months. *Lifelong Vitamin B1 supplementation* - **Vitamin B1 (thiamine) deficiency** causes conditions like **beriberi** or **Wernicke-Korsakoff syndrome**, which present with neurological and cardiovascular symptoms, not microcytic anemia. - The patient's lab results and symptoms are inconsistent with thiamine deficiency. *Obtain a bone-marrow biopsy* - A bone marrow biopsy is typically reserved for cases of **unexplained anemia**, suspected hematologic malignancies, or when other workups are inconclusive. - The patient's presentation and lab findings clearly point to **iron deficiency anemia**, making a bone marrow biopsy unnecessary as an initial diagnostic step. *Lifelong Vitamin B6 supplementation* - **Vitamin B6 (pyridoxine) deficiency** can cause **sideroblastic anemia**, which is also microcytic but is characterized by **increased iron stores** and ring sideroblasts in the bone marrow, quite different from this patient's iron deficiency. - The patient's lab results, particularly the low TSAT and high TIBC, rule out sideroblastic anemia. *Folic acid supplementation* - **Folic acid deficiency** causes **macrocytic anemia** (high MCV), not the microcytic anemia seen in this patient. - Her MCV of 71 fL suggests microcytic anemia, contradicting a diagnosis of folic acid deficiency.
Explanation: ***Neostigmine therapy*** - The patient presents with classic signs and symptoms of **Ogilvie's syndrome** (acute colonic pseudo-obstruction), characterized by significant colonic dilation without mechanical obstruction, especially given the history of chronic opioid use (oxycodone) and the failure of conservative measures. - **Neostigmine**, an acetylcholinesterase inhibitor, increases acetylcholine levels, stimulating colonic motility and helping to decompress the dilated colon, making it an appropriate next step after conservative management has failed. *Metronidazole therapy* - **Metronidazole** is an antibiotic used to treat bacterial and parasitic infections; it has no role in the management of Ogilvie's syndrome or colonic pseudo-obstruction. - The patient's presentation does not suggest an infectious etiology, as there is no fever, leukocytosis, or other signs of infection. *Colonoscopy* - While a **colonoscopy** can be used as a therapeutic measure for decompression in Ogilvie's syndrome, it is generally considered after neostigmine has failed or if neostigmine is contraindicated. - Given the patient's persistent pain and distention after initial conservative measures, a less invasive pharmacological approach like neostigmine is usually tried first. *Percutaneous cecostomy* - **Percutaneous cecostomy** is a more invasive procedure for colonic decompression, typically reserved for patients who have failed both medical management (neostigmine) and endoscopic decompression (colonoscopy). - It is not the initial next step after failed conservative measures given the availability of less invasive options. *Laparotomy* - **Laparotomy** with surgical decompression or colectomy is indicated for Ogilvie's syndrome only in cases of impending or actual colonic perforation, colonic ischemia, or irreversible failure of all less invasive measures. - There is no evidence of perforation or ischemia (e.g., absent guarding, rebound, hemodynamic instability) to warrant immediate surgical intervention.
Explanation: ***Hydrogen breath test*** - The patient's symptoms (cramping, bloating, watery stools, flatulence) after consuming **dairy products** strongly suggest **lactose intolerance**. - A **hydrogen breath test** measures hydrogen produced by bacterial fermentation of undigested lactose in the colon, confirming lactose intolerance. *Serum IgE levels* - This test is used to identify true IgE-mediated **food allergies**. - Lactose intolerance is not an allergy but rather an inability to digest lactose due to **lactase deficiency**. *Fecal fat test* - A fecal fat test assesses for **fat malabsorption**, which is characteristic of conditions like **pancreatic insufficiency** or **celiac disease**. - The patient's symptoms are linked specifically to dairy intake, not general fat intake. *D-xylose absorption test* - This test evaluates **small intestinal mucosal integrity** and carbohydrate absorption, primarily used to differentiate between pancreatic insufficiency and mucosal damage. - While it measures carbohydrate absorption, it is less specific for lactose malabsorption than the hydrogen breath test and typically used for more generalized malabsorptive conditions. *Jejunal biopsy* - A jejunal biopsy is an invasive procedure primarily used to diagnose conditions like **celiac disease** or **Whipple's disease**, which cause damage to the intestinal villi. - It is not indicated for the initial evaluation of suspected lactose intolerance, which is a functional enzyme deficiency.
Explanation: ***Hypercoagulable state*** - While systemic sclerosis can affect various organs, a **hypercoagulable state** is **not a typical or expected feature** associated with anti-centromere antibodies. - The presence of anti-centromere antibodies is characteristic of **limited cutaneous systemic sclerosis (CREST syndrome)**, which does not inherently predispose to hypercoagulability. *Calcium deposits on digits* - This symptom describes **calcinosis**, a component of **CREST syndrome (Calcinosis, Raynaud's phenomenon, Esophageal dysmotility, Sclerodactyly, Telangiectasias)**, which is strongly associated with anti-centromere antibodies. - Palpable or visible **calcium deposits** commonly occur on the fingers or other bony prominences. *Pallor, cyanosis, and erythema of the hands* - These are the classic color changes observed in **Raynaud's phenomenon**, another key feature of CREST syndrome. - **Raynaud's phenomenon** involves episodic vasospasm of the digital arteries, leading to these distinct color changes. *Blanching vascular abnormalities* - This refers to **telangiectasias**, which are dilated superficial blood vessels that blanch with pressure and are a hallmark of CREST syndrome. - They commonly appear on the face, hands, and mucous membranes. *Heartburn and regurgitation* - These symptoms are indicative of **esophageal dysmotility**, specifically involvement of the lower esophageal sphincter, which is a common manifestation of systemic sclerosis and part of CREST syndrome. - **Smooth muscle atrophy and fibrosis** in the esophagus lead to impaired peristalsis and reflux.
Explanation: ***IgA*** - The patient's symptoms (diarrhea, fatigue, weight loss, bulky malodorous stools, abdominal bloating, association with cereal consumption) and biopsy findings (villi blunting, flat mucosa, intraepithelial lymphocytes) are classic for **celiac disease**. - **IgA deficiency** is the most common primary immunodeficiency and is found in approximately 2-3% of individuals with celiac disease, a significantly higher prevalence than in the general population. *IgD* - **IgD deficiency** is rare and not commonly associated with celiac disease or its characteristic intestinal pathology. - The primary role of IgD is not well-understood, but it is typically found on the surface of naïve B cells. *IgM* - **IgM deficiency** is less common than IgA deficiency and usually presents with recurrent bacterial infections, which are not described in this patient's case. - It is not specifically linked to celiac disease. *IgG* - **IgG deficiency** or subclasses of IgG deficiency (e.g., IgG2 deficiency) can lead to recurrent infections, particularly respiratory infections, but it is not a direct or commonly recognized association with celiac disease pathogenesis. - While patients with celiac disease may have other immune dysregulations, IgG deficiency is not the most common immunoglobulin deficiency associated with it. *IgE* - **IgE** is primarily involved in allergic reactions and defense against parasites. - **IgE deficiency** is very rare and is not associated with celiac disease or its presenting symptoms.
Explanation: ***Antacid use*** - The patient's excessive use of antacids (10-12 tablets daily) can significantly **interfere with the absorption** and efficacy of the prescribed antibiotics, particularly tetracycline, leading to treatment failure. - **Antacids** (containing polyvalent cations like magnesium or aluminum) **chelate tetracycline**, reducing its bioavailability and preventing effective *H. pylori* eradication. *Alcohol use* - While heavy alcohol use can exacerbate gastric ulcers and interfere with healing, the patient's reported intake of "a glass of whiskey after work 2 nights a week" is **moderate** and unlikely to be the primary cause of complete *H. pylori* eradication failure in the presence of appropriate antibiotic therapy. - The direct effect of moderate alcohol on the efficacy of the *H. pylori* eradication regimen itself is **less significant** than drug interactions with antacids. *Ginkgo tea* - **Ginkgo biloba** is generally known for its potential effects on memory and circulation, and it may have some **antiplatelet effects** but is not known to directly interfere with the efficacy of antibiotics used for *H. pylori* eradication. - There is **no established evidence** to suggest that ginkgo tea would lead to the failure of a quadruple therapy regimen for *H. pylori*. *Allopurinol* - **Allopurinol** is a xanthine oxidase inhibitor used for gout and does not have known significant interactions with the *H. pylori* eradication regimen (bismuth, omeprazole, metronidazole, tetracycline) that would lead to treatment failure. - Its mechanism of action is unrelated to gastric acid, bacterial metabolism, or antibiotic absorption, making it an **unlikely cause** of non-response. *Ibuprofen* - **Ibuprofen (NSAID)** use is a known risk factor for gastric ulcers and can impair ulcer healing; however, the patient states he only uses it during acute gout attacks, which suggests **intermittent rather than chronic use**. - While NSAIDs contribute to ulcer formation, they are **not the primary reason** for the *failure of H. pylori eradication therapy*, especially when compared to a direct drug-drug interaction like antacids with tetracycline.
Explanation: ***The course usually is slowly progressive with spontaneous repigmentation in 15% of patients.*** - **Vitiligo** is characterized by a typically **slowly progressive** course of depigmentation due to the destruction of melanocytes. - Spontaneous **repigmentation** occurs in a minority of patients, usually less than 25%, making the 15% figure accurate. *Topical corticosteroids are inappropriate for patients with limited disease.* - **Topical corticosteroids** are a **first-line treatment** for limited vitiligo, especially on the face and neck. - They are effective in **repigmenting lesions** and reducing inflammation associated with melanocyte destruction. *Vitiligo is self-limited and will resolve in 8-14 weeks.* - Vitiligo is a **chronic condition** that does not typically self-resolve within a short period. - It often requires **ongoing management** and can persist for many years or even a lifetime. *Keloid formation is associated with regions of depigmentation.* - **Keloid formation** is a type of excessive scarring, which is **not directly associated** with regions of depigmentation in vitiligo. - While **trauma** can trigger new vitiligo lesions (Koebner phenomenon), it doesn't lead to keloids in the depigmented areas. *The disease is relapsing and remitting with complete interval repigmentation.* - Vitiligo is often **progressive** and **chronic**, with new lesions appearing over time, rather than complete repigmentation followed by relapse. - While some **partial repigmentation** can occur, **complete interval repigmentation** is uncommon and not typical of the disease course.
Explanation: ***Gastrointestinal hemorrhage*** - The patient's symptoms of **epigastric pain immediately after eating** and significant **weight loss** strongly suggest an **active gastric ulcer**. - **Smoking** and **alcohol consumption** are significant risk factors for peptic ulcer disease, which can lead to complications such as hemorrhage. *Subhepatic abscess formation* - This is typically a complication of severe intra-abdominal infection, such as appendicitis or diverticulitis, or following abdominal surgery. - The patient's symptoms are localized to the epigastrium and lack signs of systemic infection or a clear source for an abscess. *Biliary tract infection* - This typically presents with **right upper quadrant pain**, fever, and jaundice (Charcot's triad), which are not present in this case. - The pain associated with biliary tract issues usually does not occur immediately after eating without other signs. *Pyloric scarring* - **Pyloric scarring** is a chronic complication of long-standing peptic ulcer disease, leading to gastric outlet obstruction rather than causing acute pain immediately after eating. - While possible in the long term, the primary and most immediate risk in an actively ulcerating condition is hemorrhage. *Malignant transformation* - While chronic gastric ulcers can, in rare cases, undergo malignant transformation, particularly with *Helicobacter pylori* infection, the most immediate and common acute complication of an active gastric ulcer is hemorrhage. - There are no specific symptoms given that point towards malignancy over an acute ulcer complication.
Explanation: ***Sexually transmitted infection*** - The patient's history of a **painless genital lesion 15 years ago** suggests **primary syphilis**, which can progress to **neurosyphilis** affecting the dorsal columns. - Symptoms like **sudden, shock-like leg pain (tabetic crisis)**, **ataxia exacerbated in the dark (sensory ataxia)**, and **Argyll Robertson pupils** (miotic pupil that doesn't constrict to light but accommodates) are classic signs of **tabes dorsalis**, a form of neurosyphilis. *Acute ischemic cerebellar stroke* - While a stroke can cause **ataxia**, it typically presents with **acute onset** neurological deficits, unlike the chronic and progressive symptoms described. - **Argyll Robertson pupils** and **shock-like leg pain** are not characteristic features of cerebellar stroke. *Lumbar disc herniation* - Symptoms usually include **radicular pain** worsened by certain movements, potential **motor weakness**, or **sensory deficits** in a dermatomal distribution. - The patient denies **lower back pain**, and the presence of **Argyll Robertson pupils** and **sensory ataxia** points away from this diagnosis. *Lumbar spinal stenosis* - This condition typically causes **neurogenic claudication**, with leg pain and numbness that worsens with standing or walking and improves with sitting or bending forward. - The patient's **shock-like pain**, **sensory ataxia**, and **Argyll Robertson pupils** are not consistent with spinal stenosis. *Diabetic peripheral neuropathy* - Often causes **burning pain**, **numbness**, or **tingling** in a **stocking-glove distribution**, and can affect balance. - However, **Argyll Robertson pupils** and the specific **"shock-like" nature of the pain** are not typical for diabetic neuropathy and would not usually appear as the primary presentation without other more common neuropathic symptoms.
Explanation: ***Pyelonephritis*** - The patient presents with **fever, chills, right flank pain**, and **vomiting**, with **costovertebral angle tenderness** on examination, all characteristic of pyelonephritis. - Urinalysis shows significant **leukocyturia (WBC 80-85/hpf)**, **leukocyte esterase positivity**, and low-grade **hematuria**, further supporting a urinary tract infection that has ascended to the kidneys. *Ovarian torsion* - While ovarian torsion can cause acute, severe unilateral abdominal pain and vomiting, the patient's **fever and chills**, severe **flank tenderness**, and **urinalysis findings (leukocyturia)** are inconsistent with ovarian torsion. - A pelvic exam showing **no abnormalities** also makes ovarian pathology less likely. *Pelvic inflammatory disease* - PID typically presents with **lower abdominal pain**, fever, and vaginal discharge, often associated with a **positive cervical motion tenderness** or adnexal tenderness on pelvic exam. - The patient's primary complaint of **flank pain** and the absence of pelvic exam findings or discharge make PID less likely. *Urethritis* - Urethritis primarily causes **dysuria, urinary frequency, and urgency** with little to no fever or flank pain unless it progresses to cystitis or pyelonephritis. - The patient's systemic symptoms (fever, chills) and significant flank pain indicate a more severe, upper urinary tract infection. *Gastroenteritis* - Gastroenteritis typically presents with **nausea, vomiting, diarrhea**, and abdominal cramping, often preceded by exposure to contaminated food. - While vomiting is present, the **lack of diarrhea**, prominent **flank pain**, fever, and especially the **pathologic urinalysis findings** (high WBCs) rule out uncomplicated gastroenteritis.
Explanation: ***Increased BUN/creatinine ratio*** - This patient's symptoms (confusion, lethargy, dry mucous membranes) and history (severe gastroenteritis, hydrochlorothiazide use, poor medication compliance) are consistent with **dehydration** and resultant **prerenal azotemia**. - **Prerenal azotemia** leads to a disproportionate reabsorption of **urea** over **creatinine** in the kidneys, causing an elevated BUN/creatinine ratio (typically >20:1). *Rapid and deep respiration* - **Kussmaul respirations** (rapid and deep) are characteristic of **diabetic ketoacidosis (DKA)**, which requires significant **ketone body accumulation** to compensate for metabolic acidosis. - While the patient has severe hyperglycemia, the **trace urine ketones** indicate minimal ketosis, making DKA and Kussmaul respirations unlikely. *Characteristic breath odor* - A **fruity or acetone breath odor** is a hallmark of **diabetic ketoacidosis (DKA)**, resulting from the metabolic breakdown of **ketone bodies**. - Given the patient's **trace urine ketones**, significant ketosis is not present, ruling out this characteristic odor. *Flapping hand tremor* - A **flapping hand tremor** (asterixis) is typically associated with severe **hepatic encephalopathy** or **uremic encephalopathy**. - While the patient has altered mental status and potential kidney dysfunction, the clinical picture is more consistent with **hyperosmolar hyperglycemic state (HHS)**, not severe liver or advanced kidney failure specifically causing asterixis. *Diffuse abdominal pain* - Significant **abdominal pain** is more commonly associated with **diabetic ketoacidosis (DKA)**, often due to associated metabolic acidosis and gastrointestinal irritation. - In a patient with **hyperosmolar hyperglycemic state (HHS)**, abdominal pain is not a prominent or typical feature unless there is a specific precipitating intra-abdominal event.
Explanation: ***Gastric carcinoma*** - The patient's presentation of **macrocytic anemia** (low hemoglobin, MCV 108), **low vitamin B12**, and a positive **Schilling test** *corrected by intrinsic factor* indicates **pernicious anemia**. - **Pernicious anemia** is an autoimmune condition that causes **atrophic gastritis** and is a significant risk factor for developing **gastric carcinoma** due to chronic inflammation and changes in the gastric mucosa. *De Quervain thyroiditis* - This condition is a **subacute granulomatous thyroiditis**, characterized by **neck pain**, **fever**, and transient **hyperthyroidism** followed by hypothyroidism. - It has no direct association with **pernicious anemia** or **vitamin B12 deficiency**. *Celiac disease* - **Celiac disease** is an autoimmune disorder triggered by **gluten**, leading to **malabsorption** in the small intestine. - While it can cause **anemia** (often iron deficiency anemia), it typically presents with **gastrointestinal symptoms** like diarrhea and abdominal pain, and is not directly indicated by the **Schilling test** findings for intrinsic factor deficiency. *Type 2 diabetes mellitus* - **Type 2 diabetes mellitus** is a metabolic disorder characterized by **insulin resistance** and hyperglycemia. - There is no direct link between **pernicious anemia** and an increased risk of developing **type 2 diabetes mellitus**. *Colorectal carcinoma* - While **colorectal carcinoma** can cause **anemia** (usually iron deficiency anemia due to chronic blood loss), it does not typically present with **macrocytic anemia** or **vitamin B12 deficiency** as seen in this patient. - The **Schilling test** results specifically point to an issue with **intrinsic factor**, which is related to gastric function, not colorectal.
Explanation: ***Colorectal carcinoma*** - This patient presents with **chronic occult GI bleeding** leading to **microcytic anemia** (MCV 76 μm³) and **elevated RDW** (17%), which is the classic presentation of **colorectal cancer**. - **Key clinical features**: 8-week history of hematochezia, positive fecal occult blood test, pale conjunctivae, and iron deficiency anemia all point to chronic blood loss from a GI malignancy. - Although he had a colonoscopy 3 years ago showing no malignancy, **colorectal cancer can develop within 3 years**, especially if the prior exam was incomplete or missed lesions. His age (70), smoking history (45 pack-years), and new-onset bleeding warrant **repeat colonoscopy**. - The prior episode of diverticulitis is a red herring and does not explain the chronic anemia. *Diverticulosis* - Diverticular bleeding typically presents as **acute, painless, brisk hematochezia** with large-volume blood loss, not chronic occult bleeding. - Diverticulosis does **not** cause **microcytic anemia** because the bleeding is episodic and overt, not chronic and occult. - While this patient had diverticulitis 6 months ago, this does not explain his current 8-week history of occult bleeding with iron deficiency. *Ischemic colitis* - Typically presents with **acute onset** of cramping abdominal pain, bloody diarrhea, and occurs in the setting of cardiovascular disease or hypotension. - Does not cause **chronic microcytic anemia** as seen in this patient. - The patient's intermittent constipation and chronic bleeding pattern are inconsistent with ischemic colitis. *Hemorrhoids* - Can cause bright red blood on toilet paper and stool surface, but **rarely cause significant microcytic anemia** requiring this degree of iron deficiency. - Hemorrhoidal bleeding is typically intermittent and associated with straining, not chronic occult blood loss. - The severity of anemia (Hb 11 g/dL with MCV 76) suggests a more proximal source of bleeding. *Pseudomembranous colitis* - Caused by **Clostridioides difficile** infection following antibiotic use, presenting with **watery or bloody diarrhea**, fever, and abdominal pain. - While the patient received amoxicillin 2 months ago, the absence of diarrhea and the chronic nature of anemia make this diagnosis unlikely. - The left lower quadrant pain episode **preceded** the antibiotic use, making C. difficile an unlikely explanation.
Explanation: ***Admit to hospital for percutaneous nephrostomy and IV antibiotics*** * This patient presents with signs of **sepsis** (fever, elevated WBC, acute flank pain) secondary to an **obstructing ureteral stone** and **pyelonephritis** (foul-smelling urine, positive nitrites and leukocyte esterase, CVA tenderness, hydronephrosis). * **Urgent decompression** of the obstructed kidney via percutaneous nephrostomy (or ureteral stent placement) is critical in addition to intravenous antibiotics for this life-threatening condition to relieve the obstruction and prevent further renal damage. *Administer potassium citrate* * **Potassium citrate** is used to prevent the formation of certain kidney stones, particularly **calcium oxalate** and **uric acid stones**, by alkalinizing the urine. * It is not a treatment for an **acute, obstructed, infected stone** and would not address the patient's immediate and serious condition. *Discharge home with oral antibiotics* * Discharging a patient with **urosepsis** and an **obstructing kidney stone** with oral antibiotics is inappropriate and would lead to worsening of her condition and potentially septic shock. * The patient requires **IV antibiotics** due to the severity of the infection and the need for prompt blood levels, as well as **urgent drainage** of the obstructed urinary system. *Administer hydrochlorothiazide* * **Hydrochlorothiazide** is a diuretic primarily used to treat **hypertension** and **calcium oxalate kidney stones** by reducing urinary calcium excretion. * It is not indicated for the management of an acute, infected, obstructing kidney stone and would not resolve the patient's current severe symptoms or infection. *Admit to hospital for IV antibiotics* * While **IV antibiotics** are crucial for treating the severe urinary tract infection, **admitting for IV antibiotics alone** is insufficient given the presence of an **obstructing stone** causing hydronephrosis. * The obstruction must be **relieved urgently** to allow drainage of infected urine, prevent treatment failure, and avoid further complications like renal abscess or sepsis.
