All are true about the conditions shown in the figure except?

The following instrument is used for:

Which is incorrect about the swelling shown below?

Identify the instrument shown in the image:

Which is incorrect about the procedure shown in the patient with right flank pain?

What does the following image show?

During evaluation of a child with recurrent UTI, VCUG is performed and the following finding is observed. What is the diagnosis?

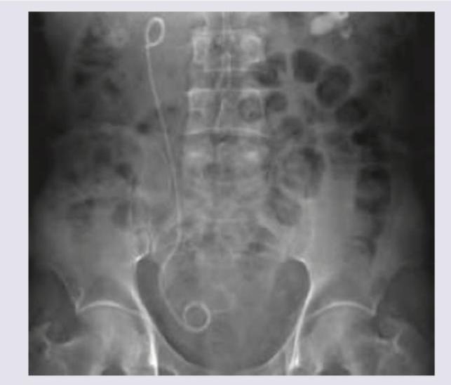
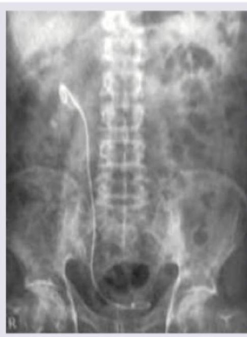
The radiographic image shows a stent in the urinary tract. This type of stenting is most commonly performed following which procedure?

Which of the following uroflowmetry recording indicates BPH?

A 70-year-old man underwent the procedure shown below. 3rd day he develops seizures. What is the diagnosis?

