A 40-year-old male presents to the emergency department with severe respiratory distress, BP: 70/59 mmHg, tracheal deviation to the right, distended neck veins, and absent breath sounds on the left side. These findings are suggestive of a tension pneumothorax. What is the most appropriate immediate next step in management?
Which of the following is correct about the maneuver being performed in the image?

All are true about the procedure shown below except: (Recent NEET Pattern 2016-17)

A splenorenal shunt procedure may be required for treatment of:
A 30-year-old young male who met with a road traffic accident was brought to trauma center. On admission his BP was 90/50 mmHg, pulse rate is 150/min, SpO₂ is 80% and GCS is 8. He has multiple injuries and FAST reveals presence of blood in all quadrants. He was operated upon and his postoperative pictures are given below. Which of the following options best describe these pictures? (AIIMS Nov 2016)

A 30-year-old construction worker had a partial traumatic nail avulsion. 3 weeks later he presents with the presentation shown below. What is the diagnosis?

Which is the best method to secure airway and administer oxygen in case of burns shown below?

A soldier was airlifted from Siachen glacier after being trapped in an avalanche. All of the following are done in this condition except:
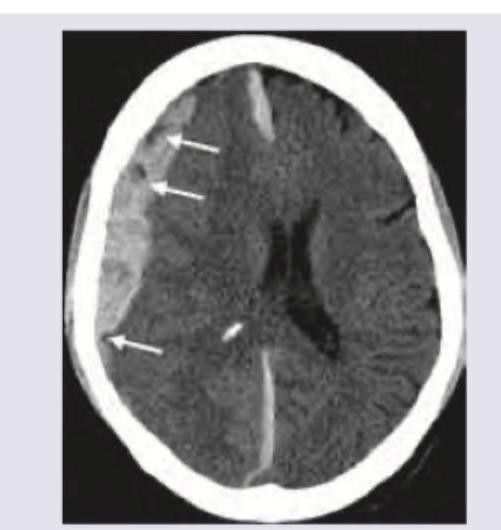
A mixed martial arts boxer lost his match by knockout. One week later, he is having daily headaches, vomiting and disorientation. On arrival in casualty $\mathrm{GCS}=7$ and fundus shows presence of papilledema. Urgent CT scan head shows?

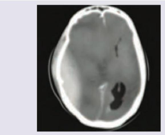
A 25-year-old patient presents in coma with GCS of 5 and extensor posturing after a bike accident. CT head was performed. Which of the following will be the best management of the patient?

