Name the center shown as $X$ in the cut section of medulla which is responsible for control of respiration.

Identify the structure shown below. (Recent NEET Pattern 2019)

Identify the nerve marked with an arrow in the given section of cranial cavity.

A child is brought with fever and ear pain. On examination following findings are noted. The cranial nerve involved for ear pain is:

A 4-day-old neonate under phototherapy in NICU. The child has shrill cry. All are true about the acute presentation of the disease except:

At what age does maximum brain growth occur?
Arrange in sequence the structures involved in the direct pathway (1=Striatum, 2=GPi, 3=Thalamus, 4=Cortex output, 5=Cortex input):-
A 12-year-old boy is brought to his primary care physician because he has been tripping and falling frequently over the past 2 months. He says that he feels like he loses his balance easily and finds it difficult to walk in tight spaces such as his school hallways. Furthermore, he says that he has been experiencing insomnia over the same time period. His past medical history is significant for some mild allergies, but otherwise he has been healthy. Physical exam reveals that his eyes are fixed downwards with nystagmus bilaterally. Which of the following structures is most likely affected by this patient's condition?
One week after being involved in a bicycling accident, a 32-year-old woman comes to the physician because of intermittent double vision. She reports worsening of symptoms when she tries to type on her computer or while buttoning her shirts. Physical examination shows a slight right-sided head tilt. Her left eye is deviated laterally and upwards, which becomes even more prominent when she attempts left eye adduction. This patient's symptoms are most likely due to impaired innervation to which of the following muscles?
A 28-year-old man presented with gradually progressive gait disturbances since 10 years of age. His gait was clumsy and slow, and it was very difficult for him to perform brisk walking and running. After a few years, he developed tremors involving both upper limbs along with progressively increasing fatigability. Over the last several months, his friends have noticed that his speech has become slow, slurred, and sometimes incomprehensible. He has also developed difficulty in swallowing recently. On physical examination, he is vitally stable with normal sensorium and normal higher mental functions. The neurological examination reveals absent deep tendon reflexes in the lower extremities and the extensor plantar response bilaterally. Muscle tone is normal in different muscle groups with significant distal muscle wasting in the extremities. There is a marked loss of vibration and position senses. His gait is ataxic and nystagmus is present. His speech is explosive and dysarthric. The neurologist suspected a specific condition and asked for genetic testing, which identified 2 GAA trinucleotide repeat expansions. Which of the following is a correct statement related to the diagnosis of this patient?
Explanation: ***Pre-Botzinger Complex*** - The **pre-Bötzinger complex** in the medulla is crucial for generating the **respiratory rhythm** and is the primary site of inspiratory rhythmogenesis. - It is located ventral to the nucleus ambiguus and contains **pacemaker neurons** that fire spontaneously. *Pneumotaxic centre* - The **pneumotaxic center** is located in the **pons**, specifically the upper pons, and primarily regulates respiratory rate and depth. - It works by sending inhibitory signals to the inspiratory center, thereby **limiting inspiration**. *Nucleus Para-brachialis* - The **nucleus parabrachialis** is located in the pons and includes the pneumotaxic center, affecting the **transition between inspiration and expiration**. - It helps in fine-tuning respiratory patterns rather than initiating the basic rhythm. *Dorsal group of respiratory neurons* - The **dorsal respiratory group (DRG)**, located in the medulla, primarily controls **inspiration** and receives sensory input from chemoreceptors and mechanoreceptors. - While it initiates the basic inspiratory muscle activity, the pre-Bötzinger complex is considered the rhythm generator. *Ventral group of respiratory neurons* - The **ventral respiratory group (VRG)**, located in the ventrolateral medulla, contains neurons responsible for both **inspiration and expiration**. - The pre-Bötzinger complex is actually part of the VRG and serves as the **rhythm-generating center** within this larger group.
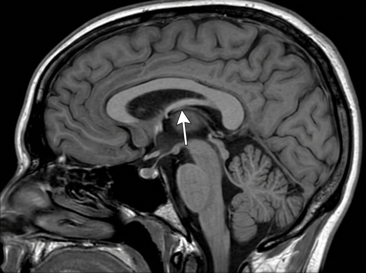
Explanation: ***Fornix*** - The arrow points to a C-shaped bundle of **nerve fibers** in the brain that acts as the primary efferent (output) pathway of the **hippocampus**, a crucial structure for memory. - It is located inferior to the corpus callosum and its position in the image is consistent with the anatomical location of the fornix. *Corpus callosum* - The corpus callosum is a large, **C-shaped nerve fiber bundle** located beneath the cerebral cortex in the longitudinal fissure, connecting the left and right cerebral hemispheres. - While visible in the image, the arrow specifically indicates the structure immediately beneath it, which is the fornix, not the corpus callosum itself. *Pineal gland* - The **pineal gland** is a small endocrine gland located in the epithalamus, near the center of the brain, behind the thalamus. - Its position is medial and inferior to the structure indicated by the arrow. *Splenium* - The **splenium** is the posterior, thicker part of the **corpus callosum**, forming its most caudal end. - The arrow points to a more anterior and inferior structure than the splenium. *Septum pellucidum* - The **septum pellucidum** is a thin, vertical membrane separating the anterior horns of the left and right lateral ventricles. - It is located superior and anterior to the fornix, positioned between the corpus callosum above and the fornix below, which is different from the structure indicated by the arrow.
Explanation: ***Abducens*** - The image shows the abducens nerve passing through **Dorello's canal** on its way to the **cavernous sinus**. - Its unique path makes it susceptible to injury in cases of increased intracranial pressure, leading to **lateral rectus palsy**. *Trochlear* - The trochlear nerve is the **smallest cranial nerve** and exits the brainstem dorsally, then wraps around to the ventral side. - It innervates the **superior oblique muscle** of the eye. *Trigeminal* - The trigeminal nerve is a large cranial nerve with **three main divisions** and is responsible for sensations in the face and motor functions like chewing. - It arises more laterally from the pons and is typically seen entering the **Meckel's cave**. *Oculomotor* - The oculomotor nerve emerges from the **midbrain** and controls most of the extrinsic eye muscles and pupillary constriction. - It is usually visible superior to the abducens nerve in the **cavernous sinus**. *Facial* - The facial nerve exits the brainstem at the **cerebellopontine angle** and enters the **internal acoustic meatus** with the vestibulocochlear nerve. - It controls muscles of **facial expression** and carries taste sensation from the anterior two-thirds of the tongue.
Explanation: ***9th nerve*** - The **glossopharyngeal nerve (CN IX)** innervates the **nasopharynx, tonsils, soft palate, and Eustachian tube**, areas that can refer pain to the ear. - Infection or inflammation in these structures, such as a **pharyngitis** or **tonsillitis** (as suggested by the image showing exudative tonsils), can cause **referred otalgia** via CN IX. *5th nerve* - The **trigeminal nerve (CN V)** primarily supplies sensory innervation to the face, teeth, and anterior two-thirds of the tongue. - While it has a small branch (auriculotemporal) to the external ear, it is less commonly involved in referred ear pain associated with a pharyngeal infection compared to the glossopharyngeal nerve. *7th nerve* - The **facial nerve (CN VII)** is primarily a motor nerve for facial expression and taste sensation. - It carries some sensory fibers from the external auditory canal, but it is not a major pathway for referred ear pain from the pharynx. *10th nerve* - The **vagus nerve (CN X)** innervates a wide range of structures, including parts of the pharynx, larynx, and external ear canal (Arnold's nerve). - While it can be involved in referred otalgia, the **glossopharyngeal nerve (CN IX)** is more frequently associated with ear pain originating from the tonsillar and pharyngeal regions, especially in cases of infection. *12th nerve* - The **hypoglossal nerve (CN XII)** is a purely motor nerve that innervates the intrinsic and extrinsic muscles of the tongue. - It has no sensory function and does not contribute to ear pain or referred otalgia.
Explanation: ***Athetosis*** - **Athetosis** refers to slow, writhing involuntary movements, which are typically a **chronic manifestation** of severe neurological damage, such as that caused by **kernicterus**, rather than an acute presentation. - Acute bilirubin encephalopathy primarily presents with signs of severe neurological distress but not typically with athetosis. - This is a **late sequela** of kernicterus, appearing weeks to months after the acute injury. *Seizures* - **Seizures** are a common acute manifestation of **acute bilirubin encephalopathy (kernicterus)** due to bilirubin toxicity in the brain, especially in the basal ganglia. - The **shrill cry** mentioned in the patient's presentation can be a precursor or an accompanying symptom of neurological irritation that can lead to seizures. *Opisthotonus* - **Opisthotonus** is a severe neurological sign characterized by **arching of the back and neck**, often due to severe spasm of the extensor muscles. - It is a classic **acute manifestation of kernicterus**, indicating significant bilirubin-induced damage to the central nervous system. *Retrocollis* - **Retrocollis** is a specific type of **dystonia** characterized by involuntary **backward deviation of the head and neck**. - This is an **acute neurological symptom** that can occur in severe cases of kernicterus as part of the overall extrapyramidal involvement. *Hypotonia* - **Hypotonia** (decreased muscle tone) is an **acute manifestation** of bilirubin encephalopathy. - It occurs during the early phase of acute kernicterus along with lethargy, poor feeding, and loss of the Moro reflex.
Explanation: ***6 months*** - **Brain growth** is most rapid during the early postnatal period, with the brain reaching almost **50% of its adult size by 6 months of age**. - This period involves rapid **synaptogenesis** and myelination, crucial for early cognitive and motor development. *1 year* - While significant **brain growth** continues, the peak rate of increase in brain volume has typically passed by 1 year. - At this age, the brain has reached approximately **75% of its adult size**. *2 years* - By 2 years, the brain is about **80% of its adult size**, indicating ongoing but slower growth compared to the first year. - This period is more characterized by refinement of neural circuits rather than rapid volumetric expansion. *3 years* - At 3 years, the brain has attained around **90% of its adult size**, though important developmental changes continue. - The rate of **neural development** at this stage largely focuses on strengthening existing connections and pruning less used ones. *5 years* - By 5 years, the brain has reached approximately **90-95% of its adult size**, with growth significantly slower than in earlier years. - Development at this age focuses primarily on **synaptic pruning** and refinement of neural networks rather than volumetric growth.
Explanation: ***5,1,2,3,4*** - The direct pathway of the basal ganglia begins with the **cortex** (5) sending excitatory signals to the **striatum** (1). - The striatum then inhibits the **internal globus pallidus (GPi)** (2), which disinhibits the **thalamus** (3), leading to excitation of the **cortex** (4). - This is the correct sequence: **Cortex input → Striatum → GPi → Thalamus → Cortex output**. *1,3,4,2,5* - This sequence is incorrect as it starts with the striatum instead of cortical input. - The direct pathway does not begin with striatal activity; the cortex must first activate the striatum. *1,2,3,4,5* - This order is incorrect because it implies the pathway starts at the striatum rather than the cortex. - The cortex should be the starting point (5) and the ending point (4) of the motor loop. *5,4,2,3,1* - This sequence is incorrect as it places cortex output (4) before the striatum receives input. - This reverses the functional flow and does not follow the **disinhibitory mechanism** of the direct pathway. *5,1,3,2,4* - This sequence incorrectly places the thalamus (3) before the GPi (2). - In the direct pathway, the striatum must first inhibit the GPi before the thalamus can be disinhibited.
Explanation: ***Pineal gland*** - This patient presents with the classic triad of **Parinaud syndrome** (dorsal midbrain syndrome): **downward gaze palsy** (eyes fixed downward), **bilateral nystagmus** (convergence-retraction type), and **ataxia**. - Pineal region tumors (e.g., **germinoma**, **pineoblastoma**) compress the **tectal plate/superior colliculus** causing vertical gaze paralysis and pupillary light-near dissociation. - **Insomnia** results from disruption of **melatonin production** by the pineal gland, which regulates circadian rhythms. - **Ataxia** occurs secondary to **obstructive hydrocephalus** from compression of the **cerebral aqueduct** by the tumor. - This is a **classic USMLE presentation** of a pineal region mass in a pediatric patient. *Cerebellum* - While cerebellar lesions cause **ataxia** and **nystagmus** (typically horizontal or rotatory), they do **NOT** cause **vertical gaze palsy** or downward fixation of eyes. - Posterior fossa tumors like **medulloblastoma** present with coordination deficits but lack the characteristic **setting sun sign** (downward gaze) seen here. - The combination of **downward gaze palsy + insomnia** specifically points away from isolated cerebellar pathology. *Pituitary gland* - Pituitary lesions primarily cause **endocrine abnormalities** (growth hormone deficiency, precocious puberty, diabetes insipidus) or **bitemporal hemianopsia** from optic chiasm compression. - They do not typically cause **vertical gaze palsies** or the motor coordination deficits described. *Thalamus* - Thalamic lesions can cause **sensory deficits**, **movement disorders** (e.g., thalamic tremor), or **altered consciousness**. - They do not cause the specific combination of **downward gaze palsy** and **insomnia** seen in this patient. *4th ventricle* - While **hydrocephalus** from 4th ventricle obstruction can cause headache, nausea, and papilledema, the ventricle itself is a **CSF-filled space** without neural tissue. - The **specific downward gaze palsy** indicates tectal plate compression, which occurs with **pineal region masses**, not primary 4th ventricle pathology.
Explanation: ***Superior oblique*** - The patient's symptoms, including **intermittent double vision**, worsening with specific tasks (typing, buttoning), a **right-sided head tilt**, and a **left eye deviation (lateral and upward)** that becomes more prominent on adduction, are classic signs of **trochlear nerve (CN IV) palsy** affected the superior oblique muscle. - The **superior oblique muscle** is responsible for **intorsion**, depression, and abduction of the eye; its paralysis leads to **extorsion** (manifested as head tilt to compensate), and vertical diplopia that worsens when looking down and in. The eye will be deviated upwards and outwards due to the unopposed action of the inferior oblique and other extraocular muscles. *Superior rectus* - Innervated by the **oculomotor nerve (CN III)**, this muscle primarily elevates and intorts the eye. - Palsy would typically result in difficulty looking up, and an eye that is deviated downwards and slightly outwards, rather than the described lateral and upward deviation that worsens on adduction. *Inferior oblique* - Also innervated by the **oculomotor nerve (CN III)**, the inferior oblique muscle elevates, extorts, and abducts the eye. - Palsy would lead to difficulty looking up and out, with the eye deviating downwards and inwards, which does not match the patient's presentation. *Lateral rectus* - Innervated by the **abducens nerve (CN VI)**, this muscle is responsible for abducting the eye. - Palsy would cause the eye to be deviated medially (esotropia) and the inability to abduct it, resulting in horizontal diplopia, which is not the primary presentation here. *Inferior rectus* - Innervated by the **oculomotor nerve (CN III)**, this muscle primarily depresses and extorts the eye. - Palsy would result in difficulty looking down, with the eye elevated and slightly intorted, which is inconsistent with the patient's specific presentation of deviation worsening on adduction.
Explanation: ***The gene locus which is mutated in this condition is on chromosome 9*** - The patient's presentation with gradually progressive gait disturbances, tremors, dysarthria, dysphagia, absent lower extremity deep tendon reflexes, extensor plantar responses, distal muscle wasting, loss of vibration/position senses, ataxic gait, and nystagmus, along with **GAA trinucleotide repeat expansions**, is classic for **Friedreich's ataxia**. - The genetic defect in Friedreich's ataxia involves a **GAA trinucleotide repeat expansion** in the **FXN gene** located on **chromosome 9q13**, leading to reduced frataxin protein levels. *Gait ataxia in this condition is a pure sensory ataxia* - While **sensory ataxia** due to dorsal column dysfunction (loss of vibration and position sense) is a prominent feature, the ataxia in Friedreich's ataxia also has a significant **cerebellar component** as evidenced by dysarthria and nystagmus. - Therefore, it is a **mixed sensory and cerebellar ataxia**, not a pure sensory ataxia. *Restrictive cardiomyopathy is seen in approximately 50% of the patients* - **Hypertrophic cardiomyopathy** is a common cardiac manifestation in Friedreich's ataxia, affecting approximately 60-90% of patients, and is a significant cause of morbidity and mortality. - **Restrictive cardiomyopathy** is not a characteristic feature of Friedreich's ataxia. *The condition is inherited as autosomal dominant condition* - Friedreich's ataxia is inherited in an **autosomal recessive** pattern, meaning an individual must inherit two copies of the mutated gene (one from each parent) to develop the condition. - The presence of the disease in only one parent would not lead to the child having the condition in an autosomal recessive inheritance pattern. *Vertical nystagmus is characteristically seen in patients with this condition* - Although nystagmus is common in Friedreich's ataxia, it is typically **horizontal nystagmus** or gaze-evoked nystagmus. - **Vertical nystagmus** is more characteristic of other neurological conditions and is not a hallmark of Friedreich's ataxia.