Explanation: ***Painless intermittent hematuria*** - While hematuria **can occur** with vesical calculus, the **classic teaching** emphasizes that **painless hematuria should raise suspicion for bladder malignancy** rather than benign calculus. - In bladder stones, hematuria is typically **associated with other symptoms** such as dysuria, frequency, suprapubic pain, and urgency, making it part of a **symptomatic complex** rather than an isolated painless finding. - The **key distinguishing feature** is that isolated, painless intermittent hematuria without other urinary symptoms is **more characteristic of bladder cancer** than vesical calculus. - Therefore, while hematuria occurs with bladder stones, **"painless intermittent hematuria" as an isolated finding** is NOT the typical presentation pattern. *Vesical calculus* - The image shows a large **radio-opaque shadow** in the bladder region, consistent with a **vesical calculus** (bladder stone). - Bladder stones result from urinary stasis, infection, bladder outlet obstruction (BPH), or foreign bodies. - Symptoms include dysuria, frequency, urgency, suprapubic pain, and hematuria. *Holmium laser* - **Holmium:YAG laser lithotripsy** is an effective endoscopic treatment for bladder stones. - The laser fragments stones into small pieces that can be irrigated out or extracted. - It has advantages of being minimally invasive with excellent stone-free rates. *Litholapaxy* - **Litholapaxy** is the standard endoscopic procedure for bladder stone removal. - Involves mechanical fragmentation using a **lithotrite** followed by evacuation of fragments. - Performed through a cystoscope under vision, making it safe and effective for most bladder stones.
Explanation: ***Bladder wash when urinary catheter gets blocked*** - The image shows a **rubber bulb syringe**, also known as an **irrigation syringe** or **bulb syringe**. This instrument is commonly used to create suction or to instill fluid, making it ideal for procedures like bladder irrigation. - In cases where a **urinary catheter becomes blocked** by mucus plugs, clots, or debris, a bladder wash (irrigation) with sterile saline can help clear the obstruction and restore drainage. This syringe would enable a nurse or physician to manually flush the catheter. *Dilate urethral stricture* - **Urethral stricture dilation** requires specialized instruments such as **urethral dilators** or **balloon catheters**, which are designed to gradually widen the narrowed part of the urethra. - The flexible, bulb-type syringe shown is not rigid enough nor designed with the specific shape or size increments required for urethral dilation. *Relieve bladder outlet obstruction temporarily* - Temporary relief of **bladder outlet obstruction** (BOO) typically involves inserting a **urinary catheter** (e.g., Foley catheter) to drain urine directly from the bladder. - While a syringe can connect to a catheter for drainage, the syringe itself is not the primary instrument for relieving the obstruction; the catheter is. This syringe is for irrigation purposes, not direct catheterization to relieve obstruction. *Perform uroflowmetry* - **Uroflowmetry** is a diagnostic test that measures the **rate of urine flow** during voiding. It requires a specialized device called a **uroflowmeter**, which is typically a funnel or toilet-like apparatus connected to a sensor that measures flow rate and volume. - The pictured syringe plays no role in measuring the natural flow of urine during micturition.
Explanation: ***Possible to get above swelling*** - The image shows a **transilluminating scrotal swelling**, characteristic of a **hydrocele**. - A hydrocele originates from within the scrotum (testicular origin), so you **CANNOT get above the swelling** during physical examination. - The statement "Possible to get above swelling" is **INCORRECT** for a hydrocele - this is the key distinguishing feature. - In contrast, an **inguinoscrotal hernia** descends from the inguinal canal, so you **CAN get above it** and feel the neck of the hernia. - Since the question asks "which is incorrect," this option is the **correct answer**. *Fluctuation positive* - Hydroceles contain clear fluid, making them **fluctuant** on palpation. - A wave-like impulse can be transmitted through the fluid from one side to the other. - This statement is **correct** about hydroceles. *Fluid aspiration* - **Aspiration of fluid** from a hydrocele is possible for diagnostic or therapeutic purposes. - The aspirated fluid is typically straw-colored and clear if uncomplicated. - This statement is **correct** about hydroceles. *Transillumination positive* - The image clearly shows **positive transillumination**, where light passes through the swelling. - This indicates the swelling is **fluid-filled** and not solid. - This is a hallmark sign of hydrocele, distinguishing it from hernia or tumor. - This statement is **correct** about hydroceles.
Explanation: ***Asepto syringe*** - The image displays a **red rubber bulb** attached to a glass or plastic barrel ending in a nozzle, which is characteristic of an **Asepto syringe**. - Asepto syringes are commonly used for **irrigation** of wounds or surgical sites, and for various procedures where precise suction or fluid delivery is needed without a needle. *Trocar for tapping hydrocele* - A **trocar** is a pointed medical instrument with a sharp tip, typically used with a cannula to introduce instruments or drain fluids from a body cavity. - Trocars for hydrocele tapping would differ significantly in appearance, featuring a pointed tip and often a stylet, which are absent here. *Czerny retractor* - A **Czerny retractor** is a surgical instrument with two blades, used primarily to hold back tissue during surgery to provide a clear view of the surgical field. - The instrument shown here is focused on fluid suction/delivery, not on tissue retraction. *Malecot catheter* - A **Malecot catheter** is a type of self-retaining catheter, typically made from soft, flexible material, with a distinctive mushroom-shaped tip that helps anchor it within a viscus. - This image clearly depicts a syringe-like device with a bulb, not a flexible catheter with a four-winged tip.
