The Image shows the growth curve of different organs with age. Identify A in the graph.

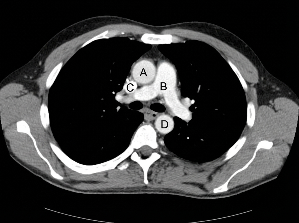
Identify the labeled structures correctly in the axial CT image of the thorax

Linear growth of bone is disturbed when a fracture occurs in which part?
The Image shows the growth curve of different organs with age. Identify A in the graph

A 14-year-old boy is brought to the physician for the evaluation of back pain for the past six months. The pain is worse with exercise and when reclining. He attends high school and is on the swim team. He also states that he lifts weights on a regular basis. He has not had any trauma to the back or any previous problems with his joints. He has no history of serious illness. His father has a disc herniation. Palpation of the spinous processes at the lumbosacral area shows that two adjacent vertebrae are displaced and are at different levels. Muscle strength is normal. Sensation to pinprick and light touch is intact throughout. When the patient is asked to walk, a waddling gait is noted. Passive raising of either the right or left leg causes pain radiating down the ipsilateral leg. Which of the following is the most likely diagnosis?
A 53-year-old man with a history of alcoholic liver cirrhosis was admitted to the hospital with ascites and general wasting. He has a history of 3-5 ounces of alcohol consumption per day for 20 years and 20-pack-year smoking history. Past medical history is significant for alcoholic cirrhosis of the liver, diagnosed 5 years ago. On physical examination, the abdomen is firm and distended. There is mild tenderness to palpation in the right upper quadrant with no rebound or guarding. Shifting dullness and a positive fluid wave is present. Prominent radiating umbilical varices are noted. Laboratory values are significant for the following: Total bilirubin 4.0 mg/dL Aspartate aminotransferase (AST) 40 U/L Alanine aminotransferase (ALT) 18 U/L Gamma-glutamyltransferase 735 U/L Platelet count 11,000/mm3 WBC 4,300/mm3 Serology for viral hepatitis B and C are negative. A Doppler ultrasound of the abdomen shows significant enlargement of the epigastric superficial veins and hepatofugal flow within the portal vein. There is a large volume of ascites present. Paracentesis is performed in which 10 liters of straw-colored fluid is removed. Which of the following sites of the portocaval anastomosis is most likely to rupture and bleed first in this patient?
A 72-year-old male presents to a cardiac surgeon for evaluation of severe aortic stenosis. He has experienced worsening dyspnea with exertion over the past year. The patient also has a history of poorly controlled hypertension, diabetes mellitus, and hyperlipidemia. An echocardiogram revealed a thickened calcified aortic valve. The surgeon is worried that the patient will be a poor candidate for open heart surgery and decides to perform a less invasive transcatheter aortic valve replacement. In order to perform this procedure, the surgeon must first identify the femoral pulse just inferior to the inguinal ligament and insert a catheter into the vessel in order to gain access to the arterial system. Which of the following structures is immediately lateral to this structure?
A 65-year-old man presents to the emergency department with abdominal pain and a pulsatile abdominal mass. Further examination of the mass shows that it is an abdominal aortic aneurysm. A computed tomography scan with contrast reveals an incidental finding of a horseshoe kidney, and the surgeon is informed of this finding prior to operating on the aneurysm. Which of the following may complicate the surgical approach in this patient?
A 22-year-old Caucasian male is stabbed in his left flank, injuring his left kidney. As the surgeon undertakes operative repair, she reviews relevant renal anatomy. All of the following are correct regarding the left kidney EXCEPT?
A 21-year-old man was involved in a motor vehicle accident and died. At autopsy, the patient demonstrated abnormally increased mobility at the neck. A section of cervical spinal cord at C6 was removed and processed into slides. Which of the following gross anatomic features is most likely true of this spinal cord level?