Explanation: ***Left-sided loss of proprioception and vibration sensation*** - The presented symptoms (left lower-limb weakness/motor loss, left-sided loss of light touch, and right-sided loss of pin-prick sensation) are classic for **Brown-Séquard syndrome**, resulting from a **hemicord lesion on the LEFT side**. - **Proprioception** and **vibration sensation** are carried by the **dorsal columns**, which ascend **ipsilaterally** (same side) in the spinal cord and decussate in the **medulla** (lower brainstem). - Therefore, a lesion on the **left side** of the spinal cord would result in **ipsilateral (left-sided) loss** of proprioception and vibration sensation below the level of the lesion. - The right-sided loss of pain/temperature occurs because the spinothalamic tract decussates at the spinal level of entry, making pain/temperature deficits contralateral to the lesion. *Left-sided extensor plantar response* - An **extensor plantar response (Babinski sign)**, indicating an upper motor neuron lesion, is typically present in the **chronic phase** of spinal cord injury. - In the **acute phase (spinal shock)**, **flaccid paralysis** and **absent reflexes** are more common, not hyperreflexia or Babinski signs. *Intact voluntary anal contraction* - **Voluntary anal contraction** indicates preserved sacral spinal cord function, which is assessed to determine if an injury is **complete or incomplete**. - Given the severe motor and sensory deficits described, this would suggest an incomplete lesion, but the classic Brown-Séquard presentation makes this less likely as the primary finding. *Left-sided spastic paralysis below the lesion* - **Spastic paralysis** is a sign of an upper motor neuron lesion that emerges **weeks to months** after the initial injury, typically after spinal shock resolves. - In the **acute phase (spinal shock)**, the patient would experience **flaccid paralysis** and hyporeflexia below the level of the lesion. *Left-sided numbness at the level of the lesion* - Sensory loss **at the level of the lesion** can occur due to damage to the dorsal horn at that specific spinal segment. - However, the question describes **left-sided loss of light touch from the mid-thigh down**, which represents loss **below** the lesion level. - **Brown-Séquard syndrome** can cause a narrow band of bilateral sensory loss at the lesion level, but the most clinically significant and testable finding in the acute phase is the **ipsilateral loss of proprioception and vibration** below the lesion.
Explanation: ***Lateral geniculate nucleus*** - The patient presents with unilateral vision loss (right eye) and a **relative afferent pupillary defect (RAPD)**, demonstrated by bilateral pupillary dilation when light swings from the unaffected left eye to the affected right eye. - An RAPD localizes the lesion to the **afferent visual pathway anterior to the optic chiasm**, specifically the **retina or optic nerve (CN II)** of the affected eye. - The **optic nerve** relays visual information TO the **lateral geniculate nucleus (LGN)** of the thalamus, making this the correct answer to the question "which structure does the defective nerve relay information to?" - Note: A lesion directly AT the LGN (post-chiasmal) would cause vision loss but would NOT produce an RAPD, as the pupillary reflex integrates bilaterally at the pretectal nucleus before reaching the LGN. *Oculomotor nucleus* - The **oculomotor nucleus** contains motor neurons for CN III, controlling most extraocular muscles and providing parasympathetic innervation to the pupil via the Edinger-Westphal nucleus. - A lesion here would cause **efferent deficits**: ipsilateral ptosis, eye positioned "down and out," and a dilated, fixed pupil - but NOT vision loss or RAPD. - This is an efferent pathway issue, not an afferent visual pathway problem. *Edinger-Westphal nucleus* - The **Edinger-Westphal nucleus** provides preganglionic parasympathetic fibers via CN III to the ciliary ganglion, controlling pupillary constriction and accommodation. - A lesion would cause a **dilated pupil with impaired direct and consensual light reflex** and impaired accommodation, but NOT vision loss or RAPD. - This affects the efferent limb of the pupillary reflex, not the afferent visual pathway. *Medial geniculate nucleus* - The **medial geniculate nucleus (MGN)** is a thalamic relay nucleus in the **auditory pathway**, receiving input from the inferior colliculus. - A lesion would cause hearing deficits, not visual symptoms or pupillary abnormalities. *Ventral posteromedial nucleus* - The **ventral posteromedial nucleus (VPM)** of the thalamus relays sensory information from the face (via trigeminal nerve) and taste sensation. - A lesion would cause **facial sensory deficits** (numbness, altered sensation) or taste disturbances, not vision loss or RAPD.
Explanation: ***Ipsilateral vocal cord palsy*** - The sensation in the external auditory canal that triggers a cough reflex is mediated by the **auricular branch of the vagus nerve (CN X)**, also known as Arnold's nerve. - A peripheral lesion of the vagus nerve would most likely affect its motor functions, including the innervation of the **larynx**, leading to **ipsilateral vocal cord palsy** and hoarseness. *Ipsilateral sensorineural hearing loss* - Hearing loss is primarily associated with pathology of the **vestibulocochlear nerve (CN VIII)**, not the vagus nerve. - The patient's presentation does not describe any auditory symptoms. *Ipsilateral deviation of the tongue* - Tongue deviation is a sign of compromise of the **hypoglossal nerve (CN XII)**, which controls the intrinsic and extrinsic muscles of the tongue. - This is not a function of the vagus nerve. *Inability to raise ipsilateral eyebrow* - The ability to raise the eyebrow is controlled by the **facial nerve (CN VII)**, which innervates the muscles of facial expression. - Vagus nerve lesions do not typically present with facial weakness. *Decreased secretion from ipsilateral sublingual gland* - Secretion from the sublingual gland is controlled by the **facial nerve (CN VII)** via the submandibular ganglion. - While the vagus nerve has autonomic functions, it does not directly control sublingual gland secretion.
Explanation: ***Corpora quadrigemina*** - The patient presents with classic **Parinaud syndrome** (dorsal midbrain syndrome), characterized by **upward gaze palsy** and **convergence-retraction nystagmus**. - These specific oculomotor signs result from direct damage to the **superior colliculi** and **pretectal area**, which are anatomical components of the **corpora quadrigemina** in the tectal region of the midbrain. - The superior colliculi control vertical gaze, and the pretectal area coordinates pupillary reflexes and convergence movements. Compression or infiltration of this region (commonly by pineal tumors) produces the characteristic eye movement abnormalities. - Progressive headaches indicate increased intracranial pressure, often from associated **aqueduct obstruction** causing hydrocephalus, which in turn compresses the tectal structures. *Aqueduct of Sylvius* - While obstruction of the aqueduct of Sylvius commonly **causes** Parinaud syndrome by leading to hydrocephalus and mass effect, the aqueduct itself is a CSF pathway and does not directly produce the eye movement abnormalities. - The question asks which structure is "**affected**" - the affected structure producing these specific symptoms is the tectal region (corpora quadrigemina), not the obstructed aqueduct. - This is an important distinction: the aqueduct is obstructed, but the corpora quadrigemina is compressed/affected. *Inferior colliculi* - The inferior colliculi are part of the corpora quadrigemina but serve the **auditory pathway**, not visual or oculomotor functions. - Isolated lesions here would cause hearing deficits, not upward gaze palsy or convergence-retraction nystagmus. *3rd ventricle* - Lesions obstructing the third ventricle can cause hydrocephalus and headaches but do not directly affect the midbrain tectum unless they extend posteriorly. - Third ventricular masses more commonly produce **endocrine disturbances** (hypothalamic-pituitary axis dysfunction) rather than the specific dorsal midbrain syndrome seen here. *Tegmentum* - The tegmentum is the ventral portion of the midbrain containing the **red nucleus**, **substantia nigra**, and **cranial nerve nuclei (III, IV)**. - Tegmental lesions produce different oculomotor deficits (e.g., internuclear ophthalmoplegia, third nerve palsy) and movement disorders, not the dorsal midbrain syndrome pattern of Parinaud.
Explanation: ***Truncal ataxia*** - This patient's symptoms of **difficulty with balance** and a **propensity to fall to her right side** are highly suggestive of truncal ataxia. - While she had a stroke, her preserved speech, symmetric strength and sensation, and alertness rule out typical hemiparesis or aphasia, pointing towards a **cerebellar lesion** affecting balance and coordination. *Hemiballismus* - This condition involves **flailing, high-amplitude, involuntary movements** typically affecting one side of the body. - The patient's description of balance issues and falling, without mention of such specific movements, makes hemiballismus less likely. *Hemispatial neglect* - Characterized by the **inability to attend to one side of the environment**, usually the left side following a right parietal stroke. - The patient's presentation does not describe an indifference to one side of her visual or personal space. *Intention tremor* - An **intention tremor** is a tremor that worsens during purposeful movement towards a target. - While it can be associated with cerebellar dysfunction, the primary deficit described is imbalance and falling to one side, not specifically a tremor. *Contralateral eye deviation* - This typically occurs in acute stroke scenarios as part of a **gaze preference**, where the eyes deviate towards the side of the lesion (or away from the hemiparesis). - The patient is 5 months post-stroke and is alert with no acute focal deficits, making acute eye deviation unlikely as a chronic presenting symptom here.
Explanation: ***Loss of bilateral medial longitudinal fasciculus*** - This constellation of symptoms, including **loss of horizontal gaze (specifically adduction deficits)** with intact convergence and nystagmus, is characteristic of **internuclear ophthalmoplegia (INO)**. - INO is caused by a lesion in the **medial longitudinal fasciculus (MLF)**, which connects the abducens nucleus (CN VI) to the contralateral oculomotor nucleus (CN III) to coordinate horizontal gaze. - **Bilateral MLF involvement** is highly characteristic of **multiple sclerosis** in young adults, particularly young women, as demyelinating plaques frequently affect these structures in the brainstem. - The key clinical finding is **impaired adduction on attempted lateral gaze** with **contralateral abducting nystagmus**, while **convergence remains intact** (since convergence uses a different pathway). *Loss of reticular formations* - Damage to the **pontine reticular formation** (paramedian pontine reticular formation or PPRF) would typically lead to a **conjugate gaze palsy** (inability to move both eyes past the midline) rather than INO. - This would affect both eyes moving together in the same direction, not the dissociated eye movements seen in INO. *Loss of frontal eye fields* - Lesions in the **frontal eye fields** (Brodmann area 8) result in a temporary **conjugate gaze deviation** towards the side of the lesion and an inability to perform voluntary saccades to the contralateral side. - This does not explain the specific findings of adduction deficit in one eye with preserved convergence. *Loss of cranial nerve VI* - A lesion of **cranial nerve VI (abducens nerve)** would cause paralysis of the **lateral rectus muscle**, leading to an inability to **abduct** the affected eye and potentially esotropia. - It would not cause an **adduction deficit** or the dissociated eye movements characteristic of INO. *Loss of cranial nerve III* - A lesion of **cranial nerve III (oculomotor nerve)** would result in a drooping eyelid (**ptosis**), outward and downward deviation of the eye, and pupillary dilation. - This is a much more extensive deficit than the specific adduction problems described, and the pupillary findings are absent.
Explanation: ***Right-sided tactile, vibration, and proprioception loss; left-sided pain and temperature sensation loss; right-sided paresis*** - This symptom complex describes **Brown-Séquard syndrome**, resulting from a **hemisection of the spinal cord**, where the damage affects one side. - On the ipsilateral side (same side as the lesion), there is a loss of **motor function (paresis/paralysis)** and **proprioception**, **vibration**, and **fine touch sensation** due to damage to the **corticospinal tract** and **dorsal columns**. - On the contralateral side (opposite side of the lesion), there is a loss of **pain** and **temperature sensation** because the **spinothalamic tracts** cross over lower down in the spinal cord and ascend on the opposite side. *Left-sided tactile, vibration, and proprioception loss; right-sided pain and temperature sensation loss; left-sided paresis* - This pattern suggests a **left-sided hemisection**, as the motor and dorsal column deficits are ipsilateral to the lesion, and pain/temperature loss is contralateral. - The question specifies a **right-sided spinal cord hemisection**, so the motor and proprioceptive deficits should be on the right. *Right-sided tactile, vibration, and proprioception loss; right-sided pain and temperature sensation loss; right-sided paresis* - This pattern would indicate ipsilateral loss of **all sensory modalities** (pain, temperature, touch, proprioception) along with motor deficit. - This is not consistent with a hemisection because **pain and temperature pathways (spinothalamic tracts) cross over** at the level of entry, meaning their loss would be contralateral to the lesion. *Right-sided tactile, vibration, and proprioception loss, left-sided pain and temperature sensation loss; left-sided paresis* - This combination presents a mixed picture where tactile and proprioception loss is ipsilateral, pain and temperature loss is contralateral, but **paresis is also contralateral**. - According to Brown-Séquard syndrome, **motor deficit (paresis)** should be ipsilateral to the lesion due to damage to the corticospinal tract before decussation in the medulla. *Bilateral tactile, vibration, and proprioception loss; bilateral pain and temperature sensation loss; bilateral paresis* - This describes a **complete spinal cord transection** or a highly severe, **bilateral injury** affecting both sides of the cord. - A hemisection, by definition, implies damage to only **one side** of the spinal cord, leading to more specific, asymmetric deficits.
Explanation: ***Central cord syndrome*** - This syndrome typically results from a **hyperextension injury** in patients with pre-existing cervical spinal stenosis, leading to damage to the central gray matter and surrounding tracts. - It classically presents with greater **motor weakness in the upper extremities** than in the lower extremities, and a **"cape-like" distribution of sensory loss** (impaired pain and temperature sensation) over the shoulders and arms due to spinothalamic tract involvement, as seen in this patient. *Anterior cord syndrome* - This syndrome is characterized by **paraplegia/quadriplegia**, dissociated sensory loss (loss of **pain and temperature sensation**), and bowel/bladder dysfunction below the level of the lesion. - It spares **proprioception and vibratory sensation** since the posterior columns remain intact, which is not fully consistent with the patient's presentation of primarily sensory symptoms in the upper limbs with normal strength. *Guillain-Barre syndrome* - This is an **acute demyelinating polyneuropathy** that typically presents with **progressive, ascending weakness** and often **areflexia**, usually following an infection. - The patient's symptoms are primarily sensory, descending, and lack significant weakness or preceding infection, making this diagnosis less likely. *Vitamin B12 deficiency* - This deficiency can cause **subacute combined degeneration** of the spinal cord, affecting the **posterior columns** (vibratory and proprioception loss) and **corticospinal tracts** (weakness, spasticity). - The patient primarily has loss of pain and temperature sensation with preserved vibratory sense and normal strength, which is inconsistent with B12 deficiency. *Pontine infarction* - A pontine infarction would present with a constellation of cranial nerve deficits, motor weakness (hemiparesis or quadriplegia), and cerebellar signs due to its location in the brainstem. - The patient has intact cranial nerves, normal muscle strength, and specific sensory deficits limited to the shoulders and arms, which does not align with a brainstem stroke.