Explanation: ***The patient is a premenopausal woman*** - Being a **premenopausal woman** with an otherwise uncomplicated lower UTI (cystitis) does NOT automatically classify the infection as complicated. - **Uncomplicated cystitis** typically occurs in premenopausal, non-pregnant women without structural or functional urinary tract abnormalities. - However, this patient DOES have diabetes, which would actually classify her UTI as complicated despite being premenopausal. *The patient has an indwelling catheter* - The presence of an **indwelling catheter** provides a foreign body and direct pathway for bacteria to enter the bladder, classifying the UTI as complicated. - Catheter-associated UTIs are harder to treat and associated with increased morbidity. *The patient has diabetes* - **Diabetes mellitus** impairs immune function and can cause neurogenic bladder dysfunction, making UTIs in diabetic patients complicated. - Diabetic patients have higher risk for severe infections including emphysematous cystitis and pyelonephritis. *The causative organism is Pseudomonas aeruginosa* - Infection with **multidrug-resistant organisms** like *Pseudomonas aeruginosa* indicates a complicated UTI requiring broader-spectrum antibiotics. - *Pseudomonas* UTIs are typically healthcare-associated and suggest abnormal urinary tract or recent instrumentation. *The patient has nephrolithiasis* - **Nephrolithiasis (kidney stones)** causes urinary obstruction and provides a nidus for bacterial persistence, classifying the UTI as complicated. - Obstructive uropathy prevents effective bacterial clearance and increases risk of urosepsis.
Explanation: ***Barium swallow study*** - The symptoms of **difficulty swallowing**, **recurrent vomiting** with undigested food hours after eating, and **weight loss** suggest an **esophageal motility disorder** like **achalasia**. - The patient's history of travel to **Argentina** raises suspicion for **Chagas disease** (caused by *Trypanosoma cruzi*), which can cause **secondary achalasia** by destroying the myenteric plexus. - A **barium swallow study** will show the characteristic **"bird's beak" appearance** with proximal esophageal dilation, which supports the diagnosis. - Among the options listed, this is the **most appropriate imaging study** to evaluate suspected achalasia. (Note: **Esophageal manometry** is the gold standard confirmatory test but is not listed as an option here.) *Incorrect: Biopsy* - While endoscopy with biopsy might be considered to **rule out malignancy** or pseudoachalasia (cancer mimicking achalasia), it is **not the first-line diagnostic test** for suspected achalasia. - Biopsy would be more appropriate if imaging revealed a mass or if there was suspicion for **eosinophilic esophagitis**. *Incorrect: Antibiotic therapy* - This patient's symptoms suggest a **mechanical obstruction or motility disorder**, not an acute bacterial infection. - **Antibiotics have no role** in treating achalasia or Chagas disease in the chronic phase (the acute phase would present differently with fever and systemic symptoms). *Incorrect: Routine blood tests* - While **CBC and metabolic panel** may be part of the general workup to assess nutritional status and overall health, they **will not diagnose the cause of dysphagia**. - Blood tests are **not the most appropriate next step** for establishing the esophageal pathology causing these symptoms. *Incorrect: Surgery* - **Surgery** (e.g., **Heller myotomy** or peroral endoscopic myotomy) is a **definitive treatment** for achalasia, not a diagnostic step. - Surgery is indicated **after diagnosis is confirmed** and is typically reserved for patients who have failed medical management or have severe symptoms.
Explanation: ***Carcinoid heart disease*** - This patient has **carcinoid syndrome**, evidenced by the classic triad of **watery diarrhea**, **cutaneous flushing** (face/neck redness), and **bronchospasm** (misdiagnosed as asthma). - The **systolic murmur at the left sternal border** suggests early **right-sided valvular involvement**, which is the hallmark of carcinoid heart disease. - **Carcinoid heart disease** occurs in **50-60% of patients** with carcinoid syndrome and is caused by **fibrotic plaques** on the **tricuspid and pulmonary valves** due to chronic serotonin exposure. - Without treatment, this progresses to **right-sided heart failure** and is the **leading cause of morbidity and mortality** in carcinoid syndrome. - The presence of a murmur indicates the process has already begun, making this the **greatest risk without treatment**. *Intestinal fistula* - Intestinal fistula formation is **not a typical complication** of carcinoid tumors, which are typically **slow-growing** neuroendocrine tumors. - Fistulas are more commonly associated with **Crohn's disease**, **diverticulitis**, or **aggressive adenocarcinomas**, not carcinoid tumors. - While carcinoid tumors can cause bowel obstruction, they rarely invade adjacent structures to form fistulas. *Asphyxia* - While carcinoid syndrome can cause **bronchospasm** (likely the cause of his "asthma"), acute asphyxia is not a common long-term complication. - Bronchospasm in carcinoid syndrome is usually manageable and does not typically progress to life-threatening asphyxia. *Dementia* - **Pellagra** (niacin deficiency) can rarely occur in carcinoid syndrome because the tumor uses tryptophan to produce serotonin instead of niacin, and pellagra can cause dementia. - However, this is a **rare complication** and not the greatest risk compared to carcinoid heart disease. - Modern nutritional supplementation makes this even less likely. *Megaloblastic anemia* - **Megaloblastic anemia** results from **vitamin B12 or folate deficiency**. - While chronic diarrhea could theoretically cause malabsorption, this is **not a characteristic complication** of carcinoid syndrome. - This patient's CBC is normal, and megaloblastic anemia is not the primary concern in untreated carcinoid syndrome.
Explanation: ***No further treatment required*** - The patient's **RUQ pain** has subsided, and the ultrasound, while revealing **adenomyomatosis**, showed no signs of **acute cholecystitis** or malignancy. Given the resolution of symptoms and benign incidental finding, no immediate further treatment is indicated. - **Adenomyomatosis** is a benign condition of the gallbladder characterized by hyperplasia of the gallbladder wall with intramural diverticula (Rokitansky-Aschoff sinuses). In the absence of ongoing symptoms or suspicion of malignancy, it typically does not require intervention and is managed with observation only. *Barium swallow study* - A **barium swallow study** evaluates the **esophagus and stomach** and is not relevant for investigating gallbladder pathology or right upper quadrant pain. - This study would be more appropriate for symptoms like **dysphagia**, odynophagia, or suspected esophageal strictures. *Endoscopic retrograde cholangiopancreatography* - **ERCP** is an invasive procedure primarily used for therapeutic interventions in the **biliary or pancreatic ducts**, such as stone removal or stent placement. - It carries risks of **pancreatitis** and perforation and is not indicated for a patient with resolved symptoms and an incidental benign gallbladder finding. *Magnetic resonance cholangiopancreatography* - **MRCP** is a non-invasive imaging technique used to visualize the **biliary and pancreatic ducts** and is primarily indicated for suspected **choledocholithiasis** or **ductal abnormalities**. - Since the patient's acute symptoms have resolved and the ultrasound was negative for choledocholithiasis, MRCP is not immediately necessary. *Cholecystectomy* - **Cholecystectomy** is the surgical removal of the gallbladder, typically reserved for symptomatic conditions like **cholelithiasis** causing recurrent pain or **acute cholecystitis**. - Given that the patient's pain has resolved, and there is no evidence of acute inflammation or symptomatic gallstones, immediate surgery is unwarranted.
Explanation: ***Prophylaxis with rifampin for close contacts*** - The clinical presentation of severe headache, fever, neck stiffness, confusion, vomiting, nuchal rigidity, and photophobia is highly suggestive of **bacterial meningitis**. The image provided, showing multiple pinkish-red coccal organisms arranged in pairs (diplococci) or small clusters along with numerous host neutrophils, is characteristic of **Gram-negative diplococci** likely representing *Neisseria meningitidis*. - *Neisseria meningitidis* is a highly contagious bacterium, and close contacts (individuals in prolonged direct contact or exposed to respiratory secretions) of the infected person are at high risk of developing the disease. **Chemoprophylaxis with rifampin** (or ciprofloxacin, or ceftriaxone) is crucial for these individuals to prevent secondary cases. *Initiation of rifampin, isoniazid, pyrazinamide, and ethambutol* - This regimen is the standard treatment for **tuberculosis (TB)**, which is caused by *Mycobacterium tuberculosis*. - While TB can cause meningitis, the rapid onset of symptoms (24 hours) and the visual of Gram-negative diplococci on Gram stain make bacterial meningitis (likely meningococcal) a much more probable diagnosis than TB meningitis, which typically has a more insidious onset. *Switch to meropenem* - Meropenem is a **carbapenem antibiotic** with a broad spectrum of activity, often used for severe bacterial infections, including meningitis, especially when there is concern for resistant organisms or in specific patient populations. - However, the initial empirical therapy with ceftriaxone and vancomycin is appropriate for suspected bacterial meningitis. Switching to meropenem would typically only be considered if the patient is not responding to the current therapy, or if susceptibility testing reveals resistance to the initial antibiotics, which is not indicated by the current information. *Addition of ampicillin* - **Ampicillin** is often added to the empirical regimen for bacterial meningitis in specific age groups, particularly for **neonates and elderly patients**, or those with compromised immunity, to cover for *Listeria monocytogenes*. - Given the patient's age (33-year-old adult) and otherwise unremarkable medical history, *Listeria* meningitis is less likely, and its addition to the current ceftriaxone and vancomycin regimen would not be a standard initial step based solely on this presentation. *Initiation of amphotericin* - **Amphotericin B** is an **antifungal medication** used to treat severe systemic fungal infections, including fungal meningitis. - The clinical picture and Gram stain (showing bacterial morphology, specifically Gram-negative diplococci) point to a bacterial rather than a fungal etiology. Therefore, initiation of an antifungal agent would be inappropriate.
Explanation: ***Plasma vasoactive intestinal peptide*** - The patient's symptoms of **profuse watery diarrhea** (4 liters/24 hours, even during fasting), **hypokalemia** (3.1 mEq/L), **facial flushing**, and **abdominal discomfort** are highly characteristic of a **VIPoma** (vasoactive intestinal peptide-secreting tumor). - **VIPomas** primarily secrete VIP, which causes significant fluid and electrolyte secretion into the gut, leading to secretory diarrhea, often accompanied by flushing and abdominal pain. *Plasma gastrin level* - Elevated gastrin levels are associated with **Zollinger-Ellison syndrome**, which presents with severe peptic ulcers, acid reflux, and often chronic diarrhea. - While diarrhea can occur, it's typically due to **acid inactivation of pancreatic enzymes** or mucosal damage, and the extent of watery diarrhea and specific electrolyte abnormalities (like profound hypokalemia) seen here point away from gastrinoma as the primary cause. *Plasma somatostatin level* - **Somatostatinomas** are rare tumors that can cause symptoms like diabetes mellitus, cholelithiasis, steatorrhea, and sometimes diarrhea. - The symptom complex of **profuse watery diarrhea, hypokalemia, and flushing** is not typical of a somatostatinoma; instead, the diarrhea would likely be osmotic due to malabsorption. *Urinary 5-hydroxyindoleacetic acid excretion* - Elevated **5-HIAA** in urine is the diagnostic test for **carcinoid syndrome**, which can cause diarrhea, flushing, and abdominal pain. - However, carcinoid-related diarrhea is often accompanied by **bronchospasm** and **cardiac valvular lesions**, which are absent here, and the diarrhea itself is not typically as profoundly watery and secretory as described. *Plasma glucagon level* - High glucagon levels are indicative of a **glucagonoma**, which typically presents with a characteristic **necrolytic migratory erythema** skin rash, diabetes mellitus, weight loss, and anemia. - While diarrhea can be a symptom, it is not the primary or most characteristic feature and the constellation of symptoms in this patient does not align with a glucagonoma.
Explanation: ***Malignancy*** - The patient's age (67), worsening back pain that is both activity-related and nocturnal, and new urinary symptoms (weakened stream) are concerning for **metastatic prostate cancer** to the spine. - Prostate cancer commonly metastasizes to bone and can cause osteoblastic lesions, leading to pain and potentially affecting spinal stability or compressing nerves. *Disc herniation* - While disc herniations can cause back pain, the patient's age and accompanying urinary symptoms make it less likely to be the primary diagnosis. - **Radicular symptoms** (e.g., sciatica, weakness in a specific myotome) are more characteristic of disc herniation, which are not described here beyond general muscle strength being normal. *Osteoporosis* - Osteoporosis can lead to **vertebral compression fractures** causing back pain, but it typically presents acutely with sudden pain after a fall or minor trauma, or as chronic dull back pain, not usually worsening with movement and nocturnal pain alongside urinary symptoms. - While common in older adults, it does not explain the urinary stream weakening. *Lumbar strain* - Lumbar strain is characterized by localized back pain, often following an injury or overuse, typically improving with rest. - The worsening pain, nocturnal symptoms, and urinary changes in an older patient strongly suggest a more serious underlying condition than a simple strain. *Lumbar spinal stenosis* - Lumbar spinal stenosis typically causes **neurogenic claudication**, where leg pain and weakness are worse with standing or walking and improve with sitting or leaning forward. - While it can cause back pain, the progressive and nocturnal nature of the pain, coupled with urinary flow issues, points away from simple stenosis as the primary explanation.
Explanation: ***Intravenous potassium chloride*** - As insulin therapy is initiated, **potassium** shifts from the extracellular to the intracellular space, which can lead to **hypokalemia**, even if the initial serum potassium level is normal or slightly elevated. - In DKA management, potassium replacement should be started once serum K+ is < 5.2 mEq/L (unless patient is anuric) to prevent potentially life-threatening **cardiac arrhythmias** from insulin-induced hypokalemia. - This patient's K+ is 4.3 mEq/L, making potassium replacement the immediate priority after starting insulin. *Intravenous 5% dextrose and 1/2 isotonic saline* - This option is indicated once the patient's **glucose levels** have fallen to around 200 mg/dL to prevent **hypoglycemia** and to continue providing free water for correction of hyperosmolality. - Using dextrose-containing fluids at this stage, with a glucose of 362 mg/dL, would worsen **hyperglycemia**. *Intravenous sodium bicarbonate* - **Bicarbonate therapy** is generally reserved for severe **acidosis** (pH < 6.9 or HCO3- < 5 mEq/L) in DKA, as rapid correction of acidosis can have adverse effects like **cerebral edema**. - This patient's HCO3- is 12 mEq/L, indicating moderate acidosis that will likely correct with **insulin** and **fluid resuscitation** alone. *Subcutaneous insulin glargine* - **Subcutaneous insulin glargine** (long-acting insulin) is appropriate to initiate in DKA patients once they are stable, able to tolerate oral intake, and **metabolic acidosis** has resolved, to bridge the transition off intravenous insulin. - However, in the acute management of DKA, intravenous regular **insulin drip** is preferred for its rapid onset and titratability. *Intravenous isotonic saline* - While **isotonic saline** (0.9% NaCl) is the initial fluid of choice for **volume resuscitation** in DKA, and the patient has already received a bolus, continued saline is important but not the *most appropriate next step* after starting the insulin drip. - The immediate concern after starting insulin is **potassium replacement** to prevent insulin-induced hypokalemia.
Explanation: ***VIPoma*** - The patient's presentation of **prolonged watery diarrhea** (over 10 bowel movements per day for 3 weeks) coupled with **hypokalemia** (K 2.1 mEq/L) and **hyponatremia** (Na 127 mEq/L) strongly points to a VIPoma. - Absence of abdominal pain and rash, along with improvement following **octreotide** (a somatostatin analog that inhibits VIP release), further supports this diagnosis. *Glucagonoma* - Characterized by **necrolytic migratory erythema** (a prominent skin rash) and often **diabetes mellitus**, neither of which are described in this patient. - While it can cause diarrhea, it typically presents with the characteristic rash. *Gastrinoma* - This typically presents with **Zollinger-Ellison syndrome**, which involves **severe, refractory peptic ulcers**, rather than primarily profuse watery diarrhea. - It also usually causes **elevated gastrin levels** and accompanying severe abdominal pain. *Somatostatinoma* - Often presents with a classic triad of **diabetes mellitus**, **cholelithiasis**, and **steatorrhea**, which are not reported in this case. - Diarrhea is usually due to malabsorption rather than secretory, watery diarrhea. *Insulinoma* - The primary symptom of an insulinoma is **hypoglycemia**, often presenting with neuroglycopenic symptoms (e.g., confusion, dizziness) due to excessive insulin secretion. - The patient's glucose level is normal (98 mg/dL), and her symptoms are unrelated to hypoglycemia.
Explanation: ***Right upper quadrant abdominal ultrasound*** - The patient presents with **acute pancreatitis** (epigastric pain radiating to back, elevated lipase >3x normal, vomiting). The **elevated ALT (140 U/L)** strongly suggests **biliary pancreatitis** caused by gallstones, as ALT >150 U/L or >3x normal has high specificity for gallstone etiology. - After initial fluid resuscitation, **RUQ ultrasound is the most appropriate next step** to identify **cholelithiasis or choledocholithiasis**. This determines whether the patient needs ERCP for bile duct stone removal and helps guide timing of cholecystectomy. - Ultrasound is **non-invasive, readily available**, and highly sensitive for detecting gallstones, which are the most common cause of acute pancreatitis in young women. *Contrast-enhanced abdominal CT scan* - While CT is excellent for **assessing severity and complications** of pancreatitis (necrosis, pseudocysts, abscesses), it is **not indicated in the initial management** of uncomplicated acute pancreatitis with a clear clinical diagnosis. - CT should be reserved for patients who **fail to improve after 48-72 hours**, have an uncertain diagnosis, or develop signs of complications (fever, worsening pain, organ dysfunction). - In this case, the diagnosis is already established (elevated lipase >3x normal + typical symptoms), and the patient is hemodynamically stable after initial resuscitation. *Plain x-ray of the abdomen* - **Plain abdominal X-ray has minimal utility** in acute pancreatitis. It may show a "sentinel loop" (localized ileus) or pancreatic calcifications in chronic pancreatitis, but these findings are nonspecific and do not guide management. - It cannot visualize the pancreas adequately or detect gallstones (most are radiolucent), making it unhelpful for diagnosis or determining etiology. *Blood alcohol level assay* - While **alcohol is a common cause** of acute pancreatitis, checking blood alcohol level **does not change acute management**. The patient had "drinks" at dinner, but alcohol-induced pancreatitis typically occurs with chronic heavy use. - The **elevated ALT strongly suggests biliary etiology**, making alcohol a less likely primary cause. Regardless of alcohol level, the immediate focus is on identifying gallstones to prevent recurrence and guide definitive treatment. *Measure serum triglycerides* - **Hypertriglyceridemia-induced pancreatitis** typically occurs when triglyceride levels exceed **1000 mg/dL**, often in patients with underlying lipid disorders or uncontrolled diabetes. - This patient has **no risk factors** for hypertriglyceridemia (young, previously healthy), and the elevated ALT points toward **biliary rather than metabolic etiology**. - While measuring triglycerides may be part of a comprehensive workup, it is not the most immediate next step compared to RUQ ultrasound to identify treatable gallstone disease.
Explanation: ***Endoscopic evaluation*** - This patient presents with **persistent heartburn** despite maximal medical therapy (omeprazole and ranitidine) and lifestyle modifications, which is a key indication for **endoscopic evaluation**. - Longstanding GERD symptoms, especially with failed medical management, warrant endoscopy to rule out complications like **esophagitis**, **Barrett's esophagus**, or **esophageal strictures**. *Abdominal radiographs* - **Abdominal radiographs** are not appropriate for evaluating symptoms of GERD as they do not visualize the esophagus or gastric mucosa. - This imaging modality is typically used for conditions like bowel obstruction or perforation, which are not suggested by this patient's presentation. *Start metoclopramide.* - While **metoclopramide** is a prokinetic agent that can help with gastric emptying, it has significant side effects, including **extrapyramidal symptoms**, and is usually reserved for refractory cases or gastroparesis. - Given the patient's existing prolonged symptoms and failed initial treatment, an investigation into the cause is more urgent than adding another medication with potential side effects. *Refer for bariatric surgery.* - Although the patient is overweight (BMI 26 kg/m2) and weight loss can improve GERD, a BMI of 26 kg/m2 does not meet the typical criteria for **bariatric surgery** (usually BMI >40 or >35 with comorbidities). - Furthermore, endoscopy is required to assess for complications of GERD before considering surgical interventions for GERD itself. *Prescribe a nicotine patch.* - Quitting smoking is an important lifestyle modification for GERD, and a **nicotine patch** can aid in smoking cessation. - However, addressing the underlying persistent symptoms and evaluating for complications with endoscopy takes precedence over solely focusing on smoking cessation at this point, especially since smoking cessation alone may not resolve severe, refractory GERD.
Explanation: ***Upper esophageal web*** - This patient's presentation with **dysphagia**, particularly for solids, anemia, and **microcytic hypochromic red blood cells**, is highly suggestive of **Plummer-Vinson syndrome**. - **Plummer-Vinson syndrome** is characterized by the triad of iron-deficiency anemia, dysphagia (due to esophageal webs), and atrophic glossitis. *Failure of the relaxation of lower esophageal sphincter* - This describes **achalasia**, which primarily involves **dysphagia for both solids and liquids**, often equally severe, unlike this patient's worse dysphagia for solids. - Achalasia is not directly associated with **iron-deficiency anemia** or esophageal webs. *Lower esophageal spasm* - This condition presents with **intermittent chest pain** and dysphagia, often described as a "corkscrew esophagus" on imaging. - It does not typically cause the progressive dysphagia or the **iron-deficiency anemia** seen in this patient. *Lower esophageal ring* - A **Schatzki ring** is a common cause of intermittent dysphagia for solids, but it is not directly associated with **iron-deficiency anemia**. - While it causes dysphagia, it typically does not present with the systemic symptoms of weakness, fatigue, and dyspnea unless the anemia is severe from another cause. *Esophageal carcinoma* - While esophageal carcinoma can cause **progressive dysphagia** and **anemia** due to chronic blood loss, it is often associated with significant **weight loss**, which this patient denies. - The combination of **microcytic hypochromic anemia** and dysphagia is more specifically linked to Plummer-Vinson syndrome in the absence of weight loss.