Explanation: ***Lymphoid Growth*** - Curve 'A' shows a rapid increase in size during **childhood**, peaking around **10-12 years of age**, and then declining to adult levels. - This pattern is characteristic of **lymphoid tissues** (e.g., thymus, lymph nodes, tonsils), which are larger relative to body size in childhood and undergo involution post-puberty. *Brain Growth* - **Neural growth** (like the brain) typically shows very rapid growth in early childhood, reaching close to adult size by about 6-7 years of age, and then leveling off. - Curve 'A' continues to grow rapidly much longer than expected for brain development and then shows a distinct decline. *Somatic Growth* - **General somatic growth** (e.g., body as a whole) shows a sigmoid curve, with rapid growth in infancy and adolescence, and a plateau in adulthood. - Curve 'A' peaks significantly above the 100% mark and then declines, which is not characteristic of overall somatic growth. *Gonadal Growth* - **Genital (gonadal) growth** remains relatively flat until puberty, after which it experiences a rapid increase. - Curve 'A' shows significant growth in early childhood and a peak before puberty, which is inconsistent with typical gonadal development. *Reproductive Growth* - **Reproductive growth** follows the same pattern as gonadal growth, remaining minimal until puberty with subsequent rapid increase. - Curve 'A' demonstrates early childhood growth and pre-pubertal peak, which does not match the reproductive growth pattern.
Explanation: ***A - Ascending aorta, B - Pulmonary trunk, C - Superior vena cava, D - Descending aorta*** - **A** points to the **ascending aorta**, which is the large artery arising from the left ventricle and supplying oxygenated blood to the systemic circulation. On this axial view, it is typically located anterior and to the right of the pulmonary artery. - **B** points to the **pulmonary trunk**, which emerges from the right ventricle and bifurcates into the pulmonary arteries to carry deoxygenated blood to the lungs. It is positioned anterior and to the left of the ascending aorta at this level. - **C** points to the **superior vena cava**, a large vein that collects deoxygenated blood from the upper half of the body and drains into the right atrium. It is typically located to the right and slightly posterior to the ascending aorta at this level. - **D** points to the **descending aorta**, which continues from the aortic arch downwards through the chest and abdomen to supply blood to the lower body. It is visible posteriorly and to the left of the vertebral body on this axial CT image. *A - Pulmonary trunk, B - Ascending aorta, C - Superior vena cava, D - Descending aorta* - This option incorrectly identifies A as the pulmonary trunk and B as the ascending aorta; the **ascending aorta** is typically positioned more anteriorly and to the right compared to the **pulmonary trunk** at this level. - The relative positions of the pulmonary trunk and ascending aorta are swapped, leading to an incorrect labeling. *A - Superior vena cava, B - Pulmonary trunk, C - Ascending aorta, D - Descending aorta* - This option incorrectly identifies A as the superior vena cava and C as the ascending aorta. The **superior vena cava** is typically located to the right of the ascending aorta, not anterior-central. - The **ascending aorta** is usually the most anterior and central great vessel in the mediastinum at this level, which does not correspond to C. *A - Ascending aorta, B - Superior vena cava, C - Pulmonary trunk, D - Descending aorta* - This option incorrectly identifies B as the superior vena cava and C as the pulmonary trunk. **Superior vena cava** is a venous structure and is not typically located in the position of B, which is an arterial structure (pulmonary trunk). - The **pulmonary trunk** is usually more anterior and central than the position of C, which correctly identifies the superior vena cava in other options.