Explanation: ***Left hemicord*** - The combination of **ipsilateral motor weakness** and **loss of vibration/proprioception** (damage to the **corticospinal tract** and **dorsal column**) along with **contralateral loss of pain/temperature** (damage to the **spinothalamic tract**) is the classic presentation of **Brown-Séquard syndrome**, which results from a lesion affecting one side (hemicord) of the spinal cord. - The injury at **T9** is consistent with lower body symptoms, as tracts for the legs would be affected at this level. *Posterior cord* - Damage to the **posterior cord** primarily affects the **dorsal columns**, leading to **ipsilateral loss of vibration and proprioception**. - It would not explain the **ipsilateral motor weakness** or the **contralateral loss of pain and temperature sensation**. *Anterior cord* - **Anterior cord syndrome** typically presents with **bilateral loss of motor function** (due to damage to the corticospinal tracts) and **bilateral loss of pain and temperature sensation** (due to damage to the spinothalamic tracts). - **Vibration and proprioception** are usually preserved because the dorsal columns are spared. *Central cord* - **Central cord syndrome** most commonly results from hyperextension injuries, particularly in the cervical spine, affecting the central gray matter. - It typically causes greater **weakness in the upper extremities** than the lower extremities and a variable sensory loss, often in a **"cape-like" distribution**. *Right hemicord* - A **right hemicord** lesion would cause **right-sided motor weakness** and **loss of vibration/proprioception**, along with **left-sided loss of pain/temperature sensation**. - The patient's symptoms are on the **left side for motor/proprioception** and the **right side for pain/temperature**, indicating a left hemicord lesion.
Explanation: ***Dorsal midbrain*** - The inability to look upward (**Parinaud's syndrome**), dilated pupils with poor light reflex, and **optic disc swelling** (indicating increased intracranial pressure) are classic signs of a mass lesion compressing the **dorsal midbrain**, specifically the **tectal plate**. - **Irritability and bedwetting** are nonspecific symptoms, but in this context, they could be related to **hydrocephalus** due to **aqueductal compression** by the tumor. *Fourth ventricle* - Tumors of the fourth ventricle typically present with symptoms related to **hydrocephalus** (headache, nausea, vomiting, papilledema) and **ataxia** due to cerebellar involvement, but not specifically with **Parinaud's syndrome**. - **Truncal ataxia** and **gait instability** are common with posterior fossa tumors affecting the cerebellum. *Sella turcica* - Tumors in the sella turcica primarily affect the **pituitary gland** and **optic chiasm**, leading to **endocrine dysfunction** (e.g., growth retardation, precocious puberty, hypogonadism) and **bitemporal hemianopsia**. - **Parinaud's syndrome** and **dilated, unreactive pupils** are not typical presentations for sellar tumors. *Cerebral falx* - Tumors associated with the cerebral falx (e.g., meningiomas) are often located **supratentorially** and can cause focal neurological deficits like **seizures** or **hemiparesis**, depending on their location and size. - They do not typically cause the specific eye movement disorders or pupillary abnormalities seen in this patient. *Cerebellar vermis* - Cerebellar vermis tumors often lead to **truncal ataxia**, **gait disturbance**, and **hydrocephalus** due to compression of the aqueduct or fourth ventricle outflow. - While they can cause increased intracranial pressure, they do not directly cause **Parinaud's syndrome** or isolated deficits of upward gaze.
Explanation: ***Ptosis*** - The patient's presentation of an **abducted and depressed right eye with minimal adduction** is highly suggestive of an **ischemic (diabetic) third nerve palsy**. - Ischemic third nerve palsies characteristically **spare the pupillary fibers** (pupil remains normal in size and reactive) but affect the **somatomotor fibers** that innervate the extraocular muscles and the **levator palpebrae superioris**, leading to **ptosis**. - The key clinical feature distinguishing ischemic from compressive CN III palsy is **pupil-sparing**, which is present in this case. *Dilated and fixed pupil* - A dilated and fixed pupil would indicate **compression of the oculomotor nerve**, often by an aneurysm (e.g., posterior communicating artery aneurysm). - Compressive lesions affect the superficial **pupillomotor fibers** first, while ischemic third nerve palsies, as seen in patients with **diabetes**, typically affect the inner somatomotor fibers while **sparing the pupil**. *Bitemporal hemianopsia* - This visual field defect is characteristic of **optic chiasm compression**, commonly caused by a **pituitary adenoma**. - This patient's symptoms are localized to a single eye and involve extraocular muscle dysfunction, not visual field loss. *Miosis and anhidrosis* - **Miosis** (constricted pupil) and **anhidrosis** (decreased sweating) on one side of the face, accompanied by **ptosis**, are classic signs of **Horner syndrome**. - Horner syndrome results from a lesion in the **sympathetic pathway**, which is inconsistent with the extraocular muscle deficits observed in this patient. *Positive swinging-flashlight test* - A positive swinging-flashlight test (Marcus Gunn pupil) indicates an **afferent pupillary defect**, often seen in conditions affecting the **optic nerve** (e.g., optic neuritis, severe retinal disease). - This patient's symptoms point to a **cranial nerve III palsy**, which affects efferent ocular movements and typically does not cause an afferent pupillary defect.
Explanation: ***Abducens nerve*** - **Paralysis of left lateral gaze** and **esotropia** (inward turning of the eye) at rest are classic signs of a **left abducens nerve (CN VI) palsy**. This nerve exclusively innervates the **lateral rectus muscle**, which is responsible for abducting (moving outward) the eye. - Impingement from a **tumor** is a common cause of cranial nerve palsies, and the presentation perfectly matches the function of the abducens nerve. *Trigeminal nerve* - The **trigeminal nerve (CN V)** is responsible for **facial sensation** and **mastication** (chewing). - Dysfunction would present as facial numbness, pain, or weakness in chewing, not visual disturbances or eye movement issues. *Optic nerve* - The **optic nerve (CN II)** transmits **visual information** from the retina to the brain. - Lesions typically cause **vision loss** (e.g., blindness, scotoma, visual field defects), not double vision or eye movement paralysis. *Oculomotor nerve* - The **oculomotor nerve (CN III)** controls most **extraocular muscles** (medial, superior, inferior rectus, inferior oblique) and the **levator palpebrae superioris** (eyelid elevation), as well as pupillary constriction. - A palsy would typically present with a **"down and out" eye**, **ptosis** (drooping eyelid), and **mydriasis** (dilated pupil), which are not described. *Trochlear nerve* - The **trochlear nerve (CN IV)** innervates the **superior oblique muscle**, which depresses and intorts the eye. - A palsy typically causes **vertical double vision**, especially when looking down and inward, and a compensatory head tilt away from the affected side. This does not match the described lateral gaze paralysis.
Explanation: ***Brown-Sequard syndrome*** - This syndrome is characterized by **ipsilateral motor paresis** and **loss of proprioception/vibration sensation**, along with **contralateral loss of pain and temperature sensation**. - The patient's presentation of right-sided motor weakness and diminished vibratory sense ipsilaterally, coupled with left-sided loss of hot, cold, and pin-prick sensation, perfectly matches the classic signs of **Brown-Sequard syndrome** from a hemisection of the spinal cord (due to the stab wound). *Anterior cord syndrome* - This syndrome typically presents with **paraplegia or quadriplegia** and loss of pain and temperature sensation below the level of the lesion, with **preservation of proprioception and vibratory sensation**. - The patient maintains **ipsilateral vibratory sensation** and has differential sensory loss, which is inconsistent with anterior cord syndrome where all distal sensation is broadly affected. *Posterior cord syndrome* - This syndrome is marked by a predominant loss of **proprioception and vibratory sensation** below the level of the lesion, with **preserved motor function** and pain/temperature sensation. - The patient exhibits significant **motor weakness** and **contralateral loss of pain and temperature**, which are not typical features of posterior cord syndrome. *Cauda equina syndrome* - Cauda equina syndrome involves injury to the **nerve roots below the conus medullaris** and presents with **flaccid paralysis**, **saddle anesthesia**, and **bowel/bladder dysfunction**. - The patient's presentation of spastic signs (4+ DTRs) and specific sensory deficits of a spinal cord lesion are inconsistent with the **lower motor neuron** signs of cauda equina syndrome. *Central cord syndrome* - This syndrome typically results in **greater motor impairment in the upper extremities than in the lower extremities**, along with a **variable sensory loss** below the level of the lesion, often involving a "cape-like" distribution of sensory loss. - The patient's injury is at T10, and while there is motor weakness, the specific pattern of ipsilateral motor with contralateral pain/temperature loss is not characteristic of central cord syndrome, which usually affects the cervical region and has a different motor pattern.
Explanation: ***Mammillary bodies*** - This patient presents with symptoms highly suggestive of **Wernicke-Korsakoff syndrome**, which includes **ophthalmoplegia** (abnormal eye movements), **ataxia** (imbalanced gait), and **confabulation** (making up stories, like being a railroad worker) with **anterograde amnesia** (not recalling being on railroad tracks). - Wernicke-Korsakoff syndrome is primarily caused by **thiamine (vitamin B1) deficiency**, commonly seen in **chronic alcoholics**, and results in neuronal loss and necrosis, especially in the **mammillary bodies** and dorsomedial nucleus of the thalamus. *Cerebellar vermis* - While **alcoholism** can lead to cerebellar damage, particularly the **vermis**, causing **ataxia**, it does not fully explain the **memory deficits, confabulation, and ophthalmoplegia** seen in Wernicke-Korsakoff syndrome. - Damage to the cerebellar vermis would primarily result in truncal ataxia and gait instability without the prominent amnesia and confabulation. *Parietal-temporal cortex* - Damage to the **parietal-temporal cortex** is associated with various cognitive deficits, including **aphasias** and **agnosias**, depending on the specific areas affected. - While it can be affected by chronic alcoholism, it is not the primary site of damage in **Wernicke-Korsakoff syndrome** and does not typically present with the classic triad. *Frontal eye fields* - The **frontal eye fields** are involved in controlling **voluntary eye movements** and saccades. Damage here can cause specific patterns of gaze palsies. - However, the abnormal eye movements seen in Wernicke-Korsakoff syndrome (e.g., nystagmus, ophthalmoplegia) are typically due to damage in brainstem nuclei and **mammillary bodies**, not primarily the frontal eye fields. *Basal ganglia* - The **basal ganglia** are primarily involved in motor control, learning, and executive functions. Damage to these structures can lead to **movement disorders** like Parkinsonism or Huntington's disease. - While chronic alcoholism can have diffuse effects on the brain, the basal ganglia are not the primary site of pathology in **Wernicke-Korsakoff syndrome**, and damage here would not explain the memory and confabulation symptoms.
Explanation: ***Contralateral superior parietal lobule*** - The patient exhibits **astereognosis**, which is the inability to recognize objects by touch despite intact sensation, suggesting a lesion in the **parietal association cortex**. - Since the deficit is in the **right hand**, the lesion must be on the **contralateral side**, which is the left superior parietal lobule. *Ipsilateral cingulate gyrus* - The **cingulate gyrus** is primarily involved in emotion, learning, and memory, and a lesion here would not typically cause isolated astereognosis. - Furthermore, astereognosis with the right hand implies a contralateral lesion, not an ipsilateral one. *Ipsilateral inferior frontal gyrus* - The **inferior frontal gyrus** (Broca's area) is crucial for speech production; damage here usually results in **expressive aphasia**. - A lesion in this area would not explain the patient's specific difficulty with tactile object recognition in the right hand. *Ipsilateral superior temporal gyrus* - The **superior temporal gyrus** (Wernicke's area) is concerned with language comprehension; damage typically causes **receptive aphasia**. - This location is not associated with astereognosis, nor would an ipsilateral lesion explain a right-hand deficit. *Contralateral precentral gyrus* - The **precentral gyrus** is the primary motor cortex; a lesion here would cause **motor deficits** such as weakness or paralysis of the contralateral side, not an inability to recognize objects by touch while sensation is intact. - The patient can feel the object, indicating intact sensation and motor function, merely difficulty identifying it.
Explanation: ***Right-sided homonymous hemianopia*** - A **left PCA infarct** typically affects the **occipital lobe**, specifically the visual cortex or optic radiations, leading to a contralateral visual field deficit. - The **right visual field** from both eyes projects to the left occipital lobe, so infarction here causes a **right homonymous hemianopia**. *Prosopagnosia* - **Prosopagnosia**, the inability to recognize faces, is associated with infarction of the **fusiform gyrus**, often a bilateral PCA territory infarction or an infarct affecting the right occipital or temporal lobe. - This patient has a **left PCA infarct**, so isolated prosopagnosia is less likely. *Left-sided gaze deviation* - **Gaze deviation** usually occurs in lesions of the **frontal eye fields** (Brodmann area 8), which are supplied by the middle cerebral artery, causing the eyes to deviate towards the side of the lesion in acute stages. - A **PCA infarct** typically spares the frontal eye fields and the brainstem gaze centers. *Left-sided hemineglect* - **Hemineglect** is most commonly associated with lesions of the **right parietal lobe** or right frontal lobe, primarily in the territory of the right middle cerebral artery. - With a **left PCA infarct**, left-sided hemineglect is an unexpected finding. *Right-sided superior quadrantanopia* - A **superior quadrantanopia** is caused by damage to the **inferior optic radiations** (Meyer's loop), which typically carry information from the superior visual field. - A complete **homonymous hemianopia** involving the entire right visual field is more characteristic of an occipital lobe lesion due to a PCA infarct, rather than an isolated quadrantanopia.
Explanation: ***Pain sensation from the right side of the body*** - Compression of the **left anterolateral lower thoracic spinal cord** would affect the **spinothalamic tract** on that side. The spinothalamic tract carries **pain and temperature** sensations from the **contralateral** side of the body. - Since the fibers decussate (cross over) at the level of the spinal cord entry, a lesion on the left side of the cord would impair pain sensation from the right side of the body. *Proprioceptive sensation from the left side of the body* - Proprioception is carried by the **dorsal columns**, which are located in the posterior part of the spinal cord and decussate in the brainstem. - The lesion is described as affecting the **anterolateral** left spinal cord, and the posterior cord is noted as normal, making this unlikely. *Temperature sensation from the left side of the body* - Temperature sensation is carried by the **spinothalamic tract**, similar to pain. - This tract decussates at the level of entry into the spinal cord, so a lesion on the left anterolateral cord would impair temperature sensation from the **contralateral (right)** side, not the ipsilateral (left) side. *Pressure sensation from the left side of the body* - **Crude touch and pressure** are partially carried by the **spinothalamic tract** and partially by the **dorsal columns**. - Impairment of pressure sensation on the left side would primarily indicate damage to the ipsilateral dorsal column pathway or significant bilateral spinothalamic involvement, neither of which is consistent with an isolated left anterolateral lesion affecting ipsilateral sensation. *Vibratory sensation from the right side of the body* - Vibratory sensation is carried by the **dorsal columns**, which are in the posterior spinal cord and decussate in the medulla oblongata. - The lesion is in the **anterolateral** left spinal cord, and the posterior cord is noted as normal, making this an unlikely finding.
Explanation: ***Astrocytes*** - Following **neuronal injury**, astrocytes proliferate rapidly and form a **glial scar** around the damaged area to isolate it and prevent further spread of damage. - This process, known as **astrogliosis**, leads to astrocytes becoming the most abundant cell type in the chronically injured region of the central nervous system. *Microglia* - **Microglia** are the brain's resident immune cells and are primarily involved in **phagocytosis** of cellular debris and pathogens after injury. - While they are activated and proliferate early after injury, they typically do not become the most common cell type in the *chronically injured* region. *Oligodendrocytes* - **Oligodendrocytes** are responsible for forming the **myelin sheath** around axons in the central nervous system. - They are often damaged during acute brain injury and do not typically proliferate to become the most common cell type in the scar tissue. *Neurons* - **Neurons** are the primary cells affected by acute brain injury, and many are irrecoverably lost at the site of trauma. - The adult central nervous system has very limited capacity for neurogenesis, so neurons do not regenerate or become the most common cell type after injury. *Schwann cells* - **Schwann cells** are responsible for myelinating axons in the **peripheral nervous system (PNS)**. - They are not found in the central nervous system (CNS) region of brain injury and therefore would not be involved in the repair or scarring process there.