Explanation: ### **Explanation** The patient presents with the classic clinical triad of **Tension Pneumothorax**: respiratory distress, unilateral absent breath sounds with tracheal deviation, and hemodynamic instability (hypotension/distended neck veins). **1. Why Option D is Correct:** Tension pneumothorax is a **clinical diagnosis**. The immediate goal is to convert a life-threatening tension pneumothorax into a simple pneumothorax. **Needle thoracostomy (decompression)** must be performed immediately to relieve intrapleural pressure before obtaining imaging or waiting for a chest tube setup. Delaying decompression to confirm with a chest X-ray or CT can lead to cardiac arrest due to decreased venous return. **2. Why Other Options are Incorrect:** * **Option A (CT Chest):** This is contraindicated in an unstable patient. Diagnosis is clinical; waiting for imaging is a fatal error. * **Option B (ABC assessment):** While ABCs are the foundation of trauma care, the question asks for the "immediate next step" for a diagnosed tension pneumothorax. Decompression is the specific intervention required to address the "B" (Breathing) and "C" (Circulation) compromise. * **Option C (Chest tube insertion):** This is the **definitive** treatment, but it takes longer to set up. In an emergency with hemodynamic collapse, needle decompression is the bridge to chest tube placement. **3. Clinical Pearls for NEET-PG / INI-CET:** * **Needle Site (ATLS 10th Ed):** The preferred site is the **5th intercostal space**, just anterior to the mid-axillary line (same as chest tube). The 2nd ICS at the mid-clavicular line is an alternative but has a higher failure rate due to thick chest walls. * **Pathophysiology:** A "one-way valve" mechanism allows air into the pleural space but not out, causing **mediastinal shift**, compression of the SVC/IVC, and **obstructive shock**. * **Chest Tube Site:** 5th ICS, anterior to the mid-axillary line (within the **"Triangle of Safety"**). * **Diagnosis:** Never wait for a Chest X-ray. If an X-ray is inadvertently done, look for a "deep sulcus sign" or mediastinal shift.
Explanation: ***Correct: Follow-up with delivery of abdominal thrusts with dominant hand in form of fist pressing below xiphisternum*** - The image depicts the **Heimlich maneuver** (abdominal thrusts), which is the definitive intervention for choking. - The technique involves placing a **fist below the xiphisternum** and delivering **quick upward thrusts** to increase intrathoracic pressure and expel the foreign body. - This is the **core technique** being demonstrated in the image and represents the most complete description of what is shown. *Incorrect: Identify choking patient who has hands around his throat and cannot speak* - This describes the **recognition phase** of choking (universal choking sign), not the intervention being performed. - While identification precedes treatment, the question asks about the **maneuver being performed** in the image, not the diagnostic signs. *Incorrect: First deliver quick back blows* - Current guidelines recommend **5 back blows alternating with 5 abdominal thrusts** for conscious choking adults. - Back blows are performed with the patient leaning forward, **not from behind** as shown in this image. - The image specifically shows the **abdominal thrust phase**, not back blows. *Incorrect: Patient should be held from behind* - While this statement is technically **true** about the Heimlich maneuver positioning, it describes only the **rescuer's position**, not the actual therapeutic technique. - The question asks what is correct about the **maneuver** (the action), and Option C provides the complete description of the technique including hand placement, anatomical landmark, and the thrust action itself. - This is an incomplete answer compared to the comprehensive description in the correct option.
Explanation: ***To avoid trauma to intercostal vessels, insert through lower border of the rib*** - This statement is incorrect. To avoid trauma to the **intercostal neurovascular bundle**, which runs along the **inferior border (lower aspect)** of each rib, a chest tube or needle should always be inserted over the **superior border (upper aspect)** of the rib below. - Inserting along the lower border of the rib would place the instrument directly into the path of the **intercostal artery, vein, and nerve**, leading to potential bleeding or neurological damage. *Triangle of safety bounded by latissimus dorsi posteriorly* - The **"triangle of safety"** is a recognized anatomical landmark for safe chest tube insertion, commonly used in emergency and trauma settings. - Its boundaries are the **anterior border of the latissimus dorsi** (posteriorly), the lateral border of the pectoralis major (anteriorly), and a line superior to the horizontal level of the nipple (apically), with the apex often considered the axilla itself. *Carried out in 5th intercostal space midaxillary line* - Chest tube insertion is typically performed at the **5th intercostal space in the midaxillary line**. - This location is optimal for draining both air (pneumothorax) and fluid (hemothorax or pleural effusion) due to the gravitational pooling of fluid and the apical collection of air, while also avoiding vital organs. *Tidaling in water seal indicates normal operation* - **Tidaling** refers to the fluctuation of the water level in the water seal chamber with inspiration and expiration. - This movement indicates that the **chest tube is patent** and that the pleural space is connected to the drainage system, reflecting changes in intrapleural pressure during respiration.