Explanation: ***Perform colonoscopy*** - **Colorectal cancer screening** with colonoscopy is generally recommended for individuals at average risk starting at age **45-50 years**. - This patient is **50 years old** and has no increased risk factors, making routine colonoscopy the most appropriate screening. *Perform BRCA gene test* - **BRCA gene testing** is indicated for individuals with a strong **family history** of breast or ovarian cancer, or those with personal history suggesting a genetic predisposition. - This patient has **no personal or family history** of serious illness, so BRCA testing is not warranted. *Perform abdominal ultrasound* - **Abdominal ultrasound** is typically used to investigate specific symptoms or screen for conditions like **abdominal aortic aneurysm** in high-risk individuals (e.g., male smokers over 65). - This patient has **no relevant symptoms** or risk factors for which routine abdominal ultrasound screening is recommended. *Perform 24-hour ECG* - A **24-hour ECG (Holter monitor)** is used to detect paroxysmal **arrhythmias** or evaluate symptoms like palpitations, syncope, or dizziness. - This patient is asymptomatic with a normal pulse and blood pressure; therefore, **routine 24-hour ECG** is not indicated. *Perform DEXA scan* - A **DEXA scan** is recommended for **osteoporosis screening** in women typically starting at age **65**, or earlier if they have significant risk factors like a history of fragility fractures or certain medical conditions. - At **50 years old** and with no apparent risk factors for osteoporosis, a DEXA scan is not yet routinely indicated according to general guidelines.
Explanation: ***IV fluids and NPO*** - The patient presents with **hematochezia** (bright red blood per rectum), indicating a lower gastrointestinal bleed. The **immediate first-line management** for any GI bleed involves **hemodynamic stabilization** with intravenous fluids and ensuring no oral intake (NPO) to prepare for diagnostic procedures like colonoscopy. - Given his stable vital signs and lack of pain, the immediate priority is **supportive care and resuscitation** followed by assessment of the bleeding source. All other interventions require diagnosis first via colonoscopy. - This patient likely has **diverticular bleeding** (most common cause of painless lower GI bleed in elderly) or **angiodysplasia/AVM**, but regardless of etiology, initial management is the same: stabilize first, diagnose second, treat third. *Surgical excision of poorly differentiated tissue* - This intervention would be appropriate for a **malignancy**, such as colon cancer. While colon cancer can cause lower GI bleeding, the presentation of a large volume of bright red blood without pain is less typical of cancer, which often presents with occult bleeding or changes in bowel habits. - There is no mention of a mass or other signs suggesting malignancy that would warrant immediate surgical excision without prior diagnostic workup. *Surgical resection of a blood vessel* - This is a highly invasive procedure usually reserved for **severe, refractory bleeding** that cannot be controlled by less invasive means. - There is no indication of ongoing hemodynamic instability or failure of endoscopic control that would necessitate immediate surgical resection of a blood vessel. *NPO, ciprofloxacin, and metronidazole* - This treatment regimen (NPO and broad-spectrum antibiotics) would be appropriate for **diverticulitis**, an inflammatory condition of diverticula. - However, diverticulitis typically presents with **abdominal pain**, fever, and localized tenderness, which are absent in this patient's presentation of painless large volume hematochezia. *Cautery of an arteriovenous malformation* - **Arteriovenous malformations (AVMs)** or angiodysplasias are a common cause of lower GI bleeding, especially in older patients, and often present with painless hematochezia. Cautery is a common endoscopic treatment for AVMs. - While AVMs are a likely diagnosis, **endoscopic intervention** like cautery follows initial patient stabilization and diagnostic colonoscopy—it's not the immediate first step in the emergency department.
Explanation: ***Lifestyle measures*** - **Lifestyle changes** are the **first-line intervention** for **gout** prevention, addressing risk factors like **obesity**, **alcohol consumption**, and certain dietary habits. - These measures include **weight loss**, reducing **alcohol intake** (especially beer and spirits), avoiding **purine-rich foods**, and increasing **hydration**. *Probenecid* - **Probenecid** is a **uricosuric agent** that increases the excretion of uric acid in the urine. - It is typically used for gout prevention in patients who are **under-excreters of uric acid** and have **normal kidney function**, after lifestyle measures have failed or are insufficient. *Allopurinol* - **Allopurinol** is a **xanthine oxidase inhibitor** that reduces the production of uric acid. - It is often considered in patients with **recurrent gout attacks**, **tophi**, or **renal stones**, but initial management should still focus on lifestyle modifications. *Hydrochlorothiazide* - **Hydrochlorothiazide** is a **thiazide diuretic** often used for **hypertension**. - It can **increase serum uric acid levels** and potentially worsen gout, so it would not be a preventative measure. *Niacin* - **Niacin** (vitamin B3) is sometimes used to **lower cholesterol**, but it can also **increase uric acid levels** and thus precipitate or worsen gout. - Therefore, it is **contraindicated** in gout management and would not be an appropriate preventative intervention.
Explanation: ***Ischemic colitis*** - The patient's presentation with **abdominal pain**, **fever**, **tachycardia**, **hypotension**, **diffuse tenderness with guarding**, **positive fecal occult blood**, **leukocytosis**, and **metabolic acidosis** after starting **alosetron** is highly suggestive of ischemic colitis. Alosetron, a 5-HT3 antagonist, can cause severe constipation and, rarely, **ischemic colitis**. - The **hypoactive bowel sounds** and signs of **systemic inflammatory response** (fever, tachycardia, leukocytosis) further support a diagnosis of ischemic bowel compromise leading to colitis. *Perforated duodenal ulcer* - A perforated duodenal ulcer typically presents with sudden onset, **severe, sharp epigastric pain** that rapidly generalizes, often with a rigid, board-like abdomen and **rebound tenderness**, which is not seen here. - While it can cause peritonitis and systemic signs, the history of recent medication change and more diffuse abdominal tenderness points away from an isolated perforation. *Pseudomembranous colitis* - Pseudomembranous colitis is primarily associated with **Clostridium difficile infection**, often following antibiotic use, and typically presents with severe watery diarrhea, not necessarily with a metabolic acidosis or overt signs of ischemia as seen in this case. - While it can cause abdominal pain and systemic symptoms, the acute onset with severe tenderness and shock-like picture makes ischemic colitis more likely given the drug history. *Appendicitis* - Appendicitis typically presents with **periumbilical pain** that migrates to the **right lower quadrant**, often with localized tenderness at McBurney's point and rebound tenderness. - The patient's **diffuse abdominal tenderness**, associated with such severe systemic symptoms and a history of specific medication use, is inconsistent with typical appendicitis. *Crohn’s disease* - Crohn's disease is a **chronic inflammatory bowel condition** characterized by transmural inflammation, often with intermittent abdominal pain, diarrhea, and weight loss, but it is less likely to present acutely with such severe, systemic signs and shock-like features without a clear exacerbating factor like acute ischemia. - While Crohn's can cause complications like strictures or fistulas, an acute presentation resembling ischemic colitis with a clear provoking drug history is less common for an initial severe flare.
Explanation: ***Begin Omeprazole therapy*** - **Epigastric discomfort after meals** and **dry cough worse in the morning** are classic symptoms of **gastroesophageal reflux disease (GERD)**. - For **typical GERD symptoms without alarm features**, the most appropriate next step is an **empirical trial of PPI therapy** (proton pump inhibitor such as omeprazole) for 4-8 weeks. - **Current guidelines** from the American College of Gastroenterology recommend **PPI therapy as first-line treatment** for typical GERD, as lifestyle modifications alone are often insufficient. - The patient has had symptoms increasing over several months, warranting pharmacologic intervention. *Lifestyle modifications* - While lifestyle modifications (weight loss, avoiding late meals, elevating head of bed, avoiding trigger foods) are **important adjunctive measures**, they are **not sufficient as monotherapy** for established GERD. - These should be recommended **in addition to PPI therapy**, not as a standalone initial treatment for symptomatic GERD. *Fluoroscopic barium swallow* - This study is useful for evaluating **dysphagia**, esophageal strictures, or motility disorders, which are not the primary complaints here. - It is generally not indicated for uncomplicated GERD without structural concerns. *EGD with esophageal biopsy* - **Esophagogastroduodenoscopy (EGD)** with biopsy is indicated for **alarm symptoms** such as dysphagia, odynophagia, weight loss, anemia, or **failure of empirical PPI therapy** after 4-8 weeks. - The patient presents with typical GERD symptoms without alarm features, making diagnostic endoscopy premature before a therapeutic trial. *Electrocardiogram* - While chest pain can sometimes mimic cardiac pain, this patient's symptoms are primarily **epigastric and postprandial** with a **chronic cough**. - There are no concerning cardiac symptoms such as exertional chest pain, diaphoresis, dyspnea, or radiation to the arm/jaw that would warrant ECG evaluation.
Explanation: ***Acidic urine*** - The patient has gout, a risk factor for **uric acid stones**. **Uric acid stones** are radiolucent on X-ray and have low Hounsfield units on CT, consistent with the findings. - Formation of uric acid stones is favored in an **acidic urine environment** (pH < 5.5), where uric acid is less soluble. *Alkaline urine* - **Alkaline urine** (pH > 7.0) is typically associated with **struvite stones** (magnesium ammonium phosphate), which form in the presence of urinary tract infections with urea-splitting organisms. - The patient's presentation and CT findings are not suggestive of struvite stones or infection as the primary cause. *Positive leukocyte esterase* - **Leukocyte esterase** indicates the presence of white blood cells in the urine, suggesting a **urinary tract infection (UTI)**. - While kidney stones can predispose to UTIs, the patient's presentation focuses on colic pain and stone passage, and there are no direct indications of active infection, making a UTI less likely to be the primary finding compared to acidic urine with uric acid stones. *Nitrites* - **Nitrites** in urine are a strong indicator of a **urinary tract infection (UTI)**, as many gram-negative bacteria convert nitrates to nitrites. - Similar to positive leukocyte esterase, while a UTI is possible, the primary diagnostic features in this scenario point towards uric acid stones. *Low specific gravity* - **Low specific gravity** suggests dilute urine, which is generally protective against stone formation as it reduces the concentration of stone-forming substances. - In a patient with active stone formation and symptoms of ureteral obstruction, the urine specific gravity may be normal or even elevated due to dehydration or concentrated urine, not low.
Explanation: ***Auscultate the abdomen*** - Auscultation is typically performed first in an abdominal exam to assess **bowel sounds** and identify any bruits, as palpation and percussion can alter bowel sound characteristics. - While the patient has **peritonitis (rigid abdomen)**, initial auscultation is still the logical starting point for a comprehensive physical examination. *Elicit shifting dullness of the abdomen* - **Shifting dullness** is used to detect **ascites**, which is not the primary concern given the acute onset of severe pain and rigid abdomen. - This maneuver typically comes later in the abdominal examination, after initial auscultation and palpation. *Perform light palpation at the point of maximal pain* - Given the patient's **rigid abdomen**, suggesting peritonitis, performing palpation (even light) at the point of maximal pain could cause significant discomfort and is secondary to initial auscultation in the *sequence* of physical exam. - While palpation is crucial, the standard order in an abdominal exam begins with auscultation to ensure unchanged bowel sounds. *Attempt to perform a deep, slow palpation with quick release* - This describes evaluating for **rebound tenderness**, a sign of peritonitis, which is indeed suggested by the rigid abdomen. - However, just like light palpation, this maneuver is performed *after* auscultation and is likely to cause significant pain in a patient with a rigid abdomen, making it not the very next best step. *Percuss the point of maximal pain* - Percussion is typically used to assess for **gas, fluid, or organ size/tenderness**, but it is performed after auscultation and before deep palpation in a standard abdominal exam. - In a patient with a **rigid abdomen**, percussion can also elicit severe pain, and it does not precede auscultation in the examination sequence.
Explanation: ***Colonoscopy*** - The patient presents with **bloody diarrhea** and **lower abdominal pain**, which are classic symptoms of inflammatory bowel disease (IBD), particularly **Crohn's disease** or **ulcerative colitis**. A colonoscopy allows for direct visualization of the colonic and terminal ileal mucosa, **biopsy collection** for histological confirmation, and assessment of disease extent and severity. - While the patient's hemoglobin is currently normal, the presence of bloody stools indicates potential ongoing blood loss, and the history of fatigue suggests chronic inflammation. **Colonoscopy is the gold standard** for diagnosing and differentiating types of IBD. *D-xylose absorption test* - This test is used to assess **small bowel mucosal function** and carbohydrate absorption, typically in cases of suspected malabsorption like **celiac disease**. - While malabsorption can cause fatigue, the patient's primary symptoms of bloody diarrhea and abdominal pain are not typical for isolated malabsorption, and a d-xylose test would not identify the source of bleeding. *CT scan of the abdomen and pelvis with contrast* - A CT scan can identify **extraintestinal manifestations** of IBD, abscesses, or bowel wall thickening, but it is **less sensitive** than colonoscopy for direct mucosal evaluation and cannot obtain biopsies for definitive diagnosis. - It might be considered after colonoscopy for assessing transmural involvement or complications but is not the initial diagnostic step for primary luminal symptoms. *Capsule endoscopy* - Capsule endoscopy is primarily used to evaluate the **small bowel** for lesions beyond the reach of standard upper endoscopy and colonoscopy, such as obscure GI bleeding or suspected Crohn's disease confined to the small bowel. - Given the patient's symptoms of **lower abdominal pain** and bloody diarrhea, the pathology is likely in the colon or terminal ileum, making colonoscopy more appropriate for initial evaluation. A capsule endoscopy does not visualize the colon. *Flexible sigmoidoscopy* - A flexible sigmoidoscopy visualizes the **rectum and a portion of the sigmoid colon**, which might be affected in ulcerative colitis. - However, it would miss lesions in the more proximal colon or terminal ileum, which are common sites for Crohn's disease and some forms of ulcerative colitis, thus potentially leading to an incomplete diagnosis.
Explanation: ***Hypersensitivity to gliadin*** * The patient's symptoms (greasy, foul-smelling stools, weight loss, abdominal cramps, bloating, diarrhea, pallor, cheilitis, iron-deficiency anemia) are highly suggestive of **malabsorption**. * The **impaired d-xylose absorption** that does not improve after antibiotics points to an intrinsic small bowel mucosal defect rather than bacterial overgrowth, making celiac disease (hypersensitivity to gliadin) the most likely diagnosis. *Exocrine pancreatic insufficiency* * While it causes **steatorrhea** and malabsorption, it typically presents with normal d-xylose absorption because **d-xylose is a monosaccharide that is absorbed directly by the intestinal mucosa without requiring pancreatic enzymes**. * The normal function of the small intestinal mucosa would allow for adequate d-xylose absorption. *Bacterial overgrowth in the small intestine* * Symptoms can mimic malabsorption, and d-xylose absorption may be impaired due to bacterial consumption. * However, the patient's d-xylose test did not improve after a course of **rifaximin**, which is an antibiotic effective against bacterial overgrowth. *Tropheryma whipplei infection* * Whipple's disease can cause malabsorption, **steatorrhea**, and abdominal symptoms similar to those described. * However, it also commonly presents with **arthralgia, lymphadenopathy, and neurological symptoms**, which are absent in this patient. *Lactose intolerance* * This condition primarily causes bloating, cramps, and diarrhea, but typically does not lead to **significant weight loss** or **steatorrhea (greasy stools)**. * D-xylose absorption would also be expected to be normal because it is a **monosaccharide** that is absorbed directly, unlike lactose which requires lactase.
Explanation: ***Anti-cyclic citrullinated peptide*** - **Anti-cyclic citrullinated peptide (anti-CCP)** antibodies are highly specific for **rheumatoid arthritis (RA)** and are often present early in the disease course. - The patient's presentation with **symmetric polyarthritis**, particularly affecting the **wrists and metacarpophalangeal joints**, with severe **morning stiffness**, is classic for RA. *c-ANCA* - **c-ANCA (cytoplasmic antineutrophil cytoplasmic antibodies)** are primarily associated with **granulomatosis with polyangiitis (Wegener's)**, a systemic vasculitis. - This condition typically presents with symptoms such as **upper and lower respiratory tract involvement**, **renal disease**, and constitutional symptoms, which are not described here. *Anti-Ro* - **Anti-Ro (SS-A)** antibodies are strongly associated with **Sjögren's syndrome**, a chronic autoimmune disease characterized by dry eyes and mouth, and also with **systemic lupus erythematosus (SLE)**. - While Sjögren's can present with arthritis, the prominent joint inflammation and morning stiffness described are more characteristic of rheumatoid arthritis. *Anti-Scl-70* - **Anti-Scl-70 (anti-topoisomerase I)** antibodies are highly specific for **systemic sclerosis (scleroderma)**, particularly the diffuse cutaneous form. - Scleroderma presents with **skin thickening**, **Raynaud's phenomenon**, and potential involvement of internal organs like the lungs and esophagus, which are absent in this patient's presentation. *Rheumatoid factor* - **Rheumatoid factor (RF)** is often positive in **rheumatoid arthritis**, but it is less specific than anti-CCP antibodies. - RF can also be elevated in other autoimmune diseases, chronic infections, and even in healthy individuals, making it a less specific diagnostic marker.
Explanation: **Rapid resuscitation with hypertonic saline** - The patient presents with **severe hyponatremia** (120 mEq/L) and neurological symptoms (drowsiness, disorientation, history of unconsciousness), indicating a need for **urgent correction** to prevent cerebral edema. - **Hypertonic saline** (e.g., 3%) is indicated for severe symptomatic hyponatremia to rapidly increase serum sodium levels and reduce brain swelling. *Fluid restriction* - **Fluid restriction** is a conservative measure appropriate for **mild to moderate asymptomatic hyponatremia** or as an adjunct in SIADH management once severe symptoms are controlled. - It would be too slow to address the patient's acute neurological symptoms and severe hyponatremia, potentially delaying critical treatment. *Tolvaptan* - **Tolvaptan** is a **vasopressin receptor antagonist** used in the treatment of **euvolemic or hypervolemic hyponatremia**, often in the context of SIADH. - Its use is generally reserved for patients who have not responded to fluid restriction and is **contraindicated** in patients with severe symptoms or to rapidly correct severe hyponatremia due to the risk of overly rapid correction and osmotic demyelination syndrome. *Lithium* - **Lithium** is primarily used as a **mood stabilizer** in psychiatric conditions, particularly bipolar disorder. - It can cause **nephrogenic diabetes insipidus** as a side effect and is not a treatment for hyponatremia. *Desmopressin* - **Desmopressin** is a synthetic analog of **antidiuretic hormone (ADH)** and is used to treat **diabetes insipidus** or nocturnal enuresis. - Administering desmopressin would **worsen hyponatremia** by promoting water reabsorption, making it an inappropriate choice for this patient.
Explanation: ***Reticulocyte count*** - The patient presents with **fatigue, pallor, and anemia (Hb 11.0 g/dL)**. Given the acute illness (flu-like symptoms) and underlying chronic fatigue, a **reticulocyte count** helps determine if the bone marrow is adequately responding to the anemia. - A low or inappropriately normal reticulocyte count in the setting of anemia suggests a problem with **red blood cell production** (e.g., marrow suppression, nutritional deficiency), while a high count would suggest hemolysis or acute blood loss. *Serum iron level* - While iron-deficiency anemia is common, the patient's **MCV of 82 fL** is within the normal range, suggesting a **normocytic anemia**, which makes iron deficiency less likely as a primary cause without further investigation. - Furthermore, **serum iron levels** can be acutely affected by inflammation or infection, making them unreliable in the presence of acute flu-like symptoms. *Serum ferritin level* - **Ferritin** is an acute-phase reactant; therefore, in the context of an acute infection or inflammation (flu-like symptoms, fever), a **serum ferritin level** can be falsely elevated, masking true iron deficiency, which makes it less reliable as the *best first* diagnostic test in this scenario. - While low ferritin is diagnostic of iron deficiency, a normal or even elevated ferritin does not rule it out in the presence of inflammation, thus complicating interpretation. *Hemoglobin electrophoresis* - **Hemoglobin electrophoresis** is used to diagnose **hemoglobinopathies** like **sickle cell disease** or **thalassemia**. There are no clinical or laboratory findings (e.g., microcytosis, prior family history of hemoglobinopathies) to suggest this as the most appropriate initial investigation for this patient's acute presentation. - The patient's **normocytic anemia** (MCV 82 fL) further argues against typical thalassemia presentations, which are usually microcytic. *Serum folate level* - **Folate deficiency** typically causes a **macrocytic anemia** (elevated MCV), which is not observed in this patient (MCV 82 fL being normocytic). - There are no specific risk factors or clinical signs presented that would clearly point towards folate deficiency as the primary cause for her anemia.