Explanation: ***Temporal lobe*** - The patient exhibits features of **Wernicke's aphasia**, characterized by **fluent but nonsensical speech** ("apartment is on Main St." when asked how he is), poor comprehension, and the ability to repeat words. **Wernicke's area**, responsible for language comprehension, is located in the **posterior part of the superior temporal gyrus**. - **Sudden paralysis of the right side** indicates involvement of the left cerebral hemisphere (**contralateral motor cortex** lesion), while speech disturbances point to the dominant hemisphere, which is typically the **left temporal lobe**. *Caudate nucleus* - Lesions of the **caudate nucleus** are primarily associated with **movement disorders** (e.g., chorea) and **behavioral changes**, not typically with fluent aphasia as described. - While it plays a role in cognitive functions, its direct involvement in the specific language deficits presented is less likely. *Broca’s area* - Damage to **Broca's area**, located in the **frontal lobe**, causes **Broca's aphasia**, characterized by **non-fluent, halting speech** with good comprehension and poor repetition. - The patient's speech is **fluent**, though off-topic, which contrasts with the typical presentation of Broca's aphasia. *Arcuate fasciculus* - The **arcuate fasciculus** connects Broca's and Wernicke's areas, and damage to it typically causes **conduction aphasia**, characterized by **impaired repetition** despite fluent speech and good comprehension. - While the patient has impaired comprehension, his ability to repeat "fan" makes conduction aphasia less likely than Wernicke's aphasia, where repetition can vary but comprehension is profoundly affected. *Cuneus gyrus* - The **cuneus gyrus** is located in the **occipital lobe** and is primarily involved in **visual processing**. - Damage to this area would lead to **visual field deficits** (e.g., hemianopia) rather than the language and comprehension problems described.
Explanation: ***Optic nerve*** - The finding that pupils **do not constrict** when light is shone into the left eye (afferent defect) but both pupils constrict when light is shone into the right eye (intact efferent pathway) indicates a lesion in the **afferent limb** of the pupillary light reflex on the left side. - The **optic nerve** (cranial nerve II) transmits afferent signals from the retina to the brainstem. A lesion here prevents the signal from reaching the pretectal nuclei, thus bilateral pupillary constriction does not occur when the affected eye is stimulated. *Ciliary ganglion* - A lesion in the **ciliary ganglion** would affect the **efferent pathway** of pupillary constriction, typically leading to a dilated, unreactive pupil (e.g., Adie's tonic pupil). - This would mean that the affected pupil would not constrict when *either* eye is stimulated, which is not consistent with the described findings. *Pretectal nuclei* - The **pretectal nuclei** receive afferent input from both optic tracts and project to the Edinger-Westphal nuclei, mediating the consensual light reflex. - A lesion here would typically affect both direct and consensual light reflexes, or cause selective deficits not limited to a single afferent pathway. *Edinger-Westphal nucleus* - The **Edinger-Westphal nucleus** is the parasympathetic nucleus of the oculomotor nerve (CN III) and controls pupillary constriction. - A lesion would disrupt the **efferent pathway** unilaterally or bilaterally, leading to a fixed, dilated pupil. *Superior cervical ganglion* - Lesions of the **superior cervical ganglion** affect the **sympathetic pathway** to the eye, resulting in **Horner's syndrome** (miosis, ptosis, anhidrosis). - This would cause a miotic (constricted) pupil, not the failure of constriction described in the scenario.
Explanation: ***The unopposed superior oblique muscle rotates the eye downward.*** - The **oculomotor nerve** (CN III) innervates most extraocular muscles, including the **superior rectus, inferior rectus, medial rectus, and inferior oblique**, as well as the **levator palpebrae superioris** and **parasympathetic fibers** to the pupillary sphincter. - With a complete **oculomotor nerve palsy**, the only remaining functional extraocular muscles are the **lateral rectus** (innervated by CN VI) and the **superior oblique** (innervated by CN IV), which causes the eye to be positioned **down and out** due to their unopposed actions. *The parasympathetic nerve fibers of this patient’s eye are activated.* - **Parasympathetic fibers** within the oculomotor nerve control **pupillary constriction** and lens accommodation. - Compression of the oculomotor nerve, especially by an aneurysm, typically affects these superficial parasympathetic fibers first, leading to **pupillary dilation** (mydriasis) due to their impairment, not activation. *The sympathetic nerve fibers of this patient’s eye are inhibited.* - **Sympathetic innervation** to the eye controls pupillary dilation, eyelid elevation (via Müller's muscle), and sweat gland function. - Inhibition of sympathetic fibers would lead to **miosis** (constricted pupil) and **ptosis** (drooping eyelid) as seen in **Horner's syndrome**, which is not the primary presentation of oculomotor nerve compression. *The unopposed inferior oblique muscle rotates the eye downward.* - The **inferior oblique muscle** elevates and abducts the eye; it is innervated by the **oculomotor nerve**. - In an oculomotor nerve palsy, the inferior oblique muscle is **paralyzed**, thus it cannot exert any rotational force on the eye. *The unopposed medial rectus muscle rotates the eye in the lateral direction.* - The **medial rectus muscle** adducts the eye (moves it medially); it is innervated by the **oculomotor nerve**. - In an oculomotor nerve palsy, the medial rectus is paralyzed, and its unopposed action would not cause lateral rotation; rather, the **lateral rectus** (innervated by CN VI) would cause the eye to deviate laterally.
Explanation: ***Damage to the anterior spinal artery*** - This typically results in **anterior cord syndrome**, characterized by bilateral loss of pain and temperature sensation, motor function (quadriparesis), and autonomic dysfunction (bowel/bladder incontinence below the level of injury). - The **preservation of posterior column functions** (vibration, proprioception, light touch) is a hallmark of anterior spinal artery ischemia, as the posterior columns are supplied by the posterior spinal arteries. *Hemi-transection of the spinal cord* - This describes **Brown-Séquard syndrome**, which involves ipsilateral loss of motor function, vibration, and proprioception, and contralateral loss of pain and temperature sensation. - The patient's symptoms are inconsistent with Brown-Séquard syndrome due to the **bilateral presentation of motor and sensory deficits**. *Cavitation within the spinal cord* - This condition, known as **syringomyelia**, typically presents with a **cape-like distribution of pain and temperature loss** (due to central cord involvement affecting the decussating spinothalamic fibers). - It would usually spare motor function initially and would not explain the sudden, severe quadriparesis and complete sensory loss described. *Injury to gray matter of the spinal cord* - Isolated gray matter injury, often seen in conditions like **central cord syndrome**, primarily affects the pain and temperature pathways and may cause upper extremity weakness. - It would not explain the **complete loss of motor function and pain/temperature sensation below the neck** while preserving posterior column function. *Occlusion of the posterior spinal artery* - Occlusion of the posterior spinal artery would primarily affect the **dorsal columns**, leading to loss of vibration, proprioception, and light touch. - This patient, however, has **preserved sensation to vibration, position, and light touch**, making posterior spinal artery occlusion unlikely.
Explanation: ***Oculomotor*** - The description of **medial displacement of the uncus and parahippocampal gyrus** (uncus herniation) compresses the **oculomotor nerve (CN III)** as it passes between the posterior cerebral and superior cerebellar arteries. - Compression of the oculomotor nerve leads to a **dilated pupil** (due to parasympathetic fiber involvement) and **down-and-out deviation of the eye** (due to paralysis of extraocular muscles it innervates). *Vagus* - The vagus nerve (CN X) is deep within the skull and brainstem, far from the temporal lobe, and is not directly affected by uncal herniation. - Injury to the vagus nerve typically presents with dysphagia, hoarseness, or cardiac arrhythmias, symptoms not indicated here. *Facial* - The facial nerve (CN VII) exits the brainstem at the pontomedullary junction and is located more superiorly and laterally than the structures involved in uncal herniation. - Damage to the facial nerve causes facial muscle weakness or paralysis, which is not the primary concern with uncal herniation. *Abducens* - The abducens nerve (CN VI) is a long, slender nerve that can be affected by **generalized increases in intracranial pressure**, but is less commonly directly compressed by an uncal herniation itself. - Injury to the abducens nerve causes **lateral rectus muscle paralysis**, leading to medial deviation of the eye, whereas uncal herniation typically affects the oculomotor nerve. *Trigeminal* - The trigeminal nerve (CN V) exits the pons and is located superior to the tentorial notch and medial temporal lobe, making it unlikely to be directly compressed by uncal herniation. - Injury to the trigeminal nerve causes sensory loss in the face or weakness of the muscles of mastication, which are not consistent with the described lesion.
Explanation: ***Superior temporal gyrus*** - This patient presents with **fluent aphasia** (speaking nonsensical words), severely impaired **comprehension**, and impaired **repetition**. This triad is characteristic of **Wernicke's aphasia**. - **Wernicke's area**, responsible for language comprehension, is located in the **posterior part of the superior temporal gyrus** in the dominant hemisphere (typically left). *Precentral gyrus* - The **precentral gyrus** contains the **primary motor cortex** and its damage would primarily cause contralateral motor deficits (e.g., **hemiparesis** or **hemiplegia**). - This area is not directly involved in language comprehension or production of fluent but nonsensical speech. *Arcuate fasciculus* - Damage to the **arcuate fasciculus**, a white matter tract connecting Broca's and Wernicke's areas, results in **conduction aphasia**. - In **conduction aphasia**, comprehension and fluency are relatively preserved, but **repetition is severely impaired**. This patient also has impaired comprehension. *Inferior frontal gyrus* - The **inferior frontal gyrus** houses **Broca's area**, which is responsible for **language production and motor aspects of speech**. - Damage to this area typically causes **Broca's aphasia**, characterized by **non-fluent speech**, preserved comprehension, and impaired repetition. This patient has fluent speech. *Watershed zone* - **Watershed infarcts** occur at the borders between major arterial territories due to hypoperfusion, often leading to **transcortical aphasias**. - While transcortical sensory aphasia involves impaired comprehension and fluent speech, **repetition is preserved**, which is not the case here.
Explanation: **Caudate nucleus** - The patient exhibits features like **worsening aggression**, **apathy**, and **uncontrolled, sudden movements** of the limbs, which are characteristic of Huntington's disease, a condition primarily affecting the **caudate nucleus**. - **Huntington's disease** is an autosomal dominant neurodegenerative disorder linked to a trinucleotide repeat expansion (CAG) on chromosome 4, leading to atrophy of the **caudate and putamen**. *Cerebral cortex* - While damage to the cerebral cortex can cause personality changes and motor deficits, the specific combination of **choreiform movements** and progressive cognitive/behavioral decline seen here is more indicative of a basal ganglia disorder like Huntington's. - Cortical lesions more commonly present with **focal neurological deficits** such as hemiparesis, aphasia, or sensory loss, which are not the primary features described. *Cerebellum* - Damage to the cerebellum typically results in **ataxia**, **dysmetria**, **intention tremor**, and problems with balance and coordination. - The patient's **uncontrolled, sudden limb movements** are characteristic of chorea, not cerebellar dysfunction. *Medulla oblongata* - The medulla oblongata is crucial for vital autonomic functions such as **breathing, heart rate, and blood pressure regulation**. - Lesions in this area would likely cause life-threatening symptoms, including **respiratory failure** or severe cardiovascular instability, which are not present in this patient. *Substantia nigra* - Damage or degeneration of the substantia nigra is primarily associated with **Parkinson's disease**, leading to symptoms like **bradykinesia**, **rigidity**, **resting tremor**, and **postural instability**. - The patient's **hyperkinetic movements** (choreiform movements) are opposite to the hypokinetic presentation of Parkinson's disease.
Explanation: ***Cauda equina syndrome*** - The patient presents with **bilateral sensory loss in the perineal region** (**saddle anesthesia**) and **new-onset urinary dysfunction** (trouble urinating, reduced squeeze tone), which are classic symptoms of cauda equina syndrome. - The **sharp, stabbing radicular pain** radiating down the leg indicates nerve root involvement, characteristic of cauda equina rather than conus medullaris. - The **asymmetric motor weakness** (left leg only) supports cauda equina syndrome, as compression can preferentially affect specific nerve roots, whereas conus medullaris typically causes more symmetric bilateral deficits. - The history of **prostate cancer** and **radiation therapy** suggests a potential metastatic lesion compressing the cauda equina nerves. *Central cord syndrome* - This syndrome primarily affects the **upper extremities more than the lower extremities** and typically results from hyperextension injuries in older individuals. - It often presents with **dissociated sensory loss** (loss of pain and temperature sensation) below the level of the lesion, which is not the primary complaint here. *Conus medullaris syndrome* - Affects the **sacral spinal cord segments (S3-S5)**, leading to **symmetrical motor and sensory deficits**, often with prominent early **bowel and bladder dysfunction**. - While it causes saddle anesthesia and urinary symptoms, the **asymmetrical motor weakness** (left leg only) and **prominent radicular pain** extending down the leg are more characteristic of cauda equina syndrome. - Conus lesions typically present with more **symmetric bilateral deficits** rather than the unilateral pattern seen here. *Anterior spinal cord syndrome* - Characterized by **bilateral motor paralysis** and **loss of pain and temperature sensation** below the lesion, with **preservation of proprioception and vibratory sensation**. - It would not typically present with the isolated **saddle anesthesia** and **radicular pain** described in the patient. *Brown-sequard syndrome* - Results from a **hemicord lesion**, causing **ipsilateral motor paralysis** and loss of proprioception/vibration below the lesion, and **contralateral loss of pain and temperature sensation**. - The patient's symptoms of **bilateral saddle anesthesia** and **bowel/bladder dysfunction** do not align with the characteristic unilateral sensory and motor presentation of Brown-Sequard syndrome.
Explanation: ***Downward and outward gaze with ptosis and a responsive pupil*** - **Diabetic mononeuropathy** of the oculomotor nerve (CN III) typically spares the **pupillary fibers** because they are superficial and supplied by pial vessels, which are often unaffected by microvascular ischemia. - This results in a **"pupil-sparing" CN III palsy**, where extraocular muscles are affected (leading to **downward and outward gaze** and **ptosis**), but the pupil remains reactive. *Fixed dilated pupil with normal extraocular movements* - A **fixed dilated pupil** without other extraocular movement deficits is more suggestive of a direct injury to the **iris sphincter** or a lesion affecting the efferent pupillary fibers, not typically isolated diabetic mononeuropathy. - Normal extraocular movements contradict a significant oculomotor nerve palsy of any etiology. *Downward and outward gaze, ptosis, and a fixed, dilated pupil* - This constellation of symptoms, including a **fixed, dilated pupil**, is characteristic of a **compressive lesion** affecting the oculomotor nerve (e.g., aneurysm, tumor), as it damages the superficial pupillary fibers. - Diabetic neuropathy typically involves the vasa nervorum of the central part of the nerve, sparing the superficial, parasympathetic pupillary fibers. *Ptosis only* - While **ptosis** is a component of oculomotor nerve palsy, it typically occurs with other signs like **downward and outward gaze**. Isolated ptosis might suggest a lesion affecting only the efferent fibers to the **levator palpebrae superioris** or a milder, incomplete palsy. - More commonly, isolated ptosis can be due to conditions like **myasthenia gravis** or Horner's syndrome (which also includes miosis and anhidrosis). *Inability to abduct the eye* - **Inability to abduct the eye** (move it laterally) is a classic sign of an **abducens nerve (CN VI) palsy**, not an oculomotor nerve (CN III) palsy. - The oculomotor nerve is responsible for most other extraocular movements (adduction, elevation, depression).
