Buerger's disease is associated with:
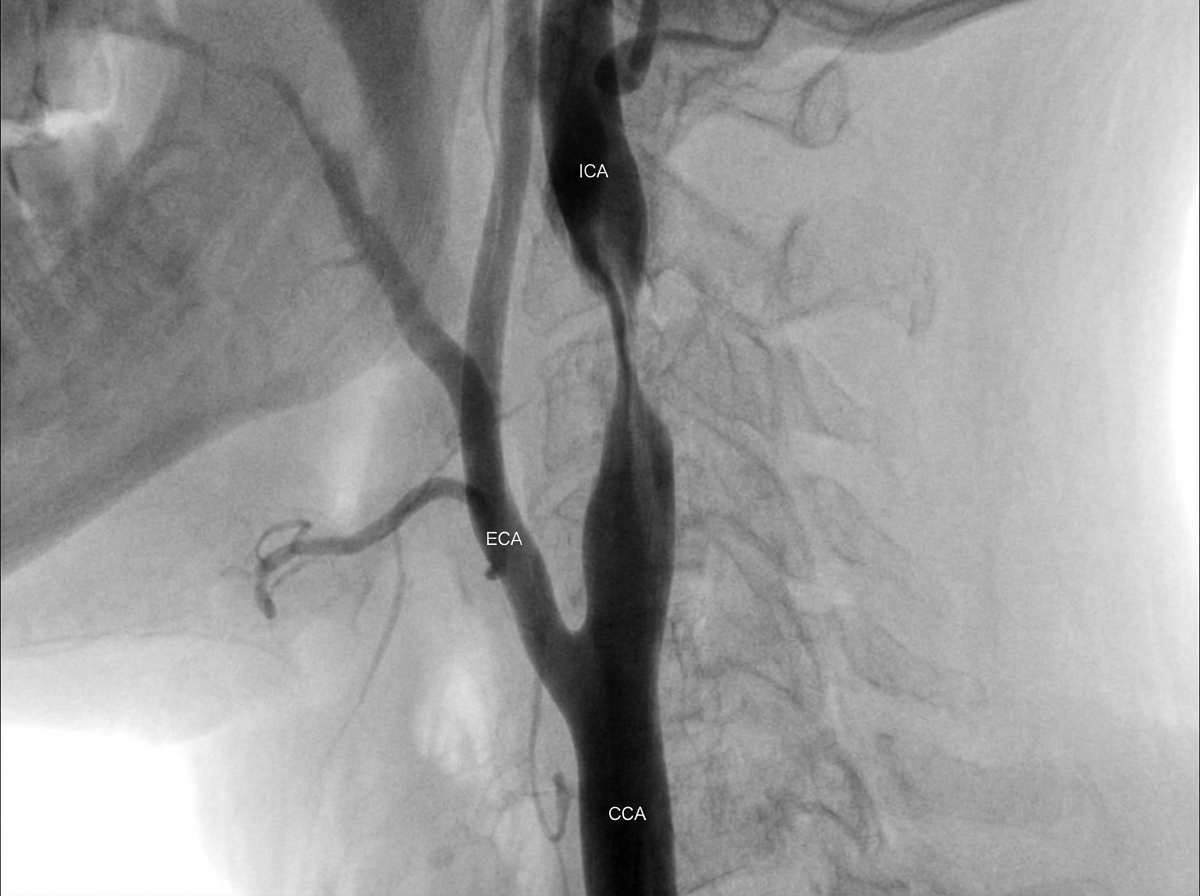
An arteriogram of a 75-year-old man with an asymptomatic carotid bruit, mild hypertension, and mild COPD is shown. What is the current recommended management for this patient?

A 40-year-old male, a chronic smoker, presents with claudication and a medial leg ulcer. For the past one month, he is experiencing rest pain. Which of the following procedures would not relieve his rest pain?
Intermittent claudication at the hip level indicates which of the following?
A Potts shunt is:
Congenital arteriovenous fistulas in the thigh will be associated with all of the following except?
What is the purpose of the device shown below?

What are the causes of unilateral lymphedema of the leg that should be investigated?
Regarding varicose veins, which one of the following statements is true?
Which of the following statements about carotid stenosis is true?