Explanation: ***Bleeding esophageal varices*** - The image depicts a **splenorenal shunt** (likely a distal splenorenal shunt or Warren shunt), which involves anastomosing the **splenic vein** to the **left renal vein** after ligating or resecting other splenic vein branches. - This procedure is primarily performed to **decompress the portal system** and reduce pressure in **esophageal varices** to prevent or treat life-threatening bleeding. *Mesenteric ischemia* - Mesenteric ischemia is caused by **reduced blood flow to the intestines**, often due to **atherosclerosis** or **embolism** of mesenteric arteries, not issues related to the portal system directly addressed by this shunt. - Treatment typically involves **revascularization** of the affected mesenteric vessels, not shunting the portal system. *Injury to tail of pancreas* - Injuries to the tail of the pancreas require surgical repair or **distal pancreatectomy**, depending on the severity. - This anatomical region and its management are unrelated to the specific surgical maneuver shown, which targets portal hypertension. *Liver laceration* - Liver lacerations are typically managed with **conservative treatment**, **surgical repair**, or **embolization**, depending on the grade of injury and hemodynamic stability. - The image does not illustrate a procedure for liver injury, nor is the depicted shunt a treatment for liver lacerations.
Explanation: ***Damage control surgery and temporary mesh closure of abdomen*** - The patient's critical condition with **hypotension**, **tachycardia**, **hypoxia**, **low GCS**, and **free fluid in all four quadrants on FAST** indicates severe, life-threatening trauma requiring a **damage control approach**. - The images show an **open abdomen** covered with a transparent sheet (laparostomy bag) and later a mesh with a wound VAC, characteristic of **temporary abdominal closure** following damage control surgery to manage profound shock, coagulopathy, and severe contamination. *Midline laparotomy and meshplasty* - While a midline laparotomy is the initial incision, **meshplasty** typically refers to definitive hernia repair using a mesh, not a temporary closure technique for a life-threatening trauma. - The images show a temporary closure method, not a finalized mesh repair of a hernia or a definitive abdominal wall reconstruction. *Abdominothoracic surgery and abdominal zipping* - **Abdominothoracic surgery** implies involvement of both thoracic and abdominal cavities, which is not exclusively depicted or necessarily the primary intervention described by the images. - **Abdominal zipping** (Wittmann patch) is a temporary closure method, but the images more closely resemble a combination of a wound vacuum-assisted closure (VAC) and a mesh/plastic sheet, which is a broader *temporary mesh closure* concept. *Abdominoplasty and primary closure of abdomen* - **Abdominoplasty** is an elective cosmetic procedure, completely inappropriate for a patient in severe, unstable trauma. - **Primary closure of the abdomen** would mean definitively closing the abdominal fascia and skin at the initial operation, which is contraindicated in damage control surgery when there's an anticipated need for re-exploration, edema, or ongoing resuscitation.
Explanation: ***Pyogenic granuloma*** - The image shows a **fleshy, red, often ulcerated nodule** following a partial traumatic nail avulsion, which is highly characteristic of a pyogenic granuloma. - These lesions are **reactive vascular proliferations** that typically develop rapidly at sites of trauma or inflammation. *Pyoderma gangrenosum* - Pyoderma gangrenosum characteristically presents as a rapidly enlarging, painful **ulcer with violaceous undermined borders** and often a purulent base, which differs from the described lesion. - It is typically associated with **systemic diseases**, such as inflammatory bowel disease or hematologic malignancies, and does not typically present as a focal, exophytic growth after localized trauma. *Pott's puffy tumor* - Pott's puffy tumor is a subperiosteal abscess of the frontal bone, usually caused by sinusitis, leading to a **forehead swelling** with osteomyelitis and epidural abscess. - This condition involves the **skull** and brain, not the nail bed, and presents with different clinical features like fever, headache, and periorbital edema. *Acute paronychia* - Acute paronychia is an **infection of the nail fold**, presenting with pain, redness, and swelling around the nail, often with pus accumulation. - While it can follow minor trauma, it is characterized by **inflammatory signs of infection** in the paronychial area, not a rapidly growing, exuberant granulation-like tissue as shown.
Explanation: ***Elective intubation*** - The image shows **severe facial burns** consistent with potential **inhalation injury**, which can lead to rapid **airway edema and obstruction**. Elective intubation is critical to secure the airway *before* it becomes impossible to intubate due to swelling. - Signs of inhalation injury, such as **sooty sputum**, **facial burns**, and **singed nasal hairs**, warrant aggressive airway management. *Mask* - Using a mask for oxygen delivery provides only a **low flow of oxygen** and does not secure the airway, which is crucial in cases of severe facial burns and suspected inhalation injury. - A mask will not prevent **airway swelling and obstruction**, which can rapidly worsen in burn patients. *Nasal prongs* - Nasal prongs are a **low-flow oxygen delivery system** and are entirely inadequate for patients with severe burns, especially when airway compromise is a significant risk. - They also would not address the impending **airway edema** associated with facial and inhalation burns. *Tracheostomy* - A tracheostomy is a **surgical airway** procedure that is more invasive and typically reserved for situations where endotracheal intubation is either impossible or long-term airway support is required. - While it provides a secure airway, **elective intubation** is the preferred initial approach because it is less invasive and can be performed more rapidly in an emergency setting.