Explanation: ***In the pyloric channel within 3 cm of the pylorus*** - Gastric ulcers in **heavy acid producers** characteristically occur in the **distal stomach**, particularly the **prepyloric region and pyloric channel**. - This location represents the area of highest acid exposure in the stomach and shares pathophysiology similar to **duodenal ulcers**, which are the most common peptic ulcers in hypersecretory states. - The pyloric channel location is exposed to both high acid and pepsin concentrations, making it vulnerable to ulceration in patients with increased acid production. - **Type III gastric ulcers** (prepyloric) are specifically associated with acid hypersecretion, similar to duodenal ulcers. *Along the lesser curve at the incisura angularis* - While the **lesser curvature** is a common site for gastric ulcers, these are typically **Type II gastric ulcers** that occur in the body of the stomach. - Lesser curvature ulcers are more commonly associated with **normal or low acid production** and impaired mucosal defense mechanisms rather than acid hypersecretion. - The incisura angularis location is more typical of ulcers related to **H. pylori infection** or **NSAID use**, not primary acid overproduction. *Proximal gastroesophageal ulcer near the gastroesophageal junction* - Ulcers in this location represent **Type I gastric ulcers** or are related to **gastroesophageal reflux disease (GERD)**. - These are not characteristic of heavy acid producers with typical gastric peptic ulcer disease. - This location would suggest reflux esophagitis or Barrett's esophagus rather than a primary gastric ulcer. *Multiple sites throughout the stomach* - Multiple gastric ulcers suggest **NSAID use**, severe **stress ulcers** (Cushing's or Curling's), or widespread **H. pylori infection**. - The clinical scenario describes a single ulcer in a patient not taking medications, making this unlikely. - Heavy acid production typically causes a single, localized ulcer rather than multiple ulcers. *In the body* - Gastric body ulcers (**Type I**) are the most common type of gastric ulcer overall, but they occur in patients with **normal or decreased acid secretion**. - These ulcers result from impaired mucosal defense rather than acid hypersecretion. - A heavy acid producer would not typically develop an isolated body ulcer; this presentation is inconsistent with the pathophysiology described.
Explanation: ***Acute mesenteric ischemia*** - The patient has multiple risk factors for **mesenteric ischemia**, including **atrial fibrillation** (predisposing to emboli), **coronary artery disease, stroke**, and **smoking history**. Critically, he is **not anticoagulated** despite AF due to bleeding ulcers, significantly increasing embolic risk. - The **acute onset of severe abdominal pain out of proportion to physical exam findings** (diffuse tenderness, decreased bowel sounds) in a patient with these risk factors is highly suggestive of mesenteric ischemia. - The **lactic acidosis** (indicated by HCO3 of 12 mEq/L) and elevated pulse rate are consistent with **ischemic bowel**, as tissue hypoxia leads to anaerobic metabolism and lactate production. - **Elevated amylase can occur in mesenteric ischemia** due to bowel wall hypoxia and increased intestinal permeability. *Acute cholecystitis* - Characterized by **right upper quadrant pain**, **Murphy's sign**, **fever**, and often **vomiting**, which are not present in this patient. - The diffuse abdominal tenderness and strong vascular risk factors point away from this diagnosis. *Peptic ulcer perforation* - Typically presents with **sudden onset, severe, diffuse abdominal pain** with a **rigid, board-like abdomen** (peritonitis signs) and often **free air on imaging**. - While the patient has a history of peptic ulcer disease, the absence of peritoneal signs like rigidity and the presence of significant vascular disease with lactic acidosis make mesenteric ischemia more likely. *Diabetic ketoacidosis* - Characterized by **hyperglycemia**, **anion gap metabolic acidosis**, **ketonemia/ketonuria**, and often **vomiting** and **altered mental status**. - Although there is hyperglycemia (190 mg/dL) and metabolic acidosis, this glucose level is not high enough for DKA (typically >250 mg/dL), and the absence of vomiting, mental status changes, and ketonuria make this unlikely. - The severity of acidosis (HCO3 12) with only modest hyperglycemia suggests **lactic acidosis** from tissue ischemia rather than DKA. *Acute pancreatitis* - Typically presents with **epigastric pain radiating to the back**, often associated with **nausea and vomiting**. - While the amylase is elevated at 3.7 times the upper limit of normal (which meets diagnostic criteria), **amylase elevation can also occur in mesenteric ischemia** due to intestinal hypoxia and increased permeability. - The **clinical context strongly favors ischemia**: multiple vascular risk factors, pain out of proportion to exam, severe lactic acidosis, and lack of typical pancreatitis features (epigastric/back pain pattern). - The profound metabolic acidosis (HCO3 12) is more severe than typically seen in uncomplicated pancreatitis and suggests tissue ischemia.
Explanation: ***Esophageal tear*** - This patient's presentation of **hematemesis** after prolonged, forceful vomiting, especially following substantial alcohol consumption, is highly characteristic of a **Mallory-Weiss tear**. - A Mallory-Weiss tear is a **longitudinal mucosal laceration** at the gastroesophageal junction, caused by the sudden increase in **intra-abdominal and intra-gastric pressure** during retching or vomiting. *Portal hypertension* - While portal hypertension can lead to upper GI bleeding from **esophageal varices**, there is no clinical evidence of **chronic liver disease** (e.g., jaundice, ascites, spider angiomata) in this otherwise healthy young man. - The patient's unremarkable medical history and acute onset of symptoms after an episode of severe vomiting are not typical for a new presentation of chronic **portal hypertension**. *Esophageal metaplasia* - **Esophageal metaplasia (Barrett's esophagus)** is a change in the lining of the esophagus from squamous to columnar epithelium, usually due to chronic gastroesophageal reflux disease (GERD). - It is an asymptomatic precursor to adenocarcinoma and does not cause acute, massive hematemesis without associated ulceration or malignancy. *Esophageal varices* - **Esophageal varices** are dilated veins in the lower esophagus that can rupture and cause life-threatening bleeding, typically due to **portal hypertension** from cirrhosis or other liver diseases. - The patient's lack of a history of liver disease and the context of excessive vomiting make variceal bleeding less likely than a Mallory-Weiss tear. *Esophageal perforation* - **Esophageal perforation (Boerhaave syndrome)** is a transmural tear of the esophagus, also associated with severe vomiting, but it presents with more severe symptoms. - Key differentiating features include **severe retrosternal chest pain**, **dyspnea**, **subcutaneous emphysema**, and potentially **septic shock** due to mediastinitis, none of which are described in this patient.
Explanation: ***Fasting blood glucose*** - This patient has a **BMI of 32 kg/m² (obesity)** and is 48 years old, which are significant risk factors for **type 2 diabetes mellitus**. - The American Diabetes Association (ADA) recommends screening for type 2 diabetes with a **fasting plasma glucose**, 2-hour 75-g oral glucose tolerance test, or HbA1c in asymptomatic adults who are overweight or obese (BMI ≥25 kg/m² or ≥23 kg/m² in Asian Americans) and have one or more additional risk factors, or starting at age 35 for all individuals. - Her **last glucose measurement was 3 years ago**, making rescreening appropriate at this visit. - Given her obesity and the time interval, **diabetes screening is the highest priority preventative test** at this time. *Abdominal ultrasound* - An abdominal ultrasound is generally not indicated as a routine screening test in an asymptomatic 48-year-old woman without specific risk factors for abdominal pathology. - While it's used to diagnose conditions like **gallstones** or **hepatic steatosis**, it is not a recommended preventative screening measure in this context. *Colonoscopy* - Routine screening colonoscopy is recommended starting at **age 45** for individuals of average risk. - While this patient is 48 and colonoscopy screening would be appropriate if not previously done, the question provides no information about prior colonoscopy screening. - More importantly, given her **obesity and 3-year interval since last glucose check**, diabetes screening takes priority as the most indicated test "at this time." *Pap smear* - The patient had a normal Pap test 2 years ago, and recommended screening intervals are typically every **3 years for cytology alone** or every 5 years for co-testing (cytology plus HPV) in women aged 30-65. - Thus, a Pap smear is not indicated for another year based on current guidelines. *Chest CT* - Chest CT for lung cancer screening is indicated only for individuals with a significant **smoking history (≥20 pack-years)** and who are current smokers or have quit within the last 15 years, aged 50-80. - This patient has a 3-pack-year history and is a former smoker, placing her well below the threshold for lung cancer screening with chest CT.
Explanation: ***Hydrocodone and indomethacin*** - The patient presents with **acute renal colic** due to a 4-mm obstructing ureteral stone, indicated by severe, colicky flank pain radiating to the groin, hematuria, and mild hydronephrosis on CT. - The primary management goal is **adequate pain control** while allowing time for spontaneous stone passage (stones <5 mm have ~80% spontaneous passage rate). - **Indomethacin (NSAID)** is first-line therapy for renal colic, providing analgesia by reducing prostaglandin-mediated inflammation and decreasing ureteral spasm. - **Hydrocodone (opioid analgesic)** is added for additional pain relief given the severity of symptoms (patient writhing in pain, tachycardic), as monotherapy may be insufficient for severe renal colic. - The combination provides multimodal analgesia for optimal pain control in this acute setting. *Potassium citrate* - **Potassium citrate** alkalinizes urine and is used for **prevention of recurrent stones** (particularly calcium oxalate and uric acid stones). - This is a long-term preventive measure, not indicated for acute pain management of an obstructing stone. *24-hour urine chemistry* - **24-hour urine collection** evaluates metabolic abnormalities contributing to stone formation (calcium, oxalate, citrate, uric acid levels). - This is appropriate for **recurrence prevention workup** after the acute episode resolves, not for immediate management of acute renal colic. *Emergency percutaneous nephrostomy* - **Percutaneous nephrostomy** is indicated for: obstructive uropathy with **concomitant infection (obstructive pyelonephritis)**, **solitary kidney with obstruction**, **bilateral obstruction**, **acute kidney injury**, or **refractory pain** despite maximal medical therapy. - This patient has no fever/signs of infection, no evidence of acute kidney injury, and has not yet received adequate analgesic trial; thus, emergency decompression is not indicated. *Lithotripsy* - **Extracorporeal shock wave lithotripsy (ESWL)** or ureteroscopy are options for stones unlikely to pass spontaneously. - A **4-mm stone at the ureteropelvic junction** has a high probability of spontaneous passage with conservative management (hydration, analgesia, medical expulsive therapy). - Intervention is typically reserved for: stones >10 mm, persistent obstruction >4-6 weeks, intractable pain, or progressive kidney injury.
Explanation: ***Esophageal smooth muscle atrophy and fibrosis*** - The constellation of **progressive dysphagia** (both solids and liquids), **Raynaud's phenomenon** (episodic pallor of fingers since adolescence), **skin thickening of fingers**, **small white papules on fingertips** (calcinosis), and **telangiectasias** (dilated blood vessels on face, lips, tongue) strongly points to **systemic sclerosis (scleroderma)**, specifically its limited form (CREST syndrome). - In systemic sclerosis, **smooth muscle atrophy and fibrosis** in the esophagus lead to impaired peristalsis and esophageal sphincter dysfunction, causing the dysphagia. *Degeneration of upper and lower motor neurons* - This describes **amyotrophic lateral sclerosis (ALS)**, which can present with dysphagia due to bulbar involvement. However, ALS does not explain the cutaneous manifestations, Raynaud's phenomenon, or telangiectasias seen in this patient. - The dysphagia in ALS is typically due to **neuromuscular weakness** rather than primary esophageal structural changes. *Uncoordinated contractions of the esophagus* - This indicates **esophageal motility disorders** like **diffuse esophageal spasm** or **achalasia**. While these can cause dysphagia, they are less likely given the systemic features of scleroderma. - **Achalasia** is characterized by failure of the lower esophageal sphincter to relax and aperistalsis, often from neural degeneration, but it is not typically associated with the widespread systemic findings of scleroderma. *Outpouching of the lower pharyngeal mucosa and submucosa* - This describes **Zenker's diverticulum**, which typically causes dysphagia, regurgitation of undigested food, and halitosis, but would not explain the systemic features like skin changes or Raynaud's phenomenon. - The dysphagia from a Zenker's diverticulum is usually due to mechanical obstruction and pooling of food, rather than a primary motility disorder of the esophagus. *Protrusion of thin tissue membranes into the esophagus* - This refers to **esophageal webs**, which most commonly cause intermittent dysphagia to solids, and are often located in the upper esophagus. - Esophageal webs are not associated with the extensive systemic manifestations present in this patient, such as Raynaud's phenomenon, telangiectasias, or sclerodactyly.
Explanation: ***Renal biopsy*** - The patient presents with classic symptoms of **systemic lupus erythematosus (SLE)**, including photosensitive malar rash, oral ulcers, leukopenia, thrombocytopenia, elevated ESR, positive ANA, and positive anti-Smith antibodies. The presence of **proteinuria** (3+) and **pyuria** (WBCs 10-15/hpf) indicates significant renal involvement, likely **lupus nephritis**. - A **renal biopsy** is essential to determine the **class of lupus nephritis**, which guides treatment and prognosis. This is a critical next step before initiating specific immunosuppressive therapy. *Pathergy skin testing* - **Pathergy testing** is used to diagnose **Behcet's disease**, an inflammatory disorder characterized by recurrent oral and genital ulcers, skin lesions, and uveitis. - While oral ulcers are present, the overall clinical picture, particularly the photosensitive rash, positive ANA and anti-Smith antibodies, and significant hematologic and renal abnormalities, points away from Behcet's disease and towards SLE. *Administration of hydroxychloroquine* - **Hydroxychloroquine** is a standard treatment for SLE, particularly for cutaneous symptoms, musculoskeletal involvement, and for preventing disease flares and organ damage. - However, given the evidence of **significant renal involvement** (proteinuria, pyuria) and the need to classify the lupus nephritis, a renal biopsy is a more immediate and crucial step before initiating general SLE treatment. *Skin biopsy* - A **skin biopsy** could confirm lupus-related skin changes (e.g., discoid lupus or subacute cutaneous lupus), but the diagnosis of SLE is already strongly suggested by the other clinical and serological findings. - A skin biopsy would not provide information about the **severity or type of renal involvement**, which is critical for guiding immediate and specific treatment for lupus nephritis. *Administration of azathioprine* - **Azathioprine** is an immunosuppressant used in SLE, particularly for lupus nephritis or other severe organ involvement, often as maintenance therapy or in combination with corticosteroids. - Similar to hydroxychloroquine, while it may be part of the future treatment plan, initiating this medication without first classifying the **lupus nephritis via renal biopsy** would be premature and potentially suboptimal. The specific class of lupus nephritis determines the most appropriate and aggressive immunosuppressive regimen.
Explanation: ***Begin potassium replacement therapy with dextrose*** - The patient presents with **muscle weakness**, **hypokalemia** (2.9 mEq/L), and **metabolic acidosis** (HCO3- 18 mEq/L, normal anion gap since Na - Cl - HCO3 = 137 - 106 - 18 = 13). These findings, along with a history of calcium phosphate nephrolithiasis and relatively alkaline urine (pH 5.6) in the presence of acidosis, point to **distal renal tubular acidosis (Type 1 RTA)**. - **Potassium replacement** is crucial given the severe hypokalemia, which is likely contributing to the muscle weakness. Potassium is typically administered in dextrose-containing fluids to provide a vehicle for safe intravenous administration and prevent venous irritation from concentrated potassium solutions. *Administer intravenous sodium bicarbonate* - While the patient has **metabolic acidosis**, sodium bicarbonate is not the immediate priority and could worsen hypokalemia by driving potassium intracellularly through alkalinization. - The primary issue is the **renal inability to excrete acid** *and* conserve potassium. Both potassium repletion and bicarbonate therapy will ultimately be needed for Type 1 RTA, but **potassium repletion is the immediate priority** given the severe hypokalemia and muscle weakness. *Increase the methotrexate dose* - The patient's **rheumatoid arthritis** is treated with methotrexate, but there is no indication that her current symptoms are related to RA flare or that her methotrexate dose is insufficient. - Increasing methotrexate would not address the **hypokalemia**, **metabolic acidosis**, or **muscle weakness**. *Administer intravenous insulin* - The patient has type II diabetes, but her **blood glucose** (115 mg/dL) is well-controlled and does not warrant immediate intravenous insulin. - **Insulin would be contraindicated** in this setting as it drives potassium into cells, which would worsen the patient's life-threatening hypokalemia. *Administer hydrochlorothiazide* - **Hydrochlorothiazide** is a thiazide diuretic that causes **hypokalemia** and **metabolic alkalosis**. - Administering hydrochlorothiazide would be contraindicated in this patient as it would exacerbate her existing hypokalemia and would not address the underlying **Type 1 RTA** or metabolic acidosis.
Explanation: **Radiograph sacroiliac joint** - Plain **radiographs of the sacroiliac (SI) joints** are typically the **initial imaging modality** for suspected **ankylosing spondylitis** due to affordability and diagnostic value. - They can reveal characteristic changes such as **sacroiliitis (joint erosion, sclerosis, fusion)**, which are common in early-stage disease. *HLA-B27* - While a **positive HLA-B27** is associated with ankylosing spondylitis, it is **not diagnostic** on its own, as many HLA-B27 positive individuals never develop the disease. - Its use is more in **confirming suspicion** or in cases where imaging is equivocal, but it's not the primary diagnostic test. *Slit-lamp examination* - A slit-lamp examination is used to detect **uveitis**, which can be an **extra-articular manifestation** of ankylosing spondylitis. - However, it is not a primary diagnostic test for the condition itself, and its utility arises once the diagnosis is strongly considered or established. *MRI sacroiliac joint* - **MRI of the sacroiliac (SI) joints** is more sensitive than radiographs for detecting **early inflammatory changes** (e.g., bone marrow edema) that may not be visible on plain films. - However, given the duration of symptoms (6 months) and the characteristic inflammatory back pain, **radiographs are typically the first-line imaging** due to cost-effectiveness, reserving MRI for cases with normal radiographs but high clinical suspicion. *ESR* - **Erythrocyte sedimentation rate (ESR)** is a **non-specific marker of inflammation** and can be elevated in various inflammatory conditions, including ankylosing spondylitis. - It is not diagnostic for ankylosing spondylitis and cannot differentiate it from other inflammatory or infectious conditions.
Explanation: ***Food ingestion provides relief of the symptoms*** - **Duodenal ulcer pain** is characteristically relieved by eating food, as acid is neutralized or diluted, and the pylorus may spasm, preventing acid from reaching the ulcer. - The patient's history of relief with a "small meal or snack" is a classic presentation consistent with a duodenal ulcer. *Early satiety* - **Early satiety** is more commonly associated with conditions causing gastric outlet obstruction or impaired gastric emptying, such as **gastric ulcers** or malignancy. - While possible, it is not the most consistent symptom specifically pointing to a duodenal ulcer, whose pain often *improves* with food. *Ibuprofen use* - **NSAID use** like ibuprofen can *cause* both gastric and duodenal ulcers by inhibiting prostaglandin synthesis, which protects the gastric and duodenal mucosa. - However, the question asks what is *most consistent* with a duodenal ulcer among the given options; ibuprofen use is a risk factor, not a direct symptom-relief characteristic. *Non-bilious vomiting* - **Non-bilious vomiting** simply indicates that bile has not passed into the stomach, which can occur in various conditions, including non-obstructive causes or proximal obstructions. - While it can be present, it is not a specific diagnostic feature distinguishing a duodenal ulcer from many other gastrointestinal issues. *Omeprazole provides relief of the symptoms* - **Omeprazole** is a **proton pump inhibitor (PPI)** and provides relief for symptoms related to acid production, including both **gastric and duodenal ulcers**, and **gastroesophageal reflux disease (GERD)**. - Therefore, its effectiveness is not specific enough to definitively point to a duodenal ulcer over other acid-related conditions.
Explanation: ***Arthrocentesis*** - The patient presents with **migratory polyarthralgia** and then **monoarthritis**, along with symptoms of urethritis and risk factors for sexually transmitted infections (multiple sexual partners). This clinical picture is highly suggestive of **disseminated gonococcal infection (DGI)**, which can cause **septic arthritis**. - **Arthrocentesis** (joint aspiration) is crucial to obtain joint fluid for analysis (cell count with differential, Gram stain, culture) to confirm the diagnosis of septic arthritis and identify the causative organism, guiding appropriate antibiotic therapy. *Ibuprofen and observation* - This approach is insufficient because the patient's symptoms are highly concerning for **septic arthritis**, a medical emergency that requires prompt diagnosis and treatment. - Delaying definitive diagnosis and treatment of septic arthritis can lead to rapid **joint destruction** and permanent disability. *MRI* - An MRI can provide detailed images of the joint structures and surrounding tissues, which is useful in some cases of arthritis. - However, for suspected septic arthritis, **joint fluid analysis via arthrocentesis** is the gold standard for definitive diagnosis, as it identifies the pathogen and confirms infection. MRI should not delay this critical diagnostic step. *Azithromycin, ceftriaxone, and vancomycin* - While this combination might broadly cover common pathogens, starting empiric antibiotics without **first confirming the diagnosis and identifying the organism** through arthrocentesis is not the best first step. - Vancomycin is for MRSA, and while disseminated gonococcal infection is suspected, **antibiotic sensitivity** is crucial for effective treatment; a Gram stain and culture from joint fluid are needed. *Methotrexate* - Methotrexate is a **disease-modifying antirheumatic drug (DMARD)** typically used for chronic inflammatory conditions like rheumatoid arthritis or psoriatic arthritis. - It is **not indicated for acute septic arthritis**, which requires immediate antibiotics and joint drainage, and its immunosuppressive effects could worsen an active infection.
Explanation: ***Anti-phospholipase A2 receptor antibodies*** - This patient's presentation with **nephrotic syndrome** (edema, hypertension, significant proteinuria) and kidney biopsy findings of **thickened glomerular basement membrane** with **subepithelial deposits** points to **membranous nephropathy**. - **Anti-PLA2R antibodies** are a highly specific and common marker (found in 70-80% of cases) for **primary membranous nephropathy**, which is an autoimmune disease. *Anti-myeloperoxidase antibodies* - These antibodies are associated with **ANCA-associated vasculitides**, such as **microscopic polyangiitis** and **eosinophilic granulomatosis with polyangiitis (Churg-Strauss)**. - These conditions typically present with **rapidly progressive glomerulonephritis** and rarely with isolated nephrotic syndrome or subepithelial deposits. *Anti-streptolysin O antibodies* - These antibodies are elevated after a **streptococcal infection** and are associated with **post-streptococcal glomerulonephritis**. - This disease typically causes **nephritic syndrome** (hematuria, hypertension, mild proteinuria) and on biopsy shows **subepithelial humps** (immune complex deposits), but not a thick basement membrane as the primary finding. *Anti-C3 convertase antibodies* - These antibodies are characteristic of **C3 glomerulopathy**, which includes **dense deposit disease** (MPGN type II) and C3 glomerulonephritis. - While C3 glomerulopathy can cause nephrotic syndrome, the characteristic electron microscopy findings are **intramembranous dense deposits**, not subepithelial deposits, and the primary defect is dysregulation of the alternative complement pathway. *Anti-collagen type IV antibodies* - These antibodies are characteristic of **Goodpasture syndrome** (anti-glomerular basement membrane disease). - This condition typically presents with **rapidly progressive glomerulonephritis** and often **pulmonary hemorrhage**, and biopsy shows **linear deposition of IgG** along the glomerular basement membrane, not subepithelial deposits.