Explanation: **Explanation:** Buerger’s disease, also known as **Thromboangiitis Obliterans (TAO)**, is a non-atherosclerotic, segmental, inflammatory disease that most commonly affects the small and medium-sized arteries and veins of the extremities. **Why the Correct Answer is Right:** While the primary and most significant risk factor for Buerger’s disease is tobacco use, recent clinical observations and studies have noted a strong association with **alcohol consumption** in certain patient populations. In the context of this specific question, alcohol is identified as a significant associated factor that can exacerbate the vasospastic components of the disease or coexist with the heavy smoking habits typically seen in these patients. **Analysis of Incorrect Options:** * **A. Smoking:** This is actually the **most important** causative factor. If this were a "single best" question, smoking would be the primary choice. However, in the context of this specific MCQ format, the question focuses on the associated lifestyle factors. * **B. Poor nutrition:** There is no direct clinical evidence linking malnutrition to the pathogenesis of TAO. * **D. Prolonged standing:** This is a risk factor for **Varicose Veins** and Chronic Venous Insufficiency (CVI), not for arterial inflammatory conditions like Buerger’s. **Clinical Pearls for NEET-PG:** * **Classic Triad:** Claudication (often involving the arch of the foot), Raynaud’s phenomenon, and migratory superficial thrombophlebitis. * **Angiographic Sign:** "Corkscrew collaterals" (Martorell’s sign) due to vascular recanalization. * **Demographics:** Typically affects young males (20–40 years) who are heavy smokers. * **Gold Standard Treatment:** Absolute smoking cessation. Unlike atherosclerosis, bypass surgery is often unsuccessful due to the distal nature of the disease.
Explanation: ***Carotid endarterectomy*** - **ACAS trial** evidence shows **CEA** reduces stroke risk by **53%** in asymptomatic patients with **≥60% stenosis** who have life expectancy >5 years. - **Mild COPD** and **mild hypertension** are not contraindications to CEA in a 75-year-old with good functional status. *Medical therapy with aspirin 325 mg/day and medical risk factor management* - While **antiplatelet therapy** is important, aspirin alone is **insufficient** for significant asymptomatic carotid stenosis (≥60-70%). - Medical management alone has **higher stroke risk** compared to CEA plus medical therapy in appropriate surgical candidates. *Medical therapy with warfarin* - **Warfarin** is not indicated for **carotid artery stenosis** and does not reduce stroke risk in this condition. - **Anticoagulation** carries **bleeding risks** without proven benefit for atherosclerotic carotid disease. *Angioplasty of the carotid lesion followed by carotid endarterectomy if the angioplasty is unsuccessful* - **Carotid angioplasty** is typically reserved for **high-risk surgical candidates** or hostile neck anatomy. - **CEA remains gold standard** for asymptomatic stenosis in good surgical candidates based on **superior long-term outcomes**.
Explanation: **Explanation:** The clinical presentation (young male, chronic smoker, claudication, rest pain, and medial leg ulcer) is highly suggestive of **Buerger’s Disease (Thromboangiitis Obliterans - TAO)**. **1. Why Femoropopliteal Bypass is the Correct Answer:** Buerger’s disease is characterized by **segmental, inflammatory involvement of small and medium-sized arteries** (distal to the knee or elbow). Because the disease typically involves the distal infrapopliteal vessels (tibial and peroneal arteries), there is usually no "run-off" vessel available to receive a graft. Therefore, a proximal bypass like a **Femoropopliteal bypass is not feasible or effective** because the distal target vessels are occluded. **2. Analysis of Other Options:** * **Lumbar Sympathectomy:** This is a classic palliative treatment for TAO. It reduces vasomotor tone, increases skin blood flow, and helps in relieving rest pain and promoting the healing of small ulcers. * **Omentopexy:** This involves mobilizing the omentum and bringing it down to the limb. The omentum produces angiogenic factors (VEGF) that promote collateral circulation, which can relieve rest pain in patients with no distal bypass options. * **Conservative Amputation:** In cases of gangrene or intractable rest pain where revascularization is impossible, a conservative (minor) amputation of a toe or part of the foot can remove the source of pain and infection. **Clinical Pearls for NEET-PG:** * **Buerger’s Disease Triad:** Claudication (often arch of foot), Raynaud’s phenomenon, and Migratory Superficial Thrombophlebitis. * **Gold Standard Diagnosis:** Angiography showing a **"Corkscrew" appearance** of collateral vessels. * **Most Important Management:** Absolute smoking cessation (the only way to stop disease progression). * **Medial Leg Ulcer:** While classically associated with venous stasis, in TAO, it represents ischemic ulceration due to distal small vessel occlusion.