Explanation: ***Arnold-Chiari malformation*** - The patient presents with **loss of pain and temperature sensation** in a **cape-like distribution** and **preserved light touch**, vibration, and position senses, which is characteristic of **syringomyelia**. - **Syringomyelia** is commonly associated with **Arnold-Chiari malformations type I**, where cerebellar tonsils extend into the foramen magnum, obstructing CSF flow and leading to syrinx formation. *Transverse myelitis* - This condition involves **inflammation across one segment** of the spinal cord, leading to rapid onset of motor, sensory, and autonomic dysfunction. - It typically causes a **sensory level deficit** (loss of all sensation below a certain spinal level) rather than the dissociated sensory loss seen here. *Spina bifida occulta* - This is a **mild form of neural tube defect** where the bony arches of the vertebrae fail to fuse, but the spinal cord and meninges remain within the vertebral canal. - It is usually **asymptomatic** and not associated with severe neurological deficits like syringomyelia. *Leprosy* - This is a **chronic infectious disease** caused by *Mycobacterium leprae* that primarily affects the skin and peripheral nerves. - It typically causes **patchy sensory loss** and **nerve thickening** in the extremities, not a central cape-like distribution of sensory deficits. *Brown-Séquard syndrome* - This is caused by **hemicord lesion** of the spinal cord, resulting in ipsilateral motor paralysis and loss of proprioception/vibration below the lesion. - It also causes **contralateral loss of pain and temperature sensation**, which is different from the bilateral cape-like distribution observed in this patient.
Explanation: ***Absent corneal reflex*** - This patient's symptoms (fever, chills, headache, foul-smelling nasal discharge, periorbital swelling, and ophthalmoplegia) suggest **cavernous sinus thrombosis** secondary to a sinus infection. - The cavernous sinus contains cranial nerves III, IV, VI, V1, and V2. Untreated, the infection and thrombosis can easily spread to affect **cranial nerve V1 (ophthalmic branch of trigeminal nerve)**, leading to an absent corneal reflex. *Hemifacial anhidrosis* - This symptom, along with ptosis and miosis, is indicative of **Horner's syndrome**, which results from damage to the ipsilateral **sympathetic pathway**. - While cavernous sinus thrombosis can rarely involve sympathetic fibers, it's not the most direct or common neurological sequela compared to trigeminal nerve involvement. *Jaw deviation* - **Jaw deviation** typically occurs due to weakness or paralysis of the **motor branch of the trigeminal nerve (V3)**, which innervates the muscles of mastication. - Cavernous sinus thrombosis primarily affects V1 and V2, and V3 involvement, while possible, is less common and usually presents later than V1 or V2 deficits. *Relative afferent pupillary defect* - A relative afferent pupillary defect (RAPD, or Marcus Gunn pupil) indicates a lesion in the **afferent visual pathway** (e.g., optic nerve or retina). - While vision can be affected in cavernous sinus thrombosis due to optic nerve compression or venous congestion, RAPD is not the most direct or specific neurological complication expected from the provided symptoms. *Hypoesthesia of the earlobe* - Sensation to the earlobe is primarily supplied by the **great auricular nerve (C2-C3 cervical spinal nerves)** with minor contribution from the **auricular branch of the vagus nerve (CN X)**. - Cavernous sinus thrombosis does not involve these nerves, and hypoesthesia of the earlobe is not a characteristic finding.
Explanation: ***Cribriform plate*** - The **olfactory nerve (CN I)** is the only cranial nerve that does not have a thalamic relay nucleus before reaching the cerebral cortex. - It passes through the **cribriform plate** of the ethmoid bone to reach the olfactory bulbs. *Superior orbital fissure* - This opening transmits the **oculomotor (CN III), trochlear (CN IV), ophthalmic division of trigeminal (CN V1)**, and **abducens (CN VI)** nerves. - These nerves all have sensory or motor components that relay through the thalamus, directly or indirectly. *Internal auditory meatus* - This canal transmits the **facial (CN VII)** and **vestibulocochlear (CN VIII)** nerves. - The vestibulocochlear nerve's auditory pathway involves a thalamic relay in the **medial geniculate nucleus**. *Foramen rotundum* - The **maxillary division of the trigeminal nerve (CN V2)** passes through the foramen rotundum. - Sensory information carried by CN V2 relays through the **thalamus**. *Jugular foramen* - This opening transmits the **glossopharyngeal (CN IX), vagus (CN X)**, and **accessory (CN XI)** nerves. - Sensory components of these nerves, particularly taste and visceral sensation, involve thalamic nuclei.
Explanation: ***Pyramidal cells of the hippocampus*** - The patient's inability to form new memories (anterograde amnesia) following a period of **hypoxia** suggests damage to the **hippocampus**, specifically its pyramidal cells. - The **hippocampus** is highly vulnerable to **ischemic injury** due to the metabolic demands of its pyramidal cells. *Internal pyramidal layer of the amygdala* - The amygdala is primarily involved in **emotional processing**, particularly fear and anxiety, not memory encoding directly. - Damage to the amygdala would likely manifest as altered emotional responses, rather than isolated memory loss. *Microglial cells of dorsal midbrain* - Microglial cells are the brain's resident immune cells and proliferate in response to injury, they are not the primary site of memory formation. - The dorsal midbrain contains structures involved in visual and auditory reflexes, not directly memory consolidation. *Purkinje cells of the cerebellum* - Purkinje cells are specialized neurons in the **cerebellum** responsible for **motor coordination** and balance. - Damage to these cells would result in ataxia and motor dysfunction, not memory deficits. *Astroglial cells of the putamen* - Astroglial cells are supportive cells throughout the brain; the putamen is involved in **motor control** and **procedural learning**. - Dysfunction of the putamen typically leads to movement disorders like Parkinsonism, not specific memory loss.
Explanation: ***Between the arachnoid mater and the pia mater (Correct)*** - The CT scan demonstrates diffuse high-density (white) material within the sulci and basal cisterns, indicative of a **subarachnoid hemorrhage**. This space is located between the arachnoid mater and the pia mater. - The patient's presentation with altered mental status, seizures, vomiting, and flaccid paralysis following trauma is consistent with the severe neurological impact of a **traumatic subarachnoid hemorrhage**. *Between the dura mater and the arachnoid mater (Incorrect)* - Hemorrhage in this location is known as a **subdural hematoma**, which typically appears as a crescent-shaped collection of blood. - While possible in trauma, the CT image shows blood primarily filling the sulci, not a subdural collection. *Into the cerebral parenchyma (Incorrect)* - This would be an **intraparenchymal hemorrhage**, appearing as a focal area of high density within the brain tissue itself. - Although there might be some associated parenchymal injury in severe trauma, the predominant pattern seen on the CT is diffuse blood in the subarachnoid space. *Between the skull and the dura mater (Incorrect)* - This describes an **epidural hematoma**, often characterized by a lenticular (lens-shaped) collection of blood due to its confinement by dural attachments. - The CT image does not show a lenticular collection of blood in this space. *Into the ventricular system (Incorrect)* - **Intraventricular hemorrhage** would show blood filling the cerebral ventricles. - While subarachnoid hemorrhage can sometimes extend into the ventricles, the primary finding on this CT is diffuse blood in the subarachnoid space, not isolated ventricular blood.
Explanation: ***Right hemi-spinal cord*** - The patient presents with **ipsilateral motor weakness** (right leg 3/5 with increased tone and extensor plantar reflex) and **ipsilateral dorsal column deficits** (decreased vibration and joint position senses in the right foot and leg) along with **contralateral spinothalamic loss** (decreased pinprick sensation on the left side below the umbilicus). This classic combination of symptoms is known as **Brown-Séquard syndrome**, which results from a lesion affecting one half of the spinal cord. - The specific pattern of deficits—motor and proprioceptive loss on the same side as the lesion, and pain/temperature loss on the opposite side—localizes the lesion to the **right half of the spinal cord**. *Right frontal lobe* - A lesion in the right frontal lobe would typically cause **contralateral motor weakness** (left-sided) and potentially cognitive or behavioral changes, without the specific sensory dissociation seen in this patient. - It would not explain the **ipsilateral proprioceptive loss** or the **contralateral pain/temperature loss** at different levels as observed in this case. *Left frontal lobe* - A lesion in the left frontal lobe would primarily result in **contralateral motor weakness** (right-sided), similar to the right leg weakness observed, but it would not explain the other sensory deficits, particularly the **contralateral pain/temperature loss** (right-sided in this scenario) and the **ipsilateral proprioceptive loss**. - **Speech disturbances** (aphasia) are also common with left frontal lobe lesions, depending on the exact location, which are not mentioned here. *Left hemi-spinal cord* - A lesion in the left hemi-spinal cord would cause **ipsilateral motor weakness** (left leg weakness) and **ipsilateral dorsal column deficits** (decreased vibration and joint position senses in the left foot and leg), along with **contralateral spinothalamic loss** (decreased pinprick sensation on the right side). - This pattern is the opposite of the patient's symptoms, which show right-sided weakness and proprioceptive loss, and left-sided pain/temperature loss. *Right pons* - A lesion in the pons would typically present with a **combination of cranial nerve deficits** (e.g., facial sensory or motor abnormalities, gaze palsies) **and long tract signs**, often affecting both sides of the body due to the compact nature of the brainstem. - While it could cause long tract signs, the specific pattern of **dissociated ipsilateral and contralateral sensory/motor deficits** observed below the umbilical level is highly characteristic of a spinal cord lesion and less so of a pontine lesion.
Explanation: ***Superior temporal gyrus*** - The patient's presentation of **fluent aphasia** with **paraphasic errors**, **impaired comprehension**, **impaired repetition**, and **lack of awareness** of the deficit is classic for **Wernicke's aphasia**. - **Wernicke's area**, located in the posterior part of the **superior temporal gyrus** (Brodmann area 22) in the dominant hemisphere, is responsible for language comprehension. *Arcuate fasciculus* - Damage to the **arcuate fasciculus** typically causes **conduction aphasia**, characterized by **impaired repetition** with relatively preserved comprehension and fluent speech. - However, it does not explain the significant comprehension deficits and paraphasic errors seen in this patient to the same extent as a Wernicke's lesion. *Inferior frontal gyrus* - The **inferior frontal gyrus** (Brodmann areas 44 and 45) is commonly associated with **Broca's area**, responsible for language production. - Damage here would result in **non-fluent aphasia** with effortful speech and relatively preserved comprehension, which is contrary to the patient's fluent speech. *Frontal lobe, sparing Brodmann's area 44 and 45* - While damage to other parts of the **frontal lobe** can cause various cognitive deficits, sparing Broca's area (44 and 45) would generally not result in the specific pattern of **fluent aphasia** with severe comprehension and repetition impairment seen here. - This option does not precisely localize the critical language areas affected. *Arcuate fasciculus, inferior frontal gyrus, and superior temporal gyrus* - While damage to all these areas would certainly cause severe aphasia, the specific constellation of symptoms—**fluent speech**, **poor comprehension**, **poor repetition**, and **paraphasic errors**—points most directly and primarily to involvement of the **superior temporal gyrus** (Wernicke's area). - While some level of repetition impairment (seen in Wernicke's aphasia) implies some involvement in the broader language network, a lesion centered in the superior temporal gyrus is the most parsimonious explanation for this classic presentation.
Explanation: ***Hippocampus*** - The patient's inability to recall new information (only one of three objects after 5 minutes) despite intact long-term memory suggests **anterograde amnesia**, which is characteristic of hippocampal damage. - The hippocampus is crucial for the **formation of new declarative memories**, such as facts and events. Progressive decline in this function over a year is consistent with neurodegenerative conditions affecting the hippocampus, such as **Alzheimer's disease**. *Amygdala* - The amygdala is primarily involved in **processing emotions** and fear, as well as emotional memory. - Damage to the amygdala would typically manifest as deficits in recognizing or expressing emotions, or in forming emotional memories, which are not the primary symptoms described here. *Superior temporal gyrus* - The superior temporal gyrus contains the **primary auditory cortex** and is involved in processing auditory information and language comprehension (Wernicke's area). - Damage to this area would primarily cause auditory processing difficulties, such as **Wernicke's aphasia**, rather than memory problems for new information. *Ventral posterolateral nucleus* - The ventral posterolateral (VPL) nucleus of the thalamus is a key relay station for **somatosensory information** (touch, pain, temperature) from the body to the cerebral cortex. - Damage to the VPL nucleus would lead to sensory deficits on the contralateral side of the body, not issues with memory formation. *Substantia nigra* - The substantia nigra is part of the basal ganglia and is crucial for **motor control**, producing dopamine that projects to the striatum. - Damage to the substantia nigra is characteristic of **Parkinson's disease**, leading to motor symptoms like tremor, rigidity, bradykinesia, and postural instability, which are not described in this patient.
Explanation: ***Abducens*** - An intracavernous carotid aneurysm can compress the **abducens nerve (CN VI)** as it runs through the cavernous sinus, leading to **isolated lateral rectus palsy**. - **Lateral rectus palsy** manifests as **esotropia**, particularly on attempted lateral gaze toward the affected side (left-lateral gaze in this case), causing **diplopia**. *Optic* - The **optic nerve (CN II)** is located anterior to the cavernous sinus and typically not affected by an intracavernous aneurysm. - Optic nerve compression would cause **visual field defects** or **vision loss**, not double vision or ocular misalignment. *Oculomotor* - The **oculomotor nerve (CN III)** passes through the cavernous sinus but its compression typically causes a wider range of symptoms, including **ptosis**, **mydriasis**, and impairment of **superior, inferior, and medial rectus muscles**, leading to a **"down and out"** gaze, which is not described. - While it can cause diplopia, the specific presentation of **esotropia** on lateral gaze points away from an isolated CN III palsy. *Trochlear* - The **trochlear nerve (CN IV)** also travels through the cavernous sinus, but its compression would primarily affect the **superior oblique muscle**, leading to vertical or torsional diplopia that is often worse when looking down and in, and sometimes compensated by a head tilt. - The isolated **esotropia** with left-lateral gaze abnormality is not consistent with trochlear nerve palsy. *Ophthalmic* - The **ophthalmic division of the trigeminal nerve (V1)** passes through the cavernous sinus and its compression would result in **sensory loss** over the forehead, upper eyelid, and nose, and potentially **corneal reflex abnormalities**. - It does not cause motor deficits affecting eye movements or double vision.
Explanation: ***Preserved pressure sensation*** - **Anterior spinal artery** occlusion affects the **spinothalamic tracts** (pain and temperature) and **corticospinal tracts** (motor function), but spares the **dorsal columns**. - The **dorsal columns** carry **vibration, proprioception, and discriminative (fine) touch and pressure sensation**, which would therefore be preserved. - While crude touch/pressure via the anterior spinothalamic tract may be impaired, the preservation of dorsal column function allows for intact discriminative pressure sensation, distinguishing this from other cord syndromes. *Loss of vibratory sense below the level of the lesion* - **Vibratory sense** is carried by the **dorsal columns**, which are typically spared in **anterior spinal artery syndromes** as they are supplied by the posterior spinal arteries. - Loss of vibratory sense would suggest involvement of the posterior part of the spinal cord, inconsistent with an anterior spinal artery lesion. *Loss of pain and temperature sensation above the level of the lesion* - **Anterior spinal artery syndrome** causes loss of **pain and temperature sensation** *below* the level of the lesion, as the spinothalamic tracts are affected in the anterior cord. - Sensation *above* the lesion level should be intact, as those pathways have already ascended past the lesion. *Negative plantar extensor response in his lower limbs* - A **negative plantar extensor response** (normal plantar reflex) indicates the toes curl downwards, which is the normal response. - Lesions of the **corticospinal tract**, such as in anterior spinal artery syndrome, typically cause a **positive Babinski sign** (extensor plantar response), where the big toe extends upwards, indicating upper motor neuron damage. *Flaccid paralysis on the right side* - **Anterior spinal artery syndrome** causes **bilateral motor deficits** due to involvement of both **corticospinal tracts** in the anterior cord. - While initial presentation can be **flaccid paralysis** due to spinal shock below the level of the lesion, it is typically **bilateral**, not unilateral, and evolves to **spastic paralysis** over time.