Explanation: ***Epiphyseal plate*** - The **epiphyseal plate**, also known as the **growth plate**, is a cartilaginous disc responsible for the **longitudinal growth** of long bones. - A fracture in this region can damage the **chondrocytes** and disrupt the normal process of endochondral ossification, leading to **growth arrest** or limb length discrepancy. *Epiphysis* - The **epiphysis** is the end part of a long bone, often covered by **articular cartilage**, forming a joint. - While an epiphyseal fracture can affect joint function, it typically does not directly disturb the **linear growth** of the bone unless it extends into the growth plate. *Diaphysis* - The **diaphysis** is the main or midsection of a long bone, composed primarily of **compact bone**. - Fractures in the diaphysis generally heal through **callus formation** and remodeling, usually without significantly impacting the overall **linear growth** of the bone. *Metaphysis* - The **metaphysis** is the wider portion of a long bone, adjacent to the growth plate and diaphysis. - Though highly vascular, fractures to the metaphysis usually heal well and do not directly control **linear bone growth** like the epiphyseal plate. *Periosteum* - The **periosteum** is the fibrous membrane covering the outer surface of bones, important for **appositional growth** (bone widening) and fracture healing. - While it contains osteogenic cells that contribute to bone repair and thickness, it does not control **longitudinal bone growth**, which is the function of the epiphyseal plate.
Explanation: ***Brain Growth*** - This graph shows a rapid increase in size during early childhood, reaching near-adult proportions by age 5-6, which is characteristic of **brain development**. - The brain undergoes significant myelinization and neuronal growth in the first few years of life, reflected in this steep curve. *Somatic Growth* - **Somatic growth** (body as a whole) generally follows a more gradual S-shaped curve, with two major growth spurts: one in infancy and another during puberty. - It does not plateau as early as curve A, but continues to increase significantly through adolescence. *Lymphoid Growth* - **Lymphoid tissues** (e.g., thymus, lymph nodes) show a unique growth pattern, peaking in size around 10-12 years of age and then involuting or decreasing in size during adolescence. - This pattern is distinctly different from curve A, which continuously increases and plateaus. *Gonadal Growth* - **Gonadal growth** (reproductive organs) typically shows minimal growth during childhood, with a pronounced and rapid increase in size starting at puberty (around 10-14 years of age). - This growth pattern is a later and more delayed surge compared to what is depicted in curve A. *Reproductive Growth* - **Reproductive growth** follows essentially the same pattern as gonadal growth, with minimal development during childhood and rapid acceleration during puberty. - Like gonadal tissues, reproductive organs show their major growth spurt much later than the early plateau seen in curve A.
Explanation: ***Spondylolisthesis*** - The patient presents with **back pain worse with exercise and reclining**, along with **palpable displacement of adjacent vertebrae** at different levels, which are classic signs of spondylolisthesis. The **waddling gait** and pain radiating down the leg upon passive leg raising (suggesting nerve root irritation) further support this diagnosis. - Spondylolisthesis, particularly **isthmic type**, is common in adolescent athletes involved in sports like swimming and weightlifting due to repetitive hyperextension leading to stress fractures in the pars interarticularis. *Overuse injury* - While overuse injuries are common in athletes, they typically present with generalized pain or tenderness in the affected area without distinct **vertebral displacement** or neurological signs like radiating pain and a waddling gait. - The specific signs of palpable vertebral displacement and nerve root irritation point to a more severe structural issue than a simple overuse soft tissue injury. *Ankylosing spondylitis* - **Ankylosing spondylitis** usually presents with **inflammatory back pain** that improves with exercise, not worsens, and often affects young adults, not typically a 14-year-old with these specific physical findings. - It would not explain the **palpable vertebral displacement** or the sudden onset of neurological symptoms like radiating leg pain and waddling gait. *Disc herniation* - While disc herniation can cause **radiating leg pain** and back pain, it typically doesn't present with **palpable vertebral displacement** or a waddling gait in an adolescent without a history of significant trauma. - The physical exam finding of displaced vertebrae is more indicative of a structural instability like spondylolisthesis rather than an isolated disc problem, even though a father has a history. *Facet joint syndrome* - Facet joint syndrome usually results in localized back pain that **worsens with extension and rotation** but typically does not cause **palpable vertebral displacement** or neurological deficits like radiating pain and a waddling gait. - It is also more common in older adults due to degenerative changes, rather than a 14-year-old athlete.