Explanation: **Explanation:** The level of intermittent claudication (pain induced by exercise and relieved by rest) is a reliable clinical indicator of the anatomical site of arterial obstruction. The pain always occurs **distal** to the level of the occlusion. **1. Why Bilateral Iliac Artery Occlusion is Correct:** The internal iliac arteries supply the gluteal muscles (hip region). Therefore, an occlusion at or above the level of the **iliac arteries** (Aorto-iliac segment) results in claudication felt in the hips, buttocks, and thighs. When this occurs bilaterally, it is often associated with Leriche Syndrome (aortoiliac occlusive disease), characterized by the triad of hip/buttock claudication, erectile dysfunction, and absent femoral pulses. **2. Why the Other Options are Incorrect:** * **Popliteal artery occlusion:** This would typically cause claudication in the **lower calf** and foot. * **Common femoral artery occlusion:** This results in claudication of the **thigh** and calf muscles, but usually spares the hip/gluteal region as the internal iliac artery (which supplies the hip) remains patent. * **Superficial femoral artery (SFA) occlusion:** This is the most common site of occlusion in peripheral arterial disease (PAD). It characteristically causes **mid-calf claudication**. **Clinical Pearls for NEET-PG:** * **Rule of Thumb:** The site of obstruction is usually one joint proximal to the site of symptoms. * **Leriche Syndrome Triad:** 1. Buttock/Hip claudication, 2. Impotence, 3. Absent/diminished femoral pulses. * **Most common site of PAD:** Superficial Femoral Artery (within the Adductor/Hunter’s canal). * **Investigation of choice:** Duplex Ultrasound is the initial screen; CT Angiography is the gold standard for anatomical mapping before intervention.
Explanation: **Explanation:** Palliative systemic-to-pulmonary artery shunts are surgical procedures used to increase pulmonary blood flow in cyanotic congenital heart diseases with decreased pulmonary perfusion (e.g., Tetralogy of Fallot). **1. Why Option B is Correct:** The **Potts shunt** involves a side-to-side anastomosis between the **descending thoracic aorta** and the **left pulmonary artery**. It was historically used in infants where a Blalock-Taussig shunt was technically difficult. However, it has largely been abandoned because it is difficult to calibrate (often leading to pulmonary hypertension) and extremely challenging to close during definitive repair. **2. Analysis of Incorrect Options:** * **Option A & C:** A shunt between the subclavian artery and the pulmonary artery is a **Blalock-Taussig (BT) shunt**. The classic BT shunt uses the subclavian artery branch itself, while the **Modified BT shunt** (most common today) uses a GORE-TEX conduit between the subclavian and pulmonary arteries. * **Option D:** An anastomosis between the **ascending aorta** and the **right pulmonary artery** is known as a **Waterston-Cooley shunt**. Like the Potts shunt, it is prone to causing overflow and pulmonary vascular disease. **3. High-Yield Clinical Pearls for NEET-PG:** * **Classic BT Shunt:** Subclavian artery to PA (ipsilateral). * **Modified BT Shunt:** Subclavian artery to PA via prosthetic graft (preferred). * **Waterston Shunt:** Ascending Aorta to Right PA. * **Potts Shunt:** Descending Aorta to Left PA. * **Glenn Shunt:** Superior Vena Cava to Right PA (bidirectional Glenn is a precursor to the Fontan procedure). * **Fontan Procedure:** Final stage of single-ventricle repair; systemic venous return is directed entirely to the PAs.