Explanation: ***Substantia nigra pars compacta*** - The patient's symptoms, including **resting tremor**, **bradykinesia** (soft voice, decreased facial expressions, difficulty walking), and **rigidity** (increased resistance to passive movement), are classic signs of **Parkinson's disease**. - Parkinson's disease is primarily caused by the degeneration of **dopaminergic neurons** in the **substantia nigra pars compacta**, leading to a lack of dopamine in the basal ganglia. *Vermis* - The **vermis** is a part of the cerebellum primarily involved in coordinating **truncal movements** and maintaining **posture**. - Damage to the vermis typically causes **ataxia**, truncal instability, and gait disturbances, which are not the primary features described here. *Frontotemporal lobe* - The **frontotemporal lobe** is associated with cognitive functions, personality, and language. - Degeneration in this area is characteristic of **frontotemporal dementia**, presenting with prominent behavioral changes, language difficulties, or progressive memory loss, which are not the main symptoms in this patient. *Caudate and putamen* - The **caudate and putamen** are components of the **striatum**, which receives dopaminergic input from the substantia nigra. - While the lack of dopamine in the striatum contributes to Parkinsonian symptoms, the primary neuronal degeneration occurs *before* this in the substantia nigra pars compacta, which *projects* to the striatum. *Subthalamic nucleus* - The **subthalamic nucleus** is part of the basal ganglia circuit, and its overactivity can contribute to motor symptoms in Parkinson's disease. - **Deep brain stimulation (DBS)** targeting the subthalamic nucleus is a treatment for Parkinson's, but the primary site of neuronal degeneration in the disease itself is not the subthalamic nucleus.
Explanation: ***Dorsal root*** - The patient's inability to sense **vibration** or **proprioception** (flexed/extended toe) on the right side, with intact motor strength, strongly implicates damage to the **dorsal columns** or the **dorsal root** carrying these afferent fibers. - The dorsal root transmits **sensory** (afferent) information from the periphery to the spinal cord, and injury would selectively impair these specific sensory modalities without affecting motor function. *Central spinal cord grey matter* - Damage to the central gray matter, as seen in conditions like **syringomyelia**, typically affects the **spinothalamic tracts** first, leading to a "cape-like" distribution of bilateral loss of **pain** and **temperature sensation**. - It would not primarily cause isolated **proprioceptive** or **vibration** loss with preserved motor function. *Lateral corticospinal tract* - Injury to the **lateral corticospinal tract** results in **motor deficits**, specifically **weakness** or paralysis, usually on the same side or contralateral depending on the location of the lesion (above or below decussation). - The patient exhibits normal motor strength (5/5), indicating this tract is likely intact. *Artery of Adamkiewicz* - Occlusion or injury to the **Artery of Adamkiewicz** typically causes **anterior spinal artery syndrome**, affecting the **anterior two-thirds of the spinal cord**. - This leads to bilateral loss of **motor function** (corticospinal tracts) and **pain/temperature sensation** (spinothalamic tracts), with preservation of dorsal column functions (vibration, proprioception). *Posterior spinal artery* - The **posterior spinal arteries** supply the **dorsal columns**, and their occlusion would lead to bilateral loss of **vibration** and **proprioception**. - However, the patient's symptoms are **unilateral** on the right side, suggesting a more localized injury to the dorsal root or dorsal column on that side rather than a bilateral vascular event.
Explanation: ***Flattening of the right nasolabial fold*** - An infarct in the **left precentral gyrus** affecting the facial nerve region impacts the **contralateral lower face** due to the nature of upper motor neuron innervation. - This typically results in **weakness or paralysis of the muscles of facial expression** on the right side, manifest as a flattened nasolabial fold. *Inability to raise the right eyebrow* - The muscles of the **upper face** (e.g., forehead, eyebrow) receive **bilateral innervation** from the motor cortex. - Therefore, an upper motor neuron lesion in one hemisphere, such as the left precentral gyrus infarct, usually **does not cause significant weakness** in raising the contralateral eyebrow. *Drooping of the left eyelid* - Drooping of the left eyelid (**ptosis**) is often associated with dysfunction of the **oculomotor nerve (CN III)** or **sympathetic pathway** (Horner's syndrome). - It is not a direct consequence of a precentral gyrus infarct affecting facial nerve motor control. *Loss of taste in the posterior third of the right half of the tongue* - Taste sensation from the posterior third of the tongue is primarily mediated by the **glossopharyngeal nerve (CN IX)**. - An infarct in the precentral gyrus, which is part of the motor cortex, would not directly affect taste sensation. *Decreased lacrimation of the left eye* - Lacrimation is controlled by parasympathetic fibers traveling with the **facial nerve (CN VII)**, but these fibers typically originate from the brainstem, not directly from the precentral gyrus. - A cortical infarct primarily affects **motor control of facial muscles**, not autonomic functions like tearing.
Explanation: ***Syringomyelia*** - The combination of **absent reflexes**, **muscle weakness**, and **fasciculations** (lower motor neuron signs) along with **loss of temperature and pain sensation** (spinothalamic tract) and preserved vibration/proprioception (dorsal columns) in the upper extremities is highly characteristic of syringomyelia. - The history of a **motor vehicle collision** a year prior suggests a potential trauma-induced cause of the syrinx, which can develop months to years after the initial injury. *Subacute combined degeneration* - This condition is caused by **Vitamin B12 deficiency** and typically presents with demyelination of the dorsal columns and lateral corticospinal tracts. - It would manifest as **impaired vibration and proprioception** (dorsal column signs) and spasticity, rather than the dissociated sensory loss and lower motor neuron signs seen here. *Cervical disk prolapse* - While it can cause neck pain and weakness, cervical disk prolapse usually results in **radicular symptoms** affecting a specific dermatome and myotome, and often involves compressive myelopathy if severe. - It typically does not cause the widespread, bilateral lower motor neuron signs and the specific dissociated sensory loss pattern (loss of pain/temperature with preserved vibration/proprioception) observed in this patient. *Amytrophic lateral sclerosis* - ALS presents with a combination of **upper and lower motor neuron signs**, including weakness, fasciculations, and spasticity. - However, **sensory function is typically spared** in ALS, which contradicts the patient's prominent loss of pain and temperature sensation. *Tabes dorsalis* - This is a late manifestation of **syphilis** affecting the dorsal columns, leading to a loss of **vibration and proprioception**, as well as Argyll Robertson pupils. - The patient's preserved vibration and proprioception, coupled with lost pain/temperature sensation and lower motor neuron signs, rule out tabes dorsalis.
Explanation: ***Conus medullaris syndrome*** - The combination of **bilateral lower extremity weakness**, **urinary and fecal incontinence**, **decreased rectal tone**, and a **full bladder** is characteristic of conus medullaris syndrome. This syndrome results from damage to the **conus medullaris** (the terminal part of the spinal cord), which typically involves the **S3-S5 nerve roots**. - **Absent ankle jerk reflexes** (S1-S2) with **preserved patellar reflexes** (L2-L4) further pinpoints the lesion to the lower lumbar/sacral spinal cord segments, consistent with conus medullaris involvement. The recent **fall with back injury** is a predisposing factor. *Cerebellar stroke* - **Cerebellar stroke** would primarily manifest with symptoms of **ataxia**, **dysarthria**, **nystagmus**, and **vertigo**, without direct involvement of bladder/bowel function or specific lower extremity reflex abnormalities as described. - While a stroke can cause weakness, it would typically be **unilateral** or involve specific cortical patterns, and not generally present with this constellation of lower spinal cord signs. *Spinal epidural abscess* - A **spinal epidural abscess** would typically present with **fever**, **severe localized back pain**, and progressive **neurological deficits**, often following an infection or recent spinal procedure. - While it can cause neurological deficits similar to the conus medullaris syndrome, the absence of **fever** and the acute onset following trauma makes an abscess less likely in this scenario. *Anterior spinal cord syndrome* - **Anterior spinal cord syndrome** primarily affects the **anterior two-thirds of the spinal cord**, leading to **motor paralysis** below the lesion and **loss of pain and temperature sensation**, while **proprioception** and **vibration sense are preserved**. - Although it can cause motor weakness and bladder dysfunction, the isolated loss of ankle jerk reflexes with preserved patellar reflexes and the specific pattern of incontinence are more indicative of conus medullaris involvement. *Brown-Sequard syndrome* - **Brown-Séquard syndrome** is characterized by **ipsilateral motor paralysis** and loss of **proprioception/vibration sensation**, along with **contralateral loss of pain and temperature sensation** below the level of the lesion, due to hemisection of the spinal cord. - This patient presents with **bilateral weakness** and specific bladder/bowel dysfunction, which is inconsistent with the typical lateralized deficits seen in Brown-Séquard syndrome.
Explanation: ***Medulla oblongata*** - The **chemoreceptor trigger zone (CTZ)**, located in the **area postrema** of the **medulla oblongata**, is highly permeable and detects **blood-borne toxins**, such as chemotherapy agents. - Upon activation, the CTZ sends signals to the **vomiting center** (also in the medulla), initiating the nausea and vomiting reflex. *Lateral geniculate nucleus* - This nucleus is part of the **thalamus** and is primarily involved in relaying **visual information** from the retina to the primary visual cortex. - It plays no direct role in the pathways mediating chemotherapy-induced nausea and vomiting. *Posterior hypothalamus* - The posterior hypothalamus is involved in various autonomic functions including **arousal**, **sleep-wake cycles**, and **thermoregulation**. - While it has broad autonomic control, it is not a direct or primary center for processing emetic stimuli. *Ventral posterolateral nucleus* - This thalamic nucleus is crucial for relaying **sensory information** (pain, temperature, touch, proprioception) from the body to the primary somatosensory cortex. - It has no direct involvement in the mechanism of chemotherapy-induced nausea. *Medial geniculate nucleus* - Located in the **thalamus**, this nucleus is a key relay station for **auditory information**, transmitting signals from the inferior colliculus to the primary auditory cortex. - It is unrelated to the pathways responsible for nausea and vomiting.
Explanation: ***Frontal lobe*** - The frontal lobe governs **executive functions**, including **social behavior**, personality, judgment, and emotional regulation. - Damage here often leads to **disinhibition**, personality changes, and loss of interest in previously enjoyed activities, consistent with the patient's rude behavior and apathy. *Occipital lobe* - The occipital lobe is primarily responsible for **visual processing**. - Injury typically results in **visual field deficits** or visual agnosia, not behavioral changes. *Temporal lobe* - The temporal lobe is involved in **memory**, **hearing**, and language comprehension. - While damage can cause memory issues or aphasia, it's less commonly associated with the prominent **executive dysfunction** and personality changes described. *Motor cortex* - The motor cortex controls **voluntary movements**. - Damage would primarily manifest as **weakness** or paralysis, not changes in mood or social conduct. *Broca's area* - **Broca's area** is a specific region within the frontal lobe responsible for **speech production**. - Damage would lead to **expressive (Broca's) aphasia**, characterized by difficulty forming words or sentences, rather than broad personality changes or social disinhibition.
Explanation: ***Cranial nerves IX, X*** - The symptoms of **tinnitus** and **hearing loss**, along with a **pulsatile retrotympanic mass** and **jugular foramen bone destruction**, strongly suggest a **glomus jugulare tumor**. These tumors arise from **chemoreceptor cells (paraganglia)** derived from neural crest cells located in the jugular foramen. - The **jugular foramen** transmits the **glossopharyngeal (IX), vagus (X)**, and **accessory (XI)** cranial nerves. However, **CN IX and X are the most commonly and earliest affected** by glomus jugulare tumors due to their anatomical position. - **Clinical involvement** of CN IX and X leads to symptoms like **dysphagia**, **hoarseness**, **loss of gag reflex**, and **vagal nerve dysfunctions**. While CN XI also passes through the jugular foramen, its involvement is typically **later and less symptomatic** in the early stages of tumor growth. *Cranial nerves I, II, V* - **Cranial nerve I (olfactory)** and **II (optic)** are involved in smell and vision, respectively, and are not affected by lesions in the jugular foramen. - **Cranial nerve V (trigeminal)** supplies sensation to the face and muscles of mastication; it exits through the superior orbital fissure and foramen rotundum/ovale, not the jugular foramen. *Cranial nerves III, IV, VI* - These nerves (**oculomotor, trochlear, abducens**) are responsible for eye movements and are located within the **cavernous sinus** and orbit. - Involvement of these nerves is typically associated with lesions of the cavernous sinus or superior orbital fissure, not the jugular foramen. *Cranial nerves VII & VIII* - **Cranial nerve VII (facial)** and **VIII (vestibulocochlear)** pass through the **internal auditory canal**, not the jugular foramen. - While acoustic neuromas (vestibular schwannomas) cause hearing loss and involve CN VIII, a **pulsatile mass** and **jugular foramen destruction** are not characteristic of this type of lesion. *Cranial nerves X, XI, XII* - While **cranial nerve X (vagus)** and **XI (accessory)** do pass through the jugular foramen, **cranial nerve XII (hypoglossal)** passes through the **hypoglossal canal**, which is a completely separate opening anterior and medial to the jugular foramen. - This option is **anatomically incorrect** because CN XII is not associated with the jugular foramen. Furthermore, the **most clinically relevant** nerves affected early in glomus jugulare tumors are CN IX and X, making the first option more accurate for "most likely to be involved."
Explanation: ***Motor cortex (ACA)*** - The patient's inability to move his **left leg** while his **left arm** remains intact points to an injury in the **right cerebral hemisphere** affecting the leg area of the motor cortex. - The leg area of the **primary motor cortex** is primarily supplied by the **anterior cerebral artery (ACA)**, making an ACA stroke the most likely cause. *Motor cortex (MCA)* - The **middle cerebral artery (MCA)** primarily supplies the motor cortex areas responsible for the **face and arm**, not typically isolated leg weakness. - If the MCA were affected, you would expect to see involvement of the face and/or arm on the contralateral side in addition to leg weakness. *Brainstem (Vertebrobasilar)* - A **brainstem stroke** would likely present with more widespread neurological deficits, including **cranial nerve palsies**, ataxia, or altered consciousness. - Isolated contralateral leg weakness without arm involvement is not characteristic of a brainstem lesion. *Cerebellum (PICA/SCA)* - The **cerebellum** is primarily involved in **coordination and balance**, not direct motor strength. - A cerebellar stroke would present with symptoms like **ataxia**, dysarthria, or nystagmus, not isolated paralysis. *Occipital cortex (PCA)* - The **occipital cortex** is primarily responsible for **vision**. - A posterior cerebral artery (PCA) stroke would typically cause **visual field defects** (e.g., contralateral homonymous hemianopia) rather than motor weakness.
Explanation: ***Dorsal root ganglion*** - The **dorsal root ganglia** contain the **cell bodies of sensory neurons**, including those responsible for fine touch. Damage to these cell bodies, as indicated by the biopsy finding of "destruction of the cell bodies of sensory nerves," would directly lead to the observed loss of sensation. - The **C6 dermatome pattern** further localizes the damage to the cervical region of the spinal cord, consistent with the location of the C6 dorsal root ganglion. *Meissner's corpuscles* - **Meissner's corpuscles** are **mechanoreceptors** located in the skin that are responsible for detecting light touch and vibration, not the cell bodies of sensory nerves themselves. - Damage to these corpuscles would affect sensation, but the pathology describes destruction of **cell bodies**, not the sensory endings. *Ventral horn* - The **ventral horn** of the spinal cord contains the **cell bodies of motor neurons** that innervate skeletal muscles. - Damage to the ventral horn would primarily result in **motor deficits** (weakness, paralysis), not sensory loss. *Dorsal column* - The **dorsal column** tracts (gracile and cuneate fasciculi) are *white matter* pathways in the spinal cord that carry sensory information, including fine touch and proprioception, from the periphery to the brain. - While damage to the dorsal column would cause sensory loss, the biopsy finding of destroyed "cell bodies of sensory nerves" points to a lesion *before* the axons enter the spinal cord, i.e., in the dorsal root ganglion. *Lateral corticospinal tract* - The **lateral corticospinal tract** is a major **motor pathway** originating in the cerebral cortex and responsible for voluntary movement. - Damage to this tract would cause **motor deficits** (e.g., weakness, spasticity) and would not explain the isolated loss of fine touch sensation.