Explanation: ***Esophageal branch of left gastric vein – esophageal branches of azygos vein*** - The gastroesophageal junction is the most frequent site of **life-threatening variceal bleeding** in patients with portal hypertension due to liver cirrhosis. The elevated portal pressure forces blood from the **left gastric (coronary) vein** into the thinner-walled esophageal veins which drain into the azygos system. - The patient's history of **alcoholic liver cirrhosis** makes portal hypertension and subsequent esophageal varices highly likely. While other portocaval anastomoses exist, esophageal varices are clinically the most significant due to their propensity for rupture and severe hemorrhage. *Superior and middle rectal vein – inferior rectal veins* - This anastomosis concerns the rectums, involving the **superior rectal vein (portal system)** and the **middle/inferior rectal veins (systemic system)**. - While portal hypertension can lead to **anorectal varices**, also known as hemorrhoids, these are less prone to life-threatening hemorrhage compared to esophageal varices and typically present with bleeding on defecation or discomfort. *Umbilical vein – superficial epigastric veins* - This anastomosis is responsible for the formation of a **caput medusae**, which is a sign of portal hypertension where prominent periumbilical veins radiate from the navel. The patient presents with prominent "radiating umbilical varices," which is consistent with this finding. - While visually striking and indicative of portal hypertension, these superficial varices are generally **not associated with significant or life-threatening hemorrhage** compared to esophageal varices. *Paraumbilical veins – inferior epigastric veins* - The paraumbilical veins run within the falciform ligament and connect the portal system to the systemic circulation via the **epigastric veins**. - This anastomosis contributes to the formation of caput medusae but is **not a common site for clinically significant bleeding** requiring intervention compared to esophageal varices. *Short gastric veins – intercostal veins* - The short gastric veins drain into the splenic vein (part of the portal system) and connect to systemic veins such as the intercostal veins via retroperitoneal anastomoses. - While this is a potential site of portosystemic shunting, the short gastric veins are more commonly implicated in **gastric varices**, particularly in the fundus. However, gastric varices are less frequent and **rupture less commonly than esophageal varices**, although hemorrhage from them can be more severe when it does occur.
Explanation: ***Femoral nerve*** - The **femoral nerve** lies lateral to the **femoral artery** within the **femoral triangle**. - The order of structures from **lateral to medial** under the inguinal ligament is remembered by the mnemonic **NAVEL**: **N**erve, **A**rtery, **V**ein, **E**mpty space, **L**ymphatics. *Lymphatic vessels* - **Lymphatic vessels** and nodes are located most medially within the femoral triangle, medial to the femoral vein. - This position is not immediately lateral to the femoral artery. *Femoral vein* - The **femoral vein** is located immediately medial to the **femoral artery**. - It would not be found immediately lateral to the femoral artery. *Sartorius muscle* - The **sartorius muscle** forms the lateral boundary of the **femoral triangle** but is not immediately adjacent and lateral to the femoral artery within the triangle itself. - The femoral nerve is enclosed within the iliopsoas fascial compartment, which runs deep to the sartorius. *Pectineus muscle* - The **pectineus muscle** forms part of the floor of the **femoral triangle**, but it is deep to the neurovascular structures. - It is not immediately lateral to the femoral artery.
Explanation: ***Anomalous origins of multiple renal arteries*** - A horseshoe kidney often receives its blood supply from **multiple renal arteries** arising anomalously from the aorta, iliac arteries, or inferior mesenteric artery. - These aberrant vessels can cross the surgical field and complicate **abdominal aortic aneurysm repair**, increasing the risk of injury and hemorrhage. *Low glomerular filtration rate due to unilateral renal agenesis* - This patient has a **horseshoe kidney**, which involves fused kidneys, not renal agenesis (absence of a kidney). - While chronic kidney disease can be associated with horseshoe kidneys, **unilateral agenesis** is a distinct condition and not described in this scenario. *Proximity of the fused kidney to the celiac artery* - The fused portion of a horseshoe kidney (the **isthmus**) typically lies anterior to the great vessels at the L3-L5 vertebral level, below the origin of the celiac artery. - Therefore, its proximity to the **celiac artery** is generally not the primary surgical concern during abdominal aortic aneurysm repair. *Abnormal relationship between the kidney and the superior mesenteric artery* - The superior mesenteric artery typically originates from the aorta above the level of the horseshoe kidney's isthmus. - While other anomalies can exist, an **abnormal relationship** between the kidney and the superior mesenteric artery is not a classic or primary complication of horseshoe kidney during AAA repair. *There are no additional complications* - The presence of a horseshoe kidney significantly increases the complexity of **abdominal aortic aneurysm** surgery. - The potential for **vascular anomalies** and altered anatomical relationships makes this statement incorrect, as there are definite additional surgical considerations.