Explanation: ***Colonoscopy*** - The patient presents with **classic restless legs syndrome (RLS)** symptoms along with multiple red flags: **unexplained 10-pound weight loss**, **pale sclerae** suggesting anemia, and a **remote last colonoscopy 22 years ago**. - These findings raise significant concern for **gastrointestinal malignancy** (particularly colon cancer) causing chronic occult blood loss, leading to **iron deficiency anemia**, which is a well-known secondary cause of RLS. - **Colonoscopy is the definitive diagnostic test** that would identify the underlying etiology (e.g., colon cancer, other GI bleeding source) causing the iron deficiency and subsequent RLS symptoms. - At age 72 with the last colonoscopy at age 50, the patient is significantly overdue for colorectal cancer screening, making this investigation both urgent and appropriate. *Trial of iron supplementation* - While iron deficiency is likely contributing to the RLS symptoms, a **therapeutic trial does not identify the underlying etiology** - it only treats the consequence. - Given the concerning red flags (weight loss, anemia, overdue screening), it would be premature to simply supplement iron without investigating the **source of iron loss**, which could be a malignancy. - Iron supplementation may temporarily improve RLS but would delay diagnosis of a potentially serious underlying condition. *Trial of reduction in caffeine intake* - While caffeine can exacerbate RLS symptoms, the patient only increased coffee intake **after** developing sleep problems (as a compensatory mechanism). - The presence of weight loss and anemia indicates a more serious underlying pathology that would not be addressed by reducing caffeine. - Caffeine reduction alone would not identify any underlying etiology. *Trial of pramipexole* - Pramipexole is a **dopamine agonist** used for symptomatic treatment of RLS. - However, it is important to **identify and treat secondary causes** (like iron deficiency from GI blood loss) before initiating dopaminergic therapy. - This would be premature without first investigating the red flag symptoms suggesting serious underlying pathology. *Dopamine uptake scan of the brain* - A **DAT scan** is used to differentiate Parkinson's disease from essential tremor or other movement disorders, which is not relevant here. - RLS is a **clinical diagnosis** based on symptoms, and dopamine imaging is not indicated for RLS diagnosis or workup. - This test would not identify the underlying etiology of this patient's symptoms.
Explanation: ***Entamoeba histolytica*** - This patient's history of recent travel to Mexico, combined with fever, right upper quadrant pain, and a solitary hypoechoic liver lesion, strongly suggests an **amebic liver abscess** caused by *Entamoeba histolytica*. - The elevated leukocyte count and positive occult blood in stool support an infectious inflammatory process, and the prior abdominal pain relieved by eating might indicate a pre-existing ulcer that facilitated a portal venous spread of the infection. *Penetrating duodenal ulcer* - While the patient has a history of abdominal pain relieved by eating, suggestive of a **duodenal ulcer**, a penetrating ulcer would more commonly present with localized peritonitis, severe acute pain, and potentially free air under the diaphragm which is not described. - A penetrating ulcer wouldn't typically cause a defined hypoechoic liver lesion with internal echoes, but rather may cause severe inflammation or an abscess in adjacent structures. *Echinococcus granulosus* - **Hydatid cysts** from *Echinococcus granulosus* are typically **slow-growing**, asymptomatic for long periods, and generally appear as cystic lesions with daughter cysts or calcifications on ultrasound, not a single hypoechoic lesion with internal echoes and acute febrile illness. - While travel to endemic areas increases risk, the acute presentation with fever and high white blood cell count makes an amebic abscess more likely. *Acute pancreatitis* - Acute pancreatitis usually causes severe epigastric pain radiating to the back, often with elevated lipase and amylase levels, which are not mentioned. - While it can cause systemic inflammation and fever, the ultrasound finding of a **focal liver lesion** is not characteristic of acute pancreatitis, which primarily affects the pancreas itself. *Liver cancer* - While liver cancer (e.g., hepatocellular carcinoma) can present as a solitary liver lesion, the acute onset of fever, an elevated white blood cell count, and a recent travel history make an **infectious cause** far more likely than malignancy in this scenario. - Liver cancer is typically a slow-growing disease, and while it can cause symptoms, an acute febrile illness with leukocytosis is less typical for its initial presentation.
Explanation: ***Anti-SS-B (anti-La) antibodies*** - **Anti-SS-B (anti-La)** antibodies are highly specific for **Sjögren's syndrome** and are often found in conjunction with anti-SS-A (anti-Ro) antibodies. - The presence of anti-SS-B antibodies supports a diagnosis of Sjögren's syndrome, particularly in patients with classic symptoms like **dry eyes** and **dry mouth**. *Anti-dsDNA antibodies* - **Anti-dsDNA antibodies** are most strongly associated with **systemic lupus erythematosus (SLE)**, particularly with lupus nephritis. - They are not a primary diagnostic marker for Sjögren's syndrome, although some patients with Sjögren's may have secondary SLE. *Anti-histone antibodies* - **Anti-histone antibodies** are characteristic of **drug-induced lupus erythematosus**, though they can be present in other autoimmune diseases. - They are not a specific marker for Sjögren's syndrome. *Anti-cyclic citrullinated antibodies* - **Anti-cyclic citrullinated peptides (anti-CCP) antibodies** are a sensitive and specific marker for **rheumatoid arthritis**. - While Sjögren's and RA can coexist, anti-CCP antibodies are not indicative of Sjögren's syndrome itself. *Anti-topoisomerase (anti-Scl 70) antibodies* - **Anti-topoisomerase I (anti-Scl-70) antibodies** are specific for **systemic sclerosis (scleroderma)**, particularly the diffuse cutaneous form. - They are not found in Sjögren's syndrome.
Explanation: ***Correct: 11*** - The patient's symptoms (epigastric pain improving with meals) suggest **peptic ulcer disease**, likely from a **gastrinoma** (Zollinger-Ellison syndrome) - The family history of **acromegaly** (pituitary adenoma) and **parathyroid adenoma** strongly suggests **Multiple Endocrine Neoplasia type 1 (MEN1)** syndrome - **MEN1** is caused by a germline mutation in the *MEN1* tumor suppressor gene located on **chromosome 11q13** - MEN1 is characterized by the classic triad: **parathyroid** tumors, **pituitary** tumors, and **pancreatic endocrine** tumors (including gastrinomas) - The elevated peptide mentioned is likely **gastrin**, produced by the pancreatic gastrinoma *Incorrect: 13* - Chromosome 13 mutations are associated with **Retinoblastoma** (*RB1* gene) and **Wilson's disease** (*ATP7B* gene) - These conditions do not present with the combination of peptic ulcer disease and family history of endocrine tumors seen in this patient *Incorrect: 5* - Chromosome 5 mutations are linked to **Familial Adenomatous Polyposis (FAP)** due to *APC* gene mutation - FAP presents with colonic polyps and increased colorectal cancer risk, not the endocrine manifestations described here *Incorrect: 10* - Chromosome 10 mutations are associated with **Multiple Endocrine Neoplasia type 2 (MEN2)** via the *RET* proto-oncogene - **MEN2** typically involves **medullary thyroid carcinoma**, **pheochromocytoma**, and hyperparathyroidism, but NOT pituitary tumors or acromegaly - The family history of acromegaly excludes MEN2 and points to MEN1 *Incorrect: 17* - Chromosome 17 mutations are associated with **Neurofibromatosis type 1** (*NF1* gene) and **Li-Fraumeni syndrome** (*TP53* gene) - These conditions present with neurofibromas, café-au-lait spots, or multiple cancers, not the endocrine tumor pattern seen in this patient
Explanation: ***A gastrin-secreting tumor of the pancreas*** - The patient's presentation with **multiple ulcers** in the stomach, duodenum, and jejunum, along with **recurrent nephrolithiasis** (often associated with hypercalcemia), and chronic diarrhea, is highly indicative of **Zollinger-Ellison syndrome (ZES)**, which is caused by a gastrin-secreting neuroendocrine tumor (gastrinoma). - The **severe, sudden-onset upper abdominal pain** and **perforated gastric ulcer** are acute complications of the excessive acid production seen in ZES, which can overwhelm protective mucosal mechanisms. *H. pylori infection* - While H. pylori is a common cause of **gastric and duodenal ulcers**, it typically doesn't lead to multiple ulcers extending into the **jejunum**, nor is it directly associated with **recurrent nephrolithiasis**. - The widespread ulceration and association with chronic diarrhea and recurrent kidney stones strongly suggest a more systemic or diffuse etiology than typical H. pylori infection. *Cytomegalovirus infection* - CMV can cause **gastric or intestinal ulcers**, particularly in **immunocompromised individuals**, but it rarely causes multiple ulcers throughout the upper GI tract, including the jejunum, in an otherwise healthy individual. - CMV infection is not typically associated with **recurrent nephrolithiasis** or the clinical picture of severe **acid overproduction**. *A vasoactive-intestinal-peptide (VIP) secreting tumor of the pancreas* - A **VIPoma** primarily causes **severe watery diarrhea** (pancreatic cholera) and **hypokalemia**, often without significant acidosis. - It typically does not cause **multiple, widespread peptic ulcers** or **recurrent nephrolithiasis**, which are hallmarks of the patient's presentation. *Chronic NSAID use* - **NSAID use** can cause **gastric and duodenal ulcers**, and the patient had been taking ibuprofen for 3 weeks. However, the presence of **multiple ulcers** extending into the **jejunum** and the history of **recurrent nephrolithiasis** predating recent NSAID use point away from NSAID use as the primary cause. - The severity and distribution of ulcers, along with the patient's history, are more consistent with a condition causing chronic, widespread acid hypersecretion rather than NSAID-induced injury.
Explanation: ***Whipple’s disease*** - The combination of **gastrointestinal symptoms** (diarrhea, weight loss, abdominal pain) with **arthralgia**, **fever**, **neurological symptoms** (impaired short-term memory, reduced attention/concentration), and **PAS-positive macrophages** in duodenal biopsies is highly characteristic of Whipple's disease. - This multisystemic bacterial infection, caused by *Tropheryma whipplei*, often presents with diverse, non-specific symptoms before the classic GI findings, and central nervous system involvement is common. *Wilson’s disease* - This is a disorder of **copper metabolism** leading to copper accumulation in organs like the liver, brain, and eyes (Kayser-Fleischer rings). - While it can cause neurological symptoms and liver disease, the GI and biopsy findings (PAS-positive macrophages) are not consistent with Wilson's disease. *Celiac disease* - Characterized by **malabsorption** due to an immune reaction to gluten, presenting with diarrhea, weight loss, and abdominal pain. - However, jejunal biopsies would show **villous atrophy** and crypt hyperplasia, not PAS-positive macrophages, and neurological findings are less common and typically peripheral in nature. *Giardia lamblia infection* - This parasitic infection causes **diarrhea**, abdominal cramps, and malabsorption. - Diagnosis is usually made by identifying **trophozoites or cysts** in stool samples or duodenal aspirates/biopsies, not PAS-positive macrophages. *Crohn’s disease* - An **inflammatory bowel disease** characterized by transmural inflammation, skip lesions, and granulomas, which can affect any part of the GI tract. - While it can present with abdominal pain, diarrhea, weight loss, and arthralgia, the presence of **PAS-positive macrophages** in the duodenum and neurological involvement are not typical features of Crohn's disease.
Explanation: ***Mucosal tear at the gastroesophageal junction*** - The patient's history of heavy alcohol consumption, recurrent acute pancreatitis, and severe, repeated vomiting followed by **hematemesis** (Mallory-Weiss tear) strongly points to a mucosal tear. - The use of naproxen, an **NSAID**, further increases the risk of gastric mucosal irritation and bleeding, compounding the effects of vomiting. *Inflammation of the esophageal wall* - While prolonged vomiting can cause esophagitis, **inflammation of the esophageal wall** typically presents with dysphagia and odynophagia, not rapidly progressing hematemesis associated with forceful vomiting. - Esophagitis may cause superficial bleeding, but the described **streaks of frank blood** after initial yellowish vomit suggests a more significant mucosal breach. *Transmural tear of the lower esophagus* - A **transmural tear** (Boerhaave syndrome) is a medical emergency that would present with severe chest pain, subcutaneous emphysema, and signs of mediastinitis, which are not described in this patient. - The patient's presentation of forceful vomiting leading to hematemesis is more consistent with a **Mallory-Weiss tear**, which is a mucosal tear and not transmural. *Pseudoaneurysm of the gastroduodenal artery* - A **pseudoaneurysm of the gastroduodenal artery** is a rare but life-threatening complication often associated with severe pancreatitis or abdominal trauma, leading to massive gastrointestinal bleeding. - While the patient has a history of pancreatitis, the presence of **repeated forceful vomiting immediately preceding the hematemesis** makes a Mallory-Weiss tear more likely than a pseudoaneurysm as the primary cause in this acute presentation. *Neoplastic growth at the gastroesophageal junction* - **Neoplastic growth** typically presents with chronic symptoms such as progressive dysphagia, weight loss, and chronic, low-grade bleeding (melena or guaiac-positive stool) rather than acute, forceful vomiting leading to immediate hematemesis. - The acute onset of symptoms following a binge of alcohol and repeated vomiting points away from a chronic cause like cancer and towards an **acute mechanical injury**.
Explanation: **Significantly elevated blood glucose** - The patient's **blood glucose** of 599 mg/dL is profoundly elevated, indicating a state of **hyperglycemia**, a hallmark of uncontrolled diabetes and a direct cause of his presenting symptoms. - This extreme rise in blood glucose from a presumed normal baseline is the most significant physiological deviation and points towards **diabetic ketoacidosis (DKA)** given his acute presentation. *Normal electrolyte levels* - While the listed **Na+**, **K+**, and **Cl-** are within normal ranges, they can be misleading in DKA due to shifts in fluid and electrolyte balance; for instance, **pseudo-hyponatremia** can occur with severe hyperglycemia. - The patient's underlying condition (likely DKA) significantly impacts fluid and electrolyte homeostasis, making "normal" readings potentially abnormal relative to his dehydrated state or prior to insulin therapy. *Slightly elevated creatinine* - A **creatinine** of 1.1 mg/dL is only marginally elevated and likely reflects **prerenal azotemia** due to dehydration, which is common in DKA. - While reflecting a physiological change, it is a secondary finding related to fluid status rather than the primary metabolic derangement. *Slightly decreased hematocrit* - A **hematocrit** of 36% is within the normal range for a 13-year-old boy (typically 36-46%), so it is not considered a significant deviation. - Even if slightly lower, it does not represent a critical physiological change in the context of his acute hyperglycemia and likely dehydration. *Normal white blood cell count* - A **white blood cell count** of 6,500/mm^3 with a normal differential is within the normal range and does not indicate an acute inflammatory or infectious process. - In DKA, a normal WBC count does not typically rule out the condition, but an elevated count might suggest an underlying infection triggering DKA; its normalcy here means it doesn't reflect a major deviation.
Explanation: ***A decrease in her reticulocyte count*** - The patient's **microcytic, hypochromic anemia** combined with fatigue and shortness of breath suggests **iron deficiency anemia**. In iron deficiency, the bone marrow cannot produce enough healthy red blood cells, leading to a **decreased reticulocyte count** as there aren't enough precursors. - Her history of osteoporosis and GERD, along with daily aspirin use and omeprazole, raises suspicion for **gastrointestinal blood loss** (even if occult), which is a common cause of iron deficiency in older adults. *Thrombocytopenia* - This patient's **platelet count is 240,000/mm3**, which is within the normal range. Thrombocytopenia is defined as a platelet count below 150,000/mm3. - While some rare anemias can be associated with thrombocytopenia, it is not a typical finding in the common forms of iron deficiency anemia suggested by the patient's presentation. *An increase in her reticulocyte count* - An **increased reticulocyte count** would be expected in anemias where the bone marrow is actively compensating for red blood cell loss or destruction, such as **hemolytic anemia** or in response to effective treatment for iron deficiency. - In untreated **iron deficiency anemia**, the bone marrow lacks the necessary building blocks (iron) to produce new red blood cells, thus the reticulocyte count is typically low or inappropriately normal. *A decrease in erythropoietin levels* - **Erythropoietin (EPO) levels** are typically **elevated** in anemia, especially in hypoproliferative anemias like iron deficiency, as the kidneys sense reduced oxygen delivery and try to stimulate red blood cell production. - Decreased erythropoietin levels are more commonly associated with **anemia of chronic kidney disease** or primary bone marrow suppression. *Increased white blood cell count* - The patient's presentation with **iron deficiency anemia** does not suggest an infectious or inflammatory process that would typically lead to an **increased white blood cell count (leukocytosis)**. - An elevated white blood cell count would indicate a concurrent infection, inflammation, or hematologic malignancy, none of which are suggested by the provided information.
Explanation: ***Admit the patient and treat with intravenous levofloxacin*** - The presence of **WBC casts** is pathognomonic for **pyelonephritis**, an upper urinary tract infection. - Given the severity indicated by **WBC casts** and significant **leukocyturia** (WBC 90/hpf), **inpatient management** with **intravenous antibiotics** (like levofloxacin) is appropriate to prevent progression to urosepsis. *Treat on an outpatient basis with ciprofloxacin* - While ciprofloxacin is an effective antibiotic for UTIs, **outpatient treatment** is generally not recommended for **severe pyelonephritis**, especially when WBC casts are present. - This approach carries a higher risk of treatment failure and complications like **urosepsis** in severe cases. *Wait for culture results and treat accordingly* - Delaying treatment until culture results are available is inappropriate in a patient with signs of **acute pyelonephritis** (WBC casts, positive nitrite/leukocyte esterase, significant WBCs). - Prompt initiation of **empiric antibiotics** is crucial to prevent rapid clinical deterioration and potential morbidity. *Treat on an outpatient basis with nitrofurantoin* - **Nitrofurantoin** primarily achieves therapeutic concentrations in the **lower urinary tract** and is not effective for treating **pyelonephritis** (upper UTI). - Its use would lead to treatment failure and potential worsening of the infection due to inadequate drug delivery to the renal parenchyma. *Admit the patient and perform a CT scan of the abdomen* - While a **CT scan of the abdomen** may be considered later to evaluate for complications such as **abscess formation** or **obstruction**, the **immediate priority** is to initiate **antibiotic treatment** for acute pyelonephritis. - Delaying antibiotic therapy in favor of imaging can lead to rapid clinical deterioration.
Explanation: ***Glucose of 30 mg/dL*** - This patient presents with symptoms and signs of a **parapneumonic effusion** that is likely complicated, given the **loculated pleural effusion** and **low pleural fluid glucose**. Alcoholism and poor dentition increase the risk of aspiration and subsequent bacterial pneumonia leading to empyema. - A pleural fluid glucose level of **<60 mg/dL** (or significantly lower than serum glucose) is characteristic of a complicated parapneumonic effusion or empyema due to high metabolic activity by bacteria and local inflammatory cells. *Lymphocytosis of > 90%* - Marked pleural fluid **lymphocytosis** (>80-90% lymphocytes) is typically seen in **tuberculous pleurisy** or malignancy, not acute bacterial pneumonia with empyema. - This patient's acute presentation, fever, and consolidation are not typical of tuberculosis, which usually has a more subacute or chronic course. *Pleural fluid LDH/serum LDH ratio of 0.5* - A pleural fluid LDH/serum LDH ratio >0.6 is one of **Light's criteria** for an exudative effusion, consistent with this patient's likely empyema. A ratio of 0.5 would make the effusion less definitively exudative by certain criteria alone. - However, for complicated parapneumonic effusions or empyema, LDH levels in the pleural fluid are typically **very high** (>1000 U/L), making the ratio with serum LDH also high, usually >0.6. *Lactate dehydrogenase of 45 U/L* - A pleural fluid **LDH of 45 U/L** is a very low value, typically seen in a **transudative effusion** (e.g., heart failure, cirrhosis). - Complicated parapneumonic effusions and empyema are exudative and characterized by **high pleural fluid LDH** due to inflammation and cell lysis, usually >1000 IU/L. *Amylase of 200 U/L* - Elevated pleural fluid **amylase** (often > normal serum level or > two times serum level) is suggestive of **pancreatitis**, **esophageal rupture**, or malignancy. - While aspiration can sometimes involve pancreatic enzymes if gastric contents are aspirated, the primary clinical picture aligns with bacterial pneumonia and empyema, where amylase elevation is not a key diagnostic feature.