Explanation: ***Syringomyelia at the cervico-thoracic region*** - The presence of **painless burns/blisters** (due to **loss of pain and temperature sensation**) on the hands, coupled with **decreased pinprick sensation bilaterally along the arms**, strongly suggests involvement of the **cervical and thoracic spinal cord**, characteristic of syringomyelia. - The history of a **concussion** from a car accident 2 years ago could be a predisposing factor leading to or exacerbating a Chiari malformation, which is often associated with syringomyelia. *Brain contusion* - A **brain contusion** would typically cause focal neurological deficits based on the affected brain region, but it would not explain the **bilateral loss of pain and temperature sensation** in the arms or palmar blistering. - While a concussion history is provided, contusions do not usually present with the specific type of sensory deficit seen here. *Syringomyelia at the lumbar region* - **Syringomyelia at the lumbar region** would primarily cause symptoms in the **lower extremities**, such as leg weakness, pain, and sensory loss in the legs and feet. - It would not explain the **bilateral decreased pinprick sensation along the arms** or the blisters on the hands. *Multiple sclerosis* - **Multiple sclerosis** often presents with fluctuating neurological symptoms, including **blurred vision**, but the characteristic **dissociated sensory loss** (loss of pain and temperature with preserved touch) and **painless burns** are not typical primary presentations. - Sensory deficits in MS are usually more varied and can include numbness, tingling, or electric shock sensations rather than purely dissociated loss. *Sjogren syndrome* - **Sjögren's syndrome** is an autoimmune disorder primarily affecting exocrine glands, leading to **dry eyes** (which could cause blurred vision that improves with artificial tears) and dry mouth. - It does not explain the **painless burns** or the bilateral **loss of pain and temperature sensation** in the upper extremities.
Explanation: ***Compression of the stellate ganglion*** - The patient's symptoms (left-sided ptosis, miosis, and anhidrosis, indicated by unequal pupils with the left pupil smaller in dim light) are classic for **Horner's syndrome**. - Given the history of smoking and arm/shoulder pain, the most likely cause is a **Pancoast tumor** (apical lung cancer) compressing the **stellate ganglion** within the cervical sympathetic chain. *Aneurysm of the posterior cerebral artery* - This would typically present with symptoms related to occipital lobe dysfunction, such as **visual field defects**, rather than Horner's syndrome. - While aneurysms can cause neurological deficits, this specific presentation is not characteristic of posterior cerebral artery involvement. *Infiltration of the cervical plexus* - The cervical plexus primarily innervates the muscles and skin of the neck and shoulder; infiltration would typically cause **motor weakness** or **sensory changes** in these areas. - While shoulder and arm pain are present, cervical plexus involvement alone does not explain the specific constellation of **Horner's syndrome**. *Dissection of the carotid artery* - Carotid artery dissection can cause Horner's syndrome, but it is typically accompanied by **unilateral neck pain**, **headache**, and sometimes symptoms of **cerebral ischemia** (e.g., transient ischemic attack or stroke). - The patient's chronic shoulder and arm pain and smoking history point away from dissection as the primary cause. *Thrombosis of the cavernous sinus* - Cavernous sinus thrombosis would likely present with more severe symptoms, including **painful ophthalmoplegia** (paralysis of eye muscles), **chemosis**, and **proptosis**, due to involvement of cranial nerves III, IV, V1, V2, and VI. - The patient's symptoms are limited to Horner's syndrome and do not suggest widespread cranial nerve involvement.
Explanation: ***Optic nerve*** - The alternating pupillary response, where shining light in the affected right eye causes less constriction than in the left eye, even though both pupils constrict, points to a **Relative Afferent Pupillary Defect (RAPD)**, also known as a **Marcus Gunn pupil**. - An RAPD indicates a lesion in the **afferent visual pathway** anterior to the optic chiasm, most commonly the optic nerve, as it reduces the input signal from the affected eye to the brainstem. *Lateral geniculate nucleus* - A lesion in the **lateral geniculate nucleus (LGN)** would cause a visual field defect, but typically would not present with an RAPD because the pupillary light reflex pathway largely bypasses the LGN. - The afferent pupillary fibers synapse in the **pretectal nucleus** before reaching the Edinger-Westphal nucleus, not the LGN. *Lens* - Problems with the **lens**, such as cataracts, cause blurry vision due to light scattering but do not affect the afferent pupillary pathway or cause an RAPD. - The lens focuses light onto the retina; it is not involved in transmitting signals for the pupillary light reflex. *Oculomotor nerve* - A lesion in the **oculomotor nerve (CN III)** would affect the efferent pupillary pathway, leading to a **dilated pupil** in the affected eye, often with impaired extraocular movements, which is not described. - The oculomotor nerve carries parasympathetic fibers responsible for pupillary constriction. *Ciliary ganglion* - A lesion in the **ciliary ganglion** would also affect the efferent pupillary pathway, causing a **dilated pupil** and sluggish or absent light reflex on the affected side (tonic pupil). - This is a post-ganglionic parasympathetic lesion, which would present differently from the observed RAPD.
Explanation: **Horizontal nystagmus in the left eye on leftward gaze** - The patient presents with **double vision** and **right adduction palsy on leftward gaze**, indicative of an **internuclear ophthalmoplegia (INO)**, highly suggestive of **multiple sclerosis (MS)** in a young adult with a history of transient neurological symptoms (right arm weakness). - In INO, the eye attempting to adduct (in this case, the right eye on leftward gaze) has impaired movement, while the contralateral abducting eye (left eye on leftward gaze) often exhibits **horizontal nystagmus**. *Afferent pupillary defect in the left eye* - An **afferent pupillary defect (APD)**, also known as a **Marcus Gunn pupil**, indicates a lesion to the **afferent visual pathway** (retina, optic nerve, or optic chiasm). - While MS can cause optic neuritis leading to APD, it is not a direct consequence or associated finding of an INO itself. *Ptosis on the right* - **Ptosis** (drooping eyelid) is typically caused by dysfunction of the **oculomotor nerve (cranial nerve III)** or the **sympathetic pathway (Horner's syndrome)**. - While MS can affect cranial nerves, ptosis is not a characteristic finding specifically associated with INO. *Left abduction palsy on leftward gaze* - A **left abduction palsy on leftward gaze** would mean the left eye is unable to fully abduct, indicating a problem with the **left abducens nerve (cranial nerve VI)** or its nucleus. - In INO, it is the **adduction** of the ipsilateral eye that is impaired, and the contralateral eye typically **abducts normally** but with nystagmus. *Proptosis of the right eye* - **Proptosis** (exophthalmos) is the bulging of the eye from the orbit, usually caused by retro-orbital mass lesions (e.g., **thyroid eye disease**, orbital tumors) or inflammation. - This finding is unrelated to the neurological lesion causing an INO.
Explanation: ***Inferior frontal gyrus*** - Damage to the **inferior frontal gyrus** (Broca's area) typically causes **non-fluent aphasia** (Broca's aphasia), characterized by difficulty with speech production and writing, while **comprehension remains relatively intact**. - The patient's inability to communicate fluently, frustration, difficulty writing, and preserved comprehension align with the clinical features of **Broca's aphasia**. *Superior temporal gyrus* - The **superior temporal gyrus** (Wernicke's area) is primarily involved in **language comprehension**. - Damage to this area results in **fluent aphasia** (Wernicke's aphasia), where speech is fluent but incomprehensible, and comprehension is severely impaired, which is inconsistent with the patient's presentation. *Watershed zone* - A stroke in the **watershed zone** (border zones between major cerebral arteries) can lead to **transcortical aphasias**, where the ability to repeat is often preserved. - The patient's inability to repeat phrases rules out a typical transcortical aphasia. *Arcuate fasciculus* - The **arcuate fasciculus** connects Broca's and Wernicke's areas and is crucial for **repetition**. - Damage to this structure primarily causes **conduction aphasia**, characterized by impaired repetition despite relatively preserved comprehension and fluent speech, which does not match the patient's non-fluent speech. *Precentral gyrus* - The **precentral gyrus** is the primary motor cortex, responsible for initiating voluntary movements. - Damage here would primarily cause **contralateral motor deficits** (e.g., hemiparesis or hemiplegia), not the specific language deficits described, although motor weakness can coexist with aphasia due to larger lesion size.
Explanation: ***Ipsilateral flaccid paralysis at the level of the lesion*** - A stab wound indicates an acute lesion, which often results in **spinal shock** at the level of the injury, leading to **flaccid paralysis** due to damage to the lower motor neurons or their axons. - If the transection affects nerve roots or the ventral horn at the level of the lesion, it would specifically cause **ipsilateral flaccid paralysis** due to interruption of the efferent motor pathways before decussation. *Contralateral spasticity below the level of the lesion* - **Spasticity** (upper motor neuron signs) would occur **ipsilaterally** below the level of the lesion due to damage to the **corticospinal tracts** before their decussation in the medulla. - This symptom takes time to develop following an acute injury, as the initial phase is often characterized by **spinal shock** and flaccid paralysis. *Ipsilateral loss of pain and temperature sensation below the lesion* - The **spinothalamic tracts**, responsible for pain and temperature sensation, **decussate (cross over)** almost immediately upon entering the spinal cord. - Therefore, a lesion on one side of the spinal cord would cause **contralateral loss of pain and temperature** sensation below the level of the lesion. *Contralateral loss of tactile, vibration, and proprioception below the lesion* - The **dorsal columns**, which carry tactile, vibration, and proprioception information, **decussate in the medulla** oblongata, not in the spinal cord. - Thus, a lesion on one side of the spinal cord would result in **ipsilateral loss of these sensations** below the level of the lesion. *Contralateral loss of sensation at the level of the lesion* - Sensation loss at the level of the lesion would involve the disruption of nerve roots or segmental grey matter, which primarily causes **ipsilateral sensory deficits** corresponding to the affected dermatome, not contralateral. - Contralateral loss occurs for specific tracts (like spinothalamic) **below** the lesion, not typically at the level itself for all sensations.
Explanation: ***Decreased salivation*** - This is the **correct answer** for a patient with **Bell's palsy** (peripheral facial nerve palsy) - The **facial nerve (CN VII)** carries **parasympathetic fibers** via the **chorda tympani** to innervate the **submandibular and sublingual salivary glands** - A **lower motor neuron lesion** affecting CN VII results in **decreased salivation** on the affected side - The clinical presentation of **complete facial weakness** (entire right side) with **recent shingles** strongly suggests **peripheral facial nerve palsy**, potentially **Ramsay Hunt syndrome** (VZV reactivation affecting CN VII) *Wrinkled forehead* - This finding would **NOT** be seen in this patient - A **lower motor neuron (LMN) lesion** of CN VII causes **complete ipsilateral facial paralysis**, including **inability to wrinkle the forehead** on the affected side - **Forehead sparing** (preserved ability to wrinkle forehead) indicates an **upper motor neuron (UMN) lesion** due to bilateral cortical innervation of the frontalis muscle - Since this patient has **complete facial weakness** including the forehead, he would be **unable to wrinkle his forehead** *Expressive aphasia* - **Expressive aphasia (Broca's aphasia)** results from damage to the **dominant frontal lobe** (Broca's area) - This represents a **cortical lesion**, typically from stroke affecting the middle cerebral artery territory - The patient's symptoms are isolated to **CN VII dysfunction** without evidence of cortical involvement - No language, motor, or sensory deficits outside the facial nerve distribution are present *Complete loss of taste to the tongue* - While **partial taste loss** can occur in Bell's palsy, **complete loss of taste to the entire tongue** would not be expected - The **facial nerve (CN VII)** carries taste from the **anterior two-thirds of the tongue** via the **chorda tympani** - The **glossopharyngeal nerve (CN IX)** innervates taste from the **posterior one-third of the tongue** - Complete taste loss would require involvement of both CN VII and CN IX, which is not typical for Bell's palsy *Partial hearing loss* - The facial nerve innervates the **stapedius muscle**, and CN VII palsy can cause **hyperacusis** (increased sensitivity to sound) due to loss of the acoustic reflex - **Hearing loss** itself is mediated by the **vestibulocochlear nerve (CN VIII)**, not CN VII - While **Ramsay Hunt syndrome** can sometimes involve CN VIII, the primary finding would be **hyperacusis**, not hearing loss
Explanation: ***Bitemporal hemianopsia*** - The patient's symptoms of **amenorrhea** and **decreased peripheral vision** are highly suggestive of a **pituitary adenoma**, specifically one that causes mass effect on the optic chiasm. - A pituitary adenoma can compress the **optic chiasm**, leading to the classic visual field defect known as **bitemporal hemianopsia**, where the temporal (peripheral) vision in both eyes is lost. *Breast mass* - While breast masses are common, they are generally **not associated** with amenorrhea or peripheral vision loss. - A breast mass would typically present with a palpable lump or imaging abnormality of the breast. *Enlarged thyroid* - An enlarged thyroid (goiter) can be associated with thyroid dysfunction, which can cause menstrual irregularities, but it typically **does not cause peripheral vision loss**. - Visual field defects point towards a problem with the **optic pathways**, not thyroid pathology. *Renal failure* - **Chronic renal failure** can cause menstrual irregularities due to hormonal imbalances, but it is **not directly linked** to visual field defects like bitemporal hemianopsia. - Renal failure would present with symptoms like edema, fatigue, and changes in urination. *Pregnancy* - Although amenorrhea is a hallmark of pregnancy, the patient has explicitly **denied recent sexual activity** and a **negative pregnancy test** rules this out. - Pregnancy does not cause **bitemporal hemianopsia** as a primary symptom.
Explanation: ***Chiari II malformation*** - The patient's history of surgical removal of a "sac-like protuberance" on his lower back soon after birth suggests a **myelomeningocele**, which is strongly associated with Chiari II malformation. - Symptoms like progressive headache, neck pain, dizziness, tingling in arms/hands, bilateral optic disk swelling (indicating **increased intracranial pressure**), and sensorineural hearing loss are consistent with brainstem and cranial nerve compression common in Chiari II. *Brachial plexus injury* - This typically presents with acute, localized weakness, numbness, or pain in the arm and hand **due to nerve damage**, often following trauma like a dislocated shoulder. - It would not explain the **progressive headache**, optic disc swelling, or the patient's congenital history of a lower back malformation. *Vestibular schwannoma* - This tumor primarily affects the **vestibulocochlear nerve (CN VIII)**, causing **unilateral hearing loss**, tinnitus, and balance issues. - It would not typically present with bilateral hearing loss, increased intracranial pressure symptoms (like optic disc swelling), or be linked to a congenital spinal defect. *Medulloblastoma* - While a **medulloblastoma** can cause symptoms of increased intracranial pressure (headache, optic disc swelling) and sometimes dizziness, it is a **malignant brain tumor**. - It does not explain the patient's history of a congenital spinal defect (myelomeningocele) or the specific tingling sensations in the arms and hands in the context of brainstem compression. *Intraventricular hemorrhage* - This usually occurs in **neonates, especially premature infants**, and presents with acute neurological deficits, apnea, bradycardia, or seizures. - It is unlikely to present as progressive headache and neck pain in a 4-year-old and does not account for the congenital spinal defect or chronic symptoms.
Explanation: ***Central herniation*** - The sudden onset of severe headache after head trauma with **bilateral lateral rectus palsies** (right eye cannot move right, left eye cannot move left) indicates **bilateral abducens nerve (CN VI) dysfunction**. - Central herniation involves **downward displacement of the diencephalon and midbrain** through the tentorial notch, which causes **increased intracranial pressure** and **stretching of CN VI bilaterally** as it has the longest intracranial course. - CN VI is particularly vulnerable to **stretching over the petrous ridge** with increased ICP, and bilateral involvement is characteristic of **diffuse increased pressure** or **rostrocaudal deterioration** seen in central herniation. - While central herniation can progress to pupillary changes and posturing, **early bilateral CN VI palsies** are a recognized finding with increased ICP. *Bilateral uncal herniation* - This is an extremely rare occurrence that would primarily affect **CN III (oculomotor nerve) bilaterally**, causing bilateral pupil dilation and "down and out" eye positioning. - **Uncal herniation does NOT typically cause CN VI palsy**; it compresses CN III as the uncus herniates over the tentorial edge. - The described findings (bilateral lateral rectus weakness) are not consistent with uncal herniation. *Unilateral uncal herniation* - Causes **ipsilateral CN III palsy** with a dilated pupil and "down and out" eye on one side. - Would not explain the **bilateral abducens nerve deficits** described in this case. - This is the classic herniation syndrome from temporal lobe mass effect. *Subfalcine herniation* - Involves the **cingulate gyrus** passing beneath the **falx cerebri**. - Typically affects the **anterior cerebral artery**, leading to leg weakness, but **spares cranial nerves entirely**. - Would not cause any extraocular movement abnormalities. *Tonsillar herniation* - Occurs when **cerebellar tonsils** descend through the **foramen magnum**. - Presents with **respiratory depression, bradycardia, and cardiovascular instability** due to medullary compression. - Does not typically affect CN VI or cause isolated extraocular movement deficits.