Explanation: **Explanation:** Congenital arteriovenous (AV) fistulas are characterized by multiple, small, and diffuse communications between arteries and veins. Unlike acquired AV fistulas, which are usually single and large, congenital fistulas are often hemodynamically less dramatic but lead to significant structural changes. **Why "Increased skin temperature" is the correct (Except) option:** In congenital AV fistulas, the shunting of blood often occurs deep within the tissues or is associated with underlying vascular malformations that result in **decreased skin temperature** (coolness) of the affected limb compared to the contralateral side. This is due to the "steal phenomenon," where blood is diverted away from the skin capillaries into the low-resistance venous system. In contrast, *acquired* AV fistulas typically present with increased local warmth. **Analysis of Incorrect Options:** * **A. Increased cardiac output:** Even in congenital forms, the persistent shunting of blood from the high-pressure arterial system to the low-pressure venous system increases venous return to the heart, eventually leading to an increase in stroke volume and cardiac output. * **C. Gigantism of limb:** If the AV fistula is present before the fusion of the epiphyseal plates, the increased regional blood flow and venous stasis stimulate the growth plates, leading to limb lengthening and hypertrophy (Gigantism). * **D. Superficial venous engorgement:** The high-pressure arterial blood enters the venous system, causing proximal venous hypertension. This manifests as dilated, tortuous, and non-pulsatile superficial veins (often resembling varicose veins). **High-Yield Clinical Pearls for NEET-PG:** * **Nicoladoni-Branham Sign:** Bradycardia occurring upon manual compression of the fistula (more common in acquired types). * **Klippel-Trenaunay Syndrome:** A triad of port-wine stain, varicose veins, and bony/soft tissue hypertrophy (often associated with congenital AV malformations). * **Parkes-Weber Syndrome:** Similar to Klippel-Trenaunay but specifically includes significant AV fistulas.
Explanation: ***Pneumatic compression stockings for DVT prevention*** - These devices provide **sequential compression** to the legs, promoting **venous return** and reducing **venous stasis**, which is a major risk factor for DVT formation. - They work by **intermittent inflation and deflation** of air chambers, mimicking the muscle pump action to prevent blood pooling in deep veins. *Hypothermia treatment* - Hypothermia treatment involves **cooling blankets** or **ice packs** to lower body temperature, not compression devices. - These devices focus on **temperature regulation** rather than **circulatory enhancement** for thrombosis prevention. *Cellulitis management* - Cellulitis treatment primarily involves **antibiotics** and **elevation** of the affected limb, not mechanical compression. - While compression may be used for **edema control**, it's not the primary purpose of pneumatic compression devices shown. *Varicose veins treatment* - Varicose vein treatment typically involves **sclerotherapy**, **laser ablation**, or **surgical stripping** of affected superficial veins. - While **static compression stockings** may help with varicose veins, **pneumatic compression** is specifically designed for **DVT prevention** in immobilized patients.
Explanation: **Explanation:** Unilateral lymphedema of the leg is a clinical sign that necessitates a systematic approach to differentiate between primary and secondary causes. The correct answer highlights the essential diagnostic steps: 1. **Family History:** Essential to rule out **Primary Lymphedema**. This includes *Milroy’s disease* (congenital) and *Meige’s disease* (praecox), which often have a genetic component. 2. **Chronic Infection in the Foot:** Recurrent fungal infections (tinea pedis) or bacterial cellulitis can damage lymphatic channels, leading to secondary lymphedema or exacerbating primary cases. 3. **Casoni Test:** While historically used for Hydatid disease, in the context of classical surgical teaching (Bailey & Love), it is mentioned alongside investigations for pelvic pathologies or rare parasitic causes that might obstruct lymphatic flow. **Analysis of Options:** * **Option A & D:** While **Filariasis** (*Wuchereria bancrofti*) is the most common cause of secondary lymphedema worldwide, it typically presents with **bilateral** involvement and significant scrotal edema. The question focuses on the specific triad often tested in classical surgical examinations. * **Option C:** Malignant disease of the testis usually spreads to **para-aortic nodes**, not the inguinal nodes. Therefore, it rarely causes unilateral leg lymphedema unless there is advanced iliac/pelvic involvement. In contrast, **cervical or prostate cancer** is more likely to cause such obstruction. **High-Yield Clinical Pearls for NEET-PG:** * **Stemmer’s Sign:** Inability to pinch the skin on the dorsal base of the second toe; a pathognomonic sign of lymphedema. * **Primary Lymphedema Classification:** *Lymphedema Congenita* (at birth), *Praecox* (puberty - most common), and *Tarda* (after age 35). * **Investigation of Choice:** **Lymphoscintigraphy** is the gold standard for evaluating the lymphatic system. * **Stewart-Treves Syndrome:** A rare, highly aggressive angiosarcoma arising in a limb with chronic lymphedema.