Explanation: ***The left kidney has a longer renal artery than the right kidney*** - The **aorta** lies to the left of the midline, so the **right renal artery** must traverse a greater distance to reach the right kidney. - Therefore, the right renal artery is longer than the left renal artery. *The left kidney has a longer renal vein than the right kidney* - The **inferior vena cava (IVC)** is positioned to the right of the midline, requiring the **left renal vein** to cross the aorta to drain. - This anatomical arrangement makes the left renal vein longer than the right renal vein. *The left kidney underlies the left 12th rib* - The kidneys are retroperitoneal organs, and the 12th rib provides significant posterior protection for **both kidneys**. - The superior pole of the left kidney typically extends to the level of the **11th and 12th ribs**. *The left kidney moves vertically during deep breathing* - The kidneys are surrounded by **perirenal fat** and are influenced by the diaphragm's movement. - During **deep inspiration**, the diaphragm descends, causing both kidneys to move vertically by 2-3 cm. *The left kidney lies between T12 and L3* - The kidneys are situated in the retroperitoneum, generally extending from the level of the **T12 vertebra** to the **L3 vertebra**. - The left kidney is typically positioned slightly higher than the right kidney.
Explanation: **Cuneate and gracilis fasciculi are present** - At the **C6 level** of the spinal cord, both the **fasciculus gracilis** (carrying information from the lower body) and the **fasciculus cuneatus** (carrying information from the upper body) are present in the dorsal column. - The fasciculus cuneatus typically appears at **T6 and above**, making it visible at C6. *Least amount of white matter* - The cervical spinal cord, particularly at C6, contains a **significant amount of white matter** because it carries all ascending and descending tracts to and from the brain, including those for the upper and lower limbs. - The **sacral segments** typically have the least amount of white matter due to fewer tracts remaining. *Prominent lateral horns* - **Lateral horns** are characteristic of the **thoracic and upper lumbar (T1-L2/L3)** spinal cord segments, where they house preganglionic sympathetic neurons. - They are generally **absent or poorly developed** in the cervical spinal cord. *Absence of gray matter enlargement* - The **cervical enlargement** of the spinal cord, particularly pronounced from C4 to T1, contains an increased amount of gray matter to accommodate the innervation of the **upper limbs**. - Therefore, the C6 level would show **significant gray matter enlargement**. *Involvement with parasympathetic nervous system* - The **parasympathetic nervous system** exits the spinal cord at the **sacral levels (S2-S4)** and as cranial nerves, not primarily from the cervical spinal cord through distinct horns. - The cervical spinal cord is primarily associated with **somatic motor and sensory pathways** for the neck, shoulders, and upper limbs, and receives some sympathetic input, but is not where parasympathetic outflow predominantly originates.