Explanation: ***Anterior pillars of the fornix*** - This patient presents with **confabulation** (stating "1999," "Jimmy Carter," calling his son "Peter" instead of "Jake") and **anterograde amnesia** (unable to recall why his wife left 6 months ago), classic features of **Korsakoff syndrome** in a chronic alcoholic with **thiamine (vitamin B1) deficiency**. - Korsakoff syndrome classically involves lesions of the **mammillary bodies** and the **dorsomedial nucleus of the thalamus**. These structures are functionally connected via the **mammillothalamic tract** and are part of the **Papez circuit** for memory. - The **fornix** is a white matter tract connecting the hippocampus to the mammillary bodies and septal nuclei. While the fornix itself is not typically the primary site of pathology in Korsakoff syndrome, damage to the **anterior pillars of the fornix** can disrupt the hippocampal-mammillary body pathway, producing similar memory deficits including anterograde amnesia and confabulation. - Among the given options, this is the structure most closely associated with the memory circuitry disrupted in Korsakoff syndrome. *Posterior pillars of the fornix* - The posterior pillars (crura) of the fornix carry fibers from the hippocampus toward the mammillary bodies but are more posteriorly located. - While theoretically damage here could affect memory circuits, it is less specifically associated with the diencephalic amnesia pattern seen in Korsakoff syndrome compared to anterior connections. *Parahippocampal gyrus* - The parahippocampal gyrus is involved in **memory encoding and retrieval**, particularly recognition memory and spatial context. - Damage here causes memory deficits but does not produce the characteristic **confabulation** and diencephalic amnesia pattern of Korsakoff syndrome, which primarily affects midline diencephalic structures. *Arcuate fasciculus* - The **arcuate fasciculus** connects **Broca's area** (frontal lobe) and **Wernicke's area** (temporal lobe), serving language functions, particularly repetition. - Damage causes **conduction aphasia** (impaired repetition with relatively preserved comprehension and fluency), not memory dysfunction or confabulation. *Dorsal hippocampus* - The hippocampus is essential for **encoding new episodic memories** and would cause severe **anterograde amnesia** if damaged. - However, Korsakoff syndrome primarily involves **diencephalic structures** (mammillary bodies and dorsomedial thalamus) rather than the hippocampus itself. Additionally, hippocampal damage alone typically does not produce the prominent **confabulation** characteristic of Korsakoff syndrome.
Explanation: ***Syringomyelia*** - This condition is characterized by a central canal cavitation (syrinx) in the spinal cord, leading to damage to the **spinothalamic tracts** (loss of pain and temperature sensation) and anterior horn cells (weakness, fasciculations, absent reflexes). The **'cape-like' distribution** of sensory loss over the chest and arms, along with hand weakness, is classic. - The sensation loss to temperature and pain over the chest and bilateral upper arms with preserved vibration and joint position sensation in upper limbs is a **dissociated sensory loss**, a hallmark of syringomyelia, as the dorsal columns (responsible for vibration and proprioception) are typically spared. *Brown-Séquard syndrome* - This syndrome results from **hemitransaction of the spinal cord**, causing ipsilateral loss of motor function and proprioception/vibration sensation, and contralateral loss of pain and temperature sensation below the lesion. - The patient's symptoms of **bilateral sensory loss** and **bilateral weakness** do not fit this unilateral lesion pattern. *Tabes dorsalis* - This is a late manifestation of **syphilis**, primarily affecting the posterior columns of the spinal cord (dorsal columns), leading to loss of **proprioception and vibration sensation**, along with ataxia and shooting pains. - The patient presents with loss of pain and temperature sensation, not primarily proprioception and vibration, and has **motor weakness with fasciculations**, which are not typical for tabes dorsalis. *Multiple sclerosis* - MS is characterized by **demyelination in the central nervous system**, presenting with diverse neurological symptoms that often wax and wane, affecting multiple areas of the brain and spinal cord. - While it can cause sensory and motor deficits, the **dissociated sensory loss** (pain/temperature vs. vibration/proprioception) in a "cape-like" distribution with prominent fasciculations points away from MS. *Cervical disk prolapse* - A cervical disk prolapse typically causes **radicular pain and neurological deficits** (motor weakness, sensory loss, reflex changes) in a dermatomal or myotomal distribution corresponding to the compressed nerve root. - While it can cause arm pain and weakness, the **bilateral, "cape-like" dissociated sensory loss** over the chest and arms is not characteristic of a single or multiple cervical nerve root compressions.
Explanation: ***Eyelid closure*** - The patient's **decreased taste on the right anterior tongue** indicates damage to the **facial nerve (CN VII)**, specifically the chorda tympani branch. - The facial nerve is also responsible for innervating the muscles of **facial expression**, including the **orbicularis oculi** which closes the eyelid. *Facial sensation* - **Facial sensation** (touch, pain, temperature) is primarily mediated by the **trigeminal nerve (CN V)**, not the facial nerve. - Damage to the trigeminal nerve would result in sensory deficits, not taste disturbances on the anterior tongue. *Parotid gland salivation* - **Parotid gland salivation** is primarily controlled by the **glossopharyngeal nerve (CN IX)** via the otic ganglion. - The facial nerve (CN VII) innervates the **submandibular and sublingual glands**, but not the parotid gland. *Uvula movement* - **Uvula movement** and elevation of the soft palate are primarily controlled by the **vagus nerve (CN X)**, specifically through the pharyngeal plexus. - Damage to CN X would typically lead to deviation of the uvula away from the paralyzed side. *Tongue protrusion* - **Tongue protrusion** (moving the tongue out) is the primary function of the **hypoglossal nerve (CN XII)**. - Damage to the hypoglossal nerve would cause the tongue to deviate towards the lesioned side upon protrusion due to unopposed action of the healthy genioglossus muscle.
Explanation: ***Oculomotor nerve*** - The patient's presentation of **ptosis** (due to paralysis of the **levator palpebrae superioris** muscle) and the eye being **deviated down and out** (due to paralysis of most extraocular muscles except the superior oblique and lateral rectus) are classic signs of **oculomotor nerve (CN III) palsy**. - Given the patient's history of **poorly controlled diabetes** and **hypertension**, microvascular ischemia is a common cause of CN III palsy that typically spares the pupil due to its superficial location. *Facial nerve* - Dysfunction of the **facial nerve (CN VII)** primarily affects **facial muscle movements**, leading to symptoms like facial drooping, inability to close the eye, or difficulty with smiling. - It does not cause double vision, ptosis, or specific eye deviation patterns. *Optic nerve* - The **optic nerve (CN II)** is responsible for **vision (visual acuity)** and transmits visual information from the retina to the brain. - Impairment would lead to vision loss or specific visual field defects, but not double vision, ptosis, or oculomotor abnormalities as described. *Abducens nerve* - The **abducens nerve (CN VI)** innervates the **lateral rectus muscle**, which is responsible for **abducting the eye** (moving it outward). - A lesion would cause the eye to be **adducted at rest** and lead to **horizontal double vision**, especially when looking towards the affected side, which is different from "down and out" deviation. *Trochlear nerve* - The **trochlear nerve (CN IV)** innervates the **superior oblique muscle**, which is responsible for **intorsion, depression, and abduction of the eye**. - Palsy typically causes **vertical double vision** that is worse when looking down and is often compensated by a head tilt away from the affected side, not ptosis or a "down and out" position.
Explanation: ***Right ventral occipitotemporal cortex*** - The inability to recognize familiar faces, despite being able to identify facial features and objects, is characteristic of **prosopagnosia**. - **Prosopagnosia** is most commonly associated with damage to the **fusiform gyrus**, located in the right ventral occipitotemporal cortex, also known as the fusiform face area. *Right posterior superior temporal cortex* - This region is primarily involved in **auditory processing** and **language comprehension** (Wernicke's area in the dominant hemisphere), not facial recognition. - Damage here might lead to **auditory agnosia** or receptive aphasia, which are not described. *Right superior parietal cortex* - The superior parietal cortex is involved in **spatial awareness**, **attention**, and integrating sensory information. - Lesions here could cause **neglect syndromes** or difficulties with spatial tasks, not specific facial recognition deficits. *Left posterior parietal cortex* - The left posterior parietal cortex plays a role in **praxis**, **arithmetic**, and certain aspects of **language**. - Damage to this area is often associated with Gerstmann syndrome (acalculia, agraphia, finger agnosia, left-right disorientation), which is not evident here. *Left hippocampus* - The hippocampus is crucial for **memory formation** and recall, particularly **episodic memory**. - Lesions in this area would primarily result in **anterograde amnesia** or difficulties with new memory acquisition, not isolated facial recognition deficits.
Explanation: ***Distortion of corona radiata fibers*** - The patient's symptoms of **memory decline**, **urinary incontinence**, and **gait disturbance** (magnetic gait) form the classic triad of **normal pressure hydrocephalus (NPH)**. - In NPH, the enlarged ventricles cause **stretching and distortion of the periventricular white matter tracts**, including the ascending and descending fibers of the **corona radiata**, which leads to the characteristic neurological symptoms. *Depigmentation of the substantia nigra pars compacta* - This is a hallmark pathological finding in **Parkinson's disease**, characterized by the loss of **dopaminergic neurons** in the substantia nigra. - While gait disturbance (shuffling gait) can occur in Parkinson's, the presenting symptoms of **urinary incontinence** and prominent memory decline are not typical primary features, and the gait description is more suggestive of NPH. *Convex hemorrhage that does not cross suture lines* - This describes an **epidural hematoma**, typically resulting from **head trauma** and often associated with rupture of the **middle meningeal artery**. - The clinical presentation is usually acute with signs of increased intracranial pressure, rather than the chronic, progressive symptoms described in the patient. *Atrophy of the caudate and putamen* - This is a characteristic finding in **Huntington's disease**, a neurodegenerative disorder. - Huntington's typically presents with **chorea** (involuntary movements), psychiatric disturbances, and cognitive decline, which do not align with the patient's primary symptoms of gait disturbance and incontinence. *Atrophy of the subthalamic nucleus* - Atrophy of the subthalamic nucleus is not a distinct primary disorder associated with the patient's constellation of symptoms. - The subthalamic nucleus plays a role in motor control, and damage to it can cause **hemiballismus**, which is not described here.
Explanation: ***Left-sided Brown-Sequard (hemisection)*** - This syndrome is characterized by **ipsilateral loss of motor function (weakness)** and **proprioception/vibration sensation** below the lesion, along with **contralateral loss of pain and temperature sensation**. - The patient's left leg weakness, decreased vibration/position sensation in the left lower extremity, and decreased pain/temperature sensation in the right lower extremity perfectly match a **left-sided hemisection of the spinal cord**. *Anterior cord syndrome* - This syndrome results in **bilateral motor paralysis** and bilateral loss of **pain and temperature sensation** below the level of the lesion. - However, **proprioception** and **vibration sense** are typically preserved, which contrasts with the patient's presentation of ipsilateral loss of these senses. *Posterior cord syndrome* - This rare syndrome primarily affects the **dorsal columns**, leading to bilateral loss of **vibration and proprioception** below the lesion. - **Motor function** and **pain/temperature sensation** are largely preserved, which is inconsistent with the patient's significant motor weakness and contralateral pain/temperature loss. *Syringomelia* - This condition involves a fluid-filled cavity (syrinx) within the spinal cord, often causing a **cape-like distribution of pain and temperature loss** (crossing the midline) due to damage to the **decussating spinothalamic fibers**. - While it can cause weakness, the distinct **ipsilateral proprioceptive loss** and **contralateral pain/temperature loss** seen in this patient are not typical for syringomyelia. *Right-sided Brown-Sequard (hemisection)* - A right-sided Brown-Sequard syndrome would present with **right-sided weakness** and **loss of proprioception/vibration sensation**, along with **left-sided loss of pain and temperature sensation**. - This is the **opposite of the patient's presentation** of left-sided weakness and ipsilateral proprioceptive loss.
Explanation: ***Inability to perform repetitive alternating movements*** - The CT scan image shows a **hypodense lesion in the right cerebellar hemisphere**, which strongly suggests a **cerebellar infarct**. - **Dysdiadochokinesia** (inability to perform rapid alternating movements) is a classic sign of cerebellar dysfunction, along with ataxia, vertigo, and nystagmus. - This aligns perfectly with the patient's presentation of **sudden onset vertigo, difficulty walking, and loss of balance**. - Other expected cerebellar signs include intention tremor, dysmetria, and scanning speech. *Inability to speak fluently* - **Broca's aphasia** (non-fluent speech) results from damage to the **dominant (usually left) frontal lobe**, specifically Broca's area. - This does not align with the imaging findings of a **right cerebellar lesion**. - The patient is awake and oriented, which is consistent with preserved language function. *Right-sided visual field loss* - **Homonymous hemianopsia** results from lesions in the **contralateral visual pathways** (optic tract, lateral geniculate nucleus, optic radiations, or occipital cortex). - Right-sided visual field loss would require a **left cerebral hemisphere lesion**, not a right cerebellar lesion. - The patient has normal extraocular movements and denies diplopia, further excluding visual pathway involvement. *Right-sided neglect* - **Hemispatial neglect** is most commonly associated with lesions in the **non-dominant (typically right) parietal lobe**. - While the lesion is right-sided, cerebellar lesions cause **coordination and balance deficits**, not spatial awareness or attention problems. *Inability to comprehend commands* - **Wernicke's aphasia** (impaired comprehension) results from damage to the **dominant (usually left) superior temporal gyrus**. - This is not consistent with a right cerebellar lesion. - The patient is awake and oriented to time, place, and person, indicating intact comprehension.
Explanation: ***Hyporeflexia*** - The destruction of **anterior horn cells** in the spinal cord is characteristic of **poliomyelitis**, a disease that primarily affects **lower motor neurons**. - Lower motor neuron lesions lead to symptoms like **flaccid paralysis**, **weakness**, and **hyporeflexia** (diminished or absent reflexes). *Sensory loss* - Poliomyelitis specifically targets **motor neurons** and typically spares **sensory pathways**, meaning sensory function remains intact. - Therefore, **sensory loss** is not a characteristic finding in poliomyelitis. *Positive Babinski sign* - A positive Babinski sign (**upgoing plantar reflex**) is indicative of an **upper motor neuron lesion** affecting the **corticospinal tract**. - Since poliomyelitis involves lower motor neurons, a positive Babinski sign would not be expected. *Myoclonus* - **Myoclonus** refers to brief, involuntary twitching of a muscle or a group of muscles, often associated with disorders affecting the **cerebellum**, **brainstem**, or **cortex**. - It is not a typical neurological finding in **poliomyelitis**, which primarily causes muscle weakness and paralysis. *Pronator drift* - **Pronator drift** is a sign of **upper motor neuron weakness** affecting the **contralateral corticospinal tract**, particularly in the arm. - As **poliomyelitis** is a **lower motor neuron disease**, pronator drift would not be expected as a primary finding.
Cerebral cortex and lobes
Practice Questions
Basal ganglia
Practice Questions
Thalamus and hypothalamus
Practice Questions
Limbic system
Practice Questions
Cerebellum
Practice Questions
Spinal cord organization
Practice Questions
CSF production and circulation
Practice Questions
Meninges and blood-brain barrier
Practice Questions
Sensory pathways
Practice Questions
Motor pathways
Practice Questions
Functional neuroanatomy of vision
Practice Questions
Functional neuroanatomy of hearing and balance
Practice Questions
Get full access to all questions, explanations, and performance tracking.
Start For Free