Explanation: In the provided image, there is a large, irregularly shaped, radio-opaque density in the right renal area, consistent with a **staghorn calculus**, likely causing the right flank pain. This type of calculus typically fills the renal pelvis and calyces. The question asks what is *incorrect* about the procedure shown, referring to **Extracorporeal Shockwave Lithotripsy (ESWL)**, a common treatment for kidney stones. ***Correct: No anesthesia is required*** - This statement is **incorrect** and is the correct answer to this negation question - ESWL typically requires some form of **analgesia or sedation** (e.g., intravenous fentanyl, midazolam, or even general anesthesia in selected cases) - The shockwaves cause significant discomfort as they are delivered, making **pain management essential** for patient comfort and compliance - While some patients with high pain tolerance may undergo the procedure with minimal analgesia, most require sedation *Incorrect: Contraindicated in hard stones* - This statement is partially correct, making it NOT the best answer - While hard stones (e.g., **calcium oxalate monohydrate, cystine, brushite**) are **more resistant** to ESWL with lower stone-free rates, ESWL is **not absolutely contraindicated** - ESWL can still be attempted for hard stones, though it may require multiple sessions, higher energy settings, or may ultimately fail, necessitating alternative treatments like **ureteroscopy** or **percutaneous nephrolithotomy (PCNL)** - True contraindications include pregnancy, uncorrected bleeding disorders, obstruction distal to the stone, and severe skeletal deformities *Incorrect: Done as outpatient procedure* - This statement is **correct** about ESWL, so it is NOT the answer to this negation question - ESWL is routinely performed on an **outpatient basis**, with patients typically going home the same day - Patients are monitored for a short period post-procedure (usually 1-2 hours) to ensure there are no immediate complications like significant hematuria or pain before discharge - Rarely, patients may require overnight observation if complications arise *Incorrect: Shockwaves pass through a water bath* - This statement is **outdated** but historically accurate - **First-generation ESWL machines** (1980s) utilized a **water bath** in which the patient was partially submerged to couple the shockwaves - **Modern lithotripters** (second and third generation) use a **gel pad** or **water cushion** placed directly on the skin, eliminating the need for water immersion while maintaining acoustic coupling - While technically incorrect for modern ESWL, the statement was historically true, making "no anesthesia required" a more definitively incorrect statement
Explanation: ***Stenting for pyeloplasty*** - The image shows a **double J stent** placed in the ureter, which is commonly used to ensure **urine drainage** and **prevent stricture** after reconstructive surgeries like pyeloplasty. - The stent extends from the renal pelvis (upper coiled end) down into the bladder (lower coiled end), typical positioning for urinary tract procedures. *Stenting for bile duct obstruction* - Stents for **bile duct obstruction** are placed within the biliary system, which is anatomically distinct from the urinary tract shown. - These stents would be visible in the upper abdomen, associated with the liver and pancreas, not spanning the kidney and bladder as seen here. *Stenting for ESWL* - **Extracorporeal Shock Wave Lithotripsy (ESWL)** is a procedure to break up kidney stones; stents may be placed before or after to facilitate stone fragment passage or relieve obstruction. - While a stent might be placed after ESWL, the image itself shows the placement and course of the stent, which is a common intervention following reconstructive procedures such as pyeloplasty. *Stenting for PCNL* - **Percutaneous Nephrolithotomy (PCNL)** is a surgical procedure to remove large kidney stones directly from the kidney. - After PCNL, a **nephrostomy tube** or a **ureteral stent** may be placed, but the primary indication shown in the image (a long-term indwelling stent from kidney to bladder) is most consistent with facilitating healing and drainage after reconstruction such as pyeloplasty.
Explanation: ***Posterior urethral valves*** - The image shows a **dilated and elongated posterior urethra** which is characteristic of posterior urethral valves (PUV). Also evident is **trabeculation of the bladder wall** and significant **bilateral vesicoureteral reflux (VUR)**, with a dilated and tortuous left ureter. - PUV frequently cause **recurrent UTIs** in male infants and children due to urinary obstruction and stasis, leading to bladder and upper tract damage. *Ureterocele* - A ureterocele would appear as a **cystic dilation of the distal ureter** into the bladder, typically visualized as a lucent defect within the opaque bladder on VCUG. The image does not show this specific finding. - While it can cause obstruction and VUR, the obstruction pattern observed in the image (especially the posterior urethra) is not consistent with a ureterocele. *Ectopic ureter* - An ectopic ureter involves