Explanation: ***Intervertebral foramen*** - The patient's symptoms, including **radiating lower back and left leg pain** with a diminished **posterior tibial reflex**, are classic for **radiculopathy** due to **spinal nerve root compression**. - Steroid injection into the intervertebral foramen, where the **nerve root exits the spinal canal**, is directly targeting the site of inflammation and compression, thus being most likely to relieve symptoms. *Subarachnoid space* - An injection into the **subarachnoid space** (intrathecal injection) is typically used for **spinal anesthesia** or to administer medications for widespread CNS conditions, not focal nerve root compression. - While it contains CSF and nerve roots, it is not the most precise or appropriate location for an injection aimed at isolated radicular pain. *Inferior facet joint* - The **facet joints** are involved in **axial back pain**, usually worse with extension, and do not typically cause radicular symptoms radiating down the leg to the big toe with a specific dermatomal and myotomal distribution like L5 or S1. - An injection here would target facet joint arthritis, which presents differently from the described radiculopathy. *Intervertebral disc* - An injection into the **intervertebral disc** (discography or disc annuloplasty) is generally a diagnostic procedure to identify pain originating from the disc or a treatment for discogenic pain, which is usually axial and not radicular. - Injecting steroids directly into the disc is not a standard treatment for nerve root compression. *Subdural space* - The **subdural space** is a potential space between the dura mater and arachnoid mater; injections into this space are rarely performed therapeutically and carry significant risks without clear benefit for radiculopathy. - An inadvertent subdural injection during an epidural procedure can lead to complications such as a **subdural hematoma** or paralysis.
Explanation: ***Abnormal dystrophin*** * The patient's presentation with **fatigue**, exercise intolerance, muscular weakness ("legs just give up"), **lumbar lordosis**, **calf pseudohypertrophy** (thighs thin compared to lower legs), and **toe walking** are classic signs of **Becker muscular dystrophy (BMD)**. * BMD is caused by mutations in the *DMD* gene leading to **abnormally sized or reduced, but still functional, dystrophin protein**. This allows for a milder, later-onset phenotype compared to Duchenne muscular dystrophy. *Absent dystrophin* * **Absent dystrophin** is characteristic of **Duchenne muscular dystrophy (DMD)**, which typically presents earlier in childhood with more severe and rapid progression of muscle weakness. * While both BMD and DMD are X-linked dystrophinopathies, the patient's age (17 years) and milder symptoms are more consistent with the later onset and slower progression seen in BMD. *Trinucleotide repeats* * **Trinucleotide repeat disorders** like **myotonic dystrophy** or **Friedreich's ataxia** can cause muscle weakness and cardiac issues but have different clinical presentations. * Myotonic dystrophy often involves **myotonia** (delayed muscle relaxation), frontal balding, and cataracts, which are not described here. *Sarcomere protein dysfunction* * **Sarcomere protein dysfunction** is primarily associated with various forms of **cardiomyopathy** (e.g., hypertrophic cardiomyopathy), which would explain the cardiac findings, but it does not typically cause the specific pattern of limb girdle weakness, calf pseudohypertrophy, and toe walking seen in this patient. * Conditions like hereditary myopathies can involve sarcomeric proteins, but the overall clinical picture strongly points to a dystrophinopathy. *Peripheral nerve demyelination* * **Peripheral nerve demyelination** is characteristic of conditions like **Charcot-Marie-Tooth disease** (CMT), which affects peripheral nerves and causes distal muscle weakness and atrophy, foot deformities (e.g., pes cavus), and sensory loss. * While CMT can cause toe walking, it typically involves significant distal muscle wasting rather than calf pseudohypertrophy, and the cardiac involvement (1st-degree AV block) is less commonly a prominent feature compared to muscular dystrophies.