Explanation: ***Pancreatic adenocarcinoma*** - This patient presents with hallmark signs of **pancreatic adenocarcinoma**, including **painless jaundice** (icteric skin and sclera), **unexplained weight loss**, and risk factors such as **smoking** and **heavy alcohol use**. - The abdominal ultrasound finding of a **thin-walled and enlarged gallbladder** in the setting of jaundice is known as **Courvoisier's sign**, highly suggestive of a distal biliary obstruction, often caused by a pancreatic head tumor. *Cholangiocarcinoma* - While cholangiocarcinoma can cause **obstruction and jaundice**, it is less commonly associated with **Courvoisier's sign** (distended, palpable gallbladder) compared to pancreatic head tumors. - Risk factors for cholangiocarcinoma often include **primary sclerosing cholangitis** or **liver fluke infections**, which are not mentioned here. *Gallbladder adenocarcinoma* - Gallbladder adenocarcinoma often presents with **right upper quadrant pain**, **weight loss**, and sometimes **jaundice**, but the jaundice typically occurs later as the tumor invades the biliary tree. - It is less likely to cause a **painless, distended gallbladder** (Courvoisier's sign) in the same way a pancreatic head mass would. *Iron deficiency anemia* - While fatigue can be a symptom of **iron deficiency anemia**, the striking features of **jaundice**, **weight loss**, and **Courvoisier's sign** point strongly away from this diagnosis as the primary cause of his symptoms. - The dark urine in this context suggests **conjugated hyperbilirubinemia**, not typically seen in iron deficiency anemia. *Autoimmune hemolytic anemia* - **Autoimmune hemolytic anemia** can cause fatigue and **unconjugated hyperbilirubinemia**, leading to jaundice, but it would not explain the significant **weight loss**, **Courvoisier's sign**, or the amber (indicative of conjugated bilirubin) urine. - The distended gallbladder points to an obstructive process rather than hemolytic jaundice.
Explanation: ***Superior mesenteric artery*** - This patient's symptoms (postprandial epigastric pain, significant weight loss, and narrowed duodenum) are highly suggestive of **superior mesenteric artery (SMA) syndrome**. Weight loss can reduce the **mesenteric fat pad**, decreasing the angle between the SMA and the aorta, thereby compressing the third part of the duodenum. - The narrow angle between the **aorta** and the **superior mesenteric artery** entraps the third portion of the duodenum, causing a functional obstruction, which explains the pain after meals when food distends the narrowed duodenum. *Gastroduodenal artery* - The gastroduodenal artery originates from the **common hepatic artery** and typically passes anterior to the duodenum, making it unlikely to cause compression. - Compression by the gastroduodenal artery is not a recognized cause of **duodenal obstruction** or postprandial pain in this context. *Inferior mesenteric artery* - The **inferior mesenteric artery** supplies blood to the distal colon and rectum; its anatomical position is far from the duodenum. - It does not cross or impinge upon the duodenum and therefore cannot cause **duodenal compression** or the described symptoms. *Gallbladder* - Gallbladder issues (e.g., **cholelithiasis**, **cholecystitis**) would typically cause **right upper quadrant pain**, possibly radiating to the back or shoulder, and often associated with fatty meals, but less likely to manifest as extreme epigastric pain 30 minutes post-meal with duodenal narrowing. - The imaging findings of a narrowed duodenum and the pattern of pain are not characteristic of **gallbladder pathology**. *Pylorus of the stomach* - **Pyloric stenosis** would cause symptoms of gastric outlet obstruction, including **vomiting of undigested food**, early satiety, and weight loss, but the endoscopy showed benign mucosa to the proximal duodenum and the barium swallow revealed duodenal narrowing, not pyloric. - While pyloric issues can cause postprandial symptoms, the **specific finding of a narrowed duodenum** points away from it as the primary cause in this case.
Explanation: ***Multiple endoscopic biopsies*** - The endoscopic image likely shows **Barrett's esophagus**, characterized by metaplastic columnar epithelium. This condition is a precursor to **esophageal adenocarcinoma**. - **Biopsies** are crucial to assess for the presence and grade of **dysplasia**, which dictates further management strategies. *Endoscopic mucosal ablation therapy* - This therapy is typically reserved for patients with **high-grade dysplasia** or **intramucosal carcinoma** in Barrett's esophagus, after diagnosis has been confirmed by biopsy. - It would be premature to consider ablation without a definitive histological diagnosis of dysplasia. *Esophagectomy* - **Esophagectomy** is a major surgical procedure reserved for advanced esophageal cancer or high-grade dysplasia refractory to endoscopic therapies. - It is an overly aggressive and inappropriate initial step without histological confirmation and assessment of dysplasia or cancer. *High-dose pantoprazole* - While proton pump inhibitors (PPIs) like pantoprazole are used to manage GERD symptoms and may help prevent progression of Barrett's esophagus, this patient is already on omeprazole daily. - Simply increasing the dose of PPI does not address the need for **histological evaluation** of the abnormal-appearing mucosa for dysplasia or cancer. *Laparoscopic Nissen fundoplication* - This surgical procedure aims to strengthen the lower esophageal sphincter to treat severe GERD when medical management fails. - While it addresses reflux, it does not directly evaluate or treat the potential **precancerous changes** in the esophageal lining seen on endoscopy, making biopsies a more immediate and critical next step.
Explanation: ***Lifestyle modifications*** - Given the patient's symptoms of **epigastric discomfort following meals** and **occasional dry cough worse in the morning**, which are suggestive of **gastroesophageal reflux disease (GERD)**, initial management often starts with lifestyle modifications. - These include avoiding trigger foods, eating smaller meals, not lying down immediately after eating, and elevating the head of the bed, which can significantly reduce reflux symptoms. *Begin omeprazole therapy* - While omeprazole, a **proton pump inhibitor (PPI)**, is effective for GERD, it is generally considered after lifestyle modifications have been attempted or if symptoms are more severe or persistent, particularly in the absence of **alarm symptoms** (e.g., dysphagia, weight loss). - Starting pharmacotherapy immediately without attempting lifestyle changes first is not usually the most appropriate initial step for uncomplicated GERD. *Esophagogastroduodenoscopy (EGD) with esophageal biopsy* - An EGD is typically reserved for patients with GERD who have **alarm symptoms** (e.g., dysphagia, odynophagia, weight loss, GI bleeding, anemia), persistent symptoms despite empiric PPI therapy, or risk factors for **Barrett's esophagus**. - This patient has no alarm symptoms and can be managed conservatively first. *Electrocardiography (ECG)* - An ECG assesses **cardiac function** and is used to rule out cardiac causes of chest pain or epigastric discomfort, especially in patients with cardiac risk factors. - However, the patient's primary symptoms of epigastric discomfort **post-meals** and a **morning cough** are highly suggestive of GERD, and he has no other complaints or risk factors pointing strongly towards cardiac issues, making an ECG less prioritized as the *initial* management step. *Fluoroscopic barium swallow* - A barium swallow is used to evaluate the **anatomy and function of the esophagus**, often to detect strictures, masses, or motility disorders. - It is generally not the first-line diagnostic or management tool for typical GERD symptoms and has limited utility in diagnosing reflux itself compared to a trial of therapy or pH monitoring.
Explanation: ***Mutation of the MEN1 gene*** - The patient presents with **recurrent peptic ulcers** (duodenal and jejunal), strongly suggesting **Zollinger-Ellison syndrome (ZES)**, hypercalcemia from **primary hyperparathyroidism**, and pituitary abnormalities (bilateral hemianopsia, decreased libido, gynecomastia suggestive of **prolactinoma** or other pituitary tumor). This classic triad (parathyroid, pituitary, pancreatic tumors) is characteristic of **Multiple Endocrine Neoplasia type 1 (MEN1)**, which is caused by a mutation in the *MEN1* gene. - The **elevated serum calcium (13.5 mg/dL)** confirms **hyperparathyroidism**, and the description of ulcerations in the jejunum points towards aggressive acid hypersecretion seen in **Zollinger-Ellison Syndrome (ZES)**, often caused by a **gastrinoma** in the pancreas, as components of MEN1. *Mutation of the RET gene* - A mutation in the *RET* gene is associated with **Multiple Endocrine Neoplasia type 2 (MEN2)**. - MEN2 typically involves **medullary thyroid carcinoma**, **pheochromocytoma**, and **primary hyperparathyroidism** (MEN2A) or **mucosal neuromas** (MEN2B), none of which are featured in this patient's presentation. *Infection with Helicobacter pylori* - *H. pylori* infection is a common cause of **peptic ulcers**, but it does not explain the patient's **hypercalcemia**, **pituitary symptoms** (bilateral hemianopsia, decreased libido, gynecomastia), or the presence of ulcers in the **jejunum**, which is highly suggestive of ZES. - While it could contribute to gastric symptoms, it wouldn't account for the systemic endocrine abnormalities. *Gastrin secreting tumor of the pancreas* - A gastrin-secreting tumor (gastrinoma) in the pancreas causes **Zollinger-Ellison syndrome (ZES)**, leading to recurrent, severe peptic ulcers, as seen in this patient. - While ZES is part of the clinical picture, this option only describes one component of the patient's multi-system endocrine disorder and doesn't explain the **hypercalcemia** or the **pituitary symptoms**. *Mutation of the APC gene* - A mutation in the *APC* gene is associated with **Familial Adenomatous Polyposis (FAP)**. - FAP is characterized by hundreds to thousands of **colonic polyps** and an increased risk of **colorectal cancer**, which is unrelated to the patient's current symptoms involving ulcers, hypercalcemia, and pituitary issues.
Explanation: **Negatively birefringent crystals** - The patient's presentation with acute, severe pain in the **first metatarsophalangeal joint (podagra)**, swelling, and erythema, coupled with a history of alcohol use and chronic kidney disease, is highly suggestive of **gout**. - **Gout** is characterized by the deposition of **monosodium urate crystals** in joints, which appear as **negatively birefringent needle-shaped crystals** under polarized light microscopy in synovial fluid. *Positively birefringent crystals* - **Calcium pyrophosphate dihydrate (CPPD) crystals**, seen in **pseudogout**, are **positively birefringent** and rhomboid-shaped. - Pseudogout typically affects larger joints like the knee and wrist, and while it presents acutely, the crystal morphology in this classic gout presentation rules it out. *Normal* - A normal synovial fluid analysis would not account for the patient's severe inflammatory symptoms and findings of **erythema, swelling, and tenderness**. - This clinical presentation strongly indicates an underlying inflammatory arthropathy requiring specific diagnosis. *Glucose < 40 mg/dL* - A synovial fluid glucose level significantly lower than blood glucose (typically <50% of serum glucose or <40 mg/dL) is characteristic of **septic arthritis**. - While septic arthritis can present with acute monoarthritis, this patient's presentation is more classic for gout, and there are no signs of systemic infection (e.g., fever). *Gram negative diplococci* - The presence of **Gram-negative diplococci** in synovial fluid is indicative of **gonococcal arthritis**, a form of septic arthritis. - This patient's presentation lacks features typically associated with gonococcal infection, such as disseminated rash, tenosynovitis, or a history of sexually transmitted infections.
Explanation: ***Obtain a chest x-ray*** - A **positive PPD test** (13 mm induration in a patient with risk factors) indicates possible **latent tuberculosis infection (LTBI)**, but before initiating treatment, it's crucial to rule out **active tuberculosis (TB)**. - A chest x-ray is the initial step to screen for signs of active disease, such as **infiltrates, cavitations**, or **lymphadenopathy**, which would necessitate a different treatment regimen than LTBI. *Administer isoniazid for 9 months* - This is a standard treatment for **LTBI**, but it should only be initiated after **active TB has been ruled out**. - Treating active TB with LTBI monotherapy would be inadequate and could lead to **drug resistance**. *Collect sputum sample for culture* - **Sputum culture** is essential for diagnosing active pulmonary TB and for **drug susceptibility testing**, but it's typically performed *after* a chest x-ray suggests active disease. - In a patient with a positive PPD and no symptoms, starting with sputum cultures without imaging is not the most appropriate first step. *Perform interferon-γ release assay* - **Interferon-γ release assays (IGRAs)**, such as QuantiFERON-TB Gold or T-Spot.TB, are alternative tests for detecting **M. tuberculosis infection**. - While IGRAs can be used in place of or in conjunction with PPD, they also do not differentiate between latent and active infection, so a chest x-ray would still be required. *Perform PCR of the sputum* - **PCR (nucleic acid amplification test)** of sputum rapidly detects *M. tuberculosis* DNA and is a valuable tool for diagnosing **active TB**, especially in cases where rapid results are needed. - However, like sputum culture, it is usually reserved for situations where there is a strong suspicion of active disease based on clinical symptoms or imaging findings.
Explanation: ***Osmotic myelinolysis*** * **Rapid correction of severe hyponatremia** (serum sodium <120 mEq/L), especially when chronic, can cause **osmotic demyelination syndrome** (also known as central pontine myelinolysis). * This condition results from a sudden shift in osmolality, causing water to leave brain cells, leading to neuronal damage and severe neurological deficits. *Wernicke encephalopathy* * **Wernicke encephalopathy** is caused by **thiamine deficiency**, common in chronic alcoholics. * While he is at risk for Wernicke encephalopathy, the urgent treatment for his hyponatremia (rapid correction) is more likely to cause osmotic myelinolysis, not directly trigger Wernicke encephalopathy. *Cerebral edema* * **Cerebral edema** is a direct consequence of **severe, acute hyponatremia** (as fluid shifts into brain cells), not a risk of its *treatment*. * The question asks about the risk of urgent treatment, which aims to *reduce* cerebral edema. *Cardiac arrhythmia* * While severe electrolyte imbalances can cause **cardiac arrhythmias**, the **rapid correction of hyponatremia** does not directly or primarily increase the risk of arrhythmias. * The immediate risk associated with hyponatremia correction is neurological, related to osmotic shifts. *Hyperglycemia* * **Hyperglycemia** is a condition of high blood glucose and is not directly related to or caused by the **rapid correction of hyponatremia**. * Although chronic alcohol abuse can affect glucose metabolism, hyperglycemia is not an acute adverse event of treating hyponatremia.
Explanation: ***Clean-based ulcer*** - A **clean-based ulcer** indicates that there is no visible blood, clot, or vessel, suggesting a very low risk of rebleeding. - The absence of endoscopic stigmata of recent hemorrhage is associated with an excellent prognosis and typically requires no further endoscopic intervention. *Visible non-bleeding vessel* - A **visible non-bleeding vessel** indicates an exposed vessel within an ulcer crater, which carries a significant risk of rebleeding, despite not actively bleeding at the time of endoscopy. - Such a finding typically warrants endoscopic therapy to prevent subsequent hemorrhage due to potential rupture or re-bleeding from the exposed vessel. *Adherent clot on ulcer* - An **adherent clot** on an ulcer indicates recent bleeding and carries an intermediate to high risk of rebleeding if left untreated. - Endoscopic removal of the clot and treatment of the underlying lesion is often recommended due to the potential for further hemorrhage once the clot dislodges. *Gastric ulcer with arteriovenous malformations* - **Arteriovenous malformations (AVMs)** are vascular lesions that are inherently prone to bleeding and indicate a high risk of future bleeding events. - While distinct from peptic ulcers, their presence suggests a recurring bleeding source that would likely lead to additional gastrointestinal bleeding. *Visible bleeding vessel* - A **visible bleeding vessel** is indicative of active hemorrhage and represents the highest risk stigmata for rebleeding, necessitating immediate endoscopic intervention to achieve hemostasis. - This finding clearly implies ongoing or very recent bleeding, making additional bleeding highly probable if not treated.
Explanation: ***Bacterial overgrowth*** - The patient's history of **partial gastrectomy with jejunal anastomosis** (Billroth II reconstruction) predisposes him to **small intestinal bacterial overgrowth (SIBO)** due to the creation of a blind loop. - Symptoms such as **loose stools**, **peripheral edema** (due to protein malabsorption leading to hypoalbuminemia), **weight loss**, and **neuropathy** (tingling sensation from B12 malabsorption) are all consistent with SIBO. *Neoplastic growth* - While **gastric cancer** is a possibility given his history, the constellation of symptoms, particularly the macrocytic anemia and peripheral neuropathy, point more strongly towards malabsorption due to bacterial overgrowth. - Other findings less typical for neoplastic growth as the sole cause include significant **hypoalbuminemia** and **peripheral neuropathy**, which are classic for malabsorption. *Increased intestinal motility* - While increased motility can cause loose stools and weight loss, it does not explain the **macrocytic anemia** (high MCV) or the **peripheral neuropathy**. - The patient's history of gastrectomy does not directly lead to increased intestinal motility as a primary issue for this clinical picture. *Anastomotic stricture* - An anastomotic stricture would typically present with **obstructive symptoms** like abdominal pain, nausea, and vomiting, or difficulty passing stool, rather than chronic loose stools. - It would not explain the **macrocytic anemia** or **peripheral neuropathy** directly. *Bypass of the pyloric sphincter* - Bypassing the pyloric sphincter (as in a Billroth II) can lead to **dumping syndrome** or **alkaline reflux gastritis**, but these conditions do not typically cause the complete symptom complex seen here, specifically not the severe malabsorption signs like peripheral edema, macrocytic anemia, and neuropathy. - The absence of the pylorus is a predisposing factor for bacterial overgrowth, but not the direct cause of these symptoms.
Explanation: ***Administer ondansetron and isotonic saline with potassium*** - This patient presents with **nausea, vomiting, and dry retching** suggestive of **cannabinoid hyperemesis syndrome** given her history of heavy marijuana use and injected conjunctiva. **Ondansetron** is an appropriate antiemetic choice. - The patient's lab values show **hypokalemia (K+ 2.9 mEq/L)**, **mild hyponatremia (Na+ 132 mEq/L)**, and signs of **dehydration** (elevated BUN and creatinine). Therefore, **isotonic saline** (to address dehydration and hyponatremia) **with potassium supplementation** is essential for rehydration and electrolyte correction. *Administer ondansetron orally and provide oral rehydration solution* - While ondansetron is a good choice, administering it **orally** might be difficult due to active vomiting, making IV administration preferable. - **Oral rehydration** may not be sufficient for a patient with persistent multiple bouts of emesis and significant electrolyte derangements. *Administer metoclopramide and 1/2 normal saline with potassium* - **Metoclopramide** can be used as an antiemetic, but it carries a risk of **extrapyramidal symptoms**, especially in younger patients. Ondansetron is often preferred. - **Hypotonic saline (1/2 normal saline)** is inappropriate for a patient who is **volume depleted** and a trend towards **hypotonic hyponatremia**, as it could worsen cerebral edema or hyponatremia. *Administer ondansetron and 1/2 normal saline with dextrose* - While **ondansetron** is appropriate, **hypotonic saline (1/2 normal saline)** is not indicated for this patient with volume depletion. - **Dextrose** may be added if there is concern for hypoglycemia, but the patient's glucose is normal at 80 mg/dL. The immediate priority is volume and electrolyte correction. *Obtain a urine toxin screen* - While a **urine toxin screen** could confirm marijuana use, it is not the next best step in managing her acute, symptomatic presentation with **dehydration and electrolyte imbalances**. - Clinical suspicion for **cannabinoid hyperemesis syndrome** is already high based on her history and symptoms, and waiting for test results would delay necessary treatment.
Explanation: **Administer iron intravenously** - The patient shows **microcytic anemia** (MCV 72 fL) and **thrombocytosis** (platelet count 611,000/mL), which are classic signs of **iron deficiency anemia**. - Given the failure of oral ferrous sulfate to improve her parameters, despite likely good adherence given the repeat visit, **intravenous iron** is the next appropriate step to ensure adequate iron repletion. *Transfuse the patient with whole blood* - **Blood transfusion** is reserved for patients with severe, symptomatic anemia, often with a hemoglobin level much lower than 11.0 g/dL, or in cases of acute hemorrhage. - This patient's anemia is chronic and her hemoglobin level, while low, is not critically low enough to warrant immediate transfusion. *Administer folate* - **Folate deficiency** typically causes **macrocytic anemia** (high MCV), not microcytic anemia, making it an inappropriate treatment for this patient. - Though chronic alcohol use can affect folate levels, the patient's presentation is more consistent with iron deficiency. *Continue oral ferrous sulfate and supplement with omeprazole* - **Omeprazole** is a **proton pump inhibitor** that can actually *reduce* iron absorption by decreasing gastric acidity, making it counterproductive in treating iron deficiency. - Continuing oral iron alone was already proven ineffective, necessitating a more aggressive approach. *Continue oral ferrous sulfate and supplement with ascorbic acid* - **Ascorbic acid (vitamin C)** can enhance the absorption of non-heme iron; however, since the initial trial of oral ferrous sulfate alone was ineffective, merely adding ascorbic acid may not be sufficient. - The lack of improvement suggests either poor absorption or significant ongoing loss, which intravenous iron addresses more directly.
Explanation: ***Barium swallow*** - For a patient with **progressive dysphagia to both solids and liquids**, a **motility disorder** (particularly **achalasia**) is most likely, especially given the travel history to **South America** (Chagas disease risk). - **Barium swallow (esophagram)** is the **preferred initial diagnostic test** for suspected esophageal motility disorders as it is **non-invasive**, provides excellent visualization of esophageal anatomy, and can demonstrate characteristic findings such as **"bird's beak" appearance** in achalasia or dilated esophagus with poor peristalsis. - This test helps distinguish between **mechanical obstruction** and **motility disorders** without the risks associated with endoscopy. *Endoscopy* - While endoscopy allows direct visualization and biopsy capability, it is **not the first-line test** for suspected motility disorders. - Endoscopy is more appropriate when dysphagia presents with **solids only** (suggesting mechanical obstruction or malignancy) or when barium swallow reveals concerning findings requiring tissue diagnosis. - In a young patient (37 years) with dysphagia to liquids, malignancy is less likely, making the invasive nature of endoscopy less justified as the initial test. *Manometry* - **Esophageal manometry** is the **gold standard for confirming** esophageal motility disorders like achalasia. - However, it is typically performed **after** structural abnormalities are ruled out with imaging (barium swallow), not as the initial diagnostic test. - Manometry provides definitive diagnosis but doesn't evaluate for anatomical causes of dysphagia. *Nifurtimox* - This antiparasitic treats **Chagas disease** (*Trypanosoma cruzi*), which can cause esophageal dysmotility. - Treatment should **never precede diagnosis**; the patient needs diagnostic workup first to confirm the etiology of dysphagia. - Nifurtimox is only indicated after confirming active Chagas infection with serologic testing. *Myotomy* - **Heller myotomy** is a **definitive surgical treatment** for achalasia, not a diagnostic procedure. - This intervention is only appropriate after diagnosis is established and medical/endoscopic therapies have been considered. - Performing surgery without diagnostic confirmation would be inappropriate management.