Explanation: ***Slow rewarming*** - **Slow rewarming is NOT recommended** for frostbite management and is the practice that should be avoided. - Slow rewarming extends the period of tissue ischemia and leads to worse outcomes, including greater tissue damage and necrosis. - It is associated with increased intracellular ice crystal formation and progressive endothelial damage. - **This is the correct answer** to what is NOT done in frostbite management. *Rapid rewarming* - **Rapid rewarming** is the gold standard treatment for frostbite. - The affected extremity should be immersed in warm water (37-39°C/98.6-102.2°F) for 15-30 minutes. - This promotes faster tissue reperfusion and reduces the duration of ischemic injury, minimizing tissue loss. *Analgesia* - **Analgesia** is essential in frostbite management as the rewarming process is extremely painful. - Opioid analgesics are often required due to the severe pain from rapid blood flow return to ischemic tissues. - Adequate pain control improves patient comfort and compliance with treatment. *Surgery to be postponed till demarcation appears* - **Surgical intervention** (debridement or amputation) should be delayed until clear demarcation between viable and non-viable tissue appears. - This process typically takes several weeks to months. - The principle is "frozen in January, amputate in July" - early surgery risks removing viable tissue.
Explanation: ***Subdural bleed*** - The CT scan image shows a **crescent-shaped collection** of blood over the surface of the brain, which is characteristic of a **subdural hematoma**. The symptoms developing a week after impact ("knockout") are consistent with a subacute presentation of a subdural hematoma, which can gradually expand and cause increased intracranial pressure (manifesting as headaches, vomiting, disorientation, papilledema, and decreased GCS). - Subdural bleeds typically result from the tearing of **bridging veins** traversing the subdural space, often seen in trauma, particularly in patients with brain atrophy (such as elderly or chronic alcoholics). *Lobar bleeding* - **Lobar bleeding** refers to intraparenchymal hemorrhages within a specific lobe of the brain. On CT, this would appear as a focal, high-density collection *within* the brain parenchyma, not along its surface in a crescent shape. - The clinical picture of gradual neurological decline and signs of increased intracranial pressure are more consistent with an expanding subdural hematoma than an isolated lobar bleed, which typically presents more acutely with focal neurological deficits. *Intraparenchymal bleeding* - **Intraparenchymal bleeding** is hemorrhage directly within the brain tissue. On CT, it presents as a high-density area *within* the brain substance itself, often irregular in shape. - While trauma can cause intraparenchymal bleeds, the image clearly shows an extravascular collection *outside* the brain parenchyma, between the dura mater and arachnoid mater. *Subarachnoid bleed* - A **subarachnoid hemorrhage (SAH)** would appear on CT as high attenuation (blood) within the **sulci and basal cisterns** of the brain, following the contours of the subarachnoid space. This is not seen in the provided image. - SAH typically presents with a sudden, severe "thunderclap headache" and meningism, which differs from the more gradual onset of symptoms described with associated disorientation and papilledema (suggesting a lesion causing mass effect).
Explanation: ***Burr hole surgery*** - The CT scan shows a large **epidural hematoma (EDH)**, which is a neurosurgical emergency requiring rapid evacuation to relieve pressure on the brain. - A GCS of 5 with extensor posturing indicates severe neurological compromise with **brainstem compression** and critically elevated **intracranial pressure (ICP)**, requiring immediate surgical decompression. - Surgical indications for EDH include: **hematoma volume >30 mL**, **midline shift >5 mm**, or any EDH with neurological deterioration regardless of size. - Burr hole craniotomy or formal craniotomy is the definitive treatment, with choice depending on size and accessibility of the hematoma. *Hypertonic saline* - This medication is used to acutely reduce **intracranial pressure** by creating an osmotic gradient that draws fluid out of brain tissue. - It serves only as a **temporizing measure** during preparation for surgery or transport, not as definitive treatment for a large EDH requiring evacuation. - Medical management alone would be fatal in this scenario with such severe neurological compromise. *Thrombolysis* - **Thrombolysis** is used to dissolve blood clots in conditions like acute ischemic stroke or pulmonary embolism where the clot is causing vascular obstruction. - It is **absolutely contraindicated** in cases of intracranial hemorrhage or recent head trauma, as it would exacerbate bleeding and worsen outcome. - Using thrombolysis in this patient would likely be fatal. *Ventriculoperitoneal shunting* - This procedure is used to treat **chronic hydrocephalus** by diverting excess cerebrospinal fluid (CSF) from the brain ventricles to the peritoneal cavity for absorption. - While traumatic hydrocephalus can occur, it develops weeks after injury, not acutely. - The immediate life-threatening issue is the **space-occupying hematoma** causing mass effect and herniation, not CSF accumulation.
Initial Assessment of Trauma Patient
Practice Questions
Advanced Trauma Life Support (ATLS) Principles
Practice Questions
Chest Trauma
Practice Questions
Abdominal Trauma
Practice Questions
Head Trauma
Practice Questions
Spinal Trauma
Practice Questions
Extremity Trauma
Practice Questions
Vascular Trauma
Practice Questions
Genitourinary Trauma
Practice Questions
Burns Management
Practice Questions
Mass Casualty Management
Practice Questions
Damage Control Surgery
Practice Questions
Get full access to all questions, explanations, and performance tracking.
Start For Free