Explanation: ***Downward lens subluxation*** - This patient's presentation is classic for **homocystinuria**, a metabolic disorder caused by **cystathionine β-synthase deficiency**. - Key diagnostic features include: **marfanoid habitus** (tall stature, arachnodactyly, arm span > height), **thromboembolic events** (recurrent DVTs and MI at young age), **intellectual disability** (learning disability, held back 3 grades), and **downward and inward lens subluxation (ectopia lentis)**. - The **recurrent thromboembolism** (2 DVTs in past year + MI at age 17) is the most distinctive feature that differentiates homocystinuria from Marfan syndrome. Elevated homocysteine causes endothelial damage and platelet activation, leading to arterial and venous thrombosis. - **Downward lens subluxation** is pathognomonic for homocystinuria (vs upward/temporal in Marfan syndrome). *Macroorchidism* - **Macroorchidism** (enlarged testes) is characteristic of **fragile X syndrome**, the most common inherited cause of intellectual disability. - While this patient has learning disability, the **marfanoid habitus** and **thromboembolic events** are not features of fragile X syndrome. *Ascending aortic aneurysm* - **Ascending aortic aneurysm** is the classic cardiovascular complication of **Marfan syndrome**, a fibrillin-1 defect. - While this patient has marfanoid features, **Marfan syndrome does NOT cause thromboembolism or intellectual disability**, which are the key distinguishing features in this case. - Homocystinuria can mimic Marfan syndrome but is differentiated by thrombosis, mental retardation, and downward (not upward) lens dislocation. *Saccular cerebral aneurysms* - **Saccular (berry) aneurysms** are associated with **autosomal dominant polycystic kidney disease** and **Ehlers-Danlos syndrome type IV**. - Neither condition fits this patient's presentation with marfanoid habitus, thromboembolism, and intellectual disability. *Bilateral gynecomastia* - **Bilateral gynecomastia** is seen in **Klinefelter syndrome** (47,XXY), which presents with tall stature, learning difficulties, and **hypogonadism with small, firm testes**. - The marfanoid features (arachnodactyly, increased arm span) and thromboembolic events are not consistent with Klinefelter syndrome.
Explanation: ***Right gastroepiploic artery*** - The **right gastroepiploic artery** (also known as the **right gastroomental artery**) is a branch of the **gastroduodenal artery** that runs along the **greater curvature of the stomach** from right to left. - This artery is the primary blood supply to the **right portion of the greater curvature**, which corresponds to the region where an incision into the right half of the greater curvature would be made during a sleeve gastrectomy. - It anastomoses with the left gastroepiploic artery along the greater curvature. *Short gastric arteries* - The **short gastric arteries** supply the **fundus** and a small portion of the superior body of the stomach, specifically to the left of the midline. - They originate from the **splenic artery** and supply the left superior portion of the greater curvature, not the right half described in the question. *Right gastric artery* - The **right gastric artery** primarily supplies the **pyloric part of the stomach** and a portion of the **lesser curvature**. - It arises from the **hepatic artery proper** and is not the main supply to the greater curvature. *Right gastroduodenal artery* - The **gastroduodenal artery** supplies the **duodenum** and the **head of the pancreas**. - This artery is located inferior to the stomach and gives rise to the right gastroepiploic artery but does not directly supply the greater curvature itself. *Splenic artery* - The **splenic artery** is a large artery that primarily supplies the **spleen** and gives off branches like the **short gastric arteries** and the **left gastroepiploic artery**. - While it contributes indirectly via its branches to the left portion of the greater curvature, it does not directly supply the right half of the greater curvature.
Explanation: ***Teniae coli*** - The **teniae coli** are three distinct longitudinal bands of smooth muscle that run along the length of the cecum and colon, converging at the base of the **appendix**. - Following these bands inferiorly from the ascending colon or cecum during surgery is a reliable method to locate the **vermiform appendix**, especially in the presence of adhesions. *Epiploic appendages* - These are small, fat-filled sacs that protrude from the surface of the **large intestine** but are not directly used as a reliable landmark for locating the appendix. - While present in the vicinity, they do not consistently lead to the base of the appendix like the teniae coli. *Right ureter* - The **right ureter** is located retroperitoneally, deep to the cecum and appendix, and is not a direct anatomical landmark used for identifying the appendix during an appendectomy. - Identifying the ureter is important to avoid injury, but not for localizing the appendix. *Deep inguinal ring* - The **deep inguinal ring** is an opening in the transversalis fascia, involved in the formation of the inguinal canal, and is located far anterior and inferior to the region of the appendix. - It has no anatomical relationship that would guide a surgeon to locate the appendix. *Ileocolic artery* - The **ileocolic artery** branches from the superior mesenteric artery and supplies the terminal ileum, cecum, and appendix. While it provides blood supply to the appendix, it is not a direct or consistent surface landmark for locating the appendix itself, especially in complex cases with adhesions. - Locating the artery would be more complex and less reliable for initial identification compared to the teniae coli.