the ureter inserting into an abnormal location, such as the vagina, urethra, or seminal vesicle, often bypassing the bladder. This would lead to a more direct drainage outside the bladder or into another structure without the gross changes seen in the posterior urethra. - While an ectopic ureter can lead to reflux or obstruction affecting the kidney, the primary obstruction in the **posterior urethra** with characteristic valve morphology is absent with an ectopic ureter. *Hydronephrosis* - **Hydronephrosis** refers to the swelling of a kidney due to a backup of urine, often caused by an obstruction or VUR. While hydronephrosis is a *consequence* of conditions like PUV, it is not the *diagnosis* explaining the direct VCUG findings in the bladder and urethra. - The VCUG directly visualizes the obstruction in the posterior urethra and associated reflux/bladder changes, which are the primary diagnostic features, rather than just the renal swelling.
Explanation: ***Stenting done for PCNL*** - The image clearly shows a **double J stent** properly placed within the urinary tract, extending from the kidney to the bladder. The presence of a nephrostomy tube (not explicitly shown but implied by PCNL context) or a stent like this is common after invasive renal procedures. - After **Percutaneous Nephrolithotomy (PCNL)**, a stent is commonly placed to ensure proper **urine drainage**, prevent obstruction from stone fragments, and promote healing of the access tract. *Stent for bile duct obstruction by malignancy* - A stent for bile duct obstruction would be located in the **upper abdomen**, specifically within the biliary system, not in the renal system extending to the bladder as seen in this image. - The morphology of the stent (double J) is characteristic of a **ureteral stent**, used in the urinary tract, not the biliary tract. *Stenting for ESWL* - **Extracorporeal Shock Wave Lithotripsy (ESWL)** typically does not require routine stenting unless there is a large stone burden or pre-existing obstruction that could lead to steinstrasse (a collection of stone fragments obstructing the ureter). - While a stent may be placed in some high-risk ESWL cases, the image itself does not provide clues specific to ESWL over other renal procedures requiring stenting. *BPH stenting* - **Benign Prostatic Hyperplasia (BPH) stenting** involves placing a stent in the **urethra** to relieve prostatic obstruction, not a double J stent extending from the kidney to the bladder. - The location and type of stent in the image are inconsistent with a stent used for BPH.
Explanation: ***Curve 3*** - Curve 3 shows a **low, flattened peak flow rate** (around 5 mL/sec) and a **prolonged voiding time**, which is characteristic of significant bladder outlet obstruction due to BPH. - The **sustained low flow** indicates constant effort to overcome resistance, a common finding in BPH. *Curve 1* - Curve 1 depicts a **high peak flow rate** (around 30 mL/sec) and a **short voiding time**, representing a normal and efficient urinary flow pattern. - This pattern is inconsistent with BPH, which is characterized by obstructed flow. *Curve 2* - Curve 2 indicates a **moderately reduced peak flow rate** (around 15 mL/sec) and a somewhat prolonged voiding time compared to normal. - While reflecting some degree of obstruction or weaker detrusor function, it is less severe than curve 3 and may represent early BPH or other conditions. *Curve 4* - Curve 4 shows an **intermittent or staccato flow pattern**, which typically indicates detrusor-sphincter dyssynergia or abdominal straining during voiding. - This pattern is not characteristic of BPH, which typically shows a continuous low flow rather than intermittent flow.
Explanation: ***Water intoxication*** - The image depicts a **transurethral resection of the prostate (TURP)** using a resectoscope. During TURP, large volumes of **hypotonic irrigation fluid** are used. - If excess fluid is absorbed into the systemic circulation, it can lead to **dilutional hyponatremia** and subsequent **cerebral edema**, causing neurological symptoms like **seizures** post-operatively. *Anesthetic over-dosage* - Anesthetic overdose would typically manifest during or immediately after the procedure with respiratory and cardiovascular depression, not delayed seizures on the third day. - The patient's presentation of seizures several days post-operatively does not align with acute anesthetic toxicity. *Mismatched blood transfusion* - A mismatched blood transfusion would present with acute symptoms like fever, chills, hemoglobinuria, and hypotension, usually *during* or immediately after the transfusion, not delayed neurological symptoms. - Blood transfusions are not routinely part of a TURP procedure unless significant bleeding occurs. *Malignant hyperthermia* - Malignant hyperthermia is a rare, life-threatening **hypermetabolic state** triggered by certain general anesthetics, characterized by rapid onset of high fever, muscle rigidity, and tachycardia. - It occurs *during* or very soon after anesthesia and would not typically present as seizures on the third post-operative day.
Urological Anatomy
Practice Questions
Hematuria Evaluation
Practice Questions
Urinary Calculi
Practice Questions
Benign Prostatic Hyperplasia
Practice Questions
Prostate Cancer
Practice Questions
Bladder Cancer
Practice Questions
Renal Cell Carcinoma
Practice Questions
Testicular Tumors
Practice Questions
Urinary Tract Infections
Practice Questions
Urinary Incontinence
Practice Questions
Genitourinary Trauma
Practice Questions
Pediatric Urology Basics
Practice Questions
Get full access to all questions, explanations, and performance tracking.
Start For Free