Explanation: ***Acute mesenteric ischemia*** - The sudden onset of severe, **periumbilical abdominal pain** out of proportion to physical exam findings in a patient with significant **atherosclerotic risk factors** (recent MI, diabetes, hypertension, smoking) is highly suggestive of acute mesenteric ischemia. - **Bloody loose bowel movements** (due to mucosal sloughing) and the presence of an **epigastric bruit** further support the diagnosis of arterial occlusion to the bowel. *Chronic mesenteric ischemia* - This typically presents with **postprandial abdominal pain** (abdominal angina) and **weight loss** due to fear of eating. - The patient's pain is sudden in onset, not associated with meals, and severe, which is characteristic of acute ischemia. *Colonic ischemia* - While it can cause bloody diarrhea, colonic ischemia typically presents with pain localized to the **left or right lower quadrants** and is often less severe than the pain described here. - The patient's risk factors and abrupt, severe periumbilical pain point away from isolated colonic involvement. *Irritable bowel syndrome* - This is a **functional gastrointestinal disorder** characterized by chronic abdominal pain, bloating, and altered bowel habits (constipation, diarrhea, or both). - It does not present with sudden, severe pain, bloody stools, or in the context of acute cardiovascular events and associated risk factors. *Peptic ulcer disease* - This typically causes **epigastric pain** that can be burning or gnawing, often relieved or exacerbated by food, and may cause melena or hematemesis. - The patient's severe, diffuse periumbilical pain, bloody stools (not melena), and recent MI are not typical for peptic ulcer disease.
Explanation: ***Absent peristalsis and impaired lower esophageal sphincter relaxation*** - The patient's symptoms of **dysphagia** for solids and liquids, along with weight loss, indicate a severe esophageal motility disorder. - This condition is **achalasia**, where the esophagus fails to propel food down and the lower esophageal sphincter doesn't relax appropriately, leading to obstruction. - The clinical clues include progressive dysphagia for both solids and liquids, regurgitation, weight loss, history of aspiration pneumonia, and prior endoscopic intervention (likely pneumatic dilation). *Abnormal esophageal contraction with normal lower esophageal sphincter relaxation* - This describes **distal esophageal spasm** or **jackhammer esophagus**, where the LES relaxes normally but esophageal body contractions are abnormal. - This does not align with the patient's **lack of peristalsis and failure of LES relaxation**, which are pathognomonic for achalasia. *Severely weak peristalsis and patulous lower esophageal sphincter* - While weak peristalsis indicates poor movement, a **patulous (or incompetent) lower esophageal sphincter** suggests inability to maintain closure, leading to reflux. - The patient has **dysphagia, not typical reflux symptoms** (heartburn, regurgitation of acidic content), which are associated with a patulous sphincter and ineffective esophageal motility. *Poor pharyngeal propulsion and upper esophageal sphincter obstruction* - This option describes **oropharyngeal dysphagia**, affecting the **upper esophageal sphincter**. - The patient's symptoms and barium swallow findings point to a **lower esophageal disorder** (achalasia), not upper esophageal obstruction. *Sequenced inhibition followed by contraction of the musculature along the esophagus* - This describes **normal esophageal peristalsis**, with coordinated inhibition and contraction waves. - This contradicts the patient's **absent peristalsis** seen in achalasia, where there is loss of the myenteric plexus and no coordinated esophageal contractions.
Explanation: ***Incompetence of the lower esophageal sphincter*** - The patient's symptoms of **retrosternal burning and squeezing pain** that worsen with **laying down**, **food intake**, and **emotional stress**, and improve with **antacids**, are highly characteristic of **gastroesophageal reflux disease (GERD)**, which occurs due to an incompetent lower esophageal sphincter. - While other conditions can cause chest pain, the specific context and relief with antacids strongly point to an esophageal origin. *Temporary blockage of the bile duct* - This would typically cause **biliary colic**, which is usually described as severe, **cramping pain in the right upper quadrant or epigastrium**, often radiating to the back or right shoulder, and frequently associated with nausea and vomiting. - The described chest pain and its positional worsening and relief with antacids are not typical features of biliary obstruction. *Decreased gastric mucosal protection* - This might suggest conditions like **gastritis** or **peptic ulcer disease**, which cause epigastric pain, burning, or gnawing sensations. - While improved by antacids, the retrosternal location of pain and worsening with lying down are less typical for isolated gastric mucosal issues and more indicative of reflux. *Insufficient blood supply to the myocardium* - This describes **angina pectoris**, which can present as retrosternal squeezing chest pain, often worsened by exertion or stress. However, the patient's pain being worse with **laying down** and significantly improving with **antacids** makes cardiac ischemia less likely. - The description of **burning** and the specific triggers (food intake, laying down) are less typical for angina. *Blood clot within the lungs* - This refers to a **pulmonary embolism**, which typically causes **sudden onset pleuritic chest pain**, dyspnea, and sometimes hemoptysis. - The chronic, intermittent, positional nature of the pain and its relief with antacids are inconsistent with a pulmonary embolism.
Explanation: ***Medullary sponge kidney*** - This condition is characterized by **multiple cysts within the collecting ducts** in the renal medulla, often leading to **hematuria**, **flank pain**, and **recurrent UTIs** due to urinary stasis and stone formation. - The intravenous pyelogram (IVP) finding of **"medullary blush"** or "bouquet of flowers" appearance due to contrast filling the dilated collecting ducts is classic for this diagnosis. *Chronic renal failure* - While chronic renal failure can present with hematuria and flank pain, it is a **consequence of various kidney diseases** and not a specific diagnosis for the described structural changes. - This patient's presentation with specific imaging findings points to an underlying structural anomaly rather than just end-stage kidney dysfunction. *Autosomal dominant polycystic kidney disease (ADPKD)* - ADPKD typically involves **numerous cysts throughout the entire kidney** (cortex and medulla), leading to massive kidney enlargement and progressive renal failure. - The imaging findings in this case specifically describe cysts limited to the collecting ducts in the medulla, which is inconsistent with the widespread cystic involvement of ADPKD. *Simple retention cysts* - **Simple renal cysts are typically solitary or few** and generally benign, not forming multiple cysts specifically within the collecting ducts of the medulla. - They also do not typically cause recurrent UTIs or significant hematuria unless they become very large or complicated. *Acquired polycystic kidney disease* - This condition is almost exclusively seen in patients with **long-standing end-stage renal disease** or on **dialysis**, which is explicitly denied in the patient's history. - The cysts are usually small and scattered, located predominantly in the cortex, and not specifically limited to the medullary collecting ducts.
Explanation: **Colonoscopy for colorectal cancer** - The **USPSTF recommends screening for colorectal cancer in adults aged 45 to 75 years**. This patient is 50 years old, placing him squarely within this recommended age range for colonoscopy, irrespective of smoking status or other risk factors. - **Colonoscopy** is a highly effective screening tool for colorectal cancer, allowing for the detection and removal of precancerous polyps. *Abdominal ultrasonography for abdominal aortic aneurysm* - The **USPSTF recommends one-time screening for abdominal aortic aneurysm (AAA) with ultrasonography in men aged 65 to 75 years who have ever smoked**. This patient is 50 years old, falling outside the recommended age range for this screening, despite his smoking history. - The benefit of screening for AAA is primarily for older men with a history of smoking, as the prevalence of AAA significantly increases with age. *Low-dose computerized tomography for lung cancer* - The **USPSTF recommends annual screening for lung cancer with low-dose computed tomography (LDCT) in adults aged 50 to 80 years who have a 20 pack-year smoking history and currently smoke or have quit within the past 15 years**. This patient has a 10-pack-year smoking history (10-15 cigarettes/day for 10 years ≈ 0.5-0.75 packs/day * 10 years = 5-7.5 pack-years), which does not meet the 20 pack-year threshold. - While the patient is within the age range, his smoking history is insufficient to meet the criteria for routine lung cancer screening with LDCT. *Carcinoembryonic antigen for colorectal cancer* - **Carcinoembryonic antigen (CEA) is a tumor marker primarily used for monitoring the recurrence of colorectal cancer after treatment**, not for initial screening in asymptomatic individuals. - The USPSTF and other guidelines do not recommend CEA as a screening test for colorectal cancer due to its low sensitivity and specificity in asymptomatic populations. *Prostate-specific antigen for prostate cancer* - The **USPSTF recommends that men aged 55 to 69 years should make an individual decision about being screened for prostate cancer with a prostate-specific antigen (PSA) test**, after discussing the potential benefits and harms with their clinician. - This patient is 50 years old, which is younger than the age range where the USPSTF recommends shared decision-making for PSA screening.
Explanation: ***Adenocarcinoma of pancreas*** - The patient's presentation of a migratory, tender, cord-like lesion with erythema and edema, known as **Trousseau's Syndrome**, is a classic paraneoplastic phenomenon. - **Trousseau's Syndrome**, or migratory thrombophlebitis, is most commonly associated with **adenocarcinomas**, particularly those of the **pancreas**, lung, gastrointestinal tract, and prostate. *Malignant melanoma* - While melanoma can metastasize widely, it is not typically associated with **migratory thrombophlebitis** as a paraneoplastic syndrome. - Melanoma presents primarily as a **skin lesion** with characteristic changes in size, color, or shape, not thrombotic episodes. *Basal cell carcinoma* - This is a **slow-growing, localized skin cancer** that rarely metastasizes and is not associated with paraneoplastic syndromes like Trousseau's. - It typically presents as a **pearly nodule** or an ulcerating lesion on sun-exposed areas. *Multiple myeloma* - Multiple myeloma is a **plasma cell malignancy** primarily affecting bone marrow, leading to bone lesions, renal failure, and hypercalcemia. - While it can cause hypercoagulability, it less commonly presents with **Trousseau's Syndrome** compared to adenocarcinomas. *Squamous cell carcinoma of head and neck* - Squamous cell carcinoma of the head and neck is a malignancy strongly associated with **smoking and alcohol use**. - It is not a common cause of **migratory thrombophlebitis** as a paraneoplastic syndrome, although other paraneoplastic syndromes can occur.
Explanation: ***Pyelonephritis*** - The patient presents with **fever, chills, nausea, and costovertebral angle tenderness**, indicating an upper urinary tract infection. - **Urinalysis shows nitrites, leukocyte esterase, WBCs (25/hpf), and many bacteria**, all consistent with infection that has spread to the kidneys. - The **history of recurrent UTIs** increases risk for ascending infection. *Acute obstructing nephrolithiasis* - While **kidney stones** can cause similar pain, this patient's presentation includes **significant fever, chills, and positive signs of infection (nitrites, leukocyte esterase, WBCs in urine)**, which are not typical for uncomplicated nephrolithiasis. - **Hematuria** would be a more prominent finding with nephrolithiasis, and it is absent here ("Blood None"). *Uncomplicated cystitis* - **Cystitis** is a lower urinary tract infection, typically presenting with **dysuria, frequency, and urgency** without systemic symptoms like fever and chills. - The presence of **fever, chills, nausea, and costovertebral angle tenderness** points to an upper UTI (pyelonephritis), not cystitis alone. *Complicated cystitis* - **Complicated cystitis** refers to bladder infection in patients with underlying conditions (e.g., pregnancy, diabetes, urological abnormalities) or recurrent infections. - However, the presence of **fever, chills, and flank pain (costovertebral angle tenderness)** indicates kidney involvement, distinguishing pyelonephritis from a bladder infection. *Renal abscess* - **Renal abscess** can present with fever and flank pain, similar to pyelonephritis. - However, patients with renal abscess typically appear **more toxic**, have **persistently high fevers despite antibiotics**, and often require **imaging (CT scan) for diagnosis**. - The **clinical presentation and urinalysis findings** are more consistent with acute pyelonephritis, which responds well to antibiotic therapy.
Explanation: ***Transabdominal ultrasonography*** - This is the **initial diagnostic test of choice** for suspected **gallstones** or other biliary pathology due to its non-invasive nature, accessibility, and high sensitivity for detecting stones. - The patient's presentation with **RUQ pain**, nausea, vomiting, obesity, and mild **scleral icterus** with elevated **alkaline phosphatase** and **direct bilirubin** is highly suggestive of **choledocholithiasis** or **cholecystitis**. *Endoscopic retrograde cholangiopancreatography (ERCP)* - **ERCP** is a **therapeutic procedure** used to remove stones from the common bile duct, rather than a primary diagnostic tool. - It is an **invasive procedure** with risks such as pancreatitis and is reserved for cases where obstruction is confirmed and needs intervention. *Supine and erect X-rays of the abdomen* - **Plain X-rays** are not effective for diagnosing gallstones as only about **10-20% of gallstones are radiopaque**. - While they can rule out other causes of abdominal pain like bowel obstruction or perforation, they are **not the primary imaging modality** for biliary issues. *Computed tomography (CT) scan of the abdomen* - A **CT scan** is less sensitive than ultrasound for detecting gallstones and is associated with **radiation exposure**. - It might be used if ultrasound findings are inconclusive or if there is concern for other intra-abdominal pathology, but it is **not the initial test of choice** for suspected cholelithiasis. *Hepatobiliary iminodiacetic acid (HIDA) scan of the biliary tract* - A **HIDA scan** is primarily used to diagnose **acute cholecystitis** (inflammation of the gallbladder) by assessing gallbladder emptying or obstruction of the cystic duct. - While useful for acute cholecystitis, it is **not the first-line diagnostic test** for simply detecting gallstones or common bile duct stones, for which ultrasound is superior.
Explanation: **Hemin therapy** - This patient presents with an acute neurovisceral crisis, characterized by **abdominal pain**, **psychiatric symptoms** (confusion, paranoia, hallucinations), **tachycardia**, **hypertension**, **constipation**, and **neuropathy** (tingling, weakness, decreased sensation). These symptoms are classic for **acute intermittent porphyria (AIP)**. - **Hemin therapy** is the most effective treatment for an acute attack of AIP, as it replenishes the heme pool, thereby downregulating **ALA synthase** and reducing the production of neurotoxic porphyrin precursors. *Haloperidol therapy* - While **haloperidol** can be used to manage acute psychosis and agitation, it would only address a single symptom and would not treat the underlying cause of the patient's multi-systemic illness. - Furthermore, certain medications, including some antipsychotics, can exacerbate porphyria attacks and should be used with caution, if at all. *Glucose* - **Glucose infusion** can sometimes be used as an initial measure in porphyria attacks to help suppress ALA synthase activity by increasing hepatic glucose delivery, but it is less effective than hemin, especially in severe cases. - Glucose alone would not be sufficient for the severe and rapidly progressive symptoms seen in this patient. *Chloroquine* - **Chloroquine** is an antimalarial drug that can induce or exacerbate porphyria attacks, particularly in patients with **porphyria cutanea tarda (PCT)**. - It is completely contraindicated in this setting and would worsen the patient's condition. *Chlordiazepoxide* - **Chlordiazepoxide** is a benzodiazepine used to treat anxiety and alcohol withdrawal but would not address the underlying pathology of an acute porphyria attack. - While it may sedate the patient, it would not resolve the abdominal pain, neuropathy, or other systemic manifestations.
Explanation: ***MEN1*** - This patient presents with primary **hyperparathyroidism** (high calcium, low phosphorus, very high PTH), a history of **infertility treated with bromocriptine** (suggesting a **prolactinoma**), and **refractory peptic ulcers** (suggesting **Zollinger-Ellison syndrome** due to gastrinoma). These three features (parathyroid adenoma, pituitary adenoma, and gastrinoma) are the classic triad of **Multiple Endocrine Neoplasia type 1 (MEN1)**, caused by a mutation in the *MEN1* gene. - The additional symptoms like fatigue, nausea, joint pain, flank pain, and kidney stones are all consistent with chronic hypercalcemia. The foul-smelling, light-colored diarrhea could be related to severe reflux/Zollinger-Ellison syndrome or a secondary malabsorption issue. *NF2* - Mutations in the *NF2* gene cause **Neurofibromatosis type 2**, which is characterized by **bilateral vestibular schwannomas**, meningiomas, and ependymomas. - This patient's symptoms do not align with the typical clinical presentation of neurofibromatosis type 2. *VHL* - Mutations in the *VHL* gene cause **Von Hippel-Lindau disease**, characterized by **hemangioblastomas** of the cerebellum, retina, and spinal cord, **renal cell carcinoma**, pheochromocytomas, and pancreatic neuroendocrine tumors. - While pancreatic neuroendocrine tumors can occur, the constellation of hyperparathyroidism, pituitary adenoma, and gastrinoma is not characteristic of VHL disease. *C-Kit* - Mutations in the *C-Kit* gene are primarily associated with **gastrointestinal stromal tumors (GISTs)** and some forms of mastocytosis. - This gene mutation does not explain the patient's complex endocrine presentation with hyperparathyroidism, pituitary tumor, and gastrinoma. *RET* - Mutations in the *RET* gene are associated with **Multiple Endocrine Neoplasia type 2 (MEN2)**. - **MEN2A** includes **medullary thyroid carcinoma**, pheochromocytoma, and primary hyperparathyroidism (but usually less severe than in MEN1). **MEN2B** includes medullary thyroid carcinoma, pheochromocytoma, and distinctive physical features like marfanoid habitus and mucosal neuromas, but not pituitary or gastrinomas. This patient's symptoms are not consistent with MEN2.
Explanation: ***p-ANCA levels*** - The patient presents with asthma, sinusitis-like symptoms (prior cold followed by worsening cough/asthma), eosinophilia (15%), and renal involvement (proteinuria, hematuria, elevated creatinine). This constellation of symptoms is highly suggestive of **Eosinophilic Granulomatosis with Polyangiitis (EGPA)**, formerly known as Churg-Strauss Syndrome. - Approximately 30-40% of EGPA patients are positive for **p-ANCA (anti-myeloperoxidase antibodies)**, which are associated with the vasculitic phase and renal involvement. *IgA deposits* - **IgA deposits** are characteristic of **IgA nephropathy (Berger's disease)** or **Henoch-Schönlein purpura** (now IgA vasculitis), which typically present with hematuria and proteinuria, sometimes after an upper respiratory infection. - However, these conditions do not typically cause severe asthma, significant eosinophilia, or a systemic vasculitis picture with pulmonary involvement as seen in this patient. *Smoking* - While the patient is a smoker and smoking can exacerbate asthma and contribute to chronic lung disease, it is not an *associated factor* with the underlying diagnosis of EGPA itself. - Smoking is a risk factor for many respiratory illnesses but doesn't specifically point to EGPA in the context of the given clinical and laboratory findings. *c-ANCA levels* - **c-ANCA (anti-proteinase 3 antibodies)** are primarily associated with **Granulomatosis with Polyangiitis (GPA)**, formerly Wegener's granulomatosis. - While GPA can present with kidney involvement and pulmonary symptoms, it typically involves the upper airways (sinusitis, otitis), lungs, and kidneys, but is usually *not* associated with severe asthma or prominent eosinophilia, which are key features in this patient. *Hepatitis B surface antigen* - **Hepatitis B surface antigen** positivity is associated with **polyarteritis nodosa (PAN)** due to immune complex deposition. - PAN is a necrotizing vasculitis that can affect multiple organs but typically spare the lungs and is not associated with asthma or eosinophilia.
Explanation: ***Serum blood urea nitrogen/creatinine (BUN/Cr) > 20*** - The patient presents with classic signs of **hypovolemia**, including hypotension, tachycardia, dry skin, and decreased urine output, likely due to significant fluid loss from diarrheal illness. This state leads to **prerenal azotemia**. - In prerenal azotemia, the kidneys reabsorb more water and urea to conserve fluid, leading to a disproportionate rise in BUN compared to creatinine, resulting in a **BUN/Cr ratio typically > 20:1**. *Urine osmolality < 350 mOsm/kg* - This value indicates the kidney is actively excreting dilute urine, which would be expected in conditions like **diabetes insipidus** or **excessive fluid intake**. - In response to hypovolemia, the kidneys attempt to conserve water, leading to the excretion of **highly concentrated urine**, with osmolality typically **> 500 mOsm/kg**. *Fractional excretion of sodium (FENa) > 2%* - An FENa > 2% suggests **intrinsic renal damage** (acute tubular necrosis) where the kidneys cannot effectively reabsorb sodium. - In prerenal azotemia, the kidneys are structurally intact and actively conserve sodium to maintain circulating volume, leading to an **FENa < 1%**. *Urine Na+ > 40 mEq/L* - A urine sodium concentration above 40 mEq/L is observed in **intrinsic kidney injury** or during **diuretic use**, where sodium reabsorption is impaired. - With hypovolemia, the kidneys avidly reabsorb sodium, striving to restore volume. This results in a **low urine sodium concentration**, typically **< 20 mEq/L**. *Serum creatinine < 1 mg/dL* - While a serum creatinine < 1 mg/dL *could* be normal for some individuals, in the context of significant dehydration and prerenal azotemia, one would expect a **rise in serum creatinine** alongside BUN. - The patient's condition, characterized by hypovolemia and decreased renal perfusion, leads to **elevated serum creatinine**.
Explanation: ***Beta cell tumor of the pancreas*** - The patient's symptoms of **palpitations, sweating, and blurry vision** developing after exertion, coupled with symptom resolution after eating, are classic for **hypoglycemia**. - The laboratory findings, including **low blood glucose (45 mg/dL)**, **elevated serum insulin (20 microU/L)**, **elevated C-peptide (0.8 nmol/L)**, and **proinsulin levels (10 microU/L)**, are highly indicative of an **insulin-producing tumor (insulinoma)**, which originates from the pancreatic beta cells. *Delta cell tumor of the pancreas* - A **delta cell tumor (somatostatinoma)** typically causes symptoms related to **somatostatin excess**, such as **gallstones, diabetes mellitus, steatorrhea, and weight loss**. - These tumors do not primarily cause hypoglycemia; in fact, somatostatin generally inhibits insulin release. *Heat stroke* - **Heat stroke** is characterized by a **core body temperature >40°C (104°F)** and central nervous system dysfunction (e.g., altered mental status, seizures). - The patient's temperature is normal, and her symptoms are directly linked to hypoglycemia, not heat exposure. *Exogenous insulin* - If the patient were taking **exogenous insulin**, her **C-peptide level would be suppressed or very low** because C-peptide is co-secreted with endogenous insulin. - The **elevated C-peptide level** in this case rules out surreptitious insulin use as the cause of her hypoglycemia. *Alpha cell tumor of the pancreas* - An **alpha cell tumor (glucagonoma)** secretes excess **glucagon**, which **raises blood glucose levels**. - This would typically lead to **hyperglycemia**, not the hypoglycemia observed in this patient.