Explanation: ***Ligament of Treitz*** - The **ligament of Treitz** is a key anatomical landmark that divides the gastrointestinal tract into the upper and lower GI systems. - Bleeding proximal to this ligament is considered **upper GI bleeding**, while bleeding distal to it is **lower GI bleeding**. This distinction helps narrow down potential causes and guide diagnostic procedures. *Ampulla of Vater* - The **Ampulla of Vater** is the junction of the common bile duct and pancreatic duct, emptying into the second part of the duodenum. - While it can be a source of bleeding (e.g., from an eroded tumor or bleeding peptic ulcer), it is within the upper GI tract and does not serve as a primary dividing line for anatomical classification of GI bleeding as a whole. *Hepatoduodenal ligament* - The **hepatoduodenal ligament** contains the portal triad (hepatic artery, portal vein, and common bile duct). - It does not serve as an anatomical landmark for classifying GI bleeding into upper and lower components. *Portal vein* - The **portal vein** carries blood from the GI tract and spleen to the liver. - It is involved in conditions that can cause GI bleeding (e.g., portal hypertension leading to varices), but it is a blood vessel and not a structural landmark for classifying bleeding into upper vs. lower GI. *Sphincter of Oddi* - The **Sphincter of Oddi** controls the flow of bile and pancreatic secretions into the duodenum at the Ampulla of Vater. - Like the Ampulla of Vater, it is an upper GI structure and does not provide an anatomical classification for differentiating between upper and lower GI bleeding.
Explanation: ***Herniation of nucleus pulposus into vertebral canal*** - The sudden onset of **bilateral lower back pain** radiating down both legs, associated with **lifting a heavy object**, and presenting with **decreased sensation** in dermatomal patterns (lateral thigh/calf) and **diminished patellar reflexes**, is highly consistent with **acute disc herniation**. - **Positive straight leg raise test** (pain beyond 30 degrees) further implicates **nerve root compression** due to a herniated disc, specifically affecting the L3/L4 or L4/L5 levels given the reflex and sensory findings. *Inflammatory reaction in the epidural space* - While an inflammatory reaction can cause pain, it typically wouldn't present with such specific **neurological deficits** (sensory loss, reflex changes) and **mechanical provocation** (lifting, straight leg raise). - This option does not explain the **radicular symptoms** so precisely or the classic presentation after acute strain. *Involuntary contraction of the paraspinal muscles* - **Muscle spasms** can cause severe back pain but usually do not lead to **bilateral radicular pain**, specific **sensory deficits**, or **reflex changes**. - The symptoms described point to **nerve root impingement**, not just muscular pain. *Compromised integrity of the vertebral body* - Conditions like **vertebral fractures** or **tumors** affecting vertebral body integrity might cause severe localized pain, but wouldn't typically manifest as **bilateral radiculopathy** with specific **neurological deficits** and a clear mechanical trigger in this manner. - While possible, it's not the most likely cause given the classic disc herniation presentation. *Inflammatory degeneration of the spine* - **Inflammatory degeneration** (e.g., degenerative disc disease, spondylosis) tends to have a more **chronic, progressive course** rather than the acute onset described after a specific event. - While degeneration can predispose to herniation, it is not the immediate cause of the acute clinical picture of nerve impingement.
Anatomical terminology and positions
Practice Questions
Fascial planes and compartments
Practice Questions
Musculoskeletal system overview
Practice Questions
Cardiovascular system overview
Practice Questions
Respiratory system overview
Practice Questions
Digestive system overview
Practice Questions
Urinary system overview
Practice Questions
Reproductive system overview
Practice Questions
Integumentary system
Practice Questions
Anatomical variations and clinical significance
Practice Questions
Get full access to all questions, explanations, and performance tracking.
Start For Free