Explanation: ### Explanation **Correct Option: D** Sclerotherapy involves the injection of a chemical irritant into the vein to induce endothelial damage, fibrosis, and eventual occlusion. **5% Phenol in Almond Oil** (Oily Phenol) is a classic sclerosant used for varicose veins. Other commonly used agents include Sodium Tetradecyl Sulfate (STS) and Polidocanol. **Analysis of Incorrect Options:** * **Option A:** Recurrent varicose veins are common but do not account for over 20% of the total burden in general practice. While recurrence rates after surgery can be high (20–30% over many years), the statement implies a prevalence in the general population of varicose veins that is inaccurate. * **Option B:** The **Saphenous nerve** is at risk during stripping of the Long Saphenous Vein (LSV), especially below the knee. The **Sural nerve** is at risk during surgery or stripping of the **Short Saphenous Vein (SSV)**, as it runs closely with it behind the lateral malleolus. * **Option C:** The Short Saphenous Vein is indeed part of the superficial system, but the statement is poorly phrased. The LSV is the primary component of the superficial system. More importantly, the SSV is closely associated with the **deep fascia** (it pierces it to join the popliteal vein) and the sural nerve. **High-Yield Clinical Pearls for NEET-PG:** * **Trendelenburg Test:** Used to differentiate between saphenofemoral incompetence and perforator incompetence. * **Gold Standard Investigation:** Duplex Ultrasound is the investigation of choice for varicose veins. * **Saphenous Nerve Injury:** Results in numbness/paresthesia along the medial aspect of the leg and foot. * **CEAP Classification:** Used for staging chronic venous insufficiency (C0 to C6). * **Treatment of Choice:** Endovenous Thermal Ablation (Laser/Radiofrequency) is now preferred over traditional stripping.
Explanation: **Explanation:** **1. Why Option D is Correct:** Aspirin is a cornerstone in the medical management of carotid artery disease. It acts as an antiplatelet agent by irreversibly inhibiting cyclooxygenase-1 (COX-1), thereby preventing the formation of Thromboxane A2. Since most TIAs and strokes in carotid stenosis result from **micro-emboli** (platelet-fibrin aggregates) forming on the atherosclerotic plaque, aspirin significantly reduces the frequency of TIAs and the overall risk of ischemic stroke. **2. Why Other Options are Incorrect:** * **Option A:** This is a classic "lateralization" trap. Carotid stenosis causes **contralateral hemiplegia** (weakness on the opposite side of the lesion) because the motor fibers decussate in the medulla. While the embolism does often involve the Middle Cerebral Artery (MCA), the clinical deficit is seen on the opposite side. * **Option B:** A carotid bruit is a poor indicator of severity. While a bruit suggests turbulent flow, it may disappear entirely when stenosis becomes critical (e.g., >90% occlusion) because the flow volume becomes too low to generate sound. * **Option C:** Atherosclerosis most commonly affects the **Carotid Bulb** and the origin of the **Internal Carotid Artery (ICA)**, not the External Carotid Artery. **Clinical Pearls for NEET-PG:** * **Gold Standard Investigation:** Digital Subtraction Angiography (DSA); however, Duplex Ultrasound is the initial screening tool of choice. * **Surgical Threshold:** Carotid Endarterectomy (CEA) is generally indicated for symptomatic patients with **>50-70% stenosis** and asymptomatic patients with **>60% stenosis** (provided life expectancy is >5 years). * **Amaurosis Fugax:** Transient monocular blindness ("curtain falling") is a classic symptom of carotid disease due to emboli in the ophthalmic artery. Unlike hemiplegia, this symptom is **ipsilateral** to the stenosis.
Atherosclerotic Disease
Practice Questions
Aortic Aneurysms
Practice Questions
Peripheral Arterial Disease
Practice Questions
Carotid Artery Disease
Practice Questions
Venous Thromboembolism
Practice Questions
Chronic Venous Insufficiency
Practice Questions
Mesenteric Vascular Disease
Practice Questions
Vascular Trauma
Practice Questions
Vascular Access for Hemodialysis
Practice Questions
Endovascular Techniques
Practice Questions
Diabetic Foot Vascular Disease
Practice Questions
Vasculitis
Practice Questions
Get full access to all questions, explanations, and performance tracking.
Start For Free