Explanation: ***Measure electrolytes*** - The patient's presentation with **confusion, disorientation, agitation**, and **lower extremity weakness** after refeeding for severe **malnutrition** is highly suggestive of **refeeding syndrome**. This syndrome is characterized by severe electrolyte shifts, particularly **hypophosphatemia**, **hypokalemia**, and **hypomagnesemia**. - Measuring electrolytes immediately is crucial to diagnose and then correct these imbalances, which can lead to life-threatening complications like **cardiac arrhythmias**, **respiratory failure**, and **seizures**. *MRI of the brain* - While neurological symptoms are present, a brain MRI is not the immediate first step given the context of refeeding in a severely malnourished patient. - The symptoms are more consistent with **metabolic derangements** associated with **refeeding syndrome** than an acute primary neurological event. *Administer insulin* - Administering insulin without knowing the patient's glucose or electrolyte status could be dangerous, especially given the increased risk of **hypokalemia** and **hypophosphatemia** in refeeding syndrome, which insulin can exacerbate. - Refeeding syndrome typically involves glucose shifts, but **hypoglycemia** is not the primary immediate concern, and hyperinsulinemia in this context can cause cellular uptake of electrolytes leading to further depletion. *Arrange for outpatient counseling* - The patient is acutely ill and experiencing a potentially life-threatening complication requiring immediate medical intervention. - **Outpatient counseling** is not appropriate for an acute hospital admission with severe, rapidly changing symptoms. *Doppler ultrasound on lower extremities* - While immobility can increase the risk of deep vein thrombosis (DVT), the patient's symptoms of **confusion, agitation, tachycardia, tachypnea**, and **weakness** are not primary indicators of DVT. - The clinical picture points strongly towards **metabolic complications** of refeeding.
Explanation: ***Tumor in the lung without metastasis*** - The patient presents with **carcinoid syndrome** symptoms (flushing, wheezing, diarrhea, hyperpigmented rash, increased 5-HIAA), but the **left-sided valvular fibrosis** (mitral regurgitation) is atypical for classic carcinoid, which usually affects the right heart. - Left-sided heart involvement in carcinoid syndrome occurs when a **primary bronchial carcinoid tumor** directly releases serotonin into the pulmonary veins and systemic circulation, bypassing both hepatic metabolism and the right heart, allowing it to reach the left heart valves before inactivation. - This is the key distinguishing feature: only bronchial/lung carcinoids can cause left-sided cardiac disease because they drain into pulmonary veins rather than the portal or systemic venous system. *Tumor in the descending colon with hepatic metastasis* - A tumor in the descending colon would release serotonin into the **portal circulation**, which would then be **metabolized by the liver** before reaching the systemic circulation. - Even with liver metastases releasing serotonin into hepatic veins, it would enter the **right heart first** via the IVC, causing **right-sided valvular disease** (tricuspid regurgitation, pulmonary stenosis), not left-sided mitral regurgitation. - The lungs inactivate serotonin, protecting the left heart in GI carcinoid cases. *Tumor in the left atrium with hepatic metastasis* - Primary cardiac tumors (myxomas) do not produce serotonin and would not explain the systemic symptoms of **carcinoid syndrome**, such as flushing, wheezing, or elevated 5-HIAA. - This combination is anatomically and pathophysiologically implausible for carcinoid syndrome. *Tumor in the pancreas without metastasis* - A pancreatic neuroendocrine tumor (PNET) can produce serotonin, but without hepatic metastases, the serotonin released into the portal system would be **metabolized by the liver**, preventing systemic carcinoid syndrome. - Even with metastases, it would typically cause **right-sided heart disease** as serotonin from liver metastases enters the right heart first. - The absence of metastasis makes this highly unlikely to cause the clinical syndrome. *Tumor in the appendix without metastasis* - Appendiceal carcinoid tumors, especially without metastasis, are generally **asymptomatic** or cause only local symptoms, as the serotonin produced drains into the portal system and is effectively metabolized by the liver. - They would not cause systemic carcinoid syndrome, and certainly not isolated left-sided cardiac involvement.
Explanation: ***Disc herniation*** - The sudden onset of **sharp back pain** radiating down the leg (**radiculopathy**) after physical exertion, coupled with a positive **straight leg raise test**, is highly indicative of a disc herniation. - Radiating pain suggests nerve root compression, and the straight leg raise test stretches the sciatic nerve, aggravating the pain in cases of disc herniation. *Cauda equina syndrome* - This is a neurological emergency characterized by **saddle anesthesia**, bowel or bladder dysfunction, and progressive motor weakness in both legs. - These severe neurological deficits are not present in the patient's presentation; sensation is intact, and no mention of bowel/bladder issues. *Ankylosing spondylitis* - Typically presents with **chronic inflammatory back pain** that improves with exercise and worsens with rest, often in younger males. - It is a systemic inflammatory condition, and the acute, exertion-related onset of pain with radiculopathy described here is not characteristic. *Osteomyelitis* - This is an **infection of the bone**, usually accompanied by fever, localized tenderness, and systemic signs of infection. - The patient's vital signs are stable, and there is no indication of infection, making osteomyelitis less likely. *Spinal stenosis* - Characterized by **neurogenic claudication**, where leg pain and numbness worsen with walking and improve with sitting or leaning forward. - The acute onset of pain after an intense activity and the presence of a positive straight leg raise are not typical features of spinal stenosis.
Explanation: ***Colonoscopy*** - This patient has a history of **ulcerative colitis**, a condition known to increase the risk of **colorectal cancer**. Regular surveillance **colonoscopy** is recommended for these patients, especially with a family history of colon cancer. - Furthermore, his father died of colon cancer at age 50, which strongly suggests a familial predisposition, making colonoscopy an urgent consideration for **cancer screening and prevention**. *Fecal occult blood testing* - While this test screens for **colorectal cancer**, it is generally **less sensitive and specific** than a colonoscopy, especially in high-risk individuals like this patient. - It detects blood, which can be present due to various reasons, and a negative result does not reliably rule out **colorectal cancer** in someone with ulcerative colitis and a strong family history. *Flexible sigmoidoscopy* - This procedure examines only the **distal part of the colon**, which may miss lesions located in the **proximal colon**. - For patients with **ulcerative colitis** who have an increased risk of pan-colonic cancer, a **full colonoscopy** is preferred for comprehensive surveillance. *Low-dose CT* - **Low-dose CT** is primarily used for **lung cancer screening** in heavy smokers, given this patient's 10-year, 1-pack-per-day history. - While smoking is a risk factor for various cancers, it does not directly address the immediate and more significant risk for **colorectal cancer** related to his ulcerative colitis and family history. *PSA and digital rectal exam* - **PSA testing** and **digital rectal exams** are screening tools for **prostate cancer**. - While important for men in a certain age range, there is **no indication** in the patient's history to suggest an urgent need for prostate cancer screening over colorectal cancer screening.
Explanation: ***Irritable bowel syndrome (IBS)*** - The patient's symptoms of chronic diarrhea, abdominal discomfort relieved by defecation, urgency, and incomplete evacuation, without significant weight loss or alarming signs, are highly characteristic of **Irritable Bowel Syndrome** meeting **Rome IV criteria**. - The camping history suggests possible infectious gastroenteritis, but the **chronic duration (4 months)**, **normal stool examination**, and **absence of systemic illness** make infectious causes unlikely. - The mild WBC elevation and normal ESR are non-specific findings; IBS is a **functional disorder** without inflammatory markers. *Giardiasis* - While giardiasis can cause chronic diarrhea, it often presents with **malabsorption symptoms** such as fatty stools, weight loss, and nutrient deficiencies. - The routine stool examination being within normal limits makes giardiasis less likely, as **Giardia cysts or trophozoites** would typically be detected on microscopy. *Ulcerative colitis* - Ulcerative colitis is an **inflammatory bowel disease** typically characterized by bloody diarrhea, abdominal pain, and systemic symptoms like fever and weight loss. - The patient's symptoms include the absence of blood in stools and no weight loss, with **normal ESR**, which makes ulcerative colitis unlikely. *Crohn's disease* - Crohn's disease is another **inflammatory bowel disease** that can affect any part of the GI tract and presents with chronic diarrhea, abdominal pain, and often systemic symptoms like weight loss, fever, or perianal disease. - The lack of weight loss, systemic inflammation markers (normal ESR), and absence of blood or inflammatory markers in the stool make Crohn's disease less probable. *Laxative abuse* - Laxative abuse can cause chronic diarrhea, but it's typically associated with a history of **eating disorders** (anorexia nervosa, bulimia nervosa) or other psychological conditions, which are not mentioned in this case. - The patient's description of abdominal discomfort relieved by defecation, urgency, and incomplete evacuation is more consistent with **IBS** (a functional bowel disorder) rather than solely laxative-induced diarrhea.
Explanation: ***Reactive arthritis*** - The constellation of **urethritis** (painful urination), **conjunctivitis** (bilateral inflammation of the conjunctiva), and **arthritis** (knee pain, Achilles tendonitis) following a genitourinary infection in a sexually active young man is classic for reactive arthritis (formerly Reiter's syndrome). - The synovial fluid analysis showing a **leukocyte count of 26,000/mm3** with **75% neutrophils** and a **negative Gram stain** is consistent with inflammatory, non-infectious arthritis. *Lyme arthritis* - This typically presents with **migratory polyarthritis** and often follows an **erythema chronicum migrans** rash, neither of which is present in this case. - While Lyme disease can cause arthritis, the preceding urethritis and conjunctivitis are not characteristic features. *Rheumatoid arthritis* - Although the patient's mother has rheumatoid arthritis, this condition usually presents as **symmetric polyarthritis** primarily affecting small joints, and rarely involves urethritis or conjunctivitis. - It would be unusual for a 17-year-old boy to present with seronegative rheumatoid arthritis with this specific triad of symptoms. *Septic arthritis* - While septic arthritis can cause a hot, swollen joint and fever, the **negative Gram stain** and absence of clear bacterial growth (implied by typical "reactive" presentation, although cultures are pending) make it less likely, especially with the conjunctivitis and urethritis. - The history of preceding urethritis points towards a sterile inflammatory process rather than direct joint infection. *Syphilitic arthritis* - Syphilitic arthritis is rare and typically occurs in secondary or tertiary syphilis, presenting as a **chronic, destructive arthritis** often affecting large joints. - The acute presentation with conjunctivitis and urethritis is not characteristic of syphilis.
Explanation: ***Obstruction of the abdominal aorta following surgery*** - A surgical procedure, especially one involving manipulation or clamping of the abdominal aorta, can lead to **reduced blood flow** to the intestinal arteries, making the **splenic flexure** particularly vulnerable to **ischemic colitis** due to its watershed area blood supply between the SMA and IMA territories. - Reduced arterial flow to the colon results in **ischemia**, which causes inflammation, damage, and can present with bloody diarrhea and abdominal pain. - Aortic surgery is a recognized risk factor for acute ischemic colitis due to interruption of mesenteric blood flow. *Juxtaglomerular cell tumor* - This tumor causes **renin-dependent hypertension**, leading to increased blood pressure, but does not directly cause **colonic ischemia**. - Its primary effect is on the **renal blood vessels** and **fluid-electrolyte balance**, not intestinal circulation. *Hyperreninemic hyperaldosteronism secondary to type II diabetes mellitus* - This condition involves **high renin** and **aldosterone levels**, predisposing to hypertension and electrolyte imbalances, and is often a complication of **diabetes**, but it does not directly cause **ischemia of the colon**. - While diabetes can cause microvascular complications, this specific presentation of **hyperaldosteronism** is not a direct cause of **ischemic colitis**. *Essential hypertension* - While **chronic hypertension** is a risk factor for generalized **atherosclerosis**, it is not as direct and acute a cause of **ischemic colitis** as a specific arterial obstruction. - The effects of **essential hypertension** on the colon are often less acute and more diffuse than the localized ischemia experienced in this case. *Increased splanchnic blood flow following a large meal* - Postprandial **increased splanchnic blood flow** is a normal physiological response that facilitates digestion and nutrient absorption, and would not itself cause **ischemic colitis**. - The postprandial pain in ischemic colitis occurs because the **diseased vasculature cannot meet increased metabolic demands** during digestion (supply-demand mismatch), not because the increased flow itself is harmful. - In fact, reduced splanchnic blood flow due to underlying vascular disease, coupled with increased demand after meals, is the actual mechanism for **ischemic colitis** symptoms.
Explanation: ***Replacement of fluids and electrolytes*** - The patient presents with **nausea, vomiting, and diarrhea for 5 days**, along with **low blood pressure (92/68 mm Hg)**, indicating **dehydration** as the primary concern. - **Fluid and electrolyte replacement** is crucial to correct dehydration and maintain vital organ function, especially in the setting of persistent gastrointestinal losses. *IV antibiotic therapy to prevent disseminated disease* - While foodborne illnesses can sometimes disseminate, the current presentation does not strongly suggest severe invasive disease requiring immediate IV antibiotics without further workup. - Many common foodborne pathogens causing gastroenteritis are self-limiting, and antibiotics may not be beneficial or could even worsen outcomes (e.g., in E. coli O157:H7). *Empiric therapy assuming multi-drug resistance* - Initiating empiric multi-drug resistant therapy without identifying the causative agent or evidence of antibiotic failure is generally not recommended due to concerns about promoting resistance. - The patient's symptoms are consistent with a common foodborne gastroenteritis, where supportive care is usually the first-line management. *Prolonged oral antibiotics* - **Prolonged oral antibiotics** are typically reserved for specific bacterial infections with identified pathogens requiring extended treatment or in immunocompromised patients. - The given clinical picture primarily points to acute gastroenteritis requiring symptom management rather than a chronic or severe infection needing prolonged antibiotic courses. *Short course of oral antibiotics to prevent asymptomatic carrier state* - A short course of oral antibiotics to prevent an asymptomatic carrier state is typically considered for specific infections like **Typhoid fever** or in certain high-risk individuals, which is not the immediate concern here. - In most cases of acute gastroenteritis, antibiotics are not given to prevent carrier states and may even prolong bacterial shedding in some Salmonella infections.
Explanation: ***The patient has an anion gap metabolic acidosis with decreased total body potassium*** - The **anion gap** is calculated as Na - (Cl + HCO3) = 146 - (99 + 12) = 35, which is significantly elevated (normal 8-12 mEq/L), indicating an **anion gap metabolic acidosis**. The low **pH (7.26)** and **HCO3 (12)** confirm metabolic acidosis. - While the patient's serum potassium is **hyperkalemic (5.6 mEq/L)**, this is often a spurious finding in **diabetic ketoacidosis (DKA)** due to a shift of potassium out of cells in acidosis, masking significant **total body potassium depletion** from urinary losses. *The patient has a metabolic acidosis with hyperkalemia from increased total body potassium* - The patient clearly has a **metabolic acidosis** (low pH, low HCO3); however, the **hyperkalemia** observed is due to an extravasation of potassium from inside the cells to the extracellular fluid, as is common in **acidosis**. - Despite the high serum potassium, the patient has overall **decreased total body potassium stores** because potassium is lost in the urine due to osmotic diuresis and shifts back into cells as acidosis resolves. *The patient has a non-anion gap metabolic acidosis with decreased total body sodium* - The calculated **anion gap of 35 mEq/L** is significantly elevated, meaning this is an **anion gap metabolic acidosis**, not a non-anion gap acidosis. - The patient's serum sodium is 146 mEq/L, which is within the normal range to slightly elevated, and there is no evidence of **decreased total body sodium**. *The patient has an anion gap metabolic acidosis as well as a respiratory acidosis* - The patient has an **anion gap metabolic acidosis** with a low pH and HCO3; However, the **pCO2 is 21 mmHg**, which is lower than normal, indicating **respiratory compensation (respiratory alkalosis)** for the metabolic acidosis, not a respiratory acidosis. - **Respiratory acidosis** would present with a high pCO2. *The patient has a primary respiratory alkalosis with a compensatory metabolic acidosis* - The **pH of 7.26 is acidic**, suggesting a primary acidosis, not a primary respiratory alkalosis. - While the **pCO2 of 21 mmHg** indicates a respiratory alkalosis, it is acting as a **compensatory mechanism** for the primary metabolic acidosis, not the primary derangement.
Explanation: ***Gluten-free diet*** - The patient's symptoms of **weight loss, bloating, diarrhea**, and **low BMI** (18 kg/m²) suggest **malabsorption**. - **Bilateral white spots on the temporal conjunctiva (Bitot spots)** indicate **vitamin A deficiency**, a hallmark of fat-soluble vitamin malabsorption seen in **celiac disease**. - The **hard neck mass that does not move with swallowing** suggests a **thyroid goiter**, likely related to **autoimmune thyroiditis**, which commonly co-occurs with celiac disease. - **Decreased renal D-xylose excretion** confirms **proximal small bowel malabsorption**, characteristic of celiac disease where damaged villi cannot absorb D-xylose properly. - A **gluten-free diet** is the definitive treatment for celiac disease and would have prevented the intestinal damage, malabsorption, and subsequent weight loss. *Tetracycline therapy* - **Tetracycline** treats **small intestinal bacterial overgrowth (SIBO)**, which can cause malabsorption and diarrhea. - However, SIBO typically shows a **normal D-xylose test** (bacteria consume xylose before it's absorbed, but this usually doesn't significantly decrease excretion) or may show variable results. - The presence of **Bitot spots** and **autoimmune thyroid involvement** strongly suggests celiac disease rather than SIBO. *Lactose-free diet* - **Lactose intolerance** causes bloating, gas, and diarrhea but typically **not significant weight loss** or **fat-soluble vitamin deficiencies**. - The D-xylose test would be **normal** in lactose intolerance, as it tests small bowel absorptive capacity, not lactase enzyme activity. - The widespread malabsorption with vitamin A deficiency extends beyond simple lactose intolerance. *Mesalamine therapy* - **Mesalamine** is an anti-inflammatory medication used to treat **inflammatory bowel disease (IBD)**, particularly **ulcerative colitis** and **Crohn's disease**. - While Crohn's disease can cause small bowel malabsorption and weight loss, the **bilateral Bitot spots** and **positive D-xylose test** are more specific for **diffuse mucosal disease** like celiac disease. - IBD would more likely present with bloody diarrhea, and the D-xylose test is typically normal unless extensive small bowel involvement. *Pancreatic enzyme replacement* - **Pancreatic enzyme replacement therapy (PERT)** treats **exocrine pancreatic insufficiency**, causing malabsorption, steatorrhea, and weight loss. - Critically, the **D-xylose test is normal in pancreatic insufficiency** because D-xylose absorption does not require pancreatic enzymes—it depends solely on intact intestinal mucosa. - The **decreased D-xylose excretion** in this patient indicates **small bowel mucosal damage**, not pancreatic dysfunction, ruling out pancreatic insufficiency.
Explanation: ***Progressive multifocal leukoencephalopathy (PML)*** - This patient's history of **Crohn's disease** managed with **natalizumab** (a monoclonal antibody targeting α4-integrin) significantly increases the risk for **PML**, especially with new onset **ataxia** and **gait disturbance**. MRI findings would likely show multifocal, asymmetric white matter lesions without mass effect or enhancement. - PML is caused by the **JC virus**, which reactivates in immunocompromised individuals, leading to demyelination and neurological deficits. *Sporadic Creutzfeldt-Jakob disease (sCJD)* - While sCJD presents with rapidly progressive **dementia**, **myoclonus**, and **ataxia**, it typically affects older individuals and is not directly linked to immunosuppression or natalizumab use. - MRI findings in sCJD commonly show **cortical ribboning** or **basal ganglia hyperintensity** on DWI/FLAIR, which differs from PML's white matter lesions. *West Nile encephalitis* - This is an acute **viral infection** transmitted by mosquitoes, presenting with fever, headache, altered mental status, and sometimes movement disorders. - It would typically have an **acute onset** and often characteristic seasonal and geographic patterns, which are not described here. *Variant Creutzfeldt-Jakob disease (vCJD)* - vCJD is linked to the consumption of **bovine spongiform encephalopathy (BSE)**-contaminated products and typically affects younger individuals with prominent psychiatric symptoms and sensory disturbances before neurological decline. - It does not have a direct association with immunosuppressive therapy like natalizumab. *Subacute sclerosing panencephalitis (SSPE)* - SSPE is a rare, progressive neurological disorder that occurs years after a **measles infection**, primarily affecting children and young adults. - Symptoms include intellectual deterioration, seizures, and myoclonus, but it is not associated with Crohn's disease, natalizumab, or the typical MRI findings for PML.
GERD and esophageal disorders
Practice Questions
Peptic ulcer disease
Practice Questions
Helicobacter pylori infection
Practice Questions
Celiac disease
Practice Questions
Irritable bowel syndrome
Practice Questions
Diverticular disease
Practice Questions
GI bleeding (upper and lower)
Practice Questions
Small intestinal bacterial overgrowth
Practice Questions
Malabsorption syndromes
Practice Questions
Colorectal cancer screening
Practice Questions
Functional GI disorders
Practice Questions
Anorectal disorders
Practice Questions
GI motility disorders
Practice Questions
Get full access to all questions, explanations, and performance tracking.